Reaction of the oral mucosa to damage and its regeneration during cytostatic therapy
- Authors: Leontieva I.V.1, Pavlova T.V.1, Kulaeva V.V.1, Iseeva E.A.1, Zatolokina M.A.2,3, Kaplin A.N.2, Leontieva A.A.1
-
Affiliations:
- First St. Petersburg State Medical University named after Academician I.P. Pavlov
- Kursk State Medical University
- I.S. Turgenev Orel State University
- Issue: Vol 20, No 4 (2023)
- Pages: 99-103
- Section: Original Researches
- URL: https://journals.eco-vector.com/1994-9480/article/view/626089
- DOI: https://doi.org/10.19163/1994-9480-2023-20-4-99-103
- ID: 626089
Cite item
Full Text
Abstract
Objective: Experimental study of the damaging effect of cytostatics on the oral mucosa, disruption of the protective mechanisms of the mucous membrane, as well as assessment of the reversibility of these changes.
Materials and methods: Using histological, morphometric, and quantitative histochemical methods, the mucous membrane of the tongue was studied on 40 mature white outbred mice after intraperitoneal administration of the cytostatic cyclophosphamide (CP) at a dose of 400 mg/kg for 5 days (20 animals). Animals in the control group (20 mice) were injected with isotonic sodium chloride solution at the same frequency. The material was obtained 24 hours and 20 days after the last injection of the drug. The condition of the oral mucosa (OM) on the ventral surface of the tongue was assessed.
Results: Exposure to CP led to damage to all layers of the mucous membrane: the processes of proliferation and keratinization of the integumentary epithelium were disrupted, and synthetic processes in the epithelial cells of the small mixed salivary glands were disrupted. The number of granulocytes and mast cells decreased, and the relative volume of blood vessels in the connective tissue of the mucous membrane decreased. The changes were reversible.
Conclusions: Cytostatic therapy leads to damage to the oral mucosa and disruption of its supraepithelial, epithelial and subepithelial protective mechanisms. There is a high degree of regeneration of the mucous membranes after the withdrawal of the cytostatic drug.
Full Text
Слизистая оболочка полости рта (СОПР) располагает многочисленными и разнообразными тканевыми и клеточными защитными механизмами. Защитные механизмы СОПР подразделяются на надэпителиальные, эпителиальные и подэпителиальные [1]. Между тем, сведения о действии защитных механизмов СОПР в условиях цитостатической терапии немногочисленны [2, 3], хотя они необходимы для разработки эффективных клинических методов профилактики и лечения мукозита – особого воспалительного процесса в СОПР. Это осложнение характеризуется повреждением защитного барьера слизистой оболочки, которая в сочетании с лейкопенией создает условия для развития опасного для жизни системного инфекционного процесса [4]. Эти сведения также могут представлять теоретический интерес для изучения биологии тканей.
ЦЕЛЬ РАБОТЫ
Экспериментальное изучение повреждающего действия цитостатика на СОПР, нарушения защитных механизмов слизистой оболочки, а также оценка обратимости данных изменений. Объектом исследования явилась слизистая оболочка языка, которая в клинических условиях часто поражается при цитостатической терапии.
МЕТОДИКА ИССЛЕДОВАНИЯ
В опыте использовали 40 самок белых беспородных мышей с массой тела 23–25 г. Животным экспериментальной группы (20 мышей) каждые 48 ч внутрибрюшинно вводили цитостатик алкилирующего ряда циклофосфан (ЦФ, ЛЭНС-Фарм, Россия) в дозе 400 мг/кг массы тела в течение 1–5 сут. Животным контрольной группы (20 мышей) с той же периодичностью вводили изотонический раствор хлорида натрия. Материал от животных (язык) получали через 1 сут. после 3-й инъекции ЦФ. Для изучения обратимости изменений, вызванных ЦФ, взятие материала осуществляли через 20 сут. после последней инъекции препарата. При осуществлении эксперимента соблюдали «Правила проведения работ с использованием экспериментальных животных» (приказ № 755 от 12.08.1977 г. МЗ СССР) и правила, утвержденные Этическим комитетом ПСПбГМУ им. акад. И.П. Павлова, от которого 19.11.2017 г. получено разрешение на проведение настоящего исследования. Объектом исследования явилась слизистая оболочка языка на вентральной поверхности. Общегистологические и морфометрические исследования осуществляли на поперечных срезах, окрашенных гематоксилином – эозином и азур-2 – эозином. Морфометрическое исследование включало измерение толщины эпителиального пласта и его слоев, плотность расположения гранулоцитов и тучных клеток в соединительной ткани, относительный объем сосудов микроциркуляторного русла методом точечного счета (Автандилов Г.Г., 1990). В базальном слое эпителия оценивали митотическую активность. Гистохимические и цитофотометрические исследования включали выявление гликопротеинов (Пирс Э., 1962) суммарных белков (Берстон М., 1965). Цитофотометрическое исследование гистохимических реакций проводили на спектроцитофотометре плаг-методом, выражая результаты в относительных единицах оптической плотности. Статистический анализ полученных данных проводили с использованием программного пакета Statistica for Windows v 6.0. Значимость различий средних величин показателей оценивали с помощью t-критерия Стьюдента. Различия считали статистически значимыми при Р < 0,05.
РЕЗУЛЬТАТЫ ИССЛЕДОВАНИЯ И ИХ ОБСУЖДЕНИЕ
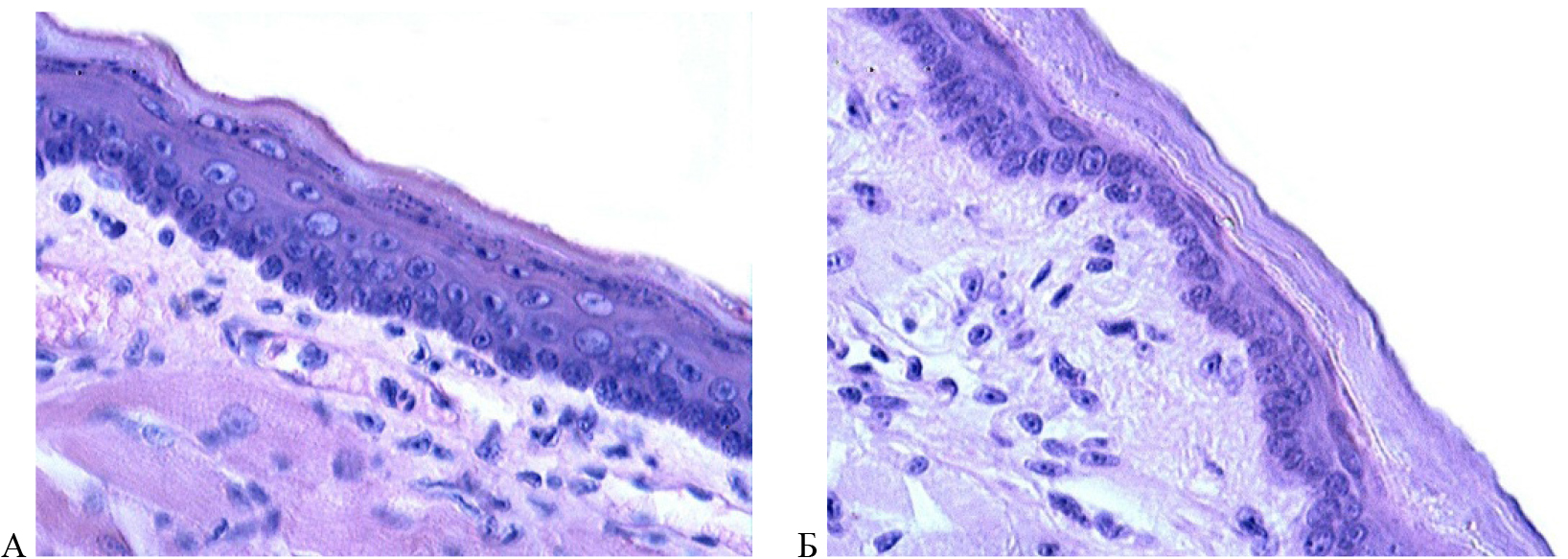
При гистологическом исследовании отмечалось выраженное неравномерное истончение эпителиального пласта за счет уменьшения толщины шиповатого слоя, которое сочеталось с утолщением и разрыхлением рогового слоя. Толщина зернистого слоя изменялась незначительно. Гистологически определялось уменьшение объема концевых отделов смешанных желез языка и размеров образующих их сероцитов и мукоцитов. Морфометрически по сравнению с группой контроля определялось уменьшение толщины эпителиального пласта с (48,3 ± 2,5) до (33,1 ± 2,1) мкм, шиповатого слоя – с (21,2 ± 1,2) до (10.4 ± 1,5) мкм с одновременным утолщением рогового слоя с (12,1 ± 0,9) до (14,4 ± 1,1) мкм (рис. 1).
Рис. 1. Слизистая оболочка вентральной поверхности языка: А – контрольная группа, Б – после 3 инъекций ЦФ. Истончение шиповатого слоя и утолщение рогового слоя эпителия. Окраска: гематоксилин – эозин. Ув. × 400
Митотическая активность клеток базального слоя эпителия снизилась с (30,3 ± 1,5) до (10,4 ± 1,5) ‰ (рис. 2).
Рис. 2. Динамика митотической активности в базальном слое эпителия. По оси ординат: митотическая активность (в ‰). По оси абсцисс – значение показателя: К – контрольная группа, 6 – 6-е сутки эксперимента, 25 – 25-е сутки эксперимента
Гистохимическое исследование выявило снижение концентрации белков в сероцитах с (0,32 ± 0,02) до (0,21 ± 0,03) отн. ед., угнетение синтеза гликопротеинов в мукоцитах с (0,55 ± 0,05) до (0,42 ± 0,02) отн. ед. На 20-е сутки после отмены препарата толщина эпителиального пласта и его слоев, митотическая активность клеток базального слоя эпителия, концентрация суммарных белков вернулись к контрольным значениям.
Плотность расположения гранулоцитов в соединительнотканном компоненте снижалась на 6-е сутки опыта по сравнению с таковой в группе контроля с (14,2 ± 1,4) до (7,8 ± 0,7) (количество на 1 мм² площади поверхности соединительной ткани).
Содержание тучных клеток в собственной пластинке СОПР и подслизистой основе снижалось при введении ЦФ с (8,7 ± 0,6) до (5,2 ± 0,5) (количество на 1 мм² площади поверхности соединительной ткани), что сочеталось c изменениями их топографии. Происходило увеличение доли тучных клеток, расположенных вблизи базальной мембраны. Относительный объем сосудистого русла уменьшился с (6,9 ± 0,6) до (5,0 ± 0,5) %. К концу эксперимента значение плотности расположения гранулоцитов превышало величину в контроле: (17,8 ± 1,5) по сравнению с (14,2 ± 1,4) (количество на 1 мм² площади поверхности соединительной ткани). Количество тучных клеток, относительный объем сосудов вернулись к контрольным значениям.
Истончение эпителиального пласта, угнетение пролиферации, замедление процесса десквамации с разрыхлением рогового слоя сходны с описанными изменениями в многослойных эпителиях при введении цитостатиков [2, 5, 6] и, вероятно, лежат в основе нарушения барьерных свойств эпителия СОПР при цитостатической химиотерапии [7]. Нарушение барьерных свойств эпителия, в свою очередь, приводит к ослаблению эпителиальных защитных механизмов.
Выявленные структурные изменения эпителия малых слюнных желез в сочетании с отмеченным угнетением в нем синтетических процессов согласуются со сведениями о повреждении больших слюнных желез при цитостатической терапии, приводящем к развитию ксеростомии [8]. Уменьшение тока слюны, снижение в ней количества муцинов приводят к нарушению надэпителиальных защитных механизмов СОПР.
Уменьшение числа гранулоцитов (представленных, главным образом, нейтрофилами) в соединительной ткани слизистой оболочки языка указывает на недостаточность системы клеток с высокой антимикробной активностью как на важный элемент нарушения подэпителиальных защитных механизмов СОПР.
Не меньшее значение имеют тучные клетки, регулирующие межклеточные взаимодействия в ходе воспалительной реакции, и проницаемость сосудов. Снижение содержания тучных клеток в соединительной ткани в сочетании со снижением относительного объема сосудистого русла приводит к уменьшению миграции иммунокомпетентных клеток, что также нарушает подэпителиальные защитные механизмы слизистой. Увеличение количества тучных клеток, расположенных вблизи базальной мембраны, вероятно, отражает усиление взаимодействий между эпителием и соединительной тканью.
Период после отмены препарата характеризуется нормализацией большей части морфофункциональных показателей состояния СОПР, что указывает на значительные компенсаторные резервы слизистой оболочки и высокую активность ее регенерации.
Количество гранулоцитов в соединительной ткани также превышало контрольные значения, что может быть следствием их активной миграции в соединительную ткань на фоне повышенная проницаемости сосудистой стенки. Миграция гранулоцитов, по-видимому, усиливает подэпителиальные механизмы защиты СОПР.
ЗАКЛЮЧЕНИЕ
Представленные выше сведения показывают, что СОПР при введении цитостатика претерпевает выраженные морфофункциональные изменения, которые затрагивают все ее компоненты (эпителиальный, соединительнотканный, сосудистый) и приводят к нарушению всех видов защитных механизмов (надэпителиальных, эпителиальных, подэпителиальных). При неэффективности защитных механизмов чужеродные антигены, микробы и их продукты попадают в подлежащие ткани, могут внедряться в кровеносные сосуды, проникать в кровь и диссеминировать по организму. Однако на фоне отмены препарата наблюдается высокая степень регенерации СОПР.
About the authors
Irina V. Leontieva
First St. Petersburg State Medical University named after Academician I.P. Pavlov
Author for correspondence.
Email: liv1706@mail.ru
Candidate of Medical Sciences, Associate Professor of the Department of Histology, Embryology and Cytology
Russian Federation, St. PetersburgTatyana V. Pavlova
First St. Petersburg State Medical University named after Academician I.P. Pavlov
Email: tvmolgun@yandex.ru
Doctor of Medical Sciences, Professor of the Department of Histology, Embryology and Cytology
Russian Federation, St. PetersburgVioletta V. Kulaeva
First St. Petersburg State Medical University named after Academician I.P. Pavlov
Email: weta65@list.ru
Candidate of Biological Sciences, Associate Professor of the Department of Histology, Embryology and Cytology
Russian Federation, St. PetersburgElena A. Iseeva
First St. Petersburg State Medical University named after Academician I.P. Pavlov
Email: bokelan5@rambler.ru
Candidate of Biological Sciences, Associate Professor of the Department of Histology, Embryology and Cytology
Russian Federation, St. PetersburgMaria A. Zatolokina
Kursk State Medical University; I.S. Turgenev Orel State University
Email: marika1212@mail.ru
Doctor of Medical Sciences, Professor, Professor of the Department of Histology, Embryology and Cytology, Head of the Department of Histology, Cytology and Embryology
Russian Federation, Kursk; OrelAnton N. Kaplin
Kursk State Medical University
Email: drkaplin46@gmail.com
Candidate of Medical Sciences, Associate Professor of the Department of Pathological Anatomy
Russian Federation, KurskAnna A. Leontieva
First St. Petersburg State Medical University named after Academician I.P. Pavlov
Email: leontyevanna3@mail.ru
third-year student of the Faculty of Dentistry
Russian Federation, St. PetersburgReferences
- Bykov V.L. Histology and Embryonic Development of the Organs of Human Oral Cavity. Moscow, GEOTAR-Media. 2014. 624 p. (In Russ.).
- Sougiannis A.T., VanderVeen B.N., Davis J.M., Fan D., Murphy E.A. Understanding chemotherapy-induced intestinal mucositis and strategies to improve gut resilience. Am J Physiol Gastrointest Liver Physiol. 2021;320(5):712–719. doi: https://doi.org/10.1152/ajpgi.00380.2020.
- Brown T.J., Gupta A. Management of cancer therapy-associated oral mucositis. JCO Oncology Practice. 2020;16(3):103–110. doi: 10.1200/JOP.19.00562.
- Lalla R.V., Brennan M.T., Gordon S.M. et al. Oral mucositis due to high-dose chemotherapy and/or head and neck radiation therapy. JNCI Мonographs. 2019;2019(53):1724. doi: 10.1093/jncimonographs/lgz011.
- Leont’eva I.V., Kulaeva V.V., Bykov V.L. Comparative morpho-functional characteristics and heteromorphism of the lingual epithelium after administration of cytostatic drug and morphogen. Morfologiia. 2019;155(3):33–38. (In Russ.).
- Mohammed A.I., Celentano A., Paolini R. et al. Characterization of a novel dual murine model of chemotherapy-induced oral and intestinal mucositis. Scientific Reports. 2023;13:1396. doi: 10.1038/s41598-023-28486-3.
- Do H. K., Jungeum C., Yun-Sung L. et al. A rat model for oral mucositis induced by a single administration of 5-fluorouracil. In Vivo. 2023;37(1):218–224. doi: 10.21873/invivo.13070.
- Jensen S.B., Vissink A.,, Limesand K.H., Reyland M.E. Salivary gland hypofunction and xerostomia in head and neck radiation patients. JNCI Мonographs. 2019;2019(53):95–106. doi: 10.1093/jncimonographs/lgz016.
Supplementary files





