Development of schematic representations for globe removal and formation of the supporting-motor stump for use in ophthalmological and radiological practice
- Authors: Davydov D.V.1, Gridasova I.S.2, Serova N.S.2, Pavlova O.Y.2, Konovalov K.A.3
-
Affiliations:
- P.A. Herzen Moscow Oncology Research Institute, branch of the National Medical Research Center of Radiology
- I.M. Sechenov First Moscow State Medical University (Sechenov University)
- 1586 Military Clinical Hospital
- Issue: Vol 16, No 4 (2023)
- Pages: 43-53
- Section: Original study articles
- Submitted: 20.11.2023
- Accepted: 02.12.2023
- Published: 12.01.2024
- URL: https://journals.eco-vector.com/ov/article/view/623658
- DOI: https://doi.org/10.17816/OV623658
- ID: 623658
Cite item
Abstract
BACKGROUND: Today, the issue of globe endoprosthetics is an extremely important problem due to several reasons: the presence of various methods for globe removal, the variety of implants and surgical installation techniques, non-standard cavities before prosthetics, the lack of a unified algorithm for examining the patients at the pre- and postoperative stages, as well as difficulties in the rehabilitation of patients with anophthalmos and high aesthetics requirements.
AIM: Development of schematic images of performing various surgical techniques for globe removal and forming a supporting-motor stump for a cosmetic prosthesis.
MATERIALS AND METHODS: During 2020–2023, in different institutions, 43 patients (100%) were examined for globe endoprosthetics, from 18 to 65 years old, 23 men, 20 women. The authors analyzed CT data obtained at the radiological department No. 2 of Sechenov University and at the 1586 Military Clinical Hospital of the Russian Ministry of Defense.
RESULTS: All patients (n = 43; 100%) underwent a globe removal in various modifications depending on the initial condition, in 39 cases (78%) — reconstructive surgery for the endoprosthesis installation in order to form a volumetric supporting-motor stump, and further external cosmetic prosthetics. In 10 patients (22%), the endoprosthesis was installed after enucleation of the globe, in 33 (78%) — after evisceration in various modifications.
CONCLUSIONS: This paper presents schematic images of various techniques for surgical globe removal, formation of a supporting-motor stump, types of endoprostheses, the options of external cosmetic prosthetics and the presence of complications, as well as a CT protocol for the description of obtained images.
Full Text
BACKGROUND
According to official data, in the Russian Federation, more than 400 thousand people are in need of ocular prosthetics [1–3]. The complexity of this problem is caused by several factors at once: presence of different methods of eyeball removal, diversity of existing implants and surgical implantation techniques, special aspects of non-standard cavities before prosthesis placement, absence of unified algorithm for examining patients at pre-and postoperative stages, as well as difficulties in the rehabilitation of patients with anophthalmos, and high aesthetics requirements. In the Russian Federation, annually, about 12 thousand surgical procedures of eyeball removal are performed, wherein more than 50% of patients are working-age individuals (from 14 to 45 years) [1–3].
Among causes of eyeball removal most commonly traumatic eye injuries and their sequelae in young and working-age people are named, they are followed by oncologic diseases, secondary absolute operated glaucoma, buphthalmos, sympathetic ophthalmia and uveitis with impending sympathetic ophthalmia, as well as cosmetic indications for a blind eye removal [4–7].
After enucleation, significant deformations of orbital structures occur: soft tissues, not encountering the pressure of the eye, are displaced anteriorly, the soldered with them conjunctival sac is shortened, all the eye socket changes its form. The recti muscles after being cut constrict and bead the tenon capsule edges reshaping it into an irregular trapezoid [2, 5, 6–8]. As a result of eye removal without a volumetric supporting-motor stump (SMS) formation, in patients arises a wide range of problems of psychological, physiological, cosmetical, and social character, which substantially influence their quality of life. In some cases, the SMS is formed from local tissues without simultaneous implant installation, as a result, conditions are created for the “anophthalmic syndrome” development [9, 10].
There is a lot of different methods of eyeball removal, all of them having a common objective – to eliminate the pain syndrome in a blind eye, to create a volumetric supporting stump for maximum possible transmission of motion on the cosmetic prosthesis and to exclude the risk of sympathetic ophthalmia development in the fellow eye and to preserve herewith a cosmetically acceptable appearance [1–9]. To preserve a correct relationship of anatomical structures in the orbit, the eyeball removal has to be performed using an orbital implant or an endoprosthesis, which would replete of the eye to be removed taking into consideration the parameters of the fellow eye. Besides, the eyeball removal performed with the SMS formation promotes the correct position of the ocular prosthesis in the cavity, preservation of the normal tone, and symmetric eyelid contour [1–9, 11].
Endoprostheses of the eyeball are medical prostheses used for eyeball replacement and formation of a volumetric mobile SMS [1–5, 7–9, 12–14]. For the SMS formation, there is a variety of different materials and constructions: formed and non-formed autotrasplants (fat, cartilage, dermato-adipose or fascial flaps, etc.), allotransplants (costal cadaver cartilage, bone, etc.), covered or uncovered implants from natural or synthetic hydroxyapatite and ceramic implants, polymer implants (polyethylene, polytetrafluorethylene, hydrogel, silicone, etc.), metallic implants (titanium nickelide, and more), non-formed synthetic (carbon felt, collagen hemostatic sponge, etc.) [1–5, 7–9, 12–14].
Each patient with anophthalmic syndrome and planned endoprosthetics of the eyeball needs an individual approach at examination and choice of orbital implant, with an obligatory consideration of anatomic features and parameters of the orbit, to obtain an esthetically satisfactory result; this may be achieved only on the basis of use of planning based on high-tech methods of radiologic imaging, in particular, with the aid of computed tomography [9, 11, 15, 16].
Not least important is the matter of choice of surgical technique: eyeball removal by enucleation or evisceration depending on the pathological process, as well as technique of the supporting-motor stump formation end endoprosthetics with the aim of obtaining optimal functional and esthetic result at individual prosthetics.
Aim – to develop schematic images of performing various surgical techniques for globe removal and forming a supporting-motor stump for a cosmetic prosthesis.
MATERIALS AND METHODS
During 2020–2023, in different institutions, 43 patients (100%) were examined for globe endoprosthetics, from 18 to 65 years old, 23 men, 20 women.
The authors analyzed computed tomography (CT) data obtained at the radiological department No. 2 of Sechenov University and at the 1586 Military Clinical Hospital of the Russian Ministry of Defense.
The interpretation of the CT-data in patients started from the analysis of multiplanar reconstructions in the “bone window” mode. At the same time, an important aspect of the correct analysis was the image leveling on a workstation, aimed at maximal side symmetry. To obtain a high-quality image of orbital sockets in the sagittal plane, the leveling of the image by the optic nerve section in the axial plane was performed.
RESULTS
All patients (n = 43; 100%), underwent a surgery – a globe removal in various modifications depending on the initial condition, in 39 cases (78%) – reconstructive surgery for the eyeball endoprosthesis installation in order to form a volumetric SMS, and further external cosmetic prosthetics. In 10 patients (22%), the endoprosthesis was installed after enucleation of the globe, in 33 (78%) – after evisceration in various modifications.
At the analysis of the surgery data, schematic images of various techniques for surgical globe removal and formation of a SMS to be used in practice by ophthalmologists and X-ray specialists. At the analysis of the CT-data, a protocol of description and the criteria for evaluation of eyeball endoprosthetics efficacy were created (Fig. 1–19).
Fig. 1. Schematic representation of the normal orbital structure. The globe is round in shape, with clear, even contours, the lens is visualized. The optic nerve and recti extraocular muscles can be traced throughout their entire length, with clear, even contours. The density and structure of the orbital fat tissue is homogeneous. No additional masses, bone-traumatic or bone-destructive changes were identified
Рис. 1. Схематическое изображение структуры орбиты в норме. Глазное яблоко округлой формы, с чёткими ровными контурами, хрусталик визуализируется. Зрительный нерв и прямые глазодвигательные мышцы прослеживаются на всём протяжении, с чёткими ровными контурами. Плотность и структура жировой клетчатки орбиты однородная. Дополнительных образований, костно-травматических или костно-деструктивных изменений не выявлено
Fig. 2. MSCT of the orbit, axial section, soft tissue reconstruction. Normal orbital structures. The globe is round in shape, with clear, even contours, the lens is visualized. The optic nerve and recti extraocular muscles can be traced throughout their entire length, with clear, even contours. The density and structure of orbital fat tissue is homogeneous, ranging approximately from –80 to –110 HU. No additional masses, bone-traumatic or bone-destructive changes were identified
Рис. 2. МСКТ орбиты, аксиальный срез, режим мягкотканной реконструкции. Структуры орбиты в норме. Глазное яблоко округлой формы, с чёткими ровными контурами, хрусталик визуализируется. Зрительный нерв и прямые глазодвигательные мышцы прослеживаются на всём протяжении, с чёткими ровными контурами. Плотность и структура жировой клетчатки орбиты однородная, приблизительно от –80 до –110 HU. Дополнительных образований, костно-травматических или костно-деструктивных изменений не выявлено
1. Enucleation method
Fig. 3. Complete removal of the globe without simultaneous formation of a supporting-motor stump and without installation of an endoprosthesis. The remaining fragment of the optic nerve is present, contracted oculomotor muscles are visualized in the posterior section
Рис. 3. Полное удаление глазного яблока без одномоментного формирования ОДК и установки эндопротеза, оставшийся фрагмент зрительного нерва, в заднем отделе визуализируются сократившиеся глазодвигательные мышцы
Fig. 4. The state after enucleation without the simultaneous formation of a supporting-motor stump and the installation of an endoprosthesis. The remaining fragment of the optic nerve is present, contracted extraocular muscles are stitched together in the middle part of the orbit
Рис. 4. Состояние после энуклеации без одномоментного формирования ОДК и установки эндопротеза, оставшийся фрагмент зрительного нерва, сократившиеся глазодвигательные мышцы сшиты между собой в среднем отделе орбиты
Fig. 5. Condition after enucleation, neurectomy, formation of a supporting-motor stump: implantation of a spherical endoprosthesis, the extraocular muscles are connected to the endoprosthesis
Рис. 5. Состояние после энуклеации, неврэктомия, формирование ОДК: имплантация сферического эндопротеза, глазодвигательные мышцы подшиты к эндопротезу
Fig. 6. The state after enucleation, neurectomy, formation of a supporting-motor stump: implantation of a spherical endoprosthesis, the extraocular muscles are stitched in front of the endoprosthesis
Рис. 6. Состояние после энуклеации, неврэктомия, формирование ОДК: имплантация сферического эндопротеза, глазодвигательные мышцы сшиты перед эндопротезом
Fig. 7. An external cosmetic prosthesis is installed in the conjunctival cavity, congruent with the anterior surface of the stump
Рис. 7. В конъюнктивальной полости установлен наружный косметический протез, конгруэнтный передней поверхности культи
Fig. 8. MSCT of the orbit, axial section, bone reconstruction regimen. The state after enucleation of the right globe because of retinoblastoma without formation of a supporting-motor stump and installation of an endoprosthesis. In the anterior parts of the right orbit, an external cosmetic prosthesis is visualized with its prolapse into the orbital cavity, as well as the optic nerve stump and extraocular muscles
Рис. 8. МСКТ орбиты, аксиальный срез, режим костной реконструкции. Состояние после энуклеации правого глазного яблока по поводу ретинобластомы без формирования ОДК и установки эндопротеза. В передних отделах правой орбиты визуализируется наружный косметический протез с пролабированием его в полость орбиты (КТ-признаки энофтальма, стрелка), а также культя зрительного нерва и глазодвигательные мышцы
2. Evisceration method
Fig. 9. Evisceration technique with removal of the cornea without simultaneous formation of a supporting-motor stump and installation of an endoprosthesis. First stage: removal of the cornea
Рис. 9. Методика эвисцерации с удалением роговицы без одномоментного формирования ОДК и установки эндопротеза. Первый этап: удаление роговицы
Fig. 10. Evisceration technique with removal of the cornea without simultaneous formation of a supporting-motor stump and installation of an endoprosthesis. Second stage: the residual sclera (scleral sac) in a free state is visualized in the orbital cavity
Рис. 10. Методика эвисцерации с удалением роговицы без одномоментного формирования ОДК и установки эндопротеза. Второй этап: в полости орбиты визуализируются остаточная склера (склеральный мешок) в свободном состоянии
Fig. 11. Evisceration technique with removal of the cornea. Third stage: removal of the posterior pole of the sclera with neurectomy, installation of a spherical endoprosthesis
Рис. 11. Методика эвисцерации с удалением роговицы. Третий этап: удаление заднего полюса склеры с неврэктомией, установка сферического эндопротеза
Fig. 12. Evisceration technique with removal of the cornea with simultaneous formation of a supporting-motor stump and installation of an endoprosthesis. Stage four: installation of an external cosmetic prosthesis
Рис. 12. Методика эвисцерации с удалением роговицы с одномоментным формированием ОДК и установкой эндопротеза. Четвертый этап: установка наружного косметического протеза
Fig. 13. MSCT of the orbit, axial section, soft tissue reconstruction. The state after evisceration of the right globe due to its injury. Evisceration technique with removal of the cornea without simultaneous formation of a supporting-motor stump and installation of an endoprosthesis. Second stage: in the orbital cavity, the residual sclera is visualized in a free state (arrow), the tortuous course of the optic nerve is visualized, recti extraocular muscles are noted, the inferior rectus muscle is thickened, prolapses into the region of the maxillary sinus; post-traumatic changes and defects of the orbital floor are visualized
Рис. 13. МСКТ орбиты, аксиальный срез, режим мягкотканной реконструкции. Состояние после эвисцерации правого глазного яблока по поводу травмы глаза. Методика эвисцерации с удалением роговицы без одномоментного формирования ОДК и установки эндопротеза. Второй этап: в полости орбиты визуализируются остаточная склера в свободном состоянии (стрелка), отмечается извитой ход зрительного нерва, прямые глазодвигательные мышцы, нижняя прямая глазодвигательная мышца утолщена, пролабирует книзу, в область верхнечелюстного синуса; отмечаются посттравматические изменения и дефекты нижней стенки орбиты
3. External cosmetic prosthetics
Fig. 14. Installation of a non-spherical endoprosthesis after complete globe removal without simultaneous formation of a supporting-motor stump. In the posterior section, contracted extraocular muscles and the optic nerve stump are visualized; in the anterior section, a non-spherical endoprosthesis is visualized
Рис. 14. Установка несферического эндопротеза после полного удаления глазного яблока без одномоментного формирования ОДК. В заднем отделе визуализируются сократившиеся глазодвигательные мышцы и культя зрительного нерва, в переднем отделе визуализируется наружный протез
Fig. 15. Installation of an external cosmetic prosthesis congruent with the supporting-motor stump after removal of the eyeball by enucleation
Рис. 15. Положение наружного косметического протеза, конгруэнтного с ОДК после удаления глазного яблока методом энуклеации
Fig. 16. Installation of an external cosmetic prosthesis after globe removal using the evisceration method with removal of the cornea. The external cosmetic prosthesis is congruent with the surface of the endoprosthesis; there is no liquid or air vacuoles between them
Рис. 16. Установка наружного косметического протеза после удаления глазного яблока методом эвисцерации с удалением роговицы. Наружный косметический протез конгруэнтен поверхности эндопротеза, между ними отсутствует жидкость или вакуоли воздуха
Fig. 17. MSCT of the orbit, axial section, soft tissue reconstruction mode. The state after endoprosthesis installation after evisceration of the right globe. In the anterior part of the right orbit, a centrally located endoprosthesis is visualized (red arrow), round in shape, with homogeneous structure, 20 mm in diameter, with an average density of +372 HU, no additional inclusions in the area of the prosthesis were identified, the endoprosthesis capsule with clear, even contours is visualized in the anterior part. An external cosmetic prosthesis is adjacent to the front surface of the endoprosthesis (green arrow). The orbital floor of the right orbit is reconstructed with a mesh implant, without any signs of bone-destructive changes
Рис. 17. МСКТ орбиты, аксиальный срез, режим мягкотканной реконструкции. Состояние после эндопротезирования правого глазного яблока после эвисцерации. В переднем отделе правой орбиты визуализируется центрально расположенный эндопротез (красная стрелка), округлой формы, однородной структуры, диаметром 20 мм, средней плотностью +372 HU, дополнительных включений в области протеза не выявлено, в передней части визуализируется капсула эндопротеза с чёткими ровными контурами. К передней поверхности эндопротеза прилежит наружный косметический протез (зелёная стрелка). Нижняя стенка правой орбиты протезирована сетчатым имплантатом, без признаков костно-деструктивных изменений
Fig. 18. Installation of an external cosmetic prosthesis after globe removal with evisceration technique. The external cosmetic prosthesis is congruent with the surface of a supporting-motor stump, liquid content is noted between them
Рис. 18. Положение наружного косметического протеза после удаления глазного яблока методом эвисцерации. Наружный косметический протез конгруэнтен поверхности опорной культи, между ними отмечается жидкостное содержимое
Fig. 19. Installation of an external cosmetic prosthesis after globe removal with evisceration technique. Lack of congruence between the surfaces of a supporting-motor stump and the external cosmetic prosthesis
Рис. 19. Установка наружного косметического протеза после удаления глазного яблока методом эвисцерации. Отсутствие конгруэнтности проверхностей опорной культи и наружного косметического протеза
At the analysis of methods for surgical globe removal and SMS formation, the criteria for evaluation of endoprosthetics with the aim of increasing efficacy of a correct evaluation and description of the CT-data in this category of patients (Fig. 20–21).
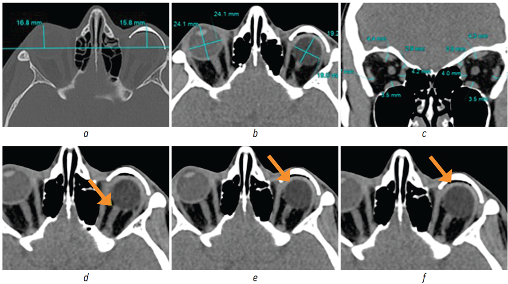
Fig. 20. MSCT of the orbit: а — axial plane, bone window mode (assessment of the symmetry of the anterior contour of the external cosmetic prosthesis and the contralateral globe using a line drawn through the zygomatico-frontal sutures on both sides and perpendiculars to this line); b — axial plane, soft tissue window mode (assessment of the globe and endoprostheses size); c — coronal reconstruction, soft tissue window mode (assessment of the symmetry and size of recti extraocular muscles and the superior oblique muscle); d–f — axial planes, soft tissue window mode [d — assessment of the optic nerve stump and the distance from the stump to the endoprosthesis (arrow); e — assessment of the endoprosthesis capsule (arrow); f — assessment of the space between the external cosmetic prosthesis and the endoprosthesis (arrow)]
Рис. 20. МСКТ орбит: а — аксиальный срез, режим костного окна (оценка симметричности выстояния переднего контура наружного косметического протеза и контралатерального глазного яблока при помощи линии, проведённой через скулолобные швы с обеих сторон и перпендикуляры к данной линии); b — аксиальный срез, режим мягкотканного окна (оценка размеров глазного яблока и размеров эндопротезов); c — корональная реконструкция, режим мягкотканного окна (оценка симметричности и размеров прямых глазодвигательных мышц и верхней косой мышцы); d–f — аксиальные срезы, режим мягкотканного окна [d — оценка культи зрительного нерва и расстояния от культи до эндопротеза (стрелка); e — оценка капсулы эндопротеза (стрелка); f — оценка пространства между наружным косметическим протезом и эндопротезом (стрелка)]
Fig. 21. Eyeball endoprosthetics: a — schematic representation of orbital structures (Э — endoprosthesis, K — nerve stump, Н — external cosmetic prosthesis); b — MSCT of the orbit, sagittal reconstruction, soft tissue window mode, with intravenous contrast, state after endoprosthetics of the left globe. In the anterior part of the left orbit, a centrally located endoprosthesis is visualized (red arrow), round in shape, with homogeneous structure, of 20 mm in diameter, average density of –33 HU, no additional inclusions in the area of the prosthesis were identified, in the anterior part an endoprosthesis capsule with clear, even contours is visualized. An external cosmetic prosthesis (green arrow) is adjacent to the front surface of the endoprosthesis, with the presence of air vacuoles between them
Рис. 21. Эндопротезирование глазного яблока: a — схематическое изображение структур орбиты (Э — эндопротез, К — культя нерва, Н — наружный косметический протез; b — МСКТ орбит, сагиттальный срез, режим мягкотканного окна, с внутривенным контрастированием, состояние после эндопротезирования левого глазного яблока. В переднем отделе левой орбиты визуализируется центрально расположенный эндопротез (красная стрелка), округлой формы, однородной структуры, диаметром 20 мм, средней плотностью –33 HU, дополнительных включений в области протеза не выявлено, в передней части визуализируется капсула эндопротеза с чёткими ровными контурами. К передней поверхности эндопротеза (к опорной культе) прилежит наружный косметический протез (зелёная стрелка), с наличием вакуолей воздуха между ними
At description of the CT-images in patients after eyeball endoprosthetics, the most important were the evaluation criteria:
- of the endoprosthesis and the supporting-motor stump;
- of the external cosmetic prosthesis;
- of extraocular muscles;
- of surrounding soft-tissue orbital structures;
- of bone walls of the orbit (Fig. 21).
DISCUSSION
In the article, detailed schematic images are presented of various eyeball removal methods (enucleation, evisceration) and of the subsequent endoprosthetics to be used in practice by ophthalmologists and X-ray specialists; depending on the pathological process, which led to the globe removal: traumatic injuries of the eyeball and their sequelae, oncologic diseases, secondary absolute operated glaucoma, buphthalmos, sympathetic ophthalmia, uveitis with impending sympathetic ophthalmia, as well as cosmetic indications for a blind eye removal.
When a patient with an anophthalmic syndrome or with a planned eyeball removal with subsequent reconstructive procedure addresses an ophthalmologist, to obtain an objective information on the state of bone and soft-tissue orbital structures, a MSCT imaging is indicated. Wherein the specialist performing and describing the results of the examination has to receive from the ophthalmologist specific clinical objectives to correctly perform the orbital MSCT imaging and to form the protocol and the conclusion.
Analyzing the CT-data, the X-ray specialist has to form the description protocol and to provide objective information on the state of orbital structures after globe removal and SMS formation. To do this, one has to possess basic knowledge on different techniques of surgical eyeball removal, SMS creation, types of endoprostheses, options of external cosmetic prosthetics, and presence of complications. In the article, schematic images of main methods in endoprosthetics are presented, on which one could base at the analysis of CT-imaging in this category of patients.
CONCLUSIONS
MSCT of the orbits is the optimal method for analyzing the state of a patient after endoprosthetics of the globe. The protocol of the CT-data description has to include the presented criteria of the description of endoprosthesis, SMS and their interactions with the external cosmetic prosthesis, as well as the analysis of the state of orbital bone walls.
ADDITIONAL INFORMATION
Authors’ contribution. Thereby, all authors have made a significant contribution to the development of the concept, research, and preparation of the article, as well as read and approved the final version before its publication. Personal contribution of the authors: D.V. Davydov — concept and design of the study, analysis of the obtained data, final edits; I.S. Gridasova — development of diagrams and images, literature review; N.S. Serova — study concept and design, consultation of diagrams and CT images; O.Yu. Pavlova — collection and processing of materials, literature review, text writing; K.A. Konovalov — analysis of the received data, adding images.
Competing interests. The authors declare that they have no competing interests.
Funding source. This study was not supported by any external sources of funding.
Consent for publication. Written consent was obtained from the patient for publication of relevant medical information and all accompanying images within the manuscript.
About the authors
Dmitry V. Davydov
P.A. Herzen Moscow Oncology Research Institute, branch of the National Medical Research Center of Radiology
Email: d-davydov3@yandex.ru
ORCID iD: 0000-0002-8025-4830
SPIN-code: 1368-2453
MD, Dr. Sci. (Medicine), Professor
Russian Federation, MoscowIrina S. Gridasova
I.M. Sechenov First Moscow State Medical University (Sechenov University)
Email: dr.gridasova_irina@mail.ru
ORCID iD: 0009-0001-4851-3054
Russian Federation, Moscow
Nataliya S. Serova
I.M. Sechenov First Moscow State Medical University (Sechenov University)
Email: dr.serova@yandex.ru
ORCID iD: 0000-0003-2975-4431
SPIN-code: 4632-3235
Dr. Sci. (Medicine), Professor, Corresponding Member of the Russian Academy of Sciences
Russian Federation, MoscowOlga Yu. Pavlova
I.M. Sechenov First Moscow State Medical University (Sechenov University)
Email: pavlova_o_yu@staff.sechenov.ru
ORCID iD: 0000-0001-8898-3125
SPIN-code: 8326-0220
MD, Cand. Sci. (Medicine)
Russian Federation, 8/2 Trubetskaya st., Voscow, 119048Konstantin A. Konovalov
1586 Military Clinical Hospital
Author for correspondence.
Email: kkonovalov82@mail.ru
ORCID iD: 0000-0002-6880-0077
SPIN-code: 3604-0676
MD, Cand. Sci. (Medicine)
Russian Federation, MoscowReferences
- Gushchina MB, Yuzhakova NS, Gavrilova NA, Kondratenko TS. Eye removal surgical techniques. Russian Journal of Clinical Ophthalmology. 2020;20(1):37–48. doi: 10.32364/2311-7729-2020-20-1-37-48
- Luzyanina VV. Ophthalmoplasty in ocular prosthetics. Pacific Medical Journal. 2016;61(3):32–35. doi: 10.17238/PmJ1609-1175.2016.3.32-36
- Davydov DV, Baranova NA. Results of surgical treatment and rehabilitation of patients with post-traumatic subatrophy and anophthalmic syndrome in combination with bone deformities of the orbit. Ophthalmology Reports. 2022;15(4):15–26. doi: 10.17816/OV115061
- Yarovoy AA, Bulgakova ES, Shatskikh AV, Shokirova MM. Primary endoprosthetic replacement of the anophthalmic orbit in patients with uveal melanoma: six-year follow-up results. Head and neck tumors. 2012;(2):62–66.
- Patent RUS № 2337652(13) C1/ 2008. Filatova IA, Ali Habib Harb. Method of forming the musculoskeletal stump for the eye prosthesis. (In Russ.)
- Tsurova LM, Milyudin ES. Results of using the allogenic orbital implant after removal of an eyeball. Practical medicine. 2017;(9): 243–246.
- Ivanov VV. Problems of creation of mobile stump for cosmetic eye prosthesis. Siberian Medical Review. 2009;(4).
- Ivolgina IV. The peculiarities of the use of different implants in musculoskeletal stump formation after enucleation. Vestnik Tomskogo Gosudarstvennogo Universiteta, Matematika i Mekhanika. 2015;20(3):577–579.
- Reiter MJ, Schwope RB, Kini JA, et al. Postoperative imaging of the orbital contents. RadioGraphics. 2015;35(1):221–234. doi: 10.1148/rg.351140008
- Filatova IA, Mohammad IM, Denisyuk VO. Choice of the method of eye removal (enucleation/evisceration) based on clinical and instrumental data. Russian national ophthalmologic forum. 2019;(2): 520–522. (In Russ.)
- Coskun U, Ozturk S, Zor F, et al. Imaging of porous polyethylene implant by using multidetector spiral computed tomography. J Craniofac Surg. 2008;19(1):156–158. doi: 10.1097/scs.0b013e31815c8a3a
- Valuev LI, Davydov DV, Sytov GA, Valuev IL. Hydrophilic hydrogel materials for ophthalmic reconstructive and restorative surgery. Journal Technologies of Living Systems. 2008;5(5–6):45–48.
- Bespalova EO. Long-term results of implantation of elastic hydrogel endoprosthesis for the formation of the supporting stump at eye removal in children [dissertation]. Moscow, 2004. 110 p. (In Russ.)
- LeBedis CA, Sakai O. Nontraumatic orbital conditions: diagnosis with CT and MR imaging in the emergent setting. RadioGraphics. 2008;28(6):1741–1753. doi: 10.1148/rg.286085515
- Pavlova OYu, Serova NS. MSCT protocol in midface trauma diagnostics. Russian electronic journal of radiology. 2016;6(3):48–53. doi: 10.21569/2222-7415-2016-6-3-48-53
- Sahakyan SV, Amiryan AG, Myakoshina EB. Difficulties of differential diagnostics and errors in planning of plastic-reconstructive surgeries in periorbital region pathology. Annals of Plastic Reconstructive and Aesthetic Surgery. 2018;(4):124–125.
Supplementary files

























