Immunomorphological condition of placentas in women with repeated pregnancy losses under action of different antigens
- Authors: Zubgitskya L.B.1,2, Kosheleva N.G.1,2, Arganova O.N.1,2, Bespalova T.P.1,2, Gromiko G.L.1,2, Shapovalova Е.А.1,2, Tishkevich О.V.1,2
-
Affiliations:
- Research Institute of Obstetrics, Gynecology and Reproductology named after D.O. Ott
- State Medical University named after acad. I.P. Pavlova
- Issue: Vol 51, No 2 (2002)
- Pages: 43-49
- Section: Scientific activity
- Submitted: 14.04.2002
- Accepted: 14.12.2021
- Published: 14.04.2002
- URL: https://journals.eco-vector.com/jowd/article/view/90390
- DOI: https://doi.org/10.17816/JOWD90390
- ID: 90390
Cite item
Abstract
The aim of the research was to investigate the pathomorphological changes in placentas of women with recurrent pregnancy losses under action of different injuring stimulus (infection, hormonal, biochemical reactions on membrans of syncytiotrophoblast and endothelium of placental vessels, actions of antiphospholipid antibodies). Identical changes was detected which connected with immune complexes (IC) formation. IC with different composition generate immunopathological processes in placental tissues. Present of antiphospholipid antibodies on placental membranes enhancing immunopathological processes, leading to dystrophic and necrotic lesions in surrounding tissues and to placental insufficiency. The outcome of this lesions is incompetent pregnancy.
Therefore IC may be the marker of placental injury and insufficiency as well as a biologic indicator of failure in reproductive system.
The treatment of threatened abortion is improve pregnancy outcomes and immunomorphological evidence.
Full Text
Невынашивание беременности является распространенной патологией. Причины невынашивания беременности (НБ) разнообразны. Наиболее часто к досрочному прерыванию беременности приводят инфекционные заболевания матери, особенно урогенитальная инфекция и гормональные нарушения [1, 3].
В настоящее время активно изучается роль аутоиммунных процессов и наличия антифосфолипидных антител в патогенезе НБ.
Известна важная патогенетическая роль иммунных реакций организма в возникновении и развитии ряда заболеваний. По современным представлениям, циркулирующий иммунный комплекс (ИК) принимает участие в патогенезе развития болезни в том случае, если, откладываясь в тканях, вызывает диффузное или локальное их повреждение за счет активации системы комплемента (ПИК) [5, 7].
Результатами инфекционных поражений половых путей у женщин, в частности хламидийной этиологии, является бесплодие, внематочная беременность, спонтанные аборты, преждевременные роды. НБ при этом связано с развитием воспаления в плаценте, что может приводить к инфицированию плода и его гибели [4].
Одним из факторов, вызывающих патологию беременности, является антифосфолипидный синдром (АФС) [11]. Роль антифосфолипидных антител (АФЛ) [12] в развитии акушерской патологии изучена недостаточно. Рецидивирующие тромбозы артериальных и венозных сосудов, тромбоцитопения и неблагоприятные исходы беременности (привычное невынашивание, неразвивающаяся беременность, антенатальная гибель плода, гипотрофия плода) служат основными клиническими симптомами антифосфолипидного синдрома [10]. Лабораторными признаками АФС являются обнаружение в сыворотке крови больных IgG или ІдМ антител к кардиолипину (АКЛ) [13]. Диагноз АФС основывается на наличии у больного одного клинического симптома и умеренного или высокого уровня АКЛ. Вместе с тем, стимулами к продукции АФАт могут служитъ некоторые вирусы и бактерии. Даже при латентном течении инфекционного процесса в организме больного продуцируются ряд аутоантител (аАТ), в том числе — антиидиотипических к антителам, продуцируемым в ответ на возбудителя. Данные аАТ могут перекрестно реагировать с АФЛ и оказывать влияние на механизмы свертывания крови в различных сосудистых регионах, в том числе — в плаценте [12].
В настоящее время недостаточно изучены иммунопатологические процессы, происходящие в плаценте у женщин с АФАт.
Важными патогенетическими факторами невынашивания беременности являются гормональные нарушения репродуктивной системы, в частности гиперандрогения (ГА) [1].
В последние годы достигнуты определенные успехи в вопросах патогенеза, диагностики и лечения гиперандрогении [6]. Вместе с тем, влияние иммунопатологических процессов, происходящих в плаценте на невынашивание беременности у женщин с гипе-рандрогенией (ГА) изучено недостаточно.
Плацента является уникальным органом, обеспечивающим рост и развитие плода. Ее недостаточность часто приводит к невынашиванию беременности [8, 9].
Недостаточная изученность роли иммунной системы в патогенезе невынашивания беременности при действии инфекционных факторов и наличия АФАт в крови беременных привела к необходимости исследования иммунологических реакций у женщин с данными нарушениями.
Цель работы: изучить иммуноморфологическое состояние плацент у женщин, страдающих привычным невынашиванием беременности с учетом причин НБ и исходов беременности.
Материалы и методы
Изучение плацент проведено в 5 группах женщин:
I гр. — 80 женщин с генитальным хламидиозом, II гр. — 79 женщин с наличием АФАТ, III гр. — 34 женщины с двойнями, IV гр. — 23 женщин с гипер-андрогенией, V гр. — 30 женщин с неосложненным течением беременности.
Возраст женщин колебался от 18 до 37 лет. У всех женщин беременность осложнилась угрозой прерывания.
Изучение биопсийного материала плацент проводилось с использованием иммуноморфологического, иммуногистохимического, электронномикроскопического, электронноиммуногистохимического методов исследования.
Иммуноморфологическое исследование плацент проводили с использованием прямой иммунофлюорисценции с применением сывороток против фибриногена и С3 фракции комплемента с титром (1:24), меченых ФИТЦ (производство НИИ эпидемиологии и микробиологии им. Н.Ф. Гамалеи), моноклональных антител против глобулинов А, М, G, меченных ФИТЦ, с титром (1: 10) — производство фирмы «Протеиновый контур», С. -Петербург. Исследование плацент проводили на криостатных срезах толщиной 5 мкм с последующей их обработкой по методу Gronenberger,1988 и просмотром в люминесцентном микроскопе МЛ-4. Интенсивность люминесцентного свечения криостатных срезов плаценты, внеплацентарных оболочек, а также плацент женщин группы сравнения (в относительных единицах), проведены на микроскопе Люмам И6-1 (фирма ЛОМО, С.-Петербург). Для электронномикроскопического исследования плаценты ипользовали стандартные методы исследования. Гистологическое исследование проводили по общепринятой методике.
Для выявления АКЛ в сыворотке крови применяли иммунофлюоресцентный метод количественного определения антител. Исследование проводили на криостатных срезах предсердий быка толщиной 5 мкм, которые фиксировали на холоде в метаноле. Срезы обрабатывали сывороткой крови беременных женщин в различных разведениях (1:10; 1:20; 1:40; 1:80) и моноклональными антителами против IgA IgG, ІдМ, меченных ФИТЦ. Препараты просматривали в люминесцентном микроскопе МЛ-4.
Результаты исследования и их обсуждение
Иммуноморфологическое исследование плаценты показало, что у здоровых беременных женщин ПИК в плаценте не обнаружен, отмечены лишь отдельные глобулины без фиксации С3 фракции комплемента.
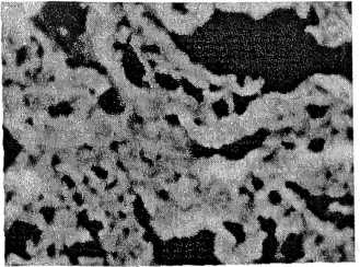
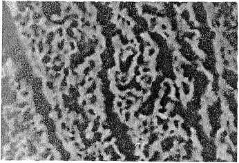
При наличии в половых путях беременных хламидийной инфекции (I группа) ПИК и фибриноген в плаценте обнаружен почти у половины женщин (табл. 1). Среди иммуноглобулинов в плацентах женщин с хламидиозом преобладали IgM и IgG (рис. 1,2).
Рис. 1. Локализация IgM в ворсинах хориона. Генитальный хламидиоз. Метод прямой иммунофлюорисценции. Увел. 450х
Рис. 2. Локализация IgG в ворсинах хориона. Генитальный хламидиоз. Метод прямой иммунофлюорисценции. Увел. 450х
При иммуноморфологическом исследовании внеплацентарных оболочек при наличии хламидийной инфекции найден фибриноген и ПИК с высокой степенью люминесцентного свечения, а также иммуноглобулины IgM, IgG, IgA.
Методом электронной микроскопии выявлен хламидийный антиген во всех отделах плацентарной ткани — в синцитиотрофобласте, децидуальной ткани. В просвете кровеносных сосудов обнаружены погибшие клетки, имеющие хламидийными тельцами в виде включений, что может служить доказательством гематогенного пути передачи хламидийного антигена от матери к плоду [4].
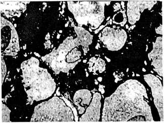
Результаты иммуноморфологического исследования плаценты женщин с хламидийной инфекцией показали, что Chlamydia trachomatis, обнаруженная в плаценте, вызывает развитие иммунопатологического процесса, связанного с образованием патогенных иммунных комплексов, фиксированных в плаценте и состоящих из сочетания иммуноглобулинов IgM+IgG+IgA и фибриногена с фиксацией С3 фракции комплемента (рис. 3).
Рис. 3. Специфическое свечение СЗ фракции комплемента в плаценте. Генитальный хламидиоз. Метод прямой иммунофлюорисценции. Увел. 450х
При гистологическом исследовании морфологические изменения носили характер микросимптоматики. В базальной пластинке и межворсинчатом пространстве отмечались скопления лимфоидных элементов, плазматических клеток и макрофагов (рис. 4).
Рис. 4. Скопление лимфоидных элементов, плазматических клеток и макрофагов. Полутонкий срез. Увел. 1650х.
Некоторые амниоциты, большие децидуальные клетки и синцитиальный эпителий ворсин хориона подвергались дистрофическим изменениям, нередко с вакуолизацией цитоплазмы. Такие изменения, наряду с очаговой гибелью синцитиотрфобласта и разрушениями базальных мембран ворсин хориона, выявлены при электронно-микроскопическом исследовании (рис. 5). В межворсинчатом пространстве отмечается диссоциированное созревание ворсин хориона, особенно в периферических отделах плаценты. В некоторых наблюдениях отмечен очаговый внеплацентарный хориоамнионит.
Рис. 5. Разрушение синцитиотрофобласта и утолщение базальной мембраны. Электронограмма. Увел. 12000х
Электронно-иммуногистохимическое исследование показывает локализацию C3 фракции комплемента на мембранах микроворсинок синцитиотрофобласта, что может вызывать разрушение мембран синцития и приводить к постепенному повреждению базальных мембран плацентарного барьера, создающего условия для проникновения инфекции в очаг воспаления [3, 4]. Повреждение мембранных структур плацентарного барьера при хламидийной инфекции способствует развитию плацентарной недостаточности.
В результате исследования в плацентах женщин II группы выявлен высокий процент фиксированных ИК, включающих С3 фракцию комплемента — в 97,3%, фибриноген — в 89,8%, IgA и ІgM -в 35,14%, IgG -в 45,95% случаев. В сыворотке крови этих женщин были выявлены АКЛ различных классов: 51,35% случаев к IgA, в 56,76% к ІgM, в 78,38% случаях к IgG. 70% женщин, у которых выявлен высокий уровень антител, имели крайне неблагоприятные исходы беременности (неразвивающаяся беременность, спонтанные аборты, антенатальная гибель плода).
Наличие высокого уровня антител к кардиолипину (классов IgA, IgM, IgG) в сыворотке крови беременных является неблагоприятным прогностическим признаком. По данным морфологического исследования, во всех случаях наличия фиксированных ИК в плаценте обнаружена хроническая субкомпенсированная плацентарная недостаточность.
Иммуноморфологическое исследование плацент женщин, страдающих надпочечниковой формой ГА (IV группа), выявило высокий уровень С3 фракции комплемента наиболее выраженный в периферических отделах плаценты (90,91%). При идентификации классов иммуноглобулинов в наибольшем количестве обнаруживали ІgM: 63,64% и 72,73% в центральной и периферической частях соответственно; 54,55% — в оболочках. IgG — 45,45% в плаценте и 27,27% в оболочках. При данной форме гормональных нарушений иммунопатологический процесс в плаценте вызывается иммунными комплексами с фиксацией С3 фракции комплемента и системой иммуноглобулинов IgM+IgG, что свидетельствует об острой форме иммунологического воспаления на фоне хронического процесса. При яичниковой форме ГА во всех отделах плаценты и во внеплацентарных оболочках отмечена высокая встречаемость С3 фракции комплемента — 87,5% в плаценте и 62,5% в оболочках, а также высокий процент встречаемости фибриногена как маркера повышенной проницаемости. В отличие от надпочечниковой формы в иммуно-патологическом процессе участвуют все три глобулина, включая IgA — 25%,37,5% в плаценте и оболочках соответственно; ІgM во всех отделах последа обнаружен в одинаковом проценте наблюдений и равен 62,5%; IgG обнаружен в 37% в центральной части,50% — в периферических отделах и в 80% — в оболочках.
Во всех отделах плаценты при смешанных формах ГА отмечается наиболее высокий процент С3 фракции комплемента в 83,3% в плаценте, а во внеплацентарных оболочках его встречаемость отмечена лишь в 16,6% случаев. При идентификации классов глобулинов в наибольшем числе наблюдений обнаруживаются IgM — 66,6% в центре и по периферии, в 33,3% — во внеплацентарных оболочках. При этом ІgА не выявлены. IgG — выявлены в 16,6% случаев в плаценте, тогда как во внеплацентарных оболочках IgG не обнаружены.
При всех формах ГА в плаценте женщин с привычным невынашиванием отмечен высокий процент ИК с фиксацией С3 фракции комплемента, как фактора патогенности, включающих IgM и IgG, что свидетельствует об аутоиммунных нарушениях, возникающих в организме беременных и обострении иммунопатологического процесса в плаценте, который развивается на фоне гормонального дисбаланса.
В III группе женщин с двойнями частота ПИК при родоразрешении в срок составила у I плода — 62,6%, у II плода — 54,1%; фибриногена — 62,4% и 50% соответственно; IgA — 41,6% у I плода и 37,7% — II плода; IgM — 37,5% и 33,3% соответственно; IgG — 45,7% и 33,3%. Таким образом, у II плода иммунологические показатели были снижены.
При преждевременных родах количество иммунологических депозитов увеличивалось. У I плода ПИК достигал 100%, фибриноген 90%, IgA -30%, IgM -50%, IgG — 60%. У II плода данные показатели были ниже в 2 раза.
По-видимому, иммунопатологические процессы, возникающие в плаценте при отложении ПИК на мембранных структурах, нарушают кровоснабжение плода и приводят к преждевременным родам.
Таблица 1. Частота (%) и состав патогенного иммунного комплекса плаценты при срочных и преждевременных родах и разных причинах невынашивания беременности
Время родоразрешения | Содержание ПИ | ПИК | ||||
Фибриноген | СЗ | IgA | IgM | IgG | ||
| (I группа) | |||||
Срочные | 36,6±7,6 | 40,0±7,2 | 30,0±7,2 | 53,3±7,8 | 40,0±7,2 | 40,0±7,2 |
Преждевременные | 70,0±7,2ХХ | 80,0±3,3ХХХ | 70,0±7,2ХХХ | 80,0±3,3Х | 60,0±7,2Х | 80,0±3,3ХХХ |
| (II группа) | |||||
Срочные | 76,5±6,8 | 88,2±4,8 | 17,6±6,0 | 41,4±7,5 | 47,0±7,6 | 88,2±4,8 |
Преждевременные | 100±0ХХ | 94,5±4,3 | 62,5±9,4ХХХ | 62,5±9,4 | 44,2±8,3 | 94,5±4,3 |
Срочные: | (III группа) | |||||
I плод II плод | 62,5±10,0 50,0±10,2 | 62,5±10,0 54,1±10,1 | 41,6±10,1 37,5±10,0 | 33,3±9,5 37,5±10,0 | 45,7±10,2 33,3±9,5 | 62,5±10,0 54,1±10,2 |
Преждевременные | (III группа) | |||||
I плод II плод | 90,0±9,2 80,0±6,3 | 100±00Х 70,0±14,5 | 30,0±14,5 10,0±9,00 | 50,0±15,9 20,0±6,3 | 60,0±15,5 40,0±15,5 | 100±00Х 70,0±14,5 |
Срочные: | (IV группа) | |||||
ОГА СГА НГА | 87,5±11,6 83,3±19,7 63,8±14,5 | 87,5±11,6 83,3±15,2 54,5±15,0 | 25,0±15,3Х 0 63,6±14,5 | 62,0±17,1 66,6±19,7 45,4±15,0 | 37,5±9,7 16,6±15,2Х 54,5±15,0 | 87,5±11,6 83,3±15,2 54,5±15,0 |
Примечание: Достоверность между срочными и преждевременными родами: р < 0,05 — х, р < 0,01 — хх, р < 0,001 — ххх при ГА по сравнению с НГА. I группа — генитальный хламидиоз; II группа наличие АФАт; III группа — двойня; IV группа — гиперандрогения
Как видно из табл. 1, при разных причинах невынашивания при генитальной инфекции, наличие антифосфолипидных антител, многоплодии, гиперандрогении даже при родоразрешении в срок на базальной мембране сосудов ворсин хориона в синцитиотрофобласте определялась фиксация С3 фракции комплемента (рис. 6), частота которого колебалась при срочных родах от 40% до 87,5% (при овариальной форме гиперандрогении) (ОГА). Если роды наступали преждевременно, то частота выявления ПИК и фибриногена были в 1,5-2 раза выше, чем при срочных родах. Также достоверно чаще ПИК включал иммуноглобулины.
В группе женщин с наличием АФАт и родоразрешившихся в срок ПИК, С3 фракцией комплемента и фибриноген обнаружены в высоком проценте наблюдений (табл. 1). Среди иммуноглобулинов преобладали IgM и IgG. При преждевременных родах фибриноген в плаценте определялся в 100% случаев. При этом возрастала частота обнаружения ПИК. Наряду с наличием иммуноглобулинов IgM и IgG, в три раза чаще обнаруживался ІgА.
Изучение частоты наличия ПИК и его характера при двойнях при срочных родах достоверных различий между первым и вторым плодом не выявлено (табл. 1). Их показатели приближались к данным, полученным при срочных родах у женщин с хламидийной инфекцией. Возможно, это объясняется высокой частотой инфицирования этих женщин Chlamydia trachomatis.
При преждевременных родах у первых плодов при двойне достоверно выше была частота обнаружения ПИК и увеличивалось содержание фибриногена. При наличии гиперандрогении у женщин, родивших в срок, оказалось, что наименьшая частота обнаружения ПИК и других иммунологических депозитов была при надпочечниковой гиперандрогении. Это, по-видимому, объясняется тем, что беременные с НГА получали при беременности терапию кортикостероидами.
Выявление фибриногена в разных исследуемых группах было аналогично.
В ряде случаев при срочных родах у женщин с хламидиозом, ОГА и СГА преобладали иммуноглобулины M.
Как видно из табл. 1, при срочных родах и разных причинах невынашивания наблюдалось
преобладание одного или нескольких иммуноглобулинов, входящих в ПИК, остальные иммуноглобулины были в меньшем количестве. Сочетание IgM и IgG наблюдалось при хламидиозе и АФАТ; IgA и IgG — при двойне и НГА. Преобладание одного иммуноглобулина IgM в составе ПИК отмечено при ОГА. Следовательно, даже при доношенной беременности и родоразрешении живым ребенком в плаценте наблюдался ПИК, что свидетельствовало о наличии плацентарной недостаточности.
При угрозе прерывания беременности проводилось этиопатогенетическое и симптоматическое лечение. Антибактериальная терапия по поводу хламидиоза проведена у 40 беременных, терапия при наличии АФАТ включала у 51 женщины — курантил,43-х — вобэнзим,14-ти — фрак-сипарин,35-ти — традиционная терапия.
Иммуноморфологическое состояние плаценты изучено при использовании для лечения различных лекарственных препаратов. Оказалось, что частота и состав иммунологических депозитов, входящих в ПИК, были неодинаковы при разных методах лечения.
Таблица 2. Частота (%) и состав патогенного иммунного комплекса плаценты при разных методах лечения
Характер терапии | Содержание ПИ | ПИК | ||||
Фибриноген | СЗ | IgA | IgM | IgG | ||
| I группа | |||||
Нелеченные |
|
| 45,0±7,8 |
|
|
|
Антибактериальный | 36,6±7,6ХХХ | 40,0±7,7ХХХ | 30,0±7,2 | 53,5±7,8ХХХ | 40,0±7,7ХХХ | 40,0±7,7ХХХ |
| II группа | |||||
Традиционные | 100±00 | 94,5±2,8 | 62,5±5,7 | 62,5±5,7 | 44,2±5,8 | 94,5±2,8 |
Курантил | 80,9±7,2ХХ | 73,8±8,1хх | 20,0±3,6ХХХ | 45,2±9,1 | 54,4±9,0 | 73,8±8,1хх |
Вобэнзим | 50,0±15,9ХХ | 30,0±14,5х | 0 | 20,0±6,3ХХХ | 0 |
|
Фраксипарин | 78,5±7,0хх | 85,7±9,1 | 42,1±13,1 | 35,7±12,8 | 42,1±13,1 | 85,7±9,1 |
Примечание: достоверность по сравнению с показателями под цифрой «1»: р <0,05 — х; р < 0,01 — хх; р < 0,001 — ххх. I группа — генитальный хламидиоз; II группа — наличие АФАт
Как видно из табл. 2, наилучшие результаты получены при включении в комплексную терапию вобэнзима, который применяли по 5 драже 3 раза в день в течение 10—14 дней во ІІ-ІП триместрах беременности. Частота преждевременных родов оказалась наименьшей из всех групп (табл. 3). Высокая эффективность системной энзимотерапии вобэнзимом подтвердилась имму-но морфологическим состоянием плаценты. ПИК обнаруживался в плаценте в 3 раза реже, чем при традиционной терапии, фибриноген выявлялся реже, а из иммуноглобулинов присутствовал только IgM в небольшом количестве (табл. 2). Это сопровождалось снижением антител к кардиолипину в крови. Так, если у женщин, получивших традиционную терапию встречаемость ПИК в центральной части плаценты была 72,7% и в периферической 95,4%, то у женщин, лечившихся вобэнзимом, она составила всего 10-20%.
Рис. 6. Отложение СЗ фракции комплемента в базальной мембране синцития трофобласта. Электронограмма. Увел. 12000х
Самый тяжелый контингент женщин с наличием АКЛ представляла группа, получающая низкомолекулярный гепарин-флаксипарин, который назначался в виде инъекций в подкожную клетчатку живота в дозе 0,3-0,6 мл курсами по 10-14 дней в сроке 9-12,16-24 и 28-32 недели. Все женщины, начиная с 6-7 недели, получали аспирин (Bayer) в дозе 100 мг/сутки. Лечение аспирином проводили в период до и после курсов флаксипарина вплоть до родоразрешения.
Как видно из табл. 3, из 41 беременности у бывших в анамнезе 14 женщин, получавших флаксипарин при настоящей беременности, лишь у 5% из них (2-х женщин) произошли преждевременные роды, закончившиеся в 28-30 недель антенатальной гибелью плодов. Каждая шестая предшествующая беременность (17%) завершалась самопроизвольным абортом. Подавляющее число беременностей (77,0%) прекратило свое развитие в I или II триместре. Следовательно, это была группа с классическим антифосфолипидным синдромом (АФС). Лечение флаксипарином и аспирином оказалось эффективным. Лишь 3 беременности (21%) остановились в развитии в 17,21 и 33 недели. Все остальные женщины родили живых детей, антенатальной смерти плодов не было.
При выкидышах и наличии АФАт в крови ПИК и фибриноген выявлялись в 100%. Иммуноглобулины представлены IgM и IgG в высоком проценте наблюдений.
Таблица 3. Исходы беременности у женщин при наличии АФАт в анамнезе и при настоящей беременности при разных методах лечения
Исходы беременности | Курантил | Вобэнзим | Фраксипарин | Традиционная терапия | ||||
1-122 | II-51 | 1-132 | II-43 | 1-41 | II-14 | 1-121 | 2-35 | |
% | % | % | % | % | % | % | % | |
Спонтанные аборты | 32,8±4,2 | 3,9±1,2 | 71,1±5,30 | — | 17,0±5,8 | — | 85,9±3,7 | 14,3±6,2ХХХ |
Из них I триметр | 13,1±3,1 | 3,9±1,2 | 34,8±5,90 | — | 17,0±5,8 | — | 25,6±5,0 | — |
II триместр | 19,7±3,6 | — | 36,3±6,10 | — | — | — | 60,3±7,7 | 14,3±6,2ХХХ |
Неразвивающаяся беременность | 15,6±3,2 | 3,9±1,2 | 24,9±5,00 | — | 77,6±6,5 | 21,0±10,9ХХХ | 9,7±3,1 | — |
Из них I триместр | 15,6±3,2 | 3,9±1,2 | 6,0±2,10 | — | 36,6±7,3 | — | 8,2±2,8 | — |
II триместр | — | — | 18,9±4,30 | — | 41,0±7,6 | 21,0±10,9 | 1,7±1,3 | — |
Антенатальная гибель (28-32 нед) | 12,5±5,9 | 9,8±4,6 | 60,0±7,70 | — | 100,0 | — | — | — |
Преждевременные роды | 22,9±3,8 | 23,4±6,2 | 3,0±1,74 | 6,9±3,9 | 5,0±3,4 | 58,0±13,1хх | 2,5±1,5 | 34,3±9,6ХХХ |
Срочные роды | 9,8±2,7 | 51,7±5,2ХХХ | 1,0±0,75 | 93,1±3,9ХХХ | — | 21,0±10,9 | 1,7±1,3 | 51,4±3,0ХХХ |
Примечание: I — число беременностей в анамнезе; II — число женщин с настоящей беременностью; 3 — достоверность между 1 и 2 группами, p < 0,05-х, p < 0,01 -хх, p < 0,001 -ххх
При лечении курантилом исходы настоящей беременности были значительно лучше, чем предыдущих (табл. 3). Клинические результаты подтверждаются иммуноморфологическим исследованием плаценты. Оказалось, что частота обнаружения ПИК в плаценте, фибриногена, IgA были достоверно меньше, чем при терапии угрозы прерывания беременности без использования средств, направленных на улучшение реологических свойств крови (табл. 2).
Рис. 7. Специфическое свечение АКЛ у женщин с невынашиванием беременности. Метод непрямой иммунофлюорисценции. Увел.450х
Проведенные исследования подтвердили эффективность лечения фраксипарином и аспирином [2], при исследовании плаценты иммуноморфологическим методом. Несмотря на то что частота обнаружения ПИК в плаценте почти не изменилась, фибриноген выявлен достоверно в меньшем проценте, чем в плацентах женщин, получавших традиционную терапию. Наблюдалась тенденция к уменьшению IgM и ІgА (табл. 2).
Установлено, что у женщин, перенесших угрозу прерывания беременности, независимо от причин ее возникновения даже при срочных родах в плаценте обнаруживаются признаки иммуно-морфологических повреждений. При наступлении преждевременных родов частота патогенных иммунных комплексов увеличивается. Это доказывает их основную роль в неблагоприятных исходах беременности при наличии генитальной инфекции, АФАт в крови в других исследуемых группах.
При гистологическом исследовании плацент женщин, перенесших угрозу прерывания беременности, установлена хроническая плацентарная недостаточность (ПН). При родоразрешении в срок она составляет 45% и выявляется в субкомпенсированной форме легкой степени. При преждевременных родах ПН обнаружена в 2 раза чаще (92,7%). Из них субкомпенсированная форма легкой степени имеет место в 51,2%, тяжелой — 43,9% и в декомпенсированной форме — 4,9%.
Заключение
В результате исследования сделана попытка раскрыть механизм патогенетических изменений, протекающих в плаценте у женщин с привычным невынашиванием. Выявление патогенных иммунных комплексов, фиксированных на мембранных структурах плацентарной ткани, включающих мембраны сосудов, капилляров ворсин хориона, а также мембраны клеток синцитиотрофобласта, свидетельствует о развитии иммунопатологического процесса в тканях плаценты. Выявление АКЛ усиливает иммунопатологическое состояние плаценты, сопровождается развитием инвалютивно-дистрофических процессов, ведущих к гибели син-цитиотрофобласта и массивному отложению фибриноида, усиленному тромбообразованию и инфарктам плацентарной ткани. Все эти процессы приводят к развитию плацентарной недостаточности. Выявление в плаценте женщин с НБ ПИК является маркером плацентарной недостаточности и биологическим индикатором нарушения репродуктивной функции женщин.
Этиопатогенетическое лечение угрозы прерывания беременности улучшает исход беременности, подтвержденный иммуноморфологическими данными.
About the authors
L. B. Zubgitskya
Research Institute of Obstetrics, Gynecology and Reproductology named after D.O. Ott; State Medical University named after acad. I.P. Pavlova
Author for correspondence.
Email: info@eco-vector.com
Russian Federation, Saint-Petersburg; Saint-Petersburg
N. G. Kosheleva
Research Institute of Obstetrics, Gynecology and Reproductology named after D.O. Ott; State Medical University named after acad. I.P. Pavlova
Email: info@eco-vector.com
Russian Federation, Saint-Petersburg; Saint-Petersburg
O. N. Arganova
Research Institute of Obstetrics, Gynecology and Reproductology named after D.O. Ott; State Medical University named after acad. I.P. Pavlova
Email: info@eco-vector.com
Russian Federation, Saint-Petersburg; Saint-Petersburg
T. P. Bespalova
Research Institute of Obstetrics, Gynecology and Reproductology named after D.O. Ott; State Medical University named after acad. I.P. Pavlova
Email: info@eco-vector.com
Russian Federation, Saint-Petersburg; Saint-Petersburg
G. L. Gromiko
Research Institute of Obstetrics, Gynecology and Reproductology named after D.O. Ott; State Medical University named after acad. I.P. Pavlova
Email: info@eco-vector.com
Russian Federation, Saint-Petersburg; Saint-Petersburg
Е. А. Shapovalova
Research Institute of Obstetrics, Gynecology and Reproductology named after D.O. Ott; State Medical University named after acad. I.P. Pavlova
Email: info@eco-vector.com
Russian Federation, Saint-Petersburg; Saint-Petersburg
О. V. Tishkevich
Research Institute of Obstetrics, Gynecology and Reproductology named after D.O. Ott; State Medical University named after acad. I.P. Pavlova
Email: info@eco-vector.com
Russian Federation, Saint-Petersburg; Saint-Petersburg
References
Supplementary files








