Optimization of conditions for the productionof Hsp70 phaperones in Saccharomyces cerevisiae pells
- Authors: Matveenko A.G.1, Tsvetkov A.A.1, Rogoza T.M.1,2, Barbitoff Y.A.1, Zhouravleva G.A.1
-
Affiliations:
- Saint Petersburg State University
- St. Petersburg Branch, Vavilov Institute of General Genetics of the Russian Academy of Sciences
- Issue: Vol 23, No 2 (2025)
- Pages: 191-202
- Section: Methodology in ecological genetics
- Submitted: 07.03.2025
- Accepted: 16.04.2025
- Published: 27.06.2025
- URL: https://journals.eco-vector.com/ecolgenet/article/view/676918
- DOI: https://doi.org/10.17816/ecogen676918
- EDN: https://elibrary.ru/HGNCCR
- ID: 676918
Cite item
Abstract
BACKGROUND: Molecular chaperones regulate the proper folding of proteins in the cell. Members of the Hsp70 family, including the Ssa1 protein, are molecular chaperones that prevent protein aggregation, promote their proper folding and degradation, and are the most common among the various chaperones, highly conserved, and present in a variety of organisms.
AIM: The aim of the work was to optimize methods for the production, extraction and purification of Ssa1 protein from cells of Saccharomyces cerevisiae.
MATERIALS AND METHODS: The SSA1-4 gene sequences were cloned into a vector under the control of the TEF1 promoter and fused with a sequence encoding His6-tag. Yeast strains with different genetic backgrounds were transformed with the obtained constructs, and the production of Ssa1-4 proteins was assessed under different cultivation conditions. Affinity and ion-exchange chromatography were used to purify the Ssa1 protein. Fluorescence microscopy was used to confirm the localization of recombinant Ssa proteins fused with TagRFP-T in the cytosol.
RESULTS AND CONCLUSIONS: Methods for the production, extraction and purification of Ssa1 protein from yeast cells have been optimized. The same approach can be further used to purify other Hsp70 proteins and adapted to obtain various proteins from eukaryotic cells.
Keywords
Full Text
BACKGROUND
Molecular chaperones are polypeptides responsible for the correct folding of proteins in the cell. During their lifetime, cells constantly adapt to changing conditions. Among different chaperons the members of the Hsp70 (70-kDa heat-shock protein) family are the most abundant and highly conserved among different organisms (reviewed in [1]).The Hsp70 family proteins are molecular chaperones that prevent protein aggregation, promote their proper folding and degradation, thereby being key factors in the ability of cells to maintain proteostasis. Thus, given the involvement of these proteins in a variety of cellular processes, it is not surprising that they are considered as targets for the treatment of various human diseases, such as cancer and neurodegenerative diseases.
Hsp70 proteins act together with co-chaperons, such as members of the Hsp40 family, which contribute to the specificity of Hsp70 interactions. They also require the nucleotide exchange factors (NEFs) as their activity is ATP-dependent [2]. Both of these types of auxiliary factors are usually represented by multiple proteins in different organisms.The Hsp70 proteins of the yeast Saccharomyces cerevisiae are divided into seven subfamilies: four canonical-type Hsp70 chaperones (Ssa, Ssb, Kar, and Ssc) and three atypicalHsp70 proteins (Sse, Ssz, and Lhs) that play a regulatory role by modulating the activity of canonical Hsp70 partners [3].All Hsp70 proteins contain two functional domains: NBD (Nucleotide Binding Domain) at the N-terminus and SBD (Substrate Binding Domain) at the C-terminus which are connected by a short interdomain linker [1]. The Ssa (Stress Seventy sub-family A) subfamily includes four main members (Ssa1, Ssa2, Ssa3 and Ssa4). While none of the four corresponding SSA genes is essential, at least one of them must be present for viability [4, 5]. The four members of the SSA subfamily arose through duplications and are highly conserved. Despite sequence similarity the corresponding proteins may be functionally distinct and act in different ways. While SSA2 is expressed constitutively at high levels, the SSA3-4 are expressed only during cellular stress, and SSA1 is constitutively expressed at moderate levels, but is also upregulated during stress [6, 7]. Ssa proteins also differ in their stability, with Ssa4 being the most stable (half-life greater than 100 h) and Ssa3 having a half-life of 11.0 h [8].
Several functional differences between Ssa proteins were found when characterizing their effects on yeast prions. Yeast possesses nearly 20 naturally occurringprions, the most well studied of which are [PSI⁺], [PIN+], and [URE3] (reviewed in [9]). Propagation of yeast prions is dependent on the cellular chaperone machinery, essentially,the Hsp104/Hsp70/Hsp40 system. Hsp104 is a molecular disaggregase capable of breaking apart prion aggregates thus promoting their division and inheritance. However, in order to perform its function, Hsp104 has to be recruited by the Hsp70-Ssa, which in turn binds prion aggregates in complex with Hsp40 co-chaperones (reviewed in [10]).
Despite sequence similarities, Ssa proteins differ in some of their effects on prion propagation. For example, opposing effects on the curing of [URE3] have been reported for nearly identical Ssa1 and Ssa2, although, these effects were not reproducible in other strains [11, 12]. Similarly, opposing effects on [PSI⁺] were occasionally observed for Ssa3 and Ssa4 [13, 14]. The SSA1-21 (L483W) mutation was first described by its dominant [PSI⁺]-curing phenotype. Even though it does not affect propagation of [URE3], introduction of the same mutation into the SSA2 gene severely destabilizes [URE3] [15]. Finally, Ssa proteins demonstrate various effects on prion propagation when they are expressed from the only copy of SSA gene from constitutive promoter of the SSA2 gene, particularly, Ssa1 and Ssa2, but not Ssa3, or Ssa4 are able to maintain the [URE3]. While all four Ssa are able to maintain [PSI⁺], Ssa4 specifically weakenedits propagation [16].
The role of the Ssa proteins is not limited to chaperone activity and prion propagation. Particularly, Ssa proteins participate in the translocation of proteins into the mitochondria and endoplasmic reticulum [17, 18]. Additionally, Ssa1/2 proteins function in cell cycle progression and DNA-damage response as they were shown to act in G2/M checkpoint regulation after UV irradiation. Ssa1/2 were found to take part in a complex with DNA damage checkpoint protein Rad9 which either includes the effector kinase Rad53, or does not, which affects the Rad9 phosphorylation. Interestingly, Ssa3 or Ssa4 can also be recruited to the Rad9 complex, but unable to substitute forthe Ssa1/Ssa2 function [19].
Given the importance of the Hsp70 proteins for the prion propagation, as well as other cellular processes, we aimed at studying their properties in vitro. As the Ssa proteins are stable and abundant in yeast cells, these chaperones can be extracted directly from yeast, as shown for Ssa1 in earlier studies. Various approaches can be used for the purification of the Ssa proteins from yeast cells. For example, Ssa1/2 proteins were extracted from complexes with Rad9 and Rad53 after co-precipitation with heparin-affinity chromatography of hemagglutinin-tagged Rad9 [19]. Another approach utilized ATP-dependence of the Hsp70 chaperones by employing ATP-affinity purification, followed by anion exchange chromatography [20]. Immunoprecipitation was also used for the Ssa1/2 proteins [17]. All the aforementioned approaches are poorly suited for distinguishing nearly identical Ssa1 and Ssa2 proteins, which can be overcome by producinga tagged protein. In case of polyhistidine-tagged proteins, affinity purification using chelating sepharose was successfully used [21].
We aimed to use a similar approach with Ni-NTA agarose for the extraction of His₆-tagged proteins. In this work, we developed and optimized the techniques allowing for the extraction and purification of various Hsp70 proteins from yeast cells which required optimization of conditions for their production.
MATERIALS AND METHODS
Strains and media
Escherichia coli strain DH5α [22] was used for the plasmid selection, maintenance and amplification. S. cerevisiae strains used in this work are listed in Table 1. Standard methods of cultivation and manipulation of yeast and bacteria were used throughout this work [23, 24]. Yeast strains were cultivated at 30 °C in standard solid and liquid media: YEPD (rich media), or either of the two types of selective media were used. SC (synthetic complete) media has 6.7 g/L yeast nitrogen base (YNB) with ammonium sulfate (Invitrogen) as its core component. Alternatively, synthetic minimal media (Min)was used, which contains of 0.5 g of MgSO4·7H2O, 3.5 gof (NH4)2SO4, 0.1 g of K2HPO4, 0.9 g of KH2PO4, 0.2 mg of thiamine, 0.002 mg of biotin, and 0.5 mg of β-alanine perlitre [25]. Both SC and minimal media contained all supplements required to compensate for all the auxotrophies of all strains, specifically, adenine, L-tryptophane, L-leucine, L-lysine,L-histidine, L-methionine, and L-threonine at concentrations described in [23]. The uracil was omitted, which was necessary for maintaining URA3 plasmids.
Yeast transformation was performed as described [26].
Table 1. Yeast strains used in this work
Strain | Genotype | Reference |
74-D694 | MATa ade1-14 his3-Δ200 ura3-52 leu2-3,112 trp1-289 [psi⁻] [PIN+] | [27] |
OT56 | 74-D694 [PSI⁺]S [PIN+] | [28] |
prb1Δ0-P-74-D694 | 74-D694 prb1Δ0 [PSI⁺] [PIN+] | [29] |
prb1Δ0-2-74-D694 | 74-D694 prb1Δ0 [psi⁻] [pin –] | [30] |
yAO066 | 74-D694 prb1Δ::HIS3MX [psi⁻] [PIN+] | [31] |
yAO121 | 74-D694 pep4Δ::HIS3MX [psi⁻] [PIN+] | [31] |
P2.1.1-yAO121 | 74-D694 pep4Δ::HIS3MX [PSI⁺]S [PIN+] | [30] |
2-yAO121 | 74-D694 pep4Δ::HIS3MX [psi⁻] [pin –] | [30] |
BY4742 | MATα his3Δ1 leu2Δ0 lys2Δ0 ura3Δ0 | [32] |
prb1Δ-BY4741 | MATa his3Δ1 leu2Δ0 met15Δ0 ura3Δ0 prb1::KanMX | [29] |
Fluorescence microscopy
Yeast cells from liquid cultures grown to mid-log phase (OD₆₀₀ = 0.4–0.6) were analyzed using Zeiss Axioscope A1 wide-field fluorescence microscope equipped with a Zeiss AxioCam 506 Color camera. Images were acquired using Zeiss Zen software.
Plasmids
Plasmids used in this work are listed in Table 2.
Table 2. Plasmids used in this work
Plasmid | Description | Reference |
pRS316 | AmpR, CEN, URA3 | [33] |
pTEF-SSA1 | AmpR, CEN, URA3, PTEF1-His₆-Xpress-SSA1 | [34] |
pTEF-SSA1021 | AmpR, CEN, URA3, PTEF1-His₆-Xpress-SSA1-21 | [10] |
pDM64 | AmpR, CEN, HIS3, PSSA2-SSA2 | [11] |
pTEF-SSA3 | AmpR, CEN, URA3, PTEF1-SSA3 | [13] |
pTEF-SSA4 | AmpR, CEN, URA3, PTEF1-SSA4 | [13] |
pTEF-His₆-SSA2 | AmpR, CEN, URA3, PTEF1-His₆-Xpress-SSA2 | This work |
pTEF-His₆-SSA3 | AmpR, CEN, URA3, PTEF1-His₆-Xpress-SSA3 | This work |
pTEF-His₆-SSA4 | AmpR, CEN, URA3, PTEF1-His₆-Xpress-SSA4 | This work |
pIM35 | AmpR, CEN, URA3, PMET17-yTagRFP-T | [35] |
pTEF-His₆-yTagRFP-T-SSA1 | AmpR, CEN, URA3, PTEF1-His₆-Xpress-yTagRFP-T-SSA1 | This work |
pTEF-His₆-yTagRFP-T-SSA1-21 | AmpR, CEN, URA3, PTEF1-His₆-Xpress-yTagRFP-T-SSA1-21 | This work |
pTEF-His₆-yTagRFP-T-SSA2 | AmpR, CEN, URA3, PTEF1-His₆-Xpress-yTagRFP-T-SSA2 | This work |
pTEF-His₆-yTagRFP-T-SSA3 | AmpR, CEN, URA3, PTEF1-His₆-Xpress-yTagRFP-T-SSA3 | This work |
pTEF-His₆-yTagRFP-T-SSA4 | AmpR, CEN, URA3, PTEF1-His₆-Xpress-yTagRFP-T-SSA4 | This work |
The pTEF-His₆-SSA2 plasmid was generated by amplification of the SSA2 gene fragment from the pDM64 plasmid with the Ssa2-BamH1(-1)-F and Ssa2-BcuI-R primers.The amplified PCR fragment was digested with the BamHI and BcuI restriction enzymes and ligated into the backboneof the pTEF-SSA1 plasmid digested with the same enzymes. For the construction of the pTEF-His₆-SSA4 plasmid the same approach was used; for the amplification of SSA4 Ssa4-BamHI(-1)-F and Ssa4-BcuI-R primers and pTEF-SSA4 plasmid were used. pTEF-His₆-SSA3 was obtained as follows: the SSA3 gene fragment was first amplified using Ssa3-BamHI(–1)-F and T7 20-mer primers from pTEF-SSA3.The BamHI-EcoRI fragment of the amplified product was inserted into pTEF-SSA1 in place of the SSA1-containing fragment resulting in pTEF-His₆-SSA3ΔC. Finally, the XbaI-XbaI fragment of pTEF-SSA3 was replaced by analogous fragment from pTEF-His₆-SSA3ΔC containing His₆-tag sequence, yielding pTEF-His₆-SSA3. The pTEF-His₆-yTagRFP-T-SSA1 was constructed as follows: first, a fragment containing the yTagRFP-T gene was generated by amplification of a fragment from the pIM35 plasmid with the pBlueScr-SK and yTR-T-ns-R-NheI primers (Table 3).
Table 3. Primers used in this work
Primer | Sequence (5' → 3') |
Ssa2-BamH1(-1)-F | atattggatcctatgtctaaagctgtcggtattgat |
Ssa2-BcuI-R | gaccactagtcttaatcaacttcttcgacagttggacc |
Ssa3-BamHI(-1)-F | aacaggatcctatgtctagagcagttggtattg |
T7 20-mer | taatacgactcactataggg |
Ssa4-BamHI(-1)-F | aacaggatcctatgtcaaaagctgttggtattg |
Ssa4-BcuI-R | gtactagtctaatcaacctcttcaaccgttg |
pBlueScr-SK | tctagaactagtggatc |
yTR-T-ns-R-NheI | ccagctagccttatacaattcgtccataccgt |
The amplified PCR fragment was then digested with the NheI and BcuI restriction enzymes and ligated into the backbone of the pTEF-SSA1 plasmid digested with NheI. For the construction of the pTEF-His₆-yTagRFP-T-SSA1-21 pTEF-His₆-yTagRFP-T-SSA2, pTEF-His₆-yTagRFP-T-SSA3 and pTEF-His₆-yTagRFP-T-SSA4 plasmids the same approach was used.
All plasmid constructions were verified by sequencing in the Resource Center “Development of Molecular and Cell Technologies” of Saint Petersburg State University.
Protein analysis
Cells for protein extraction were grown in liquid media at 30°C with shaking at 200 rpm until reaching OD₆₀₀ = 0.6–0.8 or stationary phase (OD₆₀₀ = 2). The modified alkaline lysis method [36, 37] was employed for the analysis of protein amount with SDS-PAGE. Briefly, cells were pelleted and washed twice in water. Cell pellets were incubated for 5 min with 2 M lithium acetate (LiAc) on ice. LiAc-treated cells were then centrifuged, the supernatant was discarded, and the cells were resuspended in 0.4 M NaOH and placed on ice for 5 min. After centrifugation pellets were resuspended in Laemmli buffer (60 mM Tris-HCl pH 6.8, 2% SDS, 10% glycerol, 5% β-mercaptoethanol, 0.01% bromophenol blue), boiled for 5 min, and cleared by centrifugation before separation by SDS-PAGE. After electrophoresis proteins were eluted onto PVDF membrane by semi-dry transfer and visualized with Western blot hybridization [24]. Antibodies used are present in Table 4.
Table 4. Antibodies used in this work
Name | Dilution | Antigene | Reference |
Anti-His₆ | 1:4000 | His₆-tag | GE Healthcare, #27471001 |
Peroxidase-labeled anti-mouse | 1:10000 | mouse IgG | GE Healthcare, #NIF 825 |
Anti-Hsp70 [2A4] | 1:3750 | human Hsp70 437-479 fragment | Abcam, #ab5442 |
Peroxidase-labeled goat anti-mouse IgG H&L | 1:10000 | mouse IgG H&L | Abcam, #ab205719 |
The antibodies used to detect the Ssa proteins (anti-Hsp70) were IgM, hence, required compatible secondary antibodies; anti-mouse IgG H&L were used for this purpose. Immunoblots were detected using ECL Select Western Blotting Detection Reagent (GE Healthcare) and GeneGnome hardware and software (Syngene).
Purification of recombinant proteins
For the purification of the His₆-Ssa proteins at least 500 ml of yeast cells from liquid culture were first harvested by centrifugation. The pelleted cells were then washed and frozen in –80°C. Total protein lysate was extracted in non-denaturing conditions using glass beads technique [38, 39]. The lysis buffer used was 20 mM TrisHCl, 500 mM NaCl, 10% glycerol and 10% protease inhibitors cocktail (Sigma #P8215-5ML).The crude lysate was clarified by centrifugation at 4°C at800 g for 10 minutes. The supernatant was then loaded into a 5 ml HiTrap HP Ni-NTA agarose column (GE Healthcare). The NGC chromatography system (BIO-RAD) was used for the purification procedure. The buffer for the column wash was the same as the lysis buffer, but without protease inhibitors and containing 10 mM imidazole. The elution buffer contained 250 mM imidazole. The elution was performed by increasing a proportion of elution buffer to the wash buffercreating a linear gradient of imidazole concentrations. Fractions were collected using an automated fraction collector (BIO-RAD) and checked by SDS-PAGE. Fractions with the highest content of the Ssa protein were then concentrated using AmiCon Ultra15 centrifugal concentrators with a 3 kDa molecular weight cutoff (Millipore). The buffer was simultaneously changed to the Ssa storage buffer (20 mM TrisHCl, pH 7.6, 50 mM KCl, 5 mM BME, 10% glycerol). Additional purification was performed with anion exchange chromatography using HiTrap Q HP 5 ml column (GE Healthcare).The start buffer used was 20 mM TrisHCl, pH 7.6, 100 mM KCl,6 mM BME, 5% glycerol; the elution buffer was the same, except the concentration of KCl was 500 mM.
RESULTS AND CONCLUSION
Selection of a S. cerevisiae strain optimal for producing the chaperone Ssa1
Various strains are known to differ in the abundance of molecular chaperones [40] making the choice of strain for the production of the Hsp70 chaperones to be critical. Several factors may affect the chaperone abundance; among them is the genetic background which depends on the strain ancestry. Another factor is the constant presence of the heritable misfolded proteins, such as prions, as their aggregates are known to sequester some cytosolic chaperones, including Hsp70s, thus affecting their overall abundance either directly or by compensatory feedback mechanisms (reviewed in [10]). The strain of choice also should demonstrate rapid growth and high stability of the protein of interest. We selected strains with either BY4741/BY4742 or 74-D694 genetic background, which ascend either to the reference S288C strain or Peterhof genetic lineage, respectively. We tested strains of both origins with deletions of vacuolar proteases (prb1Δ and pep4Δ). We also tested variants containing [PSI⁺] and [PIN+] prions in different combinations.
Strains of S. cerevisiae specified in Table 1 were transformed with pTEF-SSA1 or pTEF-SSA1-21 plasmids. Transformants were selected at the solid SC-Ura media, grown in the same liquid media and tested by SDS-PAGE followed by immunoblotting. The liquid cultures were typically grown to mid- or late-log phase, in which the majority of cells are actively growing and dividing, however, several Ssa proteins are known to increase their abundance during transition to the stationary phase [4]. We therefore additionally assessed the protein levels in three strains grown to the stationary phase. For the detection of Ssa1 two types of antibodies were used: anti-Hsp70 and anti-His₆ (Fig. 1).
Fig. 1. Comparison of Ssa1 production levels in different yeast strains by immunoblotting. pTEF-SSA1 (a) or pTEF-SSA1-21 (b) plasmids were used for transformation. Total protein was visualized using Coomassie R250 membrane staining. log, yeast culture in logarithmic (OD₆₀₀ = 0.7–1.0), stat,in stationary (OD₆₀₀ = 2) growth phase. Anti-His₆ and anti-Hsp70 antibodies were used. Strains selected for further analysis are marked with asterisks. The order of the strains in panel A is as follows (from left to right): OT56, 74-D694, P2.1.1-yAO121, yAO121, 2-yAO121, prb1Δ0-P-74-D694,prb1Δ0-2-74-D694, yAO066, prb1Δ-BY4741, BY4742, yAO066 (stat), prb1Δ-BY4741(stat), BY4742(stat). The order of the strains in panel B is as follows (from left to right): OT56, 74-D694, P2.1.1-yAO121, yAO121, 2-yAO121, prb1Δ0-P-74-D694, prb1Δ0-2-74-D694, prb1Δ-BY4741, BY4742, yAO066 (stat), prb1Δ-BY4741(stat), BY4742(stat).
The anti-Hsp70 antibodies we used are able to recognize all four Ssa proteins, thus, we were able to detect not only the overproducedHis₆-Ssa1 protein, but also the Ssa proteins produced from their respective endogenous loci. As a result, we could observe two bands on the western blot, the upper corresponding to the heavier His₆-Ssa1, and the lower representing the mix of native Ssa1-4 proteins. This allowed us to compare the abundance of the overproduced protein to the natively produced Ssa. We also used another approach, in which we compared the relative amounts of the overproduced protein using total protein load as a reference. Comparison of different strains in different growth phases allowed us to select theprb1Δ-BY4741 and yAO121 strains growth to the logarithmic phase for further analysis.
Selection of optimal conditionsfor incubation of yeast culture forthe production of His₆-Ssa1
As members of a heat shock protein group, some of the Ssa proteins, including Ssa1, are known to be produced in increased amounts during heat shock and other stress conditions [4]. To find out whether growth at elevated temperatures affects the amount of the overproduced Ssa1, we incubated the transformants of the selected strains at different temperatures (30°C, 37°C and 42°C). Western blot hybridization was then performed with antibodies to Hsp70. We found that the His₆-Ssa1 and His₆-Ssa1-21 proteins were most actively produced in the prb1Δ-BY4741 strain at 30°C(Fig. 2, a). Elevated temperatures indeed increased the production of native Hsp70s, however, this did not affect the production of His₆-tagged proteins regulated by the constitutive TEF1 promoter. Our observations confirm that the temperature-dependent production of the Hsp70 mostly relies on their transcriptional regulation, while the expression of the SSA1 gene under control of non-native constitutive promoter remains unaffected by increasing temperature.
Fig. 2. Comparison of Ssa1 production levels in the selected strains under different conditions: a, yAO121 and prb1Δ-BY4741 transformants fromfig. 1 were first grown in 30°C to mid-log phase (OD₆₀₀ = 0.4–0.6), and then incubated at the indicated temperatures for 4 hours: b, Strain prb1Δ-BY4741 was transformed with pTEF-SSA1, pTEF-SSA1-21, or pRS316 (e.v., empty vector) plasmids; the selected transformants were grown at SC-Ura (SC)or Min-Ura (Min) media at 30°C to the late-log phase. Two independent transformants are shown in each case. Shown are results of western blot analysis. Total protein was visualized using Coomassie R250 membrane staining.
The composition of the media for cell culture growth, specifically, shortage of rich carbon or nitrogen sources may also promote stress reactions in cells. We thus decided to compare the efficiency of cultivation and protein production in YNB-based SC medium and in salt-based minimal (Min) medium (both without uracil). The level of protein production in the minimal salt-based medium was slightly lower, but in the lysates of yeast grown in SC-Ura and visualized using antibodies to Hsp70, an additional band was occasionally observed (Fig. 2, b). Presence of a band corresponding to a protein with lower molecular weight which is bound by anti-Hsp70 antibodies may point to the proteolysis of Hsp70 occuring during growth in SC medium. Due to this, and also in order to optimize costs, it was decided to continue further work with Hsp70 in a salt-based minimal medium without uracil.
Production of chaperones Ssa2, Ssa3and Ssa4
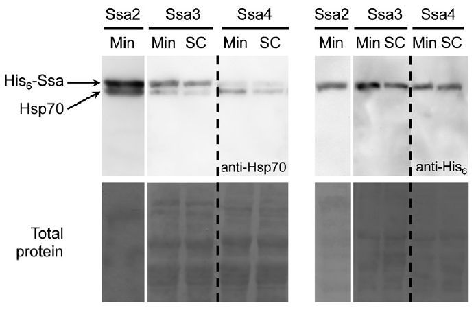
Having selected the optimal conditions for the production of the Ssa1 and Ssa1–21 chaperones, we checked whether they were also suitable for production of Ssa2, Ssa3, and Ssa4. We transformed the prb1Δ-BY4741 strain with the plasmids pTEF-His₆-SSA2, pTEF-His₆-SSA3, and pTEF-His₆-SSA4and compared the protein production levels in SC-Ura andMin-Ura (Fig. 3).
Fig. 3. Selection of a medium for the production of Ssa2, Ssa3 and Ssa 4. Strain prb1Δ-BY4741 was transformed with pTEF-His₆-SSA2,pTEF-His₆-SSA3 and pTEF-His₆-SSA4; selected transformants were grown in SC-Ura (SC) or Min-Ura (Min) media at 30°C until OD₆₀₀ = 0.8–1.1,and then subjected to protein extraction and western blotting.
As in the case of Ssa1 and Ssa1-21, it was decided to cultivate the transformed yeast cells in a minimal medium without the addition of uracil. Both conditions appeared to be suitable for the chaperone production, confirming the choice of a minimal medium as optimal. It should be noted that the observed levels of Ssa4 were significantly lower than Ssa3 when detected by the anti-Hsp70 antibodies. No such difference was observed when anti-His₆ antibodies were used. It is likely that the affinity of the anti-Hsp70 antibodies we used was lower for theSsa3 protein, even though the sequences of the fragments homologous to the implied epitope are nearly identical in allthe Ssa proteins.
Thus, we were able to select the most suitable strain and conditions for the production of chaperones Ssa1, Ssa1-21, Ssa2, Ssa3 and Ssa4. The experiments also confirmed the suitability of the vector constructs we obtained for protein production in yeast cells.
Determination of the intracellularlocalization of Ssa chaperones using fluorescencemicroscopy
Addition of tags on the N-terminus can affect properties of a protein including its localization which in turn may result in decreasing yield of a purified protein. We checked whether tagged variants of the Ssa proteins retained their cytosolic localization. In order to visualize distribution of the Ssa proteins we constructed variants with red fluorescent protein gene yTagRFP-T inserted in-between the His₆-tag and reading frame of the respective gene. We transformed the OT56 ([PSI⁺]) and 74-D694 ([psi⁻]) strains with the resulting five plasmids and analyzed the cells of the transformants using fluorescence microscopy. In all cases we observed diffuse distribution in most of the cells (Fig. 4).
Fig. 4. The analysis of intracellular distribution of Ssa proteins. OT56 ([PSI⁺]) and 74-D694 ([psi⁻]) strains were transformed with a series of pTEF-His₆-yTagRFP-T-SSA plasmids. The resulting transformants were analyzed using fluorescence microscopy. BF, bright field.
Cells with heterogeneously distributed proteins forming clumps or multiple foci could also be observed, however, they were rare. Such cells could be found in both [PSI⁺] and [psi–] cells producing either of the Ssa protein variants studied. These results suggest that N-terminally tagged Ssa proteins are predominantly localized in cytosol, and thus can be purified from the fraction of soluble proteins.
Production and purification of the Ssa1 chaperone
We then attempted to purify the Ssa1 protein from cells grown at the selected conditions. Purified preparations of the His₆-Ssa1 protein was obtained using affinity chromatography (Fig. 5, a). Several additional proteins appeared to also bind the Ni-NTA agarose, with some of them of similar molecular weight to the His₆-Ssa1. Thus, some of the obtained fractions were tested by Western blot for the presence of the target protein. We confirmed that His₆-Ssa1 was present in the elution fractions as it binded both anti-Hsp70 and anti-His₆ antibodies (Fig. 5, b). The major co-purified protein, which was slightly less massive than Hsp70, reacted only to the anti-His₆ antibodies (Fig. 5, b).
Fig. 5. Purification of the Ssa1 protein from yeast cell lysates: a, SDS-PAGE of affinity chromatography fractions of yeast lysates producing His₆-Ssa1 under non-denaturing conditions. Shown is Coomassie R250 staining of gels loaded with elution fractions. Fractions that were taken for subsequent concentration and purification by ion exchange chromatography are marked with a line, fractions marked with one and two arrows were used for the immunoblotting; b, Western blot of representative fractions (marked with one and two arrows at the panel A) after affinity purification; c, SDS-PAGE analysis of ion exchange chromatography fractions, stained with Coomassie R250.
Due to the insufficient purity of the obtained preparations, the fractions were concentrated, and the buffer was replaced, after which the samples were subjected to additional purification by anion exchange chromatography (Fig. 5, c).The protein amounts in the resulting fractions were then assessed using SDS-PAGE. This allowed us to obtain fractions with significantly reduced amounts of non-target protein. Overall, the combination of affinity and anion exchange chromatography proved to be effective for purification of the Ssa1 protein from yeast cells. The same approach may be further used for purification of Ssa2, Ssa3, and Ssa4 proteins, and, in principle, can be adapted for in vitro studies of other yeast proteins.
ADDITIONAL INFO
Author contribution: A.G. Matveenko: planning and conducting experiments, writing the text of the manuscript; A.A. Tsvetkov: conducting experiments, figures preparation; T.M. Rogoza: conducting experiments; Yu.A. Barbitoff: research concept, discussion of results; G.A. Zhouravleva: discussion of results, writing the text of the manuscript. All authors have approved the publication version and also agreed to be responsible for all aspects of the each part of the work and ensured reliable consideration of the issues related to the accuracy and integrity.
Acknowledgments: We thank Anastasiia S. Mikhailichenko andNina P. Trubitsina for help with experiments. This study utilised the equipment of the core facility center “Development of molecular and cellular technologies” of the scientific park of Saint Petersburg State University.
Funding sources: The work is supported by Russian Science Foundation grant No. 23-74-01121, except for the part of the work regarding fluorescence analysis, which is supported by Russian Science Foundation grantNo. 23-14-00063. The authors acknowledge Saint-Petersburg State University for a research project 103972122 for supporting the maintenance of the collection of S. cerevisiae strains used in this work.
Disclosure of interests: The authors have no relationships, activities or interests for the last three years related with for-profit or not-for-profit third parties whose interests may be affected by the content of the article.
Statement of originality: The authors did not use previously published information (text, illustrations, data) to create this paper.
Data availability statement: All data obtained in the present study are available in the article.
Generative AI: Generative AI technologies were not used for this article creation.
Provenance and peer-review: This work was submitted to the journal on its own initiative and reviewed according to the standard procedure.Two external reviewers, and a member of the editorial board participated in the review.
ДОПОЛНИТЕЛЬНАЯ ИНФОРМАЦИЯ
Вклад авторов. А.Г. Матвеенко — планирование и проведение экспериментов, написание текста рукописи; А.А. Цветков — проведение экспериментов, подготовка рисунков; Т.М. Рогоза — проведение экспериментов; Ю.А. Барбитов — планирование и обсуждение экспериментов; Г.А. Журавлева — обсуждение экспериментов, написание текста рукописи. Все авторы одобрили рукопись (версию для публикации), а также согласились нести ответственность за все аспекты работы, гарантируя надлежащее рассмотрение и решение вопросов, связанных с точностью и добросовестностью любой ее части.
Благодарности. Выражаем благодарность Анастасии СергеевнеМихайличенко и Нине Павловне Трубициной за помощь в проведении экспериментов. Работа выполнена с использованием оборудования Ресурсного центра “Развитие молекулярных и клеточных технологий” Санкт-Петербургского государственного университета.
Источники финансирования: Работа поддержана грантом Российского научного фонда № 23-74-01121, за исключением части работы, касающейся флуоресцентного анализа, которая поддержана грантом Российского научного фонда № 23-14-00063, а также части работы по поддержанию коллекции штаммов S. cerevisiae, использованных в данной работе, которая выполнена при поддержке ФГБОУ ВО «Санкт-Петербургский государственный университет», шифр проекта 103972122.
Раскрытие интересов. Авторы заявляют об отсутствии отношений, деятельности и интересов за последние три года, связанных с третьими лицами (коммерческими и некоммерческими), интересы которых могут быть затронуты содержанием статьи.
Оригинальность. При создании настоящей работы авторы не использовали ранее опубликованные сведения (текст, иллюстрации, данные).
Генеративный искусственный интеллект. При создании настоящей статьи технологии генеративного искусственного интеллекта не использовали.
Рассмотрение и рецензирование: Настоящая работа подана в журнал в инициативном порядке и рассмотрена по обычной процедуре. В рецензировании участвовали два внешних рецензента и член редакционной коллегии.
About the authors
Andrew G. Matveenko
Saint Petersburg State University
Email: a.matveenko@spbu.ru
ORCID iD: 0000-0002-9458-0194
SPIN-code: 9877-5352
Cand. Sci. (Biology)
Russian Federation, Saint PetersburgAndrew A. Tsvetkov
Saint Petersburg State University
Email: st096303@student.spbu.ru
ORCID iD: 0009-0007-3673-7310
Russian Federation, Saint Petersburg
Tatyana M. Rogoza
Saint Petersburg State University; St. Petersburg Branch, Vavilov Institute of General Genetics of the Russian Academy of Sciences
Email: t.rogoza@spbu.ru
ORCID iD: 0000-0003-2981-0421
SPIN-code: 7582-1519
Cand. Sci. (Biology)
Russian Federation, Saint Petersburg; Saint PetersburgYury A. Barbitoff
Saint Petersburg State University
Email: barbitoff@bk.ru
ORCID iD: 0000-0002-3222-440X
SPIN-code: 1053-6164
Cand. Sci. (Biology)
Russian Federation, Saint PetersburgGalina A. Zhouravleva
Saint Petersburg State University
Author for correspondence.
Email: g.zhuravleva@spbu.ru
ORCID iD: 0000-0002-3013-4662
SPIN-code: 3132-6884
Dr. Sci. (Biology), Professor
Russian Federation, Saint PetersburgReferences
- Liu Q, Liang C, Zhou L. Structural and functional analysis of the Hsp70/Hsp40 chaperone system. Protein Sci. 2020;29(2):378–390.doi: 10.1002/PRO.3725
- Kampinga HH, Craig EA. The HSP70 chaperone machinery: J proteins as drivers of functional specificity. Nat Rev Mol Cell Biol. 2010;11(8):579–592. doi: 10.1038/NRM2941
- Kominek J, Marszalek J, Neuvéglise C, et al. The complex evolutionary dynamics of Hsp70s: a genomic and functional perspective. Genome Biol Evol. 2013;5(12):2460–2477. doi: 10.1093/GBE/EVT192
- Boorstein WR, Ziegelhoffer T, Craig EA. Molecular evolution of the HSP70 multigene family. J Mol Evol. 1994;38(1):1–17. doi: 10.1007/BF00175490
- Lotz SK, Knighton LE, Nitika, et al. Not quite the SSAme: unique roles for the yeast cytosolic Hsp70s. Curr Genet. 2019;65(5):1127–1134.doi: 10.1007/S00294-019-00978-8
- Werner-Washburne M, Craig EA. Expression of members of the Saccharomyces cerevisiae hsp70 multigene family. Genome. 1989;31(2):684–689. doi: 10.1139/G89-125
- Stone DE, Craig EA. Self-regulation of 70-kilodalton heat shock proteins in Saccharomyces cerevisiae. Mol Cell Biol. 1990;10(4):1622–1632. doi: 10.1128/MCB.10.4.1622-1632.1990
- Christiano R, Nagaraj N, Fröhlich F, Walther TC. Global proteome turnover analyses of the yeasts S. cerevisiae and S. pombe. Cell Rep. 2014;9(5):1959–1965. doi: 10.1016/J.CELREP.2014.10.065
- Zhouravleva GA, Bondarev SA, Trubitsina NP. How big is the yeast prion universe? Int J Mol Sci. 2023;24(14):11651. doi: 10.3390/IJMS241411651
- Barbitoff YA, Matveenko AG, Zhouravleva GA. Differential interactions of molecular chaperones and yeast prions. J Fungi. 2022;8(2):122.doi: 10.3390/JOF8020122
- Schwimmer C, Masison DC. Antagonistic interactions between yeast [PSI+] and [URE3] prions and curing of [URE3] by Hsp70 protein chaperone Ssa1p but not by Ssa2p. Mol Cell Biol. 2002;22(11):3590–3598.doi: 10.1128/MCB.22.11.3590-3598.2002
- Matveenko AG, Barbitoff YA, Jay-Garcia LM, et al. Differential effects of chaperones on yeast prions: CURrent view. Curr Genet. 2018;64(2):317–325. doi: 10.1007/S00294-017-0750-3
- Allen KD, Wegrzyn RD, Chernova TA, et al. Hsp70 chaperones as modulators of prion life cycle: Novel effects of Ssa and Ssb on the Saccharomyces cerevisiae prion [PSI+]. Genetics. 2005;169(3):1227–1242.doi: 10.1534/genetics.104.037168
- Barbitoff YA, Matveenko AG, Moskalenko SE, et al. To CURe or not to CURe? Differential effects of the chaperone sorting factor Cur1 on yeast prions are mediated by the chaperone Sis1. Mol Microbiol. 2017;105(2):242–257.doi: 10.1111/MMI.13697
- Sharma D, Masison DC. Functionally redundant isoforms of a yeast Hsp70 chaperone subfamily have different antiprion effects. Genetics 2008;179(3):1301–1311. doi: 10.1534/GENETICS.108.089458
- Sharma D, Martineau CN, Le Dall MT, et al. Function of SSA subfamily of Hsp70 within and across species varies widely in complementing Saccharomyces cerevisiae cell growth and prion propagation. PLoS One.2009;4(8):e6644. doi: 10.1371/JOURNAL.PONE.0006644
- Bush GL, Meyer DI. The refolding activity of the yeast heat shock proteins Ssa1 and Ssa2 defines their role in protein translocation. J Cell Biol. 1996;135(5):1229–1237. doi: 10.1083/JCB.135.5.1229
- Deshaies RJ, Koch BD, Werner-Washburne M, et al. A subfamily of stress proteins facilitates translocation of secretory and mitochondrial precursor polypeptides. Nature. 1988;332(6167):800–805. doi: 10.1038/332800A0
- Gilbert CS, van den Bosch M, Green CM, et al. The budding yeast Rad9 checkpoint complex: chaperone proteins are required for its function.EMBO Rep. 2003;4(10):953–958. doi: 10.1038/SJ.EMBOR.EMBOR935
- McClellan AJ, Endres JB, Vogel JP, et al. Specific molecular chaperone interactions and an ATP-dependent conformational change are required during posttranslational protein translocation into the yeast ER. Mol Biol Cell. 1998;9(12):3533–3545. doi: 10.1091/MBC.9.12.3533
- Krzewska J, Melki R. Molecular chaperones and the assembly of the prion Sup35p, an in vitro study. EMBO J. 2006;25(4):822–833.doi: 10.1038/SJ.EMBOJ.7600985
- Grant GN, Jessee J, Bloom FR, Hanahan D. Differential plasmid rescue from transgenic mouse DNAs into Escherichia coli methylation-restriction mutants. PNAS. 1990;87(12):4645–4649. doi: 10.1073/PNAS.87.12.4645
- Kaiser C, Michaelis S, Mitchell A. Methods in yeast genetics. New York: Cold Spring Harbor Laboratory Press; Cold Spring Harbor; 1994.
- Sambrook J, Fritsch EF, Maniatis T. Molecular cloning a laboratory manual. 2nd edit. New York: Cold Spring Harbor Laboratory Press;Cold Spring Harbor; 1989.
- Inge-Vechtomov SG. Identification of some linkage groups of Peterhof breeding stocks of yeast. Genetika. 1971;7(9):113–124. (In Russ.)
- Gietz RD. Yeast Transformation by the LiAc/SS Carrier DNA/PEG Method. In: Xiao W, editor. Yeast Protocols. New York: Springer New York; 2014. P. 33–44. doi: 10.1007/978-1-4939-0799-1_4
- Chernoff YO, Lindquist SL, Ono BI, et al. Role of the chaperone protein Hsp104 in propagation of the yeast prion-like factor [PSI+]. Science. 1995;268(5212):880–884. doi: 10.1126/SCIENCE.7754373
- Newnam GP, Wegrzyn RD, Lindquist SL, Chernoff YO. Antagonistic interactions between yeast chaperones Hsp104 and Hsp70 in prion curing. Mol Cell Biol. 1999;19(2):1325–1333. doi: 10.1128/MCB.19.2.1325
- Agaphonov M, Alexandrov A. Self-excising integrative yeast plasmid vectors containing an intronated recombinase gene. FEMS Yeast Res. 2014;14(7):1048–1054. doi: 10.1111/1567-1364.12197
- Matveenko AG, Ryzhkova VE, Zaytseva NA, et al. Processing of fluorescent proteins may prevent detection of prion particles in [PSI+] cells. Biology. 2022;11(12):1688. doi: 10.3390/BIOLOGY11121688
- Okamoto A, Hosoda N, Tanaka A, et al. Proteolysis suppresses spontaneous prion generation in yeast. J Biol Chem. 2017;292(49):20113–20124. doi: 10.1074/JBC.M117.811323.
- Brachmann CB, Davies A, Cost GJ, et al. Designer deletion strains derived from Saccharomyces cerevisiae S288C: a useful set of strains and plasmids for PCR-mediated gene disruption and other applications. Yeast. 1998;14(2):115–132. doi: 10.1002/(SICI)1097-0061(19980130)14:2
- Sikorski RS, Hieter P. A system of shuttle vectors and yeast host strains designed for efficient manipulation of DNA in Saccharomyces cerevisiae. Genetics. 1989;122(1):19–27. doi: 10.1093/GENETICS/122.1.19
- James P, Pfund C, Craig EA. Functional specificity among Hsp70 molecular chaperones. Science. 1997;275(5298):387–389. doi: 10.1126/SCIENCE.275.5298.387
- Malcova I, Farkasovsky M, Senohrabkova L, et al. New integrative modules for multicolor-protein labeling and live-cell imaging in Saccharomyces cerevisiae. FEMS Yeast Res. 2016;16(3): fow027. doi: 10.1093/FEMSYR/FOW027
- Kushnirov VV. Rapid and reliable protein extraction from yeast. Yeast. 2000;16(9):857–860. doi: 10.1002/1097-0061(20000630)16:9<857::AID-YEA561>3.0.CO;2-B
- Zhang T, Lei J, Yang H, et al. An improved method for whole protein extraction from yeast Saccharomyces cerevisiae. Yeast. 2011;28(11):795–798. doi: 10.1002/YEA.1905
- Kushnirov VV, Alexandrov IM, Mitkevich OV, et al. Purification and analysis of prion and amyloid aggregates. Methods. 2006;39(1):50–55. doi: 10.1016/J.YMETH.2006.04.007
- Drozdova PB, Barbitoff YA, Belousov MV, et al. Estimation of amyloid aggregate sizes with semi-denaturing detergent agarose gel electrophoresis and its limitations. Prion. 2020;14(1):118–128.doi: 10.1080/19336896.2020.1751574
- Hines JK, Higurashi T, Srinivasan M, Craig EA. Influence of prion variant and yeast strain variation on prion-molecular chaperone requirements. Prion. 2011;5(4):238–244. doi: 10.4161/PRI.17818
Supplementary files










