A patient with Conn’s syndrome in general practice
- Authors: Vasilev N.Y.1
-
Affiliations:
- North-Western State Medical University named after I. I. Mechnikov
- Issue: Vol 23, No 3 (2019)
- Pages: 23-26
- Section: Case report
- Submitted: 18.09.2019
- Accepted: 11.10.2019
- Published: 19.11.2019
- URL: https://journals.eco-vector.com/RFD/article/view/16129
- DOI: https://doi.org/10.17816/RFD2019323-26
- ID: 16129
Cite item
Full Text
Abstract
The article presents the observation of the patient with the Сonn’s syndrome in ambulatory practice. Retrospective analysis of the disease revealed key features of the disease, allowing it to suspect an early stage.
Keywords
Full Text
Первичный гиперальдостеронизм (ПГА) — группа заболеваний, характеризующихся повышением уровня альдостерона, который относительно автономен от ренин-ангиотензиновой системы и не снижается при натриевой нагрузке [1]. На данный момент известно несколько форм ПГА, наиболее частыми среди них являются альдостерон-продуцирующая аденома надпочечников (синдром Конна) и идиопатический гиперальдостеронизм, обусловленный двусторонней гиперплазией надпочечников [2].
Симптомы и признаки ПГА включают повышение артериального давления (АД), приступы слабости и гипокалиемию. Однако следует помнить, что даже нормальный уровень калия в крови или отсутствие аденомы надпочечников не позволяют полностью исключить ИГА [3].
Ранее большинство экспертов оценивали распространенность ПГА менее 1 % пациентов с эссенциальной гипертензией; также предполагали, что гипокалиемия является непременным критерием диагноза [4]. Накопленные данные привели к пересмотру показателей: проспективные исследования продемонстрировали более чем 10 % встречаемости ПГА среди пациентов с артериальной гипертензией (АГ), а обязательное наличие гипокалиемии только у 9–37 % пациентов [4]. Важно также отметить, что в диагностике ПГА имеет значение не только спонтанная, но и индуцированная приемом диуретиков гипокалиемия [5].
Чаще всего причиной первичного альдостеронизма является аденома, обычно односторонняя, состоящая из клеток клубочковой зоны коры надпочечников, реже источником избыточной продукции альдостерона может быть рак коры надпочечников или их гиперплазия [6].
История болезни
Пациентка 37 лет, обратилась к семейному врачу в апреле 2016 г. с симптомами острой респираторной вирусной инфекции. При подробном сборе анамнеза болезни и жизни, выяснилось, что у нее отмечается постоянное повышение АД до цифр 160/100 мм рт. ст., несмотря на проведение комбинированной антигипертензивной терапии (торасемид 5 мг/сут, бисопролол 5 мг/сут, валсартан с гидрохлортиазидом 160/25 мг/сут). Из анамнеза заболевания известно, что пациентка страдает АГ уже более 15 лет. Обращает на себя внимание, что у матери была диагностирована АГ в 30 лет, у отца сердечно-сосудистых заболеваний выявлено не было. У брата пациентки АГ была выявлена в 18 лет. У бабушки АГ была диагностирована в молодом возрасте, а в 54 года она перенесла острое нарушение мозгового кровообращения по ишемическому типу.
При первичном обращении пациентки к участковому терапевту в 2002 г. по поводу повышения АД до 200/100 мм рт. ст. было выполнено обследование: клинический анализ крови, общий анализ мочи, электрокардиограмма, ультразвуковое исследование органов брюшной полости и почек, биохимический анализ крови, который на тот момент не включал калий, натрий. Пациентка была проконсультирована офтальмологом, поставлен диагноз: «Двусторонняя ангиопатия неясной этиологии». Других значимых отклонений по результатам обследования не выявлено, поэтому был поставлен диагноз: «Гипертоническая болезнь I стадии, АГ III степени, сердечно-сосудистый риск 1 (на основании данных семейного анамнеза)». Пациентке длительное время подбиралась различная антигипертензивная терапия, которая не приводила к полному контролю уровня АД.
Примечательно в этом клиническом примере, что за последующие 14 лет лечения у участкового терапевта пациентка была консультирована и другими специалистами. В 2005 г. (в возрасте 25 лет) она повторно была осмотрена офтальмологом, который подтвердил диагноз: «Двусторонняя ангиопатия неясной этиологии». В 2007 г. (в возрасте 27 лет) пациентка проконсультирована неврологом по поводу головных болей, поставлен диагноз: «Хроническое нарушение мозгового кровообращения в вертебро-базилярном бассейне», назначена сосудистая терапия. В 2012 г. (в возрасте 32 лет) в связи с сохраняющимися постоянными головными болями выполнена магнитно-резонансная томография головного мозга, выявлена микроаденома гипофиза. В биохимическом анализе крови было отмечено повышение уровня пролактина до 7000 мкМЕ/мл при норме до 496 мкМЕ/мл. Пациентка осмотрена эндокринологом по месту жительства, поставлен диагноз: «Микроаденома гипофиза. Пролактинома». Назначена терапия Каберголином (препарат из группы гипопролактинемических средств), на фоне которой отмечена нормализация уровня пролактина. При дальнейших ежегодных контрольных обследованиях головного мозга (магнитно-резонансная томография с внутривенным контрастированием) состояние без отрицательной динамики. Начиная с 2014 г. (с 34 лет) пациентка наблюдается у кардиолога по месту жительства с диагнозом: «Гипертоническая болезнь II стадии, АГ III степени, сердечно-сосудистый риск 1». При очередном посещении кардиолога в апреле 2016 г. было назначено исследование уровня электролитов крови (калий, натрий). Результаты продемонстрировали снижение уровня калия до 2,8 ммоль/л (норма 3,5–5 ммоль/л). При повторной консультации кардиолог рекомендовал отменить торасемид в связи с гипокалиемией и назначил спиронолактон 25 мг/сут, но пациентка эти рекомендации не выполнила.
При обращении к семейному врачу в апреле 2016 г. на основании длительного анамнеза заболевания, стойкого повышения АД, анамнеза жизни и гипокалиемии был заподозрен вторичный характер артериальной гипертензии и сформулирован предварительный диагноз «Вторичная артериальная гипертензия. Синдром Конна?»
Для подтверждения диагноза в соответствии с клиническими рекомендациями необходимо было выполнить определение альдостерон-ренинового соотношения [7]. Однако пациентка уже принимала антигипертензивную терапию, которая влияла на данный показатель, поэтому требовалась коррекция лечения с назначением препаратов, которые не влияют на альдостерон-рениновое соотношение [7], и проведением исследования через один месяц от начала применения новой схемы лечения, для получения максимально точных лабораторных показателей. Выбранная схема антигипертензивной терапии включала верапамил 240 мг/сут и доксазозин 1 мг/сут, что позволило достичь полного контроля уровня АД. Исследование, выполненное 08.08.2016, выявило резкое повышение альдостерон-ренинового соотношения, которое составило 398 пг/мкМЕд (норма <12 пг/мкМЕд), что в 33 раза больше нормальных значений.
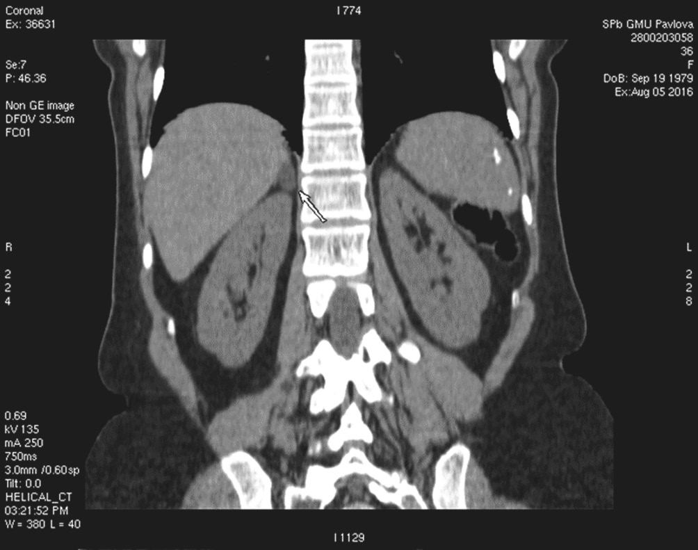
Для оценки состояния надпочечников, а также для дифференциальной диагностики различных форм ПГА 05.08.2016 пациентке была выполнена компьютерная томография органов брюшной полости и забрюшинного пространства с контрастированием (контраст вводился перорально и внутривенно). Было выявлено образование в медиальной ножке правого надпочечника (см. рисунок).
После выполнения тестов второго уровня (тест с натриевой нагрузкой, тест с физиологическим раствором, супрессивный тест с флудрокортизоном, тест с каптоприлом), которые необходимы для верификации синдрома Конна [8], и селективной двусторонней катетеризации вен надпочечников для подтверждения односторонней гиперпродукции альдостерона со стороны образования, был поставлен окончательный диагноз: «Первичный гиперальдостеронизм (синдром Конна). Альдостерон-продуцирующее образование правого надпочечника. Осложнение основного заболевания: Вторичная артериальная гипертензия».
Компьютерно-томографическая картина аденомы правого надпочечника. Образование указано стрелкой
Пациентка была направлена в ФГБУ «НМИЦ им. В. А. Алмазова» Минздрава России, где была выполнена лапароскопическая правосторонняя адреналэктомия. После операции АД полностью нормализовалось и все антигипертензивные препараты были отменены. В дальнейшем было продолжено наблюдение за пациенткой в течение одного года, повышение АД выше нормальных значений выявлено не было, поэтому необходимость в назначении какой-либо гипотензивной терапии отсутствовала.
Заключение
Достаточно высокая распространенность синдрома Конна среди пациентов с артериальной гипертензией позволяет предположить, что это сложное для диагностики и выбора лечебной тактики заболевание может встретиться и в практике семейного врача. Данный клинический случай демонстрирует типичные проявления синдрома Конна, который был заподозрен на основании тщательного сбора анамнеза заболевания и жизни больной, выявлении раннего резкого повышения АД до 200/100 мм рт. ст. и данных лабораторных исследований (гипокалиемия), а в дальнейшем подтвержден результатами дополнительного обследования. Своевременная диагностика и лечение позволили устранить причины артериальной гипертензии и предотвратить развитие серьезных осложнений.
About the authors
Nikolay Yu. Vasilev
North-Western State Medical University named after I. I. Mechnikov
Author for correspondence.
Email: wwjd2000@mail.ru
SPIN-code: 2150-3380
family doctor at the Family Medicine Center
Russian Federation, 41, Kirochnaya street, Saint-Petersburg, 191015References
- Архипова Ю.В., Тарасова Ж.С., Невская Г.В., Лобанова А.В. Первичный гиперальдостеронизм с неврологическими проявлениями (клинический случай) // Вестник Челябинской областной клинической больницы. – 2016. – № 1. – С. 56–59. [Arhipova YuV, Tarasova ZhS, Nevskaya GV, Lobanova AV. Primary hyperaldosteronism with neurological manifestations (case). Vestnik Cheljabinskoy oblastnoy klinicheskoy bol’nicy. 2016;(1):56-59. (In Russ.)]
- Надеева Р.А., Камашева Г.Р., Ягфарова Р.Р. Первичный гиперальдостеронизм в структуре артериальной гипертонии: актуальность проблемы // Вестник современной клинической медицины. – 2015. – Т. 8. – № 6. – С. 98–102. [Nadeeva RA, Kamasheva GR, Yagfarova RR. Primary hyperaldoseronism in the structure of arterial hypertension: actuality of problem. Bulletin of contemporary clinical medicine. 2015;8(6):98-102. (In Russ.)]
- Коротин А.С., Посненкова О.М., Киселев А.Р., и др. Первичный гиперальдостеронизм под маской резистентной эссенциальной гипертензии: редкое заболевание или редкий диагноз? // РМЖ. – 2015. – Т. 23. – № 15. – С. 908–912. [Korotin AS, Posnenkova OM, Kiselev AR, et al. Pervichnyy giperal’dosteronizm pod maskoy rezistentnoy essentsial’noy gipertenzii: redkoye zabolevaniye ili redkiy diagnoz? Russkiy meditsinskiy zhurnal. 2015;23(15):908-912. (In Russ.)]
- Бельцевич Д.Г. Первичный гиперальдостеронизм. Клинические рекомендации // Эндокринная хирургия. – 2008. – Т. 2. – № 2. – С. 6–20. [Bel’tsevich D.G. Pervichnyy giperal'dosteronizm. Klinicheskie rekomendatsii. Endocrine Surgery. 2008;2(2):6-20. (In Russ.)]
- Funder JW, Carey RM, Mantero F, et al. The management of primary aldosteronism: case detection, diagnosis, and treatment: an endocrine society clinical practice guideline. J Clin Endocrinol Metab. 2016;101(5):1889-1916. https://doi.org/10.1210/jc.2015-4061.
- Фадеев В.В., Ванушко В.Э., Бельцевич Д.Г. Рациональная эндокринологическая практика: семинар для эндокринологов и эндокринных хирургов. – М.: Takeda, 2013. – 141 с. [Fadeev VV, Vanuchko VE, Belchevich DG. Ratsional’naya endokrinologicheskaya praktika: seminar dlya endokrinologov i endokrinnykh khirurgov. Moscow: Takeda; 2013; 141 р. (In Russ.)]
- Williams TA, Reincke М. Management of endocrine disease: diagnosis and management of primary aldosteronism: the Endocrine Society guideline 2016 revisited. Eur J Endocrinol. 2018;179(1):R19-R29. https://doi.org/10.1530/EJE-17-0990.
- Cobb A, Aeddula NR. Primary Hyperaldosteronism. In: StatPearls [Internet]. StatPearls Publishing; 2019. Available from: https://www.ncbi.nlm.nih.gov/books/NBK539779/.
Supplementary files




