Idiopathic omentum hemorrhage as a cause of hemoperitoneum
- Authors: Ryazanov V.V.1,2, Sadykova G.K.1,2, Zheleznyak I.S.1, Ipatov V.V.1, Khodkevich I.S.2, Postanogov R.A.2, Romanov G.G.1,3, Latysheva A.Y.1
-
Affiliations:
- Military Medical Academy
- Saint Petersburg State Pediatric Medical University
- Almazov National Medical Research Centre
- Issue: Vol 42, No 3 (2023)
- Pages: 319-331
- Section: Discussion
- Submitted: 16.05.2023
- Accepted: 23.06.2023
- Published: 17.10.2023
- URL: https://journals.eco-vector.com/RMMArep/article/view/424450
- DOI: https://doi.org/10.17816/rmmar424450
- ID: 424450
Cite item
Full Text
Abstract
Hemorrhage into the large omentum is a general term for a pathological condition in which an omental artery and/or vein ruptures with bleeding into the abdominal cavity and/or forming an omental hematoma. There is a high probability of its diagnosis only during surgery. This is an extremely rare condition, which is described only in clinical case reports. There are primary and secondary omental hemorrhage. Secondary hemorrhage occurs due to various reasons, primary (idiopathic) — in the absence of morphological changes that could lead to bleeding to the large omentum. The article is devoted to a rare case of idiopathic omentum bleeding complicated by hemoperitoneum, diagnosed intraoperatively. The article presents the results of a literary review of the last twenty years on English-language and Russian-language publications on omental hemorrhage, presented in the databases of PubMed and the Russian scientific electronic library (eLIBRARY.RU). According to the results of the analysis of the literature data, ultrasound can be used as a first-line imaging method to assess the presence of hemoperitoneum. But CT angiography is the method of choice in assessing acute intra-abdominal bleeding and determining the cause of bleeding due to its speed, availability and ability to diagnose alternative causes of abdominal pain, and it is also recommended to be performed in cases where ultrasound data do not allow to unambiguously establish the presence of bleeding or localize its source. Also, taking into account the age characteristics and gender of patients, the presence of bleeding into the omentum may be due to conditions such as cystic lymphangioma and interrupted ectopic pregnancy. Other causes may be vascular pathologies, tumors and anticoagulant therapy. When detecting signs of bleeding into the large omentum, in addition to determining the fact of hemoperitoneum and its volume, the most important tasks are to establish the causes of hemorrhage and differential diagnosis between idiopathic and secondary bleeding.
Full Text
АКТУАЛЬНОСТЬ
При написании литературного обзора поиск данных в электронных базах проводился в течение последних двадцати лет по англоязычным и русскоязычным публикациям в базах данных PubMed, научной электронной библиотеки России (eLIBRARY.RU). Поисковые запросы в англоязычной версии включали «omental hemorrhage», «haemoperitoneum»; в русскоязычных системах — «большой сальник», «кровоизлияние», «гемоперитонеум». Отбор статей проводился по двум направлениям: идиопатическое и вторичное сальниковое кровотечение.
Большой сальник кровоснабжается аркадой коллатеральных артерий, отходящих от левой и правой желудочно-сальниковых артерий. От селезеночной артерии отходит левая желудочно-сальниковая артерия. Правая желудочно-сальниковая артерия является одной из двух конечных ветвей гастродуоденальной артерии [1–3].
«Кровоизлияние в большой сальник» — общий термин для обозначения патологического состояния, при котором происходит разрыв артерии и/или вены сальника с кровотечением в брюшную полость и/или формированием гематомы в сальнике [4, 5]. Гемоперитонеум как таковой встречается довольно часто, однако идиопатическое кровотечение из сосудов большого сальника, как непосредственная причина внутрибрюшного кровотечения, встречается крайне редко и в литературных данных описывается только в отчетах о клинических случаях [1, 5]. Первое известное сообщение о спонтанном кровотечении из большого сальника датируется 1918 г. [1]. Различают первичное (идиопатическое) и вторичное кровоизлияние в сальник.
Кровоизлияние в большой сальник неустановленной причины, или так называемое идиопатическое сальниковое кровотечение, возникает при отсутствии морфологических изменений, которые могли бы привести к кровотечению из сосудов большого сальника [6]. Сообщается, что до 30 % случаев могут быть идиопатическими [2, 7, 8].
Идиопатическое кровоизлияние в большой сальник случается у пациентов самого разного возраста начиная с детского. По литературным данным, чаще встречается у лиц мужского пола, чем у женщин [4, 5, 8, 9]. Согласно данным авторов, идиопатическое кровотечение из сальника чаще встречается в Японии, чем в других странах [5, 9].
Идиопатическое сальниковое кровотечение нередко проявляется острой болью в животе (чаще всего в верхних отделах), может сопровождаться тошнотой, рвотой, диареей, нестабильной гемодинамикой [1, 5, 8, 10]. Некоторые больные отмечают возникновение боли сразу после приема пищи, что может быть обусловлено увеличением висцерального кровотока [5].
Вторичное кровоизлияние в большой сальник возникает вследствие различных причин: травма (проникающая или тупая), новообразование, перекрут сальника, его спайки, аневризма/псевдоаневризма сосудов сальника, варикозное расширение его вен. Генерализованные патологические состояния, связанные со спонтанным кровотечением, включают сегментарный артериальный медиолиз (САМ), системную красную волчанку, синдром Элерса–Данлоса, фиброзно-мышечную дисплазию, истинную полицитемию и гранулематоз с полиангиитом. Коагулопатия, вызванная приемом антикоагулянтов и антиагрегантов, также способствует возникновению эпизодов спонтанных внутрибрюшных кровотечений [1, 2, 5, 8, 10, 11].
По данным литературы, предоперационными диагностическими методами при кровоизлиянии в большой сальник с гемоперитонеумом являются абдоминоцентез, ультразвуковое исследование (УЗИ), компьютерная томография (КТ, нативная, артериальная и венозная фазы после внутривенного введения контрастного вещества), традиционная ангиография [1, 3, 4, 6, 9]. При нестабильной гемодинамике пациента может быть целесообразным немедленное проведение диагностической лапаротомии или лапароскопии [6, 8, 9].
Абдоминоцентез может быть полезным диагностическим инструментом для определения характеристик перитонеальной жидкости, однако он является инвазивной процедурой, которая может привести к осложнениям (например, инфицированию, перфорации кишечника) [8].
Диагностическая оценка гемоперитонеума и разрыва сальникового сосуда в случаях неустановленной причины в значительной степени зависит от методов визуализации, особенно от УЗИ и КТ [1, 3, 8, 9].
УЗИ может обеспечить быструю и точную диагностику гемоперитонеума у гемодинамически нестабильного пациента [1, 3, 8, 9], но менее полезно в выявлении источника кровотечения [1]. Гемоперитонеум при эхографии может быть представлен однородно эхогенной жидкостью за счет равномерного распределения эхогенных частиц либо гетерогенной жидкостью за счет наличия сгустков крови [12].
КТ является наиболее чувствительным и специфичным методом визуализации повреждения сальника по сравнению с УЗИ [3, 8, 13]. При применении контрастного усиления она позволяет прежде всего исключить более распространенные патологические состояния, диагностировать гемоперитонеум, локализовать источник кровотечения [3, 8, 9].
Кровотечение из сальника при КТ имеет ряд визуализационных проявлений: от минимальных жировых тяжей и гемоперитонеума до большой гематомы, указывающей на значительное кровотечение из поврежденного сосуда. Благодаря КТ-изображениям с высоким разрешением стало возможным идентифицировать ответственный сосуд даже при кровотечении из желудочно-сальниковой артерии на уровне мелких сосудов [4]. Повреждение сальниковой сосудистой сети, состоящей в основном из правой и левой ветвей желудочно-сальниковых артерий, может привести к активной экстравазации внутривенного контрастного вещества и гемодинамической нестабильности или вторичному инфаркту сальника на фоне тромбоза [13].
При КТ возможно дифференцировать кровь в брюшной полости от жидкости на основании средних денситометрических показателей. Гемоперитонеум при КТ выявляется в виде свободной жидкости различной плотности: жидкая кровь от +13 до +50 HU, свернувшаяся кровь от +50 до +75 HU. Плотностные показатели экстравазационной крови превышают 85 HU [1] и по плотности сопоставимы с плотностью висцеральных сосудов в условиях контрастного усиления. При КТ и УЗИ наличие сгустков помогает отличить кровь от экссудата и транссудата. Обнаружение активной экстравазации или гемодинамической нестабильности является показанием к экстренной лапаротомии [13].
Традиционная артериальная ангиография висцеральных артерий полезна для выявления источника кровотечения и должна выполняться при стабильном состоянии пациента. При этом возможно одномоментное проведение суперселективной эмболизации, но использование этого метода ограничено доступностью [4, 10, 14].
Лечение сальникового кровотечения включает лапаротомию или лапароскопию с частичной резекцией сальника или перевязкой сосуда, а также чрескатетерную артериальную эмболизацию [4, 5, 8–10]. Таким образом, лучевая диагностика сальникового кровотечения имеет особую важность при выборе способа хирургического лечения.
КЛИНИЧЕСКИЙ СЛУЧАЙ
Представляем редкий случай идиопатического сальникового кровотечения. 31-летний мужчина поступил в приемное отделение неотложной помощи с болью в области грудной клетки слева, усиливающейся при движении и иррадиирущей в левую боковую область живота, продолжительностью около 7 ч. При поступлении сознание ясное, температура тела 36,6 °C, артериальное давление 128/67 мм рт. ст., частота сердечных сокращений 70 в мин, частота дыхательных движений 16 в мин. При физикальном осмотре живот болезненный в левых отделах, перитонеальные симптомы отсутствуют. Из лабораторных показателей — снижение гемоглобина (112 г/л (120–160)) и гематокрита (HCT) 35,7 % (38–49), в остальном данные в пределах нормативных показателей. Пациент травму, наличие системных заболеваний и прием каких-либо препаратов, в том числе нестероидных противовоспалительных, антикоагулянтов, отрицал.
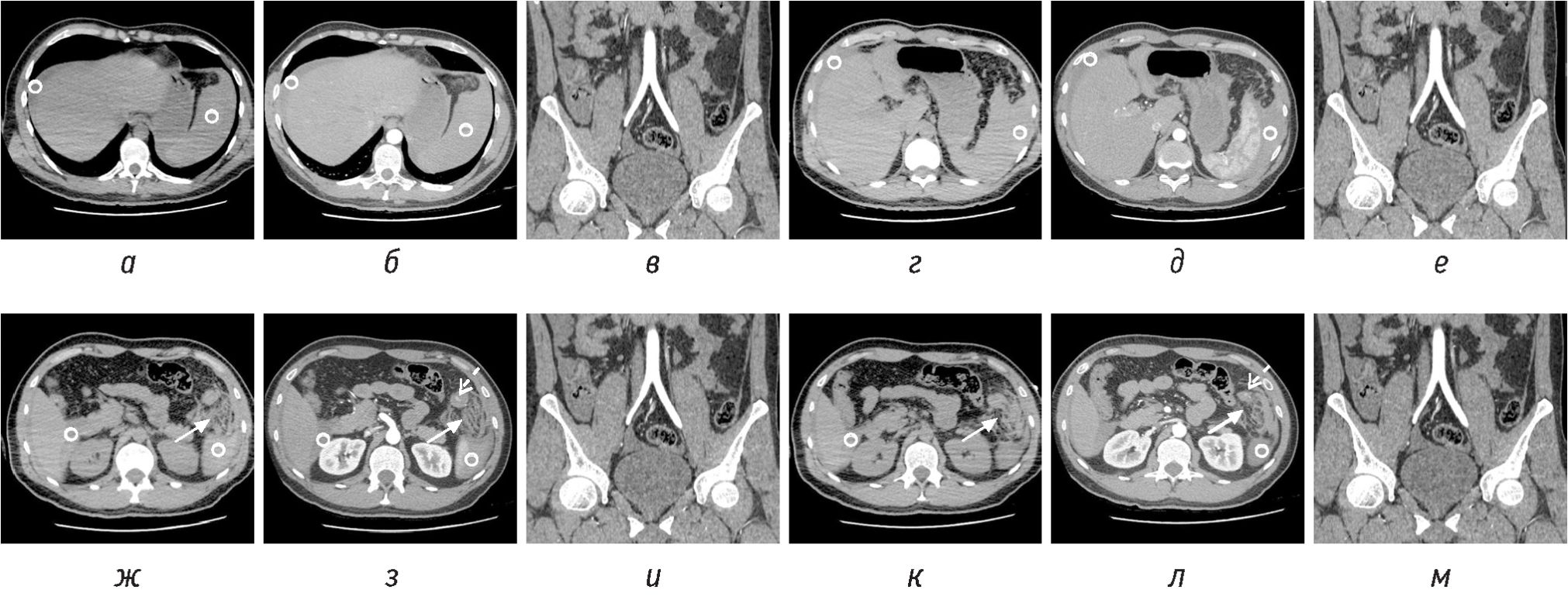
Пациенту провели УЗИ, КТ с внутривенным введением контрастного вещества. По данным УЗИ (снимки не предоставлены) по внешнему контуру селезенки аваскулярное неоднородное содержимое повышенной эхогенности (вероятно, подкапсульно) толщиной 22 мм (подкапсульная гематома?). Свободная жидкость в брюшной полости визуализируется кпереди от печени толщиной до 9 мм, под печенью — до 20 мм, по правому фланку толщиной до 20 мм, под селезенкой — 5 мм, со сгустками (вероятно, кровь). Сразу после УЗИ провели контрастусиленную КТ груди, живота, таза. По данным КТ признаки разрыва селезенки с подкапсульной гематомой и распространением геморрагического содержимого, скоплением его в малом тазу, вокруг печени, по боковым фланкам: селезенка 105 × 35 × 91 мм, с ровными четкими и нечеткими контурами, ее плотность в центральных отделах +62 HU, вдоль латеральной поверхности и нижнего контура отмечается скопление содержимого (+49…60 HU) толщиной 28…30…38 мм, паралиенальная клетчатка неравномерно уплотнена, тяжиста; гиперденсное содержимое протяженно распространяется по левому латеральному карману до крыла левой подвздошной кости. Также жидкость визуализируется по большой кривизне желудка, диафрагмальной поверхности печени, спускаясь по правому боковому карману до малого таза (рис. 1, а–в). В малом тазу — скопление незначительного количества жидкостного содержимого толщиной 10 мм и плотностью +32…38 HU.
Рис. 1. КТ-изображения в аксиальной плоскости в нативную (а, г, ж, к) и артериальную фазу (б, д, з, л), соответствующие секущей линии на изображении в артериальную фазу во фронтальной плоскости (в, е, и, м) на разных уровнях. Гематома в левом верхнем квадранте большого сальника в виде имбибиции жировой клетчатки и жидкостного скопления (белая стрелка). Экстравазация из сальниковой артерии (белая пунктирная стрелка). Гемоперитонеум (круг)
Пациенту в экстренном порядке была выполнена верхнесрединная лапаротомия. Интраоперационно в брюшной полости до 1500 мл крови со сгустками, в левом поддиафрагмальном пространстве сгусток больших размеров (объемом ~1000 мл). При ревизии признаков повреждения селезенки не выявлено. Каудальнее нижнего полюса селезенки определяется прядь большого сальника с напряженной гематомой объемом около 150 мл. Выполнена резекция пряди большого сальника с гематомой. При дальнейшей ревизии осмотрены тонкая и толстая кишки, аппендикс, желудок, печень, желчный пузырь, ревизована сальниковая сумка, повторно осмотрены селезенка и ее ворота. Других источников кровотечения или иной органической патологии не выявлено.
Диагноз после оперативного вмешательства: спонтанная гематома пряди большого сальника, состоявшееся внутрибрюшное кровотечение тяжелой кровопотери, гемоперитонеум. Операционный материал, взятый для проведения морфологического исследования, — прядь большого сальника с гематомой — направлен в патологоанатомическое отделение. Гистопатологическое исследование резецированного сальника не выявило патологии.
ОБСУЖДЕНИЕ
Нами проанализированы опубликованные в период с 2003 по 2023 г. 45 клинических случаев с кровотечением из сальника, сопровождавшихся гемоперитонеумом (таблица), изучен возрастной и половой состав пациентов, а также причины кровотечений (рис. 2) и примененные методы лучевой диагностики (рис. 3).
Рис. 2. Распределение пациентов по полу и возрасту (анализ литературы)
Рис. 3. Распределение пациентов по выполненным методам лучевых исследований: а — виды исследований, б — методы в комплексе лучевой диагностики (анализ литературы)
В таблице представлены данные, опубликованные в литературных источниках, с указанием возрастного и полового состава пациентов, данные о локализации кровотечения и его причин, в том числе выявленных в ходе оперативного вмешательства, способов лечения, а также сведения о наличии или отсутствии экстравазации контрастного вещества в ходе КТ-исследований.
Анализ литературных данных показал, что наибольшая встречаемость кровоизлияний в большой сальник среди мужчин наблюдалась в возрасте от 51 до 70 лет, при этом в возрастных группах от 11 от 20 и от 41 до 50 лет таких случаев не отмечено. Однако были описаны 4 случая кровоизлияний в возрастной группе от 0 до 10 лет, из них 3 случая (75 %) были связаны с кистозной лимфангиомой большого сальника. Данная патология, как считается, имеет врожденную природу [15] и потенциально способна вызвать кровоизлияние из сальниковых сосудов в брюшную полость [15–17].
Среди лиц женского пола кровоизлияния в сальник, представленные в литературных данных, наблюдались во всех возрастных группах, за исключением возрастной категории от 0 до 10 лет, при этом у единственной пациентки из следующей возрастной группы (19 лет) кровоизлияние было вызвано сальниковой внематочной беременностью. Также она явилась причиной кровотечения у 4 женщин из 6 (67 %) в возрастной группе от 21 до 30 лет и у 2 из 3 (67 %) — в возрастной группе от 31 до 40 лет. Таким образом, выявление при лучевом обследовании картины сальникового кровотечения у молодых женщин с высокой степенью вероятности позволяет предположить внематочную беременность в качестве причины и предпринять соответствующие хирургические меры.
В целом, из 45 опубликованных случаев в 10 случаях причины кровотечения установлены не были, т. е. кровотечение было идиопатическим, а в 35 случаях установлено вторичное сальниковое кровотечение.
Таблица. Характеристики литературных источников
№ п/п | Первоисточник | Возраст, лет/ пол | Методы дооперационной визуализации | Экстравазация КВ при КТ | Кровотечение, выявленное интраоперационно | Локализация в сальнике (по квадрантам) | Лечение | Причина |
1 | [18] | 26/Ж | УЗИ | – | – | Правый верхний | Оперативное | Первичная хориокарцинома сальника |
2 | [19] | 29/Ж | УЗИ | – | – | Верхние | Оперативное | Сальниковая внематочная беременность |
3 | [20] | 24/М | УЗИ, КТ + КВ, селективная АГ | Нет | Нет | Левый нижний | Оперативное | Доброкачественная гемангиоперицитома сальника |
4 | [21] | 71/М | КТ + КВ | Нет | Нет | Центр верхних | Оперативное | Разрыв истинной аневризмы сальниковой артерии |
5 | [6] | 27/М | КТ + КВ | Есть | Нет | Нижние | Оперативное | Идиопатическое сальниковое кровотечение |
6 | [22] | 73/Ж | УЗИ, КТ + КВ | – | – | Левый нижний | Оперативное | Разрыв истинной аневризмы сальниковой артерии |
7 | [23] | 28/Ж | УЗИ, МРТ | – | – | Правый верхний | Оперативное | Сальниковая внематочная беременность |
8 | [24] | 36/Ж | — | – | – | Верхние | Оперативное | Сальниковая внематочная беременность |
9 | [15] | 9/М | УЗИ, КТ+КВ | – | – | Все | Оперативное | Кистозная лимфангиома большого сальника |
10 | [25] | 23/Ж | УЗИ | – | – | Нижние | Оперативное | Сальниковая внематочная беременность |
11 | [26] | 53/М | УЗИ | – | – | Левый верхний | Оперативное | Лейомиосаркома большого сальника |
12 | [4] | 58/М | КТ + КВ | Есть | Есть | Левый верхний | Чрескатетерная артериальная эмболизация | Идиопатическое сальниковое кровотечение |
13 | [27] | 63/М | КТ + КВ | Нет | Нет | Левый верхний | Оперативное | Злокачественная фиброзная гистиоцитома |
14 | [3] | 25/М | КТ + КВ | Есть | Нет | Левый верхний | Чрескатетерная артериальная эмболизация, затем операция | Идиопатическое сальниковое кровотечение |
15 | [28] | 55/М | КТ + КВ | Нет | Нет | Левый верхний | Оперативное | Антиагрегантная терапия |
16 | [1] | 24/Ж | КТ + КВ | Есть | Есть | правый нижний | Оперативное | Идиопатическое сальниковое кровотечение |
17 | [14] | 68/М | КТ + КВ | + | + | Левый верхний | Оперативное | Антикоагулянтная терапия |
18 | [29] | 35/Ж | УЗИ КТ+КВ | Нет | Нет | Нет указания | Оперативное | Венозная мальформация большого сальника |
19 | [30] | 53/Ж | УЗИ | – | – | Нижние | Оперативное | Кровотечение из варикозно расширенных вен сальника при циррозе печени |
20 | [31] | 60/Ж | КТ + КВ | Нет | Есть | Все | Оперативное | Первичная гастроинтестинальная стромальная опухоль сальника (GIST) |
21 | [32] | 24/Ж | УЗИ | – | – | Нет указаний | Оперативное | Сальниковая внематочная беременность |
22 | [33] | 63/М | УЗИ | – | – | Нет указаний | Оперативное | Разрыв истинной аневризмы сальниковой артерии |
23 | [13] | 73/М | УЗИ, КТ + КВ | Есть | Есть | Левые | Оперативное | Повреждение сальника при тупой травме |
24 | [9] | 29/М | КТ + КВ | Есть | Нет | Левый верхний | Оперативное | Идиопатическое сальниковое кровотечение |
25 | [10] | 53/М | КТ + КВ | Есть | Нет | Правый верхний | Оперативное | Идиопатическое сальниковое кровотечение |
26 | [34] | 67/М | КТ + КВ | – | Есть | Левый верхний | Оперативное | GIST |
27 | [5] | 35/М | КТ + КВ | Нет | Есть | Левый верхний | Оперативное | Идиопатическое сальниковое кровотечение |
28 | [8] | 58/М | КТ + КВ | Нет | Есть | Левый верхний | Оперативное | Венозная мальформация большого сальника |
29 | [16] | 1,7/М | УЗИ, КТ + КВ | Нет | Нет | Все | Оперативное | Кистозная лимфангиома большого сальника |
30 | [7] | 37/Ж | УЗИ | – | – | Правый верхний | Оперативное | Сальниковая внематочная беременность |
31 | [35] | 66/М | КТ + КВ | Есть | Нет | Центральные отделы | Операция | Антикоагулянтная терапия |
32 | (1) [36] | 55/М | КТ + КВ | Нет | – | Левый верхний | Селективная АГ с изоляцией микроспиралями | САМ левой сальниковой артерии |
33 | (2) [36] | 60/М | КТ + КВ | Нет | – | Левый верхний | Селективная АГ с изоляцией микроспиралями | САМ левой сальниковой артерии |
34 | (1) [2] | 60/М | КТ + КВ | Есть | – | Левый верхний | Селективная АГ с изоляцией микроспиралями | САМ |
35 | (2) [2] | 37/Ж | КТ + КВ | Есть | Есть | Левый верхний | Операция | Идиопатическое сальниковое кровотечение |
36 | (3) [2] | 69/Ж | КТ + КВ | Нет | – | Правый верхний | Селективная АГ с эмболизация аневризм | САМ |
37 | [17] | 3/М | УЗИ, КТ + КВ | Нет | Нет | Все | Операция | Кистозная лимфангиома большого сальника |
38 | [11] | 53/Ж | КТ + КВ | Нет | Нет | Правый верхний | Операция | Идиопатическое сальниковое кровотечение |
39 | [37] | 45/Ж | УЗИ + КВ, КТ + КВ, МРТ + КВ | Нет | Нет | Левый верхний | Операция | GIST |
40 | [38] | 19/Ж | УЗИ + КВ, КТ + КВ | Нет | Нет | Правый верхний | Операция | Сальниковая внематочная беременность |
41 | [39] | 54/М | МРТ, КТ + КВ | Есть | Есть | Нижние | Эмболизация | Кровотечение из варикозно расширенных вен сальника при циррозе печени |
42 | [40] | 56/М | КТ + КВ | Есть | Есть | Правый верхний | Чрескатетерная артериальная эмболизация | Идиопатическое сальниковое кровотечение |
43 | [41] | 68/М | КТ + КВ | Есть | Есть | Левый нижний | Чрескатетерная артериальная эмболизация | Разрыв истинной аневризмы сальниковой артерии |
44 | [42] | 72/М | Посмертная КТ | _ | _ | Центр верхних | _ | Разрыв аневризмы/ псевдоаневризмы сальниковой артерии |
45 | [43] | 72/Ж | КТ + КВ | Нет | Нет | Левый верхний | Операция | Псевдоаневризма сальниковой артерии на фоне антикоагулянтной терапии |
Примечание. КТ + КВ — КТ с внутривенным контрастированием; АГ — ангиография. | ||||||||
Среди причин вторичного кровотечения в сальник с гемоперитонеумом одной из главных было опухолевое поражение (n = 10), затем следовали сальниковая беременность (n = 7), аневризмы/псевдоаневризмы (n = 5), САМ (n = 4), антиагрегантная/антикоагулянтная терапия (n = 3). Редкими причинами вторичного кровотечения были венозная мальформация (n = 2), варикозно расширенные вены сальника при циррозе печени (n = 2), тупая травма (n = 1) и псевдоаневризма на фоне антикоагулянтной терапии (n = 1).
Из 10 случаев опухолевого поражения большого сальника с одинаковой частотой встречались кистозная лимфангиома (n = 3) и GIST (n = 3), по одному случаю были обнаружены первичная хориокарцинома, доброкачественная гемангиоперицитома, лейомиосаркома и злокачественная фиброзная гистоцитома.
Анализ литературных источников показал, что среди выполненных пациентам исследований первое место занимала КТ с контрастным усилением; всего описано 35 КТ-исследований (34 — с внутривенным контрастированием), из них 25 — как единственное лучевое исследование (1 выполнено посмертно [42]); 9 — в комплексе с УЗИ, из них в 2 случаях дополнительно выполнены селективная ангиография (n = 1) и МРТ (n = 1). Комплекс УЗИ + КТ + селективная ангиография был выполнен пациенту с доброкачественной гемангиоперицитомой сальника, УЗИ + КТ + МРТ — пациентке с первичной GIST, у которой все лучевые исследования, включая УЗИ, проводились с внутривенным конрастированием. В одном случае пациенту с кровотечением из варикозно расширенных вен сальника при циррозе печени были выполнены КТ и МРТ.
УЗИ выполнено 18 пациентам, из них 8 — как единственное лучевое исследование, 9 — в рамках описанных выше диагностических комплексов, в одном случае у пациентки с сальниковой внематочной беременностью УЗИ было дополнено МРТ. В одном клиническом случае [24] лучевое обследование пациентке 36 лет с сальниковой внематочной беременностью не выполнялось. Таким образом, авторы, описывавшие клинические случаи кровотечения в большой сальник, сопровождавшегося гемиперитонеумом, в наибольшей степени представляли возможности КТ с внутривенным контрастированием и УЗИ в диагностике данной патологии и выявлении ее причин.
Проанализируем более подробно случаи идиопатического сальникового кровотечения (n = 10), описанные в научной литературе, сопоставив с нашим клиническим наблюдением.
Возраст пациентов варьировал от 24 до 57 лет (средний возраст 39,7 лет), соотношение мужчин и женщин составило 7 : 3.
На диагностическом этапе у 7 пациентов из 10 авторами было предположено сальниковое кровотечение, у 2 из них была не только правильно определена локализация, но и указан источник кровотечения: ветвь желудочно-сальниковой артерии. В оставшихся 3 случаях до операции предполагались перфоративный перитонит, образование, внутрибрюшное кровотечение неясного источника. По данным отдельных авторов, частота дооперационной диагностики сальникового кровотечения низкая [4], и наш клинический случай дополнил эту статистику. В нашем случае до операции по визуализационным методам был установлен разрыв селезенки с подкапсульной гематомой.
Во всех проанализированных случаях идиопатического сальникового кровотечения из дооперационных визуализационных методов проводилась только КТ с внутривенным введением контрастного вещества. В нашем клиническом случае проводилось УЗИ и КТ с внутривенным контрастным усилением.
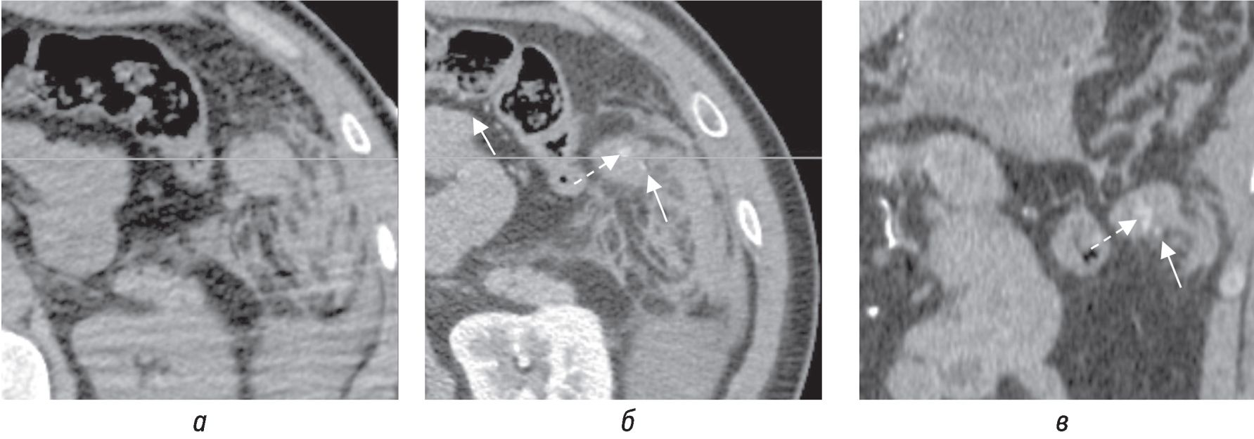
При КТ с внутривенным контрастированием экстравазация контрастного вещества была выявлена в 8 случаях из 10, а во время оперативного вмешательства только у 4 из 8 было выявлено активное кровотечение. В одном случае [11] не было ни экстравазации при КТ, ни активного кровотечения при операции. В одном случае [5] на КТ экстравазация не визуализировалась, при оперативном вмешательстве выявлено активное кровотечение. В нашем случае только при ретроспективной оценке КТ-изображений была выявлена экстравазация контрастного вещества из сальниковой артерии (рис. 4, 5), а при операции выявлена напряженная гематома пряди большого сальника.
Рис. 4. КТ-изображения в аксиальной плоскости в нативную (а) и артериальную фазу (б) и соответствующее изображение в артериальную фазу во фронтальной плоскости на уровне экстравазации (б, в; пунктирная стрелка) из сальниковой артерии (б, в; сплошная стрелка)
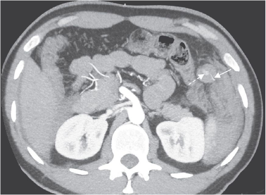
Рис. 5. MIP реконструкция КТ-изображения в аксиальной плоскости в артериальную фазу на уровне экстравазации (пунктирная стрелка) из сальниковой артерии (стрелка)
Анализ литературы показал, что для локализации кровотечения отдельные авторы разделяют область живота на 4 квадранта (правый верхний, правый нижний, левый верхний, левый нижний). В свою очередь, мы предлагаем в ходе постпроцессорной обработки КТ-изображений подразделять на указанные квадранты сам большой сальник посредством двух линий, проведенных через пупок под прямым углом, поскольку с точки зрения топографической анатомии они хотя и идентичны, но врач-специалист КТ, на наш взгляд, используя термин «квадрант сальника», дает более точную и корректную локализацию источника кровотечения. У большинства пациентов источник кровотечения в большом сальнике локализовался в левом верхнем (n = 5) и в правом верхнем квадрантах (n = 3). Реже источник кровотечения наблюдался в правом нижнем (n = 1), в нижних правом и левом квадрантах (n = 1). У нашего пациента источник кровотечения локализовался в левом верхнем квадранте большого сальника (рис. 4, 5).
Дополнительно следует указать, что среди пациенток с эктопической сальниковой беременностью в 3 случаях из 7 источник кровотечения также локализовался в правом верхнем квадранте, у 2 — в обоих верхних квадрантах, в 1 случае — в обоих нижних квадрантах и в 1 случае локализация не была указана. Поэтому у женщин репродуктивного возраста при наличии картины сальникового кровотечения в верхних квадрантах особенно важно дифференцировать идиопатическую и гинекологическую этиологию, в первую очередь исключая внематочную сальниковую беременность. У детей в возрасте до 10 лет с кистозной лимфангиомой в 3 описанных случаях кровотечение распространялось на все квадранты сальника. Таким образом, подобная картина с учетом возраста позволяет заподозрить данное состояние с высокой степенью вероятности, и наоборот, выявленная кистозная лимфангиома является фактором риска развития кровоизлияния в большой сальник.
В большинстве зарегистрированных случаев идиопатического сальникового кровотечения авторы использовали лапаротомный доступ и провели частичную резекцию сальника (n = 4), лапароскопический доступ и частичную резекцию сальника в одном случае (n = 1). В двух случаях провели лапаротомию и лигирование артерий. Транскатетерная артериальная эмболизация проводилась в 3 случаях, в одном из них расширена лапаротомией и частичной резекций сальника. В нашем случае проводились лапаротомия и частичная резекция большого сальника.
Выбор подхода к оперативному лечению и объем вмешательства при вторичных кровотечениях в сальник зависели от их причины. Следует отдельно отметить, что у трех пациентов с сегментарным артериальным медиолизом левой сальниковой артерии в качестве метода лечения проводилась селективная ангиография с изоляцией микроспиралями [2, 36] или эмболизацией аневризм [2].
Таким образом, корректное выполнение и правильная интерпретация данных визуализационных методов позволяет установить наличие гемоперитонеума и источник кровотечения, предположить характер (идиопатическое или вторичное) кровоизлияния в сальник. Врачи лучевой диагностики должны знать о данном патологическом состоянии и учитывать его при дифференциальной диагностике больных с острым животом, так как оно может быть жизнеугрожающим в связи с массивной кровопотерей.
ЗАКЛЮЧЕНИЕ
Кровоизлияние в сальник — редкое состояние, которое трудно предположить до операции без визуализационных методов и может быть диагностировано только на основании интраоперационных данных. В нашем клиническом случае мы столкнулись со случаем идиопатического кровоизлияния в сальник, который был диагностирован только интраоперационно. Это состояние важно учитывать при дифференциальной диагностике больных с острым животом, так как оно может быть жизнеугрожающим в связи с массивным гемоперитонеумом. Своевременная диагностика и лечение важны для достижения благоприятного исхода. Основываясь на данных проанализированной научной литературы, мы можем заключить, что в качестве метода визуализации первой линии для оценки наличия гемоперитонеума можно использовать УЗИ. Тем не менее КТ-ангиография является методом выбора в оценке острого внутрибрюшного кровотечения и установления причины кровотечения вследствие доступности, быстроты выполнения, высокой информативности, возможности диагностировать альтернативные причины острого болевого синдрома в животе.
ДОПОЛНИТЕЛЬНАЯ ИНФОРМАЦИЯ
Источник финансирования. Финансирование данной работы не проводилось.
Конфликт интересов. Авторы декларируют отсутствие явных и потенциальных конфликтов интересов, связанных с публикацией настоящей статьи.
Этическая экспертиза. Этическая экспертиза не проводилась, так как статья носит обзорный характер и не содержит каких-либо исследований с участием людей или животных в качестве объектов изучения.
Вклад авторов. Все авторы внесли существенный вклад в проведение исследования и подготовку статьи, прочли и одобрили финальную версию перед публикацией.
About the authors
Vladimir V. Ryazanov
Military Medical Academy; Saint Petersburg State Pediatric Medical University
Email: 79219501454@yandex.ru
ORCID iD: 0000-0002-0037-2854
SPIN-code: 2794-6820
M.D., D.Sc. (Medicine)
Russian Federation, Saint Petersburg; Saint PetersburgGulnaz K. Sadykova
Military Medical Academy; Saint Petersburg State Pediatric Medical University
Email: kokonya1980@mail.ru
ORCID iD: 0000-0002-6791-518X
SPIN-code: 3115-7430
M.D., Ph.D. (Medicine)
Russian Federation, Saint Petersburg; Saint PetersburgIgor S. Zheleznyak
Military Medical Academy
Email: igzh@bk.ru
ORCID iD: 0000-0001-7383-512X
SPIN-code: 1450-5053
M.D., D.Sc. (Medicine)
Russian Federation, Saint PetersburgVictor V. Ipatov
Military Medical Academy
Email: mogidin@mail.ru
ORCID iD: 0000-0002-9799-4616
SPIN-code: 2893-9880
M.D., Ph.D. (Medicine)
Saint PetersburgIlya S. Khodkevich
Saint Petersburg State Pediatric Medical University
Email: hishimiya@mail.ru
ORCID iD: 0000-0003-0359-5831
SPIN-code: 3508-2360
M.D., clinical resident
Russian Federation, Saint PetersburgRoman A. Postanogov
Saint Petersburg State Pediatric Medical University
Author for correspondence.
Email: r.a.postanogov@yandex.ru
ORCID iD: 0000-0002-0523-9411
SPIN-code: 8686-1597
Assistant of the Department of Modern Diagnostic Methods and Radiobeam Therapy named Professor S.A. Reinberg
Russian Federation, Saint PetersburgGennadiy G. Romanov
Military Medical Academy; Almazov National Medical Research Centre
Email: romanov_gennadiy@mail.ru
ORCID iD: 0000-0001-5987-8158
SPIN-code: 9298-4494
M.D., Ph.D. (Medicine)
Russian Federation, Saint Petersburg; Saint PetersburgAnastasiya Ya. Latysheva
Military Medical Academy
Email: vaska.petrova@yandex.ru
ORCID iD: 0000-0003-3677-8765
SPIN-code: 6793-1985
M.D., Ph.D. (Medicine)
Russian Federation, Saint PetersburgReferences
- Henry D, Satgunam S. Idiopathic omental bleeding. Journal of surgical case reports. 2012;2012(9):2. doi: 10.1093/jscr/2012.9.2
- Moriarty HK, Martin K, Koukounaras J, et al. Omental apoplexy: Unravelling the mystery. Journal of medical imaging and radiation oncology. 2020;64(3):319–325. doi: 10.1111/1754-9485.13024
- Matsumoto T, Yamagami T, Morishita H, et al. Transcatheter arterial embolization for spontaneous rupture of the omental artery. Cardiovascular and interventional radiology. 2010;34(Suppl 2): S142–145. doi: 10.1007/s00270-010-9956-1
- Tsuchiya R, Takahashi S, Takaoka T, et al. A case of idiopathic omental bleeding treated successfully with transarterial embolization. Nihon Shokakibyo Gakkai Zasshi. 2009;106(4):554–559.
- Wu YH, Liu KT, Wen CK. A rare diagnosis of abdominal pain presentation in the emergency department: Idiopathic omental bleeding: A case report. Medicine (Baltimore). 2017;96(51):e9463. doi: 10.1097/MD.0000000000009463
- Ohno T, Ogata K, Aiba S, et al. Idiopathic omental bleeding: report of a case. Surgery today. 2005;35(6):493–495. doi: 10.1007/s00595-004-2960-9
- Bajis R, Paterson D, McElhinney B. Primary omental ectopic pregnancy: a case report. Journal of obstetrics and gynaecology: the journal of the Institute of Obstetrics and Gynaecology. 2018;39(4): 560–561. doi: 10.1080/01443615.2018.1473351
- Lyu YX, Cheng YX, Li T. Spontaneous omental bleeding: a case report and literature review. BMC surgery. 2018;18(1):33. doi: 10.1186/s12893-018-0364-9
- Kimura J, Okumura K, Katagiri H, et al. Idiopathic omental hemorrhage: A case report and review of the literature. International journal of surgery case reports. 2016;28:214–218. doi: 10.1016/j.ijscr.2016.10.003
- Ahmadi N, Hong JS, Mackie WS. Spontaneous idiopathic omental haemorrhage: a rare cause of right iliac fossa pain. Surgical case reports. 2016;2(1):37. doi: 10.1186/s40792-016-0163-4
- Takayama S, Harata K, Mizuno R, et al. Idiopathic Omental Bleeding Treated by Laparoscopic Partial Omentectomy: A Case Report and Review of the Literature. Cureus. 2021;13(6):e15795. doi: 10.7759/cureus.15795
- Sadykova GK, Zheleznyak IS, Ryazanov VV, et al. Ultrasound and computed tomography diagnostics of ovarian cyst rupture with hemoperitoneum. Russian Military Medical Academy Reports. 2023;42(1):83–90. (In Russ.) doi: 10.17816/rmmar192524
- Saboo SS, Khurana B, Desai N, et al. BWH emergency radiology-surgical correlation: omental hematoma with active extravasation: a rare diagnosis. Emergency radiology. 2014;21(4):419–421. doi: 10.1007/s10140-014-1220-6
- Cheng VE, Oppermen A, Natarajan D, et al. Spontaneous omental bleeding in the setting of dual anti-platelet therapy with ticagrelor. Heart, lung and circulation. 2014;23(4): e115–e117. doi: 10.1016/j.hlc.2013.11.002
- Safdar A, Bakhsh M, Ahmed I, et al. An unusual cause of haemoperitoneum in a child. JPMA. The Journal of the Pakistan Medical Association. 2008;58(8):458–460.
- Ishii S, Hayashida M, Nakatani K, et al. Omental lymphangioma presenting with acute abdomen due to hemorrhage. Pediatrics international: official journal of the Japan Pediatric Society. 2018;60(9):896–898. doi: 10.1111/ped.13640
- Mahmoudi A, Rami M, Khattala K, et al. Huge omental lymphangioma with haemorrhage in children: case report. The Pan African medical journal. 2020;35:20. doi: 10.11604/pamj.2020.35.20.8585
- Sakumoto K, Nagai Y, Inamine M, Kanazawa K. Primary omental gestational choriocarcinoma ascertained by deoxyribonucleic acid polymorphism analysis. Gynecologic oncology. 2004;97(1):243–245. doi: 10.1016/j.ygyno.2004.09.036
- Wong WC, Wong BP, Kun KY, et al. Primary omental ectopic pregnancy. The journal of obstetrics and gynaecology research. 2004;30(3):226–229. doi: 10.1111/j.1447-0756.2004.00188.x
- Crusco F, Chiodi M, Pugliese F, et al. Benign omental hemangiopericytoma presenting with hemoperitoneum: radiologic findings. AJR Am J Roentgenol. 2005;184(3 Suppl): S67–S69. doi: 10.2214/ajr.184.3_supplement.01840s67
- Park DJ, Oh KH, Kim SJ, et al. True aneurysm rupture of omental artery leading to hemoperitoneum and shock in a CAPD patient. Nephrology, dialysis, transplantation. 2005;20(10):2292. doi: 10.1093/ndt/gfh999
- Bettini N, Goueffic Y, Marret O, et al. Hémopéritoine par rupture spontanée d’un anévrisme de l’arcade vasculaire omentale [Hemoperitoneum due to rupture of an omental arterial aneurysm]. Journal de chirurgie. 2007;143(6):544–545. (In French) doi: 10.1016/s0021-7697(07)79785-5
- Yi KW, Yeo MK, Shin JH, et al. Laparoscopic management of early omental pregnancy detected by magnetic resonance imaging. Journal of minimally invasive gynecology. 2008;15(2):231–234. doi: 10.1016/j.jmig.2007.11.005
- da Silva BB, de Araujo EP, Cronemberger JN, et al. Primary twin omental pregnancy: report of a rare case and literature review. Fertility and sterility. 2008;90(5):e13–e15. doi: 10.1016/j.fertnstert.2008.03.038
- Wu HM, Chen CP, Chang KM, Chang SJ. Omental trophoblastic implant with hemoperitoneum as a sequela of suction dilatation and curettage. Taiwan J Obstet Gynecol. 2008;47(2):250–251. doi: 10.1016/S1028-4559(08)60097-2
- Chilievich OV, Gavrichenko VI, Bordukhaev AK, et al. Leiomyosarcoma of the omentum complicated intraperitonial bleeding. Problems of health and ecology. 2008;(2(16)):154–155. (In Russ.)
- Kweon JH, Choi CS, Im CJ, et al. Malignant fibrous histiocytoma arising from the omentum presenting as hemoperitoneum. Gut Liver. 2010;4(2):241–244. doi: 10.5009/gnl.2010.4.2.241
- Reid TD, Sheridan WG. Spontaneous omental haematoma — clinical image. Annals of the Royal College of Surgeons of England. 2010;92(4): W38. doi: 10.1308/147870810X12659688852310
- Nam SH, Koo SH, Chung ML, et al. Neonatal Hemoperitoneum Secondary to Hemorrhage from Omental Venous Malformation. Pediatrics and neonatology. 2015;56(6):422–424. doi: 10.1016/j.pedneo.2013.04.007
- Liao CY, Yang LC, Bui VL. Postmenopausal bleeding related to omental-uterine varices in a patient with cirrhosis. Journal of minimally invasive gynecology. 2013;20(2):151–152. doi: 10.1016/j.jmig.2012.09.009
- Seow-En I, Seow-Choen F, Lim TK, et al. Primary omental gastrointestinal stromal tumour (GIST) presenting with a large abdominal mass and spontaneous haemoperitoneum. BMJ case reports. 2014;2014: bcr2014205528. doi: 10.1136/bcr-2014-205528
- Maiorana A, Incandela D, Giambanco L, et al. Omental pregnancy: case report and review of literature. The Pan African medical journal. 2014;19:244. doi: 10.11604/pamj.2014.19.244.3661
- Jacobs S, Houthoofd S, Fourneau I, et al. A ruptured omental aneurysm, a rare cause of intraabdominal bleeding. Annals of vascular surgery. 2014;28(2):491.e9–491.e11. doi: 10.1016/j.avsg.2013.02.028
- Islam S, Hosein D, Bheem V, et al. Primary greater omental GIST presenting with acute intra-abdominal haemorrhage. BMJ case reports. 2017;2017: bcr2017220254. doi: 10.1136/bcr-2017-220254
- Viñas J, Amor MC, Fuente I, et al. Haemoperitoneum caused by spontaneous haemorrhage of the greater omentum: a rare complication occurring in a patient with severe SARS-CoV-2 infection. Annals of the Royal College of Surgeons of England. 2021;103(8):e266–e268. doi: 10.1308/rcsann.2021.0111
- Nishiyama T, Yamada D, Oba K, et al. Left omental artery bleeding in two patients with segmental arterial mediolysis successfully isolated with coil embolization. CVIR endovascular. 2020;3(1):36. doi: 10.1186/s42155-020-00127-0
- Kataoka M, Saitoh T, Kawashima K, et al. Primary Extragastrointestinal Stromal Tumor of Greater Omentum with Intraperitoneal Bleeding. Internal medicine (Tokyo, Japan). 2021;60(21):3413–3419. doi: 10.2169/internalmedicine.6519-20
- Van Antwerp E, Schick S, Cutlip H, et al. Massive hemoperitoneum without peritoneal signs: An unusual presentation of omental ectopic rupture. A case report. Case Reports in Women’s Health. 2021;31:e00327. doi: 10.1016/j.crwh.2021.e00327
- Wongjarupong N, Said HS, Huynh RK, et al. Hemoperitoneum From Bleeding Intra-Abdominal Varices: A Rare, Life-Threatening Cause of Abdominal Pain in a Patient With Cirrhosis. Cureus. 2021;13(10):e18955. doi: 10.7759/cureus.18955
- Furukawa K, Yamamura T, Nakamura M, et al. Gastrointestinal: Idiopathic omental hemorrhage. Journal of gastroenterology and hepatology. 2021;37(2):282. doi: 10.1111/jgh.15639
- Maghrebi H, Zaiem A, Beji H, et al. Spontaneous rupture of a left omental artery aneurysm treated by transcatheter arterial embolization: A case report. Annals of Medicine and Surgery. 2022;82:104704. doi: 10.1016/j.amsu.2022.104704
- McClintock CM, Byard RW, Sebben R, et al. Visceral artery aneurysmal lesion of the omentum — a rare cause of spontaneous fatal intra-abdominal hemorrhage. Forensic science, medicine, and pathology. 2022;18(4):470–473. doi: 10.1007/s12024-022-00486-1
- Stettler GR, Rauh JL, Evangelista ME, et al. Spontaneous rupture of omental pseudoaneurysm in a patient on systemic anticoagulation. Journal of surgical case reports. 2022;2022(11):rjac511. doi: 10.1093/jscr/rjac511
Supplementary files








