To the pathological anatomy of the Fallopian tubes
- Authors: Lingen L.K.
- Issue: Vol 12, No 2 (1898)
- Pages: 192-209
- Section: Articles
- Submitted: 13.02.1898
- Accepted: 18.09.2020
- Published: 13.02.1898
- URL: https://journals.eco-vector.com/jowd/article/view/44426
- DOI: https://doi.org/10.17816/JOWD122192-209
- ID: 44426
Cite item
Full Text
Abstract
With the development of the operational direction in gynecology, one area after another is subjected to versatile studies from the clinical, ethiological and pathological-anatomical side. Wide operational assistance gives the modern clinician all the means to clarify the processes occurring in the operative field, and long experience and comparative observation of the same painful processes in different stages of their development contribute to the development of a clear anatomical picture.
Full Text
Съ развитіемъ оперативнаго направленія въ гинекологіи одна область ея за другою подвергается разностороннимъ изслѣдованіямъ со стороны клинической, этіологической и патолого-анатомической. Широкая оперативная помощь даетъ въ руки современнаго клинициста всѣ средства для выясненія процессовъ, протекающихъ въ операціонномъ полѣ, а долгій опытъ и сравнительное наблюденіе однихъ и тѣхъ же болѣзненныхъ процессовъ въ разныхъ стадіяхъ ихъ развитія способствуютъ полученію ясной картины патолого-анатомическихъ измѣненій. Область показаній къ оперативному вмѣшательству все болѣе и болѣе расширяется; а вмѣстѣ съ нею раздвигаются и рамки нашихъ знаній и объективныхъ заключеній насчетъ анатомическаго процесса и клиническаго теченія.
Все это безъ сомнѣнія въ равной мѣрѣ относится и къ измѣненіямъ въ придаткахъ матки, значеніе которыхъ въ достаточной степени оцѣнено только съ того времени, когда и здѣсь оперативное вмѣшательство вступало въ свои права и дало возможность провѣрять результатъ предварительнаго распознаванія.
До послѣдняго времени о патогенезѣ этихъ органовъ существовали самыя смутныя представленія, вмѣстѣ съ тѣмъ и съ діагностической стороны оставалось еще многаго желать. По мѣрѣ развитія точности въ показаніяхъ къ операціи и оперативной техники увеличивается число описаній отдѣльныхъ случаевъ и наблюденій надъ этіологіей, теченіемъ, патологической анатоміей и лѣченіемъ заболѣваній придатковъ, такъ-что мы въ настоящее время располагаемъ довольно приличнымъ числомъ сообщеній изъ этой области. Патолого-анатомическимъ вопросамъ при этомъ удѣлялось все болѣе и болѣе вниманія; весь матеріалъ разрабатывался и классифицировался съ этой точки зрѣнія. Свѣту прибавляли и бактеріологическіе методы изслѣдованія, во многомъ способствовавшіе выясненію нѣкоторыхъ темныхъ вопросовъ въ акушерствѣ и гинекологіи. Что изученіе патолого-анатомическихъ картинъ много помогло дѣлу клинической оцѣнки каждаго случая,—этого доказывать не нужно; достаточно лишь упомянуть объ этомъ.
Раньше не было единства и гармоніи въ классификаціи и въ номенклатурѣ; нѣкоторые авторы считали нужнымъ описывать все новые и новые виды заболѣваній и давать имъ новыя названія во вредъ ясности и удобоусвояемости. Среди многочисленныхъ попытокъ найти такую классификацію болѣзней трубъ, которая могла бы быть принята всѣми, мнѣ кажется, болѣе всего заслуживаетъ подражанія попытка Martin'а 1) и Е. Ortmann'а, въ основу которой наложенъ принципъ патолого-анатомическій. Въ послѣднее время она и пользуется наибольшей популярностью. Во всякомъ случаѣ патолого-анатомическое дѣленіе болѣзней вноситъ въ дѣло больше единства, чѣмъ дѣленіе этіологическое.
Приступая въ настоящее время къ описанію моихъ изслѣдованій, я очень хорошо сознаю, что они и по числу и по объему уступаютъ работамъ другихъ авторовъ. Еще въ самомъ началѣ работы я могъ быть увѣреннымъ, что мнѣ не удается внести что-нибудь новое въ ту область, въ которой какъ разъ въ послѣдніе годы подвизались такіе компетентные ученые, какъ А. Martin и позже Menge, Ortmann, Landau, но все таки эта область, какъ мнѣ казалось, заслуживала новой обработки. Я хотѣлъ провѣрить собственнымъ опытомъ тѣ данныя, которыя уже были извѣстны, и подѣлиться съ читателемъ результатами этой провѣрки.
Всѣ болѣзненные процессы, протекающіе въ трубахъ, очень: удобно распадаются на 2 общепринятыя основныя группы: Salpingitis catarrhalis и Salpingitis purulentа. Первую Martin 2) раздѣляетъ на острую (Endosalpingitis) и хроническую (Myosalpingitis или Salpingitis interstitialis), при чемъ какъ послѣдовательное состояніе въ видѣ конечнаго результата можетъ явиться Sactosalpinx serosa haemorrhagica. Salpingitis puru- lenta также является въ острой и хронической формѣ, преимущественно въ формѣ септической и гонорройной. Послѣдовательнымъ состояніемъ для обѣихъ этихъ формъ является Sactosalpinx purulenta.
Простой катаральный сальпингитъ всегда локализируется- вначалѣ въ слизистой оболочкѣ, которая вслѣдствіе переполненія кровью и воспалительными продуктами значительно набухаетъ и выдѣляетъ вначалѣ скудный и безцвѣтный слизистый секретъ, а впослѣдствіи обильный и мутный. Отъ нормальнаго секрета слизистой оболочки трубъ этотъ секретъ отличается по наружному виду и по усиленному отдѣленію. Впрочемъ, вопросъ о томъ, обладаетъ ли нормальная слизистая оболочка трубы способностью отдѣлять жидкость, рѣшался какъ въ положительномъ, такъ и въ отрицательномъ смыслѣ и долженъ вообще оставаться открытымъ.
Хотя, вопреки мнѣнію прежнихъ авторовъ (Hennig) 3) въ настоящее время доказано, что въ слизистой оболочкѣ трубъ вовсе нѣтъ желѣзъ. Поповъ 4) однако, на животныхъ Frommel5) и Kehrer 6) доказали, что эпителій трубы обладаетъ секреторной способностью и отдѣляетъ протоплазматическую жидкость. Точно также и Landau 7) который тоже опытнымъ путемъ подходилъ къ этому вопросу, склоняется,—больше, впрочемъ, опираясь на клиническія наблюденія—къ тому, что труба, какъ всякій органъ, выстланный слизистой оболочкой, нормально выдѣляетъ извѣстное количество жидкости, при чемъ эпителіальныя клѣтки разбухаютъ, разжижаются и даютъ слизь. Въ противоположность этому Wendeten 8) внѣ менструальнаго періода никогда не могъ найти въ трубѣ секрета. Онъ полагаетъ, что жидкости отдѣляется столько, сколько нужно для того, чтобы поддерживать слизистую оболочку во влажномъ состояніи, и что эта оболочка нормально покрыта капиллярнымъ слоемъ жидкости, подобно плеврѣ и брюшинѣ. Какъ бы то ни было, дѣло совершенно мѣняется, когда въ въ слизистой оболочкѣ развивается патологическій процессъ.
Секретъ, выдѣляющійся при катарральной формѣ сальпингита и состоящій изъ отторгающихся перерожденныхъ клѣтокъ эпилія, бѣлыхъ и красныхъ кровяныхъ шариковъ, является слѣдствіемъ воспалительнаго процесса въ заболѣвшей слизистой оболочкѣ трубы. Если восполительный процессъ затягивается, то онъ переходитъ на стѣнки яйцевода, вслѣдствіе чего послѣдній дѣлается болѣе извилистымъ, утолщается, твердѣетъ, превращаясь изъ мягкаго эластическаго органа въ плотную трубку, которая при увеличеніи содержимаго растягивается и значительно увеличивается въ объемѣ. Утолщеніе •стѣнокъ яйцевода зависитъ или отъ воспалительной инфильтраціи всѣхъ слоевъ трубы, или отъ гиперплазіи и гипертрофіи мышечныхъ элементовъ, которую Kaltenbach 9) считаетъ результатомъ усиленной дѣятельности трубы вслѣдствіе необходимости постоянно сокращаться и опорожнять свое содержимое. По той же причинѣ труба принимаетъ въ этомъ затяжномъ стадіи, при обиліи и застоѣ секрета, колбасовидную форму, извивается и раздѣляется на нѣсколько отдѣловъ тремя-четырьмя или еще большимъ количествомъ перетяжекъ
- Bandl 10). Абдоминальный конецъ трубы измѣняется при этомъ раньше всего; насыщенно краснаго пвѣта слизистая оболочка выдается здѣсь въ видѣ валика. Въ этомъ періодѣ процессъ рѣдко ограничивается одной трубой; чаще всего въ окружности являются воспалительные процессы, которые ведутъ къ полному закрытію трубы, если, только еще до того концы фимбрій не завернулись внутрь Martin 11 ) и не заклеили просвѣтъ трубы и безъ того съуженный вслѣдствіе набуханія и образованія клапанообразныхъ складокъ. Разъ устье трубъ стало непроходимо вслѣдствіе мѣстнаго перитонита или заращенія слизистой оболочки, то, при продолжающемся существованіи катарральнаго сальпингита, въ стѣнкѣ трубы образуются ограниченныя мѣшковидныя выпячиванія,, со спиральными втягиваніями на протяженіи трубы, что носитъ названіе Hydrosalpinx или Sactosalpinx serosa.
При Salpingitis purulenta, являющемся напр. при гонор- ройномъ и септическомъ зараженіи, наступаютъ гораздо болѣе- глубокія измѣненія. Труба, уже и въ остромъ стадіи набухшая, утолщенная и наполненная гноемъ, со слизистой оболочкой сочной, переполненной кровью, превращается при затяженіи процесса въ толстое колбасовидное, извилистое образованіе- со многими перетяжками и часто неподатливыми стѣнками. Воспаленіе переходитъ со слизистой оболочки на стѣнку яйцевода, а вскорѣ и на окружность; является Perisalpingitis,, является гнойное воспаленіе сосѣдняго яичника и склеиваніе съ сосѣдними органами. Если вслѣдствіе набуханія слизистой оболочки срощенія фимбрій съ брюшиной (Martin) 12) или воспалительныхъ процессовъ въ окружности закрылся просвѣтъ трубы, то секретъ застаивается, все болѣе и болѣе растягиваетъ трубу и даетъ наконецъ то, что называется Sactosalpinx purulenta или Pyosalpinx.
Переходъ отъ колбасовидно растянутой и наполненной гноемъ трубы къ гнойной полости такъ незамѣтенъ, что рѣзкой границы между ними провести нельзя. Гнойныя полости размѣрами отъ куринаго до гусинаго яйца и больше, называемыя также ретенціонными кистами, располагаются обыкновенно у наружнаго конца яйцевода и оттуда уже прокладываютъ себѣ дорогу ближе къ внутреннему концу его. Гнойныя полости одно или многокамерны; въ послѣднемъ случаѣ онѣ напоминаютъ яйцеводы въ зародышевомъ ихъ состояніи. На это обстоятельство обратилъ особенное вниманіе Freund 13), занимавшійся долгое время изученіемъ развитія трубъ во время зародышевой жизни, у новорожденной дѣвочки и далѣе до періода окончанія роста тѣла. Онъ ставитъ происхожденіе нѣкоторыхъ заболѣваній трубъ въ извѣстную зависимость отъ нормальныхъ процессовъ, протекающихъ въ зародышевой жизни. На основаніи, своихъ изслѣдованій онъ утверждаетъ, что мѣшковидныя выпячиванія со впячиваніями образуются только на тѣхъ трубахъ, которыя въ отношеніи формы своей становились на зародышевой или дѣтской ступени развитія. Спиральный поворотъ трубы вокругъ продольной оси, существующій какъ правило въ первой фазѣ развитія, можетъ сохранить типъ зародышаваго состоянія и, благодаря этому, можетъ, по Freund'у предрасполагать къ извѣстнымъ патологическимъ состояніямъ. Къ мнѣнію Freund'а присоединяется въ своемъ руководствѣ и Славянскій 14).
Стѣнка гнойнаго мѣшка значительной толщины: 1 сантиметръ и болѣе, рѣже она бываетъ истончена вслѣдствіе высокаго давленія, существующаго въ гнойной полости.
Образованіе такого гнойника является такимъ образомъ слѣдствіемъ сильнаго воспалительнаго процесса при полномъ закрытіи входа и выхода трубы и накопленія въ ней гнойнаго секрета. Были попытки вызвать эти явленія экспериментальнымъ путемъ. М. Воскресенскій 15) перевязывалъ трубы кроликамъ, морскимъ свинкамъ и поросятамъ (15 опытовъ) и нашелъ, что лигатура, наложенная на orif. tubae uterinum не даетъ никакихъ измѣненій, перевязка же абдоминальнаго конца трубы или обоихъ концовъ ея даетъ Sactosalpinx serosa чрезъ 4—6 недѣль. Landau 16) получилъ не столь постоянные результаты. Послѣ перевязки обоихъ концовъ трубы онъ то получалъ скопленіе жидкости, то нѣтъ.
Всѣмъ этимъ разнообразнымъ макроскопическимъ измѣненіямъ соотвѣтствуетъ и разнообразіе въ получаемыхъ микроскопическихъ картинахъ. Микроскопическіе процессы, протекающіе въ патологически измѣненной трубѣ, составляютъ предметъ моихъ изслѣдованій, къ описанію которыхъ я и приступаю.
Матеріалъ взятъ отъ 10 больныхъ, оперированныхъ въ Петропавловской больницѣ въ 1896—97 г. д-ромъ Доббертомъ, любезно передавшимъ мнѣ этотъ матеріалъ для микроскопическаго изслѣдованія. Часть исторій болѣзней, описана самимъ д-ромъ Доббертомъ 17). Для полноты я здѣсь приведу вкратцѣ эти 10 исторій болѣзней.
- М. М. скорбный листъ № 6828 1896 года, 34 лѣтъ; жалуется на боли внизу живота, особенно справа, тошноту и рвоту stat. praesens: вздутый животъ, боль въ reg. ileo-coecalis, гдѣ прощупывается довольно рѣзко ограниченная, величиною въ кулакъ опухоль. Въ лѣвой reg. inguinalis также имѣется повышеніе ре- зистенціи. portio vaginalis стоитъ высоко, матка прижата къ симфизу, своды не выпячены. Какъ справа, такъ и слѣва сзади кончикъ изслѣдующаго пальца достигаетъ нижняго полюса вышеуказанныхъ опухолей, исходной точкой которыхъ служатъ придатки матки. Утромъ субфебрильная температура, вечеромъ до 39,0. Salpingoophorectomia bilat. Тампонація брюшной полости t° въ первый вечеръ 39,1 затѣмъ паденіе до нормы, на 3—6 день вечернія повышенія до 38,2, затѣмъ норма. Кишечный свищъ. Выздоровленіе черезъ 31/2 мѣсяца.
Препаратъ: Лѣвая труба толщиною въ палецъ, стѣнка толста; правая еще толще, изогнута въ видѣ крючка, на поверхности имѣетъ много ложныхъ перепонокъ ближе къ концу просвѣтъ становится мѣшковиднымъ, стѣнка со всѣхъ сторонъ утолщается. Sactosalpinx срощенъ съ яичникомъ, пронизаннымъ маленькими абсцессами.
- В. Ч. скорбный листъ № 6672 1896 года, 24 лѣтъ; puella publica. 7 лѣтъ назадъ выкидышъ. Регулы 3—7 дней съ болями. Сильныя бѣли. Лѣчилась раньше въ другой больницѣ отъ Gonorrhoea и Lues. Боли внизу живота, частые позывы на мочеиспусканіе. praesens. Portio нормальна, матка въ антефлексіи, слѣва соотвѣтственно лѣвымъ придаткамъ нѣсколько болѣзненная опухоль величиною въ куриное яйцо. Справа твердоватая, мало чувствительная опухоль величиною въ гусиное яйцо, прилегающая непосредственно къ маткѣ и неясно отъ нея отдѣляющаяся, t° нормальна. Coeliotomia abdominalis. Удаленіе придатковъ съ обѣихъ сторонъ. Тампонада брюшной полости, на 7-й день послѣ операціи повышеніе t° до 38,4, державшееся 6 дней. Каловой свищъ. Выздоровленіе.
Препаратъ. Правые придатки съ сильными сращеніями, правый яичникъ величиною съ куриное яйцо, внутри абсцессъ, правая труба срощена съ яичникомъ, у маточнаго конца сильно утолщена, у абдоминальнаго конца представляетъ гнойную полость со стѣнками разной толщины. Слѣва абсцессъ яичника, и труба расширенная, съ утолщенными стѣнками и припухшей слизистой оболочкой.
- М. В. скорбный листъ № 7443 1896 г. 23 лѣтъ, 1 разъ родила 2 года тому назадъ. Регулы обильны, съ болями, въ теченіи двухъ лѣтъ боли въ крестцѣ и въ лѣвой паховой области, тошнота, отсутствіе аппетита. Status praes. Portio vag. цилиндрической формы, матка увеличена, тверда, подвижна, стоитъ низко. Влѣво отъ матки болѣзненная опухоль, больше куринаго яйца, легко отдѣляемая отъ матки. Кровотеченіе, t° нормальна. Coeliotomia vaginalis posterior, удаленіе придатковъ съ обѣихъ сторонъ, тампонація рацы въ заднемь сводѣ, t° 37,0°—37,7°, однажды на 8-й день 38,0. Выздоровленіе.
Препаратъ. Лѣвая труба толщиною въ большой палецъ, у абдоминальнаго конца даже еще толще, на наружной поверхности много плоскихъ тяжей. Правая труба менѣе утолщена, съ обѣихъ сторонъ кистовидное перерожденіе яичниковъ.
- А. Ф. скорбный листъ № 250 1897 г. 33 лѣтъ, родила 2 мѣсяца назадъ, на 5-й день послѣ родовъ потрясающій ознобъ, съ этого момента все время больна. Жалобы на боли внизу живота слѣва stat, praes. Умѣренное питаніе. Старый разрывъ промежности. Матка въ антефлексіи, смѣщена вправо, благодаря присутствію въ лѣвой нижней части живота опухоли величиною въ дѣтскую головку, нерѣзко ограниченной, мѣстами флюктуирующей и мало подвижной. Своды не выпячены. Пробнымъ проколомъ чрезъ брюшныя стѣнки извлеченъ гной. Субфебрильная t°. Операція. Въ лѣвой паховой области вскрывается гнойникъ, находящійся въ брюшныхъ стѣнкахъ. Послѣ полнаго разрѣза инфильтрированныхъ брюшныхъ покрововъ вскрытъ былъ второй гнойникъ, въ который открывался абдоминальный конецъ расширенной трубы. Труба экстирпирована, вскрытъ абсцессъ яичника. Тампонація. Безлихорадочное теченіе. Выздоровленіе.
Препаратъ. Утолщенная труба расширяющаяся по направленію къ абдоминальному концу.
- Е. П. скорби, листъ № 533, 1897 г. 45 л. 18 лѣтъ отъ роду, 1 разъ родила, 2 года тому назадъ лежала въ Петропавловской больницѣ изъ-за болей въ нижней части живота. Теперь боли премуіцественно въ правой нижней части живота, въ крестцѣ, жженіе при мочеиспусканіи. praesens. Матка въ антефлексіи, увеличена, тверда; справа плотно-эластическая, мало подвижная опухоль, величиною въ гусиное яйцо. Въ заднемъ сводѣ небольшой, чувствительный инфильтратъ. t° повышена до 39,0. Coeliotomia abdominalis, удаленіе обѣихъ трубъ и праваго яичника, тампонація брюшной полости. Послѣ операціи t° ни разу не превышала 37,4. Выздоровленіе.
Препараты. Лѣвая труба утолщена, у абдоминальнаго конца сильно расширена и съ одной стороны мѣшковидно выпячена, очень тонка, наполнена, прозрачной, водянистой жидкостью (Hydrosalpinx). Правая труба также сильно утолщена, просвѣтъ ближе ьъ маточному концу почти нормаленъ, средняя часть и абдоминальный конецъ мѣшковидно растянуты, стѣнки мѣшка утолщены около 1 сант., слизистая оболочка набухла.
- Р. скорби, листъ № 569 1897 г. 25 лѣтъ. Не рожала. Боли въ паховой области, лихорадка, головныя боли, боли при мочеиспусканіи. Регулы правильны. Stat. praes. Матка увеличена, въ ретрофлексіи, не приподнимается, чувствительна. Vagian septa. Uterus didelphys, съ обѣихъ сторонъ прощупываются утолщенныя трубы, особенно слѣва. По временамъ потрясающій ознобъ. Salpingo-oophorectomies dextres et Salpingotomia sin. Ventrofixatio. Безлихорадочное теченіе. Выздоровленіе.
Препаратъ: правая труба толщиною въ палецъ, ближе къ брюшинному концу спирально извита, слизистая оболочка сильно припухла. Такія же измѣненія имѣются и на лѣвой трубѣ.
- А. И. скорби, л. № 1106 1897 г. 19 лѣтъ. Имѣла преждевременные роды; а 6 мѣс. тому назадъ вторые роды въ срокъ, послѣ которыхъ появились боли въ правой нижней части живота, державшіеся вплоть до поступленія въ больницу. praesens. Матка въ антефлексіи, подвижна; справа и сзади опухоль величиною въ гусиное яйцо и надъ послѣднею расширенная, подвижная труба. Лѣвая труба утолщена и смѣщена влѣво кзади. Coeliotomia abdom., удаленіе всѣхъ придатковъ кромѣ праваго яичника. t° въ первые дни 37.4,—38,0, затѣмъ нормальнымъ образомъ выздоровленіе.
Препар. Обѣ трубы колбасовидны, извилисты, и изъ нихъ лѣвая настолько, что поперечный разрѣзъ дважды встрѣчаетъ просвѣтъ. Средина и абдоминальный конецъ лѣвой трубы мѣшковидно выпячены, стѣнка толщиною въ 1 сант. Правая труба толщиною въ палецъ, просвѣтъ представляется повсюду расширеннымъ, слизистая оболочка припухшей.
- Е. Г. скорби, л. № 1361 1897 г. 24 л. Однажды рожала 5 лѣтъ тому назадъ, за послѣдніе 4 мѣс. боли внизу живота, бѣли; мѣсячныя неправильны, чаще обильны. praes. Portio vaginalis увеличена, плотна, матка также велика и тверда, чувствительна къ давленію, въ антефлексіи. Справа, больше кзади, въ Douglas’ѣ чувствительная, утолщенная труба, съ которой сращенъ яичникъ, по всѣмъ видимостямъ кистовидно перерожденный. Лѣвый яйцеводъ идетъ сначала влѣво, а затѣмъ, извиваясь, назадъ. Лѣвый яичникъ увеличенъ. Лихорадки нѣтъ. Coeliotomia abdominalis, удаленіе обѣихъ трубъ и лѣваго яичника. Безлихорадочное теченіе. Выздоровленіе.
Препар. Прав, труба толщиною въ палецъ, сильно извита, такъ Что на поперечномъ разрѣзѣ видно два просвѣта, брюшинный конецъ ея закрытъ и сама труба у этого послѣдняго мѣшковидно расширена. Маточный конецъ объемистъ; стѣнка здѣсь утолщена, просвѣтъ представляется на разрѣзѣ увеличеннымъ, слизистая оболочка сильно набухшей. Лѣвая труба менѣе утолщена, даетъ у абдоминальнаго конца мѣшковидное расширеніе.
- А. И. скорби, л. № 2303 1897 г. 32 л. 6 разъ рожала, много разъ лежала въ больницѣ. Регулы неправильны, по временамъ чрезвычайно обильны, въ послѣдніе 5 мѣсяцевъ боли въ нижней части живота. praesens. Матка увеличена, чувствительна, лѣвая труба ясно прощупывается, яичникъ слегка увеличенъ. Справа то же самое. Лихорадка съ потрясающими ознобами. Сое- liotomia abdominaïls. Удаленіе придатковъ на правой сторонѣ. Въ первые дни температура субфебрильная 37,5—38,0, затѣмъ вплоть до выздоровленія нормальная.
Препаратъ. Труба толщиною въ большой палецъ, загнута въ видѣ крючка, склеена съ яичникомъ, у абдоминальнаго конца расширена; стѣнка здѣсь толщиною въ 1 см.
- А. Ф. скорби, л. № 2375, 1897, больной 23 года; ни разу не рожала; бѣли, кровотеченія, praesens: матка въ антефлек- сіи, справа отъ нея опухоль величиною въ кулакъ, слѣва нѣсколько меньшая опухоль, t° то нормальна, то повышается до 38,4. Coeliotomia abdominalis. Удаленіе придатковъ съ обѣихъ сторонъ. Тампонація чрезъ вскрытый задній сводъ. Безлихорадочное теченіе. Выздоровленіе.
Препаратъ. Правая труба извилиста, толщиною въ палецъ; просвѣтъ сильно расширяется по направленію къ абдоминальному концу, стѣнка толщиною въ 1 сайт. Лѣвая труба представляетъ тѣ же измѣненія, только въ меньшей степени.
Изъ каждой трубы вырѣзывалось по три куска, первый у абдоминальнаго конца, второй изъ средины, третій у маточнаго конца. Всѣ вырѣзанные куски обычнымъ путемъ уплотнялись. Срѣзы окрашивались въ пикро-литіо-карминѣ и гематоксилинѣ.
При просматриваніи препаратовъ не наблюдалось большого разнообразія въ микроскопическихъ картинахъ. Описаніе каждаго препарата въ отдѣльности завлекло бы насъ слишкомъ далеко и не обошлось бы безъ повтореній. Orthmann 18) и Михновъ 19) изучали на цѣломъ рядѣ препаратовъ патологоанатомическія измѣненія въ придаткахъ и и при описаніи результатовъ работы привели подробное описаніе каждаго препарата въ отдѣльности. Но намъ казалось болѣе цѣлесообразнымъ суммировать отдѣльныя наблюденія и затѣмъ уже классифицировать ихъ по отдѣльнымъ патолого-анатомическимъ картинамъ. При этомъ нужно замѣтить, что рѣзкой границы между различными формами интересующаго здѣсь насъ заболѣванія, т. е. Salpingitis purul. и Sactosalpinx purulenta, не существуетъ. Обыкновенно переходъ отъ одной формы къ другой такъ незамѣтенъ, что часто по микроскопической картинѣ нельзя рѣшить, на что указываетъ препаратъ, на Salpingitis ли purul. или на Pyosalpinx въ начальномъ стадіи.
Кромѣ того на одной и той-же трубѣ, на различныхъ мѣстахъ ея, наблюдаются неодинаковыя микро-и макроскопическія измѣненія въ зависимости отъ неравномѣрнаго распредѣленія воспалительнаго процесса напр. абдоминальный конецъ даетъ картину ограниченной Sactosalpinx purulenta, ближе къ срединѣ трубы получается уже картина Salpingitis cat. или purul., у маточнаго же конца трубы имѣются самыя ничтожныя измѣненія. Далѣе мнѣ не разъ приходилось наблюдать, что на одной сторонѣ тѣла труба представляетъ болѣе позднія, сильнѣе выраженныя измѣненія, чѣмъ на другой.
Приступая къ схематическому описанію препаратовъ, я имѣю въ виду классифицировать микроскопическія измѣненія въ тканяхъ, повторяющіяся при одной и той же формѣ заболѣванія, сохраняя за ними названія соотвѣтствующія патолого-анатомическому процессу. Всѣ мои случаи имѣли хроническое теченіе. Какъ видно, изъ приведенныхъ исторій болѣзни, заболѣванія трубъ большею частью двухсторонни, но не въ одинаковой степени выражены на обѣихъ сторонахъ. Подавляющее большинство моихъ препаратовъ соотвѣтствуетъ картинѣ Salpingitis pur. и Pyosalpinx; нѣсколько препаратовъ даютъ картины, соотвѣтствующія Salpingitis catarrlialis и одинъ—картину Hydrosalpinx.
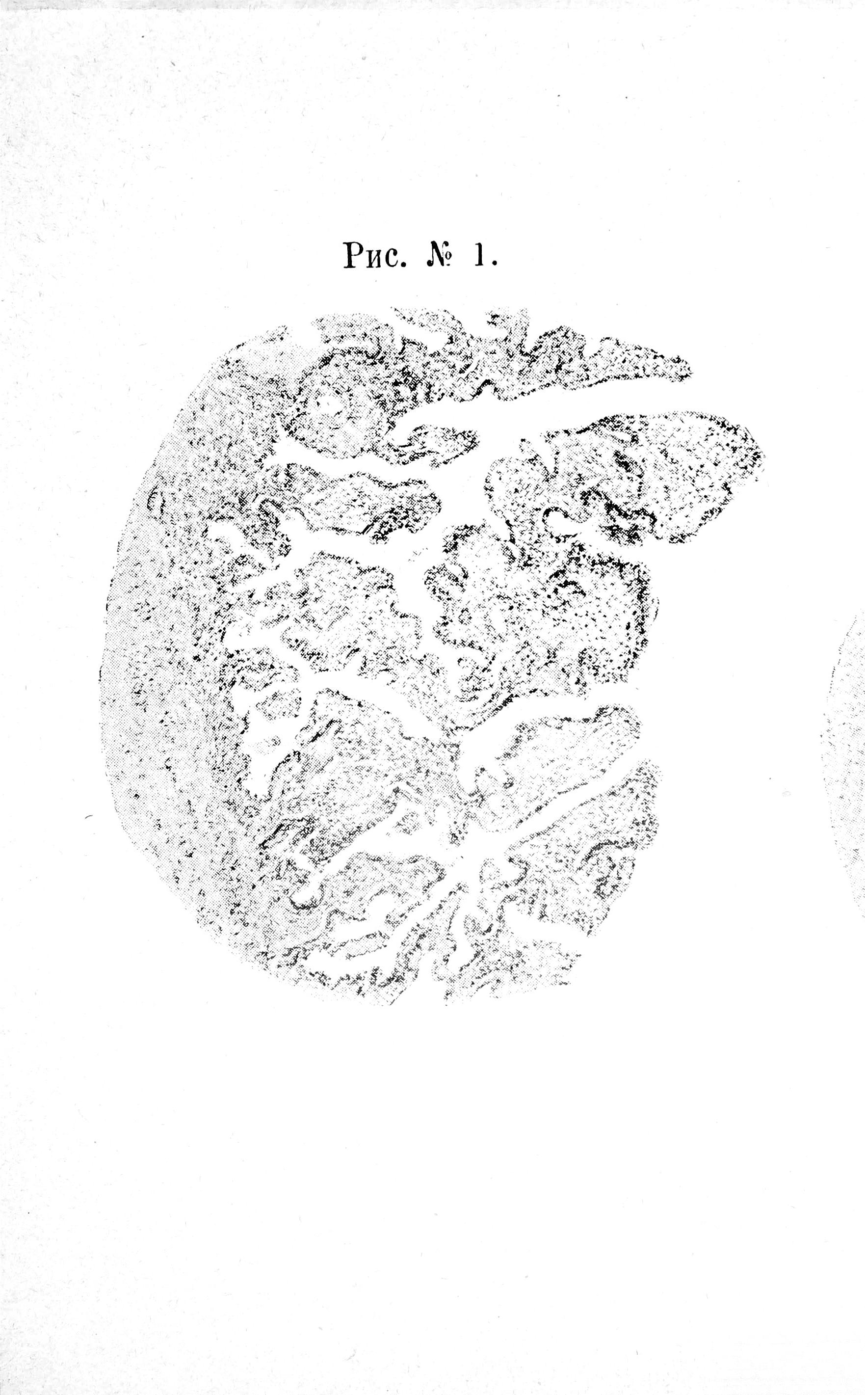
При гнойномъ сальпингитѣ (см. рис. № 1) слизистая оболочка уже при первомъ взглядѣ представляетъ совершенно иную картину, чѣмъ нормальная. Набуханіе слизистой оболочки проявляется на препаратѣ гипертрофіей и гиперплазіей ворсинокъ, теряющихъ свои красивыя очертанія и превращающихся въ неуклюжія, сросшіяся между собою, древовидно розвѣтвленныя, сидящія на широкомъ основаніи колбы или спиральныя формы разной высоты. Складки слизистой оболочки серозно пропитаны и сильно инфильтророваны мелкими клѣтками. Мерцательный эпителій, нормально покрывающій ворсинки, исчезаетъ на выдающихся мѣстахъ и сохраняется лишь въ глубокихъ карманахъ и пазухахъ слизистой оболочки, но и здѣсь уплощается, дѣлается низкимъ, разбухаетъ и теряетъ рѣснички. Границы клѣтокъ неясны; ядро, лежащее ближе къ основанію, кругловато или овально. Верхушка ворсинки нерѣдко подвергается некрозу. Если процессъ продолжается дольше и достигаетъ значительной степени, то отъ складокъ остаются только небольшія возвышенія мало выступающія надъ уровнемъ слизистой оболочки, которая представляетъ неровную поверхность съ сильной мелко-клѣточко- вой инфильтраціей, продолжающейся непосредственно въ подслизистый слой. Въ гусляхъ и пространствахъ между ворсинками, отлагаются, крупные и мелкіе лейкоциты, отторженный и перерожденный эпителій разной формы и фибринъ. Внутри самыхъ ворсинокъ видны продолговатыя или круглыя полости, выстланныя хорошо сохранившимся цилиндрическимъ эпителіемъ и окруженные тонкими соединительно-тканными пучками; на поперечномъ разрѣзѣ онѣ имѣютъ видъ железъ или альвеолъ Martin) 20). Клѣточки здѣсь, благодаря ихъ защищенному положенію, сохраняютъ еще вполнѣ свой нормальный цилиндрическій видъ, когда покровный эпителій слизистой оболочки давно исчезъ. Полости эти образуются вслѣдствіе сращенія между собою складокъ слизистой оболочки (Martin) 21 ) и при накопленіи секрета могутъ, какъ это видно на моихъ двухъ препаратахъ растягиваться до степени небольшихъ кистъ, выстланныхъ уплощеннымъ эпителіемъ. Если такихъ кистъ много, то получается то, что называется Salpingitis pseudofollicularis (Martin). Количество кровеносныхъ сосудовъ, наблюдающихся въ слизистой оболочкѣ, подвержено колебаніямъ: на разрѣзѣ то получается обильная сѣть капилляровъ, въ особенности ближе къ подслизистой ткани, и извѣстное количество сосудовъ нѣсколько большаго калибра съ зіяющимъ просвѣтомъ, то наоборотъ бросается въ глаза малочисленность сосудовъ.
Стѣнка трубы, какъ уже упомянуто, является значительно утолщенной. Роль строительнаго матеріала при этомъ выпадаетъ главнымъ образомъ на долю соединительной ткани; правда, въ началѣ процесса извѣстную роль играетъ и гипертрофія мышечнаго слоя, но вскорѣ гиперплазическіе процессы въ соединительной ткани получаютъ перевѣсъ; пучки соединительной ткани пронизываютъ мышечный слой, а мѣстами вытѣсняютъ и замѣщаютъ послѣдній. На нѣкоторыхъ препаратахъ, рядомъ съ рѣзкимъ разращеніемъ соединительной ткани, можно еще видѣть хорошо развитой слой круговыхъ и продольныхъ мышцъ, но въ большинствѣ случаевъ преобладаетъ соединительная ткань. Соединительно-тканныя клѣтки кругловаты или веретенообразны. Лейкоциты или собираются въ кучки, или распредѣлены равномѣрно, преимущественно въ окружности сосудовъ. Стѣнки сосудовъ часто утолщены, мышечный слой также пронизанъ круглыми клѣтками, на intima— размноженіе эндотелія, какъ это особенно ясно на одномъ изъ моихъ препаратовъ. Не рѣдко въ стѣнкахъ видны геморрагіи.
Такова въ краткихъ чертахъ картина гнойнаго сальпингита, какъ она представляется при осмотрѣ моихъ препаратовъ. Едва ли нужно упоминать, что вышеописанныя измѣненія выражены то очень рѣзко, то очень слабо. Понятно также изъ предыдущаго, что переходѣ въ слѣдующую описываемую нами форму, Pyosalpinx, совершается постепенно, такъ что часто приходится задумываться, соотвѣтствуетъ ли данная микроскопическая картина гнойному сальпингиту или начинающейся Sactosalpinx purul. Отличіе здѣсь чисто количественное. (Gusserozv) 22) я долженъ сознаться, что и я часто находился въ сомнѣніи принадлежитъ ли тотъ или другой препаратъ къ одной или къ другой формѣ.
При типической Pyosalpinx слизистая оболочка подвергается еще болѣе глубокимъ измѣненіямъ, чѣмъ при гнойномъ воспаленіи яйцевода. Правда тамъ и сямъ видны еще остатки переплетающихся, развѣтвленныхъ и сросшихся между собою складокъ слизистой оболочки, нѣкоторыя изъ нихъ выдаются значительно надъ поверхностью въ видѣ ворсинъ, напоминающихъ дождевого червя, лишенныхъ эпителіальнаго покрова и глубоко вдающихся въ просвѣтъ мѣшка, но при продолжительномъ существованіи расширенія и повышеннаго давленія ворсины эти разрушаются. На нѣкоторыхъ препаратахъ видны еще остатки этихъ ворсинъ въ видѣ возвышеній, пронизанныхъ круглыми клѣтками и не имѣющихъ ничего общаго со слизистою оболочкою. Если процессъ идетъ дальше, то stratum mucosum почти исчезаетъ, поверхность дѣлается зубчатой, какъ бы изъѣденной и превращается въ грануляціонную ткань (см. рис.). Мелко-клѣточковая инфильтрація, начинаясь на слизистой оболочкѣ продолжается по всей толщѣ стѣнки. Сосуды имѣются въ скудномъ количествѣ и окружены кучками круглыхъ клѣтокъ.
Стѣнка Sactosalpinx purul. въ моихъ случаяхъ является поразительно утолщенной: истонченія стѣнокъ я вовсе не наблюдалъ. Здѣсь можно видѣть значительное разращеніе соединительной ткани, начинающееся отъ межмышечныхъ волоконъ и постепенно приводящее мышечныя волокна къ гибели. Ги- перплазируется также и эластическая ткань, нормально всегда имѣющаяся въ стѣнкѣ трубы. Расположеніе эластической ткани въ стѣнкахъ трубы изучалъ въ послѣднее время А. Buchstab 23). Онъ нашелъ, что до конца перваго года жизни эластическія волокна можно найти только въ брюшинной оболочкѣ трубы и въ подбрюшинномъ слоѣ, дальнѣйшее развитіе и распространеніе эластической ткани, идетъ рука объ руку съ возрастомъ. Эта эластическая ткань, пронизывающая къ періоду половой зрѣлости женщины всѣ слои трубы отъ слизистой до брюшинной оболочки, играетъ видную роль при образованіи Sactosalpinx purulenta; она значительно прибываетъ; переплетающіяся волокна ея окутываютъ, какъ паутина, мышечныя волокна и рано или поздно приводятъ ихъ къ гибели. Иногда сплетеніе представляется разрыхленнымъ и разорваннымъ благодаря маленькимъ мѣстнымъ кровоизліяніямъ. Ткань то бѣдна клѣтками, то богата круглыми и веретенообразными элементами. Число кровеносныхъ сосудовъ также подвержено значительнымъ колебаніямъ. Само собою разумѣется, что при такихъ патологическихъ измѣненіяхъ не можетъ быть и рѣчи о брюшинной оболочкѣ.
Такъ какъ среди моихъ препаратовъ попадаются и образчики простого катарральнаго сальпингита, то я позволяю себѣ въ видѣ прибавленія, сказать нѣсколько словъ и объ этихъ послѣднихъ.
Складки слизистой оболочки при Salpingitis catarrhalis являются гипертрофированными, набухшими, съ большей или меньшей клѣточной инфильтраціей, сростаются между собою и обнаруживаютъ вышеописанную вѣтвистость, но менѣе рѣзко выраженную. Ворсинки иногда сильно утолщаются и колбообразно вздуваются, (см. рис. №3). На верхушкахъ складокъ эпителія пѣтъ, въ заворотахъ и карманахъ онъ остается въ цѣлости. Мышечный слой сильно развитъ соединительно тканные элементы отступаютъ на второй планъ. Болѣе или менѣе ясно выраженная мелко-клѣточковая инфильтрація въ видѣ кучекъ или полосъ.
Остается еще упомянуть о явленіи, которое встрѣтилось мнѣ только одинъ разъ на препаратѣ, представлявшемъ въ общемъ картину катарральнаго сальпингита, и которое я, по исключительности его, не могу себѣ окончательно выяснить.
Мѣстами, гдѣ эпителій ворсинокъ еще сохранился, эпителіальный покровъ прерывается большими кругловатыми пузырчатыми, довольно рѣзко очерченными образованіями, выдающимся надъ уровнемъ эпителіальнаго слоя. Внутри этихъ образованій, въ пространствѣ, окруженномъ свѣтлымъ поясомъ, находятся или неясно очерченныя блѣдныя разбухшія склеившіяся между собою клѣтки, очевидно подвергающіяся перерожденію, или въ большомъ количествѣ туго набитыя сильно окрашенныя клѣточныя ядра. Такого рода образованія находятся какъ въ поверхностномъ эпителіи, при сохранности его, такъ и въ углубленіяхъ между ворсинками и представляютъ по всѣмъ видимостямъ дегенеративное явленіе.
Переходя къ описанію этіологическихъ моментовъ, нужно сказать, что если не исключительно, то въ подавляющемъ большинствѣ всѣхъ случаевъ вышеописанные процессы вызываются или послѣродовымъ зараженіемъ или гонорреей.
Я предполагалъ сначала подвергнуть свой матеріалъ систематическому изслѣдованію на присутствіе микроорганизмовъ, но попытка моя осталась безрезультатной, вѣроятно, въ виду трудностей техники окрашиванія микроорганизмовъ въ тканяхъ. Поэтому я здѣсь могу сослаться только на изслѣдованія другихъ авторовъ.
Рис. № 1
Рис. № 2
Рис. № 3
На затрудненія въ отыскиваніи бактерій въ ткани яйцевода жаловались всѣ авторы, занимавшіеся этимъ вопросомъ. Изслѣдуя въ 1891 г., воспалительный продуктъ въ 26 случаяхъ гнойныхъ заболѣваній трубъ, Menge24) нашелъ въ нихъ микроорганизмы 8 разъ (3 раза гонококки, два раза Streptococcus pyogenes, и по одному разу Staphylococcus pyogenes albus, диплококкъ и палочку непатогеннаго характера), но ни разу не могъ найти бактерій въ стѣнкахъ трубы. Указавъ на трудности окрашиванія микроорганизмовъ въ тканяхъ, Menge оставляетъ открытымъ вопросъ о томъ, зависитъ ли отрицательный результатъ отъ этихъ трудностей или же отъ отсутствія микроорганизмовъ въ стѣнкахъ; послѣднее повидимому имѣетъ мѣсто въ застарѣломъ Pyosalpinx. Orthmann 25) указываетъ на возможность того, что бактеріи находятся въ ткани въ особыхъ условіяхъ, не поддающихся нынѣ извѣстнымъ (1887) методамъ окраски и культивираванія. Гораздо меньше трудностей представляетъ отыскиваніе бактерій въ гною трубъ, хотя и здѣсь получаются нерѣдко отрицательные результаты Westermark'y 26) первому удалось найти гонококки въ гною трубъ, за нимъ вскорѣ послѣдовалъ и Orthmann 27). Вскорѣ число бактеріологическихъ изслѣдованій гноя возрасло, но дало очень противорѣчивые результаты: часть авторовъ при культурахъ и прививкѣ получали лишь отрицательные результаты и объясняютъ послѣдніе тѣмъ, что микроорганизмы, если они и имѣлись первоначально въ гною, то впослѣдствіи погибли подъ вліяніемъ собственныхъ продуктовъ обратнаго метаморфоза (Славянскій 28), и Fritsch 29).
Объ отрицательныхъ результатахъ сообщаютъ между прочимъ Orthmann 30), von Rosiïtorn 31), Савиновъ 32), Сутугинъ 33), Schäffer 34), Gusserow 35) и др. Послѣдній изслѣдовалъ гной во многихъ случаяхъ Pyosalpinx на присутствіе гонококковъ, но всегда получилъ отрицательный результатъ. Въ противорѣчіи съ этими работами стоятъ результаты, полученные Menge и. Kronig'омъ 36) и. Wertheim'омъ 37). А. Menge, который въ этой области произвелъ найбольшее число изслѣдованій, имѣетъ также нѣсколько случаевъ, въ которыхъ онъ нашелъ гной стерильнымъ. Въ книгѣ своей, составляющей результатъ многолѣтнихъ работъ въ этой области и многократно уже нами цитировавшейся, Menge такъ резюмируетъ конечный вывода» изъ своихъ бактеріологическихъ изслѣдованій: «изъ 122 случаевъ Salpingitis purul.» микроорганизмы найдены только въ 47; въ 75 микроорганизмовъ не оказалось. Въ другомъ мѣстѣ Menge говоритъ: «содержимое и стѣнки гнойныхъ трубъ въ большинствѣ случаевъ стерильны, чаще всего (25%) этіологическимъ моментомъ Salpingitis pnrul. является Gonococcus Neisser'i, открываемый въ содержимомъ трубъ. Wertheim 38), который первымъ вступилъ на экспериментальный путь прививокъ и культуръ, нашелъ при бактеріологическомъ изслѣдованіи 116 гнойныхъ трубъ въ 71 случаѣ отсутствіе микроорганизмовъ въ гною, въ 3 0 случаяхъ гонококки, въ 6 стрептококки и въ 4 неопредѣленныя бактеріи. Witte 39) въ 39 случаяхъ Pyosalpinx нашелъ гной стерильнымъ 15 разъ.
Изъ вышеизложеннаго явствуетъ, что трубный гной въ большинствѣ случаевъ стериленъ. Мы ограничимся простымъ перечисленіемъ авторовъ дальнѣйшихъ работъ, относящихся къ тому же вопросу: Martin 40), Frommel 4l), Döderlein 42), Prochownik 43).
Кромѣ гонококковъ, стафилококковъ и стрептококковъ найдены еще diplococcus Fränkel'я, кокки съ капсулами, бациллъ злокачественнаго отека, туберкулезный бациллъ, bac. cоlі commune, сапрофиты и лучистый грибокъ актиномикоза.
Не столь многочисленны свѣдѣнія о микроорганизмахъ въ стѣнкахъ трубы. Всѣ предшествующія работы приведены въ монографіи Menge и Krönig'а. Въ послѣднихъ своихъ изслѣдованіяхъ, произведенныхъ на свѣже вырѣзанныхъ трубахъ, Menge всегда подвергалъ изслѣдованію какъ гной такъ и самую стѣнку, причемъ примѣнялъ всевозможные методы культуръ, и кромѣ нѣсколькихъ неудачныхъ опытовъ, отмѣчаетъ и нѣсколько интересныхъ находокъ. О трудностяхъ изслѣдованія сказано было раньше. Wertheim 44) считаетъ непремѣннымъ условіемъ, что-бы разрѣзъ былъ такъ тонокъ, что-бы ядра не закрывали микроорганизмовъ. Кромѣ того, гонококки вообще встрѣчаются въ тканяхъ въ скудномъ количествѣ.
Въ заключеніе я хотѣлъ бы замѣтить, что изслѣдованіе гноя въ опухоляхъ придатковъ, которому въ прежнее время придавали чисто теоретическое значеніе, имѣетъ въ настоящее время и кое-какой практическій интересъ. Присутствіе или отсутствіе возбудителей воспаленія въ гною имѣетъ большое значеніе для исхода операцій, поэтому Wertheim 45) присоединяется къ требованію Schauta, что-бы во время лапаротоміи гной изъ воспалительныхъ опухолей придатковъ подвергался микроскопическому изслѣдованію и чтобы дальнѣйшая обработка раны находилась въ зависимости отъ результата этого изслѣдованія.
- А. Martin,— Die Krankheiten der Eileiter.
- Martin 1. с.
- Цитир. по JE. Orthmann'y. Virch. Arch. т. 108. вып. 1.
- Поповъ Arch. f. Gynaecol, т. XXXIV, вып. 2-й.
- Arch. f. Gynaecol. 1896. Verhandl. der J-ten Versamml. der deutsch. Gesellsch für. Gynaecol, in München.
- Цитировано по Landau. Arch für Gynaecol. XL.
- Landau. Arch, für Gynaecol. XL.
- Л. Martin. Krankheiten der Eileiter. Огдѣлъ: Physiologie der Eileiter, обработанный Wendeler'омъ.
- Centrlbl. f. Gynaecol. 1885 № 43.
- Handbuch der allgem. и spec. Chirurgie, redig. v. Pitha und Billroth. T. IV, отд. I.
- 1. cit.
- —1. cit.
- Freund.—Volkmanns klin. Vorträge. № 323, 1888.
- Славянскій.—Частная паталогія и терапія женскихъ бол., 1897, ч. II
- М. Воскресенскій. Журн. Акуш. и Женcк, бол. 1891, стр. 702.
- Landau 1. cit.
- Доббертъ Ѳ. Журн. Акуш. и Женек, бол. 1897 г.
- 1. cit.
- Михновъ. Дисс. Спб. 1889.
- Zeitschr. f. Geburtsh. и Gynaec. т. ХШ 1886.
- 1. cit.
- —Arch. f. Gynaec. 1885, т. XXXI [ вып. ] l.
- А. Buchstab.—Centrlbl.. für Gynaec. 1897, № 28.
- Zeitschrift f. Geb. n. Gynaec., 1891, томъ
- — 1. cit. стр. 194.
- — цитир. по Orthmann'у 1. cit.
- — Berl. klin. Woch., № 14, 1887.
- Славянскій — Журн. Акуш. и женск. бол., 1891 г., № 3.
- — Krankheiten der Frauen, 1896.
- —Virch. Arch. т. 108.
- von Rosthorn.— Klin. Wochenschr. 1891 № 13 и 14.
- Савиновъ.— für. Gyn. т. 34 вып. 2.
- Сутугинъ.—Врачъ 1886 № 17.
- Schäffer.-— цитир. по Menge и Krönig: Bakteriologie des weibl. Geni- taltractus. 1897 стр. 249.
- —1. cit.
- Menge u. Krönig.—Bactériologie des weiblichen Genitalcanals, я. II, обраб.
- Wertheim —Arch. f. Gynaecol, т. 42, вып. 1.
- —Volkmanns kl. Vortr. N. F. № 100.
- —Deutsche med. Woch. 1892 № 20. и Zeitschr. f. Geburtsh. и Gynaecol. XXV 1893.
- — Zeitschr. f. Geburtsh. u. Gyn. т. XXIV. Verhandl. der Ges. f. Geb. стр. 152.
- — Centrlbl. f. Gynaec. 1892 № 11.
- Döderlein.— f. Gynaéc. 1893 № 13.
- —Deutsche med. Woch. 1893 № 21.
- Wertheim'.—Wiener klin. Woch. 1890 № 25.
- —Volkmann’s klin. Vorträge N. F. № 100.
About the authors
L. K. Lingen
Author for correspondence.
Email: info@eco-vector.com
Russian Federation
References
Supplementary files








