Placental inflammatory changes and their association with the vaginal microbiota before delivery
- Authors: Dadayeva D.G.1, Sosnina A.K.1, Tral T.G.1,2, Tolibova G.K.1,3, Budilovskaya O.V.1,2, Krysanova A.A.1,2, Savicheva A.M.1,2, Kogan I.Y.1,4
-
Affiliations:
- The Research Institute of Obstetrics, Gynecology, and Reproductology named after D.O. Ott
- Saint Petersburg State Pediatric Medical University
- North-Western State Medical University named after I.I. Mechnikov
- Saint Petersburg State University
- Issue: Vol 70, No 1 (2021)
- Pages: 59-68
- Section: Original study articles
- Submitted: 03.12.2020
- Accepted: 23.12.2020
- Published: 08.04.2021
- URL: https://journals.eco-vector.com/jowd/article/view/52962
- DOI: https://doi.org/10.17816/JOWD52962
- ID: 52962
Cite item
Abstract
HYPOTHESIS/AIMS OF STUDY: Infection of the amniotic cavity and placenta is one of the leading causes of adverse pregnancy outcomes. In the majority of cases, intra-amniotic infection is associated with the normal microbiota of the lower urogenital tract. The aim of the study was to explore the relationships between the placental inflammatory changes, vaginal microbiota and labor course.
STUDY DESIGN, MATERIALS AND METHODS: We examined 124 women at 37-41 weeks of gestation. The vaginal discharge at admission was taken for microbiological evaluation, with the delivered placenta sent for histological examination.
RESULTS: In 17.7% of cases, histological examination of the placenta revealed inflammatory changes. A statistically significant correlation was noted between the placental inflammatory changes and Staphylocossus spp. presence in the vaginal discharge at admission (р = 0.0004). The placental inflammatory changes were associated with the membrane rupture to delivery interval more than 6 hours (р = 0.01) and the labor duration more than 7 hours (р = 0.0004). Prelabor rupture of membranes did not significantly affect the placental inflammatory changes (p = 1.0).
CONCLUSION: Predisposing factors for the development of ascending bacterial infection of the placenta are an abnormal vaginal microbiota with the presence of opportunistic bacteria before delivery, a long membrane rupture to delivery interval, and a prolonged labor.
Full Text
INTRODUCTION
The progressive increase in infectious pathology of the fetus and newborn is a significant problem of contemporary obstetrics. Intra-amniotic infection causes a various antenatal pathologies, namely, infectious diseases of the fetus, placental insufficiency, antenatal fetal death, miscarriage, and delayed and abnormal fetal development. The development of the infectious process in the fetus, severity of its damage, and localization of the pathological process are influenced by the infectious pathology of the mother, the type of pathogen and its virulence, the pathways of infection from mother to fetus, the pathogen tropism to the organs and tissues of the fetus, protective reserves of the mother, and the ability of the fetus to an immune response [1–6]. Intra-amniotic infection (or chorioamnionitis) causes approximately 40% of all cases of preterm delivery [7] and 60%–70% of cases of late spontaneous miscarriage [8]. Intra-amniotic infection is believed to be caused by pathogenic and opportunistic microorganisms and viruses; however, in most cases, representatives of normal microflora of various biotopes of a woman, mainly the lower parts of the urogenital tract, become the causative agents of this infection [9].
There are three main ways of penetration of infectious agents into the fetal bladder cavity:
- ascending — from the lower genital tract (considered as the main path);
- hematogenous — from chronic foci of infection of the mother;
- Iatrogenic — bacterial invasion of the amniotic fluid during invasive diagnostic or therapeutic procedures [10].
The persistence of microorganisms in the amniotic fluid is due to the ability of most of them to disrupt the bactericidal properties of this substrate.
Based on the data given by Tkachenko (2017), bacterial chemotaxins stimulate the “migration” of neutrophils into the amniotic fluid from the umbilical cord vessels and from the intervillous blood (through the chorionic plate). Neutrophils and bacteria contained in amniotic fluid secrete phospholipase, which, during fermentation, forms arachidonic acid from amnion cells, which is subsequently converted into prostaglandins E2 (dilation of the cervical canal) and F2a (inducing uterine contraction) [11–13]. In this case, the antimicrobial activity of amniotic fluid is short-term. Microorganisms penetrate into the amniotic fluid already with cervical dilatation up to 4 cm, and with cervical dilatation of ≥6 cm, microorganisms in significant quantities enter the uterine cavity. Microbial contamination of amniotic fluid with intact membranes, as well as with early rupture of the fetal bladder, creates conditions for the occurrence of inflammatory foci in the placenta and in the vessels of the umbilical cord. In this regard, there is a risk of penetration of the pathogen to the fetus by hematogenous route. Moreover, infection can occur in other ways, namely, transplacental, transdecidual (from purulent foci between the wall and decidua), and descending (through the fallopian tubes from the focus in the abdominal cavity) [11, 12].
Several authors have reported a high frequency of infectious placentitis. Changes in the placenta depend on many factors such as the type of pathogen, the path of its penetration, and the inflammatory process duration [14, 15]. According to Zinserling, placentitis is commonly caused by Staphylococcus epidermidis, Staphylococcus aureus, Escherichia spp., and Enterobacter spp.; however, the microbial spectrum of pathogens is slightly diverse [16].
This study aimed to analyze the relationship of inflammatory changes in the placenta with the vaginal microbiota and the course of labor.
MATERIALS AND METHODS
Overall, 124 pregnant patients admitted to the Research Institute of Obstetrics, Gynecology, and Reproductology named after D.O. Ott for delivery were examined. The inclusion criteria were age 18–40 years inclusive, full-term singleton pregnancy, normal location of the placenta and the amount of amniotic fluid, and delivery at a gestational age of no later than 41 weeks. The exclusion criteria were diabetes mellitus of any type, fever, multifetal pregnancy, ischemic-cervical insufficiency, and the use of local or systemic antibacterial agents less than 3 months prior to inclusion in the study. Two study groups were formed. Group 1 consisted of female patients (n = 22), in whom the histological examination revealed signs of inflammatory changes in the placenta, while group 2 (n = 102) included women without them.
When assessing the anamnesis, the generally accepted positions of the obstetric and gynecological history were assessed (the number of pregnancies in the history, their outcome; the frequency of urogenital infections and urinary tract infections; aspects of the course of pregnancy, childbirth, and mode of delivery).
For microbiological examination, vaginal discharge was obtained from the posterolateral vaginal fornix using a sterile swab. The swab samples were placed in isotonic sodium chloride solution for subsequent molecular biological analysis by real-time quantitative polymerase chain reaction (PCR) (Femoflor-16 test; DNK-Technologiya, Moscow). DNA of microorganisms was isolated from 100 μL of the sample using the Proba-GS reagent kit (DNK-Technologiya, Moscow) according to the manufacturer’s instructions. The total concentration of bacterial DNA was determined, namely, the total bacterial mass and the concentration (absolute and relative) of the species/genera of microorganisms Lactobacillus, Enterobacteriaceae, Streptococcus, Staphylococcus, Gardnerella vaginalis/Prevotella bivia/Porphyromonas, Eubacterium, Sneathia/Leptotrichia/Fusobacterium, Megasphaera/Veillonella/Dialister, Lachnobacterium spp./Clostridium, Mobiluncus spp./Corynebacterium, Peptostreptococcus, and Atopobium vaginae. In addition, the absolute concentration of Mycoplasma hominis, Mycoplasma genitalium, Ureaplasma, and Candida was assessed.
Obtaining samples, preparing material for research, and preparing histological preparations were performed in accordance with the order of the Ministry of Health of the Russian Federation (March 24, 2016; No. 179n, “On the rules for conducting postmortem studies”). The material was fixed in 10% neutral formalin (pH 7.2), and the histological diagnostics was performed according to the standard protocol. The blocks obtained were cut into sections with a thickness of 3–5 µm. For general staining, hematoxylin and eosin were used. The study was conducted using an Olympus CX31 microscope (Japan) at a magnification of ×100, ×400.
The components of the placenta, including the fetal membranes, placenta (villous tree, basal and chorionic plates), and umbilical cord, were studied by light microscopy, with an assessment of the structural and functional organization and pathological changes. The following morphological components of the placenta were considered:
- degree of maturation of the villous tree and its compliance with the gestational period;
- nature of cellular infiltration of all structures of the placenta;
- presence and severity of circulatory disorders;
- involutive-dystrophic changes.
Depending on the involvement of the components of the placenta in the inflammatory process, three stages of ascending bacterial infection were distinguished: stage I was membranous, with involvement of only the fetal membranes; stage II was placental, with the involvement of all layers of fetal membranes and/or placenta; and stage III was umbilical, with signs of exudative inflammation in all structures of the placenta [17].
Statistical processing of the data obtained was performed using the STATISTICA 10.0 program. To compare the quantitative and qualitative composition of the microbiota before delivery, the nonparametric Mann–Whitney U-test and Pearson Chi-square (χ2) index were used; for small samples, the Chi-square was calculated with Yates’ correction or the exact two-sided Fisher’s test was used. The data were tested for normality of distribution using the Shapiro–Wilk test, and the homogeneity of variances was assessed using Levene’s test. Continuous variables with normal distribution are presented as arithmetic mean (M) ± standard deviation (sd). Medians (25–75th percentile) were used in case of absence of normal distribution. P-values <0.05 were considered statistically significant.
RESULTS AND DISCUSSION
The average age of the female patients examined was 32 ± 5.8 years in group 1 and 31.5 ± 5 years in group 2 (18–42 years). A history of urinary tract infection (chronic cystitis, chronic pyelonephritis, asymptomatic bacteriuria) and urogenital infection (chlamydial infection, trichomoniasis, candidal vulvovaginitis) was registered in 12/22 (54.5%) pregnant women in group 1 and in 49/102 (48%) pregnant women in group 2. In group 1, 8/22 (36.4%) women underwent cesarean section and 14/22 (63.6%) female patients had the natural vaginal delivery and in group 2, 53/102 (52%) and 49/102 (48%) female patients, respectively. In group 1, there were 17/22 (77.3%) primiparous women and 5/22 (22.7%) multiparous patients, and in the group 2, there were 47/102 (46.1%) and 55/102 (53.9%) female patients, respectively.
Premature rupture of membranes occurred in 17 women, including in 3/22 (13.6%) cases in group 1 and in 14/102 (13.7%) cases in group 2. The period without amniotic fluid of more than 6 hours was registered in 6/22 (27.3%) women in group 1 and in 9/102 (8.8%) cases in group 2. The average duration of labor was 7.4 ± 3.8 hours in group 1 and 3.9 ± 3.4 hours in group 2, which was associated with a greater number of multiparous women in this group.
Table 1 presents the clinical characteristics of the patients of the groups examined.
Table 1. Clinical characteristics of patients in the groups examined
Clinical characteristics | Group 1 n = 22 (%) | Group 2 n = 102 (%) | р |
Age, years | 32 ± 5.8 | 31.5 ± 5 | 0.67 |
Incidence of urinary tract infections and history of urogenital infection | 12 (54.5%) | 49 (48%) | 0.6 |
Cesarean section frequency | 8 (36.4%) | 53 (52%) | 0.19 |
Frequency of vaginal delivery | 14 (63.6%) | 49 (48%) | 0.19 |
Premature rupture of membranes | 3 (13.6%) | 14 (13.7%) | 1.0 |
Period without amniotic fluid >6 h | 6 (27.3%) | 9 (8.8%) | 0.01 |
Duration of labor, h | 7.4 ± 3.8 | 3.9 ± 3.4 | 0.0004 |
Table 1 shows that the development of inflammatory changes in the placenta is probably associated with the duration of the period without amniotic fluid (more than 6 hours) (p = 0.01), as well as the duration of labor (p = 0.0004).
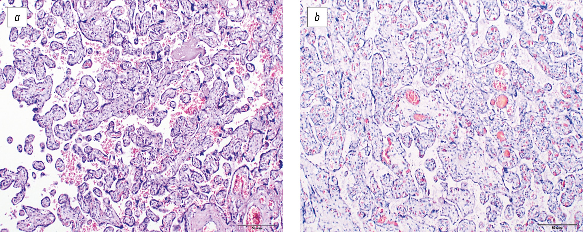
The terminal type of villous chorion development corresponding to full-term gestation was registered in 21 (95.5%) cases in group 1 and in 81 (79.4%) cases in group 2. Histological signs of chronic placental insufficiency were noted in 9.1% (2) of cases in group 1 and in 17.6% (18) in group 2. Moreover, in group 2, chronic placental insufficiency in 89% (16) cases was represented by a dissociated form associated with impaired differentiation and the preservation of chorionic villi generations in the villous tree structure, characteristic of earlier stages of pregnancy.
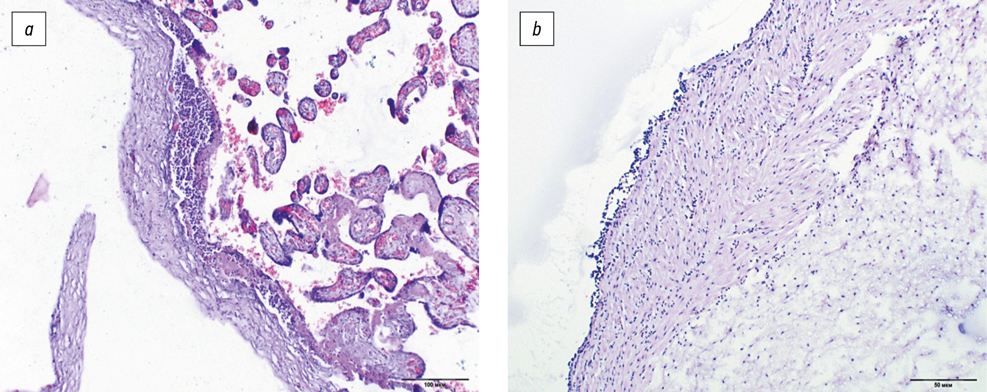
In 14 (77.8%) cases in group 2, placental insufficiency was in the stage of compensation, characterized by moderate plethora and persistence of mature intermediate villi, and in 2 (11.1%) cases, it was in the stage of subcompensation, represented by uneven blood filling of the vascular bed of the villi, plethora of veins of intermediate villi, and relative anemia of terminal chorionic villi (Fig. 1).
Fig. 1. The structure of the villous chorion: (a) terminal type of structure of the villous tree of the placenta at full-term pregnancy (staining with hematoxylin and eosin, ×100); (b) dissociated chronic placental insufficiency (staining with hematoxylin and eosin, ×100)
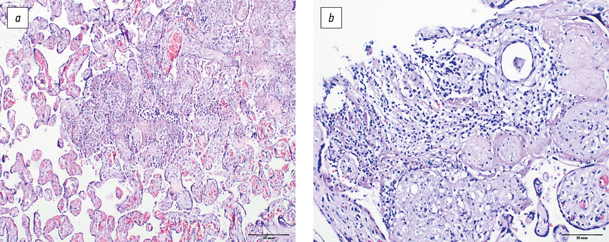
Inflammatory changes in the placenta in group 1 are represented by hematogenous infection in 18.2% (4) and signs of ascending bacterial infection in 81.8% (18) of cases. Hence, hematogenous infection of the placenta was characterized by stromal hypercellularity with monocytic infiltration (productive villusitis) in three (75%) placentas. Dystrophic and desquamative changes in the chorial epithelium with perifocal fibrinoid deposition (fibrinous-desquamative intervillositis) were detected in one (25%) case (Fig. 2).
Fig. 2. Hematogenous infection of the placenta: (a) desquamative-dystrophic changes in the chorial epithelium with perifocal deposition of fibrinoid masses and lymphoid infiltration (staining with hematoxylin and eosin, ×100); (b) fibrinous-desquamative intervillositis (staining with hematoxylin and eosin, ×200)
The manifestations of ascending bacterial infection in three (16.7%) placentas corresponded to stage I of the process, with the development of membranitis and exudative-necrotic parietal deciduitis.
The inflammatory process of the fetal membranes and/or placenta (stage II infection) was noted in 11 (61.1%) placentas with the development of membranitis, involvement of all layers of the fetal membranes, and presence of choriodeciduitis. At the same time, in eight (72.7%) placentas, exudative inflammation was detected only in the placental structures. Subchorial intervillositis was noted in all cases and was manifested by the presence of polymorphonuclear leukocytes in the Langhans’ fibrinoid layer, similar to the leukocytes margination in the intervillous space. Additionally, in two (18.2%) placentas, polymorphonuclear leukocytes in the chorionic plate with the formation of placental chorioamnionitis were noted (Fig. 3).
Fig. 3. Ascending bacterial infection of the placenta: (a) exudative infiltration of the chorionic plate and subchorial space (placental chorioamnionitis, subchorial intervillositis) (staining with hematoxylin and eosin, ×100); (b) accumulations of leukocytes in the vein wall with penetration into the Wharton’s jelly (phlebostromal funiculitis) (staining with hematoxylin and eosin, ×100)
Ascending stage III bacterial infection was characterized by involvement of the umbilical cord in the inflammatory process and was detected in four (22.2%) cases.
Table 2 presents data on the ascending and hematogenous infection of the placenta and the mode of delivery.
Table 2. Inflammatory changes in the placenta of group 1 of patients, depending on the mode of delivery
Nosological units | Vaginal delivery n = 14 (%) | Cesarean section n = 8 (%) |
Ascending bacterial infection of the placenta | 14 (100) | 4 (50) |
Stage I (membranous) | – | 3 (37.5) |
Stage II (placental) | 11 (78.6) | – |
Stage III (umbilical cord) | 3 (21.4) | 1 (12.5) |
Hematogenous infection of the placenta | – | 4 (50) |
Ascending bacterial infection of stage II placenta was more common in women who had natural vaginal childbirth, which is most likely due to the duration of the period without amniotic fluid and delivery. Conversely, hematogenous infection of the placenta was revealed only in women who underwent cesarean section (Table 2).
This study analyzed the frequency of detection of microorganisms in the vagina before childbirth in women with inflammatory changes in the placenta according to the data of histological examination (Table 3).
Table 3. Frequency of detection of microorganisms in the vagina before childbirth in women of the study groups
Microorganisms detected in the vagina by real-time quantitative PCR | Group 1 n = 22 (%) | Group 2 n = 102 (%) | р |
Lactobacilli | 21 (95.5) | 100 (98) | 0.7 |
Enterobacteriaceae | 5 (22.7) | 12 (11.8) | 0.18 |
Streptococcus spp. | 3 (13.6) | 7 (6.9) | 0.29 |
Staphylocossus spp. | 9 (40.9) | 11 (10.8) | 0.0004* |
Gardnerella vaginalis/Prevotella bivia/Porphyromonas spp. | 10 (45.5) | 51 (50) | 0.76 |
Eubacterium spp. | 7 (31.8) | 47 (46.1) | 0.22 |
Sneathia spp./Leptotrichiaspp./Fusobacterium spp. | 3 (13.6) | 6 (5.9) | 0.21 |
Megasphaera spp./Veillonella spp./Dialister spp. | 6 (27.3) | 22 (21.6) | 0.56 |
Lachnobacterium spp./Clostridium spp. | 3 (13.6) | 19 (18.6) | 0.58 |
Mobiluncus spp./Corynebacterium spp. | 5 (22.7) | 21 (18.6) | 0.66 |
Peptostreptococcus spp. | 4 (18.2) | 17 (16.7) | 0.86 |
Atopobium vaginae | 4 (18.2) | 16 (15.7) | 0.77 |
Candida spp. | 1 (4.5) | 15 (14.7) | 0.2 |
Ureaplasma spp. | 9 (40.9) | 42 (41.2) | 0.98 |
Mycoplasma hominis | 0 | 4 (3.9) | 0.42 |
Mycoplasma genitalium | 0 | 0 |
* Statistically significant difference.
Lactobacilli were determined in the vaginal discharge in most women in the two groups.
In both groups examined, both facultative and obligate anaerobic bacteria were identified. Moreover, among the facultative anaerobic bacteria, microorganisms of the Enterobacteriaceae family and staphylococci persisted. Among obligate anaerobic bacteria, various associations of microorganisms were registered. In group 1, Gardnerella vaginalis/Prevotella bivia/Porphyromonas spp. were detected in 10/22 (45.5%) of women, Eubacterium spp. in 7/22 (31.8%) of patients, and Staphylococcus spp. in 9/22 (40.9%) female patients.
Megasphaera spp., Veillonella spp., Dialister spp., Lachnobacterium spp., Clostridium spp., Mobiluncus spp., Corynebacterium spp., Peptostreptococcus spp., and Atopobium vaginae were found with equal frequency in both groups.
Мycoplasma hominis was detected in 4/102 (3.9%) women in group 2 only. In groups 1 and 2, Ureaplasma spp. was revealed equally frequent in all women.
There was no statistically significant relationship between vaginal microbial associations and the development of placental inflammatory changes (Table 3). However, a significant relationship between the detection of Staphylococcus spp. in the vaginal discharge before childbirth and the development of inflammatory changes in the placenta was noted (p = 0.0004).
Unfortunately, we have not performed the species identification of staphylococci found in the vaginal discharge; however, even the detection of Staphylococcus epidermidis in a significant amount can lead to the development of an ascending infection. This is evidenced by studies of Russian [16, 18, 19] and international authors [20, 21].
In microbiological examination of the placentas, microorganisms were found only in three placentas, combined with inflammatory changes according to the data of histological examination. Moreover, in one (33.3%) case, lactobacilli in combination with Мycoplasma genitalium were registered; in one (33.3%) case, only lactobacilli were detected; and in one (33.3%) case, lactobacteria were revealed. Thus, in the presence of histological inflammatory changes in the placenta, it is often not possible to detect etiological agents. This is consistent with reports from a number of researchers that microorganisms are rarely detected in the placenta, or they are found in extremely low concentrations [22, 23]. Identifying a pathogenic microorganism such as Мycoplasma genitalium in the placenta is noteworthy. It should be emphasized that this microorganism was not detected in a woman during pregnancy. This suggests that pathogenic microorganisms, both Мycoplasma genitalium and Chlamydia trachomatis, can cause ascending infection of the placenta, amniotic fluid, and fetus. This, however, needs further study.
Children born to mothers with inflammatory changes in the placenta had Apgar scores of 7–8 points at minutes 1 and 5. All children were discharged on days 4–5 together with their mothers in satisfactory condition. The presence of risk factors (inflammatory changes in the placenta) does not always lead to antenatal or intranatal infection of the fetus and placenta; the fetal membranes protect the developing fetus from pathogenic and opportunistic microorganisms. Inflammatory changes in the placenta cause intrauterine stimulation of chorionic villi macrophages, and specific immunological defense mechanisms are formed, that prevent the development of the infectious process in the fetus [18].
CONCLUSION
The impairment of vaginal microbiocenosis before childbirth, with a predominance of opportunistic microorganisms, most often staphylococci, and a prolonged period without amniotic fluid and a prolonged parturition are predisposing factors of an ascending bacterial infection of the placenta.
About the authors
Dzhamilya G. Dadayeva
The Research Institute of Obstetrics, Gynecology, and Reproductology named after D.O. Ott
Author for correspondence.
Email: djamilya2010@mail.ru
ORCID iD: 0000-0002-1190-0149
Post-Graduate Student
Russian Federation, Saint PetersburgAlexandra K. Sosnina
The Research Institute of Obstetrics, Gynecology, and Reproductology named after D.O. Ott
Email: aleksandrasosnina@bk.ru
ORCID iD: 0000-0002-9353-9333
SPIN-code: 9103-3119
pathologist of the Pathological Department of the Department of Pathomorphology
Russian Federation, Saint PetersburgTatyana G. Tral
The Research Institute of Obstetrics, Gynecology, and Reproductology named after D.O. Ott; Saint Petersburg State Pediatric Medical University
Email: ttg.tral@yandex.ru
ORCID iD: 0000-0001-8948-4811
SPIN-code: 1244-9631
Scopus Author ID: 37666260400
PhD, MD. Pathologist, Head of Pathologist Laboratory of the Department of Pathomorphology
Russian Federation, Saint PetersburgGulrukhsor Kh. Tolibova
The Research Institute of Obstetrics, Gynecology, and Reproductology named after D.O. Ott; North-Western State Medical University named after I.I. Mechnikov
Email: gulyatolibova@yandex.ru
ORCID iD: 0000-0002-6216-6220
SPIN-code: 7544-4825
Scopus Author ID: 23111355700
ResearcherId: Y-6671-2018
MD, PhD, Leading Researcher, Head of immunohistochemistry laboratory
Russian Federation, Saint PetersburgOlga V. Budilovskaya
The Research Institute of Obstetrics, Gynecology, and Reproductology named after D.O. Ott; Saint Petersburg State Pediatric Medical University
Email: o.budilovskaya@gmail.com
ORCID iD: 0000-0001-7673-6274
SPIN-code: 7603-6982
Researcher, The Laboratory of Microbiology
Russian Federation, Saint PetersburgAnna A. Krysanova
The Research Institute of Obstetrics, Gynecology, and Reproductology named after D.O. Ott; Saint Petersburg State Pediatric Medical University
Email: krusanova.anna@mail.ru
ORCID iD: 0000-0003-4798-1881
SPIN-code: 2438-0230
Researcher, Laboratory of Microbiology; Assistant of the Department of Clinical Laboratory Diagnostics of the Faculty of Postgraduate and Additional Professional Education
Russian Federation, Saint PetersburgAlevtina M. Savicheva
The Research Institute of Obstetrics, Gynecology, and Reproductology named after D.O. Ott; Saint Petersburg State Pediatric Medical University
Email: savitcheva@mail.ru
ORCID iD: 0000-0003-3870-5930
SPIN-code: 8007-2630
Scopus Author ID: 6602838765
Dr. med. Sci., Professor, Honored Scientist of the Russian Federation, Head of the Laboratory of Microbiology, Head of the Department of Clinical Laboratory Diagnostics of the Faculty of Postgraduate and Additional Professional Education
Russian Federation, Saint PetersburgIgor Yu. Kogan
The Research Institute of Obstetrics, Gynecology, and Reproductology named after D.O. Ott; Saint Petersburg State University
Email: ikogan@mail.ru
ORCID iD: 0000-0002-7351-6900
SPIN-code: 6572-6450
Scopus Author ID: 56895765600
MD, PhD, DSci (Medicine), Professor, Corresponding Member of RAS. The Department of Obstetrics, Gynecology, and Reproductive Sciences, Medical Faculty
Russian Federation, Saint PetersburgReferences
- Galimov AI. Infekcionno-vospalitel’nye oslozhnenija posle jekstrennogo kesareva sechenija i principy ih profilaktiki. Medicinskij vestnik Bashkortostana. 2010;(3):48–50. (In Russ.)
- Ermolenko NI. Osobenosti kliniki i diagnostika vnutrimatochnoj bakterial’noj infekcii. [dissertation abstract]. Moscow; 1982. (In Russ.)
- Makarov OV, Bahareva IV, Gankovskaja LV, Idrisova LS. Sovremennye predstavlenija o diagnostike vnutriutrobnoj infekcii. Rossijskij vestnik akushera-ginekologa. 2006;(1):11–15. (In Russ.)
- Pashina NA, Ordzhonikidze NV, Ponomareva LP. Perinatal’nye infekcii i mnogovodie. Akusherstvo i ginekologija. 2004;(3):5–8. (In Russ.)
- Sidorov IS, Makarov IO, Matvienko IA, et al. Sostojanie fetoplacentarnoj sistemy pri vysokom riske vnutriutrobnogo inficirovanija ploda. Rossijskij vestnik perinatologii i pediatrii. 2000;45(2):5–8. (In Russ.)
- Chiesa C, Panero A, Osborn JF, Simonetti AF, Pacifico L. Diagnosis of neonatal sepsis: a clinical and laboratory challenge. Clin Chem. 2004;50(2):279–287. doi: 10.1373/clinchem.2003.025171
- Mendz GL, Kaakoush NO, Quinlivan JA. Bacterial aetiological agents of intra-amniotic infections and preterm birth in pregnant women. Front Cell Infect Microbiol. 2013;3:58. doi: 10.3389/fcimb.2013.00058
- Giakoumelou S, Wheelhouse N, Cuschieri K, et al. The role of infection in miscarriage. Hum Reprod Update. 2016;22(1):116–133. doi: 10.1093/humupd/dmv041
- Dadayeva DG. Placental microbiota and its role in the development of intra-amniotic infection. Journal of Obstetrics and Women’s Diseases. 2020;69(1):81–86. (In Russ.). doi: 10.17816/JOWD69181-86
- Ailamazian EK, Shipitsyna EV, Savicheva AM. Woman’s¬ ¬microbiota and pregnancy outcomes. Journal of obstetrics and women’s diseases. 2016;65(4):6–14. (In Russ.). doi: 10.17816/JOWD6546-14
- Tkachenko AK, Romanova ON, Marochkina EM. То the concepts of “Intrauterine infection and fetal infection”. Zhurnal Grodnenskogo gosudarstvennogo medicinskogo universiteta. 2017;(1):103–109. (In Russ.)
- Majanskij AN. Infekcionnye vzaimootnoshenija v sisteme mat’-plod. Voprosy diagnostiki v pediatrii. 2009;1(5):5–13. (In Russ.)
- Shabalova NP, Cveleva JuV. Osnovy perinatologii. Moscow: MED press-inform; 2002. (In Russ.)
- N’jujell ML, Mak-Intajra D. Vrozhdennye i perinatal’nye infekcii: preduprezhdenie, diagnostika i lechenie. Saint Petersburg: Petropolis; 2004. (In Russ.)
- Gluhovec BI, Gluhovec NI. Voshodjashhee inficirovanie fetoplacentarnoj sistemy. Moscow: MED press-inform; 2006. (In Russ.)
- Cinzerling VA, Mel’nikova VF. Perinatal’nye infekcii. Voprosy patogeneza, morfologicheskoj diagnostiki i kliniko-morfologicheskih sopostavlenij. Prakticheskoe rukovodstvo. Saint Petersburg: JELBI; 2002. (In Russ.)
- Gluhovec NG. Mehanizmy patogeneza i patomorfologicheskaja diagnostika voshodjashhego inficirovanija feto-placentarnoj sistemy [dissertation abstract]. Moscow; 2004. (In Russ.) [cited 2021 Jan. 19]. Available from: https://www.dissercat.com/content/mekhanizmy-patogeneza-i-patomorfologicheskaya-diagnostika-voskhodyashchego-infitsirovaniya-f
- Perepelica SA, Golubev AM, Moroz VV, et al. Vospalitel’nye izmenenija v placente i bakterial’naja infekcija u nedonoshennyh novorozhdennyh s dyhatel’noj nedostatochnost’ju. Obshhaja reanimatologija. 2012;8(3):18–24. (In Russ.)
- Rymashevskij AN, Uelina GA, Nabokova JuL, et al. Mikroflora vlagalishha, placenty i okoloplodnyh vod u zhenshhin pri antenatal’noj gibeli ploda. Vestnik Nacional’nogo mediko-hirurgnicheskogo centra im. N.I. Pirogova. 2012;7(2):60–62. (In Russ.)
- Madan E, Meyer MP, Amortequi A. Chorioamnionitis: a study of organisms isolated in perinatal autopsies. Ann Clin Lab Sci. 1988;18(1):39–45.
- Donders G, Bellen G, Rezeberga D. Aerobic vaginitis in pregnancy. BJOG. 2011;118(10):1163–1170. doi: 10.1111/j.1471-0528.2011.03020.x
- Aagaard K, Ma J, Antony KM, Ganu R, Petrosino J, Versalovic J. The placenta harbors a unique microbiome. Sci Transl Med. 2014;6(237):237ra65. doi: 10.1126/scitranslmed.3008599
- Seferovic MD, Pace RM, Carroll M, et al. Visualization of microbes by 16S in situ hybridization in term and preterm placentas without intraamniotic infection. Am J Obstet Gynecol. 2019;221(2):146.e1–146.e23. doi: 10.1016/j.ajog.2019.04.036
Supplementary files





