Informativeness of the doppler twinkling artifact in the diagnosis of urinary tract calculi
- Authors: Ryazanov V.V.1,2, Sadykova G.K.1,2, Zheleznyak I.S.2, Kutsenko V.P.1, Libert A.A.1, Postanogov R.A.1, Kuznetsova N.Y.3, Stolova E.N.1
-
Affiliations:
- Saint Petersburg State Pediatric Medical University
- Military Medical Academy
- Scientific Research Institute of Pulmonology
- Issue: Vol 42, No 3 (2023)
- Pages: 285-292
- Section: Reviews
- Submitted: 02.07.2023
- Accepted: 15.07.2023
- Published: 17.10.2023
- URL: https://journals.eco-vector.com/RMMArep/article/view/528480
- DOI: https://doi.org/10.17816/rmmar528480
- ID: 528480
Cite item
Full Text
Abstract
The kidney stone disease (nephrolithiasis, urolithiasis) is a common urological problem that affects both adults and children and has a high recurrence rate. Early and reliable imaging diagnosis of urolithiasis is important for early pain relief and the avoidance of complications that require surgical intervention. Non-contrast computed tomography is considered the method of choice in the diagnosis of urolithiasis, however, this method is associated with exposure to ionizing radiation. Ultrasound diagnostics or sonography, in contrast, is considered as the method of early diagnosis of urolithiasis that is widely spread, highly accessible and does not use ionizing radiation. Recently, the attention of sonographers has been attracted by the so-called twinkling artifact or the artifact of the “colored comet tail”, which occurs in the Doppler color flow mapping behind a calculus in the urinary tract. The twinkling artifact is a phenomenon of a rapid change (“twinkle”) of red and blue behind the calculus. Among adult patients, the artifact shows high sensitivity in finding urinary stones, but at the same time a high level of false-positive results. However, the sensitivity of the artifact in children is higher than in adults, whereas the rate of false-positive findings is much lower. According to many authors, the sensitivity and specificity of the twinkling artifact as an independent diagnostic sign of urolithiasis are both very heterogeneous, especially compared to non-contrast computed tomography. Nevertheless, the artifact is known to increase the diagnostic efficiency in stone detection to more than 90%. We believe that the twinkling artifact in the Doppler color flow mapping should always be considered as an additional diagnostic tool, which is complementary to B-mode ultrasonography and increases its sensitivity and specificity.
Full Text
Мочекаменная болезнь (МКБ) является распространенной урологической проблемой, сопровождающей в течение всей жизни около 10 % мужчин и 6 % женщин. Эти значения к тому же растут с каждым годом, особенно в развивающихся странах, в связи с повышением качества диагностики. Частота рецидивов МКБ остается высокой: в течение десяти лет от момента начала терапии они случаются в 60 % случаев [1].
В качестве неспецифических этиологических факторов развития МКБ помимо генетической предрасположенности, особенностей конституции, пола, возраста, образа жизни и питания [1] на первый план у взрослых пациентов выходят такие коморбидные состояния, как ожирение, артериальная гипертензия и хроническая болезнь почек [2]. В развитии МКБ у детей значительную роль играют семейный анамнез и факторы внешней среды, такие как неблагоприятные условия проживания, в том числе экологические, наличие вредных привычек у родителей или недоедание. Считается, что одним из наиболее значимых факторов риска уролитиаза являются метаболические нарушения: как изолированные, например ксантинурия, первичная гипероксалурия или цистинурия, так и системные, например почечный канальцевый ацидоз первого типа, синдром Леша–Нихена или муковисцидоз. Употребление пищи с высоким содержанием белка и поваренной соли, низким содержанием кальция и углеводов, недостаточный питьевой режим, аномалии развития мочевыделительной системы и инфекции также способствуют развитию заболевания у детей [3].
Уролитиаз может сопровождаться острой клинической картиной, в частности сильным болевым синдромом, и становиться причиной осложнений, требующих оперативного вмешательства. В связи с этим важна ранняя и достоверная визуализационная диагностика уролитиаза.
В настоящее время бесконтрастная компьютерная томография (КТ) является методом выявления данной патологии. При сканировании почек, мочеточников и мочевого пузыря чувствительность, специфичность и точность бесконтрастной КТ в диагностике уролитиаза, по данным многих авторов, колеблются в пределах 85–98 % [1, 2, 4, 5]. Недостатком данного метода биомедицинской визуализации является воздействие ионизирующего излучения. Это важно учитывать при проведении диагностических исследований у детей, у которых нежелательно использовать методы визуализации, сопряженные с ионизирующим излучением, за исключением случаев, в которых иные методы визуализации неинформативны или у пациента наблюдается выраженный некупируемый болевой синдром.
Ультразвуковая диагностика (УЗД) после КТ рассматривается как метод ранней диагностики мочевых конкрементов, отличающийся широкой распространенностью, доступностью и отсутствием воздействия ионизирующего излучения на пациента и медицинский персонал. По литературным данным, чувствительность УЗД достигает 80 %, а специфичность — 100 %. Однако следует учитывать, что диагностика конкрементов размерами 1–3 мм остается проблематичной. Это подтверждает тот факт, что 90 % конкрементов, которые визуализируются при УЗД, имеют размер 3 мм и более [5].
Конкременты в мочевыводящих путях (МВП) при УЗИ выявляют в B-режиме благодаря такому «классическому» достоверному признаку, как артефакт акустической тени (АТ) в режиме серой шкалы позади конкремента. Чувствительность АТ как признака уролитиаза составляет 70 %, а специфичность — 100 % [2]. Наличие АТ зависит от размеров конкрементов: чем больше конкремент, тем выше вероятность обнаружения артефакта АТ [6]. По данным ряда исследований, АТ обычно присутствует во всех случаях конкрементов размером более 9 мм, что позволяет считать ее достоверным признаком крупных конкрементов [2, 5].
В последние годы внимание врачей УЗД обратил на себя так называемый артефакт мерцания (АМ), или артефакт «цветного хвоста кометы», возникающий в режиме цветового допплеровского картирования позади конкремента в МВП (рис. 1). АМ представляет собой комплексный феномен в виде фокуса/очага быстрой смены (мерцания) красного и синего цветов позади отражающего объекта, т. е. конкремента [5, 7].
Рис. 1. Трансабдоминальные сонограммы (а, в): два конкремента (сплошные стрелки) размерами 3 и 4 мм в нерасширенных чашечках без четкой акустической тени. АМ каждого из конкрементов указан пунктирными стрелками на соответствующих изображениях в режиме ЦДК справа (б, г)
Среди взрослых пациентов АМ показывает высокую чувствительность в определении конкрементов, однако одновременно с этим высокий уровень ложноположительных результатов, когда при визуализируемом АМ конкремента в той же локализации при КТ не обнаруживается [2, 8]. Интересно, что чувствительность АМ у детей выше, чем у взрослых. К тому же у детей доля ложноположительных находок значительно ниже, что можно объяснить особенностями морфологии почечного синуса в раннем возрасте. Также необходимо принимать во внимание то, что у взрослых могут быть и другие источники АМ, среди которых, например, кальцинированные атеросклеротические бляшки почечных артерий [8]. Тем не менее АМ при цветовом допплеровском картировании (ЦДК) представляется полезным УЗ-признаком в наблюдении пациентов с конкрементами.
Чувствительность и специфичность АМ как самостоятельного диагностического признака уролитиаза показывают очень высокую гетерогенность, особенно по сравнению с бесконтрастной КТ [1, 9]. По данным одного из исследований, чувствительность АМ составила 88 %, тогда как специфичность этого же признака рассчитать было невозможно из-за малого количества истинно- и ложноотрицательных находок [2].
По результатам другого исследования, чувствительность АМ к конкрементам размерами даже менее 5 мм составила 93,4 %, тогда как без использования ЦДК обнаружить конкременты удалось лишь в 19,7 % случаев [7].
Другие авторы, исследовавшие АМ у большой выборки пациентов (702 человека), описывают чувствительность и специфичность данного феномена как 97,2 и 99 %, соответственно. Размеры конкрементов, однако, при этом в 70,7 % случаев составляли от 5 до 10 мм [10].
По данным авторов, чувствительность и специфичность феномена АТ в сочетании с АМ (рис. 2) в определении конкремента МВП размером 5 мм и более составляет более 89 % и достигает 100 % в определении конкрементов размером 10 мм и более. Однако для конкрементов размерами 1–3 мм чувствительность и специфичность оказываются низкими: от 50 до 60 % [7].
Рис. 2. Трансабдоминальные сонограммы (а–г) двух пациентов: а — конкремент одного пациента размером 12 мм в нерасширенной лоханке с акустической тенью; в — конкремент другого пациента размером 8 мм в расширенной чашечке с акустической тенью. Конкременты указаны сплошными стрелками, акустическая тень — звездочкой. Соответствующие сонограммы в режиме ЦДК представлены на изображениях б и г. АМ каждого из конкрементов указан пунктирными стрелками
Чувствительность в диагностике конкрементов только B-режима и B-режима в сочетании с ЦДК, как показывают результаты другого исследования, составили 34,7 и 42,1 % соответственно, тогда как значения специфичности увеличились с 62,9 до 72,2 % [5], однако авторы не сообщают о статистической значимости этих изменений. Другие авторы сообщают об увеличении чувствительности при использовании B-режима в комбинации с ЦДК с 48,66 до 99,55 % [6]. Такая существенная разница и качественное улучшение результатов несомненно вызывают еще больший интерес к явлению АМ. Два исследования с наибольшим на сегодняшний день количеством пациентов-участников — 939 и 815 — сообщают о впечатляющих результатах чувствительности — 99,57 и 97,1 % соответственно [11].
Таким образом, можно прийти к заключению, что АМ при ЦДК в среднем повышает достоверность УЗИ в обнаружении конкрементов до более чем 90 % [9, 12].
Однако некоторые авторы, наоборот, сообщают о низкой чувствительности АМ (43,1 %), но очень высокой специфичности (99 %). Среди большой выборки пациентов (548 человек) только у 0,9 % при визуализируемом АМ не было обнаружено соответствующего ему конкремента на КТ [8].
Исследования, которые сообщают о низких показателях сразу двух параметров АМ (и чувствительности, и специфичности — равных 40 %), включали крайне малую выборку пациентов — от 5 до 85 человек. К тому же КТ проводилось перед УЗИ, что могло повлиять на результаты последнего и в итоге привело к низким показателям [11]. Необходимо помнить, что конкременты могут перемещаться в МВП, поэтому КТ и УЗИ следует проводить с небольшим временным промежутком (до 1 ч).
Эффективность АМ как возможного диагностического критерия нефролитиаза может быть высокой, но, тем не менее, неизвестно, почему некоторые конкременты вовсе не демонстрируют данный феномен, тогда как в других случаях он, наоборот, визуализируется при ЦДК и отсутствует на соответствующих КТ-изображениях. В настоящее время также нет достоверного объяснения как ложноположительным, так и ложноотрицательным находкам артефакта. Вероятно, в каждом отдельном случае при оценке изображений важно также учитывать скорость обтекания конкремента мочой, а также расстояние между конкрементом и стенкой почечной лоханки или мочеточника, так как эти параметры тоже могут влиять на наличие и выраженность АМ.
Более того, особенно интересно следующее наблюдение: у 90 % пациентов с ложноположительным АМ нефролитиаз в том или ином виде может визуализироваться на КТ-снимках по меньшей мере в одной из почек, даже если область визуализации не совпадает с локализацией АМ при ЦДК. С другой стороны, интересен и тот факт, что, даже несмотря на визуализируемый конкремент в B-режиме УЗИ, а также на подтверждение его наличия при помощи бесконтрастной КТ, АМ в режиме ЦДК у части пациентов отсутствовал [8]. Это еще раз подчеркивает сложность природы АМ и необходимость рассматривать не только сам факт его наличия или отсутствия, но и особенности как структуры конкремента, так и уродинамики в целом (рис. 3).
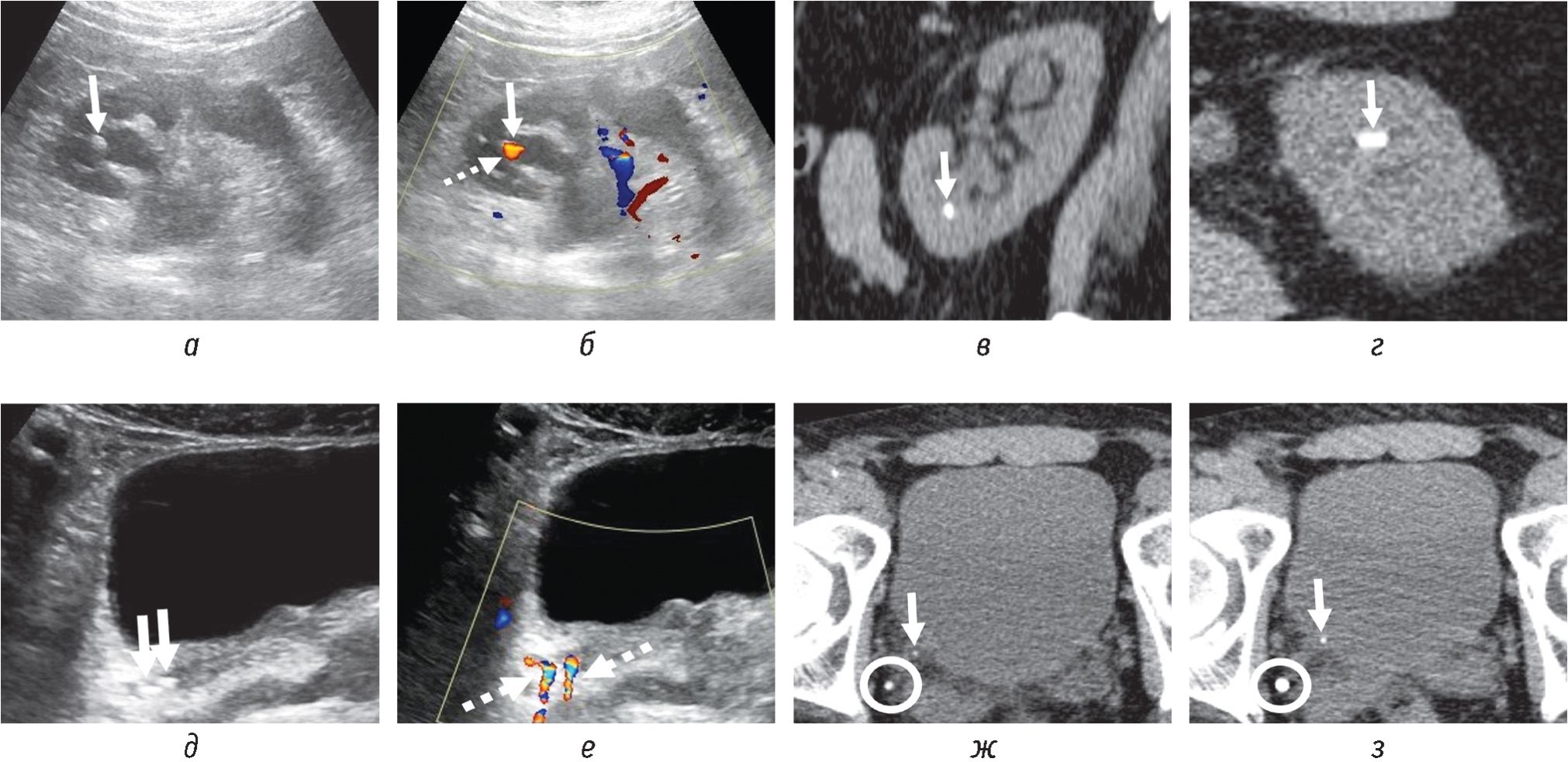
Рис. 3. Трансабдоминальные сонограммы (а, б) и бесконтрастные КТ-снимки (в, г) пациентки 49 лет: а — конкремент (сплошная стрелка) 6 мм в расширенной чашечке без четкой АТ; б — соответствующая сонограмма в режиме ЦДК, АМ указан пунктирной стрелкой; в и г — тот же конкремент, визуализируемый на снимках по длинной (в) и короткой (г) осям почки соответственно. Трансабдоминальные сонограммы (д, е) и бесконтрастные КТ-снимки (ж, з) пациента 60 лет: д — два конкремента (сплошные стрелки) 3 и 4 мм, без акустической тени, в юкставезикальном отделе правого мочеточника; е — соответствующая сонограмма в режиме ЦДК; АМ указаны пунктирными стрелками; ж и з — снимки бесконтрастной КТ в аксиальной плоскости, проведенной через 15 мин после УЗИ, — один конкремент по-прежнему в юкставезикальном отделе правого мочеточника (ж), а второй сместился в интрамуральный отдел правого мочеточника (з). Белым кругом обведен флеболит
На частоту возникновения и, соответственно, выявления АМ, как считается, преимущественно влияют характеристики самого конкремента, а именно его структура и характер поверхности, т. е. насколько она «шероховатая» (шероховатость поверхности — surface roughness). Более того, описана прямая зависимость между степенью шероховатости поверхности конкремента и выраженностью АМ [13, 14]. Тем не менее значимость этих факторов изучена не до конца.
Недавние исследования показали, что частота возникновения АМ также зависит от твердости и плотности конкремента, т. е. чем конкремент тверже и плотнее, тем более выраженным будет АМ. Конкременты, имеющие низкую плотность и ровную поверхность, могут обусловливать ложноотрицательные результаты у части пациентов [6].
Причины возникновения АМ изучены недостаточно. В отношении его физической природы в настоящее время придерживаются следующих рассуждений. Прежде всего необходимо помнить, что современные ультразвуковые допплеровские системы основаны на принципе измерения скорости рассеивателей излучения. Последовательность ультразвуковых импульсов с четко заданным периодом повторения посылается от датчика в зону визуализации, рассеивается в зависимости от характера среды и возвращается на датчик. При этом если исследуемая среда подвижна, возникает временна́я задержка импульсов, так как изменяется период следования между ними, что впоследствии обрабатывается алгоритмом как определенная скорость рассеивателя. Однако в ситуациях, когда нет задержки во времени, но есть некоторое изменение формы импульсов из последовательности, алгоритм определяет их как случайное изменение во времени и также присваивает некую скорость. Из-за нерегулярности колебаний формы эта скорость меняется хаотично и визуализируется как АМ.
Считается, что причиной колебаний формы импульсов, отраженных от конкрементов, является акустическая активация мельчайших пузырьков газа микронного и субмикронного размера, расположенных в неровностях поверхности конкремента. Происходит это благодаря колебанию акустического давления, возникающему при попадании последовательности импульсов на конкремент. Как результат акустической активации пузырьки газа выходят на поверхность конкремента, расширяются и активно рассеивают ультразвуковые импульсы, что при возвращении на датчик обусловливает нестабильность их формы [15].
В ходе эксперимента, проводившегося ex vivo в рамках недавнего исследования, были созданы гипер- и гипобарические условия, в которые помещали конкременты с разными поверхностями. Поверхность конкрементов классифицировали как «зазубренную» (неровная поверхность, много выступающих острых точек), «шероховатую» (неровная, грубая поверхность) или «ровную» (однородная поверхность без видимых выступающих точек). В гипобарических условиях отмечалось ослабление, тогда как в гипербарических условиях — усиление АМ, которое к тому же варьировало в зависимости от характера поверхности конкремента согласно классификации. Такие результаты позволили в очередной раз подтвердить предположение об АМ как о явлении рассеивания ультразвуковых импульсов микропузырьками в мельчайших трещинах на поверхности и внутри конкрементов, а также указать на диагностическую значимость уровня давления внутри МВП [13, 14].
Наличие и выраженность АМ также зависят от химического состава конкрементов. Кальций-оксалатные-дигидратные и кальций-фосфатные конкременты, как утверждают ряд авторов, всегда имеют АМ, тогда как конкременты из кальций-оксалата-моногидрата и уратные конкременты редко его имеют [1]. Другие авторы утверждают, что АМ сильнее выражен для холестероловых конкрементов по сравнению с кальций-фосфатными и уратными [13].
Настройки УЗ-аппарата также имеют значение в определении АМ. Так, одна из описанных настроек — частота повторения импульсов (Pulse Repetition Rate — PRR, Pulse Repetition Frequency — PRF) — не влияет на наличие АМ, но при ее увеличении до максимальных значений для данного аппарата можно снизить количество ложноположительных находок [2, 13, 14, 16].
Помимо всего прочего, малая осведомленность об АМ врачей, проводящих УЗИ, приводит к тому, что они не придают должного значения фокусам АМ, если они точечные, не имеют соответствующего гиперэхогенного участка в B-режиме или длинного «цветного хвоста кометы» [8, 16].
ЗАКЛЮЧЕНИЕ
С нашей точки зрения, в будущем необходимо создание универсального алгоритма диагностики уролитиаза, включающего наряду с общепринятыми УЗ-признаками оценку наличия допплеровского АМ. Это сможет повысить внимательность лучевых диагностов при оценке полученных изображений, поскольку они будут систематически оценивать наличие или отсутствие одних и тех же специфических признаков, прежде чем дать заключение.
Мы считаем, что ЦДК и АМ всегда должны рассматриваться как дополнительный диагностический инструмент, комплементарный УЗИ в B-режиме, повышающий его чувствительность и специфичность. С целью оптимизации и создания универсального алгоритма выявления конкрементов МВП в B-режиме при проведении УЗИ должны комплексно учитываться такие параметры, как:
1) наличие и размер гиперэхогенного участка в режиме серой шкалы;
2) артефакт АТ в режиме серой шкалы;
3) АМ в режиме ЦДК.
Это позволит врачу, проводящему лучевое исследование, проанализировать выявленные изменения комплексно.
Все вышеперечисленные факты доказывают, что для оценки значимости АМ в диагностике конкрементов в мочевыделительной системе необходимо проведение дальнейших проспективных многоцентровых исследований с большой выборкой пациентов.
ДОПОЛНИТЕЛЬНАЯ ИНФОРМАЦИЯ
Источник финансирования. Финансирование данной работы не проводилось.
Конфликт интересов. Авторы декларируют отсутствие явных и потенциальных конфликтов интересов, связанных с публикацией настоящей статьи.
Этическая экспертиза. Этическая экспертиза не проводилась, так как статья носит обзорный характер и не содержит каких-либо исследований с участием людей или животных в качестве объектов изучения.
Вклад авторов. Все авторы внесли существенный вклад в проведение исследования и подготовку статьи, прочли и одобрили финальную версию перед публикацией.
About the authors
Vladimir V. Ryazanov
Saint Petersburg State Pediatric Medical University; Military Medical Academy
Email: 79219501454@yandex.ru
ORCID iD: 0000-0002-0037-2854
SPIN-code: 2794-6820
M.D., D.Sc. (Medicine); Assotiated Professor
Russian Federation, Saint Petersburg; Saint PetersburgGulnaz K. Sadykova
Saint Petersburg State Pediatric Medical University; Military Medical Academy
Email: kokonya1980@mail.ru
ORCID iD: 0000-0002-6791-518X
SPIN-code: 3115-7430
M.D., Ph.D. (Medicine)
Russian Federation, Saint Petersburg; Saint PetersburgIgor S. Zheleznyak
Military Medical Academy
Email: igzh@bk.ru
ORCID iD: 0000-0001-7383-512X
SPIN-code: 1450-5053
M.D., D.Sc. (Medicine); Professor
Russian Federation, Saint PetersburgValeriy P. Kutsenko
Saint Petersburg State Pediatric Medical University
Email: val9126@mail.ru
ORCID iD: 0000-0001-9755-1906
SPIN-code: 5760-0218
M.D., Ph.D. (Medicine)
Russian Federation, Saint PetersburgAngelina A. Libert
Saint Petersburg State Pediatric Medical University
Email: angelinalbrt@mail.ru
ORCID iD: 0009-0004-0726-1809
SPIN-code: 6982-7498
6th grade student
Russian Federation, Saint PetersburgRoman A. Postanogov
Saint Petersburg State Pediatric Medical University
Email: r.a.postanogov@yandex.ru
ORCID iD: 0000-0002-0523-9411
SPIN-code: 8686-1597
radiologist
Russian Federation, Saint PetersburgNatalya Yu. Kuznetsova
Scientific Research Institute of Pulmonology
Author for correspondence.
Email: kznnataly@mail.ru
ORCID iD: 0009-0005-1057-5048
M.D., Ph.D. (Medicine)
Russian Federation, MoscowEmiliya N. Stolova
Saint Petersburg State Pediatric Medical University
Email: emilinast@mail.ru
ORCID iD: 0009-0008-0590-9906
SPIN-code: 2779-4372
M.D., Ph.D. (Medicine)
Russian Federation, Saint PetersburgReferences
- Nabheerong P, Kengkla K, Saokaew S, Naravejsakul K. Diagnostic accuracy of Doppler twinkling artifact for identifying urolithiasis: a systematic review and meta-analysis. J Ultrasound. 2023;26(2): 321–331. doi: 10.1007/s40477-022-00759-z
- Verhagen MV, Watson TA, Hickson M. Acoustic shadowing in pediatric kidney stone ultrasound: a retrospective study with non-enhanced computed tomography as reference standard. Pediatr Radiol. 2019;49(6):777–783. doi: 10.1007/s00247-019-04372-x
- Behbahan AG, Emami E. Etiology of Urolithiasis in Children. Journal of Pediatric Nephrology. 2022;10(2):74–82. doi: 10.22037/jpn.v10i2.37104
- Ryazanov VV, Kutsenko VP, Sadykova GK, et al. Differential diagnosis of urinary stones of different chemical composition, by using dual energy computed tomography. Vrach. 2023;34(3):43–48. (In Russ.) doi: 10.29296/25877305-2023-03-08
- Din XJ, Hing EY, Abdul Hamid H. Diagnostic Value of Colour Doppler Twinkling Artefact in Detecting Nephrolithiasis. Hong Kong Journal of Radiology. 2020;3(4):268–274. doi: 10.12809/hkjr2017049
- Hanafi MQ, Fakhrizadeh A, Jaafaezadeh E. An investigation into the clinical accuracy of twinkling artifacts in patients with urolithiasis smaller than 5 mm in comparison with computed tomography scanning. J Family Med Prim Care. 2019;8(2):401. doi: 10.4103/jfmpc.jfmpc_300_18
- Krakhotkin DV, Chernylovskyi VA, Sarica K, et al. Diagnostic value ultrasound signs of stones less than or equal to 10 mm and clinico-radiological variants of ureteric colic. Asian Journal of Urology. 2023;10(1):39–49. doi: 10.1016/j.ajur.2022.03.015
- Roberson NP, Dillman JR, O’Hara SM, et al. Comparison of ultrasound versus computed tomography for the detection of kidney stones in the pediatric population: a clinical effectiveness study. Pediatr Radiol. 2018;48(7):962–972. doi: 10.1007/s00247-018-4099-7
- Cunitz BW, Harper JD, Sorensen MD, et al. Quantification of Renal Stone Contrast with Ultrasound in Human Subjects. J Endourol. 2017;31(11):1123–1130. doi: 10.1089/end.2017.0404
- Abdel-Gawad M, Kadasne RD, Elsobky E, et al. Prospective Comparative Study between Color Doppler Ultrasound with Twinkling and Non-Contrast Computed Tomography in the Evaluation of Acute Renal Colic. The Journal of Urology. 2016;196(3):757–762. doi: 10.1016/j.juro.2016.03.175
- Laher AE, McDowall J, Gerber L, et al. The ultrasound ‘twinkling artefact’ in the diagnosis of urolithiasis: hocus or valuable point-of-care-ultrasound? A systematic review and meta-analysis. Eur J Emerg Med. 2020;27(1):13–20. doi: 10.1097/MEJ.0000000000000601
- Bacha R, Manzoor I, Gilani SA, Khan AI. Clinical Significance of Twinkling Artifact in the Diagnosis of Urinary Stones. Ultrasound Med Biol. 2019;45(12):3199–3206. doi: 10.1016/j.ultrasmedbio.2019.08.015
- Rokni E, Simon JC. The effect of crystal composition and environment on the color Doppler ultrasound twinkling artifact. Phys Med Biol. 2023;68(3):035021. doi: 10.1088/1361-6560/acb2ad
- Rokni E, Zinck S, Simon JC. Evaluation of Stone Features That Cause the Color Doppler Ultrasound Twinkling Artifact. Ultrasound Med Biol. 2021;47(5):1310–1318. doi: 10.1016/j.ultrasmedbio.2021.01.016
- Gromov AI, Sapozhnikov OA, Kaprin AD. Doppler twinkling artifact: physical mechanisms and place in diagnostic practice. State of the art. Medical Visualization. 2023;27(1):120–134. (In Russ.) doi: 10.24835/1607-0763-1206
- Adel H, Sattar A, Rahim A, et al. Diagnostic Accuracy of Doppler Twinkling Artifact for Identifying Urinary Tract Calculi. Cureus. 2019;11(9):e5647. doi: 10.7759/cureus.5647
Supplementary files





