Corneal changes after fulguration and cross-linking in experiment
- Authors: Boutaba R.1, Trufanov S.V.1, Riks I.A.1, Ezugbaya M.2, Yukina G.Y.1, Sukhorukova E.G.1, Papanyan S.S.2, Nikolaenko S.L.1, Gorchakova O.V.1
-
Affiliations:
- Academician I.P. Pavlov First St. Petersburg State Medical University
- Diagnostic Center No. 7 (ocular)
- Issue: Vol 16, No 4 (2023)
- Pages: 67-77
- Section: Experimental trials
- Submitted: 31.08.2023
- Accepted: 14.10.2023
- Published: 12.01.2024
- URL: https://journals.eco-vector.com/ov/article/view/568953
- DOI: https://doi.org/10.17816/OV568953
- ID: 568953
Cite item
Abstract
BACKGROUND: Severe progressive forms of infectious keratitis are often associated with the risk of violation of the structural integrity of the eyeball and the development of endophthalmitis. In the presence of negative dynamics against the background of conservative etiotropic therapy for severe keratitis, it is advisable to use surgical methods of treatment. The combination of two surgical methods of influencing a pharmacoresistant infectious process in the cornea — cross-linking and fulguration — is promising and requires further investigation.
AIM: In the experiment, to evaluate the effect on the corneal tissue of various modes of direct current fulguration, as well as in combination with cross-linking as well.
MATERIALS AND METHODS: An in vivo experimental study was carried out on 19 rabbits (38 eyes) of the Soviet Chinchilla breed, the average body weight of the animals was 2.5–4.0 kg. Depending on the stage of the study, the type and power of exposure during fulguration, the rabbits were divided into 3 groups.
RESULTS: When the cornea was exposed to fulguration in mode 5, the changes covered only 10–15 % of the anterior stroma, about 50 μm, and both clinically and histologically were not sufficient. When exposed to mode 6 and 7 after 3 months, changes in the stromal structure extended by about 150 µm. When using mode 8, there was a slight proliferation of connective tissue between the Descemet’s membrane and the endothelium. The combination of cross-linking with fulguration made it possible to obtain a more compact structure of the anterior layers of the corneal stroma and stability of the epithelium.
CONCLUSIONS: Fulguration may be a relatively safe treatment for the cornea in pharmacoresistant progressive keratitis. Fulguration and corneal cross-linking can potentiate each other’s effect. Fulguration mode 7 (1.5 W) is optimal at corneal exposition for the eradication of infectious agents.
Full Text
АКТУАЛЬНОСТЬ
Инфекционный кератит — одна из наиболее распространённых причин слепоты во всем мире [1, 2].
Тяжёлые прогрессирующие формы инфекционного кератита часто сопряжены с риском нарушения структурной целостности глазного яблока и развитием эндофтальмита. При наличии отрицательной динамики на фоне консервативной этиотропной терапии при тяжёлом кератите целесообразно использовать хирургические методы лечения. Выбор метода при этом должен зависеть от этиологии, размера и глубины поражения, его локализации, зрительного прогноза, соматического статуса больного. Лечебная кератопластика — наиболее радикальный и эффективный способ оперативного вмешательства, позволяющий добиться максимальной эрадикации инфекционного очага и наиболее полного восстановления структурной целостности глазного яблока. Тем не менее в ряде случаев из-за недоступности донорского материала и высокого риска непрозрачного приживления трансплантата на фоне активного воспалительного процесса целесообразно пользоваться альтернативными хирургическими подходами, а кератопластику при необходимости проводить в отдалённом «спокойном» периоде уже с оптической целью [3, 4].
Одним из современных методов лечения фармакорезистентного инфекционного кератита является кросслинкинг роговицы (CXL). Антимикробный эффект CXL объясняется как действием рибофлавина, так и влиянием ультрафиолетового (УФ) излучения. При фотоактивации рибофлавина высвобождаются активные формы кислорода, разрушающие нуклеиновые кислоты (ДНК и РНК) и клеточные мембраны микроорганизмов. УФ-излучение, в свою очередь, также обладает выраженным антимикробным действием, повреждая ДНК и РНК микроорганизмов и препятствуя их размножению. Кроме того, за счёт увеличения количества ковалентных связей межклеточного матрикса при CXL повышается устойчивость стромы к воздействию протеолитических ферментов [5–9].
CXL даёт хорошие результаты при лечении бактериальных кератитов, плохо поддающихся медикаментозному лечению. Данные об эффективности CXL в лечении грибкового и акантамёбного кератита довольно противоречивы [10–15]. Помимо возбудителя инфекционного процесса на эффективность проведения процедуры существенное влияние оказывает глубина расположения инфильтрата. Так, известно, что глубина воздействия CXL составляет 250–300 мкм, при этом 50 % энергии поглощается в первых 100 мкм ткани роговицы [16].
Другой известный метод, который так же широко использовался в лечении кератитов в конце 1970-х годов, — коагуляция инфекционного очага. В отечественной офтальмологии метод микродиатермокоагуляции для лечения инфекционных процессов роговицы в последние десятилетия с успехом применялся А.А. Каспаровым и соавт. [17]. Такое термическое воздействие токов высокой частоты наиболее эффективно при поверхностных инфильтратах или при обработке краёв язвенного дефекта. В 2020 г. была опубликована работа о применении фульгурации (электроискрового прижигания) в лечении инфекционных кератитов [4]. При этом термический эффект в патологическом очаге роговицы создавался пучком плазмы, формируемым током высокой частоты. Авторы считали, что в отличие от «контактной» диатермокоагуляции воздействие плазмой меньше повреждает здоровые ткани и впоследствии способствует менее выраженному рубцеванию.
Недавно для медицинских целей был выпущен новый фульгуратор, питаемый постоянным током. Искровой разряд, образуемый постоянным током, очень узкий — он обрабатывает поверхность участками малой площади, и поэтому здоровая ткань, окружающая обрабатываемую область, не повреждается, что отличает данный прибор от высокочастотных электрохирургических инструментов и электрокоагуляторов, питаемых переменным током. Создаваемые ими искровые разряды расширяются конически в направлении поверхности обрабатываемой ткани [18].
Таким образом, комбинация двух методов воздействия на фармакорезистентный инфекционный процесс в роговице, CXL, способного проникать на глубину 300 мкм в строму и фульгурации постоянным током, оказывающей прецизионное поверхностное воздействие на инфильтрат или дно язвенного дефекта, является, по нашему мнению, перспективным и требует дальнейшего изучения.
Цель — в эксперименте оценить воздействие на ткани роговицы различных режимов фульгурации постоянным током, в том числе в комбинации с кросслинкингом.
МАТЕРИАЛЫ И МЕТОДЫ
Экспериментальное исследование in vivo было проведено на 19 кроликах (38 глаз) породы советская шиншилла, средняя масса тела животных составила 2,5–4,0 кг. В зависимости от этапа исследования, вида и мощности воздействия кролики были разделены на 3 группы.
Первая группа из 9 кроликов в зависимости от выполняемой манипуляции была разбита на 2 подгруппы. Первым этапом в подгруппе 1а (5 кроликов) выполнили фульгурацию в четырёх разных режимах на 8 глазах и кросслинкинг на 2 глазах. Причём режим или метод воздействия отличались на парном глазу каждого кролика для исключения особенностей возможной индивидуальной реакции на вмешательство (табл. 1). В подгруппе 1б аналогичные режимы фульгурации были применены в сочетании с кросслинкингом на 8 глазах 4 кроликов (табл. 2).
Таблица 1. Оперативные вмешательства в подгруппе1а
Table 1. Surgical interventions in subgroup 1a
Метод воздействия | Количество глаз | |
Фульгурация аппаратом Jett Plasma Lift Medical | режим 5 | 2 |
режим 6 | 2 | |
режим 7 | 2 | |
режим 8 | 2 | |
Кросслинкинг | 2 | |
Таблица 2. Оперативные вмешательства в подгруппе 1б
Table 2. Surgical interventions in subgroup 1b
Метод воздействия | Количество глаз |
Кросслиникнг + фульгурация, режим 5 | 2 |
Кросслиникнг + фульгурация, режим 6 | 2 |
Кросслиникнг + фульгурация, режим 7 | 2 |
Кросслиникнг + фульгурация, режим 8 | 2 |
После вмешательства все кролики получали одинаковое лечение в течение 10 дней: моксифлоксацин, капли глазные 0,5 % — 3 раза в день; декспантенол, гель глазной 5 % — 2 раза в день.
Кролики группы 1 были выведены из эксперимента через 3 мес. после вмешательства, полученные роговицы отправлены на гистологическое исследование.
В группе 2 на 8 кроликах проводили второй этап эксперимента, в котором изучали изменения роговицы двух разных режимов фульгурации, признанных наиболее оптимальными при изучении результатов первой группы, отдельно и в сочетании с кросслинкингом через 1 мес. после операции (табл. 3).
Таблица 3. Оперативные вмешательства в группе 2
Table 3. Surgical interventions in group 2
Метод воздействия | Количество глаз | |
Фульгурация аппаратом Jett Plasma Lift Medical | режим 6 | 4 |
режим 7 | 4 | |
Кросслинкинг + фульгурация, режим 6 | 4 | |
Кросслинкинг + фульгурация, режим 7 | 4 | |
В группе 3 на 2 кроликах третьим этапом изучили результат вмешательства через 3 дня после операции. Парный глаз кроликов третьей группы оставался интактным и служил контролем в эксперименте.
В исследовании использовали аппарат Jett Plasma Lift Medical (Compex, Чехия) в режиме фульгурации, основанном на бесконтактном равномерном воздействии на ткань пучком плазмы (электроискровое прижигание). Его действие достигается за счёт непрерывного искрового разряда в сочетании с тепловой энергии. Прибор имеет разные мощности при изменяемой интенсивности. Интенсивность (режимы) от 1 до 8, мощность от 0,026 до 1,817 Вт. Наносили коагуляты в центральной зоне роговицы кролика (рис. 1) в различных режимах от 5 до 8.
Рис. 1. Коагуляты на роговице кролика, режим 8
Fig. 1. Coagulates on the rabbit cornea, mode 8
Процедуру кросслинкинга выполняли после удаления эпителия вокруг зоны поражения, используя акселерированный протокол. Инстиллировали раствор гипертонического рибофлавина (0,1 % рибофлавин и 20 % декстран) по 1–2 капли каждые 3 мин в течение 30 мин (10 инстилляций). Затем настраивали фокусировку излучения (расстояние между излучателем и роговицей пациента — 5 см), диаметр луча на роговице (избегали облучения зоны лимба) и выполняли активацию УФ-излучения. Нами использовалась система УФ-излучения UV-X, версия 2000 (IROC AG, Швейцария) с длиной излучения 365 нм, мощностью излучения 9,0 мВт/см2, экспозиционной дозой 5,4 Дж/см2. Одновременно продолжали инстилляцию рибофлавина (по 1–2 капли каждые 2 мин). Продолжительность УФ-облучения составляла 10 мин (рис. 2), после чего закапывали антибактериальный препарат.
Рис. 2. Глаз кролика во время кросслинкинга
Fig. 2. Rabbit eye during cross-linking
Для гистологического исследования роговицу фиксировали в 10 % нейтральном формалине на фосфатном буфере (рН 7,4) не менее 24 ч. Для получения сопоставимых результатов от всех животных образцы обрабатывали параллельно и в одинаковых условиях. После формалиновой фиксации использовали стандартную гистологическую методику со спиртами возрастающей концентрации, затем материал заливали в парафиновые блоки. Срезы толщиной 5 мкм готовили с помощью микротома Accu-Cut SRT 200 (Sakura, Япония), для обзорного исследования препаратов использовали окраску гематоксилином Майера и эозином (Bio-Optica, Италия). Микроскопический анализ проводили на световом микроскопе Nikon Eclipse E200 (Nikon, Япония) с использованием окуляра ×10, объективов ×4, 10, 20. Запись цифровых изображений выполняли с помощью фотокамеры Nikon DS-Fi3 (Nikon, Япония).
РЕЗУЛЬТАТЫ
Первый этап эксперимента, морфологический анализ роговиц через 3 мес., подгруппа 1а
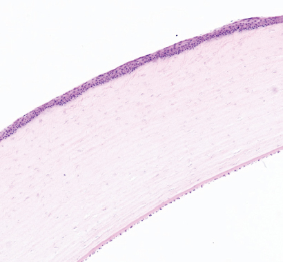
Режим 5. При данной мощности эпителий роговицы на всём протяжении имел обычное строение. Передние 10–15 % стромы в месте воздействия были незначительно разрыхлены. Десцеметова мембрана и энодотелий оставалась без изменений (рис. 3).
Рис. 3. Фрагмент роговицы после воздействия в подгруппе 1а. Фульгурация, режим 5. Окраска гематоксилином и эозином. Увеличение ×100
Fig. 3. Fragment of the cornea after exposure in subgroup 1a. Fulguration, mode 5. Stained with hematoxylin and eosin. Magnification ×100
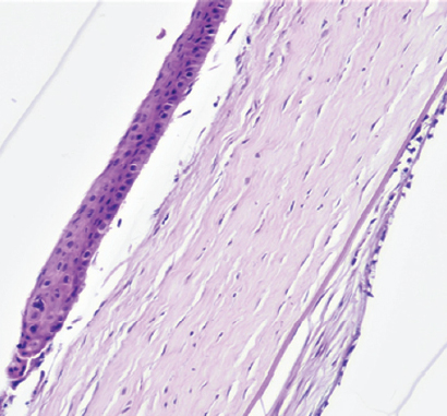
Режим 6. При данной мощности в месте воздействия роговица имеет нехарактерный вид. Эпителий полностью покрывает место вмешательства, однако базальные клетки эпителия кубические, сам эпителий истончён, неплотно прикреплён к строме. Строма в области повреждения практически на 1/4–1/3 толщины образована неплотно лежащими коллагеновыми волокнами с большим числом фиброцитов и единичными лимфоцитами. Десцеметова мембрана и энодотелий без изменений (рис. 4).
Рис. 4. Фрагмент роговицы через 3 мес. после воздействия в подгруппе 1а. Фульгурация, режим 6. Окраска гематоксилином и эозином. Увеличение ×40
Fig. 4. Fragment of the cornea 3 months after exposure in subgroup 1a. Fulguration, mode 6. Stained with hematoxylin and eosin. Magnification ×40
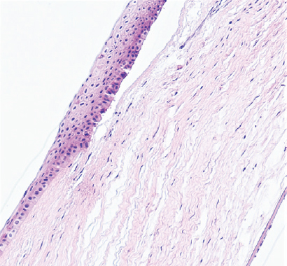
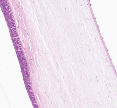
Режим 7. На данном сроке эксперимента в месте воздействия роговица имеет нехарактерный вид. Эпителий не везде прилежит к строме. Строма в области повреждения практически на 1/2 толщины образована неплотно лежащими коллагеновыми волокнами с большим числом фиброцитов и единичными лимфоцитами. Десцеметова мембрана и энодотелий остаются без изменений (рис. 5).
Рис. 5. Фрагмент роговицы после воздействия в подгруппе 1а. Фульгурация, режим 7. Окраска гематоксилином и эозином. Увеличение ×100
Fig. 5. Fragment of the cornea after exposure in subgroup 1a. Fulguration, mode 7. Stained with hematoxylin and eosin. Magnification ×100
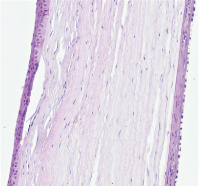
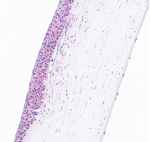
Режим 8. При данной мощности в месте воздействия роговица также имеет нехарактерный вид. Эпителий полностью покрывает место повреждения, но в нем базальные клетки кубические, а не призматические, и эпителиальный пласт не прилежит к строме. Строма в области повреждения рыхлая, на 3/4 толщины образована неплотно лежащими коллагеновыми волокнами. В проекции области воздействия между десцеметовой мембраной и эндотелием отмечается незначительное разрастание соединительной ткани (рис. 6).
Рис. 6. Фрагмент роговицы после воздействия в подгруппе 1а. Фульгурация, режим 8. Окраска гематоксилином и эозином. Увеличение ×40
Fig. 6. Fragment of the cornea after exposure in subgroup 1a. Fulguration, mode 8. Stained with hematoxylin and eosin. Magnification ×40
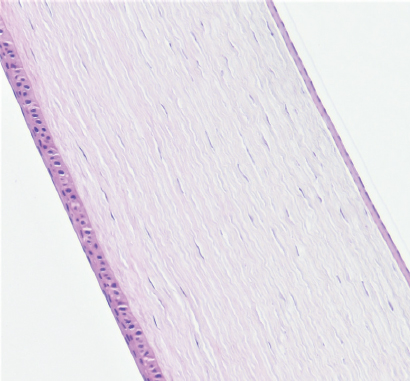
Кросслинкинг. На данном сроке эксперимента строма роговицы в месте воздействия уплотнена на 45 %. Эпителий на всём протяжении обычного строения. Десцеметова мембрана и энодотелий без изменений (рис. 7).
Рис. 7. Фрагмент роговицы после воздействия в подруппе 1а. Кросслинкинг. Окраска гематоксилином и эозином. Увеличение ×100
Fig. 7. Fragment of the cornea after exposure in subgroup 1a. Crosslinking. Stained with hematoxylin and eosin. Magnification ×100
Первый этап эксперимента, морфологический анализ роговиц через 3 мес., подгруппа 1б (кросслинкинг и фульгурация)
Режим 5. На данном сроке эксперимента строма роговицы в месте воздействия незначительно уплотнена (примерно на 35–40 %). Место воздействия полностью покрыто многослойным эпителием, однако выделяются места с истончённым эпителием и места с резко утолщённым эпителием. Строма роговицы под эпителием представлена плотно лежащими коллагеновыми волокнами. Десцеметова мембрана и энодотелий без изменений (рис. 8).
Рис. 8. Фрагмент роговицы после воздействия в подгруппе 1б. Кросслинкинг + фульгурация, режим 5. Окраска гематоксилином и эозином. Увеличение ×40
Fig. 8. Fragment of the cornea after exposure in subgroup 1b. Cross-linking + Fulguration, mode 5. Stained with hematoxylin and eosin. Magnification ×40
Режим 6. На данном сроке эксперимента строма относительно равномерной толщины. Место воздействия полностью покрыто многослойным эпителием, однако выделяются места с резко утолщённым эпителием. В месте воздействия строма роговицы под эпителием представлена уплотнёнными коллагеновыми волокнами (на 35–45 %). Десцеметова мембрана и энодотелий без изменений (рис. 9).
Рис. 9. Фрагмент роговицы после воздействия в подгруппе 1б. Кросслинкинг + фульгурация, режим 6. Окраска гематоксилином и эозином. Увеличение ×100
Fig. 9. Fragment of the cornea after exposure in subgroup 1b. Crosslinking + Fulguration, mode 6. Stained with hematoxylin and eosin. Magnification ×100
Режим 7. На данном сроке эксперимента на роговице в местах повреждения определяется чередование участков утолщенного эпителия и истончённого. Под истончённым эпителием строма представлена плотно лежащими коллагеновыми волокнами (на 35–45 %). Десцеметова мембрана и эндотелии без изменений (рис. 10).\
Рис. 10. Фрагмент роговицы после воздействия в подгруппе 1б. Кросслинкинг + фульгурация, режим 7. Окраска гематоксилином и эозином. Увеличение ×40
Fig. 10. Fragment of the cornea after exposure in subgroup 1b. Crosslinking + Fulguration, mode 7. Stained with hematoxylin and eosin. Magnification ×40
Режим 8. На данном сроке эксперимента роговица утолщена на всём протяжении. Эпителий не имеет типичного строения, так как в нём клетки не формируют характерные слои. При этом в нём выявляется значительное число беспорядочно лежащих митотически делящихся клеток. Базальная мембрана этого эпителия не сформирована, из-за чего эпителиальные клетки проникают в подлежащие коллагеновые волокна стромы. В строме под эпителием между коллагеновыми волокнами выявляются активные фибробласты. Ориентация коллагеновых волокон в строме в месте воздействия нарушена (рис. 11).
Рис. 11. Фрагмент роговицы после воздействия в подгруппе 1б. Кросслинкинг + фульгурация, режим 8. Окраска гематоксилином и эозином. Увеличение ×100
Fig. 11. Fragment of the cornea after exposure in subgroup 1b. Cross-linking + Fulguration, mode 8. Stained with hematoxylin and eosin. Magnification ×100
На первом этапе эксперимента морфологическая картина второго глаза другого подопытного животного с аналогичным воздействием имела схожие изменения. По результатам первого этапа эксперимента оптимальным признано воздействие в режиме 6 и 7 прибора Jett Plasma Lift Medical как отдельно, так и в комбинации с кросслинкингом.
Второй этап эксперимента, морфологический анализ роговиц через 1 мес., группа 2
Фульгурация, режим 6. На данном сроке эксперимента в месте воздействия отмечается незначительное истончение роговицы по сравнению с интактной зоной. Область дефекта полностью покрыта эпителием. Однако эпителий имеет нехарактерное строение: в базальном слое клетки кубические, а не призматические. Кроме того, эпителиальный пласт частично отслоён. Строма в месте дефекта несколько разрыхлена (примерно на 25–30 %). Между волокнами встречаются не только фиброциты, но и фибробласты. По краям от дефекта эпителий обычного строения. Десцеметова мембрана и энодотелий не изменены (рис. 12).
Рис. 12. Фрагмент роговицы после воздействия в группе 2. Фульгурация, режим 6. Окраска гематоксилином и эозином. Увеличение ×100
Fig. 12. Fragment of the cornea after exposure in group 2. Fulguration, mode 6. Stained with hematoxylin and eosin. Magnification ×100
Режим 7. На данном сроке эксперимента область воздействия полностью покрыта неравномерным слоем эпителия, истончающимся к центру. Из-за непрочного соединения эпителия с передней пограничной пластинкой и/или самой пластинки с подлежащей стромой эпителий легко отходит от стромы (что мы и видим на препарате). Для передних 30–40 % стромы характерны редко и рыхло лежащие коллагеновые волокнами с умеренным числом фибробластов, фиброцитов и единичными лимфоцитами. За пределами области воздействия строма обычного строения, но в строме наружных слоёв несколько повышена клеточность за счёт фибробластов. Десцеметова мембрана и энодотелий интактны (рис. 13).
Рис. 13. Фрагмент роговицы после воздействия в группе 2. Фульгурация, режим 7. Окраска гематоксилином и эозином. Увеличение ×40
Fig. 13. Fragment of the cornea after exposure in group 2. Fulguration, mode 7. Stained with hematoxylin and eosin. Magnification ×40
Кросслинкинг + фульгурация. На данном сроке эксперимента при использовании режима 6 в месте воздействия определяются участки как с резко утолщённым многослойным эпителием (до 7 слоёв клеток), так и с истончённым (до 1–2 слоёв). При этом эпителиальный пласт прилежит к строме. Под утолщённым эпителием строма незначительно уплотнена (35–40 %). Истончённый эпителий покрывает участки, представленные несколько утолщёнными коллагеновыми волокнами. Десцеметова мембрана и эндотелий без изменений (рис. 14).
Рис. 14. Фрагмент роговицы после воздействия в группе 2. Кросслинкинг + фульгурация, режим 6. Окраска гематоксилином и эозином. Увеличение ×40
Fig. 14. Fragment of the cornea after exposure in group 2. Cross-linking + fulguration, mode 6. Stained with hematoxylin and eosin. Magnification ×40
При использовании режима 7 в месте воздействия определяются участки утолщения эпителиального слоя, под которыми наблюдается незначительно уплотнённая строма с повышенной клеточностью. Десцеметова мембрана и эндотелий без изменений (рис. 15).
Рис. 15. Фрагмент роговицы после воздействия в группе 2. Кросслинкинг + фульгурация, режим 7. Окраска гематоксилином и эозином. Увеличение ×40
Fig. 15. Fragment of the cornea after exposure in subgroup 2. Crosslinking + fulguration, mode 7. Stained with hematoxylin and eosin. Magnification ×40
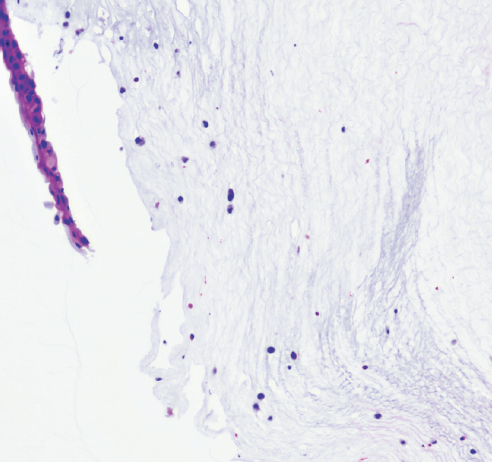
Третий этап эксперимента, морфологический анализ роговиц через 3 дня, группа 3
Режим 7. На месте воздействия определяется дефект — участок стромы роговицы, не покрытый эпителием. Глубина поражения не превышает 1/4 толщины стромы. Волокна стромы лежат рыхло. В области дефекта между коллагеновыми волокнами находятся единичные фиброциты, при этом выявляется умеренное число эозинофилов. Область дефекта окружена уплощённым эпителием, у которого клетки базального слоя очень низкие, ядра в них лежат горизонтально, однако здесь же обнаруживаются небольшие участки утолщения эпителия, в которых клетки лежат неупорядоченно. Строма по краям от дефекта обычного строения, несколько разрыхлена. Десцеметова мембрана и энодотелий без изменений (рис. 16).
Рис. 16. Фрагмент роговицы после воздействия в группе 3. Фульгурация, режим 7. Лейкоциты в строме роговицы. Окраска гематоксилином и эозином. Увеличение ×100
Fig. 16. Fragment of the cornea after exposure in group 3. Fulguration, mode 7. Leukocytes in the stroma of the cornea. Stained with hematoxylin and eosin. Magnification ×100
ОБСУЖДЕНИЕ
На первом этапе эксперимента воздействие на роговицу в режиме 5 как клинически, так и гистологически выглядело недостаточным. Изменения охватывали лишь 10–15 % передней стромы. Учитывая, что в норме толщина роговицы кролика в центре составляет примерно 350 мкм, воздействию подвергались лишь около 50 мкм стромы. При воздействии в режиме 6 и 7 через 3 мес. изменения стромальной структуры распространялись примерно на 150 мкм. Воздействие в режиме 8, по нашему мнению, является избыточным. У кролика на этом режиме воздействия были самые грубые изменения в строме. Кроме того, в патологический процесс вовлекалась десцеметова мембрана.
Сочетание кросслинкинга с фульгурацией позволило получить более компактную структуру передних слоёв стромы роговицы, хорошо проявляющуюся морфологически до глубины 150–200 мкм. По данным литературы известно, что демаркационная линия при проведении оптической когерентной томографии переднего отрезка глаза после кросслинкинга роговицы человека проходит обычно на глубине 300 мкм. Возможно, в нашем исследовании более глубокое уплотнение стромы явно не проявлялось морфологически. Но подобное «уплотнение», по мнению ряда авторов, может уменьшать патологические действия протеолитических ферментов патогенных микроорганизмов на роговицу. По результатам исследования отчетливо видно, что эпителий при комбинированном воздействии в последующем крепче фиксирован к строме, что вероятно можно объяснить более надежными комплексами адгезии за счёт увеличения ковалентных связей из-за проведённого кросслинкинга. По данным эксперимента в первые дни после фульгурации в режиме 7, который является, на наш взгляд, максимально эффективным и при этом безопасным, глубина дефекта роговичной ткани зависит от длительности воздействия, но обычно не превышает 70 мкм. Затем толщина роговичной ткани восстанавливается и уже на сроке около месяца становится относительно равномерной. Таким образом, исходя из данных технической документации прибора и результатов эксперимента, можно сделать заключение, что фульгурация — это прецизионное, контролируемое, щадящее воздействие электротермического характера, позволяющее наносить коагуляты диаметром 0,1 мм2 на глубину около 70 мкм для эрадикации инфекционных агентов при фармакорезистентных прогрессирующих кератитах, когда формирование помутнения при выздоровлении неизбежно.
ВЫВОДЫ
- Фульгурация может быть относительно безопасным способом воздействия на роговицу при фармакорезистентных прогрессирующих кератитах.
- Фульгурация и кросслинкинг роговицы могут потенцировать эффект друг друга.
- Режим фульгурации 7 (1,5 Вт) является оптимальным при воздействии на роговицу для эрадикации инфекционных агентов.
- Комбинация фульгурации с кросслинкингом в лечении фармакорезистентных форм инфекционных кератитов при своевременном выполнении может быть относительно безопасной и эффективной альтернативой неотложной лечебной кератопластике.
ДОПОЛНИТЕЛЬНАЯ ИНФОРМАЦИЯ
Вклад авторов. Все авторы внесли вклад в разработку концепции, проведение исследования и подготовку статьи, прочли и одобрили финальную версию перед публикацией. Личный вклад каждого автора: Р. Бутаба — сбор и обработка материалов, обзор литературы, написание текста; С.В. Труфанов — концепция и дизайн исследования, написание текста; И.А. Рикс — анализ полученных данных, редактирование; М. Эзугбая — обработка материалов; Г.Ю. Юкина, Е.Г. Сухорукова — морфологический анализ; С.С. Папанян — обзор литературы, редактирование; С.Л. Николаенко — научное редактирование; О.В. Горчакова — концепция и дизайн исследования.
Конфликт интересов. Авторы декларируют отсутствие явных и потенциальных конфликтов интересов, связанных с публикацией настоящей статьи.
Источник финансирования. Авторы заявляют об отсутствии внешнего финансирования при проведении исследования.
Этический комитет. Протокол исследования был одобрен локальным этическим комитетом ФГБОУ ВО ПСПбГМУ им. акад. И.П. Павлова (№ 11/2021 от 25.11.2021).
ADDITIONAL INFORMATION
Authors’ contribution. Thereby, all authors made a substantial contribution to the conception of the study, acquisition, analysis, interpretation of data for the work, drafting and revising the article, final approval of the version to be published and agree to be accountable for all aspects of the study. Contribution of each author: R .Boutaba — collection and processing of materials, literature review, writing of the text; S.V. Trufanov — concept and design of the study, writing of the text; I.A. Riks — analysis of the data obtained, editing; M. Ezugbaya — processing of materials; G.Yu. Yukina, E.G. Sukhorukova — morphological analysis; S.S. Papanyan — literature review, editing; S.L. Nikolaenko — scientific editing; O.V. Gorchakova — concept and design of the study.
Competing interests. The authors declare that they have no competing interests.
Funding source. This study was not supported by any external sources of funding.
Ethics approval. The present study protocol was approved by the local Ethics Committee of the Academician I.P. Pavlov First St. Petersburg State Medical University (No. 11/2021, 2021 Nov. 25).
About the authors
Rafik Boutaba
Academician I.P. Pavlov First St. Petersburg State Medical University
Email: dr.rafik_boutaba@mail.ru
ORCID iD: 0000-0002-3700-8255
SPIN-code: 3416-3915
Russian Federation, 6–8 L’va Tolstogo st, Saint-Petersburg, 197022
Sergey V. Trufanov
Academician I.P. Pavlov First St. Petersburg State Medical University
Email: trufanov05@mail.ru
ORCID iD: 0000-0003-4360-793X
SPIN-code: 1603-8931
MD, Dr. Sci. (Medicine)
Russian Federation, Saint PetersburgInna A. Riks
Academician I.P. Pavlov First St. Petersburg State Medical University
Email: riks0503@yandex.ru
ORCID iD: 0000-0002-5187-1047
SPIN-code: 4297-6543
MD, Cand. Sci. (Medicine)
Russian Federation, Saint PetersburgMaggie Ezugbaya
Diagnostic Center No. 7 (ocular)
Email: maggie-92@mail.ru
ORCID iD: 0000-0002-0421-1804
Russian Federation, Saint Petersburg
Galina Yu. Yukina
Academician I.P. Pavlov First St. Petersburg State Medical University
Email: pipson@inbox.ru
ORCID iD: 0000-0001-8888-4135
SPIN-code: 2533-2084
Cand. Sci. (Biology), Assistant Professor
Russian Federation, Saint PetersburgElena G. Sukhorukova
Academician I.P. Pavlov First St. Petersburg State Medical University
Email: len48@inbox.ru
ORCID iD: 0000-0001-5521-7248
SPIN-code: 2115-9041
MD, Cand. Sci. (Medicine)
Russian Federation, Saint PetersburgSanasar S. Papanyan
Diagnostic Center No. 7 (ocular)
Email: Dr.papanyan@yandex.ru
ORCID iD: 0000-0003-3766-2211
SPIN-code: 9794-4692
MD, Cand. Sci. (Medicine)
Russian Federation, Saint PetersburgSvetlana L. Nikolaenko
Academician I.P. Pavlov First St. Petersburg State Medical University
Email: nikolaenkos@yandex.ru
ORCID iD: 0000-0002-5184-3775
MD, Cand. Sci. (Medicine)
Russian Federation, Saint PetersburgOlga V. Gorchakova
Academician I.P. Pavlov First St. Petersburg State Medical University
Author for correspondence.
Email: gorchakova-spmu@yandex.ru
ORCID iD: 0000-0001-5458-4329
MD, Cand. Sci. (Medicine)
Russian Federation, Saint PetersburgReferences
- Raj A, Bahadur H, Dhasmana R. Outcome of therapeutic penetrating keratoplasty in advanced infectious keratitis. J Curr Ophthalmol. 2018;30(4):315–332. doi: 10.1016/j.joco.2018.04.0017
- Tuli S, Gray M. Surgical management of corneal infections. Curr Opin Ophthalmol. 2016;27(4):340–347. doi: 10.1097/ICU.0000000000000274
- Trufanov SV, Shakhbazyan NP, Zaitsev AV, Rozinova VN. Surgical management of infectious keratitis. The Russian Annals of Ophthalmology. 2021;137(4):128135. (In Russ.) doi: 10.17116/oftalma2021137041128
- Trufanov SV, Zaitsev AV, Shakhbazyan NP. Crosslinking and fulguration in the treatment of Acanthamoebic keratitis. Ophthalmology in Russia. 2020;17(4):725–732. (In Russ.) doi: 10.18008/1816-5095-2020-4-725-732
- Tsugita A, Okada Y, Uehara K. Photosensitized inactivation of ribonucleic acids in the presence of riboflavin. Biochim Biophys Acta. 1965;103(2):360–363. doi: 10.1016/0005-2787(65)90182-6
- Goodrich RP, Edrich RA, Li J, Seghatchian J. The Mirasol PRT system for pathogen reduction of platelets and plasma: an overview of current status and future trends. Transfus Apher Sci. 2006;35(1):5–17. doi: 10.1016/j.transci.2006.01.007
- Marschner S, Goodrich R. Pathogen reduction technology treatment of platelets, plasma and whole blood using riboflavin and UV light. Transfus Med Hemother. 2011;38(1):8–18. doi: 10.1159/000324160
- Ruane PH, Edrich R, Gampp D, et al. Photochemical inactivation of selected viruses and bacteria in platelet concentrates using riboflavin and light. Transfusion. 2004;44(6):877–885. doi: 10.1111/j.1537-2995.2004.03355
- Reddy HL, Dayan AD, Cavagnaro J, et al. Toxicity testing of a novel riboflavin-based technology for pathogen reduction and white blood cell inactivation. Transfus Med Rev. 2008;22(2):133–153. doi: 10.1016/j.tmrv.2007.12.003
- Khan YA, Kashiwabuchi RT, Martins SA, et al. Riboflavin and ultraviolet light а therapy as an adjuvant treatment for medically refractive Acanthamoeba keratitis. Ophthalmology. 2011;118(2): 324–331. doi: 10.1016/j.ophtha.2010.06.041
- Garduño-Vieyra L, Gonzalez-Sanchez CR, Hernandez-Da Mota SE. Ultraviolet — a light and riboflavin therapy for Acanthamoeba keratitis. Case Rep Ophthalmol. 2011;2(2):291–295. doi: 10.1159/000331707
- Berra M, Galperin G, Boscaro G, et al. Treatment of Acanthamoeba keratitis by corneal cross-linking. Cornea. 2013;32(2):174–178. doi: 10.1097/ICO.0b013e31825cea99
- Del Buey MA, Cristobal JA, Casas P, et al. Evaluation of in vitro efficacy of combined riboflavin and ultraviolet A for Acanthamoeba isolates. Am J Ophthalmol. 2012;153(3):399–404. doi: 10.1016/j.ajo.2011.07.025
- Lamy R, Chan E, Good SD, et al. Riboflavin and ultraviolet A as adjuvant treatment against Acanthamoeba cysts. Clin Exp Ophthalmol. 2016;44(3):181–187. doi: 10.1111/ceo.12644
- Kashiwabuchi RT, Carvalho FRS, Khan YA, et al. Assessing efficacy of combined riboflavin and UV-A light (365 nm) treatment of Acanthamoeba trophozoites. Investig Ophthalmol Vis Sci. 2011;52(13):9333–9338. doi: 10.1167/iovs.11-8382
- Price MO, Price FW Jr. Corneal cross-linking in the treatment of corneal ulcers. Curr Opin Ophthalmol. 2016;27(3):250–255. doi: 10.1097/ICU.0000000000000248
- Kasparova EA, Zajcev AV, Kasparova EA, Kasparov AA. Micro diathermocoagulation in the treatment of infectious corneal ulcers. Ophthalmology in Russia. 2016;13(3):157–162. (In Russ.) doi: 10.18008/1816-5095-2016-3-157-162
- Patent RU No. 2732696/ 2020 Sept 21. Nespor Radek (CZ). A portable device used primarily for cauterization and drying by spark for cauterization and drying by means of a spark discharge. Moscow: FIPS. (In Russ.)
Supplementary files



















