Heterologous synthesis of N and M fragments of capsid protein VP2 of avian infectious bursal disease virus in yeast Pichia pastoris
- Authors: Rumyantsev A.M.1, Tsygankov M.A.1, Veretennikov V.V.1, Sambuk E.V.1, Padkina M.V.1
-
Affiliations:
- Saint Petersburg State University
- Issue: Vol 20, No 1 (2022)
- Pages: 49-59
- Section: Methodology in ecological genetics
- Submitted: 20.10.2021
- Accepted: 13.01.2022
- Published: 20.05.2022
- URL: https://journals.eco-vector.com/ecolgenet/article/view/83441
- DOI: https://doi.org/10.17816/ecogen83441
- ID: 83441
Cite item
Abstract
BACKGROUND: Infectious bursal disease is one of the most common and economically important viral diseases of birds. Vaccination is currently the most effective way to control IBD. Subunit vaccines contain only the immunogenic protein of the pathogen or its fragments, but do not contain other proteins, lipopolysaccharides, toxins, which avoids vaccination side effects.
AIM: The aim of the work was to obtain yeast Pichia pastoris strains that synthesize and secrete the fragments of major coat protein VP2 of the infectious bursal disease virus.
MATERIALS AND METHODS: The DNA sequences encoding the N and M fragments of VP2 protein, were cloned under the control of the AOX1 gene promoter and integrated into the genome of P. pastoris strains X-33 (mut+) and GS115 (his4).
RESULTS: The analysis of proteins secreted by the obtained strains revealed the presence of additional proteins with a molecular weights corresponding to the target proteins.
CONCLUSIONS: Thus, the obtained strains of P. pastoris – producers of N and M fragments of VP2 protein can be used for antigen production to create a subunit vaccine against avian IBD.
Full Text
АКТУАЛЬНОСТЬ
Инфекционная бурсальная болезнь птиц (ИББ), или болезнь Гамборо, — одно из наиболее часто встречающихся и экономически значимых вирусных заболеваний птиц [1]. Возбудителем ИББ является РНК-содержащий вирус семейства Birnaviridae [2]. Вирус попадает в организм птицы через слизистые оболочки пищеварительного и респираторного трактов. Основной мишенью становится иммунная система, в первую очередь поражается сумка Фабрициуса, содержащая лимфоидные фолликулы, в которых происходит рост и созревание предшественников В-лимфоцитов. Вследствие этого у зараженных птиц происходит угнетение иммунитета (иммуносупрессия) и возрастает вероятность заболеваний, вызванных условно патогенной микрофлорой их организма. Особую опасность возбудители ИББ представляют для цыплят, относительную защиту которых могут обеспечить материнские антитела [3, 4].
Наиболее мощный и действенный способ предупреждения инфекционных заболеваний — вакцинация. Использование вакцин направлено на обеспечение защиты от клинической формы заболевания, снижение восприимчивости к инфекции и уменьшение возможных последствий заболевания. Вакцинация сельскохозяйственных животных имеет огромное значение не только для сохранения их поголовья, но и для здоровья человека. Чрезмерное использование антибиотиков способствовало появлению микроорганизмов со множественной лекарственной устойчивостью, которые быстро распространяются с продуктами питания и уже становятся серьезной угрозой не только для животноводства и птицеводства, но и для населения. Для эффективной профилактики и контроля распространения болезней животных могут быть использованы различные вакцины и стратегии их применения. Снижение восприимчивости к инфекции и уменьшение возможных последствий заболевания оказывают эффект на уровне всей популяции вакцинированных животных.
Ветеринарные вакцины не только должны обеспечивать индукцию быстрого и продолжительного иммунного ответа для защиты животных-хозяев от инфекционных заболеваний и предотвращения распространения таких заболеваний за счет горизонтального переноса возбудителя внутри популяции, но должны быть достаточно стабильными и простыми в применении, а также экономически выгодными.
Традиционно в птицеводстве используют живые аттенуированные вирусные и/или инактивированные вирусные вакцины. Основой живых вакцин являются аттенуированные штаммы возбудителя, у которых отсутствует или подавлена вирулентность. Эти вакцины достаточно просты в применении, отличаются высокой эффективностью, обеспечивают быстрый иммунный ответ и длительный иммунитет, по напряженности подобный иммунитету, возникающему после перенесенного заболевания. Существенный недостаток живых вакцин состоит в вероятности возврата аттенуированного штамма к вирулентности вследствие рекомбинации с природными штаммами [5].
Достижения в области иммунологии, молекулярной биологии, генетической инженерии, обратной генетики способствовали разработке новых технологий получения вакцин с повышенной эффективностью и безопасностью. Среди вакцин нового поколения все большее внимание привлекают субъединичные вакцины [6].
Основу субъединичной вакцины составляет иммуногенный белок возбудителя заболевания или фрагменты этого белка, способные индуцировать иммунный ответ. Такая вакцина не содержит дополнительных балластных белков, липополисахаридов, токсинов патогена, которые могут вызвать нежелательные побочные реакции при вакцинации. Для разработки субъединичных вакцин необходимо идентифицировать белки возбудителя, которые участвуют в патогенезе заболевания, определить уровень синтеза нейтрализующих антител в ответ на тот или иной белок и оценить перспективу использования конкретного иммуногенного белка в качестве вакцины.
Для получения вакцины против ИББ в качестве антигена в первую очередь рассматривают капсидный белок VP2. Из полибелка-предшественника белок VP2 вырезает сериновая протеаза VP4, которая также входит в состав белка-предшественника. Во время сборки капсида VP4 удаляет 71 аминокислоту с C-конца VP2, давая начало зрелому белку VP2. Белок VP2 функционирует в виде гомотримера [7–9]. При помощи рентгеноструктурного анализа в белке VP2 выявили три отдельных домена: B, S и P [10]. Домены B и S образованы консервативными N- и C-концевыми участками VP2. Домен P состоит из вариабельной области VP2 (аминокислотные остатки от 206-го до 350-го). Внешняя часть домена P представлена петлями PBC и PHI, в состав которых входят антигенные гидрофильные области A (аминокислотные остатки с 212-го по 224-й) и B (аминокислотные остатки с 314-го по 325-й). Делеционный анализ показал, что гидрофильные области A и B могут быть частью эпитопов, нейтрализуемых моноклональными антителами. В составе домена P выделяют еще петли PDE и PFG, которые расположены в районе 253 и 284 аминокислот соответственно и которые играют важную роль в патогенности вируса [11]. Вариабельная область домена P VP2 (аминокислотные остатки от 206-го до 350-го) локализована в выступающей части глобулы белка.
Иммуногенные белки, необходимые для создания субъединичной вакцины, могут быть выделены из патогенного организма, для получения отдельных фрагментов (эпитопов) этих белков можно использовать химический синтез. Однако эти подходы не позволяют получить белки в количествах, необходимых для их использования в качестве вакцинных препаратов.
Эта проблема может быть решена при помощи гетерологичного синтеза. Для продукции гетерологичных белков можно использовать различные организмы, как прокариотические (бактерии), так и эукариотические (дрожжи, растения, клетки насекомых и млекопитающих).
Достоинствами дрожжевых систем экспрессии являются относительная простота работы, сравнимая с бактериальными системами экспрессии, и возможность осуществления посттрансляционной модификации белков, характерной для эукариотических организмов [12]. Использование стандартных питательных сред и возможность выращивания штаммов-продуцентов в строго заданных условиях позволяют выполнять требования GLP (Good Laboratory Practice) и GMP (Good Manufacturing Practice) при производстве гетерологичных белков. Длительный опыт использования дрожжей, свидетельствующий об их непатогенности, позволил присвоить им статус GRAS (Generally Recognized as safe — общепризнанно безопасный) [13]. В настоящее время для продукции чужеродных белков используют дрожжи Saccharomyces cerevisiae, Kluyveromyces lactis, Yarrowia lipolytica, Hansenula polymorpha и Pichia pastoris [14]. Дрожжи P. pastoris оказались наиболее эффективными продуцентами белков вирусов, бактерий, грибов, простейших, растений, беспозвоночных и позвоночных животных и человека. Достоинствами этих дрожжей является наличие сильного строго регулируемого промотора гена АОХ1, а также отсутствие иммуногенных альфа-1,3-маннозных связей в составе гликопротеинов [15].
В настоящее время в России субъединичная вакцина против ИББ отсутствует. Технологии получения рекомбинантных антигенов и адъювантов могут быть использованы при производстве вакцин нового поколения.
Цель настоящей работы — получение штаммов дрожжей P. pastoris, синтезирующих фрагменты белка VP2.
МАТЕРИАЛЫ И МЕТОДЫ
Плазмиды. В работе использовали плазмиды pAL2-T (Евроген), pPICZαВ (Invitrogen).
Штаммы. На этапе конструирования плазмид и их амплификации использовали штамм DH5a Escherichia coli (f'/enda1hsdr17(rk–mk+)supE44thi-1reca1gyra(nalr) rela1D(lacZYa-argf)U169deor[f80dlacD(lacZ)m15]). Для получения дрожжевых штаммов-продуцентов использовали штаммы P. pastoris Х-33 (wt) и GS115 (his4) (Invitrogen).
Клонирование фрагментов гена, кодирующего белок VP2 вируса ИББ. Амплификацию фрагментов гена VP2 проводили на основе полученной ранее нуклеотидной последовательности гена [16] с использованием праймеров, представленных в таблице.
Таблица. Последовательности праймеров | ||
Название | Последовательность | Амплифицируемый фрагмент (рис. 1, а) |
N-VP2-XhoI-F | ATTACACTCGAGAAAAGACTTCTGATGCCAACAACCG | Фрагмент N (нуклеотиды 52–417) |
N-VP2-XbaI-R | ATTACATCTAGAACATCTGTCAGTTCACTCAGG | |
M-VP2-XhoI-F | ATTACACTCGAGAAAAGAACTGCAGCCGACGATTA | Фрагмент М (нуклеотиды 625–1053) |
M-VP2-XbaI-R | ATTACATCTAGAAGTGTGACGGGACG | |
Примечание. Прямые праймеры содержат сайт рестрикции XhoI, обратные праймеры — сайт рестрикции XbaI. | ||
Для проведения полимеразной цепной реакции (ПЦР) использовали полимеразу Encyclo и набор реактивов «Encyclo Plus PCR kit» (Евроген, Россия). Режим реакции ПЦР: 1 цикл — 95 °C, 3 мин; 30 циклов — 95 °C, 30 с; 53 °C, 30 с; 72 °C, 90 с.
Продукты ПЦР выделяли из агарозного геля с помощью набора «Evrogen Cleanup standard kit» (Евроген, Россия) и лигировали с вектором pAL2-T с помощью набора «Quick-TA kit» (Евроген, Россия) по методике, предложенной изготовителем.
Выделение ДНК. Плазмидную ДНК выделяли с помощью набора реактивов «Plasmid Miniprep» (Евроген, Россия) по методике, рекомендованной производителем. Выделение хромосомной ДНК из клеток дрожжей проводили по методике [17].
Трансформация. Трансформацию дрожжей проводили методом электропорации по описанной ранее методике [18], трансформацию бактерий — по стандартной методике [19]. Для отбора бактериальных трансформантов, устойчивых к ампициллину, в среду LB (1 % пептона, 0,5 % дрожжевого экстракта, 1 % хлористого натрия, 2 % агара) добавляли антибиотик в концентрации 50 мг/л. Для отбора бактериальных трансформантов, устойчивых к зеоцину, в среду добавляли антибиотик в концентрации 25 мг/л. Штаммы E. coli выращивали при 37 °C. Для отбора дрожжевых трансформантов, устойчивых к антибиотику зеоцину, использовали среду YPD, содержащую в 1 л: дрожжевой экстракт — 10 г, пептон — 20 г, глюкозу — 10 г, антибиотик — 150 мг. При работе на чашках Петри во все среды добавляли 20 г агара на 1 л среды.
Условия культивирования штаммов дрожжей — продуцентов фрагмента белка VP2. Штаммы-продуценты выращивали в среде BMGY (1 % глицерина, 1 г KH2PO4, 0,5 г MgSO4 · 7 H2O, 0,4 г CaCl2, 10 г дрожжевого экстракта, 2 г сульфата аммония, 0,4 мг биотина, 50 мМ калий-фосфатный буфер рН 6,0 на 1 л) при 30 °C на качалке с перемешиванием (200–220 об./мин) в течение 48 ч. Затем стерильно собирали клетки центрифугированием при 6–7 тыс. об./мин в течение 15 мин при 4 °C и ресуспендировали их в среде BMМ, которая, в отличие от среды BMGY, в качестве источника углерода содержит 0,5 % метанола. При смене источника углерода происходила активация промотора гена АОХ1 и индукция синтеза целевого белка. Культивирование на стадии индукции проводили при 20 °C в течение 72 ч.
Анализ продукции гетерологичных белков. После окончания культивирования клетки дрожжей собирали центрифугированием при 6–7 тыс. об./мин в течение 15 мин, при 4 °C. Надосадочную жидкость использовали в качестве образца белков, секретируемых штаммом-продуцентом.
Далее проводили электрофоретическое разделение белков культуральной жидкости в градиентном полиакриламидном геле 8–16 % Novex (Thermo Fisher Scientific, США) в присутствии додецилсульфата натрия. В качестве контроля использовали культуральную жидкость выращенных в тех же условиях исходных штаммов X-33 и GS115 дрожжей P. pastoris. Далее белки из геля переносили на нитроцеллюлозную мембрану и обрабатывали антителами [20]. Использовали первичные антитела мыши к c-myc-эпитопу (Helicon, Россия) и вторичные антитела кролика к антителам мыши, меченые пероксидазой (Sigma-Aldrich, Германия). Детекцию активности пероксидазы проводили в растворе 3,3'-диаминобензидина (0,5 мг/мл в 20 мл буфера 0,1 MTris-HCl, pH 7,5) с добавлением перекиси водорода (67 мкл 3 % раствора, конечная концентрация 0,002 %).
Очистка белка с His-tag при помощи аффинной хроматографии на колонке с Ni-NTA-агарозой. Надосадочную жидкость после культивирования штаммов дрожжей наносили на колонку с Ni-NTA-агарозой (Quiagen, США), уравновешенную буфером А (20 мМ Tris-HCl, рН 8,0; 400 мМ NaCl; 20 мМ имидазола), промывали буфером А до снижения оптической плотности элюата при длине волны 280 нм до значения 0,01. Белок элюировали буфером B (20 мМ Tris-HCl, рН 8,0; 400 мМ NaCl; 250 мМ имидазола) при скорости 0,5 мл/мин.
РЕЗУЛЬТАТЫ
Получение штаммов-продуцентов, синтезирующих фрагменты белка VP2
Нуклеотидные последовательности (52–417 и 625–1053 п.о.), кодирующие фрагменты N (18–139 ак.) и M (208–351 ак.) белка VP2 вируса ИББ (рис. 1, а), амплифицировали при помощи ПЦР и клонировали в промежуточном векторе pAL2-Т (Евроген, Россия). Далее эти последовательности встраивали в плазмиду pPICZαВ, используя сайты рестрикции XhoI и XbaI. Структура полученных плазмид pPICZαВ/(625-1053) и pPICZαВ/(52-417) представлена на рис. 1, b. Плазмиды pPICZαВ/(625-1053) и pPICZαВ/(52-417) были проверены с помощью методов рестрикционного анализа, ПЦР (рис. 2, а) и секвенирования.
Рис. 1. Схемы полученных плазмид. а — Расположение нуклеотидных и аминокислотных последовательностей, соответствующих фрагментам M (208–351 ак.) и N (18–139 ак.) белка VP2 вируса ИББ; b — схема плазмид pPICZαВ/(625-1053) и pPICZαВ/(52-417). Обозначены бактериальный ориджин репликации (pUC origin), ген устойчивости к антибиотику зеоцину [кодирующая последовательность — Zeo(R), бактериальный промотор — EM7, дрожжевой промотор — TEF1, терминатор транскрипции — CYC1], экспрессионная кассета [промотор гена алкогольоксидазы 1 (AOX1 promoter)], последовательность сигнального пептида (alpha-factor), последовательности, кодирующие фрагменты белка VP2 вируса ИББ (M-VP2 и N-VP2), последовательности, кодирующие c-myc-эпитоп и гистидиновую метку (6хHis), терминатор транскрипции гена алкогольоксидазы 1 (AOX1 transcription terminator)
Рис. 2. Электрофореграммы продуктов ПЦР. a — Результаты ПЦР: 1 — с праймерами к последовательности фрагмента N и плазмидой pPICZαВ/(52-417) в качестве матрицы, 3 — с праймерами к последовательности фрагмента М и плазмидой pPICZαВ/(625-1053); b — результаты ПЦР: с праймерами к последовательности фрагмента N и геномной ДНК штамма N-X-33 (4), штамма N-GS115 (5); с праймерами к последовательности фрагмента М и геномной ДНК штамма M-X-33 (6); штамма M-GS115 (7). Дорожки 2 и 8 — маркер DNA Ladder 100+ bp (Евроген, Россия)
Плазмиды pPICZαВ/(625-1053) и pPICZαВ/(52-417) обрабатывали рестриктазой SacI. Это повышает эффективность их встраивания в геном дрожжей P. pastoris. При этом интеграция происходит непосредственно в участок промотора гена алкогольоксидазы 1 (АОХ1). Линеаризованными плазмидами трансформировали штаммы Х-33 и GS115 дрожжей P. pastoris. Селекцию трансформантов, несущих указанные плазмиды, проводили на среде YPD с антибиотиком зеоцином. Наличие вставки экспрессионных кассет с фрагментами гена VР2 в геноме P. pastoris проверяли с помощью метода ПЦР (рис. 2, b) и последующего секвенирования амплифицированных фрагментов.
В результате проведенной работы были получены штаммы дрожжей P. pastoris N-X-33 (Paox1-NVP2 ZeoR), M-X-33 (Paox1-MVP2 ZeoR), N-GS115 (Paox1-NVP2 ZeoR his4), M-GS115 (Paox1-MVP2 ZeoR his4), которые содержат в геноме экспрессионные кассеты, обеспечивающие синтез фрагментов N (18–139 ак.) и M (208–351 ак.) белка VP2.
Анализ спектра белков культуральной жидкости штаммов-продуцентов фрагментов белка VP2
Для анализа спектра белков, секретируемых полученными штаммами-продуцентами N-X-33, M-X-33, N-GS115, M-GS115, проводили разделение культуральной жидкости методом электрофореза в полиакриламидном геле в присутствии додецилсульфата натрия. В качестве контроля использовали среду от исходных штаммов, выращенных в тех же условиях. Для идентификации целевых белков использовали вестерн-блот-гибридизацию с антителами к эпитопу c-myc. Было показано, что штаммы M-X-33 и M-GS115 эффективно синтезируют и выделяют в среду фрагмент М белка VP2 вируса ИББ. На рис. 3 представлены результаты электрофоретического разделения и вестерн-блот-гибридизации белков культуральной жидкости штамма M-X-33.
Рис. 3. Электрофореграмма белков культуральной среды штамма M-X-33 (а) и результаты вестерн-блот-гибридизации с антителами к эпитопу c-myc (b). 1 — Культуральная жидкость исходного штамма X-33; 2 и 4 — маркеры PageRuler Prestained Protein Ladder (Thermofisher Scientific, США); 3 — культуральная жидкость штамма M-X-33, синтезирующего секреторный фрагмент M VP2 (208–351 ак.) с эпитопом c-myc и гистидиновой меткой. Стрелкой указана полоса, соответствующая секреторному фрагменту М белка VP2
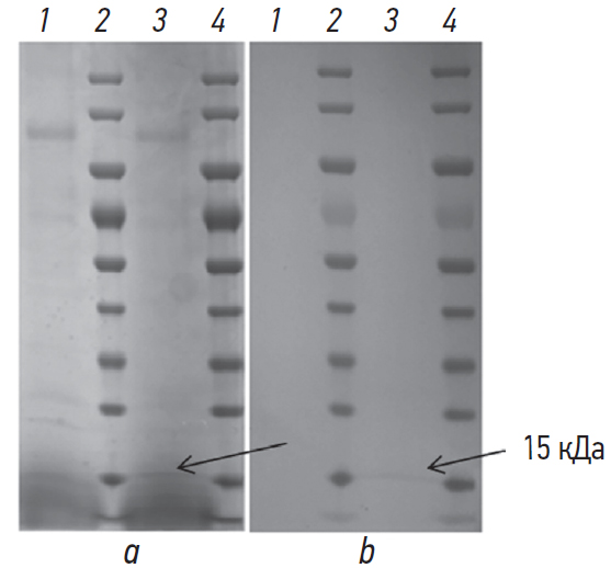
При анализе белков культуральной жидкости штаммов N-X-33 и N-GS115 методом электрофореза в полиакриламидном геле наблюдали синтез рекомбинантного белка нужного размера. Однако при последующей вестерн-блот-гибридизации с антителами к эпитопу c-myc не было выявлено положительной реакции. Поэтому, чтобы подтвердить синтез фрагмента N и оценить возможность очистки синтезированных белков, их выделяли из культуральной жидкости, используя присоединенную к ним гистидиновую метку. На рис. 4 представлены результаты электрофоретического разделения и вестерн-блот-гибридизации очищенных фрагментов N и М белка VP2 вируса ИББ.
Рис. 4. Электрофореграмма белков, очищенных из культуральной жидкости штаммов дрожжей — продуцентов фрагментов N и М белка VP2 (а) и результаты вестерн-блот-гибридизации с антителами к эпитопу c-myc (b). 1 — Белки культуральной жидкости исходного штамма X-33 (отрицательный контроль); 2 — секреторный фрагмент N VP2 (18–139 ак.), синтезированный штаммом N-X-33; 3 и 4 — секреторный фрагмент M VP2 (208–351 ак.), синтезированный штаммами M-X-33 и M-GS115 соответственно; 5 — маркер PageRuler Prestained Protein Ladder (Thermofisher Scientific, США). Указаны полосы, соответствующие синтезированным белкам (белая стрелка), и полосы, предположительно соответствующие димеру M-фрагмента VP2 (черная стрелка)
Возможность очистки из культуральной жидкости фрагмента N белка VP2 за счет наличия у него гистидиновой метки подтверждает, что он синтезируется полученными штаммами дрожжей P. pastoris. Отсутствие положительной реакции при гибридизации с антителами к эпитопу c-myc может быть связано с контекстом, в котором оказался эпитоп при добавлении его к С-концу синтезируемого фрагмента белка VP2. Была также продемонстрирована возможность очистки из культуральной жидкости фрагмента М белка VP2 за счет наличия у него гистидиновой метки. Таким образом, полученные штаммы дрожжей P. pastoris N-X-33, M-X-33, N-GS115, M-GS115 успешно синтезируют соответствующие фрагменты белка VP2 вируса ИББ.
Следует отметить, что в случае фрагмента М наблюдается дополнительная полоса с молекулярной массой, примерно соответствующей димеру фрагмента. Это позволяет предположить, что данный участок можно рассматривать как причину образования высомолекулярных агрегатов, наблюдаемого в ряде работ при продукции полноразмерного белка VP2. В связи с этим проводили кипячение проб, содержащих фрагмент М белка VP2, в течение 10 мин, после чего анализировали агрегацию белка с помощью методов электрофореза и вестерн-блот-гибридизации (рис. 5). При этом использовали разные составы буфера для растворения белка — PBS и PBS с добавлением имидазола.
Рис. 5. Результаты вестерн-блот гибридизации с антителами к эпитопу c-myc. Очищенный фрагмент М белка VP2 (208–351 ак.) в буфере PBS с 250 мМ имидазола без кипячения (1); с кипячением (2); очищенный фрагмент М белка VP2 в буфере PBS без кипячения (4); с кипячением (5); 3, 6 — маркер PageRuler Prestained Protein Ladder (Thermofisher Scientific, США). Указаны полосы, соответствующие синтезированным белкам (белая стрелка) и полосы, предположительно соответствующие димеру M-фрагмента VP2 (черная стрелка). Отдельно указаны высокомолекулярные агрегаты белка (Аг)
В конце очистки при помощи аффинной хроматографии на агарозе Ni-NTA фрагмент М оказывается растворен в буфере PBS, содержащем имидазол (250 мМ). Кипячение белка в таких условиях не приводит к его агрегации. Однако, если заменить буфер на PBS без имидазола, кипячение вызывает образование высокомолекулярных агрегатов белка.
ОБСУЖДЕНИЕ
Для синтеза белка VP2, основного антигена вируса ИББ, использовали разные организмы-продуценты. В клетках бактерий E. coli белок VP2 присутствовал в виде мономера и высокомолекулярных агрегатов, при этом оба варианта гетерологичного белка не обладали иммуногенными свойствами. Авторы полагали, что это связано с неспособностью бактерий обеспечить корректное сворачивание рекомбинантного белка [21]. В то же время продукция в E. coli отдельных иммуногенных фрагментов белка VP2 не сопровождалась агрегацией рекомбинантных белков. Полученные белки индуцировали синтез нейтрализующих антител, вызывали как В-, так и Т-клеточный иммунитет [22].
Гетерологичный синтез белка VP2 в дрожжах K. lactis [23] и P. pastoris [24] был более успешен. В клетках дрожжей белок VP2 образовывал мультимерные вирусоподобные частицы, которые после многоэтапной очистки использовали для парентеральной вакцинации. Ветеринарные вакцины должны не только обеспечивать индукцию иммунного ответа для защиты животных, но и быть достаточно простыми в применении и экономически выгодными. Выделение рекомбинантного белка и его очистка — наиболее трудоемкие и дорогостоящие процедуры. Поэтому были предприняты попытки использовать термоинактивированные или лиофильно высушенные дрожжи — продуценты полноразмерного белка VP2 в качестве пероральной вакцины [23, 24]. Однако при этом не происходило полной защиты птиц от вируса ИББ. Возможно, это обусловлено тем, что в пищеварительном тракте птиц клеточные стенки дрожжей перевариваются медленно, не обеспечивая высвобождения достаточного количества антигена [25].
Учитывая эти результаты, мы поставили своей целью получение штаммов дрожжей P. pastoris, синтезирующих и секретирующих иммуногенные фрагменты N и M белка VP2. Мы полагали, что синтез фрагментов белка VP2 позволит избежать образования высокомолекулярных агрегатов целевых белков, использование одной из наиболее эффективных систем экспрессии гетерологичных генов на основе этих дрожжей обеспечит достаточный выход фрагментов N и M, а секреция рекомбинантных белков значительно упростит их выделение и очистку.
Как следует из результатов, представленных на рис. 3 и 4, нами были получены штаммы дрожжей P. pastoris N-X-33 и N-GS115, а также M-X-33 и M-GS115, содержащие в геноме ДНК, кодирующую фрагменты N и М белка VP2 вируса ИББ. Полученные штаммы синтезировали и секретировали целевые рекомбинантные белки, о чем свидетельствуют данные электрофоретического разделения белков культуральной жидкости (рис. 4, а).
При помощи аффинной хроматографии на агарозе Ni-NTA удалось выделить рекомбинантные белки (рис. 4, а). При этом видно, что на электрофореграмме очищенного фрагмента М появляется дополнительная полоса с молекулярной массой, примерно соответствующей димеру. Кипячение проб данного белка в буфере PBS приводит к его агрегации. Показано, что имидазол препятствует образованию агрегатов при кипячении.
Известно, что имидазол способствует ренатурации рекомбинантных белков, синтезированных в клетках бактерий в виде телец включения [26, 27]. Предполагается, что имидазол может катализировать пролил-цис/транс-изомеризацию пептидной связи, предшествующей остатку пролина, ускоряя этот процесс и, тем самым, способствуя правильному сворачиванию белка [28]. Но предложенный механизм действия имидазола вряд ли объясняет наши результаты. Возможно, в данном случае имидазол действует подобно аргинину, который ингибирует агрегацию белков, взаимодействуя с боковыми радикалами аминокислот и экранируя их [29]. В целом полученные результаты демонстрируют возможность предотвращения агрегации синтезированного вирусного белка за счет изменения состава используемых буферных растворов.
Предварительные эксперименты показали, что фрагмент М белка VP2 реагирует с сывороткой, содержащей антитела, специфичные к белкам вируса ИББ. Это дает основание полагать, что полученные рекомбинантные белки, по крайней мере фрагмент М, можно будет использовать для вакцинации птиц и ожидать, что рекомбинантные фрагменты белка VP2 будут стимулировать синтез нейтрализующих антител, как и ранее полученный нами полноразмерный белок [16].
Отдельно следует отметить, что в случае фрагмента N эпитоп c-myc, добавленный на его конец, перестал распознаваться соответствующими антителами. Для использованного клона антител (9E10) действительно характерна зависимость от окружения [30]. Поэтому при работе с фрагментом N белка VP2 вируса ИББ или с белками со схожей последовательностью следует использовать другой эпитоп или другие клоны антител, специфичных к c-myc.
ДОПОЛНИТЕЛЬНАЯ ИНФОРМАЦИЯ
Вклад авторов. Все авторы внесли существенный вклад в разработку концепции, проведение исследования и подготовку статьи, прочли и одобрили финальную версию перед публикацией.
Конфликт интересов. Авторы декларируют отсутствие явных и потенциальных конфликтов интересов, связанных с публикацией настоящей статьи.
Источник финансирования. Авторы заявляют об отсутствии внешнего финансирования при проведении исследования.
About the authors
Andrey M. Rumyantsev
Saint Petersburg State University
Email: rumyantsev-am@mail.ru
ORCID iD: 0000-0002-1744-3890
SPIN-code: 9335-1184
Scopus Author ID: 55370658800
Cand. Sci. (Biol.), Senior Researcher
Russian Federation, Saint PetersburgMikhail A. Tsygankov
Saint Petersburg State University
Email: mial.tsygankov@yandex.ru
ORCID iD: 0000-0002-2513-6655
SPIN-code: 1098-0995
Scopus Author ID: 56252740000
ResearcherId: H-4691-2013
Research engineer
Russian Federation, Saint PetersburgVladislav V. Veretennikov
Saint Petersburg State University
Email: vlad.veretennikov.96@mail.ru
SPIN-code: 3412-1396
Scopus Author ID: 57219380560
Junior Researcher
Russian Federation, Saint PetersburgElena V. Sambuk
Saint Petersburg State University
Email: esambuk@mail.ru
ORCID iD: 0000-0003-0837-0498
SPIN-code: 8281-8020
Scopus Author ID: 6603061322
ResearcherId: H-6895-2013
Dr. Sci. (Biol.), Professor
Russian Federation, Saint PetersburgMarina V. Padkina
Saint Petersburg State University
Author for correspondence.
Email: mpadkina@mail.ru
ORCID iD: 0000-0002-4051-4837
SPIN-code: 7709-0449
Scopus Author ID: 57200427270
Dr. Sci. (Biol.), Professor
Russian Federation, Saint PetersburgReferences
- Marangon S, Busani L. The use of vaccination in poultry production. Rev Sci Tech. 2007;26(1):265–274. doi: 10.20506/rst.26.1.1742
- Hon CC, Lam TT, Yip CW, et al. Phylogenetic evidence for homologous recombination within the family Birnaviridae. J Gen Virol. 2008;89(12):3156–3164. doi: 10.1099/vir.0.2008/004101-0
- Berg TP. Acute infectious bursal disease in poultry: a review. Avian Pathol. 2000;29(3):175–194. doi: 10.1080/03079450050045431
- Muller H, Mundt E, Eterradossi N, Islam MR. Current status of vaccines against infectious bursal disease. Avian Pathol. 2012;41(2):133–139. doi: 10.1080/03079457.2012.661403
- Rumyantsev AM, Sidorin AV, Sambuk EV, Padkina MV. Modern technologies for the production of vaccines against avian infectious diseases. Ecological genetics. 2021;19(3):241–262. (In Russ.) doi: 10.17816/ecogen71021
- Ellis RW. Development of combination vaccines. Vaccine. 1999;17(13–14):1635–1642. doi: 10.1016/s0264-410x(98)00424-1
- Azad AA, Barrett SA, Fahey KJ. The characterization and molecular cloning of the double-stranded RNA genome of an Australian strain of infectious bursal disease virus. Virology. 1985;143(1):35–44. doi: 10.1016/0042-6822(85)90094-7
- Jagadish MN, Staton VJ, Hudson PJ, Azad AA. Birnavirus precursor polyprotein is processed in Escherichia coli by its own virus-encoded polypeptide. J Virol. 1988;62(3):1084–1087. doi: 10.1128/JVI.62.3.1084-1087.1988
- Da Costa B, Chevalier C, Henry C, et al. The capsid of infectious bursal disease virus contains several small peptides arising from the maturation process of pVP2. J Virol. 2002;76(5):2393–2402. doi: 10.1128/jvi.76.5.2393-2402.2002
- Lee CC, Ko TP, Chou CC, et al. Crystal structure of infectious bursal disease virus VP2 subviral particle at 2.6A resolution: implications in virion assembly and immunogenicity. J Struct Biol. 2006;155(1):74–86. doi: 10.1016/j.jsb.2006.02.014
- Letzel T, Coulibaly F, Rey FA, et al. Molecular and structural bases for the antigenicity of VP2 of infectious bursal disease virus. J Virol. 2007;81(23):12827–12835. doi: 10.1128/JVI.01501-07
- Eckart MR, Bussineau CM. Quality and authenticity of heterologous proteins synthesized in yeast. Curr Opin Biotechnol. 1996;7(5):525–530. doi: 10.1016/s0958-1669(96)80056-5
- Berlec A, Strukelj B. Current state and recent advances in biopharmaceutical production in Escherichia coli, yeasts and mammalian cells. J Ind Microbiol Biotechnol. 2013;40(3–4):257–274. doi: 10.1007/s10295-013-1235-0
- Celik E, Calık P. Production of recombinant proteins by yeast cells. Biotechnol Adv. 2012;30(5):1108–1118. doi: 10.1016/j.biotechadv.2011.09.011
- Ahmad M, Hirz M, Pichler H, Schwab H. Protein expression in Pichia pastoris: recent achievements and perspectives for heterologous protein production. Appl Microbiol Biotechnol. 2014;98(12):5301–5317. doi: 10.1007/s00253-014-5732-5
- Dzhavadov ED, Rumyantsev AM, Veretennikov VV, Tarlavin NV. The use of recombinant protein vp2 as a sub-unit vaccine against infectious bursal disease. International Bulletin of Veterinary Medicine. 2021;(3):9–14. (In Russ.) doi: 10.17238/issn2072-2419.2021.3.19
- Web.mit.edu [Internet]. “Smash and Grab” Yeast Genomic Prep. Metodika vydeleniya DNK, “Smash and Grab” [cited 12.10.2021]. Available from: http://web.mit.edu/biology/guarente/protocols/quickprep.html
- Wu S, Letchworth GJ. High efficiency transformation by electroporation of Pichia pastoris pretreated with lithium acetate and dithiothreitol. Biotechniques. 2004;36(1):152–154. doi: 10.2144/04361DD02
- Maniatis T, Frich Eh, Sehmbruk Dzh. Metody geneticheskoi inzhenerii. Molekulyarnoe klonirovanie. Moscow: Mir, 1984. 480 p. (In Russ.)
- Padkina MV, Parfenova LV, Gradoboeva AE, Sambuk EV. Heterologous interferons synthesis in yeast Pichia pastoris. Appl Biochem Microbiol. 2010;46:409–414. doi: 10.1134/S0003683810040083
- Azad AA, McKern NM, Macreadie IG, et al. Physicochemical and immunological characterization of recombinant host-protective antigen (VP2) of infectious bursal disease virus. Vaccine. 1991;9(10): 715–722. doi: 10.1016/0264-410x(91)90286-f
- Pradhan SN, Prince PR, Madhumathi J, et al. Protective immune responses of recombinant VP2 subunit antigen of infectious bursal disease virus in chickens. Vet Immunol Immunopathol. 2012;148(3–4): 293–301. doi: 10.1016/j.vetimm.2012.06.019
- Arnold M, Durairaj V, Mundt E, et al. Protective vaccination against infectious bursal disease virus with whole recombinant Kluyveromyces lactis yeast expressing the viral VP2 subunit. PLoS One. 2012;7(9): e42870. doi: 10.1371/journal.pone.0042870
- Pitcovski J, Gutter B, Gallili G, et al. Development and large-scale use of recombinant VP2 vaccine for the prevention of infectious bursal disease of chickens. Vaccine. 2003;21(32):4736–4743. doi: 10.1016/s0264-410x(03)00525-5
- Taghavian O, Spiegel H, Hauck R, et al. Protective oral vaccination against infectious bursal disease virus using the major viral antigenic protein VP2 produced in Pichia pastoris. PLoS One. 2013;8(12): e83210. doi: 10.1371/journal.pone.0083210
- Salehinia J, Sadeghi HMM, Abedi D, Akbari V. Improvement of solubility and refolding of an anti-human epidermal growth factor receptor 2 single-chain antibody fragment inclusion bodies. Res Pharm Sci. 2018;13(6):566–574. doi: 10.4103/1735-5362.245968
- Esmaili I, Mohammad Sadeghi HM, Akbari V. Effect of buffer additives on solubilization and refolding of reteplase inclusion bodies. Res Pharm Sci. 2018;13(5):413–421. doi: 10.4103/1735-5362.236834
- Shi R, Pan Q, Guan Y, et al. Imidazole as a catalyst for in vitro refolding of enhanced green fluorescent protein. Arch Biochem Biophys. 2007;459(1):122–128. doi: 10.1016/j.abb.2006.11.002
- Arakawa T, Ejima D, Tsumoto K, et al. Suppression of protein interactions by arginine: a proposed mechanism of the arginine effects. Biophys Chem. 2007;127(1–2):1–8. doi: 10.1016/j.bpc.2006.12.007
- Schuchner S, Behm C, Mudrak I, Ogris E. The Myc tag monoclonal antibody 9E10 displays highly variable epitope recognition dependent on neighboring sequence context. Sci Signal. 2020;13(616): eaax9730. doi: 10.1126/scisignal.aax9730
Supplementary files









