Speech disorders in genetically determined forms of epilepsy in children. Clinical observations
- Authors: Guzeva V.I.1, Eremkina Y.A.1, Guzeva O.V.1, Guzeva V.V.1, Malekov D.A.1, Vedernikova V.A.1
-
Affiliations:
- Saint Petersburg State Pediatric Medical University
- Issue: Vol 42, No 4 (2023)
- Pages: 437-444
- Section: Case report
- URL: https://journals.eco-vector.com/RMMArep/article/view/585236
- DOI: https://doi.org/10.17816/rmmar585236
- ID: 585236
Cite item
Full Text
Abstract
BACKGROUND: Speech disorders in children are one of the pressing problems of child neurology. In recent years, much attention has been paid to studying the genetic aspects of the development of speech disorders in children with epilepsy. Speech function in childhood is vulnerable, and its violation has a number of significant consequences. Specialists from different disciplines focus on specific aspects of speech disorders. Speech therapists consider speech disorders based on linguistic criteria, psychologists evaluate the psychological characteristics of children with speech disorders. The rapid development of genetic research, the availability of many molecular genetic tests, especially such a method as next generation sequencing, allowed us to pay more attention to the study of genetic aspects of the development of speech disorders in children with epilepsy.
AIM: to present options for speech disorders in genetically determined forms of epilepsy in children based on clinical examples.
RESULTS: The article analyzes 3 clinical cases of epilepsy in children, combined with speech pathology (2 boys and 1 girl aged 2 to 5 years). The data of anamnesis of life and disease, neurological examination with assessment of speech function, results of genetic research, electroencephalographic examination and magnetic resonance imaging are presented.
CONCLUSION: All patients are united by a combination of speech disorders, epileptic seizures, and the presence of genetic pathologies that are responsible for speech function. These clinical observations demonstrate the need for a comprehensive, multidisciplinary approach both at the stage of early diagnosis of speech impairment in children with epileptic seizures and at the stage of further treatment of such patients.
Full Text
АКТУАЛЬНОСТЬ
Речевая функция является ключевой для развития мышления ребенка и интеллекта в целом, поэтому нарушение формирования речи неизбежно влечет за собой отставание в развитии мышления, нарушение общения и социализации, возникновение поведенческих нарушений и школьную неуспеваемость [1, 2].
Нарушения речи могут быть вызваны различными причинами и представляют собой сенсорные или моторные нарушения речи или и то и другое вместе.
Опубликованы результаты исследования, в котором выявлена высокая частота нарушений моторной речи у детей с эпилепсией. Дизартрия явилась наиболее частым диагнозом. Сравнение групп показало, что у детей с известной этиологией приступов больше атипичных двигательных речевых особенностей и более низкие языковые баллы, чем у детей с идиопатическими приступами [3, 4].
В последние годы привлекает внимание роль генетических факторов в формировании нарушений развития речи. В число генов, которые могут детерминировать отставание речевого развития, входят FOXP1 (на хромосоме 3p14), CNTNAP2 (7q36), ATP2C2 (16q24), CMIP (16q24), SETBP1 (18q12.3), NRXN1 (2p13.3), TM4SF20 (2q36.3), SRPX2 (Xq22.1), KIAA0319 (6p22.2). Особая роль отводится FOXP2 на хромосоме 7q31. Считается, что этот ген одновременно контролирует как усвоение и применение грамматических языковых правил, так и речевую моторику — движения мышц языка, губ, гортани [5].
Речевые нарушения чаще проявляются у пациентов с атипичной роландической эпилепсией, доброкачественными затылочными эпилепсиями, синдромом Панайотопулоса с ранним началом и типом Гасто с поздним началом, синдромом Ландау–Клеффнера, синдромом непрерывной спайк-волны во время сна, GRIN2A эпилепсией-афазией [6, 7].
КЛИНИЧЕСКИЙ СЛУЧАЙ № 1
В психоневрологическое отделение Санкт-Петербургского государственного педиатрического медицинского университета поступил мальчик 2 года 9 мес с жалобами на задержку психомоторного развития (не сидит, не встает, не ходит, не разговаривает), размашистые движения рук, эпилептические приступы.
Анамнез жизни: ребенок от 4-й беременности, протекавшей на фоне угрозы выкидыша в 16 нед, анемии. Роды 2-е, срочные, отмечалась гипоксия в родах. Вес — 3400 г, рост — 55 см, оценка по шкале Апгар — 8/8 баллов. Из роддома выписан в срок. В 10 мес проходил курсы физиотерапевтического лечения и массажа в дневном стационаре реабилитационного отделения по поводу темповой задержки моторного развития. Далее наблюдался в поликлинике с диагнозом «детский церебральный паралич, гипотонически-астатическая форма. Задержка психоречевого развития».
Анамнез заболевания: первые приступы наблюдались в 12 мес на фоне соматического здоровья в виде обмяканий, сопровождавшихся позывом на рвоту, иногда рвотой, с вегетативной симптоматикой (бледность, потливость), купировались самостоятельно. Длительность пароксизма до 5 мин с частотой 1–2 раза в мес. Статусного течения приступов, фебрильных приступов не отмечалось. По первым результатам ЭЭГ, видео-ЭЭГ мониторирования с ночным сном эпилептиформной активности не регистрировалось. Назначена противоэпилептическая терапия окскарбамаземином.
На момент осмотра: соматический статус без особенностей. В неврологическом статусе тетрапарез до 3 баллов. Глубокие сухожильные рефлексы высокие, с расширением рефлексогенных зон, симметричные, положительные патологические рефлексы (рефлексы Бабинского, Россолимо). Мышечный тонус изменен по экстрапирамидному типу. Интенционный тремор и элементы динамической атаксии. Голову удерживает кратковременно, слуховое и зрительное сосредоточение есть. Не сидит, не переворачивается. Гуление. Навыки опрятности не сформированы. Базисная терапия на момент осмотра окскарбамазепин 32 мг/кг/сут.
По результатам проведенного обследования клинический и биохимический анализы крови без патологии. Электрокардиограмма (ЭКГ) — синусовый ритм с частотой сердечных сокращений (ЧСС) 107 уд./мин. Нормальное положение электрической оси сердца. Неполная блокада правой ножки пучка Гиса.
Электроэнцефалография: фоновый паттерн деформирован. Региональные эпилептиформные изменения — редуцированные комплексы острая-медленная волна бифронтально.
Электронейромиография: патологии не выявлено.
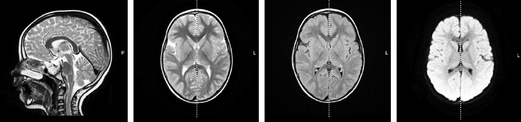
МРТ головного мозга 1,5 Тс: Умеренно выраженный перивентрикулярный глиоз (данные МРТ головного мозга представлены на рис. 1).
Рис. 1. МРТ головного мозга 1,5 Тс пациента (режимы T2W, T1W, FLAIR, DWI): умеренно выраженный перивентрикулярный глиоз
Генетическое обследование: исключены болезни обмена. При проведении секвенирования ДНК «Большая неврологическая панель» в лаборатории «Геномед» выявлена мутация в гене STXBP1, подтвержденная секвенированием по Сэнгеру.
На основании клинико-анамнестических данных, результатов проведенного обследования установлен диагноз: энцефалопатия развития и эпилептическая энцефалопатия, ассоциированная с мутацией в гене STXBP1. Тетрапарез. Атаксический синдром. Грубая задержка психомоторного и речевого развития.
КЛИНИЧЕСКИЙ СЛУЧАЙ № 2
Мальчик 4 года 5 мес с жалобами на задержку в развитии, эпилептические приступы во время ночного сна в виде вздрагиваний.
Анамнез жизни: ребенок от 4-й беременности (1-я — дочь 11 лет, структурная эпилепсия; 2-я — дочь 10 лет, легкая форма ДЦП; 3-я — сын 7 лет, здоров). Данная беременность от другого брака, первые 3 ребенка от 1-го брака. Беременность протекала без особенностей. Роды на 38-й нед гестационного срока. Вес при рождении 3351 г и рост 51 см. Отмечалась гипоксия в родах (трехкратное обвитие пуповины вокруг шеи), оценка состояния по шкале Апгар 8/8 баллов.
Голову держит с 6 мес, сел в 12 мес, попытки встать в 1 год 7 мес, первые слова к 4 годам. Лекарственной и пищевой аллергии нет. Черепно-мозговые травмы отрицаются. Выполнена аденотомия в 2019 г. В анамнезе пневмония, COVID-инфекция в тяжелой форме (находился на кислородной поддержке), бронхит. Состоит на диспанесерном учете у офтальмолога по поводу частичной атрофии дисков зрительных нервов обоих глаз, косоглазия; на учете у гастроэнтеролога — белково-энергетическая недостаточность.
Наследственность: у тети по линии матери 3 ребенка с эпилепсией, 2 из них умерли от сердечной недостаточности во время эпилептического статуса.
Дебют приступов в 1 мес. Частота до 5 раз в сут. Приступы в виде падения, тонического напряжения, дрожания длительностью 1–5 мин. В анамнезе серийное течение, атонические приступы, приступы в виде замираний. Неоднократно проводилась коррекция противоэпилептической терапии (положительный эффект при приеме клоназепама, этосуксемида)
На момент осмотра: соматический статус без особенностей. В неврологическом статусе: в контакт не вступает, интерес к осмотру не проявляет, возбудим, может ударить. Навыки самообслуживания и опрятности не сформированы. Сходящееся альтернирующее косоглазие. Дизартрия. Диффузная мышечная гипотония. Ходьба с поддержкой, единичные самостоятельные шаги с широкой базой опоры. Быстро ползает на четвереньках.
Понимание обращенной речи избирательное, ситуативное, на уровне бытовых знакомых инструкций, просьб, требуется повторение, жестовое подкрепление. Экспрессивная речь: слова, простые предложения (1–3 слова) аграмматичные на фоне нарушенного фонематического восприятия, артикуляционной диспраксии.
Базисная терапия: фенобарбитал 75 мг/сут (4,6 мг/кг/сут), клобазам 17,5 мг/сут (1 мг/кг/сут), этосуксимид 500 мг/сут (31 мг/кг/сут).
Результаты проведенного обследования: клинический, биохимический анализы крови без патологии; ЭКГ: синусовый ритм с ЧСС 123 уд./мин. Нормальное положение электрической оси. Нарушение процессов реполяризации по нижней стенке левого желудочка
Электроэнцефалография: очаговых изменений и эпилептиформной активности не выявлено.
Элекронейромиография: достоверных признаков поражения моторных и сенсорных волокон нижних конечностей не зарегистрировано.
УЗИ органов брюшной полости без эхоструктурной патологии.
УЗИ мышц и нервов верхних и нижних конечностей без признаков их патологии.
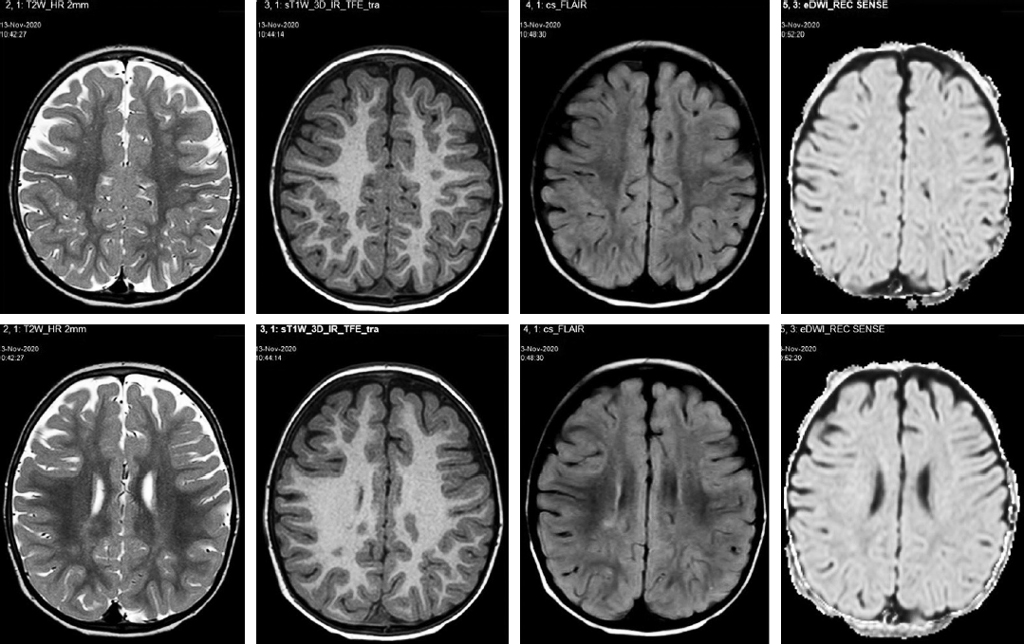
МРТ головного мозга 1,5 Тс: без структурных изменений (рис. 2).
Рис. 2. МРТ головного мозга 1,5 Тс пациента (режимы T2W, T1W, FLAIR, DWI): без структурных изменений
Консультирован психологом: общие представления об окружающем мире снижены в соответствии с возрастными требованиями. Внимание неустойчивое, отмечаются сложности с усидчивостью. Присутствуют сложности с произвольным переключением внимания. Способности к обобщению и выделению существенных признаков снижены. Уровень понимания смысла причинно-следственных отношений снижен. Саморегуляция и контроль значительно снижены. Присутствуют интенсивные негативные эмоциональные реакции в ситуации, когда не может получить желаемое.
Генетическое обследование: исключены болезни обмена. Методом секвенирования экзома выявлены патологические варианты генов FOXP2, COL1A2, OPA1. В дальнейшем проведено секвенирование по Сэнгеру, что подтвердило изменение нуклеотидной последовательности в гене FOXP2.
На основании клинико-анамнестических данных, результатов проведенного обследования установлен диагноз: генетически детерминированная эпилепсия. Синдром атаксии и мышечной гипотонии в структуре генетической патологии. Задержка психоречевого развития системного характера с несформированностью когнитивного, вербального и регуляторного компонентов. Сходящееся альтернирующее косоглазие. Дизартрия.
КЛИНИЧЕСКИЙ СЛУЧАЙ № 3
Девочка 5 лет с жалобами на полную утрату сформированной речи и эпилептические приступы.
Анамнез жизни: ребенок от 1-й нормально протекавшей беременности. Роды на 39-й нед гестационного срока, без осложнений. Вес при рождении 3700 г, рост — 52 см, оценка состояния по шкале Апгар 9/9 баллов. Росла и развивалась по возрасту. Наследственность по эпилепсии не отягощена.
Анамнез заболевания: в возрасте 4 лет 11 мес впервые в жизни развился генерализованный судорожный приступ на фоне соматического благополучия. В течение 3 последующих месяцев отмечался постепенный регресс речевого, моторного развития с нарушением понимания обращенной речи. Результаты первой элекроэнцефалографии (декабрь 2021 г.): выявлена эпилептиформная активность. Назначен леветирацетам 43 мг/кг/сут. Объективно девочка активная, на вопросы не отвечала (фразовой речи нет, эмоциональные слоговые мычания), задания выполняла по подражанию. Очаговой патологии не выявлено.
МРТ головного мозга: картина локального участка структурных изменений субкортикального белого вещества медиальной коры парасагиттальных отделов лобно-теменной области левой гемисферы с нечеткостью кортико-модулярной демаркации. Не исключены проявления кортикальной фокальной дисплазии.
Видео-ЭЭГ-мониторирование: возрастной ритм замедлен, деформирован. Эпилептиформная активность на фоновой ЭЭГ в виде продолженной диффузной: комплексы острая волна – медленная волна с преобладанием в лобно-височных областях обоих полушарий. Сон и бодрствование слабо дифференцированы. В состоянии сна регистрируется регулярная диффузная эпилептиформная активность: высокоамплитудные комплексы острая волна – медленная волна до 90–100 % во всех стадиях сна (рис. 3 a, б).
Рис. 3. Электроэнцефалограмма пациентки: а — комплексы острая волна – медленная волна с преобладанием в лобно-височных областях обоих полушарий во время бодрствования; б — регулярная диффузная эпилептиформная активность высокоамплитудные комплексы острая волна – медленная во время сна
Генетическое обследование: секвенирование экзома патологии не выявило, при выполнении секвенирования генома обнаружен патогенный вариант CNKSR2 в гетерозиготном состоянии.
На основании клинико-анамнестических данных и результатов проведенного обследования установлен диагноз «эпилептическая энцефалопатия (синдром Ландау–Клеффнера). Системное недоразвитие речи среднетяжелой степени. Сенсомоторная афазия».
В связи с неэффективностью леветирацетама произведена его замена на препарат вальпроевой кислоты. Проведен курс гормональной терапии: преднизолон 3 мг/кг в/м № 1, 2 мг/кг в/м № 3 с дальнейшим переходом на таблетированную форму 2 мг/кг/сут в течение 1 мес с последующим постепенным снижением дозировки. Регулярные занятия с логопедом-дефектологом. На фоне комплексной терапии у девочки отмечалась положительная динамика в психоречевом развитии (понимание обращенной речи на предикативном уровне сформированности; однако не понимает сложные логико-грамматические обороты, выражающие временные, пространственные отношения, обобщающими понятиями владеет, подбирает антонимы средне-тяжелой степени — один на слово-стимул; лексический запас недостаточный относительно возрастной нормы, допускает ошибки грамматического оформления речи: при словообразовании (притяжательных, относительных прилагательных) и элекроэнцефалографически (отсутствие эпилептиформной активности во время бодрствования, снижение индекса представленности (90–100 –> 20–40 %) и распространенности эпилептиформной активности во время сна).
ЗАКЛЮЧЕНИЕ
Нарушения речи у детей с эпилепсией коррелируют с выраженностью структурных поражений головного мозга, курабельностью эпилепсии, длительностью эпилептиформной активности, осложнениями лекарственной терапии, различными генетическими вариантами или их сочетанием.
В настоящее время назрела необходимость разработки и внедрения единых диагностических подходов речевых расстройств у детей раннего и дошкольного возраста, в том числе с эпилепсией, что, в свою очередь, позволит проводить детям своевременную коррекцию противоэпилептической терапии в комплексе с психолого-педагогической и логопедической помощью.
ДОПОЛНИТЕЛЬНАЯ ИНФОРМАЦИЯ
Источник финансирования. Финансирование данной работы не проводилось.
Конфликт интересов. Авторы декларируют отсутствие явных и потенциальных конфликтов интересов, связанных с публикацией настоящей статьи.
Этическая экспертиза. Проведение исследования одобрено локальным этическим комитетом.
Вклад авторов. Все авторы внесли существенный вклад в проведение исследования и подготовку статьи, прочли и одобрили финальную версию перед публикацией.
About the authors
Valentina I. Guzeva
Saint Petersburg State Pediatric Medical University
Email: viktoryka@mail.ru
ORCID iD: 0009-0002-3493-1041
SPIN-code: 1097-5673
Scopus Author ID: 6603635189
M.D., D.Sc. (Medicine), Professor, the Head of the Neurology, Neurosurgery and Medical Genetics Department
Russian Federation, Saint PetersburgYulia A. Eremkina
Saint Petersburg State Pediatric Medical University
Author for correspondence.
Email: uliahromcova@gmail.com
ORCID iD: 0000-0002-7712-1754
SPIN-code: 7287-9458
Scopus Author ID: 57222508483
Assistant at the Neurology, Neurosurgery and Medical Genetics Department
Russian Federation, Saint PetersburgOksana V. Guzeva
Saint Petersburg State Pediatric Medical University
Email: oksanadoc@bk.ru
ORCID iD: 0000-0002-3639-4860
Scopus Author ID: 21742770700
M.D., D.Sc. (Medicine), Professor, the Neurology, Neurosurgery and Medical Genetics Department
Russian Federation, Saint PetersburgViktoriya V. Guzeva
Saint Petersburg State Pediatric Medical University
Email: viktoryka@mail.ru
ORCID iD: 0009-0000-7834-3300
SPIN-code: 5542-8975
Scopus Author ID: 58445207000
M.D., D.Sc. (Medicine), Professor, the Neurology, Neurosurgery and Medical Genetics Department
Russian Federation, Saint PetersburgDamir A. Malekov
Saint Petersburg State Pediatric Medical University
Email: d.a.malekov@gmail.com
ORCID iD: 0000-0002-1358-4725
SPIN-code: 8804-4630
Russian Federation, Saint Petersburg
Viktoriya A. Vedernikova
Saint Petersburg State Pediatric Medical University
Email: vikochka.spb@mail.ru
ORCID iD: 0009-0007-2326-5326
SPIN-code: 7537-9970
Russian Federation, Saint Petersburg
References
- Guzeva VI, ed. Federal guidelines for pediatric neurology. Saint Petersburg: Valetudo Publ.; 2023. (In Russ.)
- Makarov IV, Emelina DA. Developmental language disorders in children. Social and clinical psychiatry. 2017;27(4):101–105. (In Russ.)
- Allison K, Stoeckel R, Olsen E, et al. Motor speech phenotypes in children with Epilepsy: preliminary findings. American Journal of Speech-Language Pathology. 2023;32(4S):1912–1922. doi: 10.1044/2022_AJSLP-22-00176
- Shriberg LD, Kwiatkowski J, Mabie HL. Estimates of the prevalence of motor speech disorders in children with idiopathic speech delay. Clinical Linguistics Phonetics. 2019;33(8):679–706. doi: 10.1080/02699206.2019.1595731
- Zavadenko NN. Speech disorders in children: early diagnosis and treatment. The Korsakov’s Journal of Neurology and Psychiatry. 2016;116(12):119–125. (In Russ.) doi: 10.17116/jnevro2016116121119-125
- Guzeva VI, Okhrim IV, Eremkina YuA. Cognitive impairment in a child with atypical rolandic epilepsy. Clinical observation. Rossiyskiy vestnik perinatologii i pediatrii. 2022;67(4):273–274. (In Russ.)
- Rudolf G, de Bellescize J, de Saint Martin A, et al. Exome sequencing in 57 patients with self-limited focal epilepsies of childhood with typical or atypical presentations suggests novel candidate genes. Europen Journal of Paediatric Neurology. 2020;27:104–110 doi: 10.1016/j.ejpn.2020.05.003
Supplementary files






