Hysteroscopic and morphological assessment of intrauterine pathology in different age periods
- Authors: Sulima A.N.1,2, Kolesnikova I.O.1, Davydova A.A.1, Kriventsov M.A.1
-
Affiliations:
- Medical Academy named after S.I. Georgievsky, V.I. Vernadsky Crimean Federal University
- Vash Doctor Clinic Ltd.
- Issue: Vol 69, No 2 (2020)
- Pages: 51-58
- Section: Original study articles
- Submitted: 30.01.2020
- Accepted: 24.03.2020
- Published: 21.06.2020
- URL: https://journals.eco-vector.com/jowd/article/view/19256
- DOI: https://doi.org/10.17816/JOWD69251-58
- ID: 19256
Cite item
Abstract
The pathology of the endo- and myometrium takes the main place in the structure of gynecological diseases. The introduction of endoscopic technologies has expanded the diagnostic capabilities of the study of intrauterine pathology. The morphological method is the gold standard in diagnosing the uterine cavity pathology. A retrospective analysis of 100 video protocols of hysteroscopy and morphological data obtained in Vash Doctor Clinic Ltd., Simferopol over the year 2018 was performed. During a retrospective analysis of hysteroscopic pictures and pathomorphological findings, all patients were divided into three age groups: (I) 25–35 years old (35 women); (II) 36–45 years old (35 women); and (III) 46–55 years old (30 women). In the early reproductive period, endometrial hyperplasia without atypia prevailed, chronic endometritis prevailing in the late reproductive period, and polyps of the uterus in the period of the menopausal transition and postmenopause.
Keywords
Full Text
Introduction
Among the range of gynecological diseases, the pathology of the endo- and myometrium ranks high. It can occur as inflammatory and immunopathological conditions, hyperplastic and tumor processes, including leiomyoma, and mullerian developmental abnormalities. This pathology is manifested clinically by disorders of the menstrual and reproductive functions [1].
The imaging approaches with transabdominal/transvaginal ultrasound (US) and hysteroscopic examinations as well as histological examination of the resected endometrium taken by biopsy are used to assess intrauterine pathology [2].
Endoscopic technologies have expanded the diagnostic capabilities of the study of intrauterine pathology [3]. The value of hysteroscopy is determined by its sensitivity (accuracy of revealing a disease) and specificity (absence of a disease in a healthy person). Compared with standard curettage, the specificity of hysteroscopy reaches 100%, and its sensitivity is 98%. Its advantages include the possibility of targeted surgery in the uterine cavity, as well as maximum safety. In this regard, it is necessary to standardize the indications for hysteroscopy [4, 5].
The morphological method is the gold standard for diagnosing the conditions of the uterine cavity. Scrapings from the cervical canal and uterine cavity, which can be obtained by diagnostic curettage of the mucous membrane of the cervix and uterine body, are examined histologically. This approach is actively used in the diagnosis of precancerous and cancerous processes of the genital organs.
Materials and methods
A retrospective analysis of 100 video protocols of hysteroscopy and data of morphological studies obtained during surgeries performed at the company Your Doctor Medical Clinic (Simferopol) in 2018 was performed. The age of the female patients ranged from 20 to 55 years. The study was performed emergently or planned on the day 5–7 of the ovarian menstrual cycle. A complete clinical and laboratory study was conducted, as well as US of the pelvic organs before hysteroscopy, according to the standard protocol of the examination of patients with gynecological pathology. The study was completed with diagnostic curettage of the uterine cavity and cervical canal, followed by control hysteroscopy. All the patients were divided into groups based on age, and in each group, a hysteroscopic presentation was monitored and a histological examination was performed.
Statistical data processing was performed in the SPSS Statistics 6.0 program.
Results and discussion
A hysteroscopic examination and morphological evaluation was performed for 100 patients aged 20 to 55 years. The average age of women was 36.30 ± 1.04 years (Me = 35, Mo = 33).
During the retrospective analysis of the hysteroscopic presentation and pathomorphological findings, all the patients were divided into three age groups:
- group 1 consisted of patients aged 25–35 years old (35 women);
- group 2 consisted of patients aged 36–45 years old (35 women);
- group 3 included patients aged 46–55 years (30 women).
Group 1
In the group 1, all the patients were of reproductive age. Indications for hysteroscopy were abnormal uterine bleeding, infertility, suspected endometrial polyp, and endometrial heterogeneity according to US examination. There were 35 patients, the average age was 30.03 ± 0.70 years (Me = 29.5; Mo = 33).
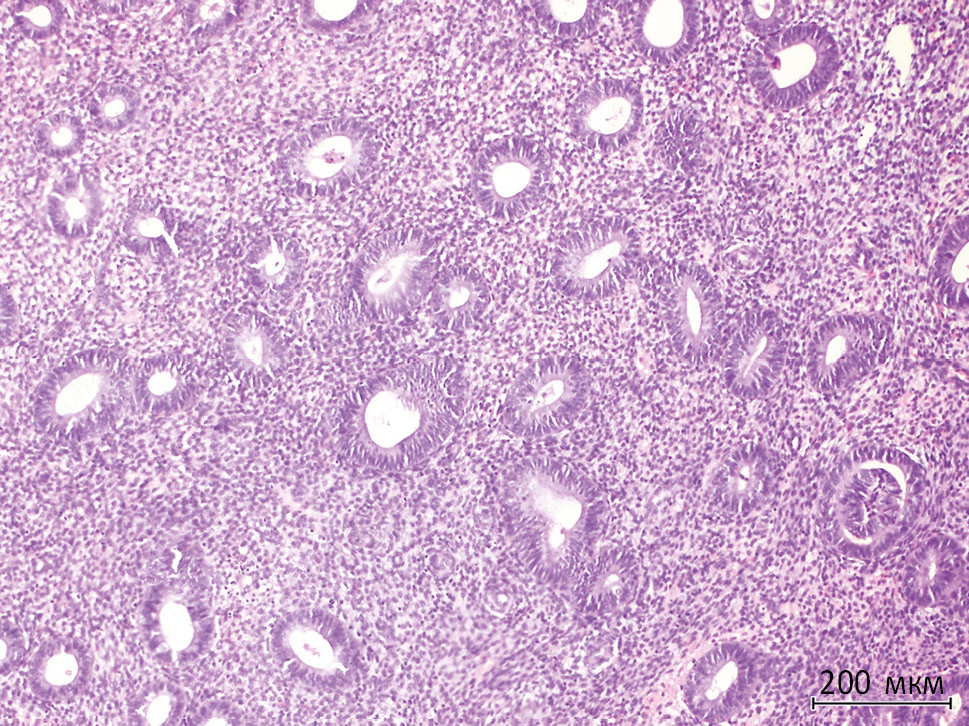
- Simple endometrial hyperplasia without atypia was recorded in 45.7% of patients. Women complained of abnormal uterine hemorrhage, disorders of the ovarian-menstrual cycle, and infertility. The hyperplastic processes mainly occurred in the functional layer of the uterine endometrium, and the basal layer was affected much less frequently. The number of tissue elements was increased through their reproduction by mitotic and amitotic divisions. In the range of gynecological diseases, endometrial hyperplasia was 18% [7].
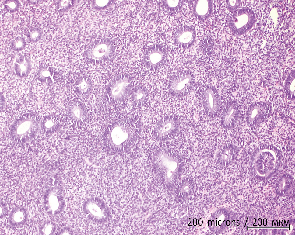
In all the cases, the visualized endometrium did not correspond to the phase of the ovarian-menstrual cycle, and as a rule, it was thickened, bright pink in color, and with various folds. Transparent points were determined, which indicated an increased number of glandular ducts. When assessing the prevalence of the pathological process, diffuse hyperplasia was diagnosed in 61.3% of patients, and focal hyperplasia was found in 38.7% of cases. According to the morphological study, most patients had simple hyperplasia without atypia (87.67%), and complex endometrial hyperplasia without atypia was detected in 12.33% of cases. Glandular hyperplasia was characterized by a sharply thickened endometrium with an elongated and convoluted shape of the glands. Histological examination revealed an increase in the concentration of glands in the cytogenous stroma, which was uneven. The glandular epithelium was similar in structure to the endometrial epithelium of the proliferation stage, and mitotic figures were found (Fig. 1).
Fig. 1. Endometrial hyperplasia without atypia in women of reproductive age (hematoxylin and eosin staining at ×100 magnification)
Рис. 1. Гиперплазия эндометрия без атипии у женщины репродуктивного возраста (окраска гематоксилином и эозином, увеличение ×100)
There were no signs of cell atypia in the test material in such patients. In a number of cases, a polypous form of glandular endometrial hyperplasia without atypia was revealed, characterized by the formation of many polypous outgrowths.
- Polyps of the uterine body were diagnosed in 31.4% of cases, which were mainly manifested by abnormal uterine bleeding (74.2%), and the remaining patients (25.8%) had an asymptomatic course. Formations of pale pink color on a round pedicle with a smooth surface were detected hysteroscopically. The sizes of uterine body polyps according to hysteroscopy varied, as 44% of women had small polyps of 0.3–0.5 cm in size, and 66% of patients had medium polyps up to 1.0 cm.
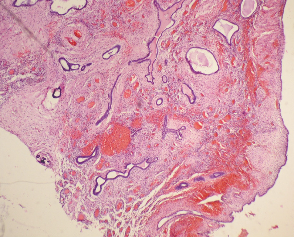
In the reproductive period, polyps were mainly small and medium in size and represented by the functional layer of the endometrium. A morphological study revealed glandular (81.8%) and glandular-fibrous (18.2%) polyps (Fig. 2).
Fig. 2. “Vascular pedicle” of the glandular-fibrous endometrial polyp in a woman of reproductive age (hematoxylin and eosin staining at ×100 magnification)
Рис. 2. «Сосудистая ножка» железисто-фиброзного полипа эндометрия у женщины репродуктивного возраста (окраска гематоксилином и эозином, увеличение ×100)
- A hysteroscopic presentation of chronic endometritis was noted in 22.8% of cases [8]. The patients complained of miscarriage and/or infertility. Chronic endometritis may be due to monoinfection or associations of pathological pathogens. Bacteria, viruses, fungi, and mycoplasmas are important factors. According to hysteroscopy, the mucous membrane of the uterus was pale pink with uneven color, as well as of uneven thickness, and unaltered segments of the endometrium interchanged with areas of thinned endometrium with a pronounced vascular pattern. As a result of the morphological study, focal lymphoplasmocytic infiltration of the endometrial stroma, fibrosis and endometrial atrophy of varying severity, as well as neutrophilic granulocytes in some cases, were revealed in 83.3% of cases. In 6% of cases, stromal fibrosis with large foci of fibroblasts among the growths of collagen fibers was detected, which suggested a chlamydial etiology of chronic endometritis, followed by confirmation using the polymerase chain reaction.
Chronic endometritis causes structural changes in the mucous membrane of the uterine cavity, which in turn leads to a decrease in endometrial receptivity, failure of the gestational sac implantation, and often causes infertility and miscarriage [6].
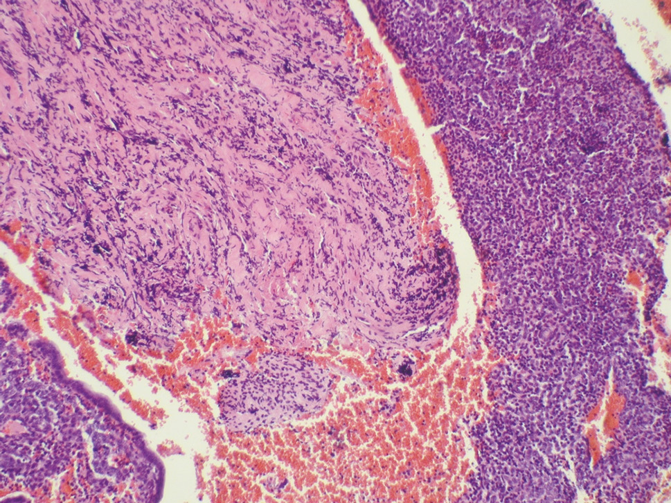
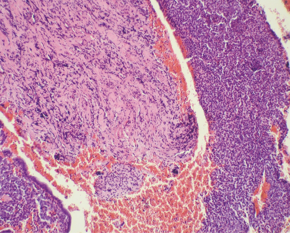
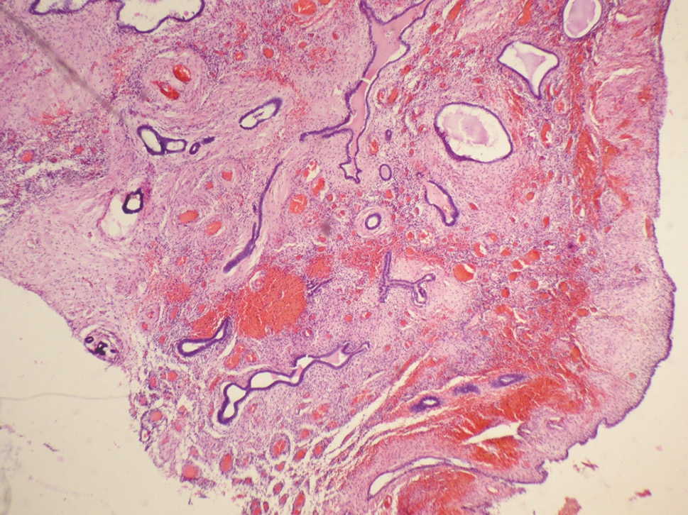
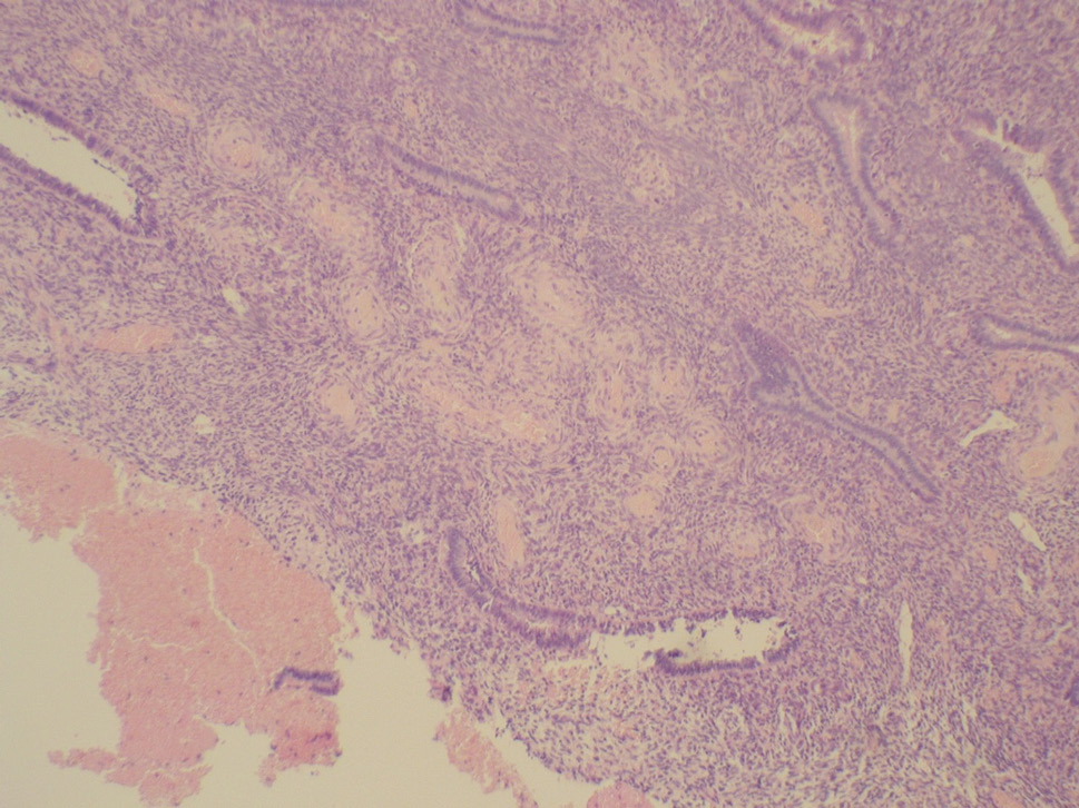
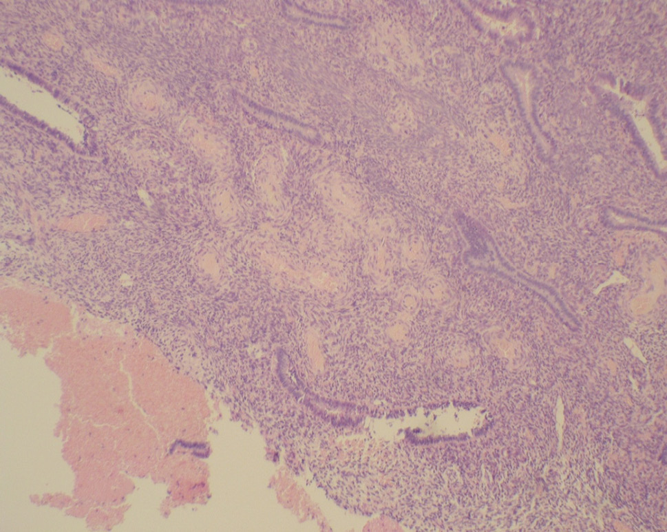
- Intrauterine synechia was hysteroscopically diagnosed in 8.6% of patients. These patients complained of infertility, miscarriage, and hypomenorrhea-type disorder of the ovarian-menstrual cycle. Regarding the prevalence and degree of obliteration of the uterine cavity, degree I of the prevalence of intrauterine synechia was established in 65.8% of cases (less than 1/4 of the volume of the uterine cavity was involved, the synechia was thin, easily destroyed by the hysteroscope body, the bottom and orifices of the tubes were free; the cords were pale pink, having the shape of a web with vessels located in them), while the degree II was revealed in 34.2% of cases (up to 3/4 of the volume of the uterine cavity was involved, there was no adhesion of the walls, single adhesions were not dense and were not been able to be destroyed by the hysteroscope body, isolated separate areas of the uterine cavity, the orifices of both uterine tubes were partially closed; the cords looked whitish, located on the side walls of the uterine cavity). Morphological research revealed that in 83.3% of cases, focal lymphoplasmacytic infiltration of the endometrial stroma, fibrosis, and endometrial atrophy of varying severity were identified, as well as neutrophilic granulocytes in some cases (Fig. 3).
Fig. 3. Fibrous adhesions with severe lymphoplasmocytic infiltration, surrounded by the endometrium with signs of chronic active inflammation (hematoxylin and eosin staining at ×100 magnification)
Рис. 3. Фиброзная ткань спайки с выраженной лимфоплазмоцитарной инфильтрацией в окружении эндометрия с признаками хронического активного воспаления (окраска гематоксилином и эозином, увеличение ×100)
- In 11.4% of cases, a normal hysteroscopic presentation of the endometrium was visualized, which corresponded to the phase of the ovarian-menstrual cycle and was confirmed by morphological examination. The main clinical manifestation for which the pathology of the uterine endometrium was suspected was abnormal uterine hemorrhage. According to the genital ultrasound, endometrial heterogeneity with fluid inclusions was noted, which was as an indication for a hysteroscopic examination.
Group 2
The patients in this group were in the late reproductive period (36–45 years). There were 35 patients in the group (35%), the average age was 41.4 ± 0.6 years (Me = 42; Mo = 43). Indications for hysteroscopy were abnormal uterine bleeding and endometrial heterogeneity according to US examination. The hysteroscopic examination revealed a pattern of diffuse endometrial hyperplasia, endometrial hypoplasia, endometritis, and endometrial polyps.
- A hysteroscopic presentation of endometritis was noted in 37.1% of cases. In the history of all the women, there were indications of previous intrauterine interventions due to infertility or incomplete abortion. The endometrium was light pink with uneven thickening and profuse vascularization. The morphological picture was characterized by lymphoid-cell infiltration with plasma and histiocytic elements, a small number of neutrophils, and fibroblastic restructuring of the stroma and blood vessels. Among them, sclerosis of the vascular wall was revealed in 60.8% of cases, and there were plethorical enlarged vessels with perivascular edema and the release of blood corpuscles beyond the microvasculature in 39.2% of cases. In the latter patients, an exacerbation of the chronic process with clinical manifestations was diagnosed.
- Endometrial hyperplasia was detected in 34.2% of cases, and 50% of these cases were represented by simple hyperplasia without atypia. In addition, complex hyperplasia without atypia was noted in 16.6% of cases, while atypical endometrial hyperplasia was detected in 33.4% of cases. The patients complained of abnormal uterine bleeding. During hysteroscopy, fringe fragments of the endometrium were visible in the area of the uterine fundus and the orifices of the fallopian tube having a pale pink color. A histological examination showed an increase in the number of endometrial glands with an altered shape, and an increase in the glandular stromal ratio to 3:1 with thinning of the interacinar septa. Endometrial stroma was densely cellular, with focal expansion of blood capillaries and low diffuse lymphocytic infiltration. The focal nature of the hyperplasia was established in 33.3% of cases, and the diffuse nature was noted in 66.7% of cases.
- Endometrial polyps were diagnosed in 31.4% of patients. Most patients complained of abnormal uterine bleeding. Oblong or rounded formations of gray-pink color were visualized hysteroscopically. Medium endometrial polyps of up to 1.0 cm predominated (83.8%), while large polyps (up to 2.0–3.0 cm) were noted in 16.2% of cases. Pathological outgrowths were mainly of medium size, covered by the endometrial functional layer. Histological examination revealed glandular (71.9%) and glandular-fibrous (28.1%) polyps.
- An endometrium with hypoplastic signs was diagnosed in 11.4% of patients. Hysteroscopic pattern showed a dull whitish mucosa with the predominance of a thin endometrium. Women complained of infertility and recurrent miscarriage. The micropreparations comprised underdeveloped single glands, with cystic dilatation in places. The stroma is densely cellular, and vessels are slit-like.
Group 3
The age of the patients ranged from 46 to 55 years. The group consisted of 30 women (30%), the average age was 50.9 ± 2.3 years (Me = 50.5; Mo = 48). The major indications for hysteroscopic examination were abnormal uterine bleeding, endometrial heterogeneity, and suspected endometrial polyp according to US examination.
- During a hysteroscopic examination, endometrial polyps were visualized in 43.3% of cases. The main complaint was abnormal uterine hemorrhage. Oval pale pink formations with a smooth surface and slight vascularization on the pedicle were determined hysteroscopically. Large endometrial polyps (1.5–2.0 cm) were detected in 20.7% of cases, medium polyps (1.0 cm) were found in 78.5% of cases. In patients of this age group, glandular-fibrous and fibrous polyps prevailed (62.8%) in the shape of formations on the pedicle with cystic-dilated glands (Fig. 4).
Fig. 4. Glandular fibrous endometrial polyp of the senile type with cystic expansion of the glands and severe circulatory disorder (hematoxylin and eosin staining at ×40 magnification)
Рис. 4. Железисто-фиброзный полип эндометрия «сенильного типа» с кистозно расширенными железами и выраженным расстройством кровообращения (окраска гематоксилином и эозином, увеличение ×40)
- In the postmenopausal period, endometrial atrophy was considered a normal condition and was noted in 30% of cases. The thin and pale mucous membrane of the uterine cavity and obliterated orifices of the fallopian tube were visualized. Immature atrophied glands with pronounced dystrophy of the epithelium were detected microscopically.
- Diffuse endometrial hyperplasia with a hysteroscopic examination was detected in 20% of patients. Thickening of the endometrium was revealed, and its polypoid growths of a light color with bubbles on the surface were also detected in some cases. The morphological pattern is represented by proliferating endometrium with a change in its structure and cellular composition. The endometrial stroma comprised cell weak focal infiltration with lymphocytes and single neutrophilic granulocytes, as well as fibroblastic transformation of the stroma and fibrosis. During morphological examination of endometrial specimens, simple glandular hyperplasia without atypia was registered in 85.0% of cases, and atypical hyperplasia was diagnosed in 15.0% of cases.
- In 6.7% of cases, endometrial adenocarcinoma was identified and confirmed. Complaints of pathological discharge from the genital tract during postmenopause predominated. The pathological process was characterized by gray papillomatous growths, abundantly vascularized, with fragments of necrosis. During a hysteroscopic examination, the endometrial tissue altered by the neoplastic process crumbled, disintegrated easily, and bled under the influence of the fluid administered into the uterine cavity.
A histological examination of the endometrioid adenocarcinoma revealed either a lesion or diffuse lesion of the endometrium of varying degrees of malignancy. The various sizes and shapes of the endometrial gland with an abnormal arrangement relative to each other were visualized and there was absolutely no connecting stroma between them. The degree of cellular atypia and mitotic activity were variable.
The discrepancy between the number of cases and the total number of women in each group is associated with the presence of several pathologies of the uterine cavity in one patient simultaneously.
Conclusion
Hysteroscopy with morphological examination of the endometrium remains the gold standard in diagnosing intrauterine pathology, taking into account the age aspect. Based on the study, a conclusion can be made about the different structures of intrauterine pathology in women at different periods of life, as diffuse endometrial hyperplasia prevailed in the early reproductive age, chronic endometritis prevailed in late reproductive age, and uterine body polyps were characteristic of the menopausal transition period and postmenopause. The data obtained will help the clinician make promptly the correct diagnosis and develop optimal and individual patient management approach.
Additional information
Conflict of interest. The authors declare no obvious or potential conflicts of interest related to the publication of this article.
Funding. The study had no external funding.
About the authors
Anna N. Sulima
Medical Academy named after S.I. Georgievsky, V.I. Vernadsky Crimean Federal University; Vash Doctor Clinic Ltd.
Author for correspondence.
Email: gsulima@yandex.ru
ORCID iD: 0000-0002-2671-6985
SPIN-code: 2232-0458
ResearcherId: P-3191-2015
MD, PhD, DSci (Medicine), Professor. The Department of Obstetrics, Gynecology, and Perinatology No. 1, the First Medical Faculty
Russian Federation, SimferopolInna O. Kolesnikova
Medical Academy named after S.I. Georgievsky, V.I. Vernadsky Crimean Federal University
Email: 010296@mail.ru
ORCID iD: 0000-0002-5226-9090
Resident. The Department of Obstetrics, Gynecology, and Perinatology No. 1, the First Medical Faculty
Russian Federation, SimferopolAleksandra A. Davydova
Medical Academy named after S.I. Georgievsky, V.I. Vernadsky Crimean Federal University
Email: akzag@mail.ru
ORCID iD: 0000-0003-0843-1465
MD, PhD, Associate Professor. The Department of Pathological Anatomy with Sectional Course, the First Medical Faculty
Russian Federation, SimferopolMaxim A. Kriventsov
Medical Academy named after S.I. Georgievsky, V.I. Vernadsky Crimean Federal University
Email: maksimkgmu@mail.ru
ORCID iD: 0000-0001-5193-4311
MD, PhD, DSci (Medicine), Associate Professor, Head of the Department of Pathological Anatomy with Sectional Course, the First Medical Faculty
Russian Federation, SimferopolReferences
- Ключаров И.В., Трубникова Л.И., Хасанов А.А. Гистероскопия в комплексной диагностике патологии полости матки и эндометрия // Ульяновский медико-биологический журнал. – 2013. – № 1. – С. 155−158. [Klyucharov IV, Trubnikova LI, Hassanov AA. Hysteroscopy in complex diagnosis of the intrauterine and endometrial pathology. Ulyanovsk medicobiological journal. 2013;(1):155-158. (In Russ.)]
- Babacan A, Gun I, Kizilaslan C, et al. Comparison of transvaginal ultrasonography and hysteroscopy in the diagnosis of uterine pathologies. Int J Clin Exp Med. 2014;7(3):764-769.
- Salazar CA, Isaacson KB. Office operative hysteroscopy: an update. J Minim Invasive Gynecol. 2018;25(2):199-208. https://doi.org/10.1016/j.jmig.2017.08.009.
- Centini G, Troia L, Lazzeri L, et al. Modern operative hysteroscopy. Minerva Ginecol. 2016;68(2):126-132.
- Mencaglia L, de Albuquerque Neto LC, Alvarez AR. Manual of hysteroscopy. Diagnostic, operative and office. Tuttlingen: EndoPress; 2013. 129 р.
- Puente E, Alonso L, Laganà AS, et al. Chronic endometritis: old problem, novel insights and future challenges. Int J Fertil Steril. 2020;13(4):250-256. https://doi.org/10.22074/ijfs.2020.5779.
- ACOG Technology Assessment No. 13: Hysteroscopy. Obstet Gynecol. 2018;131(5):151-156. https://doi.org/10.1097/AOG.0000000000002634.
- Давыдова А.А., Сулима А.Н., Рыбалка А.Н., Вороная В.В. Иммуногистохимические маркеры в современной диагностике хронического эндометрита у женщин с многократными неудачными имплантациями // Крымский журнал экспериментальной и клинической медицины. – 2017. – Т. 3. – № 7. – С. 86−90. [Davydova AA, Sulima AN, Rybalka AN, Voronaya VV. Immunohistochemical markers as the modern diagnostic methods of chronic endometritis at patients with multiple implantation failure. Crimea journal of experimental and clinical medicine. 2017;3(7):86-90. (In Russ.)]
Supplementary files







