Challenges in diagnosis of fragile X-associated tremor/ataxia syndrome
- Authors: Krasakov I.V.1,2, Litvinenko I.V.2, Dyskin D.E.2
- 
							Affiliations: 
							- Nikiforov All-Russian Center of Emergency and Radiation Medicine
- Military Medical Academy
 
- Issue: Vol 43, No 4 (2024)
- Pages: 481-487
- Section: Discussion
- URL: https://journals.eco-vector.com/RMMArep/article/view/636637
- DOI: https://doi.org/10.17816/rmmar636637
- ID: 636637
Cite item
Full Text
Abstract
Fragile X-associated tremor/ataxia syndrome (FXTAS) is a neurodegenerative disease recently described in the literature with a low percentage of detectability in patients due to insufficient awareness of doctors. The clinical picture is characterized by high phenotypic variability and coincidence of symptoms with other, more well-known motor disorders, in connection with which patients are observed for a long time with erroneous diagnoses. The issue of the differential diagnosis fragile X-associated tremor/ataxia syndrome with essential tremor, Parkinson’s disease, multiple system atrophy, spinocerebellar ataxia and progressive supranuclear paralysis is highlighted separately. In order to demonstrate the complexity of the diagnosis of this disease, a description of a case of genetically confirmed case of genetically confirmed fragile X-associated tremor/ataxia syndrome is presented. The described clinical case is represented by a combination of asymmetric disabling postural kinetic tremor of the hands, minor resting tremor, moderate cerebellar ataxia, asymmetric moderate dopa-responsive parkinsonism syndrome, mild cognitive impairment and psychotic symptoms. Not only the clinical picture of the disease is described in detail, but also the hereditary history of the patient: the results of a genetic study of a daughter premutation carriers of the FMR1 gene and a grandson suffering from Martin–Bell syndrome. A special feature of the clinical case is the long-term erroneous observation of a patient diagnosed with Parkinson’s disease, as well as high-dose therapy with levodopa/carbidopa 250 mg + 25 mg (up to 6 tablets per day). When studying the available domestic literature, the previously described cases of fragile X-associated tremor/ataxia syndrome were not found.
Full Text
АКТУАЛЬНОСТЬ
Синдром тремора и атаксии, ассоциированный с ломкой Х-хромосомой (fragile X tremor ataxia syndrome, FXTAS) — это нейродегенеративное заболевание с поздним началом, развивающееся при наличии премутации в гене FMR1 (fragile X mental retardation, ген умственной отсталости, ассоциированный с ломкой X-хромосомой). Поскольку FXTAS был впервые описан в литературе относительно недавно, характеризуется высокой фенотипической вариабельностью и совпадением симптомов с другими, более известными двигательными расстройствами, его редко распознают, при этом пациенты длительно наблюдаются с ошибочными диагнозами [1, 2]. Достаточно часто пациентам с FXTAS выставляются следующие диагнозы: эссенциальный тремор (ЭТ), болезнь Паркинсона (БП), мультисистемная атрофия (МСА), спиноцеребеллярная атаксия (СЦА) и даже прогрессирующий надъядерный паралич (ПНП).
МАТЕРИАЛЫ И МЕТОДЫ
В статье проанализированы и использованы данные, опубликованные в открытых отечественных и зарубежных литературных источниках, посвященных диагностике FXTAS. Также представлено описание собственного клинического наблюдения генетически подтвержденного FXTAS.
ОБСУЖДЕНИЕ
Ген FMR1 находится на длинном плече X-хромосомы в локусе Xq27.3, содержит 17 экзонов, охватывает 38 тысяч пар нуклеотидов и кодирует белок FMR1, связывающийся с РНК и полисомами и принимающий участие в трансляции. Данный белок необходим для нормального когнитивного развития, а также сохранения женской репродуктивной функции [3].
В норме в гене FMR1 присутствуют от 5 до 54 тринуклеотидных повторов CGG. Увеличение количества тринуклеотидов (>200 повторов CGG) приводит к нарушению синтеза белка FMR1 и патологии развития нервной системы — синдрому Мартина–Белл (СМБ), он же синдром ломкой Х-хромосомы [4]. СМБ является наиболее распространенной причиной наследственной умственной отсталости и расстройств аутистического спектра. Распространенность СМБ составляет 1 случай на 2500–7000 мужчин и 2500–11000 женщин [5]. Большинство мужчин с СМБ имеют умственную отсталость (в основном в спектре аутизма), поведенческие симптомы, включая тревогу и дефицит внимания. Симптомы у женщин с СМБ варьируют от легкой до тяжелой степени и проявляются трудностью в обучении и взаимоотношениях [5]. Считается, что мутация при СМБ приводит к потере функции белка. Напротив, премутация в гене FMR1 (от 55 до 199 повторов CGG) является причиной сверхэкспрессии гена FMR1, в результате которой количество соответствующей мРНК увеличивается в 2–10 раз в сравнении с нормой [6]. В результате генерируются белки, которые накапливаются в виде убиквитинированных включений в нейронах и астроцитах мозга.
В настоящее время предложено использовать термин «состояния, ассоциированные с премутацией гена FMR1», который включает синдром первичной овариальной недостаточности у женщин (fragile X-associated primary ovarian insufficiency, FXPOI), FXTAS и другие менее определенные состояния, сопровождающиеся широким спектром психических расстройств [5].
FXTAS могут страдать и женщины, однако частота развития синдрома значительно ниже. Только 16 % женщин — носительниц премутации гена FMR1 страдают данным заболеванием, в то время как у мужчин оно развивается в 40 % случаев. В то же время премутация может сформироваться у 1 из 200 женщин и у 1 из 400 мужчин, что приводит к более сбалансированному соотношению полов [7, 8].
Клинически FXTAS обычно проявляется после 50 лет. Чаще дебютирует с кинетического тремора, в дальнейшем присоединяются элементы мозжечковой атаксии [7]. Частота развития тремора зависит от возраста пациента: в возрасте от 50 до 59 лет он выявляется только у 17 % пациентов, от 80 до 89 лет — у 75 % [4]. Помимо тремора и атаксии у пациентов с FXTAS часто выявляются синдром паркинсонизма, глазодвигательные расстройства, невропатии и вегетативные нарушения. Могут встречаться когнитивные нарушения, при этом у женщин они выявлены минимально [1].
Прогрессирующая мозжечковая атаксия может являться единственным клиническим проявлением примерно у 20 % пациентов. В связи с этим тестирование на определение премутации в гене FMR1 может быть показано лицам в возрасте старше 50 лет с необъяснимой мозжечковой атаксией [9].
Синдром паркинсонизма у большинства пациентов с FXTAS протекает с легкой ригидностью, в большинстве случаев — без тремора покоя [9]. Также описаны случаи атипичной клинической картины с наличием хореи [10].
Возможные нейровизуализационные изменения при выполнении МРТ головного мозга у пациентов с FXTAS [11]:
- главные признаки:
1) поражение белого вещества средних ножек мозжечка (встречается у 60 % пациентов мужчин и 13 % женщин);
2) поражение белого вещества валика мозолистого тела (чаще встречается у пациентов мужчин);
- дополнительные признаки:
1) общая атрофия головного мозга;
2) общее поражение белого вещества головного мозга.
FXTAS прогрессирует медленно, продолжительность жизни после дебюта заболевания может достигать 20 лет.
Дифференциальная диагностика FXTAS проводится у пациентов с ЭТ, БП, МСА, СЦА и ПНП. В табл. 1 приведены данные дифференциальной диагностики FXTAS, ЭТ, БП, МСА, СЦА и ПНП по возрасту дебюта заболевания, тяжести течения, темпу прогрессирования и продолжительности жизни после дебюта заболевания.
Таблица 1. Дифференциальная диагностика FXTAS, течение заболевания (адаптировано из [12])
Table 1. Differential diagnosis of FXTAS, course of the disease (adapted from [12])
| Заболевание | Возраст дебюта | Тяжесть заболевания | Темп прогрессирования | Продолжительность жизни после дебюта заболевания | 
| FXTAS | После 50 лет | Различная | Медленный | 20 лет | 
| ЭТ | вариабельный (55,8 ± 15,1 лет): наследственная и спорадическая формы до 65 лет; сенильная форма после 65 лет | Относительно мягкая | Очень медленный | Соответствует средней продолжительности жизни региона проживания | 
| БП | 58,4 ± 11,0 лет | Различная | Умеренный | 15 лет | 
| СЦА | Различный: СЦА 1–3–30–40 лет; СЦА 6: 52 ± 12 лет | Различная | Различный | Различная; более ранняя смерть с более ранним возрастом начала; СЦА 6 — нормальная | 
| МСА | 56 лет | Тяжелая | Быстрый | 9–10 лет | 
| ПНП | 60–70 лет | Тяжелая | Очень быстрый | 6–8 лет | 
В табл. 2 приведены данные дифференциальной диагностики FXTAS, ЭТ, БП, МСА, СЦА и ПНП по встречаемости тремора, атаксии, паркинсонизма и глазодвигательных нарушений.
Таблица 2. Дифференциальная диагностика FXTAS, клиническая картина (адаптировано из [12])
Table 2. Differential diagnosis of FXTAS, clinical picture (adapted from [12])
| Заболевание | Тремор | Атаксия | Паркинсонизм | Глазодвигательные расстройства | 
| FXTAS | 77 %, кинетический> покоя, руки>> голова | 41–66 % | 29–32 % | Могут встречаться | 
| ЭТ | Кинетический 25–98 %; интенционный 33–89 %; постуральный 80 %; покоя 1,9–46,4 %; руки>> голова> голос | 50 % | 64 % | 35–41 % | 
| БП | Покоя 38,9 % (тремор-доминантная форма) | – | Облигатный синдром | Могут встречаться | 
| СЦА | Постуральный и интенционный при СЦА 2, 12, 15, 20, 27 | Выявляется во всех случаях, за исключением СЦА 17 и ДРПЛА (может отсутствовать) | Может встречаться при СЦА 2, 3, 17, 21 | Могут встречаться при СЦА 1, 2, 3, 5, 6, 7, 8, 14, 28, 37 | 
| МСА | До 80 % | МСА-П: до 40 %; МСА-М: до 100 % | МСА-П до 98 %; МСА-М до 73 % | Могут встречаться | 
| ПНП | До 42 % | Единичные описания | Типичный паркинсонизм до 19 %; атипичный паркинсонизм до 40 % | Часто; может являться критерием диагностики | 
| Примечание. МСА-П — мультисистемная атрофия, паркинсонический тип; МСА-М — мультисистемная атрофия, мозжечковый тип; ДРПЛА — дентаторубро-паллидолюисова атрофия; >> — знак «чаще»; > — знак «больше». | ||||
Генетическое исследование проводится путем определения числа нуклеотидных повторов CGG в гене FMR1 с помощью ПЦР-диагностики. Данное исследование в настоящее время является общедоступным. СМБ, FXPOI и FXTAS обычно выявляются в одних и тех же семьях. Только информированный об особенностях наследования данного заболевания врач сможет предложить тестирование на наличие мутации/премутации в гене FMR1 у членов семьи пациента с СМБ. Несмотря на то что у женщин — носительниц премутации FXTAS развиваются реже, чем у мужчин, они подвержены риску развития FXPOI, который представляет собой наиболее наследуемую форму преждевременной менопаузы или ранней недостаточности яичников. Кроме того, у женщин — носительниц премутации могут наблюдаться более высокие показатели психических симптомов, включая тревогу, синдром дефицита внимания и гиперактивности, депрессию, бессонницу, хроническую усталость и хронический болевой синдром.
Лечение FXTAS симптоматическое. Коррекция постурального и кинетического тремора может быть проведена бета-адреноблокаторами, а также другими группами препаратов, рекомендованных для лечения ЭТ. Леводопа показана в случае выявления синдрома паркинсонизма. Когнитивные нарушения, психотические расстройства, а также тревожность и депрессию следует корректировать по принципам терапии данной симптоматики при БП.
КЛИНИЧЕСКИЙ СЛУЧАЙ
Пациент П., мужчина 58 лет, обратился с жалобами на выраженное дрожание рук (больше левой), замедленность движений, шаткость.
Анамнез заболевания. Со слов пациента, болен в течение семи лет. Дебют заболевания — с тремора левой руки, в дальнейшем отметил незначительную замедленность левых конечностей, обратился к неврологу, установлен диагноз БП, начата терапия агонистами дофаминовых рецепторов. Симптоматика прогрессировала, тремор левой руки стал носить инвалидизирующий характер, усилились скованность и замедленность, присоединился незначительный тремор правой руки, стал отмечать шаткость. Через три года после дебюта заболевания к терапии добавлены препараты леводопы, что, со слов пациента, привело к улучшению состояния и снижению выраженности тремора. В связи с эффектом от проводимой терапии препаратами леводопы пациент постепенно увеличил их суточную дозу до 1500 мг/сут. Несмотря на высокие дозы препаратов, тремор сохранялся. Пациент обращался за консультацией с целью определения возможности проведения таламотомии фокусированным ультразвуком с МРТ-навигацией, в оперативном лечении было отказано. В течение года отмечает снижение памяти, эпизоды «экстракампинных» галлюцинаций (эффект присутствия). Проводимая терапия на момент осмотра: 6 таблеток леводопа/карбидопа 250 + 25 мг в сут, 4 таблетки прамипексола в сут, 2 таблетки амантадина сульфат 100 мг в сут, ¼ таблетки клоназепама 2 мг вечером.
Наследственный анамнез. При опросе пациента данных за отягощенный наследственный анамнез со стороны родителей, дедушек, бабушек, дочери получено не было. На консультации присутствовала дочь пациента, которая уточнила, что ее сын (внук пациента) страдает СМБ. В дальнейшем были представлены результаты генетического исследования по выявлению полиморфизма/мутации гена FMR1 внука и дочери пациента. Молекулярно-генетический анализ показал, что у внука имеется более 200 CGG повторов в промоторной зоне гена FMR1, что соответствует мутации — изменения, характерные для СМБ. У дочери имеется одна аллель с 29 CGG повторами и одна аллель с более 90 CGG повторами в промоторной зоне гена, что соответствует премутации гена.
Сопутствующие заболевания: страдает сахарным диабетом второго типа, ожирением третьей степени, получает метформин 1000 мг 2 раза в день.
Неврологический статус (выявленная патология): монреальская шкала оценки когнитивных функций 27 баллов, краткая шкала оценки психического статуса 27 баллов, гипосмия, гипомимия, глубокие рефлексы снижены, гипокинезия S>D, выраженный высокоамплитудный низкочастотный постуральный тремор и тремор покоя левой руки, легкий тремор покоя правой руки, гипокинезия, ярче выраженная в ногах, S>D, пальце-носовую пробу слева выполняет с интенционным тремором, коленно-пяточную пробу слева выполняет с легкой дисметрией, в пробе Ромберга неустойчив, пошатывание влево.
Через 2 ч после приема 1,5 таблеток препарата леводопа/карбидопа 250 + 25 мг отмечается положительная динамика в виде снижения выраженности гипокинезии и тремора покоя, однако снижение выраженности постурального и интенционного тремора незначительное. Улучшение по третьей части унифицированной шкалы оценки БП с 39 до 17 баллов.
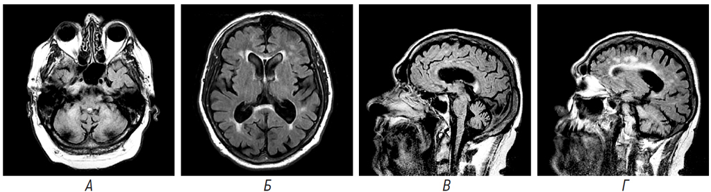
Результаты магнитно-резонансной томографии головного мозга пациента П. представлены на рисунке.
Рисунок. Результаты магнитно-резонансной томографии головного мозга пациента П., мужчина, 58 лет. А. Гиперинтенсивные очаги в области средних ножек мозжечка, FLAIR; Б. Гиперинтенсивный сигнал от валика мозолистого тела, Т2-ВИ; В. Гипотрофия мозжечка, гиперинтенсивный сигнал от валика мозолистого тела; Г. Перивентрикулярный лейкоареоз
Fig. 1. Results of magnetic resonance imaging of the brain of patient P., male, 58 years old. A. Hyperintensive foci in the region of the middle legs of the cerebellum, FLAIR; Б. Hyperintensive signal from the corpus callosum roller, T2-VI; B. Cerebellar hypotrophy, hyperintensive signal from the corpus callosum roller; Г. Periventricular leukoareosis
В связи с описанными изменениями пациента направили на генетическое исследование по выявлению полиморфизма/мутации гена FMR1. Было выявлено 107 CGG повторов в первой аллели гена, что соответствует премутации гена.
Таким образом, проведенное обследование показало наличие у пациента FXTAS, а не БП, как расценивалось ранее.
В связи с наличием «экстракампинного» галлюциноза пациенту было рекомендовано снижение дозы амантадина сульфата и прамипексола, доза препаратов леводопы была сохранена. К терапии добавлен мемантин. Предпринята попытка назначения пропранолола, однако целевая суточная доза препарата не была достигнута по причине развития брадикардии. С учетом наличия выраженного левостороннего тремора пациент рассматривается как кандидат на инвазивное хирургическое лечение.
ЗАКЛЮЧЕНИЕ
FXTAS уделяется недостаточное внимание со стороны практикующих неврологов. Вероятно, данное заболевание может быть чаще диагностировано у пациентов, наблюдающихся в центрах, занимающихся диагностикой и лечением двигательных расстройств. Приведенные в статье литературный обзор и описание клинического случая нацелены на повышение информированности врачей о заболевании, что поможет не только в постановке правильного диагноза и подборе терапии пациенту, но и сможет пролить свет на возможную причину жалоб у членов его семьи.
ДОПОЛНИТЕЛЬНАЯ ИНФОРМАЦИЯ
Вклад авторов. Все авторы внесли существенный вклад в проведение исследования и подготовку статьи, прочли и одобрили финальную версию перед публикацией.
Конфликт интересов. Авторы декларируют отсутствие явных и потенциальных конфликтов интересов, связанных с публикацией настоящей статьи.
Этическая экспертиза. Настоящая статья не содержит каких-либо исследований с участием людей и животных в качестве объектов изучения.
Источник финансирования. Финансирование данной работы не проводилось.
ADDITIONAL INFO
Authors’ contribution. All authors made a substantial contribution to the conception of the study, acquisition, analysis, interpretation of data for the work, drafting and revising the article, final approval of the version to be published and agree to be accountable for all aspects of the study.
Competing interests. The authors declare that they have no competing interests.
Ethical review. This article does not contain any studies involving humans or animals as study objects.
Funding source. The study was not supported by any external sources of funding.
About the authors
Igor' V. Krasakov
Nikiforov All-Russian Center of Emergency and Radiation Medicine; Military Medical Academy
							Author for correspondence.
							Email: krasakoviv@yandex.ru
				                	ORCID iD: 0000-0001-6092-0659
				                	SPIN-code: 9891-8300
							Scopus Author ID: 26642102200
							ResearcherId: I-8865-2016
				                								
MD, Cand. Sci. (Medicine)
Russian Federation, Saint Petersburg; Saint PetersburgIgor' V. Litvinenko
Military Medical Academy
														Email: litvinenkoiv@rambler.ru
				                	ORCID iD: 0000-0001-8988-3011
				                	SPIN-code: 6112-2792
							Scopus Author ID: 35734354000
							ResearcherId: F-9120-2013
				                								
MD, Dr. Sci. (Medicine), Professor
Russian Federation, Saint PetersburgDmitriy E. Dyskin
Military Medical Academy
														Email: drabovsk@mail.ru
				                	ORCID iD: 0000-0002-2855-2953
				                	SPIN-code: 6662-9481
							Scopus Author ID: 6602481680
							ResearcherId: J-3336-2016
				                								
MD, Dr. Sci. (Medicine), Associate Professor
Russian Federation, Saint PetersburgReferences
- Hagerman RJ, Leehey M, Heinrichs W, et al. Intention tremor, parkinsonism, and generalized brain atrophy in male carriers of fragile X. Neurology. 2001;57(1):127–130. doi: 10.1212/wnl.57.1.127
- Hall DA, Berry-Kravis E, Jacquemont S, et al. Initial diagnoses given to persons with the fragile X associated tremor/ataxia syndrome (FXTAS). Neurology. 2005;65(2):299–301. doi: 10.1212/01.wnl.0000168900.86323.9c
- Gamisoniya AM. Sindrom lomkoj X-hromosomy. GENOKARTA Geneticheskaya enciklopediya 2019. Available from: https://www.genokarta.ru/disease/Sindrom_lomkoj_X_hromosomy (In Russ.)
- Hagerman PJ, Hagerman RJ. Fragile X-associated tremor/ataxia syndrome — an older face of the fragile X gene. Nat Clin Pract Neurol. 2007;3(2):107–112. doi: 10.1038/ncpneuro0373
- Johnson K, Herring J, Richstein J. Fragile X Premutation Associated Conditions (FXPAC). Front Pediatr. 2020;8:266. doi: 10.3389/fped.2020.00266
- Pereverzeva DS, Tyushkevich SA, Gorbachevskaia NL, et al. Heterogeneity of clinical characteristics of FMR1-related disorders. S.S. Korsakov Journal of Neurology and Psychiatry. 2019;119(7): 103–111. EDN: CHAHKE doi: 10.17116/jnevro2019119071103
- Cabal-Herrera AM, Tassanakijpanich N, Salcedo-Arellano MJ, Hagerman RJ. Fragile X-Associated Tremor/Ataxia Syndrome (FXTAS): Pathophysiology and Clinical Implications. Int J Mol Sci. 2020;21(12):4391. doi: 10.3390/ijms21124391
- Orsucci D, Lorenzetti L, Baldinotti F, et al. Fragile X-Associated Tremor/Ataxia Syndrome (FXTAS): A Gender Perspective. J Clin Med. 2022 Feb 15;11(4):1002. doi: 10.3390/jcm11041002
- Salcedo-Arellano MJ, Cabal-Herrera AM, Tassanakijpanich N, et al. Ataxia as the Major Manifestation of Fragile X-Associated Tremor/Ataxia Syndrome (FXTAS): Case Series. Biomedicines. 2020;8(5):136. doi: 10.3390/biomedicines8050136
- Islam F, Lee W. A Case of Generalized Chorea Presenting as an Early Feature of Fragile-X Associated Tremor/Ataxia Syndrome. Mov Disord Clin Pract. 2020;7(4):464–466. doi: 10.1002/mdc3.12944
- Gaillard F, Campos A, Hacking C, et al. Fragile X-associated tremor/ataxia syndrome. Reference article. Radiopaedia.org (Accessed on 21 Sep 2024). doi: 10.53347/rID-1359
- Robertson EE, Hall DA, McAsey AR, O’Keefe JA. Fragile X-associated tremor/ataxia syndrome: phenotypic comparisons with other movement disorders. Clin Neuropsychol. 2016;30(6):849–900. doi: 10.1080/13854046.2016.1202239
Supplementary files
 
				
			 
					 
						 
						 
									
 
  
  
  Email this article
			Email this article 



 СМИ зарегистрировано Федеральной службой по надзору в сфере связи, информационных технологий и массовых коммуникаций (Роскомнадзор).
 СМИ зарегистрировано Федеральной службой по надзору в сфере связи, информационных технологий и массовых коммуникаций (Роскомнадзор).