Microspatial structure of population gene pool in the land snail Helicopsis striata (Pulmonata, Hygromiidae) in conditions of the Southern Mid-Russian Upland
- Authors: Sychev A.A1, Snegin E.A1
 - 
							Affiliations: 
							
- Belgorod national research university
 
 - Issue: Vol 14, No 2 (2016)
 - Pages: 28-38
 - Section: Articles
 - Submitted: 27.07.2016
 - Published: 15.06.2016
 - URL: https://journals.eco-vector.com/ecolgenet/article/view/3599
 - DOI: https://doi.org/10.17816/ecogen14228-38
 - ID: 3599
 
Cite item
Full Text
Abstract
Background. The formation of the subdivided genetic pattern is key to the successful adaptation of population. Consequently work on the conservation and restoration of protected steppe snail Helicopsis striata (Müller 1774) should be based on the analysis microprotrusions differentiation of population gene pools. Materials and methods. The genetic structure of six populations of H. striata was studied in a variety conditions of the Southern Mid-Russian Upland. In each population collected snails from five locations, located at an equal distance from each other (150-200 m). As the genetic markers used six polymorphic loci of allozymes (polyacrylamide gel electrophoresis) and DNA loci (ISSR-PCR). Results. In general, on the Southern Mid-Russian Upland H. striata is characterized by a different degree of the spatial differentiation population gene pools (for example, according to the ISSR-loci 0,078 ≤ Фst ≤ 0,251). In comparison with the other investigated species of land snail in the study area H. striata is distinguished by the high degree of а differentiation population gene pools. It is shown that populations with a high degree of genetic structure found in the biotopes with different levels of the landscape fragmentation. Conclusion. Based on these results it can be stated that an important role in shaping the populations genetic structure in H. striata is not so much the level of diversity environmental conditions, as the degree of migratory activity individuals, which was the highest in genetically rich populations of the basin Seversky Donets river. At the same time the biology of this snail decrease the speed of its active and passive migration, which probably leads to increased isolation of populations. The highest probability of extinction, in our opinion, are isolated populations of H. striata with low genetic variability.
			                Full Text
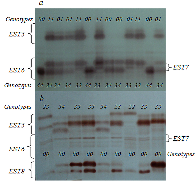
Введение Пространственная генетическая дифференциация является важным маркером состояния природных популяций в изменчивых условиях среды [21]. Так, с увеличением биотопического разнообразия в популяции формируются устойчивые в пространстве и времени внутрипопуляционные группировки (демы, или субпопуляции), каждая из которых адаптируется к локальным условиям [3, 4, 14]. Это значительно увеличивает жизнеспособность популяции и способствует ее дальнейшему выживанию. При этом ключевым моментом в формировании структуры можно считать появление генетической обособленности демов, что является прямым следствием нарушения панмиксии и приводит к временной стабилизации внутрипопуляционной структуры. Высокоагрегированный тип пространственной структуры и низкая миграционная активность делают наземных моллюсков хорошими модельными объектами при исследовании внутрипопуляционной структурированности [6]. В настоящее время известны исследования микропространственной генетической структуры на примере таких моллюсков, как Trochoidea geyeri (Soos, 1926) по RAPD-маркерам [23], Pomatias elegans (Müller, 1774) по изоферментам [22], Helix aspersa (Müller, 1774) по изоферментам и микросателлитам [16, 17, 24], Brephulopsis bidens (Krynicky, 1883) по изменчивости конхиологических признаков [5, 19] и др. Тем не менее многие вопросы генетической структурированности популяций наземных моллюсков остаются открытыми. В частности, одним из наиболее актуальных направлений является оценка дифференциации популяционных генофондов редких и уязвимых видов моллюсков, которая может стать важной частью работ по сохранению и восстановлению их популяций. В этом отношении особого внимания заслуживают популяции ксерофильного моллюска Helicopsis striata, обитающего в условиях пересеченного ландшафта юга Среднерусской возвышенности и охраняемого на территории Белгородской области России [13]. Цель исследования: провести анализ микропространственной дифференциации генетической структуры популяций H. striata, обитающих в гетерогенных условиях юга Среднерусской возвышенности. Материалы и методы Исследование внутрипопуляционной дифференциации генофонда H. striata проводили в осенние периоды 2011 и 2012 гг. Для этого на территории юга Среднерусской возвышенности было выбрано шесть модельных популяций (рис. 1), приуроченных к биотопам с разными ландшафтно-климатическими условиями (табл. 1). В каждой популяции H. striata на равном удалении через 150-200 м было заложено по пять экспериментальных площадок площадью 25 м2 каждая, в пределах которых осуществляли сбор особей. В связи с относительно большим расстоянием между точками сбора полагали, что каждая площадка соответствует отдельному дему. Таким образом, было исследовано 30 демов из 6 популяций H. striata. Экстракцию изоферментов проводили из ноги моллюска. Далее проводили диск-электрофорез изоферментов в 10 %-м полиакриламидном геле (камера VE-3, Helicon). Окрашивание блоков на выявление неспецифических эстераз осуществляли в субстратной смеси: трис-HCl (рH = 7,4), α-нафтилацетат, прочный красный TR; для выявления супероксиддисмутаз - калий-фосфатный буфер (рH = 7,8), НТС, ФМС. Необходимо отметить, что со времени первых публикаций по генетике H. striata [10, 12] нами были получены новые данные по изменчивости генофондов популяций этого моллюска и характере аллельного разнообразия локусов аллозимов. Так, в ранее используемом локусе EST5 (неспецифические эстеразы) нами обнаружен пятый аллель, который не имеет ферментативной активности (так называемый 0-аллель), в связи с чем гомозиготы по нему не проявляются на гелевом блоке, а гетерозиготы представлены лишь одной полосой по активному аллелю (рис. 2). Кроме того, 0-аллель (также пятый по счету) обнаружен и в локусе EST6. Причем зафиксирован он был только в популяции «Белая гора». В случае если в популяции по какому-либо локусу фиксировался 0-аллель, определение гетерозигот и гомозигот по проявляющемуся аллелю мы проводили по степени его активности относительно других особей. При этом мы исходили из принципа, что гомозиготы на электрофореграммах проявляются более интенсивно по сравнению с гетерозиготами, поскольку концентрация фермента у них более высокая. Таким образом, в качестве генетических маркеров популяционной структуры H. striata использовали четыре локуса неспецифических мономерных эстераз (EST5 с пятью аллелями, EST6 с пятью аллелями, EST7 с двумя аллелями, EST8 с тремя аллелями) и два локуса супероксиддисмутазы (SOD2-димер с двумя аллелями и SOD7-мономер с тремя аллелями) (рис. 3). Наследование всех аллелей осуществлялось по кодоминантному типу. Выделение ДНК проводили с использованием протеиназы К с дальнейшей очисткой смесью хлороформ - изопентанол [12, 20]. В качестве ДНК-маркеров задействованы ISSR-ампликоны по праймеру UBC811 (5’-[GA]8C-3’). Объем ПЦР-смеси составлял 20 мкл, содержащей 20 нг геномной ДНК, 10 мМ трис-HCl (pH = 8,3), 50 мМ KCl, 4 мМ MgCl2, 0,25 мМ dNTP, 0,5 мкМ праймера, 1 единицу Taq ДНК-полимеразы. Реакция проходила на амплификаторе MyCycler (BioRad, США) в следующих условиях: «горячий старт» - 2 мин/94 °C, 40 циклов (денатурация - 30 с/94 °C, отжиг праймера - 30 с/55 °C, синтез - 2 мин/72 °C), дополнительный синтез - 10 мин/72 °C. Продукты ПЦР разделяли с помощью электрофореза в 2 %-м агарозном геле с использованием ТАЕ-буфера, 100 В - 45 мин. Блоки окрашивали бромистым этидием. По картинам электрофореза составляли бинарные матрицы, где присутствие полосы обозначалось как «1» (аллель p), отсутствие «0» (аллель q). Ранее у H. striata было выделено 17 локусов с использованием праймеров UBC811. Полученные ДНК-паттерны и их расшифровка приведены в публикации Э.А. Снегина [11]. Всего по аллозимам определены генотипы у 757 особей, а по ISSR-локусам - у 701 особи H. striata. Математическая обработка полученных данных проводилась с помощью пакета программ Excel (Microsoft Office), GenAlEx v.6.5 [21] и F-stat [18]. Полигоны Дебеца были построены в программе Statistica 6.0. Результаты и их обсуждение Полигоны Дебеца, построенные на основании частот аллелей исследованных изоферментных локусов, приведены на рис. 4. Исходя из полученных данных, для популяций «Осадчее» и «Губкин» в силу отсутствия изменчивости по всем исследованным локусам изоферментов не представляется возможным оценить уровень внутрипопуляционной структурированности. В остальных популяциях наблюдается разная степень генетической дифференциации демов по частотам аллелей. Например, в популяции «Белая гора» частота первого аллеля EST7-1 в первом деме составляет 0,731, а уже в пятом деме по нему наблюдается стопроцентная гомозиготность. По аллелю SOD2-2 отмечаются еще более выраженные изменения между демами этой популяции: в первой субпопуляции этот аллель не обнаружен, в то время как в пятом деме его частота составила 0,430. Столь значительные изменения частот аллелей в пределах одной популяции наблюдаются и по другим локусам, а также в других исследованных популяциях моллюска. При этом во многих локусах зафиксирована клинальная или синусоидальная (сначала плавно увеличивается/уменьшается, затем плавно уменьшается/увеличивается) изменчивость частот аллелей в популяциях (рис. 5). Полученные данные могут свидетельствовать о низком уровне потока генов в пределах локальных популяций. Доля полиморфных локусов (p) в демах популяций также оказалась не постоянной. Так, в популяции «Верхние Лубянки» p варьирует от 33,3 % (дем № 4) до 66,7 % (демы № 1 и 3). Как и по частотам аллелей, по показателям генетической изменчивости отдельных изоферментных локусов между демами наблюдаются значительные отличия. Однако по средним значениям остальных показателей генетической изменчивости (за исключением коэффициента инбридинга F), рассчитанных по всем локусам, достоверных отличий между демами в популяциях нами не обнаружено (табл. 2). То есть на протяжении своего ареала каждая из изученных популяций имеет сходный уровень генетического разнообразия, что указывает на пространственную стабильность популяционных генофондов H. striata. Полигоны Дебеца, построенные по частотам q-аллеля семнадцати ISSR-локусов в демах популяций H. striata, представлены на рис. 4. Полученные данные коррелируют с изменчивостью аллозимов. Так, наиболее богатыми генофондами обладают популяции H. striata из бассейна р. Северский Донец - «Белая гора» и «Беленихино», а наиболее бедными - «Осадчее» и «Губкин». Так же как и по аллозимам, даже между соседними демами в популяциях наблюдаются значительные различия частот ДНК-аллелей. В результате полигоны Дебеца, построенные по частотам q-аллеля, часто отличаются даже у соседних демов одной популяции. Тем не менее общая топография генетической изменчивости в разных участках ареала популяций остается схожей. Так, средние значения показателей генетической изменчивости, вычисленные на основе ISSR-локусов в пределах популяций между демами, достоверно не отличаются, что подтверждает данные, полученные по аллозимам, о пространственной стабильности внутрипопуляционной генетической изменчивости (табл. 3). Далее на основании анализа частот аллелей изоферментных локусов в исследованных популяциях нами проведен расчет коэффициентов инбридинга на разном уровне популяционной иерархии - Fis, Fit, Fst, а также показателя подразделенности Фst (метод AMOVA). Выяснилось, что исследованные изоферментные локусы вносят различный вклад в подразделенность популяций. Так, в популяции «Беленихино» Fst, отражающий уровень дифференциации популяции, по локусу SOD2 оказался равным 0,024, а по локусу EST5 - 0,204, т. е. почти в девять раз выше. Кроме того, одни и те же локусы вносят разный вклад в структурированность разных популяций. Например, Fst по локусу EST5 в разных популяциях принимает значения от 0,105 в популяции «Белая гора» до 0,260 в популяции «Верхние Лубянки». Вероятно, это объясняется разнонаправленностью векторов отбора и генетико-автоматических процессов как в разных локусах, так и в разных популяциях H. striata. Расчет средних значений индексов инбридинга Fst и Fit в большинстве популяций выявил дефицит гетерозигот по анализируемым локусам (табл. 4). Это может свидетельствовать в пользу низкого потока генов в популяциях H. striata и формирования в них оригинальных внутрипопуляционных группировок. А расчет среднего значения индексов Fst и Фst (табл. 5) подтверждает эти выводы. Исследованные популяции имеют разную степень генетической разобщенности между демами. Как оказалось, наибольшей генетической структурированностью обладают популяции «Верхние Лубянки» и «Засосна», обитающие в степной природной зоне. При этом степень фрагментации биотопа популяции «Засосна» значительно ниже, чем у генетически менее структурированной популяции «Беленихино», что говорит о разной степени миграционной активности особей (активной и пассивной) H. striata в разных популяциях. Значения индекса Фst, рассчитанного по ISSR-локусам (табл. 6), показывают, что наиболее подразделенным является генофонд популяции «Верхние Лубянки», а наименее - популяции «Белая гора»[1]. В целом по ISSR-локусам исследованные популяции имеют более низкое значение Фst, чем по аллозимам. Вероятно, это вызвано тем, что ISSR-локусы в основном характеризуют селективно нейтральную часть генома и в большей степени отражают генетико-автоматические процессы в исследованных популяциях. В данном аспекте стоит отметить уровень дифференциации генофонда популяции «Губкин», мономорфной по локусам изоферментов. Изменчивость этой популяции по ДНК-маркерам также оказалась сравнительно низкой (полиморфными являются всего 11,76 % локусов). Однако отмечаются достаточно существенные различия между демами (Фst = = 0,206) (см. табл. 6). Стоит также отметить, что уровень подразделенности отдельных популяций (Fst ≤ 0,245 ± 0,056) по сравнению с полученным нами ранее значением Fst для H. striata всего юга Среднерусской возвышенности как генеральной совокупности (Fst = 0,503 ± 0,101) предсказуемо ниже, поскольку генофонд отдельной популяции включает только часть генофонда всех популяций моллюска из района исследования. Тем не менее дифференциация генофондов локальных популяций H. striata выше, чем у многих других видов наземных улиток. Так, у мезофильного моллюска Bradybaena fruticum для всего юга Среднерусской возвышенности Fst составил 0,135 [9], а у ксерофильных видов Chondrula tridens и Cepaea vindobonensis - 0,164 и 0,173 соответственно [7, 8]. Таким образом, среди улиток, обитающих на юге Среднерусской возвышенности, H. striata характеризуется одним из самых низких уровней потока генов. Полагаем, что это связано с особенностями биологии данного вида. Так, H. striata является стенобионтным видом, распространенным по хорошо прогреваемым луговым или степным склоновым биотопам [10, 12, 13]. А фоновые виды моллюсков, взятые для соспоставления, являются эврибионтными мезофилами или факультативными ксерофилами, обитающими как в сухих, так и в увлажненных биотопах [12]. Известно, что улитки активны и способны совершать миграции только во влажные периоды времени [15]. А поскольку в сухих местообитаниях таких периодов значительно меньше, чем увлажненных, то и общее время для совершения миграций у H. striata меньше, чем у эврибионтных или мезофильных видов улиток. Кроме того, по сравнению с некоторыми другими видами ксерофилов во время засух H. striata закапывается в почву, в связи с чем становится практически недоступен для пассивного переноса [1]. Низкий поток генов, а также превышение его внутригрупповой компоненты над межгрупповой приводят к формированию оригинальных структурированных популяционных генофондов, каждый из которых адаптируется к локальным условиям среды [2]. Видимо, такая организация генетической структуры позволяет H. striata наиболее эффективно адаптироваться к условиям пересеченного ландшафта Среднерусской возвышенности с множеством разнообразных микроусловий. Однако чрезмерная специализация популяций сопровождается снижением их генетической изменчивости и может привести к потере адаптационной пластичности с последующим вымиранием в случае изменения условий среды. Что наиболее актуально для таких популяций моллюска, как «Осадчее» и «Губкин»? Особо стоит отметить, что значительная фрагментация ландшафта не является обязательным условием пространственной дифференциации популяционных генофондов на оригинальные генофонды демов. Так, популяция «Засосна» обитает в относительно однотипном биотопе без значимых физических барьеров (см. табл. 1). Тем не менее как по изоферментам, так и по ДНК она имеет высокие значения Фst. По-видимому, это связано с особенностями биологии моллюсков, в частности их малоподвижностью и приуроченностью к локальным микронишам, в связи с чем географическое расстояние само по себе является изолирующим фактором. Выводы Таким образом, на территории юга Среднерусской возвышенности H. striata характеризуется разной степенью пространственной дифференциации популяционных генофондов. При этом важную роль в формировании генетической структуры играет не столько уровень разнообразия условий среды, сколько степень миграционной активности особей, которая оказалась наиболее высокой в популяциях бассейна р. Северский Донец. В то же время популяции из степной зоны и Верхнего Поосколья с самым низким потоком генов имеют более изолированные генофонды и, вероятно, характеризуются более высокими темпами снижения генетического разнообразия вследствие большей активности случайных процессов. Полагаем, что хозяйственное использование местообитаний этих групп может вызвать дальнейшее обеднение их генофонда и, как следствие, вымирание. По сравнению с другими исследованными видами наземных моллюсков юга Среднерусской возвышенности H. striata отличается наиболее низким уровнем потока генов. Это объясняется стенобионтностью данного моллюска и его меньшей способностью к активной и пассивной миграциям. Кроме того, по нашим данным, для получения более объективной картины состояния популяционных генофондов, необходимо учитывать характер внутрипопуляционной пространственной дифференциации, поскольку в некоторых случаях выборки из отдельных демов высокодифференцированной популяции могут не отражать ее общего состояния.×
							About the authors
Anton A Sychev
Belgorod national research university
														Email: syvuch20@yandex.ru
				                					                																			                								postgraduate, Department of Ecology, Physiology and Evolutionary Biology				                														
Eduard A Snegin
Belgorod national research university
														Email: snegin@bsu.edu.ru
				                					                																			                								Dr. Biol. Sci., senior lecturer, Department of Ecology, Physiology and Evolutionary Biology				                														
References
- Литература
 - Балашёв И.А., Байдашников А.А. Наземные моллюски (Gastropoda) Винницкой области и их биотопическая приуроченность // Вестник зоологии. - 2012. - Т. 46(1). - С. 19-28. [Balashev IA, Baydashnikov AA. Terrestrial molluscs (Gastropoda) of Vinnytsa region and their confinement to different phytocenoses. Vestnik zoologii. 2012;46(1):19-28. (In Russ.)]
 - Генофонд и геногеография народонаселения / Под ред. Ю.Г. Рычкова. - СПб.: Наука, 2000. [Gene pool and genogeography of human populations. Ed by Yu.G. Rychkov. Saint Petersburg: Nauka; 2000. (In Russ.)]
 - Гриценко В.В. Эколого-генетическая организация изменчивости популяций некоторых видов растений и насекомых: автореф. дис. … д-ра биол. наук. - Казань, 2008. [Gritsenko VV. Ecological and genetic organization of the variability in populations of some species plants and insects. [dissertation]. Kazan; 2008. (In Russ.)]
 - Кайданов Л.З. Генетика популяций. - М.: Высшая школа, 1996. [Kaydanov LZ. Genetics of populations. Moscow: Vysshaya shkola; 1996. (In Russ.)]
 - Крамаренко С.С. Анализ внутрипопуляционной дифференциации на примере фенетической изменчивости наземного моллюска Brephulopsis bidens (Gastropoda: Pulmonata; Buliminidae) // Еколого-функціональні та фауністичні аспекти дослідження молюсків, їх роль в біоіндикації стану навколишнього середовища. - Житомир: Вид-во ЖДУ ім. І. Франка, 2006. - С. 165-169. [Kramarenko SS. Analiz vnutripopulyatsionnoy differentsiatsii na primere feneticheskoy izmenchivosti nazemnogo mollyuska Brephulopsis bidens (Gastropoda: Pulmonata; Buliminidae). In: Ekologo-funktsіonal’nі ta faunіstichnі aspekti doslіdzhennya molyuskіv, їkh rol’ v bіoіndikatsії stanu navkolishn’ogo seredovishcha. Zhitomir: Vid-vo ZhDU іm. І.Franka, 2006. P. 165-169. (In Russ.)]
 - Крамаренко С.С. Формирование паттернов пространственно-временной изменчивости наземных моллюсков: мультимасштабный подход: автореф. дис. … д-ра биол. наук. - Киев, 2014. [Kramarenko SS. Formirovanie patternov prostranstvenno-vremennoy izmenchivosti nazemnykh mollyuskov: mul’timasshtabnyy podkhod. [dissertation]. Kiev; 2014. (In Russ.)]
 - Снегин Э.А. Генетическая структура популяций модельных видов наземных моллюсков в условиях урбанизированного ландшафта на примере Сhondrula tridens Müll. (Gastropoda, Pulmonata) // Экологическая генетика. - 2011а. - Т. IX(2). - С. 54-64. [Snegin EA. The genetic structure of model species populations of terrestrial mollusks in conditions of urbanized landscape using the example of Chondrula tridens Müll (Gastropoda, Pulmonata). Russian Journal of Genetics: Applied Research. 2012;2(2):160-170. (In Russ.)]. doi: 10.1134/s2079059712020128.
 - Снегин Э.А. Оценка жизнеспособности популяций особо охраняемого вида Cepaea vindobonensis (Mollusca, Gastropoda, Pulmonata) в условиях юга лесостепи Среднерусской возвышенности // Вестник КрасГАУ. - 2011б. - № 11. - С. 142-148. [Snegin EA. Vitality estimation of the Cepaea vindobonensis (Mollusca, Gastropoda, Pulmonata) especially protected species populations in the conditions of the Forest-Steppe in Southern Mid-Russian Upland. Vestnik KrasGAU. 2011b;(11):142-148. (In Russ.)].
 - Снегин Э.А. Оценка состояния популяционных генофондов наземных моллюсков в условиях влияния горно-обогатительных комбинатов на примере Bradybaena fruticum Müll (Gastropoda, Pulmonata) // Экологическая генетика. - 2010. - Т. VIII(2). - С. 45-55. [Snegin EA. Assessment of the state of population gene pools of terestrial mollusks in conditions of influence of ore dressing combines from the example of Bradybaena fruticum Mull. (Gastropoda, Pullmonata). Russian Journal of Genetics: Applied Research. 2011;1(5):379-389. (In Russ.)]. doi: 10.1134/ s2079059711050133.
 - Снегин Э.А., Сычев А.А. Оценка жизнеспособности популяций особо охраняемого вида Helicopsis striata Müller (Mollusca, Gastropoda: Pulmonata) в условиях юга Среднерусской возвышенности // Теоретическая и прикладная экология. - 2011. - № 2. - С. 83-92. [Snegin EA, Sychev AA. Estimation of population viability specially protected species Helicopsis striata Müller (Mollusca, Gastropoda, Pulmonata) in Southern Mid-Russian Upland. Theoretical and Applied Ecology. 2011;(2):83-92. (In Russ.)]
 - Снегин Э.А. Оценка состояния популяционных генофондов особо охраняемого вида Helicopsis striata (Mollusca, Gastropoda, Pulmonata) на основе ДНК-маркеров // Экологическая генетика. - 2015. - Т. XIII(3). - С. 28-39. [Snegin EA. Assessment of the state population gene pool of specially protected species Helicopsis striata (Mollusca, Gastropoda, Pulmonata) using DNA-markers. Ekologicheskaya genetika. 2015; XIII(3):28-39. (In Russ.)]. doi: 10.17816/ecogen13328-39.
 - Снегин Э.А. Пространственные и временные аспекты эколого-генетической структуры популяций беспозвоночных животных (на примере наземных моллюсков и насекомых юга Среднерусской возвышенности): автореф. дис. … д-ра биол. наук. - Белгород, 2012. [Snegin EA. Extensional and temporal aspects of ecological and genetic structure of invertebrates populations (for example, land snails and insects of the Southern Mid-Russian Upland). [dissertation]. Belgorod; 2012. (In Russ.)]
 - Снегин Э.А. Улитка степная ребристая (Helicopsis striata Müll) // Красная книга Белгородской области. Редкие и исчезающие растения, грибы, лишайники и животные. Официальное издание / Под ред. А.В. Присного. - Белгород: Белгородская областная типография, 2004. [Snegin EA. Ulitka stepnaya rebristaya (Helicopsis striata Müll). In: Krasnaya kniga Belgorodskoy oblasti. Redkie i ischezayushchie rasteniya, griby, lishayniki i zhivotnye. Ofitsial’noe izdanie. Ed by A.V. Prisnogo. Belgorod: Belgorodskaya oblastnaya tipografiya; 2004. (In Russ.)]
 - Шварц С.С. Экологические закономерности эволюции. - М.: Наука, 1980. [Shvarts SS. Environmental laws of evolution. Moscow: Nauka; 1980. (In Russ.)]
 - Шилейко А.А. Наземные моллюски надсемейства Helicoidea. Фауна СССР. Моллюски. - Л.: Наука, 1978. - Т 3(6). - 384 с. [Shileiko AA. Terrestrial molluscs superfamily Helicoidea. Fauna USSR. Molluscs. Leningrad: Nayka; 1978;3(6). (In Russ.)]
 - Arnaud JF, Madec L, Bellido A, Guiller A. Microspatial genetic structure in the land snail Helix aspersa (Gastropoda: Helicidae). Heredity. 1999;83: 110-119.
 - Arnaud JF, Madec L, Guiller A, Bellido A. Spatial analysis of allozyme and microsatellite DNA polymorphisms in the land snail Helix aspersa (Gastropoda: Helicidae). Molecular Ecology. 2001;10:1563-1576. doi: 10.1046/ j.1365-294x.2001.01292.x.
 - Goudet J. F-stat Software ver. 2.9.3.2. Institute of Ecology, Lausanne, Switzerland. 2002.
 - Livshits GM. Survival, behaviour and spatial distribution of shell morphs in a population of the snail Brephulopsis bidens (Pulmonata). Oecologia (Berl). 1981;51:220-226.
 - Mathew CG. The isolation of high molecular weight eukaryotic DNA. Nucleic Acids. 1984;2:31-34.
 - Peakall R., Smouse PE. GenAlEx 6: genetic analysis in Excel. Population genetic software for teaching and research. Mol Ecol Notes. 2006;6:288-295.
 - Pfenninger M. Relationship between microspatial population genetic structure and habitat heterogeneity in Pomatias elegans (O.F. Müller, 1774) (Caenogastropoda, Pomatiasidae). Biological J of the Linnean Society. 2002;76:565-575.
 - Pfenninger M, Bahl A, Streit B. Isolation by distance in a population of a small land snail Trochoidea geyeri: Evidence from direct and indirect methods. Proceedings of the Royal Society of London B. 1996;263(1374):1211-1217.
 - Selander RK, Kaufman DW. Genetic structure of populations of the brown snail (Helix aspersa). I. Microgeographic variation. Evolution. 1975;29:385-401.
 - Wright S. The genetical structure of populations. Ann Eugen. 1951;15:323-354.
 
Supplementary files
Supplementary Files
Action
	1.
	JATS XML
			2.
			Fig. 1. The location of the studied H. striata populations in the South of Mid-Russian Upland: 1 – “White mountain”; 2 – “Belenihino”; 3 – “Gubkin”; 4 – “Zasosna”; 5 – “High Lubjanki”; 6 – “Osadche”
							
					
				
								
		
			Download (165KB)
		
		
				
			3.
			Fig. 2. Elektoroforegramm demonstrating the presence of 0-alleles at the locus EST5 (a) population “Zasosna” and the locus EST6 population “White mountain” (b). Indicate the genotypes of individuals at these loci
							
					
				
								
		
			Download (383KB)
		
		
				
			4.
			Fig. 3. The graphic image of the investigated allozyme loci and their associated combinations of alleles
							
					
				
								
		
			Download (55KB)
		
		
				
			5.
			Fig. 4. Debec polygons, built on alleles frequencies of allozymes and ISSR loci in the dem (1-5) of H. striata populations
							
					
				
								
		
			Download (134KB)
		
		
				
		
			Download (133KB)
		
		
	
				
			
					
						
									
									









