Features of cytokeratin-7 and cytokeratin-14 expression in the cervix in women with cervical intraepithelial neoplasia
- Authors: Balabekov A.V.1, Chukov S.Z.1, Tuzhilina O.S.1
-
Affiliations:
- Stavropol State Medical University
- Issue: Vol 21, No 1 (2024)
- Pages: 119-125
- Section: Original Researches
- URL: https://journals.eco-vector.com/1994-9480/article/view/630314
- DOI: https://doi.org/10.19163/1994-9480-2024-21-1-119-125
- ID: 630314
Cite item
Full Text
Abstract
Determination of the activity of expression of cytokeratins 7 and 14 in the ectocervix and foci of endocervicosis in women with cervical intraepithelial neoplasia detected by routine histological examination using hematoxylin-eosin staining. Material and methods: Cervix with identified cervical intraepithelial neoplasia caused by infection with human papillomavirus (HPV) of varying degrees of pathogenicity (low-risk human papillomavirus (LR–HPV) – types 6 and 11 (n = 9), intermediate – types 26, 53, 66 (n = 25), as well as high-risk viruses oncogenic risk (HPV) – 16, 18, 31, 33 types (n = 19). The comparison group consisted of fragments of the cervix without cervical intraepithelial neoplasia confirmed by routine histological examination (n = 20). The expression of cytokeratin-7 and 14 in the ectocervix and foci of cervical endocervicosis was evaluated using a standard immunohistochemical method. Results: LSIL/CIN-1, associated with infection with LR-HPV types 6 and 11, is characterized by the absence of expression of SC-7 and weak, in some cases moderate expression of SC-14. HSIL/CIN-2, associated with infection with HPV types 26, 53, 66, is characterized by weak expression of SC-7 and moderate expression of SC-14. HSIL/CIN-3, associated with infection with HPV types 16, 18, 31, 33, is characterized by moderate expression of SC-7 and high expression of SC-14. In the control group of comparison, in the vast majority of cases, negative or weak expression of CC-7 and SC-14 is noted. Conclusion: Features of the expression of SC-7 and SC-14 in the ectocervix, the transformation zone and foci of cervical endocervicosis with HPV infection detected should be taken into account as morphological criteria for diagnosis. These criteria should be considered as the principle of standardization of morphological examination of the cervix, since using this method shows a sufficiently high reliability of early detection of precancerous diseases.
Full Text
В связи с увеличением частоты плоскоклеточной карциномы шейки матки возникает повышенный интерес к изучению фоновых и предраковых изменений шейки матки. Первостепенное место при этом имеет иммуногистохимическое исследование [1]. Известно, что ведущим фактором предраковой патологии шейки матки является цервикальная интраэпителиальная неоплазия (Cervical Intraepithelial Neoplasia – CIN), или же «плоскоклеточное интраэпителиальное поражение» (Squamous Intraepithelial Lesion – SIL). Выделяют SIL низкой и высокой степени, а также инвазивную карциному шейки матки (РШМ). SIL низкой степени (LSIL) представляет собой морфологические изменения, сопряженные с CIN I степени (CIN 1); SIL высокой степени (HSIL) – с CIN II и III степени, а также внутриэпителиальный рак. CIN2 и CIN3 отнесены к HSIL, так как они могут трансформироваться до инвазивного РШМ. Известно, что при CIN1 в 10 % наблюдений происходит обратное развитие только до CIN2–3, тогда как при CIN2–3 у 10 % женщин возникает инвазивный РШМ через 10–20 лет.
Вследствие взаимосвязи между ВПЧ и преканцероматозной патологией шейки матки показана роль различных типов ВПЧ в развитии CIN2+ или HSIL [2]. Преканцероматозные изменения плоского эпителия шейки матки являются гистологическим диагнозом, основанным в результате исследовании ткани образца биопсии шейки матки.
В руководстве ASCCP в 2019 году для раннего определения инвазивной карциномы шейки матки и его предшественников рекомендуется применение протоколов, основанных на гистопатологии, с применением общепринятой терминологии плоскоклеточного рака нижних аногенитальных отделов, предложенных Всемирной организацией здравоохранения (ВОЗ). CIN в данных рекомендациях оценивается как 1, 2 или 3 в зависимости от того, какая часть эпителиального слоя содержит атипичные клетки. CIN-1 с поражением нижней трети эпителиального пласта часто спонтанно регрессирует в течение 6–12 месяцев. При поражении 2/3 толщины эпителия она обозначается как CIN-2. На данной стадии процесс также обратим, в 40 % случаев регрессирует спонтанно, без применения специального лечения.
Когда клеточная атипия затрагивает более 2/3 толщины эпителиального пласта, она обозначается как CIN-3. Этот термин включает тяжелую дисплазию и карциному in situ (CIS). CIN-3 является предшественником инвазивного рака; существуют данные, согласно которым около трети подобных поражений способны к спонтанной регрессии [3]. Как правило, после результатов кольпоскопии, соответствующей CIN 2+, пациентов обычно направляют на процедуру петлевого электрохирургического иссечения (LEEP) с дальнейшей оценкой риска по результатам патологоанатомического исследования образца шейки матки и определением CIN-2 и CIN-3. На практике выясняется, что не все лаборатории могут произвести верную дифференциальную диагностику [4].
В настоящее время вопрос верификации CIN достаточно неоднозначен. Не существует унифицированных критериев в подходе к изучению плоскоклеточных интраэпителиальных пролиферативных поражений, а также прогностических критериев потенциального прогрессирования в преканцероматозные формы и рак шейки матки на ранних этапах. Некоторые метапластические и реактивные поражения, не связанные с ВПЧ или неоплазией, могут имитировать поражения CIN-1.
В настоящее время также все чаще возникают сложности в дифференциации CIN-1 от реактивной плоскоклеточной пролиферации. Некоторые гистологические находки, которые могут напоминать CIN-1, включают плоскоклеточную метаплазию, гиперплазию резервных клеток, микрожелезистую гиперплазию и цервицит. Несмотря на различные предложенные морфологические критерии различия CIN-1 от других патологических состояний, ее имитирующих, дифференциация все еще далека от совершенства [5].
Цитокератины (CК) являются крупнейшей подгруппой промежуточных филаметов белков, в основном экспрессируемых в эпителиальных тканях. СК играют ведущую роль при определении структурной целостности эпителия при различных видах патологии, степени выраженности пролиферативной функции, апоптозе, миграции, адгезии и молекулярной передаче сигналов. На основании двухмерной миграции геля и молекулярной массы они подразделяются на тип I, то есть кислотные (СК9-СК28) и тип II – основные (СК1-8 и СК 71-74). СК устойчивы к деструкции, обладают высокой точностью экспрессии, обладают высоким уровнем антигенности. Все СК имеют высокую базовую молекулярную структуру цитоплазматических IF-белков [6].
Цитокератин 7 (СК-7) относится к нейтрально-основной группе промежуточных филаментов (ПФ) или тканеспецифических белков, имеющих молекулярную массу 52,5–68 кДа. В норме он экспрессируется клетками переходного эпителия мочевыводящих путей, призматического (секреторного) эпителия желез и их протоков, а также клетками мезотелия [7]. Экспрессия СК-7 обычно характерна для резервных и призматических клеток слизистой оболочки эндоцервикса и клетками плоского эпителия в случаях, когда вследствие каких-либо причин происходит изменение фенотипа этих клеток, что является предиктором прогрессирования CIN. Данный факт объясняется тем, что камбиальные клетки эпителия, за счет которых происходит регенерация эпителиоцитов при различного рода повреждениях, являются бипотентными. Резервные клетки могут дифференцироваться как в клетки многослойного плоского эпителия, так и в клетки железистого эпителия. При гиперэкспрессии СК-7 чаще всего имеется тенденция к формированию раковых опухолей с двойной (железисто-плоскоклеточной) дифференцировкой. Кроме того, не исключается возникновение рака на фоне не только собственно предраковых (CIN2, CIN3), но и фоновых состояний и заболеваний шейки матки, среди которых можно особо выделить аденоакантоз и гиперплазию железистых клеток, возникающие чаще всего в железах у места стыка (переходной зоны) многослойного плоского и железистого эпителия шейки матки [8]. Согласно современным исследованиям, не исключается роль в патогенезе патологии шейки матки самого СК-7. Кроме того, CK-7 является важным маркером клеток плоскостолбчатого соединения, соответствующего месту наиболее частого возникновения рака шейки матки. Также была оценена взаимосвязь между экспрессией СК-7 и характеристиками опухоли, такими как гистологический тип CIN, тип и степень злокачественности опухоли при ее выявлении [9]. Кроме того, было установлено, что внутриэпителиальные поражения, возникающие из резервных клеток, экспрессируют СК-17.
Практически все преинвазивные и инвазивные плоскоклеточные карциномы были индуцированы ВПЧ высокого онкогенного риска. Возникновение хромосомных аберраций прогрессировало по мере возрастания степени тяжести CIN и, как следствие, интенсивности экспрессии СК-7 и СК-17. Наиболее часто выявлялись мутации в генах PIK3CA -E545K, PIK3CA, SMAD1, HRAS, RB1 и EGFR. Активирующие драйверные мутации были выявлены только при инвазивном раке [10].
СК-14 является членом семейства кератинов I типа белков промежуточных филаментов, который составляет промежуточные нити типа I (IF) внутрицитоплазматического цитоскелета и состоит из кислых белков с низкой молекулярной массой, коэкспрессируемый во время дифференцировки эпителиальных тканей. Данные, связывающие активность экспрессии СК-14 при патологических процессах многослойного плоского неороговевающего эпителия и зон эндоцервикоза шейки матки практически не встречаются в литературе [11].
Существуют результаты исследования интенсивности экспрессии CK-19, р16, в совокупности с определением ВПЧ, показатели которых были положительны во всех случаях CIN-3. Для каждого белка было характерно диффузное или очаговое окрашивание с топографическими различиями. Очаговое окрашивание CK-19 и комплексной ДНК ВПЧ обычно отмечалось в нижних слоях CIN-3. Очаги окрашивания р16 совпадали с очагами экспрессии CK-19. Эти результаты позволяют предположить, что CK-19 связан с вирусной интеграцией, что способствует вирусной репликации и злокачественной трансформации клеток, пораженных ВПЧ. Интерпретация окрашивания CK19 использовалась ранее как маркер для прогнозирования статуса ВПЧ и уровня онкобелка Е7 в опухолях шейки матки [12]. Некоторые авторы предлагали использовать вспомогательные молекулярные лабораторные методы, такие как гибридизация in situ, для лучшего различия поражений CIN 1 от неопухолевых сомнительных поражений шейки матки, и применять эти данные с целью контроля качества.
Другие авторы выступают за использование биомаркеров, включая p16 Ink4a, признавая, что различные исследования, изучающие p16 Ink4a , показали фокальную иммуногистохимическую реактивность для p16 nk4a в нормальном эпителии шейки матки, плоскоклеточной метаплазии и при некоторых воспалительных состояниях [13]. Также следует помнить о случаях ВПЧ-негативных цервикальных карцином, как достаточно редко встречающихся, составляя менее 10 % всех карцином шейки матки [14]. ВПЧ в возрастной группе постменопаузы чаще всего является сочетанным: инфицированные пациентки в этой возрастной группе имеют повышенный риск прогрессирования в инвазивную карциному. Кроме того, атрофические изменения шейки матки могут затруднить дифференциальную диагностику плоскоклеточных интраэпителиальных поражений высокой степени злокачественности (HSIL) [15].
Проанализировав различные литературные источники, мы выявили, что многие вопросы касаемо ранней диагностики рака шейки матки (РШМ) остаются малоизученными и спорными. Учитывая, что от прогрессирования основного заболевания в течение первых 5 лет погибают от 30 до 45 % больных местнораспространенным (МР) РШМ, поиск надежных прогностических критериев является значимым [16].
ЦЕЛЬ РАБОТЫ
Оценить экспрессию СК-7 и СК-14 в многослойном плоском неороговевающем эпителии влагалищной части шейки матки и очагах эндоцервикоза, выявить особенности экспрессии в зависимости от степени тяжести CIN с учетом обнаруженного типа ВПЧ.
МЕТОДИКА ИССЛЕДОВАНИЯ
Исследовались биоптаты шейки матки, оцениваемые при помощи рутинного гистологического исследовании в виде световой микроскопии с определением CIN. В зависимости от степени тяжести CIN и инфицированности ВПЧ, полученные результаты разделили на 3 группы: 1-я – CIN легкой степени тяжести, сопряженная с ВПЧ низкого онкогенного риска (n = 9), умеренного онкогенного риска (n = 7) и высокого онкогенного риска (n = 3); 2-я – с CIN умеренной степени тяжести, сопряженной с ВПЧ умеренного онкогенного риска (n = 12) и высокого онкогенного риска (n = 6); 3-я – с CIN тяжелой степени, сопряженной с ВПЧ умеренного онкогенного риска (n = 6) и высокого онкогенного риска (n = 10).
Во всех случаях CIN сочеталась с эндоцервикозом и хронический неспецифическим цервицитом.
Группу сравнения (n = 20) составили образцы шейки матки без CIN, не инфицированные ВПЧ.
Фрагменты шейки матки размерами от 0,4 × 0,2 × 0,2 до 0,5 × 0,5 × 0,5, иссеченные с захватом эктоцервикса, обработанные стандартным способом, готовили к проведению иммуногистохимического исследования. Для фонового окрашивания использовали гематоксилин. Визуализацию образцов осуществляли при помощи светового микроскопа Micros (Австрия), исследуя 100 клеток в 10 полях зрения при увеличении в 400 раз. Интенсивность иммуногистохимического исследования оценивали в баллах: 0 – негативная реакция, 1 – слабая, 2 – умеренно выраженная, 3 – максимальная) и вычисляли индекс экспрессии (ИЭ) цитокератина-7 и цитокератина-14 по формуле: ИЭ = ∑Р(i) × i/100, где i – интенсивность окраски клеток в баллах, Р(i) – процент позитивных клеток.
Статистическую обработку данных проводили с помощью стандартного пакета программного обеспечения Statistica, определяя непараметрический критерий Манна – Уитни.
РЕЗУЛЬТАТЫ ИССЛЕДОВАНИЯ И ИХ ОБСУЖДЕНИЕ
Экспрессия СК-7 ткани шейки матки в эпителиоцитах многослойного плоского эпителия эктоцервикса и очагах эндоцервикоза в группе сравнения не наблюдалась (см. таблицу). Экспрессия СК-14 ткани шейки матки в эпителиоцитах многослойного плоского эпителия эктоцервикса и очагах эндоцервикоза в группе сравнения наблюдалась в базальном слое и характеризовалась как очаговая и слабо выраженная. Интенсивность иммуногистохимической реакции возрастала по мере тяжести CIN и степени онкогенности ВПЧ. Максимальное значение ИЭ (2,85 усл. ед.), соответствующее наиболее интенивной экспрессии СК-14, а ИЭ (1,5 усл. ед.) соответствовал экспрессии СК-7 в очагах эндоцервикоза и выявлено при CIN тяжелой степени (HSIL), обусловленной инфицированием ВПЧ высокого онкогенного риска. В данный период чаще всего происходит малигнизация эпителиоцитов с формированием преинвазивной карциномы. СК-позитивные эпителиоциты (85 %) были выявлены в резервных клетках в очагах эндоцервикоза. Полученные результаты позволяют предположить зависимость интенсивности экспрессии СК-7 и СК-14 к возможному риску быстрого прогрессирования CIN и трансформацию в рак шейки матки на ранних этапах. При CIN легкой степени тяжести (LSIL), обнаруженной у 19 женщин, сопряженной с ВПЧ низкого онкогенного риска у 9 (47,3%) из них экспрессии СК-7 выявлено не было, однако отмечалась слабо выраженная экспрессия СК-14 в базальном слое эктоцервикса и фокально – в очагах эндоцервикоза. При LSIL/CIN-1, сопряженной с ВПЧ умеренного онкогенного риска, в 7 (36,8 %) образцах отмечалась слабая очаговая экспрессия СК-7 в базальном слое эктоцервикса, которая не выявлялась в очагах эндоцервикоза; в то же самое время отмечалась умеренная диффузно-очаговая экспрессия СК-14 в базальном и парабазальном слое эктоцервикса и слабая экспрессия СК-14 в очагах эндоцервикоза.
В 3 образцах (15,7 %), где был выявлен ВПЧ высокого онкогенного риска, отмечалось слабо выраженная равномерная диффузная экспрессия СК-7 в базальном слое эктоцервикса и очагах эндоцервикоза. Также отмечалось выраженная равномерная диффузная экспрессия СК-14 в базальном и парабазальном слое эктоцервикса и очагах эндоцервикоза.
При HSIL/CIN-2, обнаруженной у 18 пациенток, сопряженной с ВПЧ умеренного онкогенного риска в 12 случаях (66,6 %), отмечалась равномерная диффузно-очаговая слабо выраженная экспрессия СК-7 с ИЭ (0,35 усл. ед.), с поражением 2/3 эпителиального пласта, а также очаговая слабая экспрессия СК-7 в очагах эндоцервикоза, а также равномерная диффузная экспрессия СК-14 с умеренным значением ИЭ (1,2 усл. ед.), с поражением 2/3 эпителиального пласта, а также очаговая умеренно выраженная экспрессия СК-14 в очагах эндоцервикоза (ИЭ 1,1 усл. ед.).
При HSIL/CIN-2, обнаруженной в 6 (33,3 %) образцах, сопряженной с ВПЧ высокого онкогенного риска отмечалась равномерная диффузная слабо выраженная экспрессия СК-7 (ИЭ 0,8 усл. ед.), с поражением 2/3 эпителиального пласта и аналогичный уровень экспрессия СК-7 в очагах эндоцервикоза, а также равномерная диффузная высокая экспрессия СК-14 с максимальным значением ИЭ (2,1 усл. ед.), с поражением 2/3 эпителиального пласта, а также умеренно выраженная экспрессия СК-14 в очагах эндоцервикоза (ИЭ 1,3 усл. ед.).
При HSIL/CIN-3, обнаруженной у 16 пациенток, сопряженной с ВПЧ умеренного онкогенного риска у 6 (37,5 %) из них, отмечалась умеренно выраженная диффузная экспрессия СК-7 во всей толще эпителиального пласта (ИЭ 1,0 усл. ед.) и умеренно выраженной экспрессия в очагах эндоцервикоза (ИЭ 1,0 усл. ед.), в то же время отмечалась выраженная диффузная экспрессия СК-14 во всей толще эпителиального пласта (ИЭ 2,4 усл. ед.) с умеренно выраженной экспрессией в очагах эндоцервикоза (ИЭ 1,5 усл. ед.).
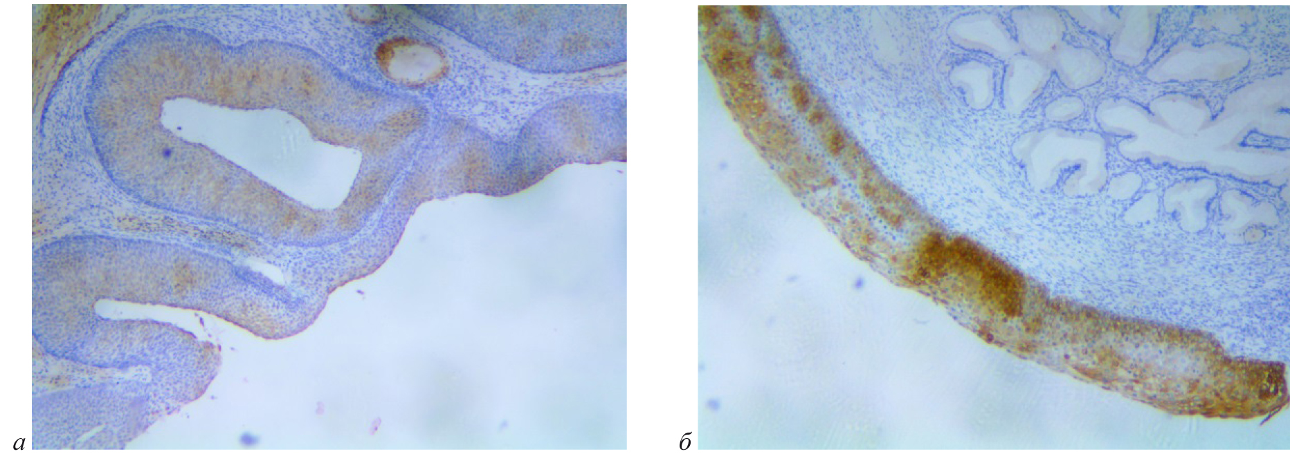
При HSIL/CIN-3, обнаруженной в 10 (62,5 %) образцах, сопряженной с ВПЧ высокого онкогенного риска, отмечалась равномерная умеренная диффузная экспрессия СК-7 с максимальным значением ИЭ (1,4 усл. ед.), с поражением всей толщи эпителиального пласта, а также умеренная экспрессия СК-7 в очагах эндоцервикоза (ИЭ 1,5 усл. ед.), (см. рис. а).
При HSIL/CIN-3, обнаруженной в 10 (62,5 %) образцах, сопряженной с ВПЧ высокого онкогенного риска, отмечалась равномерная выраженная диффузная экспрессия цитокератина-14 с максимальным значением ИЭ (2,85 усл.ед.), с поражением всей толщи эпителиального пласта, а также выраженная экспрессия СК-14 в очагах эндоцервикоза (ИЭ 2,85 усл. ед.), (см. рис. б).
Динамика индекса экспрессии СК-7 и СК-14 в многослойном плоском неороговевающем эпителии эктоцервикса и очагах эндоцервикоза с цервикальной интраэпителиальной неоплазией легкой, умеренной и тяжелой степени тяжести, с учетом наличия ВПЧ и в группе сравнения (М ± m)
Степень тяжести цервикальной интраэпителиальной неоплазии | Сопряженность патологии с ВПЧ | Структура шейки матки | |||
Эктоцервикс, усл. ед. | Очаги эндоцервикоза, усл. ед. | ||||
СК-7 | СК-14 | СК-7 | СК-14 | ||
Цервикальная интраэпителиальная неоплазия легкой степени тяжести (LSIL/CIN-1) | Группа сравнения (n = 20) Сопряженная с ВПЧ низкого онкогенного риска (n = 9) Сопряженная с ВПЧ умеренного онкогенного риска (n = 7) Сопряженная с ВПЧ высокого онкогенного риска (n = 3) | 0 0 0,20 ± 0,04 0,60 ± 0,04 | 0,05 0,15 ± 0,03 1,00 ± 0,06 1,30 ± 0,07 | 0 0 0,15 ± 0,03 0,20 ± 0,04 | 0,05 0,10 ± 0,03 0,40 ± 0,04 1,30 ± 0,07 |
Цервикальная интраэпителиальная неоплазия умеренной степени тяжести (HSIL/CIN-2) | Группа сравнения (n = 20) Сопряженная с ВПЧ умеренного онкогенного риска (n = 12) Сопряженная с ВПЧ высокого онкогенного риска (n = 6) | 0 0,35 ± 0,04 0,80 ± 0,05 | 0,05 1,20 ± 0,06 2,10 ± 0,15* (р = 0,07) | 0 0,25 ± 0,04 0,80 ± 0,05 | 0,05 1,10 ± 0,06 1,30 ± 0,07* (р = 0,02) |
Цервикальная интраэпителиальная неоплазия тяжелой степени (HSIL/CIN-3) | Группа сравнения Сопряженная с ВПЧ умеренного онкогенного риска (n = 6) Сопряженная с ВПЧ высокого онкогенного риска (n = 10) | 0 1,00 ± 0,06* (р = 0,03) 1,40 ± 0,07 | 0,05 2,40 ± 0,17* (р = 0,08) 2,85 ± 0,36 | 0 1,00 ± 0,06 1,50 ± 0,08 | 0,05 1,50 ± 0,08 2,85 ± 0,36 |
* р < 0,05 – достоверность различий средних величин в группе сравнения.
Рис. Иммуноэкспрессия цитокератина-7 и цитокератина-14 в эктоцервикле и очагах эндоцервикоза шейки матки при цервикальной интраэпителиальной неоплазии тяжелой степени, сопряженной с ВПЧ высокого онкогенного риска: а – высокий уровень экспрессии ЦК-7 при HSIL/CIN-3 в эктоцервиксе и очагах эндоцервикоза с поражением всей толщи эпителиального пласта (× 400); б – высокий уровень экспрессии ЦК-14 при HSIL/CIN-3 в эктоцервиксе с поражением всей толщи эпителиального пласта (× 400)
ЗАКЛЮЧЕНИЕ
Положительная экспрессия CК-7 и СК-14 наблюдалась во всех установленных случаях CIN, слабо выраженную при LSIL/CIN-1, однако стабильно положительную при инфицировании ВПЧ промежуточного и высокого онкогенного риска. Уровень экспрессии возрастал в процессе прогрессирования CIN, а также инфицированием ВПЧ умеренного и высокого онкогенного риска. Таким образом, мы наблюдаем стабильную положительную динамику между степенью тяжести CIN и инфицированием ВПЧ различного онкогенного риска, а также тенденцию к быстрому прогрессированию с возможностью трансформации в рак шейки матки на ранних этапах выявления. Данные критерии рекомендуется рассматривать в качестве дифференциально-диагностических с целью предупреждения возникновения плоскоклеточного рака шейки матки.
About the authors
A. V. Balabekov
Stavropol State Medical University
Email: balabekov@yandex.ru
ORCID iD: 0009-0009-8713-1161
Associate Professor of the Department of Pathological Anatomy, Candidate of Medical Sciences
Russian Federation, StavropolS. Z. Chukov
Stavropol State Medical University
Email: chukov@mail.ru
ORCID iD: 0000-0001-6074-4229
Head of the Department of Pathological Anatomy, Professor, Doctor of Medical Sciences
Russian Federation, StavropolO. S. Tuzhilina
Stavropol State Medical University
Author for correspondence.
Email: Olgatuzilina0313@gmail.com
ORCID iD: 0009-0004-2587-9215
Postgraduate student of the Department of Pathological Anatomy
Russian Federation, StavropolReferences
- Danilova N.V., Andreeva Yu.Yu., Zavalishina L.E. et al. Markers of apoptosis and cell cycle regulatory proteins in background and precancerous changes in the glandular epithelium of the cervix. Onkologiya. Zhurnal im. P.A. Gertsena = Oncology. Journal named after P.A. Herzen. 2013;2(1):12–16. (In Russ.).
- Zarochentseva N.V., Jijikhiya L.K., Nabieva V.N. et al. The importance of human papillomavirus genotyping in the diagnosis of precancerous lesions of the cervix. Rossiiskii vestnik akushera-ginekologa = Russian Bulletin of Obstetrician-Gynecologist. 2021;21(5):30–40. (In Russ.) doi: 10.17116/rosakush20212105130.
- David M., Gershenson M.D., Gretchen M. et al. Comperehensive gynecology. Diagnostic Pathology. 2017;12(1):18. doi: 10.1186/s13000-017-0609-4.
- Chung L.K., Egemen D.Ch., Xiaojian M.S. et al. 2019 ASCCP Consensus Guidelines for Risk Management: Risk Assessment Methods, Recommended Management, and Validation. Journal of Lower Genital Tract Diseases. 2020;24(2):90–101. doi: 10.1097/LGT.0000000000000528.
- Redman R., Rufforny I., Liu Ch. et al. The Utility of p16Ink4a in Discriminating Between Cervical Intraepithelial Neoplasia 1 and Nonneoplastic Equivocal Lesions of the Cervix. Archives of Pathology & Laboratory Medicine. 2008;132(5):795–799. doi: https://doi.org/10.5858/2008-132-795-TUOPID.
- Alva N.N., Shetty P., Mysorker V.A. Study of Cytokeratin-7 Expression and Clinicopathological Correlation in Dysplasia and Squamous Cell Carcinoma of the Cervix. Asian Pacific Journal of Cancer Prevention. 2022;23(3):885–891. doi: 10.31557/APJCP.2022.23.3.885.
- Babichenko I.I., Kovyazin V.A. New methods of immunohistochemical diagnostics of tumor growth: Textbook. Moscow; RUDN, 2008. 109 p. (In Russ.).
- Toshieva G.A. Expression of cytokeratin 7 by cervical epithelial cells in women with uterine fibroids. Molodoi uchenyi = Young scientist. 2017;43(177):92–99. (In Russ.) URL: https://moluch.ru/archive/177/46126 (accessed: 22.08.2023).
- Vasilevska D., Rudaitis V., Adamiak-Godlewska A. et al. Cytokeratin Expression Pattern in Human Endometrial Carcinomas and Lymph Nodes Micrometastasis: a Mini-review. Journal of Cancer. 2022;13(6):1713–1724. doi: 10.7150/jca.70550.
- Kashofer K., Reich O., Regauer S. Acquisition of Genetic Aberrations During the Progression of High-Grade Intraepithelial Lesions/Micro-Invasive Squamous Cancers to Widely Invasive Cervical Squamous Cell Cancer. Archives of Pathology & Laboratory Medicine. 2023;147(12):1438–1445. doi: 10.5858/arpa.2022-0310-OA.
- Gong H., Zhou H., McKenzie G.W. et al. An updated nomenclature for keratin-associated proteins (KAPs). International Journal of Biological Sciences. 2012;8(2):258–264. doi: 10.7150/ijbs.3278.
- Lee H., Lee H., Cho Y.K. Cytokeratin7 and cytokeratin19 expression in high grade cervical intraepithelial neoplasm and squamous cell carcinoma and their possible association in cervical carcinogenesis. Diagnostic Pathology. 2017;12(1):18. doi: 10.1186/s13000-017-0609-4.
- Grenko R.T., Abendroth C.S., Frauenhoffer E.E. et al. Variance in the interpretation of cervical biopsy specimens obtained for atypical squamous cells of undetermined significance. American Journal of Clinical Pathology. 2000;114(5):735–740. doi: 10.1309/K7C9-X5P0-001B-2HK5.
- Griesinger L.M., Szczepanski J.M., McMullen E.R. et al. Uncommon Cervical Lesions: A Review and Discussion of the Differential Diagnosis. Archives of Pathology & Laboratory Medicine. 2021;145(7):891–902. doi: https://doi.org/10.5858/arpa.2020-0327-RA.
- Banet N., Mao Q., Chu Sh. et al. Comparison of Human Papillomavirus RNA In Situ Hybridization and p16 Immunostaining in Diagnostically Challenging High-Grade Squamous Intraepithelial Lesions in the Background of Atrophy. Archives of Pathology & Laboratory Medicine. 2023;147(3):323–330. doi: 10.5858/arpa.2021-0426-OA.
- Churuksaeva O.N., Kolomiets L.A., Savenkova O.V. et al. Immunohistochemical factors in the prognosis of locally advanced cervical cancer. Tumors of the female reproductive system. 2012;3–4. (In Russ.) URL: https://cyberleninka.ru/article/n/immunogistohimicheskie-faktory-v-prognoze-mestno-rasprostranennogo-raka-sheyki-matki (accessed: 29.08.2023).
Supplementary files




