Комплексная оценка морфофункионального состояния кожного покрова спины подростков с идиопатическим сколиозом
- Авторы: Горбач А.П.1, Щурова Е.Н.1, Горбач Е.Н.1, Кононович Н.А.1, Очирова П.В.1
-
Учреждения:
- ФГБУ «Национальный медицинский исследовательский центр травматологии и ортопедии им. акад. Г.А. Илизарова»
- Выпуск: Том 22, № 3 (2022)
- Страницы: 91-104
- Раздел: Клинические исследования и практика
- Статья опубликована: 12.12.2022
- URL: https://journals.eco-vector.com/MAJ/article/view/108206
- DOI: https://doi.org/10.17816/MAJ108206
- ID: 108206
Цитировать
Полный текст
Аннотация
Обоснование. В условиях развития сколиотической деформации позвоночного столба кожа спины на выступающих участках тела становится уязвимой областью. Однако изучению особенностей состояния кожи спины подростков с идиопатическим сколиозом не уделено должного внимания.
Цель — провести комплексную оценку морфофункциональных свойств кожного покрова спины подростков с идиопатическим сколиозом и определить информативность использованных методов исследования.
Материалы и методы. У 20 подростков с идиопатическим сколиозом исследовали кожный покров спины. Использовали методы: визуальный клинический осмотр, локальную термометрию, лазерную допплеровскую флоуметрию, эстезиометрию, эластометрию, гистологические методы.
Результаты. Визуально в 70 % случаев выявили изменение кожного покрова. В области вершины деформации позвоночника температура кожи на выпуклой стороне была выше, чем на вогнутой. В коже паравертебральной области капиллярный кровоток с выпуклой стороны и в дистальном отделе позвоночника был интенсивнее чем на вогнутой. В дерматомах, соответствующих вершине деформации, отмечали гиперестезию, гипестезию и отсутствие тепловой чувствительности. В паравертебральной и лопаточной проекции, в области вершины деформации регистрировали наиболее низкие показатели эластичности кожи по сравнению с выше и ниже расположенными участками. Выявили гистоструктурные различия кожи в области выпуклой и вогнутой стороны вершины деформации. С выпуклой стороны отмечены истончение эпидермиса и дермы, увеличение толщины подкожно-жировой клетчатки, бóльшая выраженность реактивно-деструктивных изменений волокнистого, сосудистого и иннервирующего компонентов дермы.
Заключение. Использование комплексного подхода при исследовании кожного покрова спины подростков с идиопатическим сколиозом позволило выявить особенности структурных и функциональных изменений, что свидетельствует об информативности выбранных методов. Полученные результаты необходимо учитывать при прогнозировании заживления послеоперационных ран, выборе операционной тактики и реабилитационных мероприятий.
Полный текст
Обоснование
Сколиоз — одно из самых распространенных заболеваний опорно-двигательной системы человека, представляющее важную медико-социальную проблему для отрасли в целом. В популяции населения мира частота его встречаемости достигает 3 % [1, 2]. В 80 % случаев сколиоз имеет идиопатическую природу [3]. Развитие позвоночника и кожного покрова спины тесно связаны между собой. Определено, что дети, имеющие признаки дисплазии кожи в проекции позвоночника, составляют группу риска развития диспластического и врожденного сколиоза [4, 5]. При консервативном и хирургическом лечении деформаций позвоночника детей и подростков кожа спины очень уязвима. Патологический процесс в кожном покрове может возникнуть в виде пролежней, механических повреждений в области трения при ношении корсета, чрезмерного растяжения из-за нарушения биомеханического баланса [6–8]. Диагностические методы, которые применяют для оценки состояния кожного покрова, можно разделить на две основные группы: морфологические (инвазивные и неинвазивные технологии) и функциональные [9]. Для исследования особенностей состояния кожи пациентов с деформациями позвоночника известные методы, используемые в дерматологии, такие как корнеометрия, себуметрия, кутометрия, профилометрия, оптическая когерентная томография, ультразвуковая микроскопия, магнитно-резонансная томография, в силу различных причин применяют редко [10, 11]. Анализ современной литературы показал, что с этой целью наиболее актуальны следующие методы: визуальный клинический осмотр [5, 12, 13]; термометрия для оценки локального температурного статуса [14, 15]; лазерная допплеровская флоуметрия для исследования микроциркуляторного русла [16]; фотоплетизмография для изучения функций артериальных сосудов различного калибра и характеристики венозного оттока [17, 18]; эстезиометрия (анализ температурно-болевой чувствительности) [19, 20]; эластометрия, позволяющая оценить эластические свойства кожи [21, 22]. Для верификации полученных данных рекомендуют выполнять гистологический контроль фрагментов кожного покрова [23, 24]. На сегодняшний день нет однозначного представления, как меняются структурно-функциональные характеристики кожи в области сколиотической деформации позвоночного столба в зависимости от прогрессирования заболевания, возраста пациентов, этиопатогенеза, локализации. Изучению особенностей состояния кожи спины у подростков с идиопатическим сколиозом посвящены немногочисленные работы [21, 24–26]. Поэтому исследования структурно-функциональных характеристик кожи спины данной категории пациентов по-прежнему актуальны. Особое внимание необходимо уделить формированию комплекса информативных, простых и доступных методов исследования для изучения особенностей кожного покрова спины у пациентов с деформацией позвоночного столба.
Цель работы — провести комплексную оценку морфофункциональных свойств кожного покрова спины подростков с идиопатическим сколиозом и определить информативность использованных методов исследования.
Материалы и методы
Исследование кожного покрова спины проведено у 20 подростков с идиопатическим сколиозом в возрасте от 12 до 17 лет. Вершина основной дуги деформации позвоночника соответствовала уровню позвонков ThVI–ThX, I тип по классификации L. Lеnke. Величина основной дуги деформации позвоночника 36–52° по Cobb. Критериями исключения пациентов из выборки служили предыдущие травмы или хирургические вмешательства на спинном мозге и позвоночнике. Для оценки состояния кожного покрова использовали следующие методы исследования: клинический (визуальный клинический осмотр), локальную термометрию, лазерную допплеровскую флоуметрию, эстезиометрию, эластометрию, гистологические методы.
При визуальном клиническом осмотре кожи спины обращали внимание на выраженность венозной и капиллярной сети, присутствие келоидных рубцов, гиперпигментацию кожи над остистыми отростками позвонков, наличие атрофических полос в нижнегрудном и поясничном отделах позвоночника, петехий и экхимозов. Кроме этого оценивали наличие сопутствующих кожных аномалий. Перечисленные патологические проявления со стороны кожного покрова спины были выбраны как наиболее объективные среди известных методов [27, 28].
Исследования физиологическими методами (локальная термометрия, лазерная допплеровская флоуметрия, эластометрия) выполняли по паравертебральной и лопаточной линиям в области вершины дуги деформации (дерматом ThVI–ThX), а также проксимально (дерматом СV–ThI) и дистально (дерматом ThXII–LII) от нее (рис. 1).
Рис. 1. Области обследования кожи спины у подростков с идиопатическим сколиозом (мальчик, 16 лет). P — паравертебральные линии; S — лопаточные линии, расположение относительно вершины деформации: 1 — проксимально; 2 — на уровне вершины деформации; 3 — дистально. Стрелками обозначены места забора интраоперационного материала для гистологического исследования в области вершины дуги деформации
Гистологические исследования осуществляли с выпуклой и вогнутой сторон дуги сколиотической деформации только на уровне ее вершины (рис. 1).
Локальную термометрию выполняли температурными датчиками диагностического комплекса реограф-полианализатор РГПА-6/12 «Реан-Поли» (Медиком-МТД, Россия). Капиллярный кровоток кожи оценивали с использованием лазерного допплеровского флоуметра BLF-21 (Transonic Systems, США) (в мл/мин на 100 г ткани). Электрический эстезиометр (термистор фирмы EPCOS Inc., Германия) применяли для исследования температурно-болевой чувствительности. Измерения проводили симметрично слева и справа относительно вершины деформации (дерматомы ThVI–ThX). Упруго-эластические свойства кожи оценивали с использованием эластометра [29]. Размерность показателя эластичности кожи выражалась в г/(см · град).
Для оценки структурных изменений кожи спины выполняли гистологическое исследование интраоперационного биопсийного материала (фрагменты кожного покрова). Кусочки кожи размером ≤ 5 × 5 мм забирали в области вершины деформации (между позвонками ThV и ThX) с выпуклой и вогнутой ее сторон при выполнении операционного доступа к задним отделам позвоночного столба для хирургического устранения деформации. Фиксацию кусочков кожи осуществляли в 10 % растворе нейтрального формалина. Затем материал дегидратировали в двукратных порциях этилового спирта восходящей крепости (70, 80, 96 и 100°) и заливали в гомогенизированную парафиновую уплотняющую среду Histomix. Гистологические препараты изготавливали при помощи санного микротома (Reichard, Германия), затем окрашивали гематоксилином и эозином, орсеином — литиевым кармином по Унну – Тенцеру, импрегнировали азотнокислым серебром по методике Рассказовой, осуществляли иммуногистохимическое окрашивание с использованием антител к СD 34 и Ki 67. Для постановки иммуногистохимических реакций использовали реактивы и протоколы фирмы Abcam (Великобритания). Описательную морфологию и оцифровку полей зрения гистологических препаратов выполняли с помощью светового микроскопа Axio Lab1 c цифровой камерой AxioCam 105 Сolor и программного обеспечения Zenblue (CarlZeiss Micro Imaging GmbH), а также сканирующего микроскопа для лабораторных исследований PannoramicMidi II BF (3DHistech Ltd., Венгрия) и программного продукта PannoramicViewer, версия 2.4. (3DHistech Ltd., Венгрия). Морфометрические исследования выполняли при помощи программы «ВидеоТест-Мастер-Морфология. 4.0» (Санкт-Петербург, Россия). На цифровых изображениях гистологических препаратов измеряли толщину эпидермиса, дермы и подкожно-жировой клетчатки, вычисляли объемную плотность эластических волокон.
Данная работа проведена в соответствии с этическими стандартами, изложенными в Хельсинкской декларации с последующими дополнениями. Все пациенты или их законные представители (если в работе описаны данные исследований с участием несовершеннолетних) подписали информированное согласие на публикацию данных, полученных в результате исследований, без идентификации личности.
Статистический анализ полученных данных осуществляли с использованием таблиц MS Excel, надстройки AtteStat. Нормальность распределения определяли с помощью критерия Шапиро – Уилка и Колмогорова – Смирнова. При нормальном распределении применяли параметрический принцип статистической обработки (t-критерий Стьюдента). При отсутствии нормального распределения использовали непараметрический принцип статистической обработки. Критический уровень значимости принимали равным 0,05.
Результаты
Анализ состояния кожного покрова спины подростков начинали с визуального клинического осмотра. Из 20 обследованных пациентов у 14 (70 %) обнаружены визуальные изменения в виде пигментации кожи над остистыми отростками, атрофических полос (рис. 2, a), наличия гемангиом видимой сосудистой сети (рис. 2, b), телеангиоэктазий, нетипичного роста волос.
Рис. 2. Примеры визуальных изменений кожного покрова спины подростков с идиопатическим сколиозом: а — стрии; b — выраженная сосудистая сеть
При проведении локальной термометрии в паравертебральной проекции было обнаружено различие величин температуры на разных уровнях исследования (рис. 3). Наименьшие значения регистрировали в дистальном отделе (дерматомы ThXII–LII) и в проекции вершины деформации (дерматомы ThIV–ThX), наибольшие — в проксимальной области (дерматомы СV–ThI). В зоне вершины деформации определяли асимметрию значений температуры. Как правило, локальная температура с вогнутой стороны была более чем на 0,6 градуса меньше (р < 0,05), чем с выпуклой (рис. 3).
Рис. 3. Показатели локальной температуры кожи спины в паравертебральной проекции на уровне различных отделов у подростков с идиопатическим сколиозом. # Достоверность отличия показателей вогнутой стороны от выпуклой, р < 0,05; * достоверные отличия от величин, полученных в проксимальной области, р < 0,05
При оценке капиллярного кровотока кожи спины с помощью лазерной допплеровской флуометрии в проекции лопаток с выпуклой и вогнутой сторон сколиотической деформации во всех точках обследования достоверной разницы выявлено не было (табл. 1). Его показатели незначительно снижались от проксимально до дистально расположенных участков кожи спины. В паравертебральной области показатели скорости капиллярного кровотока в коже спины с выпуклой стороны деформации на вершине дуги были выше на 18,62 % (р < 0,05), в дистальном отделе позвоночника — на 11,4 % (р < 0,05) по сравнению с таковыми с вогнутой стороны.
Таблица 1 / Table 1
Показатели капиллярного кровотока [мл/(мин · 100 г)] кожи спины подростков с идиопатическим сколиозом (n = 20)
Indicators of capillary blood [ml/(min · 100 g)] flow in the skin of the back of adolescents with idiopathic scoliosis (n = 20)
Проекция лопаток | Проекция паравертебральной области | ||||||||||
вогнутая сторона | выпуклая сторона | вогнутая сторона | выпуклая сторона | ||||||||
1 | 2 | 3 | 1 | 2 | 3 | 1 | 2 | 3 | 1 | 2 | 3 |
3,2 ± 0,4 ** ## | 3,2 ± 0,6 ** # | 2,8 ± 0,29 ** ## | 3,0 ± 0,2 ** ## | 3,2 ± 0,6 ** # | 3,0 ± 0,4 ** ## | 3,14 ± 0,3 ** ## | 2,4 ± 0,3 * # | 2,5 ± 0,3 * ## | 3,22 ± 0,3 ** ## | 2,9 ± 0,1 * # | 2,8 ± 0,6 * ## |
Примечание. 1 — проксимальный отдел (дерматом СV–ThI); 2 — вершина дуги деформации (дерматом ThVI–ThX); 3 — дистальный отдел (дерматом ThXII–LII). * р < 0,05 — различия достоверны по отношению к показателям на противоположной стороне относительно дуги деформации позвоночного столба (выпуклая и вогнутая части дуги); ** р < 0,05 — различия не достоверны по отношению к показателям на противоположной стороне относительно дуги деформации позвоночного столба (выпуклая и вогнутая части дуги); # р < 0,05 — различия достоверны по отношению к показателям другой проекции (проекция лопаток и паравертебральная проекция); ## р > 0,05 — различия не достоверны по отношению к показателям другой проекции (проекция лопаток и паравертебральная проекция).
В проксимальном отделе скорости капиллярного кровотока достоверно не различались, хотя показатели с выпуклой стороны имели тенденцию к увеличению по сравнению с вогнутой стороной. В аналогичных точках обследования в лопаточной области достоверно отличались значения, полученные на вершине дуги деформации. В проекции паравертебральной области с вогнутой стороны они были меньше на 25,7 % (р < 0,05), с выпуклой — на 9,4 % (р < 0,05), чем в лопаточной проекции.
Температурно-болевая чувствительность (по данным эстезиометрии) у подростков с идиопатическим сколиозом в дерматомах, которые соответствовали вершине деформации, была существенно изменена (табл. 2). Изменения чувствительности были представлены в виде гиперестезии болевой чувствительности (в 8,5–18,5 % случаев), гипестезии тепловой чувствительности (29–53,5 %), гипестезии болевой чувствительности (51–72,5 %) и отсутствия тепловой чувствительности (35,5–44,5 %). В 78,7 % случаев вершина деформации соответствовала уровню позвонков ThVIII, ThIX, ThX. В соответствующих дерматомах отклонения теплового и болевого видов чувствительности от нормальных значений в сторону снижения наблюдались в 6,4–21,1 % случаев.
Таблица 2 / Table 2
Различные виды изменений температурно-болевой чувствительности в дерматомах, соответствующих вершине деформации позвоночника у пациентов с идиопатическим сколиозом
Distribution of various disorders of temperature and pain sensitivity in dermatomes corresponding to the apex of spinal deformity
Дерматомы | Тепловая чувствительность, % | Болевая чувствительность, % | ||||
порог (норма) | гипестезия | термоанестезия | порог (норма) | гиперестезия | гипестезия | |
ThVI | 27,1 | 28,9 | 43,9 | 38,3 | 8,6 | 52 |
ThVII | 23 | 41 | 38,1 | 35,6 | 19,5 | 50,1 |
ThVIII | 11,9 | 45,1 | 43,2 | 18,4 | 16,3 | 63,9 |
ThIX | 15,2 | 51 | 35,7 | 21,1 | 9,9 | 68,8 |
ThX | 6,1 | 52,9 | 41 | 17,6 | 10,4 | 71,6 |
Повышение порогов тепловой чувствительности колебалось от 1,9 до 7,2 °C (табл. 3). Негативные изменения болевой чувствительности были представлены снижением на 3,1–6,2 или повышением на 1,9–7,9 °C. Повышение порогов болевой чувствительности наблюдалось в 62 % наблюдений и было преобладающим типом нарушения. Снижение порогов регистрировалось в 12 % наблюдений.
Таблица 3 / Table 3
Характеристики температурно-болевой чувствительности у пациентов с идиопатической дефомацией позвоночника (n = 20)
Temperature and pain threshold values in adolescents with idiopathic scoliosis in dermatomes corresponding to the apex of spinal deformity (n = 20)
Дерматомы | Тепловая чувствительность, °C | Болевая чувствительность, °C | ||||
температура кожи | порог (норма) | порог (повышение) | порог (норма) | порог (снижение) | порог (повышение) | |
ThVI | 33,3 ± 0,1 | 36,2 ± 0,7 | 40,6 ± 0,7* | 42,0 ± 0,4 | 37,7 ± 0,5* | 45,1 ± 0,5* |
ThVII | 33,1 ± 0,2 | 36,2 ± 0,5 | 40,7 ± 0,4* | 42,3 ± 0,2 | 38,1 ± 0,4* | 45,9 ± 0,3* |
ThVIII | 33,3 ± 0,2 | 34,5 ± 0,8 | 41,3 ± 0,6* | 42,0 ± 0,6 | 38,3 ± 0,3* | 45,8 ± 0,5* |
ThIX | 33,2 ± 0,1 | 34,2 ± 0,7 | 41,2 ± 0,6* | 41,6 ± 0,4 | 37,2 ± 0,7* | 46,1 ± 0,5* |
ThX | 33,2 ± 0,2 | 35,2 ± 0,8 | 41,3 ± 0,3* | 42,1 ± 0,7 | 38,1 ± 0,1* | 46,3 ± 0,3* |
* Отличия достоверны по отношению к показателям нормы, р < 0,05.
Результаты исследования эластичности кожи спины (эластометрия) показали, что в проекции лопаток показатели упруго-эластических свойств кожи с вогнутой и выпуклой сторон деформации позвоночника на уровне проксимального отдела и вершины дуги не имели достоверных отличий (табл. 4).
Таблица 4 / Table 4
Показатели эластичности кожного покрова спины [г/(см · град)] у подростков с идиопатическим сколиозом (n = 20)
Indicators of the elasticity of the skin of the back [g/(cm · deg)] in adolescents with idiopathic scoliosis (n = 20)
Проекция лопаток | Проекция паравертебральной области | ||||||||||
вогнутая сторона | выпуклая сторона | вогнутая сторона | выпуклая сторона | ||||||||
1 | 2 | 3 | 1 | 2 | 3 | 1 | 2 | 3 | 1 | 2 | 3 |
9,1 ± 0,4 ** # | 7,8 ± 0,3 ** # | 9,3 ± 0,8 * ## | 9,0 ± 0,4 ** # | 7,5 ± 0,7 ** ## | 8,3 ± 0,6 * ## | 8,0 ± 0,6 ** # | 6,5 ± 0,1 * # | 9,1 ± 0,6 * ## | 8,0 ± 0,9 ** # | 7,1 ± 0,01 * ## | 8,2 ± 0,6 * ## |
Примечание. 1 — проксимальный отдел (дерматом СV–ThI); 2 — вершина дуги деформации (дерматом ThVI–ThX); 3 — дистальный отдел (дерматом ThXII–LII). * р < 0,05 — различия достоверны по отношению к показателям на противоположной стороне относительно дуги деформации позвоночного столба (выпуклая и вогнутая части дуги); ** р < 0,05 — различия не достоверны по отношению к показателям на противоположной стороне относительно дуги деформации позвоночного столба (выпуклая и вогнутая части дуги); # р < 0,05 — различия достоверны по отношению к показателям другой проекции (проекция лопаток и паравертебральная проекция); ## р > 0,05 — различия не достоверны по отношению к показателям другой проекции (проекция лопаток и паравертебральная проекция).
В проекции дистального отдела позвоночника с выпуклой стороны деформации эластичность кожи была меньше, чем с вогнутой стороны, на 18,9 % (р < 0,05). Минимальные показатели эластичности были характерны для области вершины деформации независимо от ее стороны. Эластичность кожи в этом участке спины была снижена в среднем на 10–20 % (р < 0,05) по сравнению с кожей на уровне проксимального и дистального отделов области исследования.
В проекции паравертебральной области эластичность кожи в проксимальном отделе была одинаковой с обеих сторон деформации. На уровне вершины дуги деформации значения эластичности с выпуклой стороны были выше на 8,5 % (р < 0,05), а на уровне дистального отдела — ниже на 9,9 % (р < 0,05) относительно показателей на вогнутой стороне. Наиболее низкие значения эластичности с обеих сторон, как и в лопаточной области, соответствовали уровню вершины деформации, где упруго-эластические свойства были сниженными по сравнению с выше и ниже расположенными участками на 12,7–40 % (р < 0,05). При этом в паравертебральной проекции эти значения были ниже, чем в лопаточной: с вогнутой стороны на 19,23 % (р < 0,05), с выпуклой — на 5,63 % (р < 0,05).
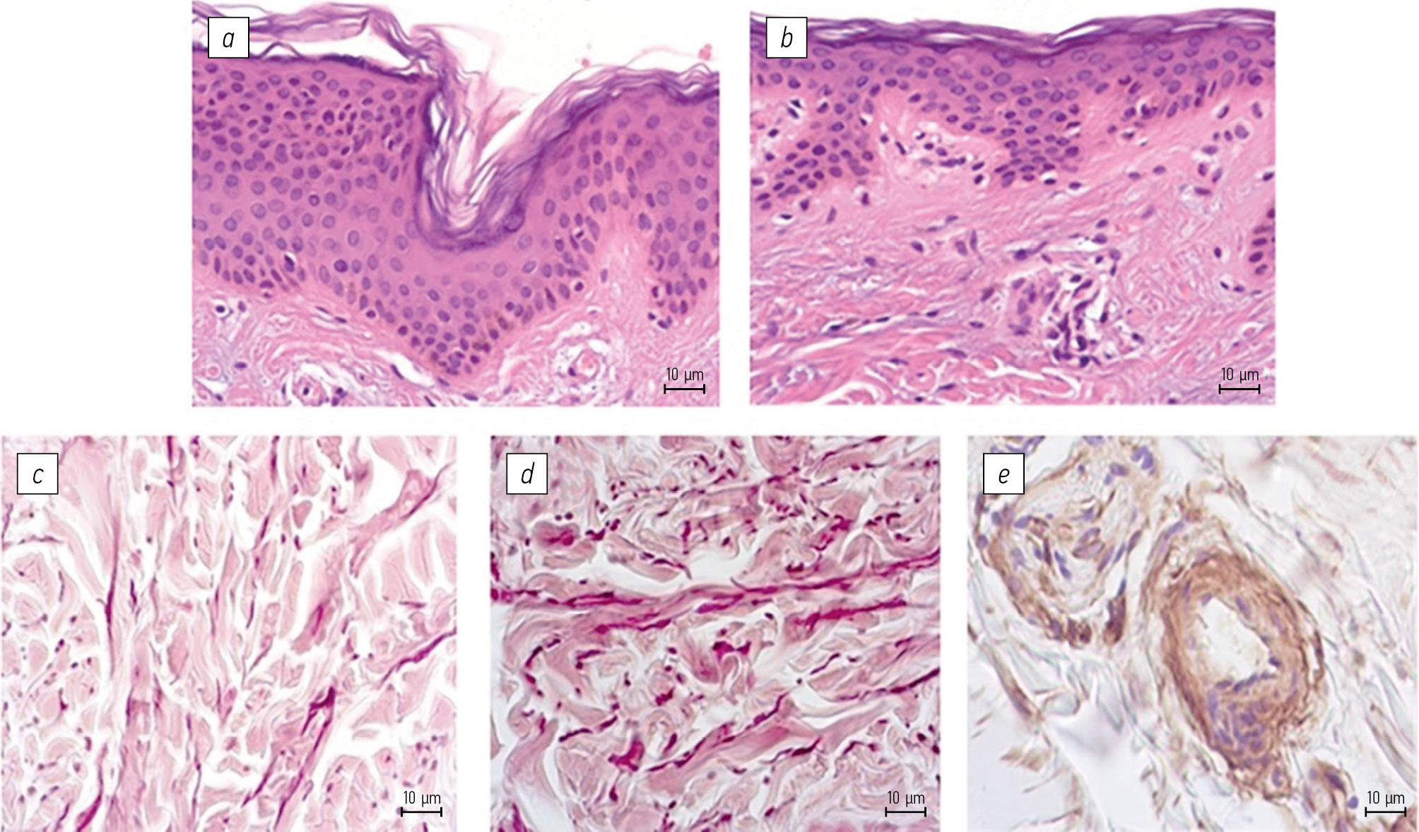
Анализ структурных особенностей кожи спины (гистологическое исследование) показал, что в кожном покрове с выпуклой стороны деформации позвоночника рельеф эпидермиса был наиболее сглажен, чем с вогнутой (рис. 4).
Рис. 4. Особенности гистоструктурной организации кожного покрова спины подростков с идиопатическим сколиозом в области вершины дуги деформации: а – эпидермис с вогнутой стороны; b — эпидермис с выпуклой стороны; эластические волокна в сетчатом слое дермы с вогнутой (с) и выпуклой (d) стороны; е — деструктивные изменения артерии и нервного ствола на границе сетчатого слоя дермы и гиподермы. Окраска: а, b — гематоксилином и эозином; с, d — орсеином по Тенцеру – Унну; е — иммуногистохимическое окрашивание с использованием антител к СD34. Увеличение ×400
С вогнутой стороны роговой слой был более утолщенным и разволокненным. Количество рядов клеток шиповатого слоя эпидермиса составлял от 6 до 13. С выпуклой стороны было от 3 до 8 рядов клеток. С вогнутой стороны деформации клетки базального слоя имели овальную или веретеновидную форму и были ориентированы вертикально относительно поверхности кожи, с выпуклой — были более округлы или овальны, в большинстве участков располагались горизонтально.
В шиповатом и базальном слоях эпидермиса кожного покрова обеих сторон относительно вершины деформации встречались клетки с пикнотически измененными ядрами, апоптозными изменениями, а также клетки в состоянии митотического деления. Клеточный состав дермы был представлен преимущественно клетками фибробластического дифферона, однако вдоль некоторых сосудов обнаруживалось скопление гранулоцитов. Встречались клетки лимфоцитарного и макрофагального ряда.
Проведение морфометрии толщины структурных составляющих кожного покрова показали (табл. 5), что с выпуклой стороны деформации и эпидермис, и дерма были достоверно тоньше, чем с вогнутой в среднем на 12,4 % (р < 0,05) и 4,74 % (р < 0,05).
Таблица 5 / Table 5
Толщина эпидермиса, дермы и подкожно-жировой клетчатки кожного покрова в области вершины дуги деформации позвоночного столба с выпуклой и вогнутой сторон у подростков с идиопатическим сколиозом (n = 20)
The thickness of the epidermis, dermis and subcutaneous fat of the skin in the region of the apex of the arc of spinal column deformity on the convex and concave sides in adolescents with idiopathic scoliosis (n = 20)
Анализируемые зоны кожного покрова | Толщина, мкм | |
на вогнутой стороне дуги | на выпуклой стороне дуги | |
Эпидермис | 63,28 ± 2,99* | 55,43 ± 3,7* |
Дерма | 4371,07 ± 20,48* | 4163,79 ± 69,81* |
Подкожно-жировая клетчатка | 700 ± 250* | 1200 ± 210* |
* р < 0,05 — по отношению к показателям на противоположной стороне относительно дуги деформации позвоночного столба (выпуклая и вогнутая части дуги).
Толщина подкожно-жировой клетчатки, напротив, с выпуклой стороны была больше, чем с вогнутой на 71,42 % (р < 0,05). Эластические волокна в сосочковом слое дермы кожного покрова с обеих сторон деформации образовывали трехмерную тонковолокнистую сеть, наиболее нежного тонкого строения — в области соединения с эпидермисом. Более разветвленная сеть наблюдалась с выпуклой стороны.
В сетчатом слое волокна имели лентовидную или цилиндрическую форму с боковыми ответвлениями. С выпуклой стороны часть волокон приобретала ориентированную направленность, параллельную поверхности кожи.
Объемная плотность эластических волокон (VVel. vol) в коже спины с выпуклой стороны составляла 183 662,2 ± 23 444,8 мм3 ткани и достоверно превышала таковую с вогнутой в сосочковом слое на 43.33 %, где VVel. vol составляла 128 140,2 ± 20 292,6 мм3 (р < 0,05). В сетчатом слое объемная плотность эластических волокон на 30,87 % (р < 0,05) с выпуклой стороны, как и в сосочковом слое, была больше, чем с вогнутой. Значения VVel. vol с выпуклой стороны составляли 179 465,3 ± 7263,0, а с вогнутой — 137 123,6 ± 12 933,5 мм3.
Сосуды сосочкового слоя дермы кожного покрова как с вогнутой, так и с выпуклой стороны вершины дуги деформации были представлены капиллярами, венулами, артериолами, в сетчатом слое наблюдались артерии и вены среднего калибра. Капилляры и венулы были расширены и дилатированы, артериолы — сужены и спазмированы. Артерии и вены среднего калибра находились в состоянии дилатации. В некоторых сосудах независимо от стороны наблюдения обнаруживалось изменение их строения. Отмечали утолщение и отечность адвентиции, изменение клеточной ориентации и фиброзирование мышечного слоя некоторых артерий. Встречались сосуды с облитерированными просветами. Капиллярная сеть была усилена с выпуклой стороны.
В дерме обнаруживались нервные стволики. В некоторых из них были выявлены деструктивные изменения, выражавшиеся в нарушении ориентации проводящих нервных волокон и утолщении соединительнотканных оболочек. Свободные нервные окончания обнаруживались преимущественно в рыхлой соединительной ткани, локализованной вокруг оснований волосяных фолликулов и сальных желез.
Обсуждение
Визуальный осмотр кожного покрова выполняли с целью выявления дерматологических признаков дисплазии соединительной ткани (ДСТ). У пациентов с идиопатическим сколиозом проявление клинических признаков синдрома ДСТ наблюдается довольно часто. Многие авторы рассматривают его как фоновое состояние для данной категории пациентов [30].
В наших исследованиях мы постарались избежать субъективной оценки при визуальном осмотре кожного покрова пациентов, отмечаемой некоторыми авторами [30, 31]. Особое внимание было уделено признакам, локализация которых была связана с основным патологическим процессом пациентов — со сколиотической деформацией позвоночника. Значимыми считали особенности кожного покрова спины в проекции основной дуги деформации. У 70 % обследованных пациентов были обнаружены пигментация кожи над остистыми отростками, атрофические полосы, атрофические рубцы, келоидные рубцы, гемангиомы, видимая сосудистая сеть, телеангиоэктазия, нетипичный рост волос, то есть определены дерматопатологические проявления синдрома ДСТ при идиопатическом сколиозе подростков.
Выполненая термометрия показала достаточно информативные результаты, свидетельствующие, что минимальные значения были характерны для дистального отдела спины и области вершины деформации, максимальные — для проксимального отдела. В области вершины деформации определена асимметрия данного показателя. Локальная температура с вогнутой стороны была достоверно меньше, чем с выпуклой.
Аналогичные изменения на вогнутой и выпуклой стороне деформации описаны в работе C. Milano и соавт. [32], в которой была выполнена термография у 66 пациентов с идиопатическим сколиозом; в 94 % случаев на уровне основной дуги деформации выявили область тепловой асимметрии, свидетельствующую о различном кровоснабжении. В исследованиях других авторов при анализе термограмм, отобранных случайным образом из группы 154 молодых участников эксперимента, показано, что термография имеет чувствительность 98,2 % и специфичность 91,0 % в выявлении сколиоза по сравнению с рентгенографией [33].
Выявленная тепловая асимметрия свидетельствует о различном уровне кровоснабжения вогнутой и выпуклой сторон деформации позвоночника [32, 34], что подтверждается полученными нами данными лазерной доплеровской флуометрии.
При оценке капиллярного кровотока кожи спины в проекции лопаток с выпуклой и вогнутой сторон деформации позвоночного столба во всех зонах обследования достоверной разницы выявлено не было. Его показатели, аналогично данным термометрии, незначительно снижались от проксимально к дистально расположенным участкам кожи спины. В паравертебральной области показатели скорости капиллярного кровотока с выпуклой стороны деформации на вершине дуги и в дистальном отделе позвоночника были достоверно выше по сравнению с таковыми на вогнутой стороне. Аналогичная закономерность была выявлена и при интраоперационном измерении микроциркуляции спинномозговых оболочек у пациентов с идиопатическим сколиозом III–IV степени. Наибольшей по негативным изменениям со стороны кровотока отмечена область вершины угла деформации [35].
Результаты, полученные методом эластометрии, позволили оценить упруго-эластические свойства кожи. Наименьшая эластичность была характерна для кожи спины в области вершины деформации в паравертебральной проекции как с выпуклой, так и с вогнутой стороны. При этом показатели эластометрии были достоверно выше с выпуклой стороны, чем с вогнутой. Данные результаты подтверждаются результатами собственного гистологического исследования и данными, отраженными в работах других авторов, которые у 82 % обследованных пациентов выявили эластопатию [21].
По нашему мнению, изменение эластичности может быть связано как с нарушением кровоснабжения кожи спины, так и с генетическим статусом пациентов. Зоны с наиболее выраженной эластопатией характеризуются наибольшей ишемизацией. У пациентов с различными формами дисплазии соединительной ткани отмечаются мутации генов FBN1 и FBN2, что вызывает нарушение процесса эластогенеза [36].
Методом эстезиометрии в ранее выполненных исследованиях [24] и в настоящей работе у подростков с идиопатическим сколиозом в области вершины деформации выявлены значительные нарушения температурно-болевой чувствительности, которые проявлялись повышением раздражительности кожных рецепторов (гиперестезии) и частичной потерей чувствительности к сенсорным стимулам (гипестезии), отсутствием реакции на тепловое воздействие. Обнаруженные изменения не имели локального характера и были характерны для кожного покрова спины и за пределами области деформации позвоночого столба [37]. Не выявлено зависимости выраженности нарушений температурно-болевой чувствительности кожного покрова от величины деформации и стороны исследования [38].
Причины, вызывающие нарушения температурно-болевых ощущений кожи спины, в разных источниках связывают с этиопатогенезом (нарушение функции задних корешков спинного мозга: изменение биомеханического статуса вследствие деформации позвоночника, и соответственно, натяжение спинного мозга и корешков, изменение положения ганглиев [39]; нарушение функции и структуры рецепторного аппарата, строения нервных волокон в нервах кожи вследствие натяжения, деформации и уменьшения толщины кожи) [24–26]. Последнее положение подтверждено гистологическими результатами настоящего исследования. В некоторых нервных структурах кожного покрова выявлены деструктивные изменения, выражающиеся в нарушении ориентации проводящих нервных волокон и утолщении соединительнотканных оболочек.
При анализе гистоструктурных особенностей кожи спины у подростков с идиопатическим сколиозом также было определено уменьшение толщины всех слоев кожи (эпидермиса, дермы и гиподермы), нарушение структуры сосудов мелкого и среднего калибра, волокнистого остова. Эти изменения в наибольшей степени были представлены на выпуклой стороне вершины сколиотической деформации, что соотносится с полученными нами данными функциональных исследований и результатами других авторов. Так, в работе Л.А. Гребенюк, А.Е. Кобызева [26] методом эхометрии выявлена асимметрия толщины кожного покрова и значительное ее снижение у подростков с идиопатическим сколиозом в возрасте 14–16 лет по сравнению со здоровыми сверстниками. Существуют исследования, доказывающие системные изменения соединительной ткани. Л.А. Дрожжина и соавт. [40] наблюдали у пациентов с идиопатическим сколиозом соединительнотканную дисплазию, проявляющуюся среди прочих признаков снижением тургора кожного покрова. В других исследованиях отмечено нарушение коллагеногенеза и эластогенеза в коже спины пациентов с данной патологией [21, 24, 41]. Наличие асимметрии в проявлении морфологических деструктивных изменений кожи может быть связано и с особенностями биомеханического статуса, созданного деформацией позвоночного столба.
Заключение
Использование комплексного подхода при исследовании кожного покрова спины подростков с идиопатическим сколиозом позволило выявить особенности структурных и функциональных изменений. В области вершины деформации были выявлены асимметрия локальной температуры, признаки ишемизации и эластопатии кожного покрова. В дерматомах, которые соответствовали локализации вершины сколиотической деформации позвоночника, отмечены значительные нарушения температурно-болевой чувствительности, которые проявлялись в виде гиперестезии, гипестезии и отсутствия тепловой чувствительности. Выявлены гистоструктурные различия кожного покрова в проекциях выпуклой и вогнутой сторон вершины деформации позвоночника, которые характеризовались истончением эпидермиса и дермы, увеличением толщины подкожно-жировой клетчатки, большей выраженностью реактивно-деструктивных изменений волокнистого, сосудистого и иннервирующего компонентов дермы с выпуклой стороны вершины сколиотической деформации.
Таким образом, сформированный нами комплекс методов исследования оказался эффективным, а полученные результаты — информативными в плане оценки кожного покрова спины у пациентов с идиопатическим сколиозом. Результаты, полученные в ходе обследования, необходимо учитывать для прогнозирования заживления послеоперационных ран, при выборе операционной тактики и реабилитационных мероприятий пациентов с данной патологией, нуждающихся в хирургическом лечении.
Дополнительная информация
Источник финансирования. Авторы заявляют об отсутствии внешнего финансирования при проведении исследования.
Соответствие принципам этики. Всеми пациентами было подписано информированное согласие на участие в данном исследовании.
Конфликт интересов. Авторы декларируют отсутствие явных и потенциальных конфликтов интересов, связанных с публикацией настоящей статьи.
Вклад авторов. Все авторы внесли существенный вклад в разработку концепции, проведение исследования и подготовку статьи, прочли и одобрили финальную версию перед публикацией. Наибольший вклад распределен следующим образом: А.П. Горбач — выполнение визуального клинического осмотра, изучение капиллярного кровотока и упруго-эластических свойств кожи спины пациентов с идиопатическим сколиозом, анализ полученных данных, написание текста статьи; Е.Н. Щурова — участие в разработке концепции, постановка цели исследования, выполнение исследований температурно-болевой чувствительности кожи спины пациентов с идиопатическим сколиозом и анализ полученных данных, участие в написании текста статьи; Е.Н. Горбач — участие в разработке концепции, выполнение гистологических исследований, анализ полученных данных, участие в написании текста статьи; Н.А. Кононович — выполнение локальной термометрии, анализ полученных данных, участие в написании текста статьи; П.В. Очирова — клиническое ведение пациентов со сколиотической деформацией, формирование выборки пациентов, участие в написании текста статьи.
Additional information
Funding source. This study was not supported by any external sources of funding.
Ethics approval. All patients signed informed consent to participate in this study.
Competing interests. The authors declare the absence of obvious and potential conflicts of interest related to the publication of this article.
Authors’ contribution. All authors have made a significant contribution to the development of the concept and preparation of the article, read and approved the final version before publication. The largest contribution is distributed as follows: A.P. Gorbach — visual clinical examination, studying capillary blood flow and elastic properties of the skin of the back of patients with idiopathic scoliosis, analyzing the data obtained, writing the text of the article; E.N. Shchurova — participation in the development of the concept, setting the goal of the study, performing studies of the temperature-pain sensitivity of the skin of the back of patients with idiopathic scoliosis and analyzing the data obtained, participating in writing the text of the article; E.N. Gorbach — participation in the development of the concept, performance of histological studies, analysis of the data obtained, participation in writing the text of the article; N.A. Kononovich — local thermometry, analysis of the data obtained, participation in writing the text of the article; P.V. Ochirova — clinical management of patients with scoliotic deformity, selection of patients, participation in writing the text of the article.
Об авторах
Алина Павловна Горбач
ФГБУ «Национальный медицинский исследовательский центр травматологии и ортопедии им. акад. Г.А. Илизарова»
Email: alinatomilova@mail.ru
ORCID iD: 0000-0001-7788-2687
SPIN-код: 6127-8754
аспирант
Россия, КурганЕлена Николаевна Щурова
ФГБУ «Национальный медицинский исследовательский центр травматологии и ортопедии им. акад. Г.А. Илизарова»
Email: elena.shurova@mail.ru
ORCID iD: 0000-0003-0816-1004
SPIN-код: 6919-1265
Scopus Author ID: 6602428322
д-р биол. наук, профессор кафедры травматологии, ортопедии и смежных дисциплин, ведущий научный сотрудник научной лаборатории клиники патологии позвоночника и редких заболеваний
Россия, КурганЕлена Николаевна Горбач
ФГБУ «Национальный медицинский исследовательский центр травматологии и ортопедии им. акад. Г.А. Илизарова»
Автор, ответственный за переписку.
Email: gorbach.e@mail.ru
ORCID iD: 0000-0002-9516-7481
SPIN-код: 8110-2803
Scopus Author ID: 56107677500
ResearcherId: 9602-2018
канд. биол. наук, ведущий научный сотрудник лаборатории морфологии
Россия, КурганНаталья Андреевна Кононович
ФГБУ «Национальный медицинский исследовательский центр травматологии и ортопедии им. акад. Г.А. Илизарова»
Email: n.a.kononovich@mail.ru
ORCID iD: 0000-0002-5990-8908
SPIN-код: 4698-3378
канд. вет. наук, ведущий научный сотрудник экспериментальной лаборатории
КурганПолина Вячеславовна Очирова
ФГБУ «Национальный медицинский исследовательский центр травматологии и ортопедии им. акад. Г.А. Илизарова»
Email: poleen@yandex.ru
ORCID iD: 0000-0003-3249-5063
SPIN-код: 3099-5457
канд. мед. наук, врач — травматолог-ортопед, вертебролог, ученый секретарь
Россия, КурганСписок литературы
- Куликов А.Г., Зайцева Т.Н., Пыжевская О.П., Иванова Е.Р. Сколиоз у детей: новые подходы к решению важной медико-социальной проблемы // Медико-социальная экспертиза и реабилитация. 2016. Т. 19, № 4. С. 178–181. doi: 10.18821/1560-9537-2016-19-4-178-181
- Гречаный С.В., Гуренич А.Д., Наумов Д.Г., Мушкин А.Ю. Отношение к болезни в семьях детей с деформациями позвоночника // Гений ортопедии. 2021. Т. 27, № 6. С. 767–772. doi: 10.18019/1028-4427-2021-27-6-767-772
- Hengwei F., Zifang H., Qifei W. et al. Prevalence of idiopathic scoliosis in Chinese schoolchildren: a large, population-based study // Spine. 2016. Vol. 41, No. 3. P. 259–264. doi: 10.1097/BRS.0000000000001197
- Кадурина Т.И., Аббакумова Л.Н. Оценка степени тяжести недифференцированной дисплазии соединительной ткани у детей // Медицинский вестник Северного Кавказа. 2008. Т. 10, № 2. С. 15–20.
- Колчин Д.В. Ранняя диагностика диспластических и врожденных сколиозов // Гений ортопедии. 2012. № 1. С. 54–59.
- Михайловский М.В., Суздалов В.А., Садовой М.А. Хирургическое лечение пациентов со сколиозами 1-й декады жизни: обзор литературы // Хирургия позвоночника. 2016. Т. 13, № 3. С. 32–40. doi: 10.14531/ss2016.3.32-40
- Пантелеев А.А., Сажнев М.Л., Горбатюк Д.С. и др. Трехколонная остеотомия позвоночника при ревизионном вмешательстве у пациентки с врожденным ангулярным грудопоясничным кифосколиозом // Хирургия позвоночника. 2018. Т. 15, № 3. С. 30–38. doi: 10.14531/ss2018.3.30-38
- Guy A., Coulombe M., Labelle H. et al. Biomechanical Effects of thoracolumbosacral orthosis design features on 3D correction in adolescent idiopathic scoliosis: a comprehensive multicenter study // Spine (Phila Pa 1976). 2022. Vol. 47, No. 15. P. 1103–1110. doi: 10.1097/BRS.0000000000004353
- Потекаев Н.Н., Фриго Н.В., Новожилова О.Л., Круглова Л.С. Современные диагностические технологии в дерматовенерологии (клиническая лекция) // Клиническая дерматология и венерология. 2018. Т. 17, № 1. С. 104–114. doi: 10.17116/klinderma2018171104-113
- Резайкин А.В., Кубанова А.А., Резайкина А.В. Неинвазивные методы исследования кожи // Вестник дерматологии и венерологии. 2009. № 6. С. 28–32.
- Золотенкова Г.В., Ткаченко С.Б., Пиголкин Ю.И. Современные неинвазивные методы оценки возрастных изменений кожи // Судебно-медицинская экспертиза. 2015. Т. 58, № 1. С. 26–30. doi: 10.17116/sudmed201558126-30
- Bounakis N., Karampalis C., Sharp H., Tsirikos A.I. Surgical treatment of scoliosis in Rubinstein-Taybi syndrome type 2: a case report // J. Med. Case Rep. 2015. Vol. 9. P. 10. doi: 10.1186/1752-1947-9-10
- Аверьянова Н.И., Коломеец Н.Ю., Семерикова А.И., Старкова А.И. Внешние недифференцированные дисплазии соединительной ткани у младших школьников // Современные проблемы науки и образования. 2020. № 4. C. 131.
- Андреев Р.С., Каленов Ю.Н., Якушкин А.В. и др. Возможности инфракрасной термографии по выявлению морфофункциональных характеристик человека (детей и взрослых) // Вестник Московского университета. Серия 23. Антропология. 2016. № 3. С. 49–58.
- Kwok G., Yip J., Yick K.L. et al. Postural screening for adolescent idiopathic scoliosis with infrared thermography // Sci. Rep. 2017. Vol. 7, No. 1. P. 1–8. doi: 10.1038/s41598-017-14556-w
- Бабошина Н.В., Тихомирова И.А., Малышева Ю.В. Возрастные особенности микроциркуляции у детей младшего школьного возраста // Вестник Северного (Арктического) федерального университета. Серия «Медико-биологические науки». 2016. № 1. С. 13–21. doi: 10.17238/issn2308-3174.2016.1.13
- Yamazaki F., Yuge N. Limb-specific differences in the skin vascular responsiveness to adrenergic agonists // J. Appl. Physiol. 2011. Vol. 111, No. 1. P. 170–176. doi: 10.1152/japplphysiol.00068.2011
- Кобызев А.Е., Кононович Н.А. Особенности гемодинамики поясничного отдела позвоночного столба в условиях эксперимента по моделированию сколиоза // Бюллетень ВСНЦ СО РАМН. 2011. Т.80, № 4. С. 256–258.
- Del Pozzi A.T., Carter S.J., Collins A.B., Hodges G.J. The regional differences in the contribution of nitric oxide synthase to skin blood flow at forearm and lower leg sites in response to local skin warming // Microvascular. Res. 2013. Vol. 90. P. 106–111. doi: 10.1016/j.mvr.2013.10.003
- Дудин М.Г., Пинчук Д.Ю. Идиопатический сколиоз/лекция, часть І. «Парадоксы» // Ортопедия, травматология и восстановительная хирургия детского возраста. 2013. Т. 1, № 1. С. 61–65. doi: 10.17816/PTORS1161-65
- Echenne B., Barneon G., Caillens J.G. et al. Skin elastic fiber pathology and idiopathic scoliosis // J. Pediatr. Orthop. 1988. Vol. 8, No. 5. P. 522–528. doi: 10.1097/01241398-198809000-00004
- Черкасов Н.С., Луценко Л.А., Ледяев М.Я. и др. Современные проблемы патогенеза дисплазии соединительной ткани у детей // Вестник Волгоградского государственного медицинского университета. 2020. Т. 76, № 4. С. 16–23. doi: 10.19163/1994-9480-2020-4(76)-16-23
- Зайдман А.М., Ким И.Ю., Корель А.В., Маркин С.П. Возможность превентивной коррекции дистрофических изменений межпозвонковых дисков методом клеточной инженерии // Хирургия позвоночника. 2007. № 3. С. 65–73.
- Горбач Е.Н., Щурова Е.Н., Кобызев А.Е. и др. Состояние температурно-болевой чувствительности и морфологические особенности кожи спины у больных идиопатическим сколиозом III–IV степени // Рос. физиол. журн. им. И.М. Сеченова. 2015. Т. 101, № 3. С. 349–359.
- Zoabli G., Mathieu P.A., Aubin C.É. Back muscles biometry in adolescent idiopathic scoliosis // Spine J. 2007. Vol. 7, No. 3. P. 338–344. doi: 10.1016/j.spinee.2006.04.001
- Гребенюк Л.А., Кобызев А.Е. Эхоморфометрические характеристики кожи человека при идиопатическом сколиозе // Морфология. 2014. Т. 146, № 4. С. 43–46.
- Кадурина Т.И., Аббакумова Л.Н. Оценка степени тяжести недифференцированной дисплазии соединительной ткани у детей // Медицинский вестник Северного Кавказа. 2008. № 2. С. 15–20.
- Денисов А.С., Загорак Д.П. Экспресс-диагностика дисплазии соединительной ткани в условиях амбулаторно-поликлинической службы // Пермский медицинский журнал. 2018. Т. 35, № 5. С. 36–41. doi: 10.17816/pmj35536-41
- Shchurov V.A. Effect of tension stress by surgical lengthening of limbs with growth retardationon biomechanical and functional propertiesof tissues // Biomechanics and Biomaterials in Orthopedics. Springer: London, 2016. Chapter 23. Р. 283–298. doi: 10.1007/978-1-84882-664-9_21
- Иванова А.А., Лебедева М.Н. Синдром дисплазии соединительной ткани как фоновое состояние у больных с идиопатическим сколиозом // Современные проблемы науки и образования. 2016. № 3. С. 123.
- Baranov V.S., Serebryakova E.A., Arsentyev V.G., Shabalov N.P. Genetics of connective tissue diseases: state of the art and perspectives // Russian journal of genetics. 2018. Vol. 54, No. 7. P. 788–795. doi: 10.1134/S1022795418070025
- Milano C., Rocco P., Paolino G. et al. Telethermographic aspects of the dorsolumbar region in idiopathic scoliosis // Ital. J. Orthop. Traumatol. 1982. Vol. 8, No. 3. P. 361–367.
- Cooke E.D., Carter L.M., Pilcher M.F. Identifying scoliosis in the adolescent with thermography: a preliminary study // Clin. Orthop. Relat. Res. 1980. Vol. 148. P. 172–176.
- Миронов С.П., Ветрилэ С.Т., Нацвлишвили З.Г. и др. Оценка особенностей спинального кровообращения, микроциркуляции в оболочках спинного мозга и нейровегетативной регуляции при сколиозе // Хирургия позвоночника. 2006. № 3. С. 38–48. doi: 10.14531/ss2006.3.38-48
- Щурова Е.Н., Худяев А.Т., Коваленко П.И. Связь степени декомпенсации кровотока оболочек спинного мозга с величиной деформации позвоночника и результатами хирургического лечения у пациентов с идиопатическим сколиозом // Хирургия позвоночника. 2006. № 4. С. 26–32. doi: 10.14531/ss2006.4.26-32
- Румянцева В.А., Заклязьминская Е.В. Клиническое и генетическое разнообразие наследственных дисплазий соединительной ткани. // Клиническая и экспериментальная хирургия. 2015. № 2(8). С. 5–17.
- Koptan W., ElMiligui Y. Three-staged correction of severe rigid idiopathic scoliosis using limited halo-gravity traction // Eur. Spine J. 2012. Vol. 21, No. 6. P. 1091–1098. doi: 10.1007/s00586-011-2111-0
- Chen Z.J., Ma W.W., Wang B. et al. Characteristic of somatosensory evoked potentials in adolescent idiopathic scoliosis and relationship with Cobb angle // Zhonghua Wai Ke Za Zhi. 2009. Vol. 47, No. 13. P. 1010–1013. (In Chinese)
- Chen Z., Qiu Y., Ma W. et al. Comparison of somatosensory evoked potentials between adolescent idiopathic scoliosis and congenital scoliosis without neural axis abnormalities // Spine J. 2014. Vol. 14, No. 7. P. 1095–1098. doi: 10.1016/j.spinee.2013.07.465
- Дрожжина Л.А., Сницаренко А.С., Павлова М.Е. К вопросу лечения тяжелых форм сколиоза с применением корсета Шено // Вестник физиотерапии и курортологии. 2018. Т. 24, № 3. С. 178–179.
- Fischer S., Matzen K.A., Stürz H. et al. Defective type I collagen in a woman patient with juvenile idiopathic scoliosis (author’s transl) // Z. Orthop. 1981. Vol. 119, No. 4. P. 344–350. (In German). doi: 10.1055/s-2008-1051634
Дополнительные файлы






