Results of the application of aerobic thermophilic microorganisms for wastewater purification of the oil extraction industry
- Authors: Strelkov A.K.1, Stepanov S.V.1, Morozova K.M.2, Bazarova A.O.1
-
Affiliations:
- Samara State Technical University
- LLC “Trading House “EKOLOS”
- Issue: Vol 13, No 2 (2023)
- Pages: 40-47
- Section: WATER SUPPLY, SEWERAGE, CONSTRUCTION SYSTEMS FOR PROTECTION OF WATER RESOURCES
- URL: https://journals.eco-vector.com/2542-0151/article/view/489362
- DOI: https://doi.org/10.17673/Vestnik.2023.02.06
- ID: 489362
Cite item
Full Text
Abstract
Experiments were carried out in a laboratory batch reactor on the wastewater of LLC “BoMEZ” p. Rich with the use of a biological product under aerobic conditions. The average efficiency of purification of organic substances by COD when using biological product No. 4 was: 1st mode – 62%, 2nd mode – 73%. When using biological product No. 5: 1st mode – 61%, 2nd mode – 74%. Biocenosis at a temperature of 35 to 55°C was represented by lower unicellular fungi immobilized on the load, at a lower temperature there was a symbiosis of bacterial activated sludge and unicellular lower fungi. When conducting an experiment on a pilot plant on the wastewater of JSC “Samaraagroprompererabotka” p.g.t. Bezenchuk, under various operating modes of the enterprise, the values of kinetic constants and coefficients of biological wastewater treatment of oil extraction production were obtained. The maximum rate of oxidation (Vmax) of organic pollutants according to COD was 500 mg/(l·h), Km – 553 mg/l, Si – 52 mg/l; according to BOD5 – Vmax – 333 mg / (l.h), Km – 217 mg / l; for fats Vmax – 55 mg / (l·h), Km – 51 mg / l; the average value of the temperature constant χ for all pollution is 0.048 °C-1. Technological scheme and methodology for calculation of facilities for biological wastewater treatment of oil extraction enterprises with the use of aerobic thermophilic microorganisms has been developed. A feasibility study was carried out for the use of aerobic thermophilic microorganisms for wastewater treatment of oil extraction production, the cost was 25.68 rubles/m3.
Full Text
Сточные воды маслоэкстракционных заводов характеризуются значительными концентрациями загрязнений (до 4800 мг/л по ХПК) и высокой температурой (до 55 °С). На данный момент очистка данной категории сточных вод осуществляется с охлаждением стоков разбавлением, что является экономически нецелесообразным.
Поэтому для эксперимента в аэробных условиях был выбран биоценоз микроорганизмов в составе биопрепаратов «Русский богатырь» с рабочим диапазоном температур от 5 до 55 °С (по данным производителя).
Эксперимент был проведен в лабораторном реакторе периодического действия (SBR) на сточных водах ООО «БоМЭЗ» с. Богатое при температуре сточных вод 23−25 °С и концентрации растворенного кислорода в реакторе 5−7 мг/л. Первый режим − время пребывания 4,79 сут, расход 1 л/сут; второй режим − 3,21 сут, расход 1,5 л/сут. Концентрация органических загрязнений исходной воды по ХПК в течение эксперимента изменялась от 498 до 440 мг/л. На первом режиме работы установки ХПК очищенной воды составляла в среднем для биопрепарата № 4 – 177 мг/л и для биопрепарата № 5 – 189 мг/л. На втором режиме в среднем получено ХПК очищенной воды для биопрепарата № 4 – 117 мг/л и для биопрепарата № 5 – 113 мг/л (рис. 1).
Рис. 1. Динамика изменения концентрации органических веществ по ХПК в лабораторном SBR
Средняя эффективность очистки органических веществ по ХПК при применении биопрепарата № 4 составила: 1-й режим – 64 %, 2-й режим – 73 %. При применении биопрепарата № 5: 1-й режим – 61 %, 2-й режим – 74 %. Эффективность очистки по жирам составила 100 % при концентрации жира в исходной сточной воде 14 мг/л.
На рис. 2 и 3 показано, что микроорганизмы в составе биопрепаратов хорошо закрепляются на загрузке.
Рис. 2. Биомасса, образованная при применении биоценоза микроорганизмов в составе биопрепарата «Русский Богатырь № 4» при температуре до 25 °С
Рис. 3. Биомасса, образованная при применении биоценоза микроорганизмов в составе биопрепарата «Русский Богатырь № 5» при температуре до 25 °С
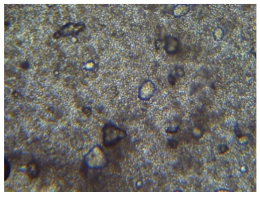
Было проведено микроскопирование при 25 °С, которое подтвердило прирост иммобилизованной чистой культуры и развитие бактериального активного ила при использовании биопрепарата «Русский богатырь № 4» (рис. 4) и «Русский богатырь № 5» (рис. 5), однако бактериальный ил последнего был скудным.
Рис. 4. Структура образованной биомассы и организмы (notommata ansata, litonotus lamella), присутствующие при применении биопрепарата «Русский Богатырь № 4» при температуре 25 °С и увеличении 180×
Рис. 5. Структура образованной биомассы и организмы (litonotus lamella), присутствующие при применении биопрепарата «Русский Богатырь № 5» при температуре 25 °С и увеличении 180×
В конце лабораторного эксперимента был рассчитан прирост биомассы в SBR. Прирост общей биомассы в реакторе при введении биопрепарата «Русский Богатырь № 4» за 10 дней составил в среднем 0,24 г/л, что подтвердило перспективность его применения для биологической очистки. При использовании биопрепарата «Русский Богатырь №5», напротив, наблюдалось снижение общей биомассы, что коррелирует с фото на рис. 2 и 3.
При повышении температуры сточных вод до 45 °С в биореакторе с биокультурой «Русский Богатырь № 4» наблюдалось отсутствие бактериального ила и активный рост иммобилизованной биокультуры, также имело место заполнение сот ББЗ (рис. 6).
Рис. 6. Биомасса, образованная при использовании биопрепарата «Русский Богатырь № 4» при температуре 45 °С
Сравнение микроскопирования полученного биоценоза (рис. 7) и пищевых дрожжей (рис. 8) демонстрирует их идентичность, что дает возможность предположить, что биопрепарат имеет в своем составе одноклеточные низшие грибы.
Рис. 7. Микрокопирование биомассы при применении биопрепарата «Русский Богатырь № 4» (45 °С, увеличение 10×)
Рис. 8. Микрокопирование пищевых дрожжей (45 °С, увеличение 10×)
Исследования на пилотной установке проводились на территории маслоэкстракционного завода АО «Самараагропромпереработка» п.г.т. Безенчук в период с 30.06.2021 г. по 30.10.2021 г. Первоначально время пребывания в установке составляло 3 ч – режим 1. За весь период наблюдения температура поступающих сточных вод изменялась от 40 до 59 °С, концентрация растворенного кислорода в реакторе находилась в диапазоне от 0,34 до 2,31 мг/л. Концентрация жира в поступающих сточных водах изменялась от 22 до 198 мг/л, в среднем − 90 мг/л, в очищенных сточных водах – находилась в пределах от 2 до 48 мг/л, в среднем – 21 мг/л. Эффективность очистки по жирам составила 77 %. Содержание органических загрязнений по ХПК в исходной сточной воде изменялось от 226 до 728 мг/л, в среднем − 401 мг/л, в очищенной сточной воде – от 68 до 266 мг/л, в среднем – 164 мг/л. Эффективность очистки по ХПК достигала 60 % .
Во втором режиме время пребывания в установке было увеличено до 20 ч. Концентрация жиров в исходных сточных водах изменялась от 268 до 494 мг/л, составляла в среднем 395 мг/л, в очищенных сточных водах – от 4 до 43 мг/л, в среднем – 16 мг/л (рис. 9), эффективность очистки в среднем достигла 96 %. Концентрация органических веществ по БПК5 в исходной сточной воде изменялась от 768 до 1532 мг/л, в среднем − 1035 мг/л, в очищенной сточной воде – от 68 до 192 мг/л, в среднем – 133 мг/л (рис. 10), эффективность очистки составила в среднем 87 %. ХПК исходных сточных вод изменялась от 883 до 4816 мг/л, в среднем − 2278 мг/л, в очищенной сточной воде – от 168 до 489 мг/л, в среднем − 279 мг/л, эффективность очистки в среднем составила 88 %.
Рис. 9. Динамика изменения концентрации жиров при продолжительности пребывания в пилотной установке 20 ч
Рис. 10. Динамика изменения БПК5 при продолжительности пребывания в пилотной установке 20 ч
Обработка результатов проведенных исследований на пилотной установке в широком диапазоне температур позволила определить температурную константу χ по уравнению Вант-Гоффа [1] для основных загрязняющих компонентов. Для жира χ составила 0,0478 °С-1, для БПК5 – 0,0496 °С-1, для ХПК – 0,046 °С-1 (рис. 11−13).
Рис. 11. Зависимость объемной скорости окисления по жирам от температуры
Рис. 12. Зависимость объемной скорости окисления по БПК5 от температуры
Рис. 13. Зависимость объемной скорости окисления по ХПК от температуры
Из графиков видно, что объемная скорость возрастает до 53 °С и описывается уравнением Вант-Гоффа, после 53 °С скорость падает, что соответствует данным производителя.
Результаты пилотного эксперимента позволили определить объемные скорости окисления диктующих компонентов (жиры, БПК5, ХПК) от их концентрации в очищенной воде. С помощью полученных температурных констант эти значения были приведены к температуре 40 °С (принята за стандартную).
Получено, что кинетика окисления жиров и органических загрязнений по БПК5 описывается уравнением Михаэлиса-Ментен, а кинетика снижения ХПК – модифицированным уравнением с наличием инертной составляющей [2]. Кинетические зависимости вместе с соответствующими уравнениями представлены на рис. 14−16.
Рис. 14. Кинетика окисления жиров
Рис. 15. Кинетика окисления органических веществ по БПК5
Рис. 16. Кинетика окисления органических веществ по ХПК
Методом линеаризации – двойных обратных величин, были определены кинетические константы Vmax и Кm для каждого из загрязнений [3, 4] (табл. 1).
Таблица 1. Значения кинетических констант процессов биологической очистки сточных вод предприятий маслоэкстракционного производства
Показатель | Жиры | БПК5 | ХПК |
Vmax, мг/(л·ч) | 55,0 | 333,0 | 500,0 |
Кm, мг/л | 51,0 | 217,0 | 553,0 |
χ, °С-1 | 0,0478 | 0,0496 | 0,046 |
Si, мг/л | − | − | 52,0 |
Полученные температурные константы близки по значению, что позволяет применить среднее значение χ для всех показателей (0,048 °С-1) для данного вида сточных вод.
Рекомендуемая технологическая схема сооружений представлена на рис. 17.
Рис. 17. Принципиальная схема биологической очистки сточных вод маслоэкстракционного производства: 1 − производственные сточные воды; 2 – жироуловитель; 3 – усреднитель; 4 – биореактор; 5 – отстойник; 6 − бак дозирования биопрепарата; 7 – воздуходувка
Расчет систем биологической очистки сточных вод с применением аэробных термофильных микроорганизмов основан на разработанной ранее методике [5−7] и полученных в ходе пилотного эксперимента значениях кинетических констант (см. табл. 1). Производительность очистных сооружений была принята 800 м3/сут (33 м3/ч) аналогично предприятию, на сточных водах которого проводился эксперимент. Расчет был выполнен на температуру 45 оС (среднесуточная температура в течение года) и концентрацию растворенного кислорода 1,5 мг/л.
Применив полученные в ходе эксперимента константы, объемная скорость окисления органических веществ V с учетом влияния температуры, при конкретном качестве очистки воды, определяется по формулам:
Продолжительность окисления органических веществ T, ч, в аэробной зоне может быть определена по формуле
. (3)
Результаты расчета представлены в табл. 2. Лимитирующим показателем для расчета аэрационного сооружения, т. е. загрязнением, требующим более длительной очистки, оказались жиры.
Таблица 2. Результаты расчета биореактора для достижения норм сброса в сети города
Показатель | Жиры | БПК5 | ХПК |
Концентрация в исходной сточной воде, мг/л | 400 | 1200 | 1500 |
Концентрация в очищенной воде, мг/л | 50,0 | 300,0 | 500,0 |
Объемная скорость окисления V, мг/(л·ч) | 34,61 | 248,10 | 223,78 |
Продолжительность аэрации Т, ч | 10,1 | 3,6 | 4,3 |
При расчетной продолжительности пребывания 10,1 ч и достижении норм сброса по жирам процесс окисления органические вещества по БПК5 и ХПК будет проходить глубже (табл. 3).
Таблица 3. Результаты расчета при времени пребывания Т = 10,1 ч для достижения норм сброса в сети городской канализации
Показатель | Жиры | БПК5 | ХПК |
Концентрация в очищенной воде, мг/л | 50,0 | 76,0 | 220,0 |
Объемная скорость окисления, V, мг/(л·ч) | 34,61 | 110,99 | 146,63 |
Объем аэрационного сооружения рассчитывается по формуле
Vаэр = qрасч · T. (4)
Технико-экономическое сравнение выполнено для двух вариантов нового строительства сооружений очистки сточных вод для условий маслоэкстракционного завода АО «Самараагропромпереработка»:
вариант 1 – биологическая очистка в биореакторах с иммобилизованным на ББЗ биоценозом аэробных термофильных микроорганизмов;
вариант 2 – физико-химическая очистка с охлаждением поступающих сточных вод до 25 °С и последующая доочистка фильтрованием и сорбцией.
Состав исходных и очищенных сточных вод по основным загрязнениям принят в соответствии с табл. 2. Концентрация биогенных элементов в исходной сточной воде, мг/л: азот аммонийный – 7,8, азот нитратов – 2,35, фосфор фосфатов – 0,57.
Сооружения механической очистки приняты одинаковыми для обоих вариантов и в расчете не учитывались. В сравниваемых вариантах приняты установки обезвоживания осадка до влажности 80 %. В варианте 1 количество задерживаемой биопленки по сухому веществу принято равным количеству дозируемого биопрепарата.
Технико-экономическая целесообразность применения предложенных схем очистки сточных вод осуществлена на основании расчета стоимости жизненного цикла (СЖЦ) (табл. 4). Данный анализ систем биологической очистки был выполнен по методике, разработанной В.И. Баженовым и Н.А. Краснощековой [7]. Согласно ГОСТ Р 58785-2019 с изменением №1, стоимость жизненного цикла определяется по формуле
, (5)
где КАПИТ(Сicз+c + СicПР + Сic + Сin) – сумма капитальных затрат, тыс. руб.: Сicз+c – приобретение земельного участка; СicПР– проектные работы; Сic – оборудование; Сin – монтаж и пусконаладочные работы; ЭКСПЛ(Сe + Сo + Сm + Сs + Сenv) – сумма эксплуатационных затрат, тыс. руб.: Сe– стоимость электроэнергии; Сo – фонд оплаты труда (ФОТ); Сm – затраты на замену оборудования, текущий ремонт, прочие расходы, реагенты; Сs – потери от простоя; Сenv – затраты на охрану окружающей среды; Cd – затраты на вывод объекта из эксплуатации; n – расчетный период, лет; r – ставка дисконтирования, доли ед.; t1, t2 – начало капитальных и эксплуатационных затрат, годы.
Таблица 4. Стоимость жизненного цикла, тыс. руб.
Показатель | Обозначение | Вариант 1 Биореактор + отстойник, 45 °С | Вариант 2 ФХО+ сооружения доочистки, ٢٥ °С |
Сумма капитальных затрат | Сi | 23 145, 69 | 51 339,49 |
Стоимость электроэнергии | Се | 58 702, 25 | 53 290, 91 |
Текущие затраты (ФОТ) | Со | 38 030, 42 | 38 030, 42 |
Замена оборудования, текущий ремонт, реагенты | Сm | 67 185,22 | 100 881,87 |
Охрана окружающей среды | Сenv | 376, 24 | 712, 87 |
Σ эксплуатационных затрат | 164 294, 14 | 192 916, 08 | |
Итого: | СЖЦ | 187 439, 83 | 244 255, 58 |
Экономический эффект | ∆ СЖЦ | 56 815, 74 | |
Стоимость ١ м3, руб./м3 | 25,68 | 33,47 |
Из табл. 4 следует, что наилучшим вариантом оказался первый – биологическая очистка с применением биоценоза аэробных термофильных микроорганизмов. Сумма финансирования по данному варианту, с учетом инвестирования на этапе строительства и 25-летней эксплуатации, меньше, чем по второму варианту, на 56,8 млн. руб.
Выводы.
- Результаты сравнительных исследований на лабораторной установке SBR по очистке сточных вод ООО «БоМЭЗ» с. Богатое показали что средняя эффективность снижения ХПК при применении биоценоза микроорганизмов биопрепарата № 4 составила 68,6 % (с 469 до 147 мг/л), а для биопрепарата № 5 (с 469 до 151 мг/л) − 67,8 %.
- Микрокопирование биомассы биореактора, в который был введен биопрепарат термофильных микроорганизмов, показало, что при температуре от 25 до 35 оС идет развитие бактериального активного ила и биоценоза микроорганизмов в составе биопрепарата (симбиоз), а при температуре от 35 до 55 оС биоценоз представлен только одноклеточными низшими грибами.
- Исследования, проведенные на пилотной установке на сточных водах АО «Самараагропромпереработка» п.г.т. Безенчук, позволили определить основные кинетические константы биологической очистки сточных вод маслоэкстракционного производства с применением аэробных термофильных микроорганизмов: температурная константа χ составила 0,048 град-1; максимальная скорость окисления Vmax органических загрязнений по ХПК составила 500 мг/(л.ч), Km – 553 мг/л, Si – 52 мг/л; по БПК5 Vmax – 333 мг/(л.ч), Km – 217 мг/л; для жиров Vmax − 55 мг/(л.ч), Km – 51 мг/л.
- Технико-экономическое сравнение предлагаемой технологии и существующей схемы с охлаждением, физико-химической очисткой и доочисткой показало экономическую целесообразность применения биологической очистки с иммобилизованными термофильными микроорганизмами. Экономический эффект, определенный по стоимости жизненного цикла 25 лет для очистных сооружений производительностью 800 м3/сут, составил 56,8 млн. руб., себестоимость очистки сточной воды по данному варианту – 25,68 руб./м3.
About the authors
Alexander K. Strelkov
Samara State Technical University
Email: a19400209@yandex.ru
Doctor of Engineering Science, Professor of the Watter Supply and Wastwater Chair
Russian Federation, Samara State Technical University; Academy of Civil Engineering and ArchitectureSergey V. Stepanov
Samara State Technical University
Email: a19400209@yandex.ru
Doctor of Engineering Science, Professor of the Water Supply and Sanitation Chair
Russian Federation, Samara; SamaraKsenia M. Morozova
LLC “Trading House “EKOLOS”
Email: morozova06@inbox.ru
PhD in Engineering Science, Scientific Consultant
Russian Federation, SamaraAnastasya O. Bazarova
Samara State Technical University
Author for correspondence.
Email: bystranova14@mail.ru
Postgraduate Student of the Watter Supply and Wastwater Chair
Russian Federation, Samara; SamaraReferences
- Henze M., Harremoёs P. Ochistka stochnykh vod. Biologicheskie i khimicheskie protsessy [Wastewater treatment. Biologicaland chemical processes]. Moscow, Mir Publ., 2004. 480 p.
- Stepanov S.V. Tekhnologicheskii raschet aerotenkov i membrannykh bioreaktorov [Technological calculation of aeration tanks andmembrane bioreactors]. Moscow, ASV Publishers, 2019. 225 p.
- Iakovlev S.V., Kariukhina T.A. Biokhimicheskie protsessy v ochistke stochnykh vod [Biochemical processes in wastewater treatment]. Moscow, Stroiizdat Publ., 1980. 200 p.
- Morozova K.M. Biokhimicheskaia ochistka stochnykh vod fabrik pervichnoi obrabotki shersti. Ph, Diss. [Biochemical treatment of wastewaterfrom wool primary processing factories. Ph, Diss.]. Moscow, 1979. 231 p.
- Morozova K.M. Principles of calculating the systems of wastewater biological treatment. Vodosnabzhenie i Sanitarnaia Tekhnika [Water supply and sanitary equipment], 2009, no. 1, pp. 26–31. (in Russian)
- Shvetsov V.N., Morozova K.M. Calculation of biological wastewater treatment facilities with removal of biogenic elements. Vodosnabzhenie i Sanitarnaia Tekhnika [Water supply and sanitary equipment], 2013, no. 11, pp. 42–47. (in Russian)
- Bazhenov V.I., Krivoshchekova N.A. Economic analysis of biological wastewater treatment systems based on the indicator − life cycle costs. Vodosnabzhenie i Sanitarnaia Tekhnika [Water supply and sanitary equipment], 2009, no. 2, pp. 69−78. (in Russian)
Supplementary files




















