Epilepsy, epileptoma, surgery (based on clinical case data)
- Authors: Mongaleva E.S.1, Lyubimova P.A.1, Gyulova E.V.1, Den'gina N.O.1, Odintsova G.V.1
-
Affiliations:
- Almazov National Medical Research Centre
- Issue: Vol 42, No 4 (2023)
- Pages: 445-450
- Section: Case report
- URL: https://journals.eco-vector.com/RMMArep/article/view/607448
- DOI: https://doi.org/10.17816/rmmar607448
- ID: 607448
Cite item
Full Text
Abstract
Tumor-associated epilepsy is a comorbid disease with focal symptoms or focal, bilateral tonic-clonic seizures. This paper presents the case of a 36-year-old woman hospitalized due to frequent generalized seizures with focal onset and marked pharmacoresistance. The first epileptic seizure occurred at the age of 23 at night during sleep, manifested by tonic seizures with turning of the head to the right, impaired consciousness. The patient took lamotrigine and lacosamide, which resulted in remissions, but freedom from seizures was not achieved. MRI revealed structural changes in the medio-basal regions of the right temporal lobe. PET-CT revealed signs of metabolically active tumor tissue in the right temporal region.Based on the findings, it was concluded that the patient had a ganglioglioma. The patient underwent selective resection of the area of structural changes in the basal parts of the right temporal lobe. By the time of her discharge from the hospital on the 10th day after the surgical intervention, her general condition had fully recovered, no generalised seizures were noted in the postoperative period. During the evaluation of the catamnesis, an isolated aura occurred once. The presence of the disease significantly impaired the patient’s work activity, quality of life and socialisation and led to a depressive episode. This surgical intervention significantly reduced the patient’s quality of life. Thus, tumor-associated epilepsies caused by epileptomas are characterized by pharmacoresistance. Drug treatment did not have a stable effect and the course of the disease was accompanied by a recurrence of seizures. Surgical treatment is the method of choice. With the development of modern neurosurgery, cognitive functions could be preserved despite the long history of the disease.
Full Text
АКТУАЛЬНОСТЬ
Хирургия эпилепсии — активно развивающееся направление в эпилептологии последних лет [1]. Развитие новых хирургических методов расширяет возможности лечения, снижает риски оперативных вмешательств [2, 3]. Произошедшее в последнее время обновление основных понятий в эпилептологии обеспечило дополнительные возможности в лечении эпилепсии, приняты основные определения: практическое определение эпилепсии, эпилептического статуса, фармакорезистентной эпилепсии; обновлены классификации эпилепсий и эпилептических приступов, эпилептических синдромов [4–7].
В настоящее время прогресс в развитии нейрохирургии эпилепсии распространяется также на нефармакорезистентные формы заболевания, формируя направление ранней хирургии эпилепсии [8].
Раннее хирургическое лечение особенно актуально для опухоль-ассоциированных форм эпилепсии.
Опухоль-ассоциированные эпилепсии можно условно разделить на две группы: первая — с преобладанием клинической картины опухоли и вторая — с ведущей симптоматикой эпилепсии [9].
Для новообразований с высоким риском эпилептогенности в 2014 г. введен термин «эпилептома», патогенетическими вариантами которого являются дизэмбриопластические нейроэпителиальные опухоли и ганглиоглиомы. Опухоль-ассоциированная эпилепсия — коморбидное заболевание, обусловленное онкологическим процессом и протекающее с симптоматикой фокальных или билатеральных тонико-клонических судорожных приступов. Особенностью течения пароксизмального синдрома при данной патологии является выраженная фармакорезистентность, что важно понимать эпилептологам в детской практике и при работе со взрослым населением, так как заболевание часто дебютирует в подростковом и юношеском возрасте [10].
Тяжесть заболевания с позиции эпилептологии и нейроонкологии оценивается различно. С позиции нейроонкологии эпилептомы отличаются низкой пролиферативной активностью. С позиции эпилептологии эпилепсии, обусловленные эпилептомами, характеризуются фармакорезисентностью. В такой ситуации важна оценка тяжести заболевания по тяжести ведущего симптома, что и должно определять лечебную тактику.
Представленный клинический случай показывает важность и возможности раннего хирургического лечения.
Цель — представить на клиническом примере особенности клинического течения опухоль-ассоциированной эпилепсии и тактику хирургического лечения.
МАТЕРИАЛЫ И МЕТОДЫ
Исследование выполнено в Российском научно-исследовательском нейрохирургическом институте (РНХИ) им. проф. А.Л. Поленова по плану Государственного задания № 122011900530-8 «Стратификация рисков, выбор оптимальной стратегии хирургического лечения и прогнозирование исходов у пациентов с фармакорезистентной структурной эпилепсией» в 2023 г. Описаны клинический случай динамики эпилепсии, обусловленной ганглиоглиомой, и тактика хирургического лечения. В работе представлены наблюдение эпилепсии у женщины 36 лет, госпитализированной из-за частых генерализованных приступов с фокальным началом, фармакорезистентностью, и тактика хирургического лечения.
РЕЗУЛЬТАТЫ
Клинический случай
Пациентка К., 36 лет, поступила в нейрохирургическое отделение № 2 (зав. отделением канд. мед. наук В.Г. Нездоровина) в апреле 2023 г. с жалобами на приступы несистемного головокружения с последующим падением, утратой осознанности, адверсией головы влево, двусторонними судорогами, различной частоты — от одного-двух до нескольких раз в месяц (максимальное количество указать затрудняется ввиду снижения памяти, дневник приступов не ведет).
Со слов пациентки, первый приступ случился в 2010 г. в возрасте 23 лет, ночью во время сна, проявлялся тоническими судорогами с поворотом головы вправо, нарушением сознания. В связи с возникшими жалобами обратилась к неврологу, которым был назначен ламотриджин (дозировку уточнить затрудняется). На фоне приема препарата следующие два года приступов не отмечалось. В 2012 г. родила мальчика. Во время грудного вскармливания у ребенка развилась тяжелая аллергическая реакция, в связи с чем препарат был отменен. В течение 2012 г. сообщила о двух приступа с аналогичным развитием, постприступный период описывала как длительное и тяжелое состояние слабости, снижения физической и умственной активности. В течение 3 лет приступов не отмечалось при возобновлении приема ламотриджина. В 2016 г. возникли приступы с частотой около 3–4 раз в неделю на фоне приема ламотриджина. Самостоятельно обратилась к эпилептологу, для купирования приступов назначен леветирацетам 1500 мг с положительным эффектом — частота приступов снизилась до 1 раза в 1–2 года.
В ноябре 2020 г. перенесла новую коронавирусную инфекцию.
В июле 2021 г. был выполнен видео-ЭЭГ-мониторинг, где в I–II стадии сна обнаружена итнериктальная активность в правых заднелобно-височных отведениях (в структуре периодического замедления вспышки колебаний, схожие с комплексами острая – медленная волна).
С сентября 2022 г. отмечает ухудшение — исчезла аура, увеличилась частота приступов, их длительность увеличилась до 2 мин, уменьшился межприступный период. На фоне клинического ухудшения произошла потеря работы, существенно снизился общий фон настроения.
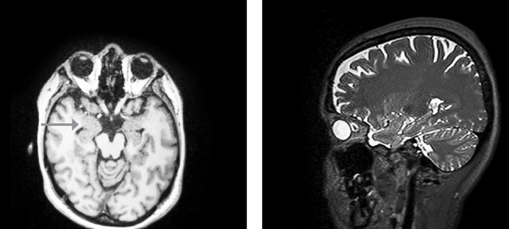
В декабре 2022 г. выполнила магнитно-резонансную томографию (МРТ) головного мозга: участок структурных изменений в кортикальных-субкортикальных медиобазальных отделах правой височной доли — более вероятно диэмбриопластическая нейроэпителиальная опухоль (DNET). Единичный очаг глиоза в левой и правой височных долях (рис. 1).
Рис. 1. Участок структурных изменений в кортикальных-субкортикальных медиобазальных отделах правой височной доли — более вероятна DNET. Единичный очаг глиоза в левой височной доле, вероятно, неспецифического резидуального генеза, не выраженного расширения наружного ликворного пространства. В сравнении с МРТ от 2009 г. — без динамики по размерам изменения в правой височной доле
С конца марта 2022 г. после консультации с врачом-эпилептологом начала принимать дополнительно лакосамид 150 мг 2 раза в сутки на этапе прехирургической подготовки.
В апреле–мае 2023 г. проходила стационарное лечение в условиях 2-го нейрохирургического отделения Российского научно-исследовательского нейрохирургического института им. проф. А.Л. Поленова, где проведено дополнительное обследование в объеме МРТ, позитронно-эмиссионной томографии, совмещенной с рентгеновской компьютерной томографией (ПЭТ-КТ) головного мозга, с 11С-метионином.
По данным ПЭТ-КТ — признаки метаболически активной опухолевой ткани в правой височной области.
Видео-ЭЭГ-мониторинг — основной ритм по частотным характеристикам соответствует возрастной норме с отчетливым фронто-окципитальным зональным распределением, без особой межполушарной амплитудной асимметрии активности. Сон носил циклический характер, модулирован по фазам и стадиям, физиологические паттерны сна выражены удовлетворительно.
Региональные изменения в височных отделах справа в виде периодического и продолженного иррегулярного тета-дельта замедления активности, на фоне которого регистрировались эпизодические субклинические эпилептиформные разряды комплексов острая –медленная волна. Индекс представленности в записи 1–3 %.
Эпилептических приступов, паттернов эпилептических приступов в ходе исследования не зарегистрировано (рис. 2).
Рис. 2. Региональные изменения в височных отделах справа в виде периодического и продолженного иррегулярного тета–дельта замедления активности, на фоне которого регистрировались эпизодические субклинические эпилептиформные разряды комплексов острая – медленная волна. Индекс представленности в записи 1–3 %
На основе полученных данных установлен диагноз «структурная височная эпилепсия (структурные изменения базальных отделов правой височной доли, ганглиоглиома с низкой пролиферативной активностью, высокая степень дифференцировки опухоли), опухоль-ассоциированная, фармакорезистентная, рецидивирующее течение, приступы с комплексным фокальным моторным началом, вторичной генерализацией».
Проведена операция 10.05.2023: краниотомия в правой височной области. Микрохирургическая селективная резекция зоны структурных изменений базальных отделов правой височной доли с применением нейрофизиологического мониторинга и ультразвуковой навигации.
В неврологическом статусе после оперативного вмешательства без очаговой симптоматики, эпилептических приступов не зарегистрировано, субъективно отмечала сонливость в раннем послеоперационном периоде. На момент выписки пациентке рекомендован переход на монотерапию: постоянный прием лакосамида в дозировке 400 мг в сутки и отмена левитирацетама в связи с развившимся депрессивным эпизодом. Для предотвращения возобновления судорог доза лакосамида была увеличена. После выписки из стационара на 10-й день после оперативного вмешательства общее состояние полностью восстановилось, соответствует дооперационному уровню.
Пациентка была приглашена на амбулаторную консультацию для оценки проведенного лечения в долгосрочной перспективе. С ее слов, в июле 2023 г. на фоне физического утомления и яркого освещения (на приеме у офтальмолога) — однократный приступ по типу изолированной ауры, генерализации приступов более не отмечалось.
Несмотря на длительный анамнез заболевания, пациентка когнитивно сохранна (Moнреальская когнитивная шкала до операции — 28 баллов, после — 27 баллов), имеет 2 высших образования, есть муж и здоровый ребенок. Однако наличие заболевания значительно нарушало качество жизни пациентки и ее социализацию. Выраженная тревожность в связи с внезапным началом приступов вынудила пациентку уйти с работы. Во время нахождения в отделении была консультирована психиатром, установлен диагноз «депрессивный эпизод средней степени», в связи с чем пациентке назначен эсциталопрам в дозировке 10 мг и рекомендована психотерапия в амбулаторных условиях.
ОБСУЖДЕНИЕ
Данный случай представляет особый интерес, демонстрирует редкую патологию в этиологии эпилепсии, сложности диагностики и тактики ведения. Особенностью случая является поздний для эпилептом дебют эпилепсии.
При обращениях с жалобами на рецидивы приступов не рекомендовалось проведение хирургического лечения, что в дальнейшем привело к ухудшению течения эпилепсии и развитию склонности к билатеральности (отмечает исчезновение предшествующих приступам ощущений-аур). Пациентке была выполнена операция, которая, несмотря на длительный стаж заболевания, не вызвала когнитивных нарушений.
Эффективность оперативного лечения при эпилепсиях, обусловленных эпилептомами, достаточно высока. Так, благоприятные неврологические исходы зарегистрированы у 72,5 % пациентов, в то время как неблагоприятные неврологические исходы были зарегистрированы у 27,5 % [10]. Медикаментозное лечение при эпилептомах не дает устойчивого эффекта, течение эпилепсии сопровождается рецидивами приступов, что приводит к коморбидным аффективным нарушениям и в итоге — к социальной дезадаптации.
Оперативное лечение в сочетании с противоэпилептическими препаратами является оптимальным вариантом для пациентов с эпилепсией, обусловленной эпилептомами.
ЗАКЛЮЧЕНИЕ
Опухоль-ассоциированные эпилепсии, обусловленные эпилептомами, характеризуются фармакорезистентностью. Оперативное лечение является методом выбора.
ДОПОЛНИТЕЛЬНАЯ ИНФОРМАЦИЯ
Источник финансирования. Исследование выполнено в РНХИ им. проф. А.Л. Поленова по плану ГЗ № 122011900530-8 «Стратификация рисков, выбор оптимальной стратегии хирургического лечения и прогнозирование исходов у пациентов с фармакорезистентной структурной эпилепсией» в 2023 г.
Конфликт интересов. Авторы заявляют об отсутствии конфликта интересов.
Этическая экспертиза. Исследование было одобрено ЛЭК ФГБУ «НМИЦ им. В.А. Алмазова» МЗ РФ (18 апреля 2022 г., № 2304-22).
Вклад авторов. Все авторы внесли существенный вклад в проведение исследования и подготовку статьи, прочли и одобрили финальную версию перед публикацией.
About the authors
Ekaterina S. Mongaleva
Almazov National Medical Research Centre
Author for correspondence.
Email: MongalevaES@gmail.com
research assistant
Russian Federation, Saint PetersburgPolina A. Lyubimova
Almazov National Medical Research Centre
Email: polinochka.lyubimova@gmail.com
clinical resident
Russian Federation, Saint PetersburgEkaterina V. Gyulova
Almazov National Medical Research Centre
Email: gulova81@mail.ru
M.D., neurophysiologist
Russian Federation, Saint PetersburgNina O. Den'gina
Almazov National Medical Research Centre
Email: dengina_no@almazovcentre.ru
ORCID iD: 0000-0003-2667-7717
SPIN-code: 4005-6506
Ph. D. (Pedagogical), Associate Professor
Russian Federation, Saint PetersburgGalina V. Odintsova
Almazov National Medical Research Centre
Email: Odintsova_GV@almazovcentre.ru
ORCID iD: 0000-0002-7186-0054
SPIN-code: 1303-4651
M.D., Ph.D. (Medicine), Head of the Research Laboratory of Epileptology
Russian Federation, Saint PetersburgReferences
- Blinov DV. Epilepsy syndromes: the 2022 ILAE definition and classification. Epilepsy and paroxysmal conditions. 2022;14(2): 101–182. (In Russ.) doi: 10.17749/2077-8333/epi.par.con.2022.123
- Engel J Jr. The current place of epilepsy surgery. Curr Opin Neurol. 2018;31(2):192–197. doi: 10.1097/WCO.0000000000000528
- Fisher RS, Acevedo C, Arzimanoglou A, et al. ILAE official report: a practical clinical definition of epilepsy. Epilepsia. 2014;55(4): 475–482. doi: 10.1111/epi.12550
- Hoppe C, Witt JA, Helmstaedter C, et al. Laser interstitial thermotherapy (LiTT) in epilepsy surgery. Seizure. 2017;48:45–52. doi: 10.1016/j.seizure.2017.04.002
- Kwan P, Arzimanoglou A, Berg AT, et al. Definition of drug resistant epilepsy: consensus proposal by the ad hoc Task Force of the ILAE Commission on Therapeutic Strategies [published correction appears in Epilepsia. 2010 Sep;51(9):1922]. Epilepsia. 2010;51(6): 1069–1077. doi: 10.1111/j.1528-1167.2009.02397.x
- Mauro AM, Bomprezzi C, Morresi S, et al. Prevention of early postoperative seizures in patients with primary brain tumors: preliminary experience with oxcarbazepine. J Neurooncol. 2007;81(3):279–285. doi: 10.1007/s11060-006-9229-7
- Pelliccia V, Deleo F, Gozzo F, et al. Early epilepsy surgery for non drug-resistant patients. Epilepsy Behav Rep. 2022;19:100542. doi: 10.1016/j.ebr.2022.100542
- Sprengers M, Vonck K, Carrette E, et al. Deep brain and cortical stimulation for epilepsy. Cochrane Database Syst Rev. 2017;7(7): CD008497. doi: 10.1002/14651858.CD008497.pub3
- Trinka E, Cock H, Hesdorffer D, et al. A definition and classification of status epilepticus — Report of the ILAE Task Force on Classification of Status Epilepticus. Epilepsia. 2015;56(10):1515–1523. doi: 10.1111/epi.13121
- Xie MG, Wang XF, Qiao J, et al. The long-term surgical outcomes of low-grade epilepsy-associated neuroepithelial tumors. Epilepsia Open. 2022;7(4):697–709. doi: 10.1002/epi4.12648
Supplementary files





