Effectiveness of mediastinal lymphadenectomy in surgical treatment of generalized destructive pulmonary tuberculosis
- Authors: Papkov A.V.1, Giller D.B.2, Dobin V.L.1
-
Affiliations:
- Ryazan State Medical University
- The State Education Institution of Higher Professional Training The First Sechenov Moscow State Medical University under Ministry of Health of the Russian Federation
- Issue: Vol 26, No 4 (2018)
- Pages: 511-518
- Section: Original study
- Submitted: 08.01.2019
- Published: 29.12.2018
- URL: https://journals.eco-vector.com/pavlovj/article/view/10845
- DOI: https://doi.org/10.23888/PAVLOVJ2018264511-518
- ID: 10845
Cite item
Abstract
Bronchopleural complications after pneumonectomy in generalized destructive tuberculosis are associated with the presence of intrathoracic lymph nodes (ITLN) with caseous alterations.
Aim. To improve the effectiveness of surgical treatment of patients with generalized destructive pulmonary tuberculosis by development and introduction of the method of mediastinal lymphadenectomy in tuberculous lesion of mediastinal lymph nodes.
Materials and Methods. Results of surgical treatment of 515 patients with generalized destructive pulmonary tuberculosis were analyzed. In 274 of them the surgical treatment was supplemented with mediastinal lymphadenectomy (the main group). In the control group (241 patients) only resection was performed without removing lymph nodes.
Results. Analysis of the postoperative course of the disease in both groups of patients (with mediastinal lymphadenectomy and without it) showed that bronchopleural complications occurred in 7 (2.6%) cases in the main group and in 30 (12.4%, p<0.05) cases in the control group. In the main group exacerbation of the specific process was noted in 1 patient (0.4%), and in comparison group in 9 patients (3.7%, p<0.05). Elimination of macroscopically altered ITLN in widespread destructive tuberculosis permitted to reduce the complications rate in the postoperative period by 64.8% (p<0.05). Indications to removal of IHLN included: a) enlargement of ITLN (>2 sm) and in duration; b) fusion with the surrounding tissues, softening of the node tissue in its caseous melting, c) existence of yellowish or whiter in comparison with the surrounding tissue inclusions in the node being manifestations of tuberculous granuloma. In histological, cytological and bacteriological examination, these macroscopic signs in 97% of cases indicated active tuberculosis of mediastinal lymph nodes.
Conclusions. In 97% of cases, widespread destructive secondary pulmonary tuberculosis runs with an active specific process in mediastinal lymph nodes which makes it reasonable to perform a selective lymphadenectomy in such group of patients. Secondary damage of different groups of intrathoracic lymph nodes by the active process depended on localization of lung destructions and occurred along the routes of lymph drainage from them. Reliable signs of active tuberculous of ITLN include: more than 2.0 cm lymph node enlargement, in duration, periadenitis, fluctuation and in homogeneity. Removal of macroscopically altered intra-thoracic lymph nodes in widespread destructive pulmonary tuberculosis permits to reduce the rate of complications in the postoperative period by 64.8%.
Full Text
The most serious and relatively common complication after pneumonectomy is primary bronchus stump insufficiency, which practically always leads to development of hemithorax empyema. [2]. The complication most commonly develops in pneumonectomies performed for generalized tuberculosis, and results not only from the involvement of the main bronchus into the inflammatory process, but also from the existence of damaged mediastinal lymph nodes in the immediate proximity to the resected bronchus orifice [1].
Materials and Methods
The results of surgical treatment of 515 patients (with fibrocavernous tuberculosis (n=484) and caseous pneumonia (n=31)) were analyzed. All the patients were divided into two groups. In 274 of them resection was supplemented with mediastinal lymphadenectomy performed using our original method of surgery and of determination of lymphadenectomy volume [3] (the main group). In the control group (241 patients) only pneumonectomy was performed without removing lymph nodes.
The pattern of resections was similar in both groups: pneumonectomies and pleuropneumonectomies in 128 (46.7%) patients of the main group and in 97 (40.2%) patients of the control group; combined resections in the volume of more than one lobe in 58 (21.2%) and 51 (21.1%) patients, respectively; lobectomy in 54 (19.7%) and 56 (23.2%) patients; complex multisegmental resections in 34 (12.4%) and 37 (15.5%) patients, respectively.
In 143 cases posterolateral access was used. In 228 cases lateral thoracotomy was performed. Video-assisted pneumonectomies and resections were performed in 144 cases. In 8 patients artificial pneumothorax was used in the preoperative period, in 5 of them with video-assisted thoracocautery.
The characteristic features of lymphadenectomies in the main group were its selective character – resection of groups of lymph nodes along the route of lymph efflux from the cavity area with clearly marked changes, and of lymph nodes with macroscopic signs of tuberculous damage.
During lymphadenectomy, mediastinal pleura was dissected around the lung root along the interjacent fold. The affected lymph nodes were separated from the surrounding subcutaneous tissue along the margins of their capsules. Blood and lymphatic vessels in the lymph node were ligated and cut or destroyed by electrocoagulation, after that the lymph nodes were removed. The remaining unaffected subcutaneous tissue of the mediastinum, vascular and nerve branches leading to trachea and bronchus stump, unaffected functional lymph nodes and lymphatic vessels were not resected. Mediastinal pleura was hermetically sutured above the bed of the resected lymph nodes for better hemostasis.
Tuberculosis of mediastinal lymph nodes was considered to be active in case of detection of caseation necrosis and Pirogov-Langhans cells in morphologic examination, and of Mycobacterium tuberculosis in microscopic examination or in lymphatic tissue inoculation.
Statistical processing was carried out using Biostatistica programs for Windows, Microsoft Office Excel. Differences between the groups were determined by chi-square test for goodness of fit (χ2), reliability of the results was determined minimum with 95% probability of the precise prognosis (p value, confidence intervals).
Results and Discussion
Analysis of the postoperative course of the disease in both groups of patients (with and without mediastinal lymphadenectomy) showed bronchopleural complications (bronchial suture leakage, empyema, intrapleural hemorrhage) in 7 (2.4%) cases in the main group and in 30 (12.4%) cases in the control group. Exacerbation of the specific process was noted in 1 patient (0.4%) in the main group and in 9 patients (3.7%) in the control group.
Traditional indications for removal of lymph nodes in the operations for pulmonary tuberculosis are caseous melting, broncholithiasis, esophagus compression with development of dysphagia, bronchus compression with development of atelectasis. However, such alterations are rare, in our practice they were observed in 2.1% of cases. The described changes, as a rule, do not occur in patients with local forms of tuberculosis, but they regularly accompany generalized destructive tuberculosis affecting more than one lobe. Leaving of the mediastinal lymph nodes in the operation means preservation of the infectious focus, and its local progression may lead to recurrence of tuberculosis in the resected lung, to pleural cavity infection with development of empyema, and to caseous mediastinitis with development of bronchial fistula which is especially dangerous after pneumonectomy.
In our opinion, lymph nodes should be removed in the following cases:
- their enlargement (more than 2 cm) and in duration,
- periadenitis – their fusion with the surrounding tissues,
- fluctuations – softening of the lymph node tissue in its caseous melting,
- in homogeneity – the presence of yellowish or lighter than the surrounding tissue inclusions being signs of tuberculous granuloma.
Similar changes were observed in all our patients suffering from generalized destructive tuberculosis. In histological, cytological and bacteriological examinations, these macroscopic signs indicated the active form of tuberculosis of mediastinal lymph nodes in 97% of cases.
Development of secondary active process in different groups of intrathoracic lymph nodes depended on localization of lung destructions and spread along the lymph efflux routes.
An example of such changes may be a clinical case given below.
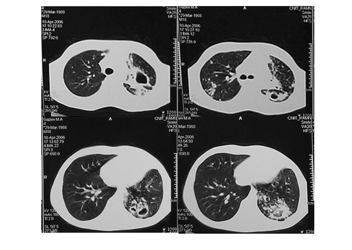
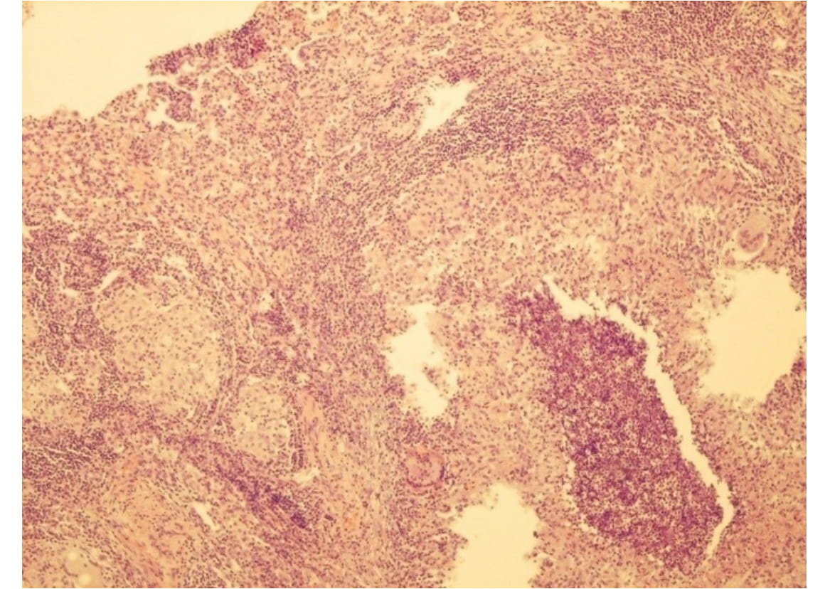
Patient G., 32 years of age, suffering from fibro-cavernous tuberculosis of the right lung in the phase of progression (Fig. 1) has been treated for 6 months conservatively with no effect, multiple drug resistance of Mycobacterium tuberculosis was detected. Pneumonectomy was performed, which revealed enlarged indurated and adherent to the surrounding tissues paratracheal, subcarinal and periesophageal lymph nodes (Fig. 2). Mediastinal lymphadenectomy was performed. On the cross-section of lymph node massive caseation was found (Fig. 3). Morphological analysis showed the presence of dry amorphous detritus with lymphoid elements and of single epithelioid cells in the peripheral areas (Fig. 4).
Fig. 1. Computed tomography of patient G. Multiple caverns in the right lung with marked perifocal infiltration
Fig. 2. Enlarged, indurated and adherent to the surrounding tissues mediastinal lymph nodes
Fig. 3. Caseous melting of paraesophageal lymph node
Fig. 4. Dry amorphous detritus with lymphoid elements and single epithelioid cells in the peripheral areas. Staining with hematoxylin and eosin. х150
In general, removal of macroscopically altered intrathoracic lymph nodes in widespread destructive pulmonary tuberculosis permitted to reduce the rate of complications in the postoperative period by 64.8%.
Thus, the conducted study confirmed the data of Russian and foreign authors [4-7] about bronchopleural complications occuring three times more often in operations for generalized tuberculosis than in nonspecific lung diseases. This is associated with caseous alterations in intrathoracic lymph nodes which makes it reasonable to perform selective lymphadenectomy.
Conclusions
- In 97% of cases generalized destructive secondary pulmonary tuberculosis runs with an active specific process in mediastinal lymph nodes which makes it reasonable to perform selective lymphadenectomy in such group of patients.
- Secondary active process in different groups of intrathoracic lymph nodes depended on localization of lung destructions and spreads along the routes of lymph efflux from them.
- True signs of active tuberculous process in intrathoracic lymph nodes in generalized destructive pulmonary tuberculosis include enlargement of lymph nodes to more than 2.0 cm, induration, periadenitis, fluctuation and inhomogeneity.
- Excision of macroscopically changed intrathoracic lymph nodes in generalized destructive pulmonary tuberculosis makes it possible to reduce the rate of complications in the postoperative period by 64.8%.
About the authors
Aleksandr V. Papkov
Ryazan State Medical University
Author for correspondence.
Email: avpapkov@mail.ru
ORCID iD: 0000-0003-2988-990X
SPIN-code: 4902-5864
ResearcherId: L-4679-2018
MD, PhD, Professor of the Department of Phthisiology with a Course of Radiation Diagnosis
Russian Federation, 9,Vysokovoltnaja,Ryazan,390026Dmitriy B. Giller
The State Education Institution of Higher Professional Training The First Sechenov Moscow State Medical University under Ministry of Health of the Russian Federation
Email: vestnik@rzgmu.ru
ORCID iD: 0000-0003-1946-5193
SPIN-code: 2955-6303
ResearcherId: L-5841-2018
MD, PhD, Professor, Head of the Department of Phthisiology with a Course of Thoracic Surgery
Russian Federation, 8-2, Trubetskaya street, Moscow, 119992Vitaliy L. Dobin
Ryazan State Medical University
Email: vestnik@rzgmu.ru
ORCID iD: 0000-0002-6512-558X
SPIN-code: 7454-9457
ResearcherId: S-8143-2016
MD, PhD, Professor, Head of the Department of Phthisiology with a Course of Radiation Diagnosis
Russian Federation, 9,Vysokovoltnaja,Ryazan,390026References
- Giller DB, Papkov AV, Gedymin LE, et al. Kliniko-morfologicheskoye obosnovaniye mediastinal’noy limfadenektomii v khirurgicheskom lechenii. Problemy Tuberkuleza i Bolezney Legkikh. 2008;85(10): 21-5. (In Russ).
- Papkov AV. Morphological substantiation of the removal of the intrachests lymph nodes at the pulmonary tuberculosis. I.P. Pavlov Russian Medical Biological Herald. 2008;4:7-12. (In Russ).
- Giller DB, Giller BM, Giller GV, et al. Sposob media-stinal’noy limfadenektomii pri pnevmonektomii ili rezektsii legkikh po povodu rasprostranennogo tuberkuleza legkikh. Patent RUS №2363398. MPK A61B17/00. 06.03.2008; publeshed 10.08.2009.
- (In Russ).
- Perel’man MI, editor. Ftiziatriya. Natsional’noye rukovodstvo. Moscow: GEOTAR-Media; 2010.
- (In Russ).
- Hewitson J.P., Von Oppel U.O. Role of thoracic surgery for childhood tuberculosis. World J Surg. 1997;21(5):468-74.
- Polyakov AA, Kornilova ZH, Demikhova OV. The use of plasmapheresis and intravenous laser blood irradiation in treatment of patients with newly diagnosed tuberculosis at the late stages of hiv infection (references review). I.P. Pavlov Russian Medical Biological Herald. 2017;25(4):655-68. (In Russ). doi: 10.23888/PAVLOVJ20174655-668
- Obukhova LM, Aliev AV, Evdokimov II, et al. Macro- and microelements of blood plasma in pulmonary tuberculosis. Nauka Molodykh (Eruditio Juvenium). 2017;5(3):370-81. (In Russ). doi:10.23888/ HMJ 20173370-381
Supplementary files










