Materials for the microscopic structure of the placenta
- Authors: Ulezko-Stroganova K.
- Issue: Vol 9, No 4 (1895)
- Pages: 297-335
- Section: Articles
- Submitted: 13.04.1895
- Accepted: 23.09.2020
- Published: 13.04.1895
- URL: https://journals.eco-vector.com/jowd/article/view/44900
- DOI: https://doi.org/10.17816/JOWD94297-335
- ID: 44900
Cite item
Full Text
Abstract
Two years ago, at the suggestion of prof. D.O. Ott, I started studying the emergence and development of decidual tissue during pregnancy, its degeneration in the postpartum state, as well as the subsequent restoration of the new mucous membrane of the uterus. Rabbits in different periods of pregnancy, a significant number of human abortions of various ages and several cases of extirpated pregnant uterus of a woman in the middle (5 months), at the end of pregnancy and in the postpartum state (14 days after birth) served as material.
Full Text
Года два тому назадъ, по предложенію проф. Д. О. Отта, я занялась изученіемъ возникновенія и развитія децидуальной ткани въ періодѣ беременности, дегенераціей ея въ послѣродовомъ состояніи, а также послѣдующимъ возстановленіемъ новой слизистой оболочки матки. Матеріаломъ служили кролики въ различные періоды беременности, значительное количество человѣческихъ абортовъ различнаго возраста и нѣсколько случаевъ экстирпированной беременной матки женщины въ срединѣ (V мѣс.), въ концѣ беременности и въ послѣродовомъ состояніи (14 дней послѣ родовъ).
Имѣя довольно богатый и разнообразный матеріалъ въ своемъ распоряженіи, я постепенно измѣнила своей первоначальной задачѣ, заинтересовавшись строеніемъ placent’ы, ея возникновеніемъ и послѣдующими измѣненіями въ теченіе беременности.
Знакомство съ литературой этого вопроса показало, сколько разнообразныхъ и подчасъ противорѣчивыхъ взглядовъ существуетъ въ этой области даже среди наиболѣе компетентныхъ и солидныхъ изслѣдователей. Вполнѣ сознавая поэтому всю сложность и трудность задачи и возможность ошибокъ, тѣмъ не менѣе я беру на себя смѣлость сообщить результаты своихъ изслѣдованій, такъ какъ рядъ убѣдительныхъ микроскопическихъ картинъ, а также сопоставленіе (гдѣ это возможно) препаратовъ человѣка и кроликовъ, представляющихъ болѣе доступный матеріалъ и болѣе простыя картины, чѣмъ человѣческая placenta, даютъ намъ достаточное основаніе для опредѣленныхъ выводовъ и заключеній.
Интересъ изслѣдователей сосредоточивается главнымъ образомъ на вопросѣ о способѣ прикрѣпленія яйца къ слизистой оболочкѣ матки и о возникновеніи межворсинчатаго пространства (Zottenraum), содержимое котораго служитъ главнымъ источникомъ для питанія и развитія плода.
Разсмотрю коротко мнѣнія, высказанныя въ этомъ направленіи различными авторами въ различное время.
Langhans первый, а за нимъ Кащенко и многіе другіе авторы даютъ обстоятельныя картины ворсинъ chorion’a.
Описываемый ранѣе покровъ ворсинокъ подъ общимъ именемъ chorionepithel, оказывается состоящимъ изъ двойнаго ряда различныхъ по своему наружному виду элементовъ. Глубокій слой, сидящій непосредственно на соединительно-тканной стромѣ ворсинъ, состоитъ изъ довольно крупныхъ, рѣзко ограниченныхъ, клѣтокъ. Langhans находилъ его особенно хорошо выраженнымъ въ первые мѣсяцы беременности. Этотъ слой сталъ называться, по имени впервые описавшаго его, клѣточнымъ слоемъ (Zellschicht) Langhans’а. Второй поверхностный, сидящій на немъ слой представляетъ однородную гомогенную массу съ ядрами. Глубокій клѣточный слой происходитъ изъ эктодерма (серознаго листка), поверхностный же материнскаго происхожденія—изъ преобразованнаго маточнаго и железистаго эпителія, что впрочемъ авторъ не считаетъ еще вполнѣ доказаннымъ. Въ другихъ работахъ онъ говоритъ, что ворсины не вторгаются ни въ железы, ни въ материнскіе сосуды и что связь между материнскою и плодовой частями послѣда происходитъ посредствомъ вростанія ворсинъ in toto въ материнскую decidua, но вростаніе это ограничивается лишь ея поверхностными слоями.
Кащенко въ своей очень интересной работѣ описываетъ строеніе ворсинъ, ихъ двойной покровъ. Клѣточныя гнѣзда, встрѣчаемыя между ворсинами—Zellknoten Langhans’а, онъ производитъ изъ клѣточнаго слоя Langhans’а, независимо отъ материнской decidua, какъ это ранѣе думалъ самъ Langhans. По его же мнѣнію, элементы клѣточнаго слоя входятъ въ составъ serotin’ы. Plasmodium или поверхностный покровъ ворсинъ усѣянъ рѣсничками. Элементы клѣточнаго слоя возникаютъ изъ plasmodium.
Нитабухъ, изслѣдуя микроскопически беременную матку V мѣсяцевъ, нашла между дѣтской и материнской частями ріасепѣ’ы особый слой, названный ею, согласно съ Langhans’омъ, canalisirtes Fibrin, который составляетъ границу между вышеназванными частями и можетъ быть разсматриваемъ, какъ осадокъ изъ крови (Niederschlag) Zottenraum’a.
Anna Reinstein-Mogilowa различаетъ въ serotin’ѣ и reflex’ѣ слѣдующіе слои: 1) глубокій, образующій главную массу, состоитъ изъ крупныхъ богатыхъ протоплазмой клѣтокъ съ сосудами и железами; 2) этотъ слой отдѣляется отъ placentarraum тонкимъ слоемъ фибрина; 3) на немъ лежитъ слой клѣтокъ меньшихъ чѣмъ въ глубокомъ слоѣ, многоугольныхъ со свѣтлой протоплазмой; 4) подобная же ткань находится въ формѣ островковъ между ворсинками и входитъ въ клѣточный слой ворсинъ. Vera построена какъ глубокій слой serotin’ы. Это подтверждаетъ, что другой клѣточный слой serotin’ы зародышеваго происхожденія.
Selenka находитъ, что въ первую недѣлю развитія человѣческое яйцо вступаетъ въ тѣсную связь съ маткой, именно ворсины входятъ въ просвѣтъ железъ, такъ что ворсина состоитъ изъ соединительно-тканныхъ клѣтокъ, однослойныхъ кубическихъ или призматическихъ chorionektoderm’a и плоскихъ эпителіальныхъ клѣтокъ—измѣненный эпителій маточныхъ железъ. Прежде чѣмъ ворсины достигаютъ слѣпыхъ концовъ железъ, послѣднія начинаютъ развѣтвляться.
Keibel находитъ эндотелій на поверхности ворсинъ. Второй наружный слой chorionepithel усѣянъ мерцательными рѣсничками.
По Winkler’y ворсины или свободно оканчиваются въ кавернахъ, будучи покрыты своимъ эпителіемъ или же вростаютъ въ материнскую ткань и лишены своего покрова. Ворсины входятъ въ железы и прорывая ихъ покровъ, вростаютъ въ маточную ткань. Такимъ образомъ онъ объясняетъ кажущійся второй покровъ ворсинъ.
Gunsser признаетъ двойной покровъ ворсинъ, но не вездѣ. Наружный слой, syncytium встрѣчается на ворсинахъ, лежащихъ близь слизистой оболочки матки и связывающихся съ нею. Онъ происходитъ изъ материнскаго эпителія и, переходя съ serotin’ы на ворсины, обусловливаетъ связь яйца съ маткой.
Hoffmeier и Klein не находятъ двойнаго покрова ворсинъ: они считаютъ его artefactum. Ворсины вростаютъ въ decidua, а decidua вростаетъ въ Zottenraum. Decidua разрушается ворсинками, проникающими до самаго мускульнаго слоя. Canalisirtes Fibrin Нитабухъ и Langhans’а, по мнѣнію Hoffmeier’а, явленіе нормальное и происходитъ вслѣдствіе нарушенія питанія, какъ результатъ дегенераціи deciduae.
По мнѣнію Steffek’а, названіе этого слоя фибриномъ не удачно, слѣдовало бы называть его некротической массой.
Hoffmeier’y же удалось прослѣдить артеріи и вены, свободно открывающіяся въ межворсинчатое пространство; въ послѣднемъ эндотелія нѣтъ.
Kossmann думаетъ, что межворсинчатое пространство возникаетъ среди syncytium’а, а syncytium происходитъ изъ материнскаго эпителія.
Leopold не допускаетъ, чтобы ворсинки внѣдрялись въ железы матки, потому что верхніе отдѣлы железъ въ беременномъ состояніи теряютъ свой эпителій.
По Klein’y ворсины въ serotin’ѣ и reflex’ѣ связываются съ децидуальною тканью посредствомъ нѣсколькихъ рядовъ клѣтокъ, происшедшихъ изъ ворсинъ. Эпителій на поверхности serotin’ы и reflex’ы погибаетъ въ концѣ перваго мѣсяца беременности.
По Gottschalk’у въ среднемъ слоѣ serotin’ы, происходятъ процессы разрушенія на счетъ разростанія ворсинъ и сосудовъ. Нижній или наружный слой serotin’ы, можно было бы назвать остающимся, ибо онъ сохраняется все время беременности. На границѣ между нимъ и остальною частью послѣда, находится слой фибрина, который есть некробіозъ распадающихся островковъ децидуальной ткани при вростаніи ворсинъ.
Strahl считаетъ, что одинъ слой, покрывающій ворсины, происходитъ изъ эктодерма, другой—изъ материнскаго эпителія, но ворсины не вростаютъ въ железы, такъ какъ просвѣтъ железъ заполняется сильно развивающимся эпителіемъ и съ этимъ то эпителіемъ и происходитъ сліяніе эктодерміальнаго слоя ворсинъ (кроликъ и др. животные).
Въ эктодерміальномъ слоѣ авторъ описываетъ ядра верхняго слоя, но не объясняетъ ихъ присутствія здѣсь. Syncytium— это маточный и железистый эпителій, превратившійся въ протоплазматическую массу съ ядрами. У хищныхъ часть его погибаетъ и всасывается эктодермой, часть образуетъ второй наружный покровъ ворсинъ. Въ Placentarrand (periplacenta др. авторовъ) syncytium отходитъ къ эктодерміальному покрову и даже вторгается въ него, отрывая его иногда отъ соединительной ткани стромы ворсины. Повидимому онъ обладаетъ даже способностью къ передвиженію.
По Frommel’ю, въ томъ мѣстѣ, гдѣ яйцо прилегаетъ къ стѣнкѣ матки, исчезаетъ устье железъ, также какъ и маточный эпителій. Соединеніе яйца съ маткой происходитъ посредствомъ эктодерма, продуцирующаго волокно-подобныя клѣтки и имѣющаго наклонность образовать эпителіальные отпрыски. Но онъ не отрицаетъ участія въ этомъ соединеніи и материнскаго эпителія, кажущагося погибающимъ. Эпителіальные столбы и трубки въ среднемъ сосудистомъ слоѣ placent’ы, даютъ кровяныя лакуны (Blutlakunen) и, образуя кровь, анастомозируютъ съ прочими материнскими сосудами. Долгое время авторъ принималъ ихъ за разрѣзы железъ, но потомъ убѣдился? что всѣ железы погибаютъ.
Относительно происхожденія Zellschicht’a Langhans’а изъ plasmodium’a (наружный покровъ ворсинъ) Minot согласенъ съ Кащенко. По Minot, ворсины у кролика развиваются на 10-й день и начинаютъ быстро вростать въ материнскую ткань. Съ седьмаго дня беременности происходитъ дегенерація железъ и эпителія. Въ верхнихъ своихъ отдѣлахъ, железы представляютъ рѣзкую дегенерацію: эпителій утолщается, становится многоядернымъ, просвѣтъ железъ закрывается. Monsterzells есть эмигрирующія клѣтки железистаго эпителія. Ворсины покрыты утолщеннымъ эпителіемъ areae placentalis. На 12 день беременности дифференцируется гликогенная ткань. Онъ разсматриваетъ ее, какъ особую ткань, располагающуюся между настоящею decidua и Zottenschicht.
Duval Mathias, изслѣдуя placent’y кролика, находитъ, что на 81/2 и 9 день беременности, эктодерміальныя выпуклины яйца входятъ не только въ отверстія железъ, но и въ промежутки между ними, сдавливаютъ маточный эпителій, который быстро погибаетъ (атрофируется). Кровяныя лакуны лежатъ въ эктодермическихъ массахъ и суть фетальнаго происхожденія. Послѣдъ состоитъ изъ цилиндрическихъ вѣтвящихся и анастомизирующихъ между собою шнуровъ. Стѣнка ихъ образуется толстой сплошной массой съ многочисленными зернами. Протоплазма эта есть результатъ сліянія эктодермическихъ клѣтокъ.
Jéan Masius, также у кроликовъ, находитъ, что на 8 день беременности эпибластъ (эктодермъ) дифференцируется въ два слоя—глубокій цилиндрическій и поверхностный—протоплазматическая масса съ ядрами. Въ глубокомъ встрѣчаются явленія каріокинеза, въ поверхностномъ—никогда. Можно прослѣдить образованіе поверхностнаго слоя изъ глубокаго. Этотъ же авторъ описываетъ периваскулярныя влагалища, которыя пріобрѣтаютъ материнскіе капиляры.
Клодъ Бернардъ въ своей статьѣ: «sur une nouvelle fonction du placenta», доказываетъ, что пока печень не начнетъ функціонировать. гликогенъ выдѣляется послѣдомъ, тѣмъ отдѣломъ его, который находится между дѣтской и материнской частями. Онъ, повидимому, играетъ важную роль въ питаніи развивающагося организма.
Одинъ изъ позднѣйшихъ авторовъ, Merttens, признавая двойной эпителіальный покровъ ворсинъ, склоняется къ тому, что наружный слой покрова ворсинъ происходитъ изъ материнскаго эпителія, хотя находитъ въ то же время, что въ беременномъ состояніи въ syncytium могутъ превращаться decidua, эндотелій сосудовъ и железистый эпителій. Признаетъ слой Нитабухъ. По мнѣнію автора связь ворсинъ съ маточною тканью устанавливается клѣточными столбами, происходящими изъ верхушекъ ворсинъ.
Резюмируя мнѣнія авторовъ, видимъ, что до послѣдняго времени они расходятся, даже во взглядахъ на покровъ ворсинки. Такъ, напримѣръ, въ противоположность господствующему мнѣнію, что онъ двойной, Hoffmeier и Klein вовсе не признаютъ втораго слоя, который, по ихъ мнѣнію, результатъ искусственной обработки. Межворсинчатыя гнѣзда Langhans’а, одни принимаютъ за остатки материнской decidua, другіе (Merttens, ReinsteinMogilowa) за клѣточныя скопленія зародышеваго происхожденія. Относительно способа соединенія ворсистой оболочки съ материнскою decidua только Merttens и Klein ясно высказываются, что связь эта устанавливается посредствомъ разрощеній, происходящихъ изъ ворсинъ. Другіе же авторы думаютъ, что сами ворсины вростаютъ въ decidua, а decidua въ межворсинчатое пространство (Hoffmeier), наконецъ, третіи,—что въ этомъ соединеніи играютъ важную роль железы, въ которыя вростаютъ ворсины (Selenka, Winkler). Противники послѣдняго мнѣнія утверждаютъ, что железы въ верхнихъ отдѣлахъ слизистой оболочки матки погибаютъ уже вначалѣ беременности. Второй поверхностный слой ворсинъ (syncytium) происходитъ, по мнѣнію большинства, изъ железистаго эпителія матери и только немногіе авторы (Кащенко, Minot, Jéan Masius) считаетъ его зародышеваго происхожденія.
Межворсинчатое пространство, по однимъ авторамъ, первоначально возникаетъ изъ остающагося пространства между слизистой матки и яйцомъ, другіе принимаютъ его за расширенные материнскіе капилляры; наконецъ, Kossmann, что оно образуется среди syncytium’a и, слѣдовательно, также материнскаго происхожденія, такъ какъ syncytium, по его мнѣнію,— есть перерожденный железистый эпителій матки.
Такимъ образомъ, видно, что даже элементарные вопросы (какъ напр., тончайшее строеніе ворсинки), представляются еще спорными, поэтому дальнѣйшія изслѣдованія въ этомъ направленіи являются крайне желательными.
Начну описаніе съ межжелезистой ткани слизистой оболочки матки, которая во время беременности замѣщается децидуальною тканью и служитъ для нея источникомъ развитія. Обрабатывая рядъ кусочковъ слизистой оболочки матки, добытыхъ путемъ выскабливанія большею частью при заболѣваніяхъ маточной паренхимы или придатковъ матки (metritis, fibromyoma и мн. др., вполнѣ нормальную слизистую оболочку достать крайне трудно) флеминговой жидкостью и окрашивая срѣзы сафраниномъ или кислымъ фуксиномъ, мы получали болѣе или менѣе сходныя картины. Такъ напримѣръ, слизистая, полученная при anteflexio (рис. 1), особенно въ болѣе близкихъ къ свободной поверхности отдѣлахъ, среди железъ, представляетъ ткань, состоящую на первый взглядъ какъ бы исключительно изъ сплошной массы нѣжныхъ клѣточекъ. Клѣтки эти полигональной формы, различной величины, съ продолговатыми ядрами, заключающими 2—3 рѣзко окрашивающихся ядрышка. Протоплазма клѣточекъ красится крайне блѣдно или остается совершенно прозрачной. Какого либо межклѣточнаго вещества незамѣтно. Въ болѣе глубокихъ отдѣлахъ межжелезистая ткань утрачиваетъ чисто клѣточный характеръ и состоитъ изъ нѣжной, тонкой reticulum, въ петляхъ которой заложены шаровидныя густо окрашивающіяся ядра. Слизистая при фиброміомѣ даетъ ту же картину, съ тою лишь разницею, что клѣтки ее составляющіе крупнѣе, чѣмъ въ 1-мъ случаѣ, и представляютъ большее количество каріокинетическихъ фигуръ. Клѣтка, ядро которой находится въ состояніи дѣленія, прозрачна и принимаетъ пузыревидную форму. Расщепляя слизистую оболочку (anteflexio—metritis выраженъ слабо) послѣ предварительной обработки ея 30% растворомъ ѣдкаго кали, получаемъ рядъ изолированныхъ клѣтокъ или небольшія группы ихъ. Изолированныя онѣ большею частью продолговаты, съ овальнымъ ядромъ, рѣдко веретенообразны, и всегда снабжены пластинчатыми отростками. Соединяясь отростками, онѣ образуютъ своеобразную ткань.
Рис. 1.—Нормальная слизистая оболочка матки: а—железы, b—межжелезистая ткань.
Fig.: 1. — Normal mucous membrane of the uterus: a — glands, b — interglandular tissue.
Перехожу теперь къ описанію микроскопическихъ картинъ болѣе раннихъ и свѣжихъ абортовъ. Обработка Флеминговой жидкостью, окраска сафраниномъ.
Препаратъ serotin’ы съ прилежащею плодовою частью послѣда. Согласно описанію Леопольда и другихъ авторовъ, въ serotin’ѣ можно различить два слоя, наружный губчатый, состоящій изъ железъ, раздѣленныхъ децидуальною тканью и внутренній, граничащій съ chorion, образуемый сплошь децидуальною тканью—это такъ называемый компактный слой авторовъ.
Децидуальная ткань имѣетъ видъ чисто эпителіальной ткани (рис. 2 и 4). Она состоитъ изъ крупныхъ клѣтокъ съ большимъ овальнымъ или шаровиднымъ слабоокрашивающимся ядромъ. Протоплазма ихъ совершенно прозрачная или нѣжнозернистая, иногда вакуолизируется. Клѣтки тѣсно прилежатъ одна къ другой, не оставляя мѣста для какого либо промежуточнаго вещества. По формѣ онѣ овальныя или удлиненныя, а въ болѣе глубокихъ слояхъ становятся мельче и принимаютъ веретенообразную форму. Среди клѣтокъ децидуальной ткани встрѣчаются мѣстами группы мелкихъ и средней величины клѣточекъ, обыкновенно шаровидной формы. Нѣкоторыя изъ нихъ вполнѣ сходны съ простыми лейкоцитами. Въ описываемыхъ болѣе мелкихъ клѣткахъ въ свѣжихъ случаяхъ часто встрѣчаются ядра дѣленія, между тѣмъ какъ въ крупныхъ децидуальныхъ клѣткахъ явленія каріокинеза наблюдается крайне рѣдко.
Рис. 2. Децидуальная ткань.
Fig.: 2. Decidual tissue.
Обрабатывая свѣжую decidua 30% растворомъ ѣдкаго кали и расщепляя препаратъ иглами, удается получить множество изолированныхъ децидуальныхъ клѣтокъ или собранныхъ въ небольшія группы (рис. 3). Каждая клѣтка снабжена нѣжными прозрачными пластинчатыми отростками, представляющимися въ профиль нитевидными. На маленькихъ группахъ можно прослѣдить (толкая покровное стеклышко иглой и давая такимъ образомъ различныя положенія одной и той же клѣткѣ), что связь ихъ происходитъ такимъ образомъ, что одна клѣтка ложится между отростками другой. Слѣдовательно, здѣсь повторяется таже картина, что и въ вышеописанной межжелезистой ткани по крайней мѣрѣ въ верхнихъ отдѣлахъ послѣдней, но въ гораздо большемъ масштабѣ. Получается впечатлѣніе, что децидуальная ткань—таже межжелезистая, но находящаяся въ особенно благопріятныхъ условіяхъ питанія, позволяющихъ отдѣльнымъ клѣткамъ разростаться до громадныхъ размѣровъ, разъ въ 10—20 большихъ, чѣмъ въ обыкновенномъ состояніи.
Рис. 3. Изолированныя децидуальныя клѣтки.
Fig.: 3. Isolated decidual cells.
Сосуды deciduae и железы, сохранившіяся въ болѣе глубокихъ слояхъ ея, протерпѣваютъ рѣзкія измѣненія, капилляры чрезвычайно расширены и представляютъ своеобразныя измѣненія эндотелія. Клѣтки послѣдняго сильно набухаютъ и мѣстами выдаются даже въ просвѣтъ. Железы становятся извилистыми, расширяются. Эпителій, ихъ выстилающій, также набухаетъ, такъ что мѣстами границы между клѣтками совершенно пропадаютъ. Иногда клѣтки отрываются и, наполняя собою, просвѣтъ, подвергаются дальнѣйшему разрушенію.
Чтобы уяснить себѣ дальнѣйшія измѣненія децидуальной ткани и сосудовъ въ ней заключающихся,—въ различные періоды беременности,—обратимся къ изученію нѣкоторыхъ оболочекъ яйца, именно ворсистой оболочки, которая, связываясь съ decidua, несомнѣнно измѣняетъ ея строеніе.
Познакомимся же прежде всего съ основнымъ элементомъ ворсистой оболочки—ворсинкой—и затѣмъ опишемъ общую ея картину.
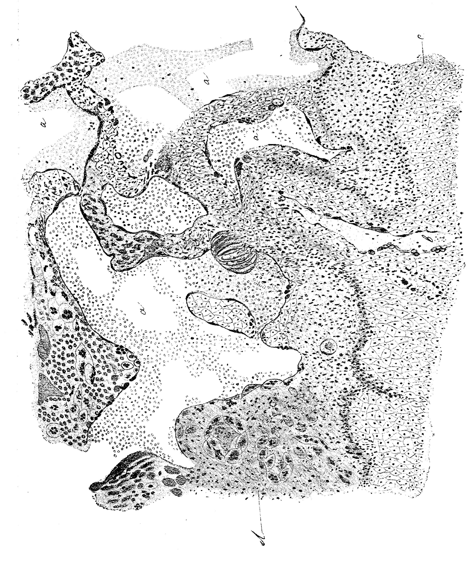
Препаратъ 3-хъ недѣльнаго аборта. Обработка Флеминговой жидкостью, окраска сафраниномъ (рис. 5). Ворсинки перерѣзаны вдоль и поперекъ. Строма ворсинки состоитъ изъ нѣжныхъ отростчатыхъ клѣтокъ, соединяющихся концами своихъ развѣтвленій, и заложенныхъ въ почти безструктурномъ или слабозернистомъ основномъ веществѣ. Кромѣ отростчатыхъ элементовъ замѣчается еще другой видъ клѣтокъ, довольно большихъ, круглыхъ почти пузыревидныхъ, съ нѣжной прозрачной, некрасящейся протоплазмой и интенсивно окрашивающимся ядромъ. Въ послѣднемъ нерѣдко наблюдаются явленія каріокинеза. (Повидимому эти клѣтки участвуютъ въ образованіи эмбріональныхъ сосудовъ). Въ толщѣ ворсины проходятъ капилляры съ узкимъ или широкимъ просвѣтомъ, съ эндотельяльной стѣнкой, набитые ядерными красными кровяными шариками — эритрокаріоцитами; отсутствіе лейкоцитовъ въ сосудахъ. Это зародышевая кровь. Нерѣдко можно видѣть, что капилляры проходятъ въ периферіи стромы ворсинки, тѣсно прилегая къ самому покрову ея. Эритрокаріоциты встрѣчаются и внѣ капилляровъ, — быть можетъ, они попали сюда вслѣдствіе экстравазата. Встрѣчаются здѣсь, въ стромѣ ворсинки, и безъядерные шарики, эритроциты, которые въ капиллярахъ вовсе не наблюдаются. Иногда удается видѣть внѣдрѣніе ихъ между клѣтками покрова ворсинъ со стороны межворсинчатаго пространства, въ которомъ циркулируетъ материнская кровь.
Рис. 5. Препаратъ 3 недѣльнаго аборта: а—syncytium s. plasmodium, b—клѣточный слой (Zellschicht) Langhans’а, с—межворсинчатое клѣточное гнѣздо (Zellknoten) Langhans’а.
Fig.: 5. Preparation for 3 week abortion: a — syncytium s. plasmodium, b — cell layer (Zellschicht) Langhans’s, c — intervillous cell nest (Zellknoten) Langhans’s.
Перейдемъ теперь къ покрову ворсинъ. Въ раннія стадіи беременности, какъ въ данномъ случаѣ, въ немъ можно различить совершенно отчетливо двойной слой различнаго строенія—глубокій и поверхностный. Глубокій, сидящій непосредственно на стромѣ ворсинъ, состоитъ изъ довольно крупныхъ, круглыхъ или овальныхъ, пузыревидныхъ клѣтокъ, (какъ бы раздувшихся), протоплазма которыхъ совершенно не окрашивается и прозрачна, и круглое же или овальное ядро, находящееся зачастую въ состояніи дѣленія.
Сравнивая ихъ съ круглыми клѣтками, разсѣянными въ стромѣ ворсинъ, названными Кащенко блуждающими, нельзя не уловить полнаго тождества между ними. Поверхностный же слой покрова ворсинъ, состоитъ изъ сплошной протоплазматической массы съ ядрами. Ни при какихъ способахъ обработки, не удается найти какія-либо границы въ этой массѣ, которыя указывали бы на клѣточное строеніе ея. Это такъ называемый syncytium однихъ и plasmodium другихъ авторовъ. Въ ядрахъ наружнаго слоя, никогда не наблюдаются явленія дѣленія.
Если просмотрѣть рядъ препаратовъ раннихъ абортовъ, обработанныхъ спиртомъ, Мюллеровской или Флеминговой жидкостью, то нерѣдко можно замѣтить, преимущественно на спиртныхъ препаратахъ (рис. 6), что въ протоплазматической массѣ лежатъ элементы, аналогичные элементамъ глубокаго слоя, но гораздо меньшихъ размѣровъ и погруженные въ вышеупомянутую безструктурную массу. Передъ нами какъ бы остатки клѣтокъ глубокаго слоя, протоплазма которыхъ уменьшается, превращаясь въ гомогенное вещество syncytium’a.
Рис. 6. Препаратъ 3 недѣльнаго аборта: а—plasmodium s. syncytium, b—клѣточный слой Langhans’а, с—клѣточное гнѣздо Langhans’а.
Fig.: 6. Preparation for 3 week abortion: a — plasmodium s. syncytium, b — Langhans 'cell layer, c — Langhans' cell nest.
Многочисленныя почки, которыя отходятъ съ различныхъ сторонъ отъ болѣе крупныхъ ворсинокъ и составляютъ столь характерный аттрибутъ ворсинки—представляютъ по своему строенію ничто иное, какъ сейчасъ описанный многоядерный plasmodium. На этомъ же препаратѣ замѣчаются мѣста, гдѣ глубокій клѣточный слой измѣняется, клѣтки его уплощаются, становятся веретенообразными или даже вовсе пропадаютъ. За то plasmodium лежитъ болѣе широкой полосой.
На основаніи описанныхъ картинъ и ниже слѣдующихъ данныхъ, я склонна думать, что протоплазматическій слой покрова ворсинъ зародышеваго происхожденія и можетъ быть разсматриваемъ, какъ измѣненный клѣточный слой Langhans’a. Замѣчу кстати, что клѣточный слой нерѣдко располагается въ два и болѣе рядовъ клѣтокъ.
Въ болѣе раннихъ періодахъ беременности, на разрѣзахъ между ворсинами встрѣчаются въ различныхъ мѣстахъ большія или меньшія группы клѣтокъ. Клѣтки эти имѣютъ полиэдрическую форму, съ крупными ядрами и нѣжно-зернистой протоплазмой. Многія изъ нихъ заключаютъ ядра въ состояніи дѣленія. По окружности такого клѣточнаго гнѣзда, располагается syncytium непрерывно или мѣстами прерываясь. Возникаетъ вопросъ, что это за клѣточныя скопленія?
Полное наружное сходство съ глубокимъ слоемъ ворсинчатаго покрова еще не рѣшаетъ вопроса. Но не трудно убѣдиться на микроскопическихъ препаратахъ, что клѣтки глубокаго слоя непосредственно переходятъ въ эти клѣточныя скопленія. Слѣдовательно, такъ называемые Zellknoten Langhans’а несомнѣнно зародышеваго, а не материнскаго происхожденія и ни въ какомъ случаѣ не части материнской deciduae, какъ это считаютъ нѣкоторые авторы (Ноffтеіer и другіе, а ранѣе и самъ Langhans). Между клѣтками такихъ гнѣздъ видны большія или меньшія syncytial’ныя массы съ мелкими ядрами.
На препаратахъ болѣе позднихъ періодовъ беременности (препаратъ V мѣсячной беременности и placent’ы послѣ срочныхъ родовъ), количество клѣточныхъ скопленій уменьшается до полнаго исчезновенія ихъ. Ворсинки все болѣе и болѣе возростаютъ въ числѣ и тѣснѣе прилегаютъ другъ къ другу. Строеніе ворсинки также рѣзко измѣняется. Строма ея состоитъ изъ звѣздчатыхъ клѣтокъ (V мѣсячн. беремен.), соединяющихся концами своихъ отростковъ. Возникающія, такимъ образомъ, петли инфильтрированы частью блуждающими клѣтками втораго ряда, частью лейкоцитами. Зародышевые сосуды развиваются въ громадной степени, такъ что въ послѣродовой placent’ѣ почти вся толща ворсины занята различной ширины капиллярами съ ихъ эндотеліемъ и эмбріональною кровью. Содержимое сосудовъ въ позднѣйшее время (съ 3-го мѣсяца беременности), составляютъ уже безъядерные эритроциты. Покровъ ворсинокъ также измѣняется. Глубокій клѣточный слой уплощается, клѣтки его принимаютъ веретенообразную форму и мѣстами совершенно пропадаютъ. Наружный протоплазматическій слой принимаетъ видъ узкой гомогенной полосы съ ядрами, покрывающей всю поверхность ворсинъ.
Познакомившись съ строеніемъ ворсинки въ различные періоды беременности, разсмотримъ теперь тотъ отдѣлъ послѣда, гдѣ происходитъ соединеніе между материнскою и плодовою его частью.
Абортъ около 2 мѣсяцевъ беременности. Обработка флеминговою жидкостью (рис. 4).
Рис. 4. Препаратъ 2 мѣсячнаго аборта: а—ворсинки chorion’a. b—syncytium s. plasmodium, c—клѣточный слой (Zellschicht) Langhans’а, d—decidua foetalis, e—decidua uterina, f—группа клѣтокъ deciduae foetalis съ прилежащею къ нимъ массою syncytium’a.
Figure: 4. Preparation for 2 month abortion: a — chorion'a villi. b — syncytium s. plasmodium, c — cell layer (Zellschicht) Langhans’a, d — decidua fetalis, e — decidua uterina, f — a group of deciduae fetalis cells with an adjacent mass of syncytium’a.
Первое впечатлѣніе, которое получается при взглядѣ на границу соединенія ворсистой оболочки съ материнскою частью placent’ы, таково, что ворсины какъ будто вростаютъ въ подлежащую материнскую decidua.
При ближайшемъ изслѣдованіи оказывается, что въ ворсинѣ происходитъ цѣлый рядъ измѣненій и что въ этомъ сліяніи наиболѣе активная роль выпадаетъ на долю ворсистой оболочки. Въ томъ отдѣлѣ ворсины, посредствомъ котораго она связывается съ материнской decidua, syncytium исчезаетъ, въ тоже время какъ клѣточный слой Langhans’а, начинаетъ усиленно пролиферировать, образуя различной величины клѣточныя разрощенія, которыя незамѣтно теряются въ материнской decidua, смѣшиваясь съ ея элементами. Ворсины густо лежатъ другъ возлѣ друга и каждая изъ нихъ въ мѣстѣ соединенія съ материнской decidua, благодаря разрощенію клѣточнаго слоя, участвуетъ въ образованіи почти сплошнаго слоя клѣточной ткани, лежащаго на границѣ между Zottenraum (межворсинчатое пространство) съ его ворсинками и материнской decidua и непосредственно переходящаго въ послѣднюю.
Образовавшаяся, такимъ образомъ, ткань совершенно идентична тѣмъ клѣточнымъ гнѣздамъ, которыя описаны выше, и при первомъ взглядѣ также похожа на материнскую decidua. Но при ближайшемъ знакомствѣ между ними оказывается существенное отличіе. Такъ какъ источникъ происхожденія этой ткани для насъ очевиденъ, таковымъ является клѣточный слой Langhans’а, составляющій неотъемлемую принадлежность ворсины, то поэтому, согласно предложенію Merttens’а, будемъ называть его decidua foetalis въ отличіе отъ decidua uterina, происшедшей изъ межжелезистой соединительной ткани слизистой оболочки матки. Decidua foetalis состоитъ изъ многоугольныхъ однообразныхъ по величинѣ клѣтокъ, съ нѣжной протоплазмой и съ крупными ядрами, въ которыхъ нерѣдко видны фигуры дѣленія. Клѣтки же deciduae uterinae весьма различны по величинѣ; послѣдняя колеблется отъ небольшой, немногимъ превосходящей величину лейкоцита и до огромныхъ размѣровъ. Какъ выше описано, онѣ имѣютъ наклонность вытягиваться и приближаются къ веретенообразной формѣ, между тѣмъ какъ клѣтки deciduae foetalis, большею частью, сохраняютъ свою полиэдрическую форму. Между ними не наблюдается никакихъ мелкоклѣточныхъ скопленій, что присуще decidua uterina. Наконецъ, какъ на особенность этого слоя (decid. foetal.) слѣдуетъ указать, что во многихъ мѣстахъ препарата между клѣтками decid. foetalis замѣчается большее или меньшее количество какой-то безструктурной массы, которая окружаетъ болѣе или менѣе то одну клѣтку, то небольшую группу ихъ (2—3 и болѣе). Часто это вещество заключаетъ въ себѣ большее скопленіе ядеръ, густо окрашивающихся сафраниномъ и фуксиномъ. Въ общемъ оно напоминаетъ собою syncytium и представляетъ, вѣроятно, ничто иное какъ метаморфизировшіяся клѣтки dec. foetalis.
Слѣдовательно, decidua слагается изъ двухъ тканей различнаго происхожденія—одна decidua uterina, возникающая изъ межжелезистой ткани слизистой оболочки матки, измѣняющейся подъ вліяніемъ новыхъ условій питанія, и другая, непосредственно сливающаяся съ нею, decidua foetalis, происшедшая изъ клѣточнаго слоя ворсинъ (ektoderm). Поверхность тѣхъ участковъ deciduae foetalis, съ которой не спаяны ворсины,, т. е. со стороны Zottenraum, покрыта также syncytium. Такимъ образомъ, стѣнка полости, въ которой находятся ворсины,— выстлана на всемъ протяженій syncytium’омъ, который замѣняетъ собою эндотелій.
Какъ упомянуто выше, нельзя усмотрѣть опредѣленной и рѣзкой границы между обоего рода decidua. Повидимому элементы deciduae foetalis цугами вростаютъ въ decidua uterina и, благодаря тому, что нѣкоторыя клѣтки материнской deciduae, болѣе молодыя, по величинѣ и формѣ весьма напоминаютъ элементы фетальнаго слоя, мы лишены возможности положить рѣзкую границу между ними. Однакоже нерѣдко сопровождающіе ихъ остатки syncytium’a позволяютъ отличить ихъ отъ клѣтокъ материнской deciduae. Такимъ образомъ, на разрѣзахъ онѣ располагаются въ decidua uterina или въ видѣ отпрысковъ, исходящихъ изъ слоя dec. foetalis или образуютъ различной величины группы и островки полигональныхъ клѣтокъ, располагающихся среди decid. uter. Фибринознаго слоя Нитабухъ, признаваемаго Reinstein-Mogilowa и другими, какъ постоянную границу между обѣими decidua, я не могла констатировать. Въ болѣе позднія стадіи беременности подобный слой встрѣчается, но никогда не бываетъ непрерывнымъ.
Въ позднѣйшія стадіи беременности decidua uterina въ болѣе глубокихъ слояхъ, гдѣ она еще сохраняется, измѣняется въ значительной степени. Клѣтки ея все болѣе и болѣе сплющиваются, принимаютъ веретенообразную форму. Между ними появляется особое межклѣточное вещество, состоящее изъ гомогенной или нѣжно-зернистой массы. Инфильтратъ безцвѣтными шариками увеличивается. Decidua же foetalis встрѣчается въ свѣжемъ состояніи до конца беременности, въ самыхъ верхнихъ своихъ отдѣлахъ, въ которые непосредственно переходятъ ворсины. Цуги же клѣтокъ, вростающіе изъ нея въ decidua uterina, подвергаются регрессивнымъ процессамъ, также какъ и граничащая съ ними decidua uterina. Вслѣдствіе механическаго давленія и нарушенія питанія, послѣдняя повидимому подвергается коагуляціонному некрозу, превращаясь въ безструктурную или волокнистую массу, проникнутую множествомъ разныхъ величинъ ядеръ и ядрышекъ, подвергающихся хроматолизу и распадающихся на мельчайшія зернышки. Встрѣчается не мало лейкоцитовъ и распадающихся клѣтокъ deciduae. Таково именно измѣненіе частей dec. uter., непосредственно граничащихъ съ decidua foetalis. Между тѣмъ, какъ болѣе глубокіе ея слои, повторяю, представляютъ лишь уплощеніе клѣтокъ и увеличеніе инфильтрата и межклѣточнаго вещества. Дальнѣйшія измѣненія, которыя претерпѣваютъ эктодерміальныя разрощенія или элементы dec. foetalis въ decidua uterina, можно прослѣдить на нижеслѣдующихъ препаратахъ, къ описанію которыхъ мы и переходимъ.
Два случая абортовъ 21/2 мѣсяцевъ беременности (А и В). Железы въ компактномъ слоѣ почти пропадаютъ, сохраняясь лишь въ болѣе глубокихъ частяхъ deciduae. Эпителій ихъ теряетъ рѣснички, становится кубическимъ, часто уплолщается еще болѣе, напоминая собою эндотелій и только на границѣ съ мышечнымъ слоемъ и еще болѣе между мышечными пучками (въ началѣ беременности въ глубинѣ слизистой оболочки, происходитъ сильное развитіе железъ, такъ что онѣ заходятъ даже въ мышечный слой) онъ сохраняетъ болѣе или менѣе свой прежній видъ.
Измѣняясь, клѣтки железистаго эпителія сильно набухаютъ и почти сливаются между собою, такъ что границы между отдѣльными клѣтками пропадаютъ. Часто клѣтки отрываются отъ своего основанія и попадая въ просвѣтъ железы, претерпѣваютъ дальнѣйшій регрессивный метаморфозъ. При этомъ какъ на особенность железъ съ внѣшней стороны слѣдуетъ указать, что, хотя поперечникъ ихъ значительно увеличивается, но противоположныя стѣнки ихъ обыкновенно спадаются, иногда до полнаго взаимнаго соприкосновенія. Мѣстами можно видѣть железы, наполненныя кровью, очевидно, это явленіе патологическое,—результатъ кровоизліянія.
Въ decidua встрѣчается масса капилляровъ различной толщины, отъ небольшой равной діаметру краснаго шарика и до огромныхъ размѣровъ, являющихся въ формѣ настоящихъ кавернъ. Стѣнки материнскихъ капилляровъ выстланы эндотеліемъ, отдѣльныя клѣтки котораго сильно разбухаютъ и вдаются въ просвѣтъ.
На препаратахъ А (21/2 мѣсячный абортъ; кусочекъ взятъ во всю толщу со стороны послѣда) можно различить три отдѣла, на которые онъ распался еще до обработки. Онъ былъ тщательно обработанъ и заключенъ въ фотоксилинъ.
Начнемъ съ самаго наружнаго слоя, обращеннаго къ мышечной стѣнкѣ матки.
Здѣсь мы видимъ довольно хорошо сохранившуюся decid, uterina съ характерными клѣтками, между которыми встрѣчается значительный инфильтратъ многоядерныхъ лейкоцитовъ и одноядерныхъ шариковъ, также напоминающихъ лейкоцитовъ, железы и сосуды въ такомъ видѣ, какъ описаны выше.
Слѣдующій слой (рис. 7), находящійся между decidua uter. и ворсистой оболочкой, представляетъ довольно сложную картину. Повидимому основной тканью, какъ въ предшествующемъ слоѣ, здѣсь служитъ decidua ut. (компактный слой авторовъ).
Рис. 7. Препаратъ 21/2 мѣсячнаго аборта (A): а—ворсинки, b—decidua uterina, d—decidua foetalis, d’—островокъ элементовъ decid. foetal, среди decid. uterin., с—кровеносныя полости.
Figure: 7. Specimen for 21/2 months abortion (A): a — villi, b — decidua uterina, d — decidua fetalis, d’ — islet of decid elements. fetal, among decid. uterin., c — blood cavities.
Тѣже крупныя, веретенообразно вытянутыя клѣтки децидуальной ткани, хотя въ меньшемъ количествѣ, заключающія между собою какое то гомогенное или слабозернистое межклѣточное вещество. Колоссальный инфильтратъ ядрами, ядрышками и зернышками, интенсивно окрашивающимися гематоксилиномъ, мельчайшія зернышки представляютъ, вѣроятно, результатъ распада клѣточныхъ ядеръ. Масса многоядерныхъ лейкоцитовъ, считающихся нѣкоторыми авторами (Усковъ) болѣе старыми, находящимися въ состояніи регрессивнаго измѣненія. Встрѣчаются мѣста, состоящія исключительно изъ описаннаго инфильтрата, погруженнаго въ гомогенную или слабо-зернистую массу.
За то большими или меньшими гнѣздами находимъ хорошо сохранившуюся ткань, состоящую изъ довольно крупныхъ клѣтокъ, съ большими круглыми ядрами. Клѣтки эти овальной или полиэдрической формы и тѣсно лежатъ другъ возлѣ друга, раздѣляясь, впрочемъ, на иныхъ препаратахъ нѣкоторымъ количествомъ гомогеннаго вещества. Описываемая ткань вполнѣ аналогична той, которая здѣсь видна на мѣстѣ соединенія ворсинъ съ этимъ слоемъ или же лежащей гнѣздами (Zellknoten Langhans’а) между ворсинами. Очевидно, передъ нами участки deciduae foetalis. Наконецъ, въ этомъ же слоѣ видны различной величины полости, ограниченныя неопредѣленнымъ волокнистымъ веществомъ, пропитаннымъ мелкими зернышками. Полости заключаютъ кучи многоядерныхъ лейкоцитовъ и гомогенные комки различныхъ величинъ, круглой и неправильной формы. Нѣкоторые шарообразные комки заключаютъ еще остатки ядра.
Подобную же картину видимъ и на препаратѣ В (другого аборта 21/2 мѣсячной беременности). Обработка, какъ и предыдущаго, спиртомъ, окраска гематоксилиномъ.
Въ немъ (рис. 8) замѣчается меньше регрессивныхъ явленій, чемъ въ предыдущемъ. Основная ткань данной картины, децидуальная, состоитъ изъ большихъ веретенообразныхъ клѣтокъ, между которыми большее или меньшее количество безструктурнаго или волокнистаго вещества и множество инфильтрирующихъ ее одноядерныхъ, рѣже многоядерныхъ лейкоцитовъ. Кромѣ того, встрѣчаются въ различномъ количествѣ, небольшими группами кругловатыя клѣтки средней величины, Съ довольно крупнымъ сильно красящимся ядромъ. Особенно много ихъ около полостей, которыя, находясь здѣсь въ значительномъ количествѣ, придаютъ decidua рѣшетообразный видъ. Полости эти различной величины и крайне разнообразной формы. Клѣтки децидуальной ткани, непосредственно ограничивающей полости, принимаютъ веретенообразную форму.
На препаратѣ отчетливо выступаетъ содержимое полостей. Оно состоитъ изъ крупныхъ шаровидныхъ клѣтокъ, съ крупнымъ же ядромъ. Иногда вся полость выполнена такими клѣтками, иногда же послѣднія распадаются. Распадъ начинается обыкновенно съ центральныхъ клѣтокъ и постепенно распространяется къ периферіи. Получаются различной величины гомогенные комки и комочки, густо окрашивающіяся ядра и ядрышки и мелко-зернистый распадъ. Полости, въ которыхъ клѣточное содержимое уже распалось, наполнены кровью.
Кромѣ того, въ decidua и здѣсь встрѣчаются расширенные капилляры съ разбухшимъ эндотеліемъ на стѣнкахъ.
Сопоставляя эти картины съ препаратами, описанными выше, становится очевиднымъ, что полости, образующіяся въ decidua uterina, въ ея компактномъ слоѣ, происходятъ на счетъ вторженія и послѣдующаго распада эктодерміальныхъ отпрысковъ.
Такимъ образомъ, по нашему мнѣнію, въ decidua, кромѣ материнскихъ сосудовъ, встрѣчаются еще сосудистыя полости, происшедшія при участіи ворсистой оболочки. Сообщеніе этихъ кровеносныхъ лакунъ съ материнскими сосудами происходитъ, вѣроятно, такимъ образомъ, что клѣточныя разрощенія deciduae foetalis прорываютъ стѣнку встрѣчающихся на пути капилляровъ, что можно видѣть и на нѣкоторыхъ препаратахъ (пр. V мѣс. беремен.).
На препаратѣ трубной беременности виденъ расширенный капилляръ, одна стѣнка котораго выстлана набухшимъ эндотеліемъ, а противоположная образуется клѣтками deciduae foetalis.
Туже картину находимъ и въ болѣе позднія стадіи беременности.
Изслѣдуемъ, напр., препаратъ матки V мѣсячной беременности, удаленной по случаю рака.
Непосредственно къ ворсистой оболочкѣ примыкаетъ узкій слой deciduae foetalis, состоящій изъ клѣтокъ, густо лежащихъ въ гомогенной или слабо-зернистой массѣ. Слѣдующій слой, сидящій непосредственно на muscularis, представляетъ рядъ различной величины полостей, разграничивающихся между собою нетолстыми перекладинами; послѣднія образуются сплющенными веретенообразными клѣтками decid. uter., заложенными въ нѣжно волокнистой массѣ, незначительно инфильтрированной лейкоцитами. Кромѣ того, здѣсь же наблюдаются въ значительномъ количествѣ группы многоядерныхъ клѣтокъ. Иногда удается различить границы между отдѣльными клѣтками, которыя на первый взглядъ кажутся слившимися между собою и образующими многоядерный плазмодій 1). Стѣнки однѣхъ изъ полостей одѣты разбухшимъ, но сохранившимъ свою характерную веретенообразную форму, эндотеліемъ. Въ другихъ же полостяхъ—одна стѣнка выстлана такимъ же эндотеліемъ, а противоположная—въ 1—2 и болѣе рядовъ элементами нѣсколько иного типа, похожими на клѣтки deciduae foetalis. Это шаровидныя и полиэдрическія клѣтки съ большимъ ядромъ. Очевидно, передъ нами отпрыски deciduae foetalis, прорвавшіе стѣнку материнскихъ капилляровъ. Глубже къ muscularis видны железы въ видѣ чрезвычайно растянутыхъ полостей съ разбухшимъ эпителіемъ, потерявшимъ границы между отдѣльными элементами. Во многихъ мѣстахъ онъ отторгается отъ стѣнокъ и, попадая въ полость, разрушается. Противоположныя стѣнки железистыхъ полостей спадаются и железы атрофируются, какъ это видно и на другихъ препаратахъ.
Такимъ образомъ клѣточные отроги deciduae foetalis, вторгаясь въ decidua uterina и раздвигая ея клѣтки, образуютъ различной величины клѣточныя гнѣзда, которыя увеличиваются, благодаря продолжающейся пролифераціи составляющихъ ихъ клѣтокъ и по немногу рѣзко обособляются среди окружающей ихъ ткани. Клѣтки deciduae uterinae располагаются вокругъ нихъ въ нѣсколько слоевъ, вытягиваясь веретенообразно, иногда же некротизируются. Клѣтки, составляющія гнѣзда, пролиферируютъ и ростутъ, достигая иногда значительнаго объема. Затѣмъ (это обыкновенно начинается съ центра), онѣ отдѣляются другъ отъ друга, становятся свободными и принимаютъ совершенно шаровидную форму. Протоплазма ихъ начинаетъ распадаться, ядра сплющиваются и подвергаются хроматолизу и вся клѣтка распадается на неправильной формы комочки и зернышки. Когда процессъ разрушенія клѣтокъ распространяется на все гнѣздо, то получаются различной величины, иногда значительныхъ размѣровъ полости. Нѣкоторыя изъ нихъ заняты кровью, смѣшанною съ остатками разрушившихся клѣтокъ. Что же касается до самаго периферическаго слоя клѣтокъ, то весьма возможно, что онѣ, принимая веретенообразную форму, замѣняютъ собою эндотелій возникающихъ такимъ образомъ кровяныхъ лакунъ. На нѣкоторыхъ препаратахъ видно, какъ клѣточные отпрыски deciduae foetalis прокладываютъ себѣ путь до самыхъ кровеносныхъ сосудовъ матери, прорывая ихъ стѣнку; такимъ образомъ устанавливается анастомозъ кровеносныхъ лакунъ съ сосудами матери.
Изъ описанныхъ только что картинъ, можно вывести слѣдующее заключеніе. Decidua foetalis служитъ не только главнымъ связующимъ звеномъ, между дѣтской и материнской placent’ой, но кромѣ того, ей свойственна еще другая не менѣе важная роль, именно, давая отпрыски въ decidua uterina, доходящіе до сосудовъ матери и впослѣдствіе разрушающіеся, она, вѣроятно, служитъ для увеличенія кровяннаго русла, что является необходимымъ для достаточнаго питанія ростущаго и развивающагося плода.
Способъ отдѣленія deciduae et placentae во время родовъ, а также послѣдующее возстановленіе слизистой оболочки, хорошо видимъ на препаратѣ матки (рис. 9), удаленной на 14 день послѣ родовъ, по случаю рака шейки. Разсматриваемый препаратъ представляетъ двойной интересъ. Во 1-хъ, здѣсь крайне демонстративно возстановленіе железъ и слизистой оболочки, и во 2-хъ, благодаря случайному частичному задержанію послѣда, можно видѣть, какъ происходитъ отторженіе deciduae и placentae. Уже макроскопически замѣтно, что пропитанная кровью масса, возвышающаяся надъ стѣнкой матки, мѣстами отдѣляется отъ нея различной величины щелями.
Рис. 9. Препаратъ слизистой оболочки матки 14 дней послѣ родовъ: а—кровеносныя полости—каверны, b—некротизирующаяся decidua, с—молодая слизистая оболочка.
Fig.: 9. Preparation of the uterine mucosa 14 days after childbirth: a — blood cavities — cavities, b — necrotizing decidua, c — young mucous membrane.
Подъ микроскопомъ, дѣйствительно, различается молодая слизистая оболочка на мышечномъ слоѣ съ прилежащимъ къ ней остаткомъ послѣда. Послѣдній представляетъ рѣшетообразный видъ; крупныя полости, раздѣленныя тонкими перегородками, наполненны свернувшейся кровью. Какъ стѣнка полостей, такъ и тотъ участокъ deciduae, который отдѣляется отъ молодой возстанавливающейся mucosae, представляетъ некротическую массу. Она состоитъ изъ какой-то безформенной, слегка зернистой или волокнистой ткани, проникнутой массой различныхъ разрушающихся тѣлецъ. Здѣсь видны и многоядерные лейкоциты, всевозможныя ядра, ядрышки, мельчайшія густокрасящіяся зернышки, ядра съ остатками протоплазмы бывшихъ децидуальныхъ клѣтокъ и, наконецъ, красные кровяные шарики. Какъ мертвая, эта ткань отторгается отъ вновь ростущей слизистой оболочки. Послѣдняя возстановляется изъ железъ съ прилежащею къ нимъ соединительною тканью, которыя сохранились до конца беременности среди мышечныхъ пучковъ.
Совершенно аналогичная картина возстановленія молодой слизистой оболочки, была мною констатирована на препаратѣ матки, въ одномъ случаѣ gravid. extrauterinae (женщина умерла на 3-й день послѣ чревосѣченія). Железы находятся здѣсь въ значительномъ количествѣ. Онѣ имѣютъ небольшой просвѣтъ и перѣзаны вдоль и поперекъ. Перерѣзанныя въ длину онѣ вытягиваются въ видѣ нѣжныхъ трубочекъ къ свободной поверхности возрождающейся mucos’ы, край которой неровенъ, обнаженъ, а мѣстами покрытъ еще небольшими участками некротической массы. Покровъ молодыхъ железъ состоитъ изъ тонкихъ и высокихъ цилиндрическихъ клѣточекъ, усѣянныхъ на свободной поверхности рѣсничками.
Перехожу теперь къ выводамъ, которые можно сдѣлать при изученіи вышеописанныхъ микроскопическихъ картинъ.
1) Во всѣхъ періодахъ беременности ворсинка имѣетъ двойной покровъ, какъ это впервые описалъ Langhans въ болѣе раннія стадіи ея, затѣмъ Кащенко и цѣлый рядъ другихъ авторовъ. Внутренній—клѣточный слой Langhans’а и syncytium или plasmodium—наружный слой. Въ позднѣйшіе періоды беременности, клѣточный слой вслѣдствіе уплощенія клѣтокъ его составляющихъ, констатируется съ большимъ трудомъ, но онъ несомнѣнно имѣется. Элементы клѣточнаго слоя Langans’а не всегда располагаются въ одинъ рядъ. Kossmann не правъ, утверждая, что этотъ слой всегда одиночный. Не трудно убѣдиться, что клѣтки его располагаются въ 2—3 и болѣе рядовъ, образуя иногда цѣлыя гнѣзда, (межворсинчатыя гнѣзда— Zellknoten авторовъ). Цѣлый рядъ наблюденій показываетъ, что онъ происходитъ изъ эктодерма—серознаго листка яйца.
2) Что же касается до plasmodium’a или syncytium’a, покрывающаго ворсины снаружи, то въ противоположность господствующему мнѣнію, признающему его за метаморфизированный железистый и маточный эпителій, мы склонны считать его за измѣненный клѣточный слой. Главныя работы, на которыя обыкновенно ссылаются авторы (Kossmann, Merttens и др.), считающіе syncytium материнскаго происхожденія, работы Frommel’я, Strahl’я, Selenka, заключаютъ въ себѣ нѣко торыя противорѣчія. Такъ напр., Frommel утверждаетъ, что железы погибаютъ и syncytium возникаетъ изъ децидуальной ткани, тогда какъ Strahl придаетъ большую роль железистому эпителію.
Мое же мнѣніе основывается на слѣдующихъ данныхъ. На препаратѣ 3-хъ недѣльнаго аборта, обработанномъ спиртомъ, вокругъ ядеръ протоплазматическаго слоя ясно видны остатки клѣточнаго тѣла, весьма напоминающія клѣтки глубокаго слоя.
Выше мы сдѣлали подробное описаніе тѣхъ измѣненій, которыя, повидимому, претерпѣваютъ элементы клѣточнаго слоя при переходѣ его въ plasmodium. Въ беременномъ состояніи многія ткани претерпѣваютъ сходный метаморфозъ, такъ напр., железистый эпителій, эндотелій сосудовъ и децидуальная ткань (Kossmann, Frommel).
Поэтому невозможно дѣлать заключеніе о происхожденіи одной ткани изъ другой, только лишь на основаніи ихъ внѣшняго сходства. Картины же Strahl’я, на которыхъ онъ изображаетъ въ эктодермическомъ слоѣ ворсинъ ядра или даже цѣлые участки наружнаго слоя, доказываютъ скорѣе генетическую связь между обоими слоями, чѣмъ способность наружнаго слоя къ произвольному движенію.
Далѣе, на препаратѣ ранняго аборта, обработанномъ Флеминговой жидкостью, мѣстами видно, что исчезаніе клѣточнаго слоя, сопровождается утолщеніемъ и набуханіемъ syncytium’a, какъ будто бы это утолщеніе происходитъ на счетъ клѣточнаго слоя.
Какъ упомянуто выше, при внѣдрѣніи клѣтокъ втораго пролиферирующаго слоя въ decidua uterina, мы видѣли, что клѣтки decid. foetalis сопровождаются различной толщины полосками гомогенной массы съ интенсивно красящимися ядрами или безъ нихъ. Это безформенное вещество окружаетъ болѣе или менѣе одну клѣтку или небольшую группу ихъ и даетъ возможность различить элементы dec. f. отъ dec. ut. На препаратѣ двухъ мѣсячнаго аборта, обработанномъ Флеминговой жидкостью, между элементами клѣточныхъ островковъ (Zellknoten) замѣчаемъ также присутствіе этого гомогеннаго вещества съ ядрами или безъ нихъ. Оно окружаетъ отдѣльныя клѣтки или группы ихъ. Протоплазма клѣтокъ, окруженныхъ syncytial’ными массами, уменьшается, какъ будто таетъ въ периферіи и получается впечатлѣніе, что гомогенное межклѣточное вещество есть измѣненная протоплазма самыхъ клѣтокъ. Наконецъ, на препаратѣ матки, удаленной вслѣдствіе разрыва ея въ концѣ срочной беременности, на стѣнкѣ которой остался кусокъ послѣда, видно, что группы клѣтокъ глубокаго слоя, сливаясь между собою, превращаются въ большія протоплазматическія образованія съ значительнымъ количествомъ ядеръ. Такимъ образомъ, удается прослѣдить генетическую связь между syncitium и клѣточнымъ слоемъ Langhans’а.
Если ко всему этому прибавить, что эндотелій составляетъ физіологическую стѣнку для циркулирующей крови, то эпителіальное происхожденіе syncytium’a, будетъ находиться съ этимъ въ явномъ противорѣчіи.
По всей вѣроятности, онъ есть ничто иное какъ преобразованный глубокій слой покрова ворсинъ, источникомъ котораго служитъ серозный листокъ яйца.
Что касается присутствія рѣсничекъ по краю syncytium’a, то мы не могли констатировать ихъ. Кажущіяся же рѣснички, по всей вѣроятности, тонкія нити кровяннаго фибрина, какъ это особенно хорошо видно на одномъ изъ препаратовъ внѣматочной беременности.
3) Въ соединеніи яйца со слизистой оболочкой матки, главная и активная роль, выпадаетъ на долю ворсистой оболочки. Несомнѣнно, какъ это описано многими авторами, покровный и железистый эпителій слизистой оболочки матки теряетъ свои рѣснички, разбухаетъ, слущивается и разрушается — его функція окончена съ наступленіемъ беременности. Ворсинки же начинаютъ сростаться съ dec. uter., создавая изъ своего глубокаго клѣточнаго слоя другую decidua, которая цѣлымъ слоемъ прилегаетъ къ dec. uter. и даетъ въ нее отростки, достигающіе материнскихъ сосудовъ.
4) Такимъ образомъ Zottenraum, т. е., то кровеносное пространство или полость, въ которомъ находятся ворсины, повсюду одѣто syncytium’омъ и только со стороны материнскихъ сосудовъ—эндотеліемъ послѣдняго, который также сильно разбухаетъ и становится похожимъ на syncytium. Syncytium, покрывающій ворсины, есть своеобразнаго строенія вещество, замѣняющее собою эндотелій сосудовъ, черезъ которое происходитъ дѣятельный обмѣнъ веществъ между материнскою кровью, наполняющею межворсинчатое пространство, и плодомъ. Межворсинчатое пространство есть плодовое пространство по преимуществу, наполненное материнскою кровью.
5) Что касается до межворсинчатыхъ клѣточныхъ гнѣздъ, то въ виду ихъ постояннаго уменьшенія къ концу беременности, можно предположить, что межворсинчатое пространство увеличивается, и, можетъ быть, возникаетъ на счетъ ихъ разрушенія (эктодерміальныхъ скопленій).
6) Слизистая оболочка матки въ беременномъ состояніи измѣняется такимъ образомъ, что превращается какъ бы въ сосудистое новообразованіе. Межжелезистая ткань превращается въ особаго рода ткань, которая считается присущей беременному состоянію и называется децидуальной или отпадающей оболочкой. Однако же несправедливо считать ее свойственной исключительно лишь беременному состоянію. При повышенныхъ условіяхъ питанія, межжелезистая ткань можетъ преобразоваться такъ, что станетъ походить на децидуальную и внѣбеременности (fibromyoma ut., cystoma ovarii), какъ мнѣ это нерѣдко приходилось наблюдать.
7) Кровеносныя полости въ материнской decidua образуются также при участіи клѣточныхъ отпрысковъ, разрешающихся изъ 2-го глубокаго слоя покрова ворсинъ. Вростая въ материнскую decidua и доходя до материнскихъ сосудовъ, эти клѣточные цуги начинаютъ распадаться съ центра, какъ описано выше. Такъ увеличивается кровяное русло въ материнской decidua.
8) Отторженіе deciduae и послѣда происходитъ вслѣдствіе некроза этихъ тканей, которыя перестаютъ быть необходимыми посредниками между материнской кровью и плодомъ.
9) При обработкѣ спиртнаго препарата Lugol’евскимъ растворомъ, получается характерная реакція на гликогенъ. Послѣдній является въ видѣ различной величины глыбокъ и зернышекъ, окрашенныхъ въ темно-коричневый цвѣтъ и содержащихся въ клѣткахъ deciduae uterinae et foetalis. Зернышки гликогена констатируются даже въ эндотеліи сосудовъ.
Познакомимся теперь съ измѣненіями слизистой оболочки беременнаго рога кролика. Дѣлая поперечные разрѣзы черезъ беременный рогъ кролика на 10-й день беременности, различаемъ 3 отдѣла макрои микроскопически. Согласно Minot, написавшему обстоятельную работу о развитіи послѣда у кролика, будемъ придерживаться его терминологіи. Часть слизистой оболочки беременнаго рога матки, къ которой прилежитъ послѣдъ, названа имъ subplacenta, противоположная, сохранившая железы, кажущаяся макроскопически наиболѣе узкой— obplacenta, и промежуточные участки, которые, слѣдовательно, на поперечномъ разрѣзѣ рога, представляютъ разрѣзы кольца, раздѣляющаго sub отъ obplacent’ы—peri placenta (placentarrand др. авторовъ).
Всѣ эти три отдѣла представляютъ между собою значительную микроскопическую разницу.
Такъ какъ я имѣла возможность познакомиться со всѣми тремя отдѣлами и ихъ измѣненіями отъ начала и до конца беременности, то я опишу ихъ всѣ, хотя наибольшій интересъ представляетъ для насъ subplacenta съ соединяющейся съ нею placent’ою).
Въ небеременномъ состояніи слизистая оболочка маточнаго рога кролика на поперечномъ разрѣзѣ представляетъ обыкновенно 6 складокъ, состоящихъ изъ соединительной ткани, сосудовъ и железъ. Складки эти покрыты мерцательнымъ цилиндрическимъ эпителіемъ, такой же эпителій находится и въ железахъ. Межжелезистая ткань состоитъ на первый взглядъ изъ тонкой нѣжной сѣтки, въ которой заложены ядра. Но мѣстами можно видѣть шаровидныя или овальныя клѣтки, соединяющіяся своими отростками.
Въ беременномъ состояніи не вся межжелезистая ткань реагируетъ и превращается въ децидуальную. Приблизительно въ области двухъ складокъ (obplacenta) слизистой оболочки она существенно не измѣняется. Въ остальныхъ же отдѣлахъ она сильно разростается и превращается въ децидуальную ткань, состоящую изъ крупныхъ, совершенно прозрачныхъ, полигональныхъ клѣтокъ съ крупными же круглыми или овальными ядрами.
На препаратахъ, обработанныхъ Флемминговой жидкостью, видно, какъ отъ ядра клѣтки расходятся въ разныя стороны нѣжныя окрашивающіяся въ розоватый цвѣтъ (сафраниномъ) нити. Клѣтки тѣсно прилежатъ другъ къ другу и не заключаютъ между собою какого либо межклѣточнаго вещества. Железы здѣсь совершенно исчезаютъ, также какъ и покровный эпителій. Впрочемъ въ periplacent’ѣ можно еще встрѣтить остатки измѣнившихся железъ и эпителія. Въ decidua масса расширенныхъ капиллярныхъ сосудовъ, съ простымъ эндотельяльнымъ покровомъ. Послѣдній представляетъ явленія чрезмѣрнаго набуханія, такъ что отдѣльныя клѣтки его достигаютъ громадныхъ размѣровъ, далеко выступая въ просвѣтъ. Просвѣтъ сосудовъ наполненъ красными кровяными шариками и массою тѣлецъ, напоминающихъ лейкоцитовъ; они располагаются преимущественно въ периферіи сосуда и въ клѣткахъ эндотелія, гдѣ скопляются иногда въ громадномъ количествѣ. Въ subplacent’ѣ железы отсутствуютъ.
Чтобы уяснить себѣ способъ сліянія послѣда съ decidua, познакомимся съ тонкимъ строеніемъ placentae и ея основнымъ элементомъ—ворсинкой. Строеніе ворсинки болѣе просто на chorion laeve, особенно въ томъ его отдѣлѣ, который находится близь самой placent’ы. Ворсинка состоитъ изъ соединительно-тканной стромы съ эмбріональными капиллярами и эпителіоиднымъ покровомъ. Послѣдній образуется крупными богатыми протоплазмой многоядерными клѣтками, тѣсно лежащими другъ возлѣ друга и лишенными рѣсничекъ по свободному краю. Въ placent’ѣ же, гдѣ ворсинки тѣсно лежатъ и различнымъ образомъ переплетаются между собою, границы между клѣтками, покрывающими ихъ, иногда совершенно сливаются и передъ нами получается протоплазматическая масса съ ядрами, которыя густо красятся различными красками. Среди описанной ткани placent’ы встрѣчаются участки блѣдно окрашивающейся ткани. Гнѣзда эти различной величины и на свободныхъ краяхъ, не связанныхъ съ ворсинками, покрыты узкой протоплазматической полоской съ ядрами. Эта свѣтлая ткань при микроскопическомъ изслѣдованіи состоитъ изъ очень крупныхъ, прозрачныхъ клѣтокъ, также полигональной формы, тѣсно спаяныхъ между собою и заключающихъ огромное количество круглыхъ или овальныхъ ядеръ, всегда располагающихся группою центрально. Въ общемъ картина чрезвычайно похожая на decidua uterina, но отличается лишь величиною клѣтокъ и многоядерностью. Никакого межклѣточнаго вещества здѣсь не имѣется. Что же это за ткань и каково ея происхожденіе? Не трудно прослѣдить происхожденіе ея изъ покрова ворсинъ, который также состоитъ изъ много ядерныхъ клѣтокъ, но съ густо окрашивающейся протоплазмой. Элементы же описываемой ткани, сохраняя многоядерность, получаютъ другой характеръ протоплазмы. Она прозрачна и не красится. Можно прослѣдить постепенное измѣненіе, происходящее въ протоплазмѣ ворсинчатаго покрова; такъ напримѣръ, въ нѣкоторыхъ клѣткахъ она точно вакуолизируется и постепенно просвѣтляется. Встрѣчаются клѣтки, одна часть протоплазмы которыхъ стала совершенно прозрачна, а другая сохранила еще способность густо окрашиваться. Гдѣ свободныя ворсинки chorion laeve прилегаютъ къ decidua uterina, тамъ замѣчается появленіе прозрачныхъ многоядерныхъ клѣтокъ. Слѣдовательно, эта ткань несомнѣнно фетальнаго происхожденія (покровъ ворсинки—эктодерма) и такъ какъ по внѣшнему виду она чрезвычайно похожа на отпадающую оболочку матки и въ сущности также отпадаетъ вмѣстѣ съ нею, то ее можно назвать также decidua, но въ отличіе отъ decidua uterina — decidua foetalis.
Теперь не трудно понять способъ соединенія placent’ы съ decidua. По мѣрѣ приближенія къ decidua uterina, какъ видно на препаратѣ (рис. 11), decidua foetalis разростается все болѣе и болѣе и, наконецъ, вторгается въ decidua uterina различной толщины отрогами, иногда далеко заходящими въ послѣднюю. Такимъ образомъ, и здѣсь, какъ у человѣка, въ сліяніи яйца со стѣнкой рога активная роль выпадаетъ на долю ворсистой оболочки. Теперь разсмотримъ дальнѣйшую судьбу отростковъ deciduae foetalis въ decidua uterina.
Рис. 11. Subplacenta съ placent’ою: а—часть послѣда съ его ворсинками, b—subplacenta, с мѣсто сліянія placent’ы съ subplacent’ою, d—decidua foetalis, e—decidua uterina, f—материнскіе капилляры.
Figure: 11. Subplacenta with placent: a — part of the placenta with its villi, b — subplacenta, with the placent's fusion with subplacent, d — decidua fetalis, e — decidua uterina, f — maternal capillaries.
Вдаваясь въ decidua uterina они достигаютъ обыкновенно материнскихъ капилляровъ и нерѣдко встрѣчаются такія картины, что ткань decidua foetalis замѣщаетъ собою въ какомъ либо мѣстѣ капилляра бывшій здѣсь эндотелій. Раздвинутая и сдавленная ткань deciduae uterinae претерпѣваетъ регрессивный метаморфозъ: клѣтки ея сдавливаются, появляется инфильтратъ мельчайшими зернышками и лимфоцитами. Но самымъ существеннымъ измѣненіямъ подвергается сама decidua foetalis. Клѣтки ея, будучи ранѣе тѣсно спаянными между собою, начинаютъ отдѣляться одна отъ другой. Такія картины наблюдаются прежде всего въ центральныхъ отдѣлахъ разрощенія (рис. 12). Освободившіяся клѣтки принимаютъ шаровидную или овальную форму, далѣе тѣло ихъ распадается и ядра становятся свободными.
Рис. 12. а—полости, образуемыя распадающеюся decid. foetails или эктодермическими разрощеніями, b—decid. uterina, с—материнскіе капилляры.
Fig.: 12. a — cavities formed by the decaying decid. fetails or ectodermic growths, b — decid. uterina, c — maternal capillaries.
Въ дальнѣйшемъ разрушеніе клѣтокъ распространяется на все клѣточное разрощеніе.
Такимъ образомъ, благодаря распаду клѣтокъ dec. foetalis получаются различной величины полости, иногда достигающія огромныхъ размѣровъ, наполненныя продуктами распада клѣтокъ, ядерными шариками, напоминающими эмбріональные эритрокаріоциты, лимфоцитами (одно и многоядерными), обломками клѣтокъ, ядеръ, зернышками и, наконецъ, различной величины гомогенными комками. Самыя периферическія клѣтки deciduae foetalis вытягиваются въ длинныя веретенообразныя клѣтки, тѣсно прилежатъ другъ къ другу и чрезвычайно напоминаютъ собою тотъ syncytium, который покрываетъ подобныя же эктодерміальныя разрощенія въ placent’ѣ. Вѣроятно, источникъ происхожденія ихъ одинъ и тотъ же. Ничего нѣтъ удивительнаго, что при сообщеніи происшедшихъ такимъ образомъ, полостей съ материнскими капиллярами, онѣ наполняются материнской же кровью.
Слѣдовательно, decidua foetalis, разрушая decidua uterina, образуетъ новыя кровяныя полости и тѣмъ самымъ увеличиваетъ кровяное ложе.
Decidua uterina, по крайней мѣрѣ, въ болѣе поверхностныхъ слояхъ сохраняется лишь въ окружности нѣкоторыхъ капилляровъ, образуя вокругъ нихъ такъ называемыя периваскулярныя влагалища.
Въ глубокихъ же слояхъ близъ самаго мышечнаго слоя, decidua uterina сохраняется вполнѣ.
При обработкѣ препарата растворомъ Lugol’я получается громадное скопленіе гликогена въ decidua uterina et foetalis. Темно-коричневыя комочки гликогена, круглые, овальные, палочковидные, почковидные, полулунные буквально наполняютъ собою вышеназванныя клѣтки. Они встрѣчаются въ эндотеліи сосудовъ и даже свободно въ просвѣтѣ послѣднихъ.
Такую картину представляетъ subplacenta съ placent’ой, на 10-й день беременности.
Въ periplacent’ѣ межжелезистая ткань разрослась и превратилась въ децидуальную. Железы исчезли или сохранились въ небольшомъ количествѣ лишь въ мѣстѣ непосредственнаго перехода ея въ obplacent’y. Покрывающій ее эпителій сдѣлался плоскимъ, разбухъ, такъ что отдѣльныя клѣтки его почти сливаются между собою. При приближеніи chorion laeve отъ него отдѣляются многоядерныя клѣтки, иногда огромной величины и направляются въ decidua uterina, въ тоже время эпителій послѣдней отдѣляется и распадается.
Соединительная ткань въ obplacent’ѣ не измѣняется. Железы, напротивъ, сильно развиваются. Покровный эпителій mucosae, также какъ и железистый въ верхнихъ отдѣлахъ железъ, претерпѣваетъ своеобразныя измѣненія. Отдѣльныя клѣтки его сильно разбухаютъ, дѣлаются почти шаровидными, сохраняютъ свои рѣснички и заключаютъ въ себѣ множество ядеръ. Нѣкоторыя изъ нихъ отрываются и, находясь свободно въ пространствѣ между стѣнкой рога и яйцомъ, достигаютъ иногда колоссальныхъ размѣровъ, при чемъ число ядеръ доходитъ до сотни и болѣе.
Сходныя же клѣтки отдѣляются и со стороны chorion’a.
Повидимому существенная разница между покровомъ ворсинъ и измѣнившимся эпителіемъ слизистой оболочки матки заключается въ томъ, что послѣдній снабженъ прелестно выраженными мерцательными рѣсничками, образующими густую щетку на поверхности даже отдѣлившихся эпителіальныхъ клѣтокъ; въ первомъ же (покровъ ворсинъ) ихъ не наблюдается даже при обработкѣ Флемминговой жидкостью.
Какъ на особенность этого отдѣла беременнаго рога кролика, слѣдуетъ указать на присутствіе особаго рода клѣтокъ, впервые описанныхъ Minot, подъ именемъ Monsterzells. Это гигантскія клѣтки sui generis (рис. 14 а и b). На разрѣзахъ тѣло ихъ колеблется въ размѣрахъ и бываетъ иногда такъ велико, что занимаетъ собою сплошь все пространство между сосѣдними железами. Форма гигантовъ разнообразная. Протоплазма ихъ гомогенная или нѣжно-зернистая, при тонкой обработкѣ (Флеммингъ) вся поверхность ея точно исчерчена тонкими кружечками. Какой-либо клѣточной оболочки не существуетъ. Въ клѣткѣ лежитъ одно, рѣже два колоссальныхъ же ядра овальной или круглой формы; нельзя не замѣтить, что оно имѣетъ будто свою оболочку, въ которой лежитъ нѣсколько крупныхъ же ядрышекъ (величиною равныхъ ядрамъ элементовъ сосѣднихъ тканей). Чаще ядра находятся въ состояніи распаденія, хроматолиза; получаются зерна, зернышки, комочки различной формы и палочки — все это густо окрашивается. Обработывая свѣжій препаратъ 30% растворомъ ѣдкаго кали и расщепляя его иглами по истеченіи нѣсколькихъ минутъ, удается изолировать гиганты. Онѣ такъ велики, что на микроскопическихъ срѣзахъ не могутъ попасть цѣликомъ. Изолированныя онѣ имѣютъ видъ колоссальныхъ колбъ и мѣшковъ, съ однимъ, рѣже двумя толстыми же отростками на противоположныхъ концахъ. Совершенно отдѣлить ихъ отъ окружающей соединительной ткани или сосѣднихъ сосудовъ не удается. Послѣдніе точно спаяны съ ними. Вся поверхность протоплазмы гигантовъ усѣяна нѣжными контурами кружечковъ.
Рис. 14. Гиганты или Monsterzells Minot.
Fig.: 14. Giants or Monsterzells Minot.
Изучая цѣлый рядъ препаратовъ при различной обработкѣ, не трудно убѣдиться, что передъ нами ничто иное, какъ особеннымъ образомъ перерожденныя железы. Дѣйствительно, на препаратахъ отчетливо видно, какъ клѣтки железъ разбухаютъ, дѣлаются гомогенными и сливаются между собою до полнаго исчезновенія границъ. Ядра, сохраняя круговое расположеніе, постепенно сдвигаются къ центру и какъ будто заключаются въ особую оболочку.
Это регрессивный метаморфозъ железъ, гибель ихъ. Железы въ беременной маткѣ развиваются такъ усиленно, что углубляясь, заходятъ даже въ мышечный слой, поэтому неудивительно, что и здѣсь встрѣчаются вышеописанные гиганты.
Въ дальнѣйшемъ они разсасываются посредствомъ развивающихся около нихъ кровеносныхъ сосудовъ, что можно видѣть на препаратахъ, болѣе позднихъ стадій беременности.
На 20—23 день беременности, картина placent’ы съ subplaсепРой въ значительной степени отличается отъ вышеописанной (рис. 15). Къ мышечной стѣнкѣ прилежитъ тонкимъ сплошнымъ слоемъ decidua uterina. Надъ нею, на значительномъ пространствѣ, фестонообразно вдаваясь въ нея, лежитъ какая-то безструктурная масса, проникнутая ядрами, ядрышками, зернышками, ядерными шариками, красными кровяными шариками и различными обломками клѣтокъ, повидимому децидуальныхъ. Очевидно, это некротическая масса; по направленію собственно къ placent’ѣ, она располагается различной величины участками. Собственно же placenta сохранила свой прежній видъ только на очень ограниченныхъ пространствахъ. Теперь она представляетъ чисто сосудистое образованіе и состоитъ исключительно изъ сплетенія сосудовъ. Остальное же пространство между нею и узкимъ слоемъ deciduae uterinae, состоитъ изъ анастомозирующихъ между собою кавернозныхъ полостей наполненныхъ кровью и раздѣленныхъ довольно тонкими стѣнками. Послѣднія состоятъ изъ атрофирующейся deciduae uterinae. Явленія атрофіи обусловливаются, вѣроятно, повышеннымъ давленіемъ. Въ результатѣ — постоянное увеличеніе полостей. Разрушеніе стѣнокъ кавернъ служитъ, повидимому, подготовительнымъ моментомъ для отторженія placent’ы.
Рис. 15. Препаратъ subplacent’ы съ placent’ою на 22 день беременности кролика: а—кровеносныя полости (каверны), b—материнскіе капилляры c—остатокъ decid. uterin, d—атрофирующаяся decidua uterina.
Fig.: 15. Subplacent preparation with placent on the 22nd day of rabbit pregnancy: a — blood cavities (cavities), b — maternal capillaries c — decid residue. uterin, d — atrophying decidua uterina.
Клѣтки-гиганты, какъ вышеупомянуто, разсасываются при усиленномъ развитіи сосудовъ, которые вытѣсняютъ ихъ окончательно.
Эпителій же, покрывающій слизистую оболочку и верхніе отдѣлы железъ въ obplacent’ѣ, продолжая сильно пролиферировать, даетъ довольно толстый слой многоядерныхъ клѣтокъ. Послѣднія отдѣляются и образуютъ цѣлую полосу, состоящую изъ свободно-лежащихъ многоядерныхъ клѣтокъ и продуктовъ ихъ распада: множества различной величины комковъ и комочковъ гомогенной массы.
Строеніе и развитіе placent’ы человѣка и кролика, имѣютъ много сходнаго. А такъ какъ главнымъ препятствіемъ для изученія человѣческой placent’ы, является трудность полученія нормальныхъ объектовъ; главный же матеріалъ составляютъ аборты, въ которыхъ сказываются въ различной степени патологическія вліянія, то поэтому по необходимости приходится провѣрять нѣкоторыя анатомическія картины на животныхъ и кролики могутъ служить цѣннымъ матеріаломъ при этомъ изученіи.
Кромѣ того, благодаря довольно рѣзкой разницѣ въ строеніи dec. ut. и dec. foetalis у кролика, у послѣдняго нагляднѣе можно прослѣдить способъ прикрѣпленія яйца къ слизистой оболочкѣ матки и дальнѣйшую судьбу deciduae foetalis. У человѣка же, пока эти ткани лежатъ отдѣльно, разница ихъ кажется очевидной, но какъ только начинается вростаніе decidua foetalis въ dec. uterin., одна ткань теряется въ другой и различіе выступаетъ снова лишь, когда элементы decid. foetal. собираются въ сплошныя обособленныя гнѣзда. Поэтому препараты кроличьей placent’ы, могутъ помочь намъ разъяснить и подтвердить нѣкоторыя картины placent’ы человѣка.
Къ сожалѣнію, я не могла получить препарата той ранней стадіи беременности кролика, когда оплодотворенное яйцо только начинаетъ еще прикрѣпляться къ стѣнкѣ матки, такъ что видѣть непосредственно отношеніе эпителіальнаго покрова слизистой оболочки матки къ ворсинкамъ плодовой оболочки, мнѣ не удалось.
Но если правда, что, согласно общепринятому мнѣнію авторовъ, строеніе периферическихъ отдѣловъ placent’ы кроликовъ соотвѣтствуетъ Самымъ раннимъ Стадіямъ ея развитія, то видѣнныя мною картины отношенія ворсинокъ, не вошедшихъ еще въ составъ placent’ы, къ Прилежащей decidua uterin, и покрывающему ее эпителію, не подтверждаетъ предположенія авторовъ, что syncytium материнскаго происхожденія. На Моихъ препаратахъ железистый эпителій, перерожденный, дѣйствительно, подобно syncytium’y, отторгается и распадается, вовсе не переходя на ворсины. На основаніи нашихъ наблюденій, syncytium, покрывающій ворсинки, скорѣе зародышеваго происхожденія и хотя мнѣніе это, нельзя считать вполнѣ доказаннымъ, тѣмъ не менѣе оно лучше всего объясняетъ видѣнныя нами картины и болѣе отвѣчаетъ физіологическимъ условіямъ.
Syncytium ворсинъ есть наружный слой эктодерма, измѣненный соотвѣтственно его значенію, какъ эндотельяльнаго покрова и функціи въ смыслѣ дѣятельнаго обмѣна веществъ, быть можетъ, ни одного только газоваго, который происходитъ черезъ него между материнскою кровью и плодомъ. Другая-же болѣе глубокая часть эктодерма, не измѣненная, у человѣка является въ видѣ довольно крупныхъ, рельефно контурированныхъ, кругловатыхъ или кубическихъ клѣтокъ съ однимъ ядромъ, нерѣдко находящимся въ состояніи коріокинеза, у кролика — въ видѣ много-ядерныхъ, богатыхъ протоплазмой клѣтокъ. Въ обоихъ случаяхъ она, безъ сомнѣнія, служитъ источникомъ для образованія тѣхъ особыхъ клѣточныхъ скопленій — Zellknoten Langhans’а у человѣка и прозрачныхъ участковъ ткани у кролика среди ворсинъ.
До послѣдняго времени высказываются еще мнѣнія, что эти клѣточныя массы ничто иное, какъ остатки материнской deciduae (Hoffmeier, Klein). Но если труднѣе уловить разницу между этими двумя тканями у человѣка, то у кролика морфологическое различіе между ними слишкомъ велико, чтобы можно было смѣшать ихъ между собою. Источникъ происхожденія ихъ у кроликовъ также очевиденъ.
Соединеніе яйца со стѣнкой матки происходитъ при дѣятельномъ участіи deciduae foetalis. На препаратахъ кроличьей ріаcent’ы, превосходно выступаютъ цуги многоядерныхъ клѣтокъ, далеко заходящихъ въ deciduae uter., что у человѣка наблюдается не такъ отчетливо. Пока decidua foetalis у послѣдняго образуетъ сплошной слой надъ dec. uterina изъ крупныхъ многоугольныхъ клѣтокъ, до тѣхъ поръ она отличается отъ подлежащей dec. uterina; какъ только происходитъ вростаніе этой ткани въ dec. uter., рѣзкое различіе ихъ утрачивается.
Фибринознаго слоя Нитабухъ, составляющаго непрерывную границу между обоего рода decidua, я не находила. Правда, въ случаяхъ старыхъ, долго длившихся абортовъ, также какъ и на свѣжихъ препаратахъ въ болѣе позднія стадіи беременности, встрѣчается слой волокнистой массы, напоминающей фибринъ, на границѣ между dec. foetal. и uter., также какъ и у кроликовъ, но она не составляетъ непрерывнаго слоя и есть ничто> иное какъ некротизирующаяся или некротизировшаяся dec. uterina, подъ вліяніемъ давленія и разстройства питанія.
Благодаря болѣе значительной морфологической разницѣ обоихъ decidu’й у кроликовъ, картина строенія placent’ы и взаимное отношеніе частей ея у нихъ кажется проще и понятнѣе. Наконецъ, благодаря свѣжести препаратовъ, мы знаемъ, что слѣдуетъ считать въ предѣлахъ физіологическихъ. Decidua foetalis, играющая столь очевидную и важную роль въ сліяніи яйца со слизистой оболочкой матки, служитъ впослѣдствіе, какъ это мы видѣли у человѣка и особенно рельефно у кроликовъ, для увеличенія кровянаго ложа. Мы видѣли, что decidua foetalis,, разростаясь, доходитъ до материнскихъ капилляровъ, разрываетъ ихъ стѣнки и, распадаясь, даетъ полости, тотчасъ же наполняющіяся материнской кровью.
Очевидно, что тѣ эпителіальныя скопленія, изъ которыхъ, какъ описываетъ Frommel, у myotus murinus возникаютъ кровяныя каверны, суть ничто иное какъ эктодерміальныя разрощенія; въ пользу этого говоритъ, между прочимъ, и полнѣйшее сходство ихъ на прекрасныхъ рисункахъ Frommel’я.
У кроликовъ не трудно убѣдиться, что стѣнка вновь образующихся полостей выстлана тѣми-же элементами deciduae foetalis, но они становятся веретенообразными и мѣстами похожими или на эндотелій, только съ нѣсколькими ядрами, или на syncytium. У человѣка мы могли только предположить участіе ихъ въ образованіи стѣнки полостей. Не можетъ ли подобная картина служить также доказательствомъ зародышеваго происхожденія syncytium’a, именно изъ клѣточнаго покрова ворсинъ?
Чѣмъ дальше къ концу беременности, тѣмъ большаго числа и размѣра достигаютъ кровяныя полости въ децидуальномъ слоѣ. Стѣнка этихъ полостей, состоящая изъ децидуальной ткани, выстлана, слѣдовательно, частью разбухшимъ эндотеліемъ, имѣвшимся на стѣнкахъ материнскихъ капилляровъ, частью клѣтками deciduae foetalis, какъ это отчетливо видно у кроликовъ. Decidua uterina, составляющая, какъ сказано выше, толщу стѣнокъ кровяныхъ полостей, сдавливается и подвергается некрозу; такъ происходитъ сліяніе отдѣльныхъ кавернъ. На основаніи препаратовъ placentae кроликовъ можно заключить, что некрозъ въ placent’ѣ явленіе физіологическое и наблюдается чуть ли не съ момента прикрѣпленія яйца. Чѣмъ ближе къ концу беременности, тѣмъ онъ распространяется все шире и шире, поражая различныя ткани placent’ы.
Дѣйствительно, уже въ моментъ прикрѣпленія яйца происходитъ некрозъ железистаго и покровнаго эпителія. Слизистая оболочка матки превращается въ сосудистое образованіе, весьма напоминающее angiom’y. Внѣдрѣніе decidua foet. въ dec. uterina сопровождается распаденіемъ той и другой ткани. Явленія некроза идутъ прогрессивно.
Не трудно понять, что отдѣленіе яйца должно происходить въ нормальныхъ случаяхъ совершенно легко. Нужно только извѣстное сокращеніе матки, чтобы уцѣлѣвшія между кровяными полостями тонкія и уже почти распавшіяся стѣнки, разорвались бы окончательно и такимъ образомъ произошло бы полное отдѣленіе послѣда отъ матки.
Когда я закончила уже свою работу, вышла 2-я часть труда Merttens’a, гдѣ я впервые встрѣтила на рисункахъ человѣческихъ абортовъ картины, имѣющія нѣкоторое сходство съ моими. Но у него дѣло идетъ о гибели артерій.
Нельзя отрицать мнѣнія Merttens’a, что въ патологическихъ случаяхъ материнскіе сосуды могутъ закупориваться эктодерміальными разрощеніями. Это можетъ произойти, вѣроятно, при условіи измѣненія кровянаго давленія, которое, слѣдовательно, лишено возможности противодѣйствовать этому внѣдрѣнію, тогда какъ нормально у человѣка (экстирпирированная матка V мѣсячной беременности) и у кролика эктодерміальные отпрыски, какъ мы видѣли выше, внѣдряясь въ decidua uterina и достигая стѣнки материнскихъ сосудовъ, разрушаютъ послѣднюю и сами распадаются, не вростая въ просвѣтъ сосудовъ, и обусловливая такимъ образомъ увеличены кровянаго русла. Тоже происходитъ и у летучихъ мышей, какъ это видно на рисункахъ Frommel’я.
Въ заключеніе считаю пріятнымъ долгомъ выразить мою искреннюю благодарность профессорамъ Д. О. Отту и Н. В. Петрову, которымъ я демонстрировала свои микроскопическіе препараты и совѣтами и указаніями которыхъ пользовалась при выполненіи этой работы.
Объясненія рисунковъ:
Рис. 13. Obplacenta: а-измѣненный железистый эпителій, b—железы, c—оторвавшіяся клѣтки железистаго эпителія.
Fig.: 13. Obplacenta: a-altered glandular epithelium, b — glands, c — detached cells of the glandular epithelium.
1 Къ сожалѣнію, этотъ рѣдкій препаратъ былъ замороженъ въ свѣжемъ состояніи, поэтому получилась нѣсколько измѣненная картина. Кристаллы льда раздвинули отдѣльные элементы и нарушили тончайшее отношеніе между ними.
About the authors
K. Ulezko-Stroganova
Author for correspondence.
Email: info@eco-vector.com
Female doctor
Russian FederationReferences
- Leopold.—Studien über die Uterusschleimhaut während der Menstruation, Schwangerschaft u. Wochenbett. Archiv f. Gynaecol., Bd. XI и XII, 1877.
- Его же.—Die Uterusschleimhaut während der Schwangerschaft u. der Bau der Placentae. Arch. f. Gyn., Bd. XI, 1877.
- Его же.—Ueber den Bau der Placenta. Archiv f. Gyn., Bd. XXXV, 1889 г.
- Charles Minot.—Uterus and Embryo. Journal of Morphology, Vol. II, 1889 г.
- Gustav Klein.—Entwickelung u. Ruckbildung der Decidua. Zeitschrift f. Geburtshülfe u. Gynaecologie, XXII, 6.
- Minot.—Die Placenta des Kaninchens. Biolog. Centralblatt, X, 4, 1890—91.
- Selenka.—Zur Enstehung der Placenta des Menschen. Biol. Centralbl., Bd. X.
- Reinstein-Mogilowa.—Ueber die Betheiligung der Zellschicht des chorion an der Bildung der Serotina u. Reflexa. Virchow’s Archiv, Bd. 124.
- Winkler.—Zur Kenntniss der menschlichen Placenta. Archiv f. Gyn., Bd. IV, 1872 г.
- Hofmeier.—Zur Anatomie der Placenta. Archiv f. Gyn., Bd. XXXV, 1889 г.
- Его же.—Beiträge zur Entwickelungsgeschichte der Placenta. Menschliche Placenta. Wiesbaden, 1890 r.
- Steffeck.—Der weisse Infarkt der Placenta—тамъ же.
- Kastschenko.—Das menschliche Chorionepithel und dessen Rolle bei der Histogenèse der Placenta. Archiv f. Anat. u. Physiologie Anatom. Abtheil, 1885.
- Keibel.—Zur Entwickelungsgeschichte der menschlichen Placentae. Anatomischer Anzeiger, IV Jahrg., 1889 г.
- Claude Bernard.― Sur une nouvelle fonction du placenta. C. R. Ac. Sc. Paris, XLVIII, 77—86, 1859 г.
- Duval Mathias. — Sur les premières phases du développement du placenta du lapin. C. R. Soc. biol. Paris, IV Sés. 8, 1887.
- Masius Jean.—De la genèse du placenta chez le lapin. Archiv de Biol. IX, 1889.
- Masquelin H. et Swaen A.—Premières phases du développement du placenta maternel chez le lapin. Archiv biol., I, 1880
- Gottschalk.—Weitere Studien über die Entwickelung der menschichen Placenta. Archiv f. Gyn., 40 Bd., 1891 г.
- Frommel.—Ueber die Entwickelung der Placenta, von Myotus murinus. Wiesbaden, 1888 г.
- Koffer.—Blutextravasat in der Serotina bei frühzeitiges Lösung der normalsitzenden Placenta. Centralblatt f. Gynaecologie, 93, № 44.
- Kossmann.—Das Syncytium der menschlichen Placenta, тамъ же, 93, № 44.
- Langhans.—Zur Kenntniss der menschlichen Placenta, Archiv f. Gyn., 1870 г., Bd. I, Heft 2.
- Его же.—Untersuchungen über die menschlichen Placenta. Archiv, f. Anatom. u Physiologie. Anat. abthei., 1877 г.
- Langhans u. Conrad.—Tubenschwangerschaft. Ueberwanderung des Eies. Archiv f. Gynaecol., Bd. 9, 1876 г.
- Langhans.—Ueber die Zellschicht des menschlichen Chorion. Beiträge zur Anatomie u. Embryologie, Bonn, 1882 г.
- Его же. —Ueber Glycohen in pathologischen Neubildungen und den menschlichen Eihäuten. Wirchow’s Archiv, Bd. 120.
- Nitabuch.—Beiträge zur Kenntniss der menschlichen Placenta, Bern, 1887.
- Strahl.—Untersuchungen über den Bau der Placenta. Archiv f. Anatomie u. Physiologie. Anatomich. Abtheilung, 1889, I.
- Его же.—Die Ablagerung des Eies an die Uteruswand, 1889 г.
- Его же.—Der Bau der Hundeplacenta. Archiv f. Anatomie u. Physiologie Anatomisch. Abtheil., 1890 г.
- Его же.—Die Histologischen Veränderungen der Uterusepithelien in der Raubthierplacenta. Arch. f. An. u. Physiol. Anatom. Abth. Supplement B. 1890 г.
- Gunsser.—Ueber einen Fall von Tubenschwangerschaft. Ein Beitrag zur Lehre von den Beziehungen zwischen den chorionzotten und deren Epithel zu dem mütterlichen Gewebe. Centralblatt f. allgemeine Pathologie u. Pathologiche Anatomi, 1891, № 6.
- Kossmann.—Zur Histologie der Extrauterinschwangerschaft nebst Bemerkungen über ein sehrjunges mit der uterinen Decidua gelöstes Ei. Zeitschrift f. Geburtschülfe u. Gyn., 1893 г.
- Merttens.—Beiträge zur normalen u. pathologischen Anatomie der menschlichen Placenta. Zeits. f. Geb. u. Gyn., 1894 г.
- Усковъ H.—Кровь какъ ткань.
- Hertwig.—Embryologie.
Supplementary files
















