对早期妊娠流产胎儿进行全面分子形态学研究的结果
- 作者: Romanova O.A.1, Pechenikova V.A.1
-
隶属关系:
- North-Western State Medical University named after I.I. Mechnikov
- 期: 卷 71, 编号 1 (2022)
- 页面: 79-90
- 栏目: Original study articles
- ##submission.dateSubmitted##: 09.10.2021
- ##submission.dateAccepted##: 03.12.2021
- ##submission.datePublished##: 15.01.2022
- URL: https://journals.eco-vector.com/jowd/article/view/82972
- DOI: https://doi.org/10.17816/JOWD82972
- ID: 82972
如何引用文章
详细
论证。胎儿停育导致早期妊娠孕囊排出的主要原因。在本病的病因中,遗传原因是最主要原因。目前,免疫方面的母体-胎儿系统广泛讨论。在这方面,根据绒毛膜的核型,以及孕囊排出后,研究胎儿停育期间母体和胎儿之间的免疫关系的特征是一项紧迫的问题。这可以优化胎儿停育患者的筛查,并确定导致习惯性流产的因素。
本研究的目的是根据绒毛膜染色体异常的存在和患者孕囊排出史,研究胎儿停育中流产胎儿的形态学和免疫组化特征。
材料与方法。对273例胎儿停育的流产胎儿进行了全面的形态学和免疫组织化学研究(CD56、 HLA-DR-II)。第一组包括有不同变异的绒毛膜染色体异常的病人(n=169),第二组包括正常绒毛膜核型的病人(n=104)。根据孕囊排出的存在,考虑到患者的病史,并对数据进行了分析。
结果。该研究揭示了绒毛膜染色体异常的胎儿停育中流产胎儿的形态特征:绒毛明显水肿、增厚、坏死,更严重的炎症变化为蜕膜组织和子宫内膜的中度至重度淋巴细胞和巨噬细胞浸润,其中白细胞按微脓肿类型积聚。已证明,流产胎儿中炎症变化的严重程度仅受绒毛膜核型的影响,不受无活胚卵在宫腔内存留时间的影响,也不受患者病历中出现孕囊排出的影响。研究表明,流产胎儿中的CD56和HLA-DR II类水平取决于患者孕囊排出的病史,而与绒毛膜核型无关。
结论。因此,对于没有妇科疾病的患者,在初次胎儿停育时,只需要采用绒毛膜核型来确定胎儿停育的原因;而对重复胎儿停育进行CD56和HLA-DR II类标志物的免疫组化检测是有意义的。
全文:
论证
保护妇女生殖健康是现代妇产科学的一项紧迫任务,不仅具有医学意义,而且具有社会意义。大约80%的产前损失发生在早期妊娠,其中胎儿停育占主导地位,根据不同作者的研究,其数量为40—85%[1–3]。早期妊娠(超过50%)的胎儿停育的病因学中,一个重要的作用是重新(de novo)发生的绒毛膜染色体异常。胎儿停育对妇女的生殖健康有不利影响,增加了以后反复终止妊娠的风险,导致慢性子宫内膜炎的形成。对胎儿停育患者的检查缺乏统一的标准,决定了这一问题的科学和实践意义。
目前对胎儿停育的流产胎儿进行组织学检查是常规的,但有关流产形态取决于绒毛膜核型的文献资料很少,而且相互矛盾。免疫组化检查补充了组织学检查,提高了子宫内膜病理过程的诊断质量。
目前,植入术的免疫学方面受到广泛的讨论。正常妊娠发生在子宫内膜对滋养细胞的局部免疫抑制状态。根据绒毛膜的核型,以及孕囊排出后,对胎儿停育期间母体和胎儿之间的免疫关系特征的研究不仅具有科学意义,但也有很大的实际意义:可以优化胎儿停育患者的检查方法,识别习惯性流产的发展因素。NK细胞和参与抗原识别的主要组织相容性复合体系统在这一方向上起着重要作用。
已证明,子宫内膜内的淋巴细胞中自然杀伤细胞的数量最多[4–6],在怀孕初期,它们占淋巴细胞总数的70–80%[6–8]。子宫自然杀伤细胞具有调节功能,积极表达CD56,而外周血细胞毒性NK细胞高表达CD16[6,7,9]。关于NK细胞在妊娠期的作用,目前尚无共识。然而,大多数作者都认为,子宫自然杀伤细胞对维持妊娠有重要贡献,因为它们在母体-胎儿系统中形成免疫耐受,在植入过程中调节滋养细胞的侵入深度,保护胎盘床免受感染性因素的影响,并参与血管生成和螺旋动脉重塑[4,9,10]。
在主组织相容性复合体系统中,HLA-DR为II类基因,其主要功能是识别抗原。20世纪末,在一组接受器官移植的患者中,首次对其意义进行了研究和描述[11]。已证明 HLA-DR的表达会导致移植器官的排斥反应,在低水平下,即使取消免疫抑制治疗也不会引起移植排斥反应[12,13]。在妇产科,HLA-DR也被积极研究,在怀孕期间在血液中检测到该标记物水平显著增加[14]。由于胎儿是母体的半异体,研究HLA-DR在妊娠期子宫内膜中的作用无疑对阐明胎卵免疫排斥的局部机制具有重要意义。
本研究的目的是根据绒毛膜的核型和患者的孕囊排出史,研究胎儿停育中流产胎儿的形态学和免疫组化特征。
材料与方法
在俄罗斯联邦卫生保健部的联邦国家预算高等教育机构North-Western State Medical University named after I.I. Mechnikov的妇科诊所的妇产科与在AVA--PETER有限公司的中心诊所进行了一项观察性的回顾性队列研究。该研究包括273名在2005-2008年和2015-2019年在圣彼得堡接受检查的被诊断为早期妊娠小产的患者。诊断基于超声检查结果。纳入研究的标准是患者的生殖年龄,怀孕12周以内,未使用辅助生殖技术的独立怀孕。不纳入研究的标准是妇科疾病的存在,如临床显著子宫肌瘤和子宫内膜异位症;在怀孕期间被诊断为性传播疾病。
该研究得到了俄罗斯联邦医疗保健部North-Western State Medical University named after I.I. Mechnikov联邦国家高等教育预算教育机构伦理委员会的批准(2018年11月7日第10号会议记录)。所有患者都签署了自愿知情同意书。
研究的临床部分包括病史数据分析和使用特别设计的问卷询问病人。问卷的问题包括病人的抱怨,妇产科和躯体病史的特点,以前怀孕的过程和结果,来自近亲的遗传,以及表明可能存在遗传性血栓症的症状。对所有患者都进行了标准的术前临床和实验室检查。
手术治疗采用宫腔刮除术。刮片目视检查时,从宫腔中取出绒毛膜绒毛,置于等张力氯化钠溶液中,进一步进行遗传研究和聚合酶链反应,鉴定主要致病微生物。对刮出用10%的福尔马林固定24–48小时,然后用一系列异丙醇进行刮除,倒入石蜡作进一步组织学检查。
绒毛膜绒毛的细胞遗传学研究是通过核型分析(Q-banding)使用加速直接技术进行的。根据核型分析结果,将患者分为几组:第一组包括各种染色体绒毛膜异常的患者(169名),第二组是绒毛膜核型正常的患者(104名)。
采用聚合酶链反应方法,检测1型、2型沙眼衣原体(Chlamidia trachomatis)、生殖支原体 (Mycoplasma genitalium)、解脲支原体(Ureaplasma urealyticum)、巨细胞病毒和单纯疱疹病毒DNA,排除了感染因素。
为了进行组织学检查,在石蜡块上做了5–6 μm厚的切片,用苏木精和伊红染色。绒毛、蜕膜组织和子宫内膜在Mick Med显微镜下以增大×100倍数进行详细检查。使用Avtandilov形态测量测量,在100倍显微镜下评估子宫内膜和蜕膜组织的淋巴细胞和巨噬细胞浸润程度。当检测到20个白细胞时被认为是轻度浸润,21-60个为中度浸润,超过61个为重度浸润。
为了进行免疫组化检查,选择了没有子宫或附件炎症病史、没有性传播感染的患者,通过对流产胎儿的聚合酶链反应检测确定,并且有最常见的染色体异常(多倍体,15号和16号染色体上有三体) 的患者。
免疫组化染色采用CD56(Daco clone 123C3 — M7304)和HLA-DR-II(Leica clone LN-3 — NCL-LN3) 标记的免疫血清。通过细胞膜的棕色染色记录阳性反应。通过在增大×400镜下对10个视野中的阳性染色细胞进行计数,确定平均值并计算平均值的误差,对结果进行定量分析。显微组织和免疫组化研究使用尼康数码相机进行。
临床和形态学结果的统计分析是用StatSoft公司的STATISTICA 10.0软件进行的。采用Yates校正的χ²准则和Fisher准则比较定性参数的频率特性。定量指标以算术平均值和标准差表示,并使用Kolmogorov-Smirnov、Mann-Whitney和中位数χ²检验进行比较。所有分析的关键性差异水平被定义为p<0.05。
结果
对胎儿停育的染色体绒毛膜异常的分析显示,非整倍体占129例(76.33%),多倍体次之(169例中有26例,或15.38%);嵌合绒毛膜核型为8.28% (169例中有14例)。76.92%(26例中有20例)的多倍体为三倍体,23.08%(26例中有6例) 为四倍体。在非整倍体结构中,三体性占88.37% (129例中有114例),单体行占11.63%(129例中有15例)。三体性的分布情况如下:所有三体中的26.32%(114个中有30个)是16号染色体上的三体;所有三体中的14.03%(114个中有16个)是22号染色体上的三体;染色体21号和13号上的三体出现的频率分别为13.16%(114个中有15个)和12.28%(114个中有14个);混合三体和15号染色体上的三体比较少见,分别为8.77(114个中有10个)和7.02(114个中有8个)。其他三体综合征变体也有个别病例的报道。
对患者的临床和病史数据的分析显示,染色体绒毛膜异常组年龄较大,为33.7±6.09岁,中位年龄为34岁[LQ 29;UQ 38]。绒毛膜核型正常组的平均年龄明显较低,为31.66±4.99岁,中位数为 32[LQ 28; UQ 36]岁(p<0.05)。各组之间终止妊娠的时间没有显著差异:染色体异常组为7.11±1.83周 (中位数—6.5[LQ 6;UQ 8]周),核型正常组为6.85±1.92周(中位数—6.5[LQ 5;UQ 8.25]周)(p>0.05)。关于孕囊从停止存活到手术治疗的时间,各组之间也没有差异:染色体绒毛膜异常者—2.54±1.75周(中位数—2[LQ 1;UQ 3.5]周), 正常核型者—2.34±1.56周(中位数—2[LQ 1; UQ 3.5]周)(p>0.05)。
各组在产科病史方面是一致的,大约四分之一的患者是第一次怀孕:24.85%(169例中的42例) 有染色体异常,27.88%(104例中的29例)的绒毛膜核型正常(p>0.05),其余患者在病史上有 1至7次怀孕。各组之间没有明显的差异,同时, 第一组患者前一次妊娠以分娩结束的比例为58.58%(169例中的99例),第二组的患者为52.88% (104例中的55例)。两组都出现31.73—37.28%的前次妊娠损失,但绒毛膜核型正常的习惯性流产史(两次或更多妊娠损失)明显比染色体异常组(1.18%——169人中的2人)更常见(8.65%—— 104人中的9人)(p<0.05)。
在形态上,两组绒毛绒毛膜都表现为低塑化,多为无血管绒毛。正常的核型显示绒毛基质轻度至中度水肿和轻微的硬化性改变(表1)。在染色体绒毛膜异常组中,观察到绒毛膜明显水肿和增厚的粗略结构变化(见表1)。此外,染色体异常组的滋养细胞坏死和间质间隙成簇的纤维蛋白样坏死场比整倍体组多2.4倍(p<0.05)(见表1,图1)。根据文献,这些变化可能是妊娠免疫排斥反应的间接征象[1]。
表1 研究组的水肿和绒毛膜硬化的程度
症状 | 绒毛膜的染色体异常, n = 169 | 正常绒毛膜核型, n = 104 | p | ||
n | % | n | % | ||
绒毛膜水肿: 无 轻度 中度 强度 | 46 34 61 28 | 27.22 20.12 36.09 16.57 | 15 24 51 14 | 14.42 23.08 49.04 13.46 | 0.041 |
绒毛膜增厚: 无 轻度 中度 强度 | 71 45 30 23 | 42.01 26.63 17.75 13.61 | 61 20 17 6 | 58.65 19.23 16.35 5.77 | 0.026 |
纤维蛋白样坏死的严重程度: 无 轻度 中度 强度 | 126 16 17 10 | 74.56 9.47 10.06 5.92 | 93 5 4 2 | 89.42 4.81 3.85 1.92 | 0.019 |
图1 染色体异常的绒毛:合并明显的增厚和水肿, 滋养细胞坏死,绒毛间的纤维素坏死区。苏木精-伊红染色,增大×100倍
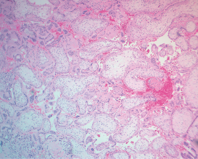
两组均以螺旋动脉壁玻璃样变(68.27–69.23%) 为特征。淋巴细胞和巨噬细胞浸润在单倍体组中多为中度(51.92%),25%的病例为轻度(表2)。各种染色体绒毛膜异常组的淋巴细胞和巨噬细胞浸润明显增多(30.18%有强度浸润,67.46%有中度浸润)(见表2)。此外,染色体异常者明显更有可能在蜕膜组织中出现微脓肿和坏死变化(图2)。
表2 研究组中蜕膜组织的形态特征
症状 | 绒毛膜的染色体异常, n = 169 | 正常绒毛膜核型, n = 104 | p | ||
n | % | n | % | ||
淋巴细胞和巨噬细胞浸润的程度: 轻度 中度 强度 | 4 114 51 | 2.37 67.46 30.18 | 26 54 24 | 25.00 51.92 23.08 | <0.001 <0.001 <0.001 |
白细胞按微脓肿类型积聚 | 84 | 49.70 | 38 | 36.54 | 0.033 |
坏死的程度: 无 轻度 中度 强度 | 14 35 77 43 | 8.28 20.71 45.56 25.44 | 29 36 21 18 | 27.88 34.62 20.19 17.31 | <0.001 <0.001 <0.001 <0.001 |
图2 染色体绒毛膜异常的蜕膜组织(微脓肿)苏木精-伊红染色,增大×100倍
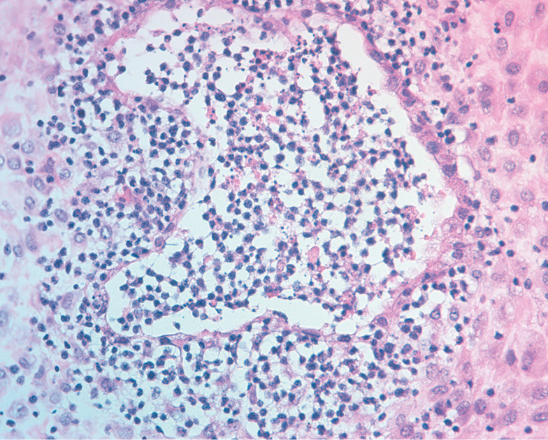
染色体绒毛膜异常组的子宫内膜在大多数情况下(88.13%)也有中度至重度淋巴细胞和巨噬细胞浸润的特征(表3)。与整倍体组相比,微脓肿型白细胞聚集的频率几乎增加了3倍(p<0.001)(图3)。 正常核型组的特点是缺乏蜕膜转化约三分之一的病例,有轻度至中度的炎症浸润(见表3)。
表3 研究组的子宫内膜形态
症状 | 绒毛膜的染色体异常, n = 169 | 正常绒毛膜核型, n = 104 | p | ||
n | % | n | % | ||
淋巴细胞和巨噬细胞浸润的程度: 轻度 中度 强度 | 19 103 47 | 11.24 60.95 27.81 | 32 41 31 | 30.77 39.42 29.81 | <0.001 <0.001 <0.001 |
白细胞按微脓肿类型积聚 | 72 | 42.60 | 16 | 15.38 | <0.001 |
子宫内膜-蜕膜转化不足 | 23 | 13.61 | 37 | 35.58 | <0.001 |
无论怀孕的时间长短和宫腔中不可存活的孕囊持续时间,直至手术干预时刻,都观察到流产胎儿中所描述的炎症变化。
子宫内膜的炎症变化常与过去的孕囊排出有关。根据文献,60.5–86.7%的病例诊断为流产期慢性子宫内膜炎[15,16]。为此,对第一次流产患者与有流产史患者的流产胎儿组织学检查结果进行比较分析。根据所获得的结果,在子宫内膜和蜕膜组织的淋巴细胞和巨噬细胞浸润程度和病史中的自发性流产之间没有显著的联系(表4)。
表4 根据患者的自发性流产病史,对子宫腔刮痕进行形态学评估
症状 | 第一次怀孕流产, n = 177 | 有自发性流产史, n = 96 | p | ||
n | % | n | % | ||
蜕膜组织的淋巴细胞和巨噬细胞浸润的程度: 轻度 中度 强度 | 21 112 44 | 11.86 63.28 24.86 | 9 56 31 | 9.38 58.33 32.29 | >0.05 >0.05 >0.05 |
蜕膜组织白细胞按微脓肿类型的积聚 | 78 | 44.07 | 44 | 45.83 | >0.05 |
蜕膜组织的坏死程度: 无 轻度 中度 强度 | 85 50 30 12 | 48.02 28.25 16.95 6.78 | 46 29 19 2 | 47.92 30.21 19.79 2.08 | >0.05 >0.05 >0.05 >0.05 |
子宫内膜的淋巴细胞和巨噬细胞浸润的程度: 轻度 中度 强度 | 34 90 53 | 19.21 50.85 29.94 | 17 54 25 | 17.71 56.25 26.04 | >0.05 >0.05 >0.05 |
子宫白细胞按微脓肿类型的积聚 | 60 | 33.90 | 28 | 29.17 | >0.05 |
免疫组织化学检查发现,子宫内膜中的CD56主要存在于细胞基质中和子宫内膜腺体周围的白细胞积聚中,而在蜕膜组织中既可以观察到散在排列的阳性染色细胞,也可以观察到微囊中的细胞积聚。HLA-DR II级主要在子宫内膜腺体附近的聚集中观察到,而在子宫内膜基质和蜕膜组织中则主要是分散观察。当比较研究组患者中这些标记物的水平时,根据绒毛膜的核型, 没有显著差异(表5)。
在分析考虑患者产科病历的免疫组化研究结果时,发现病历中的自发性流产与CD56和HLA-DR II类水平之间存在可靠的关系。
在初孕患者中,无论绒毛膜核型,CD56含量都显著升高;在一些制剂中,NK细胞覆盖了蜕膜组织的所有视野;在子宫内膜中主要位于间质和腺体周围的白细胞群中。孕囊排出史时,与初产妇相比,子宫内膜(71.61±11.92)和蜕膜组织(42.39±6.59) 中的CD56数量明显减少(分别为207.82±20.48和182.65±5.41)(p<0.001)(图4,5)。
图4 根据孕囊排出史,胎儿停育患者子宫内膜和蜕膜组织中CD56和HLA-DR类II的免疫组织化学研究
图5 CD56免疫组织化学显微镜照片:a——在初次胎儿停育的病人的子宫内膜中;b——在初次胎儿停育的病人的蜕膜组织中;c——在一个有孕囊排出史病人的子宫内膜中;d——在一个有孕囊排出史病人的蜕膜组织中。免疫组织化学检查,增大×400陪
HLA-DR II级研究显示了相反的结果:与初产妇组(分别为58.57±10.62和13.35±0.15)相比, 有孕囊排出史的患者子宫内膜(184.99±23.8) 和蜕膜组织(52.83±2.95)的HLA-DR II级水平都明显较高(p<0.001)(图4,6)。
图6 HLA-DR II级免疫组织化学显微镜照片:a——在初次胎儿停育的病人的子宫内膜中;b——在初次胎儿停育的病人的蜕膜组织中;c——在一个有孕囊排出史病人的子宫内膜中;d——在一个有孕囊排出史病人的蜕膜组织中。免疫组织化学检查,增大×400陪
讨论
根据这项研究的结果,可以认为与绒毛膜染色体异常相关的胎儿停育发生在无并发症的主要产科和妇科病史的患者中。有妇产科并发症病史的妇女会出现二倍体绒毛膜核型的妊娠,此外,习惯性流产在这组患者的病历中更常被诊断。尽管这些病史数据的发现,以及各组之间在胎龄和不能存活的孕囊在子宫腔内的时间方面没有明显的差异,但在染色体绒毛异常的病例中,观察到绒毛结构和坏死的变化更严重,子宫内膜和蜕膜组织的炎症浸润更明显。子宫内膜的淋巴细胞和巨噬细胞浸润是炎症过程的一个指标,与浆细胞结合表明是慢性炎症过程[1,17]。绒毛膜的形态学变化,如水肿、滋养细胞发育不良,与染色体异常的存在有关[1,18]。
绒毛膜坏死和绒毛膜间隙的纤维素坏死区域被一些作者归结为性传播疾病引起的炎症史 [19,20],有作者认它是血栓性并发症[17],其他作者认为,绒毛的萎缩和炎症性转变,以及纤维素在绒毛间隙的大量沉积,是免疫排斥反应的间接表现[1]。
资料中所描述的流产胎儿的炎症变化程度与孕囊排出之间缺乏可靠的关系,进一步证实了所鉴定的形态特征仅取决于绒毛膜的核型。
免疫组织化学分析显示,与初次怀孕的患者相比,重复孕囊排出的子宫内膜和蜕膜组织中的CD56水平急剧下降,HLA-DR II类增加。同时,没有发现所检查的标记物的表达与绒毛膜核型之间的相关性。因此,对于没有并发症史的初孕患者,只有在胎儿停育中建立绒毛膜核型才有意义;然而无论绒毛膜的核型,使用CD56和HLA-DR II类标记物进行流产免疫组化研究对于反复胎儿停育是明智的。进一步研究早期妊娠怀孕的NK细胞表达和组织相容性复合体评分是必要的,以了解习惯性流产机制的免疫成因。
结论
- 在染色体绒毛膜异常的胎儿停育病例中,流产胎儿的特点是明显的水肿合并绒毛膜增厚, 绒毛膜坏死、蜕膜组织(67.46%和30.18%)和子宫内膜(60.95%和27.81%)的中度至重度淋巴细胞和巨噬细胞浸润等形式的较严重的炎症变化,其中存在微脓肿样白细胞积聚。在没有基因检测的情况下,这些组织学特征可以被病理学家用作绒毛膜中染色体异常的代理。
- 流产物中炎症变化的严重程度仅取决于绒毛膜核型,并不取决于胎龄、不能存活的孕囊在子宫腔内的时间长短,或病人的自发性流产史。
- 在初次胎儿停育时,有复杂的妇产科病史的患者,最好只确定绒毛膜的核型,以确定胎儿停育的原因。
- 无论绒毛膜的核型,对反复胎儿停育的流产胎儿进行免疫组化研究,并测定CD56和HLA-DR II类标记物。
附加信息
资金来源。该研究在未经赞助和财务支持的情况下进行。
利益冲突。作者声明,没有明显的和潜在的利益冲突相关的发表这篇文章。
所有作者都对文章的研究和准备做出了重大贡献,在发表前阅读并批准了最终版本。
作者简介
Olga A. Romanova
North-Western State Medical University named after I.I. Mechnikov
Email: romanova-roa@yandex.ru
ORCID iD: 0000-0003-2637-5620
SPIN 代码: 5740-7953
Researcher ID: ААВ-2136-2021
MD, obstetrician-gynecologist of the Department of Gynecology
俄罗斯联邦, 41, Kirochnaya St., Saint Petersburg, 191015Victoria A. Pechenikova
North-Western State Medical University named after I.I. Mechnikov
编辑信件的主要联系方式.
Email: p-vikka@mail.ru
SPIN 代码: 9603-5645
Researcher ID: ААВ-2105-2021
MD, Dr. Sci. (Med.), PhD, Professor of the Department of Obstetrics and Gynecology
俄罗斯联邦, 41, Kirochnaya St., Saint Petersburg, 191015参考
- Tral TG, Tolibova GK, Serdiukov SV, Polyakova VO. Morphofunctional evaluation of the causes of stilled pregnancy in the first trimester. Journal of obstetrics and women’s diseases. 2013;62(3):83–87. (In Russ.). doi: 10.17816/JOWD62383-87
- Sidelnikova VM. Privychnaya poterya beremennosti. Moscow: Triada-X; 2005. (In Russ.)
- Bulletti C, Flamigni C, Giacomuccii E. Reproductive failure due to spontaneous abortion and recurrent miscarriage. Hum Reprod Update. 1996;2(2):118–136. doi: 10.1093/humupd/2.2.118
- Sotnikova NYu, Voronun DN, Anciferova YuS. The role of decidual CD56+ natural killers in regulation of the local immune response during early pregnancy. Journal of Ural Medical Academic Science. 2011;2–1(35):68–69. (In Russ.)
- Kozyreva EV, Davidyan LY. Immunohistochemical features of chronic endometritis in case of infertility and miscarriage (review of literature). University proceedings. Volga region. Medical sciences. 2015:4(36):124–136. (In Russ.)
- Agnaeva AO, Bespalova ON, Sokolov DI, et al. Role of natural killer cells in reproductive failure. Journal of obstetrics and womans diseases. 2017;66(3):143–156. (In Russ.). doi: 10.17816/jowd663143-156
- Mikhailova VA, Selkov SA, Sokolov DI. Phenotypic and functional characteristics of NK cells in pregnancy. Obstetrics and Gynecology. 2011;(5):4–9. (In Russ.)
- Sharma S. Natural killer cells and regulatory T cells in early pregnancy loss. Int J Dev Biol. 2014;58(2–4):219–229. doi: 10.1387/ijdb.140109ss
- Zhang X, Li J, Gu Yi, et al. A pilot study on environmental and behavioral factors related to missed abortion. Environ Health Prev Med. 2011;16(4):273–278. doi: 10.1007/s12199-010-0196-4
- Mustafina LR, Khon EV, Logvinov SV, Yuriyev SYu. Cellular composition of decidua basalis infiltrate during early pregnancy in urogenital mycoplasma infection. Morphology. 2011;139(3):72–76. (In Russ.)
- Reinke P, Volk HD. Diagnostic and predictive value of an immune monitoring program for complications after kidney transplantation. Urol Int. 1992;49(2):69–75. doi: 10.1159/000282398.
- Reinke P, Fietze E, Docke WD, et al. Late acute rejection in long-term renal allograft recipients. Diagnostic and predictive value of circulating activated T cells. Transplantation. 1994;58(1):35–41.
- Henny FC, Weening JJ, Baldwin WM, et al. Expression of HLA-DR antigens on peripheral blood T lymphocytes and renal graft tubular epithelial cells in association with rejection. Transplantation. 1986;42(5):479–483. doi: 10.1097/00007890-198611000-00007
- Loewendorf AI, Nguyen TA, Yesayan MN, et al. Normal human pregnancy results in Maternal Immune Activation in the Periphery and at the Uteroplacental Interface. PLoS One. 2014;9(5):e96723. doi: 10.1371/journal.pone.0096723
- Ellinidi VN, Davydova NI, Kalinina NM, et al. Modern opportunities for diagnostics of chronic endometritis. Journal of obstetrics and womans diseases. 2003;52(3):64–68. (In Russ.)
- Demidova EM. Privychnyj vykidysh (patogenez, akusherskaja taktika) [dissertation] Moscow; 1993. (In Russ.). [cited 16 Aug 2021.] Available from: http://medical-diss.com/docreader/405801/a?#?page=1
- Akulich NS, Runets UF, Yudina OA, Sheviako AD. Morphological criteria for miscarriage of early pregnancy. Medical Journal. 2017;3(61):49–52. (In Russ.)
- Khelnitsky OK. Tsitologicheskaya i gistologicheskaya diagnostika zabolevaniy sheyki i tela matki. St. Petersburg: SOTIS; 1999. (In Russ.)
- Peretyatko LP, Fateeva NV, Kuznetsov RA, Malyshkina AI. The comparative morphology of the villous chorion at 5−12 week pregnancy at the chronic endometritis complicated by habitual miscarriage and artificial abortions. Tavricheskiy Mediko-Biologicheskiy Vestnik. 2017;20(2–2):98–103. (In Russ.)
- Zakharov GA, Galiulina EV, Zarechnova NN. Structure of ovum of abortive material of human embryos with non-viable pregnancy with sexually transmitted diseases. Tambov University Reports. Series Natural and Technical Sciences. 2014:19(6):2001–2003. (In Russ.)
补充文件









