Дифференциальная ультразвуковая диагностика изменений эндометрия у женщин репродуктивного возраста
- Авторы: Шарова Л.Е.1, Сафронова М.М.1
-
Учреждения:
- Медицинская академия последипломного образования М3 РФ
- Выпуск: Том 53, № 2 (2004)
- Страницы: 36-40
- Раздел: Оригинальные исследования
- Статья получена: 15.03.2004
- Статья одобрена: 13.11.2021
- Статья опубликована: 15.03.2004
- URL: https://journals.eco-vector.com/jowd/article/view/87954
- DOI: https://doi.org/10.17816/JOWD87954
- ID: 87954
Цитировать
Полный текст
Аннотация
В работе представлены результаты исследования 294 женщин с клиническими проявлениями нарушения менструального цикла в виде дисфункциональных изменений в эндометрии, напоминающих полипы. Для уточнения характера патологии использована функциональная фармакодинамическая проба с окситоцином (Российский патент на изобретение № 2126653). После постановки диагноза и назначения соответствующей корригирующей гормональной терапии в течение 3-6 месяцев наблюдалось восстановление эхографической картины эндометрия в соответствии с фазой менструального цикла.
Ключевые слова
Полный текст
Введение
Статья посвящена изменениям в эндометрии функционального характера и их дифференциальной диагностике с различными патологическими процессами. В настоящее время лидирующее место в изучении патологии эндометрия по праву занимает эхография, как информативный, простой, неинвазивный и широко доступный метод лучевого исследования. Проведение рентгеновской гистеросальпингографии (РГСГ), а также гистероскопии (ГС) сопряжено с рядом трудностей различного характера: инвазивностью методик, необходимостью анестезиологического пособия и лучевой нагрузкой на гонады при РГСГ. В связи с этим в последние годы активно проводится поиск неинвазивных методов, способных улучшить точность диагостики патологии эндометрия с помощью эхографии и целенаправленно выбрать группу пациенток для углубленного обследования.
Целью нашей работы явилось изучение возможностей УЗ метода в диагностике функциональных изменений эндометрия. Значение УЗИ в этой области расширено нами за счет применения функциональной фармакодинамической пробы (ФФДП). При отсутствии противопоказаний (беременность, послеоперационные рубцы на матке), после проведения УЗИ (трансабдоминальное или трансвагинальное) назначается раствор окситоцина в дозе 5 ЕД сублингвально, однократно, и через 1—2 минуты проводят повторное УЗИ. Регистрация изображения изучаемых отделов матки при этом в сравнительном аспекте (до и после введения окситоцина) производится в режиме сканирования — «2В», когда в левом поле монитора замораживается «изображение» отдела матки до введения окситоцина, а в правом — фиксируется изображение идентичного участка матки, но уже после начала действия препарата на миометрий. После введения окситоцина появляются сокращения гладкомышечных элементов стенок матки, позволяющие сравнивать изучаемые ее отделы (эндометрий, миометрий) до и после его введения (Российский патент на изобретение № 2126653).
Материалы и методы исследования
УЗИ органов малого таза с применением ФФДП было выполнено 314 женщинам в возрасте от 18 до 45 лет. Средний возраст составил 38±2,5 года. Контрольная группа была представлена 20 пациентками, у которых по результатам комплексного обследования в эндометрии и полости матки патологии выявлено не было. Эхографическое исследование проводилось с 9 по 14-й и с 21 по 24-й день менструального цикла (МЦ); при необходимости повторное УЗИ (126 человек) осуществлялось после окончания менструации на 4—6-й день МЦ. У всех пациенток брался аспират из полости матки. Раздельное диагностическое выскабливание (РДВ) стенок полости матки выполнено 16-ти женщинам с подозрением на полипы эндометрия. 120 пациенток обследованы в динамике после корригирующей гормональной терапии (КГТ), которая проводилась в течение 3—6 месяцев. ГС выполнена 30-ти женщинам. Гистерэктомия по поводу рака эндометрия проведена 3 пациенткам.
Исследования осуществлялись при помощи УЗ диагностического аппарата Logik-500 (GE). В режиме серой шкалы оценивались форма полости матки, наличие ее деформации, четкость контуров эндометрия, соответствие эхогенности и структуры последнего фазе МЦ, а также характера содержимого полости матки при ее расширении. При выявлении образования в полости матки определялась локализация, размеры, контуры, связь со стенками матки, оценивалась эхоструктура, характер кровотока в самом образовании, его основании и прилежащих отделах эндометрия и миометрия. Для оценки сосудистого рисунка эндометрия использовались режимы энергетического картирования (ЭК) и цветового допплеровского картирования (ЦДК). Верификация осуществлялась по данным пато- морфологического исследования материала, полученного из полости матки в результате РДВ или путем взятия аспирата; ГС и гистерэктомии. Исследование гормонов (пролактин, ЛГ, ФЛГ, Е2, прогестерон) на 2—3 день МЦ проведено до и после КГТ 134 женщинам.
Результаты исследования
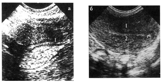
Из 314 обследованных женщин изменения в эндометрии были выявлены у 294 (93,63%). Гиперплазия и полипы эндометрия встретились у 20 (6,37%) женщин, рак эндометрия наблюдался в 3 (0,96%) случаях, субмукозные миомы матки были выявлены у 32 (10,19%) пациенток. У остальных 239 (76,11%) женщин с клиническими проявлениями НМЦ в эндометрии наблюдались локальные участки железистой или железистокистозной гиперплазии. Возраст пациенток составил от 21 до 45 лет (средний возраст 37,5 года). Женщины предъявляли жалобы на: увеличение продолжительности менструации, обильные менструации, кровомазанье в середине цикла. В эндометрии определялись гиперэхогенные дисфункциональные образования — локальные участки гиперплазии (ЛУГ); в яичниках выявлялись фолликулярные кистовидные образования от 6 до 15 мм и фолликулярные кисты от 25 до 40 мм в диаметре. Образования в эндометрии были одиночными в 231 (96,65%) случаях и множественными в 8-ми (3,35%) наблюдениях. Размер ЛУГ в наибольшем измерении (длинник) составлял от 2,6 до 0,4 см в среднем (1,2±0,4 см), в наименьшем (поперечник) — от 1,2 до 0,3 см (в среднем 0,6±0,3 см). Располагались они центрально — в середине полости матки (рис. 1) или в ее дне (рис. 2) по срединной линии соприкосновения передней и задней стенок матки (средняя из трех гиперэхогенных линий) — структура эндометрия имела сниженную эхогенность, соответствующую пролиферативной фазе (рис. 1, 2), но с разной степенью влияния секреторной фазы. Эхогенность образований была высокой — соответствующей эхогенности эндометрия в секреторную фазу.
Рис. 1. Больная К. 36 лет. 11 день МЦ.
ЛУГ в эндометрии в середине полости матки. Продольное ТВ-сканирование. 1 — матка, 2 — М-эхо с ЛУГ (УЗ картина напоминает одиночный полип эндометрия)
Контуры ЛУГ были ровные, четкие, как бы подчеркнутые, каждое из образований было окружено тонкой равномерной по толщине гиперэхогенной полоской, которая «как бы» огибала его с двух сторон и плавно переходила в неизмененный центральный отдел эндометрия — срединную гиперэхогенную линию (см. рис. 1, 2).
Рис. 2. Больная С. 35 лет. 13 день МЦ.
ЛУГ в эндометрии в дне полости матки. Продольное ТВ-сканирование. 1 — матка, 2 — М-эхо с ЛУГ (УЗ картина напоминает одиночный полип эндометрия)
Этот признак прослеживался как в 1-ю, так и во 2-ю фазы МЦ (рис. За) у всех 232 женщин. Форма ЛУГ была правильная: округлая или овальная, структура — однородной, без наличия кровотока как в центре, так и по его периферии. При исследовании на 4-6 день МЦ (рис. 3б) отмечалось значительное уменьшение образования до 0,6—0,2 см (по длиннику) и до 0,3—0,2 см (по поперечнику). Однако к 8-10 дню МЦ образование в эндометрии имело ту же форму и размеры и практически не менялось до наступления следующей менструации.
Рис. 3а-б.
Рис. 3а. Больная А. 39 лет. 22 день МЦ.
Большой ЛУГ в эндометрии в середине полости матки. Продольное ТВ-сканирование. 1 — матка, 2 — М-эхо с ЛУГ, находящегося в центре полости матки (УЗ картина напоминает большой одиночный полип эндометрия)
Рис. 3б. 5 день МЦ.
Маленький ЛУГ в эндометрии в дне полости матки. Продольное ТВ-сканирование. 1 — матка, 2 — М-эхо с мелким до 3 мм в диаметре ЛУГ
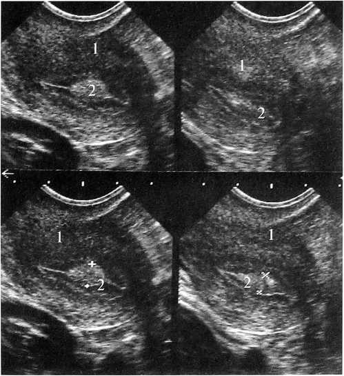
Рис. 4а. Рис. 4б.
Рис. 4а. Больная К. 35 лет. 11 день МЦ.
Два «замороженных» изображения матки до введения окситоцина. ЛУГ в эндометрии в середине полости матки. Продольное ТВ-сканирование: 1 — матка, 2 — М-эхо с ЛУГ
Рис. 46.
Два изображения матки после начала действия окситоцина. Изменение формы ЛУГ в эндометрии при сокращении стенок матки. Продольное ТВ-сканирование: 1 — матка, 2 - М-эхо с ЛУГ
При проведении ФФДП (рис. 4, 5) на фоне сокращения стенок матки отмечалось изменение формы образования из округлой — в удлиненную, с наличием заострений в месте перехода в неизмененный центральный отдел эндометрия, представляющий собой место соприкосновения передней и задней стенок полости матки (рис. 1, 2, 4, 5). У пациенток этой группы была выявлена тенденция к повышению пролактина, который на 3 день МЦ составлял от 344 до 620 мМЕ/л, ФСГ и ЛГ соответствовали верхней границе нормы, Е2 и прогестерон были не изменены. При проведении гистологического исследования эндометрия на 20—25 день МЦ были получены следующие данные: эндометрий пролиферативной или секреторной фаз с расширением просвета желез разной степени выраженности (железистая гиперплазия), в ряде случаев с наличием кистозно-расширенных желез (железисто-кистозная гиперплазия). В цитограмме аспирата диагностированы крупные пласты эндометрия пролиферативного или секреторного типа (иногда с множеством желез), без признаков атипии. При проведении ГС в полости матки определялся одиночный участок эндометрия в виде неравномерно утолщенной складки, выступа бледно-розового или красного цвета — зона локальной, очаговой функциональной гиперплазии.
Рис. 5а. Рис. 5б.
Рис. 5. Больная Т. 30 лет. 11 день МЦ.
Эндометрий соответствует пролиферативной фазе, с выраженным влиянием секреторной фазы, большой ЛУГ в середине полости матки. Продольное ТВ-сканирование: 1 — матка, 2 — М-эхо с ЛУГ; ФФДП а) — до введения окситоцина; б) — после введения окситоцина (УЗ картина напоминает одиночный крупный полип эндометрия)
Всем 120 пациенткам с ЛУГ в эндометрии (рис. 6) была назначена КГТ (бромокриптин,жанин, мерсилон, дюфастон, норколут). Через 3—6 месяцев после проведения КГТ при нормализации гормонального фона — у всех обследованных в эндометрии не определялись ЛУГ; эндометрий был однородным.
- Ультразвуковые признаки полипа эндометрия: чаще располагается в дне полости матки, занимает менее половины объема полости матки; образование овоидной форма, четко отграниченное от окружающего эндометрия, располагается на широком основании или узкой «ножке», отмечается деформация места смыкания передней и задней стенок матки, эхогенность образования повышена [1], не выявляется «псевдокапсула» и питающий сосуд по периферии образования, отмечается наличие сосудистой ножки [3, 4], васкуляризация ткани полипа с ИР, равным 0,5—0,6 [5], нет изменения размеров и формы образования в зависимости от фазы МЦ и при ФФДП, не наблюдается регресс образования в менопаузе.
- Ультразвуковые признаки полиповидной формы рака эндометрия (возраст чаще 40—55 лет):отмечается наличие жидкости в полости матки, образование округлой или неправильной формы с неровными контурами на широком основании, чаще более высокая эхогенность по сравнению с миометрием, нечеткая граница между образованием и окружающим миометрием, структура неоднородная (некрозы), отсутствует «псевдокапсула» и питающий сосуд по периферии, неоваскуляризация в центре образования с низким уровнем кровотока (ИР<0,43) при ЦДК и ЭД [4, 5], отсутствует изменение размеров образования в разные фазы МЦ, отмечается рост
Дифференциальная диагностика
Существуют рекомендации о проведении повторного УЗИ в начале 1-й фазы МЦ для исключения таких патологических процессов, как гиперплазия эндометрия, субмукозные миомы, полипы и рак эндометрия, при выявлении в периовуляторной фазе неоднородности структуры эндометрия, напоминающей полипы [3]. При проведении дифференциальной диагностики следует учитывать следующие дифференциально-диагностические критерии:
- Ультразвуковые признаки субмукозной миомы (возраст чаще 35—45 лет): чаще занимают более половины объема полости матки, образование правильной округлой формы с ровными контурами на широком основании или узкой ножке, образование изоэхогенно окружающему миометрию в репродуктивный период и гиперэхогенное — в менопаузальный, структура достаточно однородная, определяется «псевдокапсула» и питающий сосуд по периферии [2], определяется изменение размеров и формы образования в разные фазы МЦ, при ДН и ФФДП, наблюдается регресс образования в менопаузе.
Рис. 6а. Рис. 6б.
Рис. 6. Та же больная. 11 день МЦ, через три месяца после приема КЭТ (бромокриптин).
Эндометрий соответствует пролиферативной фазе, без влияния секреторной фазы. Продольное ТВ-сканирование: 1 — матка, 2 — М-эхо без ЛУГ; а) — до введения окситоцина; б) — после введения окситоцина образования при ДН, отсутствие изменения формы и размера при ФФДП.
- Ультразвуковые признаки ЛУГ (локальные участки гиперплазия эндометрия): правильная округлая или овоидная форма образования, четкие как бы подчеркнутые его контуры, высокая эхогенность, отсутствие псевдокапсулы и питающего сосуда по периферии образовании, отсутствие кровотока внутри образования, отсутствие широкого основания или узкой ножки, изменение формы и размеров образования в разные фазы МЦ, при ДН и при ФФДП; в 1 фазу МЦ в эндометрии признаки влияния 2 фазы, а во 2 фазу МЦ — признаки влияния 1 фазы.
С учетом всех выше перечисленных дифференциально-диагностических критериев при проведении эхографического исследования с проведением ФФДП с достаточной степенью вероятности можно сделать вывод о наличии органической патологии в эндометрии или о функциональном характере изменений.
Заключение
Изменения в эндометрии в виде ЛУГ носят функциональный характер и являются следствием гормонального дисбаланса у женщин репродуктивного возраста при нарушениях МЦ. Назначение КГТ позволяет нормализовать гормональный дисбаланс, что приводит к восстановлению эхографической картины эндометрия в соответствии с фазой МЦ.
Выводы
- При выявлении ЛУГ в эндометрии необходимо проведение ФФДП.
- Применение ФФДП позволяет провести дифференциальную диагностику между органическими поражениями эндометрия и его функциональными изменениями без использования режимов ЦДК и ЭД, а также повторного обследования пациентки на 4—6 день МЦ.
- При наличии ЛУГ в эндометрии необходимо исследование гормонального баланса половых стероидов с назначением КГТ.
Об авторах
Лидия Евгеньевна Шарова
Медицинская академия последипломного образования М3 РФ
Автор, ответственный за переписку.
Email: info@eco-vector.com
профессор кафедры рентгенологии, доктор медицинских наук
Россия, Санкт-ПетербургМарианна Михайловна Сафронова
Медицинская академия последипломного образования М3 РФ
Email: info@eco-vector.com
кафедра репродуктивного здоровья женщины
Россия, Санкт-ПетербургСписок литературы
- Демидов В.Н., Гус А.И.//Патология полости матки и эндометрия. - М., 138 с.
- Митъков В.В., Медведев М.В.//Клиническое руководство по ультразвуковой диагностике. — М., 1997. — Т. 3.—С. 91-118.
- Озерская И.А., Агеева М.И.//Ультразвуковая и функциональная диагностика. - 2002. — № 3. — С. 109—114.
- Федорова Е.В., Липман А.Д. Применение цветового допплеровского картирования и допплерометрии в гинекологии. — М.: Видар. 2002.— С. 32_41.
- Kurjak A., Kupesic S.//Color doppler in Obstetrics, ginecoloqy and infertility. - Zagreb — Seoul, 1999. — P. 36-49.
Дополнительные файлы








