Randomized comparative study of the effectiveness and safety of various bipolar devices during electrosurgical vaginal hysterectomy
- 作者: Plekhanov A.N.1,2, Bezhenar V.F.1, Epifanova T.A.1,2, Bezhenar F.V.2, Karabak I.A.3
-
隶属关系:
- Academician I.P. Pavlov First St. Petersburg State Medical University
- Saint Petersburg Clinical Hospital of the Russian Academy of Sciences
- Pediatric Research and Clinical Center for Infectious Diseases
- 期: 卷 70, 编号 2 (2021)
- 页面: 45-54
- 栏目: Original study articles
- ##submission.dateSubmitted##: 28.05.2021
- ##submission.dateAccepted##: 28.05.2021
- ##submission.datePublished##: 17.06.2021
- URL: https://journals.eco-vector.com/jowd/article/view/71084
- DOI: https://doi.org/10.17816/JOWD71084
- ID: 71084
如何引用文章
详细
AIM: The aim of this study was to investigate the morphometric features of tissues after exposure to bipolar energy of various electrosurgical generators and surgical hemostatic instruments used in vaginal hysterectomy.
MATERIALS AND METHODS: The study included 48 individuals who underwent a vaginal hysterectomy. The patients were divided in three groups based on the instrument used for sealing blood vessels: a BiClamp® was applied in Group 1 (n = 16), a TissueSeal PLUS COMFORT® in Group 2 (n = 16), and a Thunderbeat® in Group 3 (n = 16). The maximum temperature of tissue measured using a Fluke FLK TIS 40 9HZ thermal imaging infrared camera was compared within the groups.
RESULTS: The maximum tissue temperature between the branches on electroligation, the minimum tissue temperature, and the tissue temperature at the coagulation boundary were significantly lower when using a TissueSeal PLUS COMFORT® clamp than when using BiClamp® and Thunderbeat® clamps (H value = 41.8, p ≤ 0.01). Morphometric parameters (prevalence, coagulation depth and area) were the smallest with a TissueSeal PLUS COMFORT® clamp compared to other clamps.
CONCLUSIONS: Using a TissueSeal PLUS COMFORT® clamp during vaginal hysterectomy is effective and safe and has the best thermometric and morphometric characteristics when applied to the tissue, thereby reducing the risk of lateral thermal damage. The possibility of perifocal heat transfer varies with the type of tool and with the temperature at the coagulation boundary.
全文:
BACKGROUND
Globally, hysterectomy is performed in a significant number of women, and 70% of these surgeries are conducted for benign diseases such as uterine fibroids, adenomyosis, menstrual irregularities, and genital prolapse. Among all gynecological surgeries in Russia, hysterectomies account for 25%–38% [1–3]. In modern gynecological surgery, vaginal, abdominal, laparoscopic, robotic, and combined approaches are used to perform hysterectomy. Of these, vaginal hysterectomy and total laparoscopic hysterectomy are minimally invasive surgeries [4]. Several meta-analyzes of randomized controlled trials have been conducted to compare vaginal and laparoscopic approaches for hysterectomy in benign gynecological diseases. These analyzes compared the included studies according to several parameters, including duration of surgery, blood loss, frequency of approach conversion, postoperative pain, complications, and duration of hospital stay. The results did not reveal differences between these groups regarding in the frequency of approach conversion, amount of intraoperative blood loss, overall complication rate, length of hospital stay, and duration of postoperative recovery. However, compared with the laparoscopic approach, the vaginal approach was associated with a shorter duration of surgery and less pain intensity 24 h after surgery [5]. Despite the available evidence in favor of vaginal hysterectomy, current statistics indicate that this technique is not widely and sufficiently used for treating benign gynecological diseases. For genital prolapse, vaginal hysterectomy is the main treatment approach [6]. The primary difficulties in vaginal hysterectomy without genital prolapse arise from the ligation of the uterine vessels, as well as the cardinal and sacro-uterine ligaments, as using clamps on these structures and their ligations are accompanied by certain technical difficulties arising from the limited space for the surgeon to manipulate [7].
During vaginal hysterectomy, hemostasis can be achieved using traditional ligation (suturing) as well as electrocoagulation. The interest in total hysterectomy via the vaginal approach increased following the introduction of electrosurgical methods of hemostasis, used traditionally in laparoscopic surgery, namely the bipolar coagulator, which facilitated the implementation of surgical intervention, as most ligatures are replaced by coagulation. The advantages of electrosurgical hemostasis using bipolar instruments include shorter operating time, ease of handling, reduced blood loss, and less postoperative pain [8]. Electrosurgical hemostasis is associated with reduced inflammation owing to a decrease in the number of foreign bodies used, such as suture material, which subsequently reduces resorption and phagocytosis. Compared with conventional electrosurgical devices, contemporary electrosurgical devices use bipolar technologies at a lower voltage and higher amperage and, as a rule, in a pulsed energy mode, which, in contrast to direct current, helps reduce perifocal energy distribution [9, 10]. Generators with the Autostop function emit audible signals soon after achieving optimum coagulation. Understanding the basic principles of electrosurgery can help improve its use and reduce complications. Accordingly, there is an increased interest in new instruments for hemostasis in vaginal hysterectomy that will help perform the surgery with a minimum number of surgical sutures, reduce postoperative pain, and reduce the duration of postoperative rehabilitation.
This study aimed to conduct a comparative analysis of the thermometric and morphometric characteristics of uterine tissues after exposure to the bipolar energy of various electrosurgical generators during vaginal hysterectomy.
MATERIALS AND METHODS
The study included 48 patients who underwent vaginal hysterectomy; these patients were categorized by the sealed envelope method into three groups: those using the Tissue Seal Plus Comfort® clamp of the ARC–400 BOWA® generator (Germany), those using the BiClamp® clamp of the electric generator Erbe Vio® (Germany), and those achieving hemostasis using the Thunderbeat® clamp of the Olympus® generator (Japan) (n = 16 patients each). The groups were homogeneous in terms of anamnestic data, previous surgical interventions, and uterus size. A Fluke FLK TIS 40 9HZ thermal imager (USA) was used to measure the temperature of the tissues between the jaws of the instruments, before releasing the sound signal of the Autostop function by the above-described electric generators. Fluke FLK TIS 40 9HZ is a thermal imager with infrared camera and a measurement error of 2%, an infrared sensor resolution of 160 × 120 mm, and a sensitivity of 0.09°C or lower. It can detect a minimum temperature of–20°C and a maximum temperature of 350°C.
For all patients, the tissue temperature was measured from the same distance of 50 cm.
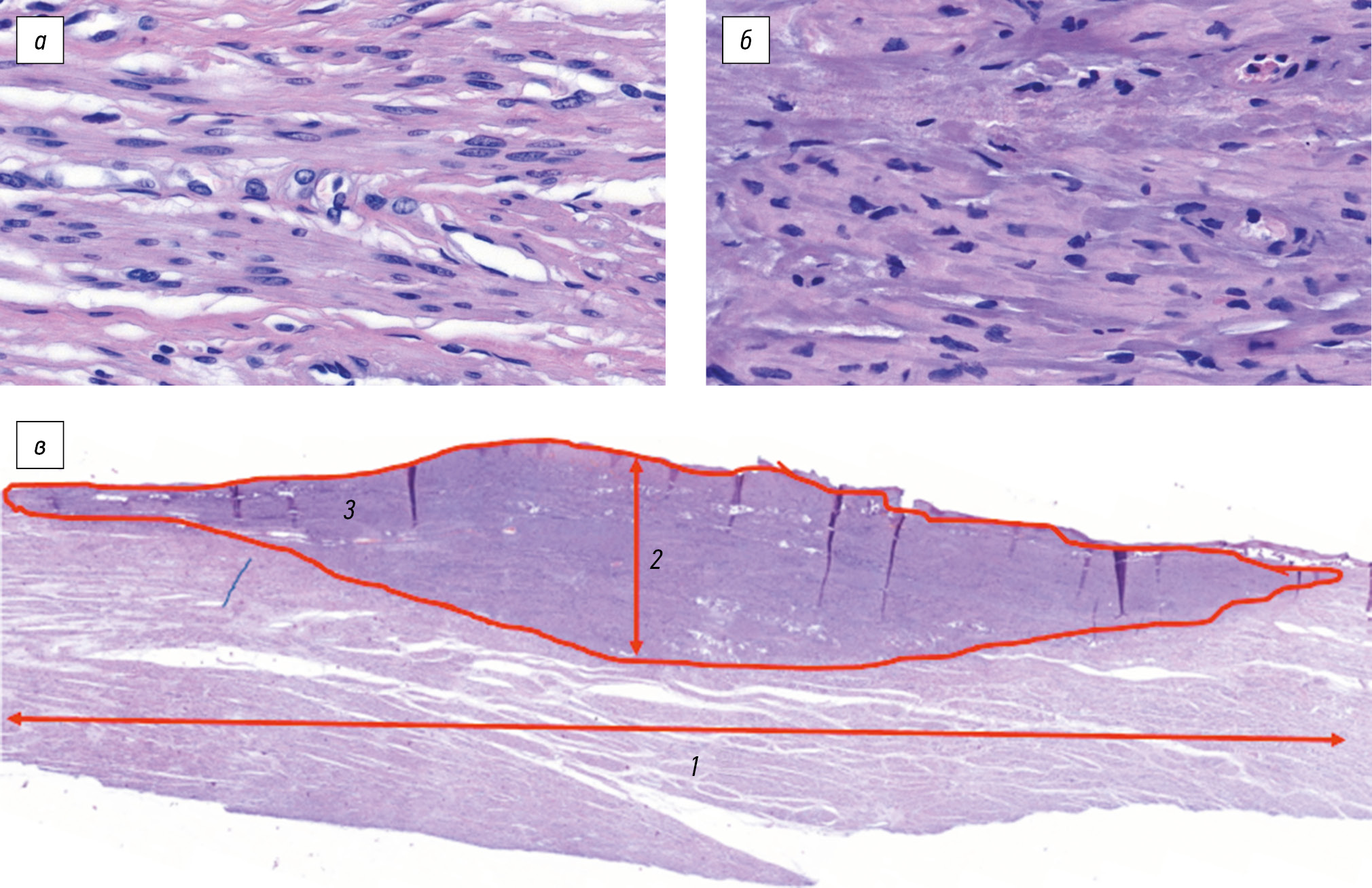
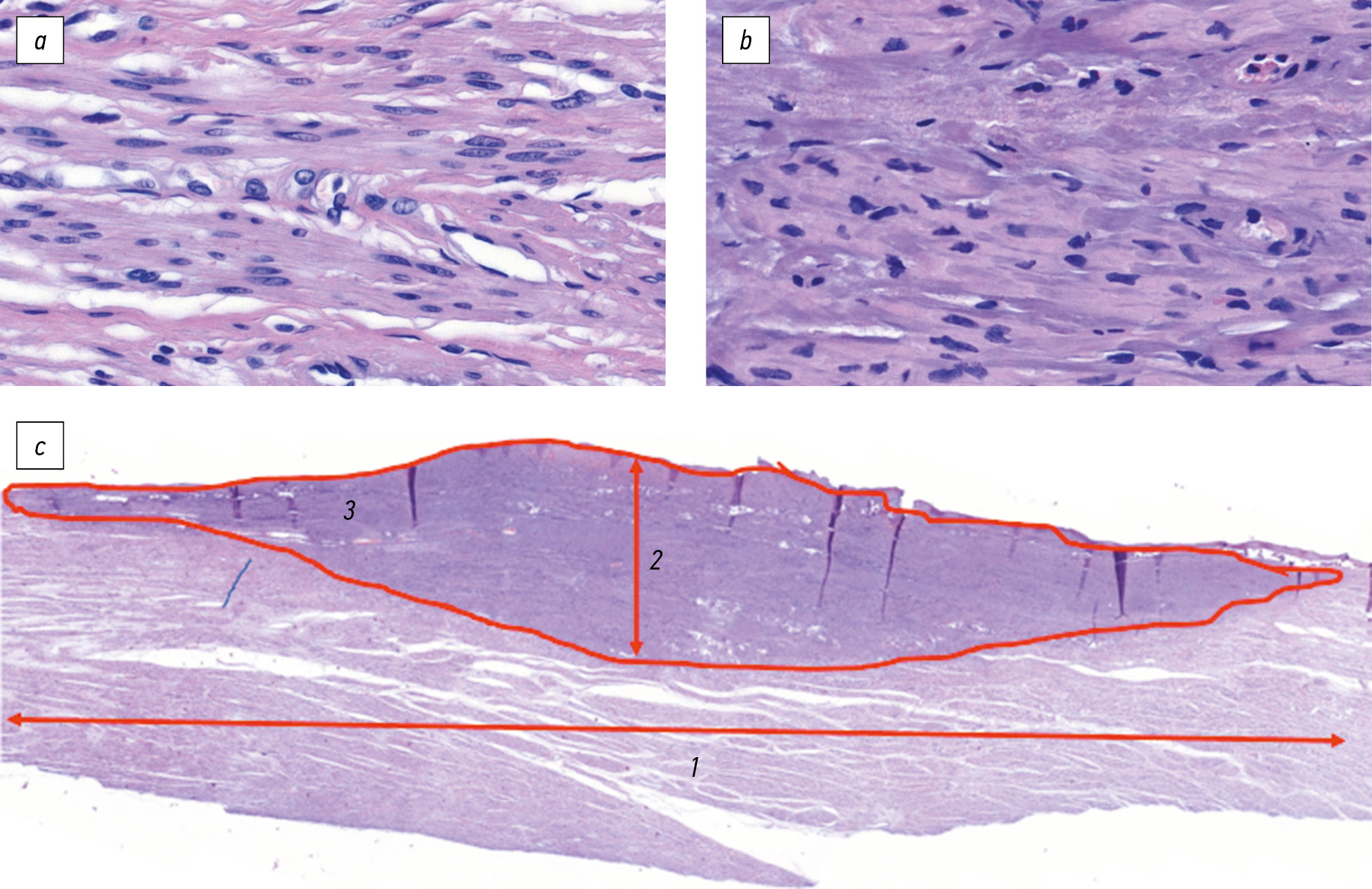
Methods for obtaining and assessing biopsy specimens. Fragments of the uterine body wall sized 2 × 3 cm were excised from the most visually changed areas following damage after exposure to bipolar clamps of various electrosurgical generators. Tissue fragments were fixed in 10% buffered formalin and were subjected to standard processing using a Thermo Scientific Excelsior AS processor (Thermo Shandon Limited, UK). Then, the fragments were embedded in paraffin and cut into 3–3.5-µm thick section. These sections were then stained with hematoxylin and eosin and scanned using a Pannoramic Midi digital scanner (3DHISTECH Kft., Hungary). Subsequently, we performed a morphological assessment of the damaged areas showing signs of irreversible tissue destruction (muscle fibers and other histological structures with sharply disturbed histoarchitectonics, with karyopyknosis, and nuclear hyperchromia, with the destruction and basophilia of the cytoplasm) using the digitized preparations (Fig. 1, a, b). Using the QuantCenter software, a morphometric assessment was performed by measuring three indicators: the prevalence of coagulation effect (mm), the depth of coagulation effect in the three deepest destruction areas with the average value (mm), and the area of coagulation effect (mm2) (Fig. 1, c).
Fig. 1. Morphometric indicators of the effect of coagulation on the myometrium. (a) Intact myometrium: The contours of muscle fibers and capillaries are well distinguishable; nuclei are of normal shape and size; the cytoplasm of muscle fibers is oxyphilic (stained with hematoxylin and eosin, ×800). (b) Zone of irreversible destruction of the myometrium: The contours of muscle fibers and blood vessels are indistinguishable, karyopyknosis, pronounced basophilia of the cytoplasm (staining with hematoxylin and eosin, ×800). (c) Studied morphometric parameters of prevalence (1), depth (2), and area (3) of the effect of coagulation (staining with hematoxylin and eosin, ×50)
Indications for hysterectomy were symptomatic uterine fibroids for up to 15 weeks in size, adenomyosis, endometrial hyperplastic processes, and menstrual irregularities leading to chronic anemization.
The study did not include patients with malignant diseases of the genitals, symptomatic uterine fibroids for >15 weeks, inflammatory diseases of the pelvic organs, and infiltrative endometriosis. The primary indications for surgery were symptomatic uterine fibroids in 48.43% patients, menstrual irregularities in fibroids and adenomyosis in 28.57% patients, endometrial hyperplasia in 28.57% patients, adenomyosis in 17.86% patients, elongation of the cervix in combination with uterine disease (fibroids or adenomyosis) in 17.86% patients.
Surgical technique. Vaginal hysterectomy consisted of traditional stages [2], namely radial dissection of the vaginal mucosa at the level of the vaginal vaults, displacement of the bladder and rectum cranially, opening the uterovesical fold, and performing anterior colpotomy. After posterior colpotomy, electrocoagulation was used to transect the sacro-uterine, cardinal ligaments, and uterine vessels. The uterus was resected through the colpotomy opening, and the attached ovarian ligaments and fallopian tubes were cut. If necessary, the uterus was fragmented. For fragmentation of the uterine fibroids, knife morcellation, bisection, and coring techniques were used. All patients underwent bilateral tubectomy; oophorectomy was performed as indicated. Subsequently, hemostasis was controlled, and the surgical wound was sutured.
Statistical analysis. Study results were statistically analyzed using the STATISTICA software (version 10, © StatSoft, license BXXR3 10F964808FA-V). Quantitative attributes were presented as median and interquartile range Me [Q1; Q3], where Q1 was the lower quartile, and Q3 was the upper quartile. Analysis of variance was used for comparing three independent groups (nonparametric, according to Kruskal-Wallis). The relationship of quantitative indicators was assessed by calculating the Spearman’s correlation coefficient rs. When interpreting analysis results, p < 0.05 was considered to indicate statistical significance.
RESULTS
When using the BiClamp® instrument, the maximum temperature used for achieving effective hemostasis during coagulation was 112.29°C and the minimum temperature was 36.13°C; the tissue temperature at the coagulation border was 71.78°C, the depth of coagulation effect on the tissue was 3.54 mm, the area of coagulation distribution was 22.80 mm2, and the prevalence of coagulation was 10.84 mm. Figure 2 shows the morphometric characteristics, namely prevalence (mm), depth (mm), and area (mm2).
Fig. 2. Histological presentation of uterine tissue after exposure to the BiClamp® instrument
Fig. 3. Histological presentation of uterine tissue after exposure to the Tissue Seal Plus® instrument
Temperature at the coagulation border correlated significantly with depth (RS = 0.64; p = 0.0075) and area of the lesion (RS = 0.75; p < 0.001).
When using the Tissue Seal Plus Comfort® instrument, the maximum tissue temperature during ligation was 84.45°C and the minimum temperature was 35.62°C. In addition, the tissue temperature at the wound coagulation border during electrocoagulation of the uterine vessels was 54.57°C, the depth of tissue damage was 1.93 mm, the area of coagulation prevalence was 10.85 mm2, and the prevalence of coagulation was 8.39 mm.
It should be emphasized that the temperature at the coagulation border correlated significantly with the prevalence (RS = 0.58; p = 0.017) and the area (RS = 0.60; p = 0.014) of the lesion. The influence of Тmax on all morphometric parameters was not statistically significant.
Thunderbeat® combines ultrasonic and bipolar energies. In the present study, this device was used only in the coagulation mode, and tissue dissection was performed using scissors. When using this instrument, the maximum tissue temperature during coagulation was 166.11°C and the minimum temperature was 39.60°C. A maximum temperature of approximately 165°C can cause lateral thermal damage and potential injury to adjacent organs. The tissue temperature at the border of the coagulation zone was 54.57°C, the depth of the coagulation effect was 2.95 mm, the coagulation area was 19.10 mm2, and the coagulation prevalence was 11.55 mm (Fig. 4).
Fig. 4. Histological presentation of uterine tissue after exposure to the Thunderbeat® instrument
When using the Thunderbeat® clamp, the tissue temperature at the coagulation border correlated significantly with the coagulation area (RS = 0.49; p = 0.050); minimum tissue temperature correlated significantly with coagulation prevalence (RS = 0.56; p = 0.027) and area (RS = 0.55; p = 0.039).
Figures 5–7 demonstrate the maximum and minimum tissue temperatures, as well as tissue temperature at the coagulation border.
Fig. 5. Maximum temperature of the uterine tissue subjected to coagulation when using different clamps. AV — analysis of variance
Fig. 6. Minimum temperature of the uterine tissue subjected to coagulation when using different clamps. AV — analysis of variance
Fig. 7. Temperature at the border of uterine tissue coagulation when using different clamps. AV — analysis of variance
DISCUSSION
The present study was performed to compare the thermal effects of electrosurgical instruments on the myometrium to determine the degree of thermal damage as well as to determine the effective and safe clinical use of various bipolar instruments. Surgeons determine the degree of thermal tissue damage by assessing tissue appearance, discoloration, and other signs; however, they cannot accurately estimate the depth range of thermal tissue damage. Injuries can be caused by direct exposure to heat or lateral heat propagation. This study aimed to investigate the possible differences between bipolar instruments in vaginal hysterectomy, namely the efficiency of hemostasis and the lateral tissue damage. This study demonstrates that the Tissue Seal Plus® bipolar clamps offer a number of key advantages over the BiClamp® and Thunderbeat® bipolar clamps for electrosurgical hemostasis during vaginal hysterectomy. Thus, the maximum tissue temperature between the jaws during coagulation using the BiClamp® clamp was 112.29°C, and at the coagulation border, this temperature was 71.78°C. The minimum temperature when using the BiClamp was 36.13°C. During coagulation using the Thunderbeat® clamps, the tissue temperature between the jaws was 166.11°C and at the coagulation border was 54.57°C. The minimum tissue temperature when using the Thunderbeat® clamps was 39.60°C. When coagulating using a Tissue Seal clamp, the temperature of the tissue between the jaws was 84.45°C and at the coagulation border was 47.70°C. The minimum temperature with the Tissue Seal Plus Comfort clamps was 35.62°C (p < 0.001). Thus, the maximum tissue temperature between the instrument jaws during coagulation, the minimum tissue temperature, and the tissue temperature at the border were significantly lower when using Tissue Seal Plus® clamps than when using BiClamp® and Thunderbeat® clamps (H value: 41.8, p ≤ 0.01). The tissue temperature at the coagulation border was also statistically significantly lower when using Tissue Seal Plus® than when using other clamps (H value: 41.8, p ≤ 0.001). The temperature values measured by the thermal imager are presented in Table 1.
Table 1. Median temperatures of tissue when using bipolar instruments
Indicator | BiClamp® (n = 16) | Tissue Seal® Plus (n = 16) | Thunderbeat® (n = 16) | H (n = 16) | p-level |
Me [Q1 ;Q3] | |||||
Maximum temperature of the tissue, °С | 112.29 [111.25; 114.40 | 84.45 [84.12; 85.13 | 166.11 [165.40; 166.50] | 41.80 | <0.001 |
Minimum temperature of the tissue, °С | 36.13 [35.39; 37.07] | 35.62 [34.63; 35.93 | 39.60 [39.50; 39.94] | 34.09 | <0.001 |
Tissue temperature at the coagulation border, °С | 71.78 [71.55; 72.12] | 47.70 [47.46; 48.15] | 54.57 [53.80; 54.81] | 41.80 | <0.001 |
The smallest depth of coagulation effect was recorded when using Tissue Seal Plus® clamps (1.93 mm); when using the BiClamp® and Thunderbeat® clamps, the depths were 3.54 and 2.95 mm, respectively. The area of coagulation prevalence was also the smallest when using the Tissue Seal Plus® (10.85 mm2), and it was 22.80 mm2 with BiClamp® and 19.10 mm2 with Thunderbeat®. The prevalence of coagulation was minimal with Tissue Seal Plus® (8.39 mm), and with BiClamp® and Thunderbeat®, it was 10.84 mm and 11.55 mm, respectively. Figures 8–10 show the prevalence, depth, and area of exposure to coagulation.
Fig. 8. Prevalence of coagulation. AV — analysis of variance
Fig. 9. Depth of coagulation. AV — analysis of variance
Fig. 10. Coagulation area. AV — analysis of variance
The data of morphometric characteristics of tissues in the electrosurgery field are presented in Table 2.
Table 2. Morphometric characteristics of tissues after exposure to bipolar coagulators
Indicator | Instrument | Kruskal-Wallis analysis of variance | |||
BiClamp® (n = 16) | Tissue Seal Plus® (n = 16) | Thunderbeat® (n = 16) | H [2; 48] | p | |
Prevalence, mm (Me [Q1; Q3]) | 10.84 [9.35; 12.30] | 8.39 [4.35; 9.40] | 11.55 [8.97; 14.12] | 9.12 | 0.010 |
Depth, mm, av. (Me [Q1; Q3]) | 3.54 [2.48; 3.70] | 1.93 [1.49; 2.60] | 2.95 [2.04; 3.71] | 7.72 | 0.021 |
Area, mm2 (Me [Q1; Q3]) | 22.80 [17.10; 31.75] | 10.85 [5.55; 16.52] | 19.10 [15.65; 34.10] | 10.67 | 0.0048 |
Results of analysis of variance indicated that the mean values (expressed as medians) of the three parameters were significantly different when using different clamps. Analysis of pairwise comparisons of group means revealed that these differences were caused by significantly lower prevalence, depth, and area when using Tissue Seal Plus® clamps compared to when using other clamps.
CONCLUSIONS
The risk factor for lateral thermal damage is the tissue temperature at the coagulation border, as the correlation coefficient (r) between the tissue temperature at the coagulation border and the prevalence of coagulation was 0.58 (p = 0.017) and was 0.60 for the area of coagulation effect (p = 0.014). These data suggest that the choice of the optimal Tissue Seal Plus Comfort® bipolar clamps reduces the risk of lateral thermal damage. This is because the temperature at the coagulation border correlates significantly with the prevalence and area of coagulation. Thus, the use of Tissue Seal Plus Comfort® clamps during vaginal hysterectomy is not only effective but also safe as it has the best thermometric and morphometric parameters when exposed to tissue, which reduces the risk of lateral thermal damage, provided that precautions are taken against the occurrence of adverse thermal effects.
作者简介
Andrey Plekhanov
Academician I.P. Pavlov First St. Petersburg State Medical University; Saint Petersburg Clinical Hospital of the Russian Academy of Sciences
编辑信件的主要联系方式.
Email: a_plekhanov@mail.ru
ORCID iD: 0000-0002-5876-6119
SPIN 代码: 1132-4360
Scopus 作者 ID: 842119
MD, PhD, DSci (Medicine)
俄罗斯联邦, 6-8 L’va Tolstogo str., Saint Petersburg, 197022; Saint PetersburgVitaliy Bezhenar
Academician I.P. Pavlov First St. Petersburg State Medical University
Email: bez-vitaly@yandex.ru
ORCID iD: 0000-0002-7807-4929
SPIN 代码: 8626-7555
Scopus 作者 ID: 271233
MD, PhD, DSci (Medicine), Professor
俄罗斯联邦, 6-8 L’va Tolstogo str., Saint Petersburg, 197022Tatyana Epifanova
Academician I.P. Pavlov First St. Petersburg State Medical University; Saint Petersburg Clinical Hospital of the Russian Academy of Sciences
Email: epifanova-tatiana@mail.ru
ORCID iD: 0000-0003-1572-1719
SPIN 代码: 5106-9715
MD, Post-Graduate Student
俄罗斯联邦, 6-8 L’va Tolstogo str., Saint Petersburg, 197022; Saint PetersburgFyodor Bezhenar
Saint Petersburg Clinical Hospital of the Russian Academy of Sciences
Email: fbezhenar@gmail.com
ORCID iD: 0000-0001-5515-8321
SPIN 代码: 6074-5051
MD
俄罗斯联邦, Saint PetersburgIrina Karabak
Pediatric Research and Clinical Center for Infectious Diseases
Email: irina-karabak@mail.ru
ORCID iD: 0000-0002-3725-7737
SPIN 代码: 1905-7431
MD
俄罗斯联邦, Saint Petersburg参考
- Ailamazyan EK, Bezhenar VF, Savitsky GA, et al. The rational choice of surgical approach for hysterectomy. J Gynecol Surg. 2006;(3 suppl. 1):S95–S96.
- Bezhenar’ VF, Novikov EI, Vasilenko LV, Komlichenko JeV. Vlagalishhnye operacii. Saint-Petersburg: Izd-vo N-L; 2013. (In Russ.)
- Whiteman MK, Hillis SD, Jamieson DJ, et al. Inpatient hysterectomy surveillance in the United States, 2000-2004. Am J Obstet Gynecol. 2008;198(1):34.e1–34.e347. doi: 10.1016/j.ajog.2007.05.039
- Candiani M, Izzo S, Bulfoni A, Riparini J, Ronzoni S, Marconi A. Laparoscopic vs vaginal hysterectomy for benign pathology. Am J Obstet Gynecol. 2009;200(4):368.e1–368.e3687. doi: 10.1016/j.ajog.2008.09.016
- Forsgren C, Altman D. Risk of pelvic organ fistula in patients undergoing hysterectomy. Curr Opin Obstet Gynecol. 2010;22(5):404–407. doi: 10.1097/GCO.0b013e32833e49b0
- Moen MD, Richter HE. Vaginal hysterectomy: past, present, and future. Int Urogynecol J. 2014;25(9):1161–1165. doi: 10.1007/s00192-014-2459-x
- Plekhanov AN, Bezhenar VF, Epifanova TA, et al. Tissue thermometric characteristics in the intervention area during electrosurgical vaginal hysterectomy. Obstetrics and Gynecology. 2020;(6):98–105. (In Russ.). doi: 10.18565/aig.2020.5.98-104
- Pogorelić Z, Katić J, Mrklić I, et al. Lateral thermal damage of mesoappendix and appendiceal base during laparoscopic appendectomy in children: comparison of the harmonic scalpel (Ultracision), bipolar coagulation (LigaSure), and thermal fusion technology (MiSeal). J Surg Res. 2017;212:101–107. doi: 10.1016/j.jss.2017.01.014
- Jaiswal A, Huang KG. Energy devices in gynecological laparoscopy — Archaic to modern era. Gynecol Minim Invasive Ther. 2017;6(4):147–151. doi: 10.1016/j.gmit.2017.08.002
- Zhu Q, Ruan J, Zhang L, Jiang W, Liu H, Shi G. The study of laparoscopic electrosurgical instruments on thermal effect of uterine tissues. Arch Gynecol Obstet. 2012;285(6):1637–1641. doi: 10.1007/s00404-011-2207-0
补充文件





















