Разнообразие голозерных образцов ячменя из коллекции ВИР по устойчивости к мучнистой росе в условиях Северо-Западного региона Российской Федерации
- Авторы: Лукина К.А.1, Абдуллаев Р.А.1, Алпатьева Н.В.1, Лоскутов И.Г.1, Ковалева О.Н.1
-
Учреждения:
- Федеральный исследовательский центр «Всероссийский институт генетических ресурсов растений им. Н.И. Вавилова»
- Выпуск: Том 22, № 3 (2024)
- Страницы: 243-253
- Раздел: Генетические основы эволюции экосистем
- Статья получена: 20.07.2024
- Статья одобрена: 10.09.2024
- Статья опубликована: 29.09.2024
- URL: https://journals.eco-vector.com/ecolgenet/article/view/634379
- DOI: https://doi.org/10.17816/ecogen634379
- ID: 634379
Цитировать
Аннотация
Актуальность. Ячмень — важная зерновая культура, отличающаяся высокой адаптивностью к различным условиям выращивания. В последние годы пристальное внимание уделяется голозерному ячменю, который по сравнению с пленчатым требует меньших затрат на механизированную переработку и обладает рядом биохимических преимуществ. В то же время он сильнее подвержен влиянию патогенов, что приводит к снижению урожайности и качества зерна. К наиболее вредоносным болезням ячменя относится мучнистая роса, возбудитель — Blumeria graminis (DC.) Golovin ex Speer f. sp. hordei Marchal. Поиск новых перспективных источников устойчивости к мучнистой росе необходим для селекции ячменя.
Цель — изучение устойчивости к мучнистой росе голозерных образцов ярового ячменя из мировой коллекции ВИР и выявление перспективных источников по хозяйственно ценным признакам.
Материалы и методы. В полевых и лабораторных условиях исследовали 271 образец голозерного ячменя по устойчивости к мучнистой росе, полеганию, продолжительности вегетационного периода и урожайности. Изучение образцов ячменя в поле проводили с использованием «Методических указаний по изучению и сохранению мировой коллекции ячменя и овса». Инокулюм для лабораторной работы был представлен северо-западной популяцией B. graminis. Тип реакции на заражение в лаборатории оценивали с помощью шкалы E.B. Mains, S.M. Dietz, где 0 — иммунный, 4 — высоко восприимчивый. Высокоэффективный аллель mlo11 идентифицировали с помощью ПЦР.
Результаты. Показано разнообразие ячменя по устойчивости к B. graminis. Устойчивыми на естественном фоне оказались 16 образцов, преимущественно из Европы, а также местные формы из Эфиопии, Японии и Индии. По результатам оценки на ювенильной стадии выявлены один высокоустойчивый образец к-31058 и пять умеренно устойчивых к-20923, к-25801, к-27165, к-29911, к-30231. Среди голозерных форм на всех стадиях развития растений устойчивостью отличались к-20923 из Германии и к-29911 из Польши. Аллель mlo11 был обнаружен у сорта Arabische к-20923 и гетерогенных по устойчивости к патогену образцов к-20921, к-25793, к-27080, к-29440, к-29820.
Выводы. В результате выполненной работы выделены источники устойчивости к мучнистой росе с комплексом хозяйственно ценных признаков, которые могут быть успешно использованы для создания новых сортов голозерного ячменя.
Полный текст
АКТУАЛЬНОСТЬ
Ячмень (Hordeum vulgare L.) — важная кормовая, продовольственная и пивоваренная культура, отличающаяся хорошей адаптивностью к различным условиям выращивания. Благодаря широкому распространению с длительной историей возделывания ячмень имеет большое внутривидовое разнообразие [1]. В настоящее время пристальное внимание уделяется группам голозерного ячменя, различные формы которых обладают рядом биохимических преимуществ в сравнении с пленчатыми и требуют меньших затрат на механизированную переработку. Однако голозерный ячмень характеризуется низкой устойчивостью к различным заболеваниям, что приводит к снижению качества получаемого зерна [2]. Сорта голозерного ячменя встречаются во всех зонах возделывания, преимущественно в Юго-Восточной, Центральной, Южной Азии и Северо-Восточной Африке [1]. В России посевы голозерного ячменя незначительны, в государственном реестре находятся всего восемь сортов, созданных с помощью местного материала [3].
Известно большое число патогенов, которые могут оказывать негативное влияние на растения ячменя и снижать его урожайность. Группы голозерного ячменя отличаются небольшим числом выявленных источников устойчивости к вредным организмам. Мучнистая роса [возбудитель — облигатный патоген Blumeria graminis (DC.) Golovin ex Speer f. sp. hordei Marchal] относится к одному из наиболее вредоносных заболеваний ячменя, которое встречается во всех регионах возделывания культуры [4]. Поражение от мучнистой росы затрагивает все зеленые части растения, вызывая преждевременное старение тканей, что приводит к снижению урожайности в среднем на 5–10 %, а в годы эпифитотий потери урожая могут достигать 50 % [5, 6].
У ячменя выявлено большое количество (более 100) аллелей, контролирующих устойчивость к B. graminis, многие из которых представлены вариантами генов Mla, Mlo и Ml [4, 7–9]. Большинство аллелей утратили свою эффективность против возбудителя болезни из-за изменения структуры популяции гриба и появления новых рас. На северо-западе России на данный момент эффективными являются аллели mlo1, mlo3–mlo5, mlo8–mlo11 и Mla16, Mla18, Mla19, Mlai [10]. Длительную и эффективную устойчивость ячменя ко многим популяциям мучнистой росы обеспечивают mlo11 и mlo9 [11]. В настоящее время в европейских странах при создании сортов ярового ячменя чаще всего используют эти аллели [12]. Механизм действия mlo генов основан на предотвращении проникновения гриба в эпидермальные клетки хозяина и, таким образом, препятствует образованию и заражению гаусториями [13].
Мучнистая роса ячменя — одная из наиболее изученных систем взаимодействия хозяина и возбудителя. Генетики, фитопатологи и селекционеры, работающие с ячменем, постоянно ищут новые источники генетического материала, из которых гены резистентности к B. graminis можно перенести в новые сорта. Селекция на иммунитет считается наиболее выгодным и экологически безопасным способом борьбы с мучнистой росой и другими болезнями. Мировая коллекция Всероссийского института генетических ресурсов растений им. Н.И. Вавилова (ВИР) является богатым источником исходного материала для гибридизации. Правильно подобранный и хорошо изученный материал обеспечивает успех в создании устойчивых сортов. Местные формы и стародавние сорта голозерного ячменя являются наиболее перспективными для получения нового исходного материала при создании продуктивных сортов голозерного ячменя.
Цель исследования — изучение устойчивости к мучнистой росе голозерных образцов ярового ячменя из мировой коллекции ВИР и выявление перспективных источников по хозяйственно ценным признакам.
МАТЕРИАЛЫ И МЕТОДЫ
Изучение устойчивости коллекционных образцов ячменя проводили на полях НПБ «Пушкинские и Павловские лаборатории ВИР» в 2021–2023 гг. Всего проанализирован 271 образец голозерного ячменя различного эколого-географического происхождения, в набор входили местные формы, стародавние и современные сорта, а также селекционные линии. Для сравнительной характеристики по всем изучаемым признакам подобрано 30 современных пленчатых сортов ячменя. Условия проведения опытов в течение этих трех лет изучения различались. Погодные условия 2021 г. характеризовались сильной засухой, укороченный период вегетации ячменя позволил «уйти» от болезни (табл. 1). Погодные условия в 2022 и 2023 гг. отличались от среднемноголетних данных незначительно и были более благоприятными для роста и развития растений.
Таблица 1. Погодные условия в период вегетации за 2021–2023 гг. (Санкт-Петербург, Пушкин) Table 1. Meteo conditions during the vegetative season for 2021–2023 (St. Petersburg, Pushkin) | ||||
Год изучения | Месяц | |||
май | июнь | июль | август | |
Средняя температура воздуха, °C | ||||
2021 | 12,1 | 21,4 | 23,1 | 16,9 |
2022 | 10,0 | 17,6 | 19,9 | 20,6 |
2023 | 11,9 | 17,3 | 18,5 | 19,9 |
Средняя многолетняя температура, °C | 11,5 | 16,1 | 19,1 | 17,4 |
Сумма осадков, мм | ||||
2021 | 139,4 | 22,1 | 50,3 | 135,1 |
2022 | 25,6 | 47 | 75,5 | 112,6 |
2023 | 16,7 | 47,9 | 95,0 | 48,5 |
Средняя многолетняя сумма осадков, мм | 47,0 | 69,0 | 84,0 | 87,0 |
Наблюдения и оценку образцов по хозяйственно ценным признакам (устойчивость к мучнистой росе, устойчивость к полеганию, продолжительность вегетационного периода, урожайность) проводили с использованием «Методических указаний по изучению и сохранению мировой коллекции ячменя и овса» [14]. Устойчивость образцов ячменя к мучнистой росе изучали на естественном фоне в период колошения и в фазу молочной спелости (рис. 1). Использовали 9-балльную шкалу ВИР, где 1 — устойчивость очень низкая (подушечки в изобилии покрывают все листья и междоузлия, в том числе верхние, поражение может захватить и колос); 3 — низкая (подушечки в массе развиваются главным образом на нижних листьях и междоузлиях, на верхнем ярусе листьев — отдельные рассеянные пятна); 5 — средняя (умеренное количество подушечек на листьях и междоузлиях нижнего яруса); 7 — высокая (единичные мелкие подушечки на листьях и междоузлиях нижнего яруса, подушечки могут быть и более многочисленные, но мелкие, в виде слабого налета); 9 — очень высокая (поражение отсутствует). При этом устойчивость к мучнистой росе оценивали по максимальному поражению растений патогеном за трехлетний период исследования.
Рис. 1. Симптомы мучнистой росы на голозерном ячмене в полевых условиях в фазе молочной спелости зерна (a) и в фазе проростков в лаборатории (b)
Fig. 1. Powdery mildew symptoms on naked barley in the field at the milky stage of grain ripeness (a) and at the seedling stage in the laboratory (b)
Образцы, характеризующиеся высокой и средней степенью устойчивости в полевых условиях в фазу молочной спелости, оценили в фазе проростков при инокуляции в лаборатории (рис. 1). Для этого по 15 зерен каждого образца высевали в пластиковые кюветы на смоченную водой вату и помещали в климатическую камеру Barnstead 845-2 при 16-часовом фотопериоде и температуре 16 °C. Через 7 дней проростки заражали путем стряхивания на них конидий гриба. В качестве инокулюма использовали северо-западную популяцию патогена, которую поддерживали на восприимчивом сорте Белогорский. Ежедневно для создания повышенной влажности растения опрыскивали проточной водой из водораспылителя. Контролем устойчивости служил сорт Solist, который характеризуется наличием рецессивного аллеля mlo11 [15]. Тип реакции на заражение в лабораторных условиях оценивали с помощью шкалы E.B. Mains, S.M. Dietz (1930): 0 — иммунный (нет видимого мицелия); 1 — высокоустойчивый (слабое развитие мицелия); 2 — умеренно устойчивый (умеренное развитие мицелия); 3 — умеренно восприимчивый (умеренное развитие мицелия и умеренная споруляция); 4 — высоко восприимчивый (обильное развитие мицелия, обильная споруляция) [16].
У выделившихся в лабораторных условиях устойчивых генотипов и гетерогенных образцов с различным уровнем резистентности отдельных растений к северо-западной популяции мучнистой росы проводили идентификацию гена mlo11, который обеспечивает длительную устойчивость к патогену. Суммарную ДНК выделяли из 3–5 проростков каждого образца с использованием метода SDS [17]. Концентрацию выделенной ДНК контролировали при помощи нанофотометра Implen N60 (Германия). Для идентификации аллеля mlo11 использовали маркеры ADUP7-Mlo6 и Mlo6-Mlo10 [18], характеристика которых представлена в табл. 2. ПЦР проводили в реакционной смеси объемом 25 мкл, которая содержала 50 нг матричной ДНК, ×1 реакционный буфер (Диалат, Россия), 2 мМ MgCl2, по 0,2 мМ каждого dNTP’s, по 0,25 мкМ прямого и обратного праймеров (Евроген, Россия) и 1 единицу Taq-полимеразы (Диалат, Россия). Амплификацию выполняли на приборе MiniAmp Plus (Thermo FS, США). ПЦР-продукты разделяли электрофорезом в 1,5 % агарозном геле при напряжении 5 В/см в течение 1,5 ч. Гели окрашивали бромистым этидием и визуализировали в УФ-свете. Для оценки размера фрагментов использовали ДНК-маркер FastRuler Middle Range DNA Ladder (Fermentas).
Таблица 2. Праймеры для идентификации аллеля mlo11 у ячменя, использованные в исследовании Table 2. Primers for mlo11 allele identification in barley | |||
Название праймера | Нуклеотидная последовательность 5'→3' | Программа | Фрагмент — целевой аллель |
ADUP7 | CTCAAGCTTGCCACCATGTCGGACAAAAAAGGG | 94 °C — 3 мин 30 с; 37 циклов (94 °C — 45 с, 47 °C — 45 с, 72 °C — 1 мин); 72 °C — 7 мин | 1200 п.н. — mlo11 |
Mlo6 | CATCTACTACTAGCATGTACC | ||
Mlo10 | GTCCTGCCACCTAAGTAGCAG | 94 °C — 3 мин 30 с; 37 циклов (94 °C — 45 с, 54 °C — 45 с, 72 °C — 1 мин); 72 °C — 7 мин | 440 п.н. — mlo11 380 п.н. — Mlo11 |
Mlo6 | CATCTACTACTAGCATGTACC | ||
РЕЗУЛЬТАТЫ
Наиболее сильное развитие B. graminis на посевах ячменя наблюдалось в фазу молочной спелости зерна 2022 и 2023 гг. Оценка изучаемого набора из 271 голозерного образца показала широкое разнообразие ячменя по устойчивости к мучнистой росе на взрослой стадии развития растений. Устойчивыми на естественном фоне оказались 16 образцов, преимущественно из Европы, а также местные формы из Эфиопии, Японии и Индии. Среднюю устойчивость к патогену показали 55 образцов, поражение которых характеризовалось развитием мицелия гриба на нижних, более затененных ярусах растений. Все другие образцы голозерного ячменя сильно восприимчивы к болезни, в том числе и районированные в России голозерные сорта. Среди пленчатого ячменя, устойчивыми оказались три образца, умерено устойчивыми — 11, все остальные — восприимчивыми.
Выделенные в поле устойчивые и среднеустойчивые голозерные (71 образец) и пленчатые (14) образцы изучили в лабораторных условиях при искусственном заражении растений северо-западной популяцией B. graminis. По результатам оценки на ювенильной стадии выявлено 4 высокоустойчивых (0, 1 балл) образца по каталогу ВИР: к-31058 (США) — голозерный; к-31380, к-31488, к-31494 (Германия) — пленчатые сорта современной селекции. Умеренную устойчивость (2 балла) показали 6 генотипов голозерного — к-20923, к-25801 (Германия), к-27165 (Боливия), к-29911 (Польша), к-30231 (США), и один пленчатого ячменя — к-27295 (Германия). Некоторые образцы показали себя как устойчивые к мучнистой росе в полевых условиях на естественном фоне, однако при искусственном заражении сильно поражались грибом. Лишь две изученные формы к-20923 и к-29911 голозерного ячменя оказались высокоустойчивыми в период колошения и умерено устойчивыми на ювенильной стадии развития растений. Различия по степени поражения многих изученных генотипов на разных фазах развития растений могут быть связаны с генетической системой эффективной только на стадии взрослых растений (APR — adult plant resistance). Гетерогенными оказались 14 форм голозерного ячменя (табл. 3).
Таблица 3. Образцы ячменя, устойчивые к мучнистой росе на разных стадиях развития растений Table 3. Resistant to powdery mildew barley accessions at different stages of plant development | ||||||
№ по каталогу ВИР | Образец | Происхождение | Разновидность | Устойчивость к мучнистой росе, балл | Наличие аллеля mlo11 | |
полевые условия (естественный фон), фаза молочной спелости зерна | лабораторные условия, искусственное заражение (фаза проростков) | |||||
Голозерный ячмень | ||||||
19483 | Nudo Bianco | Италия | coeleste | 3 | 1, 3* | – |
20921 | Abyssinian 1102=L94 | Эфиопия | nigrinudum | 5 | 2, 3 | + |
20923 | Arabische | Германия | duplinigrum | 7 | 2 | + |
23380 | Местный | Боливия | trifurcatum | 3 | 2, 3 | – |
25793 | L94 | Эфиопия | nigrinudum | 7 | 1, 4 | + |
25801 | Lаsснкеs Korona | Германия | coeleste | 3 | 2 | – |
25872 | EB1626 | Индия | nigrinudum | 7 | 1, 3 | – |
25873 | EB145 | Индия | nigrinudum | 7 | 1, 3 | – |
27080 | Белорусский 76 | Беларусь | nudum | 5 | 1, 3 | + |
27156 | San Benito-80 | Боливия | coeleste | 3 | 1, 2 | – |
27165 | Староместный | Боливия | trifurcatum | 3 | 2 | – |
27176 | CM67-V-Sask 1800C | Боливия | himalayense | 3 | 2, 3 | - |
28684 | EP 79=L 92 | Германия | duplialbum | 7 | 1, 3 | + |
29440 | N16 | Беларусь | neogenes | 5 | 1, 3 | – |
29719 | Ethionia EP 76 | Эфиопия | neogenes | 3 | 1, 3 | – |
29820 | Abyssinian 1105 | Бельгия | nigrinudum | 5 | 1, 3 | + |
29911 | Nagiz Podhala 33 | Польша | coeleste | 7 | 2 | – |
30231 | OUM5 lzd,=uz | США | coeleste | 5 | 2 | – |
31058 | Thual | США | coeleste | 5 | 1 | – |
31367 | Kornelja | Латвия | nudum | 3 | 2, 4 | – |
31540 | Lotos | Германия | nudum | 7 | 1, 3 | – |
Пленчатый ячмень | ||||||
27295 | 90391/71 | Германия | nigricans | 5 | 2 | + |
31380 | KWS Harris | Германия | nutans | 7 | 1 | + |
31488 | Su Zaza | Германия | nutans | 5 | 1 | + |
31494 | Salome | Германия | nutans | 7 | 0 | + |
Solist (к-31332, устойчивый контроль) | Германия | nutans | 7 | 0 | + | |
Белогорский (к-22089, восприимчивый контроль) | Россия | pallidum | 1 | 4 | – | |
*Гетерогенный образец (расщепление по устойчивости внутри образца). *Heterogeneous accession (splitting by resistance within the accession). | ||||||
С помощью молекулярного скрининга устойчивых и гетерогенных в лабораторных условиях образцов идентифицировано наличие рецессивного аллеля mlo11 у 5 пленчатых сортов из Германии, включая контрольный сорт Solist. Среди голозерного ячменя выделено 6 образцов с mlo11, происхождением преимущественно из Эфиопии или полученные с использованием образцов из данного центра формообразования культуры (табл. 2, рис. 2). Все образцы, несущие аллель mlo11, а также отдельные растения гетерогенных форм характеризовались высокой и средней устойчивостью при искусственном инфекционном фоне. По всей видимости, остальные резистентные к мучнистой росе образцы несут другие эффективные аллели или гены. Устойчивость к B. graminis современных пленчатых сортов европейской селекции обусловлена в основном наличием аллеля mlo11. Это является одним из факторов преимущества данных сортов перед сортами российской селекции, которые сильно поражаются в полевых условиях. На основе лабораторных и полевых исследований среди гетерогенных форм были отобраны устойчивые к грибу растения.
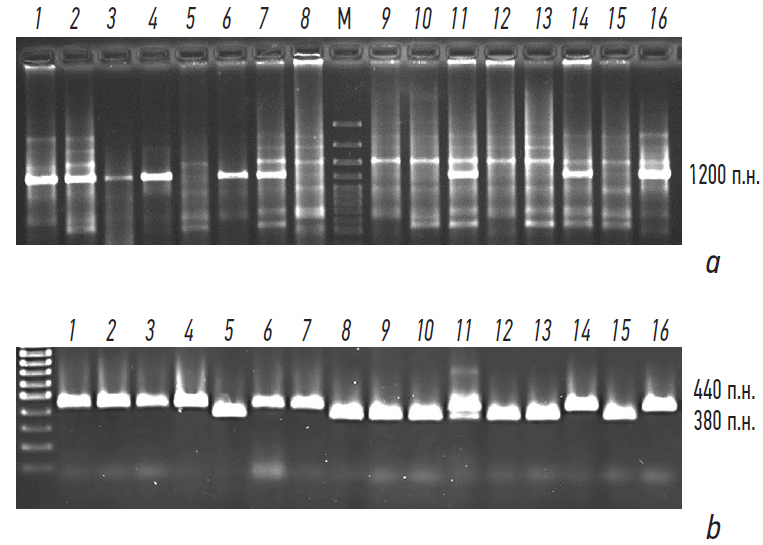
Рис. 2. Идентификация аллельного состава аллеля mlo11 с использованием маркеров ADUP7 и Mlo6 (a), Mlo6 и Mlo10 (b). Цифрами обозначены образцы ячменя: 1 — к-31494; 2 — к-20923; 3 — к-31332 контроль; 4 — к-31488; 5 — к-31540; 6 — к-31380; 7 — к-20921; 8 — к-29440; 9 — к-25873; 10 — к-29719; 11 — к-25793; 12 — к-25872; 13 — к-19483; 14 — к-29820; 15 — к-31367; 16 — к-29820. М — маркер молекулярного веса 3000 (a) и 1000 (b) п. о.
Fig. 2. Identification of the allelic composition of the mlo11 allele using the markers ADUP7 and Mlo6 (a) and Mlo6 and Mlo10 (b). The barley accessions are marked: 1 — k-31494; 2 — k-20923; 3 — k-31332 control; 4 — k-31488; 5 — k-31540; 6 — k-31380; 7 — k-20921; 8 — k-29440; 9 — k-25873; 10 — k-29719; 11 — k-25793; 12 — k-25872; 13 — k-19483; 14 — k-29820; 15 — k-31367; 16 — k-29820. M is a molecular weight marker of 3000 (a) and 1000 (b) b.p.
Для использования выделенных образцов в селекции важно, чтобы исходный материал сочетал сразу несколько хозяйственно ценных признаков. Все образцы изучали в течение 3 лет в полевых условиях для выявления хозяйственно ценных признаков (табл. 4). Продолжительность вегетационного периода — важный биологический признак ячменя, в значительной степени определяющий его продуктивность. По срокам созревания преобладающая часть образцов относится к раннеспелым и среднеспелым. Наиболее интересными для северо-запада России являются скороспелые образцы, так как короткий период вегетации позволяет избежать сильного развития заболеваний и неблагоприятных погодных условиях в период уборки. Среди устойчивых к мучнистой росе форм выделены скороспелые образцы к-20923, к-25793 и к-28684, у которых на протяжении трехлетнего изучения продолжительность вегетационного периода практически не изменялась.
Таблица 4. Характеристика источников устойчивости к мучнистой росе по хозяйственно ценным признакам Table 4. Characteristics of resistance to powdery mildew sources based on economically valuable traits | ||||||
№ по каталогу ВИР | Образец | Происхождение | Разновидность | Устойчивость к полеганию, балл | Продолжительность вегетационного периода, дни | Урожайность, г/м2 |
Голозерный ячмень | ||||||
19483 | Nudo Bianco | Италия | coeleste | 3 | 71,3 ± 3,4 | 187 (63–252)* |
20921 | Abyssinian 1102=L94 | Эфиопия | nigrinudum | 3 | 67,7 ± 3,8 | 147 (59–226) |
20923 | Arabische | Германия | duplinigrum | 7 | 64,0 ± 0,6 | 257 (219–292) |
23380 | Местный | Боливия | trifurcatum | 3 | 75,0 ± 3,1 | 193 (54–294) |
25793 | L94 | Эфиопия | nigrinudum | 3 | 63,7 ± 1,2 | 224 (117–372) |
25801 | Lаsснкеs Korona | Германия | coeleste | 3 | 68,3 ± 1,2 | 287 (75–411) |
25872 | EB1626 | Индия | nigrinudum | 3 | 77,7 ± 1,8 | 237 (113–372) |
25873 | EB145 | Индия | nigrinudum | 5 | 79,3 ± 2,2 | 177 (57–344) |
27080 | Белорусский 76 | Беларусь | nudum | 5 | 78,2 ± 0,7 | 184 (42–264) |
27156 | San Benito-80 | Боливия | coeleste | 5 | 69,7 ± 3,2 | 126 (64–208) |
27165 | Староместный | Боливия | trifurcatum | 5 | 71,0 ± 1,5 | 163 (86–219) |
27176 | CM67-V-Sask 1800C | Боливия | himalayense | 5 | 67,3 ± 1,2 | 179 (152–223) |
28684 | EP 79=L 92 | Германия | duplialbum | 5 | 62,7 ± 1,5 | 270 (220–334) |
29440 | N16 | Беларусь | neogenes | 5 | 77,7 ± 4,9 | 196 (121–283) |
29719 | Ethionia EP 76 | Эфиопия | neogenes | 5 | 69,0 ± 3,6 | 113 (89–134) |
29820 | Abyssinian 1105 | Бельгия | nigrinudum | 5 | 76,0 ± 3,5 | 187 (84–246) |
29911 | Nagiz Podhala 33 | Польша | coeleste | 3 | 69,3 ± 5,0 | 257 (235–272) |
30231 | OUM5 lzd,=uz | США | coeleste | 3 | 69,0 ± 3,2 | 262 (25–441) |
31058 | Thual | США | coeleste | 3 | 67,3 ± 2,7 | 318 (245–434) |
31540 | Lotos | Германия | nudum | 9 | 72,0 ± 1,0 | 251 (165–337) |
31367 | Kornelja | Латвия | nudum | 5 | 67,3 ± 1,7 | 133 (106–155) |
Пленчатый ячмень | ||||||
St. 31332 | Solist | Германия | nutans | 7 | 76,7 ± 2,7 | 323 (196–432) |
27295 | 90391/71 | Германия | nigricans | 5 | 79,3 ± 2,7 | 256 (64–422) |
31380 | KWS Harris | Германия | nutans | 5 | 74,3 ± 4,3 | 468 (350–565) |
31488 | Su Zaza | Германия | nutans | 7 | 70,7 ± 2,7 | 312 (253–359) |
31494 | Salome | Германия | nutans | 7 | 76,3 ± 1,9 | 273 (210–321) |
*В скобках приведен размах изменчивости по годам. *The range of variability by year is given in parentheses. | ||||||
Следует отметить, что засушливые погодные условия 2021 г. были неблагоприятными для оценки устойчивости к полеганию, так как отсутствовали факторы, его вызывающие (обильные дожди и сильный ветер). Ливневые дожди в период вегетации 2022 и 2023 гг. привели к сильному полеганию большей части посевов, что позволило выявить устойчивые формы по этому признаку. Таким образом, устойчивыми к полеганию были современные пленчатые сорта к-31488, к-31494 из Германии, а также два голозерных образца к-20923 и к-31540. Сорт к-27080 (Белорусский 76) из Беларуси, устойчивый к мучнистой росе и характеризующийся наличием аллеля mlo11, также является носителем аллеля короткостебельности sdw1.d гена sdw1 и характеризуется как среднеустойчивый к полеганию [19].
Зерновая продуктивность — наиболее важное свойство сорта, являющаяся целью всего сельскохозяйственного производства. Наиболее урожайными показали себя шестирядные голозерные образцы преимущественно из США и Европы. Урожайность некоторых резистентных к B. graminis образцов (к-31540, к-31058, к-28684) не сильно уступает пленчатым образцам, что говорит об их потенциальной возможности стать источниками продуктивности в Северо-Западном регионе. Образцы к-20923, к-28684 и к-29911 выделяются как засухоустойчивые, так как в засушливый и нетипичный 2021 г. давали примерно одинаковый урожай по сравнению с 2022 и 2023 гг.
Таким образом, сравнительная оценка голозерного ячменя с пленчатым показала слабое разнообразие по признаку резистентности к B. graminis, однако выявлены уникальные образцы, которые могут выступать в качестве исходного материала для создания высокоустойчивых сортов. В условиях Северо-Западного региона России выделены образцы голозерного ячменя, которые не только устойчивы к мучнистой росе, но и обладают другими ценными характеристиками и могут быть рекомендованы для дальнейшего использования в селекции. Такая комплексная работа по изучению значительной части голозерного ячменя из коллекции ВИР проводится впервые.
ОБСУЖДЕНИЕ
По данным A. Dreiseitl, аллель mlo11 широко используется в европейской селекции и присутствует в большей части сортов, зарегистрированных в Чехии с 2011 по 2015 г. [12]. В то же время A. Dreiseitl показал, что за пределами Европы аллель mlo11 в современных сортах ячменя встречается значительно реже [20]. Эти данные соотносятся с результатами нашей работы: большая часть устойчивых к мучнистой росе современных зарубежных пленчатых сортов, поступающих из Европы и хранящихся в коллекции ВИР, характеризуется наличием mlo11. Этот аллель активно используется с середины 1970-х годов как надежный и эффективный источник устойчивости к B. graminis. Однако многие селекционеры обеспокоены чрезмерной зависимостью селекции ячменя всего лишь от одного гена устойчивости, что оказывает сильное давление отбора на патоген, вызывая появление новой вирулентности. Разный уровень проявления устойчивости к мучнистой росе образцов с идентифицированным аллелем mlo11 на северо-западе России был показан нами ранее [15] и подтвержден в данной работе. Степень поражения образцов может зависеть от генетической среды, так, показано влияние генов Ror1 и Ror2, наличие которых обусловливает полную устойчивость растений к B. graminis [4, 21, 22].
Хотя устойчивость, основанная на mlo, обычно очень стабильна в полевых условиях, ряд исследований продемонстрировал влияние погодных условий на растения, защищенные mlo. Сильная засуха с последующим внезапным поливом приводила к умеренной восприимчивости таких сортов ячменя [13, 23, 24]. В наших опытах для некоторых среднеустойчивых форм подобную ситуацию можно исключить, так как разница по степени поражения наблюдалась не только в поле, но и в климатической камере.
Ячмень из Абиссинского (Эфиопского) центра разнообразия представляет исключительный интерес и значение в ботанико-географическом и агрономическом отношении, а также является источником многих ценных признаков. В работе А.А. Орлова [25] показано, что ячмень из Абиссинии и Эритреи в практическом отношении характеризуется многими ценными положительными качествами. В том числе в полевых условиях не поражались мучнистой росой и были относительно устойчивы против других грибных болезней — различных видов ржавчины, листовых пятнистостей и головни [25]. В дальнейшем именно из местных образцов Эфиопии были созданы устойчивые к мучнистой росе пленчатые сорта ячменя Atem в 1979 г., Salome в 1981 г. и Apex в 1982 г. [20, 26], которые вошли во многие родословные современных пленчатых сортов с mlo11. В изученной нами выборке лишь один сорт голозерного ячменя Белорусский 76 несет аллель mlo11, остальные являются местными формами или селекционными линиями. В родословную всех образцов с mlo11 входит генетический материал ячменей из Эфиопии.
ЗАКЛЮЧЕНИЕ
Изучение набора из 271 образца голозерного и 30 образцов пленчатого ячменя в условиях Северо-Западного региона России показало разнообразие по уровню устойчивости к мучнистой росе. По результатам комплексного исследования в полевых условиях на естественном фоне и в лаборатории на искусственном инфекционном фоне выделены устойчивые и среднеустойчивые образцы, которые можно рекомендовать как источники устойчивости к мучнистой росе. Среди голозерных форм, на всех стадиях развития растений устойчивостью отличались к-20923 из Германии и к-29911 из Польши. Более 97 % голозерных форм сильно поражались мучнистой росой. Высокой устойчивостью в период колошения и на ювенильной стадии развития растений среди изученных пленчатых сортов характеризовались образцы к-31380 и к-31494 из Германии. Все резистентные пленчатые образцы относятся к современным сортам европейской селекции. Кроме того, среди 14 гетерогенных форм отобраны устойчивые к мучнистой росе растения.
С помощью молекулярного скрининга у всех устойчивых при инокуляции пленчатых сортов идентифицирован аллель mlo11. Носителями данного аллеля среди голозерных ячменей являются 5 гетерогенных (к-20921, к-25793, к-27080, к-29440, к-29820) и один умерено устойчивый (к-20923) образец.
Полученные данные по изучению коллекционных образцов являются необходимым шагом для практического использования генетических ресурсов ячменя в селекционных программах. Источники устойчивости ярового ячменя к мучнистой росе, описанные в этом исследовании, могут быть успешно использованы для создания новых сортов.
ДОПОЛНИТЕЛЬНАЯ ИНФОРМАЦИЯ
Вклад авторов. Все авторы внесли существенный вклад в разработку концепции и подготовку статьи, прочли и одобрили финальную версию перед публикацией. Личный вклад каждого автора: К.А. Лукина — сбор и обработка материалов, полевое и лабораторное изучение, анализ полученных данных, написание текста; Р.А. Абдуллаев — концепция и дизайн исследования, сбор и обработка материалов, лабораторное изучение, анализ полученных данных, написание текста; Н.В. Алпатьева — сбор и обработка материалов, лабораторное изучение, анализ полученных данных; И.Г. Лоскутов — концепция и дизайн исследования, анализ полученных данных, привлечение финансирования, внесение окончательной правки; О.Н. Ковалева — концепция и дизайн исследования, сбор и обработка материалов, анализ полученных данных, обзор литературы, внесение окончательной правки.
Источник финансирования. Исследование выполнено за счет гранта Российского научного фонда № 23-76-00005, https://rscf.ru/project/23-76-00005/
Конфликт интересов. Авторы декларируют отсутствие явных и потенциальных конфликтов интересов, связанных с публикацией настоящей статьи.
Об авторах
Ксения Андреевна Лукина
Федеральный исследовательский центр «Всероссийский институт генетических ресурсов растений им. Н.И. Вавилова»
Автор, ответственный за переписку.
Email: k.lukina@vir.nw.ru
ORCID iD: 0000-0001-5477-8684
SPIN-код: 7294-7603
Россия, Санкт-Петербург
Ренат Абдуллаевич Абдуллаев
Федеральный исследовательский центр «Всероссийский институт генетических ресурсов растений им. Н.И. Вавилова»
Email: abdullaev.1988@list.ru
ORCID iD: 0000-0003-1021-7951
SPIN-код: 3377-2241
Scopus Author ID: 57211915135
канд. биол. наук
Россия, Санкт-ПетербургНаталья Владимировна Алпатьева
Федеральный исследовательский центр «Всероссийский институт генетических ресурсов растений им. Н.И. Вавилова»
Email: alpatievanatalia@mail.ru
ORCID iD: 0000-0002-5531-2728
SPIN-код: 9882-0850
канд. биол. наук
Россия, Санкт-ПетербургИгорь Градиславович Лоскутов
Федеральный исследовательский центр «Всероссийский институт генетических ресурсов растений им. Н.И. Вавилова»
Email: i.loskutov@vir.nw.ru
ORCID iD: 0000-0002-9250-7225
SPIN-код: 2715-2082
Scopus Author ID: 8619012600
ResearcherId: D-5238-2013
д-р биол. наук
Россия, Санкт-ПетербургОльга Николаевна Ковалева
Федеральный исследовательский центр «Всероссийский институт генетических ресурсов растений им. Н.И. Вавилова»
Email: o.kovaleva@vir.nw.ru
ORCID iD: 0000-0002-3990-6526
SPIN-код: 6676-5316
канд. биол. наук
Россия, Санкт-ПетербургСписок литературы
- Лукьянова М.В., Трофимовская А.Я., Гудкова Г.Н., и др. Культурная флора СССР. Т. II, ч. 2. Ячмень. Ленинград: Агропромиздат, 1990.
- Филиппов Е.Г., Дорошенко Э.С. Голозерный ячмень: состояние изученности и перспективы использования (обзор литературы) // Зерновое хозяйство России. 2015. № 4. С. 8–12. EDN: UHLCOP
- Министерство сельского хозяйства РФ, ФГБУ «Государственная комиссия Российской Федерации по испытанию и охране селекционных достижений». Государственный реестр селекционных достижений, допущенных к использованию. Т. 1. «Сорта растений» (официальное издание). Москва: ФГБНУ «Росинформагротех», 2023.
- Kusch S., Panstruga R. mlo-Based resistance: an apparently universal «weapon» to defeat powdery mildew disease // Mol Plant Microbe Interact. 2017. Vol. 30, N 3. P. 179–189. doi: 10.1094/MPMI-12-16-0255-CR
- Tratwal A., Bocianowski J. Blumeria graminis f. sp. hordei virulence frequency and the powdery mildew incidence on spring barley in the Wielkopolska province // J Plant Protect Res. 2014. Vol. 54, N 1. P. 28–35. doi: 10.2478/jppr-2014-0005
- Kauppi K., Rajala A., Huusela E., et al. Impact of pests on cereal grain and nutrient yield in boreal growing conditions // Agronomy. 2021. Vol. 11, N 3. ID 592. doi: 10.3390/agronomy11030592
- Wei F., Gobelman-Werner K., Morroll S.M., et al. The Mla (powdery mildew) resistance cluster is associated with three NBS-LRR gene families and suppressed recombination within a 240-kb DNA interval on chromosome 5S (1HS) of barley // Genetics. 1999. Vol. 153, N 4. P. 1929–1948. doi: 10.1093/genetics/153.4.1929
- Jørgensen I.H. Discovery characterization and exploitation of Mlo powdery mildew resistance in barley // Euphytica. 1992. Vol. 63, N1–2. P. 141–152. doi: 10.1007/BF00023919
- Schonfeld M., Ragni A., Fischbeck G., Jahoor A. RFLP mapping of three new loci for resistance genes to powdery mildew (Erysiphe graminis f. sp. hordei) in barley // Theor Appl Genet. 1996. Vol. 93, N 1-2. P. 48–56. doi: 10.1007/s001220050246
- Абдуллаев Р.А., Лебедева Т.В., Алпатьева Н.В., и др. Устойчивость образцов ячменя из Дагестана к мучнистой росе // Вавиловский журнал генетики и селекции. 2021. Т. 25, № 5. С. 528–533. EDN: JMOBOO doi: 10.18699/VJ21.059
- Радченко Е.Е., Абдуллаев Р.А., Анисимова И.Н. Генетическое разнообразие зерновых культур по устойчивости к мучнистой росе // Экологическая генетика. 2020. Т. 18, № 1. С. 59–78. EDN: DPGVZR doi: 10.17816/ecogen14530
- Dreiseitl A. Genes for resistance to powdery mildew in European barley cultivars registered in the Czech Republic from 2011 to 2015 // Plant Breed. 2017. Vol. 136, N 3. P. 351–356. doi: 10.1111/pbr.12471
- Baker S.J., Newton A.C., Gurr S.J. Cellular characteristics of temporary partial breakdown of mlo-resistance in barley to powdery mildew // Physiol Mol Plant Pathol. 2000. Vol. 56, N 1. P. 1–11. doi: 10.1006/pmpp.1999.0242
- Лоскутов И.Г., Ковалева О.Н., Блинова Е.В. Методические указания по изучению и сохранению мировой коллекции ячменя и овса. Санкт-Петербург: ВИР, 2012.
- Абдуллаев Р.А., Баташева Б.А., Алпатьева Н.В., и др. Устойчивость допущенных к использованию в России сортов ячменя к вредным организмам и токсичным ионам алюминия // Труды по прикладной ботанике, генетике и селекции. 2020. Т. 181, № 3. С. 120–127. EDN: COHCJU doi: 10.30901/2227-8834-2020-3-120-127
- Mains E.B., Dietz S.M. Physiologic forms of Barley mildew, Erysiphe graminis hordei // Phytopathology. 1930. Vol. 20, N 3. P. 229–239.
- Дорохов Д.Б., Клоке Э. Быстрая и экономичная технология RAPD анализа растительных геномов // Генетика. 1997. T. 33, № 4. C. 443–450. EDN: MOXWJJ
- Piffanelli P., Ramsay L., Waugh R., et al. A barley cultivation-associated polymorphism conveys resistance to powdery mildew // Nature. 2004. Vol. 430, N 7002. P. 887–891. doi: 10.1038/ nature02781
- Lukina K.A., Porotnikov I.V., Antonov O.Y., Kovaleva O.N. Determination of the Allelic composition of the sdw1/denso (HvGA20ox2), uzu1 (HvBRI1) and ari-e (HvDep1) genes in spring barley accessions from the VIR collection // Plants. 2024. Vol. 13, N 3. ID 376. doi: 10.3390/plants13030376
- Dreiseitl A. Mlo-Mediated broad-spectrum and durable resistance against powdery mildews and its current and future applications // Plants. 2024. Vol. 13, N 1. ID 138. doi: 10.3390/ plants13010138
- Jørgensen J.H., Mortensen K. Primary infection by Erysiphe graminis f. sp. hordei of barley mutants with resistance genes in the ml-o locus // Phytopathology. 1977. Vol. 67. P. 678–685. doi: 10.1094/Phyto-67-678
- Freialdenhoven A., Peterhansel C., Kurth J., et al. Identification of genes required for the function of non-race-specific mlo resistance to powdery mildew in barley // Plant Cell. 1996. Vol. 8, N 1. P. 5–14. doi: 10.1105/tpc.8.1.5
- Newton A.C., Young I.M. Temporary partial breakdown of Mlo-resistance in spring barley by the sudden relief of soil water stress // Plant Pathol. 1996. Vol. 45, N 5. P. 973–977. doi: 10.1111/j.1365-3059.1996.tb02908.x
- Baker S.J., Newton A.C., Crabb D., et al. Temporary partial breakdown of mlo-resistance in spring barley by sudden relief of soil water-stress under field conditions: The effects of genetic background and mlo allele // Plant Pathol. 1998. Vol. 47, N 4. P. 401–410. doi: 10.1046/j.1365-3059.1998.00261.x
- Орлов А.А. Ячмени Абиссинии и Эритреи // Труды по прикладной ботанике, генетике и селекции. 1929. Т. 20. C. 283–345.
- Berhane L., Semeane Y.F., Gebre H., et al. Exploiting the diversity of barley landraces in Ethiopia // Genet Res Crop Evol. 1997. Vol. 44. P. 109–116. doi: 10.1023/A:1008644901982
Дополнительные файлы







