Epileptic seizures after the combat traumatic brain injury. The role and place of antiepileptic therapy
- Authors: Bazilevich S.N.1, Litvinenko I.V.1, Odinak M.M.1, Tsygan N.V.1
-
Affiliations:
- Military Medical Academy
- Issue: Vol 43, No 4 (2024)
- Pages: 377-392
- Section: Original articles
- URL: https://journals.eco-vector.com/RMMArep/article/view/636870
- DOI: https://doi.org/10.17816/rmmar636870
- ID: 636870
Cite item
Abstract
BACKGROUND: Taking into account the increasing number of armed conflicts, the number of combat head traumatic injuries and their consequences, which are faced not only by military doctors, but also by civilian healthcare, is thereof increasing.
AIM: The purpose of this article is to focus the attention of practicing neurologists and neurosurgeons to the modern principles of diagnostic and treatment of post-traumatic epileptic seizures after high-energy combat traumatic brain injury of various severity.
MATERIALS AND METHODS: The article presents the discussion of the clinical application of a number of theoretical concepts, definitions and recommendations used in cases to epileptic seizures after trauma and post-traumatic epilepsy. A prospective analysis of 224 patients with severe combat traumatic brain injury is presented. To evaluate different approaches to preventive therapy of epileptic seizures, the entire cohort of patients was divided into two groups: the first group (n = 122, 54.5% of patients) — without prophylactic use of antiepileptic drugs; the second group (n = 102, 45.5% of patients) — with prophylactic use of antiepileptic drugs. All patients underwent EEG, CT of the brain, and MRI of the brain in the absence of metal fragments in the body. The follow-up period was 12–18 months. Data from 79 patients with concussion in the structure of mine-blast injury were analyzed separately.
RESULTS: The analysis of the incidence of early and late acute post-traumatic seizures is carried out, various approaches to their treatment are discussed, depending on the clinical and diagnostic findings. The historical aspect of comparing the incidence of post-traumatic epilepsy in major wars of the twentieth century and current armed conflicts is touched upon, taking into account the contemporary approaches — the availability of specialized medical care, the possibility of current methods of examination and therapy.
CONCLUSION: The results obtained in the work provide grounds for revising the strategy of prophylactic administration of antiepileptic drugs to patients with severe head injury in modern conditions of providing specialized care.
Full Text
No battle can be won in the study, and theory without practice is dead.
Alexander Suvorov
According to the National Neurology Guidelines, up to 600 thousand persons experience a traumatic brain injury (TBI) every year during peacetime in Russia. Of these, approximately 50 thousand cases are fatal, and another 50 thousand cases result in disability. By the end of the 20th century, there were 2 million patients with disabilities caused by brain damage [1].
According to epidemiology studies of epilepsy in Russia, the incidence of focal epilepsy in adults exceeds 80%, with TBIs being the most common etiological factor [2]. An increase in the incidence of TBIs observed in recent years will undoubtedly result in a higher incidence of post-traumatic epilepsy (PTE), a concern shared by military and civilian doctors. The diagnosis of post-traumatic epilepsy is based on recurrent unprovoked seizures that are causally associated with a previous brain injury. Importantly, a brain injury not only precedes, but also causes seizures. PTE may be the only consequence of a TBI, significantly reducing quality of life.
PTE is observed in 4% of patients with a brain injury. The incidence of PTE depends on the severity of TBI. PTE is observed in 0.5%–1.5% of patients after a mild TBI, including concussion and mild cerebral contusion (CC) [3]. Notably, the prevalence of epilepsy in the population is 0.5%–1.0% [1]. Accordingly, mild TBIs are associated with a slightly higher prevalence of PTE, probably due to the consequences of mild CC. After a severe TBI, the incidence of PTE increases dramatically, reaching 15%–20% in non-penetrating injuries, epidural hematomas, and cortical lesions, 25% in intracerebral hemorrhages, subdural hemorrhages, and depressed fractures, and 30%–50% in penetrating gunshot wounds of the skull [3–5].
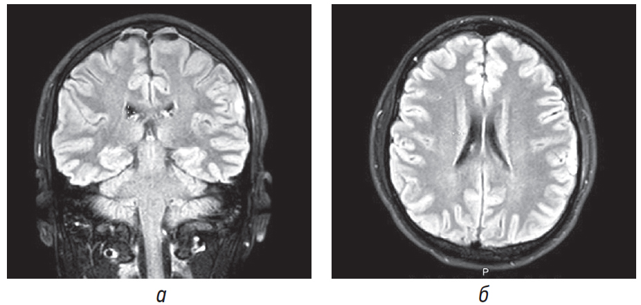
In peacetime, mild TBIs account for 80%–90% of all head injuries. Given the high social and economic significance of injuries and their consequences in military personnel, researchers of the Department of Nervous Diseases of the Military Medical Academy performed a series of studies to assess the causal relationship between concussion and subsequent epilepsy [6, 7]. One of the main conclusions was that there is no causal relationship between concussion and recurrent unprovoked seizures. A concussion is currently defined as a functionally reversible condition with no detectable focal damage to the brain matter [8, 9]. Given that medicine rarely allows for definite conclusions and statements, the authors emphasize the possibility of exceptions. A personalized assessment of the association between an injury and seizures is only possible when a physician has strong evidence, supported by additional medical history data and clinical findings, that the previous clinical diagnosis of concussion was incorrect and the severity of injury during the acute period was underestimated (i.e., the patient had a mild CC rather than a concussion). Moreover, the authors propose that a confirmed concussion due to a mine blast injury (MBI), with a combination of brain tissue damage mechanisms, could be deemed a cause of PTE under specific conditions (e.g., regional epileptiform changes on ECG). Since 2022, the Clinic of Nervous Diseases has gained unique experience in the treatment of patients with a confirmed concussion caused by an MBI. Thus, we have performed a comprehensive review and analysis of medical records of 79 patients with a concussion caused by an MBI, of which 40.5% had a concomitant acoustic barotrauma. The duration of follow-up was 6–18 months. Head CT and EEG were performed in 100% of patients. Due to metal fragments in the body, 25 patients underwent a head MRI in order to confirm lesions that were not seen on CT scans. Three of these patients had traumatic lesions on MRI that were not detected on previous CT, making it possible to confirm a mild CC. No epileptiform activity (EA) was detected on EEG (Figures 1, 2).
Fig. 1. Patient L. MRI of the brain — on coronal (а) and axial sections (б) (FLAIR mode) the area of contusion in the subcortical-cortical area of the left parietal lobe measuring up to 14 × 6 × 9 mm. Before the MRI, the patient had been treated for 6 days with a diagnosis of traumatic brain injury — brain commotion. According to CT of the head on the 3rd day after the injury, no structural disorders were detected
Рис. 1. Пациент Л. МРТ головного мозга — на корональном (а) и аксиальном срезах (б) (режим FLAIR) картина участка контузионных изменений в субкортикально-кортикальных отделах левой теменной доли размерами до 14 × 6 × 9 мм. До проведения МРТ пациент в течение 6 дней проходил лечение с диагнозом ЗЧМТ, СГМ. По данным КТ головы на 3-й день после травмы структурных нарушений выявлено не было
Fig. 2. Patient L. EEG without signs of focal and paroxysmal activity at rest and during functional tests
Рис. 2. Пациент Л. ЭЭГ без признаков очаговой и пароксизмальной активности в покое и при функциональных пробах
This once again indicates that the clinical, anamnestic, and radiological (head CT) signs of concussion after an MBI (and possibly a non-battle brain injury) may actually be signs of a mild CC. These three patients were excluded from the concussion group for further analysis. None of the 76 patients with a confirmed concussion had seizures. Only 2 (2.6%) patients had EA on EEG. The first patient had an EEG three days after the injury, which revealed bilateral synchronized bursts of sharp waves with an amplitude of up to 210 µV, lasting for 1 s (Figure 3).
Fig. 3. Patient A. EEG in resting conditions shows regular, well-modulated, exalted, hypersynchronous, dominant alpha rhythm with a frequency of 10 oscillations per second, an amplitude of 140 mcV, symmetrical, distorted by bilaterally synchronous bursts of “sharp” waves with an amplitude of 210 mcV, duration of 1 s in the parietal-occipital leads. Zonal differences are impaired, the alpha rhythm periodically has a paroxysmal character
Рис. 3. Пациент А. ЭЭГ в условиях покоя в теменно-затылочных отведениях регистрируется регулярный, хорошо модулированный, экзальтированный, гиперсинхронный, доминирующий альфа-ритм с частотой 10 колебаний в с, амплитудой 140 мкВ, симметричен, искажен билатерально-синхронными вспышками «острых» волн амплитудой 210 мкВ, длительностью 1 с. Зональные различия нарушены, альфа-ритм периодически имеет пароксизмальный характер
The second patient had an EEG 107 days after concussion, which revealed EA, with low-frequency sharp and slow alpha wave complexes (101 µV, 3 vibrations per second), predominantly in the temporo-parieto-occipital area (more on the left), with occasional synchronization (Figure 4). The brain MRI revealed no focal lesions.
Fig. 4. Patient V. EEG — at the junctions of the alpha rhythm spindles, a low-frequency beta rhythm with an amplitude of 13 mcV, complexes of “sharp-slow” wave with an amplitude of 101 mcV, a frequency of 3 oscillations/s, prevailing in the temporo-parietal-occipital region on the left more than on the right, periodically tending to synchronize
Рис. 4. Пациент В. ЭЭГ — на стыках веретен альфа-ритма низкочастотный бета-ритм, амплитудой 13 мкВ, комплексы «острая-медленная» волна амплитудой 101 мкВ, частотой 3 колеб./с, преобладающие в височно-теменно-затылочной области (слева больше, чем справа), периодически имеющие наклонность к синхронизации
When analyzing these two patients with no history of seizures and no previous EEG, we cannot rule out the impact of a high-energy battle head injury on the development of the detected abnormal bioelectric activity. However, the generalized epileptiform patterns detected on EEG are undoubtedly associated with a genetic predisposition to abnormal synchronous bioelectric activity of large neuron populations.
A minor increase in the incidence of PTE after mild TBIs caused by MBIs seems encouraging. However, a higher incidence of PTE (up to 50%) after severe penetrating gunshot wounds of the skull can be expected [3, 4]. This high incidence of PTE described in the literature makes examination findings especially valuable, as they allow for understanding when exactly the brain structures were damaged. This makes it possible to assess the formation of epileptic systems over time, eventually resulting in PTE, which is essential for the development of antiepileptogenic agents.
In terms of casualties in modern local wars and armed conflicts, there is an overall increase in the incidence of head injuries (by 2–2.5 times), with fragment wounds and blast injuries caused by high-energy exploding ammunition (shells, mines, missiles, grenades, bombs, etc.) being the most common [10, 11]. In modern conflicts, neurosurgical injuries account for up to 30%, with the incidence of TBIs reaching 15%. Blast injuries, ballistic wounds (fragment wounds, gunshot wounds, etc.), and non-ballistic wounds account for 51%, 38%, and 11%, respectively. In terms of skull and brain injuries, soft tissue injuries account for 34%, penetrating wounds of the skull for 15%, and penetrating head injuries for 51% (Figures 5, 6).
Fig. 5. Patient S. CT — trepanation defect in the frontal-temporal-parietal region on the right, measuring 9.2 × 13.7 cm (defect area 153 cm2). A zone of cystic-atrophic changes in the right hemisphere is determined. The median structures are shifted to the left by up to 0.4 cm. The lateral ventricles are dilated and symmetrical. In the area of the body of the left lateral ventricle, there is a proximal edge of the ventricular shunt (history of mine-blast injury)
Рис. 5. Пациент С. КТ — трепанационный дефект в лобно-височно-теменной области справа размерами 9,2 × 13,7 см (площадь дефекта 153 см2). Определяется зона кистозно-атрофических изменений правой гемисферы. Срединные структуры смещены влево до 0,4 см. Боковые желудочки расширены, симметричны. В области тела левого бокового желудочка имеется проксимальный край вентрикулярного шунта (в анамнезе минно-взрывная травма)
Fig. 6. Patient G. No active complaints consistent with brain injury, conscious, no neurological symptoms. Upon examination, the entrance holes of a penetrating blind craniocerebral wound are visualized in the left temporal region (at the time of injury, consciousness was not lost). CT of the head — a hypodense wound channel with the presence of foreign bodies of bone density was detected in the left frontal region, the wound channel goes upwards into the right frontal region of the brain with the presence of a foreign body of metallic density
Рис. 6. Пациент Г. Без активных жалоб, соответствующих травме мозга, в ясном сознании, без неврологической симптоматики. При осмотре в левой височной области визуализируются входные отверстия проникающего слепого черепно-мозгового ранения (в момент получения травмы сознание не терял). КТ головы — в левой лобной области выявлен гиподенсный раневой канал с наличием инородных тел костной плотности, раневой канал идет вверх в правую лобную область мозга с наличием инородного тела металлической плотности
Before presenting the intermediate examination results for patients with severe gunshot head injuries, we would like to clarify several terms, definitions, and data provided in the recent scientific publications. There is little doubt that not all seizures are associated with epilepsy. In 2010, the Commission on Epidemiology of the International League Against Epilepsy presented the resulting work on defining the term “acute symptomatic seizure” (ASS) for epidemiology studies in the journal Epilepsia. Moreover, the Commission clarified the criteria differentiating ASSs from unprovoked seizures [12]. An ASS is defined as a clinical seizure occurring in close temporal relationship with a documented acute central nervous system (CNS) insult. Unlike unprovoked seizures (in epilepsy), ASSs are characterized by two components:
- The underlying acute causal condition that occurs shortly before a seizure must always be identified;
- Seizures typically do not reoccur after eliminating the triggering factor or condition and restoring the functional integrity of the CNS.
The Commission proposed stopping using the terms “reactive seizure,” “provoked seizure,” “induced seizure,” and “situation-related seizure,” which are synonyms for acute symptomatic seizures. The definition of ASS includes seizures after an acute structural brain injury (stroke, head injury, CNS infection, etc.), seizures associated with discontinuation (missed dose) of an antiepileptic drug (AED), toxic seizures (due to alcohol abuse and withdrawal), and metabolic seizures (due to hyponatremia, hypocalcemia, hyperglycemia, hypoglycemia, etc.). Seizures occurring within 7 days following a TBI were proposed to be classified as ASSs; these seizures were also defined as “early seizures.” “Late seizures” occurring beyond 7 days following a TBI were recommended to be classified as unprovoked seizures and to make a diagnosis of PTE in case of their recurrence.
This classification is based on epidemiology studies conducted in the middle of the 20th century. According to these studies, 90% of seizures within a month after a head injury occur within the first week, and 80% of all early seizures occur within the first day. Thus, immediate (the most acute) seizures are distinguished, that occur within the first day and are classified as early seizures [3]. The proposed 7-day interval is justified by the experts of the International League Against Epilepsy based on the difference in the risk of recurrence and mortality rates between ASSs and unprovoked seizures, according to Hesdorffer et al. [13]. The authors demonstrated that 13% of patients develop an unprovoked seizure (US) after an ASS, and 46% of patients have a second US after the first one. The mortality rate within the first month following a TBI in ASS patients is 9 times higher than in patients without ASSs. However, Hesdorffer et al. did not categorize patients based on the severity of injury.
Thus, the definition of ASS was theoretically based on the assumption that the risk of a subsequent unprovoked seizure should be relatively low. But is this 7-day interval relevant, say, for patients with severe TBIs? Is this short interval actually justified in terms of pathogenesis? “Early seizures” (ASSs) are believed to be direct consequences of a head injury, while pathophysiological mechanisms of “late seizures” (USs) are associated with changes in brain structures, which may result from chronic neuronal and synaptic damage, as well as aberrant sprouting and remodeling. These complex post-traumatic epileptic system formation processes require a considerable amount of time, which obviously exceeds 7 days. What is the pathogenetic difference between days 7 and 8 in a patient with a severe penetrating TBI, diametrical or through-and-through wound of the brain, multiple intracranial hemorrhages, and propagation sites? As previously stated, according to the definition, ASSs typically do not reoccur after eliminating the triggering factor (condition) and restoring the functional integrity of the CNS. This is true for toxic seizures, metabolic seizures, seizures associated with treatment discontinuation, etc. Seizures disappear when a patient resumes therapy or abstains from alcohol, or when sodium levels return to normal. However, “restoring the functional integrity of the CNS” in 7 days after acute structural damage is unlikely. These theoretical recommendations cannot be followed in full in real-world clinical practice, preventing unambiguous interpretation of guidelines, manuals, and monographs, including the prescription of AEDs.
We believe that classification developed by Russian neurologists, our teachers, should be followed. These classifications distinguish provoked seizures as situation-related seizures in patients without an acute structural brain injury (seizures associated with AED discontinuation, high body temperature, alcohol abuse, metabolic disorders, sleep deprivation, etc.) and acute symptomatic seizures due to an actual cerebral pathology (seizures associated with an acute period of brain injuries and diseases) [8, 14].
Regarding the course of TBIs, the acute period lasts for 2 to 10 weeks (depending on the clinical type), the intermediate period for 2 to 6 months, and the long-term period in clinical recovery for up to 2 years (in progressive TBIs, the duration is indefinite) [9, 14].
The term “acute period” reflects the entirety of damage and defense reactions in response to an injury. It lasts from the moment of brain injury with a sudden impairment of integrative and local functions to the stabilization of impaired cerebral, vegetative, and somatic functions or fatal outcome. Thus, with respect to severe head injuries, ASSs should be defined as seizures that occur within 10 weeks, while subsequent seizures should be classified as unprovoked and diagnosed as PTE. It is essential for further improvements in the management of such patients.
Noteworthy are the guidelines “Epilepsy and Status Epilepticus in Adults and Children” of the Ministry of Health of Russia. According to the Terms and Definitions section, the definition of the incident (situation-related) seizure includes the term “acute symptomatic seizure,” which is a seizure that only occurs during the acute stage of organic brain syndrome (stroke, TBI, etc.) [15].
Thus, interpreting the terms proposed by the International League Against Epilepsy in real-world clinical practice is challenging. In the study presented below, we used a 10-week interval as a threshold for the onset of unprovoked seizures in a severe TBI.
The prevention of seizures following a severe TBI remains a challenging and contentious issue. Seizures are intracranial consequences of secondary brain damage following an injury, similar to cerebral edema, intracranial hypertension/hypotension, vascular spasm, ischemia, and blood contact with nervous tissue. At the same time, AED therapy has well-documented side effects that can be difficult to identify in patients with severe TBIs. It is currently widely recognized in the medical community that preventive AED therapy in severe TBIs decreases the incidence of early seizures, but has no effect on epileptogenesis and late seizures. Thus, AEDs should be prescribed to all patients within the first 7 days following a severe injury with no seizures. Further drug therapy is not deemed justified.
The following is a brief review of the historical context that supports the recommendation for preventive AED therapy. It is based on a randomized, double-blind study of phenytoin for the prevention of post-traumatic seizures following a severe TBI (n = 404) [16]. The randomized design provided for the use of phenytoin in the treatment group for one year. The treatment group (n = 208) showed a lower incidence of seizures in the first 7 days compared to the placebo group (3.6% vs. 14.2%; p < 0.001). After one year of phenytoin therapy, the authors concluded that there were no significant differences in the incidence of seizures between the treatment group and the placebo group (21.5% vs. 15.7%; p < 0.2). Moreover, there was an increase in the incidence of seizures in the treatment group. This tendency persisted one year after discontinuing phenytoin: the incidence of seizures in the treatment and placebo groups was 27.5% and 21.1%, respectively (p < 0.2).
Nine years later, the same authors assessed the effect of phenytoin, valproic acid, and placebo in the prevention of seizures and PTE [17]. The findings did not indicate the superiority of drug therapy. There were no significant differences between phenytoin and valproic acid after 1 week, 1 month, and 6 months compared to placebo. Valproic acid was not superior to phenytoin after 1 week. Moreover, the authors reported a slight increase in mortality in the valproic acid group.
In 2013, Inaba et al. performed a multicenter comparative study of levetiracetam and phenytoin for the prevention of post-traumatic seizures [18]. Levetiracetam was found to be not superior to phenytoin in the prevention of early seizures, with comparable incidence of side effects and mortality rate.
Given the extensive international expertise on the subject, a meta-analysis was performed in 2015, which is included in the Cochrane database [19]. The authors made the following conclusions:
- There is low-quality evidence that preventive AED therapy reduces the risk of post-traumatic seizures compared to placebo;
- There is no evidence that preventive AED therapy reduces the risk of late seizures or the mortality rate following an injury;
- There is insufficient data to compare the efficacy of phenytoin and other AEDs in reducing the risk of post-traumatic seizures.
Moreover, a work arguing against preventive AED therapy was published, according to which the risks of parenteral phenytoin administration in the first 7 days outweighed the benefits [20]. The authors stated that preventive phenytoin therapy does not decrease the incidence of early post-traumatic seizures following a severe TBI. Moreover, the use of AEDs leads to worse functional outcomes according to the Glasgow Outcome Scale and the modified Rankin Scale, as well as a longer hospital stay.
Regarding applicable Russian guidelines for the prevention and treatment of post-traumatic seizures, clinicians should follow the National Neurology Guidelines [1] and the guidelines “Focal Brain Injury” of the Ministry of Health of Russia [9] in their routine practice.
The National Neurology Guidelines address the subject twice. The first reference is in the Preventive Anticonvulsant Therapy section, subchapter “Diagnosis and Treatment of Severe TBIs.” According to this reference, antiepileptic drugs (phenytoin, carbamazepine) are recommended during the acute TBI period in patients at high risk of early seizures: depressed skull fracture, intracranial hemorrhages, cortical contusions, penetrating TBIs, or seizures within the first 24 hours after an injury. Level I evidence indicates that preventive therapy with phenytoin, carbamazepine, phenobarbital, and valproate in ineffective in the prevention of late post-traumatic epilepsy (more than 7 days). The second reference is in the Prevention of Epilepsy section, subchapter “Diagnosis, Treatment, and Prognosis of Penetrating TBIs.” According to this reference, antiepileptic drugs (phenytoin, phenobarbital, carbamazepine, valproate) are recommended during the first week after in injury for the prevention of early epilepsy; subsequent preventive therapy with antiepileptic drugs is not recommended, because their efficacy has not been confirmed. Despite the new terms “early epilepsy” (seizures occurring within 7 days after an injury) and “late epilepsy” (seizures occurring beyond 7 days after an injury), the main recommendation is to prescribe antiepileptic drugs only during the first 7 days.
The guidelines “Focal Brain Injury” of the Ministry of Health of Russia, developed by the Russian Association of Neurosurgeons, propose the following:
- The prevention of early seizures is possible in patients at high risk: GCS score <10, depressed skull fractures, intracranial hemorrhages, cortical contusions, penetrating TBIs, or seizures within the first 24 hours after an injury;
- Preventive therapy with antiepileptic drugs can be used on a regular basis after the first week only if justified by other clinical parameters (penetrating injury, major intraparenchymal hemorrhage, etc.);
- The prevention of early seizures has no effect on long-term outcomes, late seizures, or the onset of epilepsy [9].
Considering the foregoing, neurologists and neurosurgeons can make decisions on the use of preventive AED therapy and its duration in severe TBIs on a case-by-case basis.
To conclude the theoretical introduction to this article, we would like to emphasize the existing uncertainties in this area and the challenges that clinicians face when making treatment decisions, such as when to diagnose PTE, whether to prescribe AEDs and for what types of injuries, which AED is better, and which dose and duration of therapy to use. How do we sort through all the advantages and disadvantages? Will preventive AED therapy help to avoid a seizure with significant secondary brain damage following a severe injury, or will it merely cause side effects, worsen a traumatic brain injury, and affect blood, liver, and kidney functions and blood parameters? Long-term use of a costly drug therapy without an obvious necessity is a significant economic issue. Despite rapidly accumulating experience, the medical community is still looking for the correct answers. We cannot dismiss the findings of double-blind, randomized clinical studies. However, due to the diversity of brain injuries, unknown epilepsy predisposition rate in this cohort, and differences in therapeutic and diagnostic capabilities around the world, real-world clinical practice varies between departments, hospitals, and schools of thought.
This article presents a prospective analysis of 224 patients with severe and moderate battle TBIs (116 patients with penetrating gunshot head injuries and 108 patients with non-penetrating injuries) who were examined and treated in the Clinic of Nervous Diseases of the Military Medical Academy. According to the literature, this cohort is at the highest risk of post-traumatic seizures. According to the epidemiological data presented by Frey (2003) in a review article covering the World War I, World War II, Korean War, and Vietnam War, the incidence of PTE in penetrating TBIs could reach 42%–53% [3]. Notably, this value remained unchanged (and even increased) despite the clear differences in treatment capacities between the early and late 20th century. The most detailed description of PTE following a battle injury comes from the follow-up of Vietnam veterans 5, 15, and 35 years after a TBI [21]. The majority of patients had a penetrating head injury. After 5 years of follow-up, the authors reported the results for 1,221 patients. Within 5 years, 27.9% of patients developed PTE. After 15 years, the incidence of PTE accounted for 53% (based on an examination of 421 veterans). In 18% of patients, seizures were first reported 10 years after an injury; only 66% of PTE patients received AEDs. After 35 years, the study group included as few as 199 patients. The incidence of PTE in this cohort was 47%. In 12.6% of patients, seizures were first reported 15 years after an injury. Notably, in the early 21st century, 96% of veterans received phenobarbital or phenytoin, while only 4% received valproate or carbamazepine.
In our study, all 224 patients received specialized neurosurgical treatment within one day after a severe TBI. The patients were or were not prescribed preventive AED therapy based on the subsequent evacuation destination and treatment modalities in the absence of seizures.
The study cohort was divided into two groups to assess different treatment modalities:
- Group 1 (n = 122; 54.5% patients): without preventive AED therapy;
- Group 2 (n = 102; 45.5% patients): with preventive AED therapy.
In Group 2, AED therapy was prescribed after 2–10 days in a specialized hospital and discontinued after 14–90 days, based on a neurologist’s decision following the transfer from the surgical hospital. EEG, brain CT, and brain MRI (in the absence of metal fragments in the body) were performed in all patients. The duration of follow-up was 12–18 months.
The first and most unexpected finding was the absence of acute symptomatic seizures in both groups during the 10-week follow-up period after an injury.
A retrospective analysis of clinical and imaging findings and surgical outcomes in 1,770 patients who underwent surgery for a severe TBI in the Sklifosovsky Institute for Emergency Medicine revealed that 140 (7.9%) patients had seizures during the acute TBI period, with immediate, early, and late seizures in 81.4%, 15.7%, and 2.9% of cases, respectively [22].
Why were there no cases of acute symptomatic seizures in our study? Why don’t seizures develop after high-energy penetrating head injuries with ischemic and hemorrhagic brain tissue damage, impaired CSF circulation, extensive propagation sites, depressed fractures, and bone and metal fragments?
We propose the following factors that may influence the absence of acute symptomatic seizures.
First, high-energy penetrating battle TBIs are associated with brain matter damage that significantly exceeds structural damages detectable by structural brain imaging. These TBIs may involve a pathological neuron inhibition mechanism (similar to spinal shock), preventing pathological excessive activity of large groups of neurons that causes seizures.
Second, specialized anesthetic and neurosurgical care was provided soon after an injury. This involves the early use of parenteral anesthetics due to the severity of TBIs, a high incidence of severe concomitant injuries requiring intubation and/or primary surgical debridement with anesthesia, and the transfer of anesthetized patients to central specialized healthcare facilities of the Ministry of Defense of Russia. Despite the severity of TBIs, approximately 2% of patients with penetrating head injuries were conscious when they were admitted to specialized care facilities. Only half of the 80% of patients with various impairments of consciousness were in coma. We can compare the fast delivery of patients to data from the Neurosurgery Service of the Donetsk People’s Republic. During the armed conflict in the Donbas (2014–2015), in a non-evacuated city (Donetsk), the Neurosurgery Service provided medical care to 3,679 patients with head injuries (penetrating gunshot TBIs in 45.3%). Of these, 96.2% of patients were admitted to healthcare facilities during the first day (40.4% within the first three hours) [23]. Thus, during this short period of time, all patients undergo primary surgical debridement according to the standard requirements of military surgery, with general anesthesia. As a result, many patients with severe TBIs receive anesthetics, which may reduce epileptic activity of neurons and prevent early seizures.
Third, the patients used tube syringes with nefopam solution as an anesthetic, as a self-aid or mutual aid method. According to the prescribing information, nefopam is contraindicated in patients with epilepsy and can cause seizures. However, several studies demonstrate that nefopam can prevent experimental seizures in animals [24, 25]. Early administration of this drug (soon after an injury) using a tube syringe may interrupt the development of ASSs. Nefopam is more commonly used in combat environments because it is not a narcotic medication, which cannot be used as anesthetics in isolated head injuries due to the risk of respiratory depression.
In our study, PTE was observed in 21 of 224 (9.4%) patients.
In Group 1, 8 of 122 (6.6%) patients were diagnosed with PTE. The first unprovoked seizure was reported 103–145 days after an injury. EA on EEG was detected in 11 of 122 (9.0%) patients; of these, 7 patients had PTE, and 4 patients had no seizures.
In Group 2, 13 of 102 (12.7%) patients were diagnosed with PTE. The first unprovoked seizure was reported 75–50 days after an injury and 40–45 days after AED discontinuation. EA on EEG was detected in 13 of 102 (12.7%) patients; all of these patients had PTE.
EEG, EEG monitoring, or video EEG monitoring was performed in all patients. EA was detected in 24 of 224 (10.7%) patients; of these, 20 (83%) patients developed PTE.
Importantly, all patients receiving preventive AED therapy require an EEG prior to AED discontinuation. If epileptiform activity is detected, AED therapy must be continued during the acute and intermediate TBI periods; the duration of therapy in patients with severe TBIs is 6 months [9, 14]. Epileptiform activity on EEG in patients without seizures who are not receiving AEDs does not require the initiation of preventive AED therapy. However, it necessitates more stringent requirements to compliance, total abstinence, and drug therapy adjustments.
Ten of 21 PTE patients in the study cohort had metal fragments in the brain that could not be removed; in 4 of 21 patients, metal fragments were removed during primary or secondary surgical debridement of the head injury.
Notably, 24 patients with non-removable metal fragments and 16 patients with bone fragments in the brain had no seizures. Moreover, these patients had no epileptiform activity on EEG and did not receive AEDs (Figures 7–10). This emphasizes that a genetic predisposition to epileptic system formation following an injury, with seizures caused by insufficiency of the innate antiepileptic system, plays a significant role in the development of PTE.
Fig. 7. Patient D. Head CT — condition after resection-decompression trepanation of the parietal bone on the right; a massive area of cystic-atrophic changes is noted in the right occipital, both parietal lobes and the frontal lobe on the left with approximate dimensions of 105 × 20 mm; in the cortical sections of the left frontal lobe, a foreign body of metallic density with dimensions of 9 × 8 mm is noted
Рис. 7. Пациент Д. КТ головы — состояние после резекционно-декомпрессионной трепанации теменной кости справа; отмечается массивный участок кистозно-атрофических изменений в правой затылочной, в обеих теменных долях и лобной доли слева приблизительными размерами 105 × 20 мм; в кортикальных отделах левой лобной доли отмечается инородное тело металлической плотности размерами 9 × 8 мм
Fig. 8. Patient D. EEG — slowing of the basic rhythm, without signs of focal and paroxysmal activity at rest and during functional tests
Рис. 8. Пациент Д. ЭЭГ — замедление основного ритма без признаков очаговой и пароксизмальной активности в покое и при функциональных пробах
Fig. 9. Patient F. Head CT — in the right hemisphere of the cerebellum, a hypodense wound channel was revealed with the presence of foreign bodies of bone density, single and grouped, with a total size of up to 4 × 6 mm; taking into account the ricochet wound, the wound channel goes upward through the cerebellum and the right cerebral peduncle with the presence of a foreign body of metallic density measuring 8 × 9 mm, located cranial to the enveloping cistern, to the right of the pineal gland
Рис. 9. Пациент Ф. КТ головы — в правом полушарии мозжечка выявлен гиподенсный раневой канал с наличием инородных тел костной плотности, единичных и группированных, общими размерами до 4 × 6 мм; с учетом рикошетирующего ранения, раневой канал идет вверх через мозжечок и правую ножку мозга с наличием инородного тела металлической плотности размерами 8 × 9 мм, расположенного краниальнее охватывающей цистерны, справа от шишковидной железы
Fig. 10. Patient F. EEG — within the normal range, without signs of epileptiform activity at rest and during functional tests
Рис. 10. Пациент Ф. ЭЭГ — в пределах варианта нормы, без признаков эпилептиформной активности в покое и при функциональных пробах
Unlike bone fragments, the presence of bone fragments is a significant risk factor for PTE. It was reported in 10 of 34 (29.4%) patients with a non-removable metal fragment in the brain.
Three of 21 PTE patients experienced their first seizure (classified as ASSs) the day following elective cranioplasty with a customized plate. All of these patients subsequently had a US. Thus, the onset of seizures immediately after cranioplasty in patients with penetrating head injuries can be considered a predictor of PET, necessitating the prescription of AEDs.
It is a common belief that epilepsy treatment should not be initiated until the diagnosis is made. Can a patient be diagnosed with epilepsy and begin treatment after a single unprovoked seizure?
Epilepsy, as defined by H. Gastaut (1975) and recognized by the World Health Organization, is a chronic brain disorder characterized by recurrent seizures due to excessive discharge of cerebral neurons, associated with a variety of clinical and laboratory manifestations. Taking into account the current experience, the International League Against Epilepsy proposed a new conceptual definition in 2005, which is also permitted for use in clinical practice: epilepsy is a disorder of the brain characterized by an enduring predisposition to generate epileptic seizures and by the neurobiologic, cognitive, psychological, and social consequences of this condition [26]. The diagnosis of epilepsy can be made if the condition meets one of the following criteria [27]:
- At least two unprovoked (or reflex) seizures with an interval of more than 24 hours;
- One unprovoked (or reflex) seizure and the risk of subsequent seizures similar to the overall risk of recurrence (at least 60%) after two unprovoked seizures observed within the next 10 years;
- Sufficient information to confirm a specific epileptic syndrome.
A large epidemiology study found that the risk of recurrent unprovoked seizure following an injury is as low as 46.3% [10]. This value (46.3%) is well below 60%; thus, it is not recommended to make the diagnosis of epilepsy and prescribe AEDs after the first unprovoked seizure. However, according to the authors, this is the overall value after all injuries, regardless of their severity.
In the Clinic of Nervous Diseases of the Military Medical Academy, a diagnosis (e.g., single bilateral tonic-clonic seizure with focal onset) is made and AEDs are prescribed after the first unprovoked seizure (occurring after more than 4–10 weeks, depending on the severity of the traumatic brain injury). An AED is prescribed as monotherapy at a minimal therapeutic dose, with gradual titration (e.g., valproate 900–1,000 mg/day, levetiracetam 1,000 mg/day).
Despite the prescription of AEDs, recurrent seizures were observed in all patients, which allowed clarifying the diagnosis (post-traumatic epilepsy) and adjusting the AED dose to the maximum effective dose. In the event of side effects, alternative monotherapy or appropriate polytherapy was initiated, depending on the efficacy of the initial drug, provided that it was well tolerated.
According to our findings, the incidence of the second and subsequent unprovoked seizures after moderate and severe gunshot TBIs was 100%. Thus, the diagnosis of PTE can be made even after the first unprovoked seizure.
Based on our experience, we provide recommendations for the prescription/discontinuation and duration of AED therapy in patients with moderate and severe gunshot TBIs (see Table).
In the absence of seizures, preventive AED therapy is not prescribed.
When preventive AED therapy is prescribed during previous stages in the absence of seizures, the duration of therapy is as follows:
- No epileptiform activity on EEG: gradual discontinuation of AED therapy;
- Epileptiform activity on EEG: during the acute and intermediate TBI periods (6 months in severe TBIs);
- Metal fragments in the brain: during the acute TBI period in the absence of epileptiform activity on EEG; up to 12 months in the presence of epileptiform activity on EEG, with gradual discontinuation.
In the event of ASSs (first 10 weeks after an injury), AEDs must be prescribed; the duration of therapy is as follows:
- During the acute TBI period (irrespective of EEG findings);
- Epileptiform activity on EEG: up to 12 months;
- Metal fragments in the brain: up to 6 months in the absence of epileptiform activity on EEG; up to 2 years in the presence of epileptiform activity on EEG.
In the event of a single unprovoked seizure or PTE, AEDs must be prescribed. The treatment is performed in accordance with the Russian guidelines “Epilepsy and Status Epilepticus in Adults and Children” [15].
The primary treatment goal in epilepsy patients is to stop seizures while minimizing the side effects of prescribed AEDs.
Modern AEDs have a broad spectrum of side effects, with an incidence of up to 37% [28]. Moreover, when preventive AED therapy is prescribed, it is difficult to determine the required effective dose and ensure sufficient control of potential covert side effects of the therapy. It is often difficult to detect side effects in severe patients due to CNS damage and severe concomitant injuries to other organs and systems, as well as the need to administer multiple drugs from other classes. Dose reduction or switching to another AED improves the patient’s condition, including cognitive function, in some cases.
ADDITIONAL INFO
Authors’ contribution. All authors made a substantial contribution to the conception of the study, acquisition, analysis, interpretation of data for the work, drafting and revising the article, final approval of the version to be published and agree to be accountable for all aspects of the study.
Funding source. The study was not supported by any external sources of funding.
Competing interests. The authors declare that they have no competing interests.
Ethical expertise. The study was approved by the local ethics committee of the S.M. Kirov Military Medical Academy.
Funding. The search and analytical work was carried out at the personal expense of the author’s team.
ДОПОЛНИТЕЛЬНАЯ ИНФОРМАЦИЯ
Вклад авторов. Все авторы внесли существенный вклад в проведение исследования и подготовку статьи, прочли и одобрили финальную версию перед публикацией.
Конфликт интересов. Авторы декларируют отсутствие явных и потенциальных конфликтов интересов, связанных с публикацией настоящей статьи.
Этическая экспертиза. Проведение исследования одобрено локальным этическим комитетом ФГБВОУ ВО «Военно-медицинская академия имени С.М. Кирова».
Финансирование. Поисково-аналитическая работа проведена на личные средства авторского коллектива.
About the authors
Sergey N. Bazilevich
Military Medical Academy
Author for correspondence.
Email: basilevich@inbox.ru
ORCID iD: 0000-0002-4248-9321
SPIN-code: 9785-0471
Scopus Author ID: 6505963201
ResearcherId: J-1416-2016
MD, Cand. Sci. (Medicine), Associate Professor
Russian Federation, Saint PetersburgIgor’ V. Litvinenko
Military Medical Academy
Email: vmeda-na@mil.ru
ORCID iD: 0000-0001-8988-3011
SPIN-code: 6112-2792
Scopus Author ID: 35734354000
ResearcherId: F-9120-2013
MD, Dr. Sci. (Medicine), Professor
Russian Federation, Saint PetersburgMiroslav M. Odinak
Military Medical Academy
Email: odinak@rambler.ru
ORCID iD: 0000-0002-7314-7711
SPIN-code: 1155-9732
Scopus Author ID: 7003327776
ResearcherId: I-6024-2016
Corresponding Member of the Russian Academy of Sciences, MD, Dr. Sci. (Medicine), Professor
Russian Federation, Saint PetersburgNikolay V. Tsygan
Military Medical Academy
Email: vmeda-na@mil.ru
ORCID iD: 0000-0002-5881-2242
SPIN-code: 1006-2845
Scopus Author ID: 37066611200
ResearcherId: H-9132-2016
MD, Dr. Sci. (Medicine), Professor
Russian Federation, Saint PetersburgReferences
- Guseva EI, Konovalova AN Skvortsova VI, ed. Neurology: National guidelines. Moscow: GEOTAR-Media; 2018. 1064 p. (In Russ.)
- Gusev E.I., Gekht A.B., Hauser W.A., et al. Epidemiology of epilepsy in the Russian Federation. In: Modern epileptology. Moscow; 2011. P. 77–85. (In Russ.) EDN: YYZRGP
- Frey LC. Epidemiology of posttraumatic epilepsy: a critical review. Epilepsia. 2003;44(s10):11–17. doi: 10.1046/j.1528-1157.44.s10.4.x
- Carney N, Totten AM, O’Reilly C, et al. Guidelines for the Management of Severe Traumatic Brain Injury, Fourth Edition. Neurosurgery. 2017;80(1):6–15. doi: 10.1227/NEU.0000000000001432
- Odinak MM, Kornilov NV, Gritsanov AI, et al. Neuropathology of contusion-commotion injuries of world and war times. Gritsanov AI, ed. Saint Petersburg: MORSAR AV; 2000. 432 p. (In Russ.)
- Litvinenko IV, Bazilevich SN, Odinak MM, et al. Military medical examination of military personnel with the consequences of closed traumatic brain injuries. Voen Med Zh. 2018.;339(5):15–22. (In Russ.) EDN: XYPNKH
- Litvinenko IV, Bazilevich SN, Odinak MM, et al. Epileptic seizures after concussion of the brain — an urgent and complex issue of military medical expertise. Voen Med Zh. 2021;342(1):27–37. (In Russ.) EDN: ZWRKSZ
- Odinak MM, Litvinenko IV, eds. Nervous diseases: a textbook for students of medical universities. Saint Petersburg: SpecLit; 2020. 575 p. (In Russ.)
- Clinical recommendations “Focal brain injury” Ministry of Health of the Russian Federation. 2022. 59 р. Available from: http://disuria.ru/_ld/12/1200_kr22S06MZ.pdf (In Russ.)
- Parfenov VE, Svistov DV, eds. Collection of lectures on topical issues of neurosurgery. Saint Petersburg: ELBI-SPb; 2008. 456 p. (In Russ.)
- Trishkin D.V., Kryukov E.V., Chuprina A.P., et al. Methodological recommendations for the treatment of combat surgical injury. Moscow: Ministry of Defense of the Russian Federation Main Military Medical Department; 2022. 373 p. (In Russ.)
- Beghi E, Carpio A, Forsgren L, et al. Recommendation for a definition of acute symptomatic seizure: Report from the ILAE Commission on Epidemiology. Epilepsia. 2010;51(4):671–675. doi: 10.1111/j.1528-1167.2009.02285.x
- Hesdorffer DC, Benn Emma KT, Cascino GD, Hauser WA. Is a first acute symptomatic seizures epilepsy? Mortality and risk for recurrent seizure. Epilepsia. 2009;50(5):1102–1108. doi: 10.1111/j.1528-1167.2008.01945.x
- Odinak MM, ed. Military neurology: textbook. Saint Petersburg: VMedA; 2004. 356 p. (In Russ.)
- Clinical recommendations “Epilepsy and epileptic status in adults and children”. Ministry of Health of the Russian Federation; 2022. 277 p. Available from: https://ruans.org/Text/Guidelines/epilepsy-2022.pdf (In Russ.)
- Тemkin NR, Dikmen SS, Wilensky AJ, et al. A randomized, double-blind study of phenytoin for the prevention of post-traumatic seizures. N Engl J Med. 1990;323(8):497–502. doi: 10.1056/NEJM199008233230801
- Temkin NR, Dikmen SS, Anderson GD, et al. Valproate therapy for prevention of posttraumatic seizures: a randomized trial. J Neurosurg. 1999;91(4):593–600. doi: 10.3171/jns.1999.91.4.0593
- Inaba K, Menaker J, Branco BC, et al. A prospective multicenter comparison of levetiracetam versus phenytoin for early posttraumatic seizure prophylaxis. J Trauma Acute Care Surg. 2013;74(3): 766–771. doi: 10.1097/TA.0b013e3182826e84
- Tompson K., Pohlmann-Eden B., Campbell LA, Abel H. Pharmacological treatments for preventing epilepsy following traumatic head injury. Cochrane Database Syst Rev. 2015;2015(8): CD009900. doi: 10.1002/14651858.CD009900.pub2
- Bhullar I, Johnson D, Paul J, et al. More harm than good: antiseizure prophylaxis after traumatic brain injury does not decrease seizure rates but may inhibit functional recovery. J Trauma Acute Care Surg. 2014;76(1):54–60. doi: 10.1097/TA.0b013e3182aafd15
- Raymont V, Salazar A, Lpsky R, et al. Correlates of posttraumatic epilepsy 35 years following combat brain injury. Neurology. 2010;20(3):224–229. doi: 10.1212/WNL.0b013e3181e8e6d0
- Puras YuV, Talypov AE, Trifonov IS, Krylov VV Convulsive syndrome in the acute period of severe traumatic brain injury. Neurosurgery. 2011;(2):35–40. (In Russ.) EDN: NXTKHH
- Kardash AM, Listratenko AI, Kardash KA Combat trauma of the skull and brain during military operations in the megalopolis. International Scientific Research Journal. 2015;(10–4):58–60. (In Russ.) EDN: VHRTUZ doi: 10.18454/IRJ.2015.41.140
- Novelli A, Groppetti A, Rossoni G, et al. Nefopam is more potent than carbamazepine for neuroprotection against veratridine in vitro and has anticonvulsant properties against both electrical and chemical stimulation. Amino Acids. 2007;32(3):323–332. doi: 10.1007/s00726-006-0419-6
- Verleye M, Andre N, Heulard I, et al. Nefopam blocks voltage-sensitive sodium channels and modulates glutamatergic transmission in rodents. Brain Res. 2004;1013(2):249–255. doi: 10.1016/j.brainres.2004.04.035
- Fisher RS, Boas WV, Blume WT, et al. Epileptic seizures and epilepsy: Definition proposed by the International league against epilepsy (ILAE) and the International bureau for epilepsy (IBE). Epilepsia. 2005;46(4):470–472. doi: 10.1111/j.0013-9580.2005.66104.x
- Fisher RS, Acevedo C, Arzimanoglou A, et al. ILAE official report: a practical clinical definition of epilepsy. Epilepsia. 2014;55(4): 475–482. doi: 10.1111/epi.12550
- Krumholz A, Wiebe S, Gronseth GS, et al. Evidence-based guideline: management of an unprovoked first seizure in adults: report of the guideline development subcommittee of the American Academy of Neurology and the American Epilepsy Society. Neurology 2015;84(16):1705–1713. doi: 10.1212/WNL.0000000000001487
Supplementary files













