The application of long frame draining of pancreatoejunoanastomosis in patient after gastropancreatoduodeonal resection
- Authors: Ivanusa S.Y.1, Shershen D.P.1, Akiуev R.M.1, Eliseev A.1
-
Affiliations:
- S. M. Kirov Military Medical Academy
- Issue: Vol 39, No 3 (2020)
- Pages: 86-90
- Section: Original articles
- URL: https://journals.eco-vector.com/RMMArep/article/view/64990
- DOI: https://doi.org/10.17816/rmmar64990
- ID: 64990
Cite item
Full Text
Abstract
Objective. To demonstrate the possibilities of early diagnosis of pancreatoejunonastomosis failure and options for surgical treatment of patients with pancreatic fistula after gastropancreatoduodenal resection using long-term frame drainage of pancreatojejunonastomosis.
Materials and methods. The results of combined treatment of a patient of the Department of General Surgery of S. M. Kirov Military Medical Academy with a intraductal papillary mucinous neoplasms. Pancreatoejunonastomosis failure was diagnosed based on the criteria of the International Research Group for the Study of Pancreatic Fistulas.
Results of the study. Patient B., 61 years old. In January 2019, computer tomography revealed a cystic cavity in the head of the pancreas. An controlled endoscopic ultrasound sonography biopsy was performed. Morphological examination verified the signs of intraductal papillary mucinous neoplasm. On March 11, 2019, the patient underwent gastropancreatoduodenal resection with decompression of pancreatoejunoanastomosis using long-term frame drainage of the main pancreatic duct. On the third day of the postoperative period, x-ray contrast fistulography was used to diagnose the failure of the pancreatoejunonastomosis with the formation of a “B” type fistula. On the 23d day after gastropancreatoduodenal resection, puncture drainage of the non-drained acute fluid collection was performed under ultrasonographic control. On the 36th day of the postoperative period the frame and puncture drains were removed.
Conclusion. The use of long-term frame drainage for decompression of the duct system with staged fistulography, early diagnosis of complications of gastropancreatoduodenal resection in the form of the formation of type B pancreatic fistula, provided the effectiveness of conservative and minimally invasive measures for the treatment of postoperative complications (8 figs, bibliography: 7 refs).
Full Text
ВВЕДЕНИЕ
На сегодняшний день ведущую роль в лечении образований панкреатодуоденальной зоны занимают традиционные хирургические операции. Хирургия поджелудочной железы (ПЖ) традиционно остается хирургией крайне высокого операционного риска, что во многом связано с высокой частотой развития таких осложнений, как острый послеоперационный панкреатит, несостоятельность панкреатодигестивного соустья, ферментативный и гнойный перитонит, панкреатические свищи. Частота несостоятельности панкреатоеюноанастомоза после выполнения гастропанкреатодуоденальной резекции (ГПДР) составляет от 1,2 до 53%. Разработка множества технических приемов и внедрение в клиническую практику различных медикаментозных способов профилактики не привели к существенному снижению количества послеоперационных осложнений [1, 2].
На протяжении становления хирургии ПЖ развивалась техника реконструктивного этапа. В 70–80-e гг. ХХ в. было предложено множество способов выключения ПЖ из пищеварительного тракта, такие как ушивание наглухо культи ПЖ, формирование наружной вирсунгостомы, пломбировка главного панкреатического протока (ГПП) различными материалами [3]. Однако в связи с неэффективностью данных методик и развитием тяжелых осложнений эти попытки были оставлены. Многие исследования были направлены на выбор способа включения культи ПЖ в пищеварение. Наиболее перспективными признаны различные варианты анастомозов: инвагинационный панкреатоеюноанастомоз (ПЕА) с антирефлюксными свойствами; ПЕА на дренаже (наружном, потерянном); продольный ПЕА; концепетлевой (телескопический) ПЕА; панкреатогастроанастомоз (ПГА) и другие [5, 6].
ЦЕЛЬ
Продемонстрировать возможности ранней диагностики несостоятельности ПЕА и варианты хирургического лечения больных с панкреатической фистулой после ГПДР путем применения длительного каркасного дренирования ПЕА.
МАТЕРИАЛЫ И МЕТОДЫ
ГПДР в условиях клиники общей хирургии выполняется с 2005 г. Анализ имеющихся ретроспективных данных показал, что в структуре осложнений прямых резекционных хирургических вмешательств на ПЖ доля несостоятельности панкреатодигестивного соустья составляла 18,7%. Продемонстрированы результаты комбинированного лечения пациентки клиники общей хирургии Военно-медицинской академии имени С. М. Кирова (ВМедА) с новообразованием головки ПЖ.
РЕЗУЛЬТАТЫ
Клинический случай. Больная Б., 61 г. В 2009 г. при плановом обследовании у больной выявлены признаки хронического калькулезного холецистита. Рекомендована плановая холецистэктомия. В 2012 г. больная с приступом механической желтухи на фоне холедохолитиаза госпитализирована в ГБ № 17 г. Санкт-Петербурга. В срочном порядке пациентке выполнены супрапапиллярная сфинктеротомия, литоэкстракция и санация холедоха.
В 2018 г. впервые обратилась в клинику общей хирургии по поводу наличия болевого синдрома в правом подреберье. На момент обследования у пациентки по данным ультрасонографии и магнитно-резонансной томографии в холангиорежиме выявлены признаки билиарной гипертензии за счет стриктуры интрапанкреатической части холедоха, признаки холецистолитиаза (рис. 1).
Рис. 1. МР-холангиограмма. Стриктура интрапанкреатической части холедоха с признаками билиарной гипертензии
В анализах крови отмечается повышение общего и свободного билирубина 32 мкмоль/л (20 мкмоль/л), показатели онкомаркеров (СА 19-9, РЭА, хромогранина А) в пределах нормы.
Учитывая представленные данные, сформулированы показания к выполнению эндоскопической ретроградной холангиопанкреатикографии, по данным которой гепатикохоледох расширен до 12 мм, в интрапанкреатической части определяется стриктура с сужением просвета до 2 мм и протяженностью 10 мм. При контрастировании панкреатического протока определяется кистозное образование в проксимальной части панкреатического протока головки ПЖ с последующим заполнением его дистальных отделов (рис. 2).
Рис. 2. Холангиопанкреатограмма. Стриктура интрапанкреатической части холедоха
Был взят гистологический материал. Операция завершилась стентированием гепатикохоледоха и ГПП. По результатам морфологического исследования № 63591 от 25 октября 2018 г. выявлены признаки воспалительной стриктуры гепатикохоледоха, мононуклеарной и лейкоцитарной инфильтрации, из просвета панкреатической кисты дифференцируется муцин с десквамированным эпителием. Признаков онкологического процесса не выявлено (рис. 3).
Рис. 3. МР-томограмма. Кистозная полость на фоне стентированного ГПП
В январе 2019 г. пациентке выполнена динамическая компьютерная томография, по данным которой купированы признаки билиарной гипертензии, сохраняется кистозная полость на фоне стентированного ГПП.
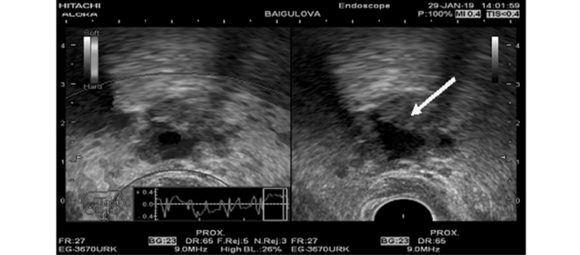
При эндоскопической ультрасонографии выявлены признаки папиллярной ткани в области кистозного образования ГПП. При помощи тонкоигольной пункции под ультрасонографическим контролем взят биопсионный и цитологический материал (рис. 4).
Рис. 4. Эндосонограмма. Признаки папиллярной ткани в области кистозного образования ГПП
По данным цитологического (cytospin, cell-block) исследования бесструктурные массы (детрит), эпителиальные клетки отсутствуют. При морфологическом исследовании верифицированы признаки внутрипротоковой папиллярной опухоли (Intraductal Papillary Mucinous Neoplasm — IPMN). Исследование онкомаркеров в аспированной кистозной жидкости показало повышение уровня СА 19-9 более 1000 нг/мл и СЕА более 27,2 нг/мл.
Учитывая данные дополнительных диагностических методик, сформулированы показания к выполнению резекции ПЖ. 11 марта 2019 г. пациентке выполнена ГПДР.
По нашему мнению, важнейшим элементом профилактики осложнений со стороны культи ПЖ и обеспечения благоприятных условий для заживления панкреатокишечного анастомоза, его герметичности является адекватная декомпрессия протоковой системы культи железы в раннем послеоперационном периоде. На восстановительном этапе ГПДР анастомозы формировали последовательно на одной петле тощей кишки, которую провели через окно в брыжейке поперечной ободочной кишки. Первым формировали панкреатокишечное соустье, которое было проксимальным, затем последовательно выполняли билиодигестивный и желудочно-кишечный анастомозы.
Декомпрессию панкреато- и билиодигестивного анастомозов производили с помощью длительного каркасного дренирования ГПП (рис. 5).
Рис. 5. Этапы наложения панкреато- и холедохоэнтероанастомозов. А) Панкреатоэнтероанастомоз. Б) Холедохоэнтероанастомоз
На 3-и сут послеоперационного периода из отделяемого по дренажу зоны панкреатоэнтероанастомоза выполнено исследование уровня амилазы, который составил 25 000 Ед/л. В последующем он повышался до 52 000 Ед/л. Снизился суточный объем панкреатического секрета по каркасному дренажу, появился лейкоцитоз до 15,6 × 10–9 л.
Наличие временного каркасного дренажа позволило подтвердить несостоятельность ПЕА рентгеноконтрастной фистулографией (рис. 6).
Рис. 6. Панкреатическая фистулография. Стрелками обозначены панкреатический проток и зона несостоятельности анастомоза
На основании критериев Международной группы по изучению панкреатических фистул несостоятельность ПЕА анастомоза считали доказанной [7].
Проведена смена антибактериальной терапии, больная переведена на парентеральное питание, увеличена дозировка аналогов соматостотина до 1200 мг в сут.
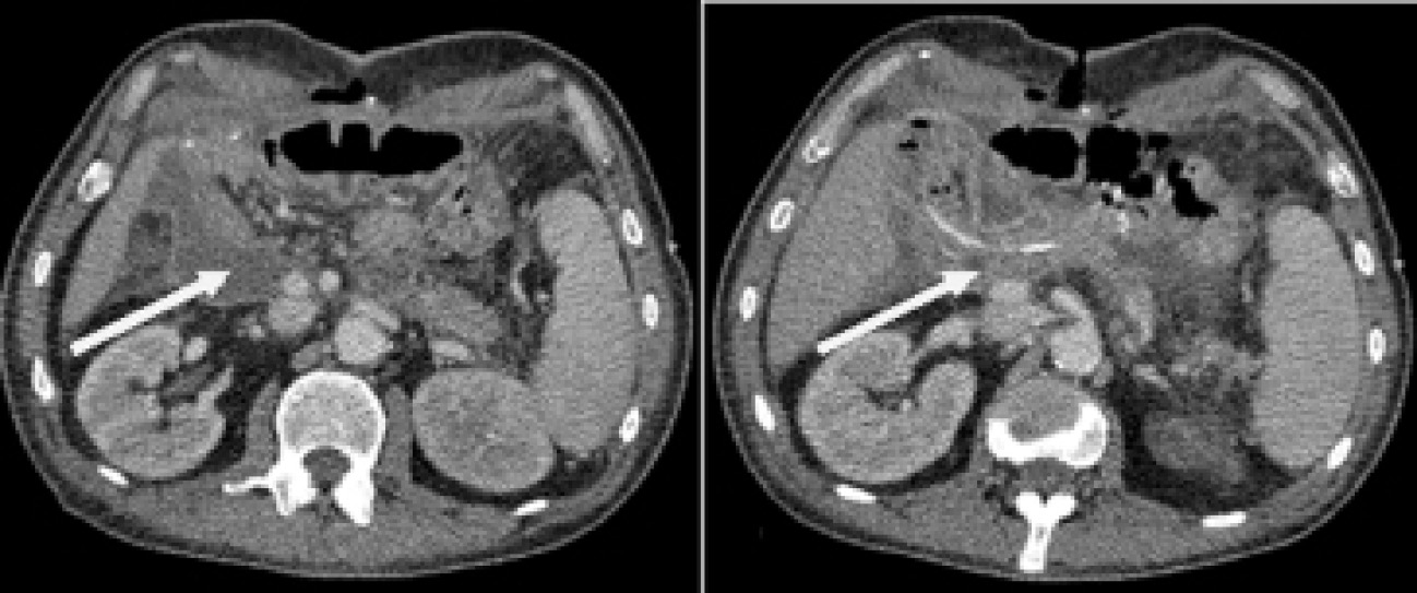
На фоне проводимых мероприятий сохранялись признаки системной воспалительной реакции. По данным компьютерного и ультрасонографического контроля отметили увеличение свободной жидкости в области ПЕА (рис. 7).
Рис. 7. Компьютерная томограмма. А) Свободная жидкость в области ПЕА; Б) Дренирование зоны ПЕА
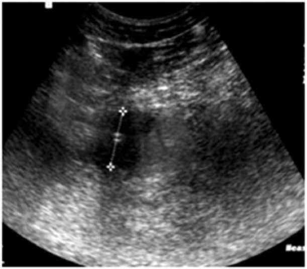
Учитывая наличие недренирумых отграниченных жидкостных скоплений, выполнено пункционное дренирование под ультрасонографическим контролем на 23-е сут после ГПДР (рис. 8).
Рис. 8. Ультрасонограмма. Отграниченное жидкостное скопление в области ПЕА
На 8-е сут после пункционного дренирования поступление отделяемого по дренажу прекратилось. По данным контрольной фистулографии отмечается купирование полости абсцесса. На 36-е сут послеоперационного периода выполнено удаление каркасного и пункционного дренажей.
При контрольной динамической ультрасонографии брюшной полости появление свободной и отграниченной жидкости не отмечалось. Купированы признаки системной воспалительной реакции.
ЗАКЛЮЧЕНИЕ
Таким образом, несостоятельность ПЕА диагностирована в ранние сроки, за счет имеющегося фистульного каркасного дренажа с формированием панкреатической фистулы «В» типа. На фоне применения консервативной терапии в сочетании с парентеральным питанием, пункционным дренированием абсцесса в области ПЕА отмечали закрытие фистулы с последующим удалением дренажей на 36-е сут после оперативного вмешательства.
УВЕДОМЛЕНИЕ
Авторы внесли равный вклад в данную работу и сообщают об отсутствии какого-либо конфликта интересов.
ACKNOWLEDGMENT
Authors contributed equally into this work and declare no conflict of interest.
About the authors
Sergey Y. Ivanusa
S. M. Kirov Military Medical Academy
Author for correspondence.
Email: koptata@mail.ru
M. D., D. Sc. (Medicine), Professor
Russian Federation, bld. 6, Akademika Lebedeva str., Saint Petersburg, 194044Dmitriy P. Shershen
S. M. Kirov Military Medical Academy
Email: koptata@mail.ru
M. D., Ph. D. (Medicine), Senior Lecturer of the General Surgery Department
Russian Federation, bld. 6, Akademika Lebedeva str., Saint Petersburg, 194044Rustam M. Akiуev
S. M. Kirov Military Medical Academy
Email: koptata@mail.ru
M. D., Ph. D. (Medicine), Senior Lecturer of the Radiology Department
Russian Federation, bld. 6, Akademika Lebedeva str., Saint Petersburg, 194044Alexander Eliseev
S. M. Kirov Military Medical Academy
Email: koptata@mail.ru
M. D., Ph. D. (Medicine), Senior Resident of the General Surgery Clinic
Russian Federation, bld. 6, Akademika Lebedeva str., Saint Petersburg, 194044References
Supplementary files











