Diagnostic imaging of ovarian endometrioma rupture with hemoperitoneum
- Authors: Ryazanov V.V.1,2, Sadykova G.K.1,2, Zheleznyak I.S.2, Boykov I.V.2, Ipatov V.V.2, Postanogov R.A.1
-
Affiliations:
- Saint Petersburg State Pediatric Medical University
- Military Medical Academy
- Issue: Vol 42, No 2 (2023)
- Pages: 207-214
- Section: Discussion
- URL: https://journals.eco-vector.com/RMMArep/article/view/340778
- DOI: https://doi.org/10.17816/rmmar340778
- ID: 340778
Cite item
Full Text
Abstract
An endometrioid ovarian cyst (known as endometrioma) is the most common variant of external endometriosis. Clinical symptoms range from asymptomatic to negatively affecting on quality of life and daily activities of a reproductive age woman. Rupture of an endometrioid cyst with hemorrhage into the abdominal cavity occurs in 3% of women with this pathology, which is a rare complication.
Ruptured endometrioid cysts may present a diagnostic and surgical challenge: patients may have acute abdominal symptoms and hemodynamic instability, also imaging of a ruptured endometrioid cyst may mimic ovarian malignancy. Therefore, the emergency radiologist needs to know the semiotics of an endometrioid cyst with rupture and hemorrhage into the abdominal cavity.
We represent the clinical case of a prime diagnosed large endometrioid cyst in a 32-year-old patient, complicated by hemorrhage in the abdominal cavity. In the emergency department, the patient underwent native computed tomography and ultrasound investigation.
Based on the study of Russian and foreign literature, the review was made about main aspects of radiation semiotics of endometrioid cysts with rupture and hemorrhage in the abdominal cavity and about of differential diagnosis of rupture of endometrioid cysts with ruptures of functional cysts and malignant cystic ovarian formations.
Full Text
Эндометриоз не теряет своей актуальности в современной гинекологии, представляя собой мультифакторное состояние, при котором происходят имплантация и разрастание ткани за пределами полости матки, по морфологическим и функциональным свойствам схожей с эндометрием, с поражением 6–10 % женщин репродуктивного возраста [1–4].
Различают эндометриоз генитальный и экстрагенитальный. При генитальном эндометриозе очаги локализуются в органах женской половой системы (матка, маточные трубы, яичники, влагалище, брюшина малого таза), при экстрагенитальном эндометриозе импланты могут встречаться в любой локализации вне репродуктивной системы. В свою очередь, генитальный эндометриоз подразделяется на внутренний, с поражением матки, перешейка и интерстициального отдела маточных труб, и наружный, с поражением яичников, остальных отделов маточных труб, брюшины, влагалищной части шейки матки и влагалища [3].
Для эндометриоза характерны признаки злокачественного процесса: способность клеток к миграции, наличие локальных и отдаленных очагов, инвазии с последующим поражением органов-мишеней [1].
На сегодня этиология эндометриоза достоверно не известна, патогенез до конца не изучен, клиническая картина неспецифична (тазовая боль, бесплодие и нерегулярное маточное кровотечение), отсутствуют диагностические маркеры [1–3]. У 30–50 % женщин репродуктивного возраста эндометриоз может протекать без клинической симптоматики [5].
«Золотым стандартом» диагностики эндометриоза остаются лапароскопия и биопсия с последующим гистологическим исследованием препарата, но и она не обладает абсолютной точностью [5].
Эндометриоидные кисты яичников — наиболее частая форма наружного эндометриоза, они встречаются у 17–44 % женщин с эндометриозом [6].
Возраст пациенток с эндометриоидными кистами составляет 18–50 лет [3, 5]. В литературе описаны редкие случаи врожденных форм эндометриоза.
Эндометриоидные кисты вызваны кровоизлиянием эктопической ткани эндометрия в яичник, что приводит к дегенерации продуктов крови, окруженных паренхимой яичника. Как правило, эндометриоидные кисты состоят из фиброзных стенок с выстилкой из эндометриального эпителия, стромы и желез, а полость заполнена кровью за счет циклических изменений в эпителиальных клетках эндометриоидных гетеротопий. Накопление крови при отсутствии возможности дренирования ведет к растяжению стенок и росту кисты. Содержимое эндометриоидной кисты имеет густую консистенцию, «шоколадный» цвет. При выраженном стромальном компоненте и васкуляризации киста является функциональной, что обеспечивает склонность к прогрессирующему росту. Присутствие эндометриального компонента на поверхности яичника приводит к хронической воспалительной реакции (обостряющейся согласно циклам) и спаечному процессу в малом тазу. Капсула эндометриоидной кисты обычно прочно спаяна с тканью яичника [3, 6].
Острый разрыв эндометриоидных кист — редкое осложнение, частота которого точно не известна [7], по другим литературным данным, имеет место примерно у 3 % женщин с эндометриоидными кистами и обычно происходит при эндометриоидных кистах размерами более 6 см [4, 6]. Для эндометриоидных кист характерным является «протечка» содержимого в брюшную полость с последующим воспалением, фиброзом и образованием спаек за счет микроперфораций стенки кисты, тогда как острый разрыв кисты является относительно редким осложнением и может быть связан с тяжелым перитонитом и нестабильной гемодинамикой [1, 8]. Согласно современной литературе, разрыв эндометриоидной кисты редко диагностируется до операции, поскольку имеет сходство с другими, более распространенными неотложными состояниями брюшной полости, может имитировать злокачественное новообразование яичников [6, 8].
Представляем клинический случай пациентки с острым разрывом эндометриоидной кисты яичника с гемоперитонеумом без анамнеза эндометриоидной болезни, диагностированного при дооперационном ультразвуковом исследовании (УЗИ).
Пациентка Ф. 32 лет доставлена бригадой скорой помощи в приемное отделение с выраженным болевым синдромом в нижней половине живота.
Анамнез заболевания: считает себя больной в течение 3 дней, когда отметила возникновение указанных выше жалоб; изначально боль появилась в правой подвздошной области, пациентка самостоятельно принимала эспумизан с незначительным эффектом. В связи с сохранением боли в нижней половине живота и усилением интенсивности боли вызвала бригаду скорой медицинской помощи.
Анамнез жизни: хронические заболевания, операции и травмы отрицает.
Репродуктивный анамнез: менструации с 12 лет, по 5 дней, через 28 дней, контрацепцией не пользовалась; беременностей не было; хронические заболевания отрицает, при последнем гинекологическом осмотре и УЗИ органов малого таза около 4 лет назад — без патологии.
Объективные данные: температура тела 36.6; кожные покровы бледные, чистые; пульс 82 уд./мин, ритмичный; АД 115/75 мм рт. ст.; живот в дыхании участвует, вздут, незначительно напряжен, умеренно болезненный в мезогастрии, в околопупочной области, правая подвздошная область безболезненна.
При бимануальном исследовании: в проекции правых придатков пальпируется болезненное несмещаемое образование, размерами около 15 × 10 см.
Клинический анализ крови: лейкоциты (WBC) 14,53 × 109/л (4–10), эритроциты (RBC) 5,09 × 1012/л (3,8–5,1), гемоглобин (HGB) 152 г/л (117–155), тромбоциты (PLT) 373 × 109/л (150–400), гематокрит (HCT) 43,6 % (33–45), СРБ (количественный) 230,6 мг/л (<5).
В экстренном порядке выполнены бесконтрастная компьютерная томография (КТ) живота и таза, УЗИ органов брюшной полости, забрюшинного пространства, органов малого таза.
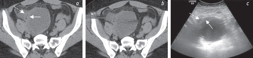
При КТ без внутривенного контрастирования выявлены свободная жидкость в полости таза, по боковым фланкам, около печени (рис. 1, а, c, d); в области правого яичника образование жидкостной плотности размерами до 77 × 67 мм (рис. 2, а), стенка неравномерной толщины, до 7 мм (рис. 3, а, b); инфильтрация большого сальника (рис. 1, f), остальные органы без особенностей. Заключение: КТ-признаки свободной жидкости в брюшной полости, образования правого яичника. При КТ грудной клетки не выявлены признаки неопластического или инфекционного процесса.
Рис. 1. На нативной КТ-томограмме в аксиальной плоскости (а) и на трансабдоминальной сонограмме (b) визуализируется свободная жидкость около печени (стрелка). На нативных КТ-томограммах в сагиттальной (c, d) плоскости и на трансвагинальной сонограмме (e) показана кровь в виде свободной жидкости в маточно-пузырном пространстве (круг) и в маточно-прямокишечном пространстве (звездочка). Эндометриоидная киста (молния) визуализируется на КТ-томограммах (c, d), трасвагинальной сонограмме (e). На КТ-томограмме (d) показаны коэффициенты ослабления рентгеновского излучения в единицах Хаунсфилда в эндометриоидной кисте и в свободной жидкости в полости малого таза. Инфильтрация большого сальника справа (пунктирная стрелка) на КТ-томограмме во фронтальной плоскости (f)
Рис. 2. На нативной КТ-томограмме в аксиальной плоскости (а) и на трансабдоминальной сонограмме (b) показаны правый яичник с эндометриоидной кистой (стрелка) и левый яичник, содержащий фолликул (пунктирная стрелка)
Рис. 3. На нативных КТ-томограммах в аксиальной плоскости (а, b) в месте наибольшего утолщения стенок кисты (стрелка) с наружной стороны прилежат сгустки (пунктирная стрелка). Аналогичная трансабдоминальная сонограмма (c)
При УЗИ: свободная жидкость в брюшной полости (преимущественно около печени, в гепаторенальном кармане, в правом боковом канале толщиной слоя до 10 мм) и малом тазу (рис. 1, b, e). В области правых придатков определяется образование (размерами около 65 × 70 × 90 мм) с содержимым в виде мелкодисперсной эховзвеси («матовое стекло»), стенками неравномерной толщиной 7–10 мм с прилежащими по наружному контуру гипоэхогенными массами (сгустки?) (рис. 3, c). В околоматочном пространстве эховзвесь в жидкости идентична содержимому кисты в яичнике (рис. 4, а, b). Матка и левый яичник (рис. 2, b) без эхоструктурных особенностей. Паренхиматозные органы брюшной полости и забрюшинного пространства без УЗ-признаков структурной патологии. Заключение: УЗ-признаки могут соответствовать гемоперитонеуму вследствие разрыва кисты правого яичника (вероятно, эндометриоидной).
Рис. 4. На трансвагинальных сонограммах (а, b) показан идентичный сонографический паттерн жидкости в эндометриоидной кисте (стрелка) и свободной жидкости в маточно-пузырном пространстве (круг) и в маточно-прямокишечном пространстве (звездочка)
В экстренном порядке выполнено удаление образования правого яичника в пределах здоровых тканей с использованием комбинированного эндоскопического доступа и иммуногистохимическим исследованием удаленных тканей. Интраоперационно: в малом тазу: эвакуировано 200 мл жидкой крови и «шоколадного» содержимого; правые придатки матки: яичник превращен в однокамерное гладкостенное кистозное образование размерами 10 × 16 × 12 см, с линейным разрывом длиной 2 см без продолжающегося кровотечения. С помощью биполярной коагуляции и острым путем капсула кисты выделена из ложа в пределах здоровых тканей. Оставшейся здоровой ткани яичника — около 1/3. Ложе кисты прицельно точечно коагулировано. Гемостаз полный, стабильный. Макропрепарат: на разрезе однокамерная, гладкостенная киста правого яичника, без разрастаний, содержимое «шоколадное». Материал отправлен на гистологическое и имунногистохимическое исследование. Хирургический диагноз: разрыв кисты правого яичника, гемоперитонеум.
ОБСУЖДЕНИЕ
Органы репродуктивной системы у женщин детородного возраста являются наиболее частым источником спонтанного внутрибрюшинного кровотечения (гемоперитонеума). После исключения внематочной беременности разрыв кисты яичника является наиболее частой причиной спонтанного гемоперитонеума у небеременных пациенток. Разрыву чаще подвергаются физиологические кисты (фолликулярная, желтого тела), реже патологические кисты, в частности эндометриоидные [8].
Эндометриоз яичников является распространенным заболеванием у женщин репродуктивного возраста. Эндометриоидная киста, осложненная разрывом, является редким состоянием. Хроническая циклическая боль типична для эндометриоза, но редка острая боль в животе из-за разрыва эндометриоидной кисты, которая клинически может симулировать не только разрыв функциональной кисты яичника, но и другую хирургическую патологию.
Патогенез острого разрыва кисты эндометрия неизвестен, его предполагаемыми причинами являются беременность, травма, спайки, рост или инфицирование кисты [7].
УЗИ и магнитно-резонансная томография (МРТ) остаются основными методами визуализации для обследования женщин с подозрением на гинекологическую патологию. Для эндометриоидных кист яичников определены высокая чувствительность и специфичность трансвагинального УЗИ и МРТ: чувствительностью 0,93 и специфичностью 0,96, чувствительностью 0,95 и специфичностью 0,91 соответственно [9].
КТ не является методом выбора при эндометриоидных кистах. В отделениях оказания неотложной помощи МРТ недоступна, УЗИ проводится не всегда, а КТ часто выполняется в качестве первого визуализационного метода для определения причины абдоминальной и тазовой боли.
В независимости от используемого метода визуализации (УЗИ, КТ, МРТ) для эндометриоидных кист с разрывом и/или гемоперитонеумом можно выделить основные признаки, которые помогут не только в диагностике, но и в дифференциальной диагностике с разрывом функциональных кист яичников и новообразованиями яичников:
- эндометриоидные кисты локализуются в основном сбоку и сзади от матки [9, 10];
- эндометриоидные кисты чаще бывают множественными и/или двусторонними, в отличие от других геморрагических кист, которые обычно бывают односторонними; когда двусторонние эндометриоидные кисты связаны межовариальными спайками, их часто описывают как «целующиеся» яичники [7–10];
- эндометриоидные кисты имеют средний максимальный диаметр значительно больший, чем функциональные кисты (диапазон 4–13 и 1,5–6 см соответственно) [7, 8], сопоставимый или меньший размер в сравнении с кистозными или кистозно-солидными образованиями;
- эндометриоидная киста может быть однокамерной или многокамерной: многокамерный вид может быть обусловлен наличием нескольких отдельных кист, тесно прилежащих друг к другу, между ними могут быть тонкие или толстые перегородки [7, 8];
- неправильная форма кисты чаще наблюдается при разрыве эндометриоидной кисты, а функциональные кисты при разрыве чаще имеют правильно округлую форму [7];
- толщина стенки в эндометриоидных кистах больше, чем в функциональных (среднее значение максимальной толщины 3 мм (диапазон 2–6 мм) и 1,5 мм соответственно) [7–10];
- двойной контур стенки эндометриоидной кисты;
- очаговая неоднородность или разрушение стенки чаще встречались в разорванных функциональных кистах, чем в эндометриоидных [7];
- при внутривенном усилении функциональные кисты, как правило, имеют кольцо периферического усиления, а разорвавшиеся эндометриоидные кисты демонстрирует неспецифический, вариабельный характер усиления, который не отличает их от других доброкачественных и злокачественных образований, контрастирование стенки эндометриоидной кисты свидетельствует об активных воспалительных изменениях [7];
- активная экстравазация внутривенного контрастного вещества в функциональных кистах наблюдалась в месте разрыва из яичника намного чаще и крайне редко в эндометриоидных кистах, поскольку стенка эндометриоидной кисты состоит в основном из фиброзной ткани со скудной васкуляризацией, а стенка функциональных кист обильно васкуляризирована в лютеиновую фазу [7, 8];
- при внутривенном контрастировании внутреннее содержимое эндометриоидной кисты контрастное вещество не накапливает;
- инфильтрация перитонеальной жировой клетчатки наблюдается в 75 % разорвавшихся эндометриоидных кист яичников и в 53 % разорвавшихся функциональных кист, хотя это различие статистически не значимо, однако степень инфильтрации перитонеального жира более выражена при разрыве эндометриоидных кист и предоперационно может ошибочно предполагаться карцинома яичников с карциноматозом брюшины [7, 8];
- жидкость при разорвавшихся эндометриоидных кистах обычно ограничивается полостью таза, что свидетельствует об ассоциированных тазовых спайках, а при разрывах функциональных кист и кистозных новообразованиях гемоперитонеум будет присутствовать часто не только в малом тазу, но и во всей брюшной полости, часто ассоциируясь со «сторожевыми» сгустками у травмированного яичника. Большое количество свободной жидкости в полости брюшины чаще встречается при разрывах кисты желтого тела, но умеренное или большое количество отмечается более чем у половины пациенток с разрывом эндометриоидных кист [7, 8].
Редкость острой гематомы и активной экстравазации внутривенного контрастного вещества при разрыве эндометридной кисты можно объяснить вытеканием внутреннего содержимого. В то время как при разрывах кист желтого тела гемоперитонеум обусловлен кровотечением из места разрыва вследствие повышенной васкуляризации яичника в лютеиновую фазу и потенциально катастрофичен, поскольку может быстро привести к массивному внутрибрюшинному кровотечению [7].
Довольно редко при эндометриозе встречается асцит, имеющий признаки экссудата. Асцит, связанный с эндометриозом, в основном массивный и может сочетаться с плевральным выпотом. Предполагают, что асцит при эндометриозе может быть вызван разрывом эндометриоидных кист с последующим раздражением клеток брюшины и образованием реактивного экссудата, поражением печени эндометриозом; раздражением брюшины кровью и клетками эндометрия, попадающими в брюшную полость [11], что может имитировать диффузное воспалительное заболевание или карциноматоз брюшины.
Подводя итоги разбора визуализационных признаков при использовании любого метода визуализации, отметим заключение авторов [7], что главными визуализационными признаками при разрыве эндометридной кисты являются киста и асцит, но не гемоперитонеум.
Частная семиотика эндометриоидных кист при УЗИ, МРТ, КТ многообразна с учетом того, что это, как правило, длительный процесс периодического кровоизлияния в полость кисты, что приводит к многообразию паттернов: от простых кистозных образований до имитирующих солидные новообразования.
Однако можно выделить наиболее характерные признаки эндометриоидной кисты в каждом отдельно взятом визуализационном методе. Внутреннее содержимое кисты может быть любой эхогенности, интенсивности, плотности, но в большинстве случаев [7–10]:
- при УЗИ: жидкостное с наличием гомогенной мелкодисперсной эхогенной взвеси («матовое стекло»);
- при МРТ: гомогенно высокий интенсивный сигнал на Т1-взвешенном изображении, гипоинтенсивный или изоинтенсивный (со слабым повышением) на Т2-взвешенном изображении; гомогенный характер повышения или понижения сигнала с эффектом его равномерного «затенения», кольцо гемосидерина по периферии;
- при КТ: плотностные показатели кистозного содержимого 30–35 единиц Хаунсфилда.
Из всех методов визуализации только при УЗИ в режиме реального времени возможно оценить подвижность яичника с эндометриоидной кистой, для которой характерно ограничение подвижности за счет выраженного спаечного процесса, а также оценить отсутствие смещения внутреннего содержимого кисты [9, 10].
УЗИ позволяет с высокой степенью вероятности установить гемоперитонеум вследствие разрыва эндометриоидной кисты при наличии в жидкости околоматочного пространства эховзвеси, идентичной внутреннему содержимому кисты. Именно это и позволило в нашем случае на дооперационном этапе при УЗИ правильно предположить это патологическое состояние, которое было подтверждено интраоперационно, в то время как при КТ предположили новообразование яичника.
ЗАКЛЮЧЕНИЕ
Для врачей, работающих в отделениях лучевой диагностики, важно знать семиотику эндометриоидной кисты с разрывом и/или кровоизлиянием в брюшинную полость и уметь дифференцировать с разрывами функциональных кист яичников, с разрывами кистозных новообразований яичников. Важное значение имеет дооперационное выявление эндометриоидных кист для планирования хирургического вмешательства, поскольку они часто сопровождаются перитонеальными спайками, другими формами наружного эндометриоза. Разорвавшиеся эндометриоидные кисты иногда представляют собой диагностическую и хирургическую проблему, поскольку у пациентов с разорвавшейся кистой нередко наблюдаются симптомы острого живота, связанные с интенсивной болью и нестабильными показателями гемодинамики, а также такие кисты могут имитировать злокачественное новообразование яичников.
ДОПОЛНИТЕЛЬНАЯ ИНФОРМАЦИЯ
Источник финансирования. Финансирование данной работы не проводилось.
Конфликт интересов. Авторы декларируют отсутствие явных и потенциальных конфликтов интересов, связанных с публикацией настоящей статьи.
Вклад авторов. Все авторы внесли существенный вклад в проведение исследования и подготовку статьи, прочли и одобрили финальную версию перед публикацией.
About the authors
Vladimir V. Ryazanov
Saint Petersburg State Pediatric Medical University; Military Medical Academy
Email: 79219501454@yandex.ru
ORCID iD: 0000-0002-0037-2854
SPIN-code: 2794-6820
M.D., D.Sc. (Medicine); Assotiated Professor
Russian Federation, Saint Petersburg; Saint PetersburgGulnaz K. Sadykova
Saint Petersburg State Pediatric Medical University; Military Medical Academy
Email: kokonya1980@mail.ru
ORCID iD: 0000-0002-6791-518X
SPIN-code: 3115-7430
M.D., Ph.D. (Medicine)
Russian Federation, Saint Petersburg; Saint PetersburgIgor S. Zheleznyak
Military Medical Academy
Email: igzh@bk.ru
ORCID iD: 0000-0001-7383-512X
SPIN-code: 1450-5053
M.D., D.Sc. (Medicine); Professor
Russian Federation, Saint PetersburgIgor V. Boykov
Military Medical Academy
Email: qwertycooolt@mail.ru
ORCID iD: 0000-0001-9594-9822
SPIN-code: 1453-8437
M.D., D.Sc. (Medicine); Professor
Russian Federation, Saint PetersburgVictor V. Ipatov
Military Medical Academy
Email: mogidin@mail.ru
ORCID iD: 0000-0002-9799-4616
SPIN-code: 2893-9880
M.D., Ph.D. (Medicine)
Russian Federation, Saint PetersburgRoman A. Postanogov
Saint Petersburg State Pediatric Medical University
Author for correspondence.
Email: r.a.postanogov@yandex.ru
ORCID iD: 0000-0002-0523-9411
SPIN-code: 8686-1597
M.D., Assistant
Russian Federation, Saint PetersburgReferences
- Arslanyan KN, Kharchenko EI, Loginova ON. What do we know about endometrioid cysts today? Russian Journal of Human Reproduction. 2018;24(6):103–107. (In Russ.) doi: 10.17116/repro201824061103
- Dubrovina SO, Berlim YuD, Gimbut VS, et al. Modern view on endometriomas. Russian Journal of Human Reproduction. 2015;21(3):98–105. (In Russ.) doi: 10.17116/repro201521398-105
- Smirnova TA, Zhukovich AS. Modern aspects of treatment of endometriotic ovarian cysts is a small size in women of reproductive age. Meditsinskiy zhurnal. 2019;36(2):108–114. (In Russ.)
- Vaulina EN, Artymuk NV, Zotova OA. Rare and acute complications of endometriosis in pregnant women. Fundamentaland Clinical Medicine. 2021;6(1):69–76. (In Russ.) doi: 10.23946/2500-0764-2021-6-1-69-76
- Podzolkova NM, Fadeev IE, Mass EE, et al. Non-invasive diagnosis and non-surgical treatment of endometriosis: A review. Gynecology. 2022;24(3):167–173. (In Russ.) doi: 10.26442/20795696.2022.3.201508
- Young H, Bui TL, Cramer SE, et al. Ruptured endometrioma in a nonpregnant patient: a case report. Journal of Medical Case Reports. 2022;16(1):161. doi: 10.1186/s13256-022-03361-3
- Choi NJ, Rha SE, Jung SE, et al. Ruptured endometrial cysts as a rare cause of acute pelvic pain: can we differentiate them from ruptured corpus luteal cysts on CT scan? Journal of Computer Assisted Tomography. 2011;35(4):454–458. doi: 10.1097/RCT.0b013e31821f4bd2
- Lee YR. CT imaging findings of ruptured ovarian endometriotic cysts: emphasis on the differential diagnosis with ruptured ovarian functional cysts. Korean Journal of Radiology. 2011;12(1):59–65. doi: 10.3348/kjr.2011.12.1.59
- Rusina EI, Yarmolinskaya MI, Ivanova AO. Modern methods for radiological diagnosis of endometriosis. Journal of Obstetrics and Women’s Diseases. 2020;69(2):59–72. (In Russ.) doi: 10.17816/JOWD69259-72
- Trufanov GE, Ryazanov VV, eds. Practical ultrasound diagnostics: guideline for doctors in 5 vol. Vol. 3. Ultrasound diagnostics of diseases of the female genital organs. Moscow: GEOTAR-Media Publ.; 2016. 232 p. (In Russ.)
- Gungor T, Kanat-Pektas M, Ozat M, Zayifoglu Karaca M. A systematic review: endometriosis presenting with ascites. Archives of Gynecology and Obstetrics. 2011;283(3):513–518. doi: 10.1007/s00404-010-1664-1
Supplementary files







