Features of diagnosis, treatment and curation of patients with neuropathic pain syndrome of traumatic genesis
- Authors: Kolomentsev S.V.1, Litvinenko I..1, Tsygan N.V.1, Bulatov A.R.1, Gayvoronsky A.I.1, Kolomentseva A.V.1, Polushina N.Y.1, Ryabtsev A.V.1, Panov V.A.1, Shermatyuk E.I.1, Polezhaev P.A.1, Kirpichenko A.A.1, Yaroslavtseva M.S.1
-
Affiliations:
- Military Medical Academy
- Issue: Vol 42, No 4 (2023)
- Pages: 357-367
- Section: Original articles
- URL: https://journals.eco-vector.com/RMMArep/article/view/611148
- DOI: https://doi.org/10.17816/rmmar611148
- ID: 611148
Cite item
Full Text
Abstract
BACKGROUND: The existing international and national clinical recommendations for the treatment of neuropathic pain syndrome are based mainly on the experience of providing care to patients with non-traumatic genesis of neuropathic pain. Approaches to the diagnosis, treatment and curation patients with neuropathic pain syndrome due damage of the nervous system as a result of wounds received during hostilities may differ from those in patients with somatic diseases.
AIM: To systematize the features of medical care and improve the methodological approach of curation patients with traumatic neuropathic pain syndrome.
MATERIALS AND METHODS: The practical experience of providing assistance to the wounded with traumatic lesions of the peripheral nervous system (including patients with phantom pain syndrome) accumulated by the staff of the Department and the Clinic of Nervous Diseases Military Medical Academy for 2022–2023 is summarized.
RESULTS: The features of inpatient routing, diagnosis, treatment and organization of medical care for patients with traumatic neuropathic pain syndrome at the stage of a specialized medical institution are systematized. The practical aspects of the curation patients with neuropathic pain due to wounds received during hostilities, related to the appointment of medications (including narcotic analgesics), regional anesthesia and the provision of neurosurgical care are highlighted. A separate emphasis is placed on the importance of assessing the mental state and quality of sleep of the wounded with neuropathic pain syndrome, the features of drug correction identified disorders. Practical recommendations for the treatment of patients based on the results of assessing the severity neuropathic pain syndrome using a daily graphic pain diary are presented.
CONCLUSION: The revealed differences in therapeutic and diagnostic approaches in providing medical care to the wounded with traumatic neuropathic pain syndrome, the importance of interdisciplinary interaction different specialties doctors (neurologists, surgeons, traumatologists, neurosurgeons, psychiatrists) at the early stages of treatment indicate the need to develop separate recommendations for the treatment of neuropathic pain in victims of armed conflicts.
Full Text
Существующие клинические рекомендации по лечению невропатического болевого синдрома (НБС) основаны преимущественно на накопленном опыте оказания помощи пациентам с нетравматическим генезом невропатической боли. Подходы к диагностике, лечению и курации пациентов с НБС вследствие повреждения периферической нервной системы (ПНС) в результате ранений, полученных в период боевых действий, имеют ряд важных особенностей и отличаются от таковых у пациентов с невропатической болью, сопровождающей течение острых и хронических радикулопатий, компрессионно-ишемических туннельных синдромов, болевых форм полиневропатий, тригеминальной, постгерпетической невралгии и пр.
Число пациентов с НБС травматического генеза кратно возрастает в период боевых действий в результате увеличения числа раненых с травматическими повреждениями структур ПНС. Так, например, при огнестрельных ранениях конечностей, сопровождающихся переломами костей, травма периферических нервов возникает примерно в 50 % случаев, при ранениях сосудов конечностей — в 10–25 % случаев [1, 2]. Известно, что НБС при поражении ПНС развивается в результате повреждения симпатических нервных волокон. В связи с этим НБС развивается, как правило, при повреждении смешанных нервов (срединного, седалищного, большеберцового, реже локтевого), сплетений, задних спинномозговых корешков, симпатических ганглиев. По данным кафедры нейрохирургии Военно-медицинской академии имени С.М. Кирова (Д.В. Свистов, А.И. Гайворонский и др.), за 2022–2023 гг. в структуре поражения ПНС наиболее часто регистрировались повреждения локтевого и лучевого нервов (примерно по 20 %), далее следовали: срединный (17,2 %), седалищный и малоберцовый (примерно по 13 %), большеберцовый нервы (7 %), плечевое сплетение (6,3 %), мышечно-кожный (2,5 %), бедренный (1 %) нервы.
Известно, что НБС характеризуется стойкостью течения, высокой интенсивностью, широкой вариативностью клинических характеристик болевых ощущений, риском хронизации и развития сопутствующих аффективных расстройств [3]. Последнее особенно актуально для пациентов с травматическим генезом развития невропатической боли, что связано с характером и дополнительным объемом повреждения окружающих тканей, особенностями оказания помощи на этапах эвакуации и особым психологическим состоянием пострадавших, находившихся в экстремальных стрессовых ситуациях в момент получения ранения. Особую группу пациентов, требующих дополнительных специальных навыков курации, составляют пациенты с фантомным болевым синдромом (ФБС), являющимся особым видом невропатической боли [4].
В рутинной практике эффективность лечения болевого синдрома любого генеза и динамика состояния пациента оцениваются лечащим врачом, как правило, по трихотомическому принципу «лучше/хуже/также». Данный критерий оценки динамики состояния не всегда может быть приемлем и достаточен при курации пациентов с НБС. Применение наиболее часто используемых шкал оценки боли: Визуально-аналоговой (ВАШ) и Цифровой рейтинговой (ЦРШ) в начале и конце лечения позволяет решить данную задачу частично по причине ограниченности применения статистических инструментов, что затрудняет оценку эффективности проводимого лечения с позиций доказательной медицины у конкретного пациента [5, 6]. Трудность объективизации любого болевого синдрома, и НБС в частности, заключается в субъективности его оценки пациентом. При этом врачу, выступающему в роли акцептора информации одностороннего порядка, необходимо фиксировать динамику болевого синдрома и интерпретировать предъявляемые жалобы в медицинской документации даже в тех случаях, когда имеются объективные сомнения в их достоверности. В случаях низкой комплаентности пациента к проводимому лечению, языкового барьера, формирования аддиктивной зависимости от приема опиоидных анальгетиков объективизация жалоб на выраженность сохраняющегося болевого синдрома является ключевым инструментом оказания помощи.
Совокупность вышеизложенных особенностей и проблем, связанных с оказанием помощи пациентам с НБС, развившимся в результате полученных в период боевых действий ранений, создает предпосылки для совершенствования существующих подходов к курации пациентов данного профиля и созданию надежных инструментов мониторинга эффективности лечения.
Цель — систематизировать особенности оказания медицинской помощи и совершенствовать методологический подход курации пациентов с невропатическим болевым синдромом травматического генеза.
МАТЕРИАЛЫ И МЕТОДЫ
В основе работы лежит практический опыт оказания помощи раненым с травматическими поражениями ПНС (в т. ч. пациентам с ФБС), накопленный сотрудниками кафедры и клиники нервных болезней Военно-медицинской академии имени С.М. Кирова за 2022–2023 гг.
Диагностика невропатической боли. В соответствии с существующими клиническими рекомендациями Российской Федерации [7] диагноз невропатической боли устанавливается на основании жалоб пациента, верификации причин (заболевания или травмы), приведших к повреждению соматосенсорной нервной системы, а также характерной клинической картины, заключающейся в нейроанатомически логичном распределении негативных (например, снижение или утрата чувствительности) и позитивных (аллодиния, гипералгезия) сенсорных симптомов, вегетативных нарушений в соответствии с областями, иннервируемыми поврежденными нервными структурами. Инструментальные методы обследования, такие как электронейромиография (ЭНМГ), ультразвуковое исследование (УЗИ) структур ПНС, компьютерная и магнитно-резонансная томография, другие инструментальные методы исследования носят вспомогательный характер, а их результаты следует трактовать только в комплексе с клинической картиной. Алгоритм пошаговой диагностики невропатической боли в соответствии с существующими клиническими рекомендациями представлен на рис. 1 [7, 8].
Рис. 1. Алгоритм диагностики невропатической боли в соответствии с существующими клиническими рекомендациями
Традиционным дополнительным инструментом диагностики НБС является применение специальных опросников и шкал, позволяющих установить качественные характеристики боли, ее локализацию и помочь объективизировать выраженность болевых ощущений с помощью количественной оценки. К ним относятся скрининговый опросник невропатической боли (Neuropathic Pain Screening Questionnaire — ID Pain), диагностический вопросник невропатической боли DN4 (Neuropathic pain diagnostic questionnaire DN-4), Лидская шкала оценки невропатической боли (the Leeds Assessment of Neuropathic Symptoms and Signs — LANSS), опросник невропатической боли (Neuropathic Pain Questionnaire — NPQ), опросник pain-DETECT и др.
Русскоязычную лингвистическую адаптацию и валидацию имеют две шкалы: диагностический опросник невропатической боли DN4 (от фр. la douleur neuropathique (DN) — невропатическая боль) и опросник pain-DETECT (от англ. обнаружение боли), поэтому в практической работе Российское общество по изучению боли рекомендует использовать именно их [7]. Для более углубленного обследования пациента могут быть полезными такие инструменты, как опросник болевого поведения, шкала катастрофизации боли, опросник Роланда–Морриса, опросники на выявление депрессии и тревоги, болевой опросник Мак-Гилл и др. [9].
В подавляющем большинстве случаев причиной госпитализации пациентов с НБС травматического генеза является ранение, затрагивающее одну или несколько областей тела (конечности, смежные с ними зоны); местом госпитализации — хирургическое отделение. Основные лечебно-диагностические мероприятия на начальных этапах оказания помощи в специализированных лечебных учреждениях раненым имеют хирургическую направленность с целью сохранения жизнеспособности поврежденной конечности и жизни самого раненого. Подозрение на наличие у раненых поражений структур ПНС возникают у специалистов хирургических отделений в большинстве случаев отсрочено, по мере купирования остроты раневого процесса и появления новых жалоб у восстанавливающегося после ранения пациента. При этом частой причиной обращения за консультативной помощью к неврологу является не невропатическая боль, а симптомы выпадения функции нерва, такие как мышечная слабость и нарушение чувствительности. В ряде случаев повреждение ПНС устанавливается неврологом во время осмотра для вынесения экспертного решения или самостоятельного обращения пациента к неврологу.
Дополнительную сложность несет в себе верификация повреждений структур ПНС у раненых с массивным дефектом тканей, ожогами, переломами костей конечностей, иммобилизированными гипсовыми повязками, а также у маломобильных пациентов по причине ограниченной возможности применения инструментальных диагностических методик (ЭНМГ, УЗИ и магнитно-резонансной томографии). В связи с этим у большинства пациентов даже в специализированных лечебных учреждениях диагноз НБС на начальных этапах лечения устанавливается неврологом клинически, и только спустя вариативный период факт поражения ПНС подтверждается инструментальными обследованиями. При этом важной задачей невролога уже при первичном осмотре является прогнозирование дальнейшей тактики лечения пациента на основании клинических симптомов поражения ПНС, в т. ч. определение кандидатов для этапного нейрохирургического лечения. В структуре междисциплинарного взаимодействия и сохранения преемственности оказания специализированной помощи в одном стационаре правильным шагом является уведомление нейрохирургов о наличии потенциального кандидата для проведения отсроченного оперативного вмешательства по мере завершения основного этапа хирургического лечения и купирования раневого воспалительного процесса.
Метод оценки выраженности и мониторинга эффективности лечения НБС. Для первичной и динамической оценки интенсивности невропатической боли у пострадавших в результате боевых действий сотрудниками кафедры и клиники нервных болезней был разработан, внедрен и применяется метод оценки выраженности и мониторинга эффективности лечения НБС. Метод основан на аутомониторинге пациентом своих болевых ощущений в течение суток с последовательной фиксацией усредненного среднечасового показателя выраженности испытываемой боли по 11-балльной ЦРШ, а также указанием продолжительности и качества сна в суточном графическом дневнике боли. Врач оценивает среднесуточный и суммарный суточный показатели боли, а также индекс ночного сна.
Ключевым условием успешности применения разработанного метода является самостоятельное ведение графического дневника боли пациентом. С одной стороны, правильное и своевременное ведение суточного графического дневника боли пациентом позволяет врачу делать выводы о заинтересованности пациента в выздоровлении, повышает комплаентность пациента к проводимому лечению. С другой стороны, в условиях дефицита времени применение разработанного метода позволяет врачу в кратчайший срок получить ключевую информацию о суточных колебаниях боли, ее пиках, длительности и качестве сна и в соответствии с этим составить индивидуальную схему приема лекарственных препаратов, корректировать их дозировку в период лечения. Перед первым заполнением дневника следует тщательно проинструктировать пациента, а по истечении первых суток наблюдения в присутствии пациента внимательно изучить заполненный график боли, в случае необходимости задать уточняющие вопросы или попросить пациента самостоятельно устранить возможные неточности заполнения. Важным является изъятие заполненного пациентом графического дневника по истечении суток и замена его новым во время визита лечащего врача к пациенту. По окончании лечения графики оценки НБС как важный медицинский документ, отражающий динамику состояния пациента, могут вкладываться в историю болезни.
Предложенный метод оценки НБС позволяет мониторировать динамику состояния дистанционно, что особенно актуально при курации пациентов, находящихся на лечении в хирургических отделениях в условиях невозможности осуществления ежедневных неврологических осмотров. Сравнительная оценка таких показателей, как среднесуточный и суммарный суточный показатели боли, у одного пациента в динамике позволяет наглядно, а при необходимости с применением простых статистических методов (оценка достоверности различий в связанных выборках) определить успешность проведенного лечения, что повышает наглядность эффективности лечения как для врача, так и для пациента.
Оценка психического статуса. Важной составляющей курации пациента с НБС в результате боевой травмы является оценка его психического состояния. Несмотря на то что данная составляющая комплексного осмотра входит в компетенцию врачей-психиатров, психотерапевтов и клинических психологов, врач-невролог обязан владеть базовыми знаниями и навыками работы со скрининговыми шкалами оценки психического статуса. К таким шкалам относятся: госпитальная шкала тревоги и депрессии (Hospital Anxiety and Depression Scale, HADS), шкала депрессии Монтгомери–Асберга (Montgomery–Аsberg Depression Rating Scale, MADRS), шкала Гамильтона для оценки депрессии (Hamilton Rating Scale for Depression, HDRS), шкала Гамильтона для оценки тревожного состояния (Hamilton Anxiety Rating Scale, HAM-A), шкала депрессии Бека (Beck Depression Inventory, BDI).
В формировании психологического статуса пациента, получившего ранение, помимо базовых индивидуальных психологических особенностей важную роль играют характер и тяжесть полученного ранения, обстоятельства получения боевой травмы, качество оказания медицинской помощи на предыдущих этапах лечения, сохранение способности к самообслуживанию, перспективы восстановления функций, излечения и возвращения на военную службу, социальные аспекты (поддержка родственников, получение страховых выплат, оформление инвалидности, дальнейшее трудоустройство и пр.). По нашему мнению, при работе с пациентами данного профиля для скрининговой оценки наличия психических расстройств на начальных этапах госпитализации наиболее подходящими являются шкалы оценивающие уровень тревоги пострадавшего (шкала HAM-A, подшкала HADS-A), а также шкалы Гамильтона и Монтгомери–Асберга, представляющие собой развернутое клиническое интервью и предполагающие не только получение ответов от пациента, но и формирование клинического впечатления врача о пациенте. Использование шкал Бека и подшкалы депрессии HADS-D госпитальной шкалы тревоги и депрессии приемлемо на более поздних этапах лечения.
Оценка продолжительности и качества сна. Жалобы на нарушение сна являются фактически облигатными для пациентов с НБС травматического генеза. Нарушение сна у пациентов данного профиля может быть связано как с наличием боли, психическими нарушениями, так и их сочетанием. В большинстве случаев расстройства сна, с которыми сталкиваются неврологи при лечении раненых с НБС, в соответствии с Международной классификацией расстройств сна (МКРС-3, 2014 г.) относятся к вторичным формам острой (продолжительность менее 3 мес) инсомнии [10].
Широко известно, что сон является естественным противоболевым состоянием, обусловленным как процессами относительной деафферентации структур центральной нервной системы, так и влиянием на ноци- и антиноцицептивные нейромедиаторные системы. Важную роль в уменьшении ощущения боли во время сна играет нарушение проведения на уровне таламуса, а также подавление активности орексина (нейропептида, участвующего в процессах регуляции возбуждения, цикла «сон–бодрствование»), увеличение секреции дофамина и мелатонина. Расстройства сна диагностируют у 67–88 % больных с хроническими болевыми синдромами, в то же время не менее чем 50 % больных с инсомнией страдают хроническими болями. Нарушение ночного сна сопровождается увеличением частоты встречаемости болевых синдромов как из-за сокращения общей продолжительности, так и из-за ухудшения непрерывности сна. Коррекция самого частого расстройства сна — хронической инсомнии — приводит к уменьшению сопутствующей боли и улучшению состояния пациента [11]. На основании вышеизложенного коррекция нарушения сна у раненых с НБС представляется не просто симптоматическим лечением сопутствующего расстройства, а важной, патогенетически обоснованной составляющей комплексной медикаментозной терапии.
Практически каждая из шкал оценки психического статуса содержит вопросы о качестве сна обследуемого. Разработанный метод оценки выраженности НБС с помощью суточного графического дневника боли также учитывает продолжительность и качество ночного сна пациента, а предложенный интегральный показатель — индекс ночного сна (произведение количества ночного сна в часах на качество сна по 11-балльной рейтинговой шкале) — позволяет классифицировать сон пациента с невропатической болью и на основании этого более дифференцированно подходить к лечению его нарушений.
В настоящее время вне зависимости от формы инсомнии методом выбора в лечении является применение методик когнитивно-поведенческой терапии, включающей в себя рекомендации по гигиене сна, ограничения внешней стимуляции, терапию ограничением сна и отдыха, познавательные (когнитивные) методики [12]. Однако применение данных методик невозможно в условиях массового поступления пострадавших, у лиц с тяжелой соматической патологией, а также в целом у данной группы пациентов по причине отсроченности лечебного эффекта. Наиболее простым и одновременно эффективным способом коррекции острой инсомнии у пациентов с НБС травматического генеза является применение фармакологических средств, при этом многие из препаратов первой (антиконвульсанты, антидепрессанты смешанного действия) и второй линий (опиоидные анальгетики) лечения невропатической боли обладают седативными свойствами разной степени выраженности. Однако их действия не всегда бывает достаточно для эффективного лечения инсомнии, поэтому в практике лечения данных пациентов обосновано дополнительное назначение препаратов, традиционно используемых при лечении нарушения сна. К ним относятся: антидепрессанты (тразодон, миртазапин, миансерин), бензодиазепиновые (феназепам, лоразепам, клоназепам, нитразепам) и небензодиазепиновые (золпидем, зопиклон, залеплон) агонисты бензодиазепиновых рецепторов рецепторных комплексов ГАМК, блокаторы Н1-гистаминовых рецепторов (доксиламин, дифенгидрамин), нейролептики (типичные и атипичные), антиконвульсанты (габапентин, прегабалин), препараты мелатонина. По возможности при лечении нарушений сна у пациентов с НБС следует стараться избегать назначения высоких доз нейролептиков (в т. ч. атипичных) по причине их ингибирующего действия на D2-дофаминовые рецепторы нейронов группы А10 мезолимбической системы, являющейся частью дофаминовой антиноцицептивной системы.
Лечение невропатической боли. Тактика лечения пациента с НБС травматического генеза должна строиться в зависимости от величины составляющих его ноцицептивного, невропатического и психогенного компонентов, при этом ноцицептивная составляющая может быть существенной с учетом полученных ранений. В российских клинических рекомендациях по лечению невропатической боли в рамках ее комплексной терапии определены следующие методы:
- терапия основного заболевания;
- фармакотерапия болевого синдрома;
- немедикаментозные методы лечения боли;
- малоинвазивные и хирургические методы терапии боли;
- терапия сопутствующих боли расстройств [7].
При госпитализации основной поток пострадавших в результате ранений, полученных в период боевых действий, направляется на лечение в хирургические отделения. Сопутствующие поражения структур ПНС остаются в тени основной хирургической работы, уходят на второй план или могут оставаться недиагностированными, а болевой синдром, предъявляемый раненым, редко дифференцируется на ноцицептивный и невропатический. В связи с этим пациенты с ранениями и травмами получают недифференцированную обезболивающую терапию, состоящую, как правило, из простого (наиболее часто — метамизол натрия) или комбинированного анальгетика либо нестероидного противовоспалительного препарата (НПВП) в сочетании с препаратами, обладающими седативным действием. При неэффективности обезболивания следующим этапом лечения являются опиоидные анальгетики. При недостаточной эффективности последних в специализированных стационарах применяют методы продленной региональной анестезии (рис. 2, 3).
Рис. 2. Продленная региональная (проводниковая) анестезия местным анастетиком длительного действия у пациента с некупируемым НБС в результате огнестрельного ранения правого плечевого сплетения
Рис. 3. Пролонгированная эпидуральная анестезия с перманентным поступлением местного анестетика через дозатор с воздушной помпой у пациента с фантомной болью
В отношении установления диагноза фантомной боли в хирургических отделениях, как правило, проблем не возникает, однако подходы к обезболиванию таких пациентов являются схожими. При этом классические анальгетики (простые и комбинированные) и НПВП не относятся к препаратам с доказанной эффективностью при лечении невропатической боли. В настоящее время выделяют пять групп препаратов, обладающих доказанной эффективностью для лечения НБС. К первой линии терапии невропатической боли относятся антиконвульсанты (габапентин, прегабалин, карбамазепин — только при тригеминальной невралгии), антидепрессанты (трициклические, ингибиторы обратного захвата серотонина и норадреналина), ко второй и третьей — опиоидные анальгетики (трамадол, тапентадол, оксикодон, морфин), препараты для местного применения (с 5 %-ным лидокаином или 8 %-ным капсаицином), ботулинический токсин типа А (в виде подкожных инъекций) [7].
Дифференцированная терапия в соответствии со стратификацией пациентов на группы по степени выраженности болевого синдрома является «золотым» стандартом лечения пациентов с любым типом боли. Получаемые с помощью суточного графического дневника НБС количественные показатели интенсивности невропатической боли обладают ценным практическим значением с точки зрения выбора лекарственной стратегии, особенно при определении показаний и принятии решения о назначении опиоидных анальгетиков. Данные препараты отнесены к третьей линии терапии невропатической боли, так как при длительном применении возникает риск зависимости и широкий спектр неблагоприятных явлений. Необоснованное и длительное применение опиоидных анальгетиков является фактором риска развития аддиктивной патологии, поэтому к их назначению следует относиться с максимальными тщательностью и вниманием. Так, по данным А. Mohamadi et al. (2018), злоупотребление опиоидами встречается примерно у 4 % людей после их применения при травмах или болевого синдрома, связанного с оперативным лечением [13]. Перед принятием решения о назначении опиоидных анальгетиков с целью купирования НБС следует убедиться в правильности приема и достаточности доз применяемых ненаркотических анальгетиков, использовать весь арсенал имеющихся препаратов, а также их допустимые фармакологические комбинации. Не следует назначать опиоидные анальгетики в случаях, когда лечение НБС проводится без применения адекватных доз препаратов первой линии.
В соответствии с клиническими рекомендациями Российской Федерации [7] назначение опиоидных анальгетиков целесообразно только у пациентов с невропатической болью средней и высокой интенсивности, рефрактерной к терапии препаратами первой и второй линий, при четком соблюдении нижеследующих принципов (табл. 1).
Таблица 1. Принципы применения опиоидных анальгетиков при НБС | |
1. | Провести повторную оценку необходимости применения и взвесить пользу и риск перед назначением препарата. Изучить анамнез на предмет наличия злоупотребления и зависимости. Исключить наличие депрессии. |
2. | Сформировать ожидания от лечения, объяснить больному его роль в процессе безопасной терапии и мониторинге эффективности. |
3. | Начинать терапию с более низких доз с постепенной титрацией. Проводить мониторинг ежедневной дозы; по достижении дозы, равной 50 мг в морфиновом эквиваленте, повторно оценить баланс пользы и риска. |
4. | Обеспечивать мониторинг побочных эффектов и осложнений терапии, включая злоупотребление и привыкание. |
5. | Прекратить терапию в случае неэффективности или когда риск перевешивает пользу. Оценку риска пользы рекомендуется проводить через 1–4 нед от начала терапии, затем — каждые 3 мес. |
Исходя из опыта оказания помощи пациентам с НБС травматического генеза, показания для применения опиоидных анальгетиков с целью обезболивания могут быть определены на основании результатов суточного графического дневника невропатической боли. По нашему мнению, к ним относится сохраняющийся на протяжении не менее 3 сут (на фоне приема монотерапии антиконвульсантами (габапентин, прегабалин) в максимально допустимых терапевтических дозах (при условиях удовлетворительной переносимости) или комбинации ½ максимально допустимых терапевтических доз антиконвульсантов (габапентин 1800 мг/сут, прегабалин 300 мг/сут) и амитриптилина (100 мг/сут)) один из следующих дескрипторов НБС:
- Значение среднесуточного показателя НБС более 5,0 баллов по ЦРШ.
- Три и более часов в сутки невропатической боли с интенсивностью 8 и более баллов по ЦРШ при значениях среднесуточного показателя НБС более 4,0 баллов по ЦРШ.
- Значения суммарного суточного индекса НБС более 120 баллов.
В ряде наблюдательных исследований, проходивших в разных странах мира, было показано, что эффективность монотерапии невропатической боли в реальной практике составляет в лучшем случае 20–30 % [14]. В соответствии с клиническими рекомендациями назначение комбинированной терапии при НБС следует рассматривать в случаях, когда монотерапия в эффективных дозах на протяжении 3 мес лечения привела к снижению интенсивности боли не больше чем на 30 %, или на ее фоне боль сохраняется на уровне 5 баллов по 11-балльной ЦРШ, а болевой синдром при этом приводит к значительному ухудшению качества жизни [15]. Невролог, оказывающий помощь раненым с НБС травматического генеза, в т. ч. с ФБС, не имеет такого запаса времени, поэтому, исходя из нашего опыта, к назначению комбинированной терапии следует прибегать сразу же после установления неэффективности монотерапии максимально разрешенными дозами препаратов либо в случае появления нежелательных явлений в процессе титрации их доз. Наиболее зарекомендовавшей себя комбинацией при лечении НБС сильной интенсивности является применение габапентина (1800–2700 мг/сут) и амитриптилина (75–100 мг/сут). При неэффективности данной комбинации возможно назначение адъювантной терапии в виде неклассических анальгетиков (нефопам); препаратов, обладающих нейромодулирующим действием на антиноцицептивные системы (агонисты D2-дофаминовых рецепторов, блокаторы глутаматных NMDA-рецепторов); проведение лечебно-диагностических блокад (например, блокады звездчатого ганглия при травматических плечевых плексопатиях под УЗИ-навигацией, рис. 4, 5), продленной региональной анестезии (на период титрации доз лекарственных препаратов).
Рис. 4. Ультразвуковая навигация при выполнении блокады левого звездчатого ганглия. 1 — инъекционная игла; 2 — передняя лестничная мышца; 3 — общая сонная артерия; 4 — длинная мышца шеи; 5 — поперечный отросток 6-го шейного позвонка; 6 — звездчатый ганглий
Рис. 5. Синдром Горнера слева (птоз, миоз, энофтальм) — признак правильно выполненной блокады звездчатого ганглия
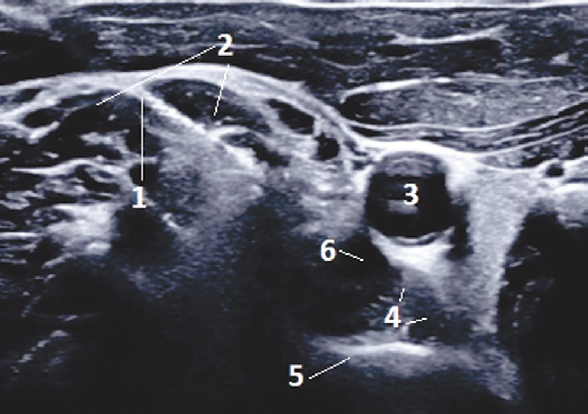
При сохраняющейся неэффективности консервативной терапии НБС в течение 4–6 нед после обязательного контрольного инструментального обследования, включающего в себя ЭНМГ и УЗИ, следующим этапом оказания помощи является оперативное нейрохирургическое вмешательство на невральных структурах, являющихся источниками невропатической боли: невролиз нервов и сплетений с целью устранения периневрального рубцово-спаечного процесса, иссечение сформировавшихся боковых или внутриствольных невром, удаление ранее не верифицированных интраневрально или параневрально расположенных инородных тел (ранящих снарядов), костных отломков (рис. 6).
Рис. 6. Компрессия правого седалищного нерва костным отломком бедренной кости после огнестрельного многооскольчатого перелома: 1 — бедренная кость; 2 — костный отломок; 3 — малоберцовая порция седалищного нерва (гипоэхогенная структура, нервные фасцикулы не визуализируются); 4 — большеберцовая порция седалищного нерва (структура фасцикул сохранена); 5 — зона выраженного периневрального отека
Таким образом, подход к определению фармакорезистентности в отношении пациентов с НБС травматического генеза отличается от международных Дельфийских критериев (табл. 2) сокращением минимум в два раза периода консервативного лечения [15].
Таблица 2. Критерии фармакорезистентности невропатической боли | |
1. | Должна быть предпринята попытка лечения болевого синдрома по крайней мере четырьмя препаратами с доказанной эффективностью при невропатической боли. |
2. | Продолжительность лечения каждым из этих препаратов должна быть не менее 3 мес либо до тех пор, пока побочные эффекты не помешают приему препарата в адекватной дозе. |
3. | Несмотря на лечение, интенсивность боли снижается не больше чем на 30 % или остается на уровне 5 баллов по 10-балльной ВАШ и/или продолжительно текущий болевой синдром приводит к существенному ухудшению качества жизни. |
Также у пациентов с НБС травматического генеза отличаются показания, сроки проведения и виды оперативных вмешательств. В основном они направлены на устранение морфологического субстрата, выступающего триггером невропатической боли, а не на устранение, модуляцию проведения или восприятия входящего афферентного потока структурами центральной нервной системы (к таким операциям традиционно относятся: DREZ-операции, хроническая нейростимуляция периферических нервов и их подкожных ветвей, спинальных корешков, хроническая эпидуральная стимуляция спинного мозга, хроническая стимуляция глубинных структур и моторной коры головного мозга [7]).
Заключение. Подходы к оказанию специализированной медицинской помощи, применяемые для лечения невропатической боли у пострадавших в результате вооруженных конфликтов, могут отличаться от изложенных в клинических рекомендациях по лечению НБС, разработанных преимущественно для лечения лиц с нетравматическим генезом боли. Накопленный практический опыт оказания помощи пациентам с НБС травматического генеза указывает на наличие многочисленных организационных и лечебно-диагностических особенностей, важность междисциплинарного взаимодействия врачей разных специальностей (неврологов, хирургов, травматологов, нейрохирургов, психиатров) на ранних этапах лечения и необходимость разработки отдельных клинических рекомендаций по лечению невропатической боли у лиц, пострадавших в результате вооруженных конфликтов.
ДОПОЛНИТЕЛЬНАЯ ИНФОРМАЦИЯ
Источник финансирования. Финансирование данной работы не проводилось.
Конфликт интересов. Авторы декларируют отсутствие явных и потенциальных конфликтов интересов, связанных с публикацией настоящей статьи.
Этическая экспертиза. Этическая экспертиза не проводилась.
Вклад авторов. Все авторы внесли существенный вклад в проведение исследования и подготовку статьи, прочли и одобрили финальную версию перед публикацией.
About the authors
Sergey V. Kolomentsev
Military Medical Academy
Author for correspondence.
Email: skolomencev@yandex.ru
ORCID iD: 0000-0002-3756-6214
SPIN-code: 6439-6701
M.D., Ph.D. (Medicine), the Head of the Neurological Department of the Clinic of Nervous Diseases
Russian Federation, Saint PetersburgIgor' V. Litvinenko
Military Medical Academy
Email: litvinenkoiv@rambler.ru
ORCID iD: 0000-0001-8988-3011
SPIN-code: 6112-2792
Scopus Author ID: 35734354000
ResearcherId: F-9120-2013
M.D., D.Sc. (Medicine), Professor the Head of the Department and Clinic of Nervous Diseases
Russian Federation, Saint PetersburgNikolay V. Tsygan
Military Medical Academy
Email: 1860n@mail.ru
ORCID iD: 0000-0002-5881-2242
SPIN-code: 1006-2845
Scopus Author ID: 37066611200
Dr. Sc. (Med.), Docent, Deputy Head of the M.I. Astvatsaturov Department and Clinic of Nervous Diseases
Russian Federation, Saint PetersburgAlbert R. Bulatov
Military Medical Academy
Email: albert_br@mail.ru
ORCID iD: 0000-0001-7180-4389
M.D., Ph.D. (Med.), lecturer, M.I. Astvatsaturov Department and Clinic of Nervous Diseases
Russian Federation, Saint PetersburgAlexey I. Gayvoronsky
Military Medical Academy
Email: don-gaivoronsky@ya.ru
ORCID iD: 0000-0003-1886-5486
SPIN-code: 7011-6279
Scopus Author ID: 57198886709
M.D., D.Sc. (Medicine), Professor of the Neurosurgery Department
Russian Federation, Saint PetersburgAnna V. Kolomentseva
Military Medical Academy
Email: antonova401@mail.ru
ORCID iD: 0009-0004-8741-3306
M.D., neurologist, Neurological Department of the Clinic of Nervous Diseases
Russian Federation, Saint PetersburgNatalia Y. Polushina
Military Medical Academy
Email: nkotovaya@yandex.ru
ORCID iD: 0009-0001-3527-201X
M.D., neurologist, Neurological Department of the Clinic of Nervous Diseases
Russian Federation, Saint PetersburgAleksandr V. Ryabtsev
Military Medical Academy
Email: ryabtsev26@gmail.com
ORCID iD: 0000-0002-3832-2780
Scopus Author ID: 57202361039
ResearcherId: AAD-3948-2019
M.D., lecturer, Neurological Department of the Clinic of Nervous Diseases
Russian Federation, Saint PetersburgVladimir A. Panov
Military Medical Academy
Email: v.a.panov@mail.ru
ORCID iD: 0009-0004-6593-9606
SPIN-code: 8934-7899
M.D., Ph.D. (Medicine), the Head of the Resuscitation and Intensive Therapy Department of the Clinic of Nervous Diseases
Russian Federation, Saint PetersburgEvgeniy I. Shermatyuk
Military Medical Academy
Email: sherma1@mail.ru
ORCID iD: 0000-0002-4163-1701
M.D., senior resident of the Neurological Department of the Department and Clinic of Nervous Diseases
Russian Federation, Saint PetersburgPeter A. Polezhaev
Military Medical Academy
Email: polezhaev76@gmail.com
ORCID iD: 0009-0009-7771-2229
resident, Neurological Department of the Clinic of Nervous Diseases
Russian Federation, Saint PetersburgAnna A. Kirpichenko
Military Medical Academy
Email: ann04.111998@mail.ru
ORCID iD: 0009-0005-3112-5716
resident, Neurological Department of the Clinic of Nervous Diseases
Russian Federation, Saint PetersburgMarina S. Yaroslavtseva
Military Medical Academy
Email: gutsumarina@gmail.com
ORCID iD: 0009-0007-0920-6979
resident, Neurological Department of the Clinic of Nervous Diseases
Russian Federation, Saint PetersburgReferences
- Bykova IYu, Efimenko NA, Gumanenko EK, eds. Military Field Surgery: National Guide. Moscow: GEOTAR-media Publ.; 2009. 816 p. (In Russ.)
- Bel’skikh AN, Samokhvalov IM, eds. Instructions for military field surgery. Moscow: GVMU Publ. House; 2013. 474 p. (In Russ.)
- Odinak ММ, Zhivolupov SA. Diseases and injuries of the peripheral nervous system (generalization of clinical and experimental experience): a guide for doctors. Saint Petersburg: SpetsLit Publ.; 2009. 367 p. (In Russ.)
- Kolomentsev SV, Polezhaev PA, Gaivoronsky AI, et al. Modern concepts of treatment of phantom limb pain. Bulletin of the Russian Military Medical Academy. 2023;25(3):515–527. (In Russ.) doi: 10.17816/brmma340914
- Huskisson EC. Measurement of pain. Lancet. 1974;2(7889): 1127–1131. doi: 10.1016/s0140-6736(74)90884-8
- Hartrick CT, Kovan JP, Shapiro S. The numeric rating scale for clinical pain measurement: a ratio measure? Pain Practice. 2003;3(4):310–316. doi: 10.1111/j.1530-7085.2003.03034
- Davydov OS, Yakhno NN, Kukushkin ML, et al. Neuropathic pain: clinical guidelines for diagnosis and treatment of the Russian Society for the Study of Pain. Russian journal of pain. 2018;16(57):5–41. (In Russ.) doi: 10.25731/RASP.2018.04.025
- Finnerup NB, Haroutounian S, Kamerman P, et al. Neuropathic pain: an updated grading system for research and clinical practice. Pain. 2016;157(8):1599–1606. doi: 10.1097/j.pain.0000000000000492
- Fillingim RB, Loeser JD, Baron R, Edwards RR. Assessment of Chronic Pain: Domains, Methods, and Mechanisms. J Pain. 2016;17(9):10–20. doi: 10.1016/j.jpain.2015.08.010
- Ito E, Inoue Y. [The International Classification of Sleep Disorders, third edition. American Academy of Sleep Medicine. Includes bibliographies and index]. Nihon Rinsho. 2015;73(6):916–923. (In Japanese)
- Poluektov MG, Shuvakhina NA, Lamkova IA. The relationship between pain and sleep in clinical practice. Russian Medical Journal. 2019;27(9):56–60. (In Russ.)
- Strygin KN, Poluektov MG. Insomnia. Medical Council. 2017;(S):52–58. (In Russ.) doi: 10.21518/2079-701X-2017-0-52-58
- Mohamadi A, Chan JJ, Lian J, et al. Risk Factors and Pooled Rate of Prolonged Opioid Use Following Trauma or Surgery: A Systematic Review and Meta-(Regression) Analysis. J Bone Joint Surg Am. 2018;100(15):1332–1340. doi: 10.2106/JBJS.17.01239
- Danilov AB, Davydov OS. Epidemiology of neuropathic pain. Russian Journal of Pain. 2007;4(17):12–16. (In Russ.)
- Smith BH, Torrance N, Ferguson JA, et al. Towards a definition of refractory neuropathic pain for epidemiological research. An international Delphi survey of experts. BMC Neurology. 2012;12:29. doi: 10.1186/1471-2377-12-29
Supplementary files









