Differential diagnosis of the uterine septum: problems and solutions
- Authors: Kazantseva E.V.1, Shelayeva E.V.1, Rusina E.I.1
-
Affiliations:
- The Research Institute of Obstetrics, Gynecology, and Reproductology named after D.O. Ott
- Issue: Vol 69, No 5 (2020)
- Pages: 5-12
- Section: Current public health problems
- Submitted: 10.08.2020
- Accepted: 26.08.2020
- Published: 23.12.2020
- URL: https://journals.eco-vector.com/jowd/article/view/42303
- DOI: https://doi.org/10.17816/JOWD6955-12
- ID: 42303
Cite item
Abstract
The article presents literature data on the peculiarities of diagnosing different types of uterine abnormalities. The main topic of the publication is the role and effectiveness of three-dimensional ultrasound in the differential diagnosis of the uterine septum.
Full Text
Background
Uterine abnormalities may adversely affect women’s reproductive function, leading to infertility, miscarriage, and ineffective in vitro fertilization protocols [1, 2]. Its incidence can reach up to 10% in the general population and 5%–25% among women with miscarriages. Among uterine abnormalities, uterine septum has the most adverse effect on reproductive function [3]. According to the European Society of Human Reproduction and Embryology (ESHRE), uterine septum was one of the ten most pressing problems associated with female and idiopathic infertility in 2019.
Despite the large number of studies on uterine abnormalities, many questions regarding the differential diagnoses of uterine septum remain controversial to date.
Prevalence and significance of uterine septum in the realization of the reproductive function
It is difficult to determine the true prevalence of uterine abnormalities, since many congenital uterine defects are not clinically evident. According to L. Fedele et al. (2006), uterine septum is the most common of all uterine malformations, occurring in approximately 1% of the fertile population [4] and accounting for approximately 55% of all abnormalities [5]. There are two different types of uterine septum: complete septum, in which the uterine shape is not altered and the cavity is divided by a septum extending from the uterine fundus to the internal or external orifice; and incomplete septum, in which the uterus is not altered and the cavity is divided by a septum at the uterine fundus. The septum may be thin or have a wide base, and the hemicavities may differ from each other [6]. A concomitant urinary tract abnormality (predominantly unilateral renal agenesis and duplex kidneys) has been reported in 14% of patients with uterine septum [7].
Pregnancy with uterine abnormalities is associated with a high risk of obstetric complications, such as malpositioning, premature amniorrhea, uterine inertia, placental insufficiency, postpartum hemorrhage, intrauterine growth retardation, intrapartum fetal death, and premature delivery [8, 9]. Spontaneous miscarriages occur in 26%–94% of women with uterine septum [10].
The negative effect of uterine septum on the reproductive process can be probably due to impaired endometrial morphology, blastocyst implantation in the septum, and uncoordinated myometrial contractions [11].
The timely diagnosis and treatment of this pathology to improve the reproductive function is essential for practical healthcare. For example, the information obtained by two-dimensional (2D) ultrasound and hysteroscopy may not be sufficiently accurate, subsequently leading to laparoscopic surgery and an increase in the number of surgical interventions. Thus, according to L.V. Adamyan et al., the frequency of unjustified surgical interventions ranges from 24% to 34% [12].
Basic principles of uterine septum diagnosis
Currently, anatomical uterine defects can be diagnosed by hysterosalpingography, (2D) and three-dimensional (3D) pelvic ultrasounds, magnetic resonance imaging (MRI), hysteroscopy, and laparoscopy.
Historically, hysterosalpingography has been the most commonly used method for diagnosing uterine malformations. According to A. Ludwin et al. (2011), hysterosalpingography cannot reliably differentiate between a uterine septum and duplex uterus because of the inability to assess its external contours [5, 13]. Hysterosalpingography is now widely used in diagnosing an arcuate uterus, and other imaging techniques are not necessary to confirm this abnormality. The specificity of this technique for diagnosing uterine abnormalities ranges from 6% to 60% [10].
A revolutionary method for diagnosing uterine abnormalities in modern clinical practice has been the 2D ultrasound, which is the most accessible diagnostic technique. According to G.F. Grimbizis et al. (2016), the accuracy of this technique in diagnosing congenital uterine abnormalities is approximately 86.6%. However, it is difficult to identify the types of abnormalities with this technique since images obtained in longitudinal and transverse planes do not provide complete data on the state of the uterine fundus [14].
In cases of suspected uterine malformations, a 3D ultrasound can be performed, in which the external and internal uterine contours are displayed on a coronal plane. Due to improved imaging, it is possible to distinguish between the types of abnormalities [15].
Jurkovic et al. (1995) compared 3D ultrasound with hysterosalpingography and invasive techniques, such as hysteroscopy and laparoscopy, and the 3D accuracy was found to be 95% [16]. F. Raga et al. (1996) conducted a blinded controlled trial involving 42 infertile patients: 30 women with a normal uterine anatomy and 12 patients with uterine abnormalities. Hysterosalpingography, 3D ultrasound, and laparoscopy were performed on all subjects, and the accuracy of the 3D ultrasound was 91.6% [17].
- Kougioumtsidou et al. conducted a blinded prospective trial (2012–2016) to assess and compare the effectiveness of 3D scanning and invasive diagnostic techniques (hysteroscopy and laparoscopy). A total of 62 women with uterine abnormalities detected by 3D ultrasound participated in the study. The uterine malformation was confirmed using an endoscope in 61 women, and the prevalence was 98.4%. The most frequently diagnosed abnormality was uterine septum [18].
Given the high diagnostic accuracy, Y.Y. Chan et al. recommended 3D ultrasound as the “gold standard” noninvasive technique for diagnosing uterine malformations [19, 20]. All of the above indicates that 3D ultrasound is a highly sensitive technique for diagnosing congenital uterine abnormalities and can be used as an accurate noninvasive diagnostic method to provide mass screening of the population in outpatient settings [16, 17, 21].
The American Fertility Society (AFS) and the ESHRE together with the European Society for Gynecological Endoscopy (ESGE) proposed classification systems based on 3D ultrasound data for the differential diagnosis of uterine abnormalities.
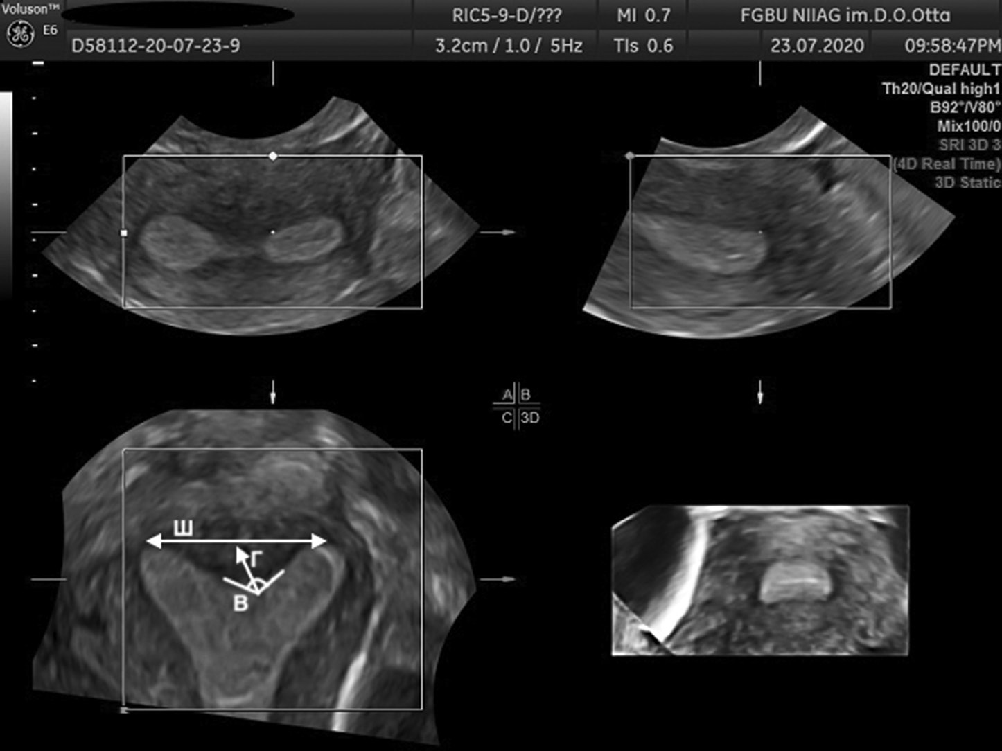
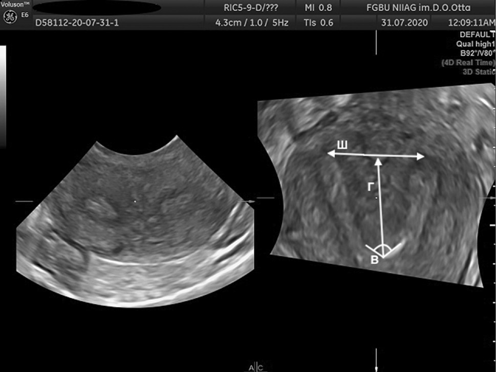
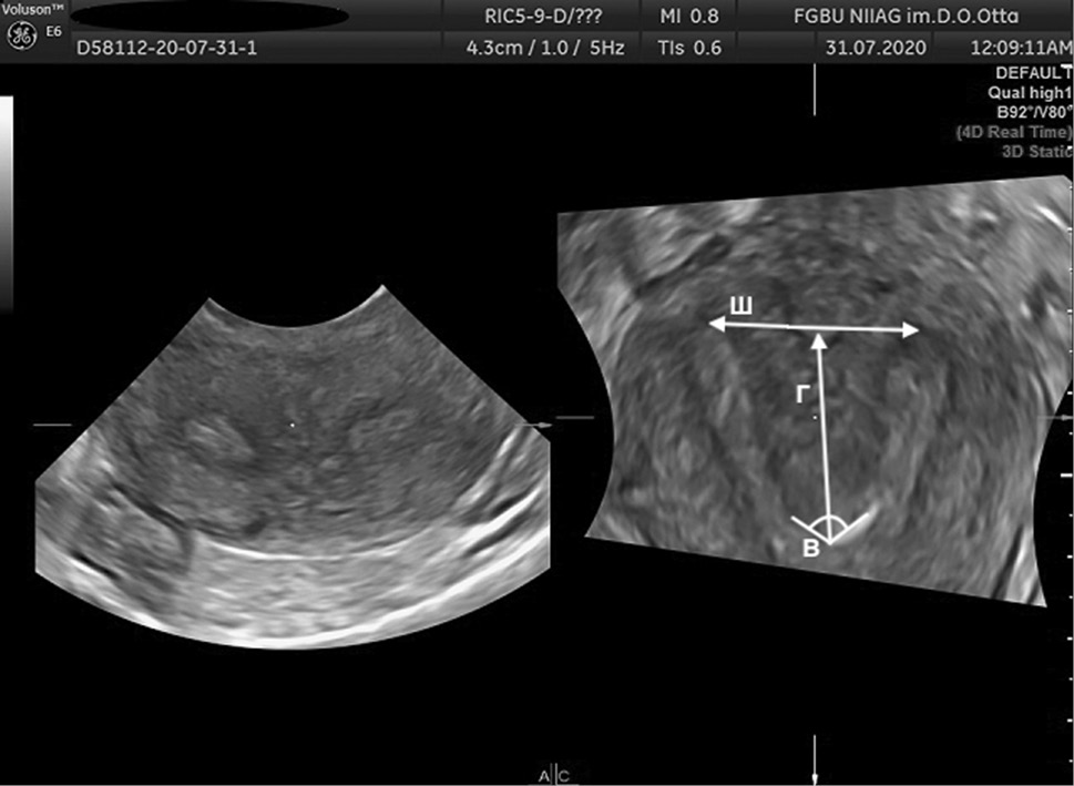
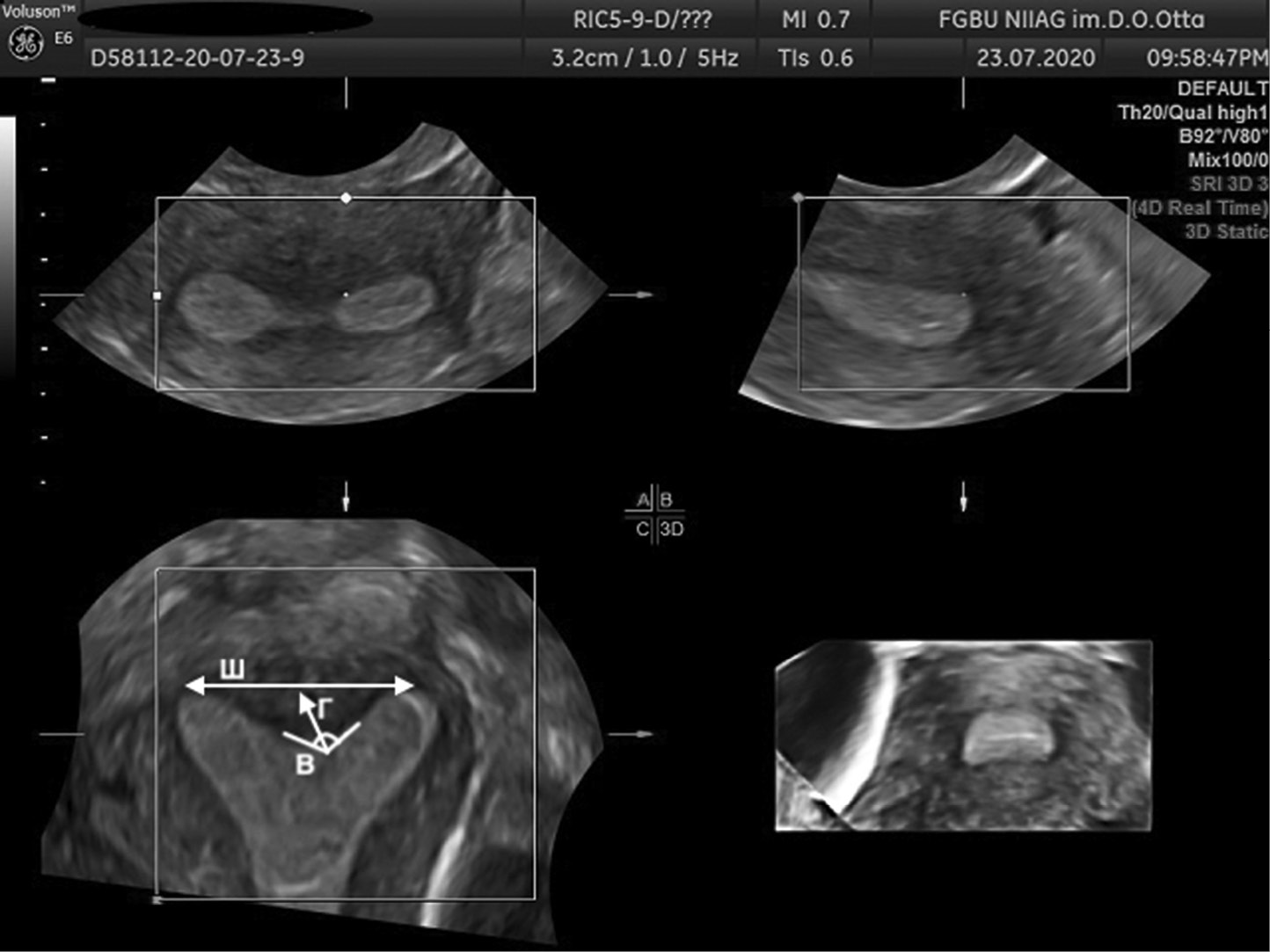
The AFS proposed to assess parameters, such as Г, cavity indentation; Ш, uterine cavity width; and B, angle of cavity indentation (Figs. 1–4).
Fig. 1. 3D ultrasound reconstruction of the uterine cavity: subseptate uterus, where Ш, uterine cavity width; Г, cavity indentation; B, angle of cavity indentation (86°)
Рис. 1. Ультразвуковая 3D-реконструкция полости матки — внутриматочная перегородка: Ш — ширина полости матки; Г — глубина вдавления полости матки; угол В — угол вдавления полости (86°)
Fig. 2. 3D ultrasound reconstruction of the uterine cavity: arcuate uterus, where Ш, uterine cavity width; Г, cavity indentation; B, angle of cavity indentation (120°)
Рис. 2. Ультразвуковая 3D-реконструкция полости матки — седловидная матка: Ш — ширина полости матки; Г — глубина вдавления полости матки; угол В — угол вдавления полости (120°)
Fig. 3. 3D ultrasound reconstruction of the uterine cavity: bicornuate uterus, where Ш, uterine cavity width; Г, cavity indentation; B, angle of cavity indentation
Рис. 3. Ультразвуковая 3D-реконструкция полости матки — двурогая матка: Ш — ширина полости матки; Г — глубина вдавления полости матки; угол В — угол вдавления полости
Fig. 4. 3D ultrasound reconstruction of the uterine cavity: normal uterus, where Ш, uterine cavity width; Г, cavity indentation; B, angle of cavity indentation
Рис. 4. Ультразвуковая 3D-реконструкция полости матки — нормальная анатомия матки: Ш — ширина полости матки; Г — глубина вдавления полости матки; угол В — угол вдавления полости
Uterine septum is diagnosed using the following indicators: Г ≥15 mm, angle B <90º, while uterus arcuate is diagnosed using the following indicators: D ≥10 mm, but <15 mm and angle B >90° [11].
The ESHRE, together with the ESGE, have proposed their own ultrasound criteria for diagnosing a uterine septum (Figure 5, Table) [2, 14, 22].
Fig. 5. Ultrasound criteria for the diagnosis of the uterine septum, where m, uterine wall thickness; I, cavity indentation; I/m, ratio of cavity indentation to uterine wall thickness; W, uterine cavity width; α, angle of cavity indentation
Рис. 5. Ультразвуковые критерии диагностики перегородки полости матки: m — стенка матки; I — глубина вдавления; I/m — отношение глубины вдавления к стенке матки; W — ширина полости матки; угол α — угол вдавления полости (ESHRE–ESGE, 2016)
Criteria for uterine septum diagnosis (ESHRE-ESGE, 2016)
Критерии определения внутриматочной перегородки (ESHRE–ESGE, 2016)
Indicators | Value |
Cavity indentation (I) | ≥10 mm |
Ratio of cavity indentation to uterine wall thickness (I/m) | >110% |
Cavity indentation angle (α) | <140° |
MRI plays an important role in diagnosing uterine abnormalities and has an accuracy rate of 85.5%. However, the disadvantage of this technique is its high cost and lower availability compared with 3D ultrasound [14]. There are several MRI contraindications, including claustrophobia, severe obesity, and the presence of implantable ferromagnetic medical devices.
The standard MRI is conducted with T1-weighted images and T2-weighted images. The T2-weighted images are used to diagnose uterine abnormalities [23].
Compared to 3D ultrasound imaging, MRI has been shown to be more accurate in detecting a rudimentary uterine horn. The ability to assess anatomical zones and signal intensity from the endometrium allows to distinguish a non-functional rudimentary horn from a functional non-communicating rudimentary horn using this technique [24, 25].
A few studies have described the role of dynamic contrast-enhanced MRI (DCE-MRI) in diagnosing uterine malformations. Until recently, this technique has been widely used in oncogynecology for studying cervical cancer, endometrial cancer, and ovarian tumors. DCE-MRI produces sequential images of the tissue volume before, during, and after the injection of the contrast agent injection. The plotted graphs allow to assess the vascular tissue density and blood flow velocity [26]. DCE-MRI enables a differentiated approach to the treatment choice for patients with a uterine septum. A decrease in the uterine septum blood flow >20% is an indication for its dissection. The sensitivity and specificity is 80.95% and 99.11%, respectively [27].
Hysteroscopy is a modern technique that allows both the direct visualization of the uterine cavity and a surgical intervention if it is necessary to remove the uterine septum. However, a disadvantage of the technique is its inability to assess the external uterine anatomy, which limits the differential diagnosis of the uterine septum and bicornuate uterus [28].
To date, there is no consensus on managing women with a uterine septum. R. Corroenne et al. (2018) believe that the surgical correction of the uterine septum before the embryo transfer increases the frequency of embryo implantation, thereby improving the outcomes of in vitro fertilization programs [29].
Marcus et al. (1996) estimated pregnancy rates in women with infertility and congenital uterine malformations using assisted reproductive technologies. The retrospective analysis involved 24 patients (6 women with unicornuate uterus, 9 women with bicornuate uterus, 5 women with uterine septum, and 4 women with duplex uterus). This study showed worse outcomes in patients without the surgical correction of the uterine septum, with higher rates of spontaneous abortion and premature birth of 30% and 10%, respectively [30]. Tomaževič et al. (2010) studied the effectiveness of in vitro fertilization programs in patients with uterine septum in transferring 2,481 embryos. The fertility rates for women with complete and incomplete uterine septum were 2.7% and 2.8% preoperatively, respectively, and 15.6% and 18.6% postoperatively, respectively. Preoperative pregnancy and labor rates were lower compared with the control group, but after surgical malformation correction, the difference was statistically insignificant [31].
Paradisi et al. (2014) in a retrospective study involving 112 women with incomplete uterine septa of various sizes found that hysteroscopic metroplasty improved reproductive outcomes in patients with infertility and an incomplete uterine septum regardless of the septum size [32]. Homer et al. (2000) demonstrated a significant reduction in the spontaneous abortion rate from 88% to 5.9% after hysteroscopic metroplasty [33]. Similar findings have been reported by K. Zabak et al. (2001) [34].
Hysteroscopic septal resection is considered to improve natural conception rates for up to one year after the surgery [32, 34].
Hysteroscopic metroplasty can be performed using the following instruments: mechanical scissors; electrosurgery with specially designed electrodes mounted on the hysteroscope or resectoscope; bipolar electrodes; and fiber lasers, such as neodymium:YAG, argon laser, and mechanical morcellators.
The main aim of the procedure is to minimize trauma to both the endometrium and myometrium and to prevent the formation of uterine synechiae [35]. However, several authors believe that reproductive outcomes in women who underwent hysteroscopic metroplasty with scissors are better than those of women who underwent another method of malformation correction [36, 37].
It should be added that diagnostic laparoscopy is often performed together with hysteroscopy, providing a determination of the uterine configuration and accordingly, the extent of surgical treatment [28].
Conclusion
Despite numerous studies on uterine septum, current diagnostic methods are still widely debated. Increasingly, experts agree that in everyday practice, 3D ultrasound is the most effective, less expensive, and a promising technique for diagnosing uterine septum.
About the authors
Ekaterina V. Kazantseva
The Research Institute of Obstetrics, Gynecology, and Reproductology named after D.O. Ott
Author for correspondence.
Email: katrin8505@yandex.ru
ORCID iD: 0000-0003-4948-4125
MD, Post-Graduate Student
Russian Federation, Saint PetersburgElizaveta V. Shelayeva
The Research Institute of Obstetrics, Gynecology, and Reproductology named after D.O. Ott
Email: eshelaeva@yandex.ru
ORCID iD: 0000-0002-9608-467X
SPIN-code: 7440-0555
ResearcherId: K-2755-2018
MD, PhD, Senior Researcher. The Ultrasound Department
Russian Federation, Saint PetersburgElena I. Rusina
The Research Institute of Obstetrics, Gynecology, and Reproductology named after D.O. Ott
Email: pismo_rusina@mail.ru
ORCID iD: 0000-0002-8744-678X
SPIN-code: 3527-5104
ResearcherId: K-1269-2018
MD, PhD, DSci (Medicine), Leading Researcher
Russian Federation, Saint-PetersburgReferences
- Ludwin A, Ludwin I, Kudla M, Kottner J. Reliability of the European society of human reproduction and embryology/European Society for gynaecological endoscopy and American society for reproductive medicine classification systems for congenital uterine anomalies detected using three-dimensional ultrasonography. Fertil Steril. 2015;104(3):688-697.e8. https://doi.org/10.1016/j.fertnstert.2015.06.019.
- Grimbizis GF, Gordts S, Di Spiezio Sardo A, et al. The ESHRE-ESGE consensus on the classification of female genital tract congenital anomalies. Gynecol Surg. 2013;10(3):199-212. https://doi.org/10.1007/s10397-013-0800-x.
- Rackow BW, Arici A. Reproductive performance of women with Müllerian anomalies. Curr Opin Obstet Gynecol. 2007;19(3):229-237. https://doi.org/10.1097/GCO.0b013 e32814b0649.
- Fedele L, Bianchi S, Frontino G. Septums and synechiae: Approaches to surgical correction. Clin Obstet Gynecol. 2006;49(4):767-788. https://doi.org/10.1097/01.grf.0000 211948.36465.a6.
- Devi Wold AS, Pham N, Arici A. Anatomic factors in recurrent pregnancy loss. Semin Reprod Med. 2006;24(1):25-32. https://doi.org/10.1055/s-2006-931798.
- Стрижаков А.Н., Давыдов А.И. Оперативная гистероскопия при пороках развития матки // Вопросы гинекологии, акушерства и перинатологии. − 2015. − Т. 14. − № 3. − С. 66–71. [Strizhakov AN, Davydov IM. Operative hysteroscopy in maldevelopment of the uterus. Gynecology, obstetrics and perinatology. 2015;14(3):66-71. (In Russ.)]
- Coleman AD, Arbuckle JL. Advanced imaging for the diagnosis and treatment of coexistent renal and Müllerian abnormalities. Curr Urol Rep. 2018;19(11):89. https://doi.org/10.1007/s11934-018-0840-x.
- Lekovich J, Stewart J, Anderson S, et al. Placental malperfusion as a possible mechanism of preterm birth in patients with Müllerian anomalies. J Perinat Med. 2017;45(1):45-49. https://doi.org/10.1515/jpm-2016-0075.
- Abrao MS, Muzii L, Marana R. Anatomical causes of female infertility and their management. Int J Gynecol Obstet. 2013;123(Suppl 2):S18-24. https://doi.org/10.1016/j.ijgo. 2013.09.008.
- Ludwin A, Ludwin I, Banas T, et al. Diagnostic accuracy of sonohysterography, hysterosalpingography and diagnostic hysteroscopy in diagnosis of arcuate, septate and bicornuate uterus. J Obstet Gynaecol. 2011;37(3):178-186. https://doi.org/10.1111/j.1447-0756.2010.01304.x.
- Prior M, Richardson A, Asif S, et al. Outcome of assisted reproduction in women with congenital uterine anomalies: A prospective observational study. Ultrasound Obstet Gynecol. 2018;51(1):110-117. https://doi.org/10.1002/uog. 18935.
- Адамян Л.В., Кулаков В.И., Хашукоева А.З. Пороки развития матки и влагалища. – М.: Медицина, 1998. – 327 c. [Adamyan LV, Kulakov VI, Khashukoeva AZ. Poroki razvitiya matki i vlagalishcha. Мoscow: Medicina; 1998. 327 p. (In Russ.)]
- Braun P, Grau FV, Pons RM, Enguix DP. Is hysterosalpingography able to diagnose all uterine malformations correctly? A retrospective study. Eur J Radiol. 2005;53(2):274-279. https://doi.org/10.1016/j.ejrad.2004.04.004.
- Grimbizis GF, Di Spiezio Sardo A, Saravelos SH, et al. The Thessaloniki ESHRE/ESGE consensus on diagnosis of female genital anomalies. Gynecol Surg. 2016;13:1-16. https://doi.org/10.1007/s10397-015-0909-1.
- Ghi T, Casadio P, Kuleva M, et al. Accuracy of three-dimensional ultrasound in diagnosis and classification of congenital uterine anomalies. Fertil Steril. 2009;92(2):808-813. https://doi.org/10.1016/j.fertnstert.2008.05.086.
- Jurkovic D, Geipel A, Gruboeck K, et al. Three-dimensional ultrasound for the assessment of uterine anatomy and detection of congenital anomalies: A comparison with hysterosalpingography and twodimensional sonography. Ultrasound Obstet Gynecol. 1995;5(4):233-237. https://doi.org/10.1046/j.1469-0705.1995.05040233.x.
- Raga F, Bonilla-Musoles F, Blanes J, Osborne NG. Congenital Müllerian anomalies: Diagnostic accuracy of three-dimensional ultrasound. Fertil Steril. 1996;65(3):523-528. https://doi.org/10.1016/s0015-0282(16)58147-3.
- Kougioumtsidou A, Mikos T, Grimbizis GF, et al. Three-dimensional ultrasound in the diagnosis and the classification of congenital uterine anomalies using the ESHRE/ESGE classification: A diagnostic accuracy study. Arch Gynecol Obstet. 2019;299(3):779-789. https://doi.org/10.1007/s00404-019-05050-x.
- Chan YY, Jayaprakasan K, Tan A, et al. Reproductive outcomes in women with congenital uterine anomalies: A systematic review. Ultrasound Obstet Gynecol. 2011;38(4):371-382. https://doi.org/10.1002/uog.10056.
- Saravelos SH, Cocksedge KA, Li TC. Prevalence and diagnosis of congenital uterine anomalies in women with reproductive failure: A critical appraisal. Hum Reprod Update. 2008;14(5):415-429. https://doi.org/10.1093/humupd/dmn018.
- Salim R, Jurkovic D. Assessing congenital uterine anomalies: The role of three-dimensional ultrasonography. Best Pract Res Clin Obstet Gynaecol. 2004;18(1):29-36. https://doi.org/10.1016/j.bpobgyn.2003.09.001.
- Ludwin A, Martins WP, Nastri CO, et al. Congenital Uterine Malformation by Experts (CUME): better criteria for distinguishing between normal/arcuate and septate uterus? Ultrasound Obstet Gynecol. 2018;51(1):101-109. https://doi.org/10.1002/uog.18923.
- Yoo RE, Cho JY, Kim SY, Kim SH. Magnetic resonance evaluation of Müllerian remnants in Mayer-Rokitansky-Küster-Hauser syndrome. Korean J Radiol. 2013;14(2):233-239. https://doi.org/10.3348/kjr.2013.14.2.233.
- Fukunaga T, Fujii S, Inoue C, et al. The spectrum of imaging appearances of müllerian duct anomalies: Focus on MR imaging. Jpn J Radiol. 2017;35(12):697-706. https://doi.org/10.1007/s11604-017-0681-4.
- Junqueira BL, Allen LM, Spitzer RF, et al. Müllerian duct anomalies and mimics in children and adolescents: Correlative intraoperative assessment with clinical imaging. Radiographics. 2009;29(4):1085-1103. https://doi.org/10.1148/rg.294085737.
- Padhani AR, Husband JE. Dynamic contrast-enhanced MRI studies in oncology with an emphasis on quantification, validation and human studies. Clin Radiol. 2001;56(8):607-620. https://doi.org/10.1053/crad.2001.0762.
- Мирошникова НА. Оптимизация хирургического лечения женщин с симметричными аномалиями матки с учетом кровотока в миометрии: автореф. дис. … канд. мед. наук. – М., 2019. – 26 c. [Miroshnikova NA. Optimizatsiya khirurgicheskogo lecheniya zhenshchin s simmetrichnymi anomaliyami matki s uchetom krovotoka v miometrii. [dissertation] Moscow; 2019. 26 p. (In Russ.)]
- Kupesic S. Clinical implications of sonographic detection of uterine anomalies for reproductive outcome. Ultrasound Obstet Gynecol. 2001;18(4):387-400. https://doi.org/ 10.1046/j.0960-7692.2001.00539.x.
- Corroenne R, Legendre G, May-Panloup P, et al. Surgical treatment of septate uterus in cases of primary infertility and before assisted reproductive technologies. J Gynecol Obstet Hum Reprod. 2018;47(9):413-418. https://doi.org/10.1016/j.jogoh.2018.08.005.
- Marcus S, al-Shawaf T, Brinsden P. The obstetric outcome of in vitro fertilization and embryo transfer in women with congenital uterine malformation. Am J Obstet Gynecol. 1996;175(1):85-89. https://doi.org/10.1016/s0002-9378(96)70255-7.
- Tomaževič T, Ban-Frangež H, Virant-Klun I, et al. Septate, subseptate and arcuate uterus decrease pregnancy and live birth rates in IVF/ICSI. Reprod Biomed Online. 2010;21(5):700-705. https://doi.org/10.1016/j.rbmo. 2010.06.028.
- Paradisi R, Barzanti R, Natali F, et al. Hysteroscopic metroplasty: Reproductive outcome in relation to septum size. Arch Gynecol Obstet. 2014;289(3):671-676. https://doi.org/10.1007/s00404-013-3003-9.
- Homer HA, Li TC, Cooke ID. The septate uterus: A review of management and reproductive outcome. Fertil Steril. 2000;73(1):1-14. https://doi.org/10.1016/s0015-0282(99)00480-x.
- Zabak K, Bénifla JL, Uzan S. [Septate uterus and reproduction disorders: current results of hysteroscopic septoplasty. (In French)]. Gynecol Obstet Fertil. 2001;29(11):829-840. https://doi.org/10.1016/s1297-9589(01)00228-4.
- Paradisi R, Barzanti R, Fabbri R. The techniques and outcomes of hysteroscopic metroplasty. Curr Opin Obstet Gynecol. 2014;26(4):295-301. https://doi.org/10.1097/GCO. 0000000000000077.
- Cararach M, Penella J, Ubeda A, Labastida R. Hysteroscopic incision of the septate uterus: Scissors versus resectoscope. Hum Reprod. 1994;9(1):87-89. https://doi.org/10.1093/oxfordjournals.humrep.a138326.
- Duffy S, Reid PC, Smith JH, Sharp F. In vitro studies of uterine electrosurgery. Obstet Gynecol. 1991;78(2):213-220.
Supplementary files













