Role of insulin and insulin-like growth factor I receptor expression in the pathogenesis of genital endometriosis
- Authors: Florova M.S.1, Yarmolinskaya M.I.1,2, Tkachenko N.N.1, Tolibova G.K.1,2, Tral T.G.1
-
Affiliations:
- The Research Institute of Obstetrics, Gynecology, and Reproductology named after D.O. Ott
- North-Western State Medical University named after I.I. Mechnikov
- Issue: Vol 70, No 3 (2021)
- Pages: 65-74
- Section: Original study articles
- Submitted: 14.01.2021
- Accepted: 20.04.2021
- Published: 16.08.2021
- URL: https://journals.eco-vector.com/jowd/article/view/58194
- DOI: https://doi.org/10.17816/JOWD58194
- ID: 58194
Cite item
Abstract
BACKGROUND: Growth factors play an important role in the pathogenesis of genital endometriosis. Insulin and insulin-like growth factors are involved in mitosis and differentiation in the endometrium during the menstrual cycle and early pregnancy, and are likely to indirectly affect the invasion of the endometrium during retrograde menstruation and the development of pain syndrome in endometriosis. However, the available literature data on insulin-like growth factors and insulin in the endometrium and endometrioid heterotopies in patients with genital endometriosis are scarse and contradictory.
AIM: The aim of this study was to investigate the expression of insulin receptors and insulin-like growth factor I receptors in the eutopic endometrium and endometrioid heterotopies of patients with genital endometriosis.
MATERIALS AND METHODS: This cross-sectional study included immunohistochemical analysis of surgical material obtained from two groups of women in the proliferative phase of the menstrual cycle: patients with endometriosis who received surgical treatment (endometrium and endometrioid heterotopies) and patients without endometriosis who were examined due to infertility (endometrium). The study also included investigation of carbohydrate metabolism (glucose tolerance test) and determination of blood serum insulin-like growth factor I, insulin and sex hormone levels. The material was stained to detect the expression of insulin receptors and insulin-like growth factor I receptors. Then, the relative area and optical density of the receptor expression were determined and the obtained data were analyzed statistically.
RESULTS: We analyzed the examination results of 131 women matched in age and weight and height characteristics: 101 patients with genital endometriosis and 30 patients in the control group. Carbohydrate metabolism was characterized by a 2.1-fold increase in glucose-stimulated insulin secretion in patients with genital endometriosis compared with the control subjects. The blood level of insulin-like growth factor I did not differ in the study groups. Statistically significant differences in receptor expression were obtained between the groups. In the endometrium of patients with genital endometriosis, the optical density of insulin receptors was lower (p = 0.007) and the expression of insulin-like growth factor I receptors higher (p = 0.002) compared to the endometrium of the control subjects. The median values of insulin receptor expression in endometrioid heterotopies were decreased compared to the endometrium of the control group (p < 0.001). The expression of insulin-like growth factor I receptors in endometrioid heterotopies was reduced compared to the endometrium of the same patients (p < 0.001).
CONCLUSIONS: The data obtained indicate significant features in the functioning of the insulin / insulin-like growth factor I system in patients with genital endometriosis: glucose-stimulated insulin secretion and relative endometrial insulin resistance due to the decreased expression of insulin receptors and the increased expression of insulin-like growth factor I receptors in the endometrium.
Full Text
BACKGROUND
Endometriosis is a chronic disease but remains underinvestigated. Owing to the combination of genetic predisposition, hormonal deregulation, and immunological susceptibility, endometrium-like tissue can propagate and exist outside the uterine cavity [1]. Although epidemiological data vary widely, endometriosis is estimated to affect up to 10% of women of reproductive age. The manifestations of endometriosis can vary but usually include pelvic pain, dysmenorrhea, dyspareunia, infertility, and miscarriage, as well as gastrointestinal and urinary manifestations, which reduce significantly the quality of life of most patients [2]. Endometriosis is involved in many immune-mediated processes and is associated with systemic inflammation and increased oxidative stress [2, 3], which can adversely affect other body systems. According to epidemiological data, external genital endometriosis (EGE) is associated with certain body characteristics such as tall stature and low weight and body mass index (BMI) both at birth and adolescence and at the time of diagnosis [4, 5]. However, despite such a favorable structure and the knowledge that endometriosis is characterized by absolute or relative hyperestrogenemia, the disease is associated with several pathological atherogenic changes in the lipid profile of patients and an increased risk of cardiovascular complications [6, 7] and endocrine disorders [8, 9].
Insulin and insulin-like growth factors (IGFs) form a complex system consisting of peptide hormones (such as insulin, insulin-like growth factors 1 and 2 [IGF-1 and IGF-2, respectively]), receptors on the cell surface, and circulating proteins, binding these hormones. IGF-1 and IGF-2 promote cell growth and differentiation in mammals, whereas insulin primarily controls metabolism [10]. However, their functions can overlap, which is emphasized by the high homology between insulin and IGF-1 receptors, which form hybrid heterodimers in many cells and share many signaling pathways [11]. Acting jointly, these components control important biological mechanisms such as cell growth, proliferation, differentiation, migration, and anti-apoptotic mechanisms. The processes in which these substances are involved are directly related to the formation and remodeling of tissues, bone growth, brain development, and energy metabolism, which ultimately affect the growth and life expectancy of the organism. This close interaction between insulin and IGF-1 probably contributes to the relationship between hyperinsulinemia and some types of pathological hyperproliferative processes, including malignant ones [12].
Recent studies have revealed that IGF-1 may be involved in the pathogenesis of pain syndrome in endometriosis, by acting as a neurotrophic and sensitizing factor. Several studies have found that the concentration of IGF-1 in the peritoneal fluid of patients with endometriosis is significantly increased compared with its concentration in women without endometriosis [13], and this increase is positively correlated with the severity of pain syndrome (r = 0.44, p = 0.03) [14]. The use of inhibitors of IGF-1 in an experimental mouse model of endometriosis led to a decrease in pain syndrome [14].
The concept of insulin resistance was first introduced by Himsworth [15], who noted that the simultaneous administration of glucose and insulin to patients with diabetes gives one or other results. Several patients with diabetes responded with stable or low blood glucose levels, and they have been considered insulin-sensitive. In other patients, blood glucose levels increased significantly, and this group was considered insulin-resistant. At present, the second group of patients exhibited insulin resistance typical of metabolic syndrome, as at normal plasma insulin levels, target tissues are unable to provide a normal coordinated glucose-lowering response, including suppression of endogenous glucose production, lipolysis, cellular uptake of available plasma glucose, and glycogenesis [16].
Insulin resistance leads to a compensatory increase in insulin secretion; therefore, fasting plasma insulin levels increase [17]. The real-time feedback response that links insulin sensitivity and insulin secretion makes it difficult to find a causal relationship in identifying the primary disorder. Changes in the signaling pathways of both insulin target tissues and pancreatic β-cells are essential for the development of fasting hyperglycemia and type 2 diabetes mellitus [18]. Chronic hyperinsulinemia leads to a decrease in insulin sensitivity at the receptor level [19]. With a decrease in the expression of insulin receptors on the cell surface, the rate of the cell’s response to insulin decreases, but because of the “reserve” receptors, the maximum response does not decrease, unless the content of insulin receptors on the cell surface drops to 5%–10% of the normal [20]. Thus, insulin resistance is not a binary shutdown of insulin signaling, which makes hyperinsulinemia an effective compensatory mechanism for mild to moderate insulin resistance [21].
The literature presents almost no data on the level of IGF-1 expression in the endometrium of healthy women. A study published in 1993 examined 10 endometrial specimens obtained during hysterectomy for unspecified reasons and reported no difference in the IGF-1 expression during the menstrual cycle, but the expression of insulin receptors was more pronounced in the endometrium in the secretory phase of the menstrual cycle [22].
In our review of literature data, no study has reported on the level of insulin or its receptors in the endometrium and endometrioid heterotopies of patients with endometriosis.
In 1994, a study examined the IGF-1 and IGF-2 systems, their receptors, and proteins binding them and determined the expression of messenger RNA. As a result of analysis of two samples of the endometrium in the proliferative phase and eight samples of the endometrium in the secretory phase of the menstrual cycle, the growth factors themselves were determined only in the stromal component of the endometrium, and the expression of IGF-1 was more pronounced in the endometrium in the proliferative phase, and the expression of IGF-2 was more pronounced in the secretory phase. Expression of receptors of types 1 and 2 did not depend on the phase of the menstrual cycle and was present in both the epithelial and stromal components of the endometrium but was more pronounced in the epithelial component [23].
Immunohistochemical study of IGF-1 expression in the endometrium of healthy women (n = 14) revealed more intense staining during the proliferation phase compared with the secretion phase. In the eutopic endometrium of women with endometriosis (n = 8, 4 samples each of the proliferative phase and secretory phase of the menstrual cycle), a decrease in staining was noted when assessing IGF-1, while intense immunostaining was recorded in the epithelial cells of fibrous adhesions of the peritoneum. Based on the immunohistochemical study of IGF-2 in the endometrium of healthy women, a more intense expression was revealed during the secretory phase in both stromal and epithelial cells [24].
This study aimed to investigate the role of insulin and IGF-1 system in the pathogenesis of genital endometriosis.
MATERIALS AND METHODS
This cross-sectional study enrolled 131 women who presented to the D.O. Ott Research Institute of Obstetrics, Gynecology, and Reproductology (Department of Gynecology and Endocrinology, Laboratory of Immunohistochemistry, Department of Morbid Anatomy). The obstetric and gynecological anamnesis was studied in all patients, and weight and height characteristics were measured. In 102 women of reproductive age (82 patients had previously laparoscopically confirmed endometriosis, 20 patients comprised the control group), carbohydrate metabolism was additionally evaluated by performing an oral glucose tolerance test to determine the level of basal and stimulated insulin. Moreover, the endocrine profile [follicle-stimulating hormone (FSH), luteinizing hormone (LH), estradiol, and prolactin] and serum IGF-1 levels on days 2–5 of the menstrual cycle were assessed. The levels of FSH and LH were determined by enzyme-linked immunosorbent assay using Alkor-Bio test systems (Russia), and the estradiol levels were assessed using DRG Diagnostics test systems (Germany). An enzyme-linked immunosorbent assay using reagents manufactured by DRG Instruments GmbH (Germany) was used to determine the level of IGF-1 in the blood serum. Insulin and prolactin levels were assessed using an enzyme-linked immunosorbent assay with enhanced chemiluminescence on an Access 2 analyzer (Beckman Coulter, USA).
During the study, the endometrium and endometrioid heterotopies obtained intraoperatively from 29 women were analyzed. Ten of these patients without endometriosis were included in the control group (only the endometrium), and 19 patients were diagnosed with EGE of varying degrees of generalization. The diagnosis of EGE was confirmed based on laparoscopy and results of histological examination of the endometriosis foci. All intraoperative samples were taken in the proliferative phase from day 7 to day 12 of the menstrual cycle; the menstrual phase was confirmed by the results of histological examination of the endometrium. For immunohistochemical studies, endometrial samples were obtained in the control group, and endometrial samples and excised endometrioid heterotopies were obtained in the EGE group. The study did not include women with concomitant gynecological (such as polycystic ovary syndrome, uterine fibroids, polyps, or endometrial hyperplasia) and endocrine (such as diabetes mellitus and impaired glucose tolerance) pathology or severe somatic diseases.
The relative area and optical density of the expression of the β-subunit of insulin receptors (reagent ab983, Abcam, USA) and IGF-1 receptors (reagent ab39398, Abcam) were calculated in all samples during the immunohistochemical study according to the standard one-stage protocol with antigen retrieval.
Morphometry, database construction, and statistical processing were performed using ImageJ, Microsoft Excel, and Jamovi programs. The Shapiro–Wilk test was used to check the normal distribution of the data. Normally distributed data were described using the mean and standard deviations M (SD), and data with a non-normal distribution were described using the median and interquartile range Me (Q1; Q3). To compare the two samples, depending on the nature of distribution, the Student t-test or Mann–Whitney test was used. Paired t-test and Wilcoxon test were applied for pairwise comparison of data obtained during the oral glucose tolerance test. Data among the three groups (endometrium of the control group, endometrium of the EGE group, and endometrioid heterotopy group) with abnormal distribution were compared using Kruskall–Wallis rank analysis of variations with subsequent multiple pairwise comparisons using the Dwass–Steel–Critchlow–Fligner method. With normal data distribution, a one-way analysis of variance was performed with the clarification of the equality of sample variances using the Leaven test. For unequal variances, Welch’s modification was used, followed by a posteriori analysis by the Games–Howell method. Differences were considered significant at p < 0.05.
RESULTS
No significant differences were found in terms of age and BMI between the EGE group and control group. In the immunohistochemical study, the average age of the EGE group was 35.4 (6.05) years and that of the control group was 33.9 (5.45) years. Patients were also comparable in terms of BMI, with 24.1 (3.42) kg/m2 in the EGE group and 23.6 (3.95) kg/m2 in the control group. In the assessment of carbohydrate metabolism, the average age and BMI of the EGE group were 32.4 (5.13) years and 23.8 (2.28) kg/m2, respectively. In the control group, the average age and BMI were 29.8 (4.37) years and 22.7 (3.41) kg/m2, respectively.
The results of the carbohydrate metabolism analysis are presented in Table 1.
Table 1. Results of the oral glucose tolerance test to determine basal and stimulated insulin levels in the control group and EGE group
Indicator | EGE group | Control group | p | ||
M (SD) | Me (Q1; Q3) | M (SD) | Me (Q1; Q3) | ||
Fasting glucose, mmol/l | 5.13* (0.48) | 5.1 (4.86; 5.55) | 4.74* (0.39) | 4.75 (4.5; 5.1) | 0.052 |
Postload glucose, mmol/l | 6.3 (1.59) | 5.9* (5.35; 7.17) | 4.88* (1.12) | 4.7 (3.95; 5.45) | 0.077 |
Average difference | 0.5 (95% CI –0.06; 0.85) | 0.173 (95% CI –0.65; 0.99) | |||
p | 0.068 | 0.648 | |||
Fasting insulin, mIU/L | 6.72* (2.89) | 6.58 (4.41; 9.37) | 5.61* (2.67) | 5.08 (3.71; 7.63) | 0.178 |
Postload insulin, mIU/l | 53.5 (59.3) | 40.3* (22.9; 47.5) | 19.6 (11.9) | 19.1* (10.5; 21.0) | 0.003 |
Average difference | 30 (95% CI 16.3; 111.1) | 11.5 (95% CI 7.46; 24.5) | 0.021 | ||
p | <0.001 | <0.001 | |||
Insulin resistance index, homeostatic model assessment | 1.59* (0.729) | 1.2* (0.614) | 0.366 | ||
Note. EGE, external genital endometriosis. * data distribution indicated.
In the control group, the oral glucose tolerance test revealed no disorders in the carbohydrate metabolism; while in the EGE group, 4% of the patients showed impaired glucose tolerance and 3% had impaired fasting glycemia. Average fasting plasma glucose and basal insulin levels in the EGE group [5.13 (0.48) mmol/l; 6.72 (2.89) μU/ml] did not differ significantly in comparison with that in the control group [4.74 (0.39) mmol/L; 5.61 (2.67) μU/ml], pglucose = 0.052, pinsulin = 0.178.
Two hours after administration of 75 g of glucose, the plasma glucose level did not change significantly either in the control group (p = 0.648) or in the EGE group (p = 0.068).
The insulin level increased significantly in both groups (p < 0.001), but the difference in indicators was significantly greater in the EGE group than in the control group, namely, 30 (95% CI 16.3; 111.1) versus 11.5 (95% CI 7.46; 24.5), p = 0.021. The level of stimulated insulin in the blood of patients with endometriosis was 2.1 times higher than that in the control group.
No correlation was found between the results of the oral glucose tolerance test, BMI, age, or level of the studied hormones (Table 2).
Table 2. Results of the endocrine examination and determination of the levels of insulin-like growth factor 1 in the blood serum
Indicator | Main group | Control group | p |
Estradiol, pmol/l | 231 (107; 320) | 149 (120; 202) | 0.455 |
FSH, IU/L | 7.49 ± 2.9 | 7.34 ± 1.13 | 0.363 |
LH, IU/L | 5.04 ± 1.6 | 4.68 ± 0.54 | 0.779 |
Prolactin, mIU/L | 253 (181; 335) | 233 (205; 397) | 0.876 |
IGF-1, ng/ml | 136 (117; 162) | 148 (120; 159) | 0.701 |
Note. FSH, follicle-stimulating hormone; LH, luteinizing hormone; IGF-1, insulin-like growth factor 1.
No differences were found in the serum IGF-1 concentration of patients with endometriosis compared with women without endometriosis (p = 0.69).
The results of the immunohistochemical study are presented in Table 3.
Table 3. Expression of insulin receptors and IGF-1 in the endometrium and in endometrioid heterotopies of the external genital endometriosis group in comparison with the endometrium of the control group
Localization | Relative area of expression, % | Optical density | ||
IGF-1 receptor | insulin receptor | IGF-1 receptor | insulin receptor | |
Eutopic endometrium (n = 19) | 12.8 (9.95; 15.2) | 13.8 (5.21; 18.2) | 0.132 (0.0477) | 0.133 (0.0551) |
Endometrioid heterotopies (n = 19) | 3.02 (0.528; 5.22) | 4.65 (2.70; 6.25) | 0.117 (0.0738) | 0.143 (0.0502) |
Endometrium (control group) (n = 10) | 5.50 (2.70; 6.87) | 23.9 (17.0; 28.5) | 0.157 (0.00792) | 0.172 (0.0096) |
Comparison between groups | p < 0.001 | p < 0.001 | p = 0.017 | p < 0.001 |
Pairwise comparison | p1–2 < 0.001 p1–3 = 0.002 p2–3 = 0.372 | p1–2 = 0.068 p1–3 = 0.051 p2–3 < 0.001 | p1–2 = 0.745 p1–3 = 0.091 p2–3 = 0.085 | p1–2 = 0.083 p1–3 = 0.007 p2–3 = 0.026 |
Note. IGF-1, insulin-like growth factor 1.
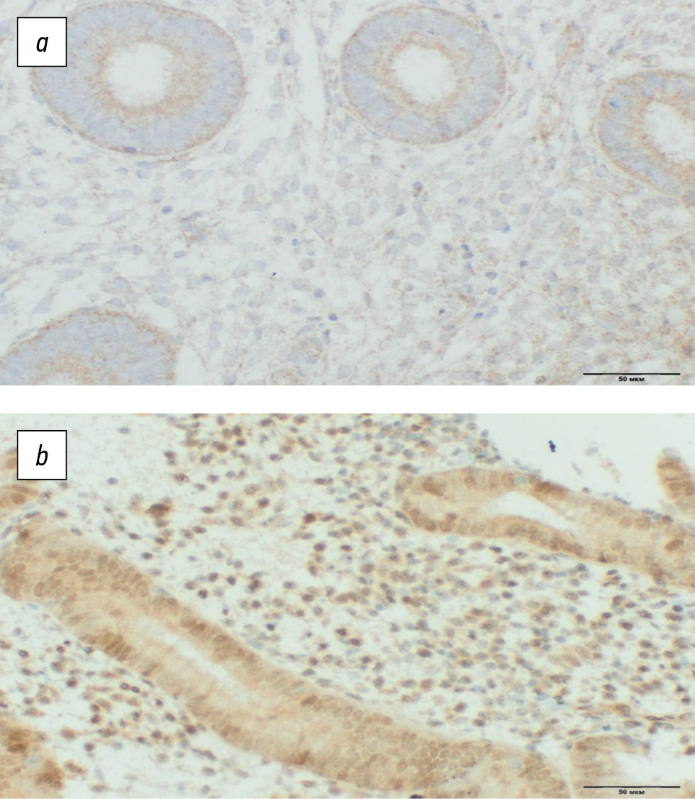
The relative area of expression of insulin receptors (Fig. 1) in the endometrium of the proliferation phase in the control group was five times higher than that in endometrioid heterotopies (p < 0.001). The expression of insulin receptors in the endometrium of women in the control group was 73% higher than that in the endometrium of patients with endometriosis, but the differences were below the threshold of significance (p = 0.051) (Fig. 2). Data on the optical density of insulin receptors in the endometrium of the two groups confirm these results. The maximum level of optical density (0.172) was also noted in the endometrium of the control group (0.0096), and it was significantly higher than similar indicators in the endometrioid heterotopia 0.143 (0.0502) (p = 0.026) and in the endometrium with 0.133 (0.0551) (p = 0.007) of the EGE group.
Fig. 1. Expression of insulin receptors (relative area, %) in the endometrium of patients in the EGE and control groups and in endometrioid heterotopia. EGE, external genital endometriosis
Fig. 2. Expression of insulin receptors in the endometrium of a patient with endometriosis (a) and in the endometrium of a patient without endometriosis (b). × 400
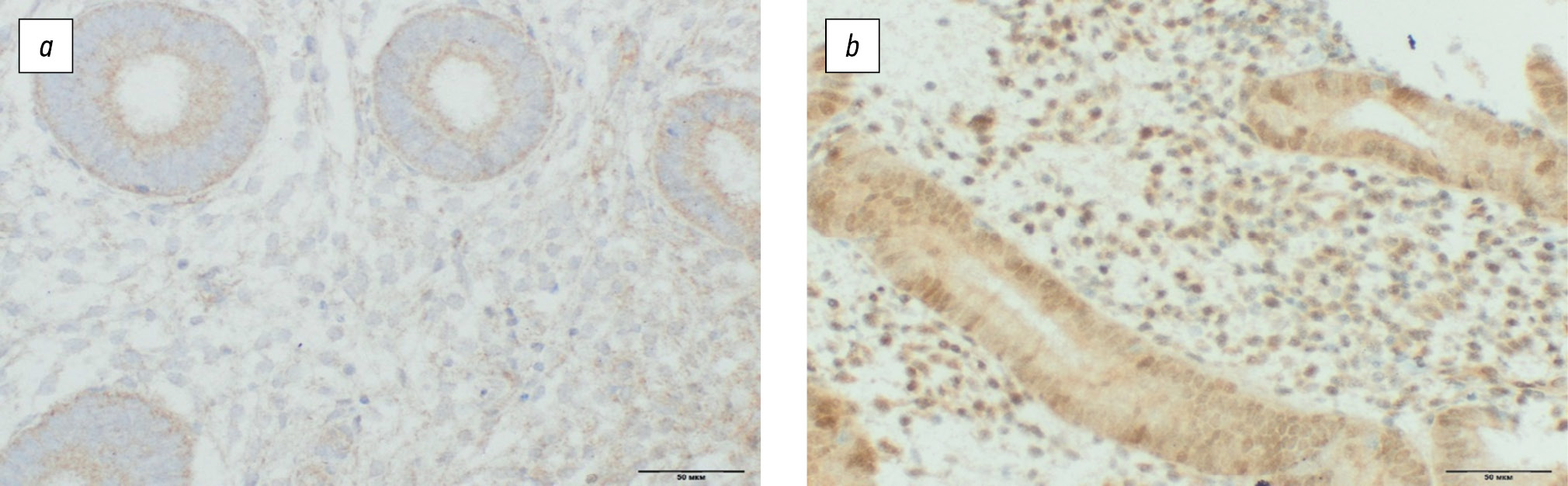
The highest expression level (12.8%) of IGF-1 receptors (Figs. 3, 4) was registered in the eutopic endometrium of patients with endometriosis (9.95; 15.2), which is 2.3 times higher than the expression in the endometrium of the patients in the control group (p = 0.002) and 4.2 times higher than that in the endometrioid heterotopia (p < 0.001). The optical density of the expression of IGF-1 receptors was not significantly different in the pairwise comparison between the groups.
Fig. 3. Expression of insulin-like growth factor 1 (IGF-1) receptors (relative area, %) in eutopic endometrium of the external genital endometriosis (EGE) group and control group, and in endometrioid heterotopias
Fig. 4. Expression of insulin-like growth factor 1 receptors in the endometrium of a patient with endometriosis (a) and in the endometrium of a patient without endometriosis (b). × 400
DISCUSSION
In this study, carbohydrate metabolism is characterized by an increase in the level of stimulated insulin in the EGE group when compared with the level in the control group by 2.1 times (p = 0.003), and the changes are not associated with BMI, age, or hormone levels (FSH, LH, estradiol, and prolactin) [25].
In patients with endometriosis, the relative area and optical density of the expression of insulin receptors in the eutopic endometrium were reduced compared with that in the control group. One of the possible causes for this decrease was postprandial hyperinsulinemia. As mentioned, the maximum effect of insulin decreases only when the number of receptors decreases by 5%–10% of the normal, while the decrease in the studied samples was 47.7% when compared with that in the control group, which may explain why the patients with endometriosis are not characterized by typical manifestations of insulin resistance and metabolic syndrome.
The current literature data do not cover sufficiently issues in the expression of insulin and IGF receptors in the endometrium of healthy patients and their changes in patients with gynecological and somatic diseases.
IGF-1 studies in endometriosis are focused on the analysis of blood plasma, peritoneal fluid, and polymorphism of genes encoding the synthesis of this growth factor. The level of IGF-1 in the peritoneal fluid of patients with EGE was increased, and it was assumed to be involved in the development of pain syndrome in endometriosis. However, the only IGF-1 study in the endometrium and endometrioid heterotopias, conducted in 1997, was exploratory and had an ambiguous small-group design (n = 4) [22].
Data on the expression of insulin receptors in patients with endometriosis are not presented in the literature.
The expression level of the IGF-1 receptor, which is a powerful growth factor, is increased significantly in the endometrium of patients with endometriosis. Possibly, cross-connections of insulin with IGF-1 receptors represent one of the causes of the pathological proliferative ability of the endometrium in patients with endometriosis.
However, the cause of the decreased expression of insulin and IGF-1 receptors in endometrioid heterotopias is not clear; therefore, continued research in this field is warranted.
CONCLUSIONS
The effect of insulin, the system of growth factors, and their receptors on the endometrium remains controversial. Literature data confirm the stimulating effect of IGF-1 on the proliferation of epithelial cells, its active synthesis in endometrial tissues, and its changes during the menstrual cycle. Its involvement in the pathogenesis of pain in endometriosis is suggested.
However, the functions of the insulin/IGF-1 system and their receptors in patients with endometriosis are underinvestigated. Moreover, no study has studied the expression of IGF-1 receptors, as well as insulin and its receptor in the endometrium and endometrioid heterotopies of patients with EGE.
Our results show that patients with endometriosis are characterized by certain aspects of carbohydrate metabolism, manifested by a significant increase in the level of stimulated insulin. Moreover, no significant differences were found in the levels of IGF-1 in the blood serum between the EGE group and control group. Significant differences were detected in the expression of insulin/IGF-1 receptors in patients with endometriosis, characterized by relative endometrial insulin resistance due to a decrease in the expression of insulin receptors and an increase in the level of expression of IGF-1 receptors in the endometrium.
Thus, changes in the insulin and IGF-1 system can play an important role in the pathogenesis of genital endometriosis, which necessitates further studies to comprehensively analyze the level of insulin and IGF-1 in the eutopic endometrium, endometriosis foci, peripheral blood, and peritoneal fluid in patients with endometriosis compared with the indices of the control group.
ADDITIONAL INFORMATION
Funding. The study was performed within the work on the subject of fundamental scientific research АААА-А19-119030490009-6: “Development of diagnostic strategies, therapy for genital endometriosis and tumors of the female reproductive tract.”
Conflict of interest. The authors declare no conflict of interest.
About the authors
Margarita S. Florova
The Research Institute of Obstetrics, Gynecology, and Reproductology named after D.O. Ott
Author for correspondence.
Email: fm.sergeevna@gmail.com
ORCID iD: 0000-0003-4569-3827
SPIN-code: 1480-7599
ResearcherId: P-3005-2017
Russian Federation, Saint Petersburg
Maria I. Yarmolinskaya
The Research Institute of Obstetrics, Gynecology, and Reproductology named after D.O. Ott; North-Western State Medical University named after I.I. Mechnikov
Email: m.yarmolinskaya@gmail.com
ORCID iD: 0000-0002-6551-4147
SPIN-code: 3686-3605
Scopus Author ID: 7801562649
ResearcherId: P-2183-2014
MD, Dr. Sci. (Med.), Professor, Professor of the Russian Academy of Sciences
Russian Federation, Saint PetersburgNatalya N. Tkachenko
The Research Institute of Obstetrics, Gynecology, and Reproductology named after D.O. Ott
Email: liberin@mail.ru
ORCID iD: 0000-0001-6189-3488
SPIN-code: 9633-6701
ResearcherId: K-1734-2018
Cand. Sci. (Biol.)
Russian Federation, Saint PetersburgGulrukhsor Kh. Tolibova
The Research Institute of Obstetrics, Gynecology, and Reproductology named after D.O. Ott; North-Western State Medical University named after I.I. Mechnikov
Email: gulyatolibova@yandex.ru
ORCID iD: 0000-0002-6216-6220
SPIN-code: 7544-4825
Scopus Author ID: 23111355700
ResearcherId: Y-6671-2018
MD, Dr. Sci. (Med.)
Russian Federation, Saint PetersburgTatyana G. Tral
The Research Institute of Obstetrics, Gynecology, and Reproductology named after D.O. Ott
Email: ttg.tral@yandex.ru
ORCID iD: 0000-0001-8948-4811
SPIN-code: 1244-9631
Scopus Author ID: 37666260400
MD, Cand. Sci. (Med.)
Russian Federation, Saint PetersburgReferences
- Giudice LC, Kao LC. Endometriosis. Lancet. 2004;364(9447):1789–1799. doi: 10.1016/S0140-6736(04)17403-5
- de Ziegler D, Borghese B, Chapron C. Endometriosis and infertility: pathophysiology and management. Lancet. 2010;376(9742):730–738. doi: 10.1016/S0140-6736(10)60490-4
- Santanam N, Song M, Rong R, et al. Atherosclerosis, oxidation and endometriosis. Free Radic Res. 2002;36(12):1315–1321. doi: 10.1080/1071576021000049908
- Aarestrup J, Jensen BW, Ulrich LG, et al. Birth weight, childhood body mass index and height and risks of endometriosis and adenomyosis. Ann Hum Biol. 2020;47(2):173–180. doi: 10.1080/03014460.2020.1727011
- Hediger ML, Hartnett HJ, Louis GM. Association of endometriosis with body size and figure. Fertil Steril. 2005;84(5):1366–1374. doi: 10.1016/j.fertnstert.2005.05.029
- Taskin O, Rikhraj K, Tan J, et al. Link between endometriosis, atherosclerotic cardiovascular disease, and the health of women midlife. J Minim Invasive Gynecol. 2019;26(5):781–784. doi: 10.1016/j.jmig.2019.02.022
- Alderman MH 3rd, Yoder N, Taylor HS. The systemic effects of endometriosis. Semin Reprod Med. 2017;35(3):263–270. doi: 10.1055/s-0037-1603582
- Kvaskoff M, Mu F, Terry KL, et al. Endometriosis: a high-risk population for major chronic diseases? Hum Reprod Update. 2015;21(4):500–516. doi: 10.1093/humupd/dmv013
- Hughes CL, Foster WG, Agarwal SK. The impact of endometriosis across the lifespan of women: foreseeable research and therapeutic prospects. Biomed Res Int. 2015;2015:158490. doi: 10.1155/2015/158490
- Dupont J, Khan J, Qu BH, Metzler P, Helman L, LeRoith D. Insulin and IGF-1 induce different patterns of gene expression in mouse fibroblast NIH-3T3 cells: identification by cDNA microarray analysis. Endocrinology. 2001;142(11):4969–4975. doi: 10.1210/endo.142.11.8476
- Siddle K. Signalling by insulin and IGF receptors: supporting acts and new players. J Mol Endocrinol. 2011;47(1):R1–R10. doi: 10.1530/JME-11-0022
- Perseghin G, Calori G, Lattuada G, et al. Insulin resistance/hyperinsulinemia and cancer mortality: the Cremona study at the 15th year of follow-up. Acta Diabetol. 2012;49(6):421–428. doi: 10.1007/s00592-011-0361-2
- Yarmolinskaya MI. Genital’nyy endometrioz: vliyanie gormonal’nykh, immunologicheskikh i geneticheskikh faktorov na razvitie, osobennosti techeniya i vybor terapii. [dissertation abstract]. Saint Petersburg; 2009. (In Russ.)
- Forster R, Sarginson A, Velichkova A, et al. Macrophage-derived insulin-like growth factor-1 is a key neurotrophic and nerve-sensitizing factor in pain associated with endometriosis. FASEB J. 2019;33(10):11210–11222. doi: 10.1096/fj.201900797R
- Himsworth HP. Diabetes mellitus: its differentiation into insulin-sensitive and insulin-insensitive types. Lancet. 1936;227(5864):127–130. doi: 10.1016/S0140-6736(01)36134-2
- Kahn SE, Hull RL, Utzschneider KM. Mechanisms linking obesity to insulin resistance and type 2 diabetes. Nature. 2006;444(7121):840–846. doi: 10.1038/nature05482
- Czech MP. Insulin action and resistance in obesity and type 2 diabetes. Nat Med. 2017;23(7):804–814. doi: 10.1038/nm.4350
- Kahn SE. The relative contributions of insulin resistance and beta-cell dysfunction to the pathophysiology of type 2 diabetes. Diabetologia. 2003;46(1):3–19. doi: 10.1007/s00125-002-1009-0
- Samuel VT, Shulman GI. Mechanisms for insulin resistance: common threads and missing links. Cell. 2012;148(5):852–871. doi: 10.1016/j.cell.2012.02.017
- Kahn CR. Insulin resistance, insulin insensitivity, and insulin unresponsiveness: a necessary distinction. Metabolism. 1978;27(12 Suppl 2):1893–1902. doi: 10.1016/s0026-0495(78)80007-9
- Petersen MC, Shulman GI. Mechanisms of insulin action and insulin resistance. Physiol Rev. 2018;98(4):2133–2223. doi: 10.1152/physrev.00063.2017
- Strowitzki T, von Eye HC, Kellerer M, Häring HU. Tyrosine kinase activity of insulin-like growth factor I and insulin receptors in human endometrium during the menstrual cycle: cyclic variation of insulin receptor expression. Fertil Steril. 1993;59(2):315–322. doi: 10.1016/s0015-0282(16)55674-x
- Zhou J, Dsupin BA, Giudice LC, Bondy CA. Insulin-like growth factor system gene expression in human endometrium during the menstrual cycle. J Clin Endocrinol Metab. 1994;79(6):1723–1734. doi: 10.1210/jcem.79.6.7527408
- Sbracia M, Zupi E, Alo P, et al. Differential expression of IGF-I and IGF-II in eutopic and ectopic endometria of women with endometriosis and in women without endometriosis. Am J Reprod Immunol. 1997;37(4):326–329. doi: 10.1111/j.1600-0897.1997.tb00238.x
- Patent RUS No. 2727299/21.07.2020. Byul. No. 21. Jarmolinskaja MI, Florova MS. Sposob lechenija naruzhnogo genital’nogo jendometrioza (In Russ.). [cited 2021 Apr 25]. Available from: https://patenton.ru/patent/RU2727299C1.pdf
Supplementary files






