Endoscopic techniques and their effectiveness in the treatment of the boerhaave´s syndrome (clinical observation)
- Authors: Zubarev P.N.1, Dzidzava I.I.1, Belevich V.L.1, Brednev A.O.1, Popov V.A.1
-
Affiliations:
- S. M. Kirov Military Medical Academy
- Issue: Vol 39, No 3 (2020)
- Pages: 50-55
- Section: Case report
- URL: https://journals.eco-vector.com/RMMArep/article/view/64984
- DOI: https://doi.org/10.17816/rmmar64984
- ID: 64984
Cite item
Full Text
Abstract
Minimally invasive endoscopic methods are gradually being introduced in all areas of medicine. Esophageal surgery is no exception. Recently, endoscopic clipping of the mucous membrane for fresh ruptures, stenting of the esophagus and Vacuum Assisted Closure have been used in the treatment of injuries of the esophagus when radical surgery is impossible and purulent complications develop. As the techniques were mastered, they were introduced into the clinic. This article presents a clinical observation of the treatment of a 56-year-old patient with a spontaneous rupture of the esophagus (Boerhaave΄s syndrome), who at certain stages of treatment used certain endoscopic techniques that allowed to stabilize the patient in the early stages of treatment and preserve the esophagus and its functionality in the future. The duration of the patient΄s treatment in the clinic was 45 days. Subsequent follow-up examinations did not reveal any abnormalities in the patient΄s health that required surgical correction. This observation allowed us to look at the problem of treating this group of patients from a different angle and form new algorithms for treating patients using minimally invasive methods (6 figs, bibliography: 10 refs).
Full Text
ВВЕДЕНИЕ
На сегодняшний день синдром Бурхаве является редкой, труднодиагностируемой патологией с неоднозначными подходами к лечению и высокой летальностью, превосходящей таковую при всех прочих видах гастроинтестинальных перфораций [1]. Наиболее частой причиной спонтанного разрыва пищевода является интенсивная рвота после обильного приема пищи или жидкости.
Диагностика и лечение данной патологии остаются одними из актуальных и сложных вопросов современной хирургии. Послеоперационная летальность в группе больных с синдромом Бурхаве колеблется от 25 до 85% и зависит от времени, прошедшего с момента повреждения пищевода [2]. Если оперативное вмешательство задерживается более чем на 24 ч, то риск неблагоприятного исхода превышает 50% [3, 4].
По мнению большинства авторов, основным методом лечения спонтанного разрыва пищевода является открытое оперативное вмешательство [3]. Высокая травматичность прямых операций на пищеводе, делающая их невыполнимыми у больных с сепсисом и полиорганной недостаточностью, определяет поиск возможностей минимально инвазивных вмешательств [4]. В последние годы в лечении проникающих повреждений пищевода стали применять высокотехнологичные внутрипросветные эндоскопические методы, такие как, установка саморасширяющихся пищеводных стентов, закрытие раны пищевода при помощи эндоскопических клипс, укрепление раны цианоакриловым клеем и вакуумная эндоскопическая терапия [5].
КЛИНИЧЕСКОЕ НАБЛЮДЕНИЕ
Больной Р., 56 лет, на фоне избыточного приема пищи и спиртных напитков отметил многократную рвоту съеденной пищей, резкую боль за грудиной и чувство нехватки воздуха. Бригадой скорой помощи через 5 ч после начала заболевания доставлен в городской стационар г. Санкт-Петербурга. Обследован в условиях приемного покоя. При обзорной рентгенографии органов грудной клетки и ультразвуковом исследовании плевральных полостей диагностирован левосторонний гидропневмоторакс. Проведены торакоцентез и дренирование левой плевральной полости в 8-м межреберье. Эвакуировано 1200 мл мутного экссудата с примесью остатков пищи, заподозрен разрыв пищевода (синдром Бурхаве). Выполнена полипозиционная контрастная эзофагоскопия, при которой на уровне наддиафрагмального отдела пищевода определялся затек контраста в левую плевральную полость. Принято решение о проведении оперативного вмешательства — левосторонней торакотомии, ревизии плевральной полости, ушивании разрыва стенки пищевода.
Выполнена левосторонняя переднебоковая торакотомия. В плевральной полости большое количество фибринозно-гнойного экссудата с примесью желчи и желудочного содержимого эвакуировано, плевральная полость отмыта. При дальнейшей ревизии в области медиастинальной плевры на уровне нижнегрудного отдела пищевода дефект плеврального листка длиной 7 см с неровными рваными краями, клетчатка средостения отечная с участками некроза. С целью определения протяженности дефекта слизистой выполнена интраоперационная эзофагоскопия. Выявлен полнослойный разрыв левой боковой стенки пищевода протяженностью 5 см начиная с 33 см от резцов.
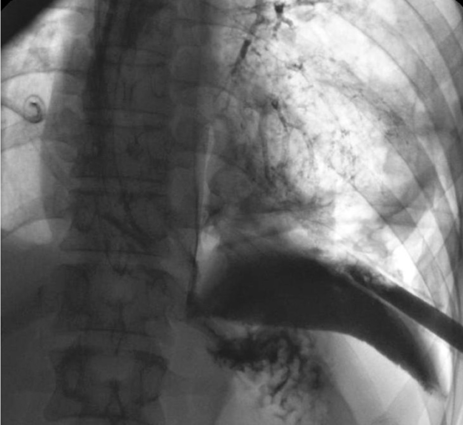
Медиастинальная плевра вскрыта на всем протяжении. Наложены двухрядные швы на стенку пищевода в продольном направлении. Линия швов укреплена плевральным листком. Средостение и плевральная полость дренированы толстыми трубками. В тонкую кишку установлен энтеральный зонд для питания. Ранний послеоперационный период протекал без особенностей. Однако на 4-е сут состояние больного резко ухудшилось: сознание на уровне оглушения, наросли признаки интоксикации и системной воспалительной реакции. По дренажам стало отделяться мутное содержимое с примесью желчи. При пероральной контрастной эзофагоскопии выявлен затек в обе плевральные полости (рис. 1). Констатирована несостоятельность швов пищевода.
Рис. 1. Рентгенконтрастное исследование пищевода. Затек контрастного вещества в левую плевральную полость
Нарастание дыхательной недостаточности потребовало интубации трахеи и искусственной вентиляции легких. Дополнительно дренирована правая плевральная полость. Получено около 300 мл гнойного экссудата. Оба плевральных дренажа установлены на активную аспирацию. Продолжили промывание левой плевральной полости, санацию трахеобронхиального дерева, интенсивную консервативную терапию. На 6-е сут характер отделяемого из плевральной полости изменился до гнойного, количество экссудата возросло до 1 л.
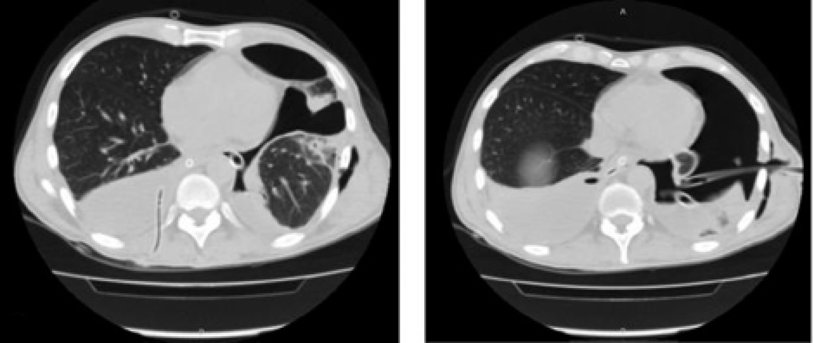
При спиральной компьютерной томографии груди диагностирован затек контраста в обе плевральные полости, признаки медиастинита (рис. 2).
Рис. 2. Компьютерные томограммы (А и Б) в аксиальной проекции. Двусторонний гидроторакс, слева гидропневмоторакс на фоне энтерального зонда и дренированных плевральных полостей
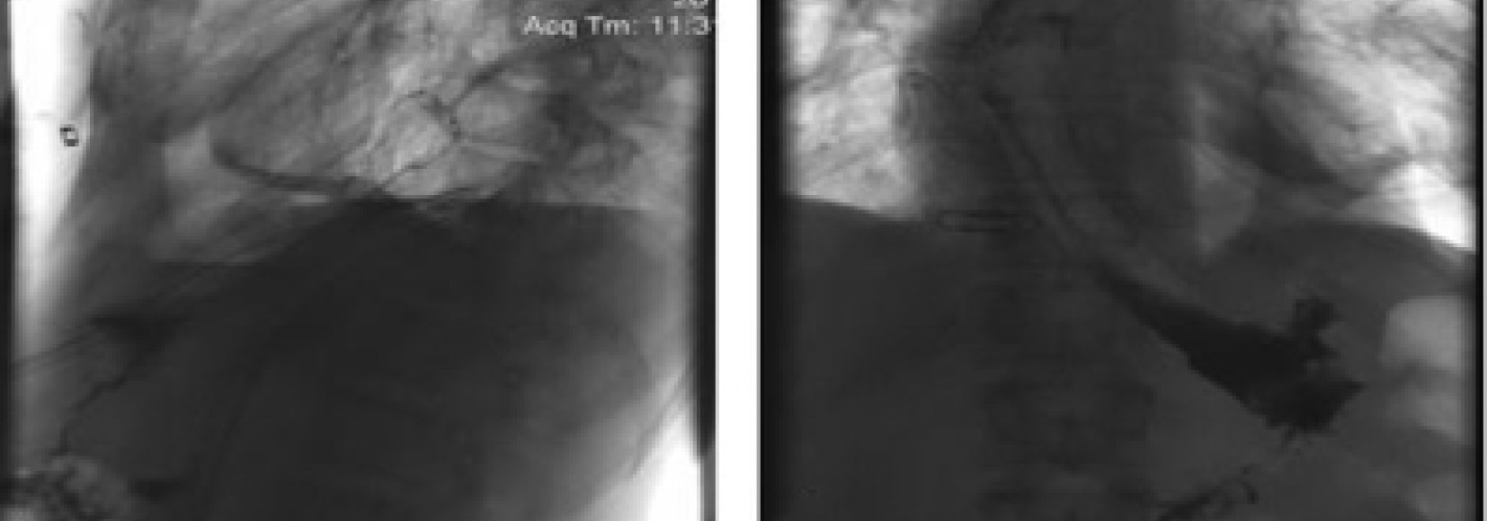
Рис. 3. Рентгенограммы: А — при постановке стента; Б — через 2 дня после установки. Пищевод герметичен, миграции стента и затека контрастного вещества не определяются
Выполнена повторная эзофагоскопия: на расстоянии 35 см от резцов по левой боковой стенке определяется дефект стенки пищевода линейной формы с ослизненными неровными покрытыми фибрином краями и элементами прорезанных ниток протяженностью до 2,5 см, сообщающийся с левой плевральной полостью. По правой стенке на 36 см от резцов выявлен дополнительный разрыв длиной около 0,5 см. В связи с сохраняющимся двухсторонним пищеводно-плевральным свищом и значительным сбросом из левой плевральной полости с примесью желудочного отделяемого выполнено стентирование нижней трети пищевода саморасширяющимся полностью покрытым нитиноловым стентом диаметром 20 мм. При контрольных рентгеноскопиях затеков контрастного вещества за пределы пищевода в течение 5 дней не отмечалось (рис. 3). На этом фоне удалось купировать явления системной воспалительной реакции, среднесуточная температура снизилась до субфебрильных цифр (37,0–37,3 °С), уменьшилось количество отделяемого по левому плевральному дренажу до 300 мл, поступление экссудата из правой плевральной полости прекратилось.
На 12-е сут от начала заболевания выявлены эпизоды миграции стента как в проксимальном, так и в дистальном направлении. Попытки стабилизировать стент оказались безуспешными. Пищеводный стент удален. При контрольной фиброэзофагоскопии дефекта слизистой по правой стенке пищевода нет, по левой стенке сохранялся свищевой ход размером до 18 мм в диаметре. Через свищевой ход был виден дистальный конец плеврального дренажа. Снаружи через проксимальный конец дренажной трубки введен мягкий проводник, который под контролем и при помощи эндоскопа сначала проведен в просвет пищевода, а потом выведен наружу через рот, по которому в свищевой ход установлена система для терапии отрицательным давлением (VAC-терапии) (рис. 4).
Рис. 4. Фотоснимки: А — система для VAC-терапии; Б — технические особенности наконечника для установки его в средостение
Создано постоянное отрицательное давление (рис. 5).
Рис. 5. Схема постановки VAC-системы в свищевой ход
VAC-терапия проводилась в течение 6 сут, выполнена двукратная плановая смена системы. За это время удалось уменьшить размер свищевого хода до 12 мм, разобщить плевральную полость и просвет пищевода, сформировать слепой округлый формы свищ.
С целью уменьшения диаметра дефекта слизистой и формы свищевого хода на края слизистой в области дефекта наложены эндоклипсы (рис. 6).
Рис. 6. Эндоскопические снимки: А — 1-е сут после наложения эндоклипс
Рис. 6. Эндоскопические снимки: Б — 7-е сут после этапного клипирования свищевого хода
По данным рентгенконтрастного исследования, выполненного на 23-е сут, отмечено уменьшение свищевого отверстия до 0,5 см. Контраст в левую плевральную полость не поступал, дренаж удален.
На 33-и сут после развития синдрома Бурхаве эзофаго-плевральный свищ полностью облитерировался. На фоне лечения состояние больного улучшалось, восстанавливался трофический статус, уменьшались явления интоксикации и системной воспалительной реакции.
При контрольном эндоскопическом и рентгенологическом исследованиях на 37-е сут от момента повреждения сообщения с левой плевральной нет. Пациент полностью переведен на энтеральное питание. Дренажи из левой плевральной полости удалены. Пациент выписан.
ОБСУЖДЕНИЕ
Многие авторы сходятся во мнении, что результаты лечения пациентов со спонтанным разрывом пищевода напрямую зависят от вида оперативного доступа, через который осуществляется ушивание пищевода и санация, выполненные в наиболее ранние сроки, и что оптимальным доступом является левосторонняя торакотомия [6, 7]. В современной литературе все более широко встречаются сообщения об успешном применении для лечения синдрома Бурхаве эндоскопических методик [7]. Внедрение этих методов в лечении данной категории пациентов представляется актуальным и перспективным направлением современной хирургии. Как показывает опыт зарубежных авторов, покрытые стенты при нахождении в течение 6–8 нед в просвете пищевода позволяют безопасно и эффективно заживить как доброкачественные перфорации пищевода, так и несостоятельности в области анастомозов [5]. Эффективность различных типов стентов существенно не отличается. Выбор конструкции стента основывается на диаметре и протяженности покрытой части для обеспечения максимальной герметичности. К. Г. Кубачев с соавт. считает, что стентирование пищевода при его спонтанном разрыве показано у больных с индексом коморбидности более 25 баллов или состоянии, обусловленном тяжелой интоксикацией, по шкале APACH-II более 20 баллов, а также при несостоятельности швов пищевода области разрыва [8]. Эндоскопическое клипирование клипсами системы «OTSC подходит для лечения малых (до 1,5 см) чистых перфораций на фоне отсутствия или при минимальных явлениях системной воспалительной реакции [5]. Наилучшие результаты встречаются при ятрогенных повреждениях и несостоятельности пищеводно-желудочных анастомозов [7, 8]. Клипирование слизистой в месте дефекта стенки пищевода можно осуществлять в качестве этапного закрытия свищевого хода с целью ускорения процесса заживления. В нашем наблюдении клипирование пищеводно-плеврального свища первоначально позволило изменить конфигурацию свищевого хода до линейной формы, а затем и полностью закрыть дефект. Применение VAC-терапии наиболее перспективный и интенсивно развивающийся метод в лечении повреждений и несостоятельностей швов пищевода, позволяющий за короткий промежуток времени сформировать отграниченную полость и очистить зону дефекта [9]. При применении эндоскопических методик обязательным компонентом должно быть адекватное дренирование средостения и плевральной полости [8].
ЗАКЛЮЧЕНИЕ
Некоторые авторы для определения лечебной тактики пользуются Питсбургской системой оценки тяжести перфорации пищевода [10]. При отсроченном поступлении больных, когда диагноз установлен несвоевременно, первоначальное лечение должно быть направлено на устранение сепсиса, эндогенной интоксикации, проведение антибиотикотерапии, дренирование плевральной полости и средостения, восстановление трофического статуса. Различные минимально инвазивные методы (Т-образные дренажи и методики «выключения» пищевода, торако- и лапароскопия, эндоскопическое стентирование, VAC-терапия и клипирование) могут быть применены индивидуально в зависимости от клинической ситуации и состояния больного. При развитии несостоятельности швов пищевода наиболее оптимальными являются эндоскопические методы лечения [6]. В отличие от агрессивных оперативных вмешательств малоинвазивные методы имеют ряд преимуществ, которые обеспечивают сохранение пищевода как органа и более быстрое восстановление функций организма. Широкое внедрение современных малотравматичных методов лечения требует проведения дальнейшей оптимизации и выработки единого алгоритма лечения данной категории пациентов.
УВЕДОМЛЕНИЕ
Авторы внесли равный вклад в данную работу и сообщают об отсутствии какого-либо конфликта интересов.
ACKNOWLEDGMENT
Authors contributed equally into this work and declare no conflict of interest.
About the authors
Petr N. Zubarev
S. M. Kirov Military Medical Academy
Author for correspondence.
Email: koptata@mail.ru
ORCID iD: 0000-0003-4470-3536
M. D., D. Sc. (Medicine), Associate Professor, Associate Professor of the General Surgery Department
Russian Federation, bld. 6, Akademika Lebedeva str., Saint Petersburg, 194044Ilya I. Dzidzava
S. M. Kirov Military Medical Academy
Email: koptata@mail.ru
ORCID iD: 0000-0002-5860-3053
M. D., D. Sc. (Medicine), Assoc. Prof., the Нead of the Hospital Surgery Department
Russian Federation, bld. 6, Akademika Lebedeva str., Saint Petersburg, 194044Valeriy L. Belevich
S. M. Kirov Military Medical Academy
Email: koptata@mail.ru
M. D., D. Sc. (Medicine), Senior Lecturer of the General Surgery Department
Russian Federation, bld. 6, Akademika Lebedeva str., Saint Petersburg, 194044Anton O. Brednev
S. M. Kirov Military Medical Academy
Email: koptata@mail.ru
M. D., Ph. D. (Medicine), Lecturer of the General Surgery Department
Russian Federation, bld. 6, Akademika Lebedeva str., Saint Petersburg, 194044Vladimir A. Popov
S. M. Kirov Military Medical Academy
Email: koptata@mail.ru
Senior Resident of the Hospital Surgery Clinic
Russian Federation, bld. 6, Akademika Lebedeva str., Saint Petersburg, 194044References
Supplementary files










