Clinical and instrumental characteristics of mild traumatic brain injury and acubarotrauma due to the impact of an explosive shock wave
- Authors: Nikishin V.O.1, Litvinenko I.V.2, Tsygan N.V.1, Odinak M.M.2, Naumov K.M.2, Golokhvastov S.Y.2, Ivolgin A.F.3, Zhirnova T.T.4
-
Affiliations:
- Military medical academy
- Military Medical Academy
- National Medical Research Center for High Medical Technologies — A.A. Vishnevsky Central Military Clinical Hospital, Ministry of Defense
- 1602 military clinical hospital
- Issue: Vol 43, No 4 (2024)
- Pages: 429-438
- Section: Original articles
- URL: https://journals.eco-vector.com/RMMArep/article/view/636609
- DOI: https://doi.org/10.17816/rmmar636609
- ID: 636609
Cite item
Full Text
Abstract
BACKGROUND: Traumatic brain injuries are widespread and need to be studied, having a serious impact on health and the economy. Every year, about 69 million people experience traumatic brain injuries, including road accidents and military conflicts. A number of studies show that up to 20% of veterans who have returned from Iraq and Afghanistan, got a mild head injury. 83% of those hospitalized between 2001 and 2018 had a mild traumatic brain injuries. Pathophysiological processes in traumatic brain injuries include axon loss and demyelination, which disrupts the functioning of neural networks and manifests itself in the form of instability, cognitive decline, and mental changes. The causes of instability can be associated with damage to the vestibular apparatus, conducting pathways and connections of the cerebellum and cortical analyzers, which can be detected by modern neuroimaging methods. Stabilometry using a power platform is a promising diagnostic method for light therapy. traumatic brain injuries, which allows you to study the equilibrium function.
AIM: to determine the clinical and instrumental characteristics of mild traumatic brain injury and acubarotrauma due to the impact of a shock blast wave separately and in combination.
MATERIALS AND METHODS: 66 patients were selected (n = 66) aged 18 to 56 years (38.28 ± 9.98 years) who were exposed to a shock wave. Of these, 28 (42.4%) patients with mild traumatic brain injury (group 1), 21 (31.8%) patients with isolated acubarotrauma (group 2), with a combination of mild traumatic brain injury and acubarotrauma in 17 (25.8%) patients (group 3). Age, presence of chronic diseases, neurological status, neuropsychological examination, stabilometric examination, computed tomography and magnetic resonance imaging of the brain were evaluated. The table editor (MS Excel 2019) was used for statistical data processing and the program for medical and biological research (STATISTICA 12).
RESULTS: the diagnosis of mild traumatic brain injury and acubarotrauma was established based on clinical recommendations. In the neurological status of all patients in groups 1 and 3, scattered organic symptoms were detected. In group 2, patients had a few isolated unstable neurological signs. According to neuropsychological testing, there was a deterioration in the results in group 3 compared to the group 1 and 2 (p < 0.05). A stabilometric study showed that in group 3 significantly worse indicators of the speed of the general center of pressure, the area of the statokinesiogram with both open and closed eyes were noted compared to the other groups (p < 0.05). According to the data of magnetic resonance imaging of the brain, including using SWI/SWAN sequences, diffuse micro-hemorrhages in the brain substance were not detected in the study groups.
CONCLUSION: the main characteristics of mild traumatic brain injury in combination with acubarotrauma include pronounced postural instability, deterioration of stabilometric parameters and cognitive functions.
Full Text
АКТУАЛЬНОСТЬ
Черепно-мозговой травматизм остается актуальным из-за широкого распространения и серьезного влияния на здоровье людей и экономику. Это делает необходимым дальнейшее изучение различных аспектов черепно-мозговых травм (ЧМТ). В современном мире растет число стихийных бедствий, катастроф (включая техногенные), дорожно-транспортных происшествий и военных конфликтов, которые часто приводят к травмам и ранениям [1, 2].
По некоторым данным, около 69 млн человек ежегодно сталкиваются с ЧМТ по разным причинам. Исследования, проведенные в США и Новой Зеландии, показали, что ежегодно регистрируется примерно 500–800 новых случаев ЧМТ на каждые 100 000 человек. ЧМТ, которая может быть вызвана различными факторами, такими как дорожно-транспортные происшествия и военные конфликты, часто называют «тихой эпидемией». ЧМТ остаются серьезной проблемой общественного здравоохранения и вносят значительный вклад в смертность и инвалидность во всем мире среди всех видов травм [3–6].
Некоторые исследования, проведенные в США, выявили, что до 20 % ветеранов, которые вернулись из Ирака и Афганистана, в ходе службы получили легкую ЧМТ. Другое крупное когортное исследование, проведенное на основе данных о 46 309 военнослужащих, которые перенесли ЧМТ в период с 2001 по 2018 г., показало, что из 9412 госпитализированных у 83 % была диагностирована легкая ЧМТ [7].
В наши дни принято полагать, что общие патофизиологические процессы при ЧМТ обусловлены изменениями на клеточном и молекулярном уровнях после получения травмы. Вследствие утраты аксонов и демиелинизации происходит нарушение функционирования нейронных сетей головного мозга, что приводит к дезинтеграции их работы. Это, в свою очередь, проявляется в виде неустойчивости, снижения когнитивных способностей и изменений в психическом состоянии пациента [8–10].
По данным крупного когортного исследования PROTECT-TBI, повторная ЧМТ приводила к стойкому снижению когнитивных функций в течение жизни и затрагивала преимущественно регуляторные функции и внимание [11, 12].
Нередко после ЧМТ легкой степени тяжести, когда результаты неврологического обследования и компьютерной томографии (КТ) не показывают объективных изменений, могут возникать ошибочные предположения о причинах сохраняющихся симптомов. Такие симптомы могут быть объяснены как функциональными нарушениями, так и стремлением к получению вторичной выгоды. Однако современные методы нейровизуализации позволили пересмотреть эту точку зрения и выявить изменения в головном мозге после легкой ЧМТ [13].
Исследования поиска типичных структурных повреждений вещества головного мозга при легкой ЧМТ активно продолжаются. Для этого применяются различные методы визуализации, включая КТ. Однако у некоторых пациентов, имеющих клинические проявления, соответствующие ЧМТ, по данным КТ не обнаруживаются патологические изменения. Магнитно-резонансная томография (МРТ) является более информативным методом исследования для выявления изменений вещества головного мозга, но она менее доступна и имеет ограничения, особенно при ЧМТ вследствие взрыва, когда в теле часто присутствуют металлические инородные тела. Несмотря на высокую информативность стандартных методов МРТ, при легкой ЧМТ не всегда обнаруживаются повреждения головного мозга. В настоящее время существует возможность проведения МРТ с использованием импульсной последовательности, взвешенной по магнитной восприимчивости (SWI/SWAN), которая позволяет выявлять микрокровоизлияния, не диагностируемые по данным других последовательностей МРТ. В исследованиях с использованием томографа с напряженностью магнитного поля 3Т травматические микрокровоизлияния обнаруживались в 5,7–28,8 % случаев [10, 14–16].
Еще один перспективный метод диагностики при легкой ЧМТ — это стабилометрия с использованием силовой платформы. Этот метод позволяет изучить функцию равновесия, которая зависит от слаженной работы проприоцептивной системы, зрительного анализатора, вестибулярного аппарата и других систем организма, так или иначе связанных с поддержанием равновесия [17]. Система, которая отвечает за поддержание равновесия, функционирует как система управления с обратной связью по замкнутому контуру. Дисфункция в любой части этой системы может привести к нарушениям равновесия после легкой ЧМТ. В результате появляется постуральная неустойчивость, которая возникает из-за того, что сенсорная информация может быть недоступна, ее может быть недостаточно или она может быть неправильно интерпретирована центральными анализаторами [18, 19].
Неустойчивость и ощущение головокружения являются ключевыми факторами, которые негативно влияют на качество жизни пациентов, перенесших легкую ЧМТ и продолжающих предъявлять жалобы в отдаленном периоде. Однако анализ доступной литературы показывает, что механизмы, лежащие в основе развития неустойчивости у пациентов после легкой ЧМТ, все еще недостаточно изучены. Возможные причины неустойчивости могут быть связаны с повреждением вестибулярного аппарата, проводящих путей в стволе и белом веществе головного мозга, а также связей мозжечка и корковых анализаторов [15].
Цель исследования — определить клинико-инструментальные характеристики легкой ЧМТ и акубаротравмы вследствие воздействия ударной взрывной волны в отдельности и при их сочетании.
МАТЕРИАЛЫ И МЕТОДЫ
С целью проведения исследования было проанализировано 1855 историй болезней находящихся на лечении в стационаре пациентов. Из них, учитывая критерии включения и невключения, было отобрано 66 пациентов (n = 66), подвергшихся воздействию ударной взрывной волны, в возрасте от 18 до 56 лет (38,28 ± 9,98 лет). Из них с легкой ЧМТ 28 (42,4 %) пациентов (группа 1), с изолированной акубаротравмой 21 (31,8 %) пациент (группа 2) и с сочетанием легкой ЧМТ и акубаротравмы 17 (25,8 %) пациентов (группа 3). Все пациенты мужского пола, что обусловлено особенностями исследуемой выборки. Оценивались возраст, наличие хронических заболеваний (обращали внимание на наличие заболеваний и состояний, влияющих на систему равновесия), неврологический статус, нейропсихологическое исследование (тест слежения, таблица Векслера, таблицы Шульте), проведенное стабилометрическое обследование (с помощью комплекса для диагностики, лечения и реабилитации больных с двигательной патологией «Биокинект» производства «Неврокор» (Россия)), КТ на томографе Somatom производства «Simens AG» (Германия), МРТ головного мозга на томографе Ingenia производства «Филипс Медикал Системс Нидерланд Б.В.» (Нидерланды). Контрольная группа (группа 4) представлена 19 пациентами мужского пола в возрасте от 21 до 40 лет (27,05 ± 7,25 лет) без заболеваний, влияющих на систему поддержания равновесия. Для статистической обработки данных использовались табличный редактор (MS Excel 2019) и программа для медико-биологических исследований (STATISTICA 12).
Критерии соответствия
Критерии включения в исследование:
1) согласие на участие в исследовании;
2) возраст от 18 до 56 лет;
3) наличие в анамнезе перенесенной легкой черепно-мозговой травмы вследствие взрывной травмы (давностью не более 2 мес);
4) наличие в анамнезе перенесенной акубаротравмы (давностью не более 2 мес).
Критерии невключения в исследование:
1) наличие (выявление в процессе исследования) сопутствующей церебральной патологии в виде нейродегенеративных и сосудистых заболеваний, эпилептических приступов,
2) черепно-мозговая травма средней, тяжелой степени тяжести;
3) выраженные нарушения зрения и слуха, препятствующие проведению обследования;
4) отсутствие одной или двух нижних конечностей и/или наличие множественных сочетанных ранений;
5) наличие полиневропатии различного генеза.
Условия проведения
- ВМедА им. С.М. Кирова:
- клиника нервных болезней (отбор, клиническое, инструментальное обследование пациентов);
- клиника оториноларингологии (отбор, клиническое, инструментальное обследование пациентов).
- ФГКУ «1602 военный клинический госпиталь» МО РФ (г. Ростов-на-Дону) (отбор, клиническое, инструментальное обследование пациентов).
- ФГБУ Национальный медицинский исследовательский центр высоких медицинских технологий — Центральный военно-клинический госпиталь им. А.А. Вишневского (Московская область, городской округ Красногорск, п. Новый) (отбор, клиническое, инструментальное обследование пациентов).
Продолжительность исследования
Предполагаемая длительность обследования одного пациента — 2–4 дня.
На первом этапе осуществлялся отбор пациентов, соответствующих критериям включения в исследование (при этом не имеющих ни одного из критериев исключения), для формирования основных групп, а также отбор пациентов (не имеющих ни одного из критериев исключения) для формирования группы сравнения и контрольной группы.
На втором этапе проводилось комплексное клинико-нейрофункциональное, инструментальное, нейропсихологическое обследования ранее отобранных лиц.
На третьем этапе полученные данные подвергнуты вариационно-статистической обработке с использованием табличного редактора (Microsoft Excel) и программы для медико-биологических исследований (STATISTICA 12).
Методы регистрации исходов
В рамках клинического обследования использована стандартная методика неврологического осмотра (с оценкой состояния сознания, функций черепных нервов, рефлексов, двигательной и чувствительной сфер, координаторной функции и т. д.).
В структуру нейропсихологического тестирования включены стандартные, зарекомендовавшие себя методики преимущественно для оценки нейродинамической функции (тест слежения, таблица Векслера, таблицы Шульте).
Нейрофункциональное обследование выполнено с помощью комплекса для диагностики, лечения и реабилитации больных с двигательной патологией «Биокинект» производства «Неврокор» (Россия).
Инструментальное обследование осуществлено на компьютерном томографе «Somatom» производства «Simens AG» (Германия) и магнитно-резонансном томографе «Ingenia» производства «Филипс Медикал Системс Нидерланд Б.В.» (Нидерланды) с использованием стандартных режимов.
Статистический анализ
Размер выборки предварительно не рассчитывался. Для статистической обработки данных использовались табличный редактор (MS Excel 2019) и программа для медико-биологических исследований (STATISTICA 12).
РЕЗУЛЬТАТЫ И ОБСУЖДЕНИЕ
Основные результаты исследования. Диагнозы легкой ЧМТ и акубаротравмы устанавливались на основании клинических рекомендаций [20]. У всех исследуемых пациентов по данным анамнеза отмечался факт воздействия факторов взрыва (в том числе ударной взрывной волны). При этом в момент травмы все пациенты находились в средствах индивидуальной бронезащиты.
В неврологическом статусе у всех пациентов групп 1 и 3 выявлялась рассеянная органическая симптоматика, которая, как правило, была представлена сочетанием нескольких симптомов (горизонтальный нистагм, рефлексы орального автоматизма, снижение или отсутствие брюшных рефлексов, кистевой патологический рефлекс Россолимо, нарушения при выполнении координаторных проб) и/или очаговыми неврологическими синдромами (легкий парез, гипестезия, односторонние мозжечковые нарушения). В группе 2 у пациентов встречались единичные отдельные нестойкие неврологические знаки в виде рефлекса Маринеску–Радовичи, кистевого рефлекса Россолимо с обеих сторон, снижения брюшных рефлексов.
По данным нейропсихологического тестирования (таблицы Шульте и тест слежения в части «А») отмечалось ухудшение результатов в группе 3 по сравнению с группами 1 и 2 (p < 0,05). По результатам теста с использованием таблиц Шульте выявлено снижение достаточности и устойчивости внимания. При выполнении теста слежения в части «А» выявлено увеличение времени выполнения задания. В части «Б» теста слежения время выполнения задания достоверно хуже было в группах 1 и 3 по сравнению с группой 2. Достоверных различий между группами 1 и 3 не было выявлено. В тесте Векслера (тест прямого и обратного повторения цифр) достоверных различий между группами не получено.
Стабилометрическое исследование выполнялось в основной стойке (во время нормального спокойного стояния) с использованием европейской постановки стоп (пятки вместе, носки врозь под углом 30°). Стабилометрическое исследование выполнялось с открытыми и закрытыми глазами, а также с использованием теста Ромберга. Оценивались площадь статокинезиограммы (СКГ), скорость движения общего центра давления (ОЦД), комплексный коэффициент длина пути за единицу площади (LFS), коэффициент Ромберга (QR) (рис. 1, 2). В группе 3 отмечались достоверно худшие показатели скорости ОЦД, площади СКГ как с открытыми глазами (ОГ), так и с закрытыми (ЗГ) по сравнению с остальными группами (p < 0,05) (рис. 3). Коэффициент Ромберга не отличался значимо в исследуемых группах.
Рис. 1. СКГ пациента с легкой ЧМТ и акубаротравмой с ОГ (площадь 881,33 мм2, скорость ОЦД 15,07 мм/с) и ЗГ (площадь 3328,56 мм2, скорость ОЦД 25,4 мм/с)
Fig. 1. SKG of a patient with mild traumatic brain injury and acubarotrauma with open (area 881.33 mm2, COP speed 15.07 mm/s) and closed (area 3328.56 mm2, COP speed 25.4 mm/s) eyes
Рис. 2. СКГ пациента с изолированной легкой ЧМТ (без акубаротравмы) с ОГ (площадь 197,04 мм2, скорость ОЦД 13,14 мм/с) и ЗГ (площадь 615,89 мм2, скорость ОЦД 21,71 мм/с)
Fig. 2. SKG of a patient with isolated mild traumatic brain injury (without acubarotrauma) with open (area 197.04 mm2, COP speed 13.14 mm/s) and closed (area 615.89 mm2, COP speed 21.71 mm/s) eyes
Рис. 3. Достоверно значимые различия площади СКГ между всеми исследуемыми группами и группой контроля (p < 0,05) с ГО и ГЗ
Fig. 3. Significantly significant differences in the area of the statokinesiogram between all study groups and the control group (p < 0.05) with open (OE) and closed (CE) eyes
Всем пациентам исследуемых групп была выполнена КТ головы, по данным которой у пациентов с сотрясением головного мозга, акубаротравмой травматических изменений костей черепа и головного мозга не обнаружено. У пациентов с ушибом головного мозга легкой степени обнаруживались, как правило, небольшие контузионные очаги 1-го или 2-го типа и/или перелом костей черепа.
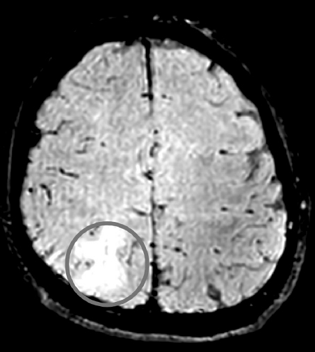
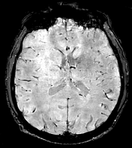
МРТ головного мозга была выполнена 19 пациентам исследуемых групп (8 пациентам группы 1, 2 — группы 2, 9 — группы 3), в том числе с использованием последовательностей SWI/SWAN. Диффузных микрокровоизлияний в веществе головного мозга обнаружено не было, что подтвердило наличие у всех пациентов легкой ЧМТ (рис. 4, 5).
Рис. 4. МРТ головного мозга в режиме SWI/SWAN пациента с ушибом головного мозга легкой степени. Кругом отмечен контузионный очаг 2-го типа в теменной доле справа. Диффузных микрокровоизлияний не обнаружено
Fig. 4. MRI of the brain in SWI/SWAN mode of a patient with mild brain injury. A type 2 contusion lesion in the parietal lobe on the right is marked in red. No diffuse microbleeds were detected
Рис. 5. МРТ головного мозга в режиме SWI/SWAN пациента с сотрясением головного мозга. Диффузных микрокровоизлияний не обнаружено
Fig. 5. MRI of the brain in SWI/SWAN mode of a patient with a concussion. No diffuse microbleeds were detected
Нежелательные явления. Нежелательных явлений не наблюдалось.
Обсуждение основного результата исследования. Изменения неврологического статуса в виде наличия рассеянной органической симптоматики у пациентов с сотрясением головного мозга и негрубых очаговых симптомов у пациентов с легкой ЧМТ вследствие воздействия взрыва согласуются с данными других исследований, описаны во многих учебниках и научных публикациях. Это подтверждает правомочность постановки диагноза и правильность распределения пациентов по исследуемым группам. Единичные органические симптомы у пациентов с акубаротравмой, вероятно, возникли не вследствие взрывной травмы (например, снижение брюшных рефлексов у пациентов с избыточной подкожно-жировой клетчаткой), а, вероятно, являлись признаками церебрастении, что нередко наблюдается в условиях ведения боевых действий.
Результаты нейропсихологического тестирования показали ухудшение регуляторных функций, внимания, скорости мыслительных процессов в группе с легкой ЧМТ, причем более выраженные при ее сочетании с акубаротравмой. Отсутствие достоверных различий между группами 1 и 3 при выполнении теста слежения части «Б» может быть связано с плохим знанием алфавита у всех обследуемых, на что при выполнении теста обращали внимание респонденты.
По данным стабилометрического исследования отмечались достоверно наихудшие результаты в группе 3 по сравнению с группами 1 и 2. Это может свидетельствовать о диффузном воздействии факторов взрыва (в первую очередь ударной взрывной волны) на систему поддержания равновесия у пациентов как с повреждением головного мозга, так и без него. Исследуемые группы достоверно различались по скорости ОЦД и площади СКГ. При увеличении амплитуды колебаний и их частоты скорость движения ОЦД будет возрастать, а площадь СКГ увеличиваться, что станет свидетельством выраженной постуральной неустойчивости пациентов.
КТ головы помогала уточнить диагноз и верно распределить пациентов по исследуемым группам.
Выполнение МРТ головного мозга пациентам, подвергшимся воздействию взрыва, часто невозможно из-за наличия у них металлических осколков в теле. МРТ выполнялась на томографе с напряженностью магнитного поля 1,5Т. Возможно, относительно низкая разрешающая способность по сравнению с томографом 3Т послужила причиной недиагностированных диффузных микрокровоизлияний в веществе головного мозга у пациентов с легкой ЧМТ вследствие воздействия взрыва. Однако отсутствие изменений по данным МРТ, в том числе с использованием импульсной последовательности SWI/SWAN (взвешенной по магнитной восприимчивости), может свидетельствовать и о наличии протекторных свойств средств индивидуальной бронезащиты (шлема) при воздействии на организм факторов взрыва.
Ограничения исследования. Ограничением исследования могло стать наличие инородных предметов металлической плотности в теле пациентов исследуемых групп, что привело бы к невозможности выполнения МРТ головного мозга некоторым обследуемым.
ЗАКЛЮЧЕНИЕ
Ухудшение стабилометрических параметров при взрывной травме может свидетельствовать о диффузном повреждении вестибулярной системы, головного мозга и его мультисенсорной интегративной функции, приводящем к постуральной неустойчивости. При сочетании легкой ЧМТ вследствие взрыва и акубаротравмы исследуемые параметры стабилометрии достоверно ухудшаются по сравнению с другими группами лиц с травмой, отражая деафферентацию и дезинтеграцию деятельности головного мозга. Сочетание легкой ЧМТ с акубаротравмой может свидетельствовать о более высокоэнергетическом воздействии на таких пациентов и общем суммарном вкладе в клиническую картину обоих этих состояний. Оценка равновесия при воздействии факторов взрыва может стать дифференциально-диагностическим критерием между здоровыми, пациентами с акубаротравмой и легкой ЧМТ. Это диктует необходимость разработки прикладного простого метода или алгоритма оценки устойчивости пациентов с легкой ЧМТ вследствие воздействия взрыва.
КТ является «золотым стандартом» и необходимым исследованием для определения степени тяжести повреждения головного мозга и определения дальнейшей маршрутизации таких пациентов.
Выполнение МРТ головного мозга является дополнительным методом исследования при травме головы и при возможности, а также при отсутствии противопоказаний должно выполняться всем пациентам с подозрением на ЧМТ. Это позволит получить дополнительную информацию и уточнить диагноз, а также верно выбрать лечебную тактику.
Современные средства индивидуальной бронезащиты предохраняют от воздействия различных факторов взрыва, в том числе, вероятно, и от ударной взрывной волны, что косвенно подтверждается отсутствием изменений по данным МРТ головного мозга.
Таким образом, к основным клинико-инструментальным характеристикам легкой ЧМТ вследствие воздействия ударной взрывной волны можно отнести более выраженную неустойчивость, находящую свое отражение в стабилометрических показателях (в первую очередь увеличение скорости ОЦД), нарушение когнитивных функций (регуляторных функций, внимания, скорости мыслительных процессов).
ЧМТ вследствие взрыва является важным вопросом военной медицины и имеет большое социально-экономическое значение, которое обусловливает необходимость дальнейшего изучения данной темы для разработки оптимального алгоритма обследования подобных пациентов.
ДОПОЛНИТЕЛЬНАЯ ИНФОРМАЦИЯ
Вклад авторов. Все авторы внесли существенный вклад в разработку концепции, проведение исследования и подготовку статьи, прочли и одобрили финальную версию перед публикацией. Личный вклад каждого автора: В.О. Никишин — концепция и дизайн исследования, сбор и обработка материалов, написание текста, клиническое (неврологическое) обследование, стабилометрическое исследование, анализ полученных данных; И.В. Литвиненко — концепция и дизайн исследования, написание текста, внесение окончательной правки; Н.В. Цыган — дизайн исследования, внесение правки; М.М. Одинак —концепция исследования, внесение правки; К.М. Наумов — обзор литературы, внесение правки; С.Ю. Голохвастов — анализ полученных данных; А.Ф. Иволгин — сбор материалов; Т.Т. Жирнова — выполнение магнитно-резонансной томографии, анализ полученных изображений.
Конфликт интересов. Авторы декларируют отсутствие явных и потенциальных конфликтов интересов, связанных с публикацией настоящей статьи.
Финансирование. Поисково-аналитическая работа проведена на личные средства авторского коллектива.
Этическая экспертиза. Проведена в рамках диссертационного исследования на заседании этического комитета 19.12.2023 г. (выписка из протокола № 286 очередного заседания независимого Этического комитета при ВМедА им. С.М. Кирова).
ADDITIONAL INFO
Authors’ contribution. All authors made a substantial contribution to the conception of the study, acquisition, analysis, interpretation of data for the work, drafting and revising the article, final approval of the version to be published and agree to be accountable for all aspects of the study. Personal contribution of each author: V.O. Nikishin — concept and design of the study, collection and processing of materials, writing of the text, clinical (neurological) examination, stabilometric study, analysis of the data obtained; I.V. Litvinenko — concept and design of the study, writing of the text, making final edits; N.V. Tsygan — design of the study, making edits; M.M. Odinak — research concept, making edits; K.M. Naumov — literature review, making edits; S.Y. Golokhvastov — analysis of the obtained data; A.F. Ivolgin — collection of materials; T.T. Zhirnova — performing magnetic resonance imaging, analysis of the obtained images.
Funding source. The study was not supported by any external sources of funding.
Competing interests. The authors declare that they have no competing interests.
Consent for publication. Written consent was obtained from the patients for publication of relevant medical information within the manuscript.
Ethical expertise. It was conducted as part of a dissertation research at a meeting of the Ethics Committee on 12/19/2023 (extract from Protocol N 286 of the regular meeting of the Independent Ethics Committee at the S.M. Kirov Military Medical Academy of Economics).
About the authors
Vasiliy O. Nikishin
Military medical academy
Author for correspondence.
Email: vo1009@yandex.ru
ORCID iD: 0009-0009-1239-9796
SPIN-code: 9295-5923
Scopus Author ID: 57202361039
ResearcherId: JFK-5264-2023
MD
Russian Federation, Saint PetersburgIgor' V. Litvinenko
Military Medical Academy
Email: litvinenkoiv@rambler.ru
ORCID iD: 0000-0001-8988-3011
SPIN-code: 6112-2792
Scopus Author ID: 35734354000
ResearcherId: F-9120-2013
MD, Dr. Sci. (Medicine), Professor
Russian Federation, Saint PetersburgNikolay V. Tsygan
Military medical academy
Email: 1860n@mail.ru
ORCID iD: 0000-0002-5881-2242
SPIN-code: 1006-2845
Scopus Author ID: 37066611200
ResearcherId: H-9132-2016
MD, Dr. Sci. (Medicine), Professor
Russian Federation, Saint PetersburgMiroslav M. Odinak
Military Medical Academy
Email: odinak@rambler.ru
ORCID iD: 0000-0002-7314-7711
SPIN-code: 1155-9732
Scopus Author ID: 7003327776
ResearcherId: I-6024-2016
Corresponding Member of the Russian Academy of Sciences, MD, Dr. Sci. (Medicine), Professor
Russian Federation, Saint PetersburgKonstantin M. Naumov
Military Medical Academy
Email: naumov_k@list.ru
ORCID iD: 0000-0001-7039-2423
SPIN-code: 3996-2007
Scopus Author ID: 8390739200
ResearcherId: I-8567-2016
MD, Cand. Sci. (Medicine), Associate Professor
Russian Federation, Saint PetersburgSergey Yu. Golokhvastov
Military Medical Academy
Email: golokhvastov@yandex.ru
ORCID iD: 0000-0001-5316-4832
SPIN-code: 2515-2435
Scopus Author ID: 35795190600
ResearcherId: J-4237-2016
MD, Cand. Sci. (Medicine)
Russian Federation, Saint PetersburgAleksander F. Ivolgin
National Medical Research Center for High Medical Technologies — A.A. Vishnevsky Central Military Clinical Hospital, Ministry of Defense
Email: aivolgin@mail.ru
ORCID iD: 0000-0002-8849-680X
SPIN-code: 3853-0450
Scopus Author ID: 57211353929
MD, Cand. Sci. (Medicine)
Russian Federation, MoscowTatiana T. Zhirnova
1602 military clinical hospital
Email: zhirnova.t.t@mail.ru
ORCID iD: 0009-0009-0604-3953
MD
Russian Federation, Rostov-on-DonReferences
- Sabirov DM, Rosstalnaya AL, Makhmudov MA. Epidemiological features of traumatic brain injury. Bulletin of Emergency Medicine. 2019;12(2):61–66 (In Russ.) EDN: SBLVSI
- Nikishin VO, Litvinenko IV, Naumov KM. Features of blast-induced traumatic brain injury. Russian Military Medical Academy Reports. 2023;42(4):451–458. (In Russ.) EDN: ZLUUQK doi: 10.17816/rmmar61115
- Rusnak M. Traumatic brain injury: giving voice to a silent epidemic. Nat Rev Neurol. 2013;9:186–187. doi: 10.1038/nrneurol.2013.38
- Rubiano AM, Carney N, Chesnut R, Puyana JC. Global neurotrauma research challenges and opportunities. Nature. 2015;527: 193–S197. doi: 10.1038/nature16035
- Khan A, Prince M, Brayne C, Prina AM. Lifetime prevalence and factors associated with head injury among older people in low and middle income countries: a 10/66 study. PLoS One. 2015;10: e0132229. doi: 10.1371/journal.pone.0132229
- Dewan MC, Rattani A, Gupta S, et al. Estimating the global incidence of traumatic brain injury. Journal of neurosurgery. 2018;130(4):1080–1097. doi: 10.3171/2017.10.JNS17352
- Dengler BA, Agimi Y, Stout K, et al. Epidemiology, patterns of care and outcomes of traumatic brain injury in deployed military settings: Implications for future military operations. J Trauma Acute Care Surg. 2022;93(2):220–228. doi: 10.1097/TA.0000000000003497
- Exline JE. Targeting the Subacute Progression of Hippocampal Cellular Senescence Following Repetitive Mild Traumatic Brain Injury: [doctoral dissertation]. Loyola: University Chicago; 2023.
- Kobeissy FH, ed. Brain Neurotrauma: Molecular, Neuropsychological, and Rehabilitation Aspects. Boca Raton (FL): CRC Press/Taylor & Francis; 2015.
- Litvinenko IV, Naumov KM, Lobzin VYu, et al. Traumatic brain injury as risk factor of Alzheimer’s disease and possibilities of pathogenetic therapy. S.S. Korsakov Journal of Neurology and Psychiatry. 2024;124(1): 45–54. (In Russ.) EDN: FJEDCR doi: 10.17116/jnevro202412401145
- Posis AIB, Alcaraz JE, Parada H Jr, et al. Association Between Traumatic Brain Injury and Cognitive Decline Among Middle-to-Older Aged Men in the Vietnam Era Twin Study of Aging. Neurotrauma Reports. 2024;5(1):563–573. doi: 10.1089/neur.2024.003
- Lennon MJ, Brooker H, Creese B, et al. Lifetime traumatic brain injury and cognitive domain deficits in late life: the PROTECT-TBI cohort study. J Neurotrauma. 2023;40(13–14):1423–1435. doi: 10.1089/neu.2022.0360
- Chapman JC, Diaz-Arrastia R. Military traumatic brain injury: a review. Alzheimers Dement. 2014;10(3 Suppl):97–104. doi: 10.1016/j.jalz.2014.04.012
- Kim E, Seo HG, Lee HH, et al. Altered white matter integrity after mild to moderate traumatic brain injury. J Clin Med. 2019;8(9):1318. doi: 10.3390/jcm8091318
- Hadi Z, Mahmud M, Seemungal B. Brain mechanisms explaining postural imbalance in traumatic brain injury: a systematic review. Brain Connectivity. 2024;14(3):144–177. doi: 10.1089/brain.2023.00
- Hageman G, Hof J, Nihom J. Susceptibility-Weighted MRI and Microbleeds in Mild Traumatic Brain Injury: Prediction of Posttraumatic Complaints? Eur Neurol. 2022;85(3):177–185. doi: 10.1159/000521389
- Skvortsov DV. Stabilometric study. M.: Maska; 2010. (In Russ.) EDN: QKTHYN
- Campbell KR, King LA, Parrington L, et al. Central sensorimotor integration assessment reveals deficits in standing balance control in people with chronic mild traumatic brain injury. Front Neurol. 2022;13:897454. doi: 10.3389/fneur.2022.897454
- Michaylenko AA, Odinak MM, Litvinenko IV, et al. Neurological symptoms in acute period of brain concussion. Neurological Journal. 2015;20(3):29–36. (In Russ.) EDN: UDRMUH
- Clinical recommendations from 13.05.2022 г. “Ochagovaya travma golovnogo mozga” Available from: https://cr.minzdrav.gov.ru/schema/732_1 (In Russ.)
Supplementary files








