Genital endometriosis and melatonin: a role in the pathogenesis and its possible use in the treatment of the disease
- Authors: Yarmolinskaya M.I.1,2, Tkhazaplizheva S.S.1, Molotkov A.S.1,3, Tkachenko N.N.1, Borodina V.L.1, Andreyeva N.Y.1, Kleymyonova T.S.1,4, Lysenko V.V.4
-
Affiliations:
- The Research Institute of Obstetrics, Gynecology, and Reproductology named after D.O. Ott
- orth-Western State Medical University named after I.I. Mechnikov
- aint Petersburg State University
- Saint Petersburg State Pediatric Medical University
- Issue: Vol 68, No 3 (2019)
- Pages: 51-60
- Section: Original study articles
- Submitted: 15.04.2019
- Accepted: 15.05.2019
- Published: 08.07.2019
- URL: https://journals.eco-vector.com/jowd/article/view/11752
- DOI: https://doi.org/10.17816/JOWD68351-60
- ID: 11752
Cite item
Abstract
Hypothesis/aims of study. Melatonin is found in almost all living organisms, the range of its effects being quite diverse. Effects of this hormone in the human body are realized via two ways, through specific receptors and non-receptor pathways. Melatonin may act through both membrane and nuclear receptors. In the present work, the expression of MTR1 and MTR2 melatonin receptors was studied in the eutopic endometrium and endometrioid heterotopies, and the level of melatonin metabolite, 6-sulfatoxymelatonin, in daily urine in patients with genital endometriosis (GE) was analyzed.
Study design, materials and methods. The experimental group included 67 patients of reproductive age with a verified diagnosis of GE, and the control group consisted of 18 individuals with an ovulatory menstrual cycle without gynecological pathology. The 6-sulfatoxymelatonin level in daily urine was determined by enzyme immunoassay. The study of MTR1 and MTR2 melatonin receptor expression in the endometrium and endometrioid heterotopies was performed in 24 patients with GE and in 10 women of reproductive age who were examined for infertility who did not have gynecological pathology based on diagnostic laparoscopy. To study the expression of melatonin receptors, the endometrium and endometrial heterotopy sampling was carried out from day 18 to day 22 of the menstrual cycle. Morphological assessment included histological and immunofluorescence studies using confocal laser scanning microscopy.
Results. In patients with GE, there was found a tendency to a decrease in 6-sulfatoxymelatonin excretion in daily urine compared to the control group. It was also found that the total relative expression area of melatonin receptors in the endometrium of women with GE was significantly lower compared to the endometrium of patients from the control group. Significant differences between the average brightness and optical density were not found. In addition, it was revealed that the relative expression areas of MTR1 and MTR2 melatonin receptors in the eutopic endometrium and in endometrioid heterotopies did not differ significantly. A negative correlation was stated between the relative expression area of melatonin receptors and GE prevalence. Particular attention is paid to the role of melatonin in the development of GE and to the possibilities of working out new treatment regimens with its use.
Conclusion. The data obtained confirm the undoubted role of melatonin in the pathogenesis of GE, however, the development of new treatment regimens with its use requires further study.
Full Text
Melatonin has been known since the 1950s as a hormone synthesized and secreted by the pineal gland. The literature data indicate the pleiotropic effect of this hormone [1], which in recent years has increased interest in studying the melatonin effect and function. Melatonin is present in all living organisms, from unicellular eukaryotes, bacteria, and algae to mammals and humans. In the human body, this hormone is synthesized in the pineal gland cells and pinealocytes from the precursor of serotonin. Melatonin secretion occurs synchronously with the day-night cycle, with the peak concentration occurring at night. However, there is extrapineal synthesis of melatonin in the cells of the gastrointestinal tract, immune cells, the retina, bone marrow, platelets, skin, and lymphocytes [2]. Melatonin serves as a trigger for the sleep process and one of the key regulators of the natural sleep cycle [3]. It is known that there is an endogenous circadian rhythm of melatonin production (peak production occurs at 2–4 a.m. with a subsequent decrease), which is significantly affected by light, as the synthesis of this hormone is suppressed the brighter is the light. Melatonin is also a central endogenous synchronizer of biological rhythms, which influences at the organ, cellular, and subcellular levels by binding to its own receptors located on target organs [4].
The action of melatonin is implemented through the activation of two high-affinity receptors associated with G-proteins, MT1 (Mel1A), and MT2 (Mel1B) [4], which are localized in the thickness of the plasma and nuclear membranes of target cells. Three types of melatonin receptors were found in the plasma membrane, namely, MT1 (M-1a, MTNR1A), MT2 (M-1b, MTNR1B), and MT3 (M-1c, MTNR1C). In humans, the first two types of receptors have been detected.
Through melatonin receptors MT1 and MT2, the signal is transmitted by binding heterotrimeric G-proteins consisting of α-, β-, and γ-subunits [5]. The effector system that melatonin influences through the MT1 and MT2 receptors includes adenylate cyclase, phospholipase C, phospholipase A2, potassium channels, and potentially guanylate cyclase and calcium channels [5].
As it is known, melatonin has a wide range of effects. Its chronobiological properties and the ability to regulate the circadian rhythm were studied [6]. The experiments showed that the pineal gland is functionally and anatomically related to the immune system as well, which enables one to recognize it as an important neuroimmunoendocrine organ. Pinealectomy and suppression of nocturnal production of melatonin in animals inhibit proliferation in the bone marrow of progenitor cells of granulocytes and macrophages, cause a significant decrease in hematological parameters—including the number of red blood cells, white blood cells, and lymphocytes—and lead to an increased infection of the brain with Staphylococcus aureus [7].
Melatonin is also a potent antioxidant. Because of the inactivation of free radicals formed during the life of the cell, the direct antioxidant effect of melatonin is implemented [3]. In addition, by stimulating the production of synthesis of antioxidant enzymes in the cell, this hormone protects nuclear DNA from free radical oxidation [8].
Several studies on laboratory animals revealed that melatonin has an antitumor, “oncostatic” effect. In an experiment, activation of the pineal gland function or exogenous administration of melatonin leads to a decrease in the incidence of tumors, whereas pinealectomy has a stimulating effect on tumor growth [9]. In addition, the pineal gland hormone inhibits hormone-dependent breast cancer cell lines. The oncostatic effect of melatonin is based on its ability to limit estrogen synthesis by inhibiting transcription, as well as reducing the activity of many enzymes involved in estrogen production [10, 11]. The pineal gland hormone can influence the synthesis and secretion of hormones regulating the reproductive function by acting on the hypothalamic-pituitary system. In an experiment with cultured human granulosa cells, melatonin reduces luteinizing hormone- and follicle-stimulating hormone-stimulated secretion of estradiol, which indicates the possibility of inhibiting ovarian function by this hormone [3]. However, it has been determined that the antigonadotropic effect of melatonin is dose-dependent. It is known that melatonin reduces the activity and expression of aromatase, increases the activity and expression of estrogen sulfotransferase, and is also a selective modulator of estrogen receptors, which suggests the antiestrogenic effect of the pineal gland hormone [3]. These effects enable to consider the use of melatonin in the treatment of estrogen-dependent diseases, including endometriosis, in which its development is accompanied by an estrogen-dependent inflammatory reaction and changes in the production and receptor activity of steroid hormones, oxidative stress, excessive proliferation, and neoangiogenesis [3].
External genital endometriosis (EGE) is a complex multifactorial disorder that forms when hormonal and immune homeostasis is impaired [3]. EGE occurs with a frequency of 5 %–15 % of cases in women of reproductive age and is detected in 20%–50% of patients with infertility [12]. Despite the existing methods of combined treatment, a high relapse rate is typical for endometriosis, which leads to repeated surgical interventions. In addition to the progressive course and decreased fertility, the disease causes a significant decrease in the patients’ quality of life, psychoemotional state changes, and sexual dysfunction due to chronic pelvic pain syndrome. There are various schemes for drug therapy of the disease; however, all of them are not effective enough.
In this regard, further study of the disease pathogenesis and the search and development of new possible methods and treatment regimens represent an important and relevant task nowadays. The role of the pineal gland hormone in various diseases has been studied for a long time; as a result, melatonin has been widely used in various fields of medicine. So, its role in EGE pathogenesis, which is a chronic, progressive, and recurrent disease, is of particular interest.
In a study by Yesildaglar et al. [13], it was found that melatonin is effective in the treatment of endometriosis induced in severe combined immunodeficiency mice. Melatonin also contributed to the regression of endometriotic implants in rats by lowering the level of vascular endothelial growth factor—a signaling protein produced by cells to stimulate angiogenesis—and suppressing the production of anti-inflammatory cytokines [14].
The literature reports that the use of melatonin contributed to a decrease in pain syndrome and improvement in the quality of life of patients with IGE and infertility [15].
The antioxidant effect of melatonin has been described in many studies [8, 12]. Yang et al. [12] revealed that melatonin suppresses oxidative stress by inactivating free radicals resulting from lipid peroxidation. Since oxidative stress is an important aspect of EGE pathogenesis, melatonin therapy can be effective in disease prevention.
In one of the studies, the antiproliferative effect of melatonin in endometrial cells was demonstrated in an experimental model of endometriosis in rats [16].
Ness (2013) described the therapeutic effect of the intake of 10 mg of melatonin per day for 8 weeks for the treatment of endometriosis-associated pain. Patients noted a decrease in pain severity, algodysmenorrhea, and sleep normalization; they took analgesic drugs less often, and a decrease in the expression of brain-derived neurotropic factor (BDNF) was recorded in the blood serum during treatment. BDNF is known to be associated with pain and nerve fiber damage [17], and its expression is increased in endometrioid heterotopia.
Given the above effects of the pineal gland hormone, its role in the development of endometriosis and new schemes for pathogenetically substantiated therapy of this disease is an important and promising field.
Melatonin circulating in the blood is metabolized in the liver. First, it undergoes 6-hydroxylation and then conjugation with sulfate or glucuronide. Subsequently, 6-hydroxymelatonin sulfate (6-sulfatoxymelatonin) and 6-hydroxymelatonin glucuronide are excreted with urine [18]. In humans, the main metabolite of melatonin is 6-sulfatoxymelatonin, in which the level of excretion in blood plasma and urine indicates the qualitative and quantitative aspects of melatonin secretion, which is often used for both analyzing the rhythm of endogenous melatonin and studying the pharmacokinetic properties of the hormone administered, for example, in the form of tablets or capsules [5]. One of the studies revealed that the level of 6-sulfatoxymelatonin in the urine in patients with EGE stages I–II was lower compared with that in the control group. Moreover, in patients with EGE stages III–IV, the level of melatonin was also reduced relative to the control, but no significant differences were registered [19].
The work aimed to determine the expression of melatonin receptors 1A and 1B in the endometrium and endometrioid heterotopia, as well as the levels of daily and hourly excretion of 6-sulfatoxymelatonin in the urine of EGE patients.
Materials and methods
Melatonin metabolite (6-sulfatoxymelatonin) in daily urine was studied using the kit for enzyme-linked immunosorbent assay 6-sulfatoxymelatonin (Buhlmann Laboratories AG, Switzerland). The study group consisted of 67 patients of reproductive age with a verified diagnosis of EGE without severe somatic pathology. The inclusion criteria were the reproductive age and the established EGE diagnosis of varying degrees of prevalence (according to the revised classification of the American Fertility Society). The diagnosis was verified during surgery and confirmed by the results of a morphological study. Exclusion criteria were systemic and severe somatic concomitant diseases, diabetes mellitus, and hormonal drug intake at the time of the study and also 6 months before it. The control group consisted of 18 women with an ovulatory menstrual cycle without gynecological pathology. Urine was sampled at night, exclusively in the dark, ensuring it was not exposed to direct sunlight or artificial illumination. The total urine volume per day was measured, which was taken into account when calculating the daily and hourly excretion of 6-sulfatoxymelatonin sulfate.
The expression of melatonin receptors 1A and 1B in the endometrium and endometrioid heterotopia was evaluated in 24 EGE patients. Inclusion and exclusion criteria were the same as in the study of urine melatonin metabolite. In the control group, the expression of melatonin receptors 1A and 1B was evaluated in the endometrium.
The control group consisted of 10 women of reproductive age, who were examined for infertility, and no gynecological pathology was found based on diagnostic laparoscopy.
To study the expression of melatonin receptors, the endometrium and endometrioid heterotopia were sampled from days 18 to 22 of the menstrual cycle. The morphological study consisted of histological and immunohistochemical assessments of the endometrium and endometrioid heterotopia. Histological examination was conducted according to standard methods. The studies of the expression of melatonin receptors 1A and 1B were performed by confocal laser scanning microscopy.
Immunohistochemical studies were performed on paraffin sections (5 μm thick), which were placed on glass slides coated with a poly-L-lysine film (Sigma, Japan). Dako Cytomation LSAB2 System-HRP (Dako, Denmark) was used as a visualization system. A standard one-step protocol with antigen retrieval (high-temperature tissue treatment) in 0.01 M citrate buffer, pH 7.6, was applied for an immunohistochemical reaction. The immunohistochemical research method included a quantitative and qualitative assessment of the expression of melatonin receptors 1A (ab 87639) and 1B (ab 92339) in standard dilutions of 1:100 and 1:200, respectively (Abcam, England).
Immunofluorescence analysis was performed on paraffin sections (5 μm thick), which were placed on glass slides coated with a poly-L-lysine film (Sigma, Japan). Immunofluorescence analysis was performed according to the standard one-step protocol with antigen retrieval (high-temperature tissue treatment) in 0.01 M citrate buffer, pH 6.10. Primary antibodies to the melatonin receptors 1A (ab 87639) and 1B (ab 92339) were used in standard dilutions of 1:100 and 1:200, respectively. Incubation with secondary antibodies conjugated with Alexa Fluor 488 and Alexa Fluor 647 fluorochrome (1:1000, Abcam, England) was performed in a humid chamber for 30 min at room temperature in the dark. Cell nuclei were stained with Hoechst 33258 (Sigma, USA), and finished preparations were enclosed under coverslips in a Dako fluorescent mounting medium (Dako, USA). The samples were visualized using a FlueView 1000 confocal microscope (Olympus, Japan) and FV10-ASW software with × 100, × 200, and ×400 magnification.
To verify the expression of melatonin receptors 1A and 1B, lasers with wavelengths of 635 and 500 nm were used, and those with 405 nm were used for visualization of cell nuclei.
Micropreparations were examined under a microscope with Keller illumination adjustment at ×100, ×200, and ×400 magnification to obtain a general idea of the results of the immunohistochemical reaction. Quantification of the results of the immunohistochemical reaction was performed on microphotographs obtained using a system for fixing microscopic images. Fields of view containing tissue defects, staining defects, and artifacts were excluded from photographic surveying. Photographing was performed at a magnification of × 400 (eyepiece × 10 and lens × 40). The expression fraction of the studied marker was calculated using the VideoTest-Morphology 5.0 program (Video Test, Russia).
Statistical data processing was performed using the SASv9.4 program. The significance of differences between quantitative characteristics in the two groups was evaluated using the Mann–Whitney U-test. For paired comparisons, the Wilcoxon test was used. To assess the relationship between quantitative characteristics, the nonparametric Spearman correlation coefficient was calculated. The results were considered significant at p < 0.05
Results
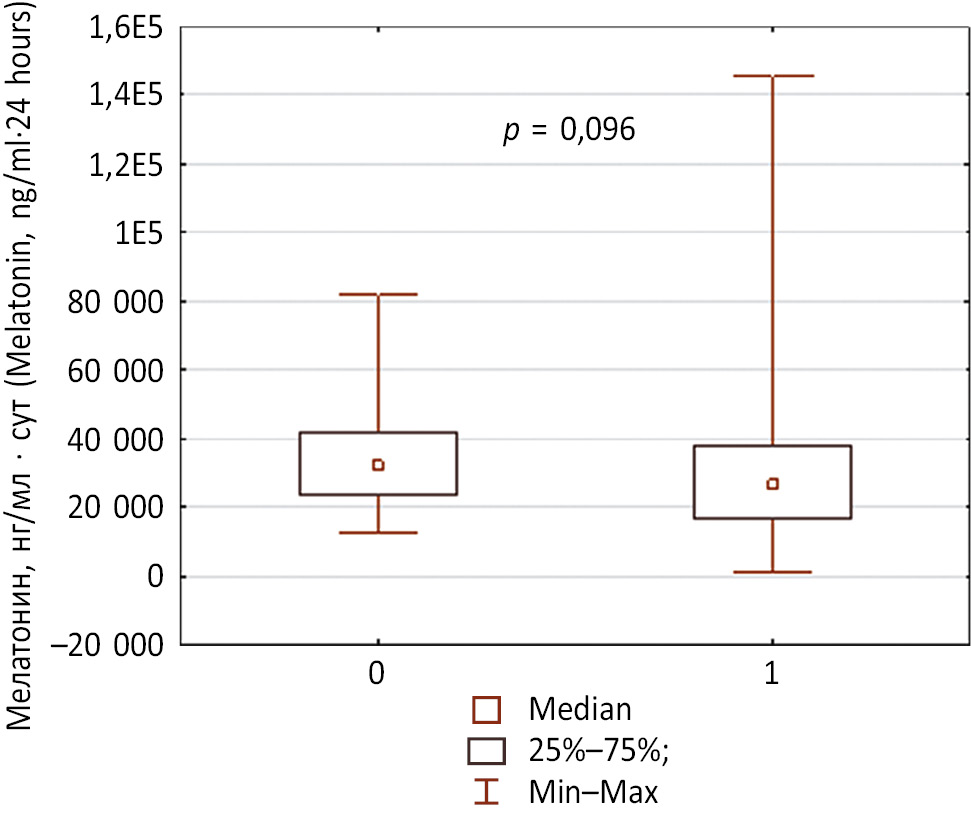
The average age in the group of EGE patients in which the excretion of 6-sulfatoxymelatonin in urine was analyzed was 32.3 ± 4.7 years, and in the control group, it was 31.9 ± 5.1 years. There was a tendency for a decrease in excretion of the melatonin metabolite in EGE patients compared with patients in the control group. The level of the melatonin metabolite in EGE patients averaged 29,498.9 ± 2,692.2 and 1,257.9 ± 111.7 ng/mL per hour; while in patients of the control group, the excretion of 6-sulfatoxymelatonin sulfate was 36,410.8 ± 4,546.3 and 1,517.08 ± 189.4 ng/mL per hour. However, because of the large spread of the values obtained in both groups, the differences were not significant (Fig. 1).
It should be noted that the most pronounced decrease in the level of daily excretion of 6-sulfatoxymelatonin sulfate compared with the control group was recorded at degree I of disease prevalence, which requires further study (Table 1).
As a result of the correlation analysis in patients of the study group, no significant correlations were found between the indicators of excretion of 6-sulfatoxymelatonin sulfate and the prevalence of EGE.
When analyzing the expression of the melatonin receptors MTR1 and MTR2, the average age of the patients in the control group was 32.8 ± 3.6 years, and in the study group, it was 29.4 ± 4.7 years. As a result of evaluation of coexpression of the melatonin receptors MTR1 and MTR2, it was revealed that the relative expression area in the eutopic endometrium of patients with endometriosis (25.5 [18.6; 31.6]) was significantly lower compared with the endometrium of patients in the control group (34.6 [28.3; 34.9]; p = 0.04). There were no significant differences between the average brightness in the study group (37.4 [31.5; 50.3]) and the control group (38.5 [26.5; 43.1]; p = 0.70) and optical density in the study group (0.9 [0.7; 0.9]) and the control group (0.9 [0.8; 1.0]; p = 0.6).
Fig. 1. Twenty-four-hour excretion of 6-sulfatoxymelatonin, ng/ml∙24 hours) (0, control group; 1, genital endometriosis group)
Рис. 1. Суточная экскреция 6-сульфатоксимелатонина, нг/мл ∙ сут (0 — контрольная группа; 1 — группа с наружным генитальным эндометриозом)
When assessing the indicators of the relative coexpression area of the melatonin receptors MTR1 and MTR2 in the eutopic endometrium and endometrioid heterotopia of the study group, there were no statistically significant differences (25.5 [18.6; 31.6] and 23.4 [16.5; 46.3], respectively). However, a significant decrease in the optical density of the glandular component in the eutopic endometrium of EGE patients was revealed compared with the indicators in endometrioid heterotopia (0.9 [0.78; 1.0] and 1.4 [0.92; 1.2], respectively; p = 0.03).
According to the results, the evaluation of the expression of melatonin receptor MTR1 in the eutopic endometrium and the endometrioid heterotopia of EGE patients (Fig. 2) did not significantly differ in the relative expression area and optical density.
When analyzing the relative expression area and optical density of the melatonin receptor MTR2 (Fig. 3), no significant differences were revealed in the eutopic endometrium of EGE patients and endometrioid heterotopia.
Based on the correlation analysis, a significant negative correlation was found between the indices of the relative expression area of the melatonin receptors MTR1 and MTR2 in endometriotic heterotopy tissue and the degree of EGE prevalence (Fig. 4). Spearman correlation coefficient (rs) was −0.36 (p = 0.038). Thus, the prevalence of the disease is associated with a decrease in the expression of melatonin receptors in the endometriosis foci.
Discussion
In EGE patients, there was a tendency to a decrease in the level of 6-sulfatoxymelatonin excretion in daily urine as compared with that in female patients in the control group; however, because of the significant dispersion of the values obtained, the differences were not significant. The data indicate large individual differences in the excretion of melatonin, which does not contradict the literature [20]. Interesting results were obtained when conducting a correlation analysis between the level of melatonin metabolite in daily urine and the degree of disease prevalence. The lowest values were obtained at degree I (initial stage) of EGE, which is perhaps one of the disease “triggers.” The expressed individual fluctuations in melatonin excretion will probably not allow recommending its determination in routine practice as the main criterion. It is known that the duration of the photoperiod affects the circadian rhythms of melatonin excretion. A change in the concentration of this hormone in daily urine is noted not only in different seasons of the year but also in each month, which must be taken into account when studying the content of the epiphyseal hormone in various pathological conditions [21].
From our point of view, the study of melatonin expression directly in the endometrium and endometriosis foci is the most interesting and important, as it clarifies the mechanism of its action in the disease and substantiates the therapy pathogenetically.
Daily and hourly excretion of 6-sulfatoxymelatonin in the study groups
Показатели суточной и часовой экскреции 6-сульфатоксимелатонина в группе пациенток с наружным генитальным эндометриозом и в контрольной группе
Groups of female patients | 6-sulfatoxymelatonin sulfate (M ± m), ng/mL per day | |
Control | 36410.8 ± 4546.3 | 1517.1 ± 189.4 |
EGE degree 1 | 21815.1 ± 3367.6 | 909.0 ± 140.3 |
EGE degree 2 | 40467.0 ± 5102.7 | 1762.4 ± 210.1 |
EGE degree 3 | 23966.9 ± 2834.1 | 999.1 ± 118.1 |
EGE degree 4 | 30413.7 ± 5708.1 | 1299.9 ± 233.4 |
EGE, external genital endometriosis.
Fig. 2. Confocal laser scanning microscopy images of MTR1 melatonin receptor expression in endometrioid heterotopia and the eutopic endometrium in patients with genital endometriosis: a, MTR1 melatonin receptor expression in endometrial heterotopy (green fluorescence), Hoechst (blue fluorescence), ×400 magnification; b, MTR1 melatonin receptor expression in the eutopic endometrium (green fluorescence). Hoechst (blue fluorescence), ×400 magnification
Рис. 2. Экспрессия рецептора мелатонина MTR1 в эндометриоидной гетеротопии и эутопическом эндометрии у пациенток с наружным генитальным эндометриозом: a — экспрессия рецептора мелатонина MTR1 в эндометриоидной гетеротопии (зеленая флуоресценция), Hoechst (синяя флуоресценция), увеличение ×400; b — экспрессия рецептора мелатонина MTR1 в эутопическом эндометрии (зеленая флуоресценция), Hoechst (синяя флуоресценция), увеличение ×400. Конфокальная лазерная сканирующая микроскопия
Fig. 3. Confocal laser scanning microscopy images of MTR2 melatonin receptor expression in endometrioid heterotopia and the eutopic endometrium in patients with genital endometriosis: a, MTR2 melatonin receptor expression in endometrial heterotopy (red fluorescence), Hoechst (blue fluorescence), ×400 magnification; b, MTR2 melatonin receptor expression in the eutopic endometrium (red fluorescence), Hoechst (blue fluorescence), ×400 magnification
Рис. 3. Экспрессия рецептора мелатонина MTR2 в эндометриодной гетеротопии и эутопическом эндометрии у пациенток с наружным генитальным эндометриозом: a — экспрессия рецептора мелатонина MTR2 в эндометриоидной гетеротопии (красная флуоресценция), Hoechst (синяя флуоресценция), увеличение ×400; b — экспрессия рецептора мелатонина MTR2 в эутопическом эндометрии (красная флуоресценция), Hoechst (синяя флуоресценция), увеличение ×400. Конфокальная лазерная сканирующая микроскопия
Based on the results of an immunohistochemical study in EGE patients, in both eutopic endometrium and endometrioid heterotopia, the expression of both types of melatonin receptors (MTR1 and MTR2) was revealed, which confirms the possibility of a direct effect of melatonin on the focus of endometriosis and endometrium.
The total relative expression area of melatonin receptors in the endometrium of EGE female patients was significantly lower compared with that of the control group. Moreover, the indicators of average brightness and optical density did not have significant differences between the groups. When evaluating the expression of melatonin receptors (both MTR1 and MTR2) in the eutopic endometrium of EGE patients and endometrioid heterotopia, the values of relative expression area, average brightness, and optical density did not differ significantly.
Fig. 4. Negative correlation between the relative expression areas of MTR1 and MTR2 melatonin receptors in endometrioid heterotopies and genital endometriosis prevalence (Rs, Spearman’s rank correlation coefficient; p, reliability coefficient)
Рис. 4. Отрицательная корреляционная зависимость между относительной площадью экспрессии мелатониновых рецепторов MTR1 и MTR2 в ткани эндометриоидных гетеротопий и степенью распространенности наружного генитального эндометриоза (Rs — коэффициент корреляции Спирмена; p — коэффициент достоверности)
A negative correlation between the relative expression area of melatonin receptors and the degree of EGE prevalence was also established. In women with a higher prevalence of EGE in endometrioid heterotopia, there was a tendency to decrease in the coexpression of melatonin receptors (1A + 1B). This can be explained by the fact that with more extensive infiltrative forms of endometriosis, sclerotic processes develop in heterotopy tissue, which leads to a decrease in the volume of hormone-active tissue and, consequently, to a decrease in the number of receptors to sex steroid hormones and melatonin.
Conclusion
EGE is an urgent problem in modern gynecology; it is manifested by a pain syndrome of varying severity, is characterized by a progressive and relapsing course, leads to infertility, and is accompanied by a significant decrease in the quality of life. It is necessary to continue the study of these disease mechanisms and the development of new treatment regimens, since at present, there is no method that would guarantee a complete cure. The effects of melatonin in EGE are mediated by its effect on the regulation of enzyme activity and the synthesis of steroid hormones, in particular, estradiol, as well as immunoregulatory effects, a decrease in the activity of pro-inflammatory cytokines, matrix metalloproteinases, an antiproliferative and antiangiogenic effect, and regulation of the apoptosis process, which ultimately leads to regression of endometriosis foci and, consequently, to reduction of clinical symptoms and the risk of the disease relapse. The ability of melatonin to regulate circadian rhythms and affect the expression levels of BDNF has a positive effect on the disease clinical manifestations, such as chronic pelvic pain, and can significantly improve the quality of life of EGE patients. The tendency to lower excretion of the melatonin metabolite in daily urine, as well as a significant decrease in the expression of melatonin receptors in both the endometrium and the endometrioid heterotopia of EGE patients, confirm the advisability of replacement therapy with the hormone of the pineal gland in patients with endometriosis. That is why the therapy of EGE with the use of melatonin is pathogenetically substantiated. However, further studies are required to develop the most effective treatment regimens and determine the duration of use and dosage of the drug.
About the authors
Maria I. Yarmolinskaya
The Research Institute of Obstetrics, Gynecology, and Reproductology named after D.O. Ott; orth-Western State Medical University named after I.I. Mechnikov
Author for correspondence.
Email: m.yarmolinskaya@gmail.com
ORCID iD: 0000-0002-6551-4147
SPIN-code: 3686-3605
MD, PhD, DSci (Medicine), Professor of the Russian Academy of Sciences, the Head of the Department of Endocrinology of Reproduction, the Head of the Diagnostics and Treatment of Endometriosis Center; Professor. The Department of Obstetrics and Gynecology
Russian Federation, Saint PetersburgSaimat Sh. Tkhazaplizheva
The Research Institute of Obstetrics, Gynecology, and Reproductology named after D.O. Ott
Email: saim86@mail.ru
MD, Post-Graduate Student
Russian Federation, Saint PetersburgArseniy S. Molotkov
The Research Institute of Obstetrics, Gynecology, and Reproductology named after D.O. Ott; aint Petersburg State University
Email: arseny.molotkov@gmail.com
ORCID iD: 0000-0003-3433-3092
SPIN-code: 6359-6472
MD, PhD, Senior Researcher. The Department of Gynecology with the Operating Unit; Associate Professor. The Department of Obstetrics, Gynecology, and Reproductive Sciences, Medical Faculty
Russian Federation, Saint PetersburgNatalia N. Tkachenko
The Research Institute of Obstetrics, Gynecology, and Reproductology named after D.O. Ott
Email: liberin@mail.ru
PhD, the Head of the Laboratory of Endocrinology. The Department of Endocrinology of Reproduction
Russian Federation, Saint PetersburgValentina L. Borodina
The Research Institute of Obstetrics, Gynecology, and Reproductology named after D.O. Ott
Email: bvl130250@mail.ru
PhD, Senior Researcher. The Department of Endocrinology of Reproduction
Russian Federation, Saint PetersburgNelli Yu. Andreyeva
The Research Institute of Obstetrics, Gynecology, and Reproductology named after D.O. Ott
Email: nelly8352@yahoo.com
Clinical Resident
Russian Federation, Saint PetersburgTatyana S. Kleymyonova
The Research Institute of Obstetrics, Gynecology, and Reproductology named after D.O. Ott; Saint Petersburg State Pediatric Medical University
Email: kleimenovats@gmail.com
ORCID iD: 0000-0003-0767-5564
SPIN-code: 4876-3420
Junior Researcher. The Laboratory of Cell Biology, the Department of Pathomorphology; Senior Laboratory Assistant. The Department of Medical Biology
Russian Federation, Saint PetersburgVera V. Lysenko
Saint Petersburg State Pediatric Medical University
Email: verochka.lysenko.96@mail.ru
Student
Russian Federation, Saint PetersburgReferences
- Mahmood D. Pleiotropic effects of Melatonin. Drug Res (Stuttg). 2019;69(2):65-74. https://doi.org/10.1055/a-0656- 6643.
- Датиева В.К., Васенина Е.Е., Левин О.С. Перспективы применения мелатонина в клинической практике // Современная терапия в психиатрии и неврологии. — 2013. — № 1. — С. 47–51. [Datieva VK, Vasenina EE, Levin OS. Prospects of application of melatonin in clinical practice. Sovremennaya terapiya v psikhiatrii i nevrologii. 2013;(1):47-51. (In Russ.)]
- Ярмолинская М.И., Айламазян Э.К. Генитальный эндометриоз. Различные грани проблемы. — СПб.: Эко-Вектор, 2017. [Yarmolinskaya MI, Aylamazyan EK. Genital’nyy endometrioz. Razlichnye grani problemy. Saint Petersburg: Eko-Vektor; 2017. (In Russ.)]
- Light and Biological Rhythms in Man. Ed. by L. Wetterberg. Stockholm; 1994.
- Мелатонин: теория и практика / Под ред. С.И. Рапопорта, В.А. Голиченкова. — М.: Медпрактика-М, 2009. [Melatonin: teoriya i praktika. Ed. by S.I. Rapoport, V.A. Golichenkov. Moscow: Medpraktika-M; 2009. (In Russ.)]
- Pandi-Perumal SR, Srinivasan V, Maestroni GJ, et al. Melatonin: Natureʼs most versatile biological signal? FEBS J. 2006;273(13):2813-2838. https://doi.org/10.1111/j.1742-4658.2006.05322.x.
- Beskonakli E, Palaoglu S, Aksaray S, et al. Effect of pinealectomy on immune parameters in rats with Staphylococcus aureus infection. Neurosurg Rev. 2001;24(1):26-30. https://doi.org/10.1007/pl00011962.
- Yan G, Yu L, Jiang S, Zhu J. Melatonin antagonizes oxidative stress-induced mitochondrial dysfunction in retinal pigmented epithelium cells via melatonin receptor 1 (MT1). J Toxicol Sci. 2018;43(11):659-669. https://doi.org/10.2131/jts.43.659.
- Schernhammer ES, Schulmeister K. Melatonin and cancer risk: does light at night compromise physiologic cancer protection by lowering serum melatonin levels? Br J Cancer. 2004;90(5):941-943. https://doi.org/10.1038/sj.bjc.6601626.
- Bondy SC, Campbell A. Mechanisms underlying tumor suppressive properties of Melatonin. Int J Mol Sci. 2018;19(8). https://doi.org/10.3390/ijms19082205.
- Menendez-Menendez J, Martinez-Campa C. Melatonin: An anti-tumor agent in hormone-dependent cancers. Int J Endocrinol. 2018;2018:3271948. https://doi.org/10.1155/2018/3271948.
- Yang HL, Zhou WJ, Gu CJ, et al. Pleiotropic roles of melatonin in endometriosis, recurrent spontaneous abortion, and polycystic ovary syndrome. Am J Reprod Immunol. 2018;80(1):e12839. https://doi.org/10.1111/aji.12839.
- Yesildaglar N, Yildirim G, Yildirim OK, et al. The effects of melatonin on endometriotic lesions induced by implanting human endometriotic cells in the first SCID-mouse endometriosis-model developed in Turkey. Clin Exp Obstet Gynecol. 2016;43(1):25-30.
- Yilmaz B, Kilic S, Aksakal O, et al. Melatonin causes regression of endometriotic implants in rats by modulating angiogenesis, tissue levels of antioxidants and matrix metalloproteinases. Arch Gynecol Obstet. 2015;292(1):209-216. https://doi.org/10.1007/s00404-014-3599-4.
- Тхазаплижева С.Ш., Молотков А.С. Эффективность мелатонина в комбинированном лечении больных наружным генитальным эндометриозом // Журнал акушерства и женских болезней. — 2017. — Т. 66. — № S. — C. 151–152. [Tkhazaplizheva SS, Molotkov AS. Effektivnost’ melatonina v kombinirovannom lechenii bol’nykh naruzhnym genital’nym endometriozom. Journal of Obstetrics and Womenʼs Diseases. 2017;66(S):151-152. (In Russ.)]
- Zhao H, Pang SF, Poon AM. mt(1) Receptor-mediated antiproliferative effects of melatonin on the rat uterine antimesometrial stromal cells. Mol Reprod Dev. 2002;61(2):192-199. https://doi.org/10.1002/mrd.1147.
- Ness TJ. Not always lost in translation. Pain. 2013;154(6):775. https://doi.org/10.1016/j.pain.2013.03.022.
- Thompson C. Melatonin and the Mammalian Pineal Gland. Josephine Arendt. London: Chapman & Hall. 1995. 331 p. £49.50 (hb). Br J Psychiatry. 2018;167(3):419-419. https://doi.org/10.1192/s0007125000065296.
- Слесарева К.В. Клиническое значение факторов антиоксидантной защиты и клеточной регуляции у пациенток репродуктивного возраста с наружным генитальным эндометриозом: Автореф. дис. … канд. мед. наук. — Самара, 2015. [Slesareva KV. Klinicheskoe znachenie faktorov antioksidantnoy zashchity i kletochnoy regulyatsii u patsientok reproduktivnogo vozrasta s naruzhnym genital’nym endometriozom. [dissertation] Samara; 2015. (In Russ.)]
- Линде В.А., Ермолова Н.В., Слесарева К.В., и др. Клиническое значение мелатонина в развитии и прогрессировании наружного генитального эндометриоза у пациенток репродуктивного возраста // Главный врач Юга России. — 2016. — № 3. — С. 18–20. [Linde VA, Ermolova NV, Slesareva KV, et al. The clinical significance of melatonin in the development and progression of external genital endometriosis patients of reproductive age. Glavnyy vrach Yuga Rossii. 2016;(3):18-20. (In Russ.)]
- Плехова Е.И., Турчина С.И. Годовые и циркадные ритмы экскреции мелатонина у здоровых мальчиков-подростков / Проблемы детской эндокринологии: третий международный симпозиум компании «Ново Нордиск» (Дания); сентябрь 17–19, 1998; Крым. [Plekhova EI, Turchina SI. Godovye i tsirkadnye ritmy ekskretsii melatonina u zdorovykh mal’chikov-podrostkov. In: Proceedings of the 3rd International Symposium of the Novo Nordisk Company (Denmark) “Problemy detskoy endokrinologii’; 1988 Sep 17-19; Krym. (In Russ.)]
Supplementary files







