Shistozomatous salpingitis as a course for primary tubal- peritoneal infertility: A case report
- Authors: Kira E.F.1, Guriev A.V.1, Povzun S.A.1
-
Affiliations:
- Russian Military Medical Academy
- Issue: Vol 48, No 1 (1999)
- Pages: 86-88
- Section: Case report
- Submitted: 15.02.1999
- Accepted: 18.11.2021
- Published: 15.02.1999
- URL: https://journals.eco-vector.com/jowd/article/view/88659
- DOI: https://doi.org/10.17816/JOWD88659
- ID: 88659
Cite item
Full Text
Abstract
The clinical case of shistozomatous salpingitis, that has become the course for primary tubal-peritoneal infertility is shown. Such diseases are rather rare for european countries, but widely spread in southern countries among women.
Full Text
Воспалительный процесс в области придатков матки является наиболее частой причиной трубного бесплодия у женщин. Среди этиологических факторов облитерации маточных труб и нарушения их транспортной функции нередко встречаются хламидийные, анаэробные, трихомонадные, гонококковые сальпингооофориты. Однако наблюдаются случаи хронического сальпингита, обусловленного патогенным действием редких для европейского населения простейших, например шистозом. Эти возбудители относятся к типу плоских червей Plathelmintes, классу Trematoda, семейству Schistosomatidae, которые вызывают шистозоматозы - группу тропических гельминтозов (трематодозов), характеризующихся поражением преимущественно мочеполовых органов, желудочно-кишечного тракта и склонностью к хроническому течению [2].
Мы представляем одно клиническое наблюдение первичного трубного бесплодия, обусловленного шистосоматозным хроническим сальпингитом.
Больная К. (урожденная Йеменской Арабской Республики) поступила в клинику акушерства и гинекологии ВМедА 1 апреля 1991 г. с жалобами на отсутствие беременности в течение 10 лет замужества.
Из анамнеза известно, что пациентка в 1980 г. перенесла двусторонний острый аднексит. В последующие годы неоднократно обследовалась и лечилась по поводу первичного бесплодия. Выполнялись гидротубации с лидазой, УВЧ, фонофорез с тиосульфатом натрия, проводили курсы ФИБС, стекловидного тела, противовоспалительной терапии и др. Консервативное лечение не привело к желаемому результату.
В апреле 1990 г. произведена гистеросальпингография, обе маточные трубы непроходимы в ампулярных отделах. По данным измерения базальной температуры тела, цикл двухфазный, овуляторный.
Спермограмма мужа в пределах нормы.
Соматический статус без особенностей, со стороны внутренних органов патологических изменений не выявлено.
Гинекологическое исследование: наружные половые органы развиты правильно, оволосение по женскому типу, выделения незначительные слизистые. Влагалище узкое, слизистая оболочка розового цвета. Влагалищная часть шейки матки конической формы, плотноэластической консистенции, покрыта неизмененным эпителием, наружный зев точечный, плотно закрыт. Матка в anteflexio - anteversio, не увеличена, подвижная, безболезненная, плотноватой консистенции незначительно отклонена вправо. В области придатков матки с обеих сторон определяется незначительная болезненность, умеренные инфильтративные изменения. Своды влагалища глубокие, свободные.
Предположительный диагноз: хронический двусторонний сальпингооофорит в стадии ремиссии. Первичное трубное бесплодие.
С целью восстановления анатомической проходимости и функциональной способности маточных труб 4 апреля 1991 г. производится операция: двусторонний сальпингоовариолизис, правосторонняя сальпингонеостомия, резекция 1 /3 обоих яичников. В правую маточную трубу был поставлен микроирригатор, наружный конец которого был выведен на переднюю брюшную стенку для проведения ретроградных гидротубаций.
Послеоперационный период протекал без особенностей. Швы на передней брюшной стенке были сняты на 7-е сутки, заживление первичным натяжением. Проводилось симптоматическое лечение, физиотерапевтические процедуры (общее УФО, ультразвук с террилитином), профилактика спаечного процесса путем ретроградных гидротубаций через микро-ирригатор. Лабораторные показатели крови и мочи в пределах нормы.
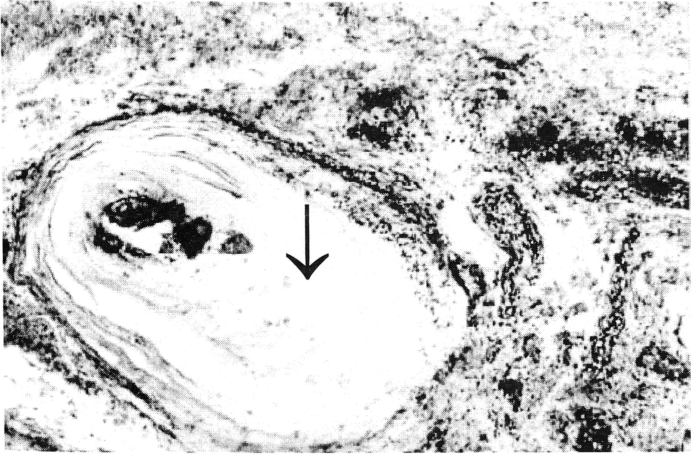
При гистологическом исследовании удаленного фрагмента стенки маточной трубы были выявлены склеротические изменения в строме ворсин слизистой и в мышечной оболочке (см. рис. 1). Кроме того, в мышечной оболочке найдены множественные петрификаты, а также яйца гельминтов (см. рис.2). Яйца имели характерную овоидную форму, размеры до 0,17x0,08 мм, были окружены зоной гиалинизированной ткани с немногочисленными макрофагами по периферии. Часть яиц была обызвествлена. На этом основании диагностирован мочеполовой шистосоматоз.
Рис. 1. Склеротические изменения в стенке маточной трубы (см. стрелку). Окраска гематоксилином и эозином, ув. х100.
Рис. 2. Обызвествленные яйца шистозом в стенке маточной трубы образуют конгломерат, окруженный гиалинизированной фиброзной тканью - так называемые «песчаные пятна» (см. стрелку). Окраска гематоксилином и эозином, ув. х100.
Заражение мочеполовым шистозоматозом, вызываемым гельминтом S chistosoma haematobium, происходит, как правило, во время купания в водоемах со стоячей водой или медленным течением. Личинки гельминта внедряются через кожные покровы, а далее в форме шистосомул паразит проникает в кровеносное русло. Наилучшие условия для существования гельминтов имеются в ветвях воротной вены.
В них паразит достигает такой фазы развития, когда возникает различие пола. Половозрелые и оплодотворенные самки покидают самцов и из печеночных сосудов направляются в вены таза и околопузырного сплетения.
В венулах подслизистого слоя мочевого пузыря, в тканях гениталий шистосомы откладывают яйца в виде овоидных образований с включениями в форме глыбок и вакуолей. Полагают, что яйца из сосудов могут перемещаться в ткани либо за счет имеющегося на одном из полюсов шипика (в тканевых срезах он не прослеживается), либо за счет выделения протеолитических ферментов созревающим в яйце зародышем. Яйца окружаются лейкоцитарным валом со значительным количеством эозинофилов. В дальнейшем в этих участках отмечается рубцевание [1].
Именно это рубцевание лежит в основе характерного для моче- полового шистозоматоза, деформирующего стенку органа диффузного и очагового фиброза. Обызвествленные яйца шистосом образуют крупные конгломераты, окруженные гиалинизированной соединительной тканью (так называемые «песчаные пятна»), которые были обнаружены в данном наблюдении в стенке маточной трубы. По данным H.M.Gilles (1987) [3], хронический сальпингит с сужением просвета маточных труб, не специфическое воспаление и гранулематоз яичника с исходом в склероз являются типичными для мочеполового шистозоматоза. В резецированных участках яичников в нашем наблюдении патологии не выявлено.
После установления диагноза по данным гистологического исследования больной назначена противогельминтная терапия.
About the authors
E. F. Kira
Russian Military Medical Academy
Author for correspondence.
Email: info@eco-vector.com
Russian Federation, St. Petersburg
A. V. Guriev
Russian Military Medical Academy
Email: info@eco-vector.com
Russian Federation, St. Petersburg
S. A. Povzun
Russian Military Medical Academy
Email: info@eco-vector.com
Russian Federation, St. Petersburg
References
Supplementary files




