Диссекция аорты: характеристики истинного и ложного просветов в острую и хроническую стадии при компьютерной томографии
- Авторы: Садыкова Г.К.1,2, Железняк И.С.1, Амосов В.И.3, Рязанов В.В.2,1, Багненко С.С.2,4, Ипатов В.В.1, Латышева А.Я.1
-
Учреждения:
- Военно-медицинская академия
- Санкт-Петербургский государственный педиатрический медицинский университет
- Первый Санкт-Петербургский государственный медицинский университет им. академика И.П. Павлова
- Национальный медицинский исследовательский центр онкологии им. Н.Н. Петрова
- Выпуск: Том 42, № 1 (2023)
- Страницы: 55-64
- Раздел: Научные обзоры
- URL: https://journals.eco-vector.com/RMMArep/article/view/167873
- DOI: https://doi.org/10.17816/rmmar167873
- ID: 167873
Цитировать
Полный текст
Аннотация
Диссекция аорты — это продольный разрыв аорты, связанный с разрушением среднего слоя стенки аорты, разъединением интимы и адвентиции и формированием двух просветов, являющийся ургентным состоянием, требующим оказания экстренной хирургической помощи. Представленный иллюстрированный обзор литературы посвящен дифференциации истинного и ложного просветов в острую и хроническую стадии диссекции аорты при компьютерной томографии.
В статье обобщен и систематизирован опыт компьютерно-томографической диагностики при диссекции аорты на основании данных, имеющихся в отечественных и зарубежных публикациях, а также результатов собственных клинических наблюдений. Нами выделены главные и второстепенные признаки, выявляемые при компьютерной томографии при диссекции аорты.
Наиболее важными и однозначно указывающими на ложный просвет при классической острой и хронической диссекции аорты являются больший размер ложного просвета, признак «клюва» и признак «паутины». Остальные признаки, такие как кальциноз аорты, изменения кривизны и толщины интимомедиального лоскута, симптом «Merсedes-Benz», наличие тромботических масс, характеристики взаиморасположения просветов и симптом «ветроуказателя» менее постоянны, однако внимательный анализ совокупности всех второстепенных признаков позволяет дать важную диагностическую информацию и максимально полно охарактеризовать значимые для сердечно-сосудистого хирурга проявления диссекции аорты.
Совокупный анализ компьютерно-томографических признаков при диссекции аорты поможет практикующему врачу лучевой диагностики не только отличить истинный просвет от аорты ложного, но и на основании их характеристик определить стадию процесса, что влияет на тактику комплексного лечения, особенно при атипично протекающей диссекции.
Полный текст
Диссекция аорты представляет собой продольный разрыв аорты, связанный с разрушением среднего слоя стенки аорты, разъединением интимы и адвентиции и формированием двух просветов [1–4]. Классическое расслоение аорты происходит из-за разрыва интимы с проникновением циркулирующей крови в средний слой аортальной стенки. Это приводит к образованию диссекционного лоскута, разделяющего аорту на два просвета: истинный и ложный [1, 3, 5]. Исходный просвет аорты является истинным просветом, тогда как новый, представляющий собой пространство в среднем слое стенки аорты, заполненное кровью/тромботическими массами, является ложным [1, 3, 4].
Диссекционный лоскут некоторые авторы называют «интимальным». Другие авторы предлагают использовать термин «интимомедиальный» лоскут, так как его ткань состоит не только из ткани интимы, но и ткани среднего слоя [5]. Кроме проксимального разрыва интимы, который служит входом для крови в средний слой стенки аорты, могут встречаться дистальный разрыв интимы, а также дополнительные коммуникативные разрывы между истинным и ложным просветами на всем протяжении диссекции [3, 6]. Диссекция аорты может встречаться как в аневризме аорты, так и в аорте обычного диаметра. Поэтому следует избегать употребления термина «расслаивающая аневризма» [1, 2].
Классическая острая диссекция аорты проявляется внезапной разрывающей или колющей болью, которая иррадиирует в спину и сопровождается вазовагальными реакциями. Однако у 15 % пациентов диссекция может произойти нетипично, т. е. бессимптомно [1, 7].
С учетом ежегодного увеличения КТ-исследований с болюсным введением контрастного вещества врачи лучевой диагностики могут столкнуться с признаками диссекции аорты. Диагносту необходимо ответить на вопрос: это острая диссекция аорты с нетипичной клиникой или случайно обнаруженная хроническая диссекция, ранее не диагностированная? Этот ответ может кардинально изменить тактику ведения пациента. В данной ситуации может помочь знание признаков, выявляемых при компьютерной томографии, в совокупности позволяющих отличить острую диссекцию от хронической.
Сердечно-сосудистому хирургу, выполняющему эндоваскулярные интервенционные процедуры, для планирования вида и способа лечения необходимо точно отличать истинный просвет от ложного [4, 5, 8, 9].
Компьютерно-томографическая ангиография стала методом выбора при диагностике и планировании лечения патологических состояний аорты благодаря малоинвазивности, высокой скорости проведения исследования, большим возможностям постпроцессорной обработки, значительно повышающим информативность исследования. Патология аорты и сопутствующая патология визуализируются в артериальной фазе, отсроченная (венозная) фаза включается в протокол как дополнение для выявления нарушения перфузии органов (при расслоении), а также исключения тромбоза ложного просвета. Преконтрастная фаза полезна в выявлении «свежего» тромба в ложном просвете и интрамуральной гематомы [4, 8].
В данной статье приведен обзор главного и второстепенных признаков, которые возможно определить на постконтрастных изображениях при компьютерной томографии. Совокупный анализ этих признаков помогает отличить истинный просвет от ложного с определением стадии процесса: острая иди хроническая. В нашем обзоре не рассматриваются изменения прилежащих пространств и полостей, сопровождающие диссекцию аорты.
Дифференцировка истинного и ложного просветов
Для диссекции аорты при компьютерной томографии с использованием контрастного вещества характерно наличие интимомедиального лоскута, разделяющего аорту на два просвета: истинный и ложный. Интимомедиальный лоскут необходимо визуализировать как минимум в двух взаимно перпендикулярных плоскостях [1, 5].
Наиболее надежным признаком, позволяющим дифференцировать истинный просвет от ложного, является непрерывность истинного просвета и просвета непораженного отдела аорты дистальнее и/или проксимальнее поврежденного сегмента. Это осуществимо при условии, что истинный просвет прослеживается на всем протяжении, тем не менее если диссекция распространяется в корень аорты, то бывает затруднительно определить уровень перехода истинного просвета в неповрежденной проксимальной части аорты [1, 6, 8, 9]. Также бывает трудно или невозможно визуализировать этот переход в связи с другими причинами. В этих случаях необходимо дифференцировать истинный и ложный просветы на основании ряда второстепенных признаков: размеры просветов, острый угол между интимомедиальным лоскутом и наружной стенкой аорты, наличие линейных дефектов наполнения в ложном просвете, характеристика интимомедиального лоскута, кальциноз стенки аорты, тромбоз просвета, взаиморасположение просветов, наличие двух ложных просветов, инвагинация проксимального лоскута [6, 8, 9].
Размеры просветов
При диссекции аорты давление в ложном просвете превышает или равно давлению в истинном просвете, что приводит к сдавлению последнего (рис. 1, а) вплоть до его коллапса (рис. 1, б) [1, 4, 8].
Рис. 1. Сдавление истинного просвета в восходящем отделе аорты, коллапс истинного просвета в нисходящем отделе аорты. ИП — истинный просвет, ЛП — ложный просвет
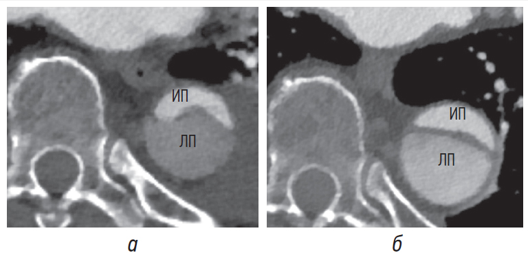
Расширение ложного просвета происходит из-за снижения эластичности его тонкой стенки, содержащей только около 1/3 от исходного количества эластина в сравнении с истинным просветом. В конечном итоге натяжение тонкой стенки ложного просвета может приводить к формированию псевдоаневризмы и разрыву ложного просвета. Общая степень дилатации зависит от артериального давления, остаточной толщины стенки и процента окружности стенки, вовлеченного в расслоение [4]. Больший размер является значимым маркером ложного просвета как при острой, так и при хронической диссекции (рис. 2, а, б) [8].
Рис. 2. Ложный просвет больше истинного просвета при острой диссекции (а) и при контроле через 1 год (б). ИП — истинный просвет, ЛП — ложный просвет
Соотношение размеров истинного и ложного просветов при хронической диссекции больше по сравнению с их соотношением при острой диссекции (рис. 3, а, б) вследствие относительно стабильного размера истинного просвета в сочетании с формированием дегенеративной псевдоаневризмы ложного просвета. Разница наиболее значительна дистальнее отхождения левой подключичной артерии и выше уровня отхождения чревного ствола [7]. При этом истинный просвет чаще имеет цилиндрическую или нитевидную форму.
Рис. 3. Отношение размеров истинного и ложного просветов в острый период (а), в хронический период через 1 год (б). ИП — истинный просвет, ЛП — ложный просвет
Признак «клюва»
Наиболее часто определяемым признаком, который позволяет надежно отличить ложный просвет от истинного, является так называемый признак «клюва» [4, 5, 8]. Он визуализируется в поперечном сечении аорты и представляет собой острый угол при диссекции аорты. Грани угла формируются наружной стенкой аорты на краю ложного просвета и интимомедиальным лоскутом (рис. 4, а, б).
Рис. 4. Признак «клюва» в восходящем отделе аорты (а), в нисходящем отделе аорты (б) (белые стрелки) без признаков тромбоза. Интимомедиальный лоскут отмечен черными стрелками. ИП — истинный просвет, ЛП — ложный просвет ЛП
Пространство, образованное острым углом, может быть заполнено гиперденсным содержимым (повышение плотности крови вследствие контрастного усиления) (рис. 4, а, б). При заполнении этого пространства гиподенсным содержимым, соответствующим частичному/полному тромбозу, угол притупляется (рис. 5, а, б) [4, 5, 8]. Признак «клюва» наблюдается только в ложном просвете во всех случаях острой и хронической диссекции [8].
Рис. 5. Признак «клюва» при частичном (а) и тотальном тромбозе (б) в нисходящем отделе аорты (белые стрелки). ИП — истинный просвет, ЛП — ложный просвет
Признак «паутины»
Более специфичным, хотя и редко встречающимся, признаком ложного просвета является признак «паутины», представляющей собой линейные дефекты наполнения, пересекающие ложный просвет, которые прикрепляются к стенке сосуда на одном конце (рис. 6, а–в). Другой конец может быть прикреплен к лоскуту или стенке; кроме того, вторая точка прикрепления может отсутствовать. Данный признак, свидетельствующий о ложном просвете, обусловлен наличием остаточных тканей среднего слоя, которые частично оторвались при диссекции [4, 5, 8].
Рис. 6. Признак «паутины» (стрелки) при острой (а, б) и хронической (в) диссекциях. ИП — истинный просвет, ЛП — ложный просвет
Характеристика интимомедиального лоскута
Характеристика интимомедиального лоскута дополнительно помогает не только в дифференцировке истинного просвета аорты от ложного, но и при определении острой и хронической диссекции. Это возможно благодаря изменениям интимомедиального лоскута при переходе от острой стадии к хронической [10].
Для острой диссекции более характерны заметная кривизна и волнистость подвижного лоскута (рис. 7, а), тогда как для хронической диссекции — плоский, фиксированный и утолщенный лоскут на большем его протяжении (рис. 7, б) [6–8].
Рис. 7. Интимомедиальный лоскут (стрелки) при острой (а) и хронической (б) диссекции. ИП — истинный просвет, ЛП — ложный просвет
Направление кривизны лоскута в сочетании с другими признаками помогает отличить истинный просвет от ложного, поскольку лоскут чаще всего изогнут в сторону ложного просвета (рис. 8, а) и реже — в сторону истинного (рис. 8, б) [8].
Рис. 8. Интимомедиальный лоскут кривизной (стрелки) обращен в сторону ложного просвета (а), в сторону истинного просвета (б). ИП — истинный просвет, ЛП — ложный просвет
Потеря кривизны, волнистости и подвижности лоскута обусловлены тем, что со временем лоскут фиброзируется с образованием неоинтимы, приводя к утолщению и ригидности лоскута. Это объясняется также тем, что по мере расширения ложного просвета линии, по которым диссекционный лоскут соединяется с внешней стенкой аорты, раздвигаются, туго натягивая лоскут [6–8, 10].
Свободные края интимомедиального лоскута значительно чаще наблюдаются при хронической диссекции по сравнению с острой, что может быть обусловлено утолщением, укорочением и снижением подвижности лоскута.
В некоторых литературных источниках приводится интересный факт — свободные края интимомедиального лоскута направлены в сторону ложного просвета (рис. 9, а, б) [7, 9]. Авторы, учитывая динамический характер интимомедиального лоскута, предполагают, что свободные края разрыва могут указывать и на истинный просвет [9].
Рис. 9. Свободные края интимомедиального лоскута (стрелки) направлены в сторону ложного просвета в восходящем отделе (а), в нисходящем отделе (б). ИП — истинный просвет, ЛП — ложный просвет
При наличии кальцинатов на лоскуте они обращены в сторону истинного просвета, поскольку ложный просвет в ходе расслоения формируется под ними. Сторона лоскута, обращенная к ложному просвету, имеет мягкотканную плотность без видимых обызвествлений [8], однако этот признак возможно увидеть в том случае, если интимомедиальный лоскут достаточной толщины (рис. 10, а, б).
Рис. 10. Интимомедиальный лоскут при хронической диссекции утолщен и уплощен с наличием отчетливо визуализируемых на его фоне кальцинатов (стрелки) со стороны истинного просвета. Со стороны ложного просвета стенка лоскута имеет мягкотканную плотность. ИП — истинный просвет, ЛП — ложный просвет
Кальциноз стенки аорты
Еще одним важным признаком, позволяющим дифференцировать истинный и ложный просветы, является кальциноз стенки аорты в области диссекции. При острой диссекции кальциноз стенки аорты всегда указывает на истинный просвет (рис. 11, а) и никогда не определяется в ложном просвете. Однако при хронической диссекции этот признак не настолько надежен, потому что стенка ложного просвета хотя и намного реже, но также может быть обызвествлена (рис. 11, б). При этом кальциноз стенки ложного просвета наблюдается только при хронических диссекциях, что связано с ее эндотелизацией и последующей кальцификацией. Также отсутствие кальциноза внешней стенки со стороны эксцентрично расположенного тромба помогает отличить тотально тромбированный ложный просвет при аортальной диссекции от пристеночного тромба аневризмы аорты [4, 5, 7, 8].
Рис. 11. Кальциноз стенки (стрелка) истинного просвета при острой диссекции (а). Со стороны стенки ложного просвета обызвествлений не наблюдается, поскольку имеющийся кальцинат отслоен совместно с лоскутом интимы и обращен в сторону истинного просвета. При хронической диссекции (б) по стенке ложного просвета отмечаются неравномерной толщины пристеночные тромботические массы (фигуры) с наличием линейной формы обызвествления (стрелка). ИП — истинный просвет, ЛП — ложный просвет
Тромбоз просвета аорты
Обычно истинный просвет в артериальную фазу сканирования начинает контрастироваться раньше ложного (рис. 12, а) [6]. Поскольку в ложном просвете кровоток чаще замедлен, в нем могут наблюдаться потоковые артефакты (рис. 12, а, б) и частичное тромбирование (рис. 12, б) [1]. В случаях острой диссекции по сравнению с хронической из-за плохого контрастирования просвета бывает сложно отличить эти потоковые артефакты от тромба ложного просвета [3, 7]. Следует отметить, что при сканировании в артериальную фазу контрастирования ложный просвет может не усиливаться, что создаст имитацию тромбирования. Во избежание неправильной диагностики тромбоза просветов мы рекомендуем дополнительно выполнять сканирование в венозную фазу.
Рис. 12. Потоковые артефакты в ложном просвете (а, б) с пристеночными тромботическими массами (б). ИП — истинный просвет, ЛП — ложный просвет
Необходимо определить наличие тромботических масс в истинном и ложном просветах, поскольку проходимость именно ложного просвета аорты оказывает существенное влияние на долгосрочный клинический успех и выживаемость пациента. Сохранение проходимости ложного просвета (рис. 13, а) неблагоприятно сказывается на долгосрочной выживаемости пациента, при этом отмечается положительный эффект полностью тромбированного ложного просвета (рис. 13, б) в хроническую стадию [6, 10].
Рис. 13. Ложный просвет с сохранением проходимости и частичным тромбированием (а), полностью тромбированный (б). ИП — истинный просвет, ЛП — ложный просвет
Внутрипросветный тромб можно расценивать как информативный маркер ложного просвета, поскольку там он встречается чаще по сравнению с истинным просветом. Необходимо помнить о том, что у пациентов с исходно существовавшей аневризмой тромб может присутствовать и в истинном просвете (рис. 14) [8].
Рис. 14. Пристеночный тромбоз истинного просвета (стрелка) при исходно существовавшей аневризме брюшного отдела аорты. В данном случае на то, что это действительно истинный просвет, указывает кальциноз внешней стенки и интимомедиального лоскута, обращенного в его просвет. ИП — истинный просвет, ЛП — ложный просвет
Тромбоз ложного просвета значительно чаще встречается при хронической диссекции, чем при острой. Тромбообразование в ложном просвете в случаях хронической диссекции связано с его псевдоаневризматическим расширением, низкой скоростью кровотока и атероматозными изменениями неоинтимы [7, 8].
Взаиморасположение просветов
При диссекции аорты происходит спиралевидная ротация ложного просвета, преимущественно по часовой стрелке, с постепенным уменьшением ее степени в дистальном направлении; однако периодически встречается ротация по часовой стрелке и против нее [11]. Истинный просвет обычно располагается во внутренней части аорты, а ложный — во внешней части аорты (рис. 15, а) [1]. У пациентов с вовлечением в процесс расслоения дуги аорты один просвет частично или полностью может охватывать другой (рис. 15, б). В таких случаях центрально расположенный просвет неизменно является истинным просветом [8].
Рис. 15. При острой диссекции истинный просвет располагается во внутренней части аорты, а ложный просвет во внешней части аорты с тромбозом ложного просвета в восходящем отделе (а). На уровне дуги аорты истинный просвет занимает центральное положение (б). ИП — истинный просвет, ЛП — ложный просвет
Признак «Mercedes-Benz»
Диссекция аорты с наличием нескольких ложных каналов встречается довольно редко, как правило, при хронической диссекции. Частота такого расслоения особенно высока у пациентов с заболеваниями соединительной ткани [11–14]. Возникновение данного варианта диссекции аорты обусловлено разрывом очень тонкой и хрупкой стенки ложного просвета и обычно происходит в нисходящей грудной и/или брюшной аорте [12, 14]. Новый ложный просвет может располагаться за пределами предыдущего ложного просвета [12].
Из случаев с множественными ложными просветами чаще встречается расслоение аорты с наличием трех просветов: одного истинного и двух рядом расположенных ложных, разделенных двумя интимомедиальными лоскутами. При почти равном соотношении трех просветов такой тип диссекции в аксиальной плоскости напоминает логотип бренда «Mercedes-Benz», откуда и название признака (рис. 16, а, б) [4, 7, 14]. Есть предположения, что площадь трех просветов может быть различной в остром периоде, но со временем просветы могут сбалансироваться и выровняться [12]. Следует отметить, что признак «Mercedes-Benz» встречается не во всех случаях, кроме того, необходимо отличать его от признака «паутины» [12].
Рис. 16. Три просвета аорты в аксиальной плоскости напоминают логотип бренда «Mercedes-Benz», при этом ложные просветы расположены рядом (а, б). В аксиальной плоскости центрально расположенный истинный просвет разделяет два ложных просвета (в)
Признак «ветроуказателя»
При диссекции аорты обычно наблюдается поперечный разрыв интимы, который редко превышает половину окружности аорты, однако изредка встречается вариант диссекции восходящего отдела аорты, при котором происходит отслойка интимы по всей окружности сосуда [2, 4, 15, 16]. Немногочисленность публикаций о случаях разрыва интимы по всей окружности, диагностированных при КТ, обусловлена тем, что чаще данный вариант приводит к быстрому ухудшению гемодинамики и высокой летальности.
При этом варианте диссекции проксимальный интимомедиальный лоскут цилиндрической формы смещается по ходу кровотока. В диастолу проксимальный интимомедиальный лоскут смещается обратно и через аортальный клапан выпадает в выходной тракт левого желудочка. При этом истинный просвет, сужающийся от одного конца к другому, по форме напоминает «ветроуказатель». В систолу проксимальный лоскут расположен примерно на одной линии с дистальным лоскутом. Это состояние также называют интимо-интимальной инвагинацией. Однако следует отметить, что указанное состояние в наших наблюдениях не встречалось и его описание мы приводим по данным литературных источников; тем не менее врачи — специалисты КТ должны учитывать, что наличие этого симптома является одним из наиболее неблагоприятных проявлений острой диссекции аорты [15].
ЗАКЛЮЧЕНИЕ
Подводя итоги, необходимо указать на главный и наиболее надежный признак, позволяющий дифференцировать в ходе компьютерно-томографического исследования истинный просвет от ложного просвета на любой стадии процесса — непрерывность истинного просвета аорты и невовлеченного просвета дистальнее и/или проксимальнее неповрежденного сегмента аорты.
Среди второстепенных признаков при дифференциальной диагностике истинного и ложного просветов наиболее важными и однозначно указывающими на ложный просвет при классической острой и хронической диссекции аорты являются больший размер ложного просвета, признак «клюва» и признак «паутины». Остальные признаки менее постоянны, однако внимательный анализ совокупности всех второстепенных признаков позволяет дать важную диагностическую информацию и максимально полно охарактеризовать значимые для сердечно-сосудистого хирурга проявления диссекции аорты. Мы также рекомендуем выполнять КТ-ангиографическое исследование как в артериальную, так и в венозную фазу, поскольку, исходя из нашего опыта, ложный просвет аорты не всегда контрастируется в артериальную фазу, что может привести к ошибочной диагностике тромба.
ДОПОЛНИТЕЛЬНАЯ ИНФОРМАЦИЯ
Источник финансирования. Финансирование данной работы не проводилось.
Конфликт интересов. Авторы декларируют отсутствие явных и потенциальных конфликтов интересов, связанных с публикацией настоящей статьи.
Вклад авторов. Все авторы внесли существенный вклад в проведение исследования и подготовку статьи, прочли и одобрили финальную версию перед публикацией.
Об авторах
Гульназ Камальдиновна Садыкова
Военно-медицинская академия; Санкт-Петербургский государственный педиатрический медицинский университет
Email: kokonya1980@mail.ru
ORCID iD: 0000-0002-6791-518X
SPIN-код: 3115-7430
Scopus Author ID: 908089
канд. мед. наук
Россия, Санкт-Петербург; Санкт-ПетербургИгорь Сергеевич Железняк
Военно-медицинская академия
Email: igzh@bk.ru
ORCID iD: 0000-0001-7383-512X
Scopus Author ID: 653711
докт. мед. наук, профессор
Россия, Санкт-ПетербургВиктор Иванович Амосов
Первый Санкт-Петербургский государственный медицинский университет им. академика И.П. Павлова
Email: vikt-amosov@yandex.ru
ORCID iD: 0000-0003-1888-277X
SPIN-код: 8639-8139
Scopus Author ID: 259416
докт. мед. наук, профессор
Россия, Санкт-ПетербургВладимир Викторович Рязанов
Санкт-Петербургский государственный педиатрический медицинский университет; Военно-медицинская академия
Email: 79219501454@yandex.ru
ORCID iD: 0000-0002-0037-2854
SPIN-код: 2794-6820
Scopus Author ID: 425550
докт. мед. наук, доцент
Россия, Санкт-Петербург; Санкт-ПетербургСергей Сергеевич Багненко
Санкт-Петербургский государственный педиатрический медицинский университет; Национальный медицинский исследовательский центр онкологии им. Н.Н. Петрова
Автор, ответственный за переписку.
Email: bagnenko_ss@mail.ru
ORCID iD: 0000-0002-4131-6293
SPIN-код: 4389-9374
Scopus Author ID: 779096
докт. мед. наук, доцент
Россия, Санкт-Петербург; Санкт-ПетербургВиктор Владимирович Ипатов
Военно-медицинская академия
Email: mogidin@mail.ru
ORCID iD: 0000-0002-9799-4616
SPIN-код: 2893-9880
Scopus Author ID: 222247
канд. мед. наук
Россия, Санкт-ПетербургАнастасия Яковлевна Латышева
Военно-медицинская академия
Email: vaska.petrova@yandex.ru
ORCID iD: 0000-0003-3677-8765
SPIN-код: 6793-1985
Scopus Author ID: 876001
канд. мед. наук
Россия, Санкт-ПетербургСписок литературы
- Телен М., Эрбел Р., Крейтнер К.-Ф., Баркхаузен Й. Лучевые методы диагностики болезней сердца / Пер. с нем. М.: МЕДпресс-информ, 2011. 408 с.
- Вишнякова М.В. (мл.), Шумский В.И., Вишнякова М.В., Денисова Л.Б. Роль мультиспиральной компьютерной томографии (МСКТ) в диагностике диссекции аорты // REJR. 2013. Т. 3, № 1. С. 50–56.
- Tanaka R., Yoshioka K., Abiko A. Updates on computed tomography imaging in aortic aneurysms and dissection // Ann. Vasc. Dis. 2020. Vol. 13, No. 1. P. 23–27. doi: 10.3400/avd.ra.19-00127
- McMahon M.A., Squirrell C.A. Multidetector CT of aortic dissection: a pictorial review // Radiographics. 2010. Vol. 30, No. 2. P. 445–460. doi: 10.1148/rg.302095104
- Abbas A., Brown I.W., Peebles C.R., et al. The role of multidetector-row CT in the diagnosis, classification and management of acute aortic syndrome // Br. J. Radiol. 2014. Vol. 87, No. 1042. Art. 20140354. doi: 10.1259/bjr.20140354
- Voitle E., Hoffmann W., Cejna M. Aortic emergencies-diagnosis and treatment: a pictorial review // Insights Imaging. 2015. Vol. 6, No. 1. P. 17–32. doi: 10.1007/s13244-014-0380-y
- Orabi N.A., Quint L.E, Watcharotone K., et al. Distinguishing acute from chronic aortic dissections using CT imaging features // Int. J. Cardiovasc. Imaging. 2018. Vol. 34, No. 11. P. 1831–1840. doi: 10.1007/s10554-018-1398-x
- Lepage M.A., Quint L.E., Sonnad S.S., et al. Aortic dissection: CT features that distinguish true lumen from false lumen // AJR Am. J. Roentgenol. 2001. Vol. 177, No. 1. P. 207–211. doi: 10.2214/ajr.177.1.1770207
- Kapoor V., Ferris J.V., Fuhrman C.R. Intimomedial rupture: a new CT finding to distinguish true from false lumen in aortic dissection // AJR Am. J. Roentgenol. 2004. Vol. 183, No. 1. P. 109–112. doi: 10.2214/ajr.183.1.1830109
- Peterss S., Mansour A.M., Ross J.A., et al. Changing pathology of the thoracic aorta from acute to chronic dissection: literature review and insights // J. Am. Coll. Cardiol. 2016. Vol. 68, No.10. P. 1054–1065. doi: 10.1016/j.jacc.2016.05.091
- Ardellier F.-D., D’Ostrevy N., Cassagnes L., et al. CT patterns of acute type A aortic arch dissection: longer, higher, more anterior // Br. J. Radiol. 2017. Vol. 90, No. 1078. Art. 20170417. doi: 10.1259/bjr.20170417
- Arita Y.I., Akutsu K., Yamamoto T., et al. Three-channeled aortic dissection in a patient without Marfan syndrome // Ann. Thorac. Cardiovasc. Surg. 2018. Vol. 24, No. 2. P. 110–114. doi: 10.5761/atcs.cr.17-00066
- Sueyoshi E., Nagayama H., Sakamoto I., et al. Triple-barreled aortic dissection developing into quadruple-barreled dissection // Ann. Thorac. Surg. 2012. Vol. 93, No. 4. P. 1320. doi: 10.1016/j.athoracsur.2011.09.066
- Rossi U.G., Ierardi A.M., Carrafiello G., Cariati M. Aortic dissection: Mercedes-Benz sign // Vasc. Med. 2018. Vol. 23, No. 6. P. 572. doi: 10.1177/1358863X18788715
- Lajevardi S.S., Sian K., Ward M., Marshman D. Circumferential intimal tear in type A aortic dissection with intimo-intimal intussusception into left ventricle and left main coronary artery occlusion // J. Thorac. Cardiovasc. Surg. 2012. Vol. 144, No. 2. P. e21–23. doi: 10.1016/j.jtcvs.2012.05.010
- Yamabi H., Imanaka K., Sato H., Matsuoka T. Extremely localized aortic dissection and intussusception of the intimal flap into the left ventricle // Ann. Thorac. Cardiovasc. Surg. 2011. Vol. 17, No. 4. P. 431–433. doi: 10.5761/atcs.cr.10.01594
Дополнительные файлы



















