Radiologic Features of Extrapleural Emphysema in Thoracic Injuries and Trauma
- Authors: Emelyantsev A.A.1, Zheleznyak I.S.1, Romanov G.G.1, Voronkov L.V.1
-
Affiliations:
- Military Medical Academy
- Issue: Vol 44, No 1 (2025)
- Pages: 5-17
- Section: Original articles
- URL: https://journals.eco-vector.com/RMMArep/article/view/634662
- DOI: https://doi.org/10.17816/rmmar634662
- ID: 634662
Cite item
Abstract
Background: This article explores the anatomical structure of the chest wall, with a particular focus on the extrapleural space, its radiologic visualization, and its role in the development of certain pathological processes following thoracic injuries and trauma. Among the pathological mechanisms involved in severe combined injuries that lead to life-threatening complications, the entry of air into internal body cavities is particularly significant. One such complication is tension pneumothorax. According to the clinical guidelines issued by the Main Military Medical Directorate, pleural drainage is recommended as a therapeutic measure at the stage of qualified or specialized medical care upon diagnosis of pneumothorax, regardless of its type.
AIM: To assess the diagnostic capabilities of imaging modalities for identifying extrapleural emphysema in chest injuries and trauma.
MATERIALS AND METHODS: The primary imaging techniques for diagnosing pneumothorax are chest radiography and ultrasound. According to both domestic and international literature, these methods demonstrate high specificity, approaching 100%.
RESULTS: In our study, systematic use of computed tomography revealed distinctive radiologic signs of air in the extrapleural space in the absence of parietal pleura damage. On radiographs, these conditions appear as a radiolucent stripe along the inner surface of the chest wall. On ultrasound, they are visualized as a “sandy beach” sign with absent visceral pleural sliding, which is often mistakenly interpreted as pneumothorax. In such cases, attempts to drain the pleural cavity increase the likelihood of chest tube misplacement into the extrapleural space due to disrupted anatomical relationships within the chest wall layers. In cases of inadequate medical management during patient transport, subcutaneous emphysema tends to progress.
CONCLUSION: Thus, identifying air in the extrapleural space helps avoid unnecessary invasive procedures and additional iatrogenic injuries. Our study identified key radiographic features that distinguish extrapleural emphysema from pneumothorax: predominant localization in the basal regions, well-defined borders, and the presence of concurrent subcutaneous emphysema and pneumomediastinum.
Full Text
BACKGROUND
The extrapleural space (EPS; spatium extrapleuralis) is located between the inner surface of the ribs and the parietal pleura. Tissue dissection within this space is employed in thoracic surgery in the form of extrapleural pneumolysis for advanced-stage diseases of the lungs and pleura [1–3]. However, visualization of the EPS is challenging; its radiologic semiotics remain underdeveloped, and its anatomical features are often overlooked during chest computed tomography (CT) scan interpretation. Nevertheless, the EPS is crucial in diagnostic and therapeutic standpoints. Understanding the structure of this space, the pathological processes occurring within it, and its CT semiotics regarding injury facilitates optimal treatment planning. This article reviews the anatomy of EPS, the possibilities for its imaging under normal and certain pathological conditions, and the influence of radiologic findings on treatment strategy.
EPS refers to the anatomical structures located between the outer surface of the parietal pleura and inner thoracic surfaces of the ribs and diaphragm. It contains adipose tissue, loose connective tissue, lymph nodes, vessels, the endothoracic fascia (fascia endothoracica), and the deep muscular layer of the chest (Fig. 1). In 1974, cadaveric studies described the macroscopic features and distribution of adipose tissue (the main component of the EPS) [4]. The adipose tissue within the EPS is thick, averaging approximately 250 µm, and is most prominent in the posterior regions. It separates the endothoracic fascia and parietal pleura (pleura parietalis) [5–8]. The endothoracic fascia is a layer of loose connective tissue approximately 250 µm thick that adheres to the surfaces of the intervertebral discs, ribs, costal cartilages, and sternum. Posteriorly, it merges with the prevertebral fascia (fascia prevertebralis), forming a fibroelastic layer that delineates the thoracic cavity (cavum thoracis) [5, 6].
Fig. 1. Anatomy of the extrapleural space.
Рис. 1. Анатомия экстраплеврального пространства.
The muscular layer delimiting the EPS is composed of muscle groups. In the anterior regions, it is formed by the transversus thoracis muscle (musculus transversus thoracis), which originates bilaterally from the lower third of the posterior surface of the sternum body, posterior surface of the xiphoid process, and sternal ends of the costal cartilages of the lower three or four true ribs. Its fibers run upward and laterally, attaching to the internal surface of the costal cartilages of the second to sixth ribs. The lowest fibers of this muscle are a continuation of the transversus abdominis muscle fibers. In the intercostal spaces, the EPS is bordered by the internal intercostal muscles, which lie external to the endothoracic fascia and attach to the inner margins of the adjacent ribs. In the posterior regions, the EPS is delimited by the subcostal muscles (mm. subcostales), which have origin and insertion points similar to the internal intercostals; however, their fascicles span across one rib [5, 7, 8]. The neurovascular bundle running along the inferior internal surface of the ribs lies outside the EPS.
Understanding the layered structure of the chest wall is crucial in interpreting certain pathological processes, particularly those associated with thoracic trauma, and for manipulations to manage them. A critical life-threatening complication requiring urgent intervention in chest injuries and trauma is tension pneumothorax, which is the accumulation of air between the parietal and visceral pleura with a pressure gradient into the pleural cavity. According to the clinical guidelines of the Main Military Medical Directorate, in specialized medical care, pleural drainage is required for tension and nontension pneumothorax to prevent complications during evacuation to subsequent levels of care [9, 10].
Given the minimal amount of adipose tissue in the EPS and close adherence between the endothoracic fascia and parietal pleura, chest wall perforation in penetrating trauma typically results in damage to these layers, leading to loss of airtight integrity and the entry of air into the pleural cavity. However, in some cases, isolated injury to the endothoracic fascia may occur, followed by the entry of air into the EPS, which results in separation of the parietal pleura and endothoracic fascia [7, 8].
The primary imaging modalities for diagnosing pneumothorax are chest radiography and ultrasound (US). Various studies reported differing data on the effectiveness of these modalities: for radiographic diagnosis, sensitivity ranged from 40% to 75% and specificity from 85% to 100%, and for ultrasound diagnosis, sensitivity ranged from 68% to 98% and specificity from 94% to 100% [11–14]. Moreover, most studies showed that both modalities exhibit high specificity, and the occurrence of false-positive results was attributed to examination technique errors and imaging artifacts [14]. However, some diagnostic errors in pneumothorax are related to the radiologic features of EPS emphysema. On radiographs, this condition manifests as a radiolucent area in the subpleural zones of the lungs and is characterized by the absence of visceral pleural sliding on US, both of which can mimic pneumothorax.
In describing surgical techniques involving manipulation in the EPS, some studies used the terms extrapleural pneumothorax and extrapleural pneumolysis to describe the artificial separation of the endothoracic fascia and parietal pleura by insufflation of air [2, 3]. To avoid terminological overlap, the present study adopts the term “extrapleural emphysema” to refer to the presence of air in the EPS in chest trauma. This condition is scarcely covered in the scientific literature, virtually absent from Russian sources, and rarely mentioned in international publications. However, it significantly differs from pneumothorax regarding pathophysiological mechanisms and therapeutic requirements.
This aspect is particularly crucial when planning certain surgical procedures, primarily pleural drainage during medical evacuation as part of qualified and specialized medical care [15]. If air is present in the EPS, the tip of the drainage tube may be positioned within it. On radiographs, the tube may then appear beneath the inner surface of the ribs, mimicking pleural cavity placement.
Thus, EPS emphysema is a condition with radiologic features resembling a pneumothorax; however, it does not require pleural drainage.
This study aimed to assess the diagnostic capabilities of imaging modalities for identifying EPS emphysema in cases of chest injuries and trauma.
The objectives of the study were to clarify the normal and radiological anatomy of the EPS, compare the capabilities of different imaging modalities in diagnosing EPS emphysema, and define the radiographic and computed tomographic features of EPS emphysema.
METHODS
A retrospective analysis of chest radiography and CT data was conducted using a continuous sampling method of 659 patients admitted with chest injuries and trauma to the emergency department of City Hospital No. 1 (Belgorod), which had been repurposed as an evacuation hospital in 2023–2024. The inclusion criteria were the availability of chest radiography and CT performed at the time of admission and chest radiograph obtained at a prior stage of medical evacuation. Conversely, the exclusion criteria were radiographs with pronounced artifacts that rendered image interpretation impossible and cases demonstrating significant radiologic changes (either positive or negative) between chest radiographs obtained at the prior and current stages of evacuation.
The radiographs were acquired using the APA5 mobile X-ray system (SANA LLC, Russia) equipped with a digital flat-panel detector. Imaging was performed immediately after patient registration in the radiology room. In 75% of cases, radiographs were obtained solely in the supine anteroposterior projection owing to the severity of the patients’ condition. In the remaining cases, radiographs were taken in the standing posteroanterior projection and, when necessary, in the lateral projection. Chest radiographs from prior evacuation stages were provided as A6-format thermal prints of diagnostic quality.
The patients with chest trauma underwent CT within 6 hours of admission. Examinations were performed using a 64-slice cardiothoracic ratio X-ray CT scanner (Electron, Russia). Table 1 presents the technical scanning parameters.
Table 1. Characteristics of the CT scan protocol Таблица 1. Характеристики протокола КТ-сканирования | |
Parameter | Value |
Scout view | Anteroposterior and lateral projection of the chest |
Voltage | 120 kV |
Slice thickness | 1 mm |
Slice interval | 0.5 mm |
Tube rotation time | 0.5 s |
Pitch | 0.9 |
Data acquisition | 64*0.625 |
Matrix size | 768*768 |
Gantry tilt | No |
Scan direction | Craniocaudal |
Scan duration | 5–7 s |
Imaging analysis was conducted in two stages: at the first stage, chest radiographs obtained at the previous stage of evacuation were compared with those taken at admission to assess changes in pathological findings. At the second stage, a comparative analysis was performed between the radiograph and CT findings.
The imaging findings were evaluated for the presence of pneumothorax (at the previous and current stages), EPS emphysema, subcutaneous and intermuscular emphysema, and pneumomediastinum and the presence and correct placement of pleural drainage tubes.
Clinical data were statistically analyzed using MedCalc software (version 18.2.1). A four-field contingency table method was utilized to calculate sensitivity, specificity, and accuracy. The effectiveness of radiographic imaging in visualizing pneumothorax and EPS emphysema was assessed in comparison with CT, and the radiologic features in all cases with false-positive pneumothorax diagnoses were examined.
RESULTS
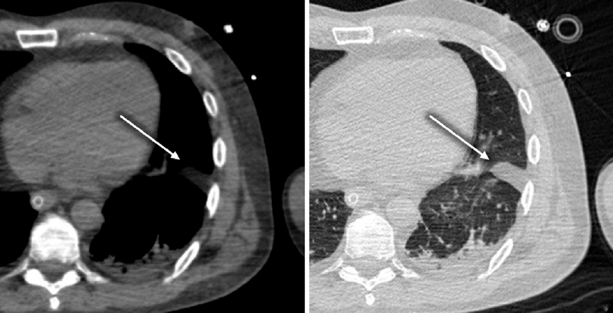
Visualization of the EPS, similar to that of the pleural cavity, is challenging on CT because the normal thickness of these anatomical structures is <1 mm. However, some patients had an increased volume of extrapleural fat. This fat may be localized along the costal pleura and in the interlobar fissures, making it visible on imaging. On lung window CT images, this pattern may mimic fluid accumulation in the pleural cavity. Differential diagnosis involves measuring the radiodensity of the observed changes: values range from –100 to –60 HU for adipose tissue and from +5 to +60 HU for fluid (Fig. 2).
Fig. 2. Chest CT in the axial plane (left: soft tissue window, right: lung window). Prolapse of extrapleural fat into the interlobar fissure (arrows).
Рис. 2. КТ органов груди в аксиальной плоскости (слева — мягкотканное окно, справа — легочное окно). Пролабирование экстраплевральной клетчатки в междолевую щель (стрелки).
Analysis of radiographs revealed that 238 patients had pneumothorax. CT confirmed 230 of these cases. In eight cases, the radiographic diagnosis of pneumothorax was false-positive. In 75 patients with negative radiographic findings, CT detected the presence of air in the pleural cavity (Table 2).
Table 2. Diagnostic efficiency of chest X-ray in detecting pneumothorax in chest injuries and trauma Таблица 2. Диагностическая эффективность рентгенографии в выявлении пневмоторакса при ранениях и травмах груди | ||
Parameter | Value | Confidence interval (CI) |
Sensitivity (Se) | 75.4% | 70.2–80.1 |
Specificity (Sp) | 97.7% | 95.6–99.0 |
Accuracy (Ac) | 87.4% | 85.2–88.7 |
AUC | 0.87 | 0.84–0.89 |
Positive likelihood ratio | 33.37 | 16.77–66.40 |
Negative likelihood ratio | 0.252 | 0.207–0.306 |
In all eight false-positive cases of pneumothorax, specific CT features were identified. A thin collection of air was noted between the inner surface of the thoracic cage and lungs, predominantly in the mid- and basal zones, with a heterogeneous structure caused by multiple septations of varying thickness and morphology and areas of fat density (–100 to –80 HU). These findings were consistent with subcutaneous emphysema but with an atypical location, within the thoracic cavity projection. On radiograph, the patients exhibited a well-defined radiolucent band between the chest wall and lung margin (Fig. 3).
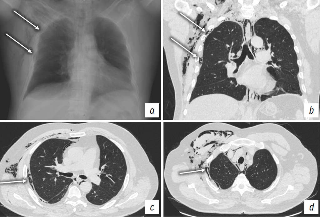
Fig. 3. Patient M. a, chest X-ray in the anteroposterior view. Chest CT: b, coronal plane; c, d, axial plane at different levels. Pneumomediastinum. Extrapleural emphysema on the right (arrows).
Рис. 3. Пациент М. a — рентгенограмма органов груди в прямой проекции. КТ органов груди: b — фронтальная плоскость; c, d — аксиальная плоскость на разных уровнях. Пневмомедиастинум. Эмфизема ЭПП справа (стрелки).
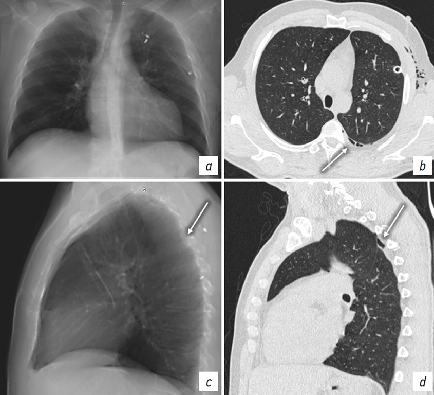
In all cases, false-positive interpretation of the radiographic findings led to overdiagnosis of pneumothorax and resulted in placement of a pleural drainage tube. In five patients, the tube was positioned in the pleural cavity (Fig. 4) and in the EPS in three patients (Fig. 5).
Fig. 4. Patient M. a, c, chest X-ray in anteroposterior and left lateral views. Chest CT: b, axial plane; d, sagittal plane, right hemithorax. Minimal extrapleural emphysema on the left (arrows). Drainage tube in the left pleural cavity.
Рис. 4. Пациент М. a, c — рентгенограмма органов груди в прямой и левой боковой проекциях. КТ органов груди: b — аксиальная плоскость; d — сагиттальная плоскость, правый гемиторакс. Минимальная эмфизема ЭПП слева (стрелки). Дренажная трубка в левой плевральной полости.
Fig. 5. Patient M. a, chest X-ray in the anteroposterior view. Chest CT: b, coronal plane; c, axial plane; d, oblique plane through the drainage tube. Extrapleural emphysema on the left side (arrows). Drainage tube in the left extrapleural space.
Рис. 5. Пациент М. a — рентгенограмма органов груди в прямой проекции. КТ органов груди: b — фронтальная плоскость; c — аксиальная плоскость; d — косая плоскость через дренажную трубку. Эмфизема ЭПП слева (стрелки). Дренажная трубка в левом ЭПП.
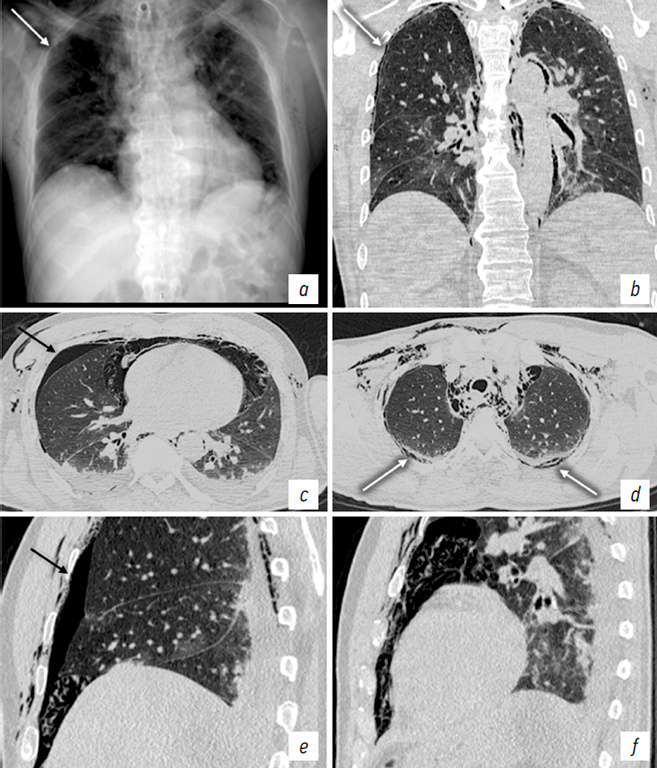
Furthermore, unilateral coexistence of pneumothorax and EPS emphysema was observed in five patients (Fig. 6). In three of these patients, the drainage tube was positioned in the EPS, which resulted in failure to drain the pleural cavity, progressive clinical deterioration, and the development of subcutaneous emphysema (Fig. 7). In one case, severe EPS emphysema was associated with respiratory failure (Fig. 8). US revealed findings characteristic of pneumothorax, including the absence of pleural sliding (Fig. 9).
Fig. 6. Patient M. a, chest X-ray in the anteroposterior view. Chest CT: b, coronal plane; c, d, axial plane at different levels; e, sagittal plane through the right hemithorax; f, sagittal plane through the left hemithorax. Right-sided pneumothorax (black arrows). Pneumomediastinum. Bilateral extrapleural emphysema (white arrows).
Рис. 6. Пациент М. a — рентгенограмма органов груди в прямой проекции. КТ органов груди: b — фронтальная плоскость; c, d — аксиальная плоскость на разных уровнях; e — сагиттальная плоскость через правый гемиторакс; f — сагиттальная плоскость через левый гемиторакс. Правосторонний пневмоторакс (черные стрелки). Пневмомедиастинум. Эмфизема ЭПП с обеих сторон (белые стрелки).
Fig. 7. Patient T. Chest CT: a–c, axial plane at different levels in the craniocaudal direction; d, sagittal plane through the right hemithorax. Right-sided pneumothorax (black arrows). Pneumomediastinum. Extrapleural emphysema on the right side (white arrows) with a chest drain tube (dashed arrows).
Рис. 7. Пациент Т. КТ органов груди: а–c — аксиальная плоскость на разных уровнях в краниокаудальном направлении; d — сагиттальная плоскость, правый гемиторакс. Правосторонний пневмоторакс (черные стрелки). Пневмомедиастинум. Эмфизема ЭПП справа (белые стрелки) с дренажной трубкой (пунктирные стрелки).
Fig. 8. Patient U. a, chest X-ray, anteroposterior view; Chest CT: b, coronal reconstruction with 5-mm slice thickness in “Average” mode; c, d, axial plane; e–h, coronal plane through the left hemithorax. Massive extrapleural emphysema on the left side. Chest drain placed in the left extrapleural space compressing the lung. Subcutaneous emphysema left side.
Рис. 8. Пациент У. a — рентгенограмма органов груди в прямой проекции. КТ органов груди: b — реконструкция во фронтальной плоскости с толщиной среза 5 см в режиме «Average»; c, d — аксиальная плоскость; e–h — фронтальная плоскость левый гемиторакс. Массивная эмфизема ЭПП слева. Дренаж в ЭПП слева, компримирующий легкое. Подкожная эмфизема слева.
Fig. 9. Patient A. Ultrasound of the pleural cavity (BLUE protocol): a, B-mode; b, M-mode. Extrapleural emphysema in the left hemithorax.
Рис. 9. Пациент А. УЗИ плевральной полости протокол «Blue»: а — B-режим; b — М-режим. Эмфизема ЭПП левого гемиторакса.
Despite the nonspecific nature of its radiographic features, analysis of all cases of EPS emphysema enabled detection of various indirect radiographic signs that indicate this condition on plain chest radiographs (Table 3):
Table 3. Diagnostic features of indirect radiographic signs of extrapleural emphysema on X-ray images Таблица 3. Диагностические характеристики косвенных рентгенографических признаков эмфиземы ЭПП на рентгенограммах | ||||
Radiographic sign | Cases, n | Sp / Se / Ac | 95% CI | |
min | max | |||
Localization in the mid and lower lung zones | 6 | 75.0 / 78.3 / 78.2 | 36.2 / 76.9 / 75.5 | 95.5 / 79.0 / 79.5 |
Well-defined margins with tapering edges | 6 | 75.0 / 82.6 / 82.4 | 36.3 / 81.3 / 79.7 | 95.5 / 83.3 / 83.7 |
Subcutaneous and intermuscular emphysema | 7 | 87.5 / 55.6 / 56.4 | 47.3 / 50 / 54.4 | 99.7 / 61.2 / 57 |
Pneumomediastinum | 4 | 50.0 / 59.0 / 58.0 | 15.7 / 53.5 / 57.3 | 84.3 / 64.5 / 60.4 |
Combination of localization and well-defined margins | 5 | 62.5 / 91.3 / 90.3 | 26.7 / 90.1 / 87.9 | 89.5 / 92.2 / 92.2 |
Combination of all signs | 3 | 37.5 / 93.4 / 92.4 | 8.5 / 90.5 / 91.1 | 75.5 / 96.1 / 94.1 |
EPS emphysema is typically localized at the site of chest wall injury and is frequently observed in the basal and middle zones, whereas pneumothorax is more commonly visualized in the lung apices regardless of injury location.
EPS emphysema usually appears as a well-demarcated, limited area with tendency to taper margins on both sides. EPS emphysema is similar in shape to loculated hydrothorax; however, it is visualized as a radiolucent area, because its content is air.
In most cases, EPS emphysema is accompanied by subcutaneous and intermuscular emphysema and/or pneumomediastinum.
CT imaging allows for reliable differentiation between pneumothorax and EPS emphysema based on the following features:
The structure of EPS emphysema is heterogeneous due to multiple strands of varying thickness and caliber extending from the chest wall to the lung margin, forming numerous air-filled compartments.
In cases of extensive EPS dissection, the lung margin in the affected area appears markedly thickened, as it represents the apposition of the parietal and visceral pleura.
In severe EPS emphysema, the lung is decreased in volume and deformed due to traction exerted by connective tissue strands between the parietal pleura and endothoracic fascia.
DISCUSSION
The EPS contains numerous fibrous septa between the endothoracic fascia and parietal pleura, which makes accumulation of large volumes of air difficult [7]. In EPS emphysema, the pleural cavity pressure remains unchanged; therefore, the act of breathing is unaffected, and the underlying pathophysiological mechanism more closely resembles that of hydrothorax. In cases of severe EPS emphysema, which may develop when a drainage tube is incorrectly placed in the EPS, respiratory failure may occur due to lung compression and decreased vital capacity.
In scientific studies, the misdiagnosis of pneumothorax based on radiographic data is often attributed to technical errors during imaging, such as clothing artifacts, medical equipment, and body parts (e.g., skin folds or limbs) being included in the scan field [11, 13, 14]. When imaging protocols are strictly followed, the specificity of chest radiography reaches 100% [12].
In the present study, all cases of extensive and well-defined radiolucent areas identified on radiographs and located peripherally relative to the lung tissue border were interpreted as pneumothorax, and no case was determined as EPS emphysema, owing to the absence of pathognomonic radiologic signs within the sensitivity limits of the method. Moreover, US imaging does not allow differentiation between pneumothorax and EPS emphysema, as in both cases, air reflects the majority of ultrasound waves, showing the characteristic “sandy beach” sign and absence of visible pleural sliding.
Therapeutic interventions for EPS emphysema substantially differ from those for pneumothorax. Although pleural drainage is recommended for minimal pneumothorax during transport between stages of medical evacuation, mild EPS emphysema does not require air evacuation [9, 10]. In cases of EPS emphysema, pleural drainage is not therapeutically effective because there is no pathological content within the pleural cavity, and the risk of incorrect drainage placement and additional injury is increased.
In cases where EPS emphysema is present, two types of errors may occur during drainage tube insertion: placement into the pleural cavity in the absence of pneumothorax and misplacement into the EPS. The first type is more favorable, as the sequence of actions corresponds to normal anatomy and entails negative consequences due to performing an unnecessary invasive procedure. In the second type, after gaining access to the intercostal muscles using blunt dissection or a trocar, the surgeon manipulates the endothoracic fascia until a sudden loss of resistance is felt. However, because of the separation of the fascia from the parietal pleura, the drainage tube is incorrectly inserted into the EPS, which may lead to severe EPS emphysema with respiratory failure [7, 8]. In some cases, drainage tube placement into the EPS is determined by the absence of air evacuation. The procedure is considered unsuccessful and is repeated (sometimes repeatedly), resulting in additional injury to the chest wall and, in some cases, to the lung.
This highlights the importance of accurate radiologic diagnosis of EPS emphysema. Individual radiographic signs and their combinations demonstrate low diagnostic sensitivity and specificity. However, during the evacuation stages, when only radiographic equipment is available, the localization of these findings should be carefully considered to avoid repeated pleural drainage attempts. When CT is available, the presence of indirect signs of EPS emphysema should be considered an indication for performing tomographic imaging.
CONCLUSION
EPS emphysema in chest injuries and trauma is relatively rare. However, in the event of mass patient admissions, the specific features of diagnosing and managing this condition should not be neglected to prevent iatrogenic injuries.
The EPS is an anatomical layer of the chest wall that is not normally visualized using radiologic methods. In cases of chest injuries and trauma, air may enter the space, which manifests as nonspecific radiographic findings in the form of peripheral radiolucency that can be incorrectly interpreted as pneumothorax.
The diagnostic capabilities of conventional radiography are insufficient to confirm EPS emphysema. When indirect radiographic signs are present, such as localization in the mid- and lower zones, well-defined margins with tapering edges, and subcutaneous emphysema and pneumomediastinum, CT is required.
CT allows for the accurate diagnosis of EPS emphysema by revealing multiple fibrous strands and septa within the air collection, visualizing both pleural layers, and in cases of severe emphysema demonstrating lung deformation caused by connective tissue traction between the parietal pleura and endothoracic fascia.
Additional Info
Authors’ contribution. All authors made a significant contribution to the study and preparation of the article, read and approved the final version before publication. Personal contribution of each author: A.A. Emelyantsev, concept and design of the study, analysis of the obtained data, diagnostic studies, writing the text, literature review; I.S. Zheleznyak, reviewing the article and data; G.G. Romanov, writing the text; L.V. Voronkov, analysis of the obtained data.
Conflict of interest. The authors declare no conflict of interest.
Ethical review. Not required due to the retrospective nature of the study.
About the authors
Alexander A. Emelyantsev
Military Medical Academy
Author for correspondence.
Email: yemelyantsev@gmail.com
ORCID iD: 0000-0001-5723-7058
SPIN-code: 6895-7818
MD, Cand. Sci. (Medicine), Senior Lecturer of the Radiology Department
Russian Federation, Saint PetersburgIgor S. Zheleznyak
Military Medical Academy
Email: igzh@bk.ru
ORCID iD: 0000-0001-7383-512X
SPIN-code: 1450-5053
MD, Dr. Sci. (Medicine), Professor, the Head of the Radiology Department
Russian Federation, Saint PetersburgGennadiy G. Romanov
Military Medical Academy
Email: romanov_gennadiy@mail.ru
ORCID iD: 0000-0001-5987-8158
SPIN-code: 9298-4494
MD, Cand. Sci. (Medicine), Associate Professor of the Radiology Department
Russian Federation, Saint PetersburgLeonid V. Voronkov
Military Medical Academy
Email: lvoronkov83@mail.ru
ORCID iD: 0000-0002-0780-0735
SPIN-code: 5709-5316
MD, Cand. Sci. (Medicine), Senior Lecturer of the Radiology Department
Russian Federation, Saint PetersburgReferences
- Sugarbaker DJ, Jaklitsch MT, Bueno R, et al. Prevention, early detection, and management of complications after 328 consecutive extrapleural pneumonectomies. The Journal of Thoracic and Cardiovascular Surgery. 2004;128(1):138–146. doi: 10.1016/j.jtcvs.2004.02.021
- Bychkov MB, Bolshakova SA, Bychkov YuM. Pleural mesothelioma: modern treatment tactics. Modern oncology. 2005;7(3):142–144. EDN: SYSNOR
- Borovitsky VS. Modern methods of treatment of chronic destructive forms of tuberculosis using the example of fibrocavernous tuberculosis. Pulmonology. 2014;(1):102–108. EDN: SAHXDD
- Vummidi DR, Chung JH, Stern E. Extrapleural fat sign. J Thorac Imaging. 2012;27(5): w101. doi: 10.1097/RTI.0b013e31825fdfde
- Hammerman AM, Susman N, Strzembosz A, et al. The extrapleural fat sign: CT characteristics. J Comput Assist Tomogr. 1990;14(3):345–347. doi: 10.1097/00004728-199005000-00004
- Im JG, Webb WR, Rosen A, et al. Costal pleura: appearances at high-resolution CT. Radiology. 1989;171(1):125–131. doi: 10.1148/radiology.171.1.2928515
- Santamarina MG, Beddings I, Lermanda-Holmgren GV, et al. Multidetector CT for evaluation of the extrapleural space. RadioGraphics. 2017;37(5):1352–1370. doi: 10.1136/emermed-2012-201258
- Sakai M, Hiyama T, Kuno H, et al. Thoracic abnormal air collections in patients in the intensive care unit: radiograph findings correlated with CT. Insights Imaging. 2020;11(1):35. doi: 10.1186/s13244-020-0838-z
- Belskikh AN, Samokhvalov IM, Grebenyuk AN, et al. Instructions for military field surgery. 8th ed. Moscow: Main Military Medical Department Ministry of Defense of the Russian Federation; 2013. P. 474. EDN: WFZYTA
- Trishkin DV, Kryukov EV, Chuprina AP, et al. Methodological recommendations for the treatment of combat surgical trauma. Saint Petersburg: S.M. Kirov Military Medical Academy; 2022. P. 373. EDN: MHOUOD
- Voskresensky OV, Beresneva EA, Sharifullin FA, et al. Preoperative X-ray examination in the choice of treatment tactics for chest wounds. Surgery. Journal named after N.I. Pirogov. 2011(9):15–21. EDN: PIOKPH
- Blaivas M, Lyon M, Duggal S. A prospective comparison of supine chest radiography and bedside ultrasound for the diagnosis of traumatic pneumothorax. Acad Emerg Med. 2005;12(9):844–849. doi: 10.1197/j.aem.2005.05.005
- Dorovskikh GN. Comparative analysis of the sensitivity and specificity of various methods of radiation diagnostics for polytrauma. Bulletin of the East Siberian Scientific Center of the Siberian Branch of the Russian Academy of Medical Sciences. 2014;98(4):24–28. EDN: TIGETN
- Alrajab S, Youssef AM, Akkus NI, et al. Pleural ultrasonography versus chest radiography for the diagnosis of pneumothorax: review of the literature and meta-analysis. Crit Care. 2013;17(5):208. doi: 10.1186/cc13016
- Samokhvalov IM, Kryukov EV, Markevich VYu, et al. Ten surgical lessons of the initial stage of a military operation. Military Medical Journal. 2023;344(4):4–10. EDN: DSYIAP doi: 10.52424/00269050_2023_344_4_4
Supplementary files











