В6.А-Dysfprmd/GeneJ mice as a genetic model of dysferlinopathy
- Authors: Korokin M.V.1, Kuzubova E.V.1, Radchenko A.I.1, Deev R.V.2,3, Yakovlev I.A.4, Deikin A.V.1, Zhunusov N.S.1, Krayushkina A.M.1, Pokrovsky V.M.1, Puchenkova O.A.1, Chaprov K.D.1,5, Ekimova N.V.1, Bardakov S.N.6, Chernova O.N.2, Emelin A.M.1,2, Limaev I.S.2
-
Affiliations:
- Belgorod State National Research University
- North-Western State Medical University named after I.I. Mechnikov
- PJSC “Human Stem Cells Institute”
- LLC “Genotarget”
- Institute of Physiologically Active Compounds at Federal Research Center of Problems of Chemical Physics and Medicinal Chemistry, Russian Academy of Sciences (IPAC RAS)
- S. M. Kirov Military Medical Academy
- Issue: Vol 10, No 5 (2022)
- Pages: 483-496
- Section: ORIGINAL ARTICLES
- URL: https://journals.eco-vector.com/2307-9266/article/view/375296
- DOI: https://doi.org/10.19163/2307-9266-2022-10-5-483-496
- ID: 375296
Cite item
Abstract
The aim of the work was behavioral and pathomorphological phenotyping of the mice knockout for the DYSF gene, which plays an important role in the development and progression of dysferlinopathy.
Materials and methods. A B6.A-Dysfprmd/GeneJ (Bla/J) mice subline was used in the work. During the study, a muscle activity was determined basing on the following tests: “Inverted grid”, “Grip strength”, “Wire Hanging”, “Weight-loaded swimming”, Vertical Pole”. Histological and immunofluorescent examinations of skeletal muscles (m. gastrocnemius, m. tibialis) were performed. The presence and distribution of the dysferlin protein was assessed, and general histological changes in the skeletal muscle characteristics of mice at the age of 12 and 24 weeks, were described. A morphometric analysis with the determination of the following parameters was performed: the proportion of necrotic muscle fibers; the proportion of fibers with centrally located nuclei; the mean muscle fiber diameter.
Results. The “Grip strength” test and the “Weight-loaded swimming” test revealed a decrease in the strength of the forelimbs and endurance in the studied mice of the Bla/J subline compared to the control line. The safety of physical performance was checked using the “Wire Hanging” test and the “Vertical Pole” test, which showed a statistically significant difference between the studied mice and control. The coordination of movements and muscle strength of the limbs examined in the “Inverted Grid” test did not change in these age marks. Decreased grip strength of the forelimbs, decreased physical endurance with age, reflects the progression of the underlying muscular disease. Histological methods in the skeletal muscles revealed signs of a myopathic damage pattern: necrotic muscle fibers, moderate lympho-macrophage infiltration, an increase in the proportion of fibers with centrally located nuclei, and an increase in the average fiber diameter compared to the control. The dysferlin protein was not found out in the muscle tissues.
Conclusion. Taking into account the results of the tests performed, it was shown that the absence of Dysf-/- gene expression in Bla/J subline mice led to muscular dystrophy with the onset of the development of phenotypic disease manifestations at the age of 12 weeks and their peak at 24 weeks. Histopathological phenotypic manifestations of the disease are generally nonspecific and corresponded to the data of intravital pathoanatomical examination in diferlinopathy patients. The mice of the studied subline Bla/J are a representative model of dysferlinopathy and can be used to evaluate new therapeutic agents for the treatment of this disease.
Full Text
Abbreviations: Bla/J – B6.A-Dysfprmd/GeneJ; CK – creatine kinase; DNA – deoxyribonucleic acid; PCR – polymerase chain reaction; bp – base pairs; WT – wild-type mice; EDTA – ethylenediaminetetraacetic acid; Gas M – M. gastrocnemius medialis; Gas L – M. gastrocnemius lateralis; tib – M. tibialis.
INTRODUCTION
Dysferlinopathy is phenotypically heterogeneous progressive muscular dystrophy caused by mutations in the DYSF (2p13) gene, which encodes the transmembrane protein dysferlin (230 kDa) involved in the sarcolemma repair. [1]. Dysferlinopathy includes a presymptomatic stage of an asymptomatic increase in the level of creatine kinase (CK) in the blood, and a manifest stage, characterized by a progressive lesion of the proximal and/or distal muscles of the extremities [2]. There are five main phenotypes of dysferlinopathy: Miyoshi’s distal myopathy (OMIM # 254130), limb-girdle muscular dystrophy R2 (LGMD R2, OMIM # 253601); distal myopathy of the anterior bed of the leg (distal, with the origin in the anterior tibial muscle (DMAT, OMIM # 606768); a proximal-distal form (transitional form) and a congenital phenotype [3]. Dysferlin consists of seven C2 domains and is a transmembrane protein of skeletal muscles, also expressed by cardiomyocytes and monocytes [4]. The main role of dysferlin is Ca2+ dependent repair of the sites of the sarcolemma damage [5]. Dysferlinopathy is manifested in the range from late adolescence to early adulthood, followed by a steady increase in disease manifestations [6].
The disease manifestation occurs in late adolescence – early adulthood, followed by a steady progression of muscle weakness and an outpatient status loss at 35–45 years [7].
A proper conduct of a clinical trial requires understanding of disease progression patterns and response to various outcome measures over time [8]. The complexity of choosing indicators for clinical studies of dysferlinopathy is determined by the variability of the manifestation age, a phenotype, a severity of the muscular dystrophic process, a variable progression rate, and modifying factors that have not been fully identified [9]. It has been previously shown that the assessment of a motor function in dysferlinopathy is a reliable method of objectification, however, the variability in the rate of progression of the disease makes it difficult to demonstrate a response in small cohorts [10, 11]. It has been established that, despite the absence of dysferlin protein expression in skeletal muscles, there is a variation in the age of manifestation, clinical manifestations, and a disease severity. Similarly, dysferlinopathy can progress at different rates, even in the presence of the same mutation [12, 13]. A number of factors that modify a phenotype and a dysferlinopathy progression rate have been described: a physical activity degree and duration and a type of mutation (homozygosity for nonsense mutations), in the absence of stable clinical and genetic correlations [14, 15].
THE AIM of the work was behavioral and pathomorphological phenotyping of the mice knockout for the DYSF gene, which plays an important role in the development and progression of dysferlinopathy.
MATERIALS AND METHODS
Laboratory animals
The subline of mice B6.A-Dysfprmd/GeneJ (Bla/J), obtained from the testing center “Vivarno-experimental complex LLC “Mitoengineering Research Institute of Moscow State University”, was used in the work. The animal cohorts were obtained by crossing A/J mice (#:000646), in which a spontaneous insertion in intron 4 was accidentally detected, with C57BL/6J wild-type mice. Maintenance and reproduction of the colony was carried out by crossing mutant animals with each other from the same litter.
Experimental and control (Bla/J, n=20; C57BL/6J, n=10 and n=13) animals were kept in a pathogen-free vivarium of Belgorod State National Research University under conditions of artificially regulated daylight hours (12 hours of darkness and 12 hours of daylight) at the temperatures from +22 to +26°C, and had a free access to food and water. The work was guided by ethical principles for the treatment of laboratory animals in accordance with the European Convention for the Protection of Vertebrate Animals used for Experimental and Other Scientific Purposes (ETS No 170). All painful manipulations with the animals were carried out in accordance with regulatory standards: Directive 2010/63/EU of the European Parliament and of the Council of the European Union dated September 22, 2010 on the protection of the animals used for scientific purposes. Experimental studies were approved by the Bioethical Commission of Belgorod State National Research University (protocol No. 15/10 dated 2021 Oct 29). Vivisection was carried out in accordance with the ethical principles for the treatment of laboratory animals as set out in the European Convention for the Protection of Vertebrate Animals used for Experimental and Other Scientific Purposes (CETS No. 123).
Behavioral tests were carried out mainly in the morning hours with fixed “home” lighting (to minimize the stress factor). Representative groups of the experimental animals were formed (homozygous knockouts – Bla/J, n=20). The groups were tested at two age points – 12 and 24 weeks – and the control animals without a genome modification (WT, n=10 and 13, respectively).
Inverted Grid Test
The inverted grid is a 45×45 cm wire grid with a mesh size of 12×12 mm and a wire diameter of 1 mm, surrounded by a 4 cm partition preventing a mouse from attempting to climb over to the other side. The test is used to assess the coordination of movements and muscle strength of both pairs of limbs. The mice were placed in the center of a wire grid, which was inverted and placed 50 cm above a soft surface. The fall time of the animal was recorded or the animal was removed from the grid if the time reached 180 sec. The test was evaluated in points: the more time the animal managed to hold on the higher its score was [16–18].
Grip strength test
The setup was a stainless-steel grid connected to a sensor to measure the grip strength (in grams) of a mouse’s forelimbs. The animal was allowed to grasp a horizontal grid with its front paws, and then the mouse was pulled back by the tail until its grip was weakened, while the hind legs of the mouse should not touch the grid. The force measurement sensor stored the peak value of the thrust force. The test was used to study the function of the neuromuscular system. For the analysis, the mean values from 5 successful measurements of the forelimbs strength were used [19, 20].
Wire Hanging test
The test was based on the instinct of mice to avoid falling. The mouse was placed on a horizontally stretched wire with the capture of all four limbs (the diameter of 3 mm, the height above the surface of 60 cm). The ability to stay on the wire was measured by evaluating the time the mouse had been held until the moment of falling, using a stopwatch timer. The best result of two attempts was taken as the final value, the pause between which was 20 min [21, 22].
Weight-loaded swimming test
A physical performance of the animals in this test was assessed by the swimming duration with a load, which was 5% of the body weight (the weight of the load had been found out experimentally), attached to the root of the animal’s tail with a rubber bandage. The weight of the animals was determined with an accuracy of 0.1 g; the load was selected with an accuracy of 0.01 g. The duration of testing (swimming) was recorded using a stopwatch timer with an accuracy of 1 sec. The end of the experiment was considered the moment of the animal’s fatigue, the sign of which was the animal’s inability to rise to the water surface within 5 seconds or a refusal to swim (submersion to the bottom for more than 5 sec). A sign of the animal’s fatigue was a violation of the motor-coordination function (rotation around its axis and falling on its side in the water column).
Swimming was carried out in organic glass vessels with an inner diameter of 30 cm and a height of 60 cm. The height of the water column was 30 cm, and the water temperature was 23±1°С [23, 24].
Vertical Pole test
In the studies on laboratory animals for screening and assessing the safety of physical performance, this technique was mainly used. The setup consists of a tripod with a diameter of 7 mm and a height of 60 cm, with a plastic fence installed on the top. For the experiment, the animal was placed at the same distance from the top of the tripod strictly upside down, at least 1 m above the floor. The time of the animal’s fall from the tripod using a stopwatch, was recorded. The preservation of a physical performance was judged by comparison with the control group [25].
Genotyping of transgenic animals
For the analysis, genomic DNA was obtained by ear biopsy (about 30 mg of tissue). The biopsy material was placed in a lysing solution containing 100 mM of sodium chloride, 50 mM Tris-HCl (pH 8.0), 2 mM ethylenediaminetetraacetic acid (EDTA), and 2 mg/ml of proteinase K. The material was incubated at 55°C for 12–16 h, after that the reaction mixture was heated at 85°C for 40 min. The lysate was centrifuged using a Thermo SL16R laboratory centrifuge (Thermo Scientific, USA) for 1 min at 10,000 g, and 1 µl of the supernatant was used as a template in the PCR reaction.
Primer sequences from the JAX protocol (Protocol 26095) were used. They simultaneously amplified the retrotranspason area (if present) and the animal genomic DNA area. A mixture of 3 primers was used in the reaction:
1) reverse primer DYSF-R (5’: CTT CAC TGG GAA GTA TGT CG), homologous to the sense strand sequence of intron 4 of the DYSF gene, is common;
2) forward primer DYSF-F (5’: TTC CTC TCT TGT CGG TCT AG), homologous to the sequence of the antisense strand of intron 4 of the DYSF gene, is common;
3) specific forward primer ETn-oR (5’: GCC TTG ATC AGA GTA ACT GTC), homologous to the sequence of long terminal repeats (3’LTR) in the retrotransposon inserted into intron 4.
The reaction mixture contained 1x Taq Turbo buffer (Evrogen, Russia), 0.2 mM of each dNTP (Evrogen, Russia), 0.5 µM of each forward primer and 1 µM of common reverse primer, 2 units of HS Taq DNA polymerase (Evrogen, Russia). The amplification program consisted of the following steps:
- Activation of HS Taq DNA polymerase at 95°C for 3 min;
- Denaturation – at 95°C for 20 sec;
- Annealing – at 60°C for 20 sec;
- Elongation – at 72°C for 20 sec;
- Cyclic repetition of steps 2–4 – 30 times;
- Final elongation – at 72°C for 2 min.
Amplification products were separated by electrophoresis in 3% agarose gel in 1x TAE buffer (40 mM Tris-HCl, 20 mM acetic acid, 1 mM EDTA, 0.5 μg/ml ethidium bromide) at 90 V for 60 min.
Pathological examination
The material included tissue fragments of M. gastrocnemius medialis (Gas M), M. gastrocnemius lateralis (Gas L), and M. tibialis (tib) skeletal muscles obtained from Bla/J mice and wild-type mice (WT) with a functional DYSF gene. The cryopreserved material was transferred to the chamber of a Thermo Fisher Scientific HM525 NX cryostat (USA), where it was oriented on a freezing platform in a mounting gel NEG-50 (Richard-Allan Scientific, TS, USA). The sections obtained were 3–7 microns thick. The slides with cryosections were fixed in 10% neutral buffered formalin (Biovitrum, Russia) for 10 min. Next, they were washed 3 times for 5 min in a Tris-HCL buffer solution pH 7.4 (Nevareaktiv, Russia); Background Block solution (Cell Marque, USA) was applied, the cryosections were transferred to a humid chamber, where they were incubated for 1 h. The protein block was removed by swiping, then primary recombinant rabbit monoclonal antibodies were applied to dysferlin (clone: JAI-1-49-3; ab124684; Abcam, UK) diluted 1:200 with Diamond: Antibody Diluent (Cell Marque, 938B-05, USA), in which cryosections were kept for 2 h at room temperature in a humid chamber. Over time, the sections were washed three times in a Tris-HCL buffer solution, after which a 1-hour incubation was performed at room temperature in a humid chamber with secondary goat anti-rabbit IgG H&L antibodies (Alexa Fluor 555, abcam, ab150078, UK) diluted in the ratio of 1:500 with Diamond:Antibody Diluent. After an hour, the sections were washed 4 times in a Tris-HCL buffer solution and incubated in a DAPI working solution (Thermo FS, D1306, USA) for 10 min. The conclusion was carried out in the mounting medium of glycerogel according to Kaiser.
For the paraffin sections manufacturing, after fixation, the tissue material was subjected to standard histological wiring, paraffin embedding, and microtoming. After deparaffinization, the sections were stained with hematoxylin and eosin according to the standard method. Photodocumentation was carried out using a computer video system (IBM PC + Leica DM 1000 microscope, Germany) and the ImageScope-M software package (Russia).
Based on the previous studies [26, 27], the estimated parameters for morphometry were chosen: the cross-sectional area of the muscle fiber, as well as the number of fibers with an internalized nucleus and the number of necrosis in relation to the total number of fibers in the field of view.
Statistical processing
Statistical processing was performed using GraphPad Prism Software 8.0 (GraphPad Software Inc, USA). Depending on the feature distribution type and equality of variances, the significance of the results obtained was assessed using a parametric (ANOVA) or nonparametric (Kruskal-Wallis test) one-way analysis of variance, and unpaired Student’s t-test was used as a post-hoc analysis to identify differences in intergroup comparisons, the Mann-Whitney test, respectively, with a Benjamini-Hochberg correction for multiple hypothesis testing. The results were considered significant at p ≤0.05.
RESULTS
To form representative groups of experimental and control animals synchronized by age, first the number of related sires corresponding to the objectives of the experiment were received. Crossing of homozygous mice with a mutation was performed with mice of the same genotype against the same genetic background obtained in the previous crosses. The offspring were genotyped by conventional PCR using three primers, one of which is specific for the mutation.
A schematic representation of the primers position for the amplification of the inserted retrotranspase is shown in Fig. 1.
Figure 1 – Scheme of primers position for amplification of genomic area (wild type) and 3’LTR area of retrotransposon (mutant). Note: WT – wild type; DYSF-F – common forward primer; DYSF-R – common reverse primer; ETn-OR – forward primer homologous to 3’LTR area of retrotransposon; 5’LTR, 5’ – long terminal repeats; 3’LTR – 3’ – long terminal repeats.
In mutant mice, a retrotransposon larger than 6k bps was inserted into the fourth intron of the DYSF gene, which made it possible to use a system of three primers to identify a localized mutation in the allele. DYSF-F is homologous to the genomic sequence area of the intron located before the insertion sequence of the retrotransposon. Due to this, in case of the primer annealing on the mutant allele, the synthesized chain will not have time to amplify to the area homologous to the reverse primer – an amplicon with a size of more than 6 thousand bps will not form and accumulate in large numbers during PCR. ETn-oR is homologous to the retrotransposon area in the long terminal repeats (on the 3’ LTR side). In combination with the reverse primer DYSF-F, which is homologous to the area of the intron genomic sequence that makes it possible for 193 nucleotide pairs to be flanked. This arrangement of primers led to the successful separation of mutant and wild type animals because of conventional PCR (Fig. 2) [28, 29].
Figure 2 – Detection of retrotransposon presence in Bla/J mice by PCR. Note: product size WT (wild type) is 204 bps; product size Bla/J 237 – bps; NTC – negative control without template.
Ho M. et al showed the insertion of a retrotransposon into a certain area of intron 4 (495 base pairs from exon 4 and about 4400 base pairs (bps) to exon 5) with a substitution of 6 bps [30]. The results of the genotyping confirmed the presence of the mutation in the homozygous form of the studied animals.
As a result of the amplification of wild-type animals images, a fragment of 204 bps was formed. In Bla/J animals homozygous for the mutant allele, a fragment 237 bps long was formed after the amplification of the DYSF gene sequence (marker 100+bp DNA Ladder).
To study a motor function, representative groups of experimental animals (homozygous knockouts – Bla/J) (n=20) were formed, the groups were tested at two age points – of 12 and 24 weeks and control animals without a genome modification (WT) (n=10 and n=13, respectively).
In the Grip Strength test, forelimb strength was significantly reduced in control mice compared to Bla/J mice at both age points (Fig. 3 A and B). In the Weight-loaded swimming test (Fig. 3 C and D), a difference was found out between the control and experimental mice at the age of 24 weeks and 12 weeks, respectively. This indicated a decrease in the endurance of mice at the age of 24 weeks with developing pathology.
Figure 3 – Physiological parameters of Bla/J mice. Note: the analysis of forelimbs grip strength in the “Grip strength test” (A and B), endurance in the “Weight-loaded swimming test” (C and D), physical performance in the “Wire Hanging test” (E and F) and the “Vertical Pole test” (G and H), coordination of movements and limbs muscle strength in the “Inverted Grid test” (K and L). Experimental Bla/J and control mice without a genome modification (WT) were tested at the age of 12 (A, C, E, G, K) and 24 weeks (B, D, F, H, L). Medians and a standard error of the mean are presented, the number of animals is indicated at the bottom of the corresponding column. Samples were tested for normality, and statistical significance was assessed using the Mann-Whitney U-test (**p <0.01; ***p <0.0004, ****p <0.0001).
The following physical performance tests were carried out: “Wire Hanging test” (Fig. 3 E and F) and “Vertical Pole test” (Fig. 3 G and H). As a result of the tests, it was found out that at the age of 24 weeks, there was a decrease in the physical performance of the Bla/J line mice compared to the C57BL/6J line.
In the “Inverted grid test” in the animals of both groups (Fig. 3 K and L), the coordination of movements and muscle strength of the limbs did not differ statistically significantly. Thus, in these age marks, the studied indicators did not change.
When setting up immunofluorescent reactions with antibodies to the dysferlin protein in the samples of mutant animals, this protein was not detected; in the control tissues, sarcolemmal localization of dysferlin was detected, which corresponds to the canonical descriptions for skeletal muscle tissue (Fig. 4).
Figure 4 – Immunofluorescent reaction with antibodies to dysferlin. Note: A – C57Bl mouse; B –line Bla/J mouse. Red color – detectable dysferlin of sarcoplasmic localization, blue color – nuclei. Finishing dyeing: DAPI. Magnification ×200
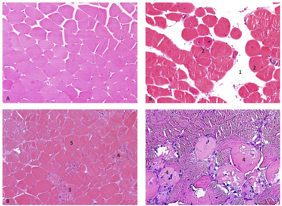
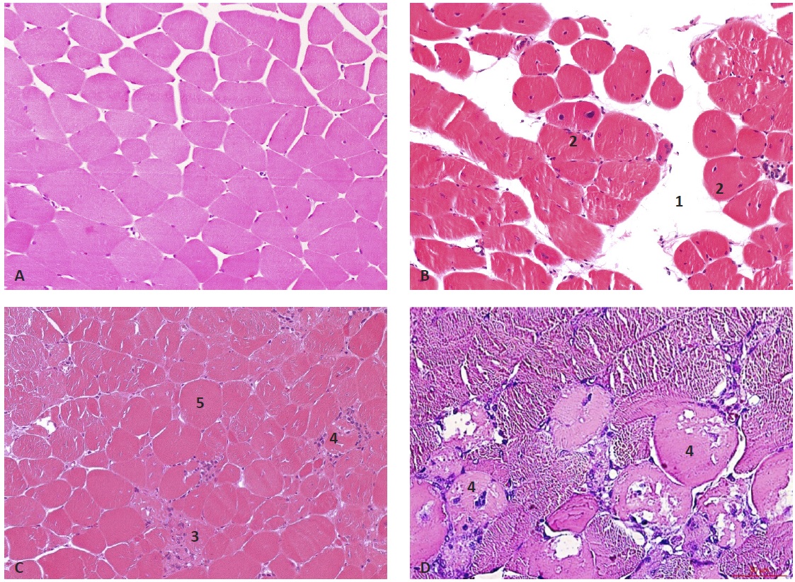
Histopathologically studied muscle tissue in the research of transverse sections was characterized by an age-related increase in the myopathic pattern and a violation of the tissue architecture. In contrast to the transverse sections of the WT mice muscle tissue, the fibers of the evaluated animals were characterized by polymorphism in cross sections and different sizes. In addition, compared to the WT mice, the cross section of Bla/J had a larger diameter: the so-called round muscle fibers were present in a significant amount. The muscle tissue of the studied animals was characterized by necrosis of single muscle fibers, the number of which increased by the age of 24 weeks. Around focal necrosis, accumulation of leukocytes can be notified, as well as invasion of macrophages under the basement membrane of the fiber and phagocytosis of the anesthetized part of the sarcoplasm. An important diagnostic criterion was a pronounced number of fibers with centrally located nuclei (central muscle fibers), which is interpreted in the scientific literature as a cytoskeleton destruction of the muscle fibers and/or an active regeneration process with the appearance of muscle tubules.
Attention is drawn to the edema of the endomysium and perimysium, as well as mild lymphomacrophage infiltration (Fig. 5). With an increase in the life expectancy of mutant animals, hyperplasia of the endomysium and perimysium was notified, which was expressed in an increase in the proportion of connective tissue in the composition of the muscular organ (Fig. 6).
Figure 5 – Striated skeletal muscle tissue of studied animals. Note: A – control, C57Bl; B–D – Bla / J. 1 – endomysial and perimysial edema; 2 – fibers with centrally located nuclei; 3 – lympho-macrophage infiltration around necrotic muscle fibers; 4 – necrotic muscle fibers, incl. macrophage invasion; 5 – rounded muscle fibers. Colour: eosin. Magnification: A–C ×200, D ×400
Figure 6 – Morphometric parameters of striated skeletal muscle tissue of Bla/J mice at 12 and 24 weeks of age. Note: A – proportion of necrotic muscle fibers; B – Average cross-sectional area of muscle fibers; C – proportion of central nuclear muscle fibers (CNMFs); D – proportion of connective tissue in skeletal muscle (*p < 0.05)
A morphometric evaluation and statistical processing of the main tissue parameters revealed significant differences in the number of necrotic muscle fibers in WT mice, both when comparing the index at 12 and 24 weeks of age, and between the animal lines. Significant intra- and intergroup differences were established in terms of indicators: the proportion of central nuclear muscle fibers, the average cross-sectional area of the muscle fibers and the proportion of connective tissue (Fig. 6). As shown by the previous studies, an increase in the cross section of the muscle fibers should be considered as compensatory working hypertrophy due to the death of some of the structural units of the muscle. With a longer period of the animals observation, a breakdown of this process and a gradual atrophy of the muscle were established, which was later accompanied by a decrease in this indicator.
DISCUSSION
The identification of a representative in vivo model of dysferlinopathy is important for the search for new therapeutic targets and the study of the pharmacological activity of new drugs aimed at treating this pathology. Major mouse strains of dysferlinopathy with a complete lack of a dysferlin expression include the A/Jdysf-/- (A/J), SJL/Jdysf-/- (SJL/J), and BLA/Jdysf-/- (BLAJ; B6.A) animal strains. (Dysfprmd/GeneJ), which have similar, with minor changes, phenotypic manifestations of the disease [31] and pronounced histopathology [32].
The studies examining a muscle function in the mice lacking a dysferlin (Dysf-/-) expression, have shown conflicting results. The lack of a sufficient repeatability and reproducibility of preclinical studies characterizing diferlinopathic mouse strains, may be partly due to the differences in a disease severity and phenotypic manifestations in specific strains of Dysf-/- mice of different origins and/or the lack of suitable control colonies of wild-type mice for their comparison [33].
In the course of this study, representative groups of experimental (homozygous Dysf-/- – Bla/J knockouts) and control animals (C57Bl/6), age-synchronized, which were further genotyped by conventional PCR, were formed. The authors used primer sequences from the JAX protocol (Protocol 26095), which simultaneously amplify the retrotranspason area (if present) and the animals’ genomic DNA area. The absence of a DYSF gene expression in Bla/J mice led to muscular dystrophy, as a result of which the disease began to develop from the 12th week of life of the animal, and the peak of phenotepic manifestations could be observed at the 24th week.
When conducting behavioral testing, the authors showed that a physical activity and endurance of the studied animals decreases with age in comparison with the control group. This is confirmed by the “Grip Strength test”, in which the indicators decreased in comparison with the control by 22.2% at 12 weeks, by 25.1% at 24 weeks and by 9.5% between the experimental groups at two age points (54.47±2.659 and 49.27±1.157, respectively). When conducting the “Weight-loaded swimming test”, a difference was revealed in comparison with the control by 32.3% at 12 weeks, by 50.5% at 24 weeks and by 53.3% between the experimental groups at two age points (393.6±59.26 and 183.8±24.94). The preservation of physical performance was checked using the following tests: The “Wire Hanging test” (68.00± 8.809; 31.81±3.637) and the “Vertical Pole test” (13.67 ±1.875), which showed a decrease in results of the studied animals at 24 weeks compared with the control by 64.4% and 82.9%, respectively. The data on the criteria for the coordination of movements and muscle strength of the limbs, studied in the “Inverted Grid test”, did not change at these ages.
The results obtained in the course of behavioral testing, i.e., a decrease in the grip strength of the forelimbs and a decrease in physical endurance with age, reflect the progression of the underlying muscle disease in the studied animals. Based on this, it can be concluded that the studied experimental model describes the clinical picture of dysferlinopathy in patients with this disease.
The histological study also showed that with an increase in the life expectancy of mutant animals, hyperplasia of endomysium and perimysium was notified. That was expressed in an increase in the proportion of connective tissue in the composition of the muscular organ. Significant intra- and intergroup differences were established in terms of indicators: the proportion of central nuclear muscle fibers; the average cross-sectional area of muscle fibers; the proportion of connective tissue. As shown by the previous studies, an increase in the cross section of muscle fibers should be considered as compensatory working hypertrophy due to the death of some of the structural units of the muscle. With a longer period of observation, a breakdown of this process and gradual muscle atrophy were established, which was subsequently accompanied by a decrease in this indicator.
CONCLUSION
Using such tests, like: “Inverted Grid”, “Grip strength”, “Wire Hanging test”, “Weight-loaded swimming”, “Vertical Pole test”, it was found out that the lack of Dysf-/- gene expression in the mice subline Bla/J B6.A-Dysfprmd/GeneJ (Bla/J), can lead to muscular dystrophy. This pathology had been manifesting itself from the beginning of the disease development of phenotypic manifestations since the 12th week of life. The peak of phenotypic manifestations occurred at the 24th week of the animals’ life. Histopathological phenotypic manifestations of the disease are generally non-specific and consistent with the data of intravital pathological examination in patients with diferlinopathy.
B6.A-Dysfprmd/GeneJ (Bla/J) subline mice are a representative model of dysferlinopathy and can be used to evaluate new therapeutic agents for this disease treatment.
FUNDING
The study was financially supported by the Ministry of Education and Science of the Russian Federation, Agreement No. 075-15-2021-1346.
CONFLICT OF INTEREST
The authors declare no conflict of interest.
AUTHORS’ CONTRIBUTION
Mikhail V. Korokin – article writing, research design development; Elena V. Kuzubova – assessment and conduct of behavioral tests, results interpretation; Alexandra I. Radchenko – evaluation and conduct of behavioral tests, article writing; Kirill D. Chaprov – article writing, results interpreting; Alexey V. Deikin – literature analysis; Nikita S. Zhunusov – preparation of animals cohorts, gene therapy; Anastasia M. Krayushkina – preparation of animals cohorts, gene therapy; Natalya V. Ekimova – formalization of references list, observation and care of animals, animals handling; Olesya A. Puchenkova – histological examination sampling; Roman V. Deev – consultation on planning, methodology and experiment implementation; Sergey N. Bardakov – literature analysis; Olga N. Chernova – sample preparation for histological examination, morphological description of muscle tissue sections; Vladimir M. Pokrovsky – research planning, stages of experimental work planning; Ivan A. Yakovlev – design development and research program writing; Alexey M. Emelin – sample preparation for histological examination, morphological description of muscle tissue sections; Igor S. Limaev – sample preparation of histological sections, working with graphic materials.
About the authors
Mikhail V. Korokin
Belgorod State National Research University
Author for correspondence.
Email: korokin@bsu.edu.ru
ORCID iD: 0000-0001-5402-0697
Doctor of Sciences (Medicine), Associate Professor of the Department of Pharmacology and Clinical Pharmacology
Russian Federation, 85, Pobedy Str., Belgorod, 308015Elena V. Kuzubova
Belgorod State National Research University
Email: 1015artek1015@mail.ru
ORCID iD: 0000-0003-2425-5027
Junior Researcher, Laboratory of Genetic Technologies and Gene Editing for Biomedicine and Veterinary Medicine
Russian Federation, 85, Pobedy Str., Belgorod, 308015Alexandra I. Radchenko
Belgorod State National Research University
Email: sandrinkaradchenko@gmail.com
ORCID iD: 0000-0002-4554-2116
Junior Researcher of Laboratory of Genetic Technologies and Gene Editing for Biomedicine and Veterinary Medicine
Russian Federation, 85, Pobedy Str., Belgorod, 308015Roman V. Deev
North-Western State Medical University named after I.I. Mechnikov; PJSC “Human Stem Cells Institute”
Email: romdey@gmail.com
ORCID iD: 0000-0001-8389-3841
Candidate of Sciences (Medicine), Associate Professor, Acting Head of the Department of Pathological Anatomy, Director for Science
Russian Federation, 41, Kirochnaya Str., St. Petersburg, 191015; Bld. A, 10, 60-Letiya Oktyabrya Ave., Moscow, 117292Ivan A. Yakovlev
LLC “Genotarget”
Email: ivan@ivan-ya.ru
ORCID iD: 0000-0001-8127-4078
General Director
Russian Federation, 48/7, Nobel Str., Skolkovo Innovation Center, Moscow, 121205Aleksey V. Deikin
Belgorod State National Research University
Email: alexei@deikin.ru
ORCID iD: 0000-0001-9960-0863
Candidate of Sciences (Biology), Associate Professor of the Department of Pharmacology and Clinical Pharmacology
Russian Federation, 85, Pobedy Str., Belgorod, 308015Nikita S. Zhunusov
Belgorod State National Research University
Email: nzhunu@mail.ru
ORCID iD: 0000-0002-1969-3615
Assistant of the Department of Pharmacology and Clinical Pharmacology
Russian Federation, 85, Pobedy Str., Belgorod, 308015Anastasia M. Krayushkina
Belgorod State National Research University
Email: krayushkina_2016@mail.ru
ORCID iD: 0000-0002-6830-3820
Assistant of the Department of Pharmacology and Clinical Pharmacology
Russian Federation, 85, Pobedy Str., Belgorod, 308015Vladimir M. Pokrovsky
Belgorod State National Research University
Email: pokrovskiy@bsu.edu.ru
ORCID iD: 0000-0002-1493-3376
Assistant of the Department of Pharmacology and Clinical Pharmacology
Russian Federation, 85, Pobedy Str., Belgorod, 308015Olesya A. Puchenkova
Belgorod State National Research University
Email: lesya759@yandex.ru
ORCID iD: 0000-0002-7657-0937
Resident of the Medical Institute
Russian Federation, 85, Pobedy Str., Belgorod, 308015Kirill D. Chaprov
Belgorod State National Research University; Institute of Physiologically Active Compounds at Federal Research Center of Problems of Chemical Physics and Medicinal Chemistry, Russian Academy of Sciences (IPAC RAS)
Email: chapkir@gmail.com
ORCID iD: 0000-0002-0258-1879
Junior Researcher of Laboratory for Modeling and Gene Therapy of Human Diseases, Junior Researcher
Russian Federation, 85, Pobedy Str., Belgorod, 308015; 1, Severny Driveway, Chernogolovka, 142432Natalya V. Ekimova
Belgorod State National Research University
Email: ekimova@bsu.edu.ru
ORCID iD: 0000-0002-3629-048X
Assistant of the Department of Pharmacology and Clinical Pharmacology
Russian Federation, 85, Pobedy Str., Belgorod, 308015Sergey N. Bardakov
S. M. Kirov Military Medical Academy
Email: epistaxis@mail.ru
ORCID iD: 0000-0002-3804-6245
Neurologist, Lecturer of the Department of Nervous Diseases
Russian Federation, 6, Academician Lebedev Str., St. Petersburg, 194044Olga N. Chernova
North-Western State Medical University named after I.I. Mechnikov
Email: olgachernova92@yandex.ru
ORCID iD: 0000-0001-6310-9319
Assistant of the Department of Human Morphology
Russian Federation, 41, Kirochnaya Str., St. Petersburg, 191015Aleksey M. Emelin
Belgorod State National Research University; North-Western State Medical University named after I.I. Mechnikov
Email: eamar40rn@gmail.com
ORCID iD: 0000-0003-4109-0105
Assistant of the Department of Pathological Anatomy, Postgraduate Student of the Department of Pathological Anatomy
Russian Federation, 85, Pobedy Str., Belgorod, 308015; 41, Kirochnaya Str., St. Petersburg, 191015Igor S. Limaev
North-Western State Medical University named after I.I. Mechnikov
Email: ig.limaev@gmail.com
ORCID iD: 0000-0002-0994-9787
Senior Assistant of the Department of Pathological Anatomy
Russian Federation, 41, Kirochnaya Str., St. Petersburg, 191015References
- Reash NF, James MK, Alfano LN, Mayhew AG, Jacobs M, Iammarino MA, Holsten S, Sakamoto C, Tateishi T, Yajima H, Duong T, de Wolf B, Gee R, Bharucha-Goebel DX, Bravver E, Mori-Yoshimura M, Bushby K, Rufibach LE, Straub V, Lowes LP; Jain COS Consortium. Comparison of strength testing modalities in dysferlinopathy. Muscle Nerve. 2022 Aug;66(2):159–66. doi: 10.1002/mus.27570
- Contreras-Cubas C, Barajas-Olmos F, Frayre-Martínez MI, Siordia-Reyes G, Guízar-Sánchez CC, García-Ortiz H, Orozco L, Baca V. Dysferlinopathy misdiagnosed with juvenile polymyositis in the pre-symptomatic stage of hyperCKemia: a case report and literature review. BMC Med Genomics. 2022;15(1):139. doi: 10.1186/s12920-022-01284-y
- Bardakov SN, Tsargush VA, Carlier PG, Nikitin SS, Kurbatov SA, Titova AA, Umakhanova ZR, Akhmedova PG, Magomedova RM, Zheleznyak IS, Emelyantsev AA, Berezhnaya EN, A Yakovlev I, Isaev AA, Deev RV. Magnetic resonance imaging pattern variability in dysferlinopathy. Acta Myol. 2021 Dec 31;40(4):158–71. doi: 10.36185/2532-1900-059
- Seo K, Kim EK, Choi J, Kim DS, Shin JH. Functional recovery of a novel knockin mouse model of dysferlinopathy by readthrough of nonsense mutation. Mol Ther Methods Clin Dev. 2021 May 1;21:702–9. doi: 10.1016/j.omtm.2021.04.015
- Kokubu Y, Nagino T, Sasa K, Oikawa T, Miyake K, Kume A, Fukuda M, Fuse H, Tozawa R, Sakurai H. Phenotypic Drug Screening for Dysferlinopathy Using Patient-Derived Induced Pluripotent Stem Cells. Stem Cells Transl Med. 2019 Oct;8(10):1017–29. doi: 10.1002/sctm.18-0280
- Korokin MV, Soldatov VO, Gudyrev OS, Koklin IS, Taran EI, Mishenin MO, Korokina LV, Kochkarov AA, Pokrovsky MV, Varaksin MV, Chupakhin ON. The role of cortisol metabolism in the realization of pathogenetic links in the development of osteoporosis – the rationale for the search for new pharmacotherapeutic targets (review). Research Results in Biomedicine. 2022;8(4):457–73. doi: 10.18413/2658-6533-2022-8-4-0-5. Russian
- Fanin M, Angelini C. Progress and challenges in diagnosis of dysferlinopathy. Muscle Nerve. 2016 Nov;54(5):821–35. doi: 10.1002/mus.25367
- Kuzubova EV, Radchenko AI, Pokrovsky VM, Patrakhanov EA, Novikova AA, Stepenko YuV, Deikin AV. Pathological conditions associated with tau protein: mechanisms of development and possible biological targets for pharmacological correction of tau proteinopathy (review). Research Results in Biomedicine. 2022; 8(4):474–94. doi: 10.18413/2658-6533-2022-8-4-0-6. Russian
- Moore U, Jacobs M, James MK, Mayhew AG, Fernandez-Torron R, Feng J, Cnaan A, Eagle M, Bettinson K, Rufibach LE, Lofra RM, Blamire AM, Carlier PG, Mittal P, Lowes LP, Alfano L, Rose K, Duong T, Berry KM, Montiel-Morillo E, Pedrosa-Hernández I, Holsten S, Sanjak M, Ashida A, Sakamoto C, Tateishi T, Yajima H, Canal A, Ollivier G, Decostre V, Mendez JB, Sánchez-Aguilera Praxedes N, Thiele S, Siener C, Shierbecker J, Florence JM, Vandevelde B, DeWolf B, Hutchence M, Gee R, Prügel J, Maron E, Hilsden H, Lochmüller H, Grieben U, Spuler S, Tesi Rocha C, Day JW, Jones KJ, Bharucha-Goebel DX, Salort-Campana E, Harms M, Pestronk A, Krause S, Schreiber- Katz O, Walter MC, Paradas C, Hogrel JY, Stojkovic T, Takeda S, Mori-Yoshimura M, Bravver E, Sparks S, Díaz-Manera J, Bello L, Semplicini C, Pegoraro E, Mendell JR, Bushby K, Straub V; Jain COS Consortium. Assessment of disease progression in dysferlinopathy: A 1-year cohort study. Neurology. 2019 Jan 9;92(5):e461–74. doi: 10.1212/WNL.0000000000006858
- Harris E, Bladen CL, Mayhew A, James M, Bettinson K, Moore U, Smith FE, Rufibach L, Cnaan A, Bharucha-Goebel DX, Blamire AM, Bravver E, Carlier PG, Day JW, Díaz-Manera J, Eagle M, Grieben U, Harms M, Jones KJ, Lochmüller H, Mendell JR, Mori-Yoshimura M, Paradas C, Pegoraro E, Pestronk A, Salort-Campana E, Schreiber- Katz O, Semplicini C, Spuler S, Stojkovic T, Straub V, Takeda S, Rocha CT, Walter MC, Bushby K; Jain COS Consortium. The Clinical Outcome Study for dysferlinopathy: An international multicenter study. Neurol Genet. 2016 Aug 4;2(4):e89. doi: 10.1212/NXG.0000000000000089
- Jacobs MB, James MK, Lowes LP, Alfano LN, Eagle M, Muni Lofra R, Moore U, Feng J, Rufibach LE, Rose K, Duong T, Bello L, Pedrosa-Hernández I, Holsten S, Sakamoto C, Canal A, Sanchez-Aguilera Práxedes N, Thiele S, Siener C, Vandevelde B, DeWolf B, Maron E, Guglieri M, Hogrel JY, Blamire AM, Carlier PG, Spuler S, Day JW, Jones KJ, Bharucha-Goebel DX, Salort-Campana E, Pestronk A, Walter MC, Paradas C, Stojkovic T, Mori-Yoshimura M, Bravver E, Díaz-Manera J, Pegoraro E, Mendell JR; Jain COS Consortium, Mayhew AG, Straub V. Assessing Dysferlinopathy Patients Over Three Years With a New Motor Scale. Ann Neurol. 2021 May;89(5):967–78. doi: 10.1002/ana.26044
- Mercuri E, Muntoni F. Muscular dystrophies. Lancet. 2013;9(381):845-60. doi: 10.1016/S0140-6736(12)61897-2
- Crudele JM, Chamberlain JS. AAV-based gene therapies for the muscular dystrophies. Hum Mol Genet. 2019 Oct 1;28(R1):R102–R107. doi: 10.1093/hmg/ddz128
- Niewiadomski W, Palasz E, Skupinska M, Zylinski M, Steczkowska M, Gasiorowska A, Niewiadomska G, Riedel G. TracMouse: A computer aided movement analysis script for the mouse inverted horizontal grid test. Sci Rep. 2016 Dec 16;6:39331. doi: 10.1038/srep39331
- Lysikova EA, Chaprov KD. Knock-out of α-, β-, and γ-synuclein genes in mice leads to changes in the distribution of several lipids in the liver and blood plasma. Research Results in Biomedicine. 2022;8(4):448–56. doi: 10.18413/2658-6533-2022-8-4-0-4. Russian
- Chaprov KD, Teterina EV, Roman AY, Ivanova TA, Lysikova EA, Lytkina OA, Koroleva IV, Ovchinnikov RK, Kukharsky MS, Goloborshcheva VV, Kucheryanu VG, Morozov SG, Popova NI, Antohin AI. Comparative analysis of MPTP neurotoxicity in mice with a constitutive knockout of the α-synuclein gene. Molecular Biology. 2021;55(1):133–42. doi: 10.31857/S0026898421010031. Russian
- Spurney CF, Gordish-Dressman H, Guerron AD, Sali A, Pandey GS, Rawat R, Van Der Meulen JH, Cha HJ, Pistilli EE, Partridge TA, Hoffman EP, Nagaraju K. Preclinical drug trials in the mdx mouse: assessment of reliable and sensitive outcome measures. Muscle Nerve. 2009 May;39(5):591–602. doi: 10.1002/mus.21211
- Reeves SL, Fleming KE, Zhang L, Scimemi A. M-Track: A New Software for Automated Detection of Grooming Trajectories in Mice. PLoS Comput Biol. 2016 Sep 16;12(9):e1005115. doi: 10.1371/journal.pcbi.1005115
- Nagaraju K, Raben N, Loeffler L, Parker T, Rochon PJ, Lee E, Danning C, Wada R, Thompson C, Bahtiyar G, Craft J, Hooft Van Huijsduijnen R, Plotz P. Conditional up-regulation of MHC class I in skeletal muscle leads to self-sustaining autoimmune myositis and myositis-specific autoantibodies. Proc Natl Acad Sci U S A. 2000 Aug 1;97(16):9209–14. doi: 10.1073/pnas.97.16.9209
- García-Campos P, Báez-Matus X, Jara-Gutiérrez C, Paz-Araos M, Astorga C, Cea LA, Rodríguez V, Bevilacqua JA, Caviedes P, Cárdenas AM. N-Acetylcysteine Reduces Skeletal Muscles Oxidative Stress and Improves Grip Strength in Dysferlin-Deficient Bla/J Mice. Int J Mol Sci. 2020 Jun 16;21(12):4293. doi: 10.3390/ijms21124293
- Veniaminova E, Oplatchikova M, Bettendorff L, Kotenkova E, Lysko A, Vasilevskaya E, Kalueff AV, Fedulova L, Umriukhin A, Lesch KP, Anthony DC, Strekalova T. Prefrontal cortex inflammation and liver pathologies accompany cognitive and motor deficits following Western diet consumption in non-obese female mice. Life Sci. 2020 Jan 15;241:117163. doi: 10.1016/j.lfs.2019.117163
- Spasov AA, Maltsev DV, Miroshnikov MV, Skripka MO, Sultanova KT, Zhukovskaya ON, Morkovnik AS. Anxiolytic activity of 11H-2,3,4,5-tetrahydro[1,3]diazepino[1,2-A]benzimidazole and 2-mercaptoben- zimizadole derivatives. Russian Journal of Bioorganic Chemistry. 2020;46(1):107–14. doi: 10.31857/S0132342320010145. Russian
- Polyakova LV, Zhukova ES, Irkaeva AM, Chugunova VV, Shcherbatyuk TG, Pozdnyakova MA, Umnyagina IA. The concept of using the test “forced swimming with a load” for experimental modeling of the labor process on laboratory animals. Abstracts of the Ninth Conference of Specialists in Laboratory Animals Rus-LASA, Laboratory animals for science. 2021; 4. doi: 10.29296/2618723X-RusLASA2021-06. Russian
- Zaytseva MS, Ivanov DG, Alexandrovskaya NV The rat work capacity in forced swimming test with load and causes it variability. Journal Biomed. 2015;1(4):30–42. (In Russian)
- Shustov EB, Novikov VS, Berzin IA, Kim AE, Bolotova VT. Functional sports nutrition for martial athletes: design and performance criteria. Journal Biomed. 2017;(1):10–23. Russian
- Chernova ON, Chekmareva IA, Mavlikeev MO, Yakovlev IA, Kiyasov AP, Deev RV. Structural and ultrastructural changes in the skeletal muscles of dysferlin-deficient mice during postnatal ontogenesis. Ultrastruct Pathol. 2022 Jul 4;46(4):359–67. doi: 10.1080/01913123.2022.2105464
- Chernova ON, Mavlikeev MO, Kiyasov AP, Bozo IY, Deev RV. Reactive Changes in Elements of Stromal-Vascular Differons of Dysferlin-Deficient Skeletal Muscles after Procaine Injection. Bull Exp Biol Med. 2021 Mar;170(5):677–81. doi: 10.1007/s10517-021-05131-5
- Chakravorty S, Nallamilli BRR, Khadilkar SV, Singla MB, Bhutada A, Dastur R, Gaitonde PS, Rufibach LE, Gloster L, Hegde M. Clinical and Genomic Evaluation of 207 Genetic Myopathies in the Indian Subcontinent. Front Neurol. 2020 Nov 5;11:559327. doi: 10.3389/fneur.2020.559327
- Khukharevaa DD, Gusevaa KD, Sukhanovaa IuA, Sebentsovab EA, Levitskaya NG. Physiological effects of acute neonatal normobaric hypoxia in C57BL/6 mice IP Pavlov Journal of Higher Nervous Activity. 2020;70(4): 515–27. doi: 10.31857/S0044467720040048
- Ho M, Post CM, Donahue LR, Lidov HG, Bronson RT, Goolsby H, Watkins SC, Cox GA, Brown RH Jr. Disruption of muscle membrane and phenotype divergence in two novel mouse models of dysferlin deficiency. Hum Mol Genet. 2004 Sep 15;13(18):1999-2010. doi: 10.1093/hmg/ddh212
- Hornsey MA, Laval SH, Barresi R, Lochmüller H, Bushby K. Muscular dystrophy in dysferlin-deficient mouse models. Neuromuscul Disord. 2013 May;23(5):377-87. doi: 10.1016/j.nmd.2013.02.004
- Grounds MD, Terrill JR, Radley-Crabb HG, Robertson T, Papadimitriou J, Spuler S, Shavlakadze T. Lipid accumulation in dysferlin-deficient muscles. Am J Pathol. 2014 Jun;184(6):1668–76. doi: 10.1016/j.ajpath.2014.02.005
- Lloyd EM, Xu H, Murphy RM, Grounds MD, Pinniger GJ. Dysferlin-deficiency has greater impact on function of slow muscles, compared with fast, in aged BLAJ mice. PLoS One. 2019 Apr 10;14(4):e0214908. doi: 10.1371/journal.pone.0214908
Supplementary files









