Influence of constant lighting on the morphofunctional state and rhythmostasis of the liver of rats
- Authors: Grabeklis S.A.1, Mikhaleva L.M.2, Kozlova M.A.2, Areshidze D.A.2, Dygai A.M.3
-
Affiliations:
- Shemyakin & Ovchinnikov Institute of Bioorganic Chemistry
- A.P. Avtsyn Research Institute of Human Morphology, Petrovsky National Research Center of Surgery
- Research Institute of General Pathology and Pathophysiology
- Issue: Vol 23, No 2 (2023)
- Pages: 63-74
- Section: Original research
- Published: 25.08.2023
- URL: https://journals.eco-vector.com/MAJ/article/view/322855
- DOI: https://doi.org/10.17816/MAJ322855
- ID: 322855
Cite item
Abstract
BACKGROUND: There are evidences that light pollution, which causes melatonin deficiency and disruption of circadian rhythm, is associated with the development of malignant neoplasms of the liver, non-alcoholic fatty liver disease, biliary cirrhosis, and a number of other pathologies of this organ.
AIM: The aim of research was to study the features of chronic influence of constant lighting on lability of morphofunctional state of liver of mature Wistar rats and the structure of circadian rhythms of its parameters.
MATERIALS AND METHODS: The study was conducted on 80 rats divided into 2 groups: a control group kept under a fixed light regime (light/dark 12/12 h, lights on at 8:00 and off at 20:00), and an experimental group kept under constant lighting 24 h a day. The duration of the experiment was 3 weeks.
RESULTS: It’s established that influence of constant light led to an increase in the size of hepatocytes and a decrease in nuclear-cytoplasmic ratio, average ploidy and proportion of binuclear hepatocytes, and also to development of fatty degeneration, a decrease in the expression of Bmal1 and Clock, and an increase in the expression of per2 and p53 in hepatocytes. At the same time, there was a decrease in glycogen content in hepatocytes. Dark deprivation also caused an increase in glucose levels, AST activity, and a decrease in blood levels of total protein and albumin. Constant lighting caused a rearrangement of the circadian rhythms of the area of nuclei, the area of the hepatocyte and nuclear-cytoplasmic ratio, Bmal1, per2, Clock expression, and led to destruction of Ki67 and p53 circadian rhythms in hepatocytes. Under conditions of constant lighting, the circadian rhythms of the content of lipids and glycogen in hepatocytes, ALT activity in the blood, and the content of total and direct bilirubin were also destroyed.
CONCLUSIONS: It has been established that constant illumination causes a restructuring of the circadian rhythms of a number of studied parameters against the background of morphological and functional changes, indicating a decrease in the adaptive capacity of the liver.
Keywords
Full Text
Список сокращений
ЯЦО — ядерно-цитоплазматическое отношение; ЦР — циркадный ритм; АЛТ — аланинаминотрансфераза; АСТ — аспартатаминотрансфераза.
Обоснование
Ритмичность процессов функционирования жизнедеятельности на клеточном, органном и системном уровнях — одно из фундаментальных свойств всего живого [1, 2]. Среди широкого спектра биоритмов особо важны для млекопитающих циркадные ритмы (ЦР), связанные со сменой дня и ночи, период колебаний которых составляет 24 ± 4 ч. Именно существование циркадной ритмичности позволяет приспособиться организму млекопитающего к успешному существованию в условиях светового цикла на планете [3–5].
В организме млекопитающих охарактеризовано более 500 различных функций и процессов, обладающих суточной ритмичностью. ЦР функций и процессов организма, отличающиеся друг от друга амплитудой и фазой, в норме строго согласованы между собой и с факторами внешней среды, что обеспечивает необходимый порядок их протекания и делает возможным поддержание функционирования систем организма на оптимальном уровне [6, 7].
Комплекс ЦР млекопитающих генетически обусловлен [8], но может модулироваться влиянием факторов внешней и внутренней среды [9, 10], что обеспечивает адаптацию организма к меняющимся условиям. Чередование цикла дня и ночи — наиболее важный регулятор разнообразных физиологических ритмов для всех живых организмов [11]. При адекватном протекании процессов адаптации факторы внешней среды не оказывают значительного влияния на ЦР, но при срыве адаптации наблюдается нарушение ритмичности процессов и функций, а возникающие изменения фазово-амплитудных характеристик ритмов могут привести к возникновению десинхронозов и быть причиной развития многих заболеваний [12–14].
К значимым факторам дезорганизации биоритмов относят нарушение режима свет/темнота, в частности, световое загрязнение — воздействие света в ночное время [15, 16]. Световое загрязнение обусловлено рядом социальных причин: продолжительным взаимодействием с цифровой техникой, сверхурочной и сменной работой, трансмеридианными перелетами (jetlag) и т. д. [17]. Согласно общепринятой гипотезе «циркадианной деструкции», воздействие света в ночные часы нарушает эндогенный ЦР, а также подавляет ночную секрецию мелатонина эпифизом [18]. Последнее вызывает ускоренное старение, развитие онкологических и обменных патологий, а также заболеваний органов желудочно-кишечного тракта и сердечно-сосудистой системы [19, 20].
Установлена взаимосвязь между световым загрязнением и нарушением углеводного и липидного обмена, развитием сахарного диабета II типа, атеросклероза, новообразований [21–23].
В климато-географических условиях нашей страны нарушенный режим фотопериодизма отмечен в условиях высоких северных широт, часто проявляясь у людей, работающих в этих условиях вахтовым методом, затруднением или нарушением течения адаптационных процессов, в том числе циркадной ритмичности функций организма [24, 25]. Установлено, что световое загрязнение, вызывающее дефицит мелатонина и нарушение циркадной ритмичности, связано с развитием злокачественных новообразований печени, неалкогольной жировой болезни печени, билиарного цирроза и ряда других патологий этого органа [26, 27].
Цель исследования — изучение особенностей хронического влияния постоянного освещения на лабильность морфофункционального состояния печени и структуры ЦР показателей, его характеризующих, у половозрелых крыс Вистар.
Материалы и методы
Работа выполнена на 80 самцах крыс аутбредного стока Вистар в возрасте 6 мес. с массой тела 350 ± 15 г. Животные были получены из питомника ФГБУН НЦБМТ ФМБА России «Столбовая». Первоначально животных содержали в стандартных лабораторных условиях. Содержание крыс и эксперименты выполнены в соответствии с Европейской Конвенцией о защите позвоночных животных, используемых для экспериментов или в других научных целях (Страсбург, 18 марта 1986 г.). На проведение исследования получено разрешение биоэтического комитета ФГБНУ НИИМЧ им. А.П. Авцына, протокол № 34(10) от 14.03.2021.
Крысы были случайным образом разделены на 2 равные группы: в 1-й группе (контроль, n = 40) животных содержали при фиксированном световом режиме (свет/темнота 12/12 ч с включением света в 8:00 и выключением в 20:00); во 2-й (экспериментальная, n = 40) — при постоянном освещении 24 ч в сутки. Длительность эксперимента составляла 3 нед.
Выведение крыс из эксперимента осуществляли в углекислотной камере, оборудованной устройством для верхней подачи газа (100 % СО2) в 9:00, 15:00, 21:00 и 3:00, после чего проводили забор крови для биохимических исследований, также осуществляли эвисцерацию печени.
Часть фрагментов печени фиксировали в 10 % нейтральном забуференном формалине с дальнейшим приготовлением гистопрепаратов, окрашенных по общепринятым методикам гематоксилином и эозином. Из другой части фрагментов печени приготавливали серийные замороженные срезы толщиной 6–8 мкм с дальнейшей их окраской раствором судана III в 70 % этиловом спирте для подтверждения наличия жировой дистрофии. На каждом срезе оценивали степень выраженности жировой дистрофии в баллах; оценку проводили исходя из подсчета доли гепатоцитов с жировой дистрофией по следующей градации:
- 0 баллов — менее 5 % гепатоцитов в состоянии жировой дистрофии;
- 1 балл — от 5 до 33 % гепатоцитов в состоянии жировой дистрофии;
- 2 балла — от 33 до 66 % гепатоцитов в состоянии жировой дистрофии;
- 3 балла — более 66 % гепатоцитов в состоянии жировой дистрофии.
Тотальные препараты печени использовали для получения отпечатков, которые затем окрашивали фуксинсернистой кислотой по Фельгену. Плоидность гепатоцитов рассчитывали в единицах плоидности относительно оптической плотности результатов окраски диплоидных ядер малых лимфоцитов [28].
Микроскопию гистологических препаратов проводили на цифровом микроскопе Leica DM 2500 с применением цифровой фотокамеры Leica DFC 290 (Германия). При морфометрических исследованиях использовали программный комплекс Fiji, построенный на базе программы ImageJ v2 с соответствующими плагинами [29]. Измерения проводили в микрометрах после предварительной геометрической калибровки по оцифрованной с тем же увеличением шкале объект-микрометра. Осуществляли микроморфометрию только интерфазных гепатоцитов без признаков патологических изменений. Определяли площадь поперечного сечения ядра клетки (Sя), площадь поперечного сечения клетки (Sкл); ядерно-цитоплазматическое отношение вычисляли по формуле: ЯЦО = Sя/Sкл. Определяли также долю двухъядерных гепатоцитов.
Гистохимическим методом ШИК-реакции определяли гликоген в гепатоцитах. Количественную оценку содержания гистохимически выявляемых соединений проводили по интенсивности окрашивания препаратов на микрофотографиях, которую оценивали как яркость изображения в уровнях серого от 0 до 255 [30].
Иммуногистохимически с применением традиционных методик определяли интенсивность экспрессии Ki-67, per2, Сlock, Bmal1 и p53 в гепатоцитах. Использовали кроличьи поликлональные антитела (Cloud-Clone Corp., Китай). О результатах иммуногистохимической реакции судили по доле окрашенных клеток относительно общего количества гепатоцитов. Оценку проводили в 4 полях зрения при увеличении ×400. На препаратах подсчитывали клетки, окрашенные с помощью антител, затем вычисляли соответствующий индекс как отношение окрашенных клеток к общему числу клеток в процентах [31].
В плазме крови с помощью анализатора StatFax-3300 (США) с соответствующими наборами «Spinreact» (Испания) определяли уровни исследуемых параметров: общего белка, альбумина, аланинаминотрансферазы (АЛТ), аспартатаминотрансферазы (АСТ), билирубина прямого, билирубина общего, глюкозы.
Статистическую обработку результатов выполняли в программе GraphPad Prism v8.41 (США). Для выявления нормальности распределения использовали тест Д’Агостино – Пирсона. При нормальном распределении использовали t-тест Стьюдента для парного сравнения. При ненормальном распределении использовали тест Манна – Уитни для парного сравнения. Статистически значимыми считали различия при уровне статистической значимости (α) или вероятности ошибки отклонения от нулевой гипотезы или ниже 5 % (p < 0,05). Для статистического расчета амплитуды и акрофазы ЦР выполняли косинор-анализ с использованием программы CosinorEllipse2006-1.1.
Результаты
Морфологическая картина печени крыс контрольной группы соответствовала возрастной норме: печень имела сохранную структуру печеночных балок, состоящих из гепатоцитов полигональной формы, имеющих округлое ядро, расположенное по центру клетки, без признаков патологических изменений, апоптоза и некроза (рис. 1).
Рис. 1. Печень крыс контрольной группы. Окраска гематоксилином и эозином: a — ×200, b — ×400
Fig. 1. Liver of rats of the control group. Нematoxylin and eosin: a — ×200, b — ×400
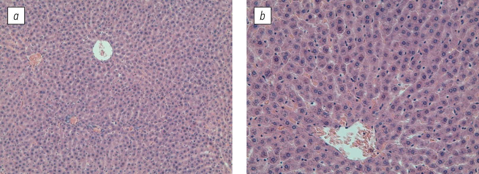
У экспериментальных животных при практически неизмененной структуре печени наблюдаются единичные некротизированные гепатоциты, а также клетки с признаками мелкокапельной жировой дистрофии (рис. 2).
Рис. 2. Печень крыс экспериментальной группы: a — окраска гематоксилином и эозином, ×400; b — окраска суданом III c докраской гематоксилином, ×400
Fig. 2. Liver of rats of the experimental group: a — hematoxylin and eosin, ×400; b — staining with Sudan III with additional staining with hematoxylin, ×400
Трехнедельное пребывание в условиях постоянного освещения приводит к увеличению площади гепатоцита, снижению ЯЦО, плоидности и доли двухъядерных гепатоцитов (табл. 1).
Таблица 1 / Table 1. Результаты микроморфометрических исследований гепатоцитов крыс
Results of micromorphometric studies of rat hepatocytes
Группа животных | Площадь поперечного сечения ядра, мкм2 | Площадь клетки, мкм2 | Ядерно-цитоплазматическое отношение | Плоидность гепатоцитов, n | Доля двухъядерных гепатоцитов, % |
Контроль | 43,87 ± 8,64 | 180,78 ± 28,51 | 0,25 ± 0,05 | 4,62 ± 2,01 | 7,38 ± 1,91 |
Эксперимент | 45,17 ± 5,88 | 268,20 ± 41,91*** | 0,17 ± 0,03*** | 4,01 ± 2,56*** | 4,11 ± 1,58*** |
Примечание. Здесь и далее * p ≤ 0,05; ** p ≤ 0,005; *** p ≤ 0,0005 в сравнении с показателями животных контрольной группы.
Выраженность жировой дистрофии у контрольных крыс составила 0,14 ± 0,09 балла, возрастая у экспериментальной группы до 1,18 ± 0,27 балла.
Анализ содержания липидов в гепатоцитах позволил установить достоверное повышение уровня этих метаболитов относительно контроля (0,271 ± 0,19 ед. опт. пл.) в экспериментальной группе до 0,428 ± 0,054 ед. опт. пл.
В то же время содержание гликогена в гепатоцитах крыс экспериментальной группы достоверно уменьшается относительно 0,315 ± 0,054 ед. опт. пл. в контроле, составляя 0,240 ± 0,048 ед. опт. пл.
Результаты иммуногистохимических исследований продемонстрировали усиление экспрессии р53 при неизменной доле Ki67-позитивных гепатоцитов. Установлено также усиление экспрессии per2 при снижении экспрессии Bmal1 и Clock (табл. 2).
Таблица 2 / Table 2. Интенсивность экспрессии исследованных генов в гепатоцитах
Expression intensity of the studied genes in hepatocytes
Группа животных | Интенсивность экспрессии, % | ||||
р53 | Ki67 | Bmal1 | per2 | Clock | |
Контроль | 2,21 ± 0,38 | 1,10 ± 0,28 | 62,70 ± 6,15 | 55,66 ± 5,87 | 55,28 ± 6,65 |
Эксперимент | 4,05 ± 0,48*** | 1,38 ± 0,59 | 18,14 ± 6,52*** | 17,59 ± 3,39*** | 16,22 ± 3,50*** |
У животных экспериментальной группы содержание глюкозы в крови увеличивается от 7,38 ± 1,08 ммоль/л в контроле до 8,32 ± 1,38 ммоль/л.
Активность АЛТ практически неизменна в экспериментальной группе и составляет 60,33 ± 8,45 Ед/л против 62,77 ± 7,35 Ед/л в контроле. Однако активность АСТ в контроле составила 127,0 ± 24,30 Ед/л, а у крыс экспериментальной группы увеличилась до 163,0 ± 28,61 Ед/л. Общий белок в плазме крови контрольных крыс составляет 71,49 ± 5,86 г/л, его содержание в крови крыс экспериментальной группы оказывается ниже — 63,33 ± 4,90 г/л. Содержание альбумина в контроле 39,58 ± 6,51 г/л, в крови крыс экспериментальной группы снижается до 28,53 ± 5,45 г/л. При анализе содержания прямого и общего билирубина у крыс экспериментальной группы не было отмечено достоверных отличий от уровня контроля (11,56 ± 2,95 и 31,28 ± 6,08 мкмоль/л соответственно).
Для всех исследованных параметров в контроле был обнаружен достоверный ЦР. Так, в гепатоцитах контрольной группы акрофаза размера ядра, клетки и ЯЦО приходится на утренние часы (табл. 3). В результате влияния постоянного освещения уменьшаются амплитуда ритма размеров ядра гепатоцита и ЯЦО и смещается акрофаза ритма ЯЦО в ночные часы.
Таблица 3 / Table 3. Результаты косинор-анализа суточной динамики исследованных микроморфометрических параметров гепатоцитов печени крыс
Results of cosinor analysis of daily dynamics of the studied micromorphometric parameters of rat liver hepatocytes
Параметр | Группа | Акрофаза | Амплитуда |
Площадь ядра | Контроль | 12:18 | 9,45 |
Эксперимент | 11:48 | 5,68 | |
Площадь гепатоцита | Контроль | 10:26 | 18,14 |
Эксперимент | 10:02 | 20,02 | |
Ядерно-цитоплазматическое отношение | Контроль | 11:04 | 0,060 |
Эксперимент | 23:05 | 0,012 |
Косинор-анализ установил наличие ЦР содержания липидов в гепатоцитах крыс контрольной группы: акрофаза ритма приходится на 23:21 часа при амплитуде 0,032 ед. опт. пл. Ритм липидов во второй группе не обнаруживается. Для содержания гликогена в гепатоцитах ритм также отмечен только в контроле, он характеризовался акрофазой в 9:53 и амплитудой 0,024 ед. опт. пл.
Косинор-анализ позволил установить ЦР экспрессии Кi-67 и p53 в гепатоцитах крыс контрольной группы и его отсутствие в клетках крыс экспериментальной группы (табл. 4).
Обнаружен также ритм экспрессии Bmal1, per2 и Clock у животных обеих групп, однако в гепатоцитах экспериментальных крыс эти ритмы претерпевают значительные амплитудно-фазовые перестройки (табл. 4).
Таблица 4 / Table 4. Результаты косинор-анализа суточной динамики экспрессии исследованных генов в гепатоцитах крыс
Results of cosinor analysis of the daily dynamics of the expression of the studied genes in rat hepatocytes
Параметр | Группа | Акрофаза | Амплитуда |
Ki-67 | Контроль | 6:48 | 0,17 |
Эксперимент | Достоверный циркадный ритм не наблюдается | ||
p53 | Контроль | 21:00 | 0,13 |
Эксперимент | Достоверный циркадный ритм не наблюдается | ||
Bmal1 | Контроль | 13:40 | 6,84 |
Эксперимент | 9:48 | 6,02 | |
Per2 | Контроль | 3:48 | 7,54 |
Эксперимент | 12:50 | 13,35 | |
Clock | Контроль | 0:37 | 14,0 |
Эксперимент | 11:42 | 7,54 | |
Результаты косинор-анализа свидетельствуют о наличии ЦР глюкозы у животных всех групп. Достоверный ЦР активности АЛТ установлен только в контроле. В то же время ЦР АСТ с близкими характеристиками отмечен в обеих группах. ЦР общего белка и альбумина обнаруживаются у животных обеих групп. В отличие от них ЦР прямого и общего билирубина отмечены только в контроле (табл. 5).
Таблица 5 / Table 5. Результаты косинор-анализа суточной динамики содержания изученных веществ в крови крыс
Results of the cosinor analysis of the daily dynamics of the content of the studied substances in the blood of rats
Параметр | Группа | Акрофаза | Амплитуда |
Глюкоза | Контроль | 13:14 | 1,52 |
Эксперимент | 12:06 | 0,72 | |
Аланинаминотрансфераза | Контроль | 19:08 | 2,03 |
Эксперимент | Достоверный циркадный ритм не наблюдается | ||
Аспартатаминотрансфераза | Контроль | 10:48 | 18,56 |
Эксперимент | 11:15 | 21,31 | |
Общий белок | Контроль | 15:26 | 7,25 |
Эксперимент | 17:01 | 7,64 | |
Альбумин | Контроль | 14:39 | 8,66 |
Эксперимент | 21:25 | 2,25 | |
Общий билирубин | Контроль | 1:08 | 1,38 |
Эксперимент | Достоверный циркадный ритм не наблюдается | ||
Прямой билирубин | Контроль | 13:51 | 3,35 |
Эксперимент | Достоверный циркадный ритм не наблюдается | ||
Заключение
Темновая депривация вызывает существенные изменения исследованных морфометрических признаков. В частности, происходит увеличение размеров гепатоцитов и снижение ЯЦО, средней плоидности и доли двухъядерных гепатоцитов на фоне повышения апоптической активности.
Поддержание функций печени в стрессогенных условиях может проходить и за счет увеличения плоидности ядер, образования двухъядерных клеток, а также путем компенсаторной гипертрофии клеток [32]. Установлено, что при токсическом воздействии на печень регенерация органа может осуществляться за счет гипертрофии клеток при резком подавлении синтеза ДНК [33]. Возможно, что полиплоидное состояние функционирует как супрессор роста, ограничивая пролиферацию большинства клеток [34]. Снижение доли двухъядерных гепатоцитов свидетельствует о торможении пролиферативных процессов.
Поскольку на начальных этапах адаптации к патогенному воздействию печень реагирует именно гипертрофией гепатоцитов без их пролиферации [35], можно предположить, что в клетках крыс экспериментальной группы адаптация к постоянному освещению и дефициту мелатонина осуществляется преимущественно за счет гипертрофии гепатоцитов вследствие внутриклеточной регенерации, а отмечаемое уменьшение средней плоидности и доли двухъядерных гепатоцитов свидетельствует о снижении регенеративных возможностей органа животных этой группы [36]. Такого рода изменения вызваны тем, что в условиях трехнедельной темновой депривации практически прекращается выработка эпифизарного мелатонина, демонстрирующего многочисленные адаптогенные, в том числе и гепатопротекторные, эффекты [37, 38].
Усиление экспрессии p53 в гепатоцитах крыс экспериментальной группы свидетельствует об увеличении апоптической активности в печени [39]. Снижение экспрессии Bmal1 и Clock и увеличение экспрессии Per2 служат подтверждением хронодеструктивного действия постоянного освещения.
Содержание гликогена в клетках паренхимы печени достоверно уменьшается относительно контроля у животных экспериментальной группы. Этот факт объясняется дефицитом мелатонина, вызывающим как снижение синтеза, так и накопление гликогена в гепатоцитах [40].
Постоянное освещение вызывает начало развития жировой дистрофии, оно коррелирует с продолжительностью стрессорного воздействия [41]. Накопление липидных капель гепатоцитами при стрессе сопровождается усилением экспрессии генов липолиза и β-окисления жирных кислот [42].
Считается, что при нарушениях липидного обмена печени увеличение экспрессии р53 сопровождается снижением интенсивности пролиферации [39]. В наших исследованиях в печени экспериментальных животных наблюдалось повышение как р53, так и per2. По некоторым данным, PER2 может напрямую регулировать активность р53: инактивация PER2 путем мутации задерживает накопление р53 после ионизирующего облучения, повышая чувствительность мышей к развитию рака [43].
Обнаруженная гипергликемия у животных экспериментальной группы обусловлена ответной реакцией на стрессогенное воздействие, а также отсутствием воздействия мелатонина [44].
В крови экспериментальных крыс отмечается только рост активности АСТ, что может быть связано с часто развивающимся при стрессе дефицитом пиридоксина (витамина B6), вследствие чего снижается активность АЛТ в гепатоцитах. В крови крыс экспериментальной группы снижаются уровни общего белка и альбумина как хорошо известного проявления нарушения морфофункциональной целостности печени [45].
При анализе суточного ритма микроморфометрических показателей при постоянном освещении нами установлено, что происходит перестройка суточной ритмичности всех параметров.
Хорошо известно, что размеру как ядер гепатоцитов, так и им самим свойственна циркадная ритмичность, управляемая сменой света и темноты, а также временем приема пищи, однако ее может модулировать значительное количество факторов внешней и внутренней среды, поэтому темновая депривация не могла не вызвать изменений ЦР этих параметров [46]. Механизмы, лежащие в основе циркадной динамики размеров гепатоцитов и их ядер, малоизучены, хотя считается, что размеры ядра отражают степень его функциональной активности, а размеры гепатоцита коррелируют с его белоксинтетической активностью и нарушениями структуры цитоскелета [47].
Постоянное освещение вызывает разрушение ЦР содержания липидов и гликогена в гепатоцитах. Это обусловлено нарушениями ритмов процессов гликогенеза, так как у животных экспериментальной группы сохранился ЦР глюкозы крови, при этом амплитудно-фазовые характеристики его отличаются от контроля незначительно.
Ритмы содержания глюкозы определяются циркадными колебаниями ряда метаболических механизмов, включая периферическую чувствительность к инсулину, чувствительность β-клеток, клиренс инсулина и др. [48]. Доказано существование различных циркадных фенотипов у людей [49], что позволяет предположить их наличие и у грызунов.
Разрушение ритма содержания гликогена в гепатоцитах вызвано рассогласованием ЦР процессов гликогенеза. Нарушение ритмичности липидов вызывается изменением обмена, а также вызванных стрессом и рассогласованием гормональных сигналов, регулирующих метаболизм [50].
У крыс в эксперименте разрушается ЦР экспрессии p53 и Ki67 и перестраиваются ритмы часовых генов. Наиболее устойчивым оказывается ЦР глюкозы крови. В перестроенном виде он обнаруживается у животных экспериментальной группы, во всех случаях его акрофаза приходится на поздние утренние и дневные часы. ЦР АЛТ, обоих типов билирубина у экспериментальных животных разрушаются, а ритмы АСТ, общего белка и альбумина перестраиваются.
Постоянное освещение вызывает увеличение размеров гепатоцитов и снижение ЯЦО, средней плоидности и доли двухъядерных гепатоцитов, развитие жировой дистрофии, снижение экспрессии Bmal1 и Clock и повышение экспрессии per2 и p53 на фоне снижения содержания гликогена.
Темновая депривация вызывает рост содержания глюкозы, активности АСТ и снижение общего белка и альбумина в крови. Постоянное освещение вызывает перестройку ЦР площади ядра, площади гепатоцита и ЯЦО, экспрессии Bmal1, per2, Clock и разрушение ЦР Ki67, p53 в гепатоцитах. В условиях постоянного освещения происходит разрушение ЦР содержания липидов и гликогена в гепатоцитах, активности АЛТ в крови, содержания общего и прямого билирубина.
Дополнительная информация
Источник финансирования. Работа выполнена в рамках государственного задания № 122030200535-1.
Конфликт интересов. Авторы заявляют об отсутствии конфликта интересов.
Вклад авторов. Все авторы внесли существенный вклад в разработку концепции, проведение исследования и подготовку статьи, прочли и одобрили финальную версию перед публикацией. Наибольший вклад распределен следующим образом: А.М. Дыгай, Д.А. Арешидзе, С.А. Грабеклис — концепция и дизайн исследования; С.А. Грабеклис, Д.А. Арешидзе, М.А. Козлова — литературный поиск, участие в исследовании, обработка материала; С.А. Грабеклис, А.М. Дыгай, Д.А. Арешидзе, Л.М. Михалева, М.А. Козлова — анализ и интерпретация данных, написание и редактирование текста.
Additional information
Source of financing. The research was carried out within the framework of state assignment No. 122030200535-1.
Conflict of interest. The authors declare no conflict of interest.
Authors’ contribution. All authors made a significant contributions to concept development and paper preparation, read and approved the final version before publication. The largest contribution is distributed as follows: A.M. Dygai, D.A. Areshidze, S.A. Grabeklis — research concept and design; S.A. Grabeklis D.A. Areshidze, M.A. Kozlova — literary search, participation in the research study, data processing; S.A. Grabeklis, A.M. Dygai, D.A. Areshidze, L.M. Mikhaleva, M.A. Kozlova — data analysis and interpretation, text writing and editing.
About the authors
Sevil A. Grabeklis
Shemyakin & Ovchinnikov Institute of Bioorganic Chemistry
Email: ombn.ramn@mail.ru
ORCID iD: 0009-0002-3290-3768
Engineer of the Laboratory of Chemistry of Proteolytic Enzymes
Russian Federation, MoscowLiudmila M. Mikhaleva
A.P. Avtsyn Research Institute of Human Morphology, Petrovsky National Research Center of Surgery
Email: mikhalevalm@yandex.ru
ORCID iD: 0000-0003-2052-914X
Scopus Author ID: 57213652796
MD, Dr. Sci. (Med.), Corresponding Member of the Russian Academy of Sciences, Director
Russian Federation, MoscowMaria A. Kozlova
A.P. Avtsyn Research Institute of Human Morphology, Petrovsky National Research Center of Surgery
Email: ma.kozlova2021@outlook.com
ORCID iD: 0000-0001-6251-2560
Scopus Author ID: 55976515700
Dr. Sci. (Biol.), Research Associate of Laboratory of Cell Pathology
Russian Federation, MoscowDavid A. Areshidze
A.P. Avtsyn Research Institute of Human Morphology, Petrovsky National Research Center of Surgery
Author for correspondence.
Email: labcelpat@mail.ru
ORCID iD: 0000-0003-3006-6281
SPIN-code: 4348-6781
Scopus Author ID: 55929152900
ResearcherId: G-8387-2014
Dr. Sci. (Biol.), Head of Laboratory of Cell Pathology
Russian Federation, MoscowAlexander M. Dygai
Research Institute of General Pathology and Pathophysiology
Email: ombn.ramn@mail.ru
ORCID iD: 0000-0001-6286-5315
Scopus Author ID: 56248430500
ResearcherId: A-4528-2015
MD, Dr. Sci. (Med.), Academician of the Russian Academy of Sciences, Chief Research Associate
Russian Federation, MoscowReferences
- Rapoport SI, Chibisov SM, Breus TK, et al. Khronobiologiya i khronomeditsina: istoriya i perspektivy. Moscow; 2018. P. 9–38. (In Russ.)
- Forger DB. Biological clocks, rhythms, and oscillations: The theory of biological timekeeping. Cambridge (MA): MIT Press; 2017.
- Chibisov SM, Dement’ev MV, Blagonravov ML, et al. Korrelyatsionno-regressionnyy analiz desinkhronoza. Proceedings of the conference “Novyye tekhnolo-gii v rekreatsii zdorov’ya naseleniya”. 2018. P. 5–10. (In Russ.)
- McKenna H, van der Horst GTJ, Reiss I, Martin D. Clinical chronobiology: a timely consideration in critical care medicine. Crit Care. 2018;22(1):124. doi: 10.1186/s13054-018-2041-x
- Walker WH II, Bumgarner JR, Walton JC, et al. Light pollution and cancer. Int J Mol Sci. 2020;21(24):9360. doi: 10.3390/ijms21249360
- Panda S. Circadian physiology of metabolism. Science. 2016;354(6315):1008–1015. doi: 10.1126/science.aah4967
- Zimmet P, Alberti KGMM, Stern N, et al. The circadian syndrome: is the metabolic syndrome and much more! J Intern Med. 2019;286(2):181–191. doi: 10.1111/joim.12924
- Mure LS, Le HD, Benegiamo G, et al. Diurnal transcriptome atlas of a primate across major neural and peripheral tissues. Science. 2018;359(6381):eaao0318. doi: 10.1126/science.aao0318
- Foster RG, Roenneberg T. Human responses to the geophysical daily, annual and lunar cycles. Curr Biol. 2008;18(17):R784–R794. doi: 10.1016/j.cub.2008.07.003
- Michel S, Meijer JH. From clock to functional pacemaker. Eur J Neurosci. 2020;51(1):482–493. doi: 10.1111/ejn.14388
- Reppert SM, Weaver DR. Coordination of circadian timing in mammals. Nature. 2002;418(6901):935–941. doi: 10.1038/nature00965
- Verlande A, Masri S. Circadian clocks and cancer: Timekeeping governs cellular metabolism. Trends Endocrinol Metab. 2019;30(7):445–458. doi: 10.1016/j.tem.2019.05.001
- Anisimov VN. Light desynchronosis and health. Light and Engineering. 2019;27(3):14–25. doi: 10.33383/2018-120
- Leng Y, Musiek ES, Hu K, et al. Association between circadian rhythms and neurodegenerative diseases. Lancet Neurol. 2019;18(3):307–318. doi: 10.1016/S1474-4422(18)30461-7
- Rumanova VS, Okuliarova M, Zeman M. Differential effects of constant light and dim light at night on the circadian control of metabolism and behavior. Int J Mol Sci. 2020;21(15):5478. doi: 10.3390/ijms21155478
- Bumgarner JR, Nelson RJ. Light at night and disrupted circadian rhythms alter physiology and behavior. Integr Comp Biol. 2021;61(3):1160–1169. doi: 10.1093/icb/icab017
- Fárková E, Schneider J, Šmotek M, et al. Weight loss in conservative treatment of obesity in women is associated with physical activity and circadian phenotype: a longitudinal observational study. Biopsychosoc Med. 2019;13:24. doi: 10.1186/s13030-019-0163-2
- Stevens RG, Davis S, Mirick DK, et al. Alcohol consumption and urinary concentration of 6-sulfatoxymelatonin in healthy women. Epidemiology. 2000;11(6):660–665. doi: 10.1097/00001648-200011000-00008
- Audebrand A, Désaubry L, Nebigil CG. Targeting GPCRs against cardiotoxicity induced by anticancer treatments. Front Cardiovasc Med. 2020;6:194. doi: 10.3389/fcvm.2019.00194
- Han Y, Chen L, Baiocchi L, et al. Circadian rhythm and melatonin in liver carcinogenesis: updates on current findings. Crit Rev Oncog. 2021;26(3):69–85. doi: 10.1615/CritRevOncog.2021039881
- Poggiogalle E, Jamshed H, Peterson CM. Circadian regulation of glucose, lipid, and energy metabolism in humans. Metabolism. 2018;84:11–27. doi: 10.1016/j.metabol.2017.11.017
- Mota MC, Silva CM, Balieiro LCT, et al. Social jetlag and metabolic control in non-communicable chronic diseases: a study addressing different obesity statuses. Sci Rep. 2017;7(1):6358. doi: 10.1038/s41598-017-06723-w
- Yalçin M, El-Athman R, Ouk K, et al. Analysis of the circadian regulation of cancer hallmarks by a cross-platform study of colorectal cancer time-series data reveals an association with genes involved in Huntington’s disease. Cancers (Basel). 2020;12(4):963. doi: 10.3390/cancers12040963
- Shurkevich NP, Vetoshkin AS, Gapon LI, et al. Prognostic value of blood pressure circadian rhythm disturbances in normotensive shift workers of the arctic polar region. Arterial Hypertension. 2017;23(1):36–46. (In Russ.) doi: 10.18705/1607-419X-2017-23-1-36-46
- Ul’yanovskaya SA. Vliyaniye fotoperiodiki Severa na organizm cheloveka (obzor literatury). Proceedings of the International Scientific and Practical Conference “Borodinskiye chteniya”, dedicated to the 90th anniversary of Academician of the Russian Academy of Sciences Yuri I. Borodin. Novosibirsk; 2019. P. 346–352. (In Russ.)
- Wei Y, Neuveut C, Tiollais P, Buendia MA. Molecular biology of the hepatitis B virus and role of the X gene. Pathol Biol (Paris). 2010;58(4):267–272. doi: 10.1016/j.patbio.2010.03.005
- Masri S, Sassone-Corsi P. The emerging link between cancer, metabolism, and circadian rhythms. Nat Med. 2018;24(12):1795–1803. doi: 10.1038/s41591-018-0271-8
- Avtandilov GG. Diagnosticheskaya meditsinskaya ploidometriya. Moscow: Meditsina; 2009. 192 p. (In Russ.)
- Schneider CA, Rasband WS, Eliceiri KW. NIH Image to ImageJ: 25 years of image analysis. Nat Methods. 2012;9(7):671–675. doi: 10.1038/nmeth.2089
- Ir’yanov YuM, Silant’yeva TA, Gorbach YeN, Ir’yanova TYu. A portable device-and-program complex and the possibilities of itsuse for histological studies. Geniy ortopedii. 2004;(3):96–98. (In Russ.)
- Rubin Grandis J, Melhem MF, Barnes EL, Tweardy DJ. Quantitative immunohistochemical analysis of transforming growth factor-alpha and epidermal growth factor receptor in patients with squamous cell carcinoma of the head and neck. Cancer. 1996;78(6):1284–1292. doi: 10.1002/(SICI)1097-0142(19960915)78:6<1284::AID-CNCR17>3.0.CO;2-X
- Lazzeri E, Angelotti ML, Conte C, et al. Surviving acute organ failure: cell polyploidization and progenitor proliferation. Trends Mol Med. 2019;25(5):366–381. doi: 10.1016/j.molmed.2019.02.006
- Nagy P, Teramoto T, Factor VM, et al. Reconstitution of liver mass via cellular hypertrophy in the rat. Hepatology. 2001;33(2):339–345. doi: 10.1053/jhep.2001.21326
- Zhou D, Wang Y, Chen L, et al. Evolving roles of circadian rhythms in liver homeostasis and pathology. Oncotarget. 2016;7(8):8625–8639. doi: 10.18632/oncotarget.7065
- Miyaoka Y, Ebato K, Kato H, et al. Hypertrophy and unconventional cell division of hepatocytes underlie liver regeneration. Curr Biol. 2012;22(13):1166–1175. doi: 10.1016/j.cub.2012.05.016
- Yel’chaninov AV, Fatkhudinov TKh. Regeneratsiya pecheni mlekopitayushchikh: Mezhkletochnyye vzaimodeystviya. Moscow: Nauka; 2020. 126 p. (In Russ.)
- Chojnacki C, Walecka-Kapica E, Romanowski M, et al. Protective role of melatonin in liver damage. Curr Pharm Des. 2014;20(30):4828–4833. doi: 10.2174/1381612819666131119102155
- Esteban-Zubero E, Alatorre-Jiménez MA, López-Pingarrón L, et al. Melatonin’s role in preventing toxin-related and sepsis-mediated hepatic damage: a review. Pharmacol Res. 2016;105:108–120. doi: 10.1016/j.phrs.2016.01.018
- Yatsuji S, Hashimoto E, Tobari M, et al. Influence of age and gender in Japanese patients with non-alcoholic steatohepatitis. Hepatol Res. 2007;37(12):1034–1043. doi: 10.1111/j.1872-034X.2007.00156.x
- Hajam YA, Rai S. Melatonin and insulin modulates the cellular biochemistry, histoarchitecture and receptor expression during hepatic injury in diabetic rats. Life Sci. 2019;239:117046. doi: 10.1016/j.lfs.2019.117046
- Corona-Pérez A, Díaz-Muñoz M, Rodríguez IS, et al. High sucrose intake ameliorates the accumulation of hepatic triacylglycerol promoted by restraint stress in young rats. Lipids. 2015;50(11):1103–1113. doi: 10.1007/s11745-015-4066-0
- Schott MB, Rasineni K, Weller SG, et al. β-Adrenergic induction of lipolysis in hepatocytes is inhibited by ethanol exposure. J Biol Chem. 2017;292(28):11815–11828. doi: 10.1074/jbc.M117.777748
- Panasiuk A, Dzieciol J, Panasiuk B, Prokopowicz D. Expression of p53, Bax and Bcl-2 proteins in hepatocytes in non-alcoholic fatty liver disease. World J Gastroenterol. 2006;12(38):6198–6202. doi: 10.3748/wjg.v12.i38.6198
- Fu L, Pelicano H, Liu J, et al. The circadian gene Period2 plays an important role in tumor suppression and DNA damage response in vivo. Cell. 2002;111(1):41–50. doi: 10.1016/s0092-8674(02)00961-3
- Hardeland R. Melatonin and the pathologies of weakened or dysregulated circadian oscilla sis. Oncotarget. 2017;8(57):96476–96477. doi: 10.18632/oncotarget.22255
- Scheving LA. Biological clocks and the digestive system. Gastroenterology. 2000;119(2):536–549. doi: 10.1053/gast.2000.9305
- Zatloukal K, Denk H, Spurej G, Hutter H. Modulation of protein composition of nuclear lamina. Reduction of lamins B1 and B2 in livers of griseofulvin-treated mice. Lab Invest. 1992;66(5):589–597.
- Chua EC, Shui G, Lee IT, et al. Extensive diversity in circadian regulation of plasma lipids and evidence for different circadian metabolic phenotypes in humans. Proc Natl Acad Sci USA. 2013;110(35):14468–14473. doi: 10.1073/pnas.1222647110
- Bailey SM. Emerging role of circadian clock disruption in alcohol-induced liver disease. Am J Physiol Gastrointest Liver Physiol. 2018;315(3):G364–G373. doi: 10.1152/ajpgi.00010.2018
- DePietro RH, Knutson KL, Spampinato L, et al. Association between inpatient sleep loss and hyperglycemia of hospitalization. Diabetes Care. 2017;40(2):188–193. doi: 10.2337/dc16-1683
Supplementary files




