Modern sonographic markers for the prognosis of preterm birth in women with different somatotypes
- Authors: Tomaeva K.G.1, Gaidukov S.N.2, Komissarova E.N.2, Tomaev G.G.3
-
Affiliations:
- North Ossetian State Medical Academy
- Saint Petersburg State Pediatric Medical University
- Limited liability company «Nikamed»
- Issue: Vol 70, No 4 (2021)
- Pages: 91-98
- Section: Original study articles
- Submitted: 25.01.2021
- Accepted: 30.06.2021
- Published: 05.10.2021
- URL: https://journals.eco-vector.com/jowd/article/view/59053
- DOI: https://doi.org/10.17816/JOWD59053
- ID: 59053
Cite item
Abstract
BACKGROUND: Preterm birth is one of the causes of perinatal morbidity and mortality. Premature infants have an increased risk of death and the development of neurological and other disorders.
AIM: The aim of this study was to evaluate the modern sonographic parameters of the cervix in pregnant women with different somatotypes and to develop a mathematical model for predicting preterm birth.
MATERIALS AND METHODS: The study included 390 women, among whom 110 were classified with macrosomatic, 173 with mesosomatic, and 107 with microsomatic types. Somatotype was determined in women in early stages of pregnancy (before 9-10 weeks of gestation) using the R.N. Dorokhov anthropometric test method. The utero-cervical angle was measured, shear wave elastography was performed, and the average shear wave speed in the area of the internal cervical os was determined. All measurements were performed on a Philips EPIQ 5 ultrasound machine.
RESULTS: Preterm birth was more often identified in women with macro- and microsomatic types in comparison with women with mesosomatic type (p < 0.05). In pregnant women with subsequent preterm birth at 22-23 weeks, the average SWS in the area of the internal cervical os was reduced (p < 0.05) and the utero-cervical angle was higher in comparison with those women who did not have preterm birth (p < 0.05). Using multiple regression analysis, we obtained the regression equation (formula), which predicts the development of preterm birth in women with different somatotypes.
CONCLUSIONS: Such parameters as the average shear wave speed in the area of the internal cervical os and the utero-cervical angle may be regarded as markers of preterm birth. The mathematical formula obtained allows for predicting the development of preterm birth in women with different somatotypes and for timely prevention of pathology.
Keywords
Full Text
BACKGROUND
Preterm birth is a complex process resulting from the influence of many factors. According to the principles of the World Health Organization, preterm birth, which is a significant cause of perinatal morbidity and mortality, is defined as delivery before 37 weeks of gestation. The preterm birth rate ranges from 5% to 13% in most countries, with 15 million preterm births occurring annually worldwide, representing a serious social and medical problem. Premature babies are at increased risk of death and are more likely to develop long-term neurological and developmental disorders compared to full-term children. In addition, preterm birth can increase the risk of lethal outcomes from other neonatal diseases. With a preterm birth, the development of pathological conditions is characterized not only by children but also by the mothers themselves. Thus, women who give birth prematurely more often have cardiometabolic disorders in the future [1–4]. Identification of signs of preterm birth characteristics, long before the onset of labor, will enable timely preventive measures, which will reduce the risk of perinatal complications.
In modern medical literature, more and more attention is paid to the relationship of the human body type with various pathological conditions, including the peculiarities of the course of pregnancy, which determines the approach of patient management [5, 6]. In Russian scientific research, the classification and technology of R.N. Dorokhov, which has several advantages, is often used for somatometry. Thus, it is used for both adult and pediatric populations. Accordingly, dimensional variation, body mass components, and proportional development are determined [7, 8].
Studies were published that present data on changes in tissue elasticity in organs depending on the development of a particular pathological process, using the modern shear wave elastography (SWE) technology; and the elastographic parameters of the cervix at different stages of pregnancy were studied, which revealed a correlation with the term of delivery [9–14]. Before childbirth, the cervical consistency changes, which leads to its opening and onset of the labor process, assessed by cervical conditions.
The study of the cervical elasticity long before the onset of preterm labor in women, taking into account the somatotype for predicting the onset of labor, is an urgent task of modern obstetrics. The literature reports insufficient research to identify the relationship between the body type characteristics of a woman and the onset of preterm birth.
This study aimed to analyze the modern cervical sonographic parameters in pregnant women, taking into account the somatotype, to develop a mathematical model for predicting preterm labor.
MATERIALS AND METHODS
The work performed relates to the research activity. The study included 390 women. Somatotyping was performed in women at gestational age no later than 9–10 weeks, using the contemporary classification and R.N. Dorokhov’s methodology, where the nanosomal type is distinguished with <0.2 points, microsomal with 0.2–0.385 points, mesosomal with 0.466–0.533 points, macrosomal with 0.614–0.8 points, and megalosomal with >0.8 points, as well as transitional somatotypes, namely micromesosomal with 0.386–0.465 points and macromesosomal with 0.534–0.613 points [7, 8]. The macrosomatotype was noted in 110 patients, mesosomatotype in 173, and microsomatotype in 107 patients. The study included women at a gestational age of no later than 9–10 weeks, with a singleton pregnancy, without a history of severe somatic nosologies, signs of isthmic-cervical insufficiency, preterm birth, recurrent miscarriage, and cervical surgical interventions, and after signing informed consent to participate in the study.
The utero-cervical angle, namely the angle formed by the cervix and the lower segment of the uterus, was measured. The utero-cervical angle was determined by a transvaginal probe located in the anterior fornix of the vagina, based on visualization of the angle formed by the line along the anterior uterine wall, including the isthmus and internal orifice, and the line parallel to the cervical canal through the internal and external orifices.
All measurements were performed on a Philips Epiq 5 ultrasound scanner.
SWE was performed, as well as a quantitative assessment of the cervical stiffness (elasticity), expressed in terms of the shear wave speed (SWS). The measurement mode was chosen in m/s in real-time. The speed at which shear waves travel depends on the cervical elasticity. Thus, with an increased cervical stiffness, the speed of propagation of the shear waves increased. It should be noted that when performing SWE in this device, compression is unnecessary, the tissue compression occurs under the influence of a strong ultrasound wave, and the software analyzes and displays the elasticity color map and the digital elasticity index expressed in m/s. The velocity of shear waves in the region of the posterior and anterior surfaces of the internal orifice, as well as the SWS in the region of the posterior and anterior surfaces of the external orifice, was determined, and then the average SWS value in the area of the internal and external orifice was calculated.
Measurements were made at 22–23 and 28–29 weeks of gestation. Taking into account the data of several authors, cervical maturation gradually occurs within 2–4 weeks [15]. Therefore, weekly measurement of the utero-cervical angle and cervical elasticity was unnecessary.
For mathematical data processing, the STATGRAPHICS Plus version 5.0 and Statistical Package for the Social Sciences (SPSS) version 15.0 programs were used. The indicators were presented as the arithmetic mean and mean error. The student’s t-test was used to identify differences in the groups. The multiple regression analysis, Pearson correlation, and receiver operating characteristic (ROC) analysis were performed.
RESULTS AND DISCUSSION
Among the examined female patients, 60% were primiparous and 40% were multiparous; the age ranged from 18 to 38 years (average age 27.5±2.8 years).
In the groups of women with macro- and microsomatotypes, preterm labor was more common in contrast to women with the mesosomatotype (p < 0.05) (Table 1).
Table 1. The incidence of preterm birth in the examined women
Indicator | Somatotype | |||||
MaS (n=110) | MeS (n=173) | MiS (n=107) | ||||
n | % | n | % | n | % | |
Preterm birth | 12 | 10.9 | 11* | 6.4 | 16# | 14.9 |
Note. МaS — macrosomatotype; MeS — mesosomatotype; MiS — microsomatotype. * differences between MaS and MeS types are statistically significant (p < 0.05); # differences between MeS and MiS types are statistically significant (p < 0.05).
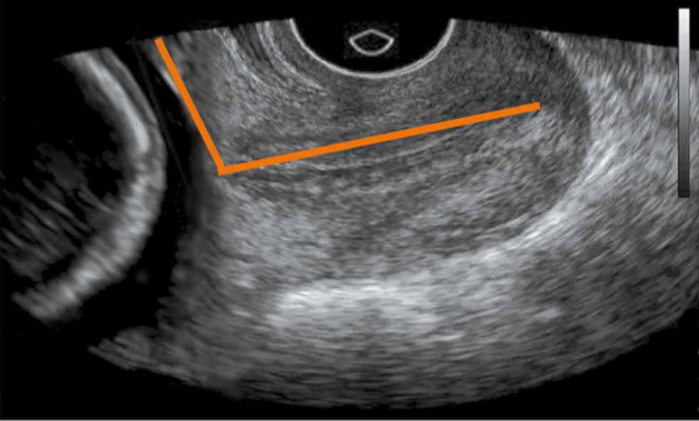
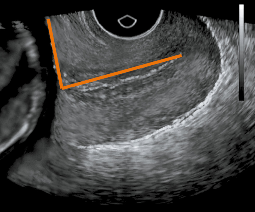
The mean SWS value in the area of the internal uterine orifice and the utero-cervical angle significantly differed in the studied groups (p < 0.05) (Table 2, Fig. 1, 2).
Fig. 1. Patient V., gestational age 28 weeks, utero-cervical angle - 106 °
Fig. 2. Patient L., gestational age 29 weeks, utero-cervical angle - 88 °
Among the pregnant women who subsequently had a preterm birth, already at 22–23 weeks of gestation, the mean SWS value in the internal uterine orifice was less than the normal values, whereas the value of the utero-cervical angle was higher compared to those who did not have preterm labor (p < 0.05). Indicators of the cervical length in the examined groups did not significantly differ.
Table 2. Markers of preterm labor in the groups under study
Examined groups | Indicator | Somatotype | ||
MaS (n=110) | MeS (n=173) | MiS (n=107) | ||
22–23 weeks of pregnancy | ||||
Pregnant women without a preterm birth | Cervical length, mm | 39.3±5.8 | 39.7±5.2 | 38.8±4.9 |
Average SWS value in the internal orifice of the uterus, m/s | 3.82±0.2 | 3.86±0.3 | 3.72±0.4** | |
Average SWS value in the external orifice of the uterus, m/s | 2.27±0.7 | 2.32±0.8 | 2.25±0.8 | |
Utero-cervical angle, degrees | 86.3±4.4 | 85.6±4.7 | 86.9±6.2** | |
Pregnant women with subsequent preterm labor | Cervical length, mm | 36.8±6.2 | 37.6 ±5.9 | 36.2±5.2 |
Average SWS value in the internal orifice of the uterus, m/s | 2.31±0.2# | 2.34±0.2# | 2.13±0.4**, # | |
Average SWS value in the external orifice of the uterus, m/s | 1.93±0.7 | 1.97±0.6 | 1.91±0.5# | |
Utero-cervical angle, degrees | 97.9±5.3# | 97.5±5.6# | 98.2±7.3**, # | |
28–29 weeks of pregnancy | ||||
Pregnant women without a preterm birth | Cervical length, mm | 38.4±5.8 | 38.7±5.6 | 37.7±5.2 |
Average SWS value in the internal orifice of the uterus, m/s | 3.04±0.2* | 3.14±0.1 | 2.92±0.2** | |
Average SWS value in the external orifice of the uterus, m/s | 2.09±0.6 | 2.11±0.6 | 2.03±0.7 | |
Utero-cervical angle, degrees | 94.3±4.8 | 94.6 ±4.6 | 95.4±6.3** | |
Pregnant women with subsequent preterm labor | Cervical length, mm | 34.3±6.5 | 35.2±5.9 | 33.4±5.6 |
Average SWS value in the internal orifice of the uterus, m/s | 1.71±0.07#, δ | 1.74±0.08#, δ | 1.62±0.07**, #, δ | |
Average SWS value in the external orifice of the uterus, m/s | 1.57±0.5 | 1.58±0.5# | 1.51±0.4 | |
Utero-cervical angle, degrees | 106.3±5.7#, δ | 105.8±5.3#, δ | 108.6±6.6**, #, δ | |
Note. МaS — macrosomatotype; MeS — mesosomatotype; MiS — microsomatotype; SWS — the shear wave speed. * differences in groups MaS and MeS are statistically significant (p < 0.05); ** differences in the MeS and MiS groups are statistically significant (p < 0.05); δ differences between indicators at 22–23 and 28–29 weeks of gestation are statistically significant (p < 0.05); # differences between the indicators in the group of pregnant women who did not have preterm labor and in the group of pregnant women with subsequent preterm birth are statistically significant (p < 0.05).
At the gestational age of 28–29 weeks, a weak correlation was established between the cervical length and the mean SWS value in the internal uterine orifice (r=0.2; p < 0.05) and the utero-cervical angle (r=0.22, p < 0.05) among pregnant women who subsequently had a preterm birth. Correlation of the cervical length with indicators at a gestational age of 22–23 weeks was not identified.
Since the SWS values can be used to determine the elasticity of the tissue under study, a decrease in this indicator in pregnant women with subsequent preterm birth, as well as an increased utero-cervical angle, indicate cervical softening at 22–23 weeks of gestation; and at weeks 28–29, the SWS value continued to decrease, whereas the utero-cervical angle increased, which indicated cervical maturation and onset of preterm birth. Indicators, such as the mean SWS in the area of the internal uterine orifice and the utero-cervical angle, can be attributed to markers of preterm labor, which can be used to predict the development of labor.
All this enabled, when performing correlation-regression analysis (in the SPSS version 15.0 program), to reveal the relationship between preterm labor in women and their somatotype (r=–0.82; p < 0.05), the average SWS value in the internal uterine orifice (r=–0.89; p < 0.05), utero-cervical angle (r=0.92; p < 0.05), and fatty component of weight (r=0.89; p < 0.05), and develop a mathematical formula to predict the development of preterm labor in women, taking into account the somatotype.
RPB=–112.32 – (115.32 · А) + (9.03 · В) – (0.086 · С) – (5.21 · D),
where RPB — risk of preterm birth (%); A — somatotype score; B — fat mass (%); C — utero-cervical angle (degrees); and D — the average value of the shear wave velocity in the internal uterine orifice (m/s).
The values of the corresponding indicators of the examined woman are substituted into the mathematical formula. The RPB values of 60% or more indicate a high risk of preterm birth, those of 30% to 60% indicate a moderate risk, and values below 30% indicate low risk, taking into account the well-known scales [16].
Example of calculating RPB 1. Patient L., 22 years old. At 6 weeks of gestation, somatometry revealed a height of 156.1 cm; a weight of 44.3 kg; a fat mass of 12.46 kg (28.3%); and microsomatotype body type (0.342 points). At 28 weeks of gestation, the ultrasound examination revealed the utero-cervical angle of 103.6°, and during SWE, the mean SWS value in the internal uterine orifice was 1.9 m/s. RPB amounted to 87.1%. The patient had a preterm birth at 32 weeks of gestation, which indicates the correctness of the RPB calculation.
Example of calculating RPB 2. Patient R., 24 years old. At 7 weeks of gestation, somatometry revealed a height of 178.3 cm; the weight of 74.2 kg; a fat mass of 19.42 kg (26.2%); and macrosomatotype body type (0.642 points). At 28 weeks of gestation, the ultrasound examination revealed the utero-cervical angle of 95.5°, and during SWE, the mean SWS value in the internal uterine orifice was 3.8 m/s. RPB amounted to 20.6%. The patient had a delivery at the gestational age of 38 weeks, which indicates the correctness of the RPB calculation.
In cases of preterm birth, an ROC analysis was performed to identify the ability to precisely predict the development of a pathological process. When performing the ROC analysis, a moderate and, in some cases, high sensitivity and specificity of the signs selected for multiple regression analysis was established. Thus, the sensitivity and specificity of the utero-cervical angle were 76% and 87%, respectively, the average SWS value in the internal uterine orifice was 80% and 83%, somatotype scores were 89% and 82%, respectively, the fat component of the weight was 76% and 80%. Area under curve for the signs mentioned was equal to 0.8; 0.82; 0.84, and 0.77, respectively. The ROC analysis confirms the correctness of the choice of signs to predict the onset of preterm labor.
CONCLUSION
In groups of women with macro- and microsomatotypes, preterm births were more common, in contrast to women with a mesosomatotype. Indicators, such as the average shear wave velocity in the internal uterine orifice area and the utero-cervical angle, can be attributed to the markers of preterm labor. The mathematical formula obtained is used to predict the development of preterm labor in women, taking into account the somatotype. In outpatient clinics, high-risk groups for the onset of premature labor can be preliminarily selected and prophylaxis can be performed.
ADDITIONAL INFORMATION
Conflict of interest. The authors declare no conflict of interest.
Funding. The study had no external funding.
Ethical considerations. The study was approved by the local ethics committee of the North Ossetian State Medical Academy of the Ministry of Health of Russia (protocol No. 5.7 dated 12/08/2015).
About the authors
Kristina G. Tomaeva
North Ossetian State Medical Academy
Email: tomaevakg@mail.ru
ORCID iD: 0000-0003-0269-5507
SPIN-code: 7129-6523
MD, Cand. Sci. (Med.), Assistant Professor, Department of Obstetrics and Gynecology № 2
Russian Federation, 9 Pushkinskaya Str., Vladikavkaz, 362019Sergey N. Gaidukov
Saint Petersburg State Pediatric Medical University
Email: gaiducovsn@yandex.ru
MD, Dr. Sci. (Med.), Professor, Department of Obstetrics and Gynecology
Russian Federation, 2 Litovskaya st., Saint-Petersburg, 194100Elena N. Komissarova
Saint Petersburg State Pediatric Medical University
Email: komissaren@yandex.ru
Dr. Sci. (Biol.), Professor, Department of Human Anatomy
Russian Federation, 2 Litovskaya st., Saint-Petersburg, 194100Georgii G. Tomaev
Limited liability company «Nikamed»
Author for correspondence.
Email: g.tomaeff@yandex.ru
ORCID iD: 0000-0002-2455-1283
MD, doctor-surgeon-orthopedist
Russian Federation, 14/2 Bumazhnyj proezd, Moscow, 127015References
- Crump C, Sundquist J, Sundquist K. Preterm delivery and long term mortality in women: national cohort and co-sibling study. BMJ. 2020;370:m2533. doi: 10.1136/bmj.m2533
- Huang J, Qian Y, Gao M, et al. Analysis of factors related to preterm birth: a retrospective study at Nanjing Maternity and Child Health Care Hospital in China. Medicine (Baltimore). 2020;99(28):e21172. doi: 10.1097/MD.0000000000021172
- Keag OE, Murphy L, Bradley A. Postal recruitment for genetic studies of preterm birth: A feasibility study. Wellcome Open Res. 2020;5:26. doi: 10.12688/wellcomeopenres.15207.2
- Dehaene I, Scheire E, Steen J. Obstetrical characteristics and neonatal outcome according to aetiology of preterm birth: a cohort study. Arch Gynecol Obstet. 2020;302(4):861–871. doi: 10.1007/s00404-020-05673-5
- Tomaeva KG, Gaydukov SN. A model for predicting the risk of preeclampsia in women with different somatotypes. Journal of Obstetrics and Women’s Diseases. 2019;68(6):65–72. (In Russ.). doi: 10.17816/JOWD68665-72
- Tomaeva KG. Prediction of placental insufficiency in pregnant women with different somatotypes. Journal of Obstetrics and Women’s Diseases. 2020;69(4):23–28. (In Russ.). doi: 10.17816/JOWD69423-28
- Dorohov RN. Opyt ispol’zovanija original’noj metricheskoj shemy somatotipirovanija v sportivno-morfologicheskih issledovanijah. Teoriya i pracktika fizicheskoy kultury. 1991;(1):14–20. (In Russ.)
- Dorokhov RN, Chernova VN, Bubnenkova OM. Nature of distribution of fatty body weight among the people at various ages both male and female. Uchenye zapiski universiteta im. P.F. Lesgafta. 2015;(9):91–96. (In Russ.). doi: 10.5930/issn.1994-4683.2015.09.127.p91-96
- Babich DA, Baev OR, Fedotkina EP, Gus AI. Diagnostic opportunities of echo elastography in obstetrics and gynecology. Obstetrics and Gynecology. 2019;(7):5–12. (In Russ.). doi: 10.18565/aig.2019.7.5-12
- Diomidova VN, Zakharova OV, Petrova OV, Siordiya AA. Ultrasound (compression and shear wave) elastography in obstetrics and gynaecology. Voprosy Ginekologii, Akusherstva i Perinatologii. 2016;15(2):52–58. (In Russ.). DOI: 10.0.81.217/1726-1678-2016-2-52-58
- Pekarev OG, Brega ES, Lunkov SS, Gus AI. Clinical and elastographic assessment of immature vesical cervix preparations for delivery. Doctor.Ru. 2019;11(166):22–28. (In Russ.). doi: 10.31550/1727-2378-2019-166-11-22-28
- Lu J, Cheng YKY, Ho SYS, et al. The predictive value of cervical shear wave elastography in the outcome of labor induction. Acta Obstet Gynecol Scand. 2020;99(1):59–68. doi: 10.1111/aogs.13706
- Park HS, Kwon H, Kwak DW, et al. Korean Society of Ultrasound in Obstetrics and Gynecology Research Group. Addition of cervical elastography may increase preterm delivery prediction performance in pregnant women with short cervix: a prospective study. J Korean Med Sci. 2019;34(9):e68. doi: 10.3346/jkms.2019.34.e68
- Seol HJ, Sung JH, Seong WJ, et al. Standardization of measurement of cervical elastography, its reproducibility, and analysis of baseline clinical factors affecting elastographic parameters. Obstet Gynecol Sci. 2020;63(1):42–54. doi: 10.5468/ogs.2020.63.1.42
- Hendricks CH, Brenner WE, Kraus G. Normal cervical dilatation pattern in late pregnancy and labor. Am J Obstet Gynecol. 1970;106(7):1065–1082. doi: 10.1016/s0002-9378(16)34092-3
- Aleksandrovich YuS, Gordeev VI. Otsenochnye i prognosticheskie shkaly v meditsine kriticheskikh sostoyaniy. Saint Petersburg: ELBI; 2015. (In Russ.)




