Acute appendicitis in adults: only clinical and laboratory diagnostics, only imaging, or both?
- Authors: Ryazanov V.V.1,2, Sadykova G.K.1,2, Trufanov G.E.3, Zheleznyak I.S.2, Bagnenko S.S.1,4, Ipatov V.V.2, Voronkov L.V.2, Romanov G.G.2, Bagaturia G.O.1
-
Affiliations:
- Saint Petersburg State Pediatric Medical University
- Military Medical Academy
- Almazov National Medical Research Centre
- Petrov National Medical Research Centre of Oncology
- Issue: Vol 43, No 1 (2024)
- Pages: 91-107
- Section: Discussion
- URL: https://journals.eco-vector.com/RMMArep/article/view/623170
- DOI: https://doi.org/10.17816/rmmar623170
- ID: 623170
Cite item
Full Text
Abstract
The presented article is devoted to the discussion of the necessity and expediency of using medical visualization diagnostics — radiological imaging — of acute appendicitis as an independent or complex approach in combination with clinical and laboratory data. Until now, the clinical diagnosis of each individual case of acute appendicitis is complicated, and its formulation requires combining clinical, laboratory and imaging data, since it includes a wide range of differential diagnoses depending on age and gender. The literature provides data that the frequency of negative appendectomies based on the results of a clinical examination can be up to 28.2%. Radiological imaging is used as an adjunct to clinical diagnostics using ultrasound examination, computed tomography and magnetic resonance imaging, but the role of the latter is limited by the duration of the study, increased cost, unavailability around the clock, as well as the presence of absolute contraindications. Sonography and computed tomography in diagnostics have a number of advantages and disadvantages, and the question of choosing a specific method still causes scientific controversy. We also provide illustrative clinical examples demonstrating echographic and computed tomographic imaging manifestations of acute appendicitis, as well as discuss visualization signs. For a patient with suspected acute appendicitis, in order to increase the accuracy of diagnosis, reduce complications or the need of undergoing unnecessary diagnostic and therapeutic procedures, a multidisciplinary and multimodal approach is necessary, taking into account age, gender and constitution, however, the question of choosing the optimal method of medical imaging in the diagnosis of acute appendicitis between ultrasound and computed tomography remains debatable.
Full Text
АКТУАЛЬНОСТЬ
Многих специалистов визуализационной диагностики хирурги не раз упрекали за то, что те не выявили острый аппендицит (ОА). Попытаемся разобраться, почему такое случается.
ОА по-прежнему остается наиболее частым неотложным заболеванием, встречающимся в общей хирургической практике, и является основной причиной перитонита у молодых людей и детей, а аппендэктомия — наиболее часто выполняемой экстренной операцией [1–5].
В развитых странах ОА встречается с частотой 5,7–50 больных на 100 000 жителей в год [6]. Пик встречаемости приходится на второе и третье десятилетия жизни [3, 6], при этом, согласно данным Raffa A. et al., пик ОА приходится на возраст от 10 до 14 лет у пациентов женского пола и от 15 до 19 лет у пациентов мужского пола [5]. Широко варьируют предполагаемые показатели вероятности развития ОА в течение жизни, в среднем риск для мужчин и женщин составляет 9 и 7 % соответственно [1, 3, 5]. В литературе сообщается о географических различиях пожизненного риска развития ОА: так, в США он составляет 9 %, в Европе — 8 и в Африке — 2 % [6].
Хотя диагностика и лечение ОА в типичных случаях не вызывают трудностей, однако атипичная клиника по-прежнему представляет собой реальную проблему и встречается в диапазоне от 1/3 до 1/2 случаев с попытками балансирования между частотой негативных аппендэктомий и осложнений из-за несвоевременного хирургического вмешательства [3, 4, 7].
Частота перфораций варьирует от 16 до 40 %, при этом она является более высокой в младших возрастных группах (40–57 %) и у пациентов старше 50 лет (55–70 %). При перфоративном ОА смертность выше, чем при неперфоративном: так, при гангренозном ОА она составляет до 0,6 %, а при перфоративном ОА — около 5 % [6].
До сих пор клинический диагноз каждого отдельного случая ОА сложен, а постановка его требует объединения клинических, лабораторных и визуализационных данных, поскольку включает в себя широкий спектр дифференциальных диагнозов в зависимости от возраста и пола [4, 6, 8].
Несмотря на то что на сегодняшний день аппендэктомия считается золотым стандартом лечения ОА во всем мире, в последнее время в научной литературе данная мысль стала оспариваться [2]. Это связано с высокой частотой «негативных» аппендэктомий, т. е. случаев, когда при гистологическом исследовании удаленного червеобразного отростка изменений не выявляется [1, 2]. Отечественные коллеги указывают на частоту таких случаев — 15,0 %, при этом она выше у женщин (22,2 %), чем у мужчин (9,3 %), и достигает максимальных величин у женщин 40–49 лет (23,2 %) и старше 80 [1]. Так, по данным исследования в Великобритании, частота негативных аппендэктомий у женщин в возрасте 16–45 лет составила 28,2 %, у мужчин той же возрастной группы — 12,1 % [9]. Кроме того, существует мнение, что изначально неосложненный («благоприятный») и осложненный («агрессивный») ОА представляют собой два заболевания с различной патофизиологией, а не переход от катаральной формы через флегмонозную к гангренозной [1, 2, 10, 11]. В случаях неосложненного ОА лечение антибиотиками может быть безопасным и эффективным, без риска хирургических осложнений аналогично стратегиям лечения других воспалительных заболеваний кишечника, таких как дивертикулит и колит [11]. Это важно в таких группах риска, как беременные женщины и пациенты старческого возраста. Однако успех консервативного лечения ОА, по некоторым данным, составляет только около 70 % [10].
КЛИНИЧЕСКАЯ И ЛАБОРАТОРНАЯ ОЦЕНКА
Клинический диагноз ОА обычно ставится на основании жалоб, признаков аппендицита при физикальном осмотре, повышенных маркеров воспаления, таких как С-реактивный белок (СРБ), и общее количество лейкоцитов [3]. Зарубежными учеными были разработаны различные системы оценок, основанные на жалобах, физикальном обследовании и лабораторных показателях, с целью стандартизации и объективизации клинического обследования пациентов с подозрением на ОА, не зависящих от опыта клинициста. В России подобные системы оценки при диагностике ОА в повседневной клинической практике не применяются.
Для подтверждения или исключения вероятности ОА наиболее часто используются шкала Альварадо (Alvarado score, AS), шкала воспалительной реакции аппендицита (Appendicitis Inflammatory Response, AIR), шкала аппендицита у взрослых (Adult Appendicitis Score, AAS) [2–4, 6, 8].
Обновленные консенсусные рекомендации от 2020 г., созданные под эгидой Всемирного общества неотложной хирургии (WSES) по диагностике и лечению острого аппендицита у взрослых, рекомендуют использовать баллы AIR и AAS в качестве клинических предикторов ОА [6]. Так, критерий оценки по AS ≥ 5 позволяет диагностировать ОА с чувствительностью 99 %, но специфичностью 43 %; при сумме баллов ≥ 7 повышается специфичность до 81 % за счет снижения чувствительности (82 %). Таким образом, оценка по AS наиболее полезна для исключения ОА, а не диагностики. Напротив, показатель AIR > 8 является одновременно высокочувствительным и высокоспецифичным (99 %) для ОА [9]. Оценка по шкале AIR включает значение уровня СРБ в отличие от оценки по AS. Результаты исследования показали, что шкала AIR обладает более высокой чувствительностью для исключения ОА у пациентов с низким риском (баллы ≤ 5) и более точна для прогнозирования ОА у пациентов с баллом ≥ 7, чем шкала AS, и более значима для прогнозирования осложненного ОА [4].
AIR и AAS, по-видимому, в настоящее время являются наиболее эффективными, позволяющими уменьшить количество ненужных визуализационных исследований и частоту негативных аппендэктомий [4, 6].
В совокупности лейкоцитоз, нейтрофилия и высокий СРБ являются предикторами ОА с высокой чувствительностью, специфичностью и точностью. Повышенный уровень СРБ связан с тяжестью заболевания и способствует дифференциальной диагностике катарального и перфоративного ОА, тогда как повышенное количество лейкоцитов более чувствительно для диагностики неосложненного ОА [3, 4]. В нескольких исследованиях сообщалось, что ОА маловероятен при нормальных показателях лейкоцитов и СРБ [4].
Клиническая оценка играет важную роль в диагностике ОА, но сложности могут возникнуть у пожилых людей, у пациентов с психоэмоциональными нарушениями [12]. Более того, клинические оценки не учитывают длинный список альтернативных диагнозов, которые могут имитировать ОА, однозначно не позволяют дифференцировать осложненную и неосложненную формы ОА, исключающие консервативное лечение [2]. Наибольшие трудности в дифференциальной диагностике у женщин детородного возраста и пациентов пожилого возраста. У женщин детородного возраста дифференциальный диагноз как минимум должен проводиться с акушерско-гинекологической, урологической патологиями и патологией желудочно-кишечного тракта. Для пациентов пожилого возраста, учитывая коморбидность, также можно составить длинный список для дифференциации с ОА.
В наши дни методы визуализации приобрели большое значение и стали частью стандартного обследования в диагностике ОА [11, 13]. Например, руководство European Federation of Societies for Ultrasound in Medical and Biology от 2019 г. рекомендует проведение визуализации всем пациентам с подозрением на ОА [2]. Так, у пациентов с подозрением на ОА без визуализационных исследований вероятность негативной аппендэктомии в три раза выше [2]. В ретроспективном когортном исследовании при выполнении лапароскопической аппендэктомии без предоперационной визуализации 521 пациенту из 1344 негативная аппендэктомия была у 108 (20,73 %) пациентов (15,41 % мужчин и 26,85 % женщин) [14].
ВИЗУАЛИЗАЦИОННАЯ ДИАГНОСТИКА. ОБЩАЯ ЧАСТЬ
В качестве дополнения к клинико-лабораторной диагностике ОА часто используются три метода визуализации: ультразвуковое исследование (УЗИ), компьютерная томография (КТ) и магнитно-резонансная томография (МРТ).
Коротко о применении МРТ в диагностике ОА, поскольку доступность ограничена продолжительностью исследования, повышенной стоимостью, недоступностью в режиме 24/7. Существует и ряд известных противопоказаний для проведения МРТ: клаустрофобия, кардиостимулятор, металлические имплантаты, сосудистые клипсы. Но МРТ благодаря отсутствию ионизирующего облучения является безопасной альтернативой для молодых людей, женщин детородного возраста и беременных женщин. Ранняя диагностика и лечение ОА во время беременности позволяют избежать осложнений, которые могут поставить под угрозу жизнь матери и ребенка. Обзорная МРТ живота без контрастирования обеспечивает высококачественную визуализацию червеобразного отростка благодаря высокой тканевой контрастности.
В большинстве случаев для оценки аппендикса и прилежащих тканей достаточно поперечной и коронарной плоскостей в стандартных последовательностях (Т1-ВИ (взвешенное изображение), Т2-ВИ, диффузия). Ограничены данные об использовании контрастного вещества во время беременности. Многие авторы предлагают МРТ в качестве золотого стандарта у пациенток репродуктивного возраста, в основном из-за ее высокой специфичности и чувствительности (100 и 89 % соответственно) [3, 6, 9, 15]. Обновленные консенсусные рекомендации от 2020 г. предлагают трансабдоминальное УЗИ в качестве метода визуализации первой линии при подозрении на ОА во время беременности, а МРТ проводить только после безрезультатного УЗИ. Самый сложный период не только для УЗИ, но и для МРТ, при визуализации аппендикса — 3-й триместр беременности, когда из-за увеличенной матки меняется анатомическое положение отростка [6].
На сегодняшний день основными методами визуализации, используемыми в диагностике ОА, являются УЗИ и КТ, однако решение о выборе между этими методами остается сложным и уже много лет является предметом дискуссий. Так, в Европе УЗИ используется в качестве первого метода диагностики, при необходимости — в сочетании с КТ у пациентов с неубедительными или отрицательными ультразвуковыми результатами; а в Северной Америке и Южной Корее предпочтение отдается КТ, которая используется в 10–15 раз чаще [11, 15]. В нашей стране решающими факторами при выборе метода визуализации в отдельно взятом лечебном учреждении являются организация оказания неотложной службы и доступность метода. Выбор метода определяется не столько наличием соответствующей аппаратуры, сколько специалистами в режиме 24/7, владеющими методом. Кадровая политика отечественных медицинских учреждений весьма вариабельна. Другие факторы, влияющие на выбор между УЗИ и КТ, второстепенны. В нашей стране в отделениях неотложной диагностики разных учреждений при подозрении на острый аппендицит в качестве метода визуализации первой линии используется либо УЗИ, либо КТ, либо оба метода одновременно в независимости от полученных результатов каждого из них.
По данным Naidu A., Dhruwa C., метаанализ четырех проспективных исследований, сравнивающих КТ и УЗИ в диагностике ОА у взрослых, показал, что КТ превосходит УЗИ с чувствительностью 0,94 и специфичностью 0,95, тогда как чувствительность УЗИ составила 0,86 и специфичность 0,81 [13]. Raffa A. et al., сравнивая диагностическую точность УЗИ и КТ в диагностике ОА, также получили данные о большей эффективности КТ. Точность при УЗИ составила 77,78 %, чувствительность — 85,71, специфичность — 50,00 %; при КТ — 88,71, 92,00 и 75,00 % соответственно [5]. У Wu J. et al. чувствительность, специфичность, положительная и отрицательная прогностическая ценности, точность УЗИ по сравнению с КТ в диагностике ОА составили 85,5 против 87,8 %, 66,7 против 75,0 %, 98,5 против 97,7 %, 15,4 против 33,3 % и 84,8 против 86,8 % соответственно [16]. Ретроспективное когортное исследование Rait J.S. et al. в Великобритании показало схожие результаты, при этом УЗИ имело худшую чувствительность (55,15 %), но лучшую специфичность (94,8 %), чем в других опубликованных исследованиях. Авторы считают, что это связано с высоким уровнем негативных аппендэктомий (48,2 %, p < 0,0001) [14].
Хирургам важно сохранять здоровый скептицизм в отношении отрицательных результатов диагностической визуализации (УЗИ, КТ) при подозрении на ОА. Из 26 пациентов при КТ с контрастированием с нормальным аппендиксом по КТ-признакам у 10 (38,4 %) был ложноотрицательный результат, а из 21 пациента с «другой патологией аппендикса» у 12 (57,14 %) при гистологическом исследовании был обнаружен ОА. Из 9 пациентов с «нормальным» аппендиксом по данным нативной предоперационной КТ у 2 (22,22 %) был гистологически подтвержденный ОА. При УЗИ показатель ложноотрицательных результатов составил 46 % (n = 162) [14].
При анализе ложноотрицательных результатов при УЗИ и КТ все случаи ОА, пропущенные при УЗИ, были связаны с невизуализацией аппендикса из-за экранизации кишечным газом, все пропущенные случаи на КТ соответствовали ранней стадии ОА, при этом диаметр аппендикса был в пределах нормы (5–6 мм) и без изменений прилежащих тканей [16].
При выборе метода визуализации забывают о конституциональных особенностях пациента, а это важный фактор, влияющий на результаты. Известно, что при УЗИ визуализация затруднена у пациентов с избыточной массой тела и в таких случаях эффективность КТ существенно выше [3, 5], но при этом мало говорится о другой стороне вопроса. Wu J. et al. отметили, что при КТ визуализация аппендикса также зависит от количества брыжеечной клетчатки. У пациентов с малым содержанием интраабдоминального жира трудно отобразить аппендикс, что приводит к затруднению в оценке воспалительных изменений аппендикса и окружающих тканей [16]. В этом исследовании из 6 пациентов с ложноотрицательным аппендицитом при КТ, 3 случая были пропущены из-за малого количества брыжеечной клетчатки [16].
УЛЬТРАЗВУКОВОЙ МЕТОД
Трансабдоминальное УЗИ при подозрении на ОА в большинстве случаев по сути является компонентом клинического обследования. Не будем обсуждать оператор-зависимость при УЗИ, поскольку, по мнению авторов статьи, абсолютно все визуализационные методы являются операторозависимыми в различной степени, что обусловлено субъективностью и опытом специалиста, который проводит исследование и интерпретирует результаты. Оставим без обсуждения наиболее очевидные преимущества ультразвуковой визуализации. Безусловно, этот метод экономически выгоден, безопасен в связи с отсутствием ионизирующего излучения и неинвазивен в связи с отсутствием необходимости вводить контрастное вещество. Использование ультразвука имеет также такие важные преимущества, как, например, то, что он не требует подготовки пациента, может многократно повторяться в любых условиях, не причиняет пациенту значимого дискомфорта. Абсолютных противопоказаний для проведения УЗИ нет, кроме отказа пациента от исследования.
Преимуществом УЗИ также является выявление во время исследования местной болезненности, которая может повысить точность диагностики [16]. Это особенно актуально, когда пациент поступает на исследование «с колес» без каких-либо данных. Кроме того, под контролем УЗИ в режиме реального времени возможно выполнение интервенционных процедур [16].
В целом методика УЗИ и признаки ОА в режиме реального времени претерпели лишь незначительную эволюцию. Основным арсеналом УЗИ остается введенное еще в 1986 г. градуированное компрессионное УЗИ в реальном времени, обладающее превосходной специфичностью. На сегодняшний день единичны сообщения об использовании в ультразвуковой диагностике ОА эластографии, контрастного усиления [17].
Несмотря на развитие методик УЗИ с улучшением контрастности, пространственного и временного разрешения, ограничения в диагностике ОА при УЗИ прежние: трудность визуализации аппендикса у пациентов с ожирением, метеоризмом, атипичным расположением аппендикса [3, 16, 17].
Для повышения диагностической точности УЗИ предлагают различные усовершенствованные стандартизированные алгоритмы. К примеру, начать сканирование в точке болезненности, а затем расширить зону с использованием высоко- и низкочастотного датчиков [16]. Другие авторы предлагают начать сканирование брюшной полости конвексным датчиком (2–5 МГц), а затем целенаправленно искать червеобразный отросток, используя линейный датчик (7,5–14 МГц), ориентируясь на точку максимальной болезненности. В тех случаях, когда врач не может визуализировать аппендикс, следующим шагом должен быть поиск косвенных сонографических признаков ОА [3].
Chang S.T. et al. предлагают трехэтапный алгоритм при УЗИ, суть которого заключается в том, что, если аппендикс не визуализируется в положении пациента лежа на спине, последнего располагают под углом 45° на левом боку и сканируют в коронарной плоскости через правый бок параллельно поясничной мышце [18]. Если аппендикс все равно не идентифицирован, то проводится повторное сканирование на спине с улучшенным акустическим окном, возникающим в результате перемещения кишки. Для проведения этого алгоритма специалисту, проводящему УЗИ, по данным авторов, потребовалось дополнительное время (около 5–10 мин), но при этом снизилась частота последующего использования КТ. Частота визуализации аппендикса увеличилась с 31,0 до 52,5 % у всех пациентов, а использование КТ снизилось с 31,3 до 17,7 %, при этом статистически значимые изменения были очевидны как у детей, так и у взрослых [18].
КОМПЬЮТЕРНАЯ ТОМОГРАФИЯ
КТ считается золотым стандартом обследования пациентов с подозрением на ОА из-за ее высокой чувствительности и специфичности и значительно превосходит УЗИ у пациентов с атипичной клинической картиной и подозрением на перфорацию [3, 5, 13, 16]. КТ особенно полезна для выявления альтернативных диагнозов при подозрении на ОА, поскольку позволяет визуализировать анатомические структуры, труднодоступные при УЗИ, например забрюшинное пространство.
Основными ограничивающими факторами использования КТ являются риски, связанные с ионизирующим излучением и введением контрастного вещества.
Наиболее обсуждаемый риск, связанный с ионизирующим излучением, — это, безусловно, риск пожизненного развития рака. В литературе высказываются предположения, что частота злокачественных новообразований у 1 из каждых 500 пациентов связана с облучением, полученным при КТ в молодом возрасте [19]. Также есть предположения, что в будущем 2 % случаев рака будут вызваны только воздействием ионизирующего излучения, полученного при КТ [5, 13].
Если предположить, что канцерогенный риск для отдельного пациента очень мал, то риск, прогнозируемый для популяции, может представлять собой реальный риск развития рака. По мнению авторов, обеспокоенность основана на следующих эпидемиологических знаниях. Во-первых, огромное количество пациентов во всем мире подвергается КТ при подозрении на ОА из-за высокой заболеваемости и популярности этого метода. Во-вторых, среди пациентов, подвергшихся воздействию КТ, число тех, у кого оказывается нормальный аппендикс, значительно превышает число пациентов с подтвержденным ОА. В-третьих, значительная часть пациентов с подозрением на ОА — это подростки и молодые люди, наиболее уязвимый контингент [15].
Именно это привело к попыткам снизить воздействие излучения при КТ, используемой для диагностики, в частности ОА. Многочисленные предложенные пути снижения дозы радиационного воздействия при КТ можно разделить на две группы. Первая из них связана с технологическим прогрессом, вторая — с усовершенствованием методики исследования.
Исследований по диагностической точности низкодозовой КТ при ОА недостаточно. Некоторые авторы говорят о том, что низкодозовая КТ может обеспечить высокую диагностическую эффективность при снижении лучевой нагрузки [16]. В исследовании Bom W.J. et al., сравнивающем низкодозовую и стандартную КТ, не было обнаружено существенных различий [11]. Подобные результаты получены Kim H.Y. et al., но в данной статье авторы предполагают, что отсутствие разницы между подгруппами может быть обусловлено тем, что большинство пациентов имели недостаточный или нормальный вес и только 17 % — избыточный. Авторы настаивают на необходимости дальнейших исследований с участием большего числа пациентов с избыточным весом для сравнения низкодозовой и стандартной КТ в диагностике ОА [20]. Низкодозовая КТ без контрастирования так же эффективна, как и стандартная КТ с контрастированием для выявления признаков ОА [3]. Некоторые исследователи настаивают на применении низкодозовой КТ при оказании неотложной помощи. Однако внедрение низкодозовой КТ происходит медленно из-за обеспокоенности врачей низким качеством изображений, что может привести к ошибочному диагнозу [15]. Иерусалимское руководстве WSES от 2020 г. по диагностике и лечению ОА рекомендует у пациентов с подозрением на ОА и отрицательными результатами УЗИ использовать низкодозовую КТ с контрастным усилением вместо стандартной [6].
При проведении КТ для снижения дозы рекомендуется также уменьшение зоны сканирования [2]. С этой целью предлагают использовать фокусированную КТ. В обзоре Tarulli M. et al. показано, что некоторые авторы пишут о достижении чувствительности 100, специфичности 95 % и точности 98 % [7]. Другие, напротив, полагают, что использование фокусированной КТ может привести к пропуску альтернативных диагнозов за пределами поля сканирования. Исследование самих авторов показало, что фокусированная КТ с внутривенным и пероральным контрастированием имеет высокую диагностическую точность с чувствительностью и специфичностью 100 % [7].
При проведении ургентного КТ-исследования важна экономия времени, затраченного на сканирование и интерпретацию изображений. КТ с внутривенным контрастированием более затратна по времени. Также никто не станет спорить, что интерпретация одной фазы или множества фаз потребует разного времени.
В мировой литературе за всю историю использования КТ в диагностике ОА отмечалось разнообразие выбора способа контрастирования, включая только пероральное, пероральное и трансректальное, а также пероральное и внутривенное контрастирование.
Продолжается дискуссия вообще о целесообразности использования контрастного вещества в диагностике ОА. Это актуально для пациентов, которым противопоказаны йодсодержащие контрастные вещества в связи с известной аллергией на них, почечной недостаточностью или гипертиреозом [3, 21]. Для таких пациентов предпочтительным является использование нативной КТ (без внутривенного введения контрастного вещества), поскольку значимых различий диагностической эффективности нативной и контрастно-усиленной (с внутривенным введением контрастного вещества) или комбинированной КТ (нативной + усиленной) в диагностике ОА и в поиске альтернативных диагнозов в научных исследованиях не обнаружено. Так, по данным Eurboonyanun K. et al., при нативной КТ и КТ с контрастным усилением в диагностике ОА чувствительность и специфичность колебались от 80,7 до 87,7 % и от 80,7 до 86,7 % [21].
Rait J.S. et al. в своем исследовании пришли к выводу, что оптимально либо отсутствие предоперационной визуализации, либо бесконтрастное КТ-исследование живота и таза, обеспечивающее снижение ионизирующего излучения и отсутствие нефротоксичных контрастных веществ для визуализации аппендикса [14].
В наши дни наиболее часто используемым протоколом является нативная КТ живота и таза с последующим внутривенным введением контрастного вещества и (иногда) пероральным контрастированием. Рекомендуется использовать однофазное, а не многофазное сканирование, чтобы избежать любой дополнительной дозы [21]. Наиболее информативной для оценки является портовенозная фаза [3] (рис. 1, а–е).
Рис. 1. На КТ-изображениях в аксиальной плоскости в нативную (а, г), артериальную (б, д), портовенозную (в, е) фазы на двух уровнях демонстрируется накопление контрастного вещества стенками аппендикулярного отростка (стрелка) в разные постконтрастные фазы в сравнении с нативной. В просвете аппендикса на фоне жидкостного содержимого визуализируется феколит (пунктирная стрелка)
Fig. 1. CT images in the axial plane in the native phase (а, г), arterial phase (б, д), portovenous phase (в, е) at two levels demonstrate the accumulation of contrast agent by the walls of the appendicular process (arrow) in different post-contrast phases in comparison with the native. In the lumen of the appendix, fecal matter is visualized against the background of liquid contents (dotted arrow)
В последние годы появились данные о двухэнергетической КТ, которая улучшает качественную и количественную оценку стенки кишечника с возможностью визуализации тонких различий в контрастировании слизистой оболочки, что повышает выявление ранней ишемии кишечника, острого воспаления. Lev-Cohain N. et al. показали, что благодаря этой технологии улучшилась субъективная оценка усиления стенок червеобразного отростка при остром воспалении [22].
ВИЗУАЛИЗАЦИОННЫЕ ПРИЗНАКИ ОА
Независимо от используемого метода визуализации признаки ОА можно разделить на прямые и косвенные. Первые включают увеличение диаметра аппендикса и утолщение стенок. Косвенные признаки ОА связаны с изменениями в просвете аппендикса и прилежащих мягких тканях, анатомических структурах [3, 16].
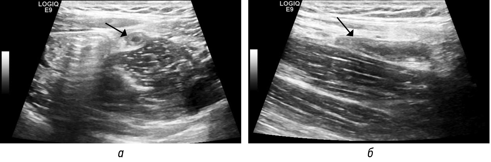
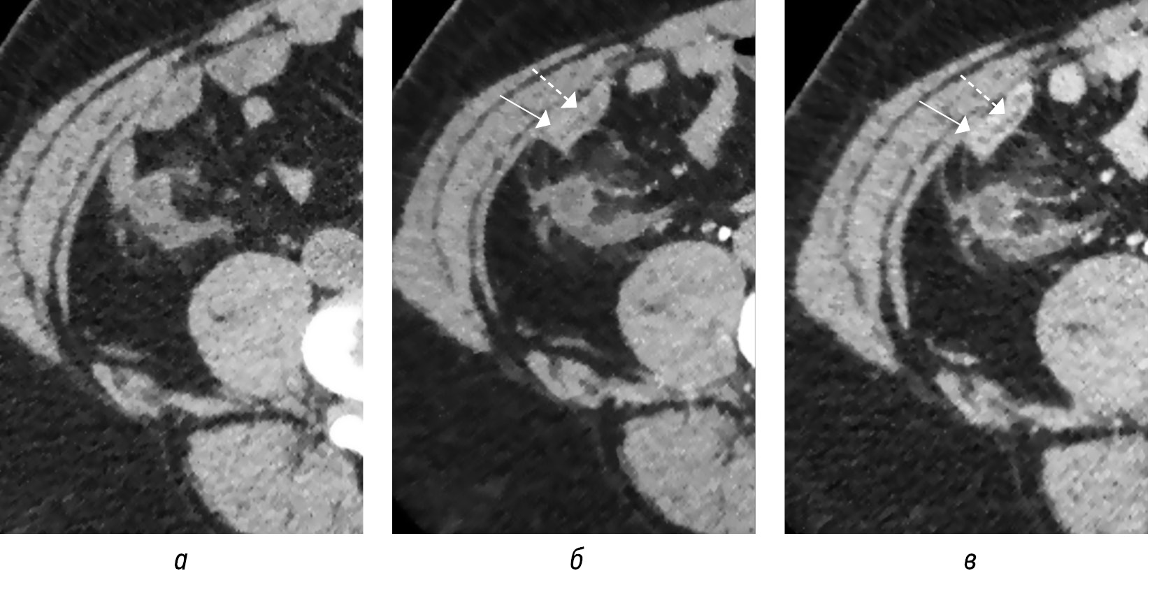
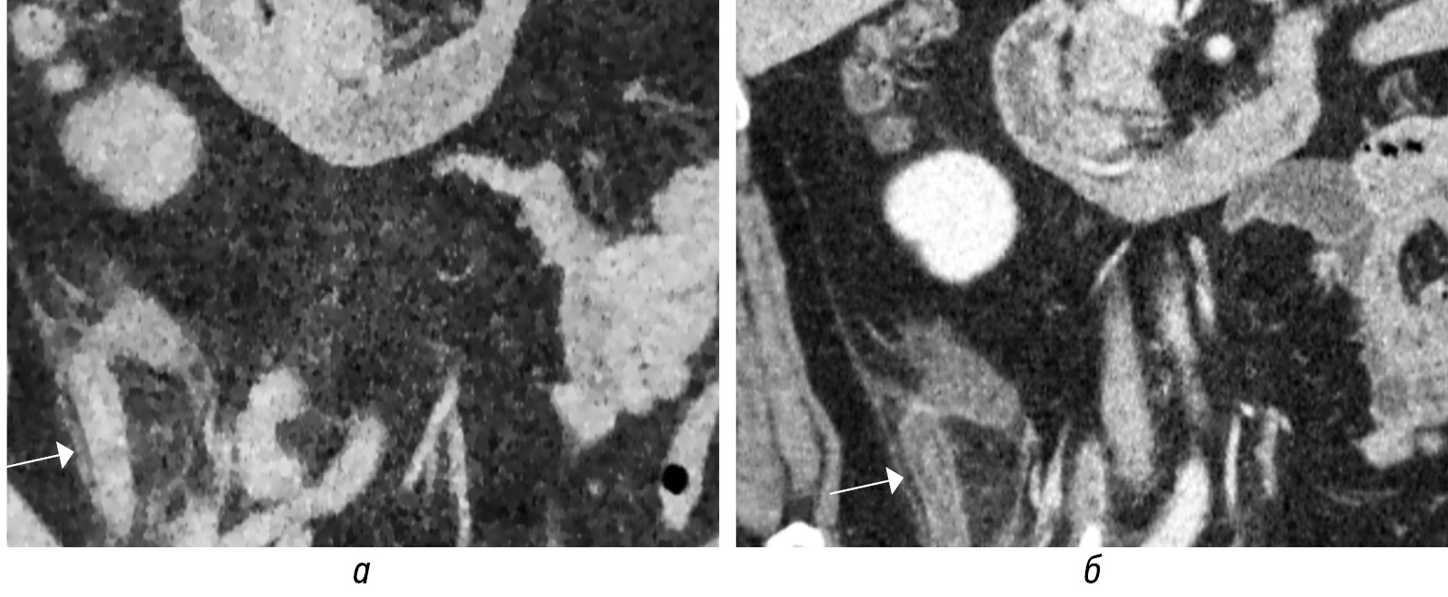
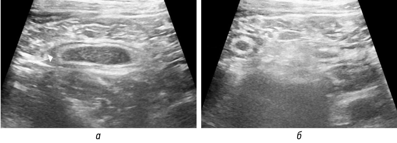
Диаметр аппендикса суммарно представлен содержимым и стенками аппендикса. При нативной КТ не всегда удается дифференцировать стенки от содержимого, необходимо введение контрастного вещества (рис. 2), в то время как при высокочастотном УЗИ возможно дифференцировать слои стенки аппендикса, наиболее информативен срез по короткой оси отростка (рис. 3, а, б). Во всех источниках утолщением стенок аппендикса считается толщина более 2 мм. Только при УЗИ возможно определить несжимаемость при компрессии аппендикса, что является важным признаком острого воспаления [18].
Рис. 2. КТ-изображения в аксиальной плоскости в нативную (а), артериальную (б), портовенозную (в) фазы демонстрируют (б, в) накопление контрастного вещества стенкой аппендикулярного отростка (стрелка) с более четкой дифференцировкой стенок от содержимого в просвете аппендикса (пунктирная стрелка)
Fig. 2. CT images in the axial plane in the native phase (a), arterial phase (б), portovenous phase (в) demonstrate (б, в) the accumulation of contrast agent by the wall of the appendicular process (arrow) with a clearer differentiation of the walls from the contents in the lumen of the appendix (dotted arrow)
Рис. 3. Сонограммы воспаленного аппендикса (стрелки) в В-режиме по короткой (а) и длинной (б) осям
Fig. 3. Sonograms of the inflamed appendix (arrows) in B-mode on the short axis (а) and on the long axis (б)
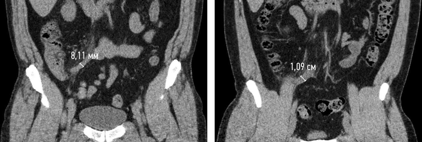
Неоднозначно мнение по поводу числового показателя увеличения диаметра. Традиционным пороговым значением для визуализационной диагностики ОА (УЗИ, КТ, МРТ) является диаметр 6–7 мм (рис. 4) [3, 16, 19].
Рис. 4. КТ-изображения двух пациентов с острым аппендицитом во фронтальной плоскости в нативную фазу с указанием диаметров аппендикулярных отростков
Fig. 4. CT images of two patients with acute appendicitis in the frontal plane in the native phase, indicating the diameters of the appendicular processes
Отдельные авторы рекомендуют использовать пороговый диаметр 9,25 мм, опираясь на проведенный анализ литературы и обосновывая это тем, что диаметр нормального аппендикса может составлять более 6 мм [14]. В 2015 г. Trout A.T. et al. сообщили о более высокой точности трехкатегориальной интерпретации диаметра аппендикса при УЗИ в диагностике ОА у детей, чем традиционное пороговое значение 6 мм [23]. По их данным, ОА присутствовал в 2,6, 65 и 96 % соответственно при диаметрах аппендикса до 6 мм, от 6 до 8 и свыше 8 мм. Авторы статьи считают, что диагноз ОА не следует ставить только на основании диаметра, поскольку это приведет к ложноположительным результатам (рис. 5, а, б) [23].
Рис. 5. КТ-изображения во фронтальной плоскости в нативную фазу (а, б) нормального аппендикулярного отростка с диаметром 8,09 мм и содержащим пузырьки газа (стрелки) без клинических признаков острого аппендицита
Fig. 5. CT images in the frontal plane in the native phase (а, б) of a normal appendicular process with a diameter of 8,09 mm and containing gas bubbles (arrows) without clinical signs of acute appendicitis
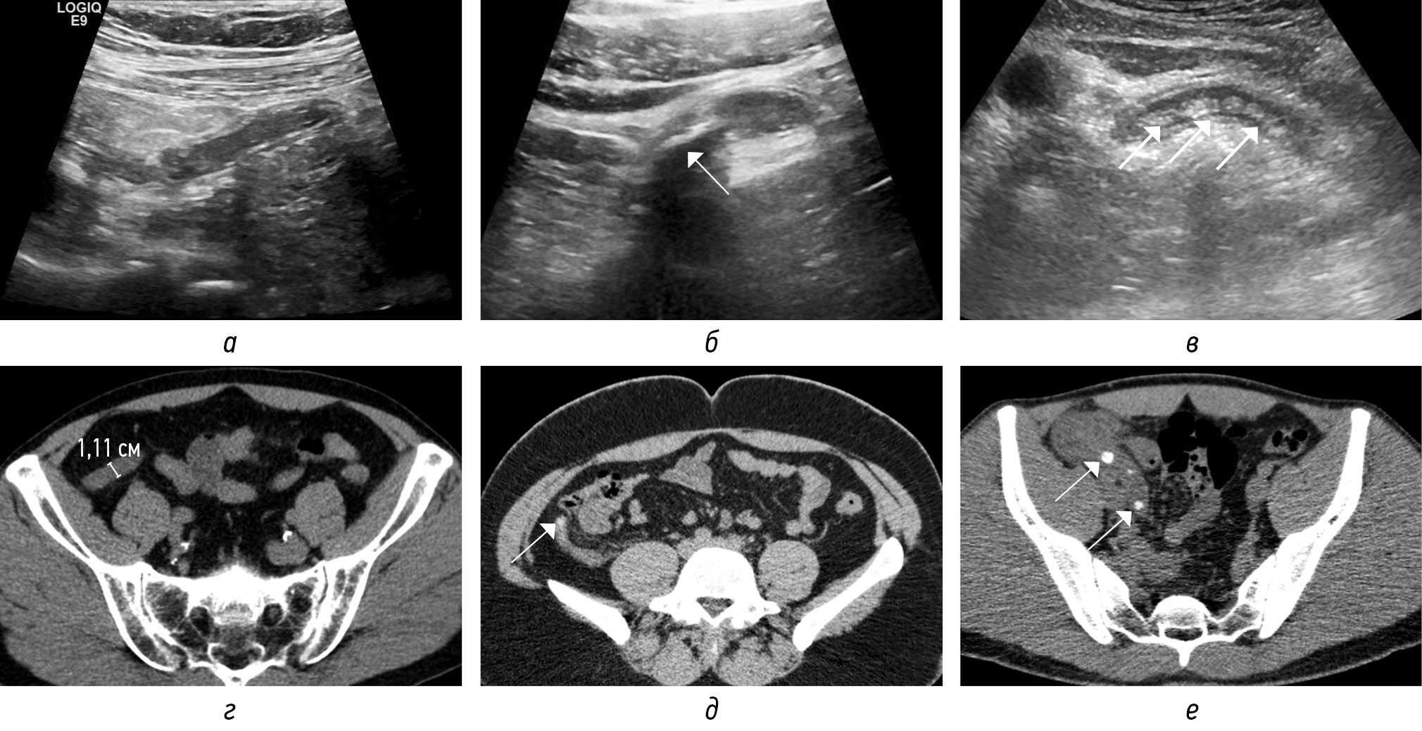
Просвет аппендикса может расширяться за счет неоднородного внутреннего содержимого без наличия (рис. 6, а, г) или с присутствием (рис. 6, б, в, д, е) аппендиколита. Другие косвенные признаки ОА: отек периаппендикулярной жировой клетчатки (рис. 7, а, б; 8, а, б); утолщение за счет отека прилежащей стенки кишки (рис. 9, а–г); расширение просвета кишки за счет газа иди жидкости с ослабленной перистальтикой; периаппендикулярное жидкостное скопление или абсцесс (рис. 10, а, б); лимфоаденопатия (рис. 11, а); абдоминальный выпот (рис. 11, г) [3, 16, 18].
Рис. 6. Сонограммы в В-режиме по длинной оси аппендиксов (а–в), КТ-изображения в аксиальной плоскости в нативную фазу (г–е) только с жидкостным содержимым в аппендиксе (а, г), с единичным аппендиколитом (б, д), с множественными аппендиколитами (в, е). Аппендиколиты указаны стрелками
Fig. 6. Sonograms in B-mode along the long axis of appendixes (а–в), CT images in the axial plane in the native phase (г–е) only with liquid contents in the appendix (а, г), with a single appendicolitis (б, д), with multiple appendicolitis (в, е). Appendicolites are indicated by arrows
Рис. 7. КТ-изображения во фронтальной (а) и в сагиттальной (б) плоскостях в нативную фазу: вокруг аппендикулярного отростка (стрелки) тяжистое уплотнение жировой клетчатки. Купол слепой кишки (пунктирная стрелка)
Fig. 7. CT images in the frontal (a) and sagittal (b) planes in the native phase: around the appendicular process (arrows) there is a heavy thickening of adipose tissue. Dome of the cecum (dotted arrow)
Рис. 8. Сонограммы в В-режиме (а — продольный скан аппендикса; б — поперечный скан аппендикса). Воспаленный аппендикс (стрелки) окружен воспаленной жировой тканью более высокой эхогенности
Fig. 8. B-mode sonograms (а — longitudinal scan of the appendix; б — transverse scan of the appendix). The inflamed appendix (arrows) is surrounded by inflamed adipose tissue of higher echogenicity
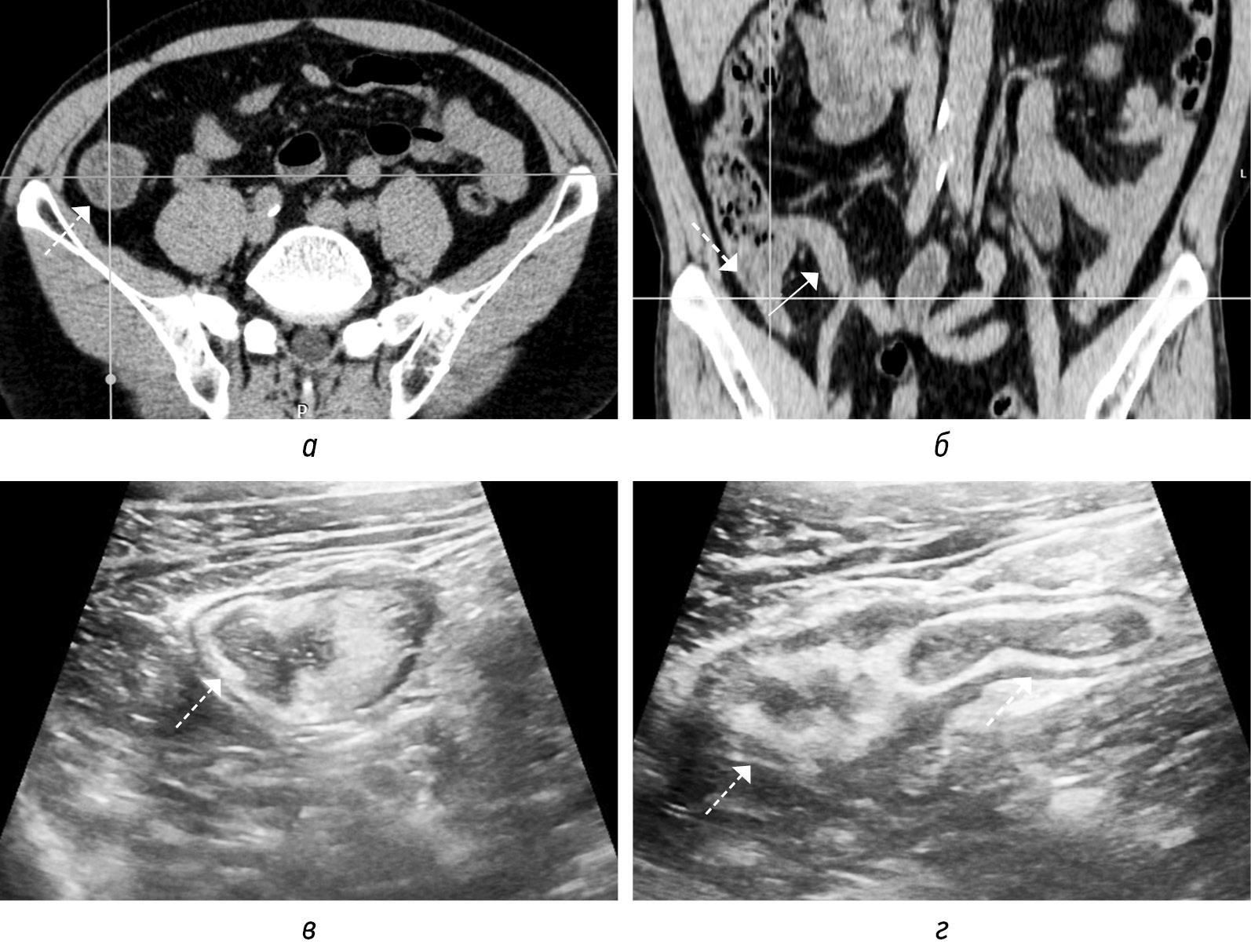
Рис. 9. На нативных КТ-томограммах в аксиальной (а) и фронтальной (б) плоскостях и соответствующих сонограммах (в, г) визуализируется аппендикс (стенки толщиной 4 мм, в просвете (до 6 мм) неоднородное содержимое) (стрелка) с отеком стенок слепой кишки (пунктирная стрелка). Прилежащая жировая клетчатка без видимых изменений
Fig. 9. On native CT-tomograms in the axial (а) and frontal (б) planes and corresponding sonograms (в, г), the appendix is visualized (walls 4 mm thick, in the lumen (up to 6 mm) heterogeneous contents) (arrow) with edema of the walls of the cecum (dotted arrow). Adjacent adipose tissue without visible changes
Рис. 10. На нативных КТ-томограммах в аксиальной плоскости визуализируется абсцесс (стрелка) с неразличимым на его фоне воспаленным аппендиксом. Купол слепой кишки (пунктирная стрелка)
Fig. 10. On native CT scans, an abscess (arrow) is visualized in the axial plane with an inflamed appendix indistinguishable against its background. Dome of the cecum (dotted arrow)
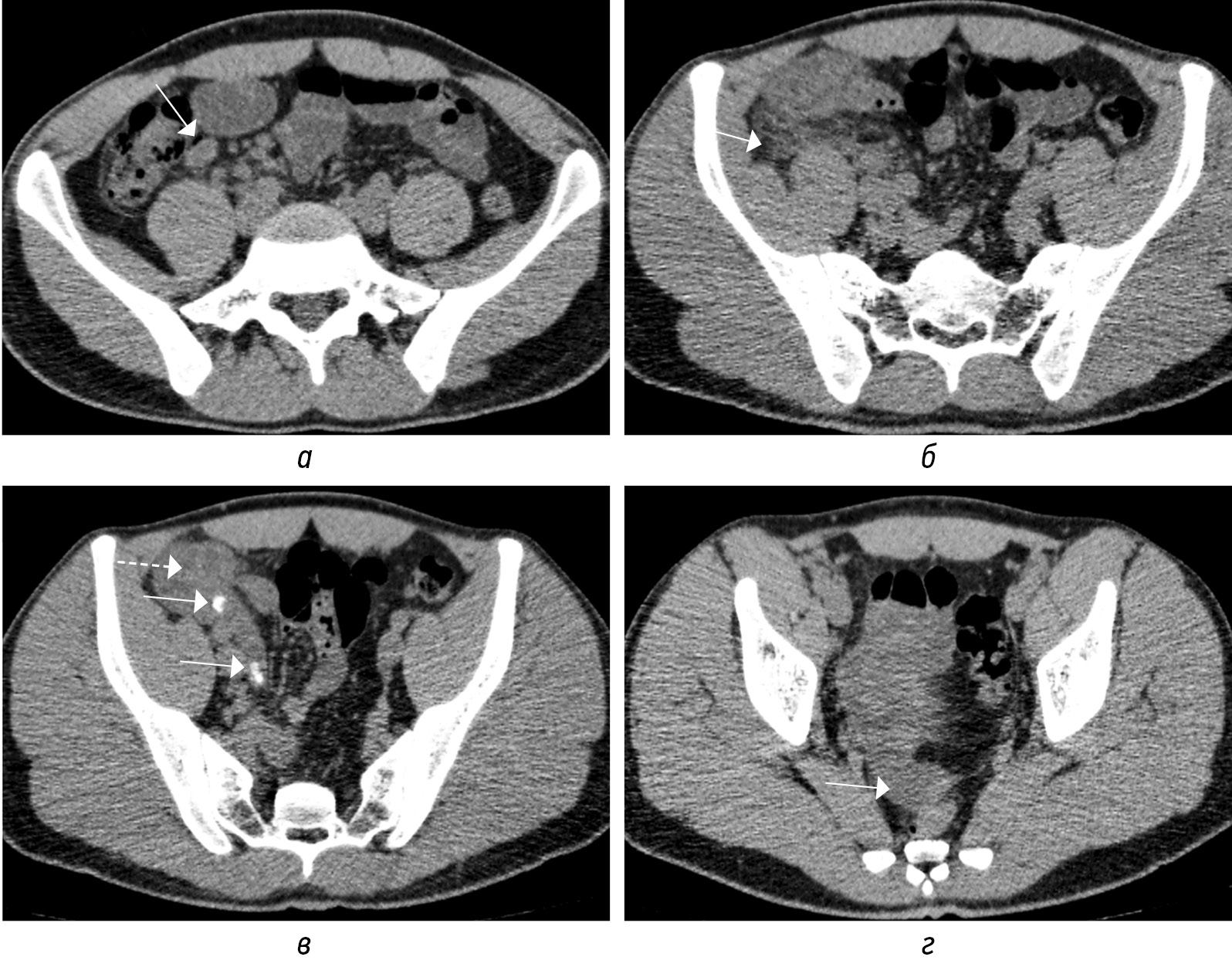
Рис. 11. Нативные КТ-томограммы в аксиальной плоскости. Острый аппендицит с реактивной регионарной лимфоаденопатией (а, стрелка), отеком прилежащей жировой клетчатки (б, стрелка), с наличием аппендиколитов (в, стрелки), утолщением стенок слепой кишки (в, пунктирная стрелка), малого абдоминального выпота (г, стрелка)
Fig. 11. Native CT-tomograms in the axial plane. Acute appendicitis with reactive regional lymphadenopathy (а, arrow), edema of the adjacent adipose tissue (б, arrow), with the presence of appendicolitis (в, arrow), thickening of the walls of the cecum (в, dotted arrow), small abdominal effusion (г, arrow)
Также к косвенным признакам ОА можно отнести гиперваскуляризацию стенок аппендикса. Этот признак зависит от формы ОА и может отсутствовать при гангренозной форме.
Важным фактором успеха консервативного лечения является отбор пациентов с неосложненный и осложненным ОА. Согласно имеющимся в настоящее время данным, УЗИ, КТ, МРТ или комбинация УЗИ и КТ имеют ограничения в дифференциации осложненного и неосложненного ОА [11]. В исследовании Wu J. et al. при сравнении УЗИ и КТ при различных типах ОА, включая катаральный, гнойный и гангренозный аппендицит, обнаружили, что частота выявления трех типов ОА составила при УЗИ 81,8, 86,0 и 90,9 % соответственно и при КТ 60,0, 92,6 и 100 % [16].
В систематическом обзоре и метаанализе Kim H.Y. et al. у пациентов с подозрением на аппендицит при КТ для дифференциации осложненного и неосложненного ОА было выделено 10 информативных КТ-признаков, включая: 1) дефект усиления стенки аппендикса; 2) внепросветный газ; 3) внутрипросветный газ; 4) уплотнение периаппендикулярной жировой клетчатки; 5) абсцесс; 6) скопление периаппендикулярной жидкости; 7) внепросветный аппендиколит; 8) внутрипросветный аппендиколит; 9) асцит; 10) кишечную непроходимость [10]. Информативные характеристики 9 КТ-признаков имели общую тенденцию проявлять относительно высокую специфичность, но низкую чувствительность, за исключением уплотнения периаппендикулярной жировой ткани с чувствительностью более 90 %, но низкой специфичностью — 40 %. Дефект усиления стенки аппендикса был единственным признаком с умеренной чувствительностью (59 %) и высокой специфичностью (96 %). Обобщая результаты метаанализа, авторы заключили, что из 10 информативных КТ-признаков осложненного ОА уплотнение периаппендикулярной жировой клетчатки и дефект усиления стенки аппендикса показали наибольшую чувствительность, в то время как внепросветный аппендиколит, абсцесс и внепросветный газ показали наиболее высокую специфичность. Авторы предложили рассматривать наличие любого из перечисленных признаков как предиктор осложненного ОА [10].
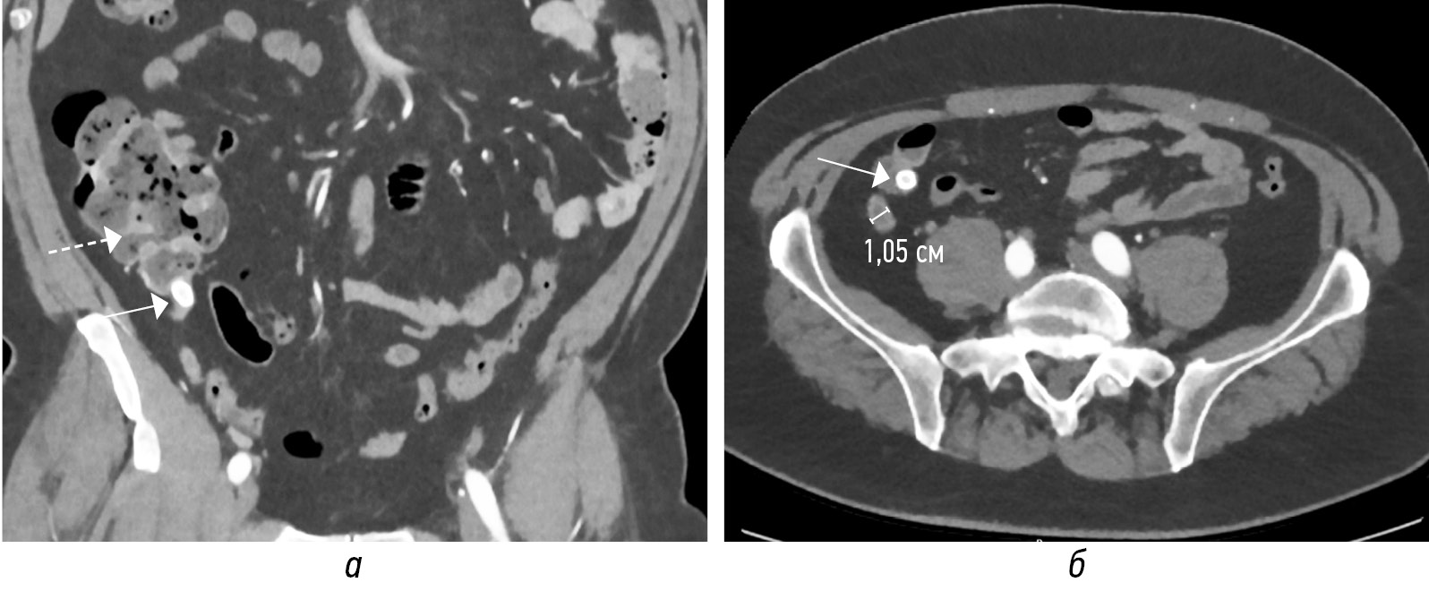
Однако в позднем отчете этих же авторов критерий «любой из 10 признаков» предлагается использовать только при наличии прямых признаков КТ ОА [20]. Применение критерия любого из 10 признаков к пациентам независимо от оценки вероятности ОА привело к снижению специфичности. Например, такие предикторы, как внутрипросветный газ (рис. 5, а, б) или внутрипросветный аппендиколит могут наблюдаться и в нормальном аппендиксе [20]. Известно, что феколиты могут быть обнаружены в нормальном аппендиксе без визуализационных и гистопатологических признаков воспаления [2, 14] (рис. 12, а, б). Другие авторы считают, что аппендиколиты связаны с более высокой частотой перфораций, и предполагают увеличение частоты неудач консервативной антибиотикотерапии неосложненного ОА из-за того, что аппендиколит служит очагом продолжающейся или рецидивирующей инфекции [2, 24]. По данным исследований, у взрослых с подтвержденным ОА аппендиколит был обнаружен в 30–40 % случаев. [2, 24]. Ranieri D.M. et al. при КТ обнаружили аппендиколиты у 38,7 % (96/248) пациентов с ОА; у 4,4 % (11/248) аппендиколиты отсутствовали [24].
Рис. 12. КТ-изображения во фронтальной (а) и аксиальной (б) плоскостях в артериальную фазу. При КТ-ангиографии случайно выявлен аппендиколит в устье аппендикулярного отростка (стрелки) с увеличением диаметра аппендикса до 10 мм, без клинико-лабораторных данных за острое воспаление. Купол слепой кишки (а, пунктирная стрелка)
Fig. 12. CT images in the frontal (а) and axial (б) planes in the arterial phase. CT angiography accidentally revealed appendicolitis at the mouth of the appendicular process (arrows) with an increase in the diameter of the appendix to 10mm, without clinical and laboratory data for acute inflammation. The dome of the cecum (а, dotted arrow)
Hoffmann J.C. et al. предлагают новую классификацию ОА, основной целью которой является дифференциация осложненного ОА от неосложненного на основании предоперационных изображений УЗИ и КТ [2]. Авторы предлагают разделить ОА на пять основных типов:
Тип 0: нормальный аппендикс.
Тип X: аппендикс не визуализируется.
Тип 1: острый неосложненный аппендицит:
1а — пограничный;
1б — флегмонозный.
Тип 2: острый осложненный аппендицит без перфорации:
2а — тяжелая флегмона с обструкцией или наличием внепросветной жидкости;
2б — гангренозный.
Тип 3: острый осложненный аппендицит с перфорацией:
3а — абсцесс или псевдоопухоль аппендикса;
3б — свободная перфорация.
При пограничном ОА (тип 1а), при поражении только слизистой и подслизистой оболочек, незначительно увеличивается диаметр аппендикса (6–8 мм) с сохранением слоев, без косвенных признаков воспаления (рис. 13, а, б). При неосложненном флегмонозном ОА (тип 1б) слои аппендикса сохранены, размыты, диаметр увеличен (обычно >8 мм), гиперваскуляризация/усиление стенок, отсутствие или минимальное количество внепросветной жидкости, умеренная гиперэхогенность/исчерченность периаппендикулярной жировой клетчатки (рис. 14, а, б).
Рис. 13. Сонограммы в В-режиме (а — продольный скан аппендикса; б — поперечный скан аппендикса). Воспаленный аппендикс (стрелки) с четко дифференцируемыми стенками, содержимым в просвете
Fig. 13. B-mode sonograms (а — longitudinal scan of the appendix; б — transverse scan of the appendix). Inflamed appendix (arrows) with clearly differentiable walls, contents in the lumen
Рис. 14. КТ-изображения во фронтальной плоскости в нативную (а) и постконтрастную (б) фазы: аппендикулярный отросток (стрелки) увеличен (12 мм), стенки усиливаются, умеренная исчерченность периаппендикулярной жировой клетчатки
Fig. 14. CT images in the frontal plane in the native phase (а) and post-contrast phase (б): the appendicular process (arrows) is enlarged (12 mm), the walls are strengthened, moderate striation of periappendicular adipose tissue
Осложненный ОА характеризуется либо перфорацией (тип 3), либо ожидаемой перфорацией (тип 2). Ключевым визуализационным признаком осложненного ОА являются выраженные изменения периаппендикулярной ткани: гиперэхогенность на УЗИ или тяжистое уплотнение на КТ. Выраженная, но все еще локализованная периаппендикулярная жидкость или обструкция наблюдается при тяжелом флегмонозном ОА (тип 2а). Гангренозный ОА (тип 2б) характеризуется наличием интрамурального газа и/или потерей эхогенного подслизистого слоя. Некоторые авторы классифицируют тяжелый флегмонозный ОА (тип 2а) и даже гангренозный ОА (тип 2б) как неосложненный ОА, предположительно потому, что они определяют осложнения исключительно по наличию перфорации. Нoffmann J.C. et al. предлагают классифицировать эти типы как осложненные ОА в соответствии с консенсусным заявлением Европейской ассоциации эндоскопической хирургии, опираясь на многочисленные исследования, показавших, что аппендиколит с обструкцией (рис. 15, а–г), выраженное периаппендикулярное воспаление и гангрена указывают на неизбежную перфорацию [2]. Перфорация может быть прикрытой с абсцессом (тип 3а) или неприкрытой со свободной жидкостью, газом и гноем в брюшной полости (тип 3б). Иногда можно обнаружить псевдообразование аппендикса за счет вовлечения в воспалительный процесс прилежащих петлей тонкой или толстой кишки, что также представляет собой локализованную форму перфорации, т. е. тип 3а.
Рис. 15. КТ-томограммы (а) в трех плоскостях на уровне аппендикса с наличием в нижней трети аппендиколита (на изображениях соответствует точке пересечения секущих линий) с обструкцией просвета и расширением просвета выше препятствия, с отеком периаппендикулярной жировой клетчатки. Сонограммы (б–г) в В-режиме демонстрируют аппендиколит, участки аппендикса без расширения просвета и мешковидное расширение выше препятствия (стрелка)
Fig. 15. CT-tomograms (a) in three planes at the level of the appendix with the presence of appendicolitis in the lower third (in the images corresponds to the intersection point of the secant lines) with obstruction of the lumen and expansion of the lumen above the obstacle, with swelling of the periappendicular fatty tissue. Sonograms (б–г) in B-mode demonstrate appendicolitis and areas of the appendix without expansion of the lumen and sac-like expansion above the obstacle (arrow)
Визуализация всего аппендикса, включая верхушку, очень важна, поскольку воспаление может поражать не полностью аппендикс. В таких случаях необходимо либо повторное УЗИ, либо КТ, особенно у пациентов с высоким риском и старше 40 лет [2].
Современное лечение ОА требует не только правильного диагноза, но и дифференциальной диагностики осложненных и неосложненных форм ОА. Поэтому сбор анамнеза, клиническое обследование и лабораторная диагностика должны дополняться визуализационной диагностикой. Так, Иерусалимское руководстве WSES от 2020 г. по диагностике и лечению ОА рекомендует рутинно использовать комбинацию клинических параметров и УЗИ с целью снижения использования КТ. Пациентам группы высокого риска моложе 40 лет перед диагностической и/или лечебной лапароскопией рекомендуют избегать проведения КТ. Эта рекомендация вызвала дебаты среди экспертов: одни настаивают на необходимости рутинной визуализации с помощью КТ для всех пациентов высокого риска перед любой операцией, а другие отстаивают преимущества клинической оценки и стратификации риска и считают их достаточными для проведения лапароскопии [6]. Вопрос, использовать ли дооперационную визуализацию и какую именно, и сегодня остается без однозначного ответа.
ЗАКЛЮЧЕНИЕ
Несмотря на то, что за последние годы технологии продвинулись вперед с широким арсеналом доступных лабораторных маркеров воспаления и визуализационных методов диагностики, точная диагностика ОА по-прежнему представляет собой проблему. Изолированное использование только клинических данных, лабораторных показателей или визуализационных данных ненадежно и не может использоваться в диагностике ОА. Для пациента с подозрением на ОА для повышения точности диагностики, уменьшения осложнений или исключения необходимости подвергать ненужным диагностическим и лечебным процедурам необходим мультидисциплинарный и мультимодальный подход с учетом возраста, пола и конституции.
ДОПОЛНИТЕЛЬНАЯ ИНФОРМАЦИЯ
Финансирование. Финансирование данной работы не проводилось.
Конфликт интересов. Авторы заявляют об отсутствии конфликта интересов.
Этическая экспертиза. Проведение этической экспертизы не требуется, так как статья носит дискуссионный характер и не содержит каких-либо исследований с участием людей или животных в качестве объектов изучения.
Вклад авторов. Все авторы внесли существенный вклад в проведение исследования и подготовку статьи, прочли и одобрили финальную версию перед публикацией.
About the authors
Vladimir V. Ryazanov
Saint Petersburg State Pediatric Medical University; Military Medical Academy
Email: 79219501454@yandex.ru
ORCID iD: 0000-0002-0037-2854
MD, Dr. Sci. (Medicine), Associate Professor
Russian Federation, Saint Petersburg; Saint PetersburgGul’naz K. Sadykova
Saint Petersburg State Pediatric Medical University; Military Medical Academy
Email: kokonya1980@mail.ru
ORCID iD: 0000-0002-6791-518X
MD, Cand. Sci. (Medicine)
Russian Federation, Saint Petersburg; Saint PetersburgGennadiy E. Trufanov
Almazov National Medical Research Centre
Email: trufanovge@mail.ru
ORCID iD: 0000-0002-1611-5000
MD, Dr. Sci. (Medicine), Professor
Russian Federation, Saint PetersburgIgor’ S. Zheleznyak
Military Medical Academy
Email: izvestiavmeda@mail.ru
ORCID iD: 0000-0001-7383-512X
MD, Dr. Sci. (Medicine), Professor
Russian Federation, Saint PetersburgSergey S. Bagnenko
Saint Petersburg State Pediatric Medical University; Petrov National Medical Research Centre of Oncology
Email: bagnenko_ss@mail.ru
ORCID iD: 0000-0002-4131-6293
MD, Dr. Sci. (Medicine), Associated Professor
Russian Federation, Saint Petersburg; Saint PetersburgVictor V. Ipatov
Military Medical Academy
Author for correspondence.
Email: mogidin@mail.ru
ORCID iD: 0000-0002-9799-4616
MD, Cand. Sci. (Medicine)
Russian Federation, Saint PetersburgLeonid V. Voronkov
Military Medical Academy
Email: izvestiavmeda@mail.ru
ORCID iD: 0000-0002-0780-0735
MD, Cand. Sci. (Medicine)
Russian Federation, Saint PetersburgGennadiy G. Romanov
Military Medical Academy
Email: izvestiavmeda@mail.ru
ORCID iD: 0000-0001-5987-8158
MD, Cand. Sci. (Medicine)
Russian Federation, Saint PetersburgGeorgiy O. Bagaturia
Saint Petersburg State Pediatric Medical University
Email: geobag@mail.ru
ORCID iD: 0000-0001-5311-1802
MD, Dr. Sci. (Medicine), Professor
Russian Federation, Saint PetersburgReferences
- Krylov N, Samokhvalov A. Ultrasound and computed tomography in the diagnosis of acute appendicitis. Vrach. 2016;27(12):39–41. (In Russ.)
- Hoffmann JC, Trimborn C-P, Hoffmann M, et al. Classification of acute appendicitis (CAA): treatment directed new classification based on imaging (ultrasound, computed tomography) and pathology. Int J Colorectal Dis. 2021;36(11):2347–2360. doi: 10.1007/s00384-021-03940-8
- Nicqeshen N, Dilashini S, Kirthana S. Role of clinical scoring system and imaging in acute appendicitis in adults: a review of literature. Med J Malaysia. 2020;75(3):316–321. PMID: 32467556
- Noori IF, Jabbar AS, Noori AF. Clinical scores (Alvarado and AIR scores) versus imaging (ultrasound and CT scan) in the diagnosis of equivocal cases of acute appendicitis: a randomized controlled study. Ann Med Surg (Lond). 2023;85(4):676–683. doi: 10.1097/MS9.0000000000000270
- Raffa A, Abduljabbar A, Alharthy A. Comparison of ultrasound and computed tomography scanning accuracy in diagnosing acute appendicitis at King Abdulaziz university hospital. Cureus. 2022;14(11): e31880. doi: 10.7759/cureus.31880
- Di Saverio S, Podda M, De Simone B, et al. Diagnosis and treatment of acute appendicitis: 2020 update of the WSES Jerusalem guidelines. World J Emerg Surg. 2020;15(1):27. doi: 10.1186/s13017-020-00306-3
- Tarulli M, Rezende-Nedo J, Vlachou PA. Focused CT for the evaluation of suspected appendicitis. Abdom Radiol (NY). 2019;44(6): 2081–2088. doi: 10.1007/s00261-019-01942-3
- Téoule P, de Laffolie J, Rolle U, Reissfelder C. Acute appendicitis in childhood and adulthood. Dtsch Arztebl Int. 2020;117(45):764–774. doi: 10.3238/arztebl.2020.0764
- Bhangu A. RIFT Study Group on behalf of the West Midlands Research Collaborative. Evaluation of appendicitis risk prediction models in adults with suspected appendicitis. Br J Surg. 2020;107(1):73–86. doi: 10.1002/bjs.11440
- Kim HY, Park JH, Lee YJ, et al. Systematic review and meta-analysis of CT features for differentiating complicated and uncomplicated appendicitis. Radiology. 2018;287(1):104–115. doi: 10.1148/radiol.2017171260
- Bom WJ, Bolmers MD, Gans SL, et al. Discriminating complicated from uncomplicated appendicitis by ultrasound imaging, computed tomography or magnetic resonance imaging: systematic review and meta-analysis of diagnostic accuracy. BJS Open. 2021;5(2):zraa030. doi: 10.1093/bjsopen/zraa030
- Fersahoğlu MM, Çiyiltepe H, Ergin A, et al. Effective use of CT by surgeons in acute appendicitis diagnosis. Ulus travma acil cerrahi derg. 2021;27(1):43–49. doi: 10.14744/tjtes.2020.13359
- Naidu A, Dhruwa C. Study on evaluation of ultrasound and CT scan indiagnosis of appendicitis. International Journal of Health Sciences. 2022;6(S3):9505–9511. doi: 10.53730/ijhs.v6nS3.8346
- Rait JS, Ajzajian J, McGillicuddy J, et al. Acute appendicitis and the role of pre-operative imaging: A cohort study. Ann Med Surg (Lond). 2020;59:258–263. doi: 10.1016/j.amsu.2020.10.008
- Park JH, Salminen P, Tannaphai P, Lee KH. Low-dose abdominal CT for evaluating suspected appendicitis in adolescents and young adults: review of evidence. Korean J Radiol. 2022;23(5):517–528. doi: 10.3348/kjr.2021.0596
- Wu J, Zhang T, Zhu Y, Gong N. Diagnostic value of ultrasound compared to CT in patients with suspected acute appendicitis. Int J Clin Exp Med. 2017;10(10):14377–14385.
- Mostbeck G, Adam EJ, Nielsen MB, et al. How to diagnose acute appendicitis: ultrasound first. Insights Imaging. 2016;7(2):255–263. doi: 10.1007/s13244-016-0469-6
- Chang ST, Jeffrey RB, Olcott EW. Three-step sequential positioning algorithm during sonographic evaluation for appendicitis increases appendiceal visualization rate and reduces CT use. AJR Am J Roentgenol. 2014;203(5):1006–1012. doi: 10.2214/AJR.13.12334
- Zisman A, Novi B, Gaughan J, Carr L. Factors affecting utilization of CT scan following ultrasound evaluation of suspected appendicitis. J Osteopath Med. 2022;122(6):313–318. doi: 10.1515/jom-2021-0251
- Kim HY, Park JH, Lee SS, et al. CT in differentiating complicated from uncomplicated appendicitis: presence of any of 10 CT features versus radiologists’ gestalt assessment. AJR Am J Roentgenol. 2019;213(5):W218–W227. doi: 10.2214/AJR.19.21331
- Eurboonyanun K, Rungwiriyawanich P, Chamadol N, et al. Accuracy of nonenhanced CT vs contrast-enhanced CT for diagnosis of acute appendicitis in adults. Curr Probl Diagn Radiol. 2021;50(3):315–320. doi: 10.1067/j.cpradiol.2020.01.010
- Lev-Cohain N, Sosna J, Meir Y, et al. Dual energy CT in acute appendicitis: value of low mono-energy. Clin Imaging. 2021;77:213–218. doi: 10.1016/j.clinimag.2021.04.007
- Trout AT, Towbin AJ, Fierke SR, et al. Appendiceal diameter as a predictor of appendicitis in children: improved diagnosis with three diagnostic categories derived from a logistic predictive model. Eur Radiol. 2015;25(8):2231–2238. doi: 10.1007/s00330-015-3639-x
- Ranieri DM, Enzerra MD, Pickhardt PJ. Prevalence of appendicoliths detected at CT in adults with suspected appendicitis. AJR Am J Roentgenol. 2021;216(3):677–682. doi: 10.2214/AJR.20.23149
Supplementary files


















