Нарушение ультраструктуры эндосальпинкса как причина бесплодия при дистальной окклюзии маточных труб
- Авторы: Лятошинская П.В.1, Кира Е.Ф.2, Беженарь В.Ф.1, Новожилова А.П.1
-
Учреждения:
- Военно-медицинская академия
- Институт усовершенствования врачей при НМХЦ им. Н.И. Пирогова М3 РФ
- Выпуск: Том 53, № 1 (2004)
- Страницы: 42-48
- Раздел: Оригинальные исследования
- Статья получена: 14.01.2004
- Статья одобрена: 05.11.2021
- Статья опубликована: 14.01.2004
- URL: https://journals.eco-vector.com/jowd/article/view/87132
- DOI: https://doi.org/10.17816/JOWD87132
- ID: 87132
Цитировать
Полный текст
Аннотация
Проанализирована ультраструктура эндосальпинкса, полученногопри микробиопсии у 26 пациенток с бесплодием, обусловленном гидросальпинксами. Вычисляли процентное содержание цилиарных клеток и оценивали различные параметры, включая высоту эпителия, наличие спаек, эпителиального слущивания, воспалительных клеток и фиброза в стенке маточной трубы. Была изучена ультраструктура микробиопсий. Обнаружены расстройства киноцилий эпителия маточных труб. Выяснено, что образование гидросальпинксов сопровождается развитием глубоких дистрофических изменений в эндосальпинксе. Последнее может являться причиной функциональной несостоятельности маточных труб у пациенток с трубно-перитонеальным бесплодием.
Ключевые слова
Полный текст
Выбор оптимального метода лечения трубно-перитонеального бесплодия является на сегодняшний день одной из наиболее дискутабельных и до конца нерешенных проблем современной репродуктологии. Несмотря на то, что в техническом отношении восстановить проходимость маточных труб проще при их дистальной окклюзии, в то же время именно при этих реконструктивно-пластических операциях наблюдается наиболее низкая эффективность в отношении наступления беременности, а нередко и рецидивы образования гидросальпинксов [6, 9].
Известно, что несмотря на четкую координацию деятельности всех отделов маточной трубы, основная функциональная нагрузка ложится именно на дистальные сегменты, что подтверждается их более сложным строением и присутствием в них основных регуляторных субстанций, обеспечивающих слаженность и взаимодействие механизмов кинетики и динамики всей трубы (субстанция «Р», гастрин-рилизинг пептид, вазоактивный интестинальный полипептид, основной пул гамма-аминобутириновой кислоты, являющейся регулятором цилиарной активности) [3, 7, 8, 10]. Кроме того, ампулярная часть маточной трубы отличается сложностью архитектоники слизистой оболочки. В 1990 г. F. Bonilla-Musoles. и соавт. высказали гипотезу о наличии в слизистой оболочке ампулярного отдела маточной трубы артериальной пульсирующей помпы, благодаря которой и осуществляется транспорт яйцеклетки в сторону матки [4]. Важным является также то, что цитологическая структура слизистой оболочки ампулярного и фимбриального отделов маточной трубы представлена в основном цилиарными клетками, которые содержат киноцилии (реснички) в своей апикальной части. Известно, что киноцилии за счет своих координированных колебаний также создают поток жидкости в направлении полости матки [2]. Таким образом, дистальный отдел маточной трубы, по сравнению с проксимальным, играет возможно более важную роль в процессе нормальной репродукции. Именно в этой части трубы протекают оплодотворение и ранние стадии эмбрионального развития. Учитывая это обстоятельство, многие ученые уделяют большое внимание детальному изучению именно этого отдела маточной трубы [5, И].
Материалы и методы исследования
Изучение ультраструктуры эндосальпинкса было проведено у 26 больных (1-я или исследуемая группа), страдающих трубно-перитонеальной формой бесплодия, обусловленной наличием гидросальпиксов. У всех пациенток данной группы выполняли лапароскопическую сальпингонеостомию с микробиопсией эндосальпинкса в ампулярном сегменте маточной трубы. Сравнительный анализ ультраструктуры эндосальпинксапроводился с аналогичным биопсийным материалом, полученным от 15 пациенток с нормальной репродуктивной функцией (2-я или контрольная группа), которым была произведена лапароскопическая стерилизация (п = 9) или цистаденэктомия в связи с наличием доброкачественных опухолей яичников (n = 6).
Средний возраст больных исследуемой и контрольной групп составил соответственно 27,9±0,7 и 32,9±1,1 года (р<0,001).
В исследуемой группе преобладали пациентки со вторичным бесплодием, частота которого составила 69,2% (18 из 26). Средняя длительность бесплодия у больных этой группы составила 5,0±0,5 лет. При этом у 4 (15,4%) пациенток в анамнезе уже имели место реконструктивно-пластические операции на маточных трубах, а у 1 (3,9%) было выполнено ЭКО с переносом эмбриона в полость матки.
Из сопутствующей гинекологической патологии более чем у половины больных с бесплодием (53,8%; 14 из 26) отмечен хронический сальпингоофорит.
На дооперационном этапе почти у каждой четвертой пациентки 1-й группы были выявлены случаи различных урогенитальных инфекций (26,9%): в 1 (3,9%) случае был диагностирован неспецифический вагинит, в 1 (3,9%) — кандидозный вагинит, у 3 (11,5%) пациенток — бактериальный вагиноз и еще у 3 (11,5%) — обнаружен цервицит хламидийной этиологии.
Состояние маточных труб у больных исследуемой группы оценивалось перед операцией по результатам гистеросальпингографии, в ходе проведения которой во всех случаях были выявлены двухсторонние гидросальпинксы, что и явилось во всех случаях показанием для проведения лапароскопических двусторонних сальпингонеостомий. Диаметр гидросальп и икса от 1 до 2 см отмечен у 18 из 26 (69,2%) пациенток, а более 2 см — у 8 (30,8%) больных.
Для изучения ультраструктуры эндосальпинкса производилась микробиопсия последнего из ампулярного отдела МТ. Микробиопсия выполнялась с помощью гистероскопических биопсийных щипцов (2 мм), введенных через боковой троакар (5 мм). Каждый участок эндосальпинкса диаметром 2-3 мм разделялся на более мелкие фрагменты. Исследование эндосальпинкса проводилось с помощью световой микроскопии с полутонких срезов, а ультраструктуры ресничек — методом трансмиссионной электронной микроскопии. Важно отметить, что у всех пациенток микробиопсия эндосальпинкса выполнялась в пролиферативную фазу менструального цикла.
Материал для электронно-микроскопического изучения фиксировали в 2,5% глутаровом альдегиде на 0,1 М какодилатном буфере (pH 7,4). Далее для трансмиссионной электронной микроскопии кусочки ткани дофиксировали в 2% четырехокиси осмия, обезвоживали в спиртах возрастающей концентрации, заливали в смесь эпоксидных смол. Полутонкие 1 мкм и ультратонкие 70 нм срезы изготавливали на ультрамикротоме «Ultracut» (фирмы Reichert, Австрия). Полутонкие срезы окрашивали метиленовым синим, а также по методу Хамфрея и Питтмана. Ультратонкие срезы контрастировали цитратом свинца и уранил-ацетатом. Просмотр и фотографирование полутонких срезов осуществляли на фотомикроскопе Opton (фирмы Opton, Германия). Ультратонкие срезы просматривали и фотографировали в электронном микроскопе Hitachi Н 300 (фирма Hitachi, Япония) в трансмиссионном режиме при ускоряющем напряжении 80 кВ. Высоту эпителия оценивали с помощью окуляр-микрометра. Цилиарный индекс (процентное содержание эпителиальных клеток, имеющих реснички) в каждом биоптате расчитывался не менее чем на 500 эпителиальных клеток.
Результаты исследования
Результаты световой микроскопии с полутонких срезов свидетельствовали о том, что средняя высота эпителия маточных труб у пациенток с гидросальпинксами в 2 раза ниже по сравнению с высотой эпителия маточных труб у здоровых пациенток. Так, средняя высота эпителия ампулярного отдела маточных труб пациенток исследуемой группы составила 12,5±0,4 μm (рис. 2, 3, 5), а у пациенток контрольной группы — 27,5±2,3 μm (р< 0,001) (рис. 1, табл. 1). Высота эпителия маточных труб в пролиферативную фазу менструального цикла в норме соответствует 20—30 μm [1].
Цилиарный индекс эпителия среди пациенток с бесплодием колебался от 15 до 42% и составил в среднем 29,6± 1,6% (рис. 2, 3, 5), что достоверно меньше по сравнению со средним цилиарным индексом в контрольной группе, значение которого соответствовало 73,3±1,8 % (р < 0,001) (рис. 1). В норме цилиарный индекс эпителия ампулярного отдела маточных труб колеблется в пределах от 50 до 80% [5].
Практически у всех пациенток — у 25 из 26 (96,2%), прооперированных по поводу гидросальпинксов при исследовании эпителиального покрова маточных труб методом световой микроскопии с полутонких срезов были обнаружены зоны десквамации эпителия (рис. 3), при этом у 11 из 26 больных (42,3%) протяженность зон десквамации не превышала 100 μm, а у 15 из 26 (57,7%) — протяженность этих зон составляла 100 urn и более. Среди пациенток с нормальной репродуктивной функцией признаков дескавамации эпителия маточных труб выявлено не было (рис.1).
Рис. 1. Микрофотография нормального эндосальпинкса ампулярного отдела маточной трубы.
Высота эпителия 27 μт, цилиарный индекс 71%, в подслизистом слое умеренное количество коллагеновых волокон. Микрофотография полутонких эпоксидных срезов. Окраска по Питманн и Хэмфри, увеличение ×400
При исследовании эпителиального покрова маточных труб у 18 пациенток исследуемой группы (69,2%) обращало на себя внимание наличие адгезии складок эпителия между собой (рис. 2), в то время как у пациенток контрольной группы архитектура складок эпителия маточных труб в исследуемых биоптатах нарушена не была. В подслизистом слое у всех пациенток с гидросальпинксами присутствовало большое количество коллагеновых волокон и фибробластов, что свидетельствовало о фиброзе стромы (рис. 3). Наблюдался также склероз стенки сосудов стромы (рис. 4). Среди коллагеновых волокон и клеток стромы у 16 больных (61,5%) 1-й группы выявлялось множество клеточных маркеров хронической воспалительной реакции (тканевых макрофагов и гистиоцитов) (рис. 3, 5).
Рис. 2. Гидросальпинкс.
Высота эпителия 13 μт, цилиарный индекс 42%, наблюдается слипание складок слизистой оболочки (1), эпителий деструктивен, много вакуолей в строме (2). Микрофотография эпоксидных полутонких срезов. Окраска: метиленовая синь и основной фуксин, увеличение х400
Рис. 3. Гидросальпинкс.
Высота эпителия 9-12 μт, цилиарный индекс 19%), имеется нарушение связей в эпителиальном пласте, десквамация эпителиоцитов (1), большое количество коллагеновых волокон (2) и фибробластов (3) в подслизистой основе. Среди клеток стромы тканевые макрофаги (4). Микрофотография полутонких эпоксидных срезов. Окраска по Питманн и Хэмфри, увеличение × 500
Рис.4. Гидросальпинкс.
Выраженный склероз крупных и мелких кровеносных сосудов, некоторые облитерированы. Мощные пучки коллагеновых волокон с большим числом фибробластов окружают их (1). Микрофотография полутонких эпоксидных срезов. Окраска: метиленовая синь, основной фуксин, увеличение × 125
Рис. 5. Гидросальпинкс.
Эпителий эндосальпинкса высотой 16 μт, цилиарный индекс 44%, ядра эпителиальных клеток неправильной формы с глубокими инвагинациями (1), в цитоплазме липидные гранулы, среди клеток эпителия гистиоциты (2), маркервоспалителыюй реакции. Микрофотография полутонких эпоксидных срезов, окраска по Питманн и Хэмфри, увеличение × 400
При исследовании подслизистой основы у пациенток 2-й группы отмечалось умеренное количество коллагеновых волокон и отсутствие признаков хронического воспалительного процесса (табл. 1).
Таблица 1. Состояние слизитой оболочки маточных труб в сравниваемых группах (по результатам световой микроскопии с полутонких срезов)
Признаки, характеризующие состояние слизистой оболочки | Исследуемая группа (n=26) | Контрольная группа (n=15) |
Высота эпителия, μm | 12,5±0,4* | 27,5±2,3 |
Цилиарный индекс, % | 29,6±1,7* | 73,3±1,8 |
Зоны десквамации эпителия | Присутствуют | Отсутствуют |
Адгезия складок слизистой оболочки | Присутствует | Отсутствует |
Фиброз стромы подслизистой пластинки | Присутствует | Отсутствует |
Воспалительные клетки в подслизистой пластинке | Присутствуют | Отсутствуют |
* - р<0,001. | ||
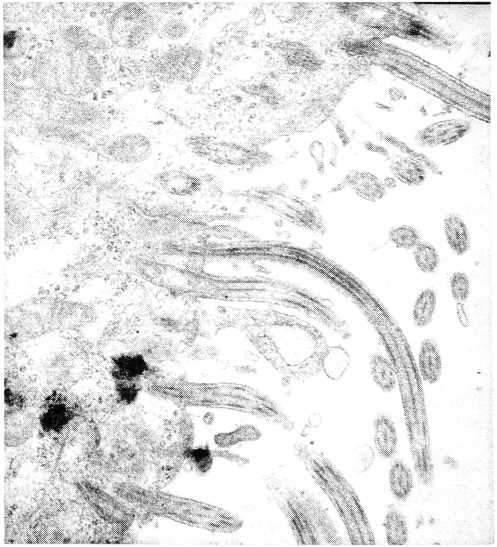
При исследовании ультраструктуры ресничек трубного эпителия у пациенток с ненарушенной репродуктивной функцией выявлено нормальное строение органел, которое описывается формулой (9×2)+2. Это означает, что в норме аксонема реснички образована 9-ю периферическими парами микротрубочек и одной центрально расположенной парой. Центральная пара микротрубочек окружена центральной оболочкой, от которой к периферическим дублетам расходятся радиальные спицы. Периферические дублеты связаны друг с другом мостиками нексина, а от микротрубочки А к микротрубочке В соседнего дублета отходят «ручки» из белка динеина, который обладает активностью АТФазы. Снаружи каждая ресничка покрыта плазмолеммой, которая в норме имеет ровную поверхность (рис. 6, 7).
Рис. 6. Ресничка (схема)
1 — продольный разрез, 2 — поперечный разрез, БТ — базальное тельце (образовано триадами микротрубочек), ЦОМТ — центр организации микротрубочек, БК — базальный корешок, ПЛ — плазмолемма, МТА — микротрубочка А, МТБ — микротрубочка В, ПМТ — периферические микротрубочки, ЦМТ — центральные микротрубочки, ЦО — централыюая оболочка, ДР — динеиновые ручки, PC — радиальные спицы, НМ — нексиновые мостики (В.Л. Быков, 2002)
Рис. 7. Продольный и поперечный срез ресничек эндосальпинкса.
На поперечных срезах ресничек видна типичная организация микротрубочек (9+2)+2. Реснички интактны, плазмолемма ресничек не повреждена. Электоронограмма, увеличение × 15000
У всех больных с гидросальпинксами при детальном исследовании ресничек трубногоэпителия при снижении общего их количества были выявлены также и аномалии строения. Так у 24 (92,3%) пациенток этой группы плазмолемма ресничек имела неравномерный характер, что, по-видимому, являлось причиной их слипания и слияния в большие конгломераты (рис. 9). Во всех препаратах исследуемой группы встречались реснички с нарушенной архитектоникой аксонемы. В некоторых ресничках дублеты были представлены только одной микротрубочной, а в некоторых — отсутствовали динеиновые «ручки». Во многих ресничках была выявлена дезорганизация нексиновых мостиков и радиальных спиц, что несомненно снижает двигательный потенциал киноцилии (рис. 8; табл. 2).
Рис. 8. Гидросальпинкс.
На поперечных срезах ресничек обнаруживается нетипичная организация микротрубочек (1): отсутствие одной пары периферических микротрубочек, дезорганизация микротрубочек в виде «разбегания» в цитоплазме реснички, что косвенно свидетельствует о нарушении белков, организующих их, — динеиновых ручек, нексиновых мостиков и радиальных спиц. Электронограмма, увеличение × 50000
Рис. 9. Гидросальпинкс.
Поперечные срезы ресничек, многие из которых имеют повреждение окружающей их плазмолеммы (1), приводящее к адгезии ресничек между собой. Электронограмма, увеличение ×70000
Таблица 2. Ультраструктура ресничек эпителия МТ в сравниваемых группах (по результатам трансмиссионной электронной микроскопии)
Признаки, характеризующие состояние ресничек | Исследуемая группа (n=26) | Контрольная группа (n=15) |
Степень адгезии ресничек между собой | Реснички слипаются, образуя конгломераты | Адгезия ресничек отсутсвует |
Состояние плазмолеммы | Поверхность неравномерная | Поверхность ровная |
Состояние аксонемы | Дезорганизация аксонемы: во многих ресничках отсутствуют нексиновые мостики и радиальные спицы, в некоторых дублетах нет второй микротрубочки и динеиновых «ручек» | 9 пар периферических микротрубочек и одна центрально расположенная пара, связанные между собой нексиновыми мостиками, динеиновыми «ручками» и радиальными спицами (9+2)+2 |
Обнаруженные изменения в строении киноцилий носят, по нашему мнению, вторичный характер и являются следствием длительно текущего хронического воспалительного процесса в эндосальпинксе, в результате которого развивается фиброз подслизистого слоя и стенок находящихся в нем сосудов, что в свою очередь неминуемо приводит к дистрофии эпителиальных клеток и нарушению процессов цилиогенеза.
После реконструктивно-пластических операций на маточных трубах среди пациенток сбесплодием наступило 2 беременности (7,7%). Обе беременности были внематочными и локализовались в прооперированных маточных трубах, в связи с чем потребовалось выполнение трубэктомии. При контрольной гистеросальпингографии через 1 год среди пациенток 1-й группы частота реокклюзии маточных труб составила 75% (18 из 24).
Заключение
Научно-практические работы, посвященные хирургическим методам лечения трубноперитонеального бесплодия, главным образом сводятся к различным методологическим подходам восстановления проходимости маточных труб. При этом в меньшей степени уделяется внимание значимости морфологических изменений при патологии фаллопиевых труб и их функциональной реабилитации в послеоперационном периоде. В то же время в зависимости от микрохирургической техники или применения разных вариантов лапароскопии эффективность лечения (наступление беременности) варьируется в широких пределах — от 10 до 80%, тогда как восстановить проходимость маточных труб при дистальной окклюзии удается в 70-95% случаев.
В нашем исследовании такой невысокий результат (7,7%) возникновения беременности и в обоих случаях — внематочной, — не вызывает энтузиазма. С одной стороны, непродолжительность наблюдения — чуть больше года (зачатия можно ожидать и в последующее время), а также незначительная выборка для анализа (всего 26 наблюдений) безусловно не могут претендовать на бесспорную достоверность. Однако такой высокий процент неудач вполне объясним из полученных материалов, что в свою очередь свидетельствует о том, что задача исследования выполнена.
Анализируя полученные результаты, можно сделать вывод о том, что образование гидросальпинксов сопровождается развитием выраженных необратимых изменений эпителия маточной трубы и субэпителиальной пластинки, которые носят дистрофический характер.
Выявленные изменения эпителия маточных труб у пациенток данной категории заключаются в достоверном снижении высоты эпителиальных клеток, снижении цилиарного индекса, в активизации процессов десквамации эпителия, а также адгезивных процессов, в результате которых происходит слипание складок эпителиального покрова, что несомненно ведет к сужению функционального пространства внутри ампулярного отдела маточной трубы. В результате изучения ультраструктуры киноцилий при данной патологии обнаружены изменения, связанные с нарушением архитектоники аксонемы, которые характеризуются дезорганизацией микротрубочек и связующих их белков, что несомненно ведет к снижению их двигательной активности, а также плазмолеммы, в результате нарушения поверхностного рельефа которой происходит адгезия ресничек между собой и слияние их в большие конгломераты.
При исследовании подслизистого слоя отмечалась чрезмерно развитая сеть коллагеновых волокон и большое количество фибробластов, что свидетельствовало о фиброзе подслизистого слоя, признаки которого присутствовали и в стенках сосудов, питающих его. Клеточные маркеры хронической воспалительной реакции (тканевые макрофаги и гистиоциты), обнаруженные среди коллагеновых волокон и клеток стромы, подтверждают воспалительную этиологию выявленных изменений.
Подводя итог данному исследованию, следует подчеркнуть, что обнаруженные ультраструктурные и микроскопические изменения эндосальпинкса у больных с гидросальпинксами подтверждают функциональную неполноценность маточных труб, обусловленную выраженными необратимыми изменениями дистрофического характера. Нарушение сложной архитектоники слизистой ампулярного и фимбриального сегментов маточной трубы вследствие хронического воспалительного процесса, эндометриоза, а также при травмах во время операций, являются, по нашему мнению, причиной низкой эффективности реконструктивно-пластических операций на дистальном отделе маточных труб.
Таким образом, чисто механическое восстановление проходимости маточных труб без попытки восстановления функции становится малоперспективным. Следовательно, наличие у больных с трубно-перитонеальным бесплодием длительно существующих и рецидивирующих гидросальпинксов больших размеров является показанием для выполнения тубэктомии в целях подготовки к ЭКО.
Об авторах
П. В. Лятошинская
Военно-медицинская академия
Email: info@eco-vector.com
кафедра акушерства и гинекологии им. А.Я. Крассовского
Россия, Санкт-ПетербургЕвгений Федорович Кира
Институт усовершенствования врачей при НМХЦ им. Н.И. Пирогова М3 РФ
Email: info@eco-vector.com
доктор медицинских наук, профессор, кафедра женских болезней и репродуктивного здоровья
Россия, МоскваВиталий Фёдорович Беженарь
Военно-медицинская академия
Email: info@eco-vector.com
доктор медицинских наук, профессор, заведующий кафедрой акушерства и гинекологии им. А.Я. Крассовского
Россия, Санкт-ПетербургА. П. Новожилова
Военно-медицинская академия
Автор, ответственный за переписку.
Email: info@eco-vector.com
кафедра акушерства и гинекологии им. А.Я. Крассовского
Россия, Санкт-ПетербургСписок литературы
- Быков В.Л. Цитология и общая гистология.— СПб., 2002.- 520 с.
- Глуховец Б.И., Лебедев С.С., Ухов Ю.И. Особенности микрососудистого русла маточных труб у женщин//Арх. анат., гистология и эмбриология.— 1982.— Т. 82, № 5.- С.51-55.
- Bonilla-Musoles F., Ferrer-Barriendes J., Pellicer A. Makroscopische, microscopische und ultramicroscopische Anatomie und Nukleinsaure-Synthese der Tuba Fallopii//In: Inthraphavasak J., Pellicer A., Bonilla-Musoles F. Mikrochirurgie des Eileiters. Physiologie, Pathologie und Operationstechnik. Schattauer, Stuttgart — 1990.— P. 9-56.
- Brokelmann J. Funktionelle Morphologie des Eileiters//Arch. Gynecol. Obstet.— 1989.— Vol. 245.— P. 391-395.
- Brosens I.A., Vasques G. Fimbrial microbiopsy//Journal of reproductive medicine.— 1976.— Vol. 16.— P. 171-178.
- Denschlag D., Keck C. IVF versus Tubenchirurgie//Reproduktionsmedizin.— 2002.— N 2.— P. 66-72.
- Forman A., Anderson K.-E., Maigaad S. Concentration and contractile effects of substance P in the human ampullareisthmic junction//Acta Physiologica Scandinavica.— 1985.- Vol. 124.- P. 17-23.
- Frederichs C.M. Morphological and functional aspects of the oviductal epithelium//In: Siegler A.M. The fallopian: basik studies and clinical contributions.— Futura, New York.— P. 67—80.
- Gauwerky J.F.H. Rekonstruktive Tubenchirurgie.— 1999.
- Halbert S.A., Szal S.E., Broderson S.H. Anatomical basis of
- a passive mechanismus for ovum retention at the ampulloisthmic junction//Anat. Rec.— 1988.—Vol.221.- P. 841-845.
- Vasques G., Boeckx W., Brosens I. Prospective study of tubal mucosal lesions and fertility in hydrosalpinges//Human Reproduction.— 1995.— Vol. 10.— P. 1075-1078.
Дополнительные файлы











