Morphological Remodeling of the Spinal Cord After Experimental Neurotmesis with Early Ipidacrine Administration: An Electron Microscopy Study
- Authors: Litvinenko I.V.1, Zhivolupov S.A.1, Onishchenko L.S.1, Klimkin A.V.2, Gnevyshev E.N.3, Magomedov K.R.4
-
Affiliations:
- Military Medical Academy
- Pediatric Research and Clinical Center for Infectious Diseases of the Federal Medical and Biological Agency
- Institute of Applied Psychoanalysis and Psychology of the Autonomous Non-Commercial Organization of Higher Education “University under the Interparliamentary Assembly of the Eurasian Economic Community”
- Saint Luke’s Clinic
- Issue: Vol 44, No 1 (2025)
- Pages: 87-94
- Section: Original articles
- Submitted: 29.11.2024
- Accepted: 11.02.2025
- Published: 25.05.2025
- URL: https://journals.eco-vector.com/RMMArep/article/view/642372
- DOI: https://doi.org/10.17816/rmmar642372
- ID: 642372
Cite item
Abstract
Background: Peripheral nerve injuries represent a significant medical and social concern both in peacetime and during armed conflict. These injuries require prolonged inpatient care and frequently result in long-term disability. In response to peripheral nerve damage, retrograde reactive changes occur in the parent neurons and associated spinal cord cells. Understanding these processes may allow for more accurate predictions of clinical outcomes and recovery timelines. Elucidating the response of the lumbar spinal cord segment to peripheral nerve injury and subsequent treatment may enhance therapeutic efficacy.
AIM: To examine the regularities of reactive changes in the spinal cord segment following neurotmesis in order to improve the strategy and tactics of treating patients with this pathology.
MATERIALS AND METHODS: Experimental neurotmesis of the sciatic nerve was surgically induced in six male Wistar rats. Three animals received ipidacrine for seven days, whereas the remaining three served as untreated controls.
RESULTS: This electron microscopy study examined changes in the lumbar segment of the spinal cord seven days after neurotmesis, with and without ipidacrine treatment. Retrograde processes following sciatic nerve injury affected not only the parent neurons of the damaged fibers but also nerve fibers, glial cells (including oligodendrocytes), and the microcirculatory bed. Qualitative and quantitative differences in spinal cord morphology were observed between the experimental and control groups, and morphological predictors of successful recovery were identified.
CONCLUSION: The results of this study demonstrated that a 7-day course of ipidacrine administration following sciatic nerve neurotmesis exerted a beneficial effect on adaptive neuroplastic processes in the lumbar segment of the spinal cord.
Full Text
BACKGROUND
The high incidence of peripheral nerve injuries, especially during armed conflicts, their frequent disabling consequences, and consequent prolonged hospitalizations underscore their significant medical and social impacts. The clinical management of such injuries remains challenging. Despite advances in understanding the mechanisms underlying peripheral nerve regeneration, therapeutic approaches aimed at structural and functional recovery remain fundamentally insufficiently substantiated. Consequently, the effectiveness of treatment strategies directly depends on a thorough understanding of nervous system alterations at multiple levels following nerve injury, as previously reported by our group [1].
It is well established that after peripheral nerve transection, pathological changes extend beyond Wallerian degeneration. Reactive alterations also occur in the proximal nervous system components, including the spinal ganglia, spinal cord, and suprasegmental structures [2]. Nerve fiber damage triggers retrograde changes in the proximal axonal segment and the adjacent, functionally connected neurons. Such changes are linked to the disrupted retrograde transport of trophic factors [2–4].
However, the exact distribution and dynamics of such retrograde responses following peripheral nerve injury remain poorly defined. Evidence indicates that these responses are heterogeneous and variable, influenced by the extent and location of axonal damage, vascular supply to the affected limb segment, and age. Furthermore, the predominant mode of neuronal death during the early post-axotomy period—whether necrotic or apoptotic— has not been established. This lacuna is of critical clinical relevance: a better understanding of retrograde alterations and the development of evidence-based strategies to preserve segmental spinal cord function may enhance regenerative and collateral sprouting, thereby improving clinical outcomes [5, 6].
We previously demonstrated that magnetic stimulation and ipidacrine administration improved adaptive neuroplasticity and nerve regeneration 1 month after traumatic neuropathy [7]. However, data on the early morphological changes within the lumbar spinal cord following neurotmesis (sciatic nerve injury) and ipidacrine administration are limited. The present study was therefore designed to address this knowledge gap.
We aimed to investigate the patterns of segmental spinal reactive changes following neurotmesis by comparing retrograde morphological alterations within the lumbar spinal cord segment during the early stages of treatment with or without ipidacrine, to optimize the therapeutic strategy and procedures for such patients.
MATERIALS AND METHODS
The selected model of traumatic neuropathy resulting in neurotmesis simulates injuries caused by sharp objects or gunshot wounds, incorporating the primary surgical management of wounds.
The experimental model was established through a multistep surgical procedure [7]. For electron microscopy, three male Wistar rats were selected for each study group.
In the experimental group, the animals received intramuscular injections of the anticholinesterase agent ipidacrine at 0.07 mL/day for 7 days, beginning on day 7 post-operation. This regimen mirrored clinical practice. The control group did not receive ipidacrine.
Tissue samples were harvested from the corresponding lumbar spinal cord segment and prepared for electron microscopy using standard protocols [8]. Ultrathin contrasted sections were examined using a JEM-100CX transmission electron microscope (JEOL Ltd., Tokyo, Japan). The electron micrographs obtained were scanned and analyzed descriptively.
RESULTS
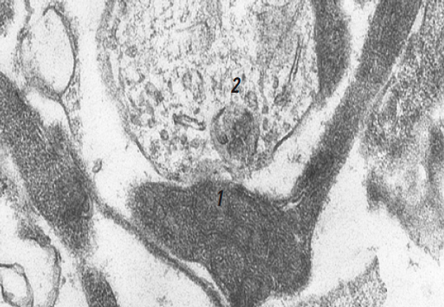
In the control group, the lumbar segment of the spinal cord predominantly contained hyperchromic neurons, characterized by densely structured nuclei and cytoplasm. These neurons exhibited a greater number of mitochondria; however, many exhibited indistinct structural features, suggesting low activity (Fig. 1). The surrounding myelinated and unmyelinated fibers were markedly altered.
Fig. 1. Hyperchromic neuron rat spinal cord without treatment: 1 — nucleus; 2 — mitochondria (arrow), ×8,300.
Рис. 1. Гиперхромный нейрон спинного мозга крысы без лечения: 1 — ядро; 2 — митохондрии (стрелка), ×8 300.
A small number of normochromic neurons were also observed. These had pale nuclei with diffuse chromatin distribution and, occasionally, dense, inactive nucleoli. Their cytoplasm contained dilated cisternae of the rough endoplasmic reticulum (RER) and, in some instances, dense lipid inclusions. Numerous ribosomes surrounded the nucleus, and a majority of the mitochondria exhibited a normal matrix and cristae structure.
These findings indicate the morphological and functional reactivity of the neurons. The axonal cylinders and myelin sheaths of the adjacent nerve fibers exhibited moderate alterations (Fig. 2).
Fig. 2. Normochromic neuron rat spinal cord without treatment: 1 — nucleus; 2 — myelin fiber, ×5,000.
Рис. 2. Нормохромный нейрон спинного мозга крысы без лечения: 1 — ядро; 2 — миелиновое волокно, ×5 000.
Further, in the control group, the chromatin distribution of some oligodendrocyte (OL) nuclei was consistent with apoptosis. The surrounding myelinated and unmyelinated fibers exhibited varying degrees of degeneration (Fig. 3). Such a morphology is indicative of the apoptosis-mediated functional inactivation of OLs.
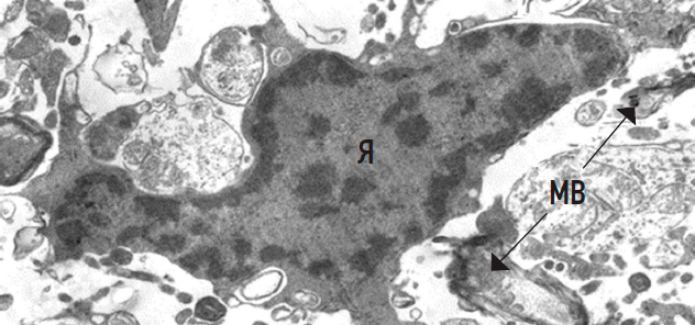
Fig. 3. Oligodendrocyte rat spinal cord without treatment with signs of apoptosis. Я — nucleus with uneven and dense accumulations of heterochromatin in the karyoplasm; МВ — myelin fibers, ×10,000.
Рис. 3. Олигодендроцит спинного мозга крысы без лечения с признаками апоптоза: Я — ядро с неравномерными и плотными скоплениями гетерохроматина в кариоплазме; МВ — миелиновые волокна (стрелки), ×10 000.
One week after initiation of ipidacrine therapy, small neurons with pale nuclei, irregularly contoured, and mildly altered chromatin architecture were observed in the experimental group. Their cytoplasm comprised various organelles, predominantly mitochondria, along with RER cisternae and the Golgi apparatus (Fig. 4). This morphology reflects high functional activity. In addition to these active normochromic neurons, hyperchromic neurons were also detected in the lumbar spinal cord of the treated rats, albeit less frequently than in the controls. These cells exhibited diffusely distributed heterochromatin and prominent nucleoli, suggesting reduced functional capacity. Pale neurons undergoing intracellular repair were also observed in the spinal cords of the experimental group rats. This observation was indicated by the presence of numerous ribosomes; however, a few mitochondria in the cytoplasm, along with the absence of other organelles (Fig. 5).
Fig. 4. Normochromic neuron in a treated rat: 1 — nucleus; 2 — nucleolus, ×4,000.
Рис. 4. Нормохромный нейрон крысы после лечения: 1 — ядро, 2 — ядрышко, ×4 000.
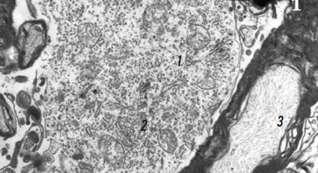
Fig. 5. Neuron rat spinal cord after treatment in the state of intracellular reparation: 1 — cytoplasm; 2 — mitochondria; 3 — axial cylinder of myelin fiber, ×10,000.
Рис. 5. Нейрон спинного мозга крысы после лечения в состоянии внутриклеточной репарации: 1 — цитоплазма; 2 — митохондрии; 3 — осевой цилиндр миелинового волокна, ×10 000.
Notably, axonal growth cones were observed in the spinal cords of the treated rats at this stage. Some were pale and contained vesicles, mitochondria, RER, microtubules, and neurofilaments (Fig. 6), whereas others were hyperchromic and boot-like in shape (Fig. 7).
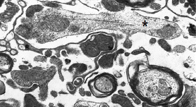
Fig. 6. Growth flask from an axon with light axial cylinder (*), ×5,000.
Рис. 6. Колба роста из аксона со светлым осевым цилиндром (*), ×5 000.
Fig. 7. Growth flask from a hyperchromic axon in the form of a boot (1). 2 — process of normal axial cylinder, ×26,000.
Рис. 7. Колба роста из гиперхромного аксона в виде сапога (1). 2 — отросток oбычного вида, ×26 000.
Similarly, the cytoplasmic changes in the OLs from the experimental group were marked. Some cells contained a full complement of organelles, whereas others displayed marked organelle depletion, indicative of pale-type dystrophic changes.
Certain OLs had nuclei with a normal chromatin organization. Their cytoplasm featured large vacuolated RER cisternae, numerous ribosomes, and occasional phagolysosomes (Fig. 8), reflecting population heterogeneity and partial recovery of functional activity. In some OLs, formation of new myelin sheaths, a marker of normal morphofunctional activity was observed.
Fig. 8. Oligodendrocyte rat spinal cord after treatment: 1 — nucleus; 2 — cytoplasm; 3 — myelinated fibers; 4 — capillary with an erythrocyte, ×5,000.
Рис. 8. Олигодендроцит спинного мозга крысы после лечения: 1 — ядро; 2 — цитоплазма; 3 — миелиновые волокна; 4 — капилляр с эритроцитом в просвете, ×5 000.
By day 14 post-neurotmesis, the lumbar spinal cords from untreated rats showed myelinated fibers with dense, unlaminated myelin. The axonal cylinders of these fibers were either intact or highly condensed, suggesting dark-type dystrophic axonopathy. Fibers with dense myelin but axonal cylinders exhibiting pale-type changes were also identified. In other cases, the axons appeared translucent, and the myelin sheath was significantly thin or partially absent. These findings indicate concurrent myelinopathy and axonopathy (Figs. 1, 3).
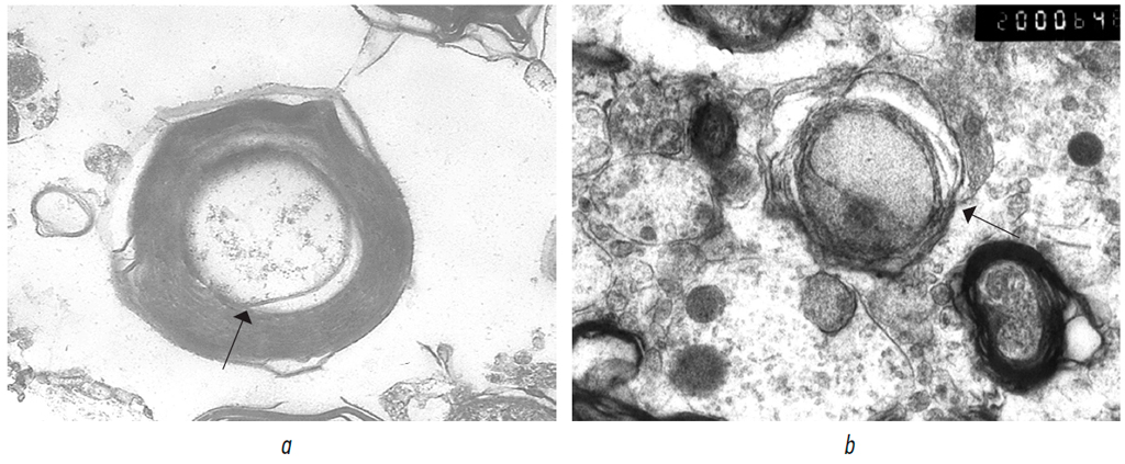
Notably, in the treatment group, 2 weeks after neurotmesis, isolated myelinated fibers in the spinal cord showed a substantial structural restoration of the myelin sheath, accompanied by moderate axonal cylinder dystrophy (axonopathy) and signs of remyelination (Fig. 9, a, b).
Fig. 9. Myelinated fibers with remyelination patterns: a — due to the inner mesaxon leaflet. ×15,000; b — due to the outer mesaxon leaflet (in the center of the image), ×20,000. The arrow indicates the area of the onset of remyelination in both images.
Рис. 9. Миелиновые волокна с признаками ремиелинизации: а — за счет внутреннего листка мезаксона, ×15 000; b — за счет наружного листка мезаксона (в центре снимка), ×20 000. Стрелкой обозначен участок начала ремиелинизации на обоих снимках.
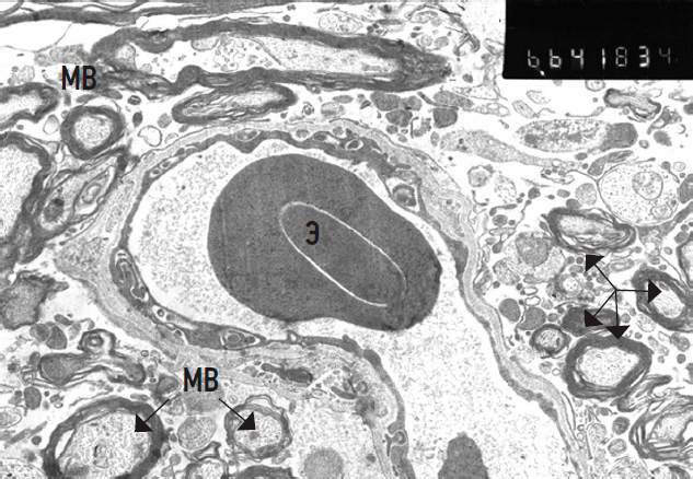
In the control group, the capillaries of the lumbar spinal microcirculatory bed had intact basal membranes. However, erythrocyte aggregation into rouleaux was observed in the vessel lumina, indicating erythrostasis.
Endothelial cells exhibited dystrophic changes, more frequently of the dark-type than pale-type. Astrocytic end-feet were often absent around the capillaries, with numerous adjacent myelinated fibers showing signs of myelinopathy and axonopathy (Fig. 10). These vascular and perivascular changes reflect moderate microcirculatory impairments.
Fig. 10. Capillary with erythrocytes (Э) in the lumen. MB — myelin fibers (arrows), ×6,600.
Рис. 10. Капилляр с эритроцитами (Э) в просвете. МВ — миелиновые волокна (стрелки), ×6 600.
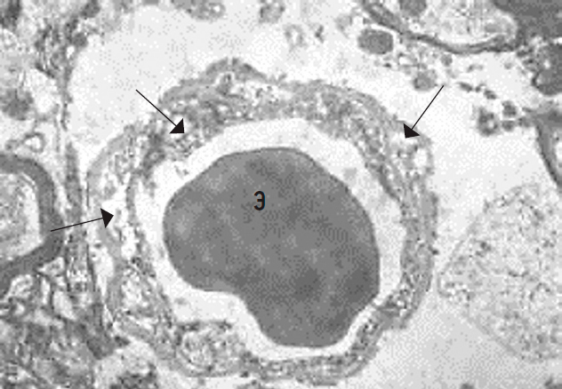
Seven days after ipidacrine treatment, some capillaries in the examined spinal cord segment contained abnormally shaped erythrocytes that did not form rouleaux. The capillary walls were extensively vacuolated, and the perivascular space appeared clear, lacking astrocytic end-feet, an essential component of the blood–brain barrier (Fig. 11). These findings suggest an incomplete restoration of the microvasculature.
Fig. 11. Capillary with vacuolized wall (arrows) and erythrocyte (Э) irregularly shaped in the lumen, ×5,000.
Рис. 11. Капилляр с вакуолизированной стенкой (стрелки) и эритроцитом (Э) неправильной формы в просвете, ×5 000.
DISCUSSION
The findings on the structural state of the lumbar spinal cord segment following sciatic nerve injury or neurotmesis with or without a subsequent 7-day ipidacrine treatment indicate the onset of structural improvements among all components — neurons, glial cells, myelinated fibers, and the microcirculatory bed — in the experimental (treatment) group.
Of note is the higher morphofunctional activity of neurons in the ipidacrine-treated group, as evidenced by the preserved integrity of organelles, particularly the nucleus and mitochondria. The maintained energy status of the spinal cord cells prevents the development of excitotoxicity and oxidative stress — key mechanisms of injury — and thereby inhibits the onset of necrosis and apoptosis [9].
While the morphological changes in the OL were qualitatively similar between the control and experimental groups, the number of affected cells differed. The quantity and quality of the preserved OLs reflect the overall potential for subsequent neural tissue recovery, as these cells not only produce myelin but also provide trophic support to neurons and are involved in regulatory functions [10–14].
The neurons undergoing intracellular repair and the so-called “growth cones” within the spinal cord identified in our study have not been described previously, in the context of nerve injury. Notably, growth cones on day 7 of ipidacrine treatment after nerve injury have been reported by a few studies only in the peripheral nerves [4, 15]. Notably, growth cones were first observed in the early stages of post-transection regeneration as early as the 19th century by Ramon y Cajal. Their presence indicates a directed pattern of regeneration from the center to the periphery and the potential for navigated axonal outgrowth. The preservation of the central spinal structures enables centrifugal axonal extension toward the target organ [16].
The microcirculatory response and early disruption of the blood–brain barrier are critical contributors to neuronal death after neurotmesis [17]. After 7 days of ipidacrine treatment, the condition of the microcirculatory bed improved partially.
The number of myelinated fibers with altered and normal structure differed between the control and experimental groups. Although both groups exhibited various forms of axonopathy and myelinopathy, pathological myelinated fibers were more frequent in the absence of ipidacrine. A key finding supporting the beneficial effects of ipidacrine on myelinated fiber restoration is the occurrence of fiber remyelination in the spinal cord segment studied, consistent with previous reports on peripheral nerve regeneration [4, 15].
One of the major consequences of neurotmesis is the spinal reorganization of neuronal ensembles, primarily driven by changes in synaptic number and structure [5]. Synaptic plasticity underlies adaptive neuroplasticity [18], a dynamic process regulated by neuronal activity [19]. The pivotal role of acetylcholine in the development and maintenance of adaptive neuroplasticity is well established. Therefore, ipidacrine, which increases acetylcholine levels, enhances the capacity for adaptive neuroplastic responses [20].
In this study, ipidacrine administration resulted in morphological changes across all components of the segmental spinal apparatus, including neurons, neuroglia, nerve fibers, and the microcirculatory bed. Such a detailed electron microscopy-based analysis provides a comprehensive understanding of the reactive spinal cord changes following neurotmesis. It further supports the rationale for using anticholinesterase agents in treating peripheral nerve injuries.
CONCLUSION
Thus, the findings of this study indicate similar microscopic features comprising early retrograde pathomorphological changes in the segmental apparatus of the spinal cord in both groups.
However, a comparative analysis revealed distinct characteristics in animals treated with ipidacrine: preservation of neuronal organelles, presence of axonal growth cones, signs of active remyelination in the myelinated fibers, a relatively greater number of OLs, and an improved state of the blood–brain barrier.
Given the effects of early ipidacrine administration on the spinal cord segment following sciatic nerve injury, these findings indicate an improvement in regenerative potential due to better preservation of the spinal structures.
This, in turn, may promote a more favorable therapeutic outcome and prognosis in patients with this condition.
ADDITIONAL INFO
Authors’ contribution. All authors made a substantial contribution to the conception of the study, acquisition, analysis, interpretation of data for the work, drafting and revising the article, final approval of the version to be published and agree to be accountable for all aspects of the study. Personal contribution of each author: I.V. Litvinenko, article design, data analysis, manuscript preparation; S.A. Zhivolupov, article design, data analysis, manuscript preparation; L.S. Onishchenko, material collection and processing, electron microscopy data analysis and interpretation, manuscript preparation; A.V. Klimkin, manuscript preparation; E.N. Gnevyshev, data interpretation, manuscript preparation; K.R. Magomedov, literature collection, manuscript preparation.
Funding source. The study was not supported by any external sources of funding.
Competing interests. The authors declare that they have no competing interests.
Ethical expertise. The conducted study was approved by the local ethics committee of the S.M. Kirov Military Medical Academy in 2008.
About the authors
Igor' V. Litvinenko
Military Medical Academy
Email: litvinenkoiv@rambler.ru
ORCID iD: 0000-0001-8988-3011
SPIN-code: 6112-2792
MD, Dr. Sci. (Medicine), Professor
Russian Federation, Saint PetersburgSergey A. Zhivolupov
Military Medical Academy
Email: peroslava@yandex.ru
ORCID iD: 0000-0003-0363-102X
SPIN-code: 4627-8290
MD Dr Sci (Medicine), Professor
Russian Federation, Saint PetersburgLyudmila S. Onishchenko
Military Medical Academy
Email: ludonis1947@yandex.ru
ORCID iD: 0000-0003-3562-1029
SPIN-code: 4985-7683
Cand. Sci. (Biology)
Russian Federation, Saint PetersburgAndrei V. Klimkin
Pediatric Research and Clinical Center for Infectious Diseases of the Federal Medical and Biological Agency
Email: klinkinpark@mail.ru
ORCID iD: 0000-0002-6180-4403
SPIN-code: 6309-3260
MD Cand. Sci (Medicine)
Russian Federation, Saint PetersburgEvgeny N. Gnevyshev
Institute of Applied Psychoanalysis and Psychology of the Autonomous Non-Commercial Organization of Higher Education “University under the Interparliamentary Assembly of the Eurasian Economic Community”
Email: evg-gnevyshev@yandex.ru
ORCID iD: 0000-0001-9671-462X
SPIN-code: 9885-0260
MD Cand. Sci (Medicine), Associated Professor
Russian Federation, Saint PetersburgKamil R. Magomedov
Saint Luke’s Clinic
Author for correspondence.
Email: kamagomedov@gmail.com
ORCID iD: 0009-0000-5649-2321
SPIN-code: 8555-9957
MD doctor neurologist
Russian Federation, Saint PetersburgReferences
- Zhivolupov SA, Rashidov NA, Onishchenko LS, et al. Characteristics of reactive neuroplastic changes after experimental traumatic neuropathy of sciatic nerve. Bulletin of the Russian Military Medical Academy. 2015;(2(50)):163–169. EDN: TVSTHP
- Ranson SW. Alterations in the spinal ganglion cells following neurotomy. J Comp Neurol Psychol. 1909;19:125–153. Сitation by Pannese E, Ledda M, Cherkas PS, et al. Satellite cell reactions to axon injury of sensory ganglion neurons: Increase in number of gap junctions and formation of bridges connecting previously separate perineuronal sheaths. Anat Embryol. 2003;206:337–347. doi: 10.1007/s00429-002-0301-6
- Nechipurenko NI. Current concepts of the pathogenesis of traumatic lesions of peripheral nerves. Meditsinskiye novosti. 1997;(5):9–16. (In Russ.)
- Ambron RT, Walters ET Priming events and retrograde injury signals. A new perspective on the cellular and molecular biology of nerve regeneration. Mol Neurobiol. 1996;13(1):61–79. doi: 10.1007/BF02740752
- Odinak MM, Zhivolupov SA. Diseases and injuries of the peripheral nervous system: a tutorial. Saint Petersburg: SpetsLit.; 2009. 367. (In Russ.)
- Liu Y, Wang H. Peripheral nerve injury induced changes in the spinal cord and strategies to counteract/enhance the changes to promote nerve regeneration. Neural Regen. Res. 2020;(15):189–198. doi: 10.4103/1673-5374.265540
- Zhivolupov SA, Rashidov NA, Onishchenko LS, et al. The comparative pattern of neuromidin and magnetic stimulation influence on neuroplasticity in experimental traumatic neuropathy. Zh Nevrol Psikhiatr Im S S Korsakova. 2014;114 (6):57–62. EDN: STWNNT
- Mironov AA, Komissarchik YaYu, Mironov VA. Methods of electron microscopy in biology and medicine: Methodical guide. Saint Petersburg: Nauka; 1994. 400. (In Russ.)
- Pin JP, Duvoisin R. The metabotropic glutamate receptors: structure and functions. Neuropharmacology. 2005;34(1):1–26. doi: 10.1016/0028-3908(94)00129-g
- Kubatiev AA, Paltsyn AA. Intracellular brain regeneration: a new view. Annals of the Russian academy of medical sciences. 2012;67(8):21–25. EDN: PDBBSV doi: 10.15690/vramn.v67i8.345
- Garbern J, Yool D, Moore G, et al. Patients lacking the major CNS myelin protein, proteolipid protein 1, develop length-dependent axonal degeneration in the absence of demyelination and inflammation. Brain. 2002;(125):551–561. doi: 10.1093/brain/awf043
- Fünfschilling U, Supplie LM, Mahad D, et al. Glycolytic oligodendrocytes maintain myelin and long-term axonal integrity. Nature. 2012;485(7399):517–521. doi: 10.1038/nature11007
- Nave K-A, Werner HB. Myelination of the nervous system: mechanisms and functions. Annu Rev Cell Dev Biol. 2014;30:503–533. doi: 10.1146/annurev-cellbio-100913-013101
- Duncan GJ, Manesh SB, Hilton BJ, et al. W. The fate and function of oligodendrocyte progenitor cells after traumatic spinal cord injury. Glia. 2020;68(2):227–245. doi: 10.1002/glia.23706
- Tarasidis G, Watanabe O, Mackinnon SE, et al. End-to-side neurorrhaphy: A long term study of neural regeneration in a rat model. Otolaryngol Head Neck Surg. 1998;119(4):337–341. doi: 10.1016/S0194-5998(98)70074-9
- Goldberg JL. How does an axon grow? Genes Dev. 2003;17(8):941–958. doi: 10.1101/gad.1062303
- Gordh T, Sharma HS. Chronic spinal nerve ligation induces microvascular permeability disturbances, astrocytic reaction, and structural changes in the rat spinal cord. Acta Neurochir Suppl. 2006;96:335–340. doi: 10.1007/3-211-30714-1_70
- Lanskaya OV. Synaptic and neuronal plasticity in various functional states of the nervous system. NovaInfo.Ru. 2016;2(57):35–52. EDN: XETGPR
- Semchenko VV, Stepanov SS, Bogolepov NN. Synaptic plasticity of the brain (fundamental and applied aspects). M.: Directmedia; 2014. 498 p. (In Russ.)
- Kuo MF, Grosch J, Fregni F, et al. Focusing еffect of acetylcholine on neuroplasticity in the human motor cortex. J Neurosci. 2007;27(52):14442–14447. doi: 10.1523/JNEUROSCI.4104-07.2007
Supplementary files














