Efficacy of micropulse cyclophotocoagulation in acute angle-closure glaucoma
- Authors: Kolenko O.V.1,2,3, Postupaeva N.V.1,2, Postupaev A.V.1, Sorokin E.L.1,3
-
Affiliations:
- S. Fyodorov Eye Microsurgery Federal State Institution, Khabarovsk Branch
- Postgraduate Institute for Public Health Workers
- Far-Eastern State Medical University
- Issue: Vol 16, No 2 (2023)
- Pages: 29-38
- Section: Original study articles
- Submitted: 21.02.2023
- Accepted: 12.05.2023
- Published: 14.07.2023
- URL: https://journals.eco-vector.com/ov/article/view/258607
- DOI: https://doi.org/10.17816/OV258607
- ID: 258607
Cite item
Abstract
BACKGROUND: An improved technique of cyclophotocoagulation appeared — cyclophotocoagulation in micropulse mode with splitting of the continuous stream of laser energy into short micropulse series with intervals.
AIM: The aim of the study is to clinically evaluate the efficacy and the safety of micropulse cyclophotocoagulation for acute angle-closure glaucoma jugulation.
MATERIALS AND METHODS: In the study, 14 patients with acute angle-closure glaucoma with 3–7 days duration were included. The mean intraocular pressure was 35.1 ± 2.4 mm Hg against the background of hypotensive therapy, best corrected visual acuity was from 0.005 to 0.3. All patients on admission underwent laser iridotomy, consistent peripheral colobomas of the iris were obtained. On the following day, taking into account the intraocular pressure level of 30–36 mm Hg against the background of hypotensive therapy, all patients underwent micropulse cyclophotocoagulation with Cyclo G6® Glaucoma Laser System (USA).
RESULTS: After surgery, there were no complications noted. The pain syndrome was completely eliminated in all patients on the first day after the procedure. Intraocular pressure decreased in average to 18.1 ± 2.8 mm Hg. Within 3–18 months after micropulse cyclophotocoagulation, phacoemulsification was performed in 9 eyes. During the 2 years of the follow-up period, intraocular pressure in all eyes remained normal, from 16 to 23 mm Hg, best-corrected visual acuity varied from 0.4 to 0.9.
CONCLUSIONS: Cyclophotocoagulation in micropulse mode allowed an effective and safe lowering of intraocular pressure to normal values in all eyes with acute angle-closure glaucoma; this provided pain relief and preservation of visual functions during the follow-up period up to 2 years.
Full Text
АКТУАЛЬНОСТЬ
В структуре закрытоугольной глаукомы (ЗУГ) наиболее часто встречается форма со зрачковым блоком — до 42–80 % [1–3]. Данное состояние создаёт повышенный риск развития острого приступа глаукомы. При этом возникает резкая декомпенсация внутриглазного давления (ВГД), которая сопровождается болевым синдромом, снижением зрения, способными в короткие сроки привести к необратимой утрате зрительных функций [4, 5].
Доля острого приступа глаукомы составляет 0,7–11 % случаев в структуре причин обращаемости в пункты неотложной офтальмологической помощи [6–8].
Острый приступ ЗУГ, как известно, характеризуется циклическим течением, включающим несколько фаз. Выраженность клинических проявлений и эффективность лечения острого приступа напрямую зависит от его фазы и длительности течения.
Оказание квалифицированной офтальмологической помощи в первые часы способно купировать острый приступ ЗУГ, но в реальности зачастую пациенты обращаются в клинику не в первые сутки от начала приступа, а только с появлением невыносимых болей. Нередко они вызывают скорую медицинскую помощь, получают лечение в терапевтических стационарах [9]. Несвоевременность обращения приводит к затягиванию острого приступа, значительно усложняя его купирование и возможность сохранения зрения.
В лечении острого приступа ЗУГ применяют консервативные, лазерные и хирургические методы. Консервативная терапия заключается в форсированных инстилляциях гипотензивных препаратов: миотиков (пилокарпин), ингибиторов карбоангидразы, бета-блокаторов, гипертонического раствора глюкозы, перорального применения ацетазоламида. Выполняются крылонёбные блокады с анестетиками, внутривенные инфузии диуретиков [3, 10]. Данные мероприятия способны полностью купировать острый приступ лишь в первые часы его развития, что на практике встречается крайне редко.
Хирургические антиглаукомные операции фистулизирующего типа при развитии острого приступа ЗУГ связаны с высоким риском развития серьёзных осложнений: синдрома мелкой передней камеры, смещения иридохрусталиковой диафрагмы вперёд, злокачественной глаукомы, отслойки сосудистой оболочки, гифемы [11, 12].
Поскольку острый приступ ЗУГ чаще развивается в анатомически коротких глазах при чрезмерном увеличении объёма хрусталика, применение факоэмульсификации было бы способно купировать приступ. Однако в условиях острого течения заболевания при наличии декомпенсированного ВГД, отёка роговицы, мелкой передней камеры, отёка радужки, выброса провоспалительных цитокинов во влагу передней камеры выполнение факоэмульсификации представляется технически сложным и опасным, так как создаётся высокий риск интраоперационных осложнений, в частности, экспульсивной геморрагии [13, 14].
Патогенетически обоснованным методом лечения при остром приступе глаукомы является лазерная иридэктомия (ЛИЭ). Однако для её успешного выполнения необходима достаточная прозрачность роговицы, чего можно достичь после предварительной интенсивной медикаментозной терапии, способствующей временному восстановлению прозрачности роговицы [7, 14].
При купировании острого приступа ЗУГ используются и другие способы лазерного воздействия. Так, А.А. Рябцева и соавт. [15] предложили выполнять непроникающую YAG-лазерную склеротомию: трансконъюнктивальное нанесение лазерных аппликаций на склеру мощностью воздействия 1,2–4,5 мДж. Критерием эффективности является выделение влаги из склеры и появление локальных субконъюнктивальных или склеральных гематом. По данным авторов, купирование болевого синдрома достигается на фоне снижения уровня ВГД на третьи сутки до 28–30 % исходного. Но при сроках наблюдения 9 мес. большинству пациентов потребовались антиглаукоматозные операции [15].
Один из эффективных методов купирования острого приступа глаукомы — транссклеральная диод-лазерная циклофотокоагуляция (ЦФК) [14]. Данную методику применяют для снижения уровня ВГД в глазах с сохранными зрительными функциями при рефрактерных формах глауком: многократно оперированной первичной открытоугольной, неоваскулярной, вторичной глаукомой на фоне тампонады витреальной полости силиконовым маслом [16–18]. В Хабаровском филиале ФГАУ «НМИЦ «МНТК «Микрохирургия глаза» им. акад. С.Н. Фёдорова» Минздрава России накоплен определённый опыт применения транссклеральной ЦФК для стойкого снижения ВГД при некомпенсированной ЗУГ [19]. Однако в связи с тем, что применение данной операции, по данным литературы, сопряжено с послеоперационными осложнениями (увеит, гифема, гемофтальм, отслойка сосудистой оболочки, субатрофия глазного яблока), использование ЦФК на глазах с сохранными зрительными функциями весьма ограничено [18, 20, 21].
В последние несколько лет в клинической практике появилась усовершенствованная методика ЦФК — в микроимпульсном режиме (мЦФК). Ее отличие от стандартной ЦФК заключается в разделении непрерывного потока лазерной энергии на серию коротких импульсов с перерывами. При этом общая длительность лазерного воздействия уменьшена до 31,3 %. Это обеспечивает преимущества мЦФК — за счёт минимизации травматического воздействия на цилиарное тело и ткани глаза значительно снижается риск послеоперационных осложнений. Патогенетическими механизмами снижения ВГД являются: повышение гидропроницаемости склеры за счёт формирования интрасклеральных пор, увеличение увеосклерального оттока, селективное воздействие на пигментный эпителий цилиарного тела [22–24].
Данная технология может применяться при различных формах и стадиях глаукомы. Многочисленные российские и зарубежные публикации свидетельствуют об эффективности и безопасности применения мЦФК при первичной открытоугольной глаукоме I–III стадии, вторичной, врождённой глаукоме [25–30].
Методика мЦФК используется в Хабаровском филиале с 2019 г. для снижения уровня ВГД у пациентов с первичной открытоугольной глаукомой, различными формами рефрактерной глаукомы, а также для купирования острого приступа ЗУГ [31–35].
В литературе мы не встретили данных о применении мЦФК для купирования острого приступа ЗУГ, поэтому решили поделиться собственным опытом.
Цель — клиническая оценка эффективности и безопасности применения мЦФК для купирования острого приступа ЗУГ.
МАТЕРИАЛЫ И МЕТОДЫ
Клинический материал составили 14 пациентов (14 глаз) с острым приступом ЗУГ, который не купировался медикаментозной терапией и ЛИЭ. Их возраст варьировал от 49 до 72 лет, в среднем 62,9 ± 6,9 года, 12 женщин и 2 мужчины. Из анамнеза известно, что первые симптомы острого приступа (боли в глазу и в одноимённой половине головы, снижение зрения, покраснение глаза) появились от 3 до 7 дней назад (пациенты не сразу обратились к офтальмологу). Интенсивность симптомов постепенно нарастала. При обращении в глазной травмпункт или к офтальмологу по месту жительства был выявлен острый приступ глаукомы. Проведены мероприятия: инстилляции 1 % раствора пилокарпина или фиксированной комбинации 2 % раствора пилокарпина и 0,5 % тимолола 4–6 раз в течение часа, затем частоту миотиков уменьшали до 2–4 раз в день и дополняли инстилляциями ингибиторов карбоангидразы и бета-блокаторов 2–3 раза в день или их фиксированными комбинациями, а также приёмом внутрь ацетазоламида по 250 мг 1–2 раза в день. Длительность лечения консервативными методами составляла 2–5 дней. Во всех случаях консервативная терапия не привела к купированию острого приступа ЗУГ, в связи с чем пациенты были направлены в стационар.
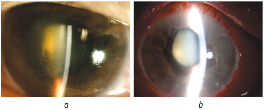
На момент поступления у всех пациентов имела место клиника затянувшегося острого приступа ЗУГ (рис. 1): выраженный болевой синдром в глазу и в соответствующей половине головы, низкое зрение — максимально корригированная острота зрения (МКОЗ) от 0,005 до 0,3, выраженная «застойная» инъекция сосудов глазного яблока, эпителиальный отёк роговицы, мелкая передняя камера (1,48–2,1 мм), расширенный зрачок неправильной формы 4–6 мм, бомбаж радужной оболочки с её секторальной атрофией, полное закрытие угла передней камеры на всём протяжении. Несмотря на применяемую максимальную гипотензивную терапию, уровень ВГД был высоким — от 32 до 39 мм рт. ст., в среднем 35,1 ± 2,4 мм рт. ст. Переднезадняя ось глаза составляла от 20,81 до 22,72 мм.
Рис. 1. Клинические примеры острой закрытоугольной глаукомы: а — пациентка Ж., 69 лет; b — пациентка Б., 63 года. При поступлении: застойная инъекция сосудов глазного яблока, отёк роговицы, мелкая передняя камера, расширенный зрачок неправильной формы
Fig. 1. Clinical cases of acute angle-closure glaucoma: a — a 69-year-old female patient J.; b — a 63-year-old female patient B. On admission: congestive redness of the eyeball vessels, corneal edema, shallow anterior chamber, dilated pupil of irregular shape
После форсированных инстилляций фиксированных комбинаций 2 % раствора пилокарпина с 0,5 % тимололом, 1 % бринзоламида с 0,5 % тимололом, а также 40 % раствора глюкозы в течение часа, приёма ацетазоламида в дозе 250 мг удалось добиться уменьшения отёка роговицы. На этом фоне всем пациентам в день поступления была выполнена ЛИЭ. Технические трудности её выполнения создавали: мелкая передняя камера, недостаточная прозрачность роговицы, формирование складок радужки с повышением её толщины на периферии. Использовали YAG-лазер Visulas (Carl Zeiss Meditec AG, Германия), длина волны 1064 нм. Использовали одиночные импульсы мощностью 3–4 мДж в количестве 8–12. У всех пациентов удалось сформировать 1–3 состоятельные колобомы радужки. Это сопровождалось некоторым углублением передней камеры (на 0,1–0,3 мм). Но при этом угол передней камеры на большем протяжении оставался закрытым либо щелевидным. После выполнения ЛИЭ пациентам сохраняли гипотензивный режим: инстилляции миотиков, ингибиторов карбоангидразы и бета-блокаторов, приём ацетазоламида.
На следующие сутки после выполнения ЛИЭ уровень ВГД незначительно снизился на 2–4 мм рт. ст., составив 30–36 мм рт. ст. Произошло уменьшение интенсивности застойной инъекции сосудов глазного яблока, в 5 глазах был купирован отёк роговицы.
В связи с сохраняющимися высокими значениями ВГД, несмотря на проведённую ЛИЭ и интенсивную гипотензивную терапию, всем пациентам было решено применить мЦФК.
Использовали диодный лазер (810 нм) модели Cyclo G6 Glaucoma Laser System (США), зонд MicroPulse P3. Выполняли трансконъюнктивальное непрерывное воздействие на проекцию цилиарного тела в 3–4 мм от лимба. Сначала аппликации наносили в нижней полусфере с 4 до 8 ч условного циферблата, затем в верхней полусфере с 2 до 10 ч. Длительность воздействия в каждой из полусфер составляла 80 с, протяженность 170°, энергия 2200 мВт, общее время экспозиции 160 с.
Во всех глазах операция мЦФК прошла без интра- и послеоперационных осложнений. Послеоперационная терапия включала применение стероидных и нестероидных противовоспалительных препаратов в виде инстилляций и инъекций, антибактериальных и гипотензивных препаратов.
Проанализирована эффективность купирования острого приступа глаукомы после применения мЦФК, а также мониторинг уровня ВГД при сроках наблюдения до 2 лет.
РЕЗУЛЬТАТЫ
На следующие сутки после проведения мЦФК болевой синдром полностью купировался у всех пациентов. При этом отмечалось снижение уровня ВГД до 15–24 мм рт. ст., в среднем 18,1 ± 2,8 мм рт. ст. У 11 пациентов был уменьшен гипотензивный режим — отменены инстилляции миотиков, но сохранялись инстилляции фиксированной комбинации бринзоламида и тимолола. У 3 пациентов со снижением уровня ВГД до 15 мм рт. ст. гипотензивная терапия была полностью отменена.
При биомикроскопии во всех 14 глазах отмечалось уменьшение инъекции сосудов глазного яблока (рис. 2, 3), полностью купировался отёк роговицы, в 2 случаях выявлялись единичные локальные складки десцеметовой мембраны. Передняя камера стала глубже, составив 1,68–2,57 мм.
Рис. 2. Пациентка Ж., 69 лет. Первые сутки после циклофотокоагуляции в микроимпульсном режиме: a — роговица прозрачная, передняя камера углубилась; b — уменьшилась инъекция сосудов глазного яблока, имеется субконъюнктивальное кровоизлияние после инъекции, видны участки секторальной атрофии радужки; c — состоятельная периферическая колобома радужки на 1 ч условного циферблата
Fig. 2. A 69-year-old female patient J. The first day after micropulse cyclophotocoagulation: a — the cornea is transparent, increase in anterior chamber depth; b — redness of the eyeball vessels reduced, subconjunctival hemorrhage after an injection, areas of sector iris atrophy; c — consistent peripheral coloboma of the iris at the 1 o’clock position
Рис. 3. Пациентка Б., 63 года. Первые сутки после циклофотокоагуляции в микроимпульсном режиме: a — роговица прозрачная, передняя камера углубилась, в области зрачка определяются частично разорвавшиеся задние синехии; b — уменьшилась инъекция глазного яблока; c — состоятельные периферические колобомы радужки на 10, 1, 7 ч условного циферблата
Fig. 3. A 63-year-old female patient B. The first day after micropulse cyclophotocoagulation: a — the cornea is transparent, increase in anterior chamber depth, partially ruptured posterior synechiae in the pupil area; b — redness of the eyeball decreased; c — consistent peripheral colobomas of the iris at 10, 1, 7 o’clock positions
На 2–3-е сутки при выписке: у всех пациентов — глаза ареактивны, роговица прозрачная, лазерная колобома состоятельная, расширенный зрачок неправильной формы от 4 до 6 мм, радужка субатрофичная. В 10 глазах определялась глаукоматозная экскавация диска зрительного нерва (экскавация диска от 0,7 до 1,0, истончение нейроретинального пояска), в 4 глазах диск зрительного нерва не изменён. У всех пациентов повысилась МКОЗ, составив от 0,15 до 0,7.
В сроки от 3 до 18 мес. после операции в 9 глазах, перенёсших острый приступ ЗУГ, выполнена факоэмульсификация с имплантацией интраокулярной линзы.
Парные глаза не имели признаков острого приступа, но во всех случаях имела место короткая переднезадняя ось (21,05–22,68 мм), закрытый или щелевидный угол передней камеры, склонность к уменьшению глубины передней камеры. Это указывало на необходимость проведения в ближайшее время ЛИЭ с профилактической целью.
В течение всего периода наблюдения выполнялся контроль тонометрии (рис. 4).
Рис. 4. Динамика уровня внутриглазного давления после проведения циклофотокоагуляции в микроимпульсном режиме в сроки 2 года
Fig. 4. Dynamics of intraocular pressure level after micropulse cyclophotocoagulation during 2 years
Спустя 2 года после мЦФК все пациенты находились на гипотензивной терапии (монотерапия или фиксированные комбинации ингибитора карбоангидразы с бета-блокатором, монотерапия аналогами простагландинов). Уровень ВГД во всех глазах оставался нормализованным — 16–23 мм рт. ст., в среднем 19,4 ± 1,9 мм рт. ст. МКОЗ варьировала от 0,4 до 0,9. При осмотре: все глаза ареактивны, роговица прозрачная, передняя камера в 5 глазах — 1,72–2,25 мм, в 9 глазах с артифакией — 3,51–3,84 мм, зрачок неправильной формы от 3,5 до 5 мм, радужка субатрофичная, лазерная колобома состоятельная, угол передней камеры во всех глазах закрыт частично или полностью за счёт сформировавшегося органического блока. В 10 глазах сохранялась глаукоматозная экскавация диска зрительно нерва, но по сравнению с исходными данными не отмечено её прогрессирования; в 4 глазах диск зрительного нерва бледно-розовый. По данным статической автоматической периметрии, во всех глазах произошла стабилизация глаукомного процесса.
ОБСУЖДЕНИЕ
Купирование острого приступа ЗУГ, даже в условиях специализированной офтальмологической клиники, до сих пор представляет непростую задачу. Следствием данного грозного состояния может стать безвозвратная гибель аксонов ганглиозных клеток сетчатки с необратимым ухудшением зрительных функций.
В тех случаях, когда с помощью медикаментозной терапии или ЛИЭ удаётся купировать острый приступ и добиться компенсации уровня ВГД, следующим этапом выполняют факоэмульсификацию, приводящую к снижению ВГД [36]. При сохранении декомпенсированного уровня ВГД необходимо срочно его нормализовать.
С данных позиций использование метода мЦФК для купирования острого приступа глаукомы показало значительный и стойкий гипотензивный эффект при отсутствии интра- и послеоперационных осложнений.
ВЫВОДЫ
- Применение мЦФК позволило снизить уровень ВГД до нормальных значений во всех 14 глазах с острым приступом ЗУГ, что обеспечило купирование болевого синдрома и сохранность зрительных функций.
- При сроках наблюдения до 2 лет уровень ВГД во всех глазах оставался нормализованным на гипотензивном режиме.
- Методика мЦФК — безопасный и эффективный способ нормализации ВГД при купировании острого приступа закрытоугольной глаукомы.
ДОПОЛНИТЕЛЬНАЯ ИНФОРМАЦИЯ
Вклад авторов. Все авторы внесли существенный вклад в разработку концепции, проведение исследования и подготовку статьи, прочли и одобрили финальную версию перед публикацией. Вклад каждого автора: О.В. Коленко — концепция и дизайн исследования, утверждение рукописи для публикации; Н.В. Поступаева — концепция и дизайн исследования, сбор и обработка материала, подготовка текста; А.В. Поступаев — подготовка текста; Е.Л. Сорокин — концепция и дизайн исследования, редактирование текста, утверждение рукописи для публикации.
Конфликт интересов. Авторы декларируют отсутствие явных и потенциальных конфликтов интересов, связанных с публикацией настоящей статьи.
Источник финансирования. Авторы заявляют об отсутствии внешнего финансирования при проведении исследования.
ADDITIONAL INFORMATION
Authors' contribution. Thereby, all authors made a substantial contribution to the conception of the study, acquisition, analysis, interpretation of data for the work, drafting and revising the article, final approval of the version to be published and agree to be accountable for all aspects of the study. Contribution of each author: O.V. Kolenko — concept and design of the study, approval of the article for publication; N.V. Postupaeva — concept and design of the study, collection and processing of material, preparation of the text; A.V. Postupaev — preparation of the text; E.L. Sorokin — concept and design of the study, editing the text, approval of the article for publication.
Competing interests. The authors declare that they have no competing interests.
Funding source. This study was not supported by any external sources of funding.
About the authors
Oleg V. Kolenko
S. Fyodorov Eye Microsurgery Federal State Institution, Khabarovsk Branch; Postgraduate Institute for Public Health Workers; Far-Eastern State Medical University
Email: naukakhvmntk@mail.ru
ORCID iD: 0000-0001-7501-5571
SPIN-code: 5775-5480
Scopus Author ID: 6506683725
ResearcherId: AAI-2976-2020
Dr. Sci. (Med.), director of the Khabarovsk Branch; head of the Ophthalmology Chair; professor of the General and Clinical Surgery Chair
Russian Federation, Khabarovsk; Khabarovsk; KhabarovskNatalia V. Postupaeva
S. Fyodorov Eye Microsurgery Federal State Institution, Khabarovsk Branch; Postgraduate Institute for Public Health Workers
Author for correspondence.
Email: naukakhvmntk@mail.ru
ORCID iD: 0000-0002-5364-4964
SPIN-code: 4279-5249
Scopus Author ID: 57980134700
ResearcherId: AAK-8765-2021
МD, Cand. Sci. (Med.), ophthalmologist; assistant professor
Russian Federation, Khabarovsk; KhabarovskAlexey V. Postupaev
S. Fyodorov Eye Microsurgery Federal State Institution, Khabarovsk Branch
Email: naukakhvmntk@mail.ru
ORCID iD: 0000-0002-8028-9267
SPIN-code: 3290-9709
Scopus Author ID: 57980327300
ophthalmologist
Russian Federation, KhabarovskEvgenii L. Sorokin
S. Fyodorov Eye Microsurgery Federal State Institution, Khabarovsk Branch; Far-Eastern State Medical University
Email: naukakhvmntk@mail.ru
ORCID iD: 0000-0002-2028-1140
SPIN-code: 4516-1429
Scopus Author ID: 7006545279
ResearcherId: AAI-2986-2020
Dr. Sci. (Med.), Professor; professor of the General and Clinical Surgery Chair
Russian Federation, Khabarovsk; KhabarovskReferences
- Botabekova TK, Dzhumatayeva ZA, Begimbaeva GE, Chuykeeva EH. Peculiarities of block formation in primary angle-closure glaucoma. National Journal glaucoma. 2013;(1):16–19. (In Russ.)
- Neroev VV, Zakharova EK, Proskachina TR, et al. Some ethnic peculiarities of anatomic and topographic parameters of eyeball structures in the indigenous inhabitants of the Republic of Sakha suffering from glaucoma. Russian Ophthalmological Journal. 2013;6(2):52–57. (In Russ.)
- Egorov EA, editor. Glaukoma. Natsional’noe rukovodstvo. Moscow: GEOTAR-Media, 2019. 384 p. (In Russ.)
- Lee EJ, Kim T-W, Lee KM, et al. Factors associated with the retinal nerve fiber layer loss after acute primary angle closure: a prospective EDI-OCT Study. PloS One. 2017;12(1): e0168678. doi: 10.1371/journal.pone.0168678
- Oganezova ZhG. Oftalmolog — nevrologu: chto mozhet skryvat golovnaya ili litsevaya bol. Russian Medical Journal. 2017;25(24):1796–1798. (In Russ.)
- Gavrilova TV, Chereshneva MV, Shabalin KA, Sobyanin NA. Analiz obrashchaemosti patsientov s sindromom “krasnogo glaza” v punkt neotlozhnoi oftal’mologicheskoi pomoshchi g. Permi. Reflection. 2016;(3):24–26. (In Russ.)
- Kan AS, Konovalova OS, Gumenyuk IV, et al. Analiz obrashchenii patsientov s ostrym bolevym sindromom pri melkoi perednei kamere i metodov reabilitatsii. Reflection. 2016;(3):34–35. (In Russ.)
- Nefedov NA, Alexandrov AS, Alexandrova LA, et al. Structure of urgent hospitalization of patients with ophthalmological pathology. Modern technologies in ophthalmology. 2020;(3):30–31. (In Russ.) doi: 10.25276/2312–4911–2020–3–30–31
- Kolesnichenko AM, Afanas’ev SN. Klinicheskii sluchai maskirovki ostrogo pristupa glaukomy pod ostroe narushenie mozgovogo krovoobrashcheniya. Mnogoprofil’nyi statsionar. 2017;4(2):86–87. (In Russ.)
- Patent RUS № 2184509/ 10.07.02. Semenov AD, Gerasimov OV, Romashenkov FA, Tjuljaev AP. Method for treating acute glaucoma attack.
- Alekseev IB, Uzunyan DG, Aksirova MM. Sposob khirurgicheskogo lecheniya zakrytougolnoi glaukomy. Glaukoma. 2004;(4):38–43. (In Russ.)
- Ivanov DI. Zlokachestvennaya glaukoma (proyavleniya, patogenez, printsipy i tekhnika khirurgii, klinicheskie primery). Reflection. 2019;(1):55–57. (In Russ.)
- Goncharenko OV, Martsinkevich AO, Sakhnov SN, Rud’ LI. Vybor sposoba normalizatsii VGD u patsientov, perenesshikh ostryi pristup zakrytougolnoi glaukomy. Modern technologies in ophthalmology. 2017;(6):252–254. (In Russ.)
- Chan PP, Pang JC, Tham CC. Acute primary angle closure-treatment strategies, evidences and economical considerations. Eye (London). 2019;33(1):110–119. doi: 10.1038/s41433-018-0278-x
- Ryabtseva AA, Sergushev SG, Kyzy Shirinova UA. Primenenie nepronikayushchei YAG-lazernoi sklerotomii v lechenii ostrogo pristupa glaukomy. Point of view. East-West. 2014;(1):276–278. (In Russ.)
- Gavrilova IA, Plotnikova YuA, Chuprov AD. Opyt primeneniya transskleralnoi diodlazernoi tsiklofotokoagulyatsii na glazakh s sokhrannymi zritel’nymi funktsiyami. Point of view. East-West. 2014;(2):31–32. (In Russ.)
- Balalin SV, Efremova TG, Potapova VN. Application of anti-VEGF drugs and trans-scleral cyclophotocoagulation in the treatment of neovascular glaucoma with diabetes mellitus. Practical medicine. 2016;(6):12–14. (In Russ.)
- Shvailikova IE, Belikova EI. The evaluation of the effectiveness of the optimized technique of transcleral diodlaser cyclophotocoagulation in patients with unstable glaucoma. Ophthalmology in Russia. 2021;18(3): 451–458. (In Russ.) doi: 10.18008/1816-5095-2021-3-451-458
- Postupaev AV, Sorokin EL, Egorov VV, Postupaeva NV. Clinical efficiency of transscleral cyclophoto-coagulation for lowering of high level of intraocular pressure at primary angle-closure glaucoma caused by a lens swelling. Fyodorov journal of ophthalmic surgery. 2015;(1):23–26. (In Russ.)
- Egorova EV, Sokolovskaya TV, Uzunyan DG, Drobnitsa AA. Optimization of contact transscleral diode laser cyclophotocoagulation technique in patients with terminal glaucoma on the basis of ultrasound biomycroscopy. Fyodorov journal of ophthalmic surgery. 2013;(3):72–77. (In Russ.)
- Markova AA, Grigorieva IN, Pozdeyeva NA, Nikolayeva GA. Histological changes in the ciliary body after contact transscleral cyclophotocoagulation. Zdravookhranenie Chuvashii. 2019;(3):37–46. (In Russ.)
- Avetisov SE, Bol’Shunov AV, Khomchik OV, et al. Laser-induced increase of scleral hydropermiability in the treatment of resistant forms open-angle glaucoma. National Journal glaucoma. 2015;14(2):5–13. (In Russ.)
- Aquino MC, Barton K, Tan AM, et al. Micropulse versus continuous wave transscleral diode cyclophotocoagulation in refractory glaucoma: a randomized exploratory study. Clin Exp Ophthalmol. 2015;43(1):40–46. doi: 10.1111/ceo.12360
- Johnstone MA, Song S, Padilla S, et al. Microscope real-time video (MRTV), high-resolution OCT (HR-OCT) and histopathology (HP) to assess how transcleral micropulse laser (TML) affects the sclera, ciliary body (CB), muscle (CM), secretory epithelium (CBSE), suprachoroidal space (SCS) & aqueous outflow system. Investig Ophthalmol Vis Sci. 2019;60(9):2825.
- Ioshin IE, Tolchinskaya AI, Maksimov IV, et al. Evaluation of repeated micropulse cyclophotocoagulation in patients with refractory glaucoma. National Journal glaucoma. 2021;20(3):30–39. (In Russ.) doi: 10.25700/2078-4104-2021-20-3-30-39
- Kurysheva NI, Radzhabov MM, Tyulegenova AR. Transscleral cyclophotocoagulation in the micropulse mode in the treatment of the initial stage of primary open angle glaucoma. Modern technology in ophthalmology. 2020;(4):136–137. (In Russ.) doi: 10.25276/2312-4911-2020-4-136-137
- Panova AY, Katargina LA, Denisova EV, Sorokin AA. Immediate results of micropulse cyclophotocoagulation in glaucoma in children. Russian Pediatric Ophthalmology. 2022;17(3):21–29. (In Russ.) doi: 10.17816/rpoj107300
- Sokolovskaya TV, Tikhonova MI. Micropulse transscleral diode laser cyclophotocoagulation in the treatment of congenital glaucoma. Fyodorov journal of ophthalmic surgery. 2019;(3):44–47. (In Russ.) doi: 10.25276/0235-4160-2019-3-44-47
- Souissi S, Baudouin C, Labbé A, Hamard P. Micropulse transscleral cyclophotocoagulation using a standard protocol in patients with refractory glaucoma naive of cyclodestruction. Eur J Ophthalmol. 2021;31(1):112–119. doi: 10.1177/1120672119877586
- Fili S, Vastardis I, Perdikakis G, Kolhlaas M. Transscleral cyclophotocoagulation with MicroPulse® laser versus cyclophotocoagulation with continuous diode laser in patients with open-angle glaucoma. Int Ophthalmol. 2022;42(2):525–539. doi: 10.1007/s10792-021-02023-5
- Yegorov VV, Postupayeva NV, Postupayev AV. Micropulse cyclophotocoagulation — a new approach to the surgical treatment of glaucoma. Public Health of the Far East. 2021;(4):43–47. (In Russ.) doi: 10.33454/1728-1261-2021-4-43-47
- Egorov VV, Postupaev AV, Postupaeva NV. Efficiency of micropulse cyclophotocoagulation in treatment of refractory glaucoma. Modern technologies in ophthalmology. 2022;(2):88–94. (In Russ.) doi: 10.25276/2312-4911-2022-2-88-94
- Egorov VV, Postupaev AV, Postupaeva NV. The results of using micropulse cyclophotocoagulation for the treatment of patients with primary open-angle glaucoma. Russian Journal of Clinical Ophthalmology. 2022;22(4):204–209. (In Russ.) doi: 10.32364/2311-7729-2022-22-4-204-209
- Egorov VV, Postupaev AV, Postupaeva NV, Marchenko AN. First experience using micropulse cyclophotocoagulation in complex treatment acute angle closure glaucoma. Modern technologies in ophthalmology. 2021;(1):71–74. (In Russ.) doi: 10.25276/2312-4911-2021-1-71-74
- Patent RUS № 2773802/ 09.06.22. Byul. No. 16. Postupaeva NV, Egorov VV, Postupaev AV. Method for treating an acute attack of angle-closure glaucoma.
- Bakunina NA, Kolesnikova LN. Changes of optical coherent tomography parameters after phacoemulsification in acute angle-closure glaucoma. Russian Ophthalmological Journal. 2017;10(2):10–16. (In Russ.) doi: 10.21516/2072-0076-2017-10-2-10-16
Supplementary files








