Implantation of Ahmed drainage device in secondary “silicone” glaucoma. Features of the postoperative course
- Authors: Starostina A.V.1, Sidorova A.V.1, Uyanaeva A.A.1, Sorokoletov G.V.1, Burlakov K.S.1
-
Affiliations:
- S. Fyodorov Eye Microsurgery Federal State Institution
- Issue: Vol 17, No 4 (2024)
- Pages: 67-75
- Section: Original study articles
- Submitted: 21.03.2024
- Accepted: 06.09.2024
- Published: 30.12.2024
- URL: https://journals.eco-vector.com/ov/article/view/629319
- DOI: https://doi.org/10.17816/OV629319
- ID: 629319
Cite item
Abstract
BACKGROUND: Despite the high technological effectiveness of treatment methods for vitreoretinal conditions, secondary glaucoma is a fairly common complication in the postoperative period, especially after tamponade with silicone oil.
AIM: The aim of this study is to evaluate the effectiveness of Ahmed valve drainage device implantation in secondary glaucoma after vitreoretinal surgery with silicone oil tamponade and after the silicone oil removal.
MATERIALS AND METHODS: The study included 42 patients with secondary glaucoma after vitreoretinal procedures with silicone oil tamponade for rhegmatogenous retinal detachment. Patients were divided into two groups: group 1 included 27 patients with avitria after silicone oil removal, group 2 — 15 patients with silicone oil tamponade in whom silicone oil removal was not indicated for various reasons. Before surgery, decompensation of intraocular pressure was detected in all patients (32.5 ± 2.9 mmHg, at the maximum hypotensive regimen), visual acuity varied from counting fingers to 0.5 with no correction of refractive error possible.
RESULTS: In all cases, anti-glaucoma surgeries with Ahmed valve implantation were performed without complications. In the early postoperative period, the hypotensive effect was achieved in 100% of cases in both groups, the level of intraocular pressure on the first day after surgery in patients with avitria after removal of silicone oil averaged 9.3 ± 1.5 mmHg, in the group with silicone oil in the vitreal cavity — 10.2 ± 1.8 mmHg. The most common complication in the early postoperative period in patients with silicone oil tamponade was a shallow anterior chamber (in 40% of cases). Intraocular pressure was compensated in all patients within 12 months.
CONCLUSIONS: The use of Ahmed drainage device is an effective method of intraocular pressure normalization in patients with secondary glaucoma after vitreoretinal procedures, both with silicone oil tamponade and avitria.
Full Text
BACKGROUND
Secondary glaucoma is a quite common complication of vitreoretinal surgery (VRS), despite the advanced treatment technologies. Understanding the etiology and pathogenesis of increased post-VRS intraocular pressure (IOP) is crucial for choosing a treatment method for secondary glaucoma.
VRS advancements significantly decreased intra- and postoperative complications, but the procedures are often accompanied by increased IOP and secondary glaucoma. Published data suggests that an increase in IOP can be observed after all VRS types, including scleral buckling, vitrectomy, tamponade with silicone oil or a gas-air mixture, and after intravitreal administration of glucocorticoids and vascular endothelial growth factor inhibitors [1]. Increased IOP is the second most common complication of VRS with silicone oil tamponade following cataract, with the frequency of 2.2%–56% according to various authors [2].
The main pathogenetic mechanism of secondary glaucoma after silicone oil tamponade is its emulsification, as the smallest silicone oil bubbles penetrate all eye structures, in particular the trabecular meshwork, which leads to functional drainage disorders and increased IOP [3, 4]. The frequency of silicone oil emulsification directly depends on the tamponade duration. With tamponade time of 1–3 months, the risk of silicone oil emulsification is minimal. If silicone oil is removed at postoperative months 2, 6, or later, IOP increases in 29%, up to 33% and 64% of cases, respectively [4–6]. If prolonged tamponade is required, published data recommends revision of the vitreous cavity with replacing the silicone oil [5, 6].
Drug therapy of glaucoma associated with silicone oil tamponade is not always effective, and the disease requires surgery in some cases. Implantation of drainage devices has shown the greatest effectiveness in treating this type of secondary glaucoma. Ahmed, Molteno, Paul, Baerveldt, and other drainage devices are the most common outside Russia. The Ahmed valve is most often implanted in Russia. Published data states that the frequency of persistent IOP normalization after implantation of drainage devices reaches 50%–76% in secondary glaucoma caused by silicone oil emulsification [7–11].
The study aimed to evaluate the effectiveness of Ahmed valve implantation in glaucoma secondary to VRS with silicone oil tamponade and the effect after its removal.
MATERIALS AND METHODS
The study included 42 patients (42 eyes) with secondary glaucoma associated with VRS for rhegmatogenous retinal detachment with silicone oil tamponade, who were divided into two groups of 27 patients (27 eyes) with the empty vitreous cavity after silicone oil removal and 15 patients (15 eyes) with silicone oil tamponade, who were not eligible for its removal for various reasons. At the time of the examination, the diagnostic data showed that all patients had IOP decompensation of 32.5 ± 2.9 mmHg while on the most aggressive hypotensive therapy regimen; visual acuity ranged from finger counting to 0.5.
Biomicroscopy revealed silicone oil droplets of varying severity under the conjunctiva and in the anterior chamber aqueous, as well as droplet settlement on the corneal endothelium, iris surface, and intraocular lens in all patients (Fig. 1).
Fig. 1. Biomicroscopy: drops of emulsified silicone oil under the conjunctiva
Рис. 1. Биомикроскопия: капли эмульгированного силиконового масла под конъюнктивой
Gonioscopy found droplets of emulsified silicone oil at the anterior chamber angle (Fig. 2).
Fig. 2. Gonioscopy: drops of emulsified silicone oil on the structures of the anterior chamber angle
Рис. 2. Гониоскопия: капли эмульгированного силиконового масла на структурах угла передней камеры
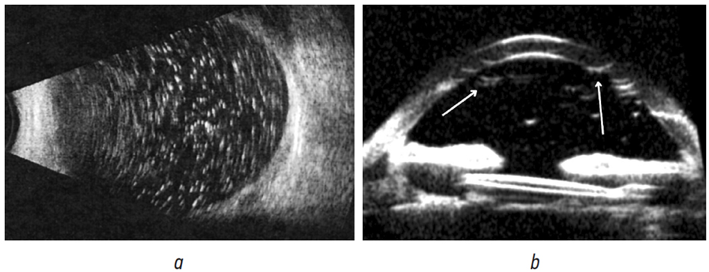
B-scan and ultrasound biomicroscopy revealed settlement of emulsified silicone oil droplets on the eye structures (Fig. 3).
Fig. 3. B-scan: Multiple drops of emulsified silicone oil in the vitreal cavity (a). Ultrasound biomicroscopy: deposition of silicone oil droplets on the corneal endothelium, iris surface, capsule and zonules; silicone bubbles are indicated by arrows (b)
Рис. 3. В-сканирование: множественные капли эмульгированного силиконового масла в витреальной полости (a). Ультразвуковая биомикроскопия: отложение капель силиконового масла на эндотелии роговицы, поверхности радужки, капсуле и связках хрусталика; стрелками указаны пузырьки силикона (b)
All patients underwent Ahmed valve implantation using the procedure described below. Retrobulbar anesthesia was the first step. A 5–6 mm conjunctival incision was made along the limbus in the superior temporal quadrant. The drainage device was activated with 0.9% sodium chloride solution and fixed to the sclera 8–10 mm to the limbus with two interrupted sutures. Then a 1/3 thickness limbal-based scleral flap sized 6 × 4 mm was formed. A tunnel into the anterior chamber was made parallel to the iris under the scleral flap using a 23G needle, and then the anterior chamber was filled with a cohesive viscoelastic. The silicone tube was shortened and implanted 2–3 mm into the anterior chamber. The superficial scleral flap was fixed with 3–4 interrupted sutures, then the conjunctiva was closed. The final step of the procedure included a subconjunctival injection of an antibiotic and glucocorticoid.
The follow-up period ranged from 3 to 12 months. Follow-up examinations were performed on days 1, 3, and then 7, and 1, 6, and 12 months after surgery.
RESULTS
There were no complications in all cases of Ahmed glaucoma valve implantation. On postoperative day 1, mean IOP (pneumatic tonometry) was 9.3 ± 1.5 mmHg in patients with the empty vitreous cavity after silicone oil removal and 10.2 ± 1.8 mmHg in patients with silicone oil tamponade (Table 1).
Table 1. The level of intraocular pressure in patients after implantation of Ahmed glaucoma valve during follow-up at 1, 6, 12 months
Таблица 1. Уровень внутриглазного давления у пациентов после имплантации клапанного дренажа Ahmed в сроки наблюдения 1, 6, 12 мес.
Follow-up period | Group 1 (n = 27) | Group 2 (n = 15) |
Month 1 | 14.3 ± 1.5 mmHg | 15 ± 1.8 mmHg |
Month 6 | 15.9 ± 1.6 mmHg (33% of patients treated with hypotensive eye drops) | 16.3 ± 1.7 mmHg (33% of patients treated with hypotensive eye drops) |
Month 12 | 18.1 ± 1.3 mmHg (62% of patients treated with hypotensive eye drops) | 18.2 ± 1.1 mmHg (67% of patients treated with hypotensive eye drops) |
In the early postoperative period, 3 patients in group 1 and 1 patient in group 2 developed hyphema on day 1–2, which appeared as suspended blood in the anterior chamber aqueous and resolved on day 4–5 without treatment. Two patients in group 1 had hypotony of 4–6 mmHg during the first 5 days. One patient in group 1 had peripheral thin choroidal detachment, which resolved with drug therapy.
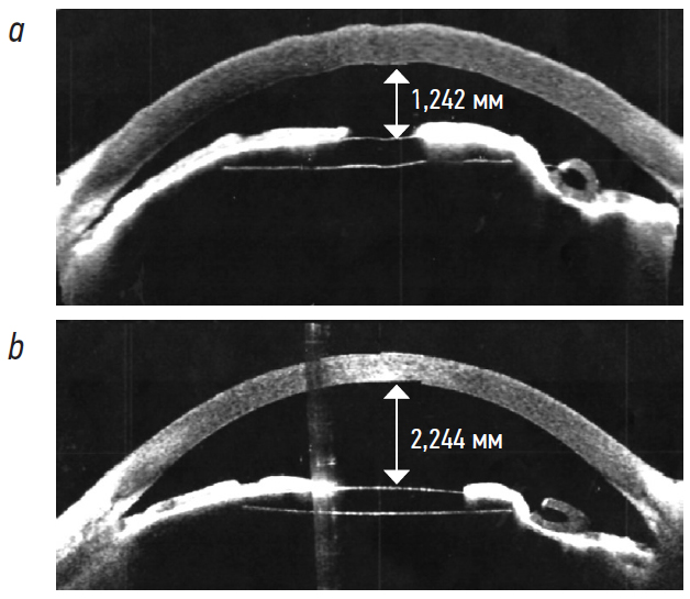
In the early postoperative period, biomicroscopy in patients in group 2 revealed anterior chamber shallowing associated with silicone oil in the vitreous cavity (Table 2). During postoperative follow-up, adherence to the recommended “correct” position of patients in bed (the prone position for patients with light silicone oil tamponade, and the supine position for patients with heavy silicone oil tamponade) in combination with local glucocorticoid therapy enhanced the treatment effect in this group. This complication resolved in all cases within 2–5 days (Fig. 4).
Таблица 2. Послеоперационные осложнения
Table 2. Postoperative complications
Complications | Group 1 (n = 27) | Group 2 (n = 15) |
Anterior chamber shallowing | 0 | 6 (40%) |
Choroidal detachment | 1 (3.7%) | 0 |
Hyphema | 3 (11%) | 2 (13%) |
Protrusion of the drainage tube/body | 1 (3.7%) | 0 |
Valve encapsulation | 7 (26%) | 5 (33.3%) |
Fig. 4. Optical coherence tomography of the anterior segment of the right eye 1 day after surgery (a) and 3 days after surgery (b)
Рис. 4. Оптическая когерентная томография переднего отрезка правого глаза в первые сутки после операции (a) и третьи сутки после операции (b)
At postoperative month 1, IOP was within the normal range in all cases (Table 1). Biomicroscopy found that the drainage device tube was in the correct position, and the anterior chamber depth was similar to that before surgery (Fig. 5).
Fig. 5. Anterior segment photography. The drainage tube is in the correct position, silicone oil deposits are visible under the conjunctiva (the arrow indicates the drainage tube)
Рис. 5. Фотография переднего отрезка глаза. Трубка дренажа в правильном положении, визуализируются отложения силиконового масла под конъюнктивой (стрелкой указана трубка дренажа)
After 6 months of follow-up, 9 and 5 patients in groups 1 and 2, respectively, required hypotensive therapy to reduce aqueous production. At month 12, IOP increased in both groups (Table 1).
In the late postoperative period, 1 patient experienced tube protrusion (the patient had high myopia, radial keratotomy, and prolonged silicone oil tamponade after a recurrence of retinal detachment), which required a revision procedure to examine the glaucoma surgery area, cover the tube with an autologous graft (tenon capsule), and reposition the conjunctiva.
The most common complication in the late postoperative period in both groups were connective tissue capsule around the drainage device body. When this complication was detected on the follow-up visit, 27G needling was performed with 0.3 mL of dexamethasone solution injected subconjunctivally into the area of the drainage device body. If necessary, the procedure was repeated, but not more than three times, then no recurrences were detected in all cases.
DISCUSSION
Selection of a surgical procedure for secondary glaucoma associated with VRS depends on many different factors, such as the ocular surface and anterior chamber status, presence and number of emulsified silicone oil droplets in the anterior chamber, IOP, visual acuity, and history of glaucoma surgery [12–14].
Conventional conjunctival surgeries do not always normalize IOP in patients with secondary glaucoma associated with silicone oil tamponade. The emulsified silicone oil covers the surgical area, and first mechanically obstructs the aqueous outflow through the formed pathways and then induces fibrosis [7–10]. Another issue is subconjunctival silicone oil, leading to chronic inflammation and also inducing scarring of the surgical area [8, 10, 11, 15]. Cunha et al. [15] conducted a histopathological examination of the conjunctiva with silicone oil droplets and revealed signs of chronic inflammation in 90% of cases, even when the droplets were minimal.
A common complication of non-penetrating surgery or trabeculectomy is scarring of the newly formed outflow pathways, which is accompanied by IOP increase and requires revision procedures. Inoue et al. [16] reported that the success rate of trabeculectomy with intraoperative administration of mitomycin C was 55.1% after 1 year. Another alternative to trabeculectomy is implantation of the Ex-Press shunt; the data presented above [17–21] and non-Russian authors [8, 22, 23] report that its effectiveness reaches 72%.
Implantation of drainage devices has shown quite high efficacy in secondary glaucoma associated with VRS. Published data state that the efficacy of Ahmed valve ranges from 62% to 80% with follow-up of 12 to 24 months [7–10]. The Ahmed glaucoma valve can be implanted both under silicone oil tamponade and after its removal. If the anterior segment structures are changed, it can be implanted into the posterior chamber or vitreous cavity (if the vitreous has been removed).
Selection of the Ahmed valve implantation area is often limited by conjunctival scarring after prior repeated vitreoretinal procedures. Another issue is migration of silicone oil under the conjunctiva as it contributes to chronic inflammation and fibrosis, which require prolonged administration of glucocorticoids and non-steroidal anti-inflammatory drugs and also promote the formation of a connective tissue capsule around the drainage device body [10, 24]. Complications of drainage device implantation after VRS with silicone oil tamponade are common and vary from mild, such as postoperative hypertension, hypotony (up to 50% of patients [23]), hyphema, or inflammation, to more serious, e.g. choroidal detachment, keratopathy caused by corneal contact with the device tube, and diplopia caused by implantation in the inferior temporal quadrant (the last two complications require re-implantation more often). In our study, complications in the early postoperative period included hyphema (11%–13% of cases) and choroidal detachment (1 case), with anterior chamber shallowing being the most common (40% of cases) in patients with silicone oil tamponade without concomitant ciliary body detachment. We find anterior chamber shallowing a pathognomonic complication in patients with silicone oil tamponade. After implantation, the valve immediately starts to drain aqueous. This may lead to silicone oil (with higher density than aqueous) moving the lens-iris diaphragm forward (more often with zonular defects and iris atrophic changes), which takes time to restore the anterior chamber.
Published data also reports more serious complications, such as postoperative endophthalmitis (more common in younger patients), keratopathy, and retinal detachment. We did not observe any of these complications in our study.
One of the late postoperative complications is protrusion of the drainage tube or body, which increases the risk of endophthalmitis. In our study, protrusion was detected in only 1 case and successfully eliminated after a revision intervention consisting in covering the surgical area with the tenon capsule tissue and repositioning the conjunctiva.
If there is scarring of the ocular surface after vitrectomy and/or prior glaucoma surgery, a scleral flap may be created to cover the maximum drainage tube surface or donor material may be used to prevent protrusion [9, 24–26].
CONCLUSION
The Ahmed valve is effective in normalizing IOP in patients with secondary glaucoma associated with VRS with silicone oil tamponade and empty vitreous cavity. Patients require long-term postoperative follow-up with IOP control and monitoring of the posterior segment. The efficacy of drainage device implantation depends on many factors (implantation site, number of prior surgeries, presence of silicone in the vitreous cavity, number of emulsified silicone bubbles, etc.).
ADDITIONAL INFO
Authors’ contribution. All authors made a substantial contribution to the conception of the study, acquisition, analysis, interpretation of data for the work, drafting and revising the article, final approval of the version to be published and agree to be accountable for all aspects of the study. Personal contribution of each author: A.V. Starostina — treatment of the patients, discussion of the results of treatment, examination of the patients in the postoperative period, editing of the final version of the text of the article; A.V. Sidorova, G.V. Sorokoletov — discussion of the results of treatment, examination of the patient in the postoperative period; A.A. Uyanaeva, K.S. Burlakov — search and processing of literature, data processing, writing the text of the article, text correction.
Funding source. The research and publication of the article are funded from the budget of the S. Fyodorov Eye Microsurgery Federal State Institution of the Ministry of Health of the Russian Federation.
Competing interests. The authors declare that they have no competing interests.
Consent for publication. Written consent was obtained from the patients for publication of relevant medical information and all of accompanying images within the manuscript.
About the authors
Anna V. Starostina
S. Fyodorov Eye Microsurgery Federal State Institution
Email: anna.mntk@mail.ru
ORCID iD: 0000-0002-4496-0703
SPIN-code: 7106-2347
MD, Cand. Sci. (Medicine)
Russian Federation, 59A Beskudnikovsky blvd, Moscow, 127486Alla V. Sidorova
S. Fyodorov Eye Microsurgery Federal State Institution
Email: sidorova@mntk.ru
ORCID iD: 0000-0001-9384-6117
SPIN-code: 2571-9398
MD
Russian Federation, 59A Beskudnikovsky blvd, Moscow, 127486Aila A. Uyanaeva
S. Fyodorov Eye Microsurgery Federal State Institution
Author for correspondence.
Email: aj.laaa@mail.ru
ORCID iD: 0009-0004-5367-986X
SPIN-code: 3082-7031
MD
Russian Federation, 59A Beskudnikovsky blvd, Moscow, 127486Grigorii V. Sorokoletov
S. Fyodorov Eye Microsurgery Federal State Institution
Email: sorokoletov@list.ru
ORCID iD: 0000-0001-7436-4032
SPIN-code: 8663-5594
MD, Dr. Sci. (Medicine)
Russian Federation, 59A Beskudnikovsky blvd, Moscow, 127486Konstantin S. Burlakov
S. Fyodorov Eye Microsurgery Federal State Institution
Email: konstantin.burlakow@yandex.ru
ORCID iD: 0000-0002-4383-0325
SPIN-code: 1634-1346
MD
Russian Federation, 59A Beskudnikovsky blvd, Moscow, 127486References
- Kolipaka GP, Rao A. Secondary glaucoma following vitreo-retinal surgeries. Indian J Ophthalmol. 2023;71(1):18–25. doi: 10.4103/ijo.IJO_1155_22
- Cornacel C, Dumitrescu OM, Zaharia AC, et al. Surgical treatment in silicone oil-associated glaucoma. Diagnostics (Basel). 2022;12(4):1005. doi: 10.3390/diagnostics12041005
- Rustambekova GR, Kerimov MI. Secondary glaucoma following vitrectomy with silicone endotamponade. Oftalmologiya. 2012;(3): 55–59. EDN: XWXDAT
- Tranos P, Asaria S, Aylward W. Long term outcome of secondary glaucoma following vitreoretinal surgery. Br J Ophthalmol. 2004;88(3):341–343. doi: 10.1136/bjo.2003.028076
- Federman JL, Schubert HD. Complications associated with the use of silicone oil in 150 eyes after retina-vitreous surgery. Ophthalmology. 1988;95(7):870–876. doi: 10.1016/S0161-6420(88)33080-0
- Takhchidi HP, Metaev SA, Glinchuk NYa. Evaluation of silicone tamponade duration in treatment of severe retinal detachments of different genesis. Fyodorov Journal of Ophthalmic Surgery. 2006;(2):30–36. (In Russ.) EDN: NBPNOD
- Ayyala RS, Zukarowski D, Smith JA, et al. A clinical study of the Ahmed glaucoma valve implant in advanced glaucoma. Ophthalmology. 1998;105(10):19681976. doi: 10.1016/S0161-6420(98)91049-1
- El-Saied HM, Mase A. Different surgical modalities for management of persistent glaucoma after silicone oil removal in vitrectomized eyes: one year comparative study. Retina. 2017;37(8): 1535–1543. doi: 10.1097/IAE.0000000000001393
- Gupta S, Chaurasia AK, Chawla R. Long-term outcomes of glaucoma drainage devices for glaucoma post-vitreoretinal surgery with silicone oil insertion: a prospective evaluation. Graefes Arch Clin Exp Ophthalmol. 2016;254(12):2449–2454. doi: 10.1007/s00417-016-3469-9
- Ishida K, Ahmed II, Netland PA. Ahmed glaucoma valve surgical outcomes in eyes with and without silicone oil endotamponade. J Glaucoma. 2009;18(4):325–330. doi: 10.1097/IJG.0b013e318182ede3
- Davo-Cabrera JM, Lanzagorta-Aresti A, Yuste P. A novel surgical technique for Ahmed valves in refractory glaucoma with silicone oil endotamponade. J Glaucoma. 2017;26(10):232–235. doi: 10.1097/IJG.0000000000000737
- Falkner CI, Binder S, Kruger A. Outcome after silicone oil removal. Br J Ophthalmol. 2001;85(11):1324–1327. doi: 10.1136/bjo.85.11.1324
- Antabile T, Bonfiglio V, Cicero A., et al. Correlation between quantity of silicone oil emulsified in the anterior chamber and high pressure in vitrectomized eyes. Retina. 2002;22(4):443–448. doi: 10.1097/00006982-200208000-00008
- Sidorova AV, Starostina AV, Norman KS, et al. Etiopathogenesis and treatment for secondary glaucoma after pars plana vitrectomy with silicone oil. Fyodorov Journal of Ophthalmic Surgery. 2022;(4):92–99. EDN: LVWHPA doi: 10.25276/0235-4160-2022-4-92-99
- Subconjunctival deposit of silicone oil after vitreoretinal surgery. Arq Bras Oftalmol. 2007;70(4):589–592. (In Portuguese). doi: 10.1590/s0004-27492007000400006
- Inoue T, Inatani M, Takihara Y, et al. Prognostic risk factors for failure of trabeculectomy with mitomycin C after vitrectomy. Jpn J Ophthalmol. 2012;56(5):464–469. doi: 10.1007/s10384-012-0171-2
- Sidorova AV, Hodjaev NS, Starostina AV. The potential of express mini glaucoma shunt implantation in the treatment of secondary glaucoma induced by silicone oil emulsification in patients after vitrectomy. National Journal of Glaucoma. 2017;16(2):57–62. EDN: YTTOZD
- Sidorova AV, Starostina AV, Norman KS, et al. Drainage surgery of secondary “silicone” glaucoma. Modern Technologies in Ophthalmology. 2020;(1):243–246. EDN: UVBNKD doi: 10.25276/2312-4911-4911-2020-2-243-246
- Patent RU No. 2531133/ 20.10.2014. Byul. No. 29. Sidorova AV, Opletina AV, Nersesov YE, Ignatiev AV. Method of treatment of secondary glaucoma caused by silicone emulsification. Available from: https://patents.google.com/patent/RU2531133C1/ru (In Russ.)
- Sidorova AV, Opletina AV. Application of combination of Ex-press shunt and hydrogel drainage in secondary glaucoma caused by silicone oil emulsification. Modern Technologies in Ophthalmology. 2014;(1):94–95. (In Russ.) EDN: SLSHQT
- Egorova EV, Shkvorchenko DO, Sidorova AV, Opletina AV. Experience of Ex-press drainage application in secondary glaucoma caused by emulsified silicone. In: Modern technologies of treatment of vitreoretinal pathology. Collection of theses. Moscow; 2013:73–74. (In Russ.)
- Qian Z, Xu K, Kong X, Xu H. Ahmed glaucoma valves versus Ex-press devices in glaucoma secondary to silicone oil emulsification. J Ophthalmology. 2018;2018:8539689. doi: 10.1155/2018/8539689
- Errico D, Scrimieri FL, Riccardi R, Iarossi G. Trabeculectomy versus Ex-press glaucoma filtration device in silicomacrophagocytic open angle glaucoma secondary to silicone oil emulsification. Middle East Afr. J. Ophthalmol. 2016;23(2):177–182. doi: 10.4103/0974-9233.175889
- Al-Jazzaf AM, Netland PA, Charles S. Incidence and management of elevated intraocular pressure after silicone oil injection. J Glaucoma. 2005;14(1):40–46. doi: 10.1097/01.ijg.0000145811.62095.fa
- Davo-Cabrera JM, Lanzagorta-Aresti A, Yuste PA. A novel surgical technique for ahmed valves in refractory glaucoma with silicone oil endotamponade. J Glaucoma. 2017;26(10):e232–e235. doi: 10.1097/IJG.0000000000000737
- Starostina AV, Burlakov KS. Surgical treatment of ahmed glaucoma valve’s tube protrusion relapse. Clinical observations. Ophthalmology Reports. 2023;16(4):91–97. EDN: BBMOUW doi: 10.17816/OV567990
Supplementary files









