COVID-19 as a new risk factor for the development of acute vascular diseases of the optic nerve and retina
- Authors: Turgel V.A.1, Antonov V.A.1, Tultseva S.N.1, Shadrichev F.E.2, Grigorieva N.N.2
-
Affiliations:
- Academican I.P. Pavlov First St. Petersburg State Medical University
- St. Petersburg Territorial Diabetology Center
- Issue: Vol 14, No 2 (2021)
- Pages: 105-115
- Section: Lectures
- Submitted: 25.03.2021
- Accepted: 25.04.2021
- Published: 30.09.2021
- URL: https://journals.eco-vector.com/ov/article/view/64115
- DOI: https://doi.org/10.17816/OV64115
- ID: 64115
Cite item
Abstract
The new coronavirus disease (COVID-19) is a viral respiratory infection accompanied by systemic “endotheliitis”. COVID-19 patients usually encounter changes related to hypercoagulability, hypofibrinolysis, and increased intravascular platelet aggregation. There is also a vascular wall thromboresistance decrease and impaired vasomotor function, which significantly increase the risk of thromboembolic complications. Currently, pathogenic aspects of the relationship between COVID-19 and vascular and inflammatory conditions of the optic nerve and retina are actively investigated. One of the triggers of impaired blood flow in ocular vessels may be a perfusion pressure decrease, observed in the acute period of the infectious process. This is related to both COVID-19 clinical course features and to resuscitation specificity as well. Secondary autoimmune inflammation is being considered as a mechanism of damage to the vascular wall in the post-infectious period. In this publication, possible pathogenic links of these diseases are considered for the first time in a specific context of the example of ischemic optic neuropathy associated with coronavirus infection.
Full Text
INTRODUCTION
In November, 2019, in China, first cases of a new infection were registered, which proceeds as an acute respiratory syndrome with atypical pneumonia. Later, this disease received the name of new coronavirus infection COVID-19 (COrona VIrus Disease 2019). The disease is induced by a new coronavirus type SARS-CoV-2 (Severe acute respiratory syndrome-related coronavirus 2).
Because of high contagiosity and rapid rise in affected people number in the whole world, on March 11th, 2020, the World Health Organization announced the start of COVID-19 [1]. The disease prevalence continues to grow, during a year from March, 2020, the number of COVID-19 new cases increased to more than 200 times, and in March, 2021, it was more than 116 million people, and at that point the number of deaths, associated with COVID-19, already reached 2.5 million [1].
According to modern concepts, COVID-19 is a viral respiratory disease accompanied by the involvement into process of the vascular wall’s endothelium (local and/or systemic “endoteliitis”), and the development of related hypercoagulation syndrome [2]. In compliance with Russian guidelines on COVID-19 prophylaxis, diagnosis, and treatment, 4 severity degrees of the disease are distinguished: mild, moderate, severe, and critical. The COVID-19 severity degree is determined by the level of body temperature, respiratory rate, blood oxygenation level, features of pulmonary tissue changes according to computed tomography data, as well as by presence of complications. The increased risk group includes patients with such concomitant diseases as diabetes mellitus (DM), arterial hypertension (AH), metabolic syndrome, dyslipidemia, and more [3]. Concomitant diseases in COVID-19 are related to significant mortality increase [4]. Like this, the mortality among patients without concomitant diseases amounts to 0.9%, and in presence of non-compensated DM and arterial hypertension, reaches 7.3 and 6%, respectively [5].
The main causes of death in COVID-19 are tromboembolic complications, respiratory and multi-organ failure [6].
The introduction of the SARS-CoV2 into the human cell occurs by the way of angiotensin-converting enzyme 2 (ACE-2). ACE-2 receptors are extensively revealed in the vascular endothelium, therefore highly vascularised organs and tissues, including the brain and the eye, become the main target organs in COVID-19 [7].
Many authors consider retinal changes in patients with coronavirus disease as manifestations of systemic endotheliitis. First communications about “post-COVID retinopathy” appeared in March, 2020, in The Lancet. Authors described cotton-wool spots and intraretinal hemorrhages in the retina of 4 out of 12 patients with COVID-19 [8]. Later, such changes were found by other ophthalmologists, who associated their appearance with significant impairment of retinal perfusion [9–11]. The most large scale in this area is SERPICO-19 (ScrEening the Retina in Patients with COVID-19), which revealed a pathological venous dilation in 27.7% of examined patients after COVID-19, 7.4% had cotton-wool spots as well, and in 9.3% there were intraretinal hemorrhages. The degree of retinal changes correlated with the severity degree of the underlying disease [12].
Under COVID-associated conditions the development of paracentral acute middle maculopathy / acute maculopathy neuroretinopathy [13], retinal vein and retinal artery occlusions [14–17], and inflammatory diseases of retinal vessels and the optic nerve [18] are subsumed.
The question about the relation of the above mentioned conditions to COVID-19 still remains under discussion.
Therewith it is not possible to deny that in COVID-19, there are pathogenic predispositions to the development of these ophthalmic conditions. They could be related both with clinical features of the disease itself and with nuances of patients’ treatment.
Important conditions for the development of all acute vascular eye diseases are: increase of the prothrombotic potential (both systemic and local) and decrease in perfusion pressure (sharp or moderate, but longstanding). Both may be in evidence at new coronavirus infection. Let us consider them in succession.
Due to the downregulation of ACE-2 activity by the SARS-CoV-2 in COVID-19, in the organism, the balance in the action of the renin-angiotensin-aldosterone system (RAAS) changes in the direction of main angiotensin II effects: vasoconstriction, proliferation, fibrosis, and inflammation maintenance [19]. This, therefore, increases the systemic vascular resistance. Endothelial impairment in the “endoteliitis” form in COVID-19 is accompanied by systemic microvascular dysfunction. Impairment of the vasomotor regulation leads to vasoconstriction, and impairment of the barrier function of the endothelium and sub-endothelial structures leads to the rise of interstitial edema and triggers the cascade of inflammatory reactions. Increase of platelet adhesion factors’ synthesis and decrease of tissue plasminogen activator level is accompanied by procoagulation potential enhancement and by decrease of vascular thromboresistance. For a total, all changes listed above create the conditions for the development of thromboembolic complications [20]. A significant inflammatory component that is concomitant to this process and developing in some cases as a hyperreaction – a cytokine storm, leads to the vicious cycle closure and to the development of systemic endotheliopathy and multi-organ system failure [21].
Currently, several mechanisms of SARS-CoV-2 virus action on the endothelium are under consideration. Main versions include the direct viral injury, presenting itself as a rule in the acute phase of the disease, and the immune regulation impairment with the development of autoimmune inflammation occurring in the late period of the disease. This explains a high number of thromboses and vasculitides both in the acute phase of the viral disease and during the period after recovery. Most dangerous in regard to remote complications is thought to be the convalescence period (first 40–50 days) [14].
Concerning perfusion pressure in vessels generally, it depends on the difference between arterial and venous pressure. In this connection, the perfusion pressure in ocular vessels and in those in the intraorbital part of the optic nerve depends on the difference between the pressure in the short posterior ciliary arteries and the central retinal artery, and the venous pressure, but with consideration of IOP. The drop of pressure in the arteries mentioned before in the first instance may occur as a result of spasm/stenosis or embolism of the ophthalmic artery, internal and/or external carotid artery. The venous pressure rise in the central retinal vein and in the orbital veins is most often related to inflammation in them, to outflow impairment as a result of external compression, or to cavernous sinus thrombosis. These processes may be exacerbated by some therapy features in patients with moderately severe or severe coronavirus infection course [22]. The role of the so-called Valsalva syndrome occurring in pulmonary ventilation in the patient’s prone position is currently widely debated as the main cause of venous pressure and IOP rise in patients with COVID-19 [23]. The blood gas composition plays also a considerable role [23].
As a demonstration of above-mentioned, we present a clinical case of ischemic optic neuropathy development in a patient after COVID-19. This is a first description of ischemic optic neuropathy associated to coronavirus infection.
CLINICAL CASE DESCRIPTION
Patient V., 61 year old male, underwent in-patient treatment during 25 days with diagnose of “new coronavirus infection COVID-19, severe course, taking the form of bilateral polysegmental community-acquired pneumonia, complicated by 2nd degree respiratory failure”. Concomitant diseases: diabetes mellitus type 2, abdominal obesity of degree II, arterial hypertension stage III, coronary heart disease, atherosclerotic cardiosclerosis, and level II chronic heart failure.
Because of the increase in volume of pulmonary tissue lesion according to computerized tomography (CT) data and augmentation of respiratory failure events, the patient from Day 10 through Day 20 of the disease stayed at the intensive care unit, under noninvasive ventilatory support. According to the Guidelines on COVID-19 prophylaxis, diagnosis and treatment and in view of high glycemia level, a transition to insulin pump therapy was performed; the patient received a corticosteroid and anticoagulant therapy course. Among clinical features of the disease, one should note high glucose serum level (up to 19.96 mmol/l), hyperfibrinogenemia, and hypercholesterolemia.
The patient was discharged in relatively satisfactory condition on Day 25 with recommendations to continue the combined hypoglycemic therapy regimen, which included oral hypoglycemic preparations and insulinotherapy.
In 2.5 weeks, waking-up in the morning, the patient noticed visual acuity decrease and pain behind the right eye. Detailed ophthalmologic examination [visual acuity testing, biomicroscopy, ophthalmoscopy, optical coherence tomography (OCT), В-scanning] did not show any signs explaining the symptoms. Corrected visual acuity was 1.0 on both eyes. On the fundus of the right eye, there was blurring of optic disc margins on its nasal side, and on both eyes changes were noted that are characteristic for non-proliferative diabetic retinopathy, complicated on the left eye by macroaneurysm formation.
On purpose of diagnosis specification, magnetic-resonance imaging (MRI) of the brain, magnetic resonance angiography (MRA), as well as complete blood count and blood chemistry test were performed.
At brain MRI, no signs of space-occupying lesions or focal abnormalities of the brain were revealed, therewith an enlargement of the right optic nerve retrobulbar segment up to 6.6 mm in comparison to that of the left optic nerve (6.3 mm). There were no changes in signal intensity from optic nerve tissue found. MRA did not reveal any hemodynamically significant stenoses, aneurisms, and vascular malformations.
In spite of combined hypoglycemic therapy worked out at the hospital the glucose level stayed high, up to 10.83 mmol/l, and the HbA1c level was 10.0%. Hypercholesterolemia detected before persisted (6.30 mmol/l); a decrease in glomerular filtration rate was noted, up to 64 ml/min. In complete blood count, there were no significant deviations from reference data.
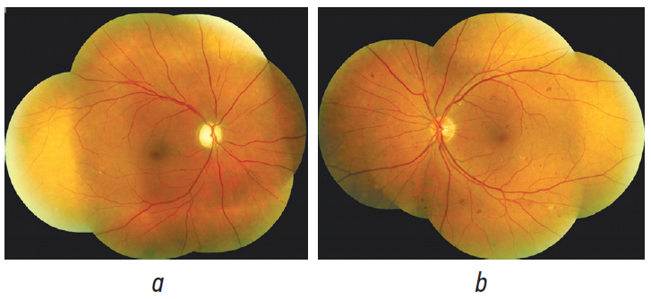
During following 5 days, visual acuity of the right eye lowered up to hand motion. IOP (P0) was 15 mm H on the right eye, 16 mm Hg on the left eye. Threshold perimetry did not reveal significant abnormalities on the left eye, it was not possible to perform the test on the right eye. Among clinically significant changes: relative afferent papillary defect appeared on the right side, papilla became pale, its prominence significantly increased due to the edema of the optic nerve tissue [maximal prominence above the pigment epithelium up to 764 μm (Fig. 1)] and peripapillary retinal edema. Because of central retinal vein compression, the diameter of veins increased, appeared their pathological tortuosity and a flame shaped hemorrhage on the optic disc margin (Fig. 2, а). Ophthalmoscopic picture of the left eye underwent no substantial transformation (Fig. 2, b). Clinical picture clearly corresponded to the diagnosis of anterior ischemic optic neuropathy (AION), at that, complaints on pain deep in the orbit and the increase in diameter of the intraorbital optic nerve part, not characteristic for this disease, demanded to exclude an ischemic/inflammatory retrobulbar optic nerve lesion.
Fig. 1. OCT of both optic nerve heads, 5 days after first symptoms.There is a significant increase of the retinal nerve fiber layer’s thickness in the peripapillar area of the right eye, protruding of the optic nerve tissue into the vitreous. Morphometric indices of the optic nerve head of the left eye - within the expected range for age
Рис. 1. Данные оптической когерентной томографии диска зрительного нерва обоих глаз пациента, 5-е сутки после появления жалоб. Отмечено значимое увеличение толщины слоя нервных волокон сетчатки перипапиллярно на правом глазу, проминирование ткани зрительного нерва в стекловидное тело. Морфометрические показатели диска зрительного нерва левого глаза в пределах возрастной нормы
Fig. 2. Fundus photo, 5 days after first symptoms. Right (а) and left (b) eye fundi status. In both eyes, there are signs of non-proliferative diabetic retinopathy: intraretinal hemorrhages, single cotton-wool spots and hard exudates. On the right eye, optic disc edema and paleness with a hemorrhage are present. On the left eye, along the upper nasal vascular arcade, there is a single macroaneurysm surrounded by hard exudates
Рис. 2. Фундус-фото глазного дна пациента на 5-е сутки после появления жалоб. Состояние глазного дна правого (а) и левого (b) глаз пациента. На обоих глазах наблюдаются проявления непролиферативной диабетической ретинопатии: интраретинальные кровоизлияния, единичные ватообразные и твёрдые экссудаты. На правом глазу — отёк и побледнение диска зрительного нерва с геморрагией. На левом глазу по ходу верхне-носовой сосудистой аркады единичная макроаневризма, окружённая твёрдыми экссудатами
With this in mind, multispiral CT of the orbits was performed, which confirmed the optic nerve enlargement in its retrobulbar segment up to 6.7 mm (normal range 4.7–6.3 mm) without any signs of compression in the optic canal. There were no pathologic changes concerning left optic nerve. The retrobulbar fat volume was symmetric from both sides; there were no deformations of the bony walls of the orbit noted.
In spite of fairly rapid positive dynamics of the fundus picture and of the optic nerve morphometric parameters’ changes [according to OCT data, the optic nerve head’s prominence decreased to 395 μm (Fig. 3)] on the background of glucocorticosteroid therapy, no functional answer was received.
Fig. 3. OCT of both optic nerve heads, 6 months after the first examination. The neuroretinal rim thickness and that of the retinal nerve fiber layer in the parapapillar area of the right eye are significantly thinned, cup-to-disc ratio is increased up to 0.7. Morphometric indices of the optic nerve head of the left eye - within the expected range for age, without any dynamic changes when compared to the first examination
Рис. 3. Данные оптической когерентной томографии диска зрительного нерва обоих глаз пациента, осмотр в динамике через 6 мес. Нейроретинальный поясок и слой нервных волокон сетчатки парапапиллярно на правом глазу значимо истончены, отношения диаметра экскавации к диаметру диска зрительного нерва увеличено до 0,7. Морфометрические показатели диска зрительного нерва левого глаза в пределах возрастной нормы, без динамических изменений в сравнении с первым обследованием
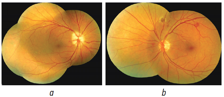
After 6 months, the visual acuity of the right eye still remained hand motion. There were signs of optic nerve atrophy with characteristic changes, such as pale optic disc, parapapillary nerve fiber layer thinning (Fig. 4, а).
Fig. 4. Fundus photo, 6 months after the first examination. Right (а) and left (b) eye fundi status. On the right eye, a partial regression of retinal changes, atrophic optic nerve head changes may be noted. Significant angiosclerosis, “copper wire” sign on the 2nd and 3rd range arterioles are present. On the left eye, there is a macroaneurism regression, more retinal hemorrhages in the posterior pole and in the lower periphery
Рис. 4. Фундус-фото глазного дна пациента через 6 мес. после первого осмотра. Состояние глазного дна правого (а) и левого (b) глаз пациента. На правом глазу отмечается частичный регресс ретинальных изменений, атрофические изменения диска зрительного нерва. Присутствует выраженный ангиосклероз, симптом «медной проволоки» на артериолах второго и третьего порядка. На левом глазу — регресс макроаневризмы, увеличение ретинальных кровоизлияний в заднем полюсе и по периферии снизу
On the involved eye a rapid progression of retinal angiosclerosis was observed. In the course of 6 months, almost all 2nd order and 3rd order arteries took on the silver wire and copper wire appearance with partial blood flow preservation. A practically complete disappearance of diabetic retinopathy signs on this eye should be noted.
At angio-OCT performed at the same time point (6 months), a significant decrease in retinal capillaries density and perfusion decrease, both in parapapillary (Fig. 5), and macular areas (Fig. 6). Secondary optic nerve atrophy is a typical outcome of AION. Not typical are enlargement of optic disc excavation, progressing atherosclerotic changes, and diabetic retinopathy regression only in one eye. The explanation for it possibly is an ischemia of the right eye caused by prior vascular accident.
Fig. 5. AngioOCT of the optic nerve head, 6 months after the first examination. Optic nerve head perfusion indices of the right (а) and left (b) eye. Mean values of perfusion density are 32.9 and 40.5 %, respectively
Рис. 5. Данные оптической когерентной томографии в режиме ангиографии диска зрительного нерва пациента через 6 мес. после первого осмотра. Показатели перфузии диска зрительного нерва правого (а) и левого (b) глаз. Средние значения плотности перфузии составили 32,9 и 40,5 % соответственно
Fig. 6. AngioOCT of the patient, 6 months after the first examination. Vascular density indices (mm/mm2) of the superficial vascular plexus in the macular area of the right (а) and the left (b) eye, and vascular density indices of the parapapillary plexus of the right (c) and the left (d) eye. A decrease in vascular density in all measurement areas on the involved side is noted
Рис. 6. Данные оптической когерентной томографии в ангиорежиме пациента через 6 мес. после первого осмотра. Показатели сосудистой плотности (мм/мм2) поверхностного сосудистого сплетения в макулярной зоне правого (а) и левого (b) глаз и показатели сосудистой плотности парапапиллярного сплетения правого (с) и левого (d) глаз. Отмечается снижение сосудистой плотности во всех участках измерения на стороне поражения
On the left eye, there were no significant changes over the specified period (Fig. 4, b).
Because of persistent hyperglycemia (serum glucose 20.97 mmol/l, HbA1c level 12.1%), hypercholesterolemia (cholesterol 5.90 mmol/l, triglycerides 5.73 mmol/l) and appearance of cognitive disorder, the patient is referred for assessment and treatment to diabetologist and neurologist. Taking into account the high risk of neovascular complications on the right eye and the rapid diabetic retinopathy progression on the left eye, the patient is under follow-up with recommendation of monthly ophthalmological control.
DISCUSSION
The presented clinical case of associated with COVID-19 ischemic optic neuropathy is interesting from the viewpoint both of diagnosis and consideration of new mechanisms of disease development.
As main AION local risk factors anatomical features of the optic disc structure (small dimensions and drusen) are acknowledged [24, 25]. Among systemic risk factors some systemic metabolic and hemodynamic abnormalities are of importance. Well-recognized causes, promoting blood flow impairment in the optic nerve, are arterial hypertension and diabetes mellitus [26, 27]. Perfusion pressure decrease in ocular vessels in its sharp drop is associated foremost with arterial hypertension [28]. This mechanism is well understood and is beyond argument. The diabetes mellitus role in the pathogenesis of ischemic optic neuropathies is more complex.
The meta-analysis of clinical trials dedicated to the investigation of glycemia level’s influence on the AION development risk showed the high relevance of this index in the disease development. Most probably, this is related to the action if increased serum glucose level on many biochemical processes, Вероятнее всего, это связано с воздействием повышенного уровня глюкозы в крови на многие биохимические процессы, finally leading to oxidative stress and cytotoxic action, which have an impact on the function of endothelial cells and pericytes, leading to the breakdown of ocular blood flow autoregulation [29].
It is to be noted that both the increase and sharp drop of glycemia level lead to appearance/progressing of diabetic fundus changes and increase the risk of acute vascular accident development. This is evident from the conclusions of ACCORD, a clinical trial stopped early due to high mortality of patients receiving intensive hypoglycemic therapy.
Sharp serum glucose level drop related to the start or addition of insulin therapy in 10–20% of patients leads to temporal (3–6 months) worsening of diabetic retinopathy. Amidst a new coronavirus infection, existing in diabetic patients impairment of RAAS balance [30] is additionally exacerbated by SARS-CoV-2 induced ACE-2 dysregulation. This may lead to an appearance or progressing of pre-existing retinal ischemia, and probably, increase the risk of optic nerve ischemia development [31]. Taking into account the initially high glycemia level in the described patient, it is not possible to exclude a rapid drop of serum glucose concentration after the switch to insulin therapy in the ICU. Together with severe COVID-19 course, this could be a determinant factor of diabetic retinopathy progressing.
Recent studies showed that unlike of most of the viruses, SARS-CoV-2 and antibodies to it are virtually absent in the cerebrospinal fluid. There are no reliable data on its penetration through the blood-brain barrier. But it is not possible to completely exclude the direct neurotropic action of the virus. RNA of SARS-CoV2 was found postmortem in retinal neurons in patients, who died of COVID-19 [32]. Transsynaptic entry of the virus into the central nervous system (CNS) is already proven for SARS-CoV1, the same was also believed for SARS-CoV-2 [33]. High prevalence of anosmia in COVID-19 patients is in favor of viral damage to olfactory mucosa, through which the virus is able to penetrate into the CNS neurons transsynaptically [34].
One more interesting, but poorly known mechanism of neural tissue damage and thromboembolism of cerebral vessels is the theory of autoimmune inflammation that is observed in COVID-19 patients. In presence of neurologic disorders in COVID-19 patients, in the cerebrospinal fluid, no leucocytosis, pleocytosis, or other signs indicating a typical course of an inflammatory process are revealed. At the same time, in a majority of patients, a significant rise of biochemical inflammation markers (neopterin and beta2-microglobulin) is found, indicating the activation of cerebral immune cells. Moreover, a relation between autoimmune demyelinating CNS disorders and previous viral infections, including COVID-19. Two clinical cases of bilateral optic nerve lesion are described, which were associated with appearance of antibodies to myelin oligodendrocyte glycoprotein (MOG) in patients after COVID-19 [35, 36].
Published to this day data allow assuming that the mechanism of retina and optic nerve involvement in coronavirus infection may be more complex than as we know it today.
In the described clinical case, in a patient with diabetes mellitus and arterial hypertension suffering from dyslipidemia and obesity, in spite of absence of widespread local risk factors, there were main predispositions to AION development. Evolving viral disease COVID-19 led to the decompensation of chronic diseases, and resuscitation procedures could promote hemodynamic impairment and drop of perfusion pressure in ocular and optic nerve vessels. Therewith, the atypical AION clinical picture could be explained probably by the concomitant autoimmune inflammatory process. The inflammation presence probably explains pain behind the eyeball during the acute phase of the disease, edema of the intraorbital part of the optic nerve, and optic nerve atrophy with optic disc cup formation, which is more characteristic not to the vascular, but to the post-inflammatory optic nerve damage.
AION pathogenesis in COVID-19 is comprehensive and multifactorial. Hypoxemia, hypofibrinolysis and hypercoagulation, impairment of vascular tone regulation, and systemic inflammation may lead to the appearance of atypical signs of AION and other vascular diseases of the retina and the optic nerve. Such concomitant conditions as arterial hypertension, diabetes mellitus, dyslipidemia, and more could also have an impact on the severity of the infection itself as well as on the course of the ophthalmic condition.
It is evident that mechanisms of ocular involvement in COVID-19 demand further investigation and interpretation. Whereas there is a proven method of visual function restoration after AION does not exist, engagement of ophthalmologists to work in the department of infectious diseases could bring a new knowledge and lower risks of retinal and optic nerve complications in patients with moderately severe and severe forms of coronavirus infection.
About the authors
Vadim A. Turgel
Academican I.P. Pavlov First St. Petersburg State Medical University
Email: zanoza194@gmail.com
ORCID iD: 0000-0003-3049-1974
postgraduate student
Russian Federation, 6-8 L’va Tolstogo str., Saint Petersburg, 197089Vladimir A. Antonov
Academican I.P. Pavlov First St. Petersburg State Medical University
Email: antonov@alborada.fi
ORCID iD: 0000-0002-5823-8367
postgraduate student
Russian Federation, 6-8 L’va Tolstogo str., Saint Petersburg, 197089Svetlana N. Tultseva
Academican I.P. Pavlov First St. Petersburg State Medical University
Email: tultceva@yandex.ru
ORCID iD: 0000-0002-9423-6772
SPIN-code: 3911-0704
MD, Dr. Sci. (Med.)
Russian Federation, 6-8 L’va Tolstogo str., Saint Petersburg, 197089Fedor E. Shadrichev
St. Petersburg Territorial Diabetology Center
Email: shadrichev_dr@mail.ru
ORCID iD: 0000-0002-7790-9242
SPIN-code: 4465-8381
MD, Cand. Sci. (Med.)
Russian Federation, Saint PetersburgNiurguyana N. Grigorieva
St. Petersburg Territorial Diabetology Center
Author for correspondence.
Email: grinur@mail.ru
SPIN-code: 7299-4748
MD, Cand. Sci. (Med.), ophthalmologist
Russian Federation, Saint PetersburgReferences
- World Health Organization (WHO). Coronavirus disease (COVID19) pandemic. Available: https://www.who.int/emergencies/diseases/novel-coronavirus-2019. Accessed: 30.04.2021.
- COVID-19 and vascular disease. EBioMedicine. 2020;58:102966. doi: 10.1016/j.ebiom.2020.102966
- Richardson S, Hirsch JS, Narasimhan M, et al. Presenting characteristics, comorbidities, and outcomes among 5700 patients hospitalized with COVID-19 in the New York City Area. JAMA. 2020;323:2052–2059. doi: 10.1001/jama.2020.6775
- Nishiga M, Wang DW, Han Y, et al. COVID-19 and cardiovascular disease: from basic mechanisms to clinical perspectives. Nat Rev Cardiol. 2020;17(9):543–558. doi: 10.1038/s41569-020-0413-9
- Guan WJ, Liang WH, Zhao Y, et al. Comorbidity and its impact on 1590 patients with COVID-19 in China: a nationwide analysis. Eur Respir J. 2020;55(5):2000547. doi: 10.1183/13993003.01227-2020
- Klok FA, Kruip MJHA, van der Meer NJM, et al. Incidence of thrombotic complications in critically ill ICU patients with COVID-19. Thromb Res. 2020;191:145–147. DOI: 10&1016/j.tromres.2020.04.013
- Zhang J, Xie B, Hashimoto K. Current status of potential therapeutic candidates for the COVID-19 crisis. Brain Behav Immun. 2020;87:59–73. doi: 10.1016/j.bbi.2020.04.046
- Marinho PM, Marcos AAA, Romano AC et al. Retinal findings in patients with COVID-19. Lancet. 2020;395(10237):1610. DOI: 1016/S0140-6736(20)31014-X
- Caporossi T, Bacherini D, Tartaro, et al. Retinal findings in patients affected by COVID19 intubated in an intensive care unit. Acta Ophthalmol. 2020. doi: 10.1111/aos.14734
- Lani-Louzada R, Ramos CdVF, Cordeiro RM, et al. Retinal changes in COVID-19 hospitalized cases. PLoS ONE. 2020;15(12): e0243346. doi: 10.1371/journal.pone.0243346
- Landecho MF, Yuste JR, Gándara E, et al. COVID-19 retinal microangiopathy as an in vivo biomarker of systemic vascular disease? J Intern Med. 2021;289(1):116–120. doi: 10.1111/joim.13156
- Invernizzi A, Torre A, Parrulli S, Zicarelli F, et al. Retinal findings in patients with COVID-19: Results from the SERPICO-19 study. EClinicalMedicine. 2020;27:100550. doi: 10.1016/j.eclinm.2020.100550
- Virgo J, Mohamed M. Paracentral acute middle maculopathy and acute macular neuroretinopathy following SARS-CoV-2 infection. Eye (Lond). 2020;34(12):2352–2353. doi: 10.1038/s41433-020-1069-8
- Sheth JU, Narayanan R, Goyal J, et al. Retinal vein occlusion in COVID-19: A novel entity. Indian J Ophthalmol. 2020;68(10):2291–2293. doi: 10.4103/ijo.IJO_2380_20
- Invernizzi A, Pellegrini M, Messenio D, et al. Impending Central Retinal Vein Occlusion in a Patient with Coronavirus Disease 2019 (COVID-19). Ocul Immunol Inflamm. 2020;28(8):1290–1292. doi: 10.1080/09273948.2020.1807023
- Insausti-Garcia A, Reche-Sainz JA, Ruiz-Arranz C, et al. Papillophlebitis in a COVID-19 patient: Inflammation and hypercoagulable state. European Journal of Ophthalmology. 2020:1120672120947591. doi: 10.1177/1120672120947591
- Acharya S, Diamond M, Anwar S, et al. Unique case of central retinal artery occlusion secondary to COVID-19 disease. IDCases. 2020;21: e00867. doi: 10.1016/j.idcr.2020.e00867
- Quintana-Castanedo L, Feito-Rodríguez M, Fernández-Alcalde C, et al. Concurrent chilblains and retinal vasculitis in a child with COVID-19. Journal of the European Academy of Dermatology and Venereology. 2020;34(12): e764–e766. doi: 10.1111/jdv.16801
- Petrishchev NN, Halepo OV, Vavilenkova YA, et al. COVID-19 i sosudistye narusheniya (obzor literatury). Regionarnoe krovoobrashchenie i mikrocirkulyaciya. 2020;19(3):90–98. (In Russ.) doi: 10.24884/1682-6655-2020-19-3-90-98
- Zhang S, Zhang J, Wang C, et al COVID19 and ischemic stroke: Mechanisms of hypercoagulability (Review). Int J Mol Med. 2021;47(3):21. doi: 10.3892/ijmm.2021.4854
- Li H, Liu L, Zhang D, et al. SARSCoV-2 and viral sepsis: observations and hypotheses. Lancet. 2020;395(10235):1517–1520. doi: 10.1016/S0140-6736(20)30920-X
- Bertoli F, Veritti D, Danese C, et al. Ocular Findings in COVID-19 Patients: A Review of Direct Manifestations and Indirect Effects on the Eye. J Ophthalmol. 2020;2020:4827304. doi: 10.1155/2020/4827304
- Lecler A, Cotton F, Lersy F et al. Ocular MRI Findings in Patients with Severe COVID-19: A Retrospective Multicenter Observational Study. Radiology. 2021:204394. doi: 10.1148/radiol.2021204394
- Burde RM. Optic disk risk factors for nonarteritic anterior ischemic optic neuropathy. Am J Ophthalmol. 1993;116(6):759–764; doi: 10.1016/s0002-9394(14)73478-6
- Purvin V, King R, Kawasaki A, Yee R. Anterior ischemic optic neuropathy in eyes with optic disc drusen. Arch Ophthalmol. 2004;122(1):48–53. doi: 10.1001/archopht.122.1.48
- Characteristics of patients with nonarteritic anterior ischemic optic neuropathy eligible for the Ischemic Optic Neuropathy Decompression Trial. Arch Ophthalmol. 1996;114(11):1366–1374. doi: 10.1001/archopht.1996.01100140566007
- Lee MS, Grossman D, Arnold AC, et al. Incidence of nonarteritic anterior ischemic optic neuropathy: increased risk among diabetic patients. Ophthalmology. 2011;118(5):959–963. doi: 10.1016/j.ophtha.2011.01.054
- Hayreh SS, Podhajsky P, Zimmerman MB. Role of nocturnal arterial hypotension in optic nerve head ischemic disorders. Ophthalmologica. 1999;213(2):76–96. doi: 10.1159/000027399
- Chen T, Song D, Shan G, et al. The Association between Diabetes Mellitus and Nonarteritic Anterior Ischemic Optic Neuropathy: A Systematic Review and Meta-Analysis. PLoS One. 2013;8(9): e76653. doi: 10.1371/journal.pone.0076653
- Strain WD, Chaturvedi N. Review: the renin-angiotensin-aldosterone system and the eye in diabetes. Journal of the Renin-Angiotensin-Aldosterone System. 2002;3(4):243–246. doi: 10.3317/jraas.2002.045
- Guemes-Villahoz N, Burgos-Blasco B, Donate-Lopez J, et al. Retinal findings in COVID-19 patients with diabetes mellitus. Diabetes Res Clin Pract. 2020;168:108395. doi: 10.1016/j.diabres.2020.108395
- Casagrande M, Fitzek A, Püschel K, et al. Detection of SARS CoV 2 in human retinal biopsies of deceased COVID19 patients. Ocul Immunol Inflamm. 2020;28(5):721–725. doi: 10.1080/09273948.2020.1770301
- Li Y, Bai W, Hashikawa T. The neuroinvasive potential of SARS-CoV2 may play a role in the respiratory failure of COVID-19 patients. J Med Virol. 2020;92(6):552–555. doi: 10.1002/jmv.25728
- Keyhan SO, Fallahi HR, Cheshmi B. Dysosmia and dysgeusia due to the 2019 Novel Coronavirus; a hypothesis that needs further investigation. Maxillofac Plast Reconstr Surg. 2020;42(1):9. doi: 10.1186/s40902-020-00254-7
- Sawalha K, Adeodokun S, Kamoga GR. COVID-19-Induced Acute Bilateral Optic Neuritis. J Investig Med High Impact Case Rep. 2020;8:2324709620976018. doi: 10.1177/2324709620976018
- Zhou S, Jones-Lopez EC, Soneji DJ, et al. Myelin Oligodendrocyte Glycoprotein Antibody-Associated Optic Neuritis and Myelitis in COVID-19. J Neuroophthalmol. 2020;40(3):398–402. doi: 10.1097/WNO.0000000000001049
Supplementary files










