Experimental model of non-alcoholic fatty liver disease in pregnant rats to evaluate the effectiveness of therapy
- Authors: Mozgovaia E.V.1, Kryshnia M.A.1, Blazhenko A.А.1, Nuzhnova A.А.1, Tolibova G.1, Tral T.G.1, Toumasova J.N.1, Korenevsky A.V.1, Zalozniaia I.V.1, Ganzhina V.S.1, Bespalova O.N.1
-
Affiliations:
- The Research Institute of Obstetrics, Gynecology and Reproductology named after D.O. Ott
- Issue: Vol 73, No 6 (2024)
- Pages: 116-127
- Section: Original study articles
- Submitted: 29.10.2024
- Accepted: 19.11.2024
- Published: 06.12.2024
- URL: https://journals.eco-vector.com/jowd/article/view/640004
- DOI: https://doi.org/10.17816/JOWD640004
- ID: 640004
Cite item
Abstract
Background: The growing incidence of non-alcoholic fatty liver disease in the population contributes to the development of obstetric complications during pregnancy and demands searching effective methods of hepatoprotective therapy.
Aim: The aim of this study was to evaluate the efficacy of therapy for non-alcoholic fatty liver disease in an experimental model in pregnant rats.
Materials and methods: this experimental study was carried out on 19 female Wistar rats weighing 250–300 g, obtained from the laboratory animal nursery of SMK Stezar Ltd. (Vladimir, Russia). Using a high-fat diet, non-alcoholic fatty liver disease was simulated in the study groups as follows. Group 1 (n = 7) consisted of non-pregnant rats, group 2 comprised pregnant rats without therapy (n = 6), and group 3 included pregnant rats and intraperitoneal administration of 12 mg of the low-molecular sugar preparation from day 16 to day 20 of gestation (n = 6). During the experiment, the body weight of female rats was measured weekly. After the experiment was completed, we evaluated the blood serum levels of aspartate aminotransferase, alanine aminotransferase, ferritin, triglycerides, total cholesterol, total bilirubin, urea, total alkaline phosphatase, bile acids, glucose, C-reactive protein, cholinesterase, and malondialdehyde, as well as catalase activity. Histological examination of the rat liver was carried out using the standard method with hematoxylin and eosin staining.
Results: This study showed that high-fat diet caused oxidative stress manifested by decreased the blood catalase level and increased malonovodialdehyde in both pregnant and non-pregnant females; the blood bile acids level also increased. In pregnant rats with non-alcoholic fatty liver disease, the serum C-reactive protein and total alkaline phosphatase levels increased, the cholinesterase level decreased, and the catalase activity decreased even more. In the study group using the low-molecular sugar preparation, biochemical parameters in non-alcoholic fatty liver disease improved, probably due to the effect on lipogenesis and oxidative stress in the liver. The histological pattern was characterized by the impaired structural characteristics of hepatocytes and the circulatory bed. With the use of the low-molecular-weight sugar preparation, we noted a tendency to restore the structure of the hepatic beam area and a decrease in the manifestations of steatosis.
Conclusions: The use of the low-molecular-weight sugar preparation in the treatment of non-alcoholic fatty liver disease improves biochemical blood parameters and tends to restore the histological structure of the liver.
Full Text
Background
Non-alcoholic fatty liver disease (NAFLD) is a global healthcare challenge characterized by the lipid accumulation in the liver caused by a high-fat diet [1]. The literature suggests that maternal NAFLD may be a key factor of health and morbidity in the next generation. Pre-pregnancy NAFLD and gestational weight gain, especially early in pregnancy, may increase the risk of obesity and NAFLD in children [1, 2].
Fatty liver is the most common form of chronic NAFLD. It is strongly associated with obesity, insulin resistance, metabolic syndrome, and genetic and lifestyle factors. This association is particularly strong in patients with insulin resistance and genetic predisposition [1, 3].
NAFLD is a worldwide common liver disease with a steadily increasing global prevalence currently estimated around 20%–30% [4].
Hepatic steatosis in children is observed in the early postnatal and even prenatal stages of development [5]. Prenatal factors for NAFLD include maternal obesity, metabolic syndrome, and gestational diabetes [6].
Despite the established association between NAFLD and morbidity in children, the number of studies on the effects of NAFLD on the pregnancy course is limited [5]. Several studies showed that having NAFLD during pregnancy is associated with adverse outcomes including gestational diabetes mellitus, hypertension, postpartum hemorrhage, low birth weight, and macrosomia [7, 8]. There are currently no drug products approved by the U.S. Food and Drug Administration (FDA) or the European Medicines Agency (EMA) for the treatment of NAFLD. However, the steadily increasing global prevalence of NAFLD calls for an urgent search for therapies [4].
The critical role in the pathogenesis of NAFLD is attributed to fatty liver, insulin resistance, and inflammation, both local and systemic. In recent years, further evidence of the association between intestinal dysbiosis and NAFLD has been obtained [9]. These microbiota changes include a decrease in the diversity and ratio of Firmicutes and Bacteroides compared to reference values, which is confirmed for the intestinal microbiome of children with NAFLD [10].
Diagnostic criteria for NAFLD include fatty liver, with the fat content equal to or greater than 5%, and exclusion of other secondary factors of fatty liver such as autoimmune liver disease, viral hepatitis, and excessive alcohol intake [11]. NAFLD can be classified into steatosis (increased liver fat content without inflammation) and steatohepatitis (increased liver fat content with inflammation and hepatocyte damage). Hepatic steatosis and steatohepatitis may be isolated diseases [12]. Progressing to steatohepatitis, NAFLD can eventually lead to cirrhosis, cardiovascular disease, malignant tumors, and chronic kidney disease [11]. However, studies on NAFLD in pregnancy are limited and the exact mechanism of this disease remains unclear [13–14].
Current treatment strategies for NAFLD primarily involve lifestyle changes such as exercise, weight loss, and diet control, which patients adhere to very poorly. Therefore, there is a need to introduce a treatment that targets the major pathogenetic components of NAFLD, especially in pregnant women [14].
The aim of the study was to evaluate the pathogenesis of NAFLD during pregnancy. Steatohepatitis was simulated with a high-fat diet in pregnant female rats to evaluate the effects of low molecular weight sugars on this condition.
The study aim was to evaluate the efficacy of NAFLD therapy in an experimental model in pregnant rats.
Materials and methods
The experimental study included 19 female Wistar rats weighing 250–300 g, provided by the Laboratory Animal Nursery of SMK Stezar Ltd. (Vladimir, Russia). All animals were unmated and maintained on a standard diet under controlled conditions in a housing room at the Ott Research Institute of Obstetrics, Gynecology and Reproductology. The authors of the experiment complied with the rules of animal protection regulated by Federal Law No. 708н (708n) On Rules of Laboratory Practice, dated August 23, 2010. All rats were quarantined for 14 days. Females were allowed to mate with males twice within one hour, at the same time of day.
The low molecular weight sugar Geptrong (Marketing Authorization No. ЛСР-002808/10 (LSR-002808/10) dated October 12, 2022) was used for the treatment of NAFLD during pregnancy. This agent has the potential to reduce the risk of progression of NAFLD, including lowering blood lipid levels, improving liver inflammation, and preventing fibrosis. Geptrong is a solution of low molecular weight sugars obtained from honey (H-pentose, glucose, sucrose, mannose, galactose, fructose, lactose) used in traditional medicine as the part of the combination therapy of steatohepatitis, based on several studies [15, 16].
To create a NAFLD model, experimental rats were fed a high-calorie diet (116 kcal/day) for 35 days. The diet consisted of compound feed (5 g) crushed and mixed with pork lard (3 g), pork fat (6.8 g), bread sticks (3.6 g), and sunflower seeds (4 g). Three sets of experiments were performed: in Group 1 of non-pregnant female rats with NAFLD (n = 7), in Group 2 of pregnant female rats with untreated NAFLD (n = 6), and in Group 3 of pregnant female rats with NAFLD treated with intraperitoneal administration of low molecular weight sugars at a dose of 12 mg from Day 16 to Day 20 of gestation (n = 6). Animals were sacrificed by decapitation at the end of the experiment on Day 35 of the study. Rats in Groups 2 and 3 were sacrificed on the day after delivery. After sacrifice, samples for blood chemistry and organ fragments for histology were collected in the operating room.
Blood chemistry
Blood chemistry parameters, including serum levels of aspartate aminotransferase, alanine aminotransferase, ferritin, triglycerides, total cholesterol, total bilirubin, total alkaline phosphatase, bile acids, glucose, and C-reactive protein, were assessed using a Beckman Coulter clinical chemistry analyzer according to the manufacturer’s instructions. Malondialdehyde content and catalase activity in serum were determined by colorimetric methods using reagents of domestic (JSC Vekton, Russia) and foreign (Sigma-Aldrich Chemical Company, USA) manufacture. The serum level of lipid peroxidation was measured by the color intensity of the complex of active forms of 2-thiobarbituric acid (TBA) formed during the interaction of the final product of lipid peroxidation and malondialdehyde with TBA at high temperature in an acidic environment. TBA activity in the butanol fraction was measured at 535 nm and 580 nm [17]. A modified Góth technique using ammonium molybdate solution was used to determine catalase activity [18]. It determines the amount of a stable color complex formed by the interaction of hydrogen peroxide solution with ammonium molybdate solution. The absorption maximum of the color complex is observed at 374 nm [18].
Histology
After sacrifice, liver histology was performed for all female rats in all groups. Liver fragments were fixed in 10% neutral formalin (pH 7.2) for 24 hours. Tissues were histologically processed using a Histo-Tek VP1 vacuum infiltration processor (Sakura, Japan), and paraffin blocks were prepared using a TES 99 tissue embedding system (Medite, Germany). A Rotary 3002 microtome (PFM, Germany) was used to cut 3–4 μm sections from the blocks. Hematoxylin and eosin were used for basic staining. Light microscopy was used to evaluate the histologic structure of the whole liver, hepatocytes, centrilobular veins, sinusoidal capillaries, portal triad, and hepatic macrophages.
Statistical analysis
SPSS 27 software was used for statistical analysis. Means and standard deviations were used for continuous variables that followed a normal distribution, and medians and quartiles were used for those that did not follow a normal distribution. Discrete variables are expressed as frequencies in percentages. One-way analysis of variance is used to compare multiple groups of continuous variables that follow a normal distribution. For variables with non-normal distribution, non-parametric tests were used for multiple groups and the χ2 test for was used for discrete groups. The p < 0.05 level was used to determine statistical significance.
Results and discussion
The study showed that after 35 days, the body weight of female rats was 351.17 ± 10.63 g in Group 1, 363.95 ± 4.07 g in Group 2 (without treatment), and 361.04 ± 3.30 g in Group 3 (with low molecular weight sugar treatment). Statistical analysis showed that the body weight of animals in the high-fat diet groups with and without therapy was comparable to the body weight of non-pregnant female rats with NAFLD; no statistically significant difference was observed (p > 0.05).
The analysis of blood chemistry parameters in the study animals used reference values obtained in long-term regular monitoring of Wistar breeding colonies [19–21].
Blood chemistry parameters of non-pregnant rats with NAFLD showed no significant changes in aspartate aminotransferase, alanine aminotransferase, bilirubin, cholesterol, triglycerides, and ferritin levels compared to those in the group of non-pregnant rats with NAFLD. A significant deterioration in these parameters may be associated with a longer history of NAFLD prior to pregnancy.
There was a trend toward a slight increase in glucose levels associated with NAFLD, but no statistically significant differences were found for this parameter. It should be noted, however, that low molecular weight sugar treatment did not increase glucose levels.
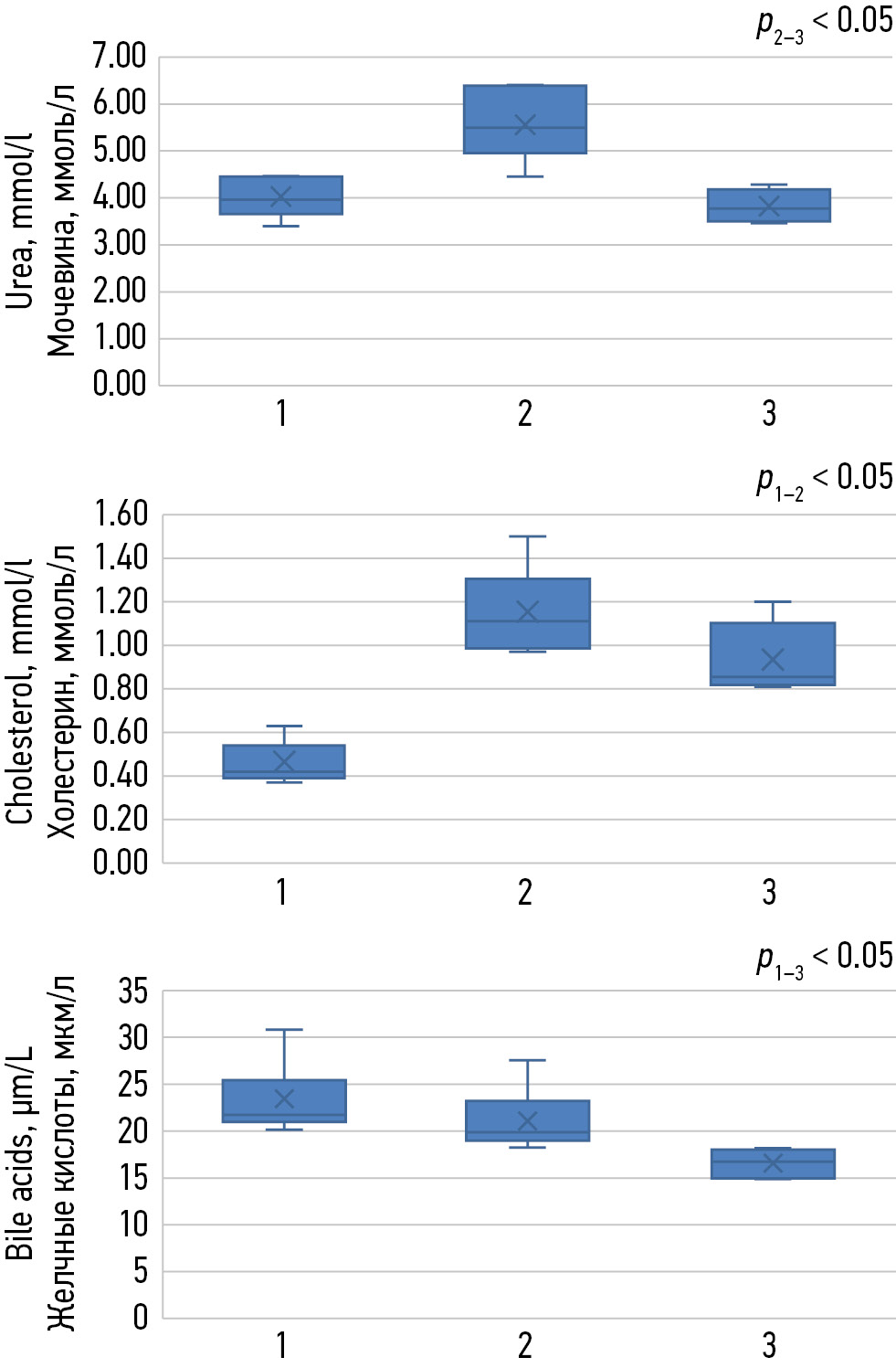
A significant increase in the levels of bile acids and malondialdehyde, a marker of the free radical accumulation, was found in all rats with NAFLD, even in non-pregnant rats, but the differences between the groups were not statistically significant. Pregnant rats with NAFLD had significantly elevated cholesterol and C-reactive protein levels compared to reference values and levels in non-pregnant rats with NAFLD. During pregnancy, rats with NAFLD showed a more than 4-fold increase in total alkaline phosphatase, which was later significantly reduced in the low molecular weight sugar treatment group. In addition, it was found that all rats with NAFLD had a significant decrease in cholinesterase levels during pregnancy, which indicated progressive chronic liver tissue damage. The increased cholinesterase activity was observed after the treatment with a low molecular weight sugar, but it was not statistically different from the reference values.
The catalase level, a marker of the antioxidant system activity, was reduced 2-fold in non-pregnant rats with NAFLD and 3-fold in pregnant rats with NAFLD. The table shows the blood chemistry data.
Table. Significant blood chemistry parameters in rats with non-alcoholic fatty liver disease
Таблица. Данные значимых биохимических показателей крови у крыс с неалкогольной жировой болезнью печени
Parameter | Control (1) | Non-pregnant rats (2) | Pregnant rats without treatment (3) | Pregnant rats with treatment (4) | p value |
Glucose, mmol/L | 4.2 ± 0.42 | 5.52 ± 0.8 | 5.65 ± 1.0 | 4.99 ± 0.7 | р > 0.5 |
Cholesterol, mmol/L | 0.48 ± 0.1 | 0.47 ± 0.1 | 1.2 ± 0.3 | 1.0 ± 0.2 | р1–3 < 0.05 р2–3 < 0.05 |
Urea, mmol/L | 8.1 ± 0.6 | 3.97 ± 0.5 | 5.71 ± 0.7 | 3.9 ± 0.4 | р3–4<0.05 |
Bile acids, µmol/L | 2.9 ± 1.3 | 23.15 ± 2.8 | 22.9 ± 4.7 | 16.4 ± 1.5 | р1–2 < 0.001 р1–3 < 0.001 р1–4 < 0.001 р2–4 < 0.05 |
Total alkaline phosphatase, U/L | 61–235 | 107.7 ± 21.5 | 505.7 ± 85.0 | 284.2 ± 63.1 | р2–3 < 0.001 р3–4 < 0.05 |
C-reactive protein, ng/mL | 12.04 ± 2.5 | 8.71 ± 3.6 | 25.56 ± 6.0 | 24.9 ± 9.3 | р2–3 < 0.05 |
Cholinesterase, U/L | 3.57 ± 0.46 | 3.48 ± 0.11 | 2.88 ± 0.25 | 3.15 ± 0.3 | р2–3 < 0.05 |
Catalase, U/L | 3.75 ± 0.3 | 1.83 ± 0.24 | 1.25 ± 0.13 | 2.21 ± 0.35 | р1–2 < 0.001 р1–3 < 0.001 р2–3 < 0.05 р3–4 < 0.025 |
Malondialdehyde, µm/L | 8.65 ± 0.42 | 11.3 ± 0.35 | 11.0 ± 1.1 | 10.3 ± 0.97 | р1–2 < 0.04 |
Therefore, the experimental model of Wistar rats showed that early blood chemistry parameters that change during the progression of NAFLD include increased bile acid levels, increased oxidative stress, and decreased antioxidant activity. In addition, the blood levels of C-reactive protein increased significantly only in the group of pregnant female rats with NAFLD, causing persistent systemic inflammation, probably indicating a more severe course of NAFLD. In Group 2, total cholesterol and total alkaline phosphatase levels also increased, cholinesterase levels decreased, and catalase levels decreased even more significantly.
The use of a low molecular weight sugar to treat NAFLD in pregnant rats tended to slightly reduce glucose and total cholesterol levels and restore cholinesterase levels. In addition, reliable decreases in urea, bile acids and total alkaline phosphatase levels and increases in catalase levels were observed during treatment (Figures 1, 2).
Fig. 1. Blood chemistry parameters in rats with non-alcoholic fatty liver disease. 1: non-pregnant rats; 2: pregnant rats without treatment; 3: pregnant rats with treatment
Рис. 1. Биохимические показатели крови у крыс с неалкогольной жировой болезнью печени. 1 — небеременные; 2 — беременные без лечения; 3 — беременные с лечением
Fig. 2. Enzyme levels in rats with non-alcoholic fatty liver disease. 1: non-pregnant rats; 2: pregnant rats without treatment; 3: pregnant rats with treatment
Рис. 2. Уровни ферментов в крови крыс с неалкогольной жировой болезнью печени. 1 — небеременные; 2 — беременные без лечения; 3 — беременные с лечением
Therefore, the blood chemistry findings for this experimental model of Wistar rats demonstrated a beneficial effect of the use of a low molecular weight sugar on the liver function in pregnant female rats with NAFLD.
Macroscopic evaluation of female rats with high-fat diet–induced NAFLD revealed a yellowish-brown color of the liver and a dull appearance of the hepatic capsule in all groups. These findings suggest the onset of NAFLD during pregnancy in female rats. When a low molecular weight sugar product was administered from Day 16 to Day 20 of gestation, a positive trend was observed in the liver macroscopy of the study group with the restoration of the reddish-brown color of the liver tissues alternating with yellowish lesions, as well as the bright appearance of the liver capsule, which was not observed in other groups.
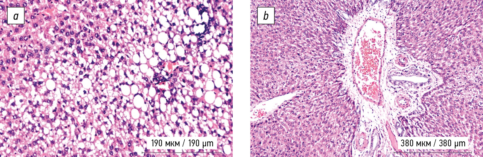
Liver histology of non-pregnant female rats with NAFLD (Group 1; 7 cases) showed that the structure of the hepatic beam was preserved in 6 cases and was poorly visualized in only 1 case. Vacuolar dystrophy of hepatocytes was observed in 6 cases, with a predominance of small and medium-sized vacuoles in most cases (5/6), and a polymorphic presentation with small and large vacuolar dystrophy was noted in only in 1 case (Figure 3, a). In 1 case, vacuolar dystrophy of hepatocytes was not observed. All hepatocyte dystrophy foci were localized around the portal triads.
Fig. 3. Liver histology: a, Small and medium-sized vacuolar degeneration of hepatocytes (stained with hematoxylin and eosin, original magnification ×200); b, Moderate ectasia of vein with perivascular edema (stained with hematoxylin and eosin, original magnification ×100)
Рис. 3. Гистологическое строение печени: а — мелко- и средневакуольная дистрофия гепатоцитов (окраска гематоксилином и эозином, увеличение ×200); b — умеренно выраженная эктазия вены с периваскулярным отеком (окраска гематоксилином и эозином, увеличение ×100)
Centrilobular hepatic veins were moderately ectatic in 3 cases and unchanged in 3 cases. Small vein size was observed in 1 case. Examination of the portal triad showed a polymorphic presentation of venous ectasia with alternating mild and severe ectasia (in 3 cases) and moderate and severe ectasia (in 3 cases) with focal perivascular edema and typical histology of the artery and bile duct (Figure 3, b). In 1 case, no changes in the structure of the vein of the portal triad were observed. Mild proliferation of hepatic macrophages and focal ectasia of sinusoidal capillaries were detected in all cases.
In Group 2 (pregnant female rats with untreated NAFLD), the structure of the hepatic beam was preserved in 2 of 6 liver samples. In addition, the structure of the hepatic beam was preserved in both the pericentral and peripheral parts of the liver. A poorly distinguished structure of the hepatic beam was found in 2 cases, only in the pericentral areas of the liver lobules. In 2 cases, the structure of the hepatic beam was not differentiated.
Vacuolar hepatocyte dystrophy was detected in 5 cases with diffuse (in 2 cases) and focal (in 3 cases) distribution. In hepatocytes with vacuolar dystrophy (Figure 4, a), medium-sized and large vacuolar dystrophy predominated (in 4 cases). Dystrophic changes in hepatocytes were localized around the portal triads, as well as in the pericentral and peripheral regions. Small vacuolar dystrophy was observed in 1 case, and no dystrophic changes in hepatocytes were noted in 1 case.
Fig. 4. Liver histology: a, Medium-sized and large vacuolar dystrophy of hepatocytes (stained with hematoxylin and eosin, original magnification ×100); b, Preserved structure of the hepatic beam, ectasia, and low blood filling of the vein of the portal triad (stained with hematoxylin and eosin, original magnification ×200)
Рис. 4. Гистологическое строение печени: а — средне- и крупновакуольная дистрофия гепатоцитов (окраска гематоксилином и эозином, увеличение ×100); b — балочное строение сохранено, эктазия и малокровие печеночной вены триады (окраска гематоксилином и эозином, увеличение ×200)
In the majority of cases (5), focal moderate ectasia of the centrilobular veins with uneven blood filling was noted, and their anatomical preservation was found in only 1 case.
Diffuse ectasia of the sinusoidal capillaries with relative anemia was observed in all cases. Examination of the hepatic triad showed moderate (2 cases) and severe (1 case) venous ectasia without abnormal changes in the arteries and bile duct (Figure 4, b). No venous ectasia was observed in 3 samples. Thickening and homogenization of the muscular structure of the arterial wall was noted in 1 case.
Mild proliferation of stellate macrophages was observed in all samples examined.
In 6 liver samples from Group 3 of pregnant female rats with treated NAFLD, a clearly visualized structure of the hepatic beam predominated (4 cases) with mild focal ectasia of sinusoidal capillaries; a poorly visualized structure of the hepatic beam was observed in 2 cases (Figure 5, a).
Fig. 5. Liver histology: a, Preserved structure of the hepatic beam (stained with hematoxylin and eosin, magnification ×100); b, Foci of large vacuolar dystrophy of hepatocytes (stained with hematoxylin and eosin, magnification ×200)
Рис. 5. Гистологическое строение печени: а — балочное строение сохранено (окраска гематоксилином и эозином, увеличение ×100); b — очаги крупновакуольной дистрофии гепатоцитов (окраска гематоксилином и эозином, увеличение ×200)
It should be noted that vacuolar dystrophy was observed in 5 liver samples examined, with a predominance of isolated foci of small and medium-sized vacuolar dystrophy (1 case each). In 2 cases, foci of combined small and medium-sized vacuolar dystrophy were identified. Large-vacuolar dystrophy was found in 1 case (Figure 5, b).
Histological data show that pregnancy without fatty liver disease is characterized by the preserved structure of the hepatic beam tissue with predominant small and medium-sized vacuolar dystrophy of hepatocytes localized around the portal triad, as well as lumen changes in the centrilobular veins and veins of the portal triad in 50% of samples, indicating dystrophic and metabolic changes in hepatocytes and vessels.
Pregnant female rats with NAFLD demonstrated the impaired structure of the hepatic beam with unclear or absent differentiation. Vacuolar dystrophy of hepatocytes was observed in most cases, represented by medium-sized and large vacuoles with a predominantly diffuse distribution. The vascular abnormalities are more severe in the centrilobular vein. The vein of the portal triad had alterations in 50% of cases, confirming the worsening of the liver condition in pregnant female rats with NAFLD.
In the group of pregnant female rats with NAFLD treated with low molecular weight sugars, a clearly visualized structure of the hepatic beam was predominant in 6 liver samples. In most cases, however, the vacuolar dystrophy of the hepatocytes persisted, with a predominance of small and medium-sized vacuoles, and vascular abnormalities of the centrilobular veins and the vein of the portal triad were preserved. The observed liver abnormalities may be due to a short duration of treatment.
Conclusion
NAFLD models can be used to study effects of hepatoprotective agents in liver disease. A high-fat diet is known to induce hepatic steatosis and oxidative stress in pregnant females, as reflected by blood chemistry changes in catalase and cholinesterase levels in all study groups [22].
The study showed that the high-fat diet induced histologic liver changes typical of NAFLD in all three groups and was associated with macrovesicular steatosis (Figure 2, a). The use of low molecular weight sugars in pregnant female rats with NAFLD restored the structure of the hepatic beam and improved macrovesicular steatosis to microvesicular steatosis.
Oxidative stress in the liver of female rats was the most severe in the high-fat diet group without treatment. Treatment during pregnancy reduced oxidative stress in the liver associated with a high-fat diet. This study evaluated the therapeutic effects of a low molecular weight sugar on metabolic disorders during pregnancy in obese female rats on a high fat diet.
Our data are consistent with the conclusions of other researchers who have shown that NAFLD is accompanied by severe oxidative stress [23–25], which is known to be associated with the pathogenesis of many pregnancy complications. Therefore, an increase in reduced antioxidant activity in pregnant rats with NAFLD during treatment with a low molecular weight sugar is a particularly important finding. The use of this agent in pregnant females may be considered as a pathogenetic prevention option for obstetric complications in NAFLD.
The presented NAFLD model can also be used to assess the efficacy of the pathogenetic effects of other agents both during pregnancy and in the pre-pregnancy period.
Additional information
Funding source. The study was conducted as the part of basic scientific research under State Order of the Ministry of Science and Higher Education of the Russian Federation No. 1021062812133-0-3.2.2 “Optimization of Prediction, Prevention and Treatment Options for Major Obstetric Syndromes, as well as Delivery Strategies for High-Risk Pregnant Women to Improve Obstetric and Perinatal Outcomes.”
Competing interests. The authors declare that they have no competing interests.
Author contribution. All the authors have made a significant contribution to the development of the concept, research, and preparation of the article as well as read and approved the final version before its publication.
Personal contribution of the authors: E.V. Mozgovaya — general idea, organization of the experiment, analysis of biochemical data, editing; M.A. Kryshnia — participation in the experiment, analysis of experimental data, text writing; A.A. Blazhenko, A.A. Nouzhnova — experiment performance; G.Kh. Tolibova — analysis of histological examination results, editing; T.G. Tral — histological examination; J.N. Toumasova, A.V. Korenevsky, I.V. Zalozniaia — biochemical examination; V.S. Ganzhina — life support and examination of experimental animals; O.N. Bespalova — organization of the study.
Ethics approval. The present study protocol was approved by the Local Ethics Committee of the Research Institute of Obstetrics, Gynecology and Reproductology named after D.O. Ott (No. 171 dated 27.11.2023).
Дополнительная информация
Источник финансирования. Исследование выполнено в рамках фундаментального научного исследования по государственному заданию Министерства науки и высшего образования Российской Федерации № 1021062812133-0-3.2.2 «Оптимизация методов предикции, профилактики и лечения «больших акушерских синдромов», а также стратегии родоразрешения у беременных из групп высокого риска, с целью улучшения акушерских и перинатальных исходов».
Конфликт интересов. Авторы декларируют отсутствие явных и потенциальных конфликтов интересов, связанных с публикацией настоящей статьи.
Вклад авторов. Все авторы внесли существенный вклад в разработку концепции, проведение исследования и подготовку статьи, прочли и одобрили финальную версию перед публикацией.
Наибольший вклад распределен следующим образом: Е.В. Мозговая — общая идея, организация эксперимента, анализ биохимических данных, редактирование; М.А. Крышня — экспериментальное исследование, анализ данных, написание текста; А.А. Блаженко, А.А. Нужнова — экспериментальное исследование; Г.Х. Толибова — анализ результатов гистологического исследования, редактирование; Т.Г. Траль — гистологическое исследование; Ж.Н. Тумасова, А.В. Кореневский, И.В. Залозняя — биохомическое исследование; В.С. Ганжина — обеспечение жизнедеятельности и обследование опытных животных; О.Н. Беспалова — организация эксперимента.
Этический комитет. Протокол исследования был одобрен локальным этическим комитетом НИИ АГиР им. Д.О.Отта (№ 171 от 27.11.2023).
About the authors
Elena V. Mozgovaia
The Research Institute of Obstetrics, Gynecology and Reproductology named after D.O. Ott
Email: elmozg@mail.ru
ORCID iD: 0000-0002-6460-6816
SPIN-code: 5622-5674
MD, Dr. Sci. (Medicine), Professor
Russian Federation, Saint PetersburgMarina A. Kryshnia
The Research Institute of Obstetrics, Gynecology and Reproductology named after D.O. Ott
Author for correspondence.
Email: Marina._k@mail.ru
ORCID iD: 0009-0000-2502-1578
MD
Russian Federation, Saint PetersburgAlexandra А. Blazhenko
The Research Institute of Obstetrics, Gynecology and Reproductology named after D.O. Ott
Email: alexandradlazhenko@gmail.com
SPIN-code: 8762-3604
MD, Cand. Sci. (Medicine)
Russian Federation, Saint PetersburgAlina А. Nuzhnova
The Research Institute of Obstetrics, Gynecology and Reproductology named after D.O. Ott
Email: lin.panaiotis@yandex.ru
SPIN-code: 5521-5096
Russian Federation, Saint Petersburg
Gulrukhsor Tolibova
The Research Institute of Obstetrics, Gynecology and Reproductology named after D.O. Ott
Email: gulyatolibova@yandex.ru
ORCID iD: 0000-0002-6216-6220
SPIN-code: 7544-4825
MD, Dr. Sci. (Medicine)
Russian Federation, Saint PetersburgTatyana G. Tral
The Research Institute of Obstetrics, Gynecology and Reproductology named after D.O. Ott
Email: ttg.tral@yandex.ru
ORCID iD: 0000-0001-8948-4811
SPIN-code: 1244-9631
MD, Dr. Sci. (Medicine)
Russian Federation, Saint PetersburgJanna N. Toumasova
The Research Institute of Obstetrics, Gynecology and Reproductology named after D.O. Ott
Email: J_toumassa@mail.ru
SPIN-code: 2352-0755
Russian Federation, Saint Petersburg
Andrey V. Korenevsky
The Research Institute of Obstetrics, Gynecology and Reproductology named after D.O. Ott
Email: a.korenevsky@yandex.ru
ORCID iD: 0000-0002-0365-8532
SPIN-code: 7942-6016
Dr. Sci. (Biology)
Russian Federation, Saint PetersburgIrina V. Zalozniaia
The Research Institute of Obstetrics, Gynecology and Reproductology named after D.O. Ott
Email: irinabiolog2012@yandex.ru
ORCID iD: 0000-0002-0576-9690
SPIN-code: 2488-3790
Cand. Sci. (Biology)
Russian Federation, Saint PetersburgVictoria S. Ganzhina
The Research Institute of Obstetrics, Gynecology and Reproductology named after D.O. Ott
Email: ganzhina040799@gmail.com
ORCID iD: 0009-0001-5225-6484
Russian Federation, Saint Petersburg
Olesya N. Bespalova
The Research Institute of Obstetrics, Gynecology and Reproductology named after D.O. Ott
Email: shiggerra@mail.ru
ORCID iD: 0000-0002-6542-5953
SPIN-code: 4732-8089
MD, Dr. Sci. (Medicine)
Russian Federation, Saint PetersburgReferences
- Yu HR, Sheen JM, Hou CY, et al. Effects of maternal gut microbiota-targeted therapy on the programming of nonalcoholic fatty liver disease in dams and fetuses, related to a prenatal high-fat diet. Nutrients. 2022;14(19):4004. doi: 10.3390/nu14194004
- Chiavaroli V, Hopkins SA, Biggs JB, et al. The associations between maternal BMI and gestational weight gain and health outcomes in offspring at age 1 and 7 years. Sci Rep. 2021;11:20865. doi: 10.1038/s41598-021-99869-7
- Rinella ME, Neuschwander-Tetri BA, Siddiqui MS, et al. AASLD practice guidance on the clinical assessment and management of nonalcoholic fatty liver disease. Hepatology. 2023;77(5):1797–1835. doi: 10.1097/HEP.0000000000000323
- Younossi ZM, Golabi P, Paik JM, et al. The global epidemiology of nonalcoholic fatty liver disease (NAFLD) and nonalcoholic steatohepatitis (NASH): a systematic review. Hepatology. 2023;77(4):1335–1347. doi: 10.1097/HEP.0000000000000004
- D’Adamo E, Castorani V, Nobili V. The liver in children with metabolic syndrome. Front Endocrinol. 2019;10:514. doi: 10.3389/fendo.2019.00514
- Yodoshi T, Orkin S, Arce Clachar AC, et al. Muscle mass is linked to liver disease severity in pediatric nonalcoholic fatty liver disease. J Pediatrics. 2020;223:93–99.e2. doi: 10.1016/j.jpeds.2020.04.046
- Sarkar M, Grab J, Dodge JL, et al. Non-alcoholic fatty liver disease in pregnancy is associated with adverse maternal and perinatal outcomes. J Hepatol. 2020;73(3):516–522. doi: 10.1016/j.jhep.2020.03.049
- El Jamaly H, Eslick GD, Weltman M. Systematic review with meta-analysis: Non-alcoholic fatty liver disease and the association with pregnancy outcomes. Clin Mol Hepatol. 2022;28(1):52–66. doi: 10.3350/cmh.2021.0205
- Del Chierico F, Nobili V, Vernocchi P, et al. Gut microbiota profiling of pediatric nonalcoholic fatty liver disease and obese patients unveiled by an integrated meta-omics-based approach. Hepatology. 2017;65:451–464. doi: 10.1002/hep.28572
- Ge H, Wei W, Tang L, et al. CONSORT-Characteristics and metabolic phenotype of gut microbiota in NAFLD patients. Medicine. 2022;101:e29347. doi: 10.1097/MD.0000000000029347
- Tilg H, Moschen AR. Evolution of inflammation in nonalcoholic fatty liver disease: The multiple parallel hits hypothesis. Hepatology. 2010;52(5):1836–1846. doi: 10.1002/hep.24001
- Le Roy T, Llopis M, Lepage P, et al. Intestinal microbiota determines development of non-alcoholic fatty liver disease in mice. Gut. 2013;62(12):1787–1794. doi: 10.1136/gutjnl-2012-303816
- Pan M, Deng Y, Qiu Y, et al. Shenling Baizhu powder alleviates non-alcoholic fatty liver disease by modulating autophagy and energy metabolism in high-fat diet-induced rats. Phytomedicine. 2024;130:155712. doi: 10.1016/j.phymed.2024.155712
- Prasomthong J, Limpeanchob N, Daodee S, et al. Hibiscus sabdariffa extract improves hepatic steatosis, partially through IRS-1/Akt and Nrf2 signaling pathways in rats fed a high fat diet. Sci Rep. 2022;12(1):7022. doi: 10.1038/s41598-022-11027-9
- Uspenskaya YuB. Liver dysfunction in the first half of pregnancy in the practice of an obstetrician-gynecologist. Medical Alphabet. 2020;(4):33–38. EDN: BINYEC doi: 10.33667/2078-5631-2020-4-33-38
- Pirogova IYu, Sinitsyn SP, Chulkov VS. Clinical effi cacy of Heptrong in patients with non-alcoholic liver disease in real clinical practice (pilot study). Experimental and Clinical Gastroenterology. 2020;184(12):109–118. EDN: RRPLAE doi: 10.31146/1682-8658-ecg-184-12-109-118
- Gavrilov VB, Gavrilova AR, Mazhul LM. Analysis of methods for determining products of lipid peroxidation in blood serum according to a test with thiobarbituric acid. Questions of medical chemistry. 1987;33(1):118–122. (In Russ.)
- Goth L. A simple method for determination of serum catalaseactivity and revision of reference range. Clin Chim Acta. 1991;196:143–151. doi: 10.1016/0009-8981(91)90067-m
- Makarov VG, Makarova MN, editors. Physiological, biochemical and biometric indicators of the norm of experimental animals. Saint Petersburg: LEMA; 2013. 116 p. EDN: PTSRUO (In Russ.)
- Yushkov BG, Korneva EA, Chereshnev VA. The concept of norm in physiology and pathophysiology. Physiological constants of laboratory animals. Yekaterinburg: Ural Branch of the Russian Academy of Sciences; 2021. 864 p. EDN: XHQGVO (In Russ.)
- Patel S, Patel S, Kotadiya A, et al. Age-related changes in hematological and biochemical profiles of Wistar rats. Lab Anim Res. 2024;40(1):7. doi: 10.1186/s42826-024-00194-7
- Notova SV, Marshinskaya OV, Kazakova TV. Activity of enzymes of the antioxidant system under conditions of a high-calorie diet in Wistar and SHR rats. Journal of Medical and Biological Research. 2024;12(3):319–328. EDN: FXQNEB doi: 10.37482/2687-149.1
- Grasselli E, Canesi L, Portincasa P, et al Models of non-alcoholic fatty liver disease and potential translational value: the effects of 3,5-L-diiodothyronine. Ann Hepatol. 2017;16(5):707–719. doi: 10.5604/01.3001.0010.2713
- Chen Z, Tian R, She Z, et al. Role of oxidative stress in the pathogenesis of nonalcoholic fatty liver disease. Free Radic Biol Med. 2020;152:116–141. doi: 10.1016/j.freeradbiomed.2020.02.025
- Hong T, Chen Y, Li X, et al. The role and mechanism of oxidative stress and nuclear receptors in the development of NAFLD. Oxid Med Cell Longev. 2021;2021:6889533. doi: 10.1155/2021/6889533
Supplementary files










