Соединение ДФ-5 замедляет развитие диабетической нефропатии у крыс
- Авторы: Спасов А.А.1,2, Жуковская О.Н.3, Ращенко А.И.1, Бригадирова А.А.1,2, Литвинов Р.А.1,2, Гурова Н.А.1, Смирнов А.В.1,2, Паньшин Н.Г.1, Аббас Х.С.3, Морковник А.С.3
-
Учреждения:
- Федеральное государственное бюджетное образовательное учреждение высшего образования «Волгоградский государственный медицинский университет» Министерства здравоохранения Российской Федерации
- Государственное бюджетное учреждение «Волгоградский медицинский научный центр»
- Научно-исследовательский институт физической и органической химии федеральное государственное автономное образовательное учреждение высшего профессионального образования «Южный федеральный университет»
- Выпуск: Том 10, № 6 (2022)
- Страницы: 549-561
- Раздел: ОРИГИНАЛЬНЫЕ СТАТЬИ
- URL: https://journals.eco-vector.com/2307-9266/article/view/352579
- DOI: https://doi.org/10.19163/2307-9266-2022-10-6-549-561
- ID: 352579
Цитировать
Аннотация
Конечные продукты гликирования играют важную роль в развитии осложнений сахарного диабета. По этой причине замедление образования поперечных сшивок гликированных белков, как предполагается, является потенциальным терапевтическим подходом к лечению и профилактике осложнений заболевания, связанных с поражением сосудов.
Цель. Оценка способности нового антисшивающего соединения ДФ-5 влиять на количество конечных продуктов гликирования и коллагена в почках, на массу тела, уровни глюкозы и гликированного гемоглобина, а также на развитие ранних проявлений поражения почек у крыс со стрептозотоциновым сахарным диабетом.
Материалы и методы. Работа проведена на 40 самцах крыс Sprague-Dawley. Через 2 месяца после индукции диабета исследуемое вещество вводили внутрижелудочно (12,5 мг/кг) 1 р/сут в течение 28 дней с помощью зонда. Определяли уровень глюкозы и гликированного гемоглобина в крови, оценивали функцию почек, а также проводили гистологическое и иммуногистохимическое исследования тканей почек.
Результаты. Регулярное внутрижелудочное введение ДФ-5 в течение 30 сут статистически значимо снижало уровень HbA1c в крови, но не влияло на уровень глюкозы в крови натощак. Соединение ДФ-5 существенно уменьшало протеинурию и предотвращало повреждение почек у экспериментальных животных за счет ограничения повреждений клубочков и канальцев. Было установлено, что соединение ДФ-5 замедляет повреждение почек на ранней стадии диабетической нефропатии, что сопровождается снижением количества конечных продуктов гликирования в ткани почек, улучшением их морфологической картины и функции.
Заключение. Полученные результаты открывают возможность для разработки дополнительного терапевтического подхода к лечению диабетической нефропатии и, возможно, других осложнений сахарного диабета.
Полный текст
Список сокращений: БСА – бычий сывороточный альбумин; ВКМ – внеклеточный матрикс; ГБМ – гломерулярная базальная мембрана; ДМСО – диметилсульфоксид; ИК – инфракрасная спектроскопия; ИФА – иммуноферментный анализ; КПГ – конечные продукты гликирования; Тпл – температура плавления; ЯМР – ядерный магнитный резонанс; IDF – Международная диабетическая федерация; HbA1c – гликированный гемоглобин.
ВВЕДЕНИЕ
Диабет является серьезным хроническим заболеванием, значимость которого определена его распространенностью в мире, затратами на лечение и последствиями для здоровья [1]. По оценкам Всемирной организации здравоохранения (ВОЗ)1, в 2014 г. в мире в общей сложности 422 млн взрослых людей были больны диабетом, а уже в 2019 г. оценочная смертность, связанная непосредственно с данным заболеванием, достигла 1,5 млн случаев. По данным Международной диабетической федерации (International Diabetes Federation – IDF), в 2021 году во всем мире насчитывалось около 537 млн человек с диабетом, что подтверждает высокую скорость распространения заболевания.
Диабет и его осложнения стремительно приобретают характер самой значимой причины заболеваемости и смертности в мире. В условиях хронической гипергликемии глюкоза и другие восстанавливающие сахара реагируют с белками в каскаде неферментативных реакций, образующих класс гетерогенных соединений, именуемых – конечные продукты гликирования (КПГ) [2, 3]. Некоторые КПГ представляют собой стабильные поперечные сшивки, образующиеся на многих крупных белках, таких как коллаген и эластин, на протяжении всего периода их существования, ковалентно модифицируя их структуру и нарушая функцию. По данным многих исследований, образование КПГ в долгоживущих компонентах соединительной ткани и внеклеточного матрикса является причинным фактором развития поздних осложнений диабета и возрастных заболеваний [4–10]. КПГ играют важную роль в патогенезе таких осложнений диабета, как нефропатия, нейропатия, ретинопатия, катаракта, кардиомиопатия. КПГ принимают участие в формировании иммунопатологий, неопластических заболеваний и атеросклероза [2, 11, 12].
При диабетической болезни почек КПГ могут накапливаться в гломерулярной базальной мембране (ГБМ), мезангиальных клетках, эндотелиальных клетках и подоцитах. Следовательно, КПГ играют важную роль в развитии и прогрессировании нефропатии, что в свою очередь приводит к формированию гломерулосклероза и тубулоинтерстициального фиброза [7]. Кроме этого, сильно гликированные белки устойчивы к разрушению протеасомными и лизосомальными протеолитическими системами [13]. Способность анти-КПГ агентов снижать уровень КПГ в тканях считается потенциально эффективным терапевтическим подходом к восстановлению эластичности внеклеточного матрикса (ВКМ) сосудов, а также к лечению сосудистых диабетических осложнений и предотвращению их прогрессирования.
В настоящем исследовании мы приводим усовершенствованную методику синтеза нового представителя антисшивающих агентов, 9-бензил-2-бифенилимидазо[1,2-а]бензимидазола (соединение ДФ-5, I), представляем результаты оценки его активности in vivo, а именно: влияние на уровни гликированного гемоглобина (HbA1c), массу тела, уровень глюкозы в крови и развитие ранних проявлений поражения почек у крыс с диабетом, вызванным стрептозотоцином. Активность этого нового антисшивающего агента in vivo была сопоставлена с активностью хорошо известного разрушителя КПГ-сшивок – соединения ALT-711 (алагебриум) [14].
ЦЕЛЬ. Оценка способности нового антисшивающего соединения ДФ-5 влиять на количество конечных продуктов гликирования и коллагена в почках, на массу тела, уровни глюкозы и гликированного гемоглобина, а также на развитие ранних проявлений поражения почек у крыс со стрептозотоциновым сахарным диабетом.
МАТЕРИАЛЫ И МЕТОДЫ
Материалы
Все химические вещества, использованные в настоящем исследовании, имели аналитическую чистоту и доступны для приобретения. Стрептозотоцин и 3,3’,5,5’-тетраметилбензидин были приобретены от Sigma-Aldrich (США); глюкоза приобретена от «Агат-Мед» (Россия); бычий сывороточный альбумин (БСА), фракция V – Biowest (Франция); диметилсульфоксид (ДМСО) был приобретен от Fisher Scientific (США); кроличьи поликлональные антитела к БСА и козьи вторичные антитела к кроличьим IgG были приобретены от Cloud-Clone (США); 10% нейтральный забуференный формалин, набор реактивов для окраски по Массону и гематоксилин были приобретены от «Модитех» (Россия); гомогенизированные парафиновые среды – от фирмы «Био Витрум» (Россия); кроличьи поликлональные антитела к КПГ были приобретены от Abcam (США); соединение ALT-711 было приобретено от Kailu Xingli Pharmaceutical Co., Ltd. (Китай).
Синтез 9-бензил-2-бифенилимидазо[1,2-а]бензимидазола (соединение ДФ-5)
Синтез соединения ДФ-5 (I·HCl) был проведен в Институте физической и органической химии Южного федерального университета (Ростов-на-Дону, Россия) из 2-амино-1-бензилбензимидазола (II).
ИК-спектры (ν/см–1) новых соединений регистрировали с применением спектрофотометра Varian Excalibur 3100 FT-IR (Varian, USA) для порошкообразных образцов, с применением метода ослабленного полного отражения; спектры 1Н ЯМР зарегистрированы с применением спектрометра Bruker Avance 600 (Германия). Химические сдвиги для 1H даны в виде значений δ в миллионных долях (ppm) относительно сигналов остаточных протонов дейтерированного растворителя ДМСО-d6 и CDCl3 (δ 2,49 и 7,24 соответственно), а константы связи выражены в герцах (Гц). Температуры плавления определяли с применением Fisher-Johns Melting Point Apparatus (Fisher Scientific, США). Элементный анализ проводили классическим методом [15]. Ход реакции и чистоту полученных соединений контролировали методом тонкослойной хроматографии (ТСХ) (пластины с Al2O3 III степени активности, элюент CHCl3, визуализация парами йода во влажной камере).
2-Имино-3-[(2-бифенил-4-ил)-2-оксоэтил)]-1-бензилбензимидазолина гидробромид (III). К горячему раствору 2,23 г 2-аминобензимидазола II (10 ммоль) в 65 мл MeCN добавляли 4-(бромацетил)бифенил (2,75 г, 10 ммоль). Смесь перемешивали до растворения кватернизирующего реагента, затем нагревали до завершения образования осадка и выдерживали 6–8 ч при комнатной температуре. После этого осадок соли III отфильтровывали и тщательно промывали ацетоном. Выход 94%, Т.пл. 254–256°С. ИК, ν/см-1: 3207, 3240 (NH2), 1687 (С=О). Установлено: C 67,47; H, 4,85; Br, 16,03; N, 8,43%. Элементный анализ для C28H24BrN3O: С 67,45; Н, 4,88; Br, 16,00; Н, 8,39%. 1Н ЯМР (600 МГц, ДМСО-d6), δ: 5,57 (s, 2Н, СH2CO); 6,07 (s, 2H, NBzmCH2); 7,30–7,36 (m, 5H, 5,6-HBzm + 3HPh); 7,40–7,48 (m, 3Н, 2HPh + 1HBiph); 7,51–7,55 (m, 3Н, 7-HBzm +2HBiph); 7,67–7,68 (m, 1Н, 4-HBzm); 7,81 (d, 2Н, 2HBiph, J 7,2 Гц); 7,97 (d, 2Н, HBiph, J 8,4 Гц); 8,19 (d, 2Н, HBiph, J 8,4 Гц); 9,06 (s, 2H, N+H2).
9-Бензил-2-(бифенил-4-ил)-9Н-имидазо[1,2-а]бензимидазол (I). Смесь 2 г (4,0 ммоль) бромида II, 0,89 г тонкоизмельченного Na2CO3, 40 мл EtOH и 9 мл воды кипятили до завершения реакции (20–25 ч). Затем из реакционной смеси отгоняли спирт, добавляли воду (25–30 мл), продукт отфильтровывали и сушили на воздухе. Полученное основание очищали колоночной хроматографией на Al2O3, CHCl3 использовали в качестве элюента, собирали фракцию с Rf=0,9. После выпаривания растворителя остаток перекристаллизовывали из ДМФА. Получали 1,3 г (81%) соединения I.
Смесь 2,0 г (4 ммоль) амина III и 0,33 г (4 ммоль) свежерасплавленного ацетата натрия кипятили в ледяной уксусной кислоте (5 ч), контролируя полноту реакции тонкослойной хроматографией. Затем реакционную массу охлаждали до комнатной температуры, отфильтровывали осадок имидазо[1,2-а]бензимидазола (I), промывали водой и сушили при 85°С. Выход 1,5 г (92%), Т.пл. 228–229°С. ИК, ν/см-1: 1513, 1617 (С=С), 1664 (С=N). Установлено: С 84,21; Н, 5,38; Н, 10,46%. Элементный анализ для C28H21N3: С 84,10; Н, 5,30; Н, 10,52%. 1H ЯМР (600 МГц), δ: 5,76 (s, 2H, CH2); 7,29–7,53 (m, 10Н, 5HPh, 6,7-HBzm +3HBiph), 7,76 (d, 2Н, HBiph, J = 7,9 Гц), 7,84 (d, 2Н, 5,8-НBzm, J = 8,3 Гц) , 7,97 (d, 1Н, НAr, J 7,8 Гц), 8,03 (d, 2Н, НAr, J 8,3 Гц); 8,64 (s, 1H, 3-H).
Гидрохлорид 9-бензил-2-(бифенил-4-ил)-9H-имидазо[1, 2-a]бензимидазола (ДФ-5). Соединение получали обработкой имидазо[1,2-а]бензимидазола I конц. HCl. Выход 93%, Т.пл. 237–238°С. ИК, ν/см-1: 1512, 1614 (С=С), 1663 (С=N). Установлено: C, 77,11; H, 5,13; Cl, 8,08; N, 9,58%. Элементный анализ для C28H21N3• HCl: C, 77,14; H, 5,09; Cl 8,13; N, 9,64%.
Расщепление в условиях in vitro комплексов «КПГ-БСА-коллаген»
Способность ДФ-5 расщеплять предварительно сформированный комплекс КПГ-БСА-коллаген проверяли методом иммуноферментного анализа (ИФА) [16], с незначительными модификациями. Детально методика описана в RU 2627769 С1, Россия (2017) [17].
Коллаген экстрагировали из крысиных хвостов 0,1% (вес/объем) раствором уксусной кислоты в течение 7 сут, затем центрифугировали (8000 g, 10 мин) для осаждения нерастворившихся фрагментов. Полученный гель использовали для покрытия лунок планшета. Для получения гликированного БСА (БСА-КПГ) раствор БСА (50 мг/мл) инкубировали с глюкозой (0,5 М) в фосфатном буферном растворе в течение 3-х мес. В лунки планшета добавляли БСА-КПГ и проводили инкубацию при 37°C в течение 4 ч для образования поперечных связей (комплексы КПГ-БСА-коллаген). Растворы ДФ-5 или ALT-711 добавляли в лунки планшета после инкубации, затем планшет инкубировали вновь при 37°C в течение 16 ч. После промывки в лунки планшета добавляли 80 мкл/лунка кроличьих антител к БСА (1:500) и планшет инкубировали в течение 50 мин при 37°С. После следующей промывки добавляли 80 мкл/лунка меченных пероксидазой хрена козьих антикроличьих вторичных антител IgG (1:1000) и инкубировали в течение 50 мин при 37°С, затем добавляли по 100 мкл/лунка субстрата 3,3›,5,5’-тетраметилбензидина. После 20 мин инкубации в темноте при комнатной температуре реакцию останавливали с применением раствора кислоты серной 2М. Оптическую плотность проб определяли при длине волны 450 нм с помощью микропланшетного ридера Infinite M200 Pro (Tecan, Австрия).
При оценке активности каждого соединения были сформированы 4 группы данных: 1) гликированный БСА + коллаген, 2) гликированный БСА + коллаген + исследуемое соединение, 3) негликированный БСА + коллаген, 4) негликированный БСА + коллаген + исследуемое соединение. Для минимизации интерференции из-за неспецифической адгезии БСА на коллагеновую матрицу из результатов проб, содержащих гликированный БСА, были вычтены результаты проб соответствующего состава, содержащих негликированный БСА.
Животные
Эксперименты на животных проводились в соответствии со стандартами, установленными законодательством Российской Федерации (ГОСТ Р 33044-2014 и ГОСТ Р 33647-2015) и техническими стандартами надлежащей лабораторной практики EASC. Исследование было одобрено локальным комитетом по этике научных исследований (Волгоград, Россия) [регистрационный номер: IRB 00005839 IORG 0004900 (OHRP)] от 5 июня 2015 г. (протокол № 2016-2015).
Самцы крыс Sprague-Dawley (возраст 5–6 недель, масса тела 200–230 г) были приобретены в ООО «НИЦ БМТ», (Москва, Россия). Животные находились в виварии ФГБОУ ВО ВолгГМУ Минздрава России. Адаптацию животных к условиям содержания проводили в помещении с 12/12-часовым циклом свет/темнота при температуре окружающей среды 25°С в течение 2 недель после доставки. До начала исследования животные имели свободный доступ к пище и воде.
Моделирование сахарного диабета крыс
Диабет у крыс моделировали путем однократной внутрибрюшинной инъекции стрептозотоцина (65 мг/кг в цитратном буфере, рН 4,5) после ночного голодания. Процедуру моделирования выполнили на 40 животных. Животным из группы недиабетического контроля вводили цитратный буфер (n = 10). Через 3 сут после инъекции стрептозотоцина только крысы с тощаковым уровнем глюкозы в крови, превышающим 15 ммоль/л, были классифицированы как диабетические и включались в исследование (n=30). Животные, не достигшие этого критерия, были исключены из текущего эксперимента (n=10). Пять крыс с развившимся диабетом погибли в течение следующих 2-х мес после введения стрептозотоцина (до начала разделения на группы и лечения).
Выбор эффективной дозы (12,5 мг/кг) для ALT-711 и ДФ-5 был основан на результатах экспериментальных исследований ALT-711 на различных животных моделях осложнений сахарного диабета [18-20]. Через два месяца после развития диабета животные с экспериментальной патологией (n=24) были случайным образом разделены на три группы: контрольная группа с диабетом без лечения (получала дистиллированную воду, 5 мл/кг внутрижелудочно) и две опытные группы, получавшие либо ДФ-5, либо ALT-711 (12,5 мг/кг соответствующего соединения, растворенного в дистиллированной воде, 5 мл/кг внутрижелудочно). Для достижения равных объемов групп (8 животных в группе) до начала лечения из исследования были исключены 3 объекта (2 крысы без диабета и 1 крыса с диабетом). В течение 4-недельного периода лечения введение соединений осуществляли через внутрижелудочный зонд 1 р/сут утром (спустя 1 ч после включения света). Группа здоровых животных, не получавших лечения, находилась в таких же условиях, включая манипуляции с введением (дистиллированная вода, 5 мл/кг). У всех животных периодически определяли уровень глюкозы в крови и масса тела. Общее время, отведенное на исследование, составляло более 12 недель.
Биохимические исследования
Уровень глюкозы в крови измеряли с помощью глюкометра (Glucocard, Arkray, Япония) после забора образцов крови из хвостовой вены. Концентрацию HbA1c определяли в конце исследования с помощью набора Diabet-Test Assay Kit (HbA1c) (ООО «Фосфосорб», Россия) согласно инструкции производителя.
Определение функции почек
Функцию почек оценивали в конце исследования путем измерения суточного диуреза, общей концентрации белка в моче и его экскреции. В ходе забора материала крыс помещали в метаболические камеры («Открытая наука», Россия) для сбора суточной мочи. Общий белок мочи определяли с помощью соответствующего набора для анализа – Общий белок-ПК-Витал (Кат. № Б 06.03, ОАО «Витал Девелопмент Корпорэйшн», Россия) согласно инструкции производителя.
Гистологические и иммуногистохимические исследования почек
По окончании эксперимента животных декапитировали (предварительно наркотизировав хлоралгидратом, 400 мг/кг внутрибрюшинно). Почки удаляли, образцы коркового и мозгового вещества почек фиксировали в течение 24 ч в 10% (масса/объем) нейтральном забуференном формалине и заливали в парафин. Срезы толщиной 3–5 мкм окрашивали трихромом по Массону для оценки гломерулосклеротических изменений и отложений соединительной ткани. Другие фиксированные формалином срезы почек помещали на предметные стекла и окрашивали с применением кроличьих поликлональных антител к КПГ в соответствии с инструкциями производителя. После протекания иммунологической реакции ткани окрашивали гематоксилином. Визуализация выполнялась с помощью микроскопа Axiostar Plus (Carl Zeiss Microscopy GmbH, Германия) и цифровой камеры Axiocam 105 Color (Carl Zeiss Microscopy GmbH, Германия). Изображения анализировали с помощью программного обеспечения Zeiss Zen Pro 2012 (Carl Zeiss Microscopy GmbH, Германия). Результаты выражали как процент площади с положительным окрашиванием.
Статистический анализ
Статистический анализ проводили с помощью программы GraphPad Prism 6.0 (GraphPad Software, Inc., США). Данные анализировали с применением ANOVA с пост-тестом Тьюки (множественное сравнение с контрольной группой), предварительную проверку нормальности распределения данных проводили с применением критерия Шапиро-Уилка. Уровень p≤0,05 считался пороговым при определении статистической значимости. Данные представлены как среднее значение ± стандартная ошибка среднего (M+SD).
РЕЗУЛЬТАТЫ
Химический синтез
Соединение I синтезировано из 2-амино-1-бензилбензимидазола (III) в ходе последовательных реакций, изображенных на рисунке 1, как описано ранее [21], но с дополнительной модификацией стадии 2. На первой стадии амин III кватернизовали с применением эквимолярного количества 4-(бромацетил)бифенила (MeCN, комнатная температура, 6–8 ч) с получением выхода соли III. Затем на завершающей стадии эту соль подвергли циклизации в среде MeCOOH (кипячение, 5 ч) в присутствии ацетата натрия. Выход соединения I составил 92%, что значительно больше, чем при циклизации соли III в водн./EtOH среде [21], а время реакции в этом случае значительно меньше. Отметим, что при кипячении ДМФА циклизация протекает еще быстрее (15–20 мин), но с низким выходом.
Рисунок 1 – Схема синтеза гидрохлорида 9-бензил-2-бифенилимидазо[1,2-а]бензимидазола (соединение ДФ-5)
Разрушение комплексов КПГ-БСА-коллаген, предварительно сформированных in vitro
Было установлено, что соединение ДФ-5 проявляет выраженную антисшивающую активность в отношении предварительно сформированных поперечных сшивок, стабилизирующих комплекс КПГ-БСА-коллаген (IC50=0,31 мМ), что в 6 раз превосходит соответствующую активность соединения ALT-711 (Рис. 2) (IC50=1,89 мМ). Способность соединения ALT-711 разрушать поперечные сшивки была многократно описана, хотя механизм действия до настоящего времени не установлен. Более подробное описание активности соединения ДФ-5 дано в патенте RU 2627769 С1, Россия (2017) [17]. Мы отмечаем, что на основании описанного эксперимента нельзя предположить точный механизм воздействия соединения на преформированные комплексы, поэтому мы называем соединение ДФ-5 «антисшивающим агентом», а не «разрушителем поперечных сшивок».
Рисунок 2 – Химическая структура соединения ALT-711 (алагебриум)
В дизайне эксперимента учтена поправка на интерференцию, связанную с неспецифической адгезией БСА к поверхности коллагеновой матрицы и к пластику планшета. По этой причине мы полагаем, что установленная активность соединений ДФ-5 и ALT-711 связана именно с действием на определенный комплекс, образующийся в результате взаимодействия продуктов гликирования на альбумине с аминокислотными остатками негликированного коллагена. Именно этот комплекс, мы полагаем, и позволяет закрепить альбумин на коллагеновой матрице и является мишенью для действия соединений.
Циклические катионы бета-кетоиминия хорошо подходят на роль продуктов, реагирующих на стороне альбумина и быстро образующих поперечную связь с аминокислотными остатками коллагена. Такие ионы являются результатом циклизации глюкозона или пентозона Ледерера. Реагируя со свободной гуанидиновой группой аргинина, они способны в несколько стадий образовывать глюкозепан или пентозидин. Возможно, что упомянутые глюкозон и пентозон Ледерера, а также предшествующие им продукты Амадори также важны для образования комплексов, фиксирующих БСА на коллагеновом матриксе, но их вклад еще предстоит установить.
Оценка массы тела животного
В конечной точке исследования средняя масса тела у животных с диабетом была значительно ниже (p≤0,05), чем у крыс без диабета (табл. 1). Крысы с диабетом, получавшие соединения ДФ-5 и ALT-711, показали небольшой прирост массы тела по сравнению с больными животными без лечения, но разница была статистически значимой только в случае крыс с диабетом, получавших ДФ-5.
Таблица 1 – Масса тела, уровень глюкозы в крови, уровень HbA1c и смертность, наблюдаемые в конечной точке исследования в группах крыс без диабета (ND), крыс с диабетом (D), а также крыс с диабетом, получавших или не получавших соединения ДФ-5 или ALT-711
Опытная группа | Масса тела (g) | Глюкоза крови (ммоль/л) | HbA1c (%) | Смертность |
ND + растворитель | 455,25±17,82 | 5,37±0,18 | 6,42±0,49 | 0/8 |
D + растворитель | 323,80±18,75a | 26,83±1,14a | 19,77±0,08a | 3/8 |
D + ДФ-5 (12,5 мг/кг) | 358,00±32,35 | 27,93±0,95a | 11,46±1,39ab | 2/8 |
D + ALT-711 (12,5 мг/кг) | 335,83±20,80 | 25,78±0,43a | 12,30±1,88ab | 2/8 |
Примечание: a – p≤0,05 при сравнении со здоровыми крысами (ND); b – p≤0,05 при сравнении с диабетическими крысами, не получавшими лечения (D).
Уровень глюкозы крови
По сравнению с недиабетическими крысами, животные с сахарным диабетом имели значительно более высокий уровень глюкозы в крови, равно как и уровень HbA1c (табл. 1; p≤0,05). Повышенное содержание HbA1c, наблюдаемое у животных с диабетом, было почти на 40% устранено в группах, получавших лечение как соединением ДФ-5, так и ALT-711 (табл. 1; p≤0,05). В то же время введение указанных соединений приводило лишь к незначительному снижению концентрации глюкозы в крови, не имевшему статистической значимости.
Оценка функции почек и их гистологическое исследование
В результате исследования установлено, что у животных с диабетом наблюдалось увеличение объема мочи и повышение количества отделяемого общего белка (p≤0,05 по сравнению с контрольной группой животных без диабета; табл. 2). В то же время соединения ДФ-5 и ALT-711 статистически значимо предотвращали повышение концентрации общего белка в моче по сравнению с животными без лечения (≈50%, p≤0,05), при этом не влияли на объем отделяемой мочи (табл. 2).
Таблица 2 – Показатели функции почек и экскреции белка, наблюдаемые в конечной точке исследования в группах крыс без диабета (ND), крыс с диабетом (D), а также крыс с диабетом, получавших или не получавших соединения ДФ-5 или ALT-711
Опытная группа | Объем отделяемой мочи (мл/сут) | Концентрация общего белка в моче (г/л) | Экскреция общего белка с мочой (мг/сут) |
ND + растворитель | 15,00 ± 1,54 | 0,017 ± 0,004 | 0,26 ± 0,08 |
D + растворитель | 23,20 ± 1,62a | 0,058 ± 0,005a | 1,32 ± 0,08a |
D + ДФ-5 (12.5 мг/кг) | 21,83 ± 1,58a | 0,025 ± 0,007ab | 0,59 ± 0,21ab |
D + ALT-711 (12.5 мг/кг) | 22,83 ± 4,15a | 0,033 ± 0,005ab | 0,72 ± 0,13ab |
Примечание: a – p≤0,05 при сравнении со здоровыми крысами (ND); b – p≤0,05 при сравнении с диабетическими крысами, не получавшими лечения (D).
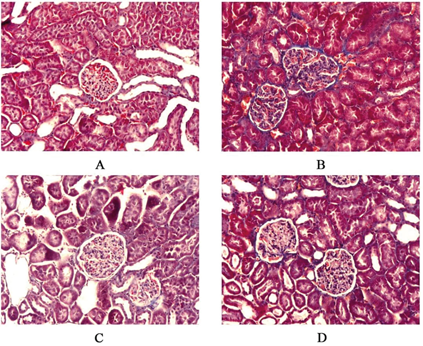
Гистологическое исследование животных с сахарным диабетом позволило выявить повреждения тканей почек. Характерным для диабета является прогрессирующее поражение клубочков и канальцев нефронов. В почках диабетических крыс, в сравнении со здоровым контролем, были выявлены значительные морфологические изменения (Рис. 3). В клубочках нефронов наблюдали утолщение ГБМ и экспансию мезангиального матрикса. Утолщение ГБМ было распространенным, степень выраженности экспансии мезангиального матрикса градировалась от лёгкой до умеренной и провоцировала сужение просветов капилляров. По сравнению с контрольными животными, не страдающими диабетом, средняя площадь клубочков была немного уменьшена, но различия не носили характер статистически значимых. В то же время средняя и относительная площади клубочковой соединительной ткани в группе животных с сахарным диабетом были значительно увеличены, в 4,8 и в 5,8 раз соответственно (табл. 3; p≤0,05). Лечение диабетических животных соединением ДФ-5 или ALT-711 значительно уменьшало степень повреждения клубочков (Рис. 3). Средние относительные площади гломерулярной соединительной ткани, наблюдаемые у крыс со стрептозотоциновым диабетом, получавших либо соединение ДФ-5, либо ALT-711, были статистически значимо ниже (p≤0,05), в 1,6 и 2,3 раза соответственно, в сравнении с диабетическими животными, не получавшими лечения (табл. 3).
Рисунок 3 – Гистологическая картина клубочков. Изменения в тканях почек, вызванные сахарным диабетом, а также эффект от лечения соединениями ДФ-5 или ALT-711
Примечание: окраска трихромом по Массону: (A) здоровый контроль, (B) животные с сахарным диабетом без лечения, (C) диабет + соединение ALT-711 и (D) диабет + соединение ДФ-5. Увеличение ×100
Таблица 3 – Морфометрический анализ повреждений клубочков в срезах почек, окрашенных трихромом по Массону, проведенный у крыс без диабета (ND) и с диабетом (D), а также крыс с диабетом, получавших или не получавших соединения ДФ-5 или ALT-711
Опытная группа | Общая клубочковая площадь (мкм2) | Площадь клубочковой соединительной ткани (мкм2) | Относительная площадь клубочковой соединительной ткани (٪) |
ND + растворитель | 14885,17±1932,23 | 695,92±195,25 | 4,6 |
D + растворитель | 12572,63±1015,25 | 3356,46±1871,64a | 26,7a |
D + ДФ-5 (12.5 мг/кг) | 14753,21±975,23 | 2397,29±832,43 | 16,2b |
D + ALT-711 (12.5 мг/кг) | 13968,94±856,26 | 1640,38±543,19 | 11,7b |
Примечание: a – p≤0,05 при сравнении со здоровыми крысами (ND); b – p≤0,05 при сравнении с диабетическими крысами, не получавшими лечения (D).
Уровень КПГ в тканях почек
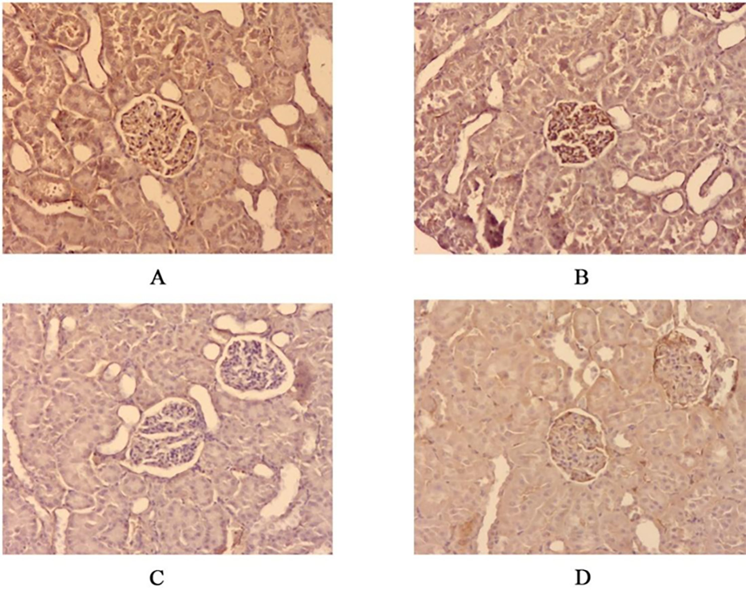
Иммуногистохимическое окрашивание КПГ показало, что в клубочках нефронов крыс с диабетом наблюдается более выраженное распространение антиген-позитивного материала по сравнению с материалом контрольных крыс без диабета. Интенсивность окрашивания была менее выражена в тканевом материале животных с сахарным диабетом, получавших лечение соединениями ДФ-5 или ALT-711 (Рис. 4). Средние относительные площади антиген-позитивного материала в клубочках диабетических животных, получавших либо соединение ДФ-5, либо ALT-711, были статистически значимо ниже, чем в группе животных без лечения (p≤0,05), в 1,6 и 1,8 раз соответственно (табл. 4).
Рисунок 4 – Влияние соединений ДФ-5 и ALT-711 на накопление КПГ в почках, вызванное сахарным диабетом
Примечание: Иммуногистохимическое окрашивание КПГ в почках: (A) контроль без диабета, (B) животные с диабетом без лечения, (C) диабет + соединение ALT-711 и (D) диабет + соединение ДФ-5. Увеличение ×100
Таблица 4 – Иммуногистохимическое окрашивание КПГ в почках, проведенное в конечной точке исследования у крыс без диабета (ND) и с диабетом (D), а также крыс с диабетом, получавших или не получавших соединения ДФ-5 или ALT-711
Опытная группа | Общая клубочковая площадь (мкм2) | Площадь клубочкового КПГ-позитивного материала (мкм2) | Относительная площадь клубочкового КПГ-позитивного материала (٪) |
ND + растворитель | 15287,35 ±1759,13 | 1634,04 ± 759,17 | 10,68 |
D + растворитель | 12121,19 ±1234,57 | 3746,13 ±1098,73 | 30,90a |
D + ДФ-5 (12.5 мг/кг) | 12982,17 ±971,56 | 2471,09± 658,81 | 17,48b |
D + ALT-711 (12.5 мг/кг) | 13106,82 ± 1346,49 | 2117,85 ± 732,43 | 19,03b |
Примечание: a – p ≤0,05 при сравнении со здоровыми крысами (ND); b – p≤0,05 при сравнении с диабетическими крысами, не получавшими лечения (D).
ОБСУЖДЕНИЕ
Гликирование белков и образование КПГ играют важную роль в патогенезе поздних осложнений сахарного диабета, таких как ретинопатия, нефропатия, нейропатия, кардиомиопатия, а также ревматоидного артрита, остеопороза и старения [2]. Гликирование и поперечное сшивание белков не только приводит к снижению эластичности сосудов, но и влияет на структурную целостность и физиологические функции внутренних органов.
Гликирование представляет собой стадийный процесс, включающий образование гемиаминалей, оснований Шиффа, енаминолов, продуктов Амадори, ендиолов, глюкозонов (или пентозона) Ледерера, которые затем подвергаются внутримолекулярной конденсации между аминогруппой и концевой альдегидной группой, что дает положительно заряженные кольцевые продукты – циклические бета-кетоиминиевые ионы (6- или 7-членные) [2, 22]. Последние, реагируя с гуанидиновой группой аргинина, образуют сложные и стабильные поперечные сшивки, такие как глюкозепан или пентозидин. Помимо этого, ранние продукты гликирования способны распадаться на карбонильные соединения (метилглиоксаль, глиоксаль и др.), которые образуют другие виды сшивающих КПГ, такие как MOLD и GOLD [22]. Для всех КПГ характерна высокая стабильность.
Диабетическую нефропатию определяют как прогрессирующее на фоне диабета снижение скорости клубочковой фильтрации, сопровождающееся протеинурией и другими осложнениями со стороны почек [2]. В отношении почек отмечаются гликирование и активация каскада комплемента через распознавание гликированных белков маннан-связывающим лектином и/или дисфункция регуляторных белков комплемента [23], активация сигнальных каскадов рецепторов к КПГ и т.д. [24]. Ключевые события в ГБМ, мезангиальном и тубулоинтерстициальном матриксе, напрямую или опосредованно связаны с гликированием: увеличение количеств коллагена типов IV и VI, усиление гликирования коллагена IV, интенсификация поперечного сшивания в коллагене IV, увеличение количеств ламинина и фибронектина, увеличение количества коллагена типа I и т. д. [25]. Наблюдаются экспансия мезангиального матрикса и утолщение ГБМ, повреждение подоцитов, гломерулосклероз и почечный фиброз [26–28].
Считается, что разрушение образовавшихся в почках КПГ посредством применения разрушителя поперечных сшивок, такого как соединение ALT-711, может обеспечить нефропротекцию в условиях диабета. Forbes J.M. и соавт. (2001) представляли соединение ALT-711 как потенциально способное стать новой основой для терапии диабетической нефропатии. Применение ALT-711 с 16-й по 32-ю неделю исследования способно улучшить как состояние функциональных параметров почек (альбуминурия), так и маркеров структурного повреждения, в том числе гломерулосклероза, тубулоинтерстициального повреждения и окислительного стресса [29].
Механизм действия при разрыве поперечных сшивок окончательно не выяснен. Согласно первоначальным предположениям, выдвинутым для аналога соединения ALT-711 – фенилтиазолия бромида [16], механизм его действия включает разрыв С–С связи между двумя соседними карбонильными группами. Однако КПГ, содержащие подобный 1,2-дикарбонильный фрагмент, в условиях эксперимента установлены не были, хотя разрыв поперечных сшивок был доказан экспериментально, иммунологически, с применением антител к тому или иному из двух сшитых белков [30–33]. Следует отметить, что такая С–С связь, расположенная между двумя соседними карбонильными группами, присутствует в некоторых ранних продуктах гликирования [22]. Кроме того, имеются убедительные данные из экспериментов in vivo, демонстрирующие положительный эффект соединения ALT-711 в условиях диабетической нефропатии [34, 35]. Несмотря на убедительные доказательства активности разрушителей поперечных КПГ-сшивок в условиях диабетической нефропатии, концепция непосредственного разрушения в целостном организме является спорной [36]. Механизм антисшивания теоретически может быть реализован за счет гидролиза, путем расщепления незрелых поперечных сшивок, образующихся на ранних стадиях процесса сшивания (антисшивающая активность), а также посредством инактивации ранних продуктов гликирования.
Можно предположить, что в условиях целостного организма механизм действия связан с инактивацией промежуточных предварительно сшитых электрофильных продуктов гликирования и дериватов глюкозы, существующих как в виде аддуктов, так и свободных соединений. Их структура аналогична структуре теоретической дикарбонильной сшивки, которая так и не была обнаружена [14, 16]. К таким продуктам могут относиться основания Шиффа, карбонильные соединения, аддукты α-оксоальдегидов, расположенные на белках и др. Для α-оксоальдегидов доказано их участие в образовании поперечных сшивок, а именно: 2-аммонио-6-({2-[(4-аммонио-5-оксидо-5-оксопентил)амино]-4,5-дигидро-1H-имидазол-5-илиден}амино)гексаноат (GODIC), 2-аммонио-6-({2-[(4-аммонио-5-оксидо-5-оксопентил)амино]-4-метил-4,5-дигидро-1H-имидазол-5-илиден}амино)гексаноат (MODIC), глюкозепан [37, 38] и многих других. Следующий важный продукт – циклический b-кетоиминиевый ион, обладающий электрофильными свойствами [22] и образующий при взаимодействии с гуанидиновой группой в одну стадию пентозинан, в две стадии пентозидин (если кольцо b-кетоиминиевого иона было 6-членным) или глюкозепан (если это кольцо было 7-членным).
Возможность разрушения ранних аддуктов α-оксоальдегида разрывателями поперечных сшивок уже описана [39] с использованием модели гликирования аполипопротеина A-I метилглиоксалем в присутствии соединения ALT-711. Данный механизм обсуждался как возможный для разрушителей поперечных сшивок в работе Kim T. и соавт. [40], а возможность прямого связывания метилглиоксаля (представителя α-оксоальдегидов) соединением ALT-711 рассмотрена там же [40].
Таким образом, предлагаемая гипотеза о механизме действия разрушителей поперечных сшивок предполагает их способность производить нуклеофильные атаки на электрофильные интермедиаты гликирования и ранние продукты сшивания (антисшивающая активность). Детальный молекулярный механизм требует уточнения, но, учитывая нуклеофильность ДФ-5 и ALT-711, это является возможным.
Исследование in vivo было проведено для проверки способности соединения ДФ-5 предотвращать развитие ранней стадии диабетической болезни почек у крыс в условиях диабета, индуцированного стрептозотоцином. Объект исследования, как и эталон ALT-711, экспериментальным животным вводили внутрижелудочно в течение 30 cут. На протяжении всего исследования уровень глюкозы в крови крыс с диабетом составлял не менее 15 ммоль/л, что способствовало развитию диабетических сосудистых осложнений. В конце исследования мы оценили и сопоставили результаты оценки массы тела животных, уровни глюкозы и HbA1c в крови, а также функцию почек и гистологическую картину их тканей в группах здоровых крыс, крыс с диабетом, а также крыс с диабетом, получавших соединения ДФ-5 или ALT-711. Регулярное внутрижелудочное введение ДФ-5 статистически значимо снижало уровень HbA1c в крови, но не влияло на уровень глюкозы натощак. Этот факт, вероятно, указывает на способность ДФ-5 действовать так, как предполагалось выше – разрушать продукты, образующиеся на ранних стадиях гликирования, в том числе так называемые продукты Амадори (HbA1c имеет структуру продуктов такого типа) [41]. Согласно ранее упомянутой гипотезе о механизме действия разрушителей поперечных КПГ-сшивок, такие агенты могут быть способны отщеплять глюкозу из ее обратимых аддуктов с белками (основания Шиффа и/или продукты Амадори) [42].
Настоящее исследование продемонстрировало возможность соединения ДФ-5 предотвратить диабетическкую нефропатию у крыс с диабетом, вызванным стрептозотоцином. Как и ожидалось, диабет с течением времени индуцировал увеличение протеинурии. Соединение ДФ-5 существенно уменьшало протеинурию и предотвращало повреждение почек у экспериментальных животных за счет ограничения повреждений клубочков и канальцев. Подобный эффект был также описан для ALT-711 [43]. Замедленный прирост количества соединительной ткани и пониженный уровень КПГ в почках по сравнению с контрольной группой животных, вероятно, являются характерными свойствами антисшивающих агентов.
Накопление КПГ при диабете связано с усиленным образованием в почках компонентов внеклеточного матрикса, и раннее вмешательство в этот процесс может улучшить долгосрочные функциональные и структурные особенности диабетической нефропатии. В этом исследовании накопление КПГ в почках увеличивалось при диабете и уменьшалось при лечении соединением ДФ-5.
ЗАКЛЮЧЕНИЕ
Подводя итог, мы представили данные о новом антисшивающем агенте, соединении ДФ-5. Однако для выяснения точного механизма действия соединения требуются дальнейшие исследования. ДФ-5 (12,5 мг/кг) ингибирует прогрессирование почечной дисфункции у крыс с диабетом, индуцированным стрептозотоцином, на раннем этапе патологии. В условиях экспериментальной диабетической нефропатии это соединение улучшает состояние как функциональных, так и морфологических параметров. Наблюдаемые улучшения были ассоциированы со сниженным накоплением КПГ в почках. Эти результаты предоставляют исследователям дополнительные возможности для лечения диабетической нефропатии и, возможно, других осложнений диабета.
ФИНАНСОВАЯ ПОДДЕРЖКА
Химическая часть исследования выполнена в Институте органической и физической химии ФГАОУ ВПО «Южный федеральный университет» при финансовой поддержке Министерства науки и высшего образования Российской Федерации в рамках государственного задания, грант ФЕНВ-2020-0031 (0852-2020-0031). Биологическая часть исследования проведена при финансовой поддержке Российского научного фонда (проект 14-25-00139).
КОНФЛИКТ ИНТЕРЕСОВ
Авторы заявляют об отсутствии конфликта интересов.
ВКЛАД АВТОРОВ
А.А. Спасов – руководство и концептуализация исследования; О.Н. Жуковская, Х.С.А. Аббас, А.С. Морковник – синтез и подтверждение структуры соединения ДФ-5; А.И. Ращенко, А.А. Бригадирова, Р.А. Литвинов, Н.А. Гурова – разработка методологии, проведение исследования, программная обработка, написание рукописи; А.В. Смирнов, Н.Г. Паньшин – проведение исследования, визуализация данных; А.И. Ращенко, А.А. Бригадирова, Н.А. Гурова – обработка полученных результатов; Р.А. Литвинов – разработка гипотезы о механизме действия соединений, не связанном с непосредственным разрушением зрелых поперечных сшивок.
1 World Health Organization (WHO). Diabetes. Available from: https://www.who.int/news-room/fact-sheets/detail/diabetes
Об авторах
Александр Алексеевич Спасов
Федеральное государственное бюджетное образовательное учреждение высшего образования «Волгоградский государственный медицинский университет» Министерства здравоохранения Российской Федерации; Государственное бюджетное учреждение «Волгоградский медицинский научный центр»
Email: aspasov@mail.ru
ORCID iD: 0000-0002-7185-4826
доктор медицинских наук, академик РАН, заведующий кафедрой фармакологии и биоинформатики, ФГБОУ ВО ВолгГМУ Минздрава России; заведующий лабораторией экспериментальной фармакологии ГБУ ВМНЦ
Россия, 400131, г. Волгоград, пл. Павших Борцов, д. 1; 400131, г. Волгоград, пл. Павших Борцов, д. 1Ольга Николаевна Жуковская
Научно-исследовательский институт физической и органической химии федеральное государственное автономное образовательное учреждение высшего профессионального образования «Южный федеральный университет»
Email: zhukowskaia.ol@yandex.ru
ORCID iD: 0000-0003-2485-2139
кандидат химических наук, старший научный сотрудник лаборатории органического синтеза
Россия, 344090, г. Ростов-на-Дону, пр-т Стачки, д. 194/2Андрей Игоревич Ращенко
Федеральное государственное бюджетное образовательное учреждение высшего образования «Волгоградский государственный медицинский университет» Министерства здравоохранения Российской Федерации
Email: a.rashencko@yandex.ru
кандидат фармацевтических наук, старший научный сотрудник лаборатории метаботропных лекарственных средств НЦИЛС
Россия, 400131, г. Волгоград, пл. Павших Борцов, д. 1Анастасия Андреевна Бригадирова
Федеральное государственное бюджетное образовательное учреждение высшего образования «Волгоградский государственный медицинский университет» Министерства здравоохранения Российской Федерации; Государственное бюджетное учреждение «Волгоградский медицинский научный центр»
Email: a.brigadirova@gmail.com
ORCID iD: 0000-0003-0957-7087
кандидат медицинских наук, доцент кафедры фармакологии и биоинформатики ФГБОУ ВО ВолгГМУ Минздрава России; младший научный сотрудник лаборатории экспериментальной фармакологии ГБУ ВМНЦ
Россия, 400131, г. Волгоград, пл. Павших Борцов, д. 1; 400131, г. Волгоград, пл. Павших Борцов, д. 1Роман Александрович Литвинов
Федеральное государственное бюджетное образовательное учреждение высшего образования «Волгоградский государственный медицинский университет» Министерства здравоохранения Российской Федерации; Государственное бюджетное учреждение «Волгоградский медицинский научный центр»
Автор, ответственный за переписку.
Email: litvinov.volggmu@mail.ru
ORCID iD: 0000-0002-0162-0653
кандидат медицинских наук, старший научный сотрудник лаборатории метаботропных лекарственных средств НЦИЛС, ФГБОУ ВО ВолгГМУ Минздрава России; научный сотрудник лаборатории экспериментальной фармакологии ГБУ ВМНЦ
Россия, 400131, г. Волгоград, пл. Павших Борцов, д. 1; 400131, г. Волгоград, пл. Павших Борцов, д. 1Наталия Алексеевна Гурова
Федеральное государственное бюджетное образовательное учреждение высшего образования «Волгоградский государственный медицинский университет» Министерства здравоохранения Российской Федерации
Email: gurova.vlgmed@mail.ru
ORCID iD: 0000-0002-0670-1444
доктор медицинских наук, профессор кафедры фармакологии и биоинформатики
Россия, 400131, г. Волгоград, пл. Павших Борцов, д. 1Алексей Владимирович Смирнов
Федеральное государственное бюджетное образовательное учреждение высшего образования «Волгоградский государственный медицинский университет» Министерства здравоохранения Российской Федерации; Государственное бюджетное учреждение «Волгоградский медицинский научный центр»
Email: alexey-smirnov@rambler.ru
ORCID iD: 0000-0001-5351-6105
доктор медицинских наук, заведующий кафедрой патологической анатомии ФГБОУ ВО ВолгГМУ Минздрава России
Россия, 400131, г. Волгоград, пл. Павших Борцов, д. 1; 400131, г. Волгоград, пл. Павших Борцов, д. 1Николай Геннадьевич Паньшин
Федеральное государственное бюджетное образовательное учреждение высшего образования «Волгоградский государственный медицинский университет» Министерства здравоохранения Российской Федерации
Email: panshin.nickolay@gmail.com
ORCID iD: 0000-0002-4035-4108
кандидат медицинских наук, доцент кафедры патологической анатомии
Россия, 400131, г. Волгоград, пл. Павших Борцов, д. 1Хайдер Сабри Аббас Аббас
Научно-исследовательский институт физической и органической химии федеральное государственное автономное образовательное учреждение высшего профессионального образования «Южный федеральный университет»
Email: vip.haider89@gmail.ru
магистрант лаборатории органического синтеза
Россия, 344090, г. Ростов-на-Дону, пр-т Стачки, д. 194/2Анатолий Савельевич Морковник
Научно-исследовательский институт физической и органической химии федеральное государственное автономное образовательное учреждение высшего профессионального образования «Южный федеральный университет»
Email: asmork@mail.ru
ORCID iD: 0000-0002-9182-6101
доктор химических наук, главный научный сотрудник лаборатории органического синтеза
Россия, 344090, г. Ростов-на-Дону, пр-т Стачки, д. 194/2Список литературы
- Silva J.A.D., Souza E.C.F., Echazú Böschemeier A.G., Costa C.C.M.D., Bezerra H.S., Feitosa E.E.L.C. Diagnosis of diabetes mellitus and living with a chronic condition: participatory study // BMC Public Health. – 2018. – Vol. 18, No. 1. – Art. ID: 699. doi: 10.1186/s12889-018-5637-9
- Singh V.P., Bali A., Singh N., Jaggi A.S. Advanced Glycation End Products and Diabetic Complications // Korean J. Physiol. Pharmacol. – 2014. – Vol. 18, No. 1. – P. 1–14. doi: 10.4196/kjpp.2014.18.1.1
- Rhee S.Y., Kim Y.S. The Role of Advanced Glycation End Products in Diabetic Vascular Complications // Diabetes Metab. J. – 2018. – Vol. 42, No. 3. – P. 188–195. doi: 10.4093/dmj.2017.0105
- Chaudhuri J., Bains Y., Guha S., Kahn A., Hall D., Bose N., et al. The Role of Advanced Glycation End Products in Aging and Metabolic Diseases: Bridging Association and Causality // Cell Metab. – 2018. – Vol .28, No. 3. – P. 337–352. doi: 10.1016/j.cmet.2018.08.014
- Bodiga V.L., Eda S.R., Bodiga S. Advanced glycation end products: role in pathology of diabetic cardiomyopathy // Heart Fail Rev. – 2014. – Vol. 19, No. 1. – P. 49–63. doi: 10.1007/s10741-013-9374-y
- Bhat S., Mary S., Giri A.P., Kulkarni M.J. Advanced Glycation End Products (AGEs) in Diabetic Complications / Mechanisms of Vascular Defects in Diabetes Mellitus. Advances in Biochemistry in Health and Disease // Edited by Kartha C.C., Ramachandran S., Pillai R.M. Cham: Springer International Publishing, 2017. – P. 423–449. doi: 10.1007/978-3-319-60324-7_19
- Rabbani N., Thornalley P.J. Advanced glycation end products in the pathogenesis of chronic kidney disease // Kidney Int. – 2018. – Vol. 93, No. 4 – P. 803–813. doi: 10.1016/j.kint.2017.11.034
- Nabi R., Alvi S.S., Saeed M., Ahmad S., Khan M.S. Glycation and HMG-CoA Reductase Inhibitors: Implication in Diabetes and Associated Complications // Curr. Diabetes Rev. – 2019. – Vol. 15, No. 3. – P. 213–223. doi: 10.2174/1573399814666180924113442
- Nabi R., Alvi S.S., Khan R.H., Ahmad S., Ahmad S., Khan M.S. Antiglycation study of HMG-R inhibitors and tocotrienol against glycated BSA and LDL: A comparative study // Int. J. Biol. Macromol. – 2018. – Vol. 116. – P. 983–992. doi: 10.1016/j.ijbiomac.2018.05.115
- Rahbar S., Figarola J.L. Novel inhibitors of advanced glycation endproducts // Arch. Biochem. Biophys. – 2003. – Vol. 419, No. 1. – P. 63–79. doi: 10.1016/j.abb.2003.08.009
- Akhter F., Khan M.S., Ahmad S. Acquired immunogenicity of calf thymus DNA and LDL modified by D-ribose: a comparative study // Int. J. Biol. Macromol. – 2015. – Vol. 72. – P. 1222–1227. doi: 10.1016/j.ijbiomac.2014.10.034
- Jabir N.R., Ahmad S., Tabrez S. An insight on the association of glycation with hepatocellular carcinoma // Semin. Cancer. Biol. – 2018. – Vol. 49. – P. 56–63. doi: 10.1016/j.semcancer.2017.06.005
- Brings S., Fleming T., Freichel M., Muckenthaler M.U., Herzig S., Nawroth P.P. Dicarbonyls and Advanced Glycation End-Products in the Development of Diabetic Complications and Targets for Intervention // Int. J. Mol. Sci. – 2017. – Vol. 18, No. 5. – Art. ID: 984. doi: 10.3390/ijms18050984
- Vasan S., Foiles P., Founds H. Therapeutic potential of breakers of advanced glycation end product–protein crosslinks // Arch. Biochem. Biophys. – 2003. – Vol. 419, No. 1. – P. 89–96. doi: 10.1016/j.abb.2003.08.016
- Zuehlke C.W. Methods of Organic Elemental Microanalysis // J. Am. Chem. Soc. – 1963. – Vol. 85, No. 16. – Art. ID: 2536. doi: 10.1021/ja00899a055
- Vasan S., Zhang X., Zhang X., Kapurniotu A., Bernhagen J., Teichberg S., Basgen J., Wagle D., Shih D., Terlecky I., Bucala R., Cerami A., Egan J., Ulrich P. An agent cleaving glucose-derived protein crosslinks in vitro and in vivo // Nature. – 1996. – Vol. 382, No. 6588. – P. 275–278. doi: 10.1038/382275a0
- Жуковская О.Н., Анисимова В.А., Морковник А.С., Петров В.И., Спасов А.А., Ращенко А.И., Бригадирова А.А., Аббас Х.С.А. 9-бензил-2-бифенилимидазо[1,2-а]бензимидазол и его фармацевтически приемлемые соли, проявляющие свойства разрушителей поперечных сшивок гликированных белков. RU 2627769 C1, 2017.
- Zhang B., He K., Chen W., Cheng X., Cui H., Zhong W., Li S., Wang L. Alagebrium (ALT-711) improves the anti-hypertensive efficacy of nifedipine in diabetic-hypertensive rats // Hypertens. Res. – 2014. – Vol. 37, No. 10. – P. 901–907. doi: 10.1038/hr.2014.98
- Cheng G., Wang L.L., Qu W.S., Long L., Cui H., Liu H.Y., Cao Y.L., Li S. C16, a novel advanced glycation endproduct breaker, restores cardiovascular dysfunction in experimental diabetic rats // Acta Pharmacol. Sin. – 2005. – Vol. 26, No. 12. – P. 1460–1466. doi: 10.1111/j.1745-7254.2005.00240.x
- Cheng G., Wang L.L., Long L., Liu H.Y., Cui H., Qu W.S., Li S. Beneficial effects of C36, a novel breaker of advanced glycation endproducts cross-links, on the cardiovascular system of diabetic rats // Br. J. Pharmacol. – 2007. – Vol. 152, No. 8. – P. 1196–1206. doi: 10.1038/sj.bjp.0707533
- Spasov A.A., Zhukovskaya O.N., Brigadirova A.A., Abbas H.S.A., Anisimova V.A., Sysoeva V.A., Rashchenko A.I., Litvinov R.A., Mayka O.Yu., Babkov D.A., Morkovnik A.S. Synthesis and pharmacological activity of 2-(biphenyl-4-yl)imidazo[1,2-a]benzimidazoles // Russ. Chem. Bull. – 2017. – Vol. 66. – P. 1905–1912. doi: 10.1007/s11172-017-1965-7
- Cho S.J., Roman G., Yeboah F., Konishi Y. The Road to Advanced Glycation End Products: A Mechanistic Perspective // Curr. Med. Chem. – 2007. – Vol. 14, No. 15. – P. 1653–1671. doi: 10.2174/092986707780830989
- Tang S.C.W., Yiu W.H. Innate immunity in diabetic kidney disease // Nat. Rev. Nephrol. 2020- Vol. 16. – P. 206–222. doi: 10.1038/s41581-019-0234-4
- Yao D., Wang S., Wang M., Lu W. Renoprotection of dapagliflozin in human renal proximal tubular cells via the inhibition of the high mobility group box 1receptor for advanced glycation end productsnuclear factorκB signaling pathway // Mol. Med. Rep. – 2018. – Vol. 18, No. 4. – P. 3625–3630. doi: 10.3892/mmr.2018.9393.
- Kolset S.O., Reinholt F.P., Jenssen T. Diabetic Nephropathy and Extracellular Matrix // J. Histochem. Cytochem. – 2012. – Vol. 60, No. 12. – P. 976–986. doi: 10.1369/0022155412465073
- Dalla Vestra M., Saller A., Mauer M., Fioretto P. Role of mesangial expansion in the pathogenesis of diabetic nephropathy // J. Nephrol. – 2001. – Vol. 14, Suppl 4. – P. 51–57.
- Amorim R.G., Guedes G. da S., Vasconcelos S.M. de L., Santos J.C. de F. Kidney Disease in Diabetes Mellitus: Cross-Linking between Hyperglycemia, Redox Imbalance and Inflammation // Arq. Bras. Cardiol. – 2019. – Vol. 112, No. 5. – P. 577-587. doi: 10.5935/abc.20190077. Erratum in: Arq. Bras. Cardiol. – 2019. – Vol. 113, No. 1. – Art. ID: 182.
- Vasan S., Foiles P.G., Founds H.W. Therapeutic potential of AGE inhibitors and breakers of AGE protein cross-links // Expert Opin. Investig. Drugs. – 2001. – Vol. 10, No. 11. – P. 1977–1987. doi: 10.1517/13543784.10.11.1977
- Forbes J.M., Thallas V., Thomas M.C., Founds H.W., Burns W.C., Jerums G., Cooper ME. The breakdown of preexisting advanced glycation end products is associated with reduced renal fibrosis in experimental diabetes // FASEB J. – 2003. – Vol. 17, No. 12. – P. 1762–1764. doi: 10.1096/fj.02-1102fje
- Kim Y.S., Kim J., Kim C.S., Sohn E.J., Lee Y.M., Jeong I.H., Kim H., Jang D.S., Kim J.S. KIOM-79, an Inhibitor of AGEs–Protein Cross-linking, Prevents Progression of Nephropathy in Zucker Diabetic Fatty Rats // Evid. Based Complement. Alternat. Med. – 2011. – Vol. 2011. – P. 1–10. doi: 10.1093/ecam/nep078
- Jung E., Park S.B., Jung W.K., Kim H.R., Kim J. Antiglycation Activity of Aucubin In Vitro and in Exogenous Methylglyoxal Injected Rats // Molecules. – 2019. – Vol. 24, No. 20. – Art. ID: 3653. doi: 10.3390/molecules24203653
- Kim J., Kim C.S., Kim Y.S., Lee I.S., Kim J.S. Jakyakgamcho-tang and Its Major Component, Paeonia Lactiflora, Exhibit Potent Anti-glycation Properties // J. Exerc. Nutrition Biochem. – 2016. – Vol. 20, No. 4. – P. 60–64. doi: 10.20463/jenb.2016.0049
- Kim C.S., Jo K., Pyo M.K., Kim J.S., Kim J. Pectin lyase-modified red ginseng extract exhibits potent anti-glycation effects in vitro and in vivo // J. Exerc. Nutrition Biochem. – 2017. – Vol. 21, No. 2. – P. 56–62. doi: 10.20463/jenb.2017.0011
- Coughlan M.T., Forbes J.M., Cooper M.E. Role of the AGE crosslink breaker, alagebrium, as a renoprotective agent in diabetes // Kidney International. – 2007. – Vol. 72, Suppl. 106. – P. 54–60. doi: 10.1038/sj.ki.5002387
- Thallas-Bonke V., Lindschau C., Rizkalla B., Bach L.A., Boner G., Meier M., Haller H., Cooper M.E., Forbes J.M. Attenuation of Extracellular Matrix Accumulation in Diabetic Nephropathy by the Advanced Glycation End Product Cross-Link Breaker ALT-711 via a Protein Kinase C- -Dependent Pathway // Diabetes. – 2004. – Vol. 53. – P. 2921–2930. doi: 10.2337/diabetes.53.11.2921
- Yang S., Litchfield J.E., Baynes J.W. AGE-breakers cleave model compounds, but do not break Maillard crosslinks in skin and tail collagen from diabetic rats // Arch. Biochem. Biophys. – 2003. – Vol. 412, No. 1. – P. 42–46. doi: 10.1016/S0003-9861(03)00015-8
- Nasiri R., Field M.J., Zahedi M., Moosavi-Movahedi A.A. Cross-Linking Mechanisms of Arginine and Lysine with α,β-Dicarbonyl Compounds in Aqueous Solution // J. Phys. Chem. A. – 2011. – Vol. 115, No. 46. – P. 13542–13555. doi: 10.1021/jp205558d
- Nasiri R., Field M.J., Zahedi M., Moosavi-Movahedi A.A. Comparative DFT Study To Determine if α-Oxoaldehydes are Precursors for Pentosidine Formation // J. Phys. Chem. A. – 2012. – Vol. 116, No. 11. – P. 2986–2996. doi: 10.1021/jp2104165
- Nobécourt E., Zeng J., Davies M.J., Brown B.E., Yadav S., Barter P.J., Rye K.A. Effects of cross-link breakers, glycation inhibitors and insulin sensitisers on HDL function and the non-enzymatic glycation of apolipoprotein A-I // Diabetologia. – 2008. – Vol. 51, No. 6. – P. 1008–1017. doi: 10.1007/s00125-008-0986-z
- Kim T., Spiegel D.A. The Unique Reactivity of N-Phenacyl-Derived Thiazolium Salts Toward α-Dicarbonyl Compounds // Rejuvenation Res. – 2013. – Vol. 16, No. 1. – P. 43–50. doi: 10.1089/rej.2012.1370
- Sherwani S.I., Khan H.A., Ekhzaimy A., Masood A., Sakharkar M.K. Significance of HbA1c Test in Diagnosis and Prognosis of Diabetic Patients // Biomark Insights. – 2016. – Vol. 11. – P. 95–104. doi: 10.4137/BMI.S38440
- Nagai R., Murray D.B., Metz T.O., Baynes J.W. Chelation: A Fundamental Mechanism of Action of AGE Inhibitors, AGE Breakers, and Other Inhibitors of Diabetes Complications // Diabetes. 2012. – Vol. 61, No. 3. – P. 549–559. doi: 10.2337/db11-1120
- Toprak C., Yigitaslan S. Alagebrium and Complications of Diabetes Mellitus // Eurasian J. Med. – 2019. – Vol. 51, No. 3. – P. 285–292. doi: 10.5152/eurasianjmed.2019.18434
Дополнительные файлы







