Placental morphology in different types of diabetes mellitus
- Authors: Kapustin R.V.1,2, Kopteyeva E.V.2, Tral T.G.1, Tolibova G.K.1,3
-
Affiliations:
- The Research Institute of Obstetrics, Gynecology, and Reproductology named after D.O. Ott
- Saint Petersburg State University
- North-Western State Medical University named after I.I. Mechnikov
- Issue: Vol 70, No 2 (2021)
- Pages: 13-26
- Section: Original study articles
- Submitted: 29.12.2020
- Accepted: 19.01.2021
- Published: 17.06.2021
- URL: https://journals.eco-vector.com/jowd/article/view/57149
- DOI: https://doi.org/10.17816/JOWD57149
- ID: 57149
Cite item
Abstract
AIM: The aim of this study was to compare placental morphological features from women with different types of diabetes mellitus considering method of DM correction.
MATERIALS AND METHODS: A retrospective, single-center, cohort study was carried out. We analyzed morphological examination results of 3300 placentas, which made uр the following comparison groups: type 1 diabetes mellitus on continuous subcutaneous insulin infusion (n = 60), type 1 diabetes mellitus on multiple subcutaneous insulin injections (n = 446), type 2 diabetes mellitus on diet (n = 95), type 2 diabetes mellitus on insulin therapy (n = 134), gestational diabetes mellitus on diet (n = 1652), gestational diabetes mellitus on insulin therapy (n = 735), preeclampsia (n = 39), and the control group (n = 139). The examined placentas were weighed, with their sizes (two diameters and thickness), cotyledon structure and defects assessed. We determined the umbilical cord junction and external characteristics of extraembryonic membranes. Fragments of the placenta (5 pieces) were fixed in 10% neutral buffered formalin (pH 7.2), processed with the Leica TP1020 tissue processor and embedded in paraffin. Histological sections (3-4 μm thick) were prepared and stained with hematoxylin-eosin. Statistical analysis was performed using the SPSS 23.0 and GraphPad Prism 8.0 software.
RESULTS: Following characteristics were typical for all types of diabetes mellitus: increased placental mass metrics, chronic placental insufficiency, dissociated villous maturation disorder with prevalent immaturity, as well as involutive-dystrophic and circulatory disorders of varying severity. Placentas from women with type 1 diabetes mellitus had the specific sings: the predominance of intermediate immature villi and stem villi stromal fibrosis. The frequency of placental infarcts and fibrinoid content in the intervillous space were comparable to those in placentas from women with type 2 diabetes mellitus. Inflammatory changes and moderate placental calcification were most consistently associated with type 2 diabetes mellitus, while gestational diabetes mellitus was characterized by “soft” damages. Placentas with preeclampsia showed higher prevalence of premature villous maturation, compensated placental insufficiency, and fibrinoid depositions in the intervillous and subchorionic spaces.
CONCLUSIONS: Understanding relationships between placental histological features and clinical aspects of diabetes mellitus makes it possible not only to clarify the pathophysiological processes occurring in this pathology but also to optimize the algorithm for the rational management of the neonatal period of children from mothers with diabetes mellitus.
Full Text
BACKGROUND
Diabetes mellitus (DM) is one of the most detrimental diseases affecting the course and outcome of pregnancy [1]. Pregnant women with various types of DM are at a high risk of obstetric and perinatal complications, the most common of which are fetal growth retardation syndrome, macrosomia, fetal shoulder dystocia, and preeclampsia (PE) [2]. The prevalence of PE in pregnant women with DM ranges from 8% to 20%, depending on the type of carbohydrate metabolism disorders (type 1 DM, type 2 DM, and gestational DM (GDM)) and other significant factors (diabetic nephropathy, obesity, and chronic arterial hypertension) [3]. Both DM itself and the associated PE have damaging effects on the placenta, inducing various morphofunctional disorders.
The human placenta is an important organ responsible for the metabolism of nutrients, elimination of metabolic products, gas exchange between mother and fetus, and synthesis of hormones and other biologically active substances [4]. The vascular network of the placenta consists of maternal and fetal parts, and syncytiotrophoblast is the border between that determines the exchange of gases and nutrients.
Pre-gestational types of DM are associated with impaired remodeling of spiral uterine arteries, which is an important factor in the development of PE [5]. On the one hand, such development is associated with the presence of pre-gestational vasculopathy and with the state of chronic hypoxia caused by prolonged ischemia of the placenta on the other [5]. Hypoxia further aggravates oxidative stress, which leads to damage to proteins, lipids, and ultrastructures of the placental complex [6].
The prolonged course of hyperglycemia stimulates the formation of adaptive structural and functional mechanisms in the placenta. The placentas of pregnant women with pre-gestational types of DM are exposed to the hyperglycemic environment already at the early stages of formation and in the first wave of trophoblast invasion, which result in its structural changes. On the contrary, in GDM, functional disorders are registered often when hyperglycemia develops in the second half of pregnancy [7].
Excessive transplacental glucose transfer is a key factor in fetal developmental disorders during pregnancy in the presence of hyperglycemia in DM [8]. The type 1 transporter protein (GLUT1) plays a main role in this process by transferring glucose from the mother to the fetus due to a decrease in the concentration gradient [9]. In type 1 DM, the GLUT1 content on the basement membrane increases compared with the surface of syncytiotrophoblast microvilli [10]. In GDM, the content of glucose transporters differs depending on the degree of compensation for carbohydrate metabolism; in female patients receiving diet therapy, the level of transporters in the placenta shows no change but increases with insulin therapy [11]. The difference in the duration of exposure to hyperglycemia, the presence of pregravid preparation, and the type of insulin therapy can influence the degree of changes in the placental vasculature. In general, structural changes occur in the villi of the placenta. This phenomenon is manifested by thickening of the basement membrane of their vessels, a decrease in the number of syncytiotrophoblast microvilli, impaired activity of various carrier proteins, and as a consequence, changes in the cascade of all metabolic reactions [12].
The main problem for a pathologist when examining placentas from DM mothers is the difficulty of differentiating the changes typical for hyperglycemic conditions. Such difficulty is due to the frequent presence of other complications associated with DM during pregnancy, namely, gestational arterial hypertension, PE, and chronic placental insufficiency. The degree of pathomorphological changes in the placenta depends not only on the type of DM but also on the severity of carbohydrate disorders during pregnancy. Therefore, the structure of the placenta in “mild” types of hyperglycemia (for example, in GDM) may not be different from the norm.
In a recent systematic review, Huynh et al. [13] revealed that the most frequent abnormalities in the placenta in pre-gestational types of DM and GDM are the pathological immaturity of the villi and increased angiogenesis indices, namely, an increase in the total surface area of capillaries in the terminal villi. The above changes are associated independently with adverse pregnancy outcomes, such as macrosomia, fetal growth retardation syndrome, and stillbirth [13].
The placenta reflects the metabolic environment of both the mother and the fetus, serving as a valuable indicator of metabolic disorders. Understanding the relationship between the structural and functional characteristics of the placenta and the clinical course of DM during pregnancy will clarify the algorithm for rational management of the neonatal period in this group of patients [14].
Given the inconsistency and scarcity of literature data, our study aimed to compare the morphological and functional characteristics of placentas in pregnant women with different types of DM, with consideration for the method of its treatment.
MATERIALS AND METHODS
A retrospective single-center cohort study was performed in the D.O. Ott Research Institute of Obstetrics, Gynecology, and Reproduction. The results of the morphological study of 3,300 placentas were analyzed. The comparison subgroups were formed based on the type of DM, the method of its correction, and in consideration of insulin therapy regimens, namely, the method of continuous insulin injection (СII), multiple insulin injections (MII), and diet therapy.
Type 1 DM:
- Group 1 included women who received СII (n = 60);
- Group 2 included women who received MII (n = 446).
Type 2 DM:
- Group 3 included patients who received diet therapy (n = 95);
- Group 4 included patients who received insulin (n = 134).
GDM:
- Group 5 included patients who received diet therapy (n = 1652);
- Group 6 included patients who received insulin (n = 735);
Group 7 included patients with PE (n = 39).
Group 8 served as the control group (n = 139).
Morphological studies were conducted at the morphology laboratory of the D.O. Ott Research Institute of Obstetrics, Gynecology, and Reproduction. The placentas were weighed, their sizes were assessed (two diameters and thickness), and the cotyledon structure and presence of defects were observed. The place of umbilical cord attachment and external characteristics of the fetal membranes were determined. Fragments of the placenta (5 items) were fixed in 10% neutral buffered formalin (pH 7.2), histological processing was performed using an automatic processing station Leica TP1020, the material was embedded in paraffin, and histological sections of 3–4 µm thickness were prepared and stained with hematoxylin and eosin.
RESULTS
Table 1 presents the characteristics of the groups under study. The average age of the patients varied. Women with type 2 DM were older compared with the patients in other groups. The highest age (34.0 years; 95% confidence interval (CI): 33.1–36.9) was registered in pregnant women with type 2 DM on insulin therapy, and the youngest was recorded in pregnant women with PE and type 1 DM and who received MII. When assessing the body mass index, the highest values were noted among women with type 2 DM, namely, 33.8 kg/m2 in patients on a diet (95% CI: 32.4–35.2) and 33.8 kg/m2 in patients on insulin therapy (95% CI: 32.7–34.8), whereas the lowest values (24.0 kg/m2) were registered in the control group subjects (95% CI: 22.1–27.1) (p < 0.0001). This indicator was also significantly higher in pregnant women with GDM compared with the control group (p < 0.05).
Table 1. Characteristics of the studied groups
Indicator | Type 1 DM (n = 506) | Type 2 DM (n = 229) | GDM (n = 2387) | PE (n = 39) | Control (n = 139) | F | p-level | |||
СII (n = 60) | MII (n = 446) | Diet (n = 95) | Insulin (n = 134) | Diet (n = 1652) | Insulin (n = 735) | |||||
Age, years (95% CI) | 28.7 (27.6–29.8) | 28.4 (27.9–28.8) | 33.6 (32.5–34.7) | 34.0 (33.1–36.9) | 31.2 (30.1–31.5) | 31.3 (30.9–31.7) | 28.4 (25.6–31.2) | 30.8 (29.3–32.2) | 55.3 | <0.0001 |
Body mass index, kg/m2 (95% CI) | 27.1 (26.4–27.9) | 27.1 (26.8–27.5) | 33.8 (32.4–35.2) | 33.8 (32.7–34.8) | 28.8 (28.6–29.1) | 28.4 (28.1–28.8) | 27.4 (25.7–29.1) | 24.0 (22.1–27.1) | 74.6 | <0.0001 |
Weight of a newborn, g | 3640 (3506–3776) | 3518 (3452–3583) | 3359 (3221–3497) | 3304 (3166–3443) | 3504 (3476–3473) | 3516 (3473–3559) | 3275 (3095–3454) | 3334 (3259–3409) | 8.4 | <0.0001 |
Length of a newborn, cm | 51.8 (51.2–52.5) | 51.0 (50.6–51.3) | 50.6 (50–51.3) | 51 (50.3–51.7) | 51.6 (51.5–51.8) | 51.7 (51.5–51.9) | 50.9 (50–51.8) | 50.8 (50.4–51.2) | 9.105 | <0.0001 |
Concomitant somatic pathology | ÷2 | |||||||||
Varicose veins (n, %) | 8 (13.3) | 49 (11) | 23 (24.2) | 36 (27.1) | 275 (16.6) | 148 (20.2) | 5 (12.8) | 14 (10.1) | 29.7 | <0.0001 |
Chronic AH (n, %) | 2 (3.3) | 31 (7) | 24 (25.3) | 30 (22.4) | 68 (4.1) | 26 (3.5) | 2 (5.1) | 0 | 73.48 | <0.0001 |
Excess body weight (n, %) | 36 (60) | 222 (49.8) | 23 (25.6) | 28 (21.1) | 633 (40.2) | 272 (37.2) | 13 (33.3) | 24 (17.3) | 59.7 | <0.0001 |
Degree I obesity (n, %) | 10 (16.7) | 77 (17.3) | 22 (24.4) | 39 (29.3) | 395 (25.1) | 180 (24.6) | 2 (5.1) | 0 | 27.2 | <0.0001 |
Degree II obesity (n, %) | 0 | 14 (3.1) | 20 (22.2) | 38 (28.6) | 139 (8.8) | 67 (9.2) | 2 (5.1) | 0 | 104.7 | <0.0001 |
Degree III obesity (n, %) | 0 | 2 (0.4) | 17 (18.9) | 18 (13.5) | 48 (3) | 15 (2) | 0 | 0 | 125.8 | <0.0001 |
Gestational complications | ||||||||||
Premature birth (n, %) | 12 (20) | 107 (24) | 12 (12.6) | 26 (19.4) | 115 (7) | 75 (10.2) | 5 (13) | 1 (0.7) | 126.44 | <0.0001 |
Gestational AH (n, %) | 1 (1.7) | 19 (4.3) | 12 (12.6) | 18 (13.4) | 98 (5.9) | 62 (8.4) | 0 | 1 (0.7) | 32.77 | <0.0001 |
Moderate PE (n, %) | 11 (17.2) | 52 (11.7) | 20 (21.1) | 26 (19.4) | 170 (10.3) | 71 (9.7) | 15 (38.5) | 0 | 63.75 | <0.0001 |
Severe PE (n, %) | 3 (4.7) | 53 (11.8) | 14 (14.7) | 21 (15.7) | 70 (4.2) | 36 (4.9) | 24 (61.5 | 0 | 259.63 | <0.0001 |
Small-to-maturity fetus (n, %) | 1 (1.7) | 22 (5.0) | 12 (12.6) | 20 (14.9) | 49 (3.0) | 47 (6.4) | 3 (7.7) | 0 | 6.37 | 0.042 |
Fetal growth retardation (n, %) | 1 (1.7) | 15 (3.4) | 4 (4.3) | 5 (4.5) | 58 (3.6) | 21 (2.9) | 2 (5.1) | 0 | 9.1 | 0.011 |
Antenatal fetal death (n, %) | 1 (0.19) | 5 (0.98) | 0 | 4 (1.74) | 1 (0.041) | 2 (0.084) | 0 | 0 | 12.3 | 0.03 |
Cesarean section (n, %) | 38 (63.3) | 189 (42.4) | 37 (38.9) | 69 (51.5) | 443 (26.8) | 190 (25.8) | 22 (56.4) | 19 (13.7) | 156.9 | <0.0001 |
Note. СII — continuous insulin injection; MII — multiple insulin injections; DM — diabetes mellitus; GDM — gestational diabetes mellitus; PE — preeclampsia; AH — arterial hypertension.
Comorbidities were distributed non-uniformly. Varicose veins, chronic arterial hypertension, and obesity were most common in the groups of type 2 DM and GDM. In the analysis of obstetric and perinatal complications, preterm labor was more common in the groups of type 1 DM (20%–24%), type 2 DM on insulin therapy (19.4%), and the PE group (13%), showing significant difference from the indicators in the control group (0.7%) (p < 0.0001). Hypertensive complications were more common in pregnant women with DM. Gestational arterial hypertension accompanied 13% of pregnancies in women with type 2 DM and 6.7% in the GDM groups, which differed significantly from the control group (0.7%). PE developed in 23.7% of pregnant women with type 1 DM, 14.5% of those with GDM, and every third woman with type 2 DM (35.4%). In the comparison group, 61.5% of PE cases were assessed as severe. In addition, severe forms of PE developed often in women with pronounced metabolic disorders, for which insulin therapy was prescribed (Table 1). Every seventh woman with type 2 DM had children that were small by gestational age (13.9%). In addition to pregnancies with DM, this complication was noted in newborns from PE mothers (7.7%). Fetal growth retardation was registered in 3% of diabetic pregnancies; it was diagnosed more often in female patients with PE (5%).
Delivery by cesarean section was performed in the majority of patients with type 1 DM, namely, in 63.3% of patients receiving СII, 42.4% of patients receiving MII, and 56.4% of PE patients. These values exceeded the frequency of abdominal delivery among women in the control group significantly (13.7%). Among patients with type 2 DM, cesarean section was performed in 46.3% of cases, and in women on a diet, pregnancy ended more often with vaginal delivery. In the case of GDM, cesarean section was performed less frequently (27.8%) compared with women with other types of DM and the control group. More than half of all cases of cesarean section in women with DM were performed in an urgent order. The largest number of cases of perinatal mortality was registered in women with type 1 DM who received MII therapy. Antenatal fetal death was the main component of this indicator in all types of DM (Table 1).
Macroscopic assessment of the placentas in the study groups revealed that the weight of placentas in all DM groups exceeded that in the control group. The maximum weight was 665.5 g (95% CI: 626.8–704.2), and the sizes were registered in patients with type 1 DM on СII. The sizes of placentas (large and small diameters and thickness) from women with carbohydrate metabolism disorders were also consistently larger compared with the indicators of the control group (Table 2). The smallest weight and size of placentas were registered in the group of pregnant women with PE (p < 0.05).
Table 2. Morphological characteristics of placentas
Indicator | Type 1 DM (n = 506) | Type 2 DM (n = 229) | GDM (n = 2387) | PE (n = 39) | Control (n = 139) | F | p-level | |||
СII (n = 60) | MII (n = 446) | Diet (n = 95) | Insulin (n = 134) | Diet (n = 1652) | Insulin (n = 735) | |||||
Placenta weight, g | 665.5 (626.8–704.2) | 647.1 (630.1–664.1) | 594.3 (557.9–630.7) | 627.7 (593.7–661.8) | 619.7 (611.9–627.4) | 620.7 (607.2–634.2) | 576.5 (518.2–634.7) | 605.9 (551–660.9) | 7.66 | 0.01 |
Large diameter, cm | 21.2 (20.3–22.1) | 20.3 (20–20.7) | 20.6 (19.5–21.6) | 19.3 (18.7–20.0) | 20.7 (20.5–21) | 20.7 (20.3–21) | 18.6 (16.7–20.5) | 19.2 (18.1–20.3) | 3.42 | 0.04 |
Small diameter, cm | 22.7 (21.9–23.6) | 21.7 (21.3–22.1) | 21.8 (20.7–22.9) | 20.8 (20.1–21.5) | 21.9 (21.7–22.2) | 22 (21.6–22.4) | 19.8 (17.7–21.8) | 20.8 (19.6–21.9) | 2.66 | 0.048 |
Placenta thickness, cm | 35.4 (30.4–40.2) | 38.4 (31.5–43.2) | 33.6 (28.9–38) | 38.2 (32.5–44.5) | 35.2 (30.4–39.2) | 38.4 (31.5–43.2) | 32.3 (28.9–36.4) | 33.4 (29.4–36.1) | 8.24 | 0.01 |
Inconsistency of placentas with gestational age | ÷² | p-level | ||||||||
CPI (n, %) | 20 (33.3) | 166 (37.2) | 30 (31.6) | 53 (39.6) | 384 (23.2) | 194 (26.4) | 10 (25.6) | 10 (7.2) | 79.92 | <0.0001 |
Pathological immaturity of villi (n, %) | 9 (15) | 87 (19.5) | 13 (13.7) | 19 (14.2) | 157 (9.5) | 96 (13.1) | 2 (5.1) | 3 (2.2) | 50.86 | <0.0001 |
Prevalence of intermediate villi (n, %) | 8 (13.3) | 27 (6.1) | 9 (9.5) | 7 (5.2) | 87 (5.3) | 31 (4.2) | 2 (5.1) | 3 (2.2) | 14.9 | 0.036 |
Dissociated maturation of villi (n, %) | 10 (16.7) | 113 (25.3) | 21 (22.1) | 35 (26.1) | 269 (16.3) | 136 (18.5) | 4 (10.3) | 5 (3.6) | 47.89 | <0.0001 |
Predominance of sclerosed villi (n, %) | 2 (3.3) | 6 (1.3) | 2 (2.1) | 3 (2.2) | 6 (0.4) | 8 (1.1) | 0 | 1 (0.7) | 15.67 | 0.028 |
Premature maturation of villi (n, %) | 3 (5) | 22 (4.9) | 2 (2.1) | 3 (2.2) | 7 (0.4) | 5 (0.7) | 3 (7.7) | 1 (0.7) | 73.14 | <0.0001 |
Involutive-dystrophic changes in the placenta | ||||||||||
Absence (n, %) | 0 | 53 (11.9) | 9 (9.5) | 9 (6.7) | 236 (14.3) | 158 (21.5) | 17 (43.6) | 99 (71.2) | 328.34 | <0.0001 |
Low degree (n, %) | 19 (31.7) | 224 (50.2) | 44 (46.3) | 82 (61.2) | 625 (37.8) | 308 (42) | 2 (5.1) | 11 (7.9) | 115.44 | <0.0001 |
Moderate degree (n, %) | 39 (65) | 132 (29.6) | 34 (35.8) | 40 (29.9) | 692 (41.9) | 223 (30.4) | 18 (46.2) | 25 (18) | 82 | <0.0001 |
High degree (n, %) | 2 (3.3) | 37 (8.3) | 8 (8.4) | 3 (2.2) | 100 (6) | 45 (6.1) | 2 (5.1) | 4 (2.9) | 11.96 | 0.1 |
Degree of fibrosis of the stroma of the stem villi | ||||||||||
Low (n, %) | 2 (3.3) | 9 (2) | 4 (4.2) | 0 | 47 (2.8) | 24 (3.3) | 0 | 1 (0.7) | 9.69 | 0.21 |
Moderate (n, %) | 29 (48.3) | 54 (12.1) | 5 (5.3) | 21 (15.7) | 54 (3.3) | 25 (3.4) | 14 (35.9) | 3 (2.2) | 302.12 | <0.0001 |
High (n, %) | 1 (1.7) | 16 (3.6) | 3 (3.2) | 0 | 13 (0.8) | 12 (1.6) | 2 (5.1) | 1 (0.7) | 27.87 | 0.001 |
Hypervascularization of terminal villi capillaries | ||||||||||
Yes | 38 (63.3) | 211 (47.3) | 56 (58.9) | 81 (60.4) | 1260 (76.3) | 580 (77) | 15 (38.5) | 32 (23) | 326 | <0.0001 |
No | 22 (33.7) | 235 (52.7) | 39 (41.1) | 53 (39.6) | 392 (22.7) | 173 (23) | 24 (61.5) | 107 (77) | 65.7 | 0.001 |
Placental calcification degree | ||||||||||
Low (n, %) | 6 (10) | 37 (8.3) | 8 (8.4) | 9 (6.7) | 227 (13.7) | 75 (10.2) | 4 (10.3) | 9 (6.5) | 21.38 | 0.003 |
Moderate (n, %) | 1 (1.7) | 61 (13.7) | 21 (22.1) | 15 (11.2) | 295 (17.8) | 86 (11.7) | 2 (5.1) | 4 (2.9) | 51.18 | <0.0001 |
High (n, %) | 2 (3.3) | 22 (4.9) | 2 (2.1) | 2 (1.5) | 60 (3.6) | 23 (3.1) | 1 (2.6) | 3 (2.2) | 6.27 | 0.51 |
Degree of circulatory disorders in the placenta | ||||||||||
Low (n, %) | 16 (26.7) | 176 (39.5) | 33 (34.7) | 58 (43.3) | 454 (27.5) | 210 (28.6) | 2 (5.1) | 16 (11.5) | 69.84 | <0.0001 |
Moderate (n, %) | 31 (51.7) | 108 (24.2) | 36 (37.9) | 46 (34.3) | 574 (34.7) | 176 (24) | 12 (30.8) | 22 (15.8) | 63.58 | <0.0001 |
High (n, %) | 10 (16.7) | 69 (15.5) | 10 (10.5) | 17 (12.7) | 244 (14.8) | 100 (13.6) | 7 (17.9) | 2 (1.4) | 21.94 | 0.003 |
Incidence of pseudoinfarction in the placenta | ||||||||||
Infarction (n, %) | 2 (3.3) | 36 (8.1) | 7 (7.4) | 8 (6) | 102 (6.2) | 30 (4.1) | 2 (5.1) | 3 (2.2) | 13.57 | 0.059 |
Fibrinoid content in the intervillous space | ||||||||||
High degree of deposition (n, %) | 4 (6.7) | 74 (16.6) | 18 (18.9) | 13 (9.7) | 252 (15.2) | 97 (13.2) | 5 (12.8) | 7 (5) | 21.3 | 0.003 |
Content of fibrinoid in the subchorial space | ||||||||||
High degree of deposition (n, %) | 10 (16.7) | 118 (26.5) | 37 (38.9) | 29 (21.6) | 667 (40.4) | 212 (28.9) | 5 (12.8) | 7 (5) | 128.61 | <0.0001 |
Degree of compensatory-adaptive reactions | ||||||||||
Low (n, %) | 16 (26.7) | 190 (42.6) | 40 (42.1) | 78 (58.2) | 533 (32.2) | 266 (36.2) | 2 (5.1) | 9 (6.5) | 102.5 | <0.0001 |
Moderate (n, %) | 1 | 141 (31.6) | 37 (38.9) | 34 (25.4) | 687 (41.6) | 235 (32) | 18 (46.2) | 29 (20.9) | 74.8 | <0.0001 |
High (n, %) | 2 (3.3) | 61 (13.7) | 9 (9.5) | 12 (9) | 191 (11.6) | 80 (10.9) | 1 (2.6) | 4 (2.9) | 21.25 | 0.003 |
Inflammatory changes in the placenta | ||||||||||
Presence of inflammatory changes (n, %) | 11 (18.3) | 110 (24.7) | 32 (33.7) | 25 (18.7) | 608 (36.8) | 202 (27.5) | 6 (15.4) | 7 (5) | 102.1 | <0.0001 |
Structure of placental insufficiency | ||||||||||
Acute circulatory disorders (n, %) | 2 (3.3) | 35 (7.8) | 6 (6.3) | 2 (1.5) | 192 (11.6) | 61 (8.3) | 1 (2.6) | 1 (0.7) | 40.82 | <0.0001 |
Compensated (n, %) | 8 (13.3) | 29 (6.5) | 4 (4.2) | 10 (7.5) | 146 (8.8) | 75 (10.2) | 9 (23.1) | 5 (3.73) | 22.63 | <0.0001 |
Subcompensated (n, %) | 9 (15) | 64 (14.3) | 12 (12.6) | 21 (15.7) | 110 (6.7) | 47 (6.4) | 7 (17.9) | 0 | 51.42 | <0.0001 |
Decompensated (n, %) | 0 | 0 | 0 | 0 | 2 (0.1) | 0 | 0 | 0 | 1.99 | 0.96 |
Note. СII — continuous insulin injection; MII — multiple insulin injections; DM — diabetes mellitus; GDM — gestational diabetes mellitus; PE — preeclampsia; CPI — chronic placental insufficiency.
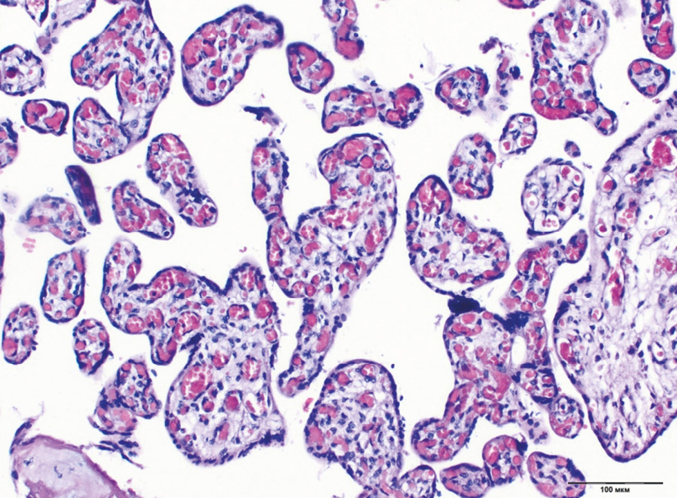
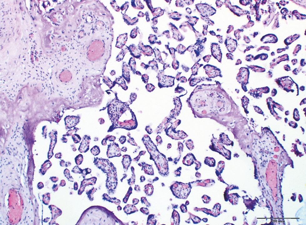
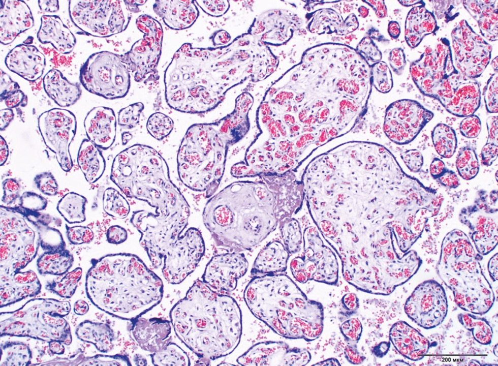
Chronic placental insufficiency was typical for all groups of DM and PE, in contrast to the control group (p < 0.0001). Placental insufficiency was registered in 39.6% of cases in Group 4 (type 2 DM on a diet), 37.2% in the type 1 DM group with MII, whereas pathological immaturity of villi was noted more often in the same groups (14.2% and 19.5%, respectively). In general, pathological immaturity of villi was typical for all groups of DM (9.5%–19.5%, p < 0.0001). The predominance of intermediate immature villi was a characteristic of type 1 DM with MII (13.3%, p = 0.036) (Fig. 1). The dissociated form of chronic placental insufficiency was most often detected in DM (16.3%–26.1%) (Fig. 2). The prevalence of sclerosed villi (0.4%–3.3%) and premature maturation of villi (0.4%–5.0%) were revealed less frequently. In the PE group, the premature maturation of villi was noted often (7.7%, p < 0.0001). In the control group, 93% of placentas corresponded to gestational age (Table 2).
Fig. 1. Chronic placental insufficiency with a predominance of intermediate immature chorionic villi with hypervascularization and congestive plethora in type 1 DM. Staining with hematoxylin and eosin, ×100
Fig. 2. Dissociated chronic placental insufficiency in type 2 DM. Staining with hematoxylin and eosin, ×100
Involutive-dystrophic changes in the placenta of varying severities were present in the cases of pre-gestational types of DM and in GDM. A low degree of involutive-dystrophic changes was more common in Group 4 (type 2 DM on insulin therapy, 61.2%), a moderate degree was more common in Group 1 (type 1 DM on MII, 65%) and the PE group (46, 2%), whereas a high degree was registered more often in Groups 2 and 3 (8.3% and 8.4%, respectively).
Fibrosis of the stroma of the stem villi was most typical for the groups of type 1 DM and PE. A significantly more pronounced fibrosis of the stroma of the stem villi was registered in the PE group (5.1%, p = 0.001), and a moderate degree was noted in the groups of type 1 DM on CII (48.3%) and PE (35.9%) (p < 0.0001).
Calcification of the placenta was recorded more often in the groups of type 2 DM and GDM. A low degree of calcification of the placenta was detected in all studied groups of DM and PE, most often in the GDM group on a diet (13.7%, p = 0.003), and a moderate degree was noted in 22.1% of cases in Group 3 (type 2 DM on a diet). No differences were observed in the incidence of a high degree of calcification in the study groups compared with the control (p = 0.51).
Circulatory disorders in the placenta were characterized by spasm and obliteration of the stem arteries, combined with hypervascularization of the terminal villi capillaries, which was detected more often in DM female patients and was more pronounced in GDM (77%). Circulatory disorders of low and moderate severity were more common in the case of pre-gestational types of DM, namely, low degree in Groups 2 (39.5%) and 4 (43.3%), a moderate degree in Group 1 (51.7%), and a high degree was noted significantly more often in the PE group (17.9%, p = 0.003). In Groups 2 and 3, a high frequency of pseudo-infarctions was observed in the placentas (8.1% and 7.4%, respectively), but the differences were not statistically significant (p = 0.059).
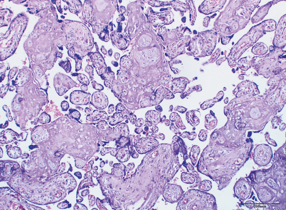
In Groups 2 (type 1 DM on MII) and 3 (type 2 DM on a diet), a high degree of fibrinoid deposition in the intervillous space was revealed significantly more often than in other groups (16.6% and 18.9% of cases, respectively). Meanwhile, the deposition of fibrinoid in the subchorial space was more typical for Groups 3 (type 2 DM on a diet) and 5 (GDM on a diet), namely, in 38.9% and 40.4% of cases, respectively (Fig. 3).
Fig. 3. Fibrinoid villous alteration in type 1 DM on multiple insulin injections. Staining with hematoxylin and eosin, ×100
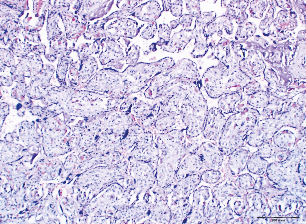
Compensatory-adaptive reactions in the placenta in DM were characterized by an increase in syncytial knots, proliferation of syncytiotrophoblast, narrowing of the intervillous space, and hyperplasia and a plethora of terminal villi. In addition, the highest degree of compensatory-adaptive reactions was typical for type 1 DM with MII (13.7%), a moderate degree was more common for type 1 DM with CII (70%), and a low degree was revealed in 58.2% of cases in Group 4 (type 2 DM receiving insulin therapy) (Figs. 4 and 5).
Fig. 4. Increased number of syncytial knots in type 1 DM. Staining with hematoxylin and eosin, ×200
Fig. 5. Congestion of the vascular bed of intermediate and terminal chorionic villi in the placenta in GDM. Staining with hematoxylin and eosin, ×200
A histological assessment of inflammatory processes in the placenta established that inflammatory changes were characteristic of all types of DM (18.3%–36.7%) compared with the control (p < 0.0001), but they most often occurred in groups of DM 2 type on insulin (33.7%) and GDM on insulin (36.8%) (p < 0.0001).
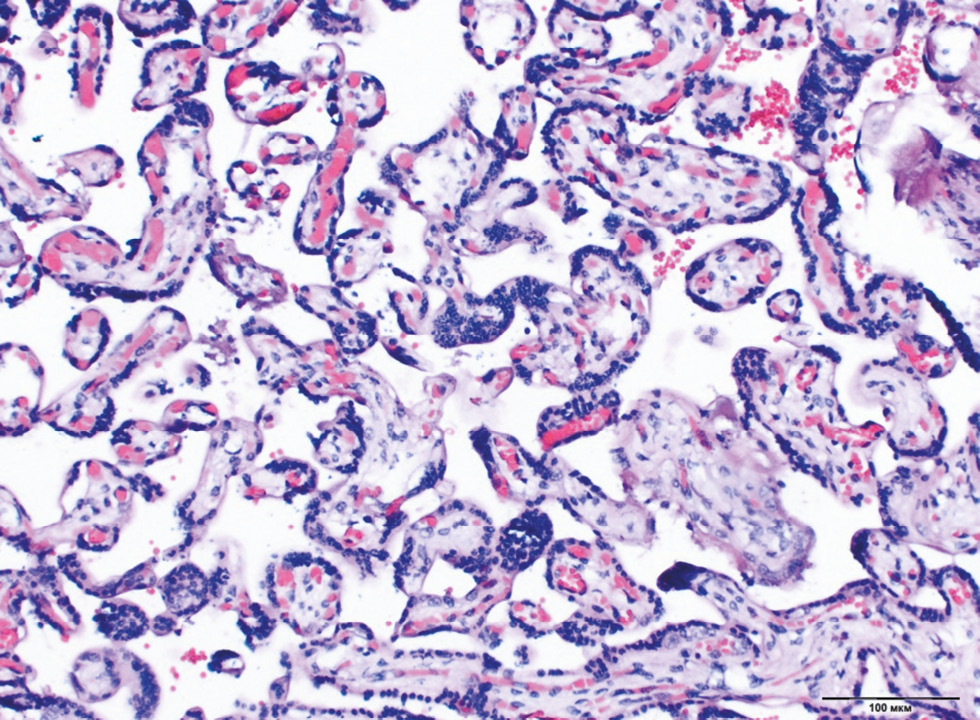
When assessing placental insufficiency, acute circulatory disorders were detected more often in patients from the GDM group on a diet (Group 5), that is, in 11.6% of cases. In addition, compensated (23.1%) and subcompensated (17.9%) placental insufficiencies were most typical for PE (p < 0.0001) (Fig. 6). Decompensated placental insufficiency was registered in two cases in Group 5, and the differences did not achieve statistical significance (p = 0.96).
Fig. 6. Hypoplastic form of chronic placental insufficiency. Staining with hematoxylin and eosin, ×100
DISCUSSION
For the first time in Russian practice, a detailed analysis of the morphological structure of a large sample of placentas from women with various types of DM and PE (3300) was performed. This study has demonstrated that the mass metric parameters of placentas and children born to mothers with different types of DM exceed those in the control group significantly, consistent with the data of other works [15].
Chronic placental insufficiency, hypervascularization (chorioangiosis), and pathological immaturity of villi by the type of dissociated maturation are pathognomonic changes in the structural characteristics of placentas in all types of DM [13, 16]. Hypervascularization of villi occurs in response to chronic hypoxemia in the presence of hyperglycemia [17]. Other structural aspects of the placenta in DM consist of the development of varying degrees of severity of compensatory-adaptive reactions, namely, an increased surface of syncytiotrophoblast, excessive formation of syncytial knots, and an increase in the diameter of vessels, which cause a general increase in the placental endothelial surface [18]. In addition, metabolic disorders of DM affect the placental development, as evidenced by the pathological immaturity of the villi detected in pre-gestational types of DM [16, 19] and in GDM [20, 21]. In this case, the pathological immaturity of the placenta is 14% with normoglycemia, and pre-GDM almost doubles the risk of its maturation delay [22]. Pathological immaturity of the villous tree may be a link between maternal DM and an increased risk of intrauterine fetal death [23].
Despite the noted structural similarities between placentas in type 1 DM, type 2 DM, and GDM, the different pathophysiologies of these diabetic conditions may affect the placental function in different ways. The course of pregnancy in type 1 DM is characterized by its own aspects, that is, along with the growth of the feto-placental complex, and the level of glycemia decreases to episodes of hypoglycemia [17]. Microscopic examination of the placenta revealed the predominance of immature villi with preservation of the central vessels and poor differentiation of the syncytial layer; meanwhile, the number of terminal villi decreased, and the number of intermediate villi increased relative to the present gestational period [20]. In the stem villi and intermediate-type villi, the number of mesenchymal stromal cells and edema of the stroma with foci of fibrinoid deposition increased, and a large number of syncytial knots were detected. The prevalence of moderate and high degree of fibrosis of the stem villi were distinctive. In the thickened basal lamina, large-focal fibrinoid accumulations and mononuclear infiltration were found [17].
Circulatory disorders of varying degrees are also characteristic of type 1 DM; growing vessels are inadequate, as manifested by endothelial and vascular dysfunction, with endothelial proliferation occurring in the arterial bed of stem and anchor villi with partial or complete obliteration of the lumen and the formation of vascular anastomoses [24]. Angiogenesis, defined as the formation of new blood vessels from existing ones, is necessary for normal fetal growth and placental development under hypoxic conditions. As a rule, angiogenesis occurs in two phases, namely, branching angiogenesis with the formation of loop capillaries and unbranched angiogenesis with the formation of elongated capillaries [25]. Mayhew et al. [26] reported an increase in unbranched angiogenesis without changing the diameter or shape of the capillaries in the cross-section among placentas with type 1 DM despite the adequate levels of glycated hemoglobin during pregnancy. Jirkovska et al. [27] revealed increased angiogenesis and surface area of capillaries in the placental terminal villi affected by maternal type 1 DM, along with the good glycemic control.
A special aspect of type 2 DM is its combination with concomitant disorders of lipid metabolism, arterial hypertension, and chronic indolent inflammation, which is manifested by the predominance of inflammatory and circulatory changes in the placenta [28]. The placenta in type 2 DM is characterized by a low degree of compensatory-adaptive reactions combined with inflammatory changes. The histological structure of the placenta is characterized by the pathological immaturity of villi and their dissociated maturation. According to our data, in type 2 DM, a premature maturation of placental villi was registered, and fibrosis of the connective tissue stroma and the chorionic epithelium were largely unilamellar and represented mainly by syncytiotrophoblast [17]. The vascular bed of the villi was also characterized by hypervascularization, edema of the vascular intima, and thickening of the basement membrane. Beauharnais et al. [29] revealed a significant increase in placental infarctions in placentas of pregnant women with type 2 DM compared with those of pregnant women with type 1 DM. Moreover, this difference decreased after hypertension control [29]. Huynh et al. [19] revealed in women with type 2 DM or GDM common morphological abnormalities of the placenta, associated with uteroplacental malperfusion, the signs of which include placental infarction, accelerated maturation of villi, and increased vascular changes such as decidual vasculopathy.
The duration of hyperglycemia can also affect the severity of morphological and functional disorders of the placenta. Metabolic disorders in GDM can be detected only in late pregnancy, which is associated with less severe lesions of the placenta [18]. Rudge et al. [30] revealed more histopathological lesions in women with pre-GDM than in women with GDM and reported that most of them existed already before the 37th week of gestation. Morphological changes in the placenta in GDM are characterized by immaturity of the villous tree, with unevenly expressed edema of the villous stroma and persistence of intermediate immature villi [17, 18, 20]. In the villi, significant hyperplasia, degenerative changes in cytotrophoblast, and hypervascularization of villi at all levels have been noted [17]. Other researchers reported an increase in the content of fibrinoid in the subchorial space and thickening of the basement membrane of syncytiotrophoblast in women with GDM compared with those with pre-GDM [31, 32]. GDM is also characterized by remodeling of the predominantly microvasculature of villi with excessive branching of microvessels and proliferation of endothelial cells [17]. Inflammatory changes and the severity of placenta calcification in GDM in our study were comparable to those in type 2 DM.
Insufficient glycemic control before conception and in the trimester I of pregnancy is associated with a number of adverse maternal outcomes (gestational arterial hypertension, PE, cesarean section, and hypoglycemia) and numerous adverse fetal outcomes, including stillbirth, fetal growth retardation, macrosomia, and respiratory distress syndrome [33]. The correction of hyperglycemia cannot always prevent the development of placental abnormalities because its histopathological changes also persist in pregnancies with well-controlled DM [13]. According to Calderon et al. [34], with mild degrees of carbohydrate metabolism disorders, no significant differences were observed in the size and number of terminal villi of the placenta in relation to these parameters in the control group. However, the degree of villous vascularization is positively correlated with glycemic parameters [34]. In the case of insufficient control of GDM, in the placenta, edema of the villous stroma, massive fibrinoid deposits in the syncytiotrophoblast, and cytotrophoblast hyperplasia were determined [31]. According to our other study, in placentas from GDM mothers who were prescribed with diet therapy, the maturation of the villous tree with a predominance of dissociated villi was impaired, and hyperplasia of intermediate mature villi with an increase in syncytial knots, proliferation of syncytiotrophoblast, and a plethora of blood vessels and capillaries [35] were noted. With GDM on insulin therapy, a discrepancy was detected in the structure of placentas with a predominance of the intermediate-type of villi, sclerosis, and fibrosis of the stroma of the stem villi, spasm, and obliteration of the stem arteries, narrowing and massive deposition of fibrinoid in the intervillous space, and frequent signs of subcompensated placental insufficiency [35]. These changes depend on the degree of compensation for carbohydrate metabolism during pregnancy.
In PE, histological changes in the placental parenchyma formed as a result of ischemia caused by insufficient perfusion of maternal vessels (for example, decidual arteriopathy, detachment, and infarction) [3]. Placental infarctions result from the occlusion of spiral arteries, entrapment of placental villi due to the increased perivillous or intervillous fibrin deposition, and fetal vasculopathy [36]. Vinnars et al. [37] reported that infarctions affecting more than 5% of the placentas may occur in 39% of patients with severe PE. In our study, a macroscopic morphometric examination of the placenta with PE revealed lower mean values of weight and surface area of the placenta than those in patients with DM and in the control group. For PE, premature maturation of the villi, in which numerous arteriosclerotic blood vessels with endothelial degeneration are located, was the most typically observed, as manifested by progressive stromal fibrosis, perivasculitis of the stem villi, and subsequent obliteration of their lumen [38, 39]. The deposition of fibrinoid in the intervillous and subchorial spaces was also detected in the placenta with PE. Placenta with PE is characterized by chronic placental insufficiency of varying severities. A decrease occurs in the diameter of villi arteries and their partial occlusion; therefore, the villi themselves have a small area and diameter, which indicates their hypoplasia [40]. Numerous terminal villi with obliterated vessels surround the stem villi, thereby impairing adequate perfusion in the placental tissue [37, 38].
The advantage of this study is the analysis of a large sample of placentas from patients with different types of DM and methods of its correction. The study also assessed the pathology of the placenta in PE and normal pregnancies. The limitations of this study include the possible negative effects of mixed factors (obesity, chronic arterial hypertension, and other concomitant somatic pathology) on the morphofunctional structure of the placenta.
Thus, our study enabled the identification of distinctive aspects of the morphological structure of the placenta in different types of DM. We demonstrated that for all types of DM, the structure of the placenta is characterized by an increase in mass metric parameters, a high frequency of chronic placental insufficiency by the type of dissociated maturation, and involutive-dystrophic and circulatory disorders of varying severities compared with placentas from women without carbohydrate metabolism disorders. In addition, intermediate villi predominated in the placenta of women with type 1 DM, and fibrosis of the stem villi stroma developed. The frequency of pseudo-infarctions in the placenta and the levels of fibrinoid in the intervillous space were comparable with those in the case of type 2 DM. For the placentas of women from the type 2 DM group, inflammatory changes and a moderate degree of calcification of the placenta were the most observed characteristics, whereas “milder” changes occurred in the placentas of female patients with GDM. In the placentas of PE patients, premature maturation of villi and deposition of fibrinoid in the intervillous and subchorial spaces were revealed.
ADDITIONAL INFORMATION
Conflict of interest. The authors declare no conflict of interest.
Funding. This work was supported by the Ministry of Science and Higher Education of the Russian Federation within the research work on the fundamental scientific research (registration number АААА-А19-119030490046-1).
About the authors
Roman V. Kapustin
The Research Institute of Obstetrics, Gynecology, and Reproductology named after D.O. Ott; Saint Petersburg State University
Author for correspondence.
Email: kapustin.roman@gmail.com
ORCID iD: 0000-0002-2783-3032
SPIN-code: 7300-6260
ResearcherId: G-3759-2015
MD, PhD
Russian Federation, 3 Mendeleevskaya line, Saint Petersburg, 199034Ekaterina V. Kopteyeva
Saint Petersburg State University
Email: ekaterina_kopteeva@bk.ru
ORCID iD: 0000-0002-9328-8909
SPIN-code: 9421-6407
MD
Russian Federation, Saint PetersburgTatyana G. Tral
The Research Institute of Obstetrics, Gynecology, and Reproductology named after D.O. Ott
Email: ttg.tral@yandex.ru
ORCID iD: 0000-0001-8948-4811
SPIN-code: 1244-9631
Scopus Author ID: 37666260400
MD, PhD
Russian Federation, 3 Mendeleevskaya line, Saint Petersburg, 199034Gulrukhsor Kh. Tolibova
The Research Institute of Obstetrics, Gynecology, and Reproductology named after D.O. Ott; North-Western State Medical University named after I.I. Mechnikov
Email: gulyatolibova@yandex.ru
ORCID iD: 0000-0002-6216-6220
SPIN-code: 7544-4825
Scopus Author ID: 23111355700
ResearcherId: Y-6671-2018
MD, PhD, DSci (Medicine)
Russian Federation, 3 Mendeleevskaya line, Saint Petersburg, 199034; Saint PetersburgReferences
- Starikov RS, Inman K, Has P, et al. Correlation of placental pathology and perinatal outcomes with hemoglobin A1c in early pregnancy in gravidas with pregestational diabetes mellitus. Placenta. 2017;52:94–99. doi: 10.1016/j.placenta.2017.02.024
- International Diabetes Federation. IDF Diabetes Atlas. 9th edn. Brussels: International Diabetes Federation; 2019. [cited: 2020 Dec 18]. Available from: https://www.diabetesatlas.org/en/
- Khong TY, Mooney EE, Ariel I, et al. Sampling and definitions of placental lesions: Amsterdam placental workshop group consensus statement. Arch Pathol Lab Med. 2016;140:698–713. doi: 10.5858/arpa.2015-0225-CC
- Blackburn S. Maternal, fetal neonatal physiology. 4th ed. Maryland Heights: Saunders; 2013.
- Cuffe JSM, Holland O, Salomon C, et al. Review: Placental derived biomarkers of pregnancy disorders. Placenta. 2017;54:104–110. doi: 10.1016/j.placenta.2017.01.119
- Schoots MH, Gordijn SJ, Scherjon SA, et al. Oxidative stress in placental pathology. Placenta. 2018;69:153–161. doi: 10.1016/j.placenta.2018.03.003
- American Diabetes Association. Standards of medical care in diabetes – 2014. Diabetes Care. 2014;37(Suppl 1):S14-80. doi: 10.2337/dc14-s014
- Hod M, Jovanovic LG, Di Renzo GC, et al. Textbook of diabetes and pregnancy. 3rd ed. London: CRC Press; 2016. doi: 10.1201/9781315382104
- Hahn T, Barth S, Weiss U, et al. Sustained hyperglycemia in vitro down-regulates the GLUTI glucose transport system of cultured human term placental trophoblast: a mechanism to protect fetal development? FASEB J. 1998;12(12):1221–1231. doi: 10.1096/fasebj.12.12.1221
- Osmond DT, Nolan CJ, King RG, et al. Effects of gestational diabetes on human placental glucose uptake, transfer, and utilisation. Diabetologia. 2000;43(5):576–582. DOI: 10.1007/ s001250051346
- Cetin I, de Santis MS, Taricco E, et al. Maternal and fetal amino acid concentrations in normal pregnancies and in pregnancies with gestational diabetes mellitus. Am J Obstet Gynecol. 2005;192(2):610–617. DOI: 10.1016/j. ajog.2004.08.011
- Kapustin RV, Onopriychuk AR, Arzhanova ON, et al. Pathophysiology of placenta and fetus in diabetes mellitus. Journal of Obstetrics and Women’s Diseases. 2018;67(6):79–92. (In Russ.). doi: 10.17816/JOWD67679-92
- Huynh J, Dawson D, Roberts D, et al. A systematic review of placental pathology in maternal diabetes mellitus. Placenta. 2015;36(2):101–114. doi: 10.1016/j.placenta.2014.11.021
- Roescher AM, Hitzert MM, Timmer A, et al. Placental pathology is associated with illness severity in preterm infants in the first twenty-four hours after birth. Early Hum Dev. 2011;87(4):315–319. doi: 10.1016/j.earlhumdev.2011.01.040
- Taricco E, Radaelli T, Nobile de Santis MS, et al. Fetal and placental weights in relation to maternal characteristics in gestational diabetes. Placenta. 2003;24(4):343–347. doi: 10.1053/plac.2002.0913
- Evers IM, Nikkels PG, Sikkema JM, et al. Placental pathology in women with type 1 diabetes and in a control group with normal and large-for-gestational-age infants. Placenta. 2003;24(8–9):819–825. doi: 10.1016/s0143-4004(03)00128-0
- Tral TG, Tolibova GKh, Musina EV, et al. Molecular and morphological peculiarities of chronic placental insufficiency formation caused by different types of diabetes mellitus. Diabetes Mellitus. 2020;23(2):185–191. (In Russ.). doi: 10.14341/DM10228
- Desoye G, Hauguel-de Mouzon S. The human placenta in gestational diabetes mellitus. The insulin and cytokine network. Diabetes Care. 2007;30(Suppl 2):120–126. doi: 10.2337/dc07-s203
- Huynh J, Yamada J, Beauharnais C, et al. Type 1, type 2 and gestational diabetes mellitus differentially impact placental pathologic characteristics of uteroplacental malperfusion. Placenta. 2015;36(10):1161–1166. doi: 10.1016/j.placenta.2015.08.004
- Daskalakis G, Marinopoulos S, Krielesi V, et al. Placental pathology in women with gestational diabetes. Acta Obstet Gynecol Scand. 2008;87(4):403–407. doi: 10.1080/00016340801908783
- Madazli R, Tuten A, Calay Z, et al. The incidence of placental abnormalities, maternal and cord plasma malondialdehyde and vascular endothelial growth factor levels in women with gestational diabetes mellitus and nondiabetic controls. Gynecol Obstet Invest. 2008;65(4):227–232. doi: 10.1159/000113045
- Higgins MF, Russell NM, Mooney EE, et al. Clinical and ultrasound features of placental maturation in pre-gestational diabetic pregnancy. Early Hum Dev. 2012;88(10):817–821. doi: 10.1016/j.earlhumdev.2012.06.001
- Tennant PW, Glinianaia SV, Bilous RW, et al. Pre-existing diabetes, maternal glycated haemoglobin, and the risks of fetal and infant death: a population-based study. Diabetologia. 2014;57(2):285–294. doi: 10.1007/s00125-013-3108-5
- Leach L, Taylor A, Sciota F. Vascular dysfunction in the diabetic placenta: causes and consequences. J Anat. 2009;215(1):69–76. doi: 10.1111/j.1469-7580.2009.01098.x
- Mayhew TM. Fetoplacental angiogenesis during gestation is biphasic, longitudinal and occurs by proliferation and remodelling of vascular endothelial cells. Placenta. 2002;23(10):742–750. doi: 10.1016/s0143-4004(02)90865-9
- Mayhew TM. Enhanced fetoplacental angiogenesis in pre-gestational diabetes mellitus: the extra growth is exclusively longitudinal and not accompanied by microvascular remodelling. Diabetologia. 2002;45(10):1434–1439. doi: 10.1007/s00125-002-0927-1
- Jirkovská M, Janácek J, Kaláb J, et al. Three-dimensional arrangement of the capillary bed and its relationship to microrheology in the terminal villi of normal term placenta. Placenta. 2008;29(10):892–897. doi: 10.1016/j.placenta.2008.07.004
- Shams F, Rafique M, Samoo NA, et al. Fibrinoid necrosis and hyalinization observed in normal, diabetic and hypertensive placentae. J Coll Physicians Surg Pak. 2012;22(12):769–772.
- Beauharnais CC, Roberts DJ, Wexler DJ. High rate of placental infarcts in type 2 compared with type 1 diabetes. J Clin Endocrinol Metab. 2012;97(7):E1160–1164. doi: 10.1210/jc.2011-3326
- Rudge MV, Lima CP, Damasceno DC, et al. Histopathological placental lesions in mild gestational hyperglycemic and diabetic women. Diabetol Metab Syndr. 2011;3(1):19. doi: 10.1186/1758-5996-3-19
- al-Okail MS, al-Attas OS. Histological changes in placental syncytiotrophoblasts of poorly controlled gestational diabetic patients. Endocr J. 1994;41(4):355–360.
- Younes B, Baez-Giangreco A, al-Nuaim L, et al. Basement membrane thickening in the placentae from diabetic women. Pathol Int. 1996;46(2):100–104. doi: 10.1111/j.1440-1827.1996.tb03585.x
- Negrato CA, Mattar R, Gomes MB. Adverse pregnancy outcomes in women with diabetes. Diabetol Metab Syndr. 2012;4(1):41. doi: 10.1186/1758-5996-4-41
- Calderon IM, Damasceno DC, Amorin RL, et al. Morphometric study of placental villi and vessels in women with mild hyperglycemia or gestational or overt diabetes. Diabetes Res Clin Pract. 2007;78(1):65–71. doi: 10.1016/j.diabres.2007.01.023
- Ajlamazjan JeK, Abashova EI, Arzhanova ON, et al. Saharnyj diabet i reproduktivnaja sistema zhenshhiny: rukovodstvo dlja vrachej. Moscow: GEOTAR-Media; 2017. (In Russ.)
- Predoi CG, Grigoriu C, Vladescu R, et al. Placental damages in preeclampsia – from ultrasound images to histopathological findings. J Med Life. 2015;8 Spec Issue:62–65.
- Vinnars MT, Nasiell J, Ghazi S, et al. The severity of clinical manifestations in preeclampsia correlates with the amount of placental infarction. Acta Obstet Gynecol Scand. 2011;90:19–25. DOI: abs/10.1111/j.1600-0412.2010.01012.x
- Zigić Z, Marković S, Grbesa D, et al. Quantitative research of capillaries in terminal villi of mature placentae. Bosn J BasicMedSci. 2010;10:147–152. doi: 10.17305/bjbms.2010.2714
- Fitzgerald B, Shannon P, Kingdom J, et al. Rounded intraplacental haematomas due to decidual vasculopathy have a distinctive morphology. J ClinPathol. 2011;64:729–732. doi: 10.1136/jcp.2010.087916
- Burton GJ, Jauniaux E, Charnock-Jones DS. The influence of the intrauterine environment on human placental development. Int J DevBiol. 2010;54:303–312. doi: 10.1387/ijdb.082764gb
Supplementary files








