Optical coherence tomography in optic disc pit diagnosis
- Authors: Stoyukhina A.S.1
-
Affiliations:
- Research Institute of Eye Diseases
- Issue: Vol 12, No 1 (2019)
- Pages: 77-82
- Section: Case reports
- Submitted: 03.10.2018
- Accepted: 28.10.2018
- Published: 06.06.2019
- URL: https://journals.eco-vector.com/ov/article/view/10255
- DOI: https://doi.org/10.17816/OV2019177-82
- ID: 10255
Cite item
Abstract
The optic disc pit is a congenital anomaly, presenting as a round or oval depression in the optic disc, 0.1–0.7 disc diameters in size, located mainly along its lower-temporal margin. Approximately in 45-75% of the eyes with congenital optic disc pit a serous detachment of neuroepithelium (NED) in the macular area develops, which could become a cause for an erroneous diagnosis of an intraocular tumor. The article presents a clinical case of the optic disc pit, which required a differential diagnosis with an intraocular tumor. It is shown that OCT signs of the optic disc pit are: the connection of optic disc structures with the subretinal space, as well as the presence of signs of invagination of the retinal nerve fiber layer in the optic disc structures.
Keywords
Full Text
Optic disk pit is a congenital abnormality characterized by limited recess in the optic nerve head (ONH); it is diagnosed in 1 out of 11,000 individuals, with no sex-based differences in the prevalence, especially in the third and fourth decades of life [1, 2].
This condition was first described in 1882 by T. Wiethe. By definition, optic disk pits are unilateral; however, in 15% of the cases, the pathology is bilateral in nature [1–3].
The optic disk pit ophthalmoscopically looks like a round or oval section of a recess of 0.1–0.7 of the ONH diameter, located principally along its lower temporal edge. In 1/3rd of the cases, the pit is localized in the ONH center. In most cases (60%), the pits are gray, and in some cases, they are yellow (30%) or black (10%) [1–5]. The detailed pathogenesis of optic disk pit formation remains unclear. Most authors believe that the optic disk pit is formed because of incomplete closure of the embryonic fissure of the optic nerve and most often develops in the first trimester of pregnancy. Its formation is explained by the penetration of a rudimentary retina into the inter-membrane space of the optic nerve [3, 4, 6].
Histologically, the optic disk pit is a herniated protrusion of the elements of the neurosensory retina in the area of the cribriform plate defect. Retinal fibers descend into the pit and then return and exit in front of the incoming optic nerve. The pits are known to communicate with the subarachnoid space [1, 2, 7].
The disease can occur both asymptomatically and with changes in the visual field (blind spot enlargement and paracentral arcuate scotoma formation) [2].
Approximately 45%–75% of eyes with a congenital optic disk pit develop serous neuroepithelial detachment of the (NED) in the macular area, called “optic disk pit maculopathy” [1, 2, 4].
There are several theories regarding the origin of the sub- or intraretinal fluid. Its possible sources can be the vitreous, cerebrospinal fluid from the subarachnoid space, or a liquid fraction of the blood seeping from the vessels at the pit base or from the choroid vessels [1, 2, 8]. It is theorized that in the optic disk pits, there is a connection between the vitreous cavity, subretinal and subarachnoid spaces, and the orbit owing to the porous structure and incomplete differentiation of the herniated protrusion tissues [7].
Ya.V. Bayborodov and A.S. Izmaylov described the valve-diaphragmatic mechanism of the SNE formation in the optic disk pits. According to the data obtained during vitrectomy for this disease, the optic disk pit bottom represents a valve that opens in case of artificial hypotension and closes when immersing deeper into the optic disk pit when causing hypertension. The valve opened and closed synchronously with the pulse; thus, the opening was in the systole period, and the closing was in the diastole period [9].
In addition to ophthalmoscopy, fluorescein angiography (FA) and optical coherence tomography (OCT) are also used to diagnose the optic disk pit, including that with enhanced depth imaging (EDI, Heidelberg Engineering) or deep range imaging (Topcon).
At arterial and arteriovenous FA phases, a gradually increasing fluorescein leakage in the area of neuroepithelial detachment toward the macula is found. In the early phase of FA or indocyanine green angiography, the disk pit usually retains the dye. In the late phase of FA or indocyanine green angiography, a hyperfluorescence of the disk pit and the maculopathy area occurs [1].
The OCT also enables the identification of the connection between the perineural and sub- and/or intraretinal space, the presence of a membrane at the bottom of the ONH cup [4, 10]. Under the ONH, hyporeflective cavities can also be detected that represent accumulation of the perineural fluid that has not moved into the sub- and/or intraretinal space, or accumulation of fluid below the Elschnig membrane [10].
Maculopathy associated with the optic disk pit should be differentiated from other serous detachments of the macula, primarily with central serous chorioretinopathy. In some cases, it is necessary to differentiate the pit with the choroidal peripapillary neoplasms. A previous study described cases of eye enucleation due to an erroneous diagnosis of amelanotic melanoma of the choroid [11].
We had the opportunity to observe a patient with an optic disk pit who was referred for consultation for a suspected neoplasm of the choroid.
CLINICAL CASE
Patient B., 39 years old, visited the Research Institute of Eye Diseases with a complaint of decreased vision in his right eye for 20 years. The patient did not know the diagnosis established earlier and had no medical documents.
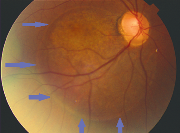
The visual acuity of the right eye was 0.02 incorrigible, and that of the left eye was 1.0. A weakly pigmented, spotty, slightly protruding lesion with clear boundaries, 3.5 DD was revealed ophthalmoscopically juxtapapillary along the meridians of 4.30–9.00 h. The ONH temporal edge was slightly flattened with areas of pigmentation (Fig. 1).
Fig. 1. Fundus photo (arrows — neuroepithelium detachment borders)
Рис. 1. Фотография глазного дна пациентки Б. (границы отслойки нейроэпителия указаны стрелками)
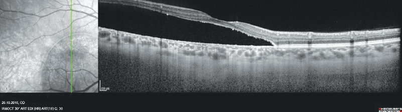
When performing OCT in the macular area, a high-extended NED was revealed (Fig. 2).
Fig. 2. Baseline OCT results of patient B. Horizontal and vertical scans through the macular area
Рис. 2. Исходные результаты ОКТ пациентки Б. Горизонтальный и вертикальный срезы через макулярную зону
In order to clarify the NED etiology and for differential diagnosis with intraocular neoplasm, FA was performed.
In the early phase of the examination, unchanged choroidal vessels were seen in the area of interest, indicating atrophy of the retinal pigment epithelium. The temporal margin of the ONH in the early and middle FA phases remained hypofluorescent. At the late phases, along with an increase in hyperfluorescence in the area of interest (due to the accumulation of dye under the NED), dye leakage occurred along the lower temporal edge of the ONH (Fig. 3).
Fig. 3. Fluorescein angiography of patient B. Early phase (a), mid-phase (b) and late phase (c) (blue arrows – neuroepithelium detachment borders, green arrow – fluorescein leakage point at the optic disc margin)
Рис. 3. ФАГ пациентки Б. Ранняя (a), средняя (b) и поздняя (c) фазы (синие стрелки — граница зоны отслойки нейроэпителия, зелёная стрелка — участок просачивания красителя по краю диска зрительного нерва)
Changes revealed by FA raised the suspicion of an optic disk pit complicated by maculopathy. Repeated OCT, including that in the EDI mode (OCT Spectrais, Heidelberg Engineering, Germany), revealed a high NED in the central area and atrophy of the retinal pigment epithelium. The choroidal thickness in the central area was unchanged; however, an increase in the caliber of large vessels of the choroid and a decrease in the caliber of the choriocapillaris were noted (Fig. 4).
Fig. 4. OCT of patient B. Vertical scan across the foveolar center
Рис. 4. ОКТ пациентки Б. Вертикальный срез через центр фовеолы
In the area of the NED maximum altitude, no increase in the choroidal thickness was revealed also, however, there was a similar change in its structure (Fig. 5).
Fig. 5. OCT of patient B. Horizontal scan across the area of neuroepithelium detachment’s maximal height
Рис. 5. ОКТ пациентки Б. Горизонтальный срез через зону максимальной высоты отслойки нейроэпителия
In the study of the ONH area from the temporal side, a relationship of NED with the ONH structures was found; in the same area, the intravagination of the retinal nerve fiber layer (RNFL) into the ONH structure was observed that enabled us to confirm the diagnosis of optic disk pit (Fig. 6).
Fig. 6. OCT of patient B. Radial scan across the optic disc cup center (arrow – connection of neuroepithelium detachment with optic disc structures)
Рис. 6. ОКТ пациентки Б. Радиальный срез через центр экскавации диска зрительного нерва (стрелка — связь отслойки нейроэпителия со структурами диска зрительного нерва)
As per the FA data, in the area corresponding to the hyperfluorescence site, an RNFL defect was detected at the bottom of the excavation (Fig. 7).
Fig. 7. OCT of patient B. Vertical scan across the optic disc cup center (arrow – area of the retinal nerve fiber layer defect at the cup bottom)
Рис. 7. ОКТ пациентки Б. Вертикальный срез через центр экскавации диска зрительного нерва (стрелка — зона дефекта слоя нервных волокон сетчатки на дне экскавации)
CONCLUSION
The optic disk pit is a congenital pathology associated with the development of serous NED in the central retina that requires differential diagnosis with other maculopathies. Even with a typical ophthalmoscopic presentation, in some cases, it may be necessary to perform a differential diagnosis with intraocular neoplasms of juxtapapillary localization. This is primarily due to the presence of high NED that creates the impression of a weakly pigmented protruding lesion on the fundus that, combined with uneven pigmentation and the presence of hyperfluorescence in the FA late phases, can result in a false diagnosis of intraocular neoplasm.
In this situation, the main diagnostic method is OCT, preferably using deep imaging modes, that enables the evaluation of not only the state of the retina, but also the choroidal complex as well as the ONH structures located behind the cribriform plate.
OCT signs of the optic disk pit include the connection between the ONH structures and the subretinal space as well as the invagination of the RNFL in the ONH structures.
Thus, all patients with NED in the macular and/or juxtapapillary area and with a suspected neoplasm of this area need to undergo OCT of the ONH to rule out the optic disk pit.
Authors declare no conflicts of interest or financial interest.
About the authors
Alevtina S. Stoyukhina
Research Institute of Eye Diseases
Author for correspondence.
Email: a.stoyukhina@yandex.ru
ORCID iD: 0000-0002-4517-0324
PhD, Senior Scientific Researcher of Retina and Optic Nerve Pathology Department
Russian Federation, MoscowReferences
- Мосин И.М. Врождённые и приобретённые заболевания зрительного нерва // Руководство по клинической офтальмологии / Под ред. А.Ф. Бровкиной, Ю.С. Астахова. – М.: МИА, 2014. – С. 519–522. [Mosin IM. Vrozhdennye i priobretennye zabolevaniya zritel’nogo nerva. In: Rukovodstvo po klinicheskoy oftal’mologii. Ed. by A.F. Brovkina, Y.S. Astakhov. Moscow: MIA; 2014. P. 519-522. (In Russ.)]
- Moisseiev E, Moisseiev J, Loewenstein A. Optic disc pit maculopathy: when and how to treat? A review of the pathogenesis and treatment options. Int J Retina Vitreous. 2015;1:13. https://doi.org/10.1186/s40942-015-0013-8.
- Cekic S, Stankovic-Babic G, Visnjic Z, et al. Optic disc abnormalities – diagnosis, evolution and influence on visual acuity. Bosn J Basic Med Sci. 2010;10(2):125-132. https://doi.org/10.17305/bjbms.2010.2711.
- Ohno-Matsui K, Hirakata A, Inoue M, et al. Evaluation of congenital optic disc pits and optic disc colobomas by swept-source optical coherence tomography. Invest Ophthalmol Vis Sci. 2013;54(12):7769-7778. https://doi.org/10.1167/iovs.13-12901.
- Inoue M. Retinal complications associated with congenital optic disc anomalies determined by swept source optical coherence tomography. Taiwan J Ophthalmol. 2016;6(1):8-14. https://doi.org/10.1016/j.tjo.2015.05.003.
- Асланова В.С., Уманец Н.Н., Иваницкая Е.В. Пневматическая ретинопексия в лечении больных с ямкой диска зрительного нерва, осложнённой серозной отслойкой макулы // Офтальмологический журнал. – 2010. – № 6. – С. 37–40. [Aslanova VS, Umanets NN, Ivanitskaya EV. Pneumatic retinopexy in treatment of patients with the optic nerve pit complicated by serous macula detachment. Oftalmologicheskii zhurnal. 2010;(6):37-40. (In Russ.)]
- Irvine AR, Crawford JB, Sullivan JH. The pathogenesis of retinal detachment with morning glory disc and optic pit. Retina. 1986;6(3):146-150.
- Kanski JJ, Milewski SA, Tanner V, Damato B. Diseases of the ocular fundus. London: Elsevier Mosby; 2004.
- Байбородов Я.В., Измайлов А.С. Отслойка сетчатки, вызванная ямкой диска зрительного нерва, и её хирургическое лечение // Офтальмохирургия. – 2017. – № 4. – С. 20–25. [Bayborodov YV, Izmaylov AS. The detachment of the retina caused by the pit of the optic nerve disk and its surgical treatment. Ophthalmosurgery. 2017;(4):20-25. (In Russ.)]. https://doi.org/10.25276/0235-4160-2017-4-20-25.
- Michalewski J, Michalewska Z, Nawrocki J. Spectral domain optical coherence tomography morphology in optic disc pit associated maculopathy. Indian J Ophthalmol. 2014;62(7):777-781. https://doi.org/10.4103/0301-4738.138184.
- Ferry AP. Macular detachment associated with congenital pit of the optic nerve head. Arch Ophthalmol. 1963;70(3):346. https://doi.org/10.1001/archopht.1963.00960050348014.
Supplementary files











